INTRODUCCION
• La alta incidencia de esta
enfermedad en los países
desarrollados y el brusco
aumento de los casos
nuevos en los países en
rápido desarrollo.
• La velocidad de este aumento es tal
que no se puede atribuir en su
totalidad a factores hereditarios.
• Al menos parte de la causa se debe a
nuestro medioambiente o a nuestro
estilo de vida actual.
GLOBOCAN, 2012
DJ, Daling JR, Clinical CHARACTERISTICS OF DIFFERENT HISTOLOGIC TYPES OF BREAST CANCER. LI CI, URIBE, BR J CANCER. 2005;93(9):1046
PATOLOGÍA Y GENÉTICA DE TUMORES DE LA MAMA Y TRACTO GENITAL FEMENINO. OMS. 2003
Tumores Epiteliales Lesiones intraductales proliferativas Tumores Fibroepiteliales
Ca Ductal Invasor, Not otherwise specified Hiperplasia ductal usual Fibroadenoma
Carcinoma de tipo mixto Atipia epitelial Tumor Phyllodes
Carcinoma pleomórfico Hiperplasia ductal atípica Benigno
Carcinoma con patrón coriocarcinomatoso Carcinoma ducal in situ Limítrofe
Carcinoma con patrón melnocítico Carcinoma micoinvasor Maligno
Carcinoma Lobulillar Invasor Neoplasia Papilar intraductal Sarcoma estromal periductal
Carcinoma Tubular Papiloma central Hamartoma mamario
Carcinoma cribiforme Invasor Papiloma periférico
Carcinoma Medular Palimoa atípico Tumores del Pezón
Carcinoma Mucinoso y otros tumores con abundante mucina Carcinoma papilar intraductal Adenoma del pezón
Carcinoma Mucinoso Carcinoma papilar intraquístico Adenoma siringomatoso
Cistadenocarcinoma y carcinoma mucinoso de células columnare Proliferaciones epiteliales benignas Enfermedad de Paget
Carcinoma en anillo de sello Variantes que incluyen adenosis
Tumores Neuroendrócrinos Adenosis esclerosante Linfoma Maligno
Carcinoma Sólido neuroendócrino Adenosis apócrino Linfoma difuso de cel-B
Tumor carcinoide atipica Adenosis microglandular Linfoma de Burkit
Carcinoma de células pequeñas Adenosis adenomioepitelial Linfoma folicular
Carcinoma neuroendócrino de células largas Adenomas
Carcinoma Papilar Invasor Adenoma tubular Tumores Metastásicos
Carcinoma Micropapilar Invasor Adenoma apócrino Ginecomastia
Carcinoma Apócrino Adenoma pleomórfico
Carcinoma Metaplásico Adenoma ducto
Carcinomas metaplásicos epiteliales puros Leiones mioepiteliales
Carcinoma de células escamosas Mioepiteliosis
Carcinoma Adenoescamoso Adenomioepitelioma
Carcinoma Mucoepidermoide Mioepitelioma maligno
Carcinoma Metaplasico Epitelial Mixto
Carcinoma Lipidico Tumores Mesenquimales
Carcinoma Secretor Hemangioma
Carcinoma Oncocítico Angiomatosis
Carcinoma Adenoideo quístico Hemangiopericitoma
Carcinoma de células acínicas Hiperplasia estromal pseudoangiomatosa
Carcinoma rico en glucógeno Miofibroblastoma
Carcinoma sebaceo Fribromatosis
Carcinoma Inflamatorio Tumore miofibroblastico inflamatorio
Neoplasia lobular Lipoma
Carcinoma lobulillar in situ Angiolipoma
Neurofibroma
Ductal Infiltrante
76%
Lobulillar Infiltrante
8%
Ductal/Lobulillar
7%
Mucinoso 2.4%
Tubular
1.5%
Medular
1.2%
Papilar
1%
FACTORES
DE
RIESGO
EDAD
RAZA
REPRODUCTIVOS HORMONALES
GENÉTICOS
LESIONES
PROLIFERATIVAS
K McPherson, C M Steel, J M Dixon, BMJ VOL321 9 SEPT 2000
Trastornos hereditarios
DeVita, Lippincott Williams & Wilkins, 2011
Consenso mexicano sobre diagnóstico y tratamiento del cáncer mamario, Colima 2017, Masson Doyma México
FACTORES DE RIESGO
ALCOHOL
2013 Light alcohol drinking and cancer: a
meta-analysis:
RR: 1.05
IC 95%: 1.02-1.08
Riesgo relacionado con cantidad y TRH.
