Cisfarm
1
El término patología (proviene del griego πατηοσ, en-
fermedad, y λογοσ, conocimiento) significa “el estudio
científico de la naturaleza de la enfermedad, sus causas,
mecanismos, evolución y consecuencias”. Junto con la
terapéutica, es una de las disciplinas más antiguas de
la medicina. Su evolución histórica puede resumirse
en cinco periodos diferentes, cada uno marcado por un
cambio fundamental en el concepto del sitio afectado
por la enfermedad.
LA PATOLOGÍA EN LOS ALBORES
DE LA HISTORIA
Hoy en día conocemos muchas enfermedades, pero
este hecho no siempre fue tan claro para el hombre:
por varios milenios nuestros antepasados creyeron que
sólo existía una enfermedad, que podía manifestarse de
distintas formas, por ejemplo fiebre, vómitos de sangre,
crisis convulsivas, o muerte de la madre y el niño du-
rante un parto. La enfermedad seguía siendo la misma,
aunque hubiera de por medio un traumatismo con frac-
tura, o una herida en la guerra, o el encuentro con un
puma en la montaña. El padecimiento era un castigo
divino por la violación de alguna regla, o el resultado
de una hechicería, de modo que se tenía un concepto
mágico-religioso de la enfermedad. En algunos casos la
causa era manifiesta, pero el hombre primitivo sabía
muy bien que las verdaderas causas eran ocultas y so-
brenaturales y que la enfermedad era la misma, aunque
tuviera distintos síntomas. Además, la enfermedad no
estaba localizada, ni aun en los casos mencionados de
la fractura, de la herida o de los desgarros producidos
por la fiera, sino que en realidad todo el organismo
estaba afectado. El tratamiento eran rezos, ofrendas y
sacrificios a los dioses para obtener el perdón de algu-
na ofensa, o bien ritos y ceremonias para deshacer el
hechizo responsable.
PREVALECEN LOS HUMORES
Las teorías humorales de la enfermedad surgieron en
forma imprecisa en los primeros registros de la historia,
junto con los conceptos mágico-religiosos, y se estruc-
turaron con más precisión cuando fueron adoptadas
por los griegos, quienes las tomaron de Egipto y de la
India. Estas teorías prevalecieron en el mundo médico
occidental hasta la época del Renacimiento, esto es, du-
rante más de 2000 años. Al principio las teorías humo-
rales variaban en ciertos detalles en distintos sitios del
mundo antiguo, pero poco a poco fueron adquiriendo
un carácter más uniforme hasta que convergieron en
la versión elaborada por el médico griego Galeno, en el
siglo II d.C. De acuerdo con esta versión, el organismo
está formado por cuatro humores con distintas propie-
dades cada uno: sangre, caliente y húmeda; flema, fría
y húmeda; bilis amarilla, caliente y seca, y bilis negra,
Ruy PérezTamayo
Evolución histórica
de la patología
Evolución histórica
de la patología
3
Patologi a_01_5R.indd 3
Patologi a_01_5R.indd 3 25/4/07 18:51:16
25/4/07 18:51:16
Cisfarm
4 Patología general
seca y fría (figura 1-1). La salud es el equilibrio de los
humores (isonomía) y la enfermedad ocurre cuando se
pierde este equilibrio, lo que puede deberse al predo-
minio de uno de ellos (monarquía), o por un cambio
en sus propiedades.
Comparada con los conceptos primitivos de en-
fermedad, la teoría humoral muestra dos diferencias
importantes: 1) no existe una, sino varias o muchas
enfermedades diferentes, y 2) éstas no afectan a todo
el organismo sino sólo a los humores. En el siglo V
a.C. los médicos hipocráticos adoptaron esta teoría y
ejercieron una medicina racional, que coexistió con la
medicina mágico-religiosa de los seguidores de Ascle-
piades. Hipócrates enseñaba que la base de la medicina
era la observación clínica cuidadosa, acompañada por el
examen físico del paciente, lo que permitiría establecer
su diagnóstico, que se expresaba como un tipo definido
de desequilibrio de los humores. El tratamiento se ba-
saba en tres medidas: sangría (para eliminar el exceso
del humor responsable del desequilibrio o monarquía),
purga (para ayudar a la sangría en la eliminación del
humor excesivo), y dieta (para evitar que a partir de los
alimentos ingeridos se siguiera produciendo el humor
anormal). En cambio, en los templos de Asclepiades el
paciente se preparaba para una ceremonia religiosa y
dormía (incubatio) en un recinto especial donde se le
aparecía el dios, a veces acompañado por sus hermanas
Hygeia y Panacea, y por los animales sagrados, el perro
y la serpiente, que lo curaban en forma milagrosa.
Entre los romanos, Asclepiades se transformó en
Esculapio, pero su medicina siguió siendo mágico-reli-
giosa; en cambio, con Galeno la medicina hipocrática se
convirtió en dogmática y perdió uno de sus elementos
más importantes, que era la insistencia en el valor de
la observación clínica. El auge de la Iglesia Católica
como un poder político, se apresuró a llenar el hueco
que dejaba el Imperio romano al colapsarse, y así inició
la Edad Media europea. Durante este periodo (siglos II
al XV d.C.) la estructura central de la medicina fue ga-
lénica, a pesar de la refrescante invasión de los árabes
(siglos VIII-XI d.C.) quienes finalmente se limitaron a
traducir los textos clásicos y a contribuir con algunos
comentarios originales.
EL NACIMIENTO DE LA PATOLOGÍA
Existe consenso entre todos los historiadores en consi-
derar a Antonio Benivieni (1440-1502) como el padre
FIGURA 1-1. Teoría del equilibrio de los humores.
Bilis amarilla
Fuego
Agua
Flema
Sangre-aire
Caliente
Húmedo
Seco
Frío
Tierra-bilis negra
FIGURA 1-2. Antonio Benivieni (1440-1502) y su libro.
Patologi a_01_5R.indd 4
Patologi a_01_5R.indd 4 25/4/07 18:51:18
25/4/07 18:51:18
Cisfarm
http://MedicoModerno.Blogspot.Com
C1 Evolución histórica de la patología 5
de la patología (figura 1-2). Este juicio se basa en su
libro, De Abditis Nonnullis ac Mirandis Morborum et
Sanationum Causis (De las causas ocultas y admirables
de las enfermedades y de sus curaciones), que apareció
cinco años después de su muerte. Entre otros datos, el
volumen contiene los protocolos de 15 autopsias reali-
zadas para determinar la causa de la muerte o el sitio
de la enfermedad. Cada caso comienza con una breve
descripción de la enfermedad clínica, seguida por los
hallazgos importantes de la autopsia; a menudo Beni-
vieni incluye observaciones finales con la intención
de establecer correlaciones anatomoclínicas. El caso
XXXVI dice lo siguiente:
Endurecimiento del estómago
Mi tocayo, Antonio Bruno, retenía por corto tiem-
po el alimento que había ingerido y lo vomitaba sin
digerir. Fue tratado cuidadosamente con toda clase
de remedios para aliviar problemas gástricos, pero
como ninguno le sirvió para nada se adelgazó por su
desnutrición hasta que sólo le quedaban piel y huesos,
y finalmente murió.
El cadáver se abrió por razones de beneficio
público. Se encontró que la apertura de su estóma-
go se había cerrado y se había endurecido hasta la
parte inferior resultando en que nada podía pa-
sar a los órganos distales, por lo que la muerte era
inevitable.
Aquí la observación clínico-patológica es escueta,
casi telegráfica, pero el diagnóstico puede hacerse a
pesar de los 500 años que nos separan de él: se trata
de un cáncer del estómago, de la variedad conocida
como linitis plástica.
Benivieni es importante como precursor de un mé-
todo para el estudio de la enfermedad, la correlación
anatomoclínica, que a lo largo de más de cinco siglos
ha proporcionado información muy útil, y todavía lo
sigue haciendo. Pero Benivieni formaba parte de su
época y en su obra se encuentran relatos de exorcismos
y demonios junto a observaciones anatómicas; además,
cita con frecuencia a Galeno y a Avicena como autori-
dades, y sus tratamientos estaban dirigidos a recuperar
el equilibrio perdido de los “cuatro humores”.
Otro personaje importante para el desarrollo de la
patología (y de otras ciencias) fue Jean Fernel (1497-
1558) (figura 1-3), profesor de medicina en París, que
además era filósofo, matemático, astrónomo y filólogo.
En 1554 publicó su obra Universa Medicina, que está
dividida en tres partes: fisiología, patología y terapéutica.
La sección de patología es la más extensa y en ella las
enfermedades se clasifican en generales y especiales;
estas últimas se dividen en las que afectan órganos por
encima del diafragma, las localizadas en estructuras
subdiafragmáticas y las externas. Desde otro punto de
vista también se clasificaban en simples, si afectaban
sólo parte de un órgano, compuestas si estaba afectado
todo el órgano, y complicadas si estaban comprometidas
las relaciones entre diferentes órganos. Ocasionalmente
se mencionan datos de autopsias, casi siempre relacio-
nados con algún síntoma, pero en forma demasiado
breve como para permitir su interpretación. Este libro
fue uno de los textos más leídos en los siglos XVI y
FIGURA 1-3. Jean Fernel (1497-1558) y su libro.
Patologi a_01_5R.indd 5
Patologi a_01_5R.indd 5 25/4/07 18:51:19
25/4/07 18:51:19
Cisfarm
6 Patología general
XVII, e influyó en la aceptación de que no hay una sino
muchas enfermedades y que algunas son localizadas.
Dos autores del siglo XVII fueron importantes, tanto
por sus observaciones originales como por sus textos,
que fueron recopilaciones extensas de todo lo publicado
hasta entonces sobre autopsias. El primero fue Johann
Schenck von Grafenberg (1530-1598), de Friburgo, cuyo
libro Observationum Medicarum Rararum apareció en
1597; el segundo fue Theophilus Bonettus (1620-1689)
(figura 1-4), de Ginebra, cuya obra Sepulchretum Anato-
micum Sive Anatomía Práctica se publicó en 1679. Los
dos tratados son colecciones de casos publicados por
otros autores, pero reunidos sin criterios de selección
ni juicio crítico, por lo que debemos felicitarnos, ya
que incluyeron casi todo el material que existía hasta
sus respectivas épocas, si bien en la actualidad es difícil
distinguir en sus páginas entre la realidad y la fanta-
sía. La obra de Bonettus está formada por dos gruesos
tomos con 1,700 páginas y contiene los resúmenes de
más de 3,000 protocolos de autopsias, incluyendo los
de Benivieni, Glisson, Willis, Vesalio, Riolano, Wepfer
y muchos más. Este libro no sólo es importante como
la mayor colección de casos publicada en la historia,
sino porque además sirvió de texto y de estímulo a
Giovanni Battista Morgagni (1682-1771) (figura 1-5),
quien representa la cumbre de la correlación anatomo-
clínica en el Renacimiento. Morgagni fue profesor de
anatomía y de medicina en la universidad de Padua
durante 56 años, dedicados a la cátedra, a estudios de
anatomía y al ejercicio de la medicina clínica; era un
maestro muy popular y respetado, médico y amigo de
papas y cardenales, quien dedicó sus pocas horas libres
al estudio de los clásicos y de la arqueología. En 1761,
cuando Morgagni tenía 79 años de edad, publicó su
monumental obra De Sedibus et Causis Morborum per
Anatomen Indagatis, que contiene las historias clínicas
y los protocolos de autopsia de más de 700 casos, en la
que todos los datos, tanto de los síntomas del paciente
como de los hallazgos en la autopsia, están descritos
con gran minuciosidad y detalle; Morgagni siempre in-
tenta establecer corrrelaciones entre los datos clínicos
y los órganos alterados en la autopsia y relacionados
con ellos. De Sedibus contiene descripciones de aneu-
rismas sifilíticos de la aorta, meningitis secundaria a
otitis purulenta, hiperostosis frontal, atrofia amarilla
aguda del hígado, úlcera péptica gástrica, gomas ce-
rebrales, ileítis regional, cáncer gástrico, endocarditis
bacteriana, estenosis mitral, aterosclerosis coronaria,
quistes del ovario, cirrosis hepática, hemorragia cere-
bral, estenosis e insuficiencia aórticas, tetralogía de Fa-
llot, cálculos biliares y urinarios, quistes de los plexos
coroides, estenosis pulmonar, esplenomegalia, fiebre
tifoidea, neumonía, quistes paratesticulares (hidátide
de Morgagni) y muchas enfermedades más. De Sedi-
bus no es un tratado de anatomía patológica (no tiene
figuras) ni un libro de medicina, sino más bien es un
extenso comentario sobre el Sepulchretum de Bonettus
con algunas enmiendas y muchas adiciones, sobre todo
en detalles de correlación anatomoclínica.
