OBSTRUCCIÓN
INTESTINAL
KENNETH J. GARCIA GARCIA
DEFINICIÓN
• Interrupción del tránsito intestinal
en sentido bucocaudal
Se divide en:
•Mecánica NO
Mecánica
ANTECEDENTES
• Se conoce desde la época de Hipócrates
•Primera operación registrada de OI fue realizada por
Praxágoras en 350 a.C.
•T x no quirúrgico era la regla: reducción de hernias,
administración de opio, mercurio, lavado gástrico
• En el siglo X IX la intervención quirúrgica se convirtió
en el m é todo de elección como tratamiento
EPIDEMIOLOGÍA
•Puede afectar a cualquier grupo
etario
•Cifras de mortalidad del 3.5 al 6 %
(aumenta en ancianos hasta un 14%)
•Las adherencias posoperatorias son
la principal causa de OI mecánica
CAUSAS DE OBSTRUCCIÓN INTESTINAL
MECÁNICA EN ADULTOS
Anormalidades
Intraluminales
• Cálculos biliares
• Bezoares
• Cuerpos
extraños
• Parásitos
• Impacto fecal
Anormalidades
Intramurales
• Neoplasias
• Estenosis por
isquemia
• Hematoma
intraluminal
• Atresias
• Intususcepción
• Enteritis
• Diverticulitis
Anormalidades
extraluminales
• Adherencias
• Hernias
• Neoplasias
metastásicas
• Vólvulo
• Malrotación
intestinal
• Cuerpos extraños
• Páncreas anular
CAUSAS DE ÍLEO
Intraabdominales
• Peritonitis
• Absceso
• Inflamación
• Cirugía
• Ácido gástrico, bilis, sangre
• Isquemia intestinal
• Fx de columna
• Pancreatitis
• Cólico renal
• Metástasis
Extraabdominales
• Neumonía
• Insuficiencia cardiaca
• Trastorno de electrólitos
• Septicemia
• Porfiria
• Medicamentos
• Lesiones de médula espinal
• Trauma cefálico
• Radioterapia
• Quimioterapia
FISIOPATOLOGÍA
Estasis
Intestinal
Distención
Incremento de
peristalsis
intestinal
Aumento de
presión
intraluminal
Aumento de
secreción
intestinal
Disminución
de capacidad
de absorción
Mayor
distensión
Peristalsis de
lucha
Estasis
circulatoria
Aumento de
presión
venosa
Hipoxia tisular
Hemorragia
intersticial e
intraluminal
Pérdida de
viabilidad de
pared intestinal
Incremento de
reacción
inflamatoria
Peritonitis
CLASIFICACIÓN
• Mecánica
• No mecánica
Origen
• Agudo
• Crónico
Inicio
• Parcial
• Completa
Extensión
• Intestino delgado alto o bajo
• Intestino grueso
Localización
•Simple
•Estrangulado
•Asa cerrada
Efectos sobre el
intestino
CUADRO CLÍNICO
Dolor Vómito
Alteración de
hábitos
intestinales
Ausenciade
canalización
de gases
LOS SÍNTOMAS PRINCIPALES SON…
Distensión
abdominal
ÍLEO ADINÁMICO
Cese de actividad motora intestinal normal lo
que produce falta de progresión del gas y
líquido
•La principal causa es la intervención
quirúrgica abdominal
•El estómago retorna a su moti
l
i
dad en 48 hrs
y el colon lo hace a las 72 h
•Asintomático o el paciente manifiesta dolor
difuso, vómito y hay silencio abdominal
OBSTRUCCIÓN INTESTINAL MECÁNICA
Dolor abdominal
tipo cólico
intermitente
Dolor de inicio leve
con incremento
gradual
Peristaltismo de
lucha
Náusea y vómito
Obstrucción alta:
vómito frecuente,
claro, tipo gástrico
El paciente puede
seguir canalizando
gases y heces por un
tiempo
Fases iniciales
paciente
asintomático
Timpanismo
generalizado y dolor
abdominal difuso
Auscultación:
peristaltismo con
timbre metálico
En casos avanzados
hay repercusión de
signos vitales
DIAGNÓSTICO
• Interrogatorio:
o Operaciones previas en abdomen
o Existencia de trastornos
abdominales (cáncer)
o Hernias
o Sangre
El diagnóstico se confirm a mediante
estudios radiológicos
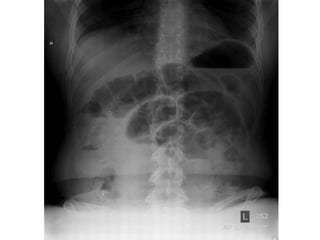
SERIE ABDOMINAL
Rx abdomen
paciente en
posición supina
Rx tórax
Rx abdomen con
enfermo de pie
SENSIBILIDAD DEL 70 AL 80%
