LA PERIODONCIA Es la especialidad de la odontología que estudia todos los aspectos relacionados con los tejidos que rodean el diente. Se dedica a la prevención, diagnóstico y tratamiento de todas las formas de enfermedad periodontal (enfermedades de las encías y el hueso alveolar subyacente).
PERIODONCIA Periodonto:  Peri  -> Alrededor Odonto  -> Diente Función: Unir al diente con el tejido óseo de los maxilares. Aparato de inserción o tejido de sostén del diente.
Comprende los siguientes tejidos:  Encía Ligamento periodontal Cemento radicular Hueso alveolar Proceso alveolar
 
 
ENCÍA Tejido que recubre la apófisis alveolar y rodea la porción cervical de los dientes. ENCÍA LIBRE:  Encía comprendida entre el margen gingival y el fondo del surco. Posee 3 estructuras anatómicas: Surco gingival: Espacio virtual entre la encía y el diente. Encía marginal: Encía de 1 o 2 mm de ancho. Papila interdental: La depresión de esta papila es llamada Col interdental.
ENCÍA ENCÍA ADHERIDA O INSERTADA:  Porción de encía que esta adherida al diente y hueso alveolar.  Delimitada por el surco gingival y la línea muco-gingival.
ENCIA LIBRE ENCIA LIBRE LINEA MUCOGINGIVAL
ENCIA LIBRE Y ADHERIDA ENCIA  ADHERIDA
LIGAMENTO PERIODONTAL Tejido conectivo blando que rodea las raíces de los dientes y une el cemento radicular con el hueso alveolar. Función: Nutrir el cemento radicular. Proveer sensibilidad propioseptiva y dolorosa al periodonto. Tejido básico en la cicatrización periodontal. Espesor normal 0.5 mm
CEMENTO RADICULAR Tejido calcificado que recubre las raíces. Funciones: Unir el ligamento periodontal al diente por medio de fibras de Sharpey. Formado por cementoblasto. Crece durante toda la vida.
HUESO ALVEOLAR Es donde se insertan las fibras del ligamento periodontal (fibras de sharpey) Es el soporte estructural del diente Radiograficamente se observa dos estructuras: Cresta ósea y lamina dura.
ENFERMEDADES DEL PERIODONTO ASOCIADA A LA PLACA BACTERIANA La placa bacteriana que se forma en los dientes y debajo de la encía, actúa como irritante de los tejidos periodontales. Otros: Maloclusión, aparatos dentales, alteraciones nutricionales, embarazo, medicamentos, etc.
PLACA BACTERIANA Depósitos ,microblandos de alimentos adheridos al diente u otras estructuras bucales sólidas . Se puede formar en cualquier punto de la boca (fosas, fisuras, irregularidades, obturaciones, coronas, bandas, prótesis removible, ortodoncia, etc.)
Se puede visualizar clínicamente como una capa blancuzca amarillenta, principalmente en el margen gingival. Las gotas reveladoras son unas sustancias colorantes basadas en eritrosina, la cual disuelta en la boca pigmenta la superficie dental que presenta acumulación de placa bacteriana .
Clasificación:  *Supragingival: Es la que se deposita sobre la corona del diente. *Subgingival: Ubicada en el surco gingival o en la bolsa periodontal. La placa bacteriana es el principal factor etiológico causante de enfermedades como caries y enfermedad periodontal.
 
CALCULO DENTAL Depósitos calcificados en los dientes y otras estructuras sólidas, producida por la mineralización de la placa bacteriana.  Composición: 70% - 80% Sales inorgánicas. 40% Calcio 20% Fósforo Magnesio, sodio, carbonato, fluoruro.
Clasificación: 1.Supragingival: Cuando son visibles sobre  las  coronas clínicas de los dientes. Constituido por depósitos amarillos y blancos localizados habitualmente en tercios gingivales. Generalmente se ubican frente a la salida de los conductos salivares mayores.  *Vestibular de molares superiores (conducto de stenon, glándula parótida) *Lingual y vestibular de incisivos inferiores (glándula submaxilar y sublingual)
2. Subgingival:  Se localiza hacia pical del margen gingival, surco o bolsa periodontal. Es de color parduzco y negro, mas duro y mas adherido a la superficie dental. No se considera el factor etiológico mas importante, pero contribuye por ser tan irritante generar la enfermedad periodontal.
 