TABAQUISMO
2008: Cigarette Smoking, N-
Acetyltransferase 2 Genotypes, and Breast
Cancer Risk: Pooled Analysis and Meta-
analysis
Acetiladores lentos y N-acetyltransferasa 2
e historia de >20 a
RR: 1.44 (IC 95%: 1.23-1.68)
TRABAJO NOCTURNO
2007 IARC/WHO: Probable carcinógeno por
disrupción circadiana
2012 Case control study of shift-work and
breast cancer risk in Danish nurses: Impact
of shift systems: Supresión de producción
de melatonina nocturna, se necesitan mas
estudios
OR: 1.8 (IC 95%: 1.2-2.8)
OR: 2.6 (IC 95%: 1.8-3.8)
EXPOSICIÓN TERAPEÚTICA
RADIACIÓN IONIZANTE
PREPUBER: 10-14 a mayor riesgo.
45 a exceso de riesgo.
>45 a no parece haber aumento de riesgo.
Annals of Oncology Bagnardi et al. Light alcohol drinking and cancer: a meta-analysis , Vol 24 , No. 2 , February 2013
Cancer Epidemiol Biomarkers Prev, Cigarette Smoking, NAT2, and Breast Cancer Risk2008;17(1). January 2008
European Journal of cancer, 2012..
Surveillance for Breast Cancer in Women Treated with Chest Radiation for a Childhood, Adolescent or Young Adult Cancer: A
Report from the Children's Oncology Group, Ann Intern Med. 2010
CONSENSO MEXICANO SOBRE DIAGNÓSTICO Y TRATAMIENTO
DEL CÁNCER MAMARIO
Auto
exploración
A partir de
18 a
Examen
Físico
A partir de
25 a
Mastografía
A partir de
40 a
Consenso mexicano sobre diagnóstico y tratamiento del cáncer mamario, Colima 2021, Masson Doyma México
CUADRO CLÍNICO
 ENF LOCALMENTE AVANZADO
 Adenopatías axilares
 Eritema
 Piel de naranja
 Cútánides
CUADRO CLÍNICO
 SIGNOS Y SÍNTOMAS
 Asintomáticas (30%) mastografía.
 Tumor palpable
 Clásico: Tumor palpable, indurado, no móvil,
bordes irregulares, con lesión solitaria.
 Asimetría mamaria
ENF METASTÁSICA:
15-40% de recurrencias locales
(60%)
Avanzados síntomas generales.
80% de lesión palpable NO CANCER
Lippincott, Williams, & Wilkins, Baltimore 2009. p.910.
 Hueso 20-60 %
 Pulmón Pleura 15-25%
 Cerebro 5-10%
 Hígado 10-25%
 Locorregional 20-40 % Disaia, creasman, clinical gynecologic oncology, Breast diseases,2010.
A New York Times feature story, dated Nov 3, 1912
TAMAÑO DEL TUMOR
T x
T 0
T is
Tis CDis
Tis CLis
Tis Paget
AMERICAN JOINT COMMITTEE ON CANCER • 2010
T1 mic
TAMAÑO DEL
TUMOR
AMERICAN JOINT COMMITTEE ON CANCER • 2010
T1a
T1b
T1c
TAMAÑO DEL
TUMOR
AMERICAN JOINT COMMITTEE ON CANCER • 2010
AMERICAN JOINT COMMITTEE ON CANCER • 2010
TAMAÑO DEL
TUMOR
T4a T4b
T4c T4d
N0 células aisladas
• Hasta 0.2 mm
• Menor de 200 células
tumorales
N1mic
• >0.2mm-2.00 mm
• 200 células tumorales
GANGLIOS REGIONALES
AMERICAN JOINT COMMITTEE ON CANCER • 2010
N2a N2b
GANGLIOS REGIONALES
AMERICAN JOINT COMMITTEE ON CANCER • 2010
N3c
N3b
N3a
METÁSTASIS
AMERICAN JOINT COMMITTEE ON CANCER • 2010
ESTADIO CLÍNICO
ESTADIO T N M
EC 0 Tis N0 M0
EC IA T1 N0 M0
EC IB T0
T1
N1mi
N1mi
M0
M0
EC IIA T0
T1
T2
N1
N1
N0
M0
M0
M0
EC IIB T2 N1 M0
ESTADIO T N M
EC IIB T3 N0 M0
EC IIIA T0
T1
T2
T3
T3
N2
N2
N2
N1
N2
M0
M0
M0
M0
M0
EC IIIB T4
T4
T4
N0
N1
N2
Mo
Mo
M0
EC IIIC Cualquier T N3 M0
EC IV Cualquier T Cualquier N M1
DIAGNÓSTICO
La Niña Enferma Edward Munch 1886
HISTORIA
CLÍNICA
IMAGEN
EXPLORACIÓN
FÍSICA
HISTOPATOLÓGICO
Exploración física
Objetivo: determinar lesión dominante, tamaño y localización
 - 4 % se detecta por este método.
 - Sensibilidad muy Baja.
 - 4 % cuando el tumor es de 0.3
cms.
- > 90 % en tumores de >
de 1 cms.
 - Habilidad del experto : 43 %
Bland K, Copeland E. The Breast. 2009.
