PRESENTACION DE CASO INTERESANTE
Jefe de Departamento:  Dr. Mario MejíaJefe de Servicio:           Dra. Aura Arreola.Jefa de Residentes:        Dra. Emilia OsorioResidente :                    Dr. Robin Álvarez.
DATOS GENERALESPACIENTE:  MMAE	    	                   REGISTRO:  566650FECHA DE INGRESO: 20 /8/2011             02:00FECHA DE NACIMIENTO: 04/11/05EDAD: 4 años.                       		        SEXO: MASCULINOORP:  San Lorenzo, San Marcos.MOTIVO DE CONSULTA:Referido de Hospital Nacional de San Marcos por Fiebre de 12 días de evolución.
HISTORIA DE LA ENFERMEDAD ACTUAL:Madre de paciente refiere que desde hace 12 días hijo inicia con fiebre NC x T, el cual aparece durante todo el día y aumenta durante toda la noche; en donde al tocar a hijo “quemaba de la fiebre "el cual aliviaron al darle de tomar una tableta de Neomelumbrinade 500mg, con el cual hijo “sudo” durante la noche. Madre refiere que dos días previos a inicio de la fiebre hijo presenta síntomas gripales y al asociarse fiebre; decide consultar a centro de salud.
En el C/S indican que cursa con infección de  “bronquios” por lo que inicia tratamiento con eritromicina  a 30 mg/k/día , acetaminofén  a 14 mg/kg/día y ambroxol durante 5 Días.  Sede fiebre durante 3 días, luego de haber finalizado 5 día de tratamiento, pero posteriormente inicia nuevamente con tos seca no productiva asociada con FNC x T; por lo que inicia nuevamente neomelumbrina una tableta cada 12 horas , pero fiebre no disminuye y se hace
Presente durante todo el día; hasta sentir a hijo nuevamente que “quemaba”, por lo que al decimo día consulta a hospital de San Marcos; donde  le indican que cursa con infección en “bronquios” y dan recetade antibiótico tomado; no recordando el nombre; así como “Gentamicina” una ampolla cada 24 horas cumpliendo tratamiento por dos días, siembargo ya que paciente “quemaba durante todo el día”
Reconsulta nuevamente a Hospital.Según hoja de referencia consultan en la mañana del día de hoy con historia de fiebre de 12 días de evolución asociado a dolor abdominal, solicitándole hemograma con Hgb12 g/dl, Leu 5,900 mm3; plt271,000, VES de 27 mm/H. Seg 57%;  lin 41%.Dengue IgG e IgM negativos. USG: liquido libre en espacio de cavidad abdominal, esplenomegalia y derrame pleural derecho. Para seguimiento de caso por falta de recurso diagnostico.
REVISION PATOLOGICA POR SISTEMASReferido en HEAPERFIL SOCIAL:Padre de 48 años, alfabeto, agricultor.Madre de 44 años analfabeta, oficios domésticos .
INGRESO FAMILIAR MENSUAL PROMEDIO: Q. 1200.00HABITACION:Casa: rentada			No. De habitaciones:  2Paredes:  Block			Letrina: siFuente de agua: Pozo.                ANTECEDENTES FAMILIARES PATOLOGICOS:Enfermedad de los padres:    No refiere.Antecedentes de abuelos:      No refiere.HERMANOS: 7			EDAD: 28ª, 26ª, 24ª, 22ª, 19ª, 17ª, 14ª.CONDICIONES DE SALUD:  buenas.
ANTECEDENTES PERSONALES PRENATALES:EMBARAZOS ANTERIORES: 8NACIDOS VIVOS: 7HIJOS VIVOS 7HIJOS MUERTOS 0ABORTOS 1 ( no se sabe causa desencadenante)EDAD GESTACIONA  9 meses.ENFERMEDADES MATERNAS DURANTE EL EMBARAZO:Infección Urinaria 2do trimestre; no recuerda Tx.PERINATALES:TIPO DE PARTO : Parto  Eutocico Simple.ASISTENCIA: MedicaLUGAR: Hospital de Malacatan.CONDICIONES AL NACER: aparentemente buenasPeso al nacer 6lbs.Con respiracion y llanto inmediato.
NEONATALES:Ictericia el cual no fue necesario hospitalización.Lesiones bucales con tratamiento tópico no recuerda medicamento, mejora rápidamente.ALIMENTACION:LACTANCIA:  natural con destete a los 3 años.DIETA: variada.ALIMENTACION ACTUAL:Variada-INTOLERANCIAS: No refiere.
CRECIMIENTO Y DESARROLLOSonrisa: 3m.Sosten de cabeza 4m.Sentado: 6 mesesParo:9 m.Marcha 11 meses.Primeras palabras:1ª.Lenguaje correcto. 3 años.ESCOLARIDAD: aun no.HABITOS:EVACUACIONES:    2 veces al día.MICCION : 5 a 6 veces al día.Sueño: adecuado.Apetito: adecuado.
