Controversia entre el numero de
implantes
Para rehabilitar un maxilar edéntulo con implantes,
debemos tener en cuenta los diferentes aspectos tanto
funcionales como estéticos de la restauración que
pueden afectar en el tratamiento.
Antes de colocar los implantes dentales se tiene que
realizar un buen diagnóstico para decidir el tipo de
restauración que se va a realizar y el número de
implantes que se van a colocar durante la cirugía.
 Los factores principales que se tienen que tener en cuenta a la hora de
decidir el número de implantes dentales son la morfología del maxilar y su
reabsorción ósea en relación con los dientes antagonistas, la cantidad de
hueso remanente, la clase esquelética de cada paciente, la presencia de
parafunciones o musculatura potente del individuo y el tipo de dentición
que hay en la mandíbula.
Los tratamientos con prótesis sobre implantes para
colocar dientes fijos del maxilar (restauraciones circonio
cerámica o prótesis híbridas) se realizarán con el
soporte de 4 a 8 implantes, mientras que los
tratamientos removibles (sobre-dentaduras) se
realizarán, en la mayoría de los casos, con un número
de 4 a 6 implantes.
Los principales factores que deciden el
número de implantes dentales son:
la morfología del maxilar y su reabsorción en
relación con los dientes antagonistas.
El hueso remanente.
La clase esquelética.
La presencia de parafunciones o musculatura
potente del individuo.
El tipo de dentición existente en la
mandíbula.
¿Cuáles son los requisitos necesarios para
que sea posible colocar implantes?
 Antes que nada es necesario disponer de una radiografía Panorámica
 La condición mas importante, es tener suficiente hueso tanto en altura como en anchura, para
que quepa un implante de unos 4 mm de ancho y 12 mm. de largo.
 El dentista analiza la situación médica del paciente con su historia clínica y las condiciones locales
de sus maxilares .
 Con todo ello se puede saber cuántos implantes son necesarios, cuántos se pueden colocar y
dónde.
 También se evalúa la calidad del hueso, y las condiciones de fuerzas que va a recibir la Prótesis
sobre los implantes.
En el maxilar superior
tenemos las fosas nasales
y los senos para-nasales,
que no siempre permiten
colocar implantes, por
falta de hueso en altura.
Se recurre al injerto óseo.
La mandíbula, está
atravesada por un
conducto dentro del hueso,
por donde pasa un nervio
fundamental. Los implantes
no deben tocarlo.
Aquí vemos el
Seno Maxilar y
poco hueso en
altura. Se puede
hacer un injerto
dentro del Seno.
Aquí vemos el Nervio
Dentario inferior de la
mandíbula. Los
implantes no se pueden
poner si hay poca altura
de hueso. No se puede
tocar el nervio.
Cirugía de Implantes
 Se hace en el sillón dental, con anestesia local, la misma que se utiliza para hacer una extracción
dental. A veces se recurre a la sedación consciente.
 a intervención no tiene que doler. El postoperatorio puede doler y producir inflamación de la
zona de la cara. Se requiere medicación y bolsa de hielo. Reposo durante unos días y dieta
blanda. Aunque no es lo mismo colocar un solo implante que ocho. Ni es lo mismo una cirugía
con o sin injertos. También varía según el hueso y según se opere en mandíbula o en maxilar
superior. El postoperatorio es mucho mejor cuando se interviene con técnica quirúrgica asistida
por computador y sin “cortar la encía”.
diagnóstico asistido por
computadora. en un programa
informático, que reproduce la
anatomía real en 3
dimensiones. A partir de ahí se
puede fabricar una plantilla
para colocar los implantes con
extrema precisión, seguridad y
garantía. Es fantástico. Pero
más caro. Bastante más.
Formación de rosca en el
hueso de la mandíbula,
para la creación de un
alvéolo preparado
quirúrgicamente.
Alvéolos preparados en mandíbula.
Implantes ya colocados. Se les
pone una tapita enroscada.
Implantes cicatrizados
después de 3 meses. Se les
quitó la tapita enroscada que
los cubre.