• La triada clásica de
obstrucción en el examen
radiológico es:
o Asas de intestino delgado dilatadas
(mayores a 3 cm)
o Niveles hidroaéreos
o Ausencia de aire distal
Signo del “grano de café”
Hallazgo clásico y diagnóstico del vólvulo sigmoideo en una radiografía simple de abdomen
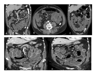
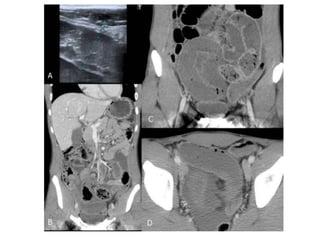
El estudio de Tomografía por
Computadora tiene una sensibilidad
del 80 al9 0 %
HALLAZGOS:
 Dilatación proximalde intestino
 Descompresión distalde intestino
 Contraste intraluminalque no pasa
más allá de la obstrucción
 Intestino distal con poco gas
•La presencia de asa intestinal en
forma de U o de C indica obstrucción
de asa cerrada
•Neumatosis intestinal
,gas en la
vena porta,opacidad mesentérica y
captación deficiente del contraste
intravenoso en la pared hace pensar
en estrangulamiento
LABORATORIOS
BH
completa
ES (Na, K,
Mg)
Leucocitosis
N o son útiles para el diagnóstico pero sicomo
seguimiento y correlación de m a nifestaciones
secundarias
• Obstrucción simple: 10mil a 15mil
leucocitos
• Estrangulación: 15 a 25mil
• Perforación mayores de 25mil
TRATAMIENTO
MANEJO PREOPERATORIO
• El paciente debe permanecer en ayuno absoluto
• Vaciar contenido gástrico
• Instalar venoclisis para administración de líquidos
• Signos vitales
• Laboratorio y gabinete
• Antibioticoterapia profiláctica si hay datos de infección
MANEJO QUIRÚRGICO
Estándar de oro para la obstrucción intestinal completa, se
recomienda un manejo conservador en los siguientes casos:
• Obstrucción parcial del intestino delgado (48 hrs)
•Obstrucción que ocurre en el periodo
posoperatorio temprano
•Obstrucción intestinal causada por enfermedad
de Crohn
Manejo
Quirúrgico
Hernias
estranguladas
Peritonitis
Obstrucción
en asa
cerrada
Vólvulos
El procedimiento quirúrgico varía de acuerdo
a la causa de la obstrucción
Adherencias se rompen
Tumores se extirpan
Hernias se reducen y reparan
En cualquiera de los casos si hay un área de intestino no viable se reseca
• Criterios que sugieren viabilidad son:
 Color normal
Peristalsis
 Pulsaciones arteriales marginales
La mejor vía de abordaje
es la línea media
Conveniente realizar
incisión en incisión previa
y hacerla un poco más
grande para llegar a un
lugar libre de adherencias
El asa más distendida es el
segmento proximal a la
obstrucción, cuidado con
el manejo del resto de las
asas
Cuando el origen de la
obstrucción es simple se
libera el asa y se da por
terminado el
procedimiento
Técnica
Quirúrgica
Cuando la obstrucción se debe a
adherencias se efectúa adherolisis
en sentido proximal a distal
Cuando hay compresión vascular
por el fenómeno obstructivo y el asa
es liberada observar si hay perfusión
intestinal
Ante asa intestinal necrosada se
realiza resección
Cada vez son más los reportes de cirugía laparoscópica exitosa en
la OI
• Recuperación más rápida
• M e nos m o lestia postoperatoria
La distención abdominal y múltiples adherencias dificultan este
procedimiento, hay índice de conversión a cirugía abierta hasta de
un 33%
C A S O S T E M P R A N O S D E
O B S T RUCCIÓN D E INTEST INO
P R O X IMAL S O N L O S M Á S
A D E C U A D O S P A R A L A CIRUGÍA
L A P A R O S C Ó P I C A
PRONÓSTICO
• Se relaciona con la causa de obstrucción
•La mayoría que se tratan por obstrucción por
bridas no requieren hospitalizaciones ulteriores
• Mortalidad, si no hay estrangulamiento, es
menor al 5 %
• Estrangulamiento mortalidad del 8 al2 5 %

O. INTESTINAL KENNETH.pptx

  • 1.
