UNIVERSIDAD NACIONAL EXPERIMENTAL
“FRANCISCO DE MIRANDA”
ÁREA CIENCIAS DE LA SALUD
CLÍNICA QUIRURGICA: CIRUGIA
OBSTRUCCION INTESTINAL
Es una de las urgencias mas frecuentes y mas
graves de la patología abdominal.
Interrupción o disminución del tránsito
normal del contenido intestinal.
La obstrucción u oclusión intestinal constituye una
identidad patológica bien definida desencadenada por
una interferencia al flujo intestinal de gases, líquidos y
sólidos.
El intestino delgado es el sitio de obstrucción en
aproximadamente el 80% de los casos y el intestino
grueso en el aproximadamente el 20% de los casos.
EPIDEMIOLOGIA
• Es poco común en niños y adultos jóvenes,
aumenta su frecuencia en la edad media de la vida,
y alcanza su tope hacia los 50 años.
• Afecta a ambos sexos por igual, pero en su
conjunto es algo más frecuente en el varón.
• La tasa de mortalidad oscila en torno al 5-8 % de
los pacientes que sufren la afección
 Hay que saber diferenciar lo que es:
 OBSTRUCCIÓN SIMPLE: Es aquella donde única y
exclusivamente se encuentra perturbado el tránsito
intestinal .
 OBSTRUCCIÓN CON ESTRANGULACIÓN: Es donde,
además de estar perturbado el tránsito intestinal, se
encuentra comprometida la circulación sanguínea del
segmento intestinal afectado.
 Según el tiempo de duración: Aguda, Subaguda
Crónica.
 También puede ser:
 Obstrucción Intestinal Simple
 Obstrucción Intestinal estrangulada
 Obstrucción en asa cerrada
 Obstrucción Mecánica:
 Alta: Encima del ángulo de Treitz
 Baja: Debajo del ángulo de Treitz
FISIOPATOLOGIA
Puede ocurrir a cualquier nivel, pero el intestino delgado c
ve mas afectado por su luz estrecha.
El principio básico de la obstrucción es la distensión que
se produce por dos mecanismos:
1. El acumulo de gas por la proliferación bacteriana que
genera putrefacción y fermentación
2. El acumulo de líquido por la disminución de la
capacidad de absorción intestinal.
Obstrucción Intestinal Mecánica
 Compromete la luz intestinal en forma
parcial o completa.
 Es simple, dificulta el pasaje del contenido
intestinal.
 Obstrucción estrangulada, cuando
adicionalmente hay compromiso vascular.
 El 80% se localiza en el Intestino Delgado.
 El 20% en colon.
 Adulto se debe a adherencias consecutivas
a una cirugía abdominal previa.
Obstrucción Mecánica (Ileo Mecánico)
 Obstrucción Intraluminal
 Ileo biliar
 Bezoares
 Fecalomas
 Cuerpos extraños. Parásitos
 Obstrucción por alteración de paredes del TD
 Congénita: atresia, estenosis
 Adquirida: inflamación, hematoma, traumatismos, etc.
 Lesiones tumorales
Obstrucción Mecánica (Ileo Mecánico)
 Compresión externa o torceduras
 Hernias: interna y externa
 Adherencias
 Malrotación congénita
 Vólvulos
 Intususcepción
 Compresión por neoplasia de otros órganos
 Vascular
 Trombosis o embolia de la arteria y vena
mesentérica
Funcional : Íleo Paralítico
 Producto de una detención del peristaltismo normal
del intestino
 Parálisis de la motilidad intestinal
 Por cuadros inflamatorios intraabdominales
 Post operatorio
 Por Traumatismos abdominales
 Procesos retroperitoneales
 Procesos infecciosos y metabólicos sistémicos
 Hipocalcemia
Obstrucción con estrangulación
Alteración en la circulación del intestino
obstruido  obstrucción con estrangulación.
La oclusión en dos puntos de su longitud
produce un asa cerrada y obstruida.
Estrangulación  pérdida de sangre y plasma
en el segmento estrangulado  grave si
predomina la oclusión venosa.
Obstrucción con estrangulación
Causas:
Hernia Externa:
 Aproximadamente una tercera parte de los
casos se debe a encarcelación o
estrangulación de una hernia externa.
