MICOSIS PULMONARES
DR. RENATO CASANOVA MENDOZA.
MÉDICO ASISTENTE CENTRO MÉDICO NAVAL.
LIMA – PERÚ.
2011
Hongos causantes de micosis
Pulmonar
O Histoplasma capsulatum.
O Coccidioides immitis.
O Blastomyces dermatitides.
O Paraccidioides brasiliensis.
O Aspergillus: fumigatus, flavus, niger,
terreus,nidulans.
O Malassezia furfur.
Hongos causantes de micosis
Pulmonar
O Candida: albicans, tropicalis, prapsilosis,
glabrata, lusitaniae, krusei.
O Cryptococcus neoformans.
O Fusarium: solani, oxysporum, moniliforme
Zygomicetes.
O Pseudallescheria boydii.
O Genero Penicilium.
O Hongos como Aspergillus, Candida, Mucor, Rizophus,
Cryptococcus y Penicilium eran considerados con
más frecuencia contaminantes.
O Hoy en día se reportan cada vez más estos
microorganismos como causantes de sepsis grave y
muerte en pacientes inmunodeprimidos
OLa fiebre elevada por tiempo mayor de
72 - 96 horas en neutropénicos severos
o con hemopatías malignas o con
tratamiento antimicrobiano potente y
amplio, debe hacer sospechar una
sepsis por hongos.
Estados relacionados con
micosis pulmonares
 SIDA. (Cryptococcosis, Histoplasmosis y la
Paracoccidiomicosis)
 Tratamiento antibiótico prolongado.
 Factores locales: cavidades, quistes, bulas,
fístula, bronquiectasias, enfermedades
fibroquísticas, EPOC, ventilados.
 Visitas a cuevas, manipulación de aves.
Estados relacionados con
micosis pulmonares
 Neutropenia severa. (Candidiasis y la
Aspergillosis)
 Tratamiento antineoplásico (citostáticos,
radioterapia).
 Tratamiento esteroideo prolongado.
 Trasplantes de corazón, pulmón, hígado,
riñón.
 Trasplantes de médula ósea.
FORMAS DE TRANSMISION
Los hongos pueden llegar a los pulmones a través de
dos vías principales:
O Aérea: más frecuente por inhalación de esporas,
origina micosis pulmonares primarias.
O Hematógena: promueve una localización más de
una micosis diseminada, resultando por lo tanto
una micosis pulmonar secundaria.
Cuadro clínico
Depende de:
O Factores individuales (inmunodeprimido).
O Asociación o participación de otros órganos y
sistemas.
O Cryptococcosis (SNC).
O Candidiasis (Lesiones mucocutáneas).
O Aspergillosis (Sinusitis, hiperreactividad bronquial).
O Blastomicosis (Lesiones dermatológicas).
O Mucormicosis (Lesiones cráneo faciales).
Cuadro clínico
O Un grupo de micosis pulmonares son provocadas
per se por los hongos, otro grupo por la respuesta
inflamatoria que originan y otros por sus
antígenos (determinan daño por mecanismo de
hipersensibilidad manifestado generalmente por
inflamaciones crónicas).
Cuadro clínico
Los síntomas y signos más frecuentes son:
O Tos.
O Expectoración purulenta u otras.
O Hiperreactividad bronquial.
O Dolor torácico.
O Disnea.
O Hemoptisis.
O Fiebre.
O Otros signos de toxiinfección (hasta el shock)
O Insuficiencia respiratoria.
Manifestaciones clínicas y radiológicas :
•Tendencia a cronicidad.
•Desarrollo lento.
•Relativa ausencia de dolor.
•Escaso compromiso pleural.
•Asociación con lesiones cutáneas y
adenopatías.
•Radiología no suele ser patognomónica
Cuadro clínico
DIAGNÓSTICO
El diagnóstico de una infección micótica del
pulmón se basa en 4 pilares fundamentales:
• Cuadro clínico-radiológico.
• Factores de riesgo.
• Examen microscópico directo y cultivo
de especímenes.
• Exámenes histopatológicos.
