Incrustar presentación
Descargado 35 veces


















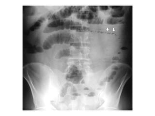
Este documento trata sobre la obstrucción intestinal, que ocurre cuando se detiene el movimiento del contenido a través del intestino. Describe las causas de la obstrucción, como cuerpos extraños, tumores, adherencias o volvulos. Explica la fisiopatología de la obstrucción, incluyendo la deshidratación, acidosis y choque. Finalmente, destaca los síntomas clave de dolor abdominal, distensión, náuseas y falta de emisiones, y los métodos de diagnóstico y tratamiento quirúrgico.
















