Histología de la Piel
Morfofisiología I
Dr. Walter Espino Saavedra
Médico AnatomoPatologo
Universidad Católica Santo Toribio de Mogrovejo-USAT
2013
CAPAS DE
LA PIEL
DERMIS
EPIDERMIS
TEJIDO
CELULAR
SUBCUTANEO
DERMIS
EPIDERMIS
Tejido
celular
subcutaneo
EPIDERMIS
DERMIS
Crestas
epidérmicas
PAPILAS
DERMICAS
Piel delgada
Piel gruesa
Piel delgada
Piel gruesa
NO QUERATINOCITOS
•Melanocitos (5%)
•Células de langerhans (2%)
•Células de merkel (<0,1%)
QUERATINOCITOS
(90%)
CÉLULAS
DE LA
EPIDERMIS
Capas de
la
epidermis
Estrato espinoso
(escamoso o de
malpighi)
Capas de
la
epidermis
Estrato
basal
o
estrato
germinativo
Estrato
basal
Estrato
basal
Está constituida por
una sola fila de células
que descansa sobre la
lámina basal.
Estas son de forma
cuboidea o cilíndrica,
presenta citoplasma
basófilo
Estructura de un
hemidesmosoma
Estrato basal y estrato espinoso unidos por
desmosomas
Tonofilamentos de queratina
(Filamentos de
queratina-10nm)
Filamentos o
tonofilamentos
de queratina
La capa basal
tiene
Queratinas
tipo K5 , K14
Estrato
Espinoso
(escamoso o
de malpighi)
ESTRATO ESPINOSO
Células poliédricas que
cuanto más cerca están
de la superficie son más
aplanadas .
Puentes intercelulares
El sitio donde se
localiza el desmosoma
se denomina NODO
DE BIZZOZERO
estrato
espinoso
Reciben el nombre
de Células
espinosas

Estrato espinoso
Gránulos laminados
o
Cuerpos laminados
Involucrina
Proteína amorfa, rica en azufre,
muy resistente a las agresiones
químicas, por sus puentes disulfuro
y sus enlaces g-glutamilisina,
encargada del reforzamiento
de la membrana celular, en su
cara interna.
Aparecen el estrato espinoso.
ribosomas
mitocondrias
Tonofilamentos
Lípidos
Gránulos
laminados
o
Cuerpos
laminados
(cuerpos de
odland)
Son ultraestructuralmente
visibles a nivel de la capa
espinosa superior y en la capa
granular
Contienen principalmente fosfolípidos,
glucosilceramidas y colesterol, así como enzimas
hidrolíticas que convierten fosfolípidos,
glucosilceramidas y esfingomielinas en ácidos
grasos libres y ceramidas.
Estrato Granuloso
Estrato Granuloso
(aquí mueren los queratinocitos)
Estrato
Granuloso
(3-5 capas)
Gránulos queratohialinos envueltos entre
los tonofibrillas
A medida que los
queratinocitos
ascienden en la
epidermis,
probablemente por
acción enzimática, se
produce una agregación
de los tonofilamentos y
un cambio de tipo de
queratina porque lo que
en la basal era muy
elástica y móvil, con
queratinas tipo K5,K14,
a medida que las
células se diferencian,
en las capas
espinosas, incluida la
granulosa , son mucho
más rígidas y menos
movibles, con
queratinas K1 ,K10.
Gránulos queratohialinos
GRÁNULOS DE QUERATOHIALINA(son granulos basofilicos) contienen una proteína
rica en azufre PROFILAGRINA que en el estrato córneo se transforma en FILAGRINA :
una forma matriz interfilamentosa.
Estrato lúcido
Estrato Lúcido, es
delgado, no muy visible,
tiene el aspecto de una
línea homogénea,
brillante y transparente,
por lo cual recibe el
nombre de estrato lucido.
Las células que lo
conforman están muertas
y sus núcleos en proceso
de desaparecer por
cariólisis.
Estas células presentan
filamentos de queratina
que se disponen en
forma paralela con la
superficie de la piel.
Este estrato solo se
encuentra en piel gruesa.
Estrato
córneo
Estrato córneo
Periodo de renovación de la
epidermis es de 4 semanas
Cubierta amorfa (Involucrina+lípidos)
Células
queratinizadas
La caspasa 14 es la enzima proteolítica que media el proceso de
profilagrina a filagrina in vivo y por eso es indispensable en la
maduración de la epidermis y la formación del estrato córneo.
