{
MICOSIS
PULMONAR
FLORES ÑAUPARI JUAN R.
MICOSIS PULMONARES
MÁS FRECUENTES

CRIPTOCOCO

CANDIDA

PARACOCCIDIOIDOMICOSIS

ASPERGILLUS

HISTOPLASMOSIS
GENERALIDADES:

Grupo de enfermedades del
pulmón debidas de un modo
primario o secundario a la
infección por hongos.

INCIDENCIA: 3 - 56 % en
grupos de riesgo

•
•
•
•

Aspergillus 57%
Histoplasmosis 21%
Candida 14%
Otras 8%
- Cryptococcus
- Blastomicosis
- Paracoccidioidomicosis

Las Micosis pulmonares primarias
se caracterizan por la infección de
los pulmones como primer punto
de entrada de ciertos hongos, a
través de la respiración.
ASPERGILOSIS
Aspergilosis


Etiología

Aspergillus fumigatus 85%
Aspergillus flavus 5-10%
Aspergillus niger 2-3%
Aspergillus terreus 2-3%
Aspergillus clavatus
Aspergillus glaucus
A. FUMIGATUS:

Mayor casos de A. invasora
Mayor caso de sind. Alergicos

A. FLAVUS:

> frecuencia en hospitales
> caso de sinusitis, inf cutanea y queratitis

A. FUMIGATUS Y A. NIGER:

> frecuencia colonizan las vias respiratorias y producen otitis
externa
ASPERGILOSIS
Moho filamentoso, hifas hialinas tabicadas y ramificadas
 Reproducción asexuada por Conidias.
 Crece a menudo en vegetales en descomposición, granos de
cereal, materia orgánica en descomposición, abono, plantas,
tierra, estiercol, ropa de cama.
 Contagio forma aerea; en filtros de aire, paredes, techos
húmedos, polvo, alimentos, cortinas.

• Principal
micosis
pulmonar
inmunocompetentes.
• Afecta principalmente inmunodeprimidos.

en

Las afecciones más frecuentes ocurren a nivel
del pulmón y son:
-

Aspergilosis colonizante (aspergiloma)
Aspergilosis invasiva
Aspergilosis crónica necrotizante
Aspergilosis broncopulmonar alérgica.

ETIOLOGÍA: Los mohos del género Aspergillus (La gran mayoría
de los casos son producidos por A. fumigatus y A. flavus
Juan R. Flores
Universidad Privada Antenor
Orrego
PATOGENIA
La enfermedad se produce como
consecuencia de la inhalación de
esporas contenidas en el aire, por lo que
los senos paranasales y los pulmones
son los sitios en que asienta
primariamente la enfermedad con
mayor frecuencia.
También pueden invadir el oido
externo y la piel traumatizada.

En inmunocompetentes pueden
actuar como un potente alergeno
o
colonizar
bronquios
o
cavidades preexistentes, donde
luego se desarrollan.
• Sin embrago, es necesario que el hospedero tenga alteraciones
fisiológicas, anatómicas o inmunológicas que permitan la
colonización de sus tejidos o la inducción del estado de
sensibilización alérgica iniciando un sindrome alergico.

Juan R. Flores
Universidad
Privada Antenor
Orrego
CUADRO CLINICO

ENFERMEDAD
PULMONAR

1) Aspergilosis
alérgica donde el
agente actúa como
alergeno.

2) Aspergilosis por
colonización de
cavidades
(aspergiloma).

3) Enfermedad
invasiva, la que puede
ser aguda o crónica:
Aspergilosis
necrotizante crónica,
aspergilosis invasiva
aguda.
Aspergilosis
Broncopulmonar alérgica
Se observa particularmente en
personas atópicas que
desarrollan reacciones
alérgicas de asma o rinitis.
Produce Hipersensibilidad
tipo 1

El mucus puede obstruir la vía
aérea y causar atelectasia. A
menudo la enfermedad
evoluciona a la constitución de
bronquiectasias y fibrosis.
Aspergilosis alérgica


Los síntomas más frecuentes son:






Fiebre
asma rebelde
tos productiva
Malestar
pérdida de peso.



La radiografía muestra desde pequeños y
fugaces infiltrados uni o bilaterales, ganglios
hiliares o paratraqueales, hasta
consolidaciones crónicas.



Se puede encontrar un aumento de la
concentracion serica de Ig E > 1000 UI/ml
Diagnostico:
Criterios Mayores:
 Asma
 Eosinofilia Sanguínea o Pulmonar
 Expectoración
 Infiltrados Recurrentes
 Respuesta a pruebas de Hipersensibilidad tipo
I y III
Criterios Menores
 Aspergillus en esputo
 Ac anti IgE e IgG
 Fiebre recurrente, tos
 Bronquiectasias proximales
Aspergilosis Pulmonar
cronica


Invasión a cavidades ya formadas -lóbulos superiores

(CA, TBC, bulas enfisematosas, abscesos piógenos, Quistes, FQ)



Masa redondeada móvil con signo clásico del cascabel
(medialuna aérea).



Clínica: Generalmente asintomático.

Febrícula, perdida de peso, disnea, tos crónica,
expectoración mucopurulenta. Hemoptisis.

Puede haber lisis espontanea en un 10% de los pacientes.
La evolución es hacia la
cavitación y en la mitad de los
casos se constituyen bolas o
pelotas fúngicas dentro de las
cavidades pulmonares necróticas.

En esta etapa es difícil distinguir
esta forma de la anteriormente
descrita (aspergiloma en cavidad
preformada).



Es una forma semiinvasiva.
Se observa en personas de edad avanzada con
enfermedad pulmonar subyacente como:







tuberculosis inactiva
EPOC
Bronquiectasias
Sarcoidosis
neumoconiosis

Muchos de esas personas tienen además un
compromiso de su estado inmune por ser
alcoholistas, diabéticos, tomar corticoides
por períodos prolongados, o estar
infectados por el VIH.
 La sintomatología es inespecífica siendo los
síntomas más frecuentes:








Tos
Malestar
pérdida de peso
fiebre
Aspergiloma
Es una pelota fúngica que resulta de la colonización y
desarrollo del hongo dentro de cavidades preexistentes
(cavidades tuberculosas, bronquiectasias, quistes, etc).
 En inmunocompetentes el aspergiloma se observa en 10 a
15% de pacientes con enfermedad cavilaría.