ANTECEDENTES PERSONALES PATOLOGICOSMEDICOS:No refiere.INMUNIZACIONES:Refiere esquema completo, pero no presenta carnet.
EXAMEN FISICOPESO: 15 KGS	T°axilar: 37°C   FC: 82x’ 	FR: 32x’        SPO2: 92%               P/T –0.95	P/A 95/60 mmHg.Paciente en regular  estado general, alerta, activo, Cabello de adecuada implantación, piel elástica húmeda con leve palidez generalizada, normocéfalo, ojos con pupilas isocoricasfotoreactivas a la luz, oídos conductos auditivos permeables, orejas de implantación normal, nariz tabique nasal central, boca mucosas orales húmedas con leve hiperemia amigdalar,
cuello móvil simétrico, no se palpan adenopatías, Tórax simétrico, expandible, pulmones con roncus en campo pulmonar derecho; izaquierdo con adecuada entrada de aire, corazón rítmico no taquicardico no se ausculta soplos, abdomen blando, doloroso a la palpacion en cuadrantes superiores y region dorsal; Ruidos gastrointestinales presentes,con hepatomegalia con 4cm PDRC, Genitales externos masculinos de aspecto normal,
Se palpa adenopatías de mas o menos 1 cm. De diámetro en región inguinal bilateral, extremidades móviles simétricas  fuerza muscular y reflejos conservados, pulsos periféricos palpables llenado capilar < 3 segundos.
LISTADO INICIAL DE PROBLEMASFiebre NC x T.Síntomas GripalesDolor AbdominalTos seca no productivaPalidez generalizadaRoncus en campo pulmonar derecho.HepatomegaliaDolor abdominal en banda.Adenopatia inguinal.Liquido libre en cavidad abdominal por USG.Esplenomegalia por USG.Derrame pleural derecho.
DIAGNOSTICOS DE INGRESOFiebre sin foco aparente.Hepatomegalia en estudio.
LABORATORIOS DE INGRESO19/5/11GB: 5,000 10-3/UL                  GRA:  55.9%LINF: 26%.                                MON: 6% HB: 13.4 g/dl.		               HT: 40.7 %PLA: 92,000.		               Gluc. 91 mg/dl.PCR. Negativo.                          Creat. 0. 6 mg/dl.Na128 mmol/dl.                      BUN: 13.2 mg/dl.TG0 301 UI/L                            TGP 74 UI/L.Calcio 9.29 mmol/dl.		     TP y TPT: mx. Hemolizada.K  4.8mmol/dl.
Amilasa 100U/l (220)Lipasa 21u/l      (60)UROANALISIS.Color amarillo.Apspecto turbioPh 6.Examen quimico: normal.Examen Microscopico: Epitelio escamoso +Bacterias +Leu 2/3  por camplCilindros:Hialinos y finos +
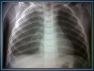
RxToraxPosteroanterior.9 EICRCT 54%Parénquima pulmonar con aumento de trama vascular y evidencia imagen radiopaca que borra seno cardiofrenico derecho.Estructuras óseas y blandas normales.USG ABDOMINAL.Derrame pleural bilateral.Esplenomegalia.Proceso renal agudo.Liquido libre en fosa de morrison, espacio yuxtaesplenico  y fosas ileacas.
Comentario:Por datos de historia clínica paciente cursa con cuadro de fiebre sin foco aparente  aunque madre refiere 24 horas sin fiebre y en este momento no se ha documentado fiebre, llama la atención al examen físico la presencia de hepatomegalia, asociado a liquido libre y derrame pleural menor del 5% por USG según referencia verbal de radiólogos. Consideramos descartar orígenes y causas teniendo como primerasPosibilidades enfermedades infecciosas e inflamatorios abdominales;  principalmente hepatitis anicterica que son frecuentes en un 50% en niños de hasta 4 años; necesitamos descartarla, sin embargo no contamos con pruebas en este momento  y familiares no pueden realizarlo por lo privado, como complemento diagnostico a nuestra sospecha. Otras  opciones son procesos auto inmunitarios  o enfermedades infiltrativas o por almacenamiento.Consideramos que historia y examen físico continúan siendo los principales fundamentos para encausar diagnostico.
Llama la atención también dolor en banda a nivel de cuadrantes superiores asociado a derrame, se sospecha pancreatitis la cual se descarta.  SE solicita hemograma, panel  de hepatitisAlbumina, proteínas , Relación A/G, Frote periférico, los cuales se solicitaran en servicio nuevamente ya que no se están realizando. Se decide ingreso de paciente para estudio  sin cobertura antibiótica en este momento  ya que paciente hedinámicamente estable.
