EDEMA
PULMONAR
CONCEPTO
 Edema es el término con que se designa al excesivo acumulo
de líquidos en los tejidos. Este líquido puede acumularse
dentro o fuera de las células.
Edema Pulmonar,
efusión de líquido seroso
dentro de los alvéolos
pulmonares o dentro
del tejido
intersticial del pulmón.
Cardiogénico No
Cardiogénico
EPIDEMIOLOGÍA
 Usualmente el edema pulmonar se separa endos
grandes grupos: el edema cardiogénico y los edemas no
cardiogénicos. El primero seasocia con la existencia de
enfermedad agu-da o crónica cardiovascular.
 Estudio en Cuba. Enero/00- Diciembre/06. “Letalidad
por Edema Pulmonar en los servicios de urgencias”.
 Población: 100 muertes por edema pulmonar.
 Letalidad: 13.1%: Cardiogénico: 61.8%
No cardiogénico: 38.1%
Hombres: 63.1%
Mujeres: 35.5%
ETIOLOGÍA
Edema Pulmonar
Cardiogénico
(Aumento de la Presión
Capilar Pulmonar)
Edema Pulmonar no
Cardiogénico
Dificultad en el vaciado de la
aurícula izquierda.
Alteraciones de la membrana
alveolocapilar (Síndrome de
Dificultad Respiratoria del Adulto).
Insuficiencia ventricular izquierda. Reducción de la presión oncótica
plasmática.
Aumento de la presión oncótica
intersticial.
Insuficiencia linfática.
PATOGENIA
 Ley de Starling:
 La alteración en cualquiera de los factores de la
ecuación de Starling puede causar aumento en la
salida transvascular de líquido. Sin embargo, en la
práctica clínica solo dos de estos factores causan en
forma frecuente edema pulmonar.
FISIOPATOLOGÍA
Rápida transudación de
exceso de líquido en los
pulmones, por aumento
de la presión capilar
pulmonar.
Ocurre en ausencia de
cambios en la
permeabilidad o
integridad del endotelio
de capilares
pulmonares.
Aumento de la presión
capilar pulmonar,
aumenta la presión
venosa pulmonar y la
presión microvascular.
Filtración de líquido
bajo en proteínas a
través del endotelio
pulmonar hacia el
espacio alveolar.
Disminuye la capacidad
de difusión, hipoxia y
dificultad respiratoria.
El equilibrio entre el
alvéolo y el lecho
vascular pulmonar,
depende de:
Permeabilidad o porosidad
de la pared capilar.
Presiones hidrostática y
oncótica intravasculares e
intersticiales.
En condiciones
normales:
Flujo continuo de pequeñas
cantidades de líquido bajo en
proteínas hacia el espacio
intersticial, el cual es eliminado
adecuadamente a través del
sistema linfático.
Se produce cuando:
Aumenta la permeabilidad de la
pared.
Aumenta la presión hidrostática
capilar.
Disminuye la presión hidrostática
intersticial.
Insuficiencia linfática pulmonar.
Edema pulmonar de mecanismo
incierto.
EDEMA PULMONAR DE ORIGEN
CARDIACO
 Disfunción sistólica del ventrículo izquierdo, alteración
de la válvula mitral, hipervolemia asociada con función
cardiaca izquierda normal o una u obstrucción
pulmonar venosa.
 La función sistólica del ventrículo izquierdo se deteriora,
el ventrículo se dilata y la presión final del ventrículo
izquierdo aumenta. Este aumento en la PDFVI causa
aumento en la presión capilar.
EDEMA PULMONAR DE ORIGEN
CARDIACO
 Aumento de presión venosa pulmonar
 Pulmones menos distensibles
 Aumenta la resistencia de vías respiratorias
 Elevación del flujo linfático
Taquipnea leve aumento presión intravascular
aumento de liquido extravascular: edema intersticial.
 Empeoran síntomas
 Líneas B de Kerley
 uniones intercelulares del endotelio capilar se ensanchan y
permiten el tránsito de macromoléculas hacia el plano
intersticial.
 Aumento de presión intravascular
 rotura de las uniones intercelulares herméticas entre las
células de revestimiento alveolar edema alveolar
 roncus y estertores húmedos bilaterales
 el paciente está angustiado y suda profusamente, y el
esputo es espumoso y hemoptoico.
EDEMA PULMONAR NO CARDIÓGENICO
 Aumento importante en la permeabilidad capilar al agua,
solutos y macromoléculas.
