PLASMODIUM
Anophele
PLASMODIUM VIVAX
Nombre: Plasmodium vivax
Estadío: Trofozoito joven, Trofozoito adulto, Esquizonte joven, Esquizonte maduro, Macrogametocito, Microgametocito
Fase infectivo: Esporozoito
Características-TROFOZOITO JOVEN: (Anillo) Presenta cromatina grande y puntiforme, y citoplasma circular.
Schuffner
Características-TROFOZOITO ADULTO: Presenta granulaciones
Características-ESQUIZONTE JOVEN: Citoplasma presenta grados de separación, la
de
cromatina se divide
Características-ESQUIZONTE MADURO: Presenta 12-24 merozoitos, con gránulo de cromatina. Características-
MACROGAMETOCITO: Citoplasma azul oscuro y pigmento fino marrón,granulacionesde Schuffner Características-
MICROGAMETOCITO: Cromatina difusa y central, citoplasma pequeño
TROFO JOVEN TROFO ADULTO ESQUIZONTE JOVEN MACROGAMETOCITOS
ESQUIZONTE MADURO
MICROGAMETOCITOS
TROFO JOVEN TROFO ADULTO
ESQUIZONTES
GAMETOCITOS
PLASMODIUM MALARIAE
malariae
Gametocitos
Nombre:
Estadío:
Fase
Plasmodium
Trofozoito adulto,
infectivo:
Trofozoito joven, Esquizonte
Características-TROFOZOITO JOVEN: Cromatina puntiforme y
maduro,
Esporozoito
citoplasma grueso
Características-TROFOZOITO ADULTO: En forma de banda, cromatina alargada, pigmentos grandes y periféricos
Características-ESQUIZONTE MADURO: Presenta 8-10 merozoitos, en rosetas, pigmento malárico endocitado.
Características-GAMETOCITOS: Cromatina color rosa a rojo y citoplasma azul
TROFO JOVEN TROFO ADULTO ESQUIZONTE GAMETOCITOS
TROFO JOVEN
TROFO ADULTO
ESQUIZONTE
GAMETOCITOS
PLASMODIUM FALCIPARUM
Trofozoito joven, Trofozoito
Plasmodium falciparum
adulto, Esquizontes, Macrogametocito, Microgametocito
Nombre:
Estadío:
Fase Esporozoito
Características-TROFOZOITO
infectivo:
JOVEN: Presenta cromatina única o doble, citoplasma
Características-TROFOZOITO
circular
de
delgado
Maurer
Características-ESQUIZONTES:
ADULTO: Presenta
Contiene de
granulaciones
8-24 merozoitos
Características-MACROGAMETOCITO: Forma de media luna, citoplasma azul intenso, cromatina central roja.
Características-MICROGAMETOCITO: Forma de media luna con extremos redondeados, pigmento malárico
TROFO JOVEN TROFO ADULTO ESQUIZONTES GAMETOCITOS
TROFO JOVEN
TROFO ADULTO
ESQUIZONTES
GAMETOCITOS
TOXOPLASMA GONDII
Nombre: Toxoplasma gondii
Estadio evolutivo:Pseudoquiste, quiste, ooquiste y trofozoito
Fase infectiva: quiste, ooquiste y trofozoito
Característica Trofozoito: Núcleo grande central o paracentral, forma semilunar
Característica Pseudoquiste: Taquizoitos en el interior del macrófago, forma de arco semilunar
Característica Quiste: Contiene bradizoitos en el interior, cerebro → redondos; musculo → alargados
Característica Ooquiste: Ovoides, 2 esporoquistes con 4 esporozoitos cada uno /esporulado y no esporulado
PSEUDOQUISTES OOQUISTE
TROFOZOITO
QUISTE
CYSTICERCUS CELLULOSAE
Nombre:Taenia solium
Estadio evolutivo: Cysticercus cellulosae
Fase
Características: vesículas que contienen
infectiva:
líquido en su interior, escolex, pared traslúcida,
Huevo
ganchos
(Forma racemosa → presenta camaras, no escolex)
racemosa
HUEVO
QUISTE HIDATÍDICO
Nombre: Echinococcus
Adulto,
infectiva:
Estadio evolutivo:
Fase
Características-Adulto: escólex
huevo y
con ventosas, rostelo, dos coronas de
granulosus
larva.
Huevo
ganchos,estróbilo
> Quiste hidatidico
Características-Larva: capa adventicia + larva hidátide cutícula y germinativa
-> algunos presentan protoeescolex y gancho, cola, ventosa
ADULTO
LARVA-
PROTOESCOLICES
LARVA- QUISTE
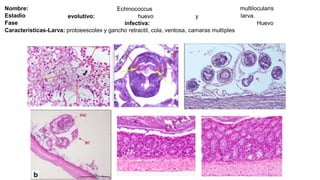
Nombre:
Estadio
Fase
Echinococcus
huevo
infectiva:
multilocularis
larva.