21/8/11. EVOLUCIONPaciente hasta el día de hoy afebril, a quien se ausculta soplo tubarico y roncus en campo pulmonar derecho, se reevaluaRx de torax con imagen radiopaca  a nivel de seno cardiofrenico que corresponde a neumonía con tendencia a la consolidación por lo que se decide iniciar tratamiento con acetilcefuroxima, se realiza frote periférico para descartar proceso séptico, se considera que hepatomegalia sea por el proceso neumónico; sin embargo esta 2cm PDRC  que no es significativa.
22/8/11 EVOLUCIONPte con su segundo día con cobertura antibiótica, conocido por neumología quien recomienda complementar con RX de senos paranasales . NOTA DE  RX. DE SENOS PARANASALES.Opacidad en seno maxilar derecho.
23/8 /11Paciente que el día de hoy se solicita en servicio Rx tórax control para valorar resolución de cuadro neumónico. Además se obtiene resultado de VIH, VDRL y Hepatitis B; los cuales son no reactivos.NOTA DE RX DE TORAX8 EIC.   RCT 52%.Parénquima pulmonar con edema peri bronquial.Senos libres.Estructuras óseas y blandas normales.
24/8/11 EVOLUCIONPaciente  a quien se obtiene resultado de frote periférico reportando leucopenia, hematólogo solicita hematología y Dengue IgM control; ya que se le comenta caso y por hallazgos en frote no descarta que paciente haya cursado con Dengue .
26/8/11EgresoRP cefuroxime y loratadina.
DENGUE
DEFINICIÓNEnfermedad viral, de carácter endémico-epidémico, transmitida por mosquitos del género Aedes aegypti; que se presenta desde cuadros asintomaticos hasta formas graves que llevan a shock y falla de órganos vitales.
FRECUENCIAEl dengue es endémico de países tropicales y templados. La transmisión ocurre por debajo de los 2.000 metros debajo del nivel del mar, con mayor intensidad en la estación de las lluvias, y es interrumpida por el clima frío.Las regiones más afectadas son el Caribe, América Central y del Sur, Hawai, Sudeste asiático, México, Australia, Pacífico Sur y África Central y Occidental.
La primera epidemia de dengue  fue en Escuintla en agosto de 1978 (1)En 1987, ocurrió un nuevo brote de dengue y desde entonces, la enfermedad se ha propagado a todas las áreas infestadas por el vector.El primer brote grave ocurrió en 1987 con 2.318 casos. El serotipo aislado de los pacientes durante este brote fue DEN-1. En 1991, los casos de dengue y de DH llegaron al número máximo de 10.968. Se observó una brusca disminución en el número de casos notificados en 1992, con solamente 1.286
Todos los departamentos de Guatemala registran casos de dengue, principalmente los departamentos de Izabal, Zacapa, Petén y Chiquimula (registros 2009). La población más afectada corresponde a zonas urbanas.
¿Que se necesita para que exista Dengue…?AgenteARN virusFuenteHuésped susceptibleHumanos infectadosPersonas queno tuvieron dengueMecanismo de transmisiónVector No se contagia entre humanosAedes aegypti
Tipos de criaderos...
FACTORES DESENCADENTANTES:Ambiente favorable para el desarrollo del vector.
 Desplazamientos de personas infectadas.
 Diseminación de los mosquitos del dengue.
 Abastecimiento de agua deficiente.
 Recolección de basura deficiente.
 Clima y geografía.	>> Otros Factores Educación sanitaria deficiente.
 Insuficiencia de los programas de control de mosquitos.