  • 2.
    DEFINICIÓN • Interrupción deltránsito intestinal en sentido bucocaudal Se divide en: •Mecánica NO Mecánica
  • 3.
    ANTECEDENTES • Se conocedesde la época de Hipócrates •Primera operación registrada de OI fue realizada por Praxágoras en 350 a.C. •T x no quirúrgico era la regla: reducción de hernias, administración de opio, mercurio, lavado gástrico • En el siglo X IX la intervención quirúrgica se convirtió en el m é todo de elección como tratamiento
  • 4.
    EPIDEMIOLOGÍA •Puede afectar acualquier grupo etario •Cifras de mortalidad del 3.5 al 6 % (aumenta en ancianos hasta un 14%) •Las adherencias posoperatorias son la principal causa de OI mecánica
  • 5.
    CAUSAS DE OBSTRUCCIÓNINTESTINAL MECÁNICA EN ADULTOS Anormalidades Intraluminales • Cálculos biliares • Bezoares • Cuerpos extraños • Parásitos • Impacto fecal Anormalidades Intramurales • Neoplasias • Estenosis por isquemia • Hematoma intraluminal • Atresias • Intususcepción • Enteritis • Diverticulitis Anormalidades extraluminales • Adherencias • Hernias • Neoplasias metastásicas • Vólvulo • Malrotación intestinal • Cuerpos extraños • Páncreas anular
  • 6.
    CAUSAS DE ÍLEO Intraabdominales •Peritonitis • Absceso • Inflamación • Cirugía • Ácido gástrico, bilis, sangre • Isquemia intestinal • Fx de columna • Pancreatitis • Cólico renal • Metástasis Extraabdominales • Neumonía • Insuficiencia cardiaca • Trastorno de electrólitos • Septicemia • Porfiria • Medicamentos • Lesiones de médula espinal • Trauma cefálico • Radioterapia • Quimioterapia
  • 7.
    FISIOPATOLOGÍA Estasis Intestinal Distención Incremento de peristalsis intestinal Aumento de presión intraluminal Aumentode secreción intestinal Disminución de capacidad de absorción Mayor distensión Peristalsis de lucha Estasis circulatoria Aumento de presión venosa Hipoxia tisular Hemorragia intersticial e intraluminal Pérdida de viabilidad de pared intestinal Incremento de reacción inflamatoria Peritonitis
  • 8.
    CLASIFICACIÓN • Mecánica • Nomecánica Origen • Agudo • Crónico Inicio • Parcial • Completa Extensión • Intestino delgado alto o bajo • Intestino grueso Localización •Simple •Estrangulado •Asa cerrada Efectos sobre el intestino
  • 9.
    CUADRO CLÍNICO Dolor Vómito Alteraciónde hábitos intestinales Ausenciade canalización de gases LOS SÍNTOMAS PRINCIPALES SON… Distensión abdominal
  • 10.
    ÍLEO ADINÁMICO Cese deactividad motora intestinal normal lo que produce falta de progresión del gas y líquido •La principal causa es la intervención quirúrgica abdominal •El estómago retorna a su moti l i dad en 48 hrs y el colon lo hace a las 72 h •Asintomático o el paciente manifiesta dolor difuso, vómito y hay silencio abdominal
  • 11.
    OBSTRUCCIÓN INTESTINAL MECÁNICA Dolorabdominal tipo cólico intermitente Dolor de inicio leve con incremento gradual Peristaltismo de lucha Náusea y vómito Obstrucción alta: vómito frecuente, claro, tipo gástrico El paciente puede seguir canalizando gases y heces por un tiempo Fases iniciales paciente asintomático Timpanismo generalizado y dolor abdominal difuso Auscultación: peristaltismo con timbre metálico En casos avanzados hay repercusión de signos vitales
  • 12.