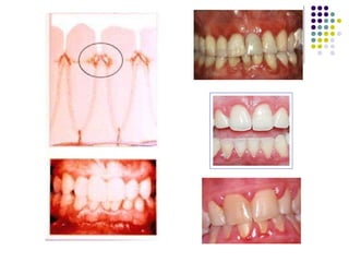
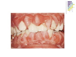
PRINCIPALES ENFERMEDADES PERIODONTALES  ASOCIADAS A PLACA BACTERIANA. GINGIVITIS Inflamación del tejido de la encía en su margen gingival.  No involucra los tejidos de soporte del diente. La gravedad depende de la intensidad, duración y frecuencia .
Signos y síntomas: Encía eritematosa (roja). Sangrado provocado por estimulo. Edema (encía hinchada). Perdida del punteado. Halitosis. Tratamiento y pronostico: Eliminar el origen, placa bacteriana y calculo. Buena higiene oral.
 
 
PERIODONTITIS Es la enfermedad que se centra en los tejidos de sostén del diente, empieza como una gingivitis que progresa y si no se trata se llega a una periodontitis crónica.  Es común en adultos y es la responsable de perdida dentaria.
Signos y Síntomas: Encía inflamada, roja y brillante. Bolsas periodontales. Hemorragia espontánea. Halitosis. Pérdida de hueso alveolar. Movilidad dentaria. Retracción gingival. Hipersensibilidad dentaria.
Tratamiento y Pronóstico: Terapia periodontal completa eliminando el factor irritante y etiológico. Algunos tratamiento son: Detartraje Profilaxis Alisado radicular Cirugía periodontal Antibioterapia Paciente comprometido con la higiene oral
 
TERAPIA PERIODONTAL Es importante la eliminación de la placa bacteriana y el calculo, quienes son la causa principal de las enfermedades relacionadas con el periodonto. Se divide en 5 fases: Fase higiénica o básica Fase quirúrgica o correctiva Fase oclusal Fase complementaria Fase mantenimiento.
FASE HIGIENICA O BASICA La finalidad es la eliminación de la placa bacteriana y  evitar su nueva formación. Evaluación Periodontal: Periodontograma , control de placa y radiografias. Detartraje: Remoción calculos supragingivales. Alisado radicular cerrado: Remoción calculos subgingivales. Profilaxis Educación en  higiene oral Medicamentos.
FASE QUIRURGICA O CORRECTIVA Eliminación de los daños causados por medios  quirúrgicos. Gingivectomia  -> Cortar encía Gingivoplastia -> Remodelar la encía Alisado radicular abierto -> limpieza radicular con visibilidad Alargamiento corona clínica -> recorte de encía y hueso para alargar la raíz. Injerto gingival -> Reemplazo de tejido por otro.
FASE OCLUSAL Devolver la normalidad a la función oclusal perdida. Operatoria (Resinas, amalgamas) FASE COMPLEMENTARIA Reemplaza los dientes perdidos por enfermedad periodontal. (Prótesis  fija o removible)
FASE MANTENIMIENTO Citas de control, para evaluar el estado del paciente. Cita cada 3 o 4 meses.  Se realiza lo mismo de la fase higiénica.
INSTRUMENTAL BASICO Espejo bucal  Explorador Cucharilla Pinza algodonera Sonda periodontal graduada: Mide la profundidad del surco. Sonda de Nabers : Mide el compromiso de furca.
Sonda Periodontal Sonda de Nabers
INSTRUMENTAL DE ANESTESIA Jeringa Carpule Agujas de anestesia larga y corta Carpull de anestesia )Con o sin epinefrina) Epinefrina: vasoconstrictor, menor irrigación. Sin epinefrina: Personas con problemas sistémicos (problemas cardiacos, hipertensión)
INSTRUMENTAL DE ANESTESIA
INSTRUMENTAL DE CORTE O INCISION Mango de Bisturí Hojas de Bisturí (Existe de diferentes números) Bisturí de hoja  fina. Bisturí de Orban y Kirkland
 