 Resistencia del vector a los insecticidas.Los principales vectores de la enfermedad son el Aedes Aegypti y Aedes Albopictus. El Ae. Aegypti tiene su origen en el continente africano. Se conocen tres variedades principales: Aedes Aegyptivar. Aegypti(mayor distribución mundial); Aedes Aegyptivar.  Formosus, y Aedes Aegyptivar. Queenslandensis. El Agente: virus Dengue4 SEROTIPOS PUEDEN CAUSAR DENGUE CLASICODEN-1  DEN-2  DEN-3  DEN-4
1. El virus se transmite aun ser humano por mediode la saliva del mosquito  122. El virus se replica    en los órganos diana43. El virus infecta los    leucocitos y los    tejidos linfáticos34. El virus se libera y    circula en la sangreReplicación y transmisióndel virus del dengue (Parte 1)
5. Un segundo mosquito    ingiere el virus junto     con la sangre66. El virus se replica en la     zona embrionaria del     tubo digestivo del     mosquito y en otros     órganos, e infecta las     glándulas salivares757. El virus se replica    en las glándulas salivaresReplicación y transmisióndel virus del dengue (Parte 2)
El mosquito se alimenta /El mosquito se realimenta /adquiere el virustransmite el virusPeríodo deincubaciónintrínsecaPeríodo de incubación extrínsecaViremiaViremia0581216202428DíasEnfermedadEnfermedadHumano 1Humano 2Transmisión del virus del denguepor Aedesaegypti
Dengue. Curso de la enfermedad
Fase febril. Signos y síntomasFiebre alta y repentina de tipo bimodal.Fase febril aguda dura de 2 a 7 días.Enrojecimiento facialEritemaDolor corporal generalizado, mialgias, artralgiasCefaleaDolor retro-ocularOdinofagia e hiperemia en faringe y conjuntivasAnorexia, náuseas y vómitoManifestaciones hemorrágicas menores (petequias yequimosis en la piel)HepatomegaliaDisminución de glóbulos blancosLa bradicardia relativa es común en esta fasePrueba del torniquete positiva
Fase crítica. Signos y síntomasPrimeros 3 a 7 días de la enfermedad, puede aumentar la permeabilidad capilar paralelamente con los niveles del hematocritoDura de 24 a 48 horas.Puede asociarse con hemorragiaExtravasación de plasmaDerrame pleural y ascitisChoqueHemorragia grave = glóbulos blancos aumentan
Fase de recuperación. Signos y síntomasReabsorción gradual del líquido extravasadoMejoría del estado generalSe incrementa la diuresis.Prurito generalizadoEl hematocrito se estabilizaGlóbulos blancos aumentanLa recuperación en el número de plaquetas suele ser posterior a la de los glóbulos blancos.Puede dar lugar a edema pulmonar o insuficiência cardíaca congestiva.
El vector: AedesaegyptiVive aprox. 30 díasSolo la hembra es hematófaga y pica durante el díaPuede producir entre 300 y 400 huevos por hembraPueden vivir hasta 1 año.Luego de alimentarse de una persona infectada pueden transmitir el virus en 12 díasLa capacidad vectorial se mantiene durante toda su vida
Ciclo biológicoHuevo              LarvaPupa                   Adulto
CLASIFICACIÓN
Las diversas manifestaciones clínicas que se dan en el dengue se han agrupado en tres tipos, según su nivel de gravedad: Dengue clásico
 Dengue hemorrágico.
 Síndrome de choque por denguePresentación clínicaDengue clásico: Periodo de incubación 7 a 10 días	Fiebre de mas de 3 o 4 días de duraciónDolores musculares y articulares intensosDolor retro orbitarioExantema cutáneoDengue hemorrágico o Fiebre hemorrágica por Dengue (FHD)Se agregan manifestaciones hemorrágicas que puede tener consecuencias letales
Pacientes con dengueDisminción de la fiebreMejoranEmpeoranDengue sin signos de alarmaDengue con signos de alarmaDengue grave
Signos de alarma
 II. Técnicas de diagnóstico serológicoInhibición de la hemoaglutinación.Fijación del complemento.Neutralización por reducción del número de placas.Inmunofluorescencia.Radioinmunoensayo.Ensayos inmunoenzimáticos (ELISA).ELISA de captura IgM.ELISA de inhibición.III. Técnicas de biología molecularFingerprinting.Reacción en cadena de polimerasa (RCP).Secuenciación de ácidos nucleicos.anticuerpo IgM en el suero. (10)
Pruebas de laboratorio clínico:Hemograma: Se encuentra leucocitosis y signos de hemoconcentración El aumento del Hematocrito se considera prueba de aumento de la permeabilidad capilar y de la extravasación de plasma. (6) La leucocitosis oscila entre 5 000 y 10 000.Solo el 10% de los enfermos presentan leucopenia. (9) Se observa linfocitosis al final de la etapa febril. (6)Coagulograma: Hay trombocitopenia, tiempo de sangramiento prolongado y fibrinógeno disminuido por aumento en su consumo.
Transaminasas: En algunos casos están elevadas.Ionograma: Hiponatremia.Urea: Elevada.Proteínas Totales: Hipoproteinemia.Complemento sérico: Está disminuido el Clq, C4 y C5- C8, con aumento del ritmo catabólico de C3.Electrocardiograma: Taquicardia o bradicardia, trastornos de repolarización y de la conducción aurículoventricular, con bloqueos de 1er y 2do grados.Rx. de Tórax:   Reforzamiento de la trama broncoalveolar, y derrame pleural bilateral o derecho.USG: Ascitis, hepatomegalia y edema perivesicular. (8)Gasometría: Usualmente existe acidosis metabólica. (12)Pruebas específicas para dengue    Similares a FD (6)

Dengue

  • 1.
  • 2.
    Jefe de Departamento: Dr. Mario MejíaJefe de Servicio: Dra. Aura Arreola.Jefa de Residentes: Dra. Emilia OsorioResidente : Dr. Robin Álvarez.
  • 3.