MELANOCITOS
COLOR DE LA PIEL
COLOR PIGMENTO LOCALIZACION
CASTAÑO MELANINA EPIDERMICA
AMARILLO CAROTENOIDES CAPA CÓRNEA
ROJO OXIHEMOGLOBINA DÉRMICA,
CAPILARES
AZUL HEMOGLOBINA
REDUCIDA
VÉNULAS
MELANOCITOS:Los precursores de los melanocitos provienen de la cresta neural,que migran a la dermis
y luego a la epidermis, ubicándose entre las células basales de la epidermis a razón de 1 melanocito cada
5 o 10 células basales
NO TIENEN UNIONES POR DESMOSOMAS
Unidad
melánica
epidérmica
Es el conjunto que forman
UN MELANOCITO CON 30-
40 QUERATINOCITOS con
los cuales está vinculado
funcionalmente mediante
sus prolongaciones
dendríticas.
Cuando el proceso de melanización es
total recibe el nombre MELANOSOMA
Gránulos de melanina en el citoplasma de las
células epiteliales,en ubicación supranuclear
Tirosina se sintetiza en RER y de
ahí pasa al complejo de golgi,donde
se acumula en vesículas.
Los gránulos de melanina pasan a las
prolongaciones celulares.
El extremo de las prolongaciones de los
melanocitos es fagocitado por los queratinocitos .
Este tipo de secreción se llama secreción citocrina .
En los premelanosomas la tirosina se
va transformando en Melanina
PREMELANOSOMAS
(vesículas de Tirosina+tirosinasa)
CÉLULAS DE LANGERHANS
Células
dendríticas
epidérmicas
=
células de
Langerhans
Se las ha localizado entre las
células del estrato espinoso .
Son reconocedoras de
antígenos .
Gránulos de Birbeck
TEJIDO LINFOIDE
ASOCIADO A LA PIEL
Células de langerhans
Linfocitos T
Queratinocitos
S.A.L.T
(Skin Associated Lymphoid Tissues )
CÉLULAS DE MERKEL
• Son células epidérmicas que están en el estrato
basal; comparten la lamina basal con las
células del estrato basal.
• Son muy abundantes en lo sitios de percepción
sensorial aguda (p. ej. En la punta de los
dedos);
• Están íntimamente asociadas con fibras
nerviosas no encapsuladas.
• Esta combinación entre fibra nerviosa y célula
epidérmica recibe el nombre de corpúsculo de
Merkel.
• Están unidas a los queratinocitos vecinos a
través de desmosomas.
• Se caracterizan por su contenido de gránulos
de neurosecreción.
Dermis
Dermis papilar:+colageno III
Dermis Reticular:+colageno I
Tejido conectivo:
A)Células:
*Fibroblastos
*Monocito-macrófago
*Dendrocito dermico
*Mastocito
B)Matriz extracelular:
*Fibras:colageno
(I,III,V,VI,VII),elasticas
*Sustancia fundamental:
condroitin
sulfato/dermatan
sulfato,condroitin 6
sulfato
Dermis
Dermis e
hipodermis
PELO
Foliculo
piloso
=
invaginación
de la
epidermis
Pelos estan
fijados en el
foliculo
piloso
INFUNDÍBULO:
Comprende la parte que va
desde la superficie de la
epidermis al punto donde
desembocan las glándulas
sebáceas.
BULBO
ISTMO: desde la
desembocadura de las
glándulas sebáceas hasta la
inserción del músculo erector
del pelo.
BULBO: desde la inserción
del músculo erector del pelo
hasta la papila dérmica.
Vaina
radicular
externa
Vaina
radicular
interna
Foliculo
piloso
Vaina tejido
conectivo
dermico
Capa de
Huxley
Capa de
Henle
Cutícula de la
vaina radicular
interna
Foliculo
piloso
Vaina de tejido
conectivo dermico
Vaina radicular
interna
Vaina radicular
externa
Vaina
radicular
interna:
1. Cutícula de la
vaina radicular
interna
(capa de células planas o
escamosas, queratinizadas, que
envuelven la corteza a modo de
escamas)
2. Capa de Huxley
(capa doble o simple formada por
células planas)
3. Capa de Henle
(monocapa externa de células
cúbicas)
Bulbo piloso
Papila
pilosa
(dérmica)
Foliculo
piloso
Matrix
Foliculo
piloso
Matriz forma
el pelo y la
vaina
radicular
interna
Pelo
Médula
Corteza
Cutícula
No
queratinizado
Músculo
erector
del pelo
Los pigmentos que intervienen en el
color del pelo se clasifican a su vez
en:
EUMELANINAS: aporta color negro a
Cafe claro dependiendo en su
cantidad .