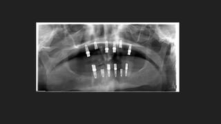
Maxilar Superior: 8
implantes bien
distribuidos para
soportar bien las
fuerzas de la
mordida y
masticar bien.
¿Cuántos implantes se deben colocar en una
rehabilitación completa superior?
La rehabilitación del maxilar edéntulo es uno de los
tratamientos más complejos en implantología, debido
a la gran cantidad de variables que pueden afectar
tanto a los aspectos funcionales como a los estéticos
de la restauración.
Cuántos implantes se deben colocar en una
rehabilitación completa inferior?
El tratamiento de la mandíbula edéntula mediante
implantes dentales es, quizás, el tratamiento con el que
se tiene más experiencia y resultados a largo plazo.
El número de implantes dentales necesario para cada
tratamiento depende del tipo de prótesis que se vaya a
realizar.
Aquellos pacientes edéntulos que quieren mejorar la
retención de sus dentaduras, un tratamiento con 4
implantes interforaminales soportando una
sobredentadura con retención de barra es suficiente
(aunque esta un técnica obsoleta y preferimos colocar
de 6 a 8 implantes para hacer una rehabilitación fija
con la prótesis de circonio sobre implantes.
cuántos implantes dentales necesito?
En resumen podemos listar que los factores a tenerse en
cuenta al momento de decidir el número de implantes son
los mencionados a continuación:
Musculatura del paciente y fuerza que deberán soportar los
implantes.
Calidad y cantidad de hueso receptor
Zona afectada
Tipo de prótesis
Por lo general para realizar una prótesis fija en el maxilar
superior se necesitan entre 6 y 8 implantes. En la mandíbula
se suele recomendar entre 5 y 8 implantes dentales.
Si lo que se desea es realizar una prótesis dental removible solo
se necesitarán de 4-5 implantes dentales en el maxilar y 2-4
implantes en la zona de la mandíbula.
Si perdiste sólo un diente, o una muela,
como se mencionó al inicio la respuesta es
obvia: SOLO UN IMPLANTE DENTAL.
Si perdiste 2 dientes que están juntos, la respuesta es DOS
implantes IMPLANTES DENTALES, pero en algunos casos se
recomienda colocar sólo un implante y luego 2 coronas
agarradas a un solo implante. Es decir una corona queda en el
aire, solo contactando levemente la encía (ejemplo, cuando es
necesario reemplazar el colmillo y el lateral, se coloca el
implante en el colmillo y el lateral queda “en cantilever” o “en el
aire”)
Si perdiste 3 dientes contiguos, se pueden
poner 2 implantes dentales a los extremos y
hacer un puente o si hay poco hueso, hay
que poner 3 implantes.
Si perdiste 4 dientes contiguos,
habitualemnte con 2 o 3 implantes dentales
para soportar 4 dientes es suficiente.
Si perdiste todos tus dientes de un maxilar, y queres una
prótesis fija de porcelana, se recomienda un mínimo de 6
implantes dentales, y en algunos casos, si el hueso es muy
favorable se puenden colocar 4 implantes dentales. A veces se
recomiendan 8 o más. Pero en este caso, poner un implante por
diente perdido se considera una exageración y no está indicado.
Y si me falta hueso, ¿puedo ponerme un
implante dental?
 Sí, puede llevar un implante dental. Tiene dos opciones para solucionar la falta de hueso:
 Esquivar la zona donde debería ir colocado el implante dental, pero que por la falta de hueso no es viable, y colocar
el implante donde haya hueso. Así, los implantes dentales - habitualmente guiados por ordenador - se colocan en
un sitio diferente a donde estaba el diente natural, y se colocan torcidos y en ángulos, a veces, exagerados. Son los
IMPLANTES PTERIGOIDEOS O TRANSZIGOMÁTICOS. Tienden a producir múltiples problemas, aflojamiento de
prótesis o incluso roturas del implante. En nuestro centro dental, no realizamos este tipo de implantes, por
considerarlos antinaturales y de alto riesgo.
