Capítulo 1 Principios generales de citología ( FOTOS A EXAMEN) Atlas de Diagnóstico citopatológico Bárbara Atkinson 2005
FONDOS EN CITOLOGÍA Limpio Granular Diátesis tumoral Necrosis
 
 
 
 
MATERIALES EXTRA O INTRACELULARES Material fibrilar metacromático Glóbulos ovoides metacromáticos  Material de tipo membrana basal Coloide denso en goma de chicle Coloide fragmentado
Mucina o moco extra o intracelular Cuerpos de psammoma Pigmento melánico Inclusiones mucinosas Bilis
 
 
 
 
 
 
 
 
 
 
 
 
 
PATRONES CITOLÓGICOS Placa en panal benigna Patrón rosetoide o acinar Patrón papilar o papilaroide Papilas verdaderas con tallo conectivo Patrón de células sueltas
 
 
 
 
 

Fondos y patrones citologicos

  • 1.
    Capítulo 1 Principiosgenerales de citología ( FOTOS A EXAMEN) Atlas de Diagnóstico citopatológico Bárbara Atkinson 2005
  • 2.
    FONDOS EN CITOLOGÍALimpio Granular Diátesis tumoral Necrosis
  • 3.
  • 4.
  • 5.
  • 6.
  • 7.
    MATERIALES EXTRA OINTRACELULARES Material fibrilar metacromático Glóbulos ovoides metacromáticos Material de tipo membrana basal Coloide denso en goma de chicle Coloide fragmentado
  • 8.
    Mucina o mocoextra o intracelular Cuerpos de psammoma Pigmento melánico Inclusiones mucinosas Bilis
  • 9.
  • 10.
  • 11.
  • 12.
  • 13.
  • 14.
  • 15.
  • 16.
  • 17.
  • 18.
  • 19.
  • 20.
  • 21.
  • 22.
    PATRONES CITOLÓGICOS Placaen panal benigna Patrón rosetoide o acinar Patrón papilar o papilaroide Papilas verdaderas con tallo conectivo Patrón de células sueltas
  • 23.
  • 24.
  • 25.
  • 26.
  • 27.

Notas del editor

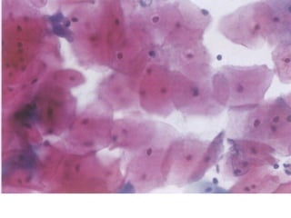
  • #4 Células escamosas de capas altas. FONDO LIMPIO
  • #5 Fondo granular quístico (con cristales de colesterol)
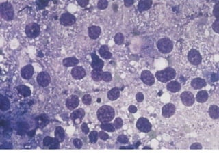
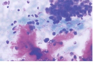
  • #6 Necrosis o diátesis tumoral
  • #7 Carcinoma con necrosis
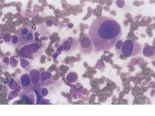
  • #10 Material fibrilar metacromático (y células de un tumor mixto)
  • #11 Material fibrilar metacromático
  • #12 Glóbulos ovoides metacromáticos (y células de un carcinoma adenoide quístico)
  • #13 (Tumor de células basales con) material de tipo membrana basal
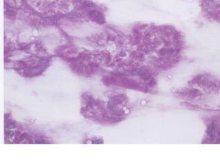
  • #14 Coloide denso en goma de chicle (y células de un carcinoma papilar de tiroides)
  • #15 Coloide fragmentado (en nódulo tiroideo benigno)
  • #16 Coloide fragmentado (en nódulo tiroideo benigno)
  • #17 Mucina o moco
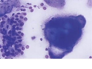
  • #18 Moco extracelular (y células de un carcinoma de células en anillo de sello) con moco intracelular
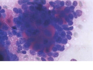
  • #19 Carcinoma papilar con cuerpo de psammoma
  • #20 Melanoma con pigmento
  • #21 Carcinoma lobulillar de mama con inclusiones mucinosas
  • #22 15. Carcinoma con canibalismo y bilis
  • #24 Placa en panal benigna
  • #25 Adenocarcinoma
  • #26 Carcinoma papilar
  • #27 Carcinoma con papilas verdaderas, con tallo conjuntivo
  • #28 Carcinoma poco diferenciado de células grandes