 Aumento en la concentración de proteínas en el líquido de
edema y presencia de muchos neutrófilos y sus productos
secretorios
La primera parte de la fase aguda exudativa se
caracteriza por edema intersticial e intralveolar, infiltración
neutrofílica, hemorragia y depósito de fibrina.
 Se deposita una mezcla de fibrina y detritos celulares en el
espacio alveolar para formar las llamadas membranas
hialinas que son prominentes 3 a 7 días después de la lesión
La denudación de la membrana
basal causa que los neumocitos
tipo II proliferen produciendo un
patrón de hiperplasia de las
células superficiales alveolares.
La fase proliferativa del SIRA
se caracteriza por inflamación
intersticial y proliferación de
fibroblastos, al inicio en el
intersticio
La fase crónica del SIRA
se manifiesta por regiones
de fibrosis intensa,
regiones focales de
expansión excesiva y
obliteración vascular
pulmonar
EDEMA PULMONAR NO
CARDIÓGENICO
 Hipoalbuminemia puede dar lugar al edema, pero
el equilibrio de las fuerzas orienta hacia la resorción,
requiriéndose aumento de presión capilar edema
intersticial
 De forma ocasional el paciente experimenta disnea con
signos físicos localizados en el pulmón edematoso
 El bloqueo linfático secundario a las enfermedades
fibróticas e inflamatorias o a la linfangitis
carcinomatosa puede causar edema intersticial.
 Rotura de membranas alveolocapilares: tóxicos
ambientales, infecciones pulmonares difusas
OTRAS FORMAS DE EDEMA PULMONAR
 Sobredosis de narcóticos: heroína, morfina, metadona y
dextropropoxifeno. Alteraciones en la permeabilidad de las
membranas alveolares y capilares.
 La permanencia o exposición a grandes altitudes:
vasoconstricción pulmonar inducida por hipoxia causa
aumento en la perfusión de las porciones menos obstruidas
del lecho vascular, lo que ocasiona lesión endotelial que
produce salida de líquido
Tos, esputo rosado, disnea de ejercicio o fiebre.
 Neurogeno:
La descarga adrenérgica masiva induce vasoconstricción
periférica con aumento de la presión arterial y derivación
de sangre hacia la circulación central, se produzca un
descenso en la distensibilidad ventricular izquierda, y que
ambos factores sirvan para elevar las presiones de la
aurícula izquierda en grado suficiente para causar edema
de pulmón de origen hemodinámico.
CUADRO CLÍNICO
• Disnea de ejercicio.
• Crépitos inspiratorios leves.
Etapa 1
• Hipoxemia.
• Cianosis.
• Diaforesis.
• Taquipnea.
• Disminución de la ventilación.
Etapa 2 o Fase Intersticial
• Hipoxemia severa e hipocapnia.
• Capacidad Vital disminuida.
• Expectoración espumosa y rosada.
Etapa 3 o de Edema
Alveolar
Depende de la fase en la que se encuentre el edema pulmonar.
Otros Síntomas
●Ortopnea.
●Tos.
●Disnea Paroxística Nocturna.
●Sibilancias.
●Piel pálida.
●Taquicardia.
Factores Principiantes
más Comunes:
●Cifras tensionales elevadas.
●Fibrilación auricular con respuesta
ventricular rápida.
●Angina de Pecho.
●Infección e Infarto Agudo del
Miocardio.
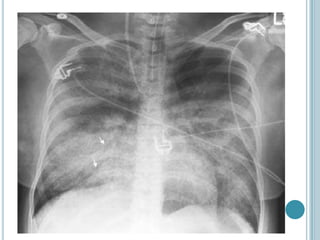
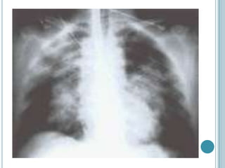
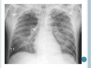
DIAGNÓSTICO
Fundamentalmente clínico. Debe basarse en la historia clínica y
confirmarse con radiografía de tórax.
Puede detectarlo antes de la aparición de signos clínicos.
Rx de Tórax, sin edema. Rx de Tórax, con edema.
EXÁMENES COMPLEMENTARIOS:
EKG Gases Arteriales
Hemograma Radioscopia o Fluoroscopia
Eco-Doppler Ecocardiografía Transtorácica
DIAGNOSTICO
EDEMA PULMONAR CARDIOGENICO:
 Clínica:
 disnea extrema, taquipnea, taquicardia, hipertensión y
diaforesis, cianosis periférica debida a vasoconstricción
cutánea intensa y reducción del gasto cardiaco.