 Se deben palpar cuidadosamente las
diferentes zonas a nivel abdominal donde se
presentan las hernias.
 Una hernia encarcelada puede pasar
inadvertida en pacientes obesos.
Obstrucción con estrangulación
Bridas y Adherencias:
 Ya sean inflamatorias, congénitas o
neoplásicas.
 Presencias de cicatrices abdominales
traumatismos.
 Las bridas y adherencias son responsables
de una 1/3 parte de los casos.
Obstrucción con estrangulación
Hernias Internas:
 Orificio herniario se halla en la cavidad abdominal
y no hacen prominencia hacia el exterior.
 Se debe a malformaciones congénitas.
 Frecuente en Hiato de Winslow, orificio obturador,
fosita de treitz.
 Mala técnica de sutura del meso después de una
resección intestinal y anastomosis T – T.
Obstrucción del intestino grueso
 Vólvulo sigmoideo.
 Tumores malignos (carcinomas).
 Diverticulitis crónica.
 Hernias.
 Enfermedad de Crohn.
Vólvulo de Sigmoides:
 Torsión que se produce alrededor del eje
longitudinal del mesosigmoides.
CUADRO CLÍNICO
 Síntomas más importantes:
 Dolor abdominal
 Vómitos
 Distensión abdominal
 Estreñimiento y/o diarrea
CUADRO CLÍNICO
 Exploración Física:
 Identificación de cicatrices quirúrgicas (bridas
y adherencias).
 Hernias (región umbilical, inguinales y
crurales).
 Signos deshidratación (sequedad de mucosas,
fiebre, taquicardia e hipotensión).
 Exploración Física:
 Puede apreciarse distensión abdominal con ondas
peristálticas y ruidos intestinales audibles,
coincidiendo con episodios de dolor.
 Ruidos abdominales abolidos (en fases tardías).
 Signos peritoneales (dolor de rebote o defensa).
 Tacto rectal (detectar masas)
CUADRO CLÍNICO
Estrangulación:
 Dolor abdominal intenso y contínuo
 Postración
 Signo de rebote +
 Palpación de una masa abdominal
 Rectorragia
 Fiebre, Taquicardia
 Shock
SIGNOS Y SINTOMAS
Dolor:
Oclusión simple: lento, intensidad progresiva, o súbito y con
gran intensidad.
Oclusión mecánica simple: tipo cólico, con períodos de calma
entre los mismos.
Estrangulación o compromiso vascular: persistente, intenso,
mantenido o creciente.
Íleo paralítico: generalizado, pocas veces intenso.
Íleo paralítico por isquemia: dolor continuo, de intensidad
creciente.
SIGNOS Y SINTOMAS
Distensión Abdominal:
-Yeyuno proximal: puede faltar o limitarse a el estómago
(epigastrio prominente y tenso).
-Íleo: abombamiento de la porción central del abdomen.
-Colón: distensión generalizada, marcada en flancos.
Vómitos:
Primero es alimentario (alimentos semidigeridos y jugo
gástrico), después se hacen biliosos y finalmente
fecaloide.
SIGNOS Y SINTOMAS
-Deshidratación
-Fiebre
-Taquicardia
- Oliguria
EXAMEN FISICO
INSPECCIÓN: Paciente inquieto
Deshidratación
Distensión localizada o generalizada
En el íleo paralitico la distensión suele
ser generalizada
AUSCULTACIÓN: Ruidos intestinales aumentados
Signo de Claybrook
Silencio abdominal que sigue a las
crisis de peristaltismo
Abolición de los ruidos
Signo de CLAYBROOK: transmisión de los sonidos respiratorios y cardiacos al abdomen
por la presencia de líquido exudado o sangre; signo de rotura de una víscera abdominal
EXAMEN FISICO
PALPACIÓN:
Oclusión Simple: Hipersensibilidad localizada o difusa
del abdomen, sin contractura ni dolor de rebote
Estrangulación: Dolor localizado, contractura muscular,
y dolor de rebote. Masa palpable, dolorosa e indolora
TACTO RECTAL
PERCUSIÓN
Meteorismo localizado en región umbilical y flancos
En el íleo paralitico, meteorismo difuso
Signo de Von Wahl
DIAGNOSTICO
Se basa en la clínica, el examen físico y los hallazgos
radiológicos.