 
ELETROBISTUR I
INSTRUMENTAL ROTATORIO 1. Alta velocidad: Fresas que son generalmente de carburo. 2. Baja velocidad.
INSTRUMENTAL PARA TEJIDO OSEO Lima para hueso. Gubia
INSTRUMENTAL PARA DETARTRAJE Y ALISADO RADICULAR CURETAS  Universales: Pueden ser utilizadas en cualquier parte de la boca y tienen dos bordes cortantes. (Curetas de Goldam fox) Especificas: Se utilizan para partes especificas y tiene un borde cortante (Curetas de Gracey 3/4, 7/8, 11/12, 13/14)
Cureta 3/4: Incisivos y premolares Cureta 7/8: Premolares y molares Cureta 11/12: Mesial de molares Cureta 13/14: Distal de molares
INSTRUMENTAL PARA DETARTRAJE Y ALISADO RADICULAR Hoces: CK4 – CK6: Sirve para remover Calculos en zona interproximal.
3. Cavitron: Vibración ultrasónica. 4. Scaler: Vibración sónica
INSTRUMENTAL PARA TEJIDO  BLANDO Bisturí  Tijeras: * Rectas * Curvas
INSTRUMENTAL DE DISECCION  Y ELEVACION Periostotomo: Grueso, sirve para elevar el tejido. Legra: Delgada, sirve para elevar el tejido. Pinza de disección: Con garra y sin garra, sirve para sostener el tejido.
COLGAJO Encía o tejido al que se le realizan incisiones para levantarlo y realizar el procedimiento en el hueso.
INSTRUMENTAL DE SEPARACION Separador de Minesota Separador de Langerbeck
INSTRUMENTAL PARA SUTURAR Porta agujas Castro viejo. Pinza Mosquito. Hemostática Sutura Agujas: Traumáticas y traumáticas Tijeras
 
CLASIFICACIÓN DE LAS SUTURAS Según su diámetro : es el Grosor de la sutura. Se clasifica según los ceros que tenga. Según Su Naturaleza : Naturales U Orgánicas Y Sintéticas O Artificiales. Según el número de filamentos:  Las monofilamentos y Las multifilamentos.
ATRAUMATICA Y TRAUMÁTICA Las Atraumatica : viene listas con su hilo y su aguja, no hay que esterilizarlas y se pueden utilizar rápidamente.. Las traumáticas : debemos comprar el hilo y aparte la aguja, se deben armar y ponerla ha  esterilizar.
REABSORBIBLES Y NO REABSORBIBLES Reabsorbibles : es biodegradable y se reabsorbe espontáneamente. Según materiales puede tardar entre una semana y varios meses. No reabsorbibles:  No biodegradable, Debe retirarse después de un periodo variable entre seis y diez días
DIÁMETRO DE LA SUTURA Con esto sabes el gruesor de la hilo de la sutura Se clasifica  según los ceros que tenga , entre mas ceros tenga mas delgada es la sutura. Van de2-0 hasta 6-0.
PARTES DE LA AGUJA Ojo, Cuerpo y Punta.  OJO CUERPO PUNTA
 
INSTRUMETAL PARA IRRIGACION Jeringa desechable Solución salina Suero fisiológico
INSTRUMENTAL PARA EYECCION 1. Eyector de alto y bajo volumen.
MATERIAL ESTERIL Gasas. Guantes. Campos quirúrgicos Campo de mesa o mayo Piel
 