Brazos
extendidos sobre
la cabeza
Manos
presionadas
contra las
cadenas
Sentada e
inclinada
Reclinada
Imagen
MASTOGRAFÍA
-80% lesiones no palpables
- S: 85 % E: 87-99.5%
- FP: 3.6 -77.4%
ULTRASONIDO MAMARIO Y AXILAR
- Estudio complementario
- S: 55-85% E: 55-79%
RESONANCIA MAGNÉTICA
- Estudio complementario
- S: 91-100% E: 37-67% - FP: 2.6-79.7%
TOMOSÍNTESIS
- Proyecciones Rayos X en 3D
- S: 89% E: 92%
1.- Nódulos
• Pueden ser bien delimitados
• Contornos lisos (típicos de
quistes o fibroadenomas)
• Irregulares o espiculados
(Típicos de Cáncer de mama)
2.- Micro calcificaciones
• Pueden presentar diferentes morfologías
• Numerosas, en líneas finas o ramificadas son
las más preocupantes
3.- Asimetrías
• Diferencias en la densidad o
cantidad de tejido
fibroglandular
• Compara una mama con la
misma zona de la
contralateral
4.- Distorsión
arquitectural
Alteración en el patrón
en panal o en encaje del
tejido glandular
La espiculación es una
forma de distorsión
Las características
específicas que
sugieren el diagnóstico
de Cáncer de mama
comprenden:
 Masa sólida con
características
estelares o sin ellas.
 Engrosamiento
asimétrico de tejidos
mamarios.
 Microcalcificaciones
agrupadas
• Puntilleo fino de calcio en la lesión sospechosa y alrededor de
ella sugiere Ca de mama.
- Ocurre hasta en 50% de los canceres no palpables
- Son un signo de Ca con especial importancia en mujeres jóvenes
Ecografía
Método diagnóstico complementario
El segundo método usado para obtener
imágenes de mama
 Valoración de lesiones palpables no visibles en la
mastografía.
 Procesos infecciosos (mastitis, abscesos, etc.) y su
seguimiento.
 Lesiones sospechosas en la mastografía, o primario
conocido, para descartar lesiones multifocales,
multicéntricas o bilaterales.
 Guía de procedimientos invasivos
 Sospecha de cáncer que cursen con embarazo o
lactancia.
 Mama densa por mastografía.
 Caracterización de una tumoración visible en la
mastografía y determinación de su naturaleza, sólida o
líquida.
 Implantes mamarios y sus complicaciones.
Indicaciones
• Embarazo, lactancia o inflamación
• Mamas con prótesis
• Aspiración de quiste, biopsias por aspiración
aguja fina
Incapaz de detectar micro calcificaciones
-Hasta un 50% de los Ca no palpables se
manifiestan por calcificaciones
No es el método inicial para el screening de
mama
TUMORES benignas:
- Muestran contornos lisos
- Formas redondas u ovales
- Ecos internos débiles y márgenes anterior y posterior bien definidos
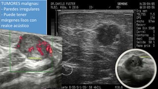
TUMORES malignas:
- Paredes irregulares
- Puede tener
márgenes lisos con
realce acústico
BIRADS
Breast Imaging Reporting and Data System
Categoría Descripción Porcentaje Recomendación
0 Estudio insuficiente - Necesita otros estudios
1 estudio normal 0% control habitual
2 Patología Benigna 0% Control habitual
3 Sugestiva de benignidad < 2% Control 6 meses
4 a
4 b
4 c
Baja a moderada sospecha
Moderada sospecha
Moderada a alta sospecha
> 2 al 10%
11 al 40%
41 al 94%
Considerar estudio histológico
5 Alta sospecha malignidad 95% Estudio histológico
6 Malignidad confirmada 100% -
American College of Radiology, Reston, VA, 2003.
BIOPSIA
BAAF AGUJA DE CORTE VACUUM BX QUIRÚRGICA
Especificidad : 97%
Sensibilidad : 72-94%
Especificidad: 99%
Sensibilidad: 91%
Similar a aguja de corte
Alta sensibilidad
100%
FN: 0-32% Lesiones sólidos FN: 0.5 a 22% FN: 1.0%
Operador dependiente
No diferencia invasión
Complicaciones:
Múltiples punciones
Lesión de músculos,
intratorácica o periductal
Mayor sangrado
Riesgo de hematoma
Mayor volumen de tejido Fallas de 1.1%
Recomendada para
evaluación de ganglios
axilares
Quistes
DX e IHQ Mejores resultados
Biopsia de calcificaciones Costo
Anestesia.
cicatriz
Calibre de aguja: 22-25 g 11-14 g 9, 11, 14 g -
Utilization of minimally invasive breast biopsy for the evaluation of suspicious breast lesions., AUGutwein , Am J Surg. 2011;202(2):127.
A New York Times feature story, dated Nov 3, 1912
.
AJCC CANCER STAGING MANUAL 7° EDITION. 2010.