El laboratorio va a depender del tiempo que haya
ocurrido la obstrucción
Laboratorio
Al principio Normal o presentar leucocitosis con
neutrofilia.
fase mas tardía Hemoconcentración secundaria a la
deshidratación
Obstrucción alta Perdida de cloruros e hidrogeniones,
alcalosis metabólica
Obstrucción baja Tendencia a la acidosis metabólica y
depleción de electrólitos
Obstrucción prolongada Hiponatremia, hipopotasemia y muy
raro hipomagnesemia
Sufrimiento intestinal secundario Aumento de amilasa y LDH
Hemorragia intestinal o fallo renal Urea elevada
LABORATORIO
Hemograma:
 15,000 leucocitos con desviación
izquierda (estrangulación).
 Deshidratación grave (Hb, Hto ↑)
Electrolitos:
 ↓Sodio, cloro y potasio, bicarbonato,
creatinina y Hto (deshidratación).
ESTUDIOS RADIOLÓGICOS
 Los Rayos X son esenciales para confirmar el
diagnóstico clínico y definir con exactitud el
lugar de la obstrucción.
 La Rx. de abdomen: Revela grandes
cantidades de gas en el intestino y se puede
casi siempre determinar si es el ID o IG el
distendido o si ambos lo están.
 Las radiografías de abdomen simple y en
bipedestación muestra asas de intestino
distendido con un patrón en escalera y niveles
hidroáereos.
 El gas empieza a acumularse en el I.D. después de
3hrs. del inicio de la obstrucción.
 Transcurridas 12 horas, casi siempre el I.D. estará
distendido por gas y niveles líquidos ó ambos
(obstrucción sea simple).
 Signos de huellas digitales, pérdida del patrón
mucoso, gas dentro de la pared intestinal o ramas
intrahepáticas de la vena porta  estrangulación
de la obstrucción.
 Placa en bipedestación o en decúbito lateral, aire
libre intraperitoneal  perforación intestinal.
 Íleo paralítico  distensión gaseosa de
distribución uniforme en estómago, ID. y colon.
IMAGENOLOGÍA
Radiografía de abdomen
simple:
Sigmoides distendido
en forma de U
invertido o grano de
café
Radiografía de
obstrucción del
intestino delgado
Íleo: Radiografía de
la distensión
intestinal
ESTUDIOS RADIOLÓGICOS
Estudio del colon con enema de bario.
Bario no debe utilizarse si se sospecha
de perforación.
TAC abdominopélvica, identifican
neoplasias intestinales, enfermedad
inflamatoria intestinal
Imagenología
Enema baritado:
Bario se detiene
en la obstrucción
toma forma de
huso (deformación
en pico de pájaro)
no en paciente con
sospecha de
gangrena
VÓLVULO: Segmento de intestino
delgado con una zona de torsión .
Vólvulo Del Ciego
20 – 40 %
 90%: torsión axil del
segmento proximal
OBSTRUCCION INTESTINAL
Abdomen simple. Asas dilatadas
con nivel hidroaéreo. Distal se observa
collar de perlas (flechas).
Abdomen simple. Niveles hidroaéreos
y collar de perlas (flechas).
Figura 14. Intestino delgado. Obstrucción yeyunal por
brida.
 Ecografía: Uso controvertido por los artefactos
que ocasiona el gas intestinal. No obstante,
permite detectar asas edematizadas, patología
biliar (íleo biliar), presencia de líquido libre
peritoneal, abscesos así como patología renal
causa de íleo reflejo.
 Enema opaco: Debemos solicitarlo ante la
sospecha de una tumoración obstructiva o
estenosante para diagnosticarla y comprobar el
grado de obstrucción. En caso de vólvulo
intestinal puede ser diagnóstico y terapéutico.
 Colonoscopia: Menos útil por la difícil preparación
colónica del paciente, pudiendo ser terapéutica en
casos de vólvulos (sería el tratamiento de
urgencia, y si fracasa la desvolvulación o se
sospecha gangrena o perforación estará indicada
la cirugía urgente) o diagnóstica (neoplasias).
 TAC y RMN: Valoración de patologías no
diagnosticadas por los anteriores medios, pues
detectan dilatación diferenciada de asas,
participación o complicación peritoneal y
retroperitoneal.
