MUSCULO CARDIACO
Dr. Jorge Chamorro.
2009
Órgano principal del aparato circulatorio.
Músculo estriado hueco que actúa como bomba.
CORAZON
Corazón
Bomba de tejido muscular estriado de contracción
involuntaria con un sistema exitoconductor.
Cuatro cámaras: - 2 Aurículas (Atrios): reciben sangre de la
circulación sistémica y pulmonar.
- 2 Ventrículos: bombean la sangre a las
circulaciones arteriales sistémica y
pulmonar.
CORAZON
DIFERENCIAS FUNCIONALES DE LAS FIBRAS
MIOCARDICAS Y ESQUELETICAS
• Diferencia de permeabilidad de la membrana para ciertas sustancias.
• La membrana de la célula muscular cardiaca es mas permeable al Na, que la
esquelética, lo cual permite facilitar la periodicidad del ritmo cardiaco.
• La conducción en el músculo cardiaco es 10 veces menos rápida que en el
músculo esquelético debido al aumento de resistencia en los discos
intercalares.
• El músculo esquelético tiene un potencial de acción mucho mas lento que el
del músculo cardiaco.
FIBRA MIOCARDICA FIBRA ESQUELETICA
ANATOMIA MACROSCOPICA
DEL CORAZON
• El corazón posee un
esqueleto fibroso en el cual
las aurículas se insertan por
encima de este y los
ventrículos por debajo.
• Este esqueleto fibroso une a
a las aurículas y los
ventrículos estructuralmente
y los separa
anatómicamente.
ANATOMIA MACROSCOPICA
DEL CORAZON
• El espesor de la pared auricular
es reducido, la pared ventricular
es mayor, especialmente en el
ventrículo izquierdo y trabaja
con mayores presiones.
• A la aurícula derecha llegan las
2 venas cavas, superior e
inferior, la aurícula izquierda
llegan las 4 venas pulmonares.
• En el ventrículo izquierdo sale
la arteria aorta y en el
ventrículo derecho sale la
arteria pulmonar.
MUSCULO CARDIACO
- Células ramificadas mononucleadas con núcleo central.
- 15 um. diámetro – 100 um. largo.
- No tienen capacidad de regeneración.
- Se alinean en largas cadenas y desarrollan ramificaciones y
anclajes con las células vecinas formando los “discos
intercalares”.
- El mecanismo de contracción es similar al del músculo
estriado.
- Ritmicidad inherente.
Características
CELULAS MUSCULARES
Tejido muscular estriado cardíaco
F
E
Corte transversal músculo cardíaco H-E
Corte longitudinal músculo cardíaco H-E
Corte longitudinal músculo cardíaco H-E
Discos intercalares
HISTOLOGIA MIOCARDIO
HISTOLOGIA
• Son prolongaciones de la
membrana celular de cada
fibra muscular.
FUNCIONES
• Delimitar una fibra muscular
de otra.
• Papel de conexión para
trasmitir el impulso
eléctrico, para participar en
lo que se define como
sincitio funcional
miocárdico.
• Impide que las fibras se
separen en el momento de la
contracción.
ENTRE ELLOS SE
INTERPONE UNA
FORMACIÓN FIBROSA
O TABIQUE
DENOMINADA
Esqueleto
Caediaco
EL MUSCULO AURICULAR Y
VENTRICULAR SON
INDEPENDIENTES
Fibras musculares Cardiacas Fibras musculares Esqueléticas
 Fibras cortas y solo tienen un nucleo en el
centro.
 Las miofibrillas se disponen paralelamente y
están separadas por el sarcoplasma.
 La membrana denominada sarcolema se
invagina y forma a nivel de la linea z los tubulos
T.
 Hay mayor cantidad de, mitocondrias (25%)
y glucogeno.
 Son fibras largas con numerosos
núcleos perifericos en su interior.
 Las miofibrillas se encuentran
agrupadas en paquetes
El músculo esqueletico es voluntario.