    DATOS GENERALESPACIENTE: MMAE REGISTRO: 566650FECHA DE INGRESO: 20 /8/2011 02:00FECHA DE NACIMIENTO: 04/11/05EDAD: 4 años. SEXO: MASCULINOORP: San Lorenzo, San Marcos.MOTIVO DE CONSULTA:Referido de Hospital Nacional de San Marcos por Fiebre de 12 días de evolución.
  • 4.
    HISTORIA DE LAENFERMEDAD ACTUAL:Madre de paciente refiere que desde hace 12 días hijo inicia con fiebre NC x T, el cual aparece durante todo el día y aumenta durante toda la noche; en donde al tocar a hijo “quemaba de la fiebre "el cual aliviaron al darle de tomar una tableta de Neomelumbrinade 500mg, con el cual hijo “sudo” durante la noche. Madre refiere que dos días previos a inicio de la fiebre hijo presenta síntomas gripales y al asociarse fiebre; decide consultar a centro de salud.
  • 5.
    En el C/Sindican que cursa con infección de “bronquios” por lo que inicia tratamiento con eritromicina a 30 mg/k/día , acetaminofén a 14 mg/kg/día y ambroxol durante 5 Días. Sede fiebre durante 3 días, luego de haber finalizado 5 día de tratamiento, pero posteriormente inicia nuevamente con tos seca no productiva asociada con FNC x T; por lo que inicia nuevamente neomelumbrina una tableta cada 12 horas , pero fiebre no disminuye y se hace
  • 6.
    Presente durante todoel día; hasta sentir a hijo nuevamente que “quemaba”, por lo que al decimo día consulta a hospital de San Marcos; donde le indican que cursa con infección en “bronquios” y dan recetade antibiótico tomado; no recordando el nombre; así como “Gentamicina” una ampolla cada 24 horas cumpliendo tratamiento por dos días, siembargo ya que paciente “quemaba durante todo el día”
  • 7.
    Reconsulta nuevamente aHospital.Según hoja de referencia consultan en la mañana del día de hoy con historia de fiebre de 12 días de evolución asociado a dolor abdominal, solicitándole hemograma con Hgb12 g/dl, Leu 5,900 mm3; plt271,000, VES de 27 mm/H. Seg 57%; lin 41%.Dengue IgG e IgM negativos. USG: liquido libre en espacio de cavidad abdominal, esplenomegalia y derrame pleural derecho. Para seguimiento de caso por falta de recurso diagnostico.
  • 8.
    REVISION PATOLOGICA PORSISTEMASReferido en HEAPERFIL SOCIAL:Padre de 48 años, alfabeto, agricultor.Madre de 44 años analfabeta, oficios domésticos .
  • 9.
    INGRESO FAMILIAR MENSUALPROMEDIO: Q. 1200.00HABITACION:Casa: rentada No. De habitaciones: 2Paredes: Block Letrina: siFuente de agua: Pozo. ANTECEDENTES FAMILIARES PATOLOGICOS:Enfermedad de los padres: No refiere.Antecedentes de abuelos: No refiere.HERMANOS: 7 EDAD: 28ª, 26ª, 24ª, 22ª, 19ª, 17ª, 14ª.CONDICIONES DE SALUD: buenas.
  • 10.
    ANTECEDENTES PERSONALES PRENATALES:EMBARAZOSANTERIORES: 8NACIDOS VIVOS: 7HIJOS VIVOS 7HIJOS MUERTOS 0ABORTOS 1 ( no se sabe causa desencadenante)EDAD GESTACIONA 9 meses.ENFERMEDADES MATERNAS DURANTE EL EMBARAZO:Infección Urinaria 2do trimestre; no recuerda Tx.PERINATALES:TIPO DE PARTO : Parto Eutocico Simple.ASISTENCIA: MedicaLUGAR: Hospital de Malacatan.CONDICIONES AL NACER: aparentemente buenasPeso al nacer 6lbs.Con respiracion y llanto inmediato.
  • 11.
    NEONATALES:Ictericia el cualno fue necesario hospitalización.Lesiones bucales con tratamiento tópico no recuerda medicamento, mejora rápidamente.ALIMENTACION:LACTANCIA: natural con destete a los 3 años.DIETA: variada.ALIMENTACION ACTUAL:Variada-INTOLERANCIAS: No refiere.
  • 12.
    CRECIMIENTO Y DESARROLLOSonrisa:3m.Sosten de cabeza 4m.Sentado: 6 mesesParo:9 m.Marcha 11 meses.Primeras palabras:1ª.Lenguaje correcto. 3 años.ESCOLARIDAD: aun no.HABITOS:EVACUACIONES: 2 veces al día.MICCION : 5 a 6 veces al día.Sueño: adecuado.Apetito: adecuado.
  • 13.