Más de 25% de los casos
tienen hemoptisis masiva.
Aspergilosis pulmonar invasiva



Aguda:
Subaguda:

< 1 mes
2 -3 meses

Es una infección
fúngica necrotizante
que ocurren en
pacientes
inmunodeprimidos.

Según el grado de
deterioro inmunitario
puede adoptar la forma
crónica o aguda.

Como el germen tiene un
importante tropismo
vascular ocasiona
trombosis y necrosis
isquémica con la
consecuente formación
de cavidades.
SINTOMAS:
Fiebre
Tos (a veces con esputo)
Molestias torácicas inespecíficas
Hemoptisis
Disnea.
La fiebre usualmente responde aun tto de glucocorticoides pero la
enfermedad Progresa.
4. Aspergilosis
Diseminada
CEREBRAL:
Abscesos
en
pacientes,
infarto
hemorragico. Convulsiones,
cambio de animo, alteracion
mental, Granulomas cerebral.
SINUSISTIS: Sinusitis alérgica
crónica
con
poliposis
recurrente sin invasión tisular.

S. Invasora fulminante: Sinusitis
en Neutropénicos con TMO,
con fiebre, inflamación orbital,
dolor facial y congestión nasal.
(Diseminación a Cerebro)
S. Invasora crónica: Sinusitis en
DM, VIH o en tto esteroides,
invasión etmoides, ósea con
perdida del olfato, con cefalea
crónica y diplopía.

CUTANEA: ppalmente posCx,

OSEA: Asociada a Tx directo,

Cx, uso de drogas IV o
diseminación secundaria,
lesiones osteolíticas a los
Rx.
OCULAR: Invasión desde senos
infectados por una sinusitis,
Endoftalmitis
invasora
sea
posCx o diseminada. Queratitis
posTx con vegetales.

Tx en ptes ID, Similares al
Ectima Gangrenoso con
escaras oscuras.
CV: En ptes con trasplantes de

organos sólidos, debutan con
endocarditis,
miocarditis,
pericarditis,
infecciones
valvulares
protesicas,
mediastinitis.
DIAGNOSTICO


El aislamiento en cultivo :
secreciones respiratorias
 Orina
 Heces
 córnea o heridas
tiene poca especificidad diagnóstica.




Habitualmente se necesita recurrir a técnicas invasivas:




fibrobroncoscopía con lavado broncoalveolar o punción aspirativa
transtorácica si la lesión pulmonar es periférica.

La biopsia es un método óptimo de diagnóstico pero a
menudo es difícil de realizar en los pacientes severamente
enfermos.
DIAGNÓSTICO:
• Cultivo: Sabouraud con antibióticos (gentamicina o
cloranfenicol) a30 °C
• Muestra clínica: Fluídos, esputos, o tejido
• Examen directo a 10% de KOH
• ABPA: Anticuerpos específicos de tipo IgG e IgE
• ELISA, para cuantificar IgE anti-Aspergillus en pacientes con
fibrosis quística
• Western-Blot

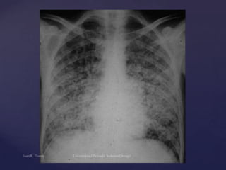
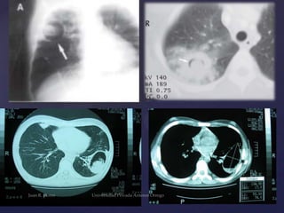
Espectro radiológico de la
infección por Aspergillus
Juan R. Flores
Universidad Privada Antenor
Orrego
DATOS
RADIOLOGICOS
Colonizante

Invasiva

Alérgica

•Masa sólida, redonda u oval
•Localizada en los lóbulos superiores, adyacente a la
pleura, y separada de la pared de la cavidad por un
espacio aéreo
•Forma y tamaño variable.

•Consolidaciones lobulares, segmentarias o
subsegmentarias, habitualmente múltiples

•Bronquiectasias en fases iniciales
•Opacidades tubulares multifocales relacionadas
con áreas de atelectasia e impactación mucoide.
TRATAMIENTO:
• Aspergilosis
- Corticoesteroides
- Itraconazol
• Aspergilomas:
- Resección quirúrgica
• Aspergilosis invasiva:
- Voriconazol
- Anfotericina B
- Itraconazol

Juan R. Flores
Universidad Privada Antenor
Orrego
Paciente
con
sospecha
o
inmunodeficiencia conocida con
clínica compatible a TBC; luego
de descartada asegurándose de
que
se
hayan
realizado
correctamente
lo
exámenes
diagnósticos, SOSPECHAR una
ASPERGILOSIS.

CONCLUSION
HISTOPLASMOSIS
HISTOPLASMOSIS

Agente Causal:

Histoplasma
capsulatum

Patogenia:
El hongo que se encuentra en la tierra y se disemina por la inhalación
de esporas, visitas a grutas o cuevas donde hay murcielagos, ya que
su guano es infectante.
Histoplasmosis
Periodo de incubación:
8-30 días
Forma infectante son los
micelos por tener las
microconidias (2-4um) y
las macroconidios, los
cuales llegan a los
bronquiolos terminales
y los alveolos.
El sitio primario de
infección es casi
siempre de
localización pulmonar


Histoplasma Capsulatum var. Capsulatum.



Colonias cremosas blanco
Reproducción asexuada por Bipartición en Micro/Macroconidias





Reproducción Sexuada (var. Ajellomyces)



Dimórfico (Moho en Ambiente/Levadura en humano)
Ubica en suelos con excremento de aves y murciélagos (ricos en N)



Factores de Riesgo: H4:1M








Agricultor, granjero, constructor, explorador, espeleólogos
Niño anciano

El SIDA es solo riesgo de infección sintomática.
PATOGENIA








Vía de infección = Inhalación de esporas

Conidias → espacios alveolares → Fago x Mø → cambio
a levaduras → transporte a SRE → Uso de Fe y ca para
proliferar → lisis → liberación → atraves de los
fagosomas va a los Ganglios linfaticos → Dispersa por la
sangre (hematogeno)
Factores de Virulencia
 Integrinas (unión a Macrófagos)
 Resistencia natural a ROS
 Producción de proteínas Catiónicas (alcaliniza pH
Fagolisosoma)
Factores hospedero
 Producción de NO (quelante de Fe)
 Citoquinas Th1 activadoras de Macrófagos (IL-12, TNFα e INFγ)
ESPECTRO CLÍNICO
1.
2.
3.
4.