Esta etapa del desarrollo de la ciencia de la enferme-
dad se cierra con el firme establecimiento del principio
de que los síntomas clínicos se explican por alteraciones
anatómicas, lo que sirvió de base para los trabajos de
Laennec, Bright, Skoda y muchos anatomistas clínicos
FIGURA 1-4. Theophilus Bonettus (1620-1689) y su libro.
Patologi a_01_5R.indd 6
Patologi a_01_5R.indd 6 25/4/07 18:51:20
25/4/07 18:51:20
Cisfarm
C1 Evolución histórica de la patología 7
del siglo XIX. También quedó establecida la utilidad de
los estudios posmortem para el avance de la medicina.
Sigerist rindió tributo al genio de Morgagni con las
siguientes palabras:
Esperamos de todo médico tacto y seriedad moral,
pero del patólogo lo esperamos en grado máximo. A
éste llegan los muertos, personas que los médicos no
pudieron salvar. A menudo la autopsia demuestra la
insuficiencia de los conocimientos humanos. En estos
casos el patólogo no debe desempeñar el papel de juez
sino que debe servir de ayuda y ser un consejero. Es
bueno que un hombre tan profundamente consustan-
ciado con su misión haya estado en los comienzos del
desarrollo de la ciencia de la anatomía patológica.
APARICIÓN DE LOS TEJIDOS
El siguiente paso importante en la evolución de la pato-
logía fue dado por Marie François Xavier Bichat (1771-
1802), un médico francés que trabajó en París y murió
antes de cumplir 31 años de edad. Bichat (figura 1-6)
fue alumno y protegido del gran cirujano Desault, y en
1800 fue nombrado médico del Hôtel-Dieu; trabajaba
día y noche en las salas clínicas, en el laboratorio y
en la sala de autopsias, se dice que en un año realizó
personalmente más de seiscientas autopsias y que su
único descanso era cambiar de un tipo de trabajo a
otro. En 1800 apareció su Traité des Membranes, en
el que siguiendo una idea de Pinel, Bichat propone
que los órganos están formados por elementos llama-
dos “tejidos” (tissus); que tejidos similares forman par-
te de diferentes órganos y que ésta es la razón de la
aparición de síntomas idénticos cuando la enfermedad
afecta distintos órganos. En su Anatomie Générale, de
1801, Bichat señala que existen 21 tejidos diferentes
(tabla 1-1), caracterizados por distintas propiedades, que
fueron estudiados y distinguidos por medio de varios
métodos como “la acción de varias sustancias químicas,
el calor, el agua, el aire, los ácidos, los álcalis, la sal,
la desecación, la maceración, la putrefacción, el agua
FIGURA 1-5. Giovanni Battista Morgagni (1682-1771) y su libro.
FIGURA 1-6. Xavier Bichat (1771-1802).
Patologi a_01_5R.indd 7
Patologi a_01_5R.indd 7 25/4/07 18:51:21
25/4/07 18:51:21
Cisfarm
8 Patología general
hirviente, etcétera.” En ningún momento Bichat utilizó
el microscopio, del que desconfiaba profundamente. Su
obra contrasta con la de Morgagni, quien vivió más de
90 años y después de haber trabajado durante más de 50
años dejó sólidamente establecida la patología en corre-
laciones entre síntomas clínicos y órganos lesionados;
en cambio, Bichat sólo trabajó activamente ocho años
(dos después de su nombramiento en el Hôtel-Dieu y sin
haber sido designado oficialmente como docente en la
Facultad de Medicina), pero a su muerte había logrado
establecer el concepto de los tejidos como subunidades
de los órganos internos y desplazar de éstos el asien-
to de las enfermedades, identificándolo en los tejidos.
PATOLOGÍA CELULAR
El siguiente paso en la búsqueda del sitio de la enfer-
medad lo dio Rudolf Virchow (1821-1902) (figura 1-7),
alumno de Müller y de Schönlein en Berlín. Virchow
desempeñó la primera cátedra de patología de Alemania,
establecida en Würzburg para él cuando tenía 28 años
de edad, pero después de siete años regresó a Berlín a
ocupar la misma cátedra, que incluía un instituto en el
hospital de La Charité. Dos años después Virchow dio
una serie de conferencias para médicos generales que
aparecieron en forma de libro el 8 de agosto de 1858,
con el nombre de Cellularpathologie in ihrer Begründung
auf physiologische und pathologische Gewebelehere (Pato-
logía celular y sus bases en la fisiología y patología de
los tejidos). Éste es uno de los libros más importantes
en la historia de la medicina y seguramente la contri-
bución más sobresaliente del siglo XIX al progreso de
la medicina científica. Virchow tomó el concepto re-
cién surgido de la célula como el componente unitario
de todos los sistemas vivos conocidos (propuesto por
Schwann y Schleiden en 1848) y lo colocó en el cen-
FIGURA 1-7. Rudolf Virchow (1821-1902) y su libro.
1. Celular
2. Nervioso, animal
3. Nervioso, orgánico
4. Arteriaal
5. Venoso
6. Exhalante
7. Absorbente
8. Óseo
9. Medular
10. Cartilaginoso
11. Fibroso
12. Fibrocartilaginoso
13. Muscular, animal
14. Muscular, orgánico
15. Mucoso
16. Seroso
17. Sinovial
18. Glandular
19. Dermoide
20. Epidermoide
21. Piloso
TABLA 1-1
Los 21 “elementos” anatómicos o tejidos
descritos por Bichat (1800)
Patologi a_01_5R.indd 8
Patologi a_01_5R.indd 8 25/4/07 18:51:22
25/4/07 18:51:22
Cisfarm
C1 Evolución histórica de la patología 9
tro de la medicina, junto con su concepto de patología
celular. Avanzando dentro del pensamiento de Mor-
gagni, que localizaba la enfermedad en los órganos, y
de Bichat, que la identificaba en los tejidos, Virchow
propuso que si las células son los componentes de los
órganos y de los tejidos, entonces el sitio último de la
enfermedad es la célula.
El concepto de Virchow fue más allá de los límites
estrechos impuestos por distintas técnicas. Para pene-
trar en la naturaleza de la enfermedad hay que hacerlo
no con los métodos de la anatomía patológica, o de
la bioquímica patológica, o de la fisiología patológica,
sino con la unión armónica y complementaria de todas
ellos y de otras especialidades que puedan contribuir.
Virchow dijo: “La enfermedad es la vida en condicio-
nes anormales”, por lo que sólo puede comprenderse
con la misma integración de métodos necesaria para
el conocimiento de la vida normal.
PATOLOGÍA SUBCELULAR
Y MOLECULAR
Con la ayuda de nuevas técnicas biofísicas y bioquími-
cas, en las últimas décadas la patología ha penetrado a
los niveles de organización subcelular y molecular. Los
cambios en la enfermedad que hasta hace cincuenta
años se describían solamente al nivel morfológico y
de microscopía óptica, ahora se interpretan en sus di-
mensiones ultraestructural, metabólica y bioquímica.
¿Significa esto que una vez más se ha desplazado el sitio
de la enfermedad, ahora de las células a los organelos
subcelulares y a las moléculas? La respuesta a esta pre-
gunta es negativa por las siguientes dos razones:
1. La enfermedad solamente se observa en los seres
vivos; es una forma de vida. Los organelos subce-
lulares sólo poseen algunas, y las moléculas aún
menos, del conjunto total de las propiedades de los
seres vivientes; la estructura más pequeña que las
muestra todas es la célula. Dichas propiedades son:
a) alta complejidad estructural; b) amplia variedad
fenotípica; c) metabolismo energético; d) recambio
metabólico; e) autoduplicación y f) autocuración
(véase el capítulo 2). Un organelo subcelular como
la mitocondria pueder ser anormal y hasta esa anor-
malidad ser responsable de una enfermedad, pero
lo que se enferma es la célula que la contiene; lo
mismo ocurre con moléculas complejas como la
hemoglobina o la colágena; en cambio, no hay mo-
léculas anormales de glucosa o de agua.
2. La vida necesita del tiempo para surgir, expresar sus
poderes y desarrollar su casi infinita variedad feno-
típica, participando de esa manera en la evolución.
En cambio, los objetos inanimados no requieren
del paso del tiempo para realizar su existencia. Las
membranas celulares y los organelos subcelulares
son cosas biológicas y llevan la huella del tiempo
grabada en su estructura y su función, y de manera
más sutil, aunque igualmente esencial, las macro-
moléculas biológicas también dependen del tiempo;
en cambio, los electrones, los átomos de carbono
y el agua existen fuera del tiempo y son indepen-
dientes de éste y por ello no se pueden enfermar.
HACIA EL FUTURO
Hemos repasado la búsqueda del sitio de la enfermedad
a través de la historia, desde todo el organismo en la
prehistoria, los humores en los tiempos clásicos y en
la Edad Media; los órganos, en el Renacimiento; los
tejidos, a fines del siglo XVIII; las células, a mediados
del siglo XIX; y, en sentido limitado, los organelos sub-
celulares y las macromoléculas biológicas en nuestro
tiempo. La investigación contemporánea en patología
avanza simultáneamente en dos frentes:
1. El conocimiento morfológico más fino de algunos
de los padecimientos ya conocidos (como la tu-
berculosis o la cirrosis hepática), el estudio de nue-
vas enfermedades conforme van surgiendo (como
el choque tóxico o el sida), la mejor identificación
de otras que ya se conocían pero que cada vez se
diagnostican mejor (como los linfomas y otras neo-
plasias), y la corrección de errores de interpretación
tradicionales gracias al uso de nuevas técnicas que
aumentan tanto el poder de resolución como la es-
pecificidad de los marcadores (como la enfermedad
de Whipple o las hepatitis virales). La consecuencia
inmediata de esta investigación es la mejoría del
diagnóstico anatómico, por tanto, un aumento en
la calidad de la asistencia médica.
2. La mejor comprensión de los mecanismos patogé-
nicos generales (como la apoptosis o la inmuno-
patología) y especiales (como en la amibiasis o en
la enfermedad de Alzheimer). Esta investigación
es interdisciplinaria, tanto en sus conceptos como
en su metodología, y sus resultados suelen condu-
cir a modificaciones en ideas generales que, tarde
o temprano, también se reflejan en mejor manejo
clínico de los enfermos (como en el uso de este-
roides en enfermedades de autoinmunidad, o la
vacuna contra el paludismo).
Los médicos deseamos curar a los enfermos, pero
también prevenir las enfermedades y la única manera de
alcanzar estos dos objetivos es a través del conocimiento.
La historia de la medicina no es otra cosa que el relato
de la forma lenta y penosa como se ha ido acumulando
el conocimiento sobre la enfermedad a través del tiem-
po. Pero no se trata de cualquier tipo de conocimiento:
Patologi a_01_5R.indd 9
Patologi a_01_5R.indd 9 25/4/07 18:51:23
25/4/07 18:51:23
Cisfarm
10 Patología general
debe ser conocimiento científico, debe pasar las pruebas
más rigurosas que podamos imaginar, una y otra vez,
hasta despojarlo de todos los sueños, deseos, esperanzas
e intereses económicos y de otros tipos. Sólo entonces
sirve para prevenir y curar las enfermedades. Sin el
conocimiento científico de la enfermedad la medicina,
la “buena” medicina, no es posible.
LECTURAS ADICIONALES
Pérez Tamayo, R. El concepto de enfermedad. Su evolución a través
de la historia. México. El Colegio Nacional-Fondo de Cultura Eco-
nómica. 1988.
Pérez Tamayo, R. Historia de diez gigantes. México. El Colegio Nacio-
nal. 1991.
PérezTamayo, R. De la magia primitiva a la medicina moderna. México.
Fondo de Cultura Económica. 1997.
Patologi a_01_5R.indd 10
Patologi a_01_5R.indd 10 25/4/07 18:51:23
25/4/07 18:51:23
Cisfarm
2
Lesiones en diferentes niveles de
organización biológica
Lesiones en diferentes niveles de
organización biológica Ruy Pérez Tamayo
FIGURA 2-1. Glóbulos rojos de un caso de anemia de células falciformes. (Cortesía del Dr. Joaquín Carrillo).
© 2007 Editorial Médica Panamericana, S.A de C.V.
Cisfarm
10 Patología general
FIGURA 2-2. Esquema de la molécula de procolágena y de las modificaciones que la transforman en una molécula de colágena insoluble. (Tomado de Procop DJ y cols. New Eng J. Med.
301: 13, 77, 1979.)
PROCOLÁGENA
Glc
Gal Gal
(Man)n
GlcNac
(Man)n
GlcNac
(10
nm)
(2.0 nm)
Dominio
globular
Dominio triple
helicoidal
Dominio
no triple
helicoidal
Glc
Gal Gal
Dominio triple
helicoidal
Dominio
no triple
helicoidal
Dominio
no triple
helicoidal
(1.0 nm)
PROPÉPTIDO
N-TERMINAL
(15 nm)
PROCOLÁGENA
(300 nm)
PROPÉPTIDO
N-TERMINAL
(10 nm)
© 2007 Editorial Médica Panamericana, S.A de C.V.