DIAGNÓSTICO DIFERENCIAL
 Ileo paralítico
 Colecistitis aguda
 Apendicitis aguda
 Ulcera perforada
 Pancreatitis aguda
 Litiasis renal o ureteral
TRATAMIENTO
 Tratamiento Médico preoperatorio
 SNG
 Reposición de líquidos y electrólitos
Medida de la PVC y monitorización del GC
Tto. Alcalosis Metabólica: NaCl ó Lactato de
Ringer
Tto. Acidosis Metabólica: Bicarbonato de Na
 ATB de amplio espectro
 Vendajes elásticos en m.inferiores.
TRATAMIENTO
El tratamiento definitivo es Quirurgico
1. Aspiración nasogástrica continua.
2. Reposición hídrica y electrolítica y control ácido-
base.
3. Antibióticos de amplio espectro, si existen signos de
toxicidad sistémica.
4. Vigilancia estrecha del paciente con evaluación
clínica durante las primeras horas para detectar signos
de peritonismo o empeoramiento del estado general.
TRATAMIENTO QUIRÚRGICO
 Estrangulación ó ↑distensión abdominal en las Rx
durante el período de descomprensióm (sonda) 
CIRUGÍA.
 La obstrucción parcial persiste 48 – 72hrs. ó se
transforma en una obstrucción completa 
LAPAROTOMIA.
 Si la descompresión con SN no produce una mejoría
significativa clínica y radiológica 24 – 48 hrs. 
CIRUGÍA.
ATENCIÓN POSTOPERATORIA
 Líquidos y electrolitos
ATB
Descompresión gastrointestinal
Nutrición parenteral
COMPLICACIONES
-Neumonía por aspiración
- Atelectasias e infecciones broncopulmonares.
- Peritonitis.
- Fracaso multiorgánico como consecuencia del fracaso
hemodinámico.
- Estenosis intestinal postisquémica.
TRATAMIENTO
El tratamiento del íleo paralítico no es quirúrgico en
ningún caso
1. Corregir la causa desencadenante siempre que sea
posible
2. Tratamiento sintomático:
Dieta absoluta.
Aspiración nasogástrica.
Hidratación y corrección electrolítica.
Fármacos: metoclopropamida (10 mg/4-6h).

Abdomen Agudo Obstructivo

  • 1.
    UNIVERSIDAD NACIONAL EXPERIMENTAL “FRANCISCODE MIRANDA” ÁREA CIENCIAS DE LA SALUD CLÍNICA QUIRURGICA: CIRUGIA
  • 2.
    OBSTRUCCION INTESTINAL Es unade las urgencias mas frecuentes y mas graves de la patología abdominal. Interrupción o disminución del tránsito normal del contenido intestinal.
  • 3.
    La obstrucción uoclusión intestinal constituye una identidad patológica bien definida desencadenada por una interferencia al flujo intestinal de gases, líquidos y sólidos. El intestino delgado es el sitio de obstrucción en aproximadamente el 80% de los casos y el intestino grueso en el aproximadamente el 20% de los casos.
  • 4.
    EPIDEMIOLOGIA • Es pococomún en niños y adultos jóvenes, aumenta su frecuencia en la edad media de la vida, y alcanza su tope hacia los 50 años. • Afecta a ambos sexos por igual, pero en su conjunto es algo más frecuente en el varón. • La tasa de mortalidad oscila en torno al 5-8 % de los pacientes que sufren la afección
  • 8.
     Hay quesaber diferenciar lo que es:  OBSTRUCCIÓN SIMPLE: Es aquella donde única y exclusivamente se encuentra perturbado el tránsito intestinal .  OBSTRUCCIÓN CON ESTRANGULACIÓN: Es donde, además de estar perturbado el tránsito intestinal, se encuentra comprometida la circulación sanguínea del segmento intestinal afectado.
  • 9.
     Según eltiempo de duración: Aguda, Subaguda Crónica.  También puede ser:  Obstrucción Intestinal Simple  Obstrucción Intestinal estrangulada  Obstrucción en asa cerrada  Obstrucción Mecánica:  Alta: Encima del ángulo de Treitz  Baja: Debajo del ángulo de Treitz
  • 10.