Histoplasmosis Aguda Primaria ó Epidémica
Histoplasmosis Diseminada Progresiva
Histoplasmosis Pulmonar Crónica
Histoplasmoma

Indicador
de SIDA
Dx diferencial: TBC, linfomas,
Neoplasias
1. Histoplasmosis Aguda
Primaria ó Epidémica


Asintomática en IC.
 Detección por intradermorreacción (histoplasmina) y calcificaciones
(50-80%)








Sintomática en extremos de la vida e ID.
 Cuadro tipo influenza
 Malestar subesternal (organomegalia)
 Infiltrados neumónicos que regresan en 2-3meses, luego calcifican
(Perdigones)
Diseminación hematógena común
Eritema nodoso y multiforme en mujeres jóvenes
Pericarditis (severidad – Raza negra)
2. Histoplasmosis Diseminada
Progresiva


Diseminación de un foco primario o reactivación foco latente



Espectro clínico: Lesiones focales progreso lento a formas
fulminantes (insf. Respiratoria, choque séptico, CID, FMO).












General: Perdida de peso, malestar general, febrícula.
Orofaringe: lesiones ulceradas infiltrativas granulomatosas.
Vísceras: Organomegalias, ulceras en ileon y colon.
Hemático: Pancitopenia leve (infección directa a MO)
Suprarrenales (80%): potencial insuficiencia.
Pulmón: Neumonía Intersticial
SNC: Meningitis pseudoTBC.
Endocarditis: Vegetaciones embolicas.

Factor de Riesgo principal: Conteo de CD4+ <200 (E3)


Tambien extremos de la vida, uso de corticosteroides o citostaticos.
3. Histoplasmosis Pulmonar
Crónica
Exclusiva de pacientes con neumopatía estructural
(EPOC, enfisema bulloso)
 Neumonía intersticial apical → Infartos Tisulares →
Cavitación
 Clínica
tuberculoide leve con dolor torácico
persistente.
 Avanza lentamente a SDRA.
 Grosor de pared → Actividad Micótica
 2mm limite de recuperación

4.

Histoplasmoma

Nódulo calcificado con zona central necrótica
ubicado en la periferia pulmonar; con una fibrosis
excéntrica rica en colágeno y calcio. De crecimiento
progresivo
 Dx Diferencial con Neoplasia lo que lleva a
resecarlos Cx.


Fiebre, perdida de peso, astenia,
leucocitosis neutrofílica, tos crónica,
con expectoración purulenta o
hemoptoica
Histoplasmosis

Lesiones eritematosas
infiltrativas,
nodulares, ulceradas
Histoplasmosis
diseminada
SÍNTOMAS
Los síntomas dependen del síndrome clínico subyacente:

• Histoplasmosis pulmonar asintomática aguda:
no se presentan síntomas.
• Histoplasmosis pulmonar sintomática aguda:
Fiebre, escalofríos, tos, dolor torácico al inspirar
• Histoplasmosis pulmonar crónica:
Tos, dificultad respiratoria, dolor torácico, sudoración,
fiebre y hemoptisis
EXAMENES DIAGNOSTICOS



Directo: KOH al 10%

Difícil de observar por pequeño tamaño, en ocasiones visible dentro de PMN y Mø.







Intradermorreacción con Histoplasmina (pronostico)
Cultivo (Crecimiento lento -3 a 4 sem-, sobrepoblación flora, gran contaminación
amb.)
Histopatología
ELISA (Medición de Ac – Respuesta al tratamiento)
Serología (Antígeno en suero y orina)
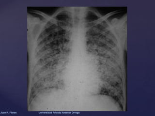
Histoplasmosis
Infiltrados pulmonares
bilaterales en los
campos medios,
superpuestos a los
hilios.
Tratamiento
Anfotericina
esteroides

B

0.5-0.7

mg/kg

con
PARACOCCIDIOIDOMICOSIS
Paracoccidioidomicosis
Presentación Pulmonar


Paracoccidioides brasiliensis
Blastomicosis Sudamericana



Dimorfo




Moho ambiental, colonias blancas, hifas septadas con
clami/artro/aleurioconidias
Levadura en humano, colonia cerebriforme crema, blastoconidias
ovales producto de la gemación (Se disponen en forma de “Timón
de Barco”)

Mayor incidencia entre 30-60 años
 Relación H50:1M en América Latina
 70% población infectada es agricultora.
 Reservorio: Armadillo nueve bandas (Dasypus novemcinctus)
 Restringida a Suramérica (80% Brasil).
 No hay trasmisión persona a persona

PATOGÉNESIS:
• La infección primaria suele ser asintomática y autolimitada y
sólo a veces clínicamente evidente.
Puede controlarse
localmente o propagarse vía hematógena a cualquier órgano,
en particular al SNC. Incide con mayor frecuencia en
pacientes con: IRC, receptores de trasplantes renales,
sarcoidosis, linfomas y, sobre todo, SIDA.
• Llega a los alvéolos pulmonares se desencadena una
respuesta de la inmunidad celular y humoral del huésped, que
en condiciones normales es suficiente para controlar la
infección. Progresa hacia el pulmón y se disemina por vía
hematógena hasta el sistema nervioso central (SNC),
produciendo cuadros de meningitis o meningoencefalitis.
PATOGENIA


Vía de infección = Inhalación

Formación complejo pulmonar primario (nódulos
solitarios)
 Formación de Ac con poca acción antimicótica
 Macrófagos principales actores en la respuesta
inmune






Necesitan activación por citoqinas Th1 (IL-2 y INFγ)

La 17- β-estradriol inhibe la transición de Moho
a levadura en el alveolo.
ASPECTO CLÍNICO
Infección por Paracoccidioides brasiliensis
2. Paracoccidioidomicosis de tipo juvenil
(aguda)
3. Paracoccidioidomicosis del adulto
(crónico)
1. Pulmonar
2. Extrapulmonar
4. Paracoccidioidomicosis residual
1.
MANIFESTACIONES CLÍNICAS:
Las manifestaciones clínicas más frecuentes se deben a la
afectación del SNC, el pulmón y la piel.
• Aparato respiratorio. La infección pulmonar primaria es en la
mayoría asintomática. Los síntomas suelen ser inespecíficos o poco
relevantes.
En pacientes con SIDA la infección pulmonar puede seguir un curso
fulminante, con disnea intensa, SDRA y patrón intersticial bilateral.