DIFERENCIA ENTRE LAS FIBRAS
CARDIACAS Y ESQUELETICAS
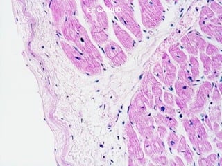
Pared cardiaca (3 capas)
-Epicardio : - capa fibrosa interna de tejido conectivo
- capa serosa externa o mesotelio ( capa
visceral del pericardio).
-Miocardio: formado por varias capas de células musculares estriadas
cardíacas de diferente orientación.
-Endocardio: formado por un endotelio y un subendotelio que es una
fina capa de tejido conectivo laxo.
CORAZON
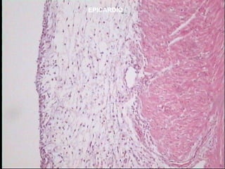
Pericardio
Membrana de tejido fibrocolagenoso compacto y tejido
elástico tapizado por una capa de células mesoteliales planas.
Cavidad pericárdica: Espacio que se encuentra entre las capas
pericárdicas visceral y parietal. Contiene líquido seroso.
EPICARDIO
EPICARDIO
Músculo Cardiaco
El diámetro de la fibras musculares cardiacas varía de
acuerdo con el trabajo al que está sometida la cámara.
-Fibras atriales: -Pequeñas (en relación a las de los ven
entrículos).
-Ramificadas.
-contienen pequeños gránulos
neuroendocrinos cercanos al núcleo.
-Secretan “hormona natriurética atrial” al
elongarse excesivamente Aumenta la
excreción de agua reduce la presión
arterial.
Endocardio
Tapiza el interior de las cámaras del corazón y varía en grosor
en distintas zonas, está compuesto por dos capas:
-Endotelio: Células endoteliales que se continuan con las
células que tapizan los vasos que entran y
salen del corazón.
-Subendotelio: -Es la más gruesa
-Compuesta por fibras colágenas organizadas
-Número variable de fibras elásticas.
-Subendocardio: -Capa en contacto directo con el miocardio.
- Colágeno irregular.
- Contiene fibras de Purkinje.
Esqueleto cardiaco
En los atrios, las fibras musculares convergen a unos anillos
de tejido conectivo denso situados alrededor de los orígenes de
las arterias aorta y pulmonar.
Las fibras musculares de los ventrículos, se insertan en unos
anillos de tejido conectivo que rodean los orificios
atrioventriculares.
Estos 4 anillos se llaman anillos fibrosos y constituyen el
esqueleto cardíaco junto con el septo membranoso de la parte
superior del tabique interventricular.
Válvulas cardiacas
-Compuestas por tejido fibroso y elástico
-Revestidas por endotelio.
-Se unen al esqueleto fibrocolagenoso y a través de las
cuerdas tendineas a los músculos papilares cardiacos.
-Son avasculares.
-Aórtica
-Mitral
-Pulmonar
-Tricúspide
Sus estructuras son:
•Válvula aurículoventricular.
•Conjunto de anillos.
•Valvas.
•Cuerdas tendinosas.
•Músculos papilares.
CUERDAS TENDINOSAS.
•Formaciones fibrosas que limitan el desplazamiento valvular para
impedir que la sangre retorne.
•Se insertan en los músculos papilares por un extremo de los bordes
libres y cara inferior de las válvulas.
CUERDAS TENDINOSAS
MÚSCULOS PAPILARES.
Se contraen para impedir el regreso de la sangre hacia la auricula
mediante la sístole.
Músculos papilares ventrículo derecho.
1. Músculos papilar principal anterior.
2. Músculo papilar posterior.
3. Músculo papilar del infundíbulo o del cono.
Músculo papilares del ventrículo izquierdo.
1 Músculo papilar principal anterior.
2 Músculo papilar posterior.
VALVAS PULMONAR Y AORTICA
Se diferencia de las válvulas auriculoventriculares en:
•Sus valvas no están unidas a cuerdas tendinosas ni músculos
papilares.
•Estas por su forman se abren en la sístole ventricular para el
paso de la sangre a grandes vasos.