    DIAGNÓSTICO • Interrogatorio: o Operacionesprevias en abdomen o Existencia de trastornos abdominales (cáncer) o Hernias o Sangre
  • 13.
    El diagnóstico seconfirm a mediante estudios radiológicos SERIE ABDOMINAL Rx abdomen paciente en posición supina Rx tórax Rx abdomen con enfermo de pie SENSIBILIDAD DEL 70 AL 80%
  • 14.
    • La triadaclásica de obstrucción en el examen radiológico es: o Asas de intestino delgado dilatadas (mayores a 3 cm) o Niveles hidroaéreos o Ausencia de aire distal
  • 19.
    Signo del “granode café” Hallazgo clásico y diagnóstico del vólvulo sigmoideo en una radiografía simple de abdomen
  • 20.
    El estudio deTomografía por Computadora tiene una sensibilidad del 80 al9 0 % HALLAZGOS:  Dilatación proximalde intestino  Descompresión distalde intestino  Contraste intraluminalque no pasa más allá de la obstrucción  Intestino distal con poco gas
  • 22.
    •La presencia deasa intestinal en forma de U o de C indica obstrucción de asa cerrada •Neumatosis intestinal ,gas en la vena porta,opacidad mesentérica y captación deficiente del contraste intravenoso en la pared hace pensar en estrangulamiento
  • 24.
    LABORATORIOS BH completa ES (Na, K, Mg) Leucocitosis No son útiles para el diagnóstico pero sicomo seguimiento y correlación de m a nifestaciones secundarias • Obstrucción simple: 10mil a 15mil leucocitos • Estrangulación: 15 a 25mil • Perforación mayores de 25mil
  • 25.
    TRATAMIENTO MANEJO PREOPERATORIO • Elpaciente debe permanecer en ayuno absoluto • Vaciar contenido gástrico • Instalar venoclisis para administración de líquidos • Signos vitales • Laboratorio y gabinete • Antibioticoterapia profiláctica si hay datos de infección
  • 26.
    MANEJO QUIRÚRGICO Estándar deoro para la obstrucción intestinal completa, se recomienda un manejo conservador en los siguientes casos: • Obstrucción parcial del intestino delgado (48 hrs) •Obstrucción que ocurre en el periodo posoperatorio temprano •Obstrucción intestinal causada por enfermedad de Crohn
  • 27.
  • 28.
    El procedimiento quirúrgicovaría de acuerdo a la causa de la obstrucción Adherencias se rompen Tumores se extirpan Hernias se reducen y reparan En cualquiera de los casos si hay un área de intestino no viable se reseca
  • 29.
    • Criterios quesugieren viabilidad son:  Color normal Peristalsis  Pulsaciones arteriales marginales
  • 30.
    La mejor víade abordaje es la línea media Conveniente realizar incisión en incisión previa y hacerla un poco más grande para llegar a un lugar libre de adherencias El asa más distendida es el segmento proximal a la obstrucción, cuidado con el manejo del resto de las asas Cuando el origen de la obstrucción es simple se libera el asa y se da por terminado el procedimiento Técnica Quirúrgica
  • 31.
    Cuando la obstrucciónse debe a adherencias se efectúa adherolisis en sentido proximal a distal Cuando hay compresión vascular por el fenómeno obstructivo y el asa es liberada observar si hay perfusión intestinal Ante asa intestinal necrosada se realiza resección
  • 32.
    Cada vez sonmás los reportes de cirugía laparoscópica exitosa en la OI • Recuperación más rápida • M e nos m o lestia postoperatoria La distención abdominal y múltiples adherencias dificultan este procedimiento, hay índice de conversión a cirugía abierta hasta de un 33% C A S O S T E M P R A N O S D E O B S T RUCCIÓN D E INTEST INO P R O X IMAL S O N L O S M Á S A D E C U A D O S P A R A L A CIRUGÍA L A P A R O S C Ó P I C A
  • 33.
    PRONÓSTICO • Se relacionacon la causa de obstrucción •La mayoría que se tratan por obstrucción por bridas no requieren hospitalizaciones ulteriores • Mortalidad, si no hay estrangulamiento, es menor al 5 % • Estrangulamiento mortalidad del 8 al2 5 %