• Test serológicos.
Exámenes de laboratorio empleados en el
diagnóstico de las micosis pulmonares.
O El examen directo de la muestras respiratorias puede
ser al fresco o con KOH.
O Se prefiere medios inhibitorios que suprimen en forma
selectiva el crecimiento de algunos hongos u bacterias,
a los cuales se pueden adicionar diversos antibióticos
(cloramfenicol, gentamicina, penicilina G, ciclohexamina
o una combinación de ellos).
Aspergillosis (Inmunodifusión,
O Estudios serológicos: Blastomicosis (inmunodifusión),
galactomanan),
Histoplasmina en orina, etc.
Pruebas serológicas en el diagnóstico
de micosis profunda
O Aspergillosis: Precipitinas, LPA (galactomannan),
Inmunodifusión.
O Candidiasis: Precipitinas.
O Cryptococcosis: LPA (capsular) muy específico,
PCR.
O Blastomycosis: Inmunodifusión, fijación de
complemento.
Pruebas serológicas en el
diagnóstico de micosis profunda
O Coccidioidomicosis: Precipitinas, LPA,
inmunodifusión, fijación de complemento.
O Histoplasmosis: Inmunodifusión, fijación de
complemento, LPA, Antígeno urinario.
O Técnicas de radioinmunoanálisis, ELISA y
aglutinación con látex.
O En sangre y LCR, los títulos seriados evalúan
respuesta al tratamiento.
Exámenes anatomo patológicos
empleados en el diagnóstico de las micosis
pulmonares.
O La biopsia es el único medio para establecer el
diagnóstico de certeza de una micosis invasora del
pulmón, permite separar claramente a los pacientes
con colonización pulmonar micótica de aquellos con
infecciones fúngicas pulmonares invasivas
Exámenes anatomo patológicos
empleados en el diagnóstico de las
micosis pulmonares
O La biopsia transbronquial tiene mayor rendimiento
en los casos de micosis pulmonares difusas o
multifocales y extensas.
O En micosis pulmonares localizadas, la biopsia
quirúrgica o la biopsia por punción bajo visión
radioscópica son los métodos de elección
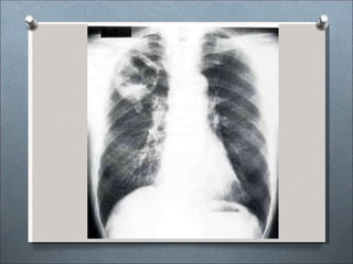
CANDIDIASIS PULMONAR
CRIPTOCOCOSIS PULMONAR
ASPERGILLOSIS
•
•
•
Aspergillus Fumigatus causa la mas severa enfermedad
en el hombre.
Distribuido en todo el mundo. Desarrolla comúnmente en
vegetación y suelos descompuestos.
La mayor puerta de entrada es el tracto respiratorio. Las
esporas colonizan el árbol bronquial incluido el alveolo.
•
•
Hifas invaden torrente sanguíneo, resultando en
inflamación vascular con trombosis, necrosis y
hemorragia.
Aspergillus coloniza y desarrolla en bronquios, quistes o
cavidades, causadas por enfermedad previa.
ASPERGILLOSIS : FORMAS CLINICAS
RADIOLOGICAS
1. Aspergillosis Colonizante, aspergilloma o
Micetoma.
2. Aspergillosis Broncopulmonar Alérgica :
Impacto mucoide.
Neumonía eosinofilica.
Granulomatosis broncocentrica.
6. Aspergillosis invasiva.
ASPERGILOSIS PULMONAR
ASPERGILLUS
ASPERGILLOSIS BRONCOPULMONAR ALERGICA
CRITERIOS DIAGNOSTICOS PRIMARIOS
• Historia de Asma extrínseca.
• Infiltrados pulmonares con eosinofilia en sangre y esputo.
• Reacción de hipersensibilidad tipo I y III a la aplicación
cutánea de ag. aspergillus.
CRITERIOS DIAGNOSTICOS SECUNDARIOS
• Precipitinas anti-aspergillus en suero (Ig. G & Ig. M).