•Se cierran en diástole por peso y presión de las columnas
sanguíneas intrapulmonar e intraaortica.
•Se ajustan unas a otras haciendo un cierre perfecto.
•Posee en el borde libre los nódulos de Arancio en aorta
Y nódulo de Morgagni en pulmonar.
Son invaginaciones de la membrana celular.
IMPORTANCIA
• Su importancia radica en asegurar la rapidez de la contracción
para que llegue al anterior de las fibras mas profundas.
• La abundancia de tubulos T facilita el transporte de metabolitos
como el intercambio iónico ya que el interior de células se
encuentran mas próximas al espacio extracelular
TUBULOS “T” Ó TRANSVERSOS
CONFORMACION DE LA
SARCOMERA
Esta formada por sustancias
proteicas que son:
• Filamentos gruesos de
miosina
• Filamentos delgados de
actina.
Intercalados unos con otros,
por cada 6 de actina hay 1
de miosina.
Se deslizan hacia los extremos
opuestos para dar paso a la
contracción
FORMACION DE LA FIBRA
MUSCULAR CARDIACA
Varias
forman
sarcómera
Varias
forman
Fibra muscular
cardiaca
DISTRIBUCION HISTOLOGICA
DE LA SARCOMERA
Divida en líneas, bandas y
zonas.
Línea Z: limite de los
extremos contiguos de dos
sarcomeras, se ve como
línea oscura.
Banda I: Es una banda mas
clara que va de cada
extremo hacia el centro, en
la cual se encuentran los
filamentos delgados de
actina
DISTRIBUCION HISTOLOGICA
DE LA SARCOMERA
• Banda A: Constituye la parte central,
mas oscura en sus dos extremos ya
que se encuentran los filamentos de
miosina intercalados con los de actina.
• Zona H: Se encuentra en el centro de
la banda A, es mas clara que el resto
de las barras ya que en el se
encuentran solo filamentos de
miosina. Divida en su centro por una
línea mas oscura o línea M, la cual
esta determinada por los nódulos
centrales presentes en los filamentos
de miosina.
DISTRIBUCION HISTOLOGICA
DE LA SARCOMERA
DILATACIONES O CISTERNAS QUE ALMACENAN EL Ca NECESARIO
PARA LA CONTRACCION MUSCULAR
RETICULO SARCOPLASMICO
RETICULO SARCOPLASMICO
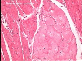
¿COMO SE TRANSMITE EL IMPULSO DE
AURICULA A VENTRICULO, SI ESTOS DE
ENCUENTRAN SEPARADOS?
• A través de un haz de
tejido muscular
especializado que
atraviesa el esqueleto
fibroso.
• El haz de tejido
muscular constituye el
sistema
EXITOCONDUCTOR
Cardiaco.
Sistema éxito-conductor
Sistema de conducción de los impulsos formado por células musculares
cardíacas modificadas y especializadas para generar y conducir impulsos
a través del corazón.
Nódulo sinoatrial: -marcapaso situado cerca de la desembocadura de la
vena cava superior en el atrio derecho.
-Células experimentan despolarización rítmica
espontánea que genera impulsos que se desplazan a
través del miocardio y activan las células
musculares normales.
-Envuelto en tejido conectivo e inervado por el
Sistema Nervioso Autónomo.
El simpático aumenta la frecuencia del latido
cardíaco. El parasimpático la reduce.
La despolarización eléctrica de estas células se propaga por las fibras de
Sistema éxito-conductor
Nódulo atrioventricular situado debajo del endocardio del tabique
interatrial.
fascículo atrioventricular o haz de Hiss, penetra el anillo fibroso que
rodea el orificio atrioventricular y se divide en dos ramas derecha e
izquierda, que corren a ambos lados del septo interventricular bajo el
endocardio.
Sistema éxito conductor
• Constituido por fibras musculares estriadas
modificadas para que su velocidad de descarga
sea mas rápida que el resto del miocardio.