Cisfarm
C2 Lesiones en diferentes niveles de organización biológica 11
FIGURA 2-3. Aspecto radiológico del esqueleto de un niño recién nacido con
osteogénesis imperfecta grave (tipo I). (Cortesía de la Dra. Sandra Carnevale.)
© 2007 Editorial Médica Panamericana, S.A de C.V.
Cisfarm
12 Patología general
FIGURA 2-4. Cordero de 10 horas de nacido, afectado por dermatosparaxis, con laceraciones cutáneas extensas. (Tomado de Fjolstad M, Helle O.: J. Pathol 112:183, 1974.)
© 2007 Editorial Médica Panamericana, S.A de C.V.
Cisfarm
C2 Lesiones en diferentes niveles de organización biológica 13
FIGURA 2-5. Histología de la piel en la esclerodermia, con abundante colágena por debajo del nivel de
las glándulas sudoríparas.
© 2007 Editorial Médica Panamericana, S.A de C.V.
Cisfarm
14 Patología general
FIGURA 2-6. Linfoma difuso no Hodking con células en anillo de sello. Se observan cristales en el citoplasma de las células neoplásicas, que por inmunohistoquímica se demostró eran
de cadenas kappa.
© 2007 Editorial Médica Panamericana, S.A de C.V.
Cisfarm
C2 Lesiones en diferentes niveles de organización biológica 15
FIGURA 2-7. Mieloma múltiple. a) Histología de la neoplasia. b) Citología de un
frotis del tumor, que permite apreciar la morfología de las células plasmáticas
neoplásicas. (Cortesía del Dr. Joaquín Carrillo.)
(a)
(b)
© 2007 Editorial Médica Panamericana, S.A de C.V.
Cisfarm
16 Patología general
FIGURA 2-8. Alteración de las uniones intercelulares en el cáncer. a) Epitelio cervical
normal unido por desmosomas (desmosome) y uniones firmes (nexus). b) Carcinoma
epidermoide del cuello uterino en el que las células están unidas por un desmoso-
ma pero no hay unión firme (wide gap). (Tomado de McNutt NS. Science 165:597.
1969.)
(b)
DESMOSOMA
UNIÓN
FIRME
(a)
DESMOSOMA
UNIONES
FIRMES
S
© 2007 Editorial Médica Panamericana, S.A de C.V.
Cisfarm
C2 Lesiones en diferentes niveles de organización biológica 17
FIGURA 2-9. Perforaciones circulares en la membrana de un eritrocito de un paciente con hemoglobinuria paroxística, después de reaccionar con anticuerpo y complemento. (Tomado de
Dourmashkin RR, Rosse WF: Am J Med 41:699, 1966.)
© 2007 Editorial Médica Panamericana, S.A de C.V.
Cisfarm
18 Patología general
FIGURA 2-10. Megamitocondrias. a) Degeneración vacuolar de hepatocitos con formación de megamitocondrias (gránulos anaranjados). b) Mitocondrias gigantes en el hígado de un ratón
alimentado con una dieta rica en grasas y deficiente en riboflavina. (Tomado de Tandier B. y cols. J. Cell Biol 41: 472, 1969.)
(b)
(a)
© 2007 Editorial Médica Panamericana, S.A de C.V.
Cisfarm
C2 Lesiones en diferentes niveles de organización biológica 19
FIGURA 2-11. Tumefacción mitocondrial en una
célula tubular renal humana que muestra la imagen
“en negativo” característica de la fase II de la reac-
ción celular reversible a la agresión.
© 2007 Editorial Médica Panamericana, S.A de C.V.
Cisfarm
20 Patología general
FIGURA 2-12. Daño mitocondrial avanzado en el miocardio, produci-
do por emetina administrada en dosis elevada a un perro.
© 2007 Editorial Médica Panamericana, S.A de C.V.
Cisfarm
C2 Lesiones en diferentes niveles de organización biológica 21
FIGURA 2-13. Histología de las vellosidades articulares en la artritis reumatoide. Hay proliferación de células sinoviales, infiltración inflamatoria y formación de pannus.
© 2007 Editorial Médica Panamericana, S.A de C.V.
Cisfarm
22 Patología general
FIGURA 2-14. Hiperplasia del retículo endoplásmico rugoso en una célula acinar pancreática 72 horas después de la administración de actnomicina D. (Tomado de Gerzain Rodríguez T. J.
Ultrastruct Res 19:116, 1967.)
© 2007 Editorial Médica Panamericana, S.A de C.V.
Cisfarm
C2 Lesiones en diferentes niveles de organización biológica 23
FIGURA 2-15. Dilatación y degranulación del retículo endoplásmico rugoso en un hepatocito de rata, en respuesta a anoxia incipiente.
© 2007 Editorial Médica Panamericana, S.A de C.V.
Cisfarm
24 Patología general
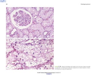
FIGURA 2-16. Aspecto histológico del estadio I de la reacción celular reversible
a la agresión. a) Tumefacción turbia del citoplasma de células tubulares renales.
b) Tumefacción turbia de hepatocitos.
(a)
(b)
© 2007 Editorial Médica Panamericana, S.A de C.V.
Cisfarm
C2 Lesiones en diferentes niveles de organización biológica 25
(c)
(a) (b)
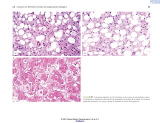
FIGURA 2-17. Esteatosis hepática. a) y b) Esteatosis en dos casos de alcoholismo crónico.
El núcleo de los hepatocitos afectados está empujado a la periferia de la célula. c) Esteatosis
aguda del embarazo, en la que la grasa no desplaza el núcleo del hepatocito.
© 2007 Editorial Médica Panamericana, S.A de C.V.
Cisfarm
26 Patología general
FIGURA 2-18. Estadio 3 de la reacción inespecífica celular a la agresión, con dilatación
mitocondrial y pérdida parcial de cristas y contenido.
© 2007 Editorial Médica Panamericana, S.A de C.V.
Cisfarm
C2 Lesiones en diferentes niveles de organización biológica 27
FIGURA 2-19. Las dos formas conocidas de muerte celular. El esquema muestra las
principales diferencias morfológicas que distinguen a los dos procesos, el momento en la
instalación de la necrosis, y las consecuencias de cada uno de ellos. (Tomado de Majno G.
Joris I. Am. J. Pathol 146:3, 1995.)
ONCOSIS
vesiculación
APOPTOSIS
pseudopodos
2A
2B
2C
1A
1B
1C
Fagocitosis
Inflamación
Fagocitosis
por macófagos o
células vecinas
NECROSIS
© 2007 Editorial Médica Panamericana, S.A de C.V.
Cisfarm
28 Patología general
FIGURA 2-20. Hiperplasia nodular de la próstata, con estenosis de la
uretra prostática.
© 2007 Editorial Médica Panamericana, S.A de C.V.
Cisfarm
C2 Lesiones en diferentes niveles de organización biológica 29
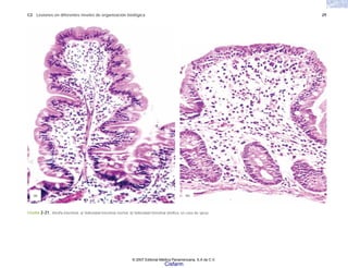
FIGURA 2-21. Atrofia intestinal. a) Vellosidad intestinal normal. b) Vellosidad intestinal atrófica, en caso de sprue.
(b)
(a)
© 2007 Editorial Médica Panamericana, S.A de C.V.
Cisfarm
30 Patología general
FIGURA 2-22. Metaplasia intestinal. Las glándulas del colon (izquierda) se transforman en glándulas con aspecto de intestino delgado (derecha).
© 2007 Editorial Médica Panamericana, S.A de C.V.
Cisfarm
C2 Lesiones en diferentes niveles de organización biológica 31
CAMBIOS ESTRUCTURALES CAMBIOS EN LA REGULACIÓN
Congénita Hemoglobinopatías Talasanemias
Anemia de células
faciformes y otras α-talasanemia
variedades (casi 200) β-talasanemia
Adquirida Metahemoglobinemia Anemia aplástica
y otras intoxicaciones
TABLA 2-1 Patología molecular de la Hb
TIPO SUBUNIDADES DISTRIBUCIÓN EN TEJIDOS
Colágenas fibrilares
I α1(I), α2(I) Piel, huesos, tendón, dentina
II α1(II) Cartílago hialino, cuerpo vítreo
III α1(III) Piel, vasos
V α1(V), α2(V), α3(V) Incierto; asociado con tipos I y III
XI α1(XI), α2(XI), α3(XI) Cartílago hialino
Colágenos no fibrilares
IV α1(IV), α2(IV) Membranas basales
VI α1(VI), α2(VI), α2(VI) Vasos, piel, discos intervertebrales
VII α1(VII) Unión dermoepidérmica
VIII α1(VIII), α2(VIII) Membrana de Descemet
IX α1(IX), α2(IX), α2(IX) Cartílago hialino, humor vítreo
X α1(X) Cartílago hipertrófico
XII α1(XII) Piel y tendón embrionarios
XIII α1(XIII) Células endoteliales
XIV α1(XIV) Piel y tendón embrionarios
XV a XIX ya identificadas, pero todavía no suficientemente caracterizadas
TABLA 2-2 La familia de las moléculas de colágena (1996)
CAMBIOS ESTRUCTURALES CAMBIOS EN LA REGULACIÓN
Genético
Deficiencia de hidroxilasa Osteogénesis imperfecta
Dermatosparaxis Epidermólisis bulosa
Defecto en ratones moteados Mo
Adquirido
Escorbuto Fibrosis (retroperitoneal, perivascular, otras)
Latirismo Esclerodermia
Deficiencia de Cu+ Artritis reumatoide, otras artritis
Penicilamina Enfermedad de Paget ósea
Homocistinuria Efecto del alcohol en hígado
Hidralazina
TABLA 2-3 Patología molecular de la colágena
CAMBIOS ESTRUCTURALES CAMBIOS EN LA REGULACIÓN
Genética Hereditaria Cadenas H (γ, α, μ) Inmunodeficiencias congénitas
Somática Cadenas L (κ, λ) Distrofia miotónica
Gamopatías policlonales
Gamopatías monoclonales
Agammaglobulinemia adquirida
Adquirida Amiloidosis Timoma con agammaglobulinemia
Primaria Inmunodepresión
Otros tipos Radiación
Yatrógena
TABLA 2-4 Patología molecular de las Ig
© 2007 Editorial Médica Panamericana, S.A de C.V.
Cisfarm
32 Patología general
TIPO DE ALTERACIÓN EJEMPLO
I. Trastornos funcionales
1. Transporte
Aminoácidos Glicinuria, cistinuria
Carbohidratos Glucosuria renal
Fosfatos Raquitismo resistente
Combinados Síndrome de Fanconi
2. Compartamentalización No definidos
3. Receptores hormonales Diabetes insípida renal
4. Comunicación Neoplasia
II. Trastornos estructurales
1. Estructura trilaminar
Engrosamiento Contacto con parásitos
Perforación Lisis por C
2. Glicocálix
Engrosamiento Neoplasias
3. Uniones laxas Neoplasias
TABLA 2-5 Patología de las membranas
TIPO DE ALTERACIÓN EJEMPLO
I. Trastornos estructurales
1. Aumento de tamaño o número
Megamitocondrias Alcohol etílico, cuprizone
Tumefacción Anoxia, intoxicación por CN-
Hiperplasia Oncocitoma, hipertiroidismo
2. Cambios en las membranas Aflatoxina, 2-4 dinitrofenol
3. Cambios en la matriz
Aumento en la densidad Carcinógenos
Disminución en la densidad Anoxia, tóxicos
Cristales Anticonceptivos
II. Trastornos estructurales con alteración funcional
1. Síndrome hipermetabólico
2. Sustancias metabólicas Emetina
3. Corticosteroides Triamcinolona, dexametasona
4. Miopatías poco frecuentes Megaconial; pleioconial
TABLA 2-6 Patología de las mitocondrias
© 2007 Editorial Médica Panamericana, S.A de C.V.