    ANTECEDENTES PERSONALES PATOLOGICOSMEDICOS:Norefiere.INMUNIZACIONES:Refiere esquema completo, pero no presenta carnet.
  • 14.
    EXAMEN FISICOPESO: 15KGS T°axilar: 37°C FC: 82x’ FR: 32x’ SPO2: 92% P/T –0.95 P/A 95/60 mmHg.Paciente en regular estado general, alerta, activo, Cabello de adecuada implantación, piel elástica húmeda con leve palidez generalizada, normocéfalo, ojos con pupilas isocoricasfotoreactivas a la luz, oídos conductos auditivos permeables, orejas de implantación normal, nariz tabique nasal central, boca mucosas orales húmedas con leve hiperemia amigdalar,
  • 15.
    cuello móvil simétrico,no se palpan adenopatías, Tórax simétrico, expandible, pulmones con roncus en campo pulmonar derecho; izaquierdo con adecuada entrada de aire, corazón rítmico no taquicardico no se ausculta soplos, abdomen blando, doloroso a la palpacion en cuadrantes superiores y region dorsal; Ruidos gastrointestinales presentes,con hepatomegalia con 4cm PDRC, Genitales externos masculinos de aspecto normal,
  • 16.
    Se palpa adenopatíasde mas o menos 1 cm. De diámetro en región inguinal bilateral, extremidades móviles simétricas fuerza muscular y reflejos conservados, pulsos periféricos palpables llenado capilar < 3 segundos.
  • 17.
    LISTADO INICIAL DEPROBLEMASFiebre NC x T.Síntomas GripalesDolor AbdominalTos seca no productivaPalidez generalizadaRoncus en campo pulmonar derecho.HepatomegaliaDolor abdominal en banda.Adenopatia inguinal.Liquido libre en cavidad abdominal por USG.Esplenomegalia por USG.Derrame pleural derecho.
  • 18.
    DIAGNOSTICOS DE INGRESOFiebresin foco aparente.Hepatomegalia en estudio.
  • 19.
    LABORATORIOS DE INGRESO19/5/11GB:5,000 10-3/UL GRA: 55.9%LINF: 26%. MON: 6% HB: 13.4 g/dl. HT: 40.7 %PLA: 92,000. Gluc. 91 mg/dl.PCR. Negativo. Creat. 0. 6 mg/dl.Na128 mmol/dl. BUN: 13.2 mg/dl.TG0 301 UI/L TGP 74 UI/L.Calcio 9.29 mmol/dl. TP y TPT: mx. Hemolizada.K 4.8mmol/dl.
  • 20.
    Amilasa 100U/l (220)Lipasa21u/l (60)UROANALISIS.Color amarillo.Apspecto turbioPh 6.Examen quimico: normal.Examen Microscopico: Epitelio escamoso +Bacterias +Leu 2/3 por camplCilindros:Hialinos y finos +
  • 21.
    RxToraxPosteroanterior.9 EICRCT 54%Parénquimapulmonar con aumento de trama vascular y evidencia imagen radiopaca que borra seno cardiofrenico derecho.Estructuras óseas y blandas normales.USG ABDOMINAL.Derrame pleural bilateral.Esplenomegalia.Proceso renal agudo.Liquido libre en fosa de morrison, espacio yuxtaesplenico y fosas ileacas.
  • 23.
    Comentario:Por datos dehistoria clínica paciente cursa con cuadro de fiebre sin foco aparente aunque madre refiere 24 horas sin fiebre y en este momento no se ha documentado fiebre, llama la atención al examen físico la presencia de hepatomegalia, asociado a liquido libre y derrame pleural menor del 5% por USG según referencia verbal de radiólogos. Consideramos descartar orígenes y causas teniendo como primerasPosibilidades enfermedades infecciosas e inflamatorios abdominales; principalmente hepatitis anicterica que son frecuentes en un 50% en niños de hasta 4 años; necesitamos descartarla, sin embargo no contamos con pruebas en este momento y familiares no pueden realizarlo por lo privado, como complemento diagnostico a nuestra sospecha. Otras opciones son procesos auto inmunitarios o enfermedades infiltrativas o por almacenamiento.Consideramos que historia y examen físico continúan siendo los principales fundamentos para encausar diagnostico.
  • 24.
    Llama la atencióntambién dolor en banda a nivel de cuadrantes superiores asociado a derrame, se sospecha pancreatitis la cual se descarta. SE solicita hemograma, panel de hepatitisAlbumina, proteínas , Relación A/G, Frote periférico, los cuales se solicitaran en servicio nuevamente ya que no se están realizando. Se decide ingreso de paciente para estudio sin cobertura antibiótica en este momento ya que paciente hedinámicamente estable.
  • 25.