Huevo
evolutivo: y
Características-Larva: protoeescolex y gancho retractil, cola, ventosa, camaras multiples
Nombre: Fasciola hepatica
Estadío: Huevo, miracidio, esporoquiste joven, esporoquiste maduro, redias, cercaria, metacercaria, adulto
Fase infectivo: Metacercaria
Características-Huevo: Son elipsoidales y operculados, con cáscara fina, presenta cigoto (no distinguible) y
glóbulos de vitelo.
Características-Miracidio: Presenta cilios, una papila apical, oocelos, glándulas de penetración y células
germinales
Características-ESQUIZONTE JOVEN: Alargado
Características-ESQUIZONTE MADURO: Forma de saco con un extremo redondeado y otro cónico, presenta
poliembrionía
Características-Redias: Forma de saco, presenta boca,faringe, ciego intestinal, collar y un apéndice lateral
Características-Cercaria: Presenta una ventosa oral, boca, ventral, ciego intestinal, cola, glándulas cistógenas y
esbozo genital.
Características-Metacercaria: Presenta ventosa oral y ventral, pared quística y ciego intestinal Características-
Adulto: Aplanado en forma de hoja, extremo anterior cónico, posee 2 ventosas una anterior peribucal y
otra ventral (acetábulo)
FASCIOLA HEPÁTICA
Huevo
Miracidio
Esporoquiste Joven Esporoquiste Adulto
Redia
Cercaria
Metacercaria
Adulto
Nombre: Paragonimus mexicanus
Estadío: Huevo, miracidio, esporoquiste joven, esporoquiste maduro, redias, cercaria, metacercaria, adulto
Fase infectivo: Metacercarias
Características-Huevo: Son ovoides, grandes y operculados, de color pardo amarrillento, cáscara no lisa,
con aspecto ondulado, cigoto y vitelo.
JOVEN: No info
presenta depresiones y elevaciones
Características-Miracidio:
Características-ESQUIZONTE
Características-ESQUIZONTE MADURO: No info
Características-Redias: Forma de saco presenta boca, ventosa oral, faringe, ciego intestinal Características-
Cercaria: Presenta boca, ventosa oral, estilete, glándulas de penetración, ventosa ventral, esbozo genital,
vesícula secretora y cola
Características-Metacercaria: Forma alargada presenta ventosas y ramas intestinales
Características-Adulto: Forma ovoide alargado, color marrón rojizo, asimétrico, tegumento grueso cubierto de
espinas, presenta 2 ventosas ventral y acetábulo
PARAGONIMUS MEXICANUS
Huevo
Miracidio
Redia Cercaria
Metacercaria
Adulto
TOXOCARA sp.
- Toxocara
, huevo
Nombre:
Estadío:
Fase
T
oxocara canis
Adulto
infectivo: huevo
,
larva
cati
larva
L3
Características-TOXOCARA CANIS(ADULTO): dimorfismo sexual, presencia de 3 labios.
Características-TOXOCARA CATI(ADULTO): Aletas estriadas (extremo anterior) , punto digitiforme
(extremo posterior).
HUEVOS
Características-
Características-LARVAS:
: esféricos, cáscara gruesa, superficie picada.
esófago que se extiende alrededor de un tercio de la longitud del cuerpo.
C
A
N
I
S
A
D
U
L
T
O
C
A
T
I
A
D
U
L
T
O
HUEVO LARVA
TRICHINELLA SPIRALIS
Nombre: Trichinella spiralis
Estadío: Adulto , larva .
Fase infectivo: Larva muscular enquistada
Características-ADULTO: color blanquecino y filiforme
Características-LARVA: forma espiral, se enquista en las fibras musculares.
A
D
U
L
T
O
LARVA
FILARIAS
Nombre: Loa Loa
Estadío: Adulto , microfilaria
Fase infectivo: larva filariforme metacíclica L3
Características-ADULTO: se encuentra en la sangre, se aíslan de la subconjutiva.
Características-MICROFILARIA: la cola es cónica, presenta revestimiento
ADULTO MICROFILARIAS
Nombre: Wuchereria brancofti
Estadío: Adulto , microfilarias
Fase infectivo: larva filariforme metacíclica L3
Características-ADULTO: se encuentran en vasos linfáticos
Características-MICROFILARIA: están cubiertas, presenta células individuales y no se extienden hasta la
punta de la cola, esta última termina en punta.