95 %
85 %
50 %
18 %
EC SV 5 AÑOS ENFERMEDAD
0 93% IN SITU
I 88%
TEMPRANA
IIA 81%
IIB 74%
LOCALMENTE
AVANZADA
IIIA 67%
IIIB 41%
IIIC 49%
IV 15% METASTÁSICA
mama gil.pptx
mama gil.pptx
mama gil.pptx

mama gil.pptx

  • 3.
    INTRODUCCION • La altaincidencia de esta enfermedad en los países desarrollados y el brusco aumento de los casos nuevos en los países en rápido desarrollo. • La velocidad de este aumento es tal que no se puede atribuir en su totalidad a factores hereditarios. • Al menos parte de la causa se debe a nuestro medioambiente o a nuestro estilo de vida actual.
  • 7.
  • 10.
    DJ, Daling JR,Clinical CHARACTERISTICS OF DIFFERENT HISTOLOGIC TYPES OF BREAST CANCER. LI CI, URIBE, BR J CANCER. 2005;93(9):1046 PATOLOGÍA Y GENÉTICA DE TUMORES DE LA MAMA Y TRACTO GENITAL FEMENINO. OMS. 2003 Tumores Epiteliales Lesiones intraductales proliferativas Tumores Fibroepiteliales Ca Ductal Invasor, Not otherwise specified Hiperplasia ductal usual Fibroadenoma Carcinoma de tipo mixto Atipia epitelial Tumor Phyllodes Carcinoma pleomórfico Hiperplasia ductal atípica Benigno Carcinoma con patrón coriocarcinomatoso Carcinoma ducal in situ Limítrofe Carcinoma con patrón melnocítico Carcinoma micoinvasor Maligno Carcinoma Lobulillar Invasor Neoplasia Papilar intraductal Sarcoma estromal periductal Carcinoma Tubular Papiloma central Hamartoma mamario Carcinoma cribiforme Invasor Papiloma periférico Carcinoma Medular Palimoa atípico Tumores del Pezón Carcinoma Mucinoso y otros tumores con abundante mucina Carcinoma papilar intraductal Adenoma del pezón Carcinoma Mucinoso Carcinoma papilar intraquístico Adenoma siringomatoso Cistadenocarcinoma y carcinoma mucinoso de células columnare Proliferaciones epiteliales benignas Enfermedad de Paget Carcinoma en anillo de sello Variantes que incluyen adenosis Tumores Neuroendrócrinos Adenosis esclerosante Linfoma Maligno Carcinoma Sólido neuroendócrino Adenosis apócrino Linfoma difuso de cel-B Tumor carcinoide atipica Adenosis microglandular Linfoma de Burkit Carcinoma de células pequeñas Adenosis adenomioepitelial Linfoma folicular Carcinoma neuroendócrino de células largas Adenomas Carcinoma Papilar Invasor Adenoma tubular Tumores Metastásicos Carcinoma Micropapilar Invasor Adenoma apócrino Ginecomastia Carcinoma Apócrino Adenoma pleomórfico Carcinoma Metaplásico Adenoma ducto Carcinomas metaplásicos epiteliales puros Leiones mioepiteliales Carcinoma de células escamosas Mioepiteliosis Carcinoma Adenoescamoso Adenomioepitelioma Carcinoma Mucoepidermoide Mioepitelioma maligno Carcinoma Metaplasico Epitelial Mixto Carcinoma Lipidico Tumores Mesenquimales Carcinoma Secretor Hemangioma Carcinoma Oncocítico Angiomatosis Carcinoma Adenoideo quístico Hemangiopericitoma Carcinoma de células acínicas Hiperplasia estromal pseudoangiomatosa Carcinoma rico en glucógeno Miofibroblastoma Carcinoma sebaceo Fribromatosis Carcinoma Inflamatorio Tumore miofibroblastico inflamatorio Neoplasia lobular Lipoma Carcinoma lobulillar in situ Angiolipoma Neurofibroma Ductal Infiltrante 76% Lobulillar Infiltrante 8% Ductal/Lobulillar 7% Mucinoso 2.4% Tubular 1.5% Medular 1.2% Papilar 1%
  • 11.
  • 12.
    Trastornos hereditarios DeVita, LippincottWilliams & Wilkins, 2011 Consenso mexicano sobre diagnóstico y tratamiento del cáncer mamario, Colima 2017, Masson Doyma México
  • 13.