    FISIOPATOLOGIA Puede ocurrir acualquier nivel, pero el intestino delgado c ve mas afectado por su luz estrecha. El principio básico de la obstrucción es la distensión que se produce por dos mecanismos: 1. El acumulo de gas por la proliferación bacteriana que genera putrefacción y fermentación 2. El acumulo de líquido por la disminución de la capacidad de absorción intestinal.
  • 12.
    Obstrucción Intestinal Mecánica Compromete la luz intestinal en forma parcial o completa.  Es simple, dificulta el pasaje del contenido intestinal.  Obstrucción estrangulada, cuando adicionalmente hay compromiso vascular.  El 80% se localiza en el Intestino Delgado.  El 20% en colon.  Adulto se debe a adherencias consecutivas a una cirugía abdominal previa.
  • 13.
    Obstrucción Mecánica (IleoMecánico)  Obstrucción Intraluminal  Ileo biliar  Bezoares  Fecalomas  Cuerpos extraños. Parásitos  Obstrucción por alteración de paredes del TD  Congénita: atresia, estenosis  Adquirida: inflamación, hematoma, traumatismos, etc.  Lesiones tumorales
  • 14.
    Obstrucción Mecánica (IleoMecánico)  Compresión externa o torceduras  Hernias: interna y externa  Adherencias  Malrotación congénita  Vólvulos  Intususcepción  Compresión por neoplasia de otros órganos  Vascular  Trombosis o embolia de la arteria y vena mesentérica
  • 15.
    Funcional : ÍleoParalítico  Producto de una detención del peristaltismo normal del intestino  Parálisis de la motilidad intestinal  Por cuadros inflamatorios intraabdominales  Post operatorio  Por Traumatismos abdominales  Procesos retroperitoneales  Procesos infecciosos y metabólicos sistémicos  Hipocalcemia
  • 16.
    Obstrucción con estrangulación Alteraciónen la circulación del intestino obstruido  obstrucción con estrangulación. La oclusión en dos puntos de su longitud produce un asa cerrada y obstruida. Estrangulación  pérdida de sangre y plasma en el segmento estrangulado  grave si predomina la oclusión venosa.
  • 17.
    Obstrucción con estrangulación Causas: HerniaExterna:  Aproximadamente una tercera parte de los casos se debe a encarcelación o estrangulación de una hernia externa.  Se deben palpar cuidadosamente las diferentes zonas a nivel abdominal donde se presentan las hernias.  Una hernia encarcelada puede pasar inadvertida en pacientes obesos.
  • 18.
    Obstrucción con estrangulación Bridasy Adherencias:  Ya sean inflamatorias, congénitas o neoplásicas.  Presencias de cicatrices abdominales traumatismos.  Las bridas y adherencias son responsables de una 1/3 parte de los casos.
  • 19.
    Obstrucción con estrangulación HerniasInternas:  Orificio herniario se halla en la cavidad abdominal y no hacen prominencia hacia el exterior.  Se debe a malformaciones congénitas.  Frecuente en Hiato de Winslow, orificio obturador, fosita de treitz.  Mala técnica de sutura del meso después de una resección intestinal y anastomosis T – T.
  • 20.
    Obstrucción del intestinogrueso  Vólvulo sigmoideo.  Tumores malignos (carcinomas).  Diverticulitis crónica.  Hernias.  Enfermedad de Crohn. Vólvulo de Sigmoides:  Torsión que se produce alrededor del eje longitudinal del mesosigmoides.
  • 22.
    CUADRO CLÍNICO  Síntomasmás importantes:  Dolor abdominal  Vómitos  Distensión abdominal  Estreñimiento y/o diarrea
  • 23.
    CUADRO CLÍNICO  ExploraciónFísica:  Identificación de cicatrices quirúrgicas (bridas y adherencias).  Hernias (región umbilical, inguinales y crurales).  Signos deshidratación (sequedad de mucosas, fiebre, taquicardia e hipotensión).
  • 24.
     Exploración Física: Puede apreciarse distensión abdominal con ondas peristálticas y ruidos intestinales audibles, coincidiendo con episodios de dolor.  Ruidos abdominales abolidos (en fases tardías).  Signos peritoneales (dolor de rebote o defensa).  Tacto rectal (detectar masas)
  • 25.
    CUADRO CLÍNICO Estrangulación:  Dolorabdominal intenso y contínuo  Postración  Signo de rebote +  Palpación de una masa abdominal  Rectorragia  Fiebre, Taquicardia  Shock
  • 26.