 Al inicio del padecimiento la auscultación torácica
puede revelar sibilancias causadas por edema de las
vías respiratorias, después se escuchan estertores difusos.
 Ecocardiografía con sistema Doppler de color será
posible identificar disfunción ventricular sistólica y
diastólica y lesiones valvulares
DIAGNOSTICO
EDEMA PULMONAR NO CARDIOGENICO:
 Clínica:
suele existir menor actividad simpática y, cuando existe
cianosis, es causada por hipoxemia arterial. La piel
puede estar caliente en lugar de fría, húmeda y pálida.
 Estudios de imagen
Es típico que la radiografía de tórax demuestre un
proceso de ocupación alveolar difuso y simétrico.
Cuando se realiza tomografía computada, la
distribución de los espacios ocupados suele observarse
menos homogénea
TRATAMIENTO
Emergencia Médica.
Medidas Generales
-Restricción de
líquidos orales.
-Dieta Hiposódica.
-Dificultad
respiratoria:
importante
suspender vía oral.
-Vasodilatadores:
dinitrato
isosorbide.
-Inotrópicos:
Dogoxina.
-Suspender drogas
depresoras de la
contractilidad
cardíaca: B-
bloqueadores y
disopiramida.
-Paciente debe
estar sentado en
el borde de la
cama.
-Broncodilatación:
aminofilina.
-Vigilancia
permanente:
Ritmo y FC,
saturación de O2,
Presión arterial.
-Oxigenación.
-Morfina.
-Diuréticos:
Furosemida.
Manejo
Especializado
Unidad de Cuidados
Intensivos.
Tratamiento a
arritmias: digoxina.
Tratamiento
quirúrgico.
Nitroglicerina y el dinitrato de
isosorbida: La nitroglicerina sublingual
(0.4 mg x 3 cada 5 min) es el tratamiento
de primera línea contra el edema
pulmonar cardiógeno agudo. Si persiste
dicho edema y en caso de no haber
hipotensión, después de usar la vía
sublingual cabe utilizar la vía intravenosa
y comenzar el goteo a razón de 5 a 10
g/min.
Furosemida, bumetanida y
torsemida: La dosis inicial de furosemida
debe ser 0.5 mg/kg, pero se necesita una
dosis mayor (1 mg/kg) en sujetos en
insuficiencia renal, si hubo consumo de
diuréticos por largo tiempo o si hay
hipervolemia, o después de que sea
ineficaz una dosis menor.
Métodos físicos: La disminución del
retorno venoso aminora la precarga. Es
importante conservar en posición sedente
a los pacientes sin hipotensión, de modo
que los miembros inferiores oscilen en el
borde del lecho.
Morfina por vía intravenosa -2 a
4mg:es un venodilatador transitorio que
disminuye la precarga y al mismo tiempo
corrige la disnea y la ansiedad.
La administración de inhibidores de
bipiridina fosfodiesterasa-3
(inodilatadores) como la amrinona (0.75
mg/kg de peso como dosis inicial seguida
de 5 a 20 g/kg/min) o la milrinona (50
g/kg, seguidos de 0.25 a 0.75 g/kg/min)
estimulan la contractilidad del miocardio
y también mejoran la vasodilatación
periférica y pulmonar.
Tratar la causa primaria
Oxigeno suplementario
Ventilación:
1) disminuye la precarga y la poscarga y con ello mejora la
función cardíaca;
2) redistribuye el agua de los pulmones desde el espacio
intraalveolar al extraalveolar, donde no interfiere tanto con el
intercambio gaseoso,
3) incrementa el volumen pulmonar para evitar la atelectasia.
COMPLICACIONES
 Compromiso severo de oxigenación hemática.
 Complicación del edema pulmonar de las alturas:
Hipoxia
Disminución de oxígeno en
diferentes órganos (cerebro).
Edema Cerebral.
BIBLIOGRAFÍA
 CEDIEL Ricardo; Semiología Médica 7ª edición, Bogotá,
Colombia, Editorial Médica Celsus, 2012.
 LLORET Josep, MUÑOZ Josefina; Protocolos Terapéuticos de
Urgencias 4ª edición, Barcelona, España, Editorial Masson
S.A., 2004.
 MITCHELL Richard, KUMAR Vinay; Compendio de Robinns y
Cotran Patología Estructural y Funcional 7ª edición, Madrid,
España, Editorial Elsevier, 2007.