 Implantes con REGENERACIÓN ÓSEA. Ante la falta de hueso se pueden utilizar técnicas para aumentar el volumen
óseo. El implante quedará fijado en el lugar donde estaba la raíz natural, por lo que no tendrá problemas de roturas
de implantes ni de aflojamiento de prótesis. Como centro implantológico reconocido a nivel europeo, es una de las
especializaciones de nuestra clínica dental desde 1990, impartiendo conferencias y cursos desde entonces.
¿Me durará toda la vida el implante?
No hay nada que dure toda la vida sin
mantenimiento.
de un 98,3 %. Debido a este altísimo porcentaje
de éxito en colocación de implantes dentales,
que si es durable
Posibles problemas de los Implantes
Dentales
 Una vez colocados los implantes dentales en la boca del paciente es posible encontrar algunas complicaciones,
entre ellas las más importantes son:
 Desintegración ósea: Este problema se da cuando la osteointegración conseguida tras su colocación no
tiene una resistencia suficiente en relación fuerzas que debe soportar en la oclusión. Esta situación
provoca complicaciones, puesto que el implante puede moverse y provocar molestias.
 Fractura o rotura del implante dental: Este problema puede provocarse tras la aplicación de una fuerza
oclusal demasiado grande que supera la resistencia del implante, provocando su fractura.
 Periimplantitis: Se trata de una inflamación similar a la periodontitis, provocada por una pérdida de
hueso en la zona del implante dental tras una acumulación de placa bacteriana. La periimplantitis es la
complicación más habitual de los implantes dentales.
 Dicho todo esto, lo más habitual es que no existan complicaciones y si se siguen las indicaciones de
cuidado del dentista es muy poco probable que aparezcan estos problemas
PRÓTESIS HÍBRIDA
CASOCLÍNICO
FERULIZAR
Planodefox
Registrodelaoclusiónyladimensiónvertical
Dimensiónvertical
Pruebadedientes
PRÓTESISPROVISORIASSINCANTILLEVER
PRÓTESISDERESINAPROVISORIA
5MESESDESPUÉS
PRÓTESISHÍBRIDADEFINITIVA
FERULIZARCONDURALAYPARATENERAJUSTEPASIVO
PRUEBADEGUÍAANTERIOR
PRUEBADEDIENTES
PRÓTESISDEFINITIVA
FIN
Gracias …..

Implanto. mumero de inplantes

  • 1.
    Controversia entre elnumero de implantes
  • 2.
    Para rehabilitar unmaxilar edéntulo con implantes, debemos tener en cuenta los diferentes aspectos tanto funcionales como estéticos de la restauración que pueden afectar en el tratamiento.
  • 3.
    Antes de colocarlos implantes dentales se tiene que realizar un buen diagnóstico para decidir el tipo de restauración que se va a realizar y el número de implantes que se van a colocar durante la cirugía.
  • 4.
     Los factoresprincipales que se tienen que tener en cuenta a la hora de decidir el número de implantes dentales son la morfología del maxilar y su reabsorción ósea en relación con los dientes antagonistas, la cantidad de hueso remanente, la clase esquelética de cada paciente, la presencia de parafunciones o musculatura potente del individuo y el tipo de dentición que hay en la mandíbula.
  • 5.
    Los tratamientos conprótesis sobre implantes para colocar dientes fijos del maxilar (restauraciones circonio cerámica o prótesis híbridas) se realizarán con el soporte de 4 a 8 implantes, mientras que los tratamientos removibles (sobre-dentaduras) se realizarán, en la mayoría de los casos, con un número de 4 a 6 implantes.
  • 9.
    Los principales factoresque deciden el número de implantes dentales son: la morfología del maxilar y su reabsorción en relación con los dientes antagonistas. El hueso remanente. La clase esquelética. La presencia de parafunciones o musculatura potente del individuo. El tipo de dentición existente en la mandíbula.
  • 10.
    ¿Cuáles son losrequisitos necesarios para que sea posible colocar implantes?  Antes que nada es necesario disponer de una radiografía Panorámica  La condición mas importante, es tener suficiente hueso tanto en altura como en anchura, para que quepa un implante de unos 4 mm de ancho y 12 mm. de largo.  El dentista analiza la situación médica del paciente con su historia clínica y las condiciones locales de sus maxilares .  Con todo ello se puede saber cuántos implantes son necesarios, cuántos se pueden colocar y dónde.  También se evalúa la calidad del hueso, y las condiciones de fuerzas que va a recibir la Prótesis sobre los implantes.