    SIGNOS Y SINTOMAS Dolor: Oclusiónsimple: lento, intensidad progresiva, o súbito y con gran intensidad. Oclusión mecánica simple: tipo cólico, con períodos de calma entre los mismos. Estrangulación o compromiso vascular: persistente, intenso, mantenido o creciente. Íleo paralítico: generalizado, pocas veces intenso. Íleo paralítico por isquemia: dolor continuo, de intensidad creciente.
  • 27.
    SIGNOS Y SINTOMAS DistensiónAbdominal: -Yeyuno proximal: puede faltar o limitarse a el estómago (epigastrio prominente y tenso). -Íleo: abombamiento de la porción central del abdomen. -Colón: distensión generalizada, marcada en flancos. Vómitos: Primero es alimentario (alimentos semidigeridos y jugo gástrico), después se hacen biliosos y finalmente fecaloide.
  • 28.
  • 29.
    EXAMEN FISICO INSPECCIÓN: Pacienteinquieto Deshidratación Distensión localizada o generalizada En el íleo paralitico la distensión suele ser generalizada AUSCULTACIÓN: Ruidos intestinales aumentados Signo de Claybrook Silencio abdominal que sigue a las crisis de peristaltismo Abolición de los ruidos Signo de CLAYBROOK: transmisión de los sonidos respiratorios y cardiacos al abdomen por la presencia de líquido exudado o sangre; signo de rotura de una víscera abdominal
  • 30.
    EXAMEN FISICO PALPACIÓN: Oclusión Simple:Hipersensibilidad localizada o difusa del abdomen, sin contractura ni dolor de rebote Estrangulación: Dolor localizado, contractura muscular, y dolor de rebote. Masa palpable, dolorosa e indolora TACTO RECTAL PERCUSIÓN Meteorismo localizado en región umbilical y flancos En el íleo paralitico, meteorismo difuso Signo de Von Wahl
  • 32.
    DIAGNOSTICO Se basa enla clínica, el examen físico y los hallazgos radiológicos. El laboratorio va a depender del tiempo que haya ocurrido la obstrucción
  • 33.
    Laboratorio Al principio Normalo presentar leucocitosis con neutrofilia. fase mas tardía Hemoconcentración secundaria a la deshidratación Obstrucción alta Perdida de cloruros e hidrogeniones, alcalosis metabólica Obstrucción baja Tendencia a la acidosis metabólica y depleción de electrólitos Obstrucción prolongada Hiponatremia, hipopotasemia y muy raro hipomagnesemia Sufrimiento intestinal secundario Aumento de amilasa y LDH Hemorragia intestinal o fallo renal Urea elevada
  • 34.
    LABORATORIO Hemograma:  15,000 leucocitoscon desviación izquierda (estrangulación).  Deshidratación grave (Hb, Hto ↑) Electrolitos:  ↓Sodio, cloro y potasio, bicarbonato, creatinina y Hto (deshidratación).
  • 35.
    ESTUDIOS RADIOLÓGICOS  LosRayos X son esenciales para confirmar el diagnóstico clínico y definir con exactitud el lugar de la obstrucción.  La Rx. de abdomen: Revela grandes cantidades de gas en el intestino y se puede casi siempre determinar si es el ID o IG el distendido o si ambos lo están.
  • 36.
     Las radiografíasde abdomen simple y en bipedestación muestra asas de intestino distendido con un patrón en escalera y niveles hidroáereos.  El gas empieza a acumularse en el I.D. después de 3hrs. del inicio de la obstrucción.  Transcurridas 12 horas, casi siempre el I.D. estará distendido por gas y niveles líquidos ó ambos (obstrucción sea simple).
  • 37.
     Signos dehuellas digitales, pérdida del patrón mucoso, gas dentro de la pared intestinal o ramas intrahepáticas de la vena porta  estrangulación de la obstrucción.  Placa en bipedestación o en decúbito lateral, aire libre intraperitoneal  perforación intestinal.  Íleo paralítico  distensión gaseosa de distribución uniforme en estómago, ID. y colon.
  • 38.
    IMAGENOLOGÍA Radiografía de abdomen simple: Sigmoidesdistendido en forma de U invertido o grano de café
  • 41.
    Radiografía de obstrucción del intestinodelgado Íleo: Radiografía de la distensión intestinal
  • 42.