 RUZA, Francisco; Cuidados Intensivos Pediátricos 3ª edición,
Madrid, España, Ediciones Norma-Capitel, 2002.
 VÉLEZ Hernán, ROJAS William; Paciente en Estado Crítico
3ª edición, Medellín, Colombia, Editorial Fondo Editorial
Corporación para Investigaciones Biológicas (CIB), 2003.
Edema pulmonar

Edema pulmonar

  • 1.
  • 2.
    CONCEPTO  Edema esel término con que se designa al excesivo acumulo de líquidos en los tejidos. Este líquido puede acumularse dentro o fuera de las células. Edema Pulmonar, efusión de líquido seroso dentro de los alvéolos pulmonares o dentro del tejido intersticial del pulmón. Cardiogénico No Cardiogénico
  • 3.
    EPIDEMIOLOGÍA  Usualmente eledema pulmonar se separa endos grandes grupos: el edema cardiogénico y los edemas no cardiogénicos. El primero seasocia con la existencia de enfermedad agu-da o crónica cardiovascular.  Estudio en Cuba. Enero/00- Diciembre/06. “Letalidad por Edema Pulmonar en los servicios de urgencias”.  Población: 100 muertes por edema pulmonar.  Letalidad: 13.1%: Cardiogénico: 61.8% No cardiogénico: 38.1% Hombres: 63.1% Mujeres: 35.5%
  • 4.
    ETIOLOGÍA Edema Pulmonar Cardiogénico (Aumento dela Presión Capilar Pulmonar) Edema Pulmonar no Cardiogénico Dificultad en el vaciado de la aurícula izquierda. Alteraciones de la membrana alveolocapilar (Síndrome de Dificultad Respiratoria del Adulto). Insuficiencia ventricular izquierda. Reducción de la presión oncótica plasmática. Aumento de la presión oncótica intersticial. Insuficiencia linfática.
  • 5.
    PATOGENIA  Ley deStarling:  La alteración en cualquiera de los factores de la ecuación de Starling puede causar aumento en la salida transvascular de líquido. Sin embargo, en la práctica clínica solo dos de estos factores causan en forma frecuente edema pulmonar.
  • 6.
    FISIOPATOLOGÍA Rápida transudación de excesode líquido en los pulmones, por aumento de la presión capilar pulmonar. Ocurre en ausencia de cambios en la permeabilidad o integridad del endotelio de capilares pulmonares. Aumento de la presión capilar pulmonar, aumenta la presión venosa pulmonar y la presión microvascular. Filtración de líquido bajo en proteínas a través del endotelio pulmonar hacia el espacio alveolar. Disminuye la capacidad de difusión, hipoxia y dificultad respiratoria.
  • 7.
    El equilibrio entreel alvéolo y el lecho vascular pulmonar, depende de: Permeabilidad o porosidad de la pared capilar. Presiones hidrostática y oncótica intravasculares e intersticiales. En condiciones normales: Flujo continuo de pequeñas cantidades de líquido bajo en proteínas hacia el espacio intersticial, el cual es eliminado adecuadamente a través del sistema linfático. Se produce cuando: Aumenta la permeabilidad de la pared. Aumenta la presión hidrostática capilar. Disminuye la presión hidrostática intersticial. Insuficiencia linfática pulmonar. Edema pulmonar de mecanismo incierto.
  • 8.
    EDEMA PULMONAR DEORIGEN CARDIACO  Disfunción sistólica del ventrículo izquierdo, alteración de la válvula mitral, hipervolemia asociada con función cardiaca izquierda normal o una u obstrucción pulmonar venosa.  La función sistólica del ventrículo izquierdo se deteriora, el ventrículo se dilata y la presión final del ventrículo izquierdo aumenta. Este aumento en la PDFVI causa aumento en la presión capilar.
  • 9.
    EDEMA PULMONAR DEORIGEN CARDIACO  Aumento de presión venosa pulmonar  Pulmones menos distensibles  Aumenta la resistencia de vías respiratorias  Elevación del flujo linfático Taquipnea leve aumento presión intravascular aumento de liquido extravascular: edema intersticial.  Empeoran síntomas  Líneas B de Kerley  uniones intercelulares del endotelio capilar se ensanchan y permiten el tránsito de macromoléculas hacia el plano intersticial.
  • 10.
     Aumento depresión intravascular  rotura de las uniones intercelulares herméticas entre las células de revestimiento alveolar edema alveolar  roncus y estertores húmedos bilaterales  el paciente está angustiado y suda profusamente, y el esputo es espumoso y hemoptoico.