  • 11.
    En el maxilarsuperior tenemos las fosas nasales y los senos para-nasales, que no siempre permiten colocar implantes, por falta de hueso en altura. Se recurre al injerto óseo.
  • 12.
    La mandíbula, está atravesadapor un conducto dentro del hueso, por donde pasa un nervio fundamental. Los implantes no deben tocarlo.
  • 13.
    Aquí vemos el SenoMaxilar y poco hueso en altura. Se puede hacer un injerto dentro del Seno.
  • 14.
    Aquí vemos elNervio Dentario inferior de la mandíbula. Los implantes no se pueden poner si hay poca altura de hueso. No se puede tocar el nervio.
  • 15.
    Cirugía de Implantes Se hace en el sillón dental, con anestesia local, la misma que se utiliza para hacer una extracción dental. A veces se recurre a la sedación consciente.  a intervención no tiene que doler. El postoperatorio puede doler y producir inflamación de la zona de la cara. Se requiere medicación y bolsa de hielo. Reposo durante unos días y dieta blanda. Aunque no es lo mismo colocar un solo implante que ocho. Ni es lo mismo una cirugía con o sin injertos. También varía según el hueso y según se opere en mandíbula o en maxilar superior. El postoperatorio es mucho mejor cuando se interviene con técnica quirúrgica asistida por computador y sin “cortar la encía”.
  • 16.
    diagnóstico asistido por computadora.en un programa informático, que reproduce la anatomía real en 3 dimensiones. A partir de ahí se puede fabricar una plantilla para colocar los implantes con extrema precisión, seguridad y garantía. Es fantástico. Pero más caro. Bastante más.
  • 17.
    Formación de roscaen el hueso de la mandíbula, para la creación de un alvéolo preparado quirúrgicamente.
  • 18.
    Alvéolos preparados enmandíbula. Implantes ya colocados. Se les pone una tapita enroscada.
  • 19.
    Implantes cicatrizados después de3 meses. Se les quitó la tapita enroscada que los cubre.
  • 20.
    Maxilar Superior: 8 implantesbien distribuidos para soportar bien las fuerzas de la mordida y masticar bien.
  • 21.
    ¿Cuántos implantes sedeben colocar en una rehabilitación completa superior? La rehabilitación del maxilar edéntulo es uno de los tratamientos más complejos en implantología, debido a la gran cantidad de variables que pueden afectar tanto a los aspectos funcionales como a los estéticos de la restauración.
  • 22.
    Cuántos implantes sedeben colocar en una rehabilitación completa inferior? El tratamiento de la mandíbula edéntula mediante implantes dentales es, quizás, el tratamiento con el que se tiene más experiencia y resultados a largo plazo. El número de implantes dentales necesario para cada tratamiento depende del tipo de prótesis que se vaya a realizar.
  • 23.
    Aquellos pacientes edéntulosque quieren mejorar la retención de sus dentaduras, un tratamiento con 4 implantes interforaminales soportando una sobredentadura con retención de barra es suficiente (aunque esta un técnica obsoleta y preferimos colocar de 6 a 8 implantes para hacer una rehabilitación fija con la prótesis de circonio sobre implantes.
  • 24.
    cuántos implantes dentalesnecesito? En resumen podemos listar que los factores a tenerse en cuenta al momento de decidir el número de implantes son los mencionados a continuación: Musculatura del paciente y fuerza que deberán soportar los implantes. Calidad y cantidad de hueso receptor Zona afectada Tipo de prótesis
  • 25.
    Por lo generalpara realizar una prótesis fija en el maxilar superior se necesitan entre 6 y 8 implantes. En la mandíbula se suele recomendar entre 5 y 8 implantes dentales. Si lo que se desea es realizar una prótesis dental removible solo se necesitarán de 4-5 implantes dentales en el maxilar y 2-4 implantes en la zona de la mandíbula.