• Contiene mayor cantidad de glucógeno y
sarcoplasma lo que permite que su frecuencia
de descarga frente a las otras fibras
miocárdicas sea mas rápida.
SISTEMA EXITOCONDUCTOR
NODULO SINUSAL
• SE LOCALIZA EN AURICULA DERECHA.
• INICIA NORMALMENTE LA
ESTIMULACION CARDIACA.
• RECIBE EL NOMBRE DE MARCAPASO,
YA QUE ES EL ENCARGADO DE
DETERMINAR LA FRECUENCIA CON LA
QUE SE GENERA EL IMPULSO
ELECTRICO.
TRACTOS INTERNODALES
• SON TRES VIAS QUE DISCURREN POR LA
AURICULA DERECHA.
• COMUNICAN AL NODO SINUSAL (N.S) CON EL
NODULO AURICULO VENTRICULAR (N.V.A).
• VIA 1: ANTERIOR O IMTERUAURICULAR.
• VIA 2: INTERNODAL MEDIO O DE
WENCKEBACK.
• VIA 3: INTERNODAL POSTERIOR O DE
THOREL.
NODULO AURICULO
VENTRICULAR (N.A.V)
• SE LOCALIZA EN EL PISO DE LA
AURICULA, DERECHA HACIA DELANTE
Y A LA IZQUIERDA DEL ORIFICIO DEL
SENO CORONARIO.
• ES COMO UNA ESTACION EN EL
RRECORRIDO DE LA ESTIMULACION
CARDIACA.
HAZ DE HIS
• INICIA SU RECORRIDO POR EL LADO
DERECHO DEL TABIQUE
INTERVENTRICULAR, SE DIVIDE PARA
DAR LA RAMA IZQUIERDA.
• SE RAMIFICA EN LAS PAREDES DE LOS
VENTRICULOS (FIBRAS DE PURKINJE).
• Las fibras que inervan al corazón provienen
del S.N.A y son tanto simpática como
parasimpática.
• Las fibras simpáticas procedentes del plexo
cardiaco se distribuyen por todo el miocardio,
y dan abundante inervacion al nodo sinusal.
• Las fibras parasimpaticas también procedentes
del plexo cardiaco se distribuyen
exclusivamente en los ventrículos.
HIPERTROFIA
HIPERTROFIA
Musculo cardiaco-20091
Musculo cardiaco-20091
Musculo cardiaco-20091
Musculo cardiaco-20091

Musculo cardiaco-20091

  • 1.
  • 2.
    Órgano principal delaparato circulatorio. Músculo estriado hueco que actúa como bomba. CORAZON
  • 3.
    Corazón Bomba de tejidomuscular estriado de contracción involuntaria con un sistema exitoconductor. Cuatro cámaras: - 2 Aurículas (Atrios): reciben sangre de la circulación sistémica y pulmonar. - 2 Ventrículos: bombean la sangre a las circulaciones arteriales sistémica y pulmonar. CORAZON
  • 4.
    DIFERENCIAS FUNCIONALES DELAS FIBRAS MIOCARDICAS Y ESQUELETICAS • Diferencia de permeabilidad de la membrana para ciertas sustancias. • La membrana de la célula muscular cardiaca es mas permeable al Na, que la esquelética, lo cual permite facilitar la periodicidad del ritmo cardiaco. • La conducción en el músculo cardiaco es 10 veces menos rápida que en el músculo esquelético debido al aumento de resistencia en los discos intercalares. • El músculo esquelético tiene un potencial de acción mucho mas lento que el del músculo cardiaco. FIBRA MIOCARDICA FIBRA ESQUELETICA
  • 5.
    ANATOMIA MACROSCOPICA DEL CORAZON •El corazón posee un esqueleto fibroso en el cual las aurículas se insertan por encima de este y los ventrículos por debajo. • Este esqueleto fibroso une a a las aurículas y los ventrículos estructuralmente y los separa anatómicamente.
  • 6.