  • 11.
    EDEMA PULMONAR NOCARDIÓGENICO  Aumento importante en la permeabilidad capilar al agua, solutos y macromoléculas.  Aumento en la concentración de proteínas en el líquido de edema y presencia de muchos neutrófilos y sus productos secretorios La primera parte de la fase aguda exudativa se caracteriza por edema intersticial e intralveolar, infiltración neutrofílica, hemorragia y depósito de fibrina.  Se deposita una mezcla de fibrina y detritos celulares en el espacio alveolar para formar las llamadas membranas hialinas que son prominentes 3 a 7 días después de la lesión
  • 12.
    La denudación dela membrana basal causa que los neumocitos tipo II proliferen produciendo un patrón de hiperplasia de las células superficiales alveolares. La fase proliferativa del SIRA se caracteriza por inflamación intersticial y proliferación de fibroblastos, al inicio en el intersticio La fase crónica del SIRA se manifiesta por regiones de fibrosis intensa, regiones focales de expansión excesiva y obliteración vascular pulmonar
  • 13.
    EDEMA PULMONAR NO CARDIÓGENICO Hipoalbuminemia puede dar lugar al edema, pero el equilibrio de las fuerzas orienta hacia la resorción, requiriéndose aumento de presión capilar edema intersticial  De forma ocasional el paciente experimenta disnea con signos físicos localizados en el pulmón edematoso  El bloqueo linfático secundario a las enfermedades fibróticas e inflamatorias o a la linfangitis carcinomatosa puede causar edema intersticial.  Rotura de membranas alveolocapilares: tóxicos ambientales, infecciones pulmonares difusas
  • 14.
    OTRAS FORMAS DEEDEMA PULMONAR  Sobredosis de narcóticos: heroína, morfina, metadona y dextropropoxifeno. Alteraciones en la permeabilidad de las membranas alveolares y capilares.  La permanencia o exposición a grandes altitudes: vasoconstricción pulmonar inducida por hipoxia causa aumento en la perfusión de las porciones menos obstruidas del lecho vascular, lo que ocasiona lesión endotelial que produce salida de líquido Tos, esputo rosado, disnea de ejercicio o fiebre.
  • 15.
     Neurogeno: La descargaadrenérgica masiva induce vasoconstricción periférica con aumento de la presión arterial y derivación de sangre hacia la circulación central, se produzca un descenso en la distensibilidad ventricular izquierda, y que ambos factores sirvan para elevar las presiones de la aurícula izquierda en grado suficiente para causar edema de pulmón de origen hemodinámico.
  • 16.
    CUADRO CLÍNICO • Disneade ejercicio. • Crépitos inspiratorios leves. Etapa 1 • Hipoxemia. • Cianosis. • Diaforesis. • Taquipnea. • Disminución de la ventilación. Etapa 2 o Fase Intersticial • Hipoxemia severa e hipocapnia. • Capacidad Vital disminuida. • Expectoración espumosa y rosada. Etapa 3 o de Edema Alveolar Depende de la fase en la que se encuentre el edema pulmonar.
  • 17.
    Otros Síntomas ●Ortopnea. ●Tos. ●Disnea ParoxísticaNocturna. ●Sibilancias. ●Piel pálida. ●Taquicardia. Factores Principiantes más Comunes: ●Cifras tensionales elevadas. ●Fibrilación auricular con respuesta ventricular rápida. ●Angina de Pecho. ●Infección e Infarto Agudo del Miocardio.
  • 19.
    DIAGNÓSTICO Fundamentalmente clínico. Debebasarse en la historia clínica y confirmarse con radiografía de tórax. Puede detectarlo antes de la aparición de signos clínicos. Rx de Tórax, sin edema. Rx de Tórax, con edema.
  • 20.
    EXÁMENES COMPLEMENTARIOS: EKG GasesArteriales Hemograma Radioscopia o Fluoroscopia Eco-Doppler Ecocardiografía Transtorácica
  • 21.
    DIAGNOSTICO EDEMA PULMONAR CARDIOGENICO: Clínica:  disnea extrema, taquipnea, taquicardia, hipertensión y diaforesis, cianosis periférica debida a vasoconstricción cutánea intensa y reducción del gasto cardiaco.  Al inicio del padecimiento la auscultación torácica puede revelar sibilancias causadas por edema de las vías respiratorias, después se escuchan estertores difusos.  Ecocardiografía con sistema Doppler de color será posible identificar disfunción ventricular sistólica y diastólica y lesiones valvulares
  • 22.