    21/8/11. EVOLUCIONPaciente hastael día de hoy afebril, a quien se ausculta soplo tubarico y roncus en campo pulmonar derecho, se reevaluaRx de torax con imagen radiopaca a nivel de seno cardiofrenico que corresponde a neumonía con tendencia a la consolidación por lo que se decide iniciar tratamiento con acetilcefuroxima, se realiza frote periférico para descartar proceso séptico, se considera que hepatomegalia sea por el proceso neumónico; sin embargo esta 2cm PDRC que no es significativa.
  • 26.
    22/8/11 EVOLUCIONPte consu segundo día con cobertura antibiótica, conocido por neumología quien recomienda complementar con RX de senos paranasales . NOTA DE RX. DE SENOS PARANASALES.Opacidad en seno maxilar derecho.
  • 27.
    23/8 /11Paciente queel día de hoy se solicita en servicio Rx tórax control para valorar resolución de cuadro neumónico. Además se obtiene resultado de VIH, VDRL y Hepatitis B; los cuales son no reactivos.NOTA DE RX DE TORAX8 EIC. RCT 52%.Parénquima pulmonar con edema peri bronquial.Senos libres.Estructuras óseas y blandas normales.
  • 29.
    24/8/11 EVOLUCIONPaciente a quien se obtiene resultado de frote periférico reportando leucopenia, hematólogo solicita hematología y Dengue IgM control; ya que se le comenta caso y por hallazgos en frote no descarta que paciente haya cursado con Dengue .
  • 30.
  • 31.
  • 32.
    DEFINICIÓNEnfermedad viral, decarácter endémico-epidémico, transmitida por mosquitos del género Aedes aegypti; que se presenta desde cuadros asintomaticos hasta formas graves que llevan a shock y falla de órganos vitales.
  • 33.
    FRECUENCIAEl dengue esendémico de países tropicales y templados. La transmisión ocurre por debajo de los 2.000 metros debajo del nivel del mar, con mayor intensidad en la estación de las lluvias, y es interrumpida por el clima frío.Las regiones más afectadas son el Caribe, América Central y del Sur, Hawai, Sudeste asiático, México, Australia, Pacífico Sur y África Central y Occidental.
  • 34.
    La primera epidemiade dengue fue en Escuintla en agosto de 1978 (1)En 1987, ocurrió un nuevo brote de dengue y desde entonces, la enfermedad se ha propagado a todas las áreas infestadas por el vector.El primer brote grave ocurrió en 1987 con 2.318 casos. El serotipo aislado de los pacientes durante este brote fue DEN-1. En 1991, los casos de dengue y de DH llegaron al número máximo de 10.968. Se observó una brusca disminución en el número de casos notificados en 1992, con solamente 1.286
  • 35.
    Todos los departamentosde Guatemala registran casos de dengue, principalmente los departamentos de Izabal, Zacapa, Petén y Chiquimula (registros 2009). La población más afectada corresponde a zonas urbanas.
  • 36.
    ¿Que se necesitapara que exista Dengue…?AgenteARN virusFuenteHuésped susceptibleHumanos infectadosPersonas queno tuvieron dengueMecanismo de transmisiónVector No se contagia entre humanosAedes aegypti
  • 37.
  • 38.
    FACTORES DESENCADENTANTES:Ambiente favorablepara el desarrollo del vector.
  • 39.
    Desplazamientos depersonas infectadas.
  • 40.
    Diseminación delos mosquitos del dengue.
  • 41.
    Abastecimiento deagua deficiente.
  • 42.
    Recolección debasura deficiente.
  • 43.
    Clima ygeografía. >> Otros Factores Educación sanitaria deficiente.
  • 44.
    Insuficiencia delos programas de control de mosquitos.
  • 45.
    Resistencia delvector a los insecticidas.Los principales vectores de la enfermedad son el Aedes Aegypti y Aedes Albopictus. El Ae. Aegypti tiene su origen en el continente africano. Se conocen tres variedades principales: Aedes Aegyptivar. Aegypti(mayor distribución mundial); Aedes Aegyptivar.  Formosus, y Aedes Aegyptivar. Queenslandensis. El Agente: virus Dengue4 SEROTIPOS PUEDEN CAUSAR DENGUE CLASICODEN-1 DEN-2 DEN-3 DEN-4
  • 46.
    1. El virusse transmite aun ser humano por mediode la saliva del mosquito 122. El virus se replica en los órganos diana43. El virus infecta los leucocitos y los tejidos linfáticos34. El virus se libera y circula en la sangreReplicación y transmisióndel virus del dengue (Parte 1)
  • 47.
    5. Un segundomosquito ingiere el virus junto con la sangre66. El virus se replica en la zona embrionaria del tubo digestivo del mosquito y en otros órganos, e infecta las glándulas salivares757. El virus se replica en las glándulas salivaresReplicación y transmisióndel virus del dengue (Parte 2)
  • 48.