    ANATOMIA MACROSCOPICA DEL CORAZON •El espesor de la pared auricular es reducido, la pared ventricular es mayor, especialmente en el ventrículo izquierdo y trabaja con mayores presiones. • A la aurícula derecha llegan las 2 venas cavas, superior e inferior, la aurícula izquierda llegan las 4 venas pulmonares. • En el ventrículo izquierdo sale la arteria aorta y en el ventrículo derecho sale la arteria pulmonar.
  • 7.
    MUSCULO CARDIACO - Célulasramificadas mononucleadas con núcleo central. - 15 um. diámetro – 100 um. largo. - No tienen capacidad de regeneración. - Se alinean en largas cadenas y desarrollan ramificaciones y anclajes con las células vecinas formando los “discos intercalares”. - El mecanismo de contracción es similar al del músculo estriado. - Ritmicidad inherente. Características
  • 8.
  • 9.
  • 10.
  • 11.
  • 12.
    Corte longitudinal músculocardíaco H-E Discos intercalares
  • 13.
  • 14.
    HISTOLOGIA • Son prolongacionesde la membrana celular de cada fibra muscular. FUNCIONES • Delimitar una fibra muscular de otra. • Papel de conexión para trasmitir el impulso eléctrico, para participar en lo que se define como sincitio funcional miocárdico. • Impide que las fibras se separen en el momento de la contracción.
  • 15.
    ENTRE ELLOS SE INTERPONEUNA FORMACIÓN FIBROSA O TABIQUE DENOMINADA Esqueleto Caediaco EL MUSCULO AURICULAR Y VENTRICULAR SON INDEPENDIENTES
  • 16.
    Fibras musculares CardiacasFibras musculares Esqueléticas  Fibras cortas y solo tienen un nucleo en el centro.  Las miofibrillas se disponen paralelamente y están separadas por el sarcoplasma.  La membrana denominada sarcolema se invagina y forma a nivel de la linea z los tubulos T.  Hay mayor cantidad de, mitocondrias (25%) y glucogeno.  Son fibras largas con numerosos núcleos perifericos en su interior.  Las miofibrillas se encuentran agrupadas en paquetes El músculo esqueletico es voluntario. DIFERENCIA ENTRE LAS FIBRAS CARDIACAS Y ESQUELETICAS
  • 17.
    Pared cardiaca (3capas) -Epicardio : - capa fibrosa interna de tejido conectivo - capa serosa externa o mesotelio ( capa visceral del pericardio). -Miocardio: formado por varias capas de células musculares estriadas cardíacas de diferente orientación. -Endocardio: formado por un endotelio y un subendotelio que es una fina capa de tejido conectivo laxo. CORAZON
  • 18.
    Pericardio Membrana de tejidofibrocolagenoso compacto y tejido elástico tapizado por una capa de células mesoteliales planas. Cavidad pericárdica: Espacio que se encuentra entre las capas pericárdicas visceral y parietal. Contiene líquido seroso.
  • 19.
  • 20.
  • 22.
    Músculo Cardiaco El diámetrode la fibras musculares cardiacas varía de acuerdo con el trabajo al que está sometida la cámara. -Fibras atriales: -Pequeñas (en relación a las de los ven entrículos). -Ramificadas. -contienen pequeños gránulos neuroendocrinos cercanos al núcleo. -Secretan “hormona natriurética atrial” al elongarse excesivamente Aumenta la excreción de agua reduce la presión arterial.
  • 23.
    Endocardio Tapiza el interiorde las cámaras del corazón y varía en grosor en distintas zonas, está compuesto por dos capas: -Endotelio: Células endoteliales que se continuan con las células que tapizan los vasos que entran y salen del corazón. -Subendotelio: -Es la más gruesa -Compuesta por fibras colágenas organizadas -Número variable de fibras elásticas. -Subendocardio: -Capa en contacto directo con el miocardio. - Colágeno irregular. - Contiene fibras de Purkinje.
  • 24.