FILARIAS
ADULTO MICROFILARIAS
Nombre: Brugia malayi
Estadío: Adulto , microfilarias
Fase infectivo: larva filariforme metacíclica L3
Características-ADULTO MACHO: Presenta cutícula lisa e intestino pequeño
Características-ADULTO HEMBRA: Presenta dos tubos uterinos que contienen microfilarias en desarrollo,
y presenta cutícula lisa e intestino pequeño.
Características-MICROFILARIA: están cubiertas, presenta cola cónica, núcleos terminal y sub terminal.
FILARIAS
ADULTO
MICROFILARIAS

RESUMEN PARASITOLOGIA

  • 1.
  • 2.
    PLASMODIUM VIVAX Nombre: Plasmodiumvivax Estadío: Trofozoito joven, Trofozoito adulto, Esquizonte joven, Esquizonte maduro, Macrogametocito, Microgametocito Fase infectivo: Esporozoito Características-TROFOZOITO JOVEN: (Anillo) Presenta cromatina grande y puntiforme, y citoplasma circular. Schuffner Características-TROFOZOITO ADULTO: Presenta granulaciones Características-ESQUIZONTE JOVEN: Citoplasma presenta grados de separación, la de cromatina se divide Características-ESQUIZONTE MADURO: Presenta 12-24 merozoitos, con gránulo de cromatina. Características- MACROGAMETOCITO: Citoplasma azul oscuro y pigmento fino marrón,granulacionesde Schuffner Características- MICROGAMETOCITO: Cromatina difusa y central, citoplasma pequeño TROFO JOVEN TROFO ADULTO ESQUIZONTE JOVEN MACROGAMETOCITOS ESQUIZONTE MADURO MICROGAMETOCITOS
  • 3.
    TROFO JOVEN TROFOADULTO ESQUIZONTES GAMETOCITOS
  • 4.
    PLASMODIUM MALARIAE malariae Gametocitos Nombre: Estadío: Fase Plasmodium Trofozoito adulto, infectivo: Trofozoitojoven, Esquizonte Características-TROFOZOITO JOVEN: Cromatina puntiforme y maduro, Esporozoito citoplasma grueso Características-TROFOZOITO ADULTO: En forma de banda, cromatina alargada, pigmentos grandes y periféricos Características-ESQUIZONTE MADURO: Presenta 8-10 merozoitos, en rosetas, pigmento malárico endocitado. Características-GAMETOCITOS: Cromatina color rosa a rojo y citoplasma azul TROFO JOVEN TROFO ADULTO ESQUIZONTE GAMETOCITOS
  • 5.
  • 6.
    PLASMODIUM FALCIPARUM Trofozoito joven,Trofozoito Plasmodium falciparum adulto, Esquizontes, Macrogametocito, Microgametocito Nombre: Estadío: Fase Esporozoito Características-TROFOZOITO infectivo: JOVEN: Presenta cromatina única o doble, citoplasma Características-TROFOZOITO circular de delgado Maurer Características-ESQUIZONTES: ADULTO: Presenta Contiene de granulaciones 8-24 merozoitos Características-MACROGAMETOCITO: Forma de media luna, citoplasma azul intenso, cromatina central roja. Características-MICROGAMETOCITO: Forma de media luna con extremos redondeados, pigmento malárico TROFO JOVEN TROFO ADULTO ESQUIZONTES GAMETOCITOS
  • 7.
  • 8.
    TOXOPLASMA GONDII Nombre: Toxoplasmagondii Estadio evolutivo:Pseudoquiste, quiste, ooquiste y trofozoito Fase infectiva: quiste, ooquiste y trofozoito Característica Trofozoito: Núcleo grande central o paracentral, forma semilunar Característica Pseudoquiste: Taquizoitos en el interior del macrófago, forma de arco semilunar Característica Quiste: Contiene bradizoitos en el interior, cerebro → redondos; musculo → alargados Característica Ooquiste: Ovoides, 2 esporoquistes con 4 esporozoitos cada uno /esporulado y no esporulado PSEUDOQUISTES OOQUISTE
  • 9.
  • 10.
    CYSTICERCUS CELLULOSAE Nombre:Taenia solium Estadioevolutivo: Cysticercus cellulosae Fase Características: vesículas que contienen infectiva: líquido en su interior, escolex, pared traslúcida, Huevo ganchos (Forma racemosa → presenta camaras, no escolex) racemosa HUEVO
  • 11.
    QUISTE HIDATÍDICO Nombre: Echinococcus Adulto, infectiva: Estadioevolutivo: Fase Características-Adulto: escólex huevo y con ventosas, rostelo, dos coronas de granulosus larva. Huevo ganchos,estróbilo > Quiste hidatidico Características-Larva: capa adventicia + larva hidátide cutícula y germinativa -> algunos presentan protoeescolex y gancho, cola, ventosa ADULTO
  • 12.