Cisfarm
C2 Lesiones en diferentes niveles de organización biológica 33
TIPO DE ALTERACIÓN EJEMPLO
I. Retículo endoplásmico rugoso
1. Trastornos estructurales y funcionales
Hiperplasia Regeneración hepática; drogas
Atrofia Desnutrición
Cocleosomas Intoxicación con α-NIT
Desgranulación Etionina; escorbuto
Dilatación Isquemia; intoxicaciones
Fragmentación y vesiculación Intoxicaciones; necrosis
II. Retículo endoplásmico liso
1. Trastornos estructurales y funcionales
Hiperplasia Fenobarbital y otras drogas
Dilatación Intoxicaciones; necrosis
Agregados tubulares Intoxicaciones
TABLA 2-8 Patología de retículo endoplásmico
TIPO DE ALTERACIÓN ENZIMA AFECTADA
I. Con deficiencia funcional
1. Defectos en la fagocitosis
Enfermedad crónica granulomatosa Oxidasa de NAD; H2O2
Síndrome de Chediak-Higashi Proteasas
2. Anomalías enzimáticas
Glicogenosis tipo II (Pompe) α-1, 4-glicosidasa
Síndrome de Hurler α-L-iduronidasa
Gangliosidosis GM1 y GM2 N-acetil-β-hexosaminidasa
Enfermedad de Fabry α-galactosidasa
Enfermedad de Gaucher Glucocerebrosidasa
Enfermedad de Krabbé Galactocerebrosidasa
Leucodistrofia metacromática Arilsulfatasa A
Enfermedad de Niemann-Pick Esfingomielinasa
Enfermedad de Farber Ceramidasa ácida
II. Trastornos estructurales con
1. Inflamación Proteínas catiónicas
2. Fenómeno de Arthus Múltiple
3. Gota Múltiple
4. Artritis reumatoide Colagenasa, proteasas
TABLA 2-7 Patología de los lisosomas
© 2007 Editorial Médica Panamericana, S.A de C.V.
Cisfarm
34 Patología general
I. Procesos degenerativos Otros nombres
1. Reversibles
Reacción celular a la agresión
(estadios I y II) Tumefacción turbia
Esteatosis Degeneración vacuolar
Infiltración glucogénica Degeneración grasa
Degeneración hialina Paratrofia glucogénica
Degeneración mucoide Atrocitosis; otros
Células en “anillo de sello”
2. Irreversibles
Reacción celular a la agresión (estadios III y IV) Degeneración hidrópica; otros
Degeneración hialina Necrobiosis; otros
Muerte celular Necrosis; apoptosis; otros
II Enfermedades celulares Mecanismos; tipos
1. De la continuidad biológica
Patología del ADN Mutaciones; defectos en la reparación de ADN
Patología de los genes Enfermedades genéticas
Patología de los cromosomas Turner; Klinefelter; otros
2. Del crecimiento celular
Patología de la regeneración Hiperplasia, hipertrofia
Patología de la renovación Aplasia, atrofia
3. De la diferenciación
Anaplasia Proliferación; neoplasia
Metaplasia Inflamación; hormonas
Displasia Epitelios polarizados
4. De la integración tisular
Transformación neoplástica Tumores
TABLA 2-9 Patología celular
© 2007 Editorial Médica Panamericana, S.A de C.V.
Cisfarm
C2 Lesiones en diferentes niveles de organización biológica 35
LIGADAS AL SEXO DOMINANTES EJEMPLO
Distrofia muscular Acondroplasia Retinitis pigmentosa
Agammaglobulinemia Poliposis intestinal Ataxia de Friederich
Diabetes insípida renal Esclerosis intestinal Amiotonía congénita
Enfermedad de Fabry Osteogénesis imperfecta Riñón poliquístico
Hemofilia Feocromocitoma Síndrome de Fanconi
Ictiosis vulgar Retinoblastoma Disautonomía
Microftalmía Polidactilia Sordomudez
Albinismo ocular Catarata congénita Seudoxantoma elástico
Síndrome de Hurler Corea de Huntington Fibroelastosis endocárdica
Hipofosfatemia Neurofibromatosis Mucoviscidosis
TABLA 2-10 Algunas enfermedades hereditarias
Formación de clonas a partir de pocas células
Menor requerimiento de suero para multiplicarse
Ausencia de inhibición por contacto ni de movimiento
ni de multiplicación
Potencial ilimitado de multiplicación (“inmortalidad”)
Mayor producción de ácido láctico
Anomalías cromosómicas frecuentes
Expresión de nuevos antígenos en membranas
TABLA 2-11
Algunas propiedades
de las células transformadas in vitro
© 2007 Editorial Médica Panamericana, S.A de C.V.
Cisfarm
© 2007 Editorial Médica Panamericana, S.A de C.V.
Cisfarm
3
Patología general de la inflamación
Patología general de la inflamación
Ruy Pérez Tamayo
FIGURA 3-1. John Hunter (1728-1793).
© 2007 Editorial Médica Panamericana, S.A de C.V.
Cisfarm
38 Patología general
FIGURA 3-2. Demostración de dos poros formados por la separación de las
células endoteliales (flechas) de un capilar. La luz está llena de eritrocitos y dos
de ellos se insinúan entre los poros. (Cortesía del Dr. Guido Majno.)
© 2007 Editorial Médica Panamericana, S.A de C.V.
Cisfarm
C3 Patología general de la inflamación 39
FIGURA 3-3. Inversión del flujo circulatorio. a) Los eritrocitos ocupan el centro
de la luz de los vasos dilatados, mientras que los leucocitos están marginados a
lo largo de la pared. b) Mayor aumento de una vénula, en donde la marginación
leucocitaria es aparente y algunos leucocitos (arriba) empiezan a atravesar la
pared.
(a)
(b)
© 2007 Editorial Médica Panamericana, S.A de C.V.
Cisfarm
40 Patología general
FIGURA 3-4. Ultrastructura de la diapédesis en la pared de
una vénula. La célula 1 es un polimorfonuclear que atraviesa
el endotelio para ponerse en contacto con una célula peritelial
(PC); en el espacio perivascular hay un eritrocito (R). La célula 2
es un polimorfonuclear adherido al endotelio (E) y la célula 3 ya
se encuentra en el tejido conjuntivo. (Tomado de Marchesi VT,
Florey HW: Quart J Expo Physiol 45:343, 1960.)
© 2007 Editorial Médica Panamericana, S.A de C.V.
Cisfarm
C3 Patología general de la inflamación 41
FIGURA 3-5. Eritrocito entre dos células endoteliales (E) en migración
hacia el espacio estravascular (X). En la luz (L) del pequeño vaso se
observan algunas plaquetas (PL). (Cortesía del Dr. Ramzi Cotran.)
© 2007 Editorial Médica Panamericana, S.A de C.V.
Cisfarm
42 Patología general
FIGURA 3-6. Diagrama de los distintos
factores que contribuyen a la acumu-
lación del exudado en la inflamación
aguda.
AGRESIÓN
Liberación de metabolitos
(histamina, serotonina, etcétera)
Reflejo
axónico
Dilatación arteriolar
Dilatación capilar
Efecto directo sobre
la pared capilar
Aumento
de la permeabilidad capilar
Retardo circulatorio
con hipertensión venular
Aumento de la presión
hidrostática capilar
Aumento de la viscosidad
de la sangre
Pasaje del líquido
al espacio intersticial
© 2007 Editorial Médica Panamericana, S.A de C.V.
Cisfarm
C3 Patología general de la inflamación 43
FIGURA 3-7. Células de la inflamación aguda. a) Leucocitos polimorfonuclea-
res rodeando un gránulo actinomicósico. b) Células mononucleares: linfocitos,
monolitos y células plasmáticas.
(a)
(b)
© 2007 Editorial Médica Panamericana, S.A de C.V.
Cisfarm
44 Patología general
FIGURA 3-8. La fagocitosis según Metchnikoff. Bacilo del carbunco coloreado con vesu-
vina en el citoplasma de un leucocito de rana. Las dos figuras representan dos fases del
movimiento de la misma célula.
© 2007 Editorial Médica Panamericana, S.A de C.V.
Cisfarm
C3 Patología general de la inflamación 45
FIGURA 3-9. Tipos anatómicos de exudados inflamatorios. a) Peritonitis tuberculosa miliar.
b) Exudado necrótico en un absceso hepático amibiano. c) Exudado fibrinoso en una peri-
carditis urémica.
(a)
(b)
(c)
© 2007 Editorial Médica Panamericana, S.A de C.V.
Cisfarm
46 Patología general
FIGURA 3-10. Células en inflamaciones crónicas. a) Histiocitos en lepra Lepromatosa. b) Células epitelioides en sarcoidosis de Boeck. c) Macrófagos en xantogranulomatosis. d) Células
gigantes en clonorquiasis.
(a) (b)
(c) (d)
© 2007 Editorial Médica Panamericana, S.A de C.V.
Cisfarm
C3 Patología general de la inflamación 47
Aumento de los flujos de Na+, y Ca++ a través de la
membrana
Aumento de la poza intracelular de Ca++ intercambiable
Liberación del Ca++ unido a la membrana
Activación de la ATPasa de Na+ y K+
Aumento de los pliegues de la membrana y formación
de pseudópodos
Despolarización de la membrana
Tumefacción celular
Activación de la proesterasa I
Aumento en la formación de microtúbulos
Aumento de glucólisis y producción de anión superóxido
Aumento de adhesividad de la membrana
Agregación celular
Marginación endotelial
Neutropenia y neutrofilia
Aumento de la quimiocinesis
Quimiotaxis
Acumulación en los tejidos
Inhibición o aumento en la fagocitosis
Desgranulación
TABLA 3-1
Cambios inducidos en los leucocitos neutrófilos
por agentes quimiotácticos
FENÓMENO MEDIADORES
Aumento en permeabilidad vascular Plasma
Cininas (bradicinna, otras)
Plasmina
Factor de Hageman
Complemento (C33a, C5a)
Fibrinopéptidos
Células y tejidos:
Histamina
5-hidroxitriptamina
PAF
Prostaglandinas
Tromboxanos
Leukotrienos (B4)
Proteínas catiónicas (lisosomas)
Interleucinas (TNF, TNF)
Sustancia P
Neurotensina
LNPF
Leucocitos
VPF/VGF
Cambios en comportamiento celular Plasma
Calicreína
Plasmina
Complemento (C3r, C5r, C567)
Coagulación (fibrinopéptido B4)
Células y tejidos
Secretinas (L, E y P)
Adhesinas
Integrinas (ICAM-1, VCAM-1)
PECAM (CD31)
Quimiocinas (>20 tipos; IL-8)
Daño celular y tisular Complejo C5-C9 (MAC)
Coagulación
Proteasas (lisosomas)
Óxido nítrico
Radicales libres de O2
TABLA 3-2 Algunos mediadores químicos de la inflamación
© 2007 Editorial Médica Panamericana, S.A de C.V.
Cisfarm
48 Patología general
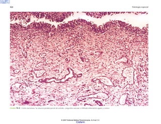
AGUDA CRÓNICA
Cambios vasculares Muy aparentes; reactivos Poco aparentes; proliferativos
Tipos celulares Leucocitos neutrófilos, pocos Macrófagos, linfocitos, células
linfocitos y macrófagos plasmáticas, epiteloides y gigantes
Cambios extracelulares Exudado; daño tisular agudo Organización del exudado; coexistencia
de daño tisular y cicatrización
Mediadores químicos Plasmáticos, aminas vasoactivas, Todos los de la aguda más varias
lípidos ácidos, lisosomas citocinas
Resultado del proceso Identificación, neutralización Daño tisular mediado por las células
y eliminación del agente inflamatorias; prevalencia de la
causal y de las células y otros respuesta inmune en la morfología
alterados de la lesión
TABLA 3-3 Diferencias entre inflamación aguda y crónica
© 2007 Editorial Médica Panamericana, S.A de C.V.
Cisfarm
4
Reparaciónyregeneración
Reparaciónyregeneración
Ruy Pérez Tamayo
FIGURA 4-1. Evolución morfológica de los fibroblastos durante la cicatrización. a) Fibroblastos jóvenes con mitosis
en una herida de 24 horas. b) Polarización de los fibroblastos en una herida de 3 días. c) Fibroblastos “inactivos”
en una cicatriz de 10 días.
(b)
(c)
(a)
© 2007 Editorial Médica Panamericana, S.A de C.V.
Cisfarm
50 Patología general
FIGURA 4-2. Neoformación vascular en tejido de granulación. Muchos de los vasos neoformados todavía no tienen luz.
© 2007 Editorial Médica Panamericana, S.A de C.V.
Cisfarm
C4 Reparación y regeneración 51
FIGURA 4-3. Úlcera por estasis crónica en un paciente con insuficiencia venosa de las extremidades inferiores.
© 2007 Editorial Médica Panamericana, S.A de C.V.
Cisfarm
52 Patología general
FIGURA 4-4. Cicatriz queloide. a) Aspecto macroscópico de cicatrices queloides
en la cara anterior del tórax. b) Histología de una cicatriz queloide, con fascículos
anchos y hialinizados de colágena.
(b)
(a)
© 2007 Editorial Médica Panamericana, S.A de C.V.
Cisfarm
C4 Reparación y regeneración 53
(a)
(b) FIGURA 4-5. Fibrosis del miocardio. a) Zona de infarto reciente. b) Cicatrización
antigua del miocardio.
© 2007 Editorial Médica Panamericana, S.A de C.V.
Cisfarm
54 Patología general
FIGURA 4-6. Estenosis cicatricial antigua de la válvula mitral en la fiebre reumática crónica.
© 2007 Editorial Médica Panamericana, S.A de C.V.