  • 26.
    Si perdiste sóloun diente, o una muela, como se mencionó al inicio la respuesta es obvia: SOLO UN IMPLANTE DENTAL.
  • 27.
    Si perdiste 2dientes que están juntos, la respuesta es DOS implantes IMPLANTES DENTALES, pero en algunos casos se recomienda colocar sólo un implante y luego 2 coronas agarradas a un solo implante. Es decir una corona queda en el aire, solo contactando levemente la encía (ejemplo, cuando es necesario reemplazar el colmillo y el lateral, se coloca el implante en el colmillo y el lateral queda “en cantilever” o “en el aire”)
  • 28.
    Si perdiste 3dientes contiguos, se pueden poner 2 implantes dentales a los extremos y hacer un puente o si hay poco hueso, hay que poner 3 implantes.
  • 29.
    Si perdiste 4dientes contiguos, habitualemnte con 2 o 3 implantes dentales para soportar 4 dientes es suficiente.
  • 30.
    Si perdiste todostus dientes de un maxilar, y queres una prótesis fija de porcelana, se recomienda un mínimo de 6 implantes dentales, y en algunos casos, si el hueso es muy favorable se puenden colocar 4 implantes dentales. A veces se recomiendan 8 o más. Pero en este caso, poner un implante por diente perdido se considera una exageración y no está indicado.
  • 31.
    Y si mefalta hueso, ¿puedo ponerme un implante dental?  Sí, puede llevar un implante dental. Tiene dos opciones para solucionar la falta de hueso:  Esquivar la zona donde debería ir colocado el implante dental, pero que por la falta de hueso no es viable, y colocar el implante donde haya hueso. Así, los implantes dentales - habitualmente guiados por ordenador - se colocan en un sitio diferente a donde estaba el diente natural, y se colocan torcidos y en ángulos, a veces, exagerados. Son los IMPLANTES PTERIGOIDEOS O TRANSZIGOMÁTICOS. Tienden a producir múltiples problemas, aflojamiento de prótesis o incluso roturas del implante. En nuestro centro dental, no realizamos este tipo de implantes, por considerarlos antinaturales y de alto riesgo.  Implantes con REGENERACIÓN ÓSEA. Ante la falta de hueso se pueden utilizar técnicas para aumentar el volumen óseo. El implante quedará fijado en el lugar donde estaba la raíz natural, por lo que no tendrá problemas de roturas de implantes ni de aflojamiento de prótesis. Como centro implantológico reconocido a nivel europeo, es una de las especializaciones de nuestra clínica dental desde 1990, impartiendo conferencias y cursos desde entonces.
  • 32.
    ¿Me durará todala vida el implante? No hay nada que dure toda la vida sin mantenimiento. de un 98,3 %. Debido a este altísimo porcentaje de éxito en colocación de implantes dentales, que si es durable
  • 33.
    Posibles problemas delos Implantes Dentales  Una vez colocados los implantes dentales en la boca del paciente es posible encontrar algunas complicaciones, entre ellas las más importantes son:  Desintegración ósea: Este problema se da cuando la osteointegración conseguida tras su colocación no tiene una resistencia suficiente en relación fuerzas que debe soportar en la oclusión. Esta situación provoca complicaciones, puesto que el implante puede moverse y provocar molestias.  Fractura o rotura del implante dental: Este problema puede provocarse tras la aplicación de una fuerza oclusal demasiado grande que supera la resistencia del implante, provocando su fractura.  Periimplantitis: Se trata de una inflamación similar a la periodontitis, provocada por una pérdida de hueso en la zona del implante dental tras una acumulación de placa bacteriana. La periimplantitis es la complicación más habitual de los implantes dentales.  Dicho todo esto, lo más habitual es que no existan complicaciones y si se siguen las indicaciones de cuidado del dentista es muy poco probable que aparezcan estos problemas
  • 34.
  • 37.
  • 46.
  • 47.
  • 48.
  • 51.
  • 52.
  • 53.
  • 54.
  • 55.
  • 56.
  • 57.
  • 60.
  • 62.
  • 63.