  • 13.
  • 14.
    Nombre: Fasciola hepatica Estadío:Huevo, miracidio, esporoquiste joven, esporoquiste maduro, redias, cercaria, metacercaria, adulto Fase infectivo: Metacercaria Características-Huevo: Son elipsoidales y operculados, con cáscara fina, presenta cigoto (no distinguible) y glóbulos de vitelo. Características-Miracidio: Presenta cilios, una papila apical, oocelos, glándulas de penetración y células germinales Características-ESQUIZONTE JOVEN: Alargado Características-ESQUIZONTE MADURO: Forma de saco con un extremo redondeado y otro cónico, presenta poliembrionía Características-Redias: Forma de saco, presenta boca,faringe, ciego intestinal, collar y un apéndice lateral Características-Cercaria: Presenta una ventosa oral, boca, ventral, ciego intestinal, cola, glándulas cistógenas y esbozo genital. Características-Metacercaria: Presenta ventosa oral y ventral, pared quística y ciego intestinal Características- Adulto: Aplanado en forma de hoja, extremo anterior cónico, posee 2 ventosas una anterior peribucal y otra ventral (acetábulo) FASCIOLA HEPÁTICA
  • 15.
  • 16.
  • 17.
  • 18.
  • 19.
    Nombre: Paragonimus mexicanus Estadío:Huevo, miracidio, esporoquiste joven, esporoquiste maduro, redias, cercaria, metacercaria, adulto Fase infectivo: Metacercarias Características-Huevo: Son ovoides, grandes y operculados, de color pardo amarrillento, cáscara no lisa, con aspecto ondulado, cigoto y vitelo. JOVEN: No info presenta depresiones y elevaciones Características-Miracidio: Características-ESQUIZONTE Características-ESQUIZONTE MADURO: No info Características-Redias: Forma de saco presenta boca, ventosa oral, faringe, ciego intestinal Características- Cercaria: Presenta boca, ventosa oral, estilete, glándulas de penetración, ventosa ventral, esbozo genital, vesícula secretora y cola Características-Metacercaria: Forma alargada presenta ventosas y ramas intestinales Características-Adulto: Forma ovoide alargado, color marrón rojizo, asimétrico, tegumento grueso cubierto de espinas, presenta 2 ventosas ventral y acetábulo PARAGONIMUS MEXICANUS
  • 20.
  • 21.
  • 22.
  • 23.
  • 24.
    TOXOCARA sp. - Toxocara ,huevo Nombre: Estadío: Fase T oxocara canis Adulto infectivo: huevo , larva cati larva L3 Características-TOXOCARA CANIS(ADULTO): dimorfismo sexual, presencia de 3 labios. Características-TOXOCARA CATI(ADULTO): Aletas estriadas (extremo anterior) , punto digitiforme (extremo posterior). HUEVOS Características- Características-LARVAS: : esféricos, cáscara gruesa, superficie picada. esófago que se extiende alrededor de un tercio de la longitud del cuerpo. C A N I S A D U L T O C A T I A D U L T O
  • 25.
  • 26.
    TRICHINELLA SPIRALIS Nombre: Trichinellaspiralis Estadío: Adulto , larva . Fase infectivo: Larva muscular enquistada Características-ADULTO: color blanquecino y filiforme Características-LARVA: forma espiral, se enquista en las fibras musculares. A D U L T O
  • 27.
  • 28.
    FILARIAS Nombre: Loa Loa Estadío:Adulto , microfilaria Fase infectivo: larva filariforme metacíclica L3 Características-ADULTO: se encuentra en la sangre, se aíslan de la subconjutiva. Características-MICROFILARIA: la cola es cónica, presenta revestimiento ADULTO MICROFILARIAS
  • 29.
    Nombre: Wuchereria brancofti Estadío:Adulto , microfilarias Fase infectivo: larva filariforme metacíclica L3 Características-ADULTO: se encuentran en vasos linfáticos Características-MICROFILARIA: están cubiertas, presenta células individuales y no se extienden hasta la punta de la cola, esta última termina en punta. FILARIAS ADULTO MICROFILARIAS
  • 30.
    Nombre: Brugia malayi Estadío:Adulto , microfilarias Fase infectivo: larva filariforme metacíclica L3 Características-ADULTO MACHO: Presenta cutícula lisa e intestino pequeño Características-ADULTO HEMBRA: Presenta dos tubos uterinos que contienen microfilarias en desarrollo, y presenta cutícula lisa e intestino pequeño. Características-MICROFILARIA: están cubiertas, presenta cola cónica, núcleos terminal y sub terminal. FILARIAS ADULTO MICROFILARIAS