• Afectación cutánea y otras: casi siempre traducen infección
diseminada. Pueden preceder a los síntomas de meningitis, por lo
que su reconocimiento puede ayudar al diagnóstico temprano de la
enfermedad. La localización más típica es en cabeza y el cuello:
pápulas, pústulas o úlceras. En los pacientes con SIDA se han
descrito lesiones similares al molusco contagioso o herpetiformes.
1. Infección por
Paracoccidioides brasiliensis
Personas Sanas
Residentes en zonas
endémicas
Prueba de
intradermorreacción
cutánea positiva para
hipersensibilidad retardada
con paracoccidioidina

2. Paracoccidioidomicosis de tipo
juvenil (aguda)
Menores d 25 años
 Clínica:
 Compromiso del estado general, fiebre
alta, anemia, perdida de peso.
 Organomegalias.
 Adenomegalias hiliares, infiltrados
basales o diseminados tipo milliar.
 Diseminación a Piel, Hueso, Riñón o
meninges

3. Paracoccidioidomicosis del adulto (crónico)





1/3 afección unifocal (solo pulmón) = Indiferenciable de TBC
Clínica tuberculoide








Disociación clínico-radiológica

AP de infección respiratoria Crónica (fibrosis pulmonar 60%- → cor-pulmonale)
Nódulos (compromiso alveolar), infiltrados bilaterales,
Calcificaciones, Cavitaciones.
Dx: Directo Esputo e histopatología de biopsia.
3. Paracoccidioidomicosis del adulto (crónico)
2/3 afección multifocal (lesiones a distancia).
 Mayor sintomatología















Mucosa oral: disfonía, disfagia, odinofagia (ulceras destructivas o
vegetantes.)
Piel: en Cara por diseminación, contiguidad o fistulización
ganglionar (ulceras, verrucoides, nodulares)
Ganglios: Megalias, ppal/ en niños y en supraclaviculares, se
abscedan y fistulizan.
Adrenales: 50% afectados, 30% insf.; lesiones caseosas
corticomedular (= TBC)
SNC: afeccion meningea o pseudotumoral en corteza o cerebelo.
Vascular: trombosis “Leriche” (aorta ascendente o iliacas)

Dx Diferencial: TBC, sífilis, leishmaniosis,
neoplasias ganglionares, tumores solidos.
4.

Paracoccidioidomicosis
residual

Fiebre, perdida de peso, astenia,
leucocitosis neutrofílica, tos crónica, con
expectoración purulenta o hemoptoica



Fibrosis Histicas
Cor-pulmonale
 Dis/afonía
 Microstomía
 Estenosis glótica (Muerte)

EXAMENES DIAGNOSTICOS


Directo: KOH al 10%

Fácil visualización (80-90%) “TIMÓN DE BARCO”





Intradermorreacción con Paracoccidioidina (pronostico)
Cultivo
Histopatología (Gomori, H-E)
PCR-ELISA (Dx y respuesta al Tto)
Puede ser necesario un ciclo inicial con
Anfotericina B en pacientes con enfermedad
grave

Tratamiento
TRATAMIENTO
• Anfotericina B 0,3 mg/Kg./día IV sola o con fluorcitosina, 150
mg/Kg./día V.O dividido en 4 tomas, durante 6 semanas o hasta
alcanzar una dosis total de 1,5 g de anfotericina B.
• En los pacientes con SIDA, la fluorocitosina puede ser mal
tolerada debido a su toxicidad hematológica, por lo que suele
utilizarse la monoterapia con anfotericina B a 0,6-1 mg/Kg./día. El
tratamiento se continúa hasta completar 8 semanas o 3 - 4
semanas después del último cultivo negativo.
• Fluconazol 400 mg/día, se aconseja para los pacientes menos
graves.
• En SIDA es necesario el Tto. de mantenimiento. La elección es el
fluconazol 200 mg/día.
CANDIDIASIS
• Micosis sistémica causada por hongos del género
Candida, cuya especie patógena más frecuente en el
hombre es C. albicans.
• Factores de riesgo: edad (lactantes y ancianos), estados
de inmunosupresión.
• Flora normal de piel y mucosas.
ETIOLOGÍA: En el hombre, la mayoría de los casos se
debe a Cándida albicans.
PATOGÉNESIS:
Si las levaduras logran penetrar la dermis, la defensa queda
primordialmente a cargo de los neutrófilos, los que pueden
fagocitarlas y destruirlas y también, dañar los seudomicelios, al
menos en personas normales.

FISIOPATOLOGÍA:
- Desequilibrio en flora
- Enfermedades que influyen en la respuesta inmune.
• Pulmones: nódulos blancos múltiples, distribuidos al
azar, de diámetro variable y rodeados por un borde
hemorrágico. Compuestos por una zona central de
parénquima
necrótico
con
microorganismos
entremezclados, a menudo rodeados por hemorragia
intralveolar.
CUADRO CLÍNICO:
• Candidosis Broncopulmonar: Tos, expectoración
purulenta, mucoide o gelatinosa, hipersensibilidad
inmunológica.

• Candidosis Pulmonar: Aguda y grave. Hay ataque al
estado general, tos, expectoración mucoide y
sanguinolenta, disnea, dolor torácico y febrícula
nocturna.
Juan R. Flores

Universidad Privada Antenor Orrego
DIAGNÓSTICO
• Examen directo
• Cultivo
• Serología:
fijación
de
complemento,
inmunofluorescencia, precipitación, ELISA

TRATAMIENTO:
• Anfotericina B: 0.25 a 0.75 mg/Kg.
CANDIDIASIS
• Micosis sistémica causada por hongos del género
Candida, cuya especie patógena más frecuente en el
hombre es C. albicans.
• Factores de riesgo: edad (lactantes y ancianos), estados
de inmunosupresión.
• Flora normal de piel y mucosas.
ETIOLOGÍA: En el hombre, la mayoría de los casos se
debe a Cándida albicans.
PATOGÉNESIS:
Si las levaduras logran penetrar la dermis, la defensa queda
primordialmente a cargo de los neutrófilos, los que pueden
fagocitarlas y destruirlas y también, dañar los seudomicelios, al
menos en personas normales.

FISIOPATOLOGÍA:
- Desequilibrio en flora
- Enfermedades que influyen en la respuesta inmune.
• Pulmones: nódulos blancos múltiples, distribuidos al
azar, de diámetro variable y rodeados por un borde
hemorrágico. Compuestos por una zona central de
parénquima
necrótico
con
microorganismos
entremezclados, a menudo rodeados por hemorragia
intralveolar.
CUADRO CLÍNICO:
• Candidosis Broncopulmonar: Tos, expectoración
purulenta, mucoide o gelatinosa, hipersensibilidad
inmunológica.