Cisfarm
C4 Reparación y regeneración 55
FIGURA 4-7. Cirrosis hepática. a) Aspecto macroscópico del hígado, con sustitución
de su arquitectura normal por múltiples nódulos de regeneración parenquimatosa de
distintos tamaños. b) Los nódulos están separados por bandas irregulares de tejido
fibroso.
(a)
(b)
© 2007 Editorial Médica Panamericana, S.A de C.V.
Cisfarm
56 Patología general
FIGURA 4-8. Fibrosis pulmonar intralveolar. Exudado inflamatorio intraveolar organizado en forma de tejido fibroso.
© 2007 Editorial Médica Panamericana, S.A de C.V.
Cisfarm
C4 Reparación y regeneración 57
FIGURA 4-9. Fibrosis pulmonar intersticial difusa. a) Pulmones hiperextensos con lesiones microquísticas múltiples. b) Engrosamiento generalizado de los tabiques alveolares.
(a) (b)
© 2007 Editorial Médica Panamericana, S.A de C.V.
Cisfarm
58 Patología general
FIGURA 4-10. Ultraestructura del miofibroblasto. En la parte inferior aparece parte del citoplasma de un miofibroblasto. La presencia de fascículos de microfibrillas paralelas asociadas con
cuerpos densos es clara. En la parte superior hay parte de un fibroblasto ortodoxo para comparar su ultraestructura. (Cortesía del Dr. Guido Majno.)
© 2007 Editorial Médica Panamericana, S.A de C.V.
Cisfarm
C4 Reparación y regeneración 59
FIGURA 4-11. Borde de una úlcera péptica gástrica con regeneración redundante de la mucosa.
© 2007 Editorial Médica Panamericana, S.A de C.V.
Cisfarm
60 Patología general
FACTOR DE CRECIMIENTO ORIGEN CÉLULA BLANCO Y EFECTO
EGF Plaquetas Queratinocito motógeno y mitógeno
TGF-α Macrófagos, queratinocitos Queratinocito motógeno y mitógeno
HB-EGF Macrófagos Queratinocito y fibroblasto mitógeno
FGFS 1, 2 y 4 Macrófagos y endotelio dañado Fibroblasto angiogénico y mitógeno
FGF7(KGF) Fibroblasto dérmico Queratinocito motógeno y mitógeno
PDGF Plaquetas, macrófagos, queratinocitos Macrófagos, fibroblastos quimiotácticos;
macrófago activador, fibroblasto mitógeno
y producción de matriz
IGF-1 Plaquetas; plasma Endotelio y fibroblasto mitógeno
VEGF Queratinocitos; macrófagos Angiogénesis
TGF-β1 y β2 Plaquetas, macrófagos Queratinocito de migración; macrófagos y
fibroblastos quimiotácticos; fibroblasto,
producción de matriz y remodelación
TGF-β3 Macrófagos Anticicatricial
CTGF Fibroblastos; endotelio Fibroblastos, regulación de TGF-β1
Activina Fibroblastos; queratinocitos Desconocida
IL-1α y -β Neutrófilos Macrófagos, fibroblastos y queratinocitos;
activación precoz de GF
TNF-α Neutrófilos Estimulación
TABLA 4-1 Mediadores de crecimiento en el lecho de la herida
© 2007 Editorial Médica Panamericana, S.A de C.V.
Cisfarm
C4 Reparación y regeneración 61
Factores locales
Tipo de agente causal de la herida
Tamaño de la herida
Localización de la herida
Temperatura
Radiación ionizante
Estímulo local
Infección
Factores generales
Edad
Temperatura
Luz ultravioleta
Estado nutricional
Proteínas (metionina)
Vitamina C
Infección generalizada
Hormonas
Corticoides
ACTH
Tiroxina
Estrógenos
Somatotrofina
TABLA 4-2 Factores que influyen en la cicatrización
Cicatrización deficiente
Úlceras vasculares
Úlcera de estasis
Aterosclerosis
Hipertensión arterial
Vasculitis
Úlceras neuropáticas
Pioderma gangrenoso
Úlceras multifactoriales
Úlcera de decúbito
Úlceras cutáneas en los diabéticos
Cicatrización excesiva
Queloide y cicatriz hipertrófica
Fibrosis parenquimatosa
Fibrosis cardiaca
Fibrosis hepática
Fibrosis renal
Fibrosis pulmonar
TABLA 4-3 Trastornos de la cicatrización
© 2007 Editorial Médica Panamericana, S.A de C.V.
Cisfarm
© 2007 Editorial Médica Panamericana, S.A de C.V.
Cisfarm
5
Inmunopatología Ruy Pérez Tamayo
Inmunopatología
FIGURA 5-1. Miastenia gravis. a) Microfotografía de una placa neuromuscular en la que se ha teñido el autoanticuerpo (IgG) con un anticuerpo anti-IgG marcado con peroxidasa. b)
Electromicrografía de parte de una placa neuromuscular, con el anticuerpo depositado en la membrana postsináptica, que es donde se encuentran los receptores de la acetilcolina. (Tomado
de Sahashi K, y cols. Mayo Clinic Proc 52:267-280. 1977.)
(b)
(a)
© 2007 Editorial Médica Panamericana, S.A de C.V.
Cisfarm
64 Patología general
FIGURA 5-2. Anafilaxia experimental en el cobayo. a) Aspecto macroscópico de los órganos torácicos normales; los pulmones están colapsados y retraídos detrás del corazón. b) Órganos
torácicos de un cobayo muerto por choque anafiláctico; los pulmones están sobredistendidos, cubren casi toda la cara anterior del corazón y se ven muy pálidos.
(a) (b)
© 2007 Editorial Médica Panamericana, S.A de C.V.
Cisfarm
C5 Inmunopatología 65
FIGURA 5-3. Histología de un pseudopólipo nasal, una forma de anafilaxia local; hay edema y densa infiltración por leucocitos polimorfonucleares eosinófilos.
© 2007 Editorial Médica Panamericana, S.A de C.V.
Cisfarm
66 Patología general
FIGURA 5-4. Asma bronquial. a) Aspecto sobredistendido de los pulmones en un caso fallecido durante un ataque agudo de asma. b) Corte trasnversal de un bronquio en el caso anterior,
que muestra la luz ocupada por material mucoso denso.
(b)
(a)
© 2007 Editorial Médica Panamericana, S.A de C.V.
Cisfarm
C5 Inmunopatología 67
FIGURA 5-5. Efecto de un anticuerpo específico en presencia de C. a) Ultraestructura de un macrófago peritoneal de rata normal. b) a los 10 minutos de haber sido expuesto a un anticuerpo
antimacrófago +C, el citoplasma está vacío y el núcleo está picnótico.
(b)
(a)
© 2007 Editorial Médica Panamericana, S.A de C.V.
Cisfarm
68 Patología general
FIGURA 5-6. Estructura teórica del MAC, según la hipótesis de la dona de Mayer. (Tomado de Klein J. Immunology. The science of self-nonself discrimination. Nueva York, John Wiley &
Sons. 1982.)
Canal a través
de la membrana Micela
Canal a través
de la membrana
Bicapa
lipídica
Glucocáliz
Complejo de ataque de la membrana
© 2007 Editorial Médica Panamericana, S.A de C.V.
Cisfarm
C5 Inmunopatología 69
FIGURA 5-7. Vasculitis en el fenómeno de Arthus. a) La mitad inferior de la pared de la vena es normal, mientras que la superior está destruida por el depósito de complejos inmunes e
invasión por leucocitos polimorfonucleares. b) Depósito de fibrina en la pared vascular.
(a) (b)
© 2007 Editorial Médica Panamericana, S.A de C.V.
Cisfarm
70 Patología general
FIGURA 5-8. Vasculitis de hipersensibilidad. a) Arteritis en tejido celular, con engro-
samiento de la pared y fibrosis perivascular. b) Arteritis aguda necrosante, con des-
trucción de toda la pared e infiltración de fibrina en la íntima.
(a)
(b)
© 2007 Editorial Médica Panamericana, S.A de C.V.
Cisfarm
C5 Inmunopatología 71
(a) (b)
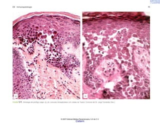
FIGURA 5-9. Histología del pénfigo vulgar. a) y b), vesículas intraepiteliales con células de Tzanck. (Cortesía del Dr. Jorge Fernández Díez.)
© 2007 Editorial Médica Panamericana, S.A de C.V.
Cisfarm
72 Patología general
FIGURA 5-10. Histología de la reacción a la tuberculina, producida en un animal experimental (gallina). Las vénulas subcutáneas están rodeadas por manguitos de células mononuclea-
res.
© 2007 Editorial Médica Panamericana, S.A de C.V.
Cisfarm
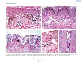
C5 Inmunopatología 73
FIGURA 5-11. Diversos aspectos de la histología de la dermatitis por contacto. a) y b), formación de vesículas intraepiteliales en ausencia de infiltrado inflamatorio, c) hiperqueratosis, un
acompañante habitual de esta forma de dermatitis, d) las células basales epiteliales permanecen adheridas a las papilas; e) los anexos de la piel también están afectados.
(a) (b)
(c) (d) (e)
© 2007 Editorial Médica Panamericana, S.A de C.V.
Cisfarm
74 Patología general
FIGURA 5-12. Infiltrado inflamatorio perivascular en un caso de polimiositis.
© 2007 Editorial Médica Panamericana, S.A de C.V.
Cisfarm
C5 Inmunopatología 75
FIGURA 5-13. Glomerulonefritis en el lupus eritematoso diseminado. a) Glomérulo con
engrosamientos focales hialinos de la pared capilar (“asa de alambre”) y proliferación
focal de células mesangioendoteliales. b) Depósito de C en la pared de las asas capilares
glomerulares. c) Electromicrografía de parte de una asa capilar glomerular, con depósito de
complejos inmunes en el seno de la membrana basal.
(a)
(c)
(b)
© 2007 Editorial Médica Panamericana, S.A de C.V.
Cisfarm
76 Patología general
FIGURA 5-14. Rechazo de aloinjertos. a) Infiltrado inflamatorio perivascular en el
rechazo de un aloinjerto pulmonar en el perro. b) Lesión obliterante vascular en el
rechazo crónico de un aloinjerto renal humano.
(a)
(b)
© 2007 Editorial Médica Panamericana, S.A de C.V.
Cisfarm
C5 Inmunopatología 77
Mediados por anticuerpos
Tipo I
Mediado por IgE (a veces IgG), antígeno soluble,
activación de células cebadas con liberación de
aminas vasoactivas (anafilaxia, rinitis alérgica, asma
bronquial)
Tipo II
Mediado por IgM e IgG, antígeno insoluble (a veces
receptores), activación del C con formación de MAC
(alergia a drogas, anemia hemolítica autoinmune,
miastenia gravis)
Tipo III
Mediado por IgM e IgG, antígeno soluble, activación
del C, formación de complejos Ag-Ac (enfermedad
del suero, glomerulonefritis, lupus eritematoso)
Mediado por células
Tipo IV
Mediado por células T, antígeno soluble o asociado
a células, activación de macrófagos, citotoxicidad
(dermatitis por contacto, rechazo de injertos)
TABLA 5-1
Clasificación de Coombs y Gell
de los mecanismos inmunopatológicos
Enfermedad del suero
Glomerulonefritis posestreptocócica
Otras glomerulonefritis posinfecciosas
Endocarditis bacteriana
Válvulas ventriculares
Sífilis
Hepatitis por virus B
Paludismo
Lupus eritematoso sistémico
Artritis reumatoide
Crioglobulinemia
Vasculitis
Poliarteritis nodosa
Fenómeno de Lucio en la lepra
Vasculitis leucocitoclástica
Púrpura anafilactoide
Tiroiditis crónica
Dengue
Panencefalitis esclerosante subaguda
TABLA 5-3
Algunas enfermedades producidas
por complejos inmunes
Mediados por anticuerpos
1. Inactivación o estimulación de moléculas
biológicamente activas
2. Anafilaxia
3. Citotoxicidad
4. Complejos inmunes
5. Penetración de Ac al núcleo celular
Mediados por células
6. Células T citotóxicas
7. Células NK
8. Macrófagos activados
Mediados por anticuerpos + células
9. Citotoxicidad celular mediada por anticuerpo
10. Rechazo de injertos
11. Autoinmunidad
12. Inmunidad a las neoplasias
TABLA 5-2 Clasificación de los mecanismos inmunopatológicos
© 2007 Editorial Médica Panamericana, S.A de C.V.
