CITOLOGÍA GINECOLÓGICA CÉRVICO-VAGINALNORMAL Y HORMONAL
Adecuación de la muestra:Satisfactoria
Insatisfactoria (especificar razón): Muestra rechazada/no procesada (especificar) Procesada y examinada, pero insatisfactoria (especificar razón)
Frotis satisfactorioCélulas endocervicales o metaplásicasSuficientes células escamosas bien conservadas (más del 50 %)No hay:sangreinflamaciónamontonamientodesecación
Insatisfactorio para la EvaluaciónO más del 75 % con dificultad para la observación (sangre, inflamación, desecación o capa gruesa)Ausencia de datos clínicosOtros: portaobjetos roto,...Menos del 10% de la superficie ocupado por células escamosas
Procesada y examinada, pero insatisfactoriaDificultad para observar células (50 a 75 %) por:sangreinflamación
Áreas gruesasDesecación
Células Normales en VCECélulas escamosas (parabasales, intermedias y superficiales).
Bacilo de Döderlein
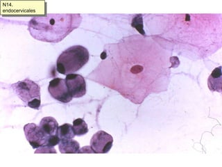
Células endocervicales
Células metaplásicas y de reserva
Células endometriales
Leucocitos polinucleares neutrófilos
Histiocitos
Hematíes
Linfocitos
Fibroblastos
EspermatozoidesCélulas epiteliales normales en VCECélulas escamosas:SuperficialesIntermediasParabasalesCélulas endocervicalesCélulas endometriales
Células escamosas de exocérvix y vagina
Superficiales
H10 Intermedias
H3 parabasales
N5 Escamosas de capas altas
N3 Intermedias y superficiales
N6 Intermedias y superficial
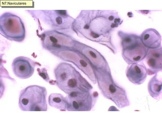
N7.Naviculares
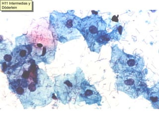
H11 Intermedias y Döderlein
H23frotis atrófico inflamatorio
H20 Frotis atrófico en proceso autolítico
H22 frotis atrófico autolítico o pseudosincitial
N16 endocervicales
N14. endocervicales
N15 endocervicales
N 27 Endometrio HE (legrado incluído en parafina)
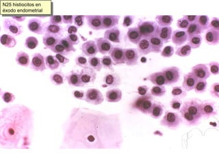
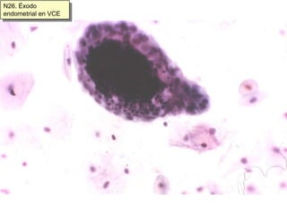
N26. Éxodo endometrial en VCE
N25 histiocitos en éxodo endometrial
N29. Histiocito multinucleado
N30. Histiocito multinucleado
N31 Histiocito multinucleado
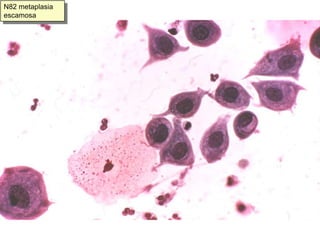
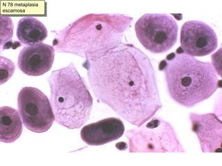
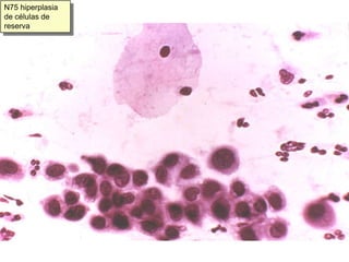
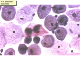
Metaplasia escamosa y zona de transformaciónLa zona de transformación , o unión de epitelios endocervical y exocervical, debe ser muestreada siempre.Por eso debe haber:Células endocervicalesO células de la zona de transformación:Hiperplasia de células de reservaO metaplasia escamosaLa metaplasia escamosa es un proceso patológico que incluimos entre la normalidad celular por su frecuencia en mujeres en edad fértil con ectropion
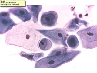
N81 metaplasia escamosa cervical
N11. Zona de transición
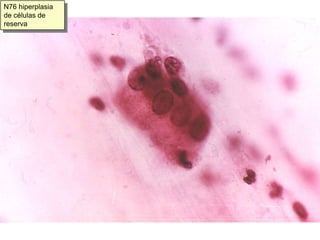
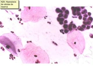
N56. Hiperplasia de células de reserva en endocérvix con ectropion
N57. Más hiperplasia de células de reserva en endocérvix
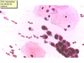
N58. Hiperplasia de células de reserva en endocérvix
N59. Hiperplasia endocervical de células de reserva.
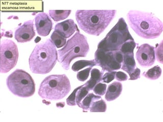
N12. Metaplasia escamosa inmadura
N17 endocervicales ciliadas (metaplasia tubárica)

07 c normal vce