• Elevación de concentraciones de Ig.E.
• Presencia de tapones en la expectoración.
• Aislamiento repetido del a. fumigatus en cultivos de
esputo y secreción nasal.
ASPERGILLOSIS PULMONAR INVASIVA
• Enfermedad fulminante con fiebre alta,
consolidación pulmonar y diseminación
hematógena.
• Manifestaciones no comunes incluyen:
endocarditis, sinusitis, endoftalmitis,
osteomielitis, esofagitis, ulceras necrotizantes
de piel, meningitis y abscesos cerebrales.
ASPERGILLOSIS TRATAMIENTO
•
•
•
•
•
Cirugía, es el tratamiento de elección para las formas
colonizantes.
Itraconazol 200 mg/día por 3 meses, en aquellos casos
de aspergillosis múltiple o los pacientes que tienen
contraindicación quirúrgica.
Broncodilatadores y corticoides en ABPA.
En las formas invasivas: Anfotericin B 1mg/kg/d IV
(dosis total 2.0-2.5 gr), si respuesta es buena switch
con itraconazol en 2-3 semanas.
Esquemas actuales incluyen Voriconazol.
HISTOPLASMOSIS
• 99% son asintomáticos y se diagnostican por
calcificaciones en pulmón o el bazo.
•
•
•
•
La principal fuente de infección son los suelos
contaminados con las excretas de aves, murciélagos y
otros materiales orgánicos.
La primo infección usualmente es asintomática en el
huésped normal.
La enfermedad diseminada ocurre en la infancia o en
pacientes con inmunosupresión severa, ocasionalmente
sucede en el huésped normal.
La forma de levadura es importante desde el punto de
vista patogénico.
HISTOPLASMOSIS : PATOGENESIS
•
•
•
La levadura prolifera localmente y se disemina por vía
hematógena.
El macrófago alveolar en el pulmón ingiere la levadura e
inicia serie de eventos, como consecuencia de respuesta
inflamatoria .
La respuesta inflamatoria con granulomas caseificados y no
caseificados, ocurre en los sitios de infiltrado local, mas
tarde estas áreas se necrosan y calcifican formando las
lesiones en ”perdigonazo”, que los estudios radiográficos
muestran como “enfermedad granulomatosa antigua “.
Infección primaria en huésped normal.
•
• Infección en huésped inmunocomprometido:
fiebre, consunción,
hepatoesplenomegalia,
disnea,
linfadenopatías,
sangrados digestivos, etc.
• Infección en huésped con alteración anatómica
pulmonar :Histoplasmoma.
HISTOPLASMOSIS : FORMAS CLÍNICAS
HISTOPLASMOSIS
HISTOPLASMOSIS : TRATAMIENTO
•
•
•
En paciente Inmunocompetente :Compromiso leve : No
tratamiento.
Compromiso moderado : Itraconazol 200 mg bid VO x 9
meses ò 200 mg VO tid x 3 días luego 200 mg bid
hasta obtener respuesta.
Compromiso Severo : Anfotericin B 0.5-1 mg/kg/d IV x 7
días luego o.8 mg/kg/d IV. Alternativa Itraconazol 2
meses, éxito 86 %
AJM 93:489, 1992
PARACOCCIDIOIDOMICOSIS
•
•
•
•
•
Organismo causal : Paracoccidioides brasiliensis.
Vía de transmisión : Aérea, mucocutáneas.
Fuente de infección : Suelo de selva, húmedo y caliente
(Zonas tropicales y sub tropicales).
Compromiso de pulmón, piel, mucosas, ganglios
linfáticos.
Clínica : Forma progresiva juvenil y forma progresiva del
adulto (pulmonar localizada o diseminada).
PARACOCCIDIOIDOMICOSIS - CLÍNICA
Síntomas mas frecuentes:
•Ulceración mucosa en boca, nariz, intestino.
(Destruye úvula, epiglotis, cuerdas
•Deglución difícil, cambio de voz
vocales).
•Lesiones cutáneas en cara.
•Adenopatía cervical, submaxilar (Supuración, fistulización externa).