    Esqueleto cardiaco En losatrios, las fibras musculares convergen a unos anillos de tejido conectivo denso situados alrededor de los orígenes de las arterias aorta y pulmonar. Las fibras musculares de los ventrículos, se insertan en unos anillos de tejido conectivo que rodean los orificios atrioventriculares. Estos 4 anillos se llaman anillos fibrosos y constituyen el esqueleto cardíaco junto con el septo membranoso de la parte superior del tabique interventricular.
  • 25.
    Válvulas cardiacas -Compuestas portejido fibroso y elástico -Revestidas por endotelio. -Se unen al esqueleto fibrocolagenoso y a través de las cuerdas tendineas a los músculos papilares cardiacos. -Son avasculares. -Aórtica -Mitral -Pulmonar -Tricúspide
  • 26.
    Sus estructuras son: •Válvulaaurículoventricular. •Conjunto de anillos. •Valvas. •Cuerdas tendinosas. •Músculos papilares.
  • 27.
    CUERDAS TENDINOSAS. •Formaciones fibrosasque limitan el desplazamiento valvular para impedir que la sangre retorne. •Se insertan en los músculos papilares por un extremo de los bordes libres y cara inferior de las válvulas. CUERDAS TENDINOSAS
  • 28.
    MÚSCULOS PAPILARES. Se contraenpara impedir el regreso de la sangre hacia la auricula mediante la sístole. Músculos papilares ventrículo derecho. 1. Músculos papilar principal anterior. 2. Músculo papilar posterior. 3. Músculo papilar del infundíbulo o del cono. Músculo papilares del ventrículo izquierdo. 1 Músculo papilar principal anterior. 2 Músculo papilar posterior.
  • 29.
    VALVAS PULMONAR YAORTICA Se diferencia de las válvulas auriculoventriculares en: •Sus valvas no están unidas a cuerdas tendinosas ni músculos papilares. •Estas por su forman se abren en la sístole ventricular para el paso de la sangre a grandes vasos. •Se cierran en diástole por peso y presión de las columnas sanguíneas intrapulmonar e intraaortica. •Se ajustan unas a otras haciendo un cierre perfecto. •Posee en el borde libre los nódulos de Arancio en aorta Y nódulo de Morgagni en pulmonar.
  • 31.
    Son invaginaciones dela membrana celular. IMPORTANCIA • Su importancia radica en asegurar la rapidez de la contracción para que llegue al anterior de las fibras mas profundas. • La abundancia de tubulos T facilita el transporte de metabolitos como el intercambio iónico ya que el interior de células se encuentran mas próximas al espacio extracelular TUBULOS “T” Ó TRANSVERSOS
  • 32.
    CONFORMACION DE LA SARCOMERA Estaformada por sustancias proteicas que son: • Filamentos gruesos de miosina • Filamentos delgados de actina. Intercalados unos con otros, por cada 6 de actina hay 1 de miosina. Se deslizan hacia los extremos opuestos para dar paso a la contracción
  • 33.
    FORMACION DE LAFIBRA MUSCULAR CARDIACA Varias forman sarcómera Varias forman Fibra muscular cardiaca
  • 34.
    DISTRIBUCION HISTOLOGICA DE LASARCOMERA Divida en líneas, bandas y zonas. Línea Z: limite de los extremos contiguos de dos sarcomeras, se ve como línea oscura. Banda I: Es una banda mas clara que va de cada extremo hacia el centro, en la cual se encuentran los filamentos delgados de actina
  • 35.
    DISTRIBUCION HISTOLOGICA DE LASARCOMERA • Banda A: Constituye la parte central, mas oscura en sus dos extremos ya que se encuentran los filamentos de miosina intercalados con los de actina. • Zona H: Se encuentra en el centro de la banda A, es mas clara que el resto de las barras ya que en el se encuentran solo filamentos de miosina. Divida en su centro por una línea mas oscura o línea M, la cual esta determinada por los nódulos centrales presentes en los filamentos de miosina.
  • 36.