Cisfarm
78 Patología general
NOMBRE RECEPTOR EFECTOS
IL-1 CDw121a Fiebre, activación de Mo y de linfocitos T
IL-2 CD25 (α); CD122 (β) Estimula proliferación de células T
IL-3 CD123 Estimula hemopoiesis (CSF)
IL-4 CD124 Activa células B; estimula cambio a IgE
IL-5 CD125 Estimula eosinófilos
IL-6 CD126; CDw130 Estimula células T y B; proteínas de fase aguda
IL-7 CDw127 Estimula células pre-B y pre-T
IL-8 CDw128 Quimiotáctico para neutrófilos y células T
IL-9 IL-9R Estimula células cebadas
IL-10 Suprime actividad de macrófagos
IL-11 IL-11R; CDw130 Estimula hemopoiesis con IL-3 e IL-4
IL-12 Activa células NK; estimula células Th1
IL-13 IL-13R Estimula células B; inhibe macrófagos
G-CSF G-CSFR Estimula desarrollo de neutrófilos
GM-CSF CDw116 Estimula desarrollo de mielomonocitos
IFN-γ CD119 Activa macrófagos; aumenta expresión de MHC
IFN-α CD118 Antiviral; aumenta expresión de MHC clase I
IFN-β CD118 Antiviral; aumenta expresión de MHC clase I
TNF-α p55; p75; CD120 Inflamación local; activa endotelio
TNF-β p55; p75; CD120 Citotóxico; activa endotelio
MCP-1 Quimiotáctico para macrófagos
RANTES Quimiotáctico para monocitos, eosinófilos y células T
TGF-β Inhibe inflamación y crecimiento celular
MIF Inhibe migración de macrófagos
TABLA 5-4 Algunas citocinas, sus receptores y sus efectos
Encefalomielitis autoinmune
Neuritis autoinmune
Tiroiditis autoinmune
Orquitis y epididimitis autoinmunes
Carditis autoinmune
Uveítis autoinmune
Endoftalmitis autoinmune
Anemia hemolítica autoinmune
Adrenalitis autoinmune
Artritis autoinmune
TABLA 5-5 Algunas enfermedades autoinmunes experimentales
© 2007 Editorial Médica Panamericana, S.A de C.V.
Cisfarm
C5 Inmunopatología 79
Deficiencias de anticuerpos (o de células B)
Hipogammaglobulinemia ligada al sexo
Hipogammaglobulinemia transitoria de la infancia
Inmunodeficiencia común variable
Inmunodeficiencia con hiper-IgM
Deficiencia selectiva de IgA
Deficiencia selectiva de IgM
Deficiencia selectiva de subclases de IgG
Deficiencia secundaria de células B asociada con
drogas o pérdida de proteínas
Deficiencia de 5-nucleotidasa
Deficiencias de células T
Síndrome de Di George
Candidiasis mucocutánea crónica
Deficiencia de nucleósido fosforilasa
Deficiencias combinadas de células B y células T
Deficiencia combinada grave (autosómica recesiva,
ligada al sexo o esporádica)
Síndrome de Nezelof
Ataxia telangiectasia
Síndrome de Wiskott-Aldrich
Timoma
Enanismo de extremidades cortas
Deficiencia de adenosina desaminasa
Síndrome de Kretschmer
Enfermedad de injerto versus huésped
Deficiencias fagocíticas
Enfermedad granulomatosa crónica
Deficiencia de glucosa-6-fosfato deshidrogenasa
Deficiencia de mieloperoxidasa
Síndrome de Chediak-Higashi
Síndrome de Job
Deficiencia de tuftsina
Síndrome del “leucocito perezoso”
IgE elevada, eccema, quimiotaxis deficiente e
infecciones recurrentes
TABLA 5-6 Clasificación de las inmunodeficiencias
Deficiencias de C
Deficiencia de C1, C1r y C1s
Deficiencia de C2
Deficiencia de C3 (tipo I, tipo II)
Deficiencia de C4
Deficiencia de C5
Deficiencia de C6
Deficiencia de C7
Deficiencia de C8
Deficiencia de C9
TABLA 5-6 Continuación
© 2007 Editorial Médica Panamericana, S.A de C.V.
Cisfarm
© 2007 Editorial Médica Panamericana, S.A de C.V.
Cisfarm
6
Patología de las enfermedades
infecciosas
Patología de las enfermedades
infecciosas
Ruy Pérez Tamayo
Cecilia Ridaura Sanz
FIGURA 6-1. Ultraestructura de los macrófagos en la rata. a) Macrófago peritoneal. b) Macrófago alveolar.
(b)
(a)
© 2007 Editorial Médica Panamericana, S.A de C.V.
Cisfarm
82 Patología general
Vacuola fagocítica
Haluro MPO
Halogenación
de proteínas
(microbicida)
NADPH
Receptores
de membrana
O2
H+
O2
H2 H
O 2O
H2O2
NADP
2GSH GSSG
NADPH
NADP
Oxidasa
SOD
MPO
Catalasa GSH - PO
GSSG - RED
HMS
G - 6 - PD
G - 6 - P Pentosa + CO2
HMS
7
1
4
2
3
5 6
7
O2 H2O2 Desgranulación
FIGURA 6-2. Principales vías metabólicas del oxí-
geno en leucocitos polimorfonucleares durante la
explosión respiratoria. 1) Después del estímulo en
la membrana el oxígeno molecular (O2) experimenta
la reducción de un solo electrón a superóxido (O2
−),
reacción catalizada por una oxidasa que utiliza pre-
ferentemente NADPH como sustrato. 2) el O2
− es
reducido más aún por dismutación espontánea a
peróxido de hidrógeno (H2O2). 3) La mieloperoxidasa
(MPO) penetra en las vacuolas fagocíticas donde
puede catalizar reacciones microbicidas utilizando
como sustrato H2O2 e iones haluro; estas reacciones
pueden conducir a la halogenación de proteínas celu-
lares y bacterianas. 4) El O2 que escapa de la vacuola
fagocítica es reducido a peróxido (H2O2) con mayor
velocidad por la enzima superóxido dismutasa (SOD).
5) El H2O2 es reducido por la catalasa a O2 + H2O. 6)
La enzima glutatión peroxidasa cataliza la oxidación
del GSH por H2O2; la glutatión reductasa (GSH- RED)
utiliza el NADPH generado por oxidación de la glucosa
en el “shunt” de los monofosfato de hexosas (HMS).
(Tomado de Root RK, Cohen MS. Rev Infect Dis 3:565.
1981.)
© 2007 Editorial Médica Panamericana, S.A de C.V.
Cisfarm
C6 Patología de las enfermedades infecciosas 83
FIGURA 6-3. Penetración del epitelio superficial del ciego del cobayo por dos trofozoítos de Entamoeba histolytica. (Cortesía del Dr. Adolfo Martínez Palomo.)
© 2007 Editorial Médica Panamericana, S.A de C.V.
Cisfarm
84 Patología general
FIGURA 6-4. Esquema de la estructura del lipopolisacárido con sus tres regiones principales: lípido A, núcleos y antígeno “O”. Nótese la posición clave del KDO (2-ceto-3-desoxioctonato)
como eslabón entre el lípido A y los polisacáridos. El KDO está unido por un enlace cetoácido a residuos de glucosamina del lípido A. (Tomado de Braude Al y cols. Microbiología clínica.
Buenos Aires. Editorial Médica Panamericana. 1984.)
KDO
Lípido
A
Núcleo
interior
Núcleo
exterior
Polisacárido
del núcleo
Unidades repetitivas de cadenas
laterales antigénicas “()”
© 2007 Editorial Médica Panamericana, S.A de C.V.
Cisfarm
C6 Patología de las enfermedades infecciosas 85
FIGURA 6-5. Glomérulos de un paciente fallecido con coa-
gulación vascular diseminada; numerosos capilares están
obstruidos por trombos de fibrina.
© 2007 Editorial Médica Panamericana, S.A de C.V.
Cisfarm
86 Patología general
FIGURA 6-6. a)Cortehistológicoconneumoníanecrosanteconcoloniasbacterianas
porStaphylococcusHElOX.b)Coloniasbacterianasdecocosgrampositivos.Tinciónde
Gram 40x.
(b)
(a)
© 2007 Editorial Médica Panamericana, S.A de C.V.
Cisfarm
C6 Patología de las enfermedades infecciosas 87
FIGURA 6-7. a) Abscesos miocárdicos. b) Pericarditis purulenta. Ambos son producidos por infección sisté-
mica por Staphylococcus aureus.
(a)
(b)
© 2007 Editorial Médica Panamericana, S.A de C.V.
Cisfarm
88 Patología general
FIGURA 6-8. Meningitis aguda purulenta por neumococo. Espacio subaracnoideo ocupado por exudado con trombosis de las venas cerebrales corticales.
© 2007 Editorial Médica Panamericana, S.A de C.V.
Cisfarm
C6 Patología de las enfermedades infecciosas 89
FIGURA 6-9. a) Neumonía por Klebsiella pneumoniae que muestra polimorfonu-
cleares y macrófagos en el interior de un alveolo, rodeados por un material mucoide
basófilo. HE 40x. b) Mismo corte teñido con tinción de Warthin Starry que muestra
bacilos intracelulares. WS 40x.
(b)
(a)
© 2007 Editorial Médica Panamericana, S.A de C.V.
Cisfarm
90 Patología general
FIGURA 6-10. Escleroma. a) Laringe abierta por su cara posterior con
la mucosa despulida y ulcerada. b) Aspecto microscópico con hiperpla-
sia epitelial e infiltrado inflamatorio en la submucosa con linfocitos y
células plasmáticas. c) Tinción de Warthin Starry que muestra células
vacuoladas con bacilos cortos y anchos en el interior y alrededor de
las mismas.
(b)
(c)
(a)
© 2007 Editorial Médica Panamericana, S.A de C.V.
Cisfarm
C6 Patología de las enfermedades infecciosas 91
FIGURA 6-11. Pseudomonas aeruginosa. a) Mucosa intestinal con úlceras bien cir-
cunscritas con un centro necrótico rodeadas por un halo hemorrágico. b) Vasculitis
necrosante con destrucción de la pared y numerosos bacilos gramnegativos (rojos).
Tinción de Gram 40x.
(b)
(a)
© 2007 Editorial Médica Panamericana, S.A de C.V.
Cisfarm
92 Patología general
FIGURA 6-12. a) Lesión gomosa en el parénquima pulmonar en un caso de sífilis neonatal. b) Neumonía
luética en un caso de sífilis congénita con infiltrados nodulares de linfocitos y células plasmáticas.
(b)
(a)
© 2007 Editorial Médica Panamericana, S.A de C.V.
Cisfarm
C6 Patología de las enfermedades infecciosas 93
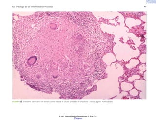
FIGURA 6-13. Granuloma tuberculoso con necrosis central rodeada de células epiteloides en empalizada y células gigantes multinucleadas.
© 2007 Editorial Médica Panamericana, S.A de C.V.
Cisfarm
94 Patología general
FIGURA 6-14. Tuberculosis. a) Tuberculosis pulmonar primaria progresiva con lesión
destructiva de aspecto caseoso en el parénquima del pulmón derecho y en los ganglios
peritraqueales. b) Mal de Pott. Destrucción de las vértebras con colapso de las mismas,
deformidad de la columna y compresión medular. c) Tuberculoma en el tallo cerebral. Masa
ocupativa bien delimitada de aspecto caseoso.
(b)
(c)
(a)
© 2007 Editorial Médica Panamericana, S.A de C.V.
Cisfarm
C6 Patología de las enfermedades infecciosas 95
(d)
(f)
(e)
FIGURA 6-14B. d) Meningitis tuberculosa. Exudado blanquecino en la base
del encéfalo rodeando y ocluyendo las cisternas basales. e) Tuberculosis intes-
tinal con lesiones ulceradas en la mucosa del ileon. f) Adenitis mesentérica con
necrosis caseosa.
© 2007 Editorial Médica Panamericana, S.A de C.V.
Cisfarm
96 Patología general
FIGURA 6-15. Bloque visceral con hepatomegalia y esplenomegalia de un caso de
tuberculosis neonatal con diseminación miliar generalizada con lesiones pequeñas
nodulares en la superficie pleural en el hígado y en el bazo.
© 2007 Editorial Médica Panamericana, S.A de C.V.
Cisfarm
C6 Patología de las enfermedades infecciosas 97
FIGURA 6-16. a) Candidiasis esofágica superficial con extensa necrosis. b) Numerosas levaduras inva-
diendo el espesor de la mucosa. PASlOx.
(b)
(a)
© 2007 Editorial Médica Panamericana, S.A de C.V.
Cisfarm
98 Patología general
FIGURA 6-17. Granuloma con fragmentos de hifas de Candida en el interior de una célula gigante en un caso de enfermedad granulomatosa de la infancia.
© 2007 Editorial Médica Panamericana, S.A de C.V.
Cisfarm
C6 Patología de las enfermedades infecciosas 99
FIGURA 6-18. Invasión de la glándula tiroides en un caso de candidiasis sistémica invasora.
© 2007 Editorial Médica Panamericana, S.A de C.V.
Cisfarm
100 Patología general
FIGURA 6-19. Hifas cortas y anchas de la infección por Mucor.
© 2007 Editorial Médica Panamericana, S.A de C.V.