    FACTORES DE RIESGO ALCOHOL 2013Light alcohol drinking and cancer: a meta-analysis: RR: 1.05 IC 95%: 1.02-1.08 Riesgo relacionado con cantidad y TRH. TABAQUISMO 2008: Cigarette Smoking, N- Acetyltransferase 2 Genotypes, and Breast Cancer Risk: Pooled Analysis and Meta- analysis Acetiladores lentos y N-acetyltransferasa 2 e historia de >20 a RR: 1.44 (IC 95%: 1.23-1.68) TRABAJO NOCTURNO 2007 IARC/WHO: Probable carcinógeno por disrupción circadiana 2012 Case control study of shift-work and breast cancer risk in Danish nurses: Impact of shift systems: Supresión de producción de melatonina nocturna, se necesitan mas estudios OR: 1.8 (IC 95%: 1.2-2.8) OR: 2.6 (IC 95%: 1.8-3.8) EXPOSICIÓN TERAPEÚTICA RADIACIÓN IONIZANTE PREPUBER: 10-14 a mayor riesgo. 45 a exceso de riesgo. >45 a no parece haber aumento de riesgo. Annals of Oncology Bagnardi et al. Light alcohol drinking and cancer: a meta-analysis , Vol 24 , No. 2 , February 2013 Cancer Epidemiol Biomarkers Prev, Cigarette Smoking, NAT2, and Breast Cancer Risk2008;17(1). January 2008 European Journal of cancer, 2012.. Surveillance for Breast Cancer in Women Treated with Chest Radiation for a Childhood, Adolescent or Young Adult Cancer: A Report from the Children's Oncology Group, Ann Intern Med. 2010
  • 15.
    CONSENSO MEXICANO SOBREDIAGNÓSTICO Y TRATAMIENTO DEL CÁNCER MAMARIO Auto exploración A partir de 18 a Examen Físico A partir de 25 a Mastografía A partir de 40 a Consenso mexicano sobre diagnóstico y tratamiento del cáncer mamario, Colima 2021, Masson Doyma México
  • 16.
  • 17.
     ENF LOCALMENTEAVANZADO  Adenopatías axilares  Eritema  Piel de naranja  Cútánides CUADRO CLÍNICO  SIGNOS Y SÍNTOMAS  Asintomáticas (30%) mastografía.  Tumor palpable  Clásico: Tumor palpable, indurado, no móvil, bordes irregulares, con lesión solitaria.  Asimetría mamaria ENF METASTÁSICA: 15-40% de recurrencias locales (60%) Avanzados síntomas generales. 80% de lesión palpable NO CANCER Lippincott, Williams, & Wilkins, Baltimore 2009. p.910.  Hueso 20-60 %  Pulmón Pleura 15-25%  Cerebro 5-10%  Hígado 10-25%  Locorregional 20-40 % Disaia, creasman, clinical gynecologic oncology, Breast diseases,2010.
  • 18.
    A New YorkTimes feature story, dated Nov 3, 1912
  • 19.
    TAMAÑO DEL TUMOR Tx T 0 T is Tis CDis Tis CLis Tis Paget AMERICAN JOINT COMMITTEE ON CANCER • 2010
  • 20.
    T1 mic TAMAÑO DEL TUMOR AMERICANJOINT COMMITTEE ON CANCER • 2010 T1a T1b T1c
  • 21.
    TAMAÑO DEL TUMOR AMERICAN JOINTCOMMITTEE ON CANCER • 2010
  • 22.
    AMERICAN JOINT COMMITTEEON CANCER • 2010 TAMAÑO DEL TUMOR T4a T4b T4c T4d
  • 23.
    N0 células aisladas •Hasta 0.2 mm • Menor de 200 células tumorales N1mic • >0.2mm-2.00 mm • 200 células tumorales GANGLIOS REGIONALES AMERICAN JOINT COMMITTEE ON CANCER • 2010 N2a N2b
  • 24.
    GANGLIOS REGIONALES AMERICAN JOINTCOMMITTEE ON CANCER • 2010 N3c N3b N3a
  • 25.
  • 26.
    ESTADIO CLÍNICO ESTADIO TN M EC 0 Tis N0 M0 EC IA T1 N0 M0 EC IB T0 T1 N1mi N1mi M0 M0 EC IIA T0 T1 T2 N1 N1 N0 M0 M0 M0 EC IIB T2 N1 M0 ESTADIO T N M EC IIB T3 N0 M0 EC IIIA T0 T1 T2 T3 T3 N2 N2 N2 N1 N2 M0 M0 M0 M0 M0 EC IIIB T4 T4 T4 N0 N1 N2 Mo Mo M0 EC IIIC Cualquier T N3 M0 EC IV Cualquier T Cualquier N M1
  • 27.
  • 28.
  • 29.
    Exploración física Objetivo: determinarlesión dominante, tamaño y localización  - 4 % se detecta por este método.  - Sensibilidad muy Baja.  - 4 % cuando el tumor es de 0.3 cms. - > 90 % en tumores de > de 1 cms.  - Habilidad del experto : 43 % Bland K, Copeland E. The Breast. 2009.
  • 31.
  • 32.
  • 38.
    Imagen MASTOGRAFÍA -80% lesiones nopalpables - S: 85 % E: 87-99.5% - FP: 3.6 -77.4% ULTRASONIDO MAMARIO Y AXILAR - Estudio complementario - S: 55-85% E: 55-79% RESONANCIA MAGNÉTICA - Estudio complementario - S: 91-100% E: 37-67% - FP: 2.6-79.7% TOMOSÍNTESIS - Proyecciones Rayos X en 3D - S: 89% E: 92%
  • 39.
