Incrustar presentación
Descargado 55 veces



















































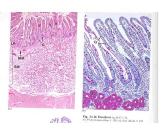
Este documento presenta una lista de diferentes técnicas histológicas utilizadas para teñir y visualizar diversos tejidos y estructuras bajo el microscopio, incluyendo hematoxilina-eosina, PAS, tricrómico de Masson, azul alcián, van Gieson, reticulina, azul de toluidina, plata y oro, Nissl, sudán negro y osmio. La lista describe brevemente cada técnica y los tejidos u órganos a los que se aplica comúnmente para revelar características

















