•S. Respiratorio: Tos, dolor torácico, esputo purulento o hemoptoico.
•S. Febril, S. General.
•S. Intestinal: Dolor abdominal, perforación de asas, peritonitis.
•Forma radiológica frecuente: Lesiones nodulares múltiples.
•
•
•
Itraconazol 200 mg/d x VO x 6 meses ò
Ketoconazol 400 mg/d x VO x 6-18 meses.
Formas graves: Anfotericin B 0.4-0.5 mg/kg/d IV
(dosis total 1.5-2.5 gr) òSulfonamidas.
PARACOCCIDIOIDOMICOSIS -
TRATAMIENTO
CRIPTOCOCOSIS
•
•
•
•
•
•
Agente: Cryptococcus neoformans
Fuente: Deyección de palomas, Cascaras de frutas,
Leche de vaca.
Factor Predisponente: Minusvalía inmunológica.
Forma primaria pulmonar a veces asintomática.
Marcado tropismo por SNC.
Puede afectar otros órganos y estructuras
mucocutáneas.
Radiología pulmonar:
• Nódulos solitarios subpleurales
• Lesiones en masa circunscritas
• Infiltrado neumónico difuso con cavidades
• Milia
• Derrame pleural
• Linfadenopatías
CRIPTOCOCOSIS RADIOLOGÍA
CRIPTOCOCOSIS
• Anfotericin B 0.5-0.8 mg/kg/d IV si respuesta es
adecuada cambiar a Fluconazol 400 mg/d VO x
8-10 semanas ò Fluconazol 400 mg/d x 8
semanas.
• En meningitis adicionar a anfotericin B, 5
Fluocitocina 37.5 mg/kg c/6 horas hasta que
paciente este afebril y cultivos negativos
aproximadamente 6 semanas, luego suspender
Anfotericin B y 5 Fluocitocina e iniciar Fluconazol
200 mg VO día.
CRIPTOCOCOSIS TRATAMIENTO
COCCIDIODOMICOSIS
•Enfermedad micótica altamente infecciosa
•Organismo causal: Coccidioides inmitis
•Vía de transmisión: Vía aérea - cutánea
contaminados,
mantienen el
•Fuente de infección: Suelos
Estiércol, roedores infectados
hongo en terreno.
Formas clínicas radiológicas:
•Enfermedad asintomática y tipo gripal.
•Tipo neumónico: Consolidación parenquimal de
lóbulos inferiores.
•Ensanchamiento linfático hiliar o mediastinico.
•Neumotórax.
•Lesiones nodulares con o sin cavitación.
•Lesiones miliares.
COCCIDIODOMICOSIS
• Leve y moderada: Itraconazol 200 mg VO bid ò
Fluconazol 400 mg/día VO x 3-12 meses.
• Severa o enfermedad extensa (o meningitis):
Anfotericin B 0.6-1 mg/kgd x 7 días luego 0.8
mg/kg/día (dosis total 2.5 gr o mas) seguido por
Itraconazol o Fluconazol 400 –800 mg/día.
COCCIDIODOMICOSIS
COCCIDIMIOCOSIS
COCCIDIMIOCOSIS
CANDIDIASIS
Formas radiológicas:
•Bronquial: Espesamiento peribronquial, fibrosis lineal
diseminada.
bronco
•Parenquimatosa: Signos de consolidación
neumónica, variantes miliares o abscedadas.
Tratamiento:
•Fluconazol 400 mg/día IV x 7 días luego VO x 14 días.
•Anfotericina B 0.5-0.6 mg/kg/dosis VIV (dosis total 5-7
mg/kg). En pacientes con deterioro o fracaso 0.8-1.0
mg/kg/d IV ò Fluconazol 800 mg/d VO/IV.
CANDIDIASIS
TEST
2. Cual de los siguientes enunciados es correcto, en
relación a las micosis pulmonares:
a) Afecta principalmente a inmunocompetentes por su
enérgica respuesta antigénica.
b) El manejo ideal de las formas invasivas de
Aspergillosis pulmonar es quirúrgico.
c) La bronco litiasis se relaciona a Histoplasmosis
bronquial.
d) Los azoles no forman parte del pilar terapéutico.
e) Las deyecciones de aves se relacionan con candidiasis
sistémicas.