FEOMELANINAS: aporta colores
rojizos a rubios dependiendo en su
cantidad.
vaina radicular
interna y externa
Vaina de
tejido
conectivo
dermico
Hiponiquio
Uña
Lecho ungular
Eponiquio
LECHO UNGULAR:EPIDERMIS (estrato basal + espinoso) + DERMIS
UÑAS
MATRIZ
TIPOS DE QUERATINA
TIPO DE
QUERATINA
CLINICA HISTOLOGIA QUIMICA LOCALIZACION
BLANDA
( EPITELIAL)
DESCAMA EN CESTO
<S en la
matriz
PIEL
DURA
(TRICOCITICA)
NO
DESCAMA
COMPACTA
>S en la
matriz
PELOS, UÑAS
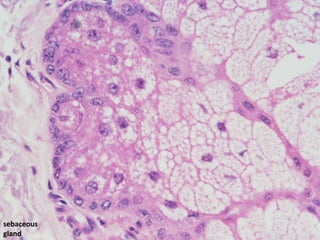
GLÁNDULAS
CUTÁNEAS
Glándulas
sebáceas
UNIDAD PILOSEBACEA
1. Folículo piloso+pelo
2. Glándulas sebáceas.
3. Glándulas sudoríparas
apocrinas
Pelo
Foliculo piloso
Conducto
excretor
Porción
secretora
Células
basales
sebaceous
gland
Glándulas
sudoríparas
Apocrinas
Glándulas sudoríparas Apocrinas
Glandulas Apocrinas
Célula mioepitelial
Células secretoras
El diametro del lumen tubular de las glandulas sudoriparas apocrinas es mas grande
que el de las glandulas ecrinas y el epitelio es mas alto
Glándulas sudoríparas ecrinas
Glándulas
sudoríparas
ecrinas
1. Tienen una porción epidérmica (la unidad epidérmica del
conducto de la glándula: acrosiringio)
2. El conducto dérmico que conduce el sudor a la superficie,una
porción más profunda del conducto que está envuelto en el
proceso secretorio y
3. Un túbulo secretorio en espiral en donde se origina el sudor.
Ubicadas en porción más inferior de dermis limitando con TCS
Acrosiringio
(conducto ecrino
excretor
intraepidérmico)
Acrosiringio
(conducto ecrino
excretor
intraepidérmico)
TERMINALES
NERVIOSAS
Corpúsculos de Pacini
Los Corpúsculos de Pacini responden muy
deprisa a cambios en la presión
Los corpúsculos de Meissner son un tipo de terminaciones nerviosas en la piel que
son responsables de la sensibilidad para el tacto ligero
Irrigación sanguinea

histologiadelapiel-130323110018-phpapp01.ppt

Notas del editor

  • #19 Giulio Bizzozero (20 de marzo de 1846- 8 de abril de 1901) fue un médico e investigador italiano. Se le conoce por descubrir la Helicobacter pylori, bacteria responsable de la úlcera péptica (aunque este hecho no fue aceptado hasta los años 90). Fue un pionero en la histología, además de en el uso del microscopio en la investigación médica. También se le atribuye el descubrimiento del papel de las plaquetas en la coagulación de la sangre
  • #21 Involucrina La Involucrina es una proteína amorfa, rica en azufre, muy resistente a las agresiones químicas, por sus puentes disulfuro y sus enlaces γ-glutamilisina. Es una proteína acídica, epidérmica, localizada tanto en el espesor de la envoltura cornificada como en el citoplasma de los queratinocitos con una estructura química muy alargada, monomérica y asimétrica, con alto porcentaje de residuos de glutámico/glutamina, contiene 37 secuencias de 10 aminoácidos, cada una de ellas con 3 residuos de glutamina y 2 de glutamato que actúa como receptor de aminas a través de los grupos carboxiamida de los residuos de glutamina, en reacción catalizada por la transglutaminasa. Se encuentra en todos los epitelios estratificados, con o sin estrato córneo, en urotelio y en corpúsculos de Hassall del timo. En el epitelio escamoso, la expresión de involucrina comienza varias capas por encima del estrato basal, extendiéndose por la mitad externa del estrato espinoso, estrato granuloso y la capa córnea, primero en el citoplasma y después en la envoltura cornificada, disponiéndose periféricamente, lo que  ha llamado en alambrada. La Involucrina se detecta en todos los epitelios estratificados humanos independientemente de la formación de estrato córneo (lengua,vagina, esófago, córnea, conjuntiva, urotelio), a una distancia variable por encima del estrato basal. A nivel de la vagina, de la lengua y del esófago, la Involucrina se encuentra en la zona de transición entre células de pequeño y de gran tamaño. La Involucrina se observa también en los corpúsculos de Hassall del epitelio tímico. Aunque su presencia es inferior al 5%, un déficit de este tipo de proteínas reduce la función barrera del estrato córneo y causa su deshidratación La función más conocida es formar parte de la envoltura cornificada y servir como estructura sobre la que se entrelazan los filamentos de queratina.  
  • #22 Los lípidos del estrato córneo están compuestos por cantidades equivalentes de ceramidas, colesterol y ácidos grasos libres. Las ceramidas derivan de la hidrólisis de las esfingomielinas por acción de la enzima esfingomielinasa
  • #38 Descritas por primera vez por el entonces estudiante de Medicina Paul Langerhans en 1868,