PROTOCOLO DE PROFILAXIS MATERIALES INSTRUMENTAL

Periodoncia

  • 1.
    LA PERIODONCIA Esla especialidad de la odontología que estudia todos los aspectos relacionados con los tejidos que rodean el diente. Se dedica a la prevención, diagnóstico y tratamiento de todas las formas de enfermedad periodontal (enfermedades de las encías y el hueso alveolar subyacente).
  • 2.
    PERIODONCIA Periodonto: Peri -> Alrededor Odonto -> Diente Función: Unir al diente con el tejido óseo de los maxilares. Aparato de inserción o tejido de sostén del diente.
  • 3.
    Comprende los siguientestejidos: Encía Ligamento periodontal Cemento radicular Hueso alveolar Proceso alveolar
  • 4.
  • 5.
  • 6.
    ENCÍA Tejido querecubre la apófisis alveolar y rodea la porción cervical de los dientes. ENCÍA LIBRE: Encía comprendida entre el margen gingival y el fondo del surco. Posee 3 estructuras anatómicas: Surco gingival: Espacio virtual entre la encía y el diente. Encía marginal: Encía de 1 o 2 mm de ancho. Papila interdental: La depresión de esta papila es llamada Col interdental.
  • 7.
    ENCÍA ENCÍA ADHERIDAO INSERTADA: Porción de encía que esta adherida al diente y hueso alveolar. Delimitada por el surco gingival y la línea muco-gingival.
  • 8.
    ENCIA LIBRE ENCIALIBRE LINEA MUCOGINGIVAL
  • 9.
    ENCIA LIBRE YADHERIDA ENCIA ADHERIDA
  • 10.
    LIGAMENTO PERIODONTAL Tejidoconectivo blando que rodea las raíces de los dientes y une el cemento radicular con el hueso alveolar. Función: Nutrir el cemento radicular. Proveer sensibilidad propioseptiva y dolorosa al periodonto. Tejido básico en la cicatrización periodontal. Espesor normal 0.5 mm
  • 11.
    CEMENTO RADICULAR Tejidocalcificado que recubre las raíces. Funciones: Unir el ligamento periodontal al diente por medio de fibras de Sharpey. Formado por cementoblasto. Crece durante toda la vida.
  • 12.
    HUESO ALVEOLAR Esdonde se insertan las fibras del ligamento periodontal (fibras de sharpey) Es el soporte estructural del diente Radiograficamente se observa dos estructuras: Cresta ósea y lamina dura.
  • 13.
    ENFERMEDADES DEL PERIODONTOASOCIADA A LA PLACA BACTERIANA La placa bacteriana que se forma en los dientes y debajo de la encía, actúa como irritante de los tejidos periodontales. Otros: Maloclusión, aparatos dentales, alteraciones nutricionales, embarazo, medicamentos, etc.
  • 14.
    PLACA BACTERIANA Depósitos,microblandos de alimentos adheridos al diente u otras estructuras bucales sólidas . Se puede formar en cualquier punto de la boca (fosas, fisuras, irregularidades, obturaciones, coronas, bandas, prótesis removible, ortodoncia, etc.)
  • 15.
    Se puede visualizarclínicamente como una capa blancuzca amarillenta, principalmente en el margen gingival. Las gotas reveladoras son unas sustancias colorantes basadas en eritrosina, la cual disuelta en la boca pigmenta la superficie dental que presenta acumulación de placa bacteriana .
  • 16.
    Clasificación: *Supragingival:Es la que se deposita sobre la corona del diente. *Subgingival: Ubicada en el surco gingival o en la bolsa periodontal. La placa bacteriana es el principal factor etiológico causante de enfermedades como caries y enfermedad periodontal.
  • 17.
  • 18.
    CALCULO DENTAL Depósitoscalcificados en los dientes y otras estructuras sólidas, producida por la mineralización de la placa bacteriana. Composición: 70% - 80% Sales inorgánicas. 40% Calcio 20% Fósforo Magnesio, sodio, carbonato, fluoruro.