    1.- Nódulos • Puedenser bien delimitados • Contornos lisos (típicos de quistes o fibroadenomas) • Irregulares o espiculados (Típicos de Cáncer de mama)
  • 40.
    2.- Micro calcificaciones •Pueden presentar diferentes morfologías • Numerosas, en líneas finas o ramificadas son las más preocupantes
  • 41.
    3.- Asimetrías • Diferenciasen la densidad o cantidad de tejido fibroglandular • Compara una mama con la misma zona de la contralateral 4.- Distorsión arquitectural Alteración en el patrón en panal o en encaje del tejido glandular La espiculación es una forma de distorsión
  • 42.
    Las características específicas que sugierenel diagnóstico de Cáncer de mama comprenden:  Masa sólida con características estelares o sin ellas.  Engrosamiento asimétrico de tejidos mamarios.  Microcalcificaciones agrupadas
  • 43.
    • Puntilleo finode calcio en la lesión sospechosa y alrededor de ella sugiere Ca de mama. - Ocurre hasta en 50% de los canceres no palpables - Son un signo de Ca con especial importancia en mujeres jóvenes
  • 44.
    Ecografía Método diagnóstico complementario Elsegundo método usado para obtener imágenes de mama  Valoración de lesiones palpables no visibles en la mastografía.  Procesos infecciosos (mastitis, abscesos, etc.) y su seguimiento.  Lesiones sospechosas en la mastografía, o primario conocido, para descartar lesiones multifocales, multicéntricas o bilaterales.  Guía de procedimientos invasivos  Sospecha de cáncer que cursen con embarazo o lactancia.  Mama densa por mastografía.  Caracterización de una tumoración visible en la mastografía y determinación de su naturaleza, sólida o líquida.  Implantes mamarios y sus complicaciones.
  • 45.
    Indicaciones • Embarazo, lactanciao inflamación • Mamas con prótesis • Aspiración de quiste, biopsias por aspiración aguja fina Incapaz de detectar micro calcificaciones -Hasta un 50% de los Ca no palpables se manifiestan por calcificaciones No es el método inicial para el screening de mama
  • 46.
    TUMORES benignas: - Muestrancontornos lisos - Formas redondas u ovales - Ecos internos débiles y márgenes anterior y posterior bien definidos
  • 47.
    TUMORES malignas: - Paredesirregulares - Puede tener márgenes lisos con realce acústico
  • 49.
    BIRADS Breast Imaging Reportingand Data System Categoría Descripción Porcentaje Recomendación 0 Estudio insuficiente - Necesita otros estudios 1 estudio normal 0% control habitual 2 Patología Benigna 0% Control habitual 3 Sugestiva de benignidad < 2% Control 6 meses 4 a 4 b 4 c Baja a moderada sospecha Moderada sospecha Moderada a alta sospecha > 2 al 10% 11 al 40% 41 al 94% Considerar estudio histológico 5 Alta sospecha malignidad 95% Estudio histológico 6 Malignidad confirmada 100% - American College of Radiology, Reston, VA, 2003.
  • 50.
    BIOPSIA BAAF AGUJA DECORTE VACUUM BX QUIRÚRGICA Especificidad : 97% Sensibilidad : 72-94% Especificidad: 99% Sensibilidad: 91% Similar a aguja de corte Alta sensibilidad 100% FN: 0-32% Lesiones sólidos FN: 0.5 a 22% FN: 1.0% Operador dependiente No diferencia invasión Complicaciones: Múltiples punciones Lesión de músculos, intratorácica o periductal Mayor sangrado Riesgo de hematoma Mayor volumen de tejido Fallas de 1.1% Recomendada para evaluación de ganglios axilares Quistes DX e IHQ Mejores resultados Biopsia de calcificaciones Costo Anestesia. cicatriz Calibre de aguja: 22-25 g 11-14 g 9, 11, 14 g - Utilization of minimally invasive breast biopsy for the evaluation of suspicious breast lesions., AUGutwein , Am J Surg. 2011;202(2):127.
  • 51.
    A New YorkTimes feature story, dated Nov 3, 1912
  • 52.
