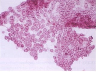
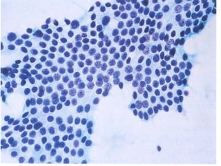
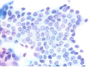
Fragmentos desprendidos de folículosFragmentos desprendidos de folículos
Células foliculares agrupadas simulandoCélulas foliculares agrupadas simulando
““panal de abejas”panal de abejas”
Núcleos uniformes y redondeadosNúcleos uniformes y redondeados
Cromatina finamente granularCromatina finamente granular
Bordes celulares indistinguiblesBordes celulares indistinguibles
Citoplasma escaso, delicado y pálidoCitoplasma escaso, delicado y pálido
CITOLOGIA TIROIDEA NORMAL
 Abundantes histiocitos con hemosiderinaAbundantes histiocitos con hemosiderina
 Si hay células foliculares y material coloide:Si hay células foliculares y material coloide:
degeneración quística de nódulo tiroideo benignodegeneración quística de nódulo tiroideo benigno
 Si no se encuentran células foliculares:Si no se encuentran células foliculares:
no descartar posibilidad de carcinomano descartar posibilidad de carcinoma
papilar quísticopapilar quístico
BOCIO NODULAR CON
DEGENERACION QUISTICA
 Célula gigante multinucleada conCélula gigante multinucleada con
ingestión de material coloideingestión de material coloide
 Pueden encontrarse otrosPueden encontrarse otros
componentes inflamatorios:componentes inflamatorios:
histiocitos, linfocitos, célulashistiocitos, linfocitos, células
plasmáticas, eosinófilos, neutrófilosplasmáticas, eosinófilos, neutrófilos
TIROIDITIS GRANULOMATOSA
Dos hallazgos citológicos:Dos hallazgos citológicos:
1.-1.- Linfocitos, cél. plasmáticas, macrófagosLinfocitos, cél. plasmáticas, macrófagos
2.- Células foliculares agrupadas con2.- Células foliculares agrupadas con
citoplasma amplio de tipo oncocíticocitoplasma amplio de tipo oncocítico
(cél. de Hurthle)(cél. de Hurthle)
TIROIDITIS DE HASHIMOTO
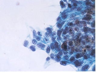
- Abundante material coloideAbundante material coloide
- Hipocelular, células folicularesHipocelular, células foliculares
uniformesuniformes
La combinación deLa combinación de
abundante coloide + cél. folicularesabundante coloide + cél. foliculares
uniformes: nódulo coloide benignouniformes: nódulo coloide benigno
NODULO COLOIDE
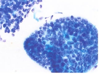
ADENOMA FOLICULAR
- Grupos de células folicularesGrupos de células foliculares
- Arreglo simulando “panal de abejas”Arreglo simulando “panal de abejas”
- Núcleos uniformes y redondeadosNúcleos uniformes y redondeados
- Cromatina granularCromatina granular
- Nucleolo indistinguibleNucleolo indistinguible
- Citoplasma escasoCitoplasma escaso
Predominancia de macrofolículos:Predominancia de macrofolículos:
nódulo tiroideo benignonódulo tiroideo benigno
 Las células foliculares se agrupan enLas células foliculares se agrupan en
““cordones pequeños”cordones pequeños”
 Citoplasma amplio y densoCitoplasma amplio y denso
 Núcleos con ranuras (“grooves”)Núcleos con ranuras (“grooves”)
Dg. Dif: carcinoma papilarDg. Dif: carcinoma papilar
TUMOR TRABECULAR HIALINIZANTE
 HipercelularidadHipercelularidad
 Células desordenadas y superpuestasCélulas desordenadas y superpuestas
 Núcleos ovaladosNúcleos ovalados
 Nucleolo marginadoNucleolo marginado
 Numerosas ranuras (“grooves”)Numerosas ranuras (“grooves”)
CARCINOMA PAPILAR
DE TIROIDES
Pseudoinclusiones intranuclearesPseudoinclusiones intranucleares
(invaginaciones citoplasmáticas hacia(invaginaciones citoplasmáticas hacia