  • 19.
    Clasificación: 1.Supragingival: Cuandoson visibles sobre las coronas clínicas de los dientes. Constituido por depósitos amarillos y blancos localizados habitualmente en tercios gingivales. Generalmente se ubican frente a la salida de los conductos salivares mayores. *Vestibular de molares superiores (conducto de stenon, glándula parótida) *Lingual y vestibular de incisivos inferiores (glándula submaxilar y sublingual)
  • 20.
    2. Subgingival: Se localiza hacia pical del margen gingival, surco o bolsa periodontal. Es de color parduzco y negro, mas duro y mas adherido a la superficie dental. No se considera el factor etiológico mas importante, pero contribuye por ser tan irritante generar la enfermedad periodontal.
  • 21.
  • 22.
    PRINCIPALES ENFERMEDADES PERIODONTALES ASOCIADAS A PLACA BACTERIANA. GINGIVITIS Inflamación del tejido de la encía en su margen gingival. No involucra los tejidos de soporte del diente. La gravedad depende de la intensidad, duración y frecuencia .
  • 23.
    Signos y síntomas:Encía eritematosa (roja). Sangrado provocado por estimulo. Edema (encía hinchada). Perdida del punteado. Halitosis. Tratamiento y pronostico: Eliminar el origen, placa bacteriana y calculo. Buena higiene oral.
  • 24.
  • 25.
  • 26.
    PERIODONTITIS Es laenfermedad que se centra en los tejidos de sostén del diente, empieza como una gingivitis que progresa y si no se trata se llega a una periodontitis crónica. Es común en adultos y es la responsable de perdida dentaria.
  • 27.
    Signos y Síntomas:Encía inflamada, roja y brillante. Bolsas periodontales. Hemorragia espontánea. Halitosis. Pérdida de hueso alveolar. Movilidad dentaria. Retracción gingival. Hipersensibilidad dentaria.
  • 28.
    Tratamiento y Pronóstico:Terapia periodontal completa eliminando el factor irritante y etiológico. Algunos tratamiento son: Detartraje Profilaxis Alisado radicular Cirugía periodontal Antibioterapia Paciente comprometido con la higiene oral
  • 29.
  • 30.
    TERAPIA PERIODONTAL Esimportante la eliminación de la placa bacteriana y el calculo, quienes son la causa principal de las enfermedades relacionadas con el periodonto. Se divide en 5 fases: Fase higiénica o básica Fase quirúrgica o correctiva Fase oclusal Fase complementaria Fase mantenimiento.
  • 31.
    FASE HIGIENICA OBASICA La finalidad es la eliminación de la placa bacteriana y evitar su nueva formación. Evaluación Periodontal: Periodontograma , control de placa y radiografias. Detartraje: Remoción calculos supragingivales. Alisado radicular cerrado: Remoción calculos subgingivales. Profilaxis Educación en higiene oral Medicamentos.
  • 32.
    FASE QUIRURGICA OCORRECTIVA Eliminación de los daños causados por medios quirúrgicos. Gingivectomia -> Cortar encía Gingivoplastia -> Remodelar la encía Alisado radicular abierto -> limpieza radicular con visibilidad Alargamiento corona clínica -> recorte de encía y hueso para alargar la raíz. Injerto gingival -> Reemplazo de tejido por otro.
  • 33.
    FASE OCLUSAL Devolverla normalidad a la función oclusal perdida. Operatoria (Resinas, amalgamas) FASE COMPLEMENTARIA Reemplaza los dientes perdidos por enfermedad periodontal. (Prótesis fija o removible)
  • 34.
    FASE MANTENIMIENTO Citasde control, para evaluar el estado del paciente. Cita cada 3 o 4 meses. Se realiza lo mismo de la fase higiénica.
  • 35.