• Candidosis Pulmonar: Aguda y grave. Hay ataque al
estado general, tos, expectoración mucoide y
sanguinolenta, disnea, dolor torácico y febrícula
nocturna.
DIAGNÓSTICO
• Examen directo
• Cultivo
• Serología:
fijación
de
complemento,
inmunofluorescencia, precipitación, ELISA

TRATAMIENTO:
• Anfotericina B: 0.25 a 0.75 mg/Kg.
GRACIAS

Micosis pulmonar

  • 1.
  • 2.
  • 3.
    GENERALIDADES: Grupo de enfermedadesdel pulmón debidas de un modo primario o secundario a la infección por hongos. INCIDENCIA: 3 - 56 % en grupos de riesgo • • • • Aspergillus 57% Histoplasmosis 21% Candida 14% Otras 8% - Cryptococcus - Blastomicosis - Paracoccidioidomicosis Las Micosis pulmonares primarias se caracterizan por la infección de los pulmones como primer punto de entrada de ciertos hongos, a través de la respiración.
  • 4.
  • 5.
    Aspergilosis  Etiología Aspergillus fumigatus 85% Aspergillusflavus 5-10% Aspergillus niger 2-3% Aspergillus terreus 2-3% Aspergillus clavatus Aspergillus glaucus
  • 6.
    A. FUMIGATUS: Mayor casosde A. invasora Mayor caso de sind. Alergicos A. FLAVUS: > frecuencia en hospitales > caso de sinusitis, inf cutanea y queratitis A. FUMIGATUS Y A. NIGER: > frecuencia colonizan las vias respiratorias y producen otitis externa
  • 7.
    ASPERGILOSIS Moho filamentoso, hifashialinas tabicadas y ramificadas  Reproducción asexuada por Conidias.  Crece a menudo en vegetales en descomposición, granos de cereal, materia orgánica en descomposición, abono, plantas, tierra, estiercol, ropa de cama.  Contagio forma aerea; en filtros de aire, paredes, techos húmedos, polvo, alimentos, cortinas. 
  • 8.
    • Principal micosis pulmonar inmunocompetentes. • Afectaprincipalmente inmunodeprimidos. en Las afecciones más frecuentes ocurren a nivel del pulmón y son: - Aspergilosis colonizante (aspergiloma) Aspergilosis invasiva Aspergilosis crónica necrotizante Aspergilosis broncopulmonar alérgica. ETIOLOGÍA: Los mohos del género Aspergillus (La gran mayoría de los casos son producidos por A. fumigatus y A. flavus Juan R. Flores Universidad Privada Antenor Orrego
  • 9.
    PATOGENIA La enfermedad seproduce como consecuencia de la inhalación de esporas contenidas en el aire, por lo que los senos paranasales y los pulmones son los sitios en que asienta primariamente la enfermedad con mayor frecuencia.
  • 10.
    También pueden invadirel oido externo y la piel traumatizada. En inmunocompetentes pueden actuar como un potente alergeno o colonizar bronquios o cavidades preexistentes, donde luego se desarrollan.
  • 11.
    • Sin embrago,es necesario que el hospedero tenga alteraciones fisiológicas, anatómicas o inmunológicas que permitan la colonización de sus tejidos o la inducción del estado de sensibilización alérgica iniciando un sindrome alergico. Juan R. Flores Universidad Privada Antenor Orrego
  • 12.
    CUADRO CLINICO ENFERMEDAD PULMONAR 1) Aspergilosis alérgicadonde el agente actúa como alergeno. 2) Aspergilosis por colonización de cavidades (aspergiloma). 3) Enfermedad invasiva, la que puede ser aguda o crónica: Aspergilosis necrotizante crónica, aspergilosis invasiva aguda.
  • 13.
    Aspergilosis Broncopulmonar alérgica Se observaparticularmente en personas atópicas que desarrollan reacciones alérgicas de asma o rinitis. Produce Hipersensibilidad tipo 1 El mucus puede obstruir la vía aérea y causar atelectasia. A menudo la enfermedad evoluciona a la constitución de bronquiectasias y fibrosis.
  • 14.
    Aspergilosis alérgica  Los síntomasmás frecuentes son:      Fiebre asma rebelde tos productiva Malestar pérdida de peso.  La radiografía muestra desde pequeños y fugaces infiltrados uni o bilaterales, ganglios hiliares o paratraqueales, hasta consolidaciones crónicas.  Se puede encontrar un aumento de la concentracion serica de Ig E > 1000 UI/ml
  • 15.
    Diagnostico: Criterios Mayores:  Asma Eosinofilia Sanguínea o Pulmonar  Expectoración  Infiltrados Recurrentes  Respuesta a pruebas de Hipersensibilidad tipo I y III Criterios Menores  Aspergillus en esputo  Ac anti IgE e IgG  Fiebre recurrente, tos  Bronquiectasias proximales
  • 16.
    Aspergilosis Pulmonar cronica  Invasión acavidades ya formadas -lóbulos superiores (CA, TBC, bulas enfisematosas, abscesos piógenos, Quistes, FQ)  Masa redondeada móvil con signo clásico del cascabel (medialuna aérea).  Clínica: Generalmente asintomático. Febrícula, perdida de peso, disnea, tos crónica, expectoración mucopurulenta. Hemoptisis. Puede haber lisis espontanea en un 10% de los pacientes.
  • 17.
    La evolución eshacia la cavitación y en la mitad de los casos se constituyen bolas o pelotas fúngicas dentro de las cavidades pulmonares necróticas. En esta etapa es difícil distinguir esta forma de la anteriormente descrita (aspergiloma en cavidad preformada).
  • 18.
      Es una formasemiinvasiva. Se observa en personas de edad avanzada con enfermedad pulmonar subyacente como:      tuberculosis inactiva EPOC Bronquiectasias Sarcoidosis neumoconiosis Muchos de esas personas tienen además un compromiso de su estado inmune por ser alcoholistas, diabéticos, tomar corticoides por períodos prolongados, o estar infectados por el VIH.  La sintomatología es inespecífica siendo los síntomas más frecuentes:      Tos Malestar pérdida de peso fiebre
  • 19.
    Aspergiloma Es una pelotafúngica que resulta de la colonización y desarrollo del hongo dentro de cavidades preexistentes (cavidades tuberculosas, bronquiectasias, quistes, etc).  En inmunocompetentes el aspergiloma se observa en 10 a 15% de pacientes con enfermedad cavilaría.  Más de 25% de los casos tienen hemoptisis masiva.