Cisfarm
C6 Patología de las enfermedades infecciosas 101
FIGURA 6-20. a) Hifas delgadas y ramificadas en ángulo agudo de Aspergillus. b)
Conidióforos con la vesícula y las conidias en forma de rayos.
(b)
(a)
© 2007 Editorial Médica Panamericana, S.A de C.V.
Cisfarm
102 Patología general
FIGURA 6-21. a) Meningitis granulomatosa por Coccidiodes inmitis. Esférulas
facogitadas por células gigantes (HE). b) Tinción de Grocott que revela la cápsula
positiva a la tinción de plata.
(b)
(a)
© 2007 Editorial Médica Panamericana, S.A de C.V.
Cisfarm
C6 Patología de las enfermedades infecciosas 103
FIGURA 6-22. Histoplasmosis con numerosos esporas en el interior de una célula
gigante. a) Tinción de PAS. b) Tinción de plata metenamina.
(b)
(a)
© 2007 Editorial Médica Panamericana, S.A de C.V.
Cisfarm
104 Patología general
FIGURA 6-23. Criptococo teñido con azul alciano que muestra las estructuras esféricas y la cápsula con material mucoide.
© 2007 Editorial Médica Panamericana, S.A de C.V.
Cisfarm
C6 Patología de las enfermedades infecciosas 105
FIGURA 6-24. Sarampión. a) Célula multinucleada en el epitelio bronquiolar; los núcleos contienen una inclusión eosinófila rodeada de un halo claro. b) Neumonía de células gigantes en un
lactante desnutrido. c) Hepatitis con hepatocitos multinucleados con inclusiones. d) Adenitis reactiva con hiperplasia de centros germinales y policariones (células gigantes multinucleadas
de Warthin Finkeldey).
(c)
(a)
(d)
(b)
© 2007 Editorial Médica Panamericana, S.A de C.V.
Cisfarm
106 Patología general
FIGURA 6-25. lnfección por Herpes naricela. Célula multinucleada con inclusiones eosinófilas en el núcleo con un halo claro.
© 2007 Editorial Médica Panamericana, S.A de C.V.
Cisfarm
C6 Patología de las enfermedades infecciosas 107
FIGURA 6-26. a) Neumonía por citomegalovirus: numerosas células que revisten
alveolos están aumentadas de tamaño y tienen inclusiones basófilas intranucleares.
b) Efecto citopático característico de la infección por citomegalovirus con inclusión
basófila en el núcleo con un halo claro (ojo de búho) y varias inclusiones basófilas
en el citoplasma.
(b)
(a)
© 2007 Editorial Médica Panamericana, S.A de C.V.
Cisfarm
108 Patología general
FIGURA 6-27. a) Atrofia extrema del timo en un caso de SIDA pediátrico comparado con (b) un timo normal para esa edad.
(b)
(a)
© 2007 Editorial Médica Panamericana, S.A de C.V.
Cisfarm
C6 Patología de las enfermedades infecciosas 109
FIGURA 6-28. Timo de un lactante con SIDA con muy escasos linfocitos y
ausencia de corpúsculos de Hassall con la misma morfología que la observada
en casos de inmunodeficiencias primarias con displasia tímica. Compárese con
la histología normal.
(a)
(b)
© 2007 Editorial Médica Panamericana, S.A de C.V.
Cisfarm
110 Patología general
FIGURA 6-29. a) Adenopatía del SIDA con hiperplasia de centros germinales y
células binucleadas. b) Proliferación vascular de vasos pequeños y ramificados.
Inmunohistoquímica con factor VIII.
(b)
(a)
© 2007 Editorial Médica Panamericana, S.A de C.V.
Cisfarm
C6 Patología de las enfermedades infecciosas 111
FIGURA 6-30. Encefalitis por VIH (a) con nódulos microgliales y (b) policariones.
(b)
(a)
© 2007 Editorial Médica Panamericana, S.A de C.V.
Cisfarm
112 Patología general
FIGURA 6-31. a) Vasculitis coronaria en un caso de SIDA que muestra necrosis
fibrinoide de la pared, engrosamiento endotelial e infiltrado inflamatorio mononu-
clear (tinción de Masson). b) Inserto.
(b)
(a)
© 2007 Editorial Médica Panamericana, S.A de C.V.
Cisfarm
C6 Patología de las enfermedades infecciosas 113
FIGURA 6-32. a) Neumonía por Pneumocistis carinii con numerosos organismos en
el interior de los alveolos sin reacción iinflamatoria. b) Tinción de PAS Metenamina
de plata para apreciar los quistes aglutinados.
(b)
(a)
© 2007 Editorial Médica Panamericana, S.A de C.V.
Cisfarm
114 Patología general
FIGURA 6-33. Linfoma de células grandes en un caso de SIDA con afección de los ganglios abdominales.
© 2007 Editorial Médica Panamericana, S.A de C.V.
Cisfarm
C6 Patología de las enfermedades infecciosas 115
1. Mecanismos locales de defensa
A. Mecánicos o físicos
Desecación, temperatura, descamación celular,
secreciones orgánicas (lágrimas, saliva, sudor, etc.), tos
B. Bioquímicos
Ácidos grasos, pH local
C. Biológicos
Lisozima, anticuepos (IgA), complemento, fagocitosis
D. Bacterianos
Competencia metabólica; sustancias antibióticas
2. Mecanismos generales de defensa
A. Anticuerpos
B. Sustancias humorales no específicas
Complemento, B-lisina, interferón, tuftsina
C. Fagocitosis
Sistemas microbicidas dependientes e
independientes de O2
D. Respuesta inmunológica
Amplificación, aumento de la eficiencia y de la
especificidad de la inflamación
TABLA 6-1 Mecanismos de defensa del huésped
I. Inmunidad natural
A. Específica
B. Inespecífica
II. Inmunidad adquirida
A. Específica
B. Inespecífica
1. Activa
a. Natural
b. Artificial
2. Pasiva
a. Natural (congénita)
b. Artificial
TABLA 6-2 Tipos de inmunidad
1. Adherencia al hospedero
2. Penetración en el hospedero
3. Condiciones adecuadas dentro del hospedero
4. Escape de los mecanismos de defensa del hospedero
5. Escape de las acciones iatrogénicas
6. Daño en el hospedero
TABLA 6-3
Los seis pasos necesarios para el establecimiento
de un parásito
PROTEÍNAS COMPUESTOS POLIMOLECULARES
Derivadas de bacterias grampositivas Antígenos O somáticos de bacterias
gramnegativas
Endotoxinas y exotoxinas Endotoxinas
Alta toxicidad No tan tóxicos
Toxicidad específica El efecto no depende del agente causal
Altamente termolábiles Sensibles a bajas temperaturas
Neutralizadas por anticuerpos en Parcialmente neutralizadas por anticuerpos,
proporciones estoiquiométricas aun en presencia de exceso de antígeno
Puede prepararse toxoide No puede prepararse toxoide
TABLA 6-4 Diferencias entre los dos tipos químicos de toxinas bacterianas
© 2007 Editorial Médica Panamericana, S.A de C.V.
Cisfarm
116 Patología general
INFECCIÓN LOCAL (PRIMARIA)
Puerta de entrada
Piel: carbúnculo, absceso subcutáneo, celulitis, artritis y
osteomielitis postcirugía o heridas profundas
Ojo: infección orbitaria profunda, panoftalmitis
Nariz y garganta: sinusitis, absceso periamigdalino,
absceso retrofaríngeo, otitis media (raro), mastoiditis,
bronquitis, neumonía abscedada, empiema
Uretra: cistitis, pielonefritis (rara), absceso prostático
Vagina: cervicitis, salpingitis, absceso pélvico
TABLA 6-6 Patogenia de la infección estafilocócica
I. LOCALES
a. Lesión cutánea: quemaduras, heridas, incisiones
quirúrgicas, enfermedades de la piel
b. Cuerpos extraños: suturas, catéteres, prótesis
cardiovasculares, tapones, clavos óseos, etcétera
II. DEFECTOS EN INMUNIDAD HUMORAL
III. DEFECTOS EN LEUCOCITOS
a. Leucopenia
b. Defecto en quimiotaxis
c. Defecto en fagocitosis
d. Defecto en destrucción bacteriana intracelular
IV. MISCELÁNEOS
a. Diabetes, alcoholismo, uremia, neoplasias,
tratamiento antibiótico prolongado, infección viral
previa, mucoviscidosis
TABLA 6-5
Infección por Staphylococus
Factores predisponentes
ESPECIE GRUPO LANCEFIELD ENFERMEDAD
Piogénico B hemolítico Faringoamigdalitis
Piodermitis
St. pyogenes A Fiebre reumática
Glomerulonefritis
St. agalactiae B Sepsis neonatal
Meningitis
Faringitis
C, G Endocarditis
Neumococo Alfahemolítico
St. pneumoniae
Enterococo D
St. faecalis Endocarditis. Infección urinaria
St. Bovis Endocarditis. Sepsis
Viridans Alfa no tipificado
Alfa no hemolítico (verde) Endocarditis. Caries
TABLA 6-7 Infección por Streptococcus
© 2007 Editorial Médica Panamericana, S.A de C.V.
Cisfarm
C6 Patología de las enfermedades infecciosas 117
TUBERCULOSIS INFANTIL TUBERCULOSIS DEL ADULTO
Tuberculosis primaria progresiva Tuberculosis secundaria
Enfermedad principal Principal o concomitante
Contagio cercano Contagio desconocido
FORMAS ANATOMOCLÍNICAS
Meníngea Pulmonar
Pulmonar Ganglionar
Intestinal Meníngea
TABLA 6-11 Características diferenciales
FORMA ANATOMOCLÍNICA PURA MIXTA TOTAL %
Meníngea 26 52 78 51.3
Pulmonar 17 54 71 46.7
Intestinal 10 17 27 17.7
Tuberculoma (SNC) 4 17 21 13.8
Ósea 1 3 4 2.6
Renal 2 1 3 1.9
Ganglionar 2 — 2 1.3
Adrenal 1 — 1 0.6
Ótica — 1 1 0.6
Miliar generalizada — — 9 5.9
Asintomática — — 8 5.2
TABLA 6-10 Tuberculosis en autopsias. 152 casos (INPed)
Enfermedad sistémica:
Fiebre
Pérdida de peso
Visceromegalia
Alteraciones hematológicas
Infiltrado pulmonar intersticial
Asociada a un padecimiento de base
No se encuentra foco primario evidente
La lesión histológica es multivisceral de la misma edad,
exudativa con pocos granulomas y numerosos bacilos.
Es frecuentemente subdiagnosticada. Mortalidad elevada
TABLA 6-9
Tuberculosis miliar generalizada
Características sobresalientes
TABLA 6-8 Respuesta inmune en tuberculosis
INMUNIDAD CELULAR HIPERSENSIBILIDAD CELULAR
Proliferación
de linfocitos TCD4+
Activación de linfocitos
TCD8+ y células K
Atrae y activa monocitos de la sangre periférica
Linfocitos Th1
Activa macrófagos
Linfocitos Th2
Síntesis de anticuerpos
Producción de citocinas
(FNT, interferón, etc.)
FORMACIÓN
DE CAVERNAS
Y PROLIFERACIÓN
DE BACILOS
Lesión tisular con necrosis caseosa
(bacilos inactivos)
Destruye macrófagos
locales con bacilos
GRANULOMA
Producen enzimas lisonales,
radicales libres, IL2, etc.
MUERTE DE BACILOS
© 2007 Editorial Médica Panamericana, S.A de C.V.
Cisfarm
118 Patología general
Infección aguda (daño directo)
Bronquiolitis
Queratoconjuntivitis
Neumonía de células gigantes
Encefalomielitis
Hepatitis
Enfermedad autoinmune
Encefalopatía tóxica
Neuritis óptica
PolirradicuIoneuritis
Lupus eritematoso (?)
Inmunodeficiencia secundaria
Infección lenta
Panencefalitis esclerosante subaguda
Complicaciones bacterianas
TABLA 6-13
Complicaciones relacionadas con la infección
por virus del sarampión
CASOS %
Pulmón 61 64.2
Hígado 25 26.3
Glándula salival 24 25.2
Tubo digestivo 19 19.5
Riñón 18 18.9
Suprarrenal 11 11.5
Páncreas 9 9.4
Ganglios linfáticos 7 7.3
Sistema nervioso central 7 7.3
Bazo 3 3.1
Corazón 3 3.1
Timo 13 3.1
Hipófisis 2 2.1
Tiroides 2 2.1
Testículo 1 1.05
Faringe y laringe 1 1.05
TABLA 6-14
Infección por citomegalovirus. 95 casos en 3 966
autopsias pediátricas del Instituto Nacional de
Pediatría.