GRACIAS
WEBS:
http://neumovida.es.tl
http://www.slideshare.net/ALDORENATO/presentations

micosispulmonares-drcasanova-110704152746-phpapp01.pptx

  • 1.
    MICOSIS PULMONARES DR. RENATOCASANOVA MENDOZA. MÉDICO ASISTENTE CENTRO MÉDICO NAVAL. LIMA – PERÚ. 2011
  • 2.
    Hongos causantes demicosis Pulmonar O Histoplasma capsulatum. O Coccidioides immitis. O Blastomyces dermatitides. O Paraccidioides brasiliensis. O Aspergillus: fumigatus, flavus, niger, terreus,nidulans. O Malassezia furfur.
  • 3.
    Hongos causantes demicosis Pulmonar O Candida: albicans, tropicalis, prapsilosis, glabrata, lusitaniae, krusei. O Cryptococcus neoformans. O Fusarium: solani, oxysporum, moniliforme Zygomicetes. O Pseudallescheria boydii. O Genero Penicilium.
  • 4.
    O Hongos comoAspergillus, Candida, Mucor, Rizophus, Cryptococcus y Penicilium eran considerados con más frecuencia contaminantes. O Hoy en día se reportan cada vez más estos microorganismos como causantes de sepsis grave y muerte en pacientes inmunodeprimidos
  • 5.
    OLa fiebre elevadapor tiempo mayor de 72 - 96 horas en neutropénicos severos o con hemopatías malignas o con tratamiento antimicrobiano potente y amplio, debe hacer sospechar una sepsis por hongos.
  • 6.
    Estados relacionados con micosispulmonares  SIDA. (Cryptococcosis, Histoplasmosis y la Paracoccidiomicosis)  Tratamiento antibiótico prolongado.  Factores locales: cavidades, quistes, bulas, fístula, bronquiectasias, enfermedades fibroquísticas, EPOC, ventilados.  Visitas a cuevas, manipulación de aves.
  • 7.
    Estados relacionados con micosispulmonares  Neutropenia severa. (Candidiasis y la Aspergillosis)  Tratamiento antineoplásico (citostáticos, radioterapia).  Tratamiento esteroideo prolongado.  Trasplantes de corazón, pulmón, hígado, riñón.  Trasplantes de médula ósea.
  • 8.
    FORMAS DE TRANSMISION Loshongos pueden llegar a los pulmones a través de dos vías principales: O Aérea: más frecuente por inhalación de esporas, origina micosis pulmonares primarias. O Hematógena: promueve una localización más de una micosis diseminada, resultando por lo tanto una micosis pulmonar secundaria.
  • 9.
    Cuadro clínico Depende de: OFactores individuales (inmunodeprimido). O Asociación o participación de otros órganos y sistemas. O Cryptococcosis (SNC). O Candidiasis (Lesiones mucocutáneas). O Aspergillosis (Sinusitis, hiperreactividad bronquial). O Blastomicosis (Lesiones dermatológicas). O Mucormicosis (Lesiones cráneo faciales).
  • 10.
    Cuadro clínico O Ungrupo de micosis pulmonares son provocadas per se por los hongos, otro grupo por la respuesta inflamatoria que originan y otros por sus antígenos (determinan daño por mecanismo de hipersensibilidad manifestado generalmente por inflamaciones crónicas).
  • 11.
    Cuadro clínico Los síntomasy signos más frecuentes son: O Tos. O Expectoración purulenta u otras. O Hiperreactividad bronquial. O Dolor torácico. O Disnea. O Hemoptisis. O Fiebre. O Otros signos de toxiinfección (hasta el shock) O Insuficiencia respiratoria.
  • 12.