    ESTUDIOS RADIOLÓGICOS Estudio delcolon con enema de bario. Bario no debe utilizarse si se sospecha de perforación. TAC abdominopélvica, identifican neoplasias intestinales, enfermedad inflamatoria intestinal
  • 43.
    Imagenología Enema baritado: Bario sedetiene en la obstrucción toma forma de huso (deformación en pico de pájaro) no en paciente con sospecha de gangrena
  • 44.
    VÓLVULO: Segmento deintestino delgado con una zona de torsión .
  • 45.
    Vólvulo Del Ciego 20– 40 %  90%: torsión axil del segmento proximal
  • 46.
  • 47.
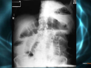
    Abdomen simple. Asasdilatadas con nivel hidroaéreo. Distal se observa collar de perlas (flechas). Abdomen simple. Niveles hidroaéreos y collar de perlas (flechas).
  • 48.
    Figura 14. Intestinodelgado. Obstrucción yeyunal por brida.
  • 49.
     Ecografía: Usocontrovertido por los artefactos que ocasiona el gas intestinal. No obstante, permite detectar asas edematizadas, patología biliar (íleo biliar), presencia de líquido libre peritoneal, abscesos así como patología renal causa de íleo reflejo.  Enema opaco: Debemos solicitarlo ante la sospecha de una tumoración obstructiva o estenosante para diagnosticarla y comprobar el grado de obstrucción. En caso de vólvulo intestinal puede ser diagnóstico y terapéutico.
  • 50.
     Colonoscopia: Menosútil por la difícil preparación colónica del paciente, pudiendo ser terapéutica en casos de vólvulos (sería el tratamiento de urgencia, y si fracasa la desvolvulación o se sospecha gangrena o perforación estará indicada la cirugía urgente) o diagnóstica (neoplasias).  TAC y RMN: Valoración de patologías no diagnosticadas por los anteriores medios, pues detectan dilatación diferenciada de asas, participación o complicación peritoneal y retroperitoneal.
  • 51.
    DIAGNÓSTICO DIFERENCIAL  Ileoparalítico  Colecistitis aguda  Apendicitis aguda  Ulcera perforada  Pancreatitis aguda  Litiasis renal o ureteral
  • 52.
    TRATAMIENTO  Tratamiento Médicopreoperatorio  SNG  Reposición de líquidos y electrólitos Medida de la PVC y monitorización del GC Tto. Alcalosis Metabólica: NaCl ó Lactato de Ringer Tto. Acidosis Metabólica: Bicarbonato de Na  ATB de amplio espectro  Vendajes elásticos en m.inferiores.
  • 53.
    TRATAMIENTO El tratamiento definitivoes Quirurgico 1. Aspiración nasogástrica continua. 2. Reposición hídrica y electrolítica y control ácido- base. 3. Antibióticos de amplio espectro, si existen signos de toxicidad sistémica. 4. Vigilancia estrecha del paciente con evaluación clínica durante las primeras horas para detectar signos de peritonismo o empeoramiento del estado general.
  • 54.
    TRATAMIENTO QUIRÚRGICO  Estrangulaciónó ↑distensión abdominal en las Rx durante el período de descomprensióm (sonda)  CIRUGÍA.  La obstrucción parcial persiste 48 – 72hrs. ó se transforma en una obstrucción completa  LAPAROTOMIA.  Si la descompresión con SN no produce una mejoría significativa clínica y radiológica 24 – 48 hrs.  CIRUGÍA.
  • 62.
    ATENCIÓN POSTOPERATORIA  Líquidosy electrolitos ATB Descompresión gastrointestinal Nutrición parenteral
  • 63.
    COMPLICACIONES -Neumonía por aspiración -Atelectasias e infecciones broncopulmonares. - Peritonitis. - Fracaso multiorgánico como consecuencia del fracaso hemodinámico. - Estenosis intestinal postisquémica.
  • 64.
    TRATAMIENTO El tratamiento delíleo paralítico no es quirúrgico en ningún caso 1. Corregir la causa desencadenante siempre que sea posible 2. Tratamiento sintomático: Dieta absoluta. Aspiración nasogástrica. Hidratación y corrección electrolítica. Fármacos: metoclopropamida (10 mg/4-6h).