    INSTRUMENTAL BASICO Espejobucal Explorador Cucharilla Pinza algodonera Sonda periodontal graduada: Mide la profundidad del surco. Sonda de Nabers : Mide el compromiso de furca.
  • 36.
  • 37.
    INSTRUMENTAL DE ANESTESIAJeringa Carpule Agujas de anestesia larga y corta Carpull de anestesia )Con o sin epinefrina) Epinefrina: vasoconstrictor, menor irrigación. Sin epinefrina: Personas con problemas sistémicos (problemas cardiacos, hipertensión)
  • 38.
  • 39.
    INSTRUMENTAL DE CORTEO INCISION Mango de Bisturí Hojas de Bisturí (Existe de diferentes números) Bisturí de hoja fina. Bisturí de Orban y Kirkland
  • 40.
  • 41.
  • 42.
  • 43.
    INSTRUMENTAL ROTATORIO 1.Alta velocidad: Fresas que son generalmente de carburo. 2. Baja velocidad.
  • 44.
    INSTRUMENTAL PARA TEJIDOOSEO Lima para hueso. Gubia
  • 45.
    INSTRUMENTAL PARA DETARTRAJEY ALISADO RADICULAR CURETAS Universales: Pueden ser utilizadas en cualquier parte de la boca y tienen dos bordes cortantes. (Curetas de Goldam fox) Especificas: Se utilizan para partes especificas y tiene un borde cortante (Curetas de Gracey 3/4, 7/8, 11/12, 13/14)
  • 46.
    Cureta 3/4: Incisivosy premolares Cureta 7/8: Premolares y molares Cureta 11/12: Mesial de molares Cureta 13/14: Distal de molares
  • 47.
    INSTRUMENTAL PARA DETARTRAJEY ALISADO RADICULAR Hoces: CK4 – CK6: Sirve para remover Calculos en zona interproximal.
  • 48.
    3. Cavitron: Vibraciónultrasónica. 4. Scaler: Vibración sónica
  • 49.
    INSTRUMENTAL PARA TEJIDO BLANDO Bisturí Tijeras: * Rectas * Curvas
  • 50.
    INSTRUMENTAL DE DISECCION Y ELEVACION Periostotomo: Grueso, sirve para elevar el tejido. Legra: Delgada, sirve para elevar el tejido. Pinza de disección: Con garra y sin garra, sirve para sostener el tejido.
  • 51.
    COLGAJO Encía otejido al que se le realizan incisiones para levantarlo y realizar el procedimiento en el hueso.
  • 52.
    INSTRUMENTAL DE SEPARACIONSeparador de Minesota Separador de Langerbeck
  • 53.
    INSTRUMENTAL PARA SUTURARPorta agujas Castro viejo. Pinza Mosquito. Hemostática Sutura Agujas: Traumáticas y traumáticas Tijeras
  • 54.
  • 55.
    CLASIFICACIÓN DE LASSUTURAS Según su diámetro : es el Grosor de la sutura. Se clasifica según los ceros que tenga. Según Su Naturaleza : Naturales U Orgánicas Y Sintéticas O Artificiales. Según el número de filamentos: Las monofilamentos y Las multifilamentos.
  • 56.
    ATRAUMATICA Y TRAUMÁTICALas Atraumatica : viene listas con su hilo y su aguja, no hay que esterilizarlas y se pueden utilizar rápidamente.. Las traumáticas : debemos comprar el hilo y aparte la aguja, se deben armar y ponerla ha esterilizar.
  • 57.
    REABSORBIBLES Y NOREABSORBIBLES Reabsorbibles : es biodegradable y se reabsorbe espontáneamente. Según materiales puede tardar entre una semana y varios meses. No reabsorbibles: No biodegradable, Debe retirarse después de un periodo variable entre seis y diez días
  • 58.
    DIÁMETRO DE LASUTURA Con esto sabes el gruesor de la hilo de la sutura Se clasifica según los ceros que tenga , entre mas ceros tenga mas delgada es la sutura. Van de2-0 hasta 6-0.
  • 59.
    PARTES DE LAAGUJA Ojo, Cuerpo y Punta. OJO CUERPO PUNTA
  • 60.
  • 61.
    INSTRUMETAL PARA IRRIGACIONJeringa desechable Solución salina Suero fisiológico
  • 62.
    INSTRUMENTAL PARA EYECCION1. Eyector de alto y bajo volumen.
  • 63.
    MATERIAL ESTERIL Gasas.Guantes. Campos quirúrgicos Campo de mesa o mayo Piel
  • 64.
  • 65.
    PROTOCOLO DE PROFILAXISMATERIALES INSTRUMENTAL