    . AJCC CANCER STAGINGMANUAL 7° EDITION. 2010. 95 % 85 % 50 % 18 % EC SV 5 AÑOS ENFERMEDAD 0 93% IN SITU I 88% TEMPRANA IIA 81% IIB 74% LOCALMENTE AVANZADA IIIA 67% IIIB 41% IIIC 49% IV 15% METASTÁSICA

Notas del editor

  • #5 1RA causa de cáncer en mujeres 2do cáncer mas común a nivel mundial 25% de todos los cánceres. 5ta causa de muerte a nivel general Riesgo acumulado mundial: 4.62 INCIDENCIA: 43.3 c x 100,000 MORTALIDAD: 12.9 c x 100,000 áncer reast es el segundo cáncer más común en el mundo y , por lejos, el cáncer más frecuente entre las mujeres con un estimado de 1,67 millones de nuevos casos de cáncer diagnosticados en 2012 ( 25 % de todos los cánceres ) . Es el cáncer más común en las mujeres , tanto en países más y menos desarrollados, las regiones con un poco más de los casos en menos adelantados ( 883.000 casos) que en las regiones más desarrolladas ( 794.000 ) . Las tasas de incidencia varían casi cuatro veces a través de las regiones del mundo , con tasas que van desde 27 por 100.000 en el África central y Asia oriental y el 96 en Europa Occidental. El cáncer de mama se ubica como la quinta causa de muerte por cáncer en general ( 522.000 muertes) y si bien es la causa más frecuente de muerte por cáncer en las mujeres en las regiones menos desarrolladas ( 324 000 defunciones, 14.3 % del total) , ahora es la segunda causa de muerte por cáncer en las regiones más desarrolladas ( 198.000 muertes, 15,4%) después del cáncer de pulmón. El rango de las tasas de mortalidad entre las regiones del mundo es menor que el de incidencia debido a la supervivencia más favorable del cáncer de mama en ( alta incidencia) las regiones desarrolladas , con tasas que van del 6 por 100.000 en Asia del Este y el 20 por 100 000 en África Occidental. ULATION *Quality Numbers Crude Rate ASR (W) Cumulative risk World 1676633 47.9 43.3 4.62 More developed regions 793684 124.1 74.1 7.97 Less developed regions 882949 30.9 31.3 3.25 MORTALIDAD World 521817 14.9 12.9 1.37 More developed regions 197528 30.9 14.9 1.64 Less developed regions 324289 11.4 11.5 1.24
  • #7 1RA causa de cáncer en mujeres 2do cáncer mas común a nivel mundial 25% de todos los cánceres. 5ta causa de muerte a nivel general Riesgo acumulado mundial: 4.62 INCIDENCIA: 43.3 c x 100,000 MORTALIDAD: 12.9 c x 100,000 áncer reast es el segundo cáncer más común en el mundo y , por lejos, el cáncer más frecuente entre las mujeres con un estimado de 1,67 millones de nuevos casos de cáncer diagnosticados en 2012 ( 25 % de todos los cánceres ) . Es el cáncer más común en las mujeres , tanto en países más y menos desarrollados, las regiones con un poco más de los casos en menos adelantados ( 883.000 casos) que en las regiones más desarrolladas ( 794.000 ) . Las tasas de incidencia varían casi cuatro veces a través de las regiones del mundo , con tasas que van desde 27 por 100.000 en el África central y Asia oriental y el 96 en Europa Occidental. El cáncer de mama se ubica como la quinta causa de muerte por cáncer en general ( 522.000 muertes) y si bien es la causa más frecuente de muerte por cáncer en las mujeres en las regiones menos desarrolladas ( 324 000 defunciones, 14.3 % del total) , ahora es la segunda causa de muerte por cáncer en las regiones más desarrolladas ( 198.000 muertes, 15,4%) después del cáncer de pulmón. El rango de las tasas de mortalidad entre las regiones del mundo es menor que el de incidencia debido a la supervivencia más favorable del cáncer de mama en ( alta incidencia) las regiones desarrolladas , con tasas que van del 6 por 100.000 en Asia del Este y el 20 por 100 000 en África Occidental. ULATION *Quality Numbers Crude Rate ASR (W) Cumulative risk World 1676633 47.9 43.3 4.62 More developed regions 793684 124.1 74.1 7.97 Less developed regions 882949 30.9 31.3 3.25 MORTALIDAD World 521817 14.9 12.9 1.37 More developed regions 197528 30.9 14.9 1.64 Less developed regions 324289 11.4 11.5 1.24
  • #8 1RA causa de cáncer en mujeres 2do cáncer mas común a nivel mundial 25% de todos los cánceres. 5ta causa de muerte a nivel general Riesgo acumulado mundial: 4.62 INCIDENCIA: 43.3 c x 100,000 MORTALIDAD: 12.9 c x 100,000 áncer reast es el segundo cáncer más común en el mundo y , por lejos, el cáncer más frecuente entre las mujeres con un estimado de 1,67 millones de nuevos casos de cáncer diagnosticados en 2012 ( 25 % de todos los cánceres ) . Es el cáncer más común en las mujeres , tanto en países más y menos desarrollados, las regiones con un poco más de los casos en menos adelantados ( 883.000 casos) que en las regiones más desarrolladas ( 794.000 ) . Las tasas de incidencia varían casi cuatro veces a través de las regiones del mundo , con tasas que van desde 27 por 100.000 en el África central y Asia oriental y el 96 en Europa Occidental. El cáncer de mama se ubica como la quinta causa de muerte por cáncer en general ( 522.000 muertes) y si