    Manifestaciones clínicas yradiológicas : •Tendencia a cronicidad. •Desarrollo lento. •Relativa ausencia de dolor. •Escaso compromiso pleural. •Asociación con lesiones cutáneas y adenopatías. •Radiología no suele ser patognomónica Cuadro clínico
  • 13.
    DIAGNÓSTICO El diagnóstico deuna infección micótica del pulmón se basa en 4 pilares fundamentales: • Cuadro clínico-radiológico. • Factores de riesgo. • Examen microscópico directo y cultivo de especímenes. • Exámenes histopatológicos. • Test serológicos.
  • 14.
    Exámenes de laboratorioempleados en el diagnóstico de las micosis pulmonares. O El examen directo de la muestras respiratorias puede ser al fresco o con KOH. O Se prefiere medios inhibitorios que suprimen en forma selectiva el crecimiento de algunos hongos u bacterias, a los cuales se pueden adicionar diversos antibióticos (cloramfenicol, gentamicina, penicilina G, ciclohexamina o una combinación de ellos). Aspergillosis (Inmunodifusión, O Estudios serológicos: Blastomicosis (inmunodifusión), galactomanan), Histoplasmina en orina, etc.
  • 15.
    Pruebas serológicas enel diagnóstico de micosis profunda O Aspergillosis: Precipitinas, LPA (galactomannan), Inmunodifusión. O Candidiasis: Precipitinas. O Cryptococcosis: LPA (capsular) muy específico, PCR. O Blastomycosis: Inmunodifusión, fijación de complemento.
  • 16.
    Pruebas serológicas enel diagnóstico de micosis profunda O Coccidioidomicosis: Precipitinas, LPA, inmunodifusión, fijación de complemento. O Histoplasmosis: Inmunodifusión, fijación de complemento, LPA, Antígeno urinario. O Técnicas de radioinmunoanálisis, ELISA y aglutinación con látex. O En sangre y LCR, los títulos seriados evalúan respuesta al tratamiento.
  • 17.
    Exámenes anatomo patológicos empleadosen el diagnóstico de las micosis pulmonares. O La biopsia es el único medio para establecer el diagnóstico de certeza de una micosis invasora del pulmón, permite separar claramente a los pacientes con colonización pulmonar micótica de aquellos con infecciones fúngicas pulmonares invasivas
  • 18.
    Exámenes anatomo patológicos empleadosen el diagnóstico de las micosis pulmonares O La biopsia transbronquial tiene mayor rendimiento en los casos de micosis pulmonares difusas o multifocales y extensas. O En micosis pulmonares localizadas, la biopsia quirúrgica o la biopsia por punción bajo visión radioscópica son los métodos de elección
  • 19.
  • 20.
  • 21.
    ASPERGILLOSIS • • • Aspergillus Fumigatus causala mas severa enfermedad en el hombre. Distribuido en todo el mundo. Desarrolla comúnmente en vegetación y suelos descompuestos. La mayor puerta de entrada es el tracto respiratorio. Las esporas colonizan el árbol bronquial incluido el alveolo. • • Hifas invaden torrente sanguíneo, resultando en inflamación vascular con trombosis, necrosis y hemorragia. Aspergillus coloniza y desarrolla en bronquios, quistes o cavidades, causadas por enfermedad previa.
  • 22.
    ASPERGILLOSIS : FORMASCLINICAS RADIOLOGICAS 1. Aspergillosis Colonizante, aspergilloma o Micetoma. 2. Aspergillosis Broncopulmonar Alérgica : Impacto mucoide. Neumonía eosinofilica. Granulomatosis broncocentrica. 6. Aspergillosis invasiva.
  • 24.
  • 25.
  • 32.
    ASPERGILLOSIS BRONCOPULMONAR ALERGICA CRITERIOSDIAGNOSTICOS PRIMARIOS • Historia de Asma extrínseca. • Infiltrados pulmonares con eosinofilia en sangre y esputo. • Reacción de hipersensibilidad tipo I y III a la aplicación cutánea de ag. aspergillus. CRITERIOS DIAGNOSTICOS SECUNDARIOS • Precipitinas anti-aspergillus en suero (Ig. G & Ig. M). • Elevación de concentraciones de Ig.E. • Presencia de tapones en la expectoración. • Aislamiento repetido del a. fumigatus en cultivos de esputo y secreción nasal.
