FAMILIA PROFESIONAL SANIDADDIDÁCTICA DE LA CITOLOGÍA04FP37CF184ADENOCARCINOMA ENDOCERVICAL
Citología NORMAL de glándulas y sus conductos:1.Buena adherencia en láminas o conglomerados.2.Patrón en panal de abejas con:		-límites celulares bien marcados		-núcleos centrales ordenados3.Núcleos uniformes, de cromatina fina y sin amoldamiento4.Nucleolos: No o muy pequeños5.Células mioepiteliales dentro y fuera de los conglomerados (mama, próstata)
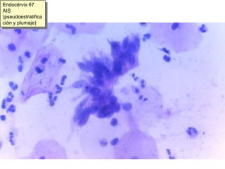
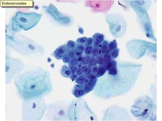
Endocérvix 61placa en panalCélulas glandulares benignas
Células cilíndricas ciliadas y mucosecretoras de morfología normal
Células endocervicales
Endocervicales en panal
Endocervicales
Citología del AdenocarcinomaCambios nuclearesNúcleos grandes, irregulares, con variación de tamaño
amoldamiento nuclear
núcleos desnudos
nucleolos grandes, a veces múltiples
Cromatina de distribución irregular, areas claras, cromatina marginada gruesa e irregular (membrana nuclear irregularmente engrosada). Citología de Adenocarcinoma:Desorden celular y nuclear.Cierta polaridad nuclear, sobre todo en el borde de los grupos.Placas poco cohesivas, Células tumorales aisladas (criterio fundamental en mama)Células aisladas con citoplasma alargado o columnar.Grupos tridimensionales moruliformesEstructuras acinares o en rosetaCitoplasmas claros, vacuolados o microvacuolados, de bordes mal definidos.Moco:Extracelular (en Carcinoma Coloide de mama)
intracelular (vacuolas grandes) (En Cistadenocarcinoma mucinoso ovárico)
morfología en “anillo de sello” (estómago, lobulillar de mama)En adenocarcinomas papilares:Estructuras papilares con eje conectivo central y revestimiento epitelial tumoral.
cuerpos de “psammoma”, calcificados, concéntricos.
grupos redondeados
disposición en empalizada de las células en la perifería
prolongaciones en “dedo de guante”
“puentes celulares” entre grupos en forma de “placas”.Citología del Adenocarcinoma infiltrante (Dr. De  Agustí)Grupos tridimensionales :límites citoplásmicos borradosNúcleos excéntricos, cromatina no muy grosera, nucleolos prominentesDiátesis tumoralCitoplasmas vacuolados ( a veces en anillo de sello)
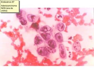
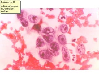
Endocérvix 87Adenocarcinoma NOS (era de uretra)
Células cilíndricas malignas
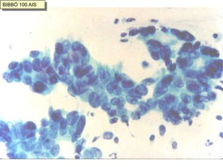
BIBBÓ 6 Adenocarcinoma
BIBBÓ 88 adenocarcinoma
BIBBÓ 104 Adenoca
Adenocarcinoma de cérvix5 a 15 % de tumores cervicales uterinos
Ha aumentado su frecuencia en los últimos años. Hay que señalar que ha disminuido  el número del Carcinoma epidermoide de cérvix.
Se asocian con lesión escamosa (HPV,  LSIL  Y HSIL) con frecuencia:
30 % de los Adenocarcinomas infiltrantes de cérvix
y 75 % de los Adenocarcinomas “in situ”.
Los subtipos de HPV que se observan en relación con Adenocarcinoma son los 16 y 18.Adenocarcinoma endocervicalDiátesis tumoral, pero en menor proporción que en el Carcinoma epidermoide
Celularidad elevada
Grupos planos irregulares, formaciones papilaroides, acúmulos tridimensionales o más rara vez, células aisladas.
Núcleos grandes (más que los del Ca. Endometrial)Contrariamente a lo que cabría esperar (ya que el mucinoso es el tipo más frecuente) rara vez se observan vacuolas en la citología del Adenocarcinoma endocervical Macronucleolos y nucleolos múltiplesCromatina irregularmente granular con aclaramiento paracromatínico e hipercromatismoCitoplasmas columnares eosinófilos o basófilos
Adenocarcinoma endocervical (típico)
Adenocarcinoma endocervical (típico)
Adenocarcinoma endocervical (típico)
Adenocarcinoma endocervical (típico)
Adenocarcinoma endocervical (células columnares malignas)
Adenocarcinoma endocervical, en técnica monocapa (tridimensionalidad y núcleos poco visibles)
AdenocarcinomaEndometrio           //           EndocérvixToma vaginalEscasas célulasGrupos con forma de esferasCélulas más pequeñas con citoplasma más escasoMal conservadas Células redondeadas con vacuolasNúcleo grande, irregular, con granos finos.Nucleolo solitario, si lo hay.Necrosis y sangreEn la toma endocervical
Células abundantes
Láminas y cintas
Células mayores con citoplasmas amplios
Mejor conservadas
Células columnares y citoplasma granular
Núcleo muy grande, oval o irregular, cromatina grosera
Macronucleolo o nucleolos múltiples.
No suele haberENDOMETRIO 37 T VAG
Tipos de Adenocarcinoma de cérvixAdenocarcinoma mucinoso:o       De tipo endocervical (similar al epitelio cilíndrico endocervical)Variante con mínima atipia (adenoma maligno)
De tipo intestinal (con células columnares y mucosecretoras similares a las del intestino)Adenocarcinoma endometrioide (similar al de endometrio)Adenocarcinoma de tiposeroso(similar al seroso ovárico)Adenocarcinoma villoglandular(similar al tumor velloso intestinal, con numerosas papilas)Adenocarcinoma de células claras (dietilestilbestrol)Carcinoma adenoescamosoVariante poco diferenciada: Carcinoma de células esmeriladas (glassy cell carcinoma)Carcinoma adenoide quístico.(más frecuente en salivares, también se da en mama y en tráquea)Adenocarcinoma de los conductos de Gartner (muy raro)
Endocérvix 74Adenocarcinoma endocervical
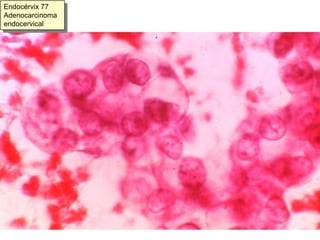
Endocérvix 77 Adenocarcinoma endocervical
Adenocarcinoma “velloso” de endocérvix
DE TIPO INTESTINALAdenocarcinoma endocervical in situ de tipo intestinal
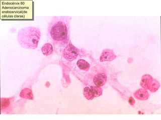
Endocérvix 80 Adenocarcinoma endocervical(de células claras)
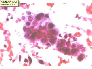
ADENOCA 49 Ca adenoescamoso
Endocérvix 81 Adenocarcinoma papilar, posiblemente extrauterino (ovárico)

15. c endocervical