los núcleos)los núcleos)
CARCINOMA PAPILAR DE TIROIDES
 Células foliculares agrupadas-desordenadasCélulas foliculares agrupadas-desordenadas
 Tamaño celular intermedio-pequeñoTamaño celular intermedio-pequeño
 Citoplasma escasoCitoplasma escaso
 Núcleos con cromatina gruesa e irregularNúcleos con cromatina gruesa e irregular
 Generalmente no se evidencia materialGeneralmente no se evidencia material
coloidecoloide
CARCINOMA POBREMENTE
DIFERENCIADO
 Citología mixta:Citología mixta:
Células fusiformes y epitelioidesCélulas fusiformes y epitelioides
 Núcleos hipercromáticosNúcleos hipercromáticos
 Nucleolo prominenteNucleolo prominente
 MitosisMitosis
 Citoplasma denso, aspecto “escamoide”Citoplasma denso, aspecto “escamoide”
 Fondo: necrosis, polimorfonuclearesFondo: necrosis, polimorfonucleares
CARCINOMA INDIFERENCIADO
( ANAPLASICO )
 Citología predominantementeCitología predominantemente
fusiforme y agrupadafusiforme y agrupada
 Núcleos pleomórficos y elongadosNúcleos pleomórficos y elongados
 HipercromasiaHipercromasia
CARCINOMA INDIFERENCIADO
( ANAPLASICO )
 Células con aspecto “plasmacitoide”:Células con aspecto “plasmacitoide”:
. Núcleos excéntricos. Núcleos excéntricos
. Citoplasma amplio. Citoplasma amplio
 Distribución celular: células sueltasDistribución celular: células sueltas
 Puede evidenciarse binucleaciónPuede evidenciarse binucleación
CARCINOMA MEDULAR
 Células ovaladasCélulas ovaladas
 Distribución individualDistribución individual
 Fondo : material “azul – verdoso”Fondo : material “azul – verdoso”
AMILOIDEAMILOIDE
CARCINOMA MEDULAR
Citologia de tiroides

Citologia de tiroides

  • 2.
    Fragmentos desprendidos defolículosFragmentos desprendidos de folículos Células foliculares agrupadas simulandoCélulas foliculares agrupadas simulando ““panal de abejas”panal de abejas” Núcleos uniformes y redondeadosNúcleos uniformes y redondeados Cromatina finamente granularCromatina finamente granular Bordes celulares indistinguiblesBordes celulares indistinguibles Citoplasma escaso, delicado y pálidoCitoplasma escaso, delicado y pálido CITOLOGIA TIROIDEA NORMAL
  • 4.
     Abundantes histiocitoscon hemosiderinaAbundantes histiocitos con hemosiderina  Si hay células foliculares y material coloide:Si hay células foliculares y material coloide: degeneración quística de nódulo tiroideo benignodegeneración quística de nódulo tiroideo benigno  Si no se encuentran células foliculares:Si no se encuentran células foliculares: no descartar posibilidad de carcinomano descartar posibilidad de carcinoma papilar quísticopapilar quístico BOCIO NODULAR CON DEGENERACION QUISTICA
  • 6.
     Célula gigantemultinucleada conCélula gigante multinucleada con ingestión de material coloideingestión de material coloide  Pueden encontrarse otrosPueden encontrarse otros componentes inflamatorios:componentes inflamatorios: histiocitos, linfocitos, célulashistiocitos, linfocitos, células plasmáticas, eosinófilos, neutrófilosplasmáticas, eosinófilos, neutrófilos TIROIDITIS GRANULOMATOSA
  • 8.
    Dos hallazgos citológicos:Doshallazgos citológicos: 1.-1.- Linfocitos, cél. plasmáticas, macrófagosLinfocitos, cél. plasmáticas, macrófagos 2.- Células foliculares agrupadas con2.- Células foliculares agrupadas con citoplasma amplio de tipo oncocíticocitoplasma amplio de tipo oncocítico (cél. de Hurthle)(cél. de Hurthle) TIROIDITIS DE HASHIMOTO
  • 10.