A. Mucocutánea
1. Oral: glositis, estomatitis
2. Genital: vaginitis, balanitis
3. Respiratoria: laringitis, traqueobronquitis
4. Digestivo: esofagitis, enteritis, enfermedad perianal
5. Piel: intertrigo, dermatosis generalizada, dermatitis
del pañal, onicomicosís, paroniquia
6. Candidiasis crónica mucocutánea
B. Sistémica
1. Riñones y vías urinarias
2. Endocarditis
3. Meningitis
4. Candidemia
TABLA 6-12 Infecciones por Candida
© 2007 Editorial Médica Panamericana, S.A de C.V.
Cisfarm
C6 Patología de las enfermedades infecciosas 119
Patología primaria 22 casos
Encefalopatía 16
Linfadenopatía 16
Nefritis intersticial 1
Glomerulonefritis 1
Arteriopatía coronaria 1
Infecciones oportunistas 30 casos
Bacterianas 19
Citomegalovirus 12
Cándida 8
Pneumocistis carinii 6
Herpes varicela 5
Histoplasmosis 4
Micobacteria avium intracelulare 2
Sarampión 2
Adenovirus 1
Virus sincicial respiratorio 1
Toxoplasmosis 1
López Corella E. y cols. Instituto Nacional de Pediatría.
TABLA 6-15
Patología de SIDA en niños en 30 autopsias
(1986-2000)
© 2007 Editorial Médica Panamericana, S.A de C.V.
Cisfarm
© 2007 Editorial Médica Panamericana, S.A de C.V.
Cisfarm
7
Patología general
de la circulación
Ruy Pérez Tamayo
Patología general
de la circulación
FIGURA 7-1. Lesión de la célula endotelial
causada por O2 en el pulmón. Ultraestructura
de parte de la pared de un capilar expuesto
durante 48 horas a una atmósfera con 73%
de O2. La célula endotelial se desprendió de
la membrana basal y varios eritrocitos ocu-
pan el espacio creado de esa manera; hay
otros eritrocitos en el espacio intersticial del
tabique alveolar.
© 2007 Editorial Médica Panamericana, S.A de C.V.
Cisfarm
122 Patología general
FIGURA 7-2. Poliarteritis nodosa. a) Histología de una arteria interlobar renal, con
necrosis fibrinoide de parte de la pared, engrosamiento irregular subendotelial e infil-
tración inflamatoria de la íntima. b) Tinción de fibras elásticas del mismo vaso (corte
seriado) que muestra la interrupción de las fibras a partir de la lesión.
(a)
(b)
© 2007 Editorial Médica Panamericana, S.A de C.V.
Cisfarm
C7 Patología general de la circulación 123
FIGURA 7-3. Aspecto macroscópico de la trombosis. a) Trombo en venas porta y esplénica. b)Gran trombo
intracardiaco, que ocupa la aurícula izquierda. c) Trombo que ocluye la luz de la aorta abdominal, alojado
en un aneurisma fusiforme.
(c)
(a) (b)
© 2007 Editorial Médica Panamericana, S.A de C.V.
Cisfarm
124 Patología general
FIGURA 7-4. La secuencia de la coagulación sanguínea, que puede activarse por la vía extrínseca, por medio de la tromboplastina tisular (triángulo izquierdo) o por la vía intrínseca,
mediante la acción del factor XII (triángulo derecho). Ambas vías encuentran un punto común en la activación del factor X (triángulo central). (Tomado de Hirsh J y cols.: Venous
thromboembolism. Nueva York. Grune & Stratton. 1981.
Pared vascular
lesionada
Prótesis vascular
Endotoxinas
Ag-Ab
ADP
Agregación
plaquetaria
Tromboplastina
textural
Extractos tejido
maligno, mucina,
tripsina
Extractos tejido
maligno, mucina,
tripsina
VII
Ca
Ca
Ca
Ca
FL
X Xa
V
XI
IX IX a
VIII
XII XIIa
XIa
Protrombina
Fib i
F
o
n
e
g
ó
n
i
r brina
Trombina
Fosfolípidos (FL)
© 2007 Editorial Médica Panamericana, S.A de C.V.
Cisfarm
C7 Patología general de la circulación 125
FIGURA 7-5. Trombos arteriales y venosos organizados en el paquete vásculo-nervioso poplí-
© 2007 Editorial Médica Panamericana, S.A de C.V.
Cisfarm
126 Patología general
FIGURA 7-6. Infartos isquémicos. a) Infartos múltiples del bazo, en un caso de endocarditis bacteriana. b) Infarto cerebral antiguo, con colapso del lóbulo temporal.
c) Infarto del miocardio, que afecta al tabique interventricular, d)Infarto antiguo del miocardio, con fibrosis extensa que sustituye a las fibras musculares.
(a)
(b)
(d)
(c)
© 2007 Editorial Médica Panamericana, S.A de C.V.
Cisfarm
C7 Patología general de la circulación 127
FIGURA 7-7. Esquema de los mecanismos compensadores de la hemorragia.
HEMORRAGIA
presión arterial
media
seno
carotídeo
centro
vasomotor
vasos
corazón
vasoconstricción
taquicardia
riñón
renina
adrenalina
suprarrenal
centro
vagal
arco
aórtico
120
60
0
© 2007 Editorial Médica Panamericana, S.A de C.V.
Cisfarm
128 Patología general
FIGURA 7-8. Necrosis tubular renal en un caso de choque hemorrágico. Las células tubulares están descamadas en la luz y muchas no muestran núcleo.
© 2007 Editorial Médica Panamericana, S.A de C.V.
Cisfarm
C7 Patología general de la circulación 129
FIGURA 7-9. Consecuencias de la insuficiencia cardíaca. a) Edema pulmonar. b)
Congestión pasiva crónica del hígado, que toma aspecto de “nuez moscada.”
(a)
(b)
© 2007 Editorial Médica Panamericana, S.A de C.V.
Cisfarm
130 Patología general
I. Arteriopatías degenerativas
A. Aterosclerosis
B. Calcificación de la media (Monckeberg)
C. Necrosis arterial
Medionecrosis quística (Erdheim)
Necrosis tóxica
Necrosis física
Necrosis arteriolar
II. Arteriopatías hiperplásicas o proliferativas
(hipertensivas)
III. Arteriopatías inflamatorias
A. Infecciosas
Sifilítica
Bacteriana
Por plasmodios
Viral
B. Por hipersensibilidad
Poliarteritis nodosa
Asociada al lupus eritematoso
Asociada con esclerodermia y acroesclerosis
Asociada con fiebre reumática
Tromboangeítis obliterante
Arteritis temporal
C. Traumáticas
Químicas
Físicas
D. No determinadas
Púrpura trombocitopénica trombótica
Vasculitis nodular
Arteritis del cayado aórtico
IV. Arteriopatías tromboembólicas primarias
A. Embolia
B. Trombosis in situ
V. Formas combinadas
TABLA 7-1 Clasificación de las arteriopatías.
© 2007 Editorial Médica Panamericana, S.A de C.V.
Cisfarm
8
(b)
(a)
Patología general
de las neoplasias
Ruy Pérez Tamayo
Patricia Alonso de Ruiz
Patología general
de las neoplasias
FIGURA 8-1. Neoplasia con nombre derivado de las células que la forman. a) Hepatoma, aspecto macroscópico. b) Hepatoma, aspecto microscópico.
© 2007 Editorial Médica Panamericana, S.A de C.V.
Cisfarm
132 Patología general
FIGURA 8-2. Ejemplos de neoplasias mixtas. a) Fibroadenoma mamario, con prolifera-
ción de células epiteliales (de los conductos) y de células del estroma (fibroblastos).
b) Carcinosarcoma mamario, en donde tanto los elementos epiteliales como los del
estroma son malignos.
(a)
(b)
© 2007 Editorial Médica Panamericana, S.A de C.V.
Cisfarm
C8 Patología general de las neoplasias 133
FIGURA 8-3. Algunos epónimos de neoplasias. a) Thomas Hodgkin. b) Linfoma de Hodgkin
c) Paul Grawitz. d) Tumor de Grawitz (antes conocido como hipernefroma, hoy como carcinom
renal). e) Max Wilms. f) Tumor de Wilms (nefroblastoma).
(b)
(f)
(e)
(a)
(d)
(c)
© 2007 Editorial Médica Panamericana, S.A de C.V.
Cisfarm
134 Patología general
FIGURA 8-4. Esquema de la iniciación y la promoción, según la hipótesis del “fenómeno infrecuente” y la selección clonal. Aun cuando sólo se incluyen tres tipos de células iniciadas ( ,
y ) es posible que puedan inducirse muchos más por una sola dosis iniciadora de un carcinógeno. (Tomado de Farber E. Am J Pathol 106:271. 1982.)
Carcinógeno
activado
Carcinógeno
activado
Fenómeno
infrecuente
Fenómeno
infrecuente
Recuperación
Diferencial
Prolif. Celular
+
Inhibición
Diferencial
Prolif. Celular
+
Estimulación
Diferencial
Prolif.
Celular
1 2
n
ó
i
c
o
m
o
r
P
n
ó
i
c
a
i
c
i
n
I
© 2007 Editorial Médica Panamericana, S.A de C.V.
Cisfarm
C8 Patología general de las neoplasias 135
FIGURA 8-5. Tamaño de las neoplasias. Carcinoma medular del tiroides de 0.8 cm de diámetro, que ya mostraba metástasis ganglionares.
© 2007 Editorial Médica Panamericana, S.A de C.V.
Cisfarm
136 Patología general
FIGURA 8-6. Tamaño de las neoplasias. Cistosarcoma phyllodes de glándula mamaria, que
pesó 12 kg.
© 2007 Editorial Médica Panamericana, S.A de C.V.
Cisfarm
C8 Patología general de las neoplasias 137
FIGURA 8-7. Necrosis de las neoplasias. Superficie fungante en un cystosarcoma phyllodes mamario.
© 2007 Editorial Médica Panamericana, S.A de C.V.
Cisfarm
138 Patología general
FIGURA 8-8. Superficie de las neoplasias. a) Superficie lisa y ulcerada en un tumor maligno de
células gigantes. b) Ulceración extensa en un carcinoma basocelular facial. c) Superficie vellosa
o papilar en un cistadenocarcinoma del ovario.
(c)
(b)
(a)
© 2007 Editorial Médica Panamericana, S.A de C.V.
Cisfarm
C8 Patología general de las neoplasias 139
FIGURA 8-9. Diferenciación celular en los tumores. a) Carcinoma epidermoide de
piel con formación de queratina. b) Adenocarcinoma de colon poco diferenciado, con
células en anillo de sello que producen moco pero no lo secretan.
(b)
(a)
© 2007 Editorial Médica Panamericana, S.A de C.V.
Cisfarm
140 Patología general
FIGURA 8-10. Mitosis atípicas en una neoplasia maligna.
© 2007 Editorial Médica Panamericana, S.A de C.V.
Cisfarm
C8 Patología general de las neoplasias 141
FIGURA 8-11. Reacción desmoplástica intensa en un carcinoma poco diferenciado de la mama.
© 2007 Editorial Médica Panamericana, S.A de C.V.
Cisfarm
142 Patología general
FIGURA 8-12. Células en “anillo de sello” invadiendo la mucosa del colon. El citoplasma está intensamente teñido de azul para revelar la presencia de moco que ocupa todo el citoplas-
ma.
© 2007 Editorial Médica Panamericana, S.A de C.V.
Cisfarm
C8 Patología general de las neoplasias 143
FIGURA 8-13. Invasión vascular. a) Invasión de una vena por un carcinoma renal. b) Invasión de
una vena intrahepática por un hepatoma.
(b)
(a)
© 2007 Editorial Médica Panamericana, S.A de C.V.
Cisfarm
144 Patología general
FIGURA 8-14. La “escalera” de las metástasis. (Tomado de Poste G, Fidier IJ. Nature 283:139.
NEOPLASIA
PRIMITIVA
METÁSTASIS
ASCENSO DE LA ESCALERA DE LA METÁSTASIS
10.
9.
8. EXTRAVASACIÓN
EVASIÓN
Y PROLIFERACIÓN
7. DETENCIÓN
6.
5.
4.
3.
2. VASCULARIZACIÓN
1. PROLIFERACIÓN PROGRESIVA
INVASIÓN Y DESPRENDIMIENTO
EMBOLIA Y SUPERVIVENCIA
© 2007 Editorial Médica Panamericana, S.A de C.V.
Cisfarm
C8 Patología general de las neoplasias 145
FIGURA 8-15. Metástasis de un carcinoma mamario en un ganglio linfático.
© 2007 Editorial Médica Panamericana, S.A de C.V.
Cisfarm
146 Patología general
FIGURA 8-16. Metástasis de un carcinoma mamario en a) hígado, b) pulmones.
(b)
(a)
© 2007 Editorial Médica Panamericana, S.A de C.V.
Cisfarm
C8 Patología general de las neoplasias 147
FIGURA 8-17. Carcinomatosis peritoneal secundaria a un carcinoma del ovario.
© 2007 Editorial Médica Panamericana, S.A de C.V.
Cisfarm
148 Patología general
FIGURA 8-18. Citología exfoliativa. Carcinoma epidermoide