PROTESIS PARCIAL
   REMOVIBLE
 INTRODUCCION
Definicion de Protesis
 Es la parte de la odontología consagrada al
 estudio de la rehabilitación fisiopatológica de la
 edentación.
 Prost: Restauraciones protéticas
 Odon: Parte de la odontología
 Cia: Consagrado al estudio.
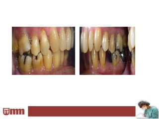
¿Cuándo esta indicada una P.P.R.?

1.- En individuos de edad avanzada o en jóvenes menores
de 20 años
2.- Cuando existen grandes espacios desdentados
3.- En caso de exhiba perdida ósea
4.- En extracciones recientes y en zonas extensas
desdentadas
5.-En periodos de espera después de elevaciones
sinusales y colocación de injertos para implantes
6.-En todos casos libres unilaterales y bilaterales
7.- Boca con movilidad generalizada de tipo I
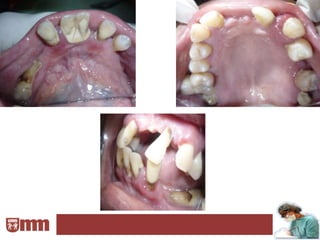
CONTRAINDICACIONES

1. Pacientes con boca séptica
2. Presencia de inflamación en los tejidos.
3. Presencia de torus o exostosis que impidan la
   rehabilitación.
4. Presencia de neoplasias malignas
CONDICIONES ÓPTIMAS PARA REALIZAR
LA P.P.R

El examen bucal debe ser completo e incluir inspección
visual y palpación de piezas dentarias y tejidos,
exploración y sondaje periodontal, seriadas radiográficas,
test de vitalidad de piezas en estado crítico y un examen
de modelos montados en articulador.
La preparación de la boca de un paciente que va a
recibir prótesis parcial removible comprende
los procedimientos y medidas al alcance
del odontólogo para adecuar la boca a
las necesidades y conveniencias del
tratamiento.
Examen Bucal

1-Visual y exploratorio:
•Número de dientes, posición y situación
en la boca.
•Presencia de caries, susceptibilidad y
restauraciones existentes.
•Hábitos de higiene oral.
•Examen de la oclusión, dimensión
vertical y espacio libre.
•Control de los movimientos
mandibulares
•Relaciones maxilares horizontales
•Examen y estudio de las facetas de
desgaste
2.- Exploración Manual

• Movilidad de las piezas dentarias.
• Exploración de bolsas periodontales.
• Caries existentes y sus tratamientos.
• Endodoncias posibles.
• Anomalías y planificación de su
corrección.
• Palpación de rebordes
3-. Análisis Radiográficos
•Permiten determinar áreas de infección u otras
patologías.
•Detectar restos radiculares, piezas retenidas, espículas
óseas, irregularidades de la cresta alveolar.
•Presencia y extensión de caries.
•Evaluación de restauraciones existentes.
•Verificar tratamientos Endodónticos anteriores.
•Evaluar el estado periodontal.
•Evaluar el soporte alveolar de las piezas pilares y
longitud y morfología de sus raíces.
4-. Análisis de la ATM


•Estudio en apertura y cierre. Existencia de ruidos.
•Síntomas relacionados con la oclusión.
•Limitación en la apertura y cierre.
•Dolor o presión en los oídos.
•Repercusión de estas en nuestro tratamiento.
5.-Análisis de la oclusión:

     Comprobar la relación céntrica y relación
    de máxima intercuspidación.
     Análisis de contactos prematuros e
    interferencias.
     Dimensión vertical, espacio libre y
    pruebas de fonética.
6.-Alivio del dolor o molestias:
Se debe aliviar el dolor causado por defectos dentales
y de oclusión y detener la actividad cariogénica a
través de restauraciones provisorias.
7.- Profilaxis oral:
Permite el examen adecuado de las piezas dentarias y
modelos de estudios exactos.
 8.- Prueba de vitalidad de las piezas remanentes:
 Especialmente en piezas que serán usadas como
 pilares y que posean restauraciones profundas o
 lesiones por caries.
Las prótesis en la boca se pueden apoyar en:


                        En dientes
Sobre la mucosa         propios del       Sobre implantes
                         paciente
• Encías             • En forma de       • Podrán ser
• Paladar ( bóveda     ganchos             prótesis fijas
  palatina)            (retenedores)     • Y removibles
                     • Y en forma de
                       coronas y sus
                       variantes
                       (onlay,Tinker,
                       etc.)
Según el apoyo de la prótesis diremos que son:

    Mucosoportadas               Se apoyan exclusivamente sobre la mucosa bucal


     Dentosoportadas            Se apoyan en piezas dentarias propias del paciente


   Implantosoportadas                  Se apoyan sobre implantes dentarios


    Mucodentosoportadas
                               Se apoyan sobre la mucosa y en los dientes propios del
                                                    paciente

   Mucoimplantosoportadas     Se apoyan sobre la mucosa bucal e implantes dentarios


    Dentoimplantosoportadas
                                Se apoyan en dientes del paciente y en implantes
                                                   dentarios.