bien es la causa más frecuente de muerte por cáncer en las mujeres en las regiones menos desarrolladas ( 324 000 defunciones, 14.3 % del total) , ahora es la segunda causa de muerte por cáncer en las regiones más desarrolladas ( 198.000 muertes, 15,4%) después del cáncer de pulmón. El rango de las tasas de mortalidad entre las regiones del mundo es menor que el de incidencia debido a la supervivencia más favorable del cáncer de mama en ( alta incidencia) las regiones desarrolladas , con tasas que van del 6 por 100.000 en Asia del Este y el 20 por 100 000 en África Occidental. ULATION *Quality Numbers Crude Rate ASR (W) Cumulative risk World 1676633 47.9 43.3 4.62 More developed regions 793684 124.1 74.1 7.97 Less developed regions 882949 30.9 31.3 3.25 MORTALIDAD World 521817 14.9 12.9 1.37 More developed regions 197528 30.9 14.9 1.64 Less developed regions 324289 11.4 11.5 1.24
  • #9 1RA causa de cáncer en mujeres 2do cáncer mas común a nivel mundial 25% de todos los cánceres. 5ta causa de muerte a nivel general Riesgo acumulado mundial: 4.62 INCIDENCIA: 43.3 c x 100,000 MORTALIDAD: 12.9 c x 100,000 áncer reast es el segundo cáncer más común en el mundo y , por lejos, el cáncer más frecuente entre las mujeres con un estimado de 1,67 millones de nuevos casos de cáncer diagnosticados en 2012 ( 25 % de todos los cánceres ) . Es el cáncer más común en las mujeres , tanto en países más y menos desarrollados, las regiones con un poco más de los casos en menos adelantados ( 883.000 casos) que en las regiones más desarrolladas ( 794.000 ) . Las tasas de incidencia varían casi cuatro veces a través de las regiones del mundo , con tasas que van desde 27 por 100.000 en el África central y Asia oriental y el 96 en Europa Occidental. El cáncer de mama se ubica como la quinta causa de muerte por cáncer en general ( 522.000 muertes) y si bien es la causa más frecuente de muerte por cáncer en las mujeres en las regiones menos desarrolladas ( 324 000 defunciones, 14.3 % del total) , ahora es la segunda causa de muerte por cáncer en las regiones más desarrolladas ( 198.000 muertes, 15,4%) después del cáncer de pulmón. El rango de las tasas de mortalidad entre las regiones del mundo es menor que el de incidencia debido a la supervivencia más favorable del cáncer de mama en ( alta incidencia) las regiones desarrolladas , con tasas que van del 6 por 100.000 en Asia del Este y el 20 por 100 000 en África Occidental. ULATION *Quality Numbers Crude Rate ASR (W) Cumulative risk World 1676633 47.9 43.3 4.62 More developed regions 793684 124.1 74.1 7.97 Less developed regions 882949 30.9 31.3 3.25 MORTALIDAD World 521817 14.9 12.9 1.37 More developed regions 197528 30.9 14.9 1.64 Less developed regions 324289 11.4 11.5 1.24
  • #11 Carcinomas mucinosos representan entre el 1 y el 2 por ciento de los cánceres de mama invasivos y parecen ser más comunes en los pacientes de mayor edad. Estas lesiones suelen tener una apariencia gelatinosa blanda en el examen macroscópico, y tendencia a estar bien circunscrito. Carcinomas mucinosos son microscópicamente caracteriza por nidos de células tumorales dispersas en grandes piscinas de moco extracelular; tendencia a las células tienen uniforme, los núcleos de bajo grado (foto 9). Al igual que en los carcinomas tubulares, estas lesiones representan una variante pronóstico también favorable del carcinoma de mama invasivo
  • #13 Genetics of breast cancer. The majority of breast cancers are sporadic, occur randomly, and carry somatic genetic alterations. Hereditary cancer occurs in multiple family members due to germline mutations in high-risk genes which are inherited in autosomal dominant pattern. BRCA1 and BRCA2 are two major high-risk genes associated with hereditary breast cancer. Mutations in CHEK2 contribute to a substantial fraction of familial breast cancer. Carriers of TP53 mutations develop Li-Fraumeni syndrome and are at high risk of developing early onset breast cancer, but these mutations are very rare. Susceptibility alleles in other genes, such as PTEN, ATM, STK11/LKB1, and MSH2/MLH1 are also very rare causes of breast cancer. The majority of familial clustering of breast cancer is unexplained. The susceptibility to breast cancer in this group is presumed to be due to either additional high-penetrance susceptibility genes (which remain to be identified) or variants at many low-penetrance loci, each conferring a moderate risk of the disease (polygenic susceptibility).
  • #19 Identificación de las opciones de tratamiento local adecuado Permite una comparación de resultados entre instituciones y estudios Provee información del pronóstico
  • #28 La Niña Enferma Edward Munch 1886 Nasjonalgalleriet, 0510
  • #39 Método tomográfico de alta resolución Uso de antipartículas Detecta pequeñas lesiones hipermetabólicas Uso actual en bilateralidad y en In situ Sensibilidad 30-93% Especificidad 73-95%