    DISTRIBUCION HISTOLOGICA DE LASARCOMERA DILATACIONES O CISTERNAS QUE ALMACENAN EL Ca NECESARIO PARA LA CONTRACCION MUSCULAR RETICULO SARCOPLASMICO RETICULO SARCOPLASMICO
  • 37.
    ¿COMO SE TRANSMITEEL IMPULSO DE AURICULA A VENTRICULO, SI ESTOS DE ENCUENTRAN SEPARADOS? • A través de un haz de tejido muscular especializado que atraviesa el esqueleto fibroso. • El haz de tejido muscular constituye el sistema EXITOCONDUCTOR Cardiaco.
  • 38.
    Sistema éxito-conductor Sistema deconducción de los impulsos formado por células musculares cardíacas modificadas y especializadas para generar y conducir impulsos a través del corazón. Nódulo sinoatrial: -marcapaso situado cerca de la desembocadura de la vena cava superior en el atrio derecho. -Células experimentan despolarización rítmica espontánea que genera impulsos que se desplazan a través del miocardio y activan las células musculares normales. -Envuelto en tejido conectivo e inervado por el Sistema Nervioso Autónomo. El simpático aumenta la frecuencia del latido cardíaco. El parasimpático la reduce. La despolarización eléctrica de estas células se propaga por las fibras de
  • 39.
    Sistema éxito-conductor Nódulo atrioventricularsituado debajo del endocardio del tabique interatrial. fascículo atrioventricular o haz de Hiss, penetra el anillo fibroso que rodea el orificio atrioventricular y se divide en dos ramas derecha e izquierda, que corren a ambos lados del septo interventricular bajo el endocardio.
  • 41.
  • 43.
    • Constituido porfibras musculares estriadas modificadas para que su velocidad de descarga sea mas rápida que el resto del miocardio. • Contiene mayor cantidad de glucógeno y sarcoplasma lo que permite que su frecuencia de descarga frente a las otras fibras miocárdicas sea mas rápida. SISTEMA EXITOCONDUCTOR
  • 46.
    NODULO SINUSAL • SELOCALIZA EN AURICULA DERECHA. • INICIA NORMALMENTE LA ESTIMULACION CARDIACA. • RECIBE EL NOMBRE DE MARCAPASO, YA QUE ES EL ENCARGADO DE DETERMINAR LA FRECUENCIA CON LA QUE SE GENERA EL IMPULSO ELECTRICO.
  • 47.
    TRACTOS INTERNODALES • SONTRES VIAS QUE DISCURREN POR LA AURICULA DERECHA. • COMUNICAN AL NODO SINUSAL (N.S) CON EL NODULO AURICULO VENTRICULAR (N.V.A). • VIA 1: ANTERIOR O IMTERUAURICULAR. • VIA 2: INTERNODAL MEDIO O DE WENCKEBACK. • VIA 3: INTERNODAL POSTERIOR O DE THOREL.
  • 48.
    NODULO AURICULO VENTRICULAR (N.A.V) •SE LOCALIZA EN EL PISO DE LA AURICULA, DERECHA HACIA DELANTE Y A LA IZQUIERDA DEL ORIFICIO DEL SENO CORONARIO. • ES COMO UNA ESTACION EN EL RRECORRIDO DE LA ESTIMULACION CARDIACA.
  • 49.
    HAZ DE HIS •INICIA SU RECORRIDO POR EL LADO DERECHO DEL TABIQUE INTERVENTRICULAR, SE DIVIDE PARA DAR LA RAMA IZQUIERDA. • SE RAMIFICA EN LAS PAREDES DE LOS VENTRICULOS (FIBRAS DE PURKINJE).
  • 51.
    • Las fibrasque inervan al corazón provienen del S.N.A y son tanto simpática como parasimpática. • Las fibras simpáticas procedentes del plexo cardiaco se distribuyen por todo el miocardio, y dan abundante inervacion al nodo sinusal. • Las fibras parasimpaticas también procedentes del plexo cardiaco se distribuyen exclusivamente en los ventrículos.
  • 52.
  • 53.