Introduccion Protesis Parcial Removible

  • 1.
    PROTESIS PARCIAL REMOVIBLE INTRODUCCION
  • 2.
    Definicion de Protesis Es la parte de la odontología consagrada al estudio de la rehabilitación fisiopatológica de la edentación. Prost: Restauraciones protéticas Odon: Parte de la odontología Cia: Consagrado al estudio.
  • 3.
    ¿Cuándo esta indicadauna P.P.R.? 1.- En individuos de edad avanzada o en jóvenes menores de 20 años 2.- Cuando existen grandes espacios desdentados 3.- En caso de exhiba perdida ósea
  • 4.
    4.- En extraccionesrecientes y en zonas extensas desdentadas 5.-En periodos de espera después de elevaciones sinusales y colocación de injertos para implantes 6.-En todos casos libres unilaterales y bilaterales 7.- Boca con movilidad generalizada de tipo I
  • 5.
    CONTRAINDICACIONES 1. Pacientes conboca séptica 2. Presencia de inflamación en los tejidos. 3. Presencia de torus o exostosis que impidan la rehabilitación. 4. Presencia de neoplasias malignas
  • 6.
    CONDICIONES ÓPTIMAS PARAREALIZAR LA P.P.R El examen bucal debe ser completo e incluir inspección visual y palpación de piezas dentarias y tejidos, exploración y sondaje periodontal, seriadas radiográficas, test de vitalidad de piezas en estado crítico y un examen de modelos montados en articulador. La preparación de la boca de un paciente que va a recibir prótesis parcial removible comprende los procedimientos y medidas al alcance del odontólogo para adecuar la boca a las necesidades y conveniencias del tratamiento.
  • 7.
    Examen Bucal 1-Visual yexploratorio: •Número de dientes, posición y situación en la boca. •Presencia de caries, susceptibilidad y restauraciones existentes. •Hábitos de higiene oral. •Examen de la oclusión, dimensión vertical y espacio libre. •Control de los movimientos mandibulares •Relaciones maxilares horizontales •Examen y estudio de las facetas de desgaste
  • 11.
    2.- Exploración Manual •Movilidad de las piezas dentarias. • Exploración de bolsas periodontales. • Caries existentes y sus tratamientos. • Endodoncias posibles. • Anomalías y planificación de su corrección. • Palpación de rebordes
  • 12.
    3-. Análisis Radiográficos •Permitendeterminar áreas de infección u otras patologías. •Detectar restos radiculares, piezas retenidas, espículas óseas, irregularidades de la cresta alveolar. •Presencia y extensión de caries. •Evaluación de restauraciones existentes. •Verificar tratamientos Endodónticos anteriores. •Evaluar el estado periodontal. •Evaluar el soporte alveolar de las piezas pilares y longitud y morfología de sus raíces.
  • 15.
    4-. Análisis dela ATM •Estudio en apertura y cierre. Existencia de ruidos. •Síntomas relacionados con la oclusión. •Limitación en la apertura y cierre. •Dolor o presión en los oídos. •Repercusión de estas en nuestro tratamiento.
  • 16.
    5.-Análisis de laoclusión: Comprobar la relación céntrica y relación de máxima intercuspidación. Análisis de contactos prematuros e interferencias. Dimensión vertical, espacio libre y pruebas de fonética.
  • 17.
    6.-Alivio del doloro molestias: Se debe aliviar el dolor causado por defectos dentales y de oclusión y detener la actividad cariogénica a través de restauraciones provisorias. 7.- Profilaxis oral: Permite el examen adecuado de las piezas dentarias y modelos de estudios exactos. 8.- Prueba de vitalidad de las piezas remanentes: Especialmente en piezas que serán usadas como pilares y que posean restauraciones profundas o lesiones por caries.
  • 18.
    Las prótesis enla boca se pueden apoyar en: En dientes Sobre la mucosa propios del Sobre implantes paciente • Encías • En forma de • Podrán ser • Paladar ( bóveda ganchos prótesis fijas palatina) (retenedores) • Y removibles • Y en forma de coronas y sus variantes (onlay,Tinker, etc.)
  • 19.
    Según el apoyode la prótesis diremos que son: Mucosoportadas Se apoyan exclusivamente sobre la mucosa bucal Dentosoportadas Se apoyan en piezas dentarias propias del paciente Implantosoportadas Se apoyan sobre implantes dentarios Mucodentosoportadas Se apoyan sobre la mucosa y en los dientes propios del paciente Mucoimplantosoportadas Se apoyan sobre la mucosa bucal e implantes dentarios Dentoimplantosoportadas Se apoyan en dientes del paciente y en implantes dentarios.