  • 20.
    Aspergilosis pulmonar invasiva   Aguda: Subaguda: <1 mes 2 -3 meses Es una infección fúngica necrotizante que ocurren en pacientes inmunodeprimidos. Según el grado de deterioro inmunitario puede adoptar la forma crónica o aguda. Como el germen tiene un importante tropismo vascular ocasiona trombosis y necrosis isquémica con la consecuente formación de cavidades.
  • 21.
    SINTOMAS: Fiebre Tos (a vecescon esputo) Molestias torácicas inespecíficas Hemoptisis Disnea. La fiebre usualmente responde aun tto de glucocorticoides pero la enfermedad Progresa.
  • 22.
  • 23.
    CEREBRAL: Abscesos en pacientes, infarto hemorragico. Convulsiones, cambio deanimo, alteracion mental, Granulomas cerebral. SINUSISTIS: Sinusitis alérgica crónica con poliposis recurrente sin invasión tisular. S. Invasora fulminante: Sinusitis en Neutropénicos con TMO, con fiebre, inflamación orbital, dolor facial y congestión nasal. (Diseminación a Cerebro) S. Invasora crónica: Sinusitis en DM, VIH o en tto esteroides, invasión etmoides, ósea con perdida del olfato, con cefalea crónica y diplopía. CUTANEA: ppalmente posCx, OSEA: Asociada a Tx directo, Cx, uso de drogas IV o diseminación secundaria, lesiones osteolíticas a los Rx. OCULAR: Invasión desde senos infectados por una sinusitis, Endoftalmitis invasora sea posCx o diseminada. Queratitis posTx con vegetales. Tx en ptes ID, Similares al Ectima Gangrenoso con escaras oscuras. CV: En ptes con trasplantes de organos sólidos, debutan con endocarditis, miocarditis, pericarditis, infecciones valvulares protesicas, mediastinitis.
  • 24.
    DIAGNOSTICO  El aislamiento encultivo : secreciones respiratorias  Orina  Heces  córnea o heridas tiene poca especificidad diagnóstica.   Habitualmente se necesita recurrir a técnicas invasivas:   fibrobroncoscopía con lavado broncoalveolar o punción aspirativa transtorácica si la lesión pulmonar es periférica. La biopsia es un método óptimo de diagnóstico pero a menudo es difícil de realizar en los pacientes severamente enfermos.
  • 25.
    DIAGNÓSTICO: • Cultivo: Sabouraudcon antibióticos (gentamicina o cloranfenicol) a30 °C • Muestra clínica: Fluídos, esputos, o tejido • Examen directo a 10% de KOH • ABPA: Anticuerpos específicos de tipo IgG e IgE • ELISA, para cuantificar IgE anti-Aspergillus en pacientes con fibrosis quística • Western-Blot Espectro radiológico de la infección por Aspergillus Juan R. Flores Universidad Privada Antenor Orrego
  • 26.
    DATOS RADIOLOGICOS Colonizante Invasiva Alérgica •Masa sólida, redondau oval •Localizada en los lóbulos superiores, adyacente a la pleura, y separada de la pared de la cavidad por un espacio aéreo •Forma y tamaño variable. •Consolidaciones lobulares, segmentarias o subsegmentarias, habitualmente múltiples •Bronquiectasias en fases iniciales •Opacidades tubulares multifocales relacionadas con áreas de atelectasia e impactación mucoide.
  • 29.
    TRATAMIENTO: • Aspergilosis - Corticoesteroides -Itraconazol • Aspergilomas: - Resección quirúrgica • Aspergilosis invasiva: - Voriconazol - Anfotericina B - Itraconazol Juan R. Flores Universidad Privada Antenor Orrego
  • 30.
    Paciente con sospecha o inmunodeficiencia conocida con clínicacompatible a TBC; luego de descartada asegurándose de que se hayan realizado correctamente lo exámenes diagnósticos, SOSPECHAR una ASPERGILOSIS. CONCLUSION
  • 31.
  • 32.
    HISTOPLASMOSIS Agente Causal: Histoplasma capsulatum Patogenia: El hongoque se encuentra en la tierra y se disemina por la inhalación de esporas, visitas a grutas o cuevas donde hay murcielagos, ya que su guano es infectante.
  • 33.
    Histoplasmosis Periodo de incubación: 8-30días Forma infectante son los micelos por tener las microconidias (2-4um) y las macroconidios, los cuales llegan a los bronquiolos terminales y los alveolos. El sitio primario de infección es casi siempre de localización pulmonar
  • 34.
     Histoplasma Capsulatum var.Capsulatum.  Colonias cremosas blanco Reproducción asexuada por Bipartición en Micro/Macroconidias   Reproducción Sexuada (var. Ajellomyces)  Dimórfico (Moho en Ambiente/Levadura en humano) Ubica en suelos con excremento de aves y murciélagos (ricos en N)  Factores de Riesgo: H4:1M     Agricultor, granjero, constructor, explorador, espeleólogos Niño anciano El SIDA es solo riesgo de infección sintomática.
  • 35.
    PATOGENIA     Vía de infección= Inhalación de esporas Conidias → espacios alveolares → Fago x Mø → cambio a levaduras → transporte a SRE → Uso de Fe y ca para proliferar → lisis → liberación → atraves de los fagosomas va a los Ganglios linfaticos → Dispersa por la sangre (hematogeno) Factores de Virulencia  Integrinas (unión a Macrófagos)  Resistencia natural a ROS  Producción de proteínas Catiónicas (alcaliniza pH Fagolisosoma) Factores hospedero  Producción de NO (quelante de Fe)  Citoquinas Th1 activadoras de Macrófagos (IL-12, TNFα e INFγ)
  • 36.
    ESPECTRO CLÍNICO 1. 2. 3. 4. Histoplasmosis AgudaPrimaria ó Epidémica Histoplasmosis Diseminada Progresiva Histoplasmosis Pulmonar Crónica Histoplasmoma Indicador de SIDA Dx diferencial: TBC, linfomas, Neoplasias
  • 37.