    DIAGNOSTICO EDEMA PULMONAR NOCARDIOGENICO:  Clínica: suele existir menor actividad simpática y, cuando existe cianosis, es causada por hipoxemia arterial. La piel puede estar caliente en lugar de fría, húmeda y pálida.  Estudios de imagen Es típico que la radiografía de tórax demuestre un proceso de ocupación alveolar difuso y simétrico. Cuando se realiza tomografía computada, la distribución de los espacios ocupados suele observarse menos homogénea
  • 23.
    TRATAMIENTO Emergencia Médica. Medidas Generales -Restricciónde líquidos orales. -Dieta Hiposódica. -Dificultad respiratoria: importante suspender vía oral. -Vasodilatadores: dinitrato isosorbide. -Inotrópicos: Dogoxina. -Suspender drogas depresoras de la contractilidad cardíaca: B- bloqueadores y disopiramida. -Paciente debe estar sentado en el borde de la cama. -Broncodilatación: aminofilina. -Vigilancia permanente: Ritmo y FC, saturación de O2, Presión arterial. -Oxigenación. -Morfina. -Diuréticos: Furosemida. Manejo Especializado Unidad de Cuidados Intensivos. Tratamiento a arritmias: digoxina. Tratamiento quirúrgico.
  • 24.
    Nitroglicerina y eldinitrato de isosorbida: La nitroglicerina sublingual (0.4 mg x 3 cada 5 min) es el tratamiento de primera línea contra el edema pulmonar cardiógeno agudo. Si persiste dicho edema y en caso de no haber hipotensión, después de usar la vía sublingual cabe utilizar la vía intravenosa y comenzar el goteo a razón de 5 a 10 g/min. Furosemida, bumetanida y torsemida: La dosis inicial de furosemida debe ser 0.5 mg/kg, pero se necesita una dosis mayor (1 mg/kg) en sujetos en insuficiencia renal, si hubo consumo de diuréticos por largo tiempo o si hay hipervolemia, o después de que sea ineficaz una dosis menor. Métodos físicos: La disminución del retorno venoso aminora la precarga. Es importante conservar en posición sedente a los pacientes sin hipotensión, de modo que los miembros inferiores oscilen en el borde del lecho. Morfina por vía intravenosa -2 a 4mg:es un venodilatador transitorio que disminuye la precarga y al mismo tiempo corrige la disnea y la ansiedad. La administración de inhibidores de bipiridina fosfodiesterasa-3 (inodilatadores) como la amrinona (0.75 mg/kg de peso como dosis inicial seguida de 5 a 20 g/kg/min) o la milrinona (50 g/kg, seguidos de 0.25 a 0.75 g/kg/min) estimulan la contractilidad del miocardio y también mejoran la vasodilatación periférica y pulmonar.
  • 25.
    Tratar la causaprimaria Oxigeno suplementario Ventilación: 1) disminuye la precarga y la poscarga y con ello mejora la función cardíaca; 2) redistribuye el agua de los pulmones desde el espacio intraalveolar al extraalveolar, donde no interfiere tanto con el intercambio gaseoso, 3) incrementa el volumen pulmonar para evitar la atelectasia.
  • 26.
    COMPLICACIONES  Compromiso severode oxigenación hemática.  Complicación del edema pulmonar de las alturas: Hipoxia Disminución de oxígeno en diferentes órganos (cerebro). Edema Cerebral.
  • 31.
    BIBLIOGRAFÍA  CEDIEL Ricardo;Semiología Médica 7ª edición, Bogotá, Colombia, Editorial Médica Celsus, 2012.  LLORET Josep, MUÑOZ Josefina; Protocolos Terapéuticos de Urgencias 4ª edición, Barcelona, España, Editorial Masson S.A., 2004.  MITCHELL Richard, KUMAR Vinay; Compendio de Robinns y Cotran Patología Estructural y Funcional 7ª edición, Madrid, España, Editorial Elsevier, 2007.  RUZA, Francisco; Cuidados Intensivos Pediátricos 3ª edición, Madrid, España, Ediciones Norma-Capitel, 2002.  VÉLEZ Hernán, ROJAS William; Paciente en Estado Crítico 3ª edición, Medellín, Colombia, Editorial Fondo Editorial Corporación para Investigaciones Biológicas (CIB), 2003.