  • 33.
    ASPERGILLOSIS PULMONAR INVASIVA •Enfermedad fulminante con fiebre alta, consolidación pulmonar y diseminación hematógena. • Manifestaciones no comunes incluyen: endocarditis, sinusitis, endoftalmitis, osteomielitis, esofagitis, ulceras necrotizantes de piel, meningitis y abscesos cerebrales.
  • 34.
    ASPERGILLOSIS TRATAMIENTO • • • • • Cirugía, esel tratamiento de elección para las formas colonizantes. Itraconazol 200 mg/día por 3 meses, en aquellos casos de aspergillosis múltiple o los pacientes que tienen contraindicación quirúrgica. Broncodilatadores y corticoides en ABPA. En las formas invasivas: Anfotericin B 1mg/kg/d IV (dosis total 2.0-2.5 gr), si respuesta es buena switch con itraconazol en 2-3 semanas. Esquemas actuales incluyen Voriconazol.
  • 35.
    HISTOPLASMOSIS • 99% sonasintomáticos y se diagnostican por calcificaciones en pulmón o el bazo. • • • • La principal fuente de infección son los suelos contaminados con las excretas de aves, murciélagos y otros materiales orgánicos. La primo infección usualmente es asintomática en el huésped normal. La enfermedad diseminada ocurre en la infancia o en pacientes con inmunosupresión severa, ocasionalmente sucede en el huésped normal. La forma de levadura es importante desde el punto de vista patogénico.
  • 36.
    HISTOPLASMOSIS : PATOGENESIS • • • Lalevadura prolifera localmente y se disemina por vía hematógena. El macrófago alveolar en el pulmón ingiere la levadura e inicia serie de eventos, como consecuencia de respuesta inflamatoria . La respuesta inflamatoria con granulomas caseificados y no caseificados, ocurre en los sitios de infiltrado local, mas tarde estas áreas se necrosan y calcifican formando las lesiones en ”perdigonazo”, que los estudios radiográficos muestran como “enfermedad granulomatosa antigua “.
  • 37.
    Infección primaria enhuésped normal. • • Infección en huésped inmunocomprometido: fiebre, consunción, hepatoesplenomegalia, disnea, linfadenopatías, sangrados digestivos, etc. • Infección en huésped con alteración anatómica pulmonar :Histoplasmoma. HISTOPLASMOSIS : FORMAS CLÍNICAS
  • 39.
  • 40.
    HISTOPLASMOSIS : TRATAMIENTO • • • Enpaciente Inmunocompetente :Compromiso leve : No tratamiento. Compromiso moderado : Itraconazol 200 mg bid VO x 9 meses ò 200 mg VO tid x 3 días luego 200 mg bid hasta obtener respuesta. Compromiso Severo : Anfotericin B 0.5-1 mg/kg/d IV x 7 días luego o.8 mg/kg/d IV. Alternativa Itraconazol 2 meses, éxito 86 % AJM 93:489, 1992
  • 41.
    PARACOCCIDIOIDOMICOSIS • • • • • Organismo causal :Paracoccidioides brasiliensis. Vía de transmisión : Aérea, mucocutáneas. Fuente de infección : Suelo de selva, húmedo y caliente (Zonas tropicales y sub tropicales). Compromiso de pulmón, piel, mucosas, ganglios linfáticos. Clínica : Forma progresiva juvenil y forma progresiva del adulto (pulmonar localizada o diseminada).
  • 42.
    PARACOCCIDIOIDOMICOSIS - CLÍNICA Síntomasmas frecuentes: •Ulceración mucosa en boca, nariz, intestino. (Destruye úvula, epiglotis, cuerdas •Deglución difícil, cambio de voz vocales). •Lesiones cutáneas en cara. •Adenopatía cervical, submaxilar (Supuración, fistulización externa). •S. Respiratorio: Tos, dolor torácico, esputo purulento o hemoptoico. •S. Febril, S. General. •S. Intestinal: Dolor abdominal, perforación de asas, peritonitis. •Forma radiológica frecuente: Lesiones nodulares múltiples.
  • 43.
    • • • Itraconazol 200 mg/dx VO x 6 meses ò Ketoconazol 400 mg/d x VO x 6-18 meses. Formas graves: Anfotericin B 0.4-0.5 mg/kg/d IV (dosis total 1.5-2.5 gr) òSulfonamidas. PARACOCCIDIOIDOMICOSIS - TRATAMIENTO
  • 44.
    CRIPTOCOCOSIS • • • • • • Agente: Cryptococcus neoformans Fuente:Deyección de palomas, Cascaras de frutas, Leche de vaca. Factor Predisponente: Minusvalía inmunológica. Forma primaria pulmonar a veces asintomática. Marcado tropismo por SNC. Puede afectar otros órganos y estructuras mucocutáneas.
  • 45.
    Radiología pulmonar: • Nódulossolitarios subpleurales • Lesiones en masa circunscritas • Infiltrado neumónico difuso con cavidades • Milia • Derrame pleural • Linfadenopatías CRIPTOCOCOSIS RADIOLOGÍA
  • 46.
  • 47.
    • Anfotericin B0.5-0.8 mg/kg/d IV si respuesta es adecuada cambiar a Fluconazol 400 mg/d VO x 8-10 semanas ò Fluconazol 400 mg/d x 8 semanas. • En meningitis adicionar a anfotericin B, 5 Fluocitocina 37.5 mg/kg c/6 horas hasta que paciente este afebril y cultivos negativos aproximadamente 6 semanas, luego suspender Anfotericin B y 5 Fluocitocina e iniciar Fluconazol 200 mg VO día. CRIPTOCOCOSIS TRATAMIENTO
  • 48.
    COCCIDIODOMICOSIS •Enfermedad micótica altamenteinfecciosa •Organismo causal: Coccidioides inmitis •Vía de transmisión: Vía aérea - cutánea contaminados, mantienen el •Fuente de infección: Suelos Estiércol, roedores infectados hongo en terreno.
  • 49.
    Formas clínicas radiológicas: •Enfermedadasintomática y tipo gripal. •Tipo neumónico: Consolidación parenquimal de lóbulos inferiores. •Ensanchamiento linfático hiliar o mediastinico. •Neumotórax. •Lesiones nodulares con o sin cavitación. •Lesiones miliares. COCCIDIODOMICOSIS
  • 50.
    • Leve ymoderada: Itraconazol 200 mg VO bid ò Fluconazol 400 mg/día VO x 3-12 meses. • Severa o enfermedad extensa (o meningitis): Anfotericin B 0.6-1 mg/kgd x 7 días luego 0.8 mg/kg/día (dosis total 2.5 gr o mas) seguido por Itraconazol o Fluconazol 400 –800 mg/día. COCCIDIODOMICOSIS
  • 51.
  • 52.
  • 53.
    CANDIDIASIS Formas radiológicas: •Bronquial: Espesamientoperibronquial, fibrosis lineal diseminada. bronco •Parenquimatosa: Signos de consolidación neumónica, variantes miliares o abscedadas. Tratamiento: •Fluconazol 400 mg/día IV x 7 días luego VO x 14 días. •Anfotericina B 0.5-0.6 mg/kg/dosis VIV (dosis total 5-7 mg/kg). En pacientes con deterioro o fracaso 0.8-1.0 mg/kg/d IV ò Fluconazol 800 mg/d VO/IV.
  • 54.
  • 55.
    TEST 2. Cual delos siguientes enunciados es correcto, en relación a las micosis pulmonares: a) Afecta principalmente a inmunocompetentes por su enérgica respuesta antigénica. b) El manejo ideal de las formas invasivas de Aspergillosis pulmonar es quirúrgico. c) La bronco litiasis se relaciona a Histoplasmosis bronquial. d) Los azoles no forman parte del pilar terapéutico. e) Las deyecciones de aves se relacionan con candidiasis sistémicas.
  • 56.