    1. Histoplasmosis Aguda Primariaó Epidémica  Asintomática en IC.  Detección por intradermorreacción (histoplasmina) y calcificaciones (50-80%)     Sintomática en extremos de la vida e ID.  Cuadro tipo influenza  Malestar subesternal (organomegalia)  Infiltrados neumónicos que regresan en 2-3meses, luego calcifican (Perdigones) Diseminación hematógena común Eritema nodoso y multiforme en mujeres jóvenes Pericarditis (severidad – Raza negra)
  • 38.
    2. Histoplasmosis Diseminada Progresiva  Diseminaciónde un foco primario o reactivación foco latente  Espectro clínico: Lesiones focales progreso lento a formas fulminantes (insf. Respiratoria, choque séptico, CID, FMO).          General: Perdida de peso, malestar general, febrícula. Orofaringe: lesiones ulceradas infiltrativas granulomatosas. Vísceras: Organomegalias, ulceras en ileon y colon. Hemático: Pancitopenia leve (infección directa a MO) Suprarrenales (80%): potencial insuficiencia. Pulmón: Neumonía Intersticial SNC: Meningitis pseudoTBC. Endocarditis: Vegetaciones embolicas. Factor de Riesgo principal: Conteo de CD4+ <200 (E3)  Tambien extremos de la vida, uso de corticosteroides o citostaticos.
  • 39.
    3. Histoplasmosis Pulmonar Crónica Exclusivade pacientes con neumopatía estructural (EPOC, enfisema bulloso)  Neumonía intersticial apical → Infartos Tisulares → Cavitación  Clínica tuberculoide leve con dolor torácico persistente.  Avanza lentamente a SDRA.  Grosor de pared → Actividad Micótica  2mm limite de recuperación 
  • 40.
    4. Histoplasmoma Nódulo calcificado conzona central necrótica ubicado en la periferia pulmonar; con una fibrosis excéntrica rica en colágeno y calcio. De crecimiento progresivo  Dx Diferencial con Neoplasia lo que lleva a resecarlos Cx.  Fiebre, perdida de peso, astenia, leucocitosis neutrofílica, tos crónica, con expectoración purulenta o hemoptoica
  • 41.
  • 42.
    SÍNTOMAS Los síntomas dependendel síndrome clínico subyacente: • Histoplasmosis pulmonar asintomática aguda: no se presentan síntomas. • Histoplasmosis pulmonar sintomática aguda: Fiebre, escalofríos, tos, dolor torácico al inspirar • Histoplasmosis pulmonar crónica: Tos, dificultad respiratoria, dolor torácico, sudoración, fiebre y hemoptisis
  • 43.
    EXAMENES DIAGNOSTICOS  Directo: KOHal 10% Difícil de observar por pequeño tamaño, en ocasiones visible dentro de PMN y Mø.      Intradermorreacción con Histoplasmina (pronostico) Cultivo (Crecimiento lento -3 a 4 sem-, sobrepoblación flora, gran contaminación amb.) Histopatología ELISA (Medición de Ac – Respuesta al tratamiento) Serología (Antígeno en suero y orina)
  • 44.
    Histoplasmosis Infiltrados pulmonares bilaterales enlos campos medios, superpuestos a los hilios.
  • 45.
  • 46.
  • 47.
  • 48.
     Paracoccidioides brasiliensis Blastomicosis Sudamericana  Dimorfo   Mohoambiental, colonias blancas, hifas septadas con clami/artro/aleurioconidias Levadura en humano, colonia cerebriforme crema, blastoconidias ovales producto de la gemación (Se disponen en forma de “Timón de Barco”) Mayor incidencia entre 30-60 años  Relación H50:1M en América Latina  70% población infectada es agricultora.  Reservorio: Armadillo nueve bandas (Dasypus novemcinctus)  Restringida a Suramérica (80% Brasil).  No hay trasmisión persona a persona 
  • 49.
    PATOGÉNESIS: • La infecciónprimaria suele ser asintomática y autolimitada y sólo a veces clínicamente evidente. Puede controlarse localmente o propagarse vía hematógena a cualquier órgano, en particular al SNC. Incide con mayor frecuencia en pacientes con: IRC, receptores de trasplantes renales, sarcoidosis, linfomas y, sobre todo, SIDA. • Llega a los alvéolos pulmonares se desencadena una respuesta de la inmunidad celular y humoral del huésped, que en condiciones normales es suficiente para controlar la infección. Progresa hacia el pulmón y se disemina por vía hematógena hasta el sistema nervioso central (SNC), produciendo cuadros de meningitis o meningoencefalitis.
  • 50.
    PATOGENIA  Vía de infección= Inhalación Formación complejo pulmonar primario (nódulos solitarios)  Formación de Ac con poca acción antimicótica  Macrófagos principales actores en la respuesta inmune    Necesitan activación por citoqinas Th1 (IL-2 y INFγ) La 17- β-estradriol inhibe la transición de Moho a levadura en el alveolo.
  • 51.
    ASPECTO CLÍNICO Infección porParacoccidioides brasiliensis 2. Paracoccidioidomicosis de tipo juvenil (aguda) 3. Paracoccidioidomicosis del adulto (crónico) 1. Pulmonar 2. Extrapulmonar 4. Paracoccidioidomicosis residual 1.
  • 52.
    MANIFESTACIONES CLÍNICAS: Las manifestacionesclínicas más frecuentes se deben a la afectación del SNC, el pulmón y la piel. • Aparato respiratorio. La infección pulmonar primaria es en la mayoría asintomática. Los síntomas suelen ser inespecíficos o poco relevantes. En pacientes con SIDA la infección pulmonar puede seguir un curso fulminante, con disnea intensa, SDRA y patrón intersticial bilateral. • Afectación cutánea y otras: casi siempre traducen infección diseminada. Pueden preceder a los síntomas de meningitis, por lo que su reconocimiento puede ayudar al diagnóstico temprano de la enfermedad. La localización más típica es en cabeza y el cuello: pápulas, pústulas o úlceras. En los pacientes con SIDA se han descrito lesiones similares al molusco contagioso o herpetiformes.
  • 53.
    1. Infección por Paracoccidioidesbrasiliensis Personas Sanas Residentes en zonas endémicas Prueba de intradermorreacción cutánea positiva para hipersensibilidad retardada con paracoccidioidina 
  • 54.
    2. Paracoccidioidomicosis detipo juvenil (aguda) Menores d 25 años  Clínica:  Compromiso del estado general, fiebre alta, anemia, perdida de peso.  Organomegalias.  Adenomegalias hiliares, infiltrados basales o diseminados tipo milliar.  Diseminación a Piel, Hueso, Riñón o meninges 
  • 55.
    3. Paracoccidioidomicosis deladulto (crónico)   1/3 afección unifocal (solo pulmón) = Indiferenciable de TBC Clínica tuberculoide     Disociación clínico-radiológica AP de infección respiratoria Crónica (fibrosis pulmonar 60%- → cor-pulmonale) Nódulos (compromiso alveolar), infiltrados bilaterales, Calcificaciones, Cavitaciones. Dx: Directo Esputo e histopatología de biopsia.
  • 56.
    3. Paracoccidioidomicosis deladulto (crónico) 2/3 afección multifocal (lesiones a distancia).  Mayor sintomatología         Mucosa oral: disfonía, disfagia, odinofagia (ulceras destructivas o vegetantes.) Piel: en Cara por diseminación, contiguidad o fistulización ganglionar (ulceras, verrucoides, nodulares) Ganglios: Megalias, ppal/ en niños y en supraclaviculares, se abscedan y fistulizan. Adrenales: 50% afectados, 30% insf.; lesiones caseosas corticomedular (= TBC) SNC: afeccion meningea o pseudotumoral en corteza o cerebelo. Vascular: trombosis “Leriche” (aorta ascendente o iliacas) Dx Diferencial: TBC, sífilis, leishmaniosis, neoplasias ganglionares, tumores solidos.
  • 57.
    4. Paracoccidioidomicosis residual Fiebre, perdida depeso, astenia, leucocitosis neutrofílica, tos crónica, con expectoración purulenta o hemoptoica  Fibrosis Histicas Cor-pulmonale  Dis/afonía  Microstomía  Estenosis glótica (Muerte) 
  • 58.
    EXAMENES DIAGNOSTICOS  Directo: KOHal 10% Fácil visualización (80-90%) “TIMÓN DE BARCO”     Intradermorreacción con Paracoccidioidina (pronostico) Cultivo Histopatología (Gomori, H-E) PCR-ELISA (Dx y respuesta al Tto)
  • 59.
    Puede ser necesarioun ciclo inicial con Anfotericina B en pacientes con enfermedad grave Tratamiento
  • 60.
    TRATAMIENTO • Anfotericina B0,3 mg/Kg./día IV sola o con fluorcitosina, 150 mg/Kg./día V.O dividido en 4 tomas, durante 6 semanas o hasta alcanzar una dosis total de 1,5 g de anfotericina B. • En los pacientes con SIDA, la fluorocitosina puede ser mal tolerada debido a su toxicidad hematológica, por lo que suele utilizarse la monoterapia con anfotericina B a 0,6-1 mg/Kg./día. El tratamiento se continúa hasta completar 8 semanas o 3 - 4 semanas después del último cultivo negativo. • Fluconazol 400 mg/día, se aconseja para los pacientes menos graves. • En SIDA es necesario el Tto. de mantenimiento. La elección es el fluconazol 200 mg/día.
  • 61.
    CANDIDIASIS • Micosis sistémicacausada por hongos del género Candida, cuya especie patógena más frecuente en el hombre es C. albicans. • Factores de riesgo: edad (lactantes y ancianos), estados de inmunosupresión. • Flora normal de piel y mucosas. ETIOLOGÍA: En el hombre, la mayoría de los casos se debe a Cándida albicans.
  • 62.
    PATOGÉNESIS: Si las levaduraslogran penetrar la dermis, la defensa queda primordialmente a cargo de los neutrófilos, los que pueden fagocitarlas y destruirlas y también, dañar los seudomicelios, al menos en personas normales. FISIOPATOLOGÍA: - Desequilibrio en flora - Enfermedades que influyen en la respuesta inmune. • Pulmones: nódulos blancos múltiples, distribuidos al azar, de diámetro variable y rodeados por un borde hemorrágico. Compuestos por una zona central de parénquima necrótico con microorganismos entremezclados, a menudo rodeados por hemorragia intralveolar.
  • 63.
    CUADRO CLÍNICO: • CandidosisBroncopulmonar: Tos, expectoración purulenta, mucoide o gelatinosa, hipersensibilidad inmunológica. • Candidosis Pulmonar: Aguda y grave. Hay ataque al estado general, tos, expectoración mucoide y sanguinolenta, disnea, dolor torácico y febrícula nocturna.
  • 64.
    Juan R. Flores UniversidadPrivada Antenor Orrego
  • 65.
    DIAGNÓSTICO • Examen directo •Cultivo • Serología: fijación de complemento, inmunofluorescencia, precipitación, ELISA TRATAMIENTO: • Anfotericina B: 0.25 a 0.75 mg/Kg.
  • 66.
    CANDIDIASIS • Micosis sistémicacausada por hongos del género Candida, cuya especie patógena más frecuente en el hombre es C. albicans. • Factores de riesgo: edad (lactantes y ancianos), estados de inmunosupresión. • Flora normal de piel y mucosas. ETIOLOGÍA: En el hombre, la mayoría de los casos se debe a Cándida albicans.
  • 67.
    PATOGÉNESIS: Si las levaduraslogran penetrar la dermis, la defensa queda primordialmente a cargo de los neutrófilos, los que pueden fagocitarlas y destruirlas y también, dañar los seudomicelios, al menos en personas normales. FISIOPATOLOGÍA: - Desequilibrio en flora - Enfermedades que influyen en la respuesta inmune. • Pulmones: nódulos blancos múltiples, distribuidos al azar, de diámetro variable y rodeados por un borde hemorrágico. Compuestos por una zona central de parénquima necrótico con microorganismos entremezclados, a menudo rodeados por hemorragia intralveolar.
  • 68.
    CUADRO CLÍNICO: • CandidosisBroncopulmonar: Tos, expectoración purulenta, mucoide o gelatinosa, hipersensibilidad inmunológica. • Candidosis Pulmonar: Aguda y grave. Hay ataque al estado general, tos, expectoración mucoide y sanguinolenta, disnea, dolor torácico y febrícula nocturna.
  • 70.
    DIAGNÓSTICO • Examen directo •Cultivo • Serología: fijación de complemento, inmunofluorescencia, precipitación, ELISA TRATAMIENTO: • Anfotericina B: 0.25 a 0.75 mg/Kg.
  • 71.