    - Abundante materialcoloideAbundante material coloide - Hipocelular, células folicularesHipocelular, células foliculares uniformesuniformes La combinación deLa combinación de abundante coloide + cél. folicularesabundante coloide + cél. foliculares uniformes: nódulo coloide benignouniformes: nódulo coloide benigno NODULO COLOIDE
  • 12.
    ADENOMA FOLICULAR - Gruposde células folicularesGrupos de células foliculares - Arreglo simulando “panal de abejas”Arreglo simulando “panal de abejas” - Núcleos uniformes y redondeadosNúcleos uniformes y redondeados - Cromatina granularCromatina granular - Nucleolo indistinguibleNucleolo indistinguible - Citoplasma escasoCitoplasma escaso Predominancia de macrofolículos:Predominancia de macrofolículos: nódulo tiroideo benignonódulo tiroideo benigno
  • 14.
     Las célulasfoliculares se agrupan enLas células foliculares se agrupan en ““cordones pequeños”cordones pequeños”  Citoplasma amplio y densoCitoplasma amplio y denso  Núcleos con ranuras (“grooves”)Núcleos con ranuras (“grooves”) Dg. Dif: carcinoma papilarDg. Dif: carcinoma papilar TUMOR TRABECULAR HIALINIZANTE
  • 16.
     HipercelularidadHipercelularidad  Célulasdesordenadas y superpuestasCélulas desordenadas y superpuestas  Núcleos ovaladosNúcleos ovalados  Nucleolo marginadoNucleolo marginado  Numerosas ranuras (“grooves”)Numerosas ranuras (“grooves”) CARCINOMA PAPILAR DE TIROIDES
  • 18.
    Pseudoinclusiones intranuclearesPseudoinclusiones intranucleares (invaginacionescitoplasmáticas hacia(invaginaciones citoplasmáticas hacia los núcleos)los núcleos) CARCINOMA PAPILAR DE TIROIDES
  • 20.
     Células folicularesagrupadas-desordenadasCélulas foliculares agrupadas-desordenadas  Tamaño celular intermedio-pequeñoTamaño celular intermedio-pequeño  Citoplasma escasoCitoplasma escaso  Núcleos con cromatina gruesa e irregularNúcleos con cromatina gruesa e irregular  Generalmente no se evidencia materialGeneralmente no se evidencia material coloidecoloide CARCINOMA POBREMENTE DIFERENCIADO
  • 22.
     Citología mixta:Citologíamixta: Células fusiformes y epitelioidesCélulas fusiformes y epitelioides  Núcleos hipercromáticosNúcleos hipercromáticos  Nucleolo prominenteNucleolo prominente  MitosisMitosis  Citoplasma denso, aspecto “escamoide”Citoplasma denso, aspecto “escamoide”  Fondo: necrosis, polimorfonuclearesFondo: necrosis, polimorfonucleares CARCINOMA INDIFERENCIADO ( ANAPLASICO )
  • 24.
     Citología predominantementeCitologíapredominantemente fusiforme y agrupadafusiforme y agrupada  Núcleos pleomórficos y elongadosNúcleos pleomórficos y elongados  HipercromasiaHipercromasia CARCINOMA INDIFERENCIADO ( ANAPLASICO )
  • 26.
     Células conaspecto “plasmacitoide”:Células con aspecto “plasmacitoide”: . Núcleos excéntricos. Núcleos excéntricos . Citoplasma amplio. Citoplasma amplio  Distribución celular: células sueltasDistribución celular: células sueltas  Puede evidenciarse binucleaciónPuede evidenciarse binucleación CARCINOMA MEDULAR
  • 28.
     Células ovaladasCélulasovaladas  Distribución individualDistribución individual  Fondo : material “azul – verdoso”Fondo : material “azul – verdoso” AMILOIDEAMILOIDE CARCINOMA MEDULAR