    El mosquito sealimenta /El mosquito se realimenta /adquiere el virustransmite el virusPeríodo deincubaciónintrínsecaPeríodo de incubación extrínsecaViremiaViremia0581216202428DíasEnfermedadEnfermedadHumano 1Humano 2Transmisión del virus del denguepor Aedesaegypti
  • 49.
    Dengue. Curso dela enfermedad
  • 50.
    Fase febril. Signosy síntomasFiebre alta y repentina de tipo bimodal.Fase febril aguda dura de 2 a 7 días.Enrojecimiento facialEritemaDolor corporal generalizado, mialgias, artralgiasCefaleaDolor retro-ocularOdinofagia e hiperemia en faringe y conjuntivasAnorexia, náuseas y vómitoManifestaciones hemorrágicas menores (petequias yequimosis en la piel)HepatomegaliaDisminución de glóbulos blancosLa bradicardia relativa es común en esta fasePrueba del torniquete positiva
  • 51.
    Fase crítica. Signosy síntomasPrimeros 3 a 7 días de la enfermedad, puede aumentar la permeabilidad capilar paralelamente con los niveles del hematocritoDura de 24 a 48 horas.Puede asociarse con hemorragiaExtravasación de plasmaDerrame pleural y ascitisChoqueHemorragia grave = glóbulos blancos aumentan
  • 52.
    Fase de recuperación.Signos y síntomasReabsorción gradual del líquido extravasadoMejoría del estado generalSe incrementa la diuresis.Prurito generalizadoEl hematocrito se estabilizaGlóbulos blancos aumentanLa recuperación en el número de plaquetas suele ser posterior a la de los glóbulos blancos.Puede dar lugar a edema pulmonar o insuficiência cardíaca congestiva.
  • 53.
    El vector: AedesaegyptiViveaprox. 30 díasSolo la hembra es hematófaga y pica durante el díaPuede producir entre 300 y 400 huevos por hembraPueden vivir hasta 1 año.Luego de alimentarse de una persona infectada pueden transmitir el virus en 12 díasLa capacidad vectorial se mantiene durante toda su vida
  • 54.
    Ciclo biológicoHuevo LarvaPupa Adulto
  • 56.
  • 57.
    Las diversas manifestacionesclínicas que se dan en el dengue se han agrupado en tres tipos, según su nivel de gravedad: Dengue clásico
  • 58.
  • 59.
    Síndrome dechoque por denguePresentación clínicaDengue clásico: Periodo de incubación 7 a 10 días Fiebre de mas de 3 o 4 días de duraciónDolores musculares y articulares intensosDolor retro orbitarioExantema cutáneoDengue hemorrágico o Fiebre hemorrágica por Dengue (FHD)Se agregan manifestaciones hemorrágicas que puede tener consecuencias letales
  • 62.
    Pacientes con dengueDisminciónde la fiebreMejoranEmpeoranDengue sin signos de alarmaDengue con signos de alarmaDengue grave
  • 63.
  • 66.
     II. Técnicas dediagnóstico serológicoInhibición de la hemoaglutinación.Fijación del complemento.Neutralización por reducción del número de placas.Inmunofluorescencia.Radioinmunoensayo.Ensayos inmunoenzimáticos (ELISA).ELISA de captura IgM.ELISA de inhibición.III. Técnicas de biología molecularFingerprinting.Reacción en cadena de polimerasa (RCP).Secuenciación de ácidos nucleicos.anticuerpo IgM en el suero. (10)
  • 67.
    Pruebas de laboratorioclínico:Hemograma: Se encuentra leucocitosis y signos de hemoconcentración El aumento del Hematocrito se considera prueba de aumento de la permeabilidad capilar y de la extravasación de plasma. (6) La leucocitosis oscila entre 5 000 y 10 000.Solo el 10% de los enfermos presentan leucopenia. (9) Se observa linfocitosis al final de la etapa febril. (6)Coagulograma: Hay trombocitopenia, tiempo de sangramiento prolongado y fibrinógeno disminuido por aumento en su consumo.
  • 68.
    Transaminasas: En algunoscasos están elevadas.Ionograma: Hiponatremia.Urea: Elevada.Proteínas Totales: Hipoproteinemia.Complemento sérico: Está disminuido el Clq, C4 y C5- C8, con aumento del ritmo catabólico de C3.Electrocardiograma: Taquicardia o bradicardia, trastornos de repolarización y de la conducción aurículoventricular, con bloqueos de 1er y 2do grados.Rx. de Tórax:   Reforzamiento de la trama broncoalveolar, y derrame pleural bilateral o derecho.USG: Ascitis, hepatomegalia y edema perivesicular. (8)Gasometría: Usualmente existe acidosis metabólica. (12)Pruebas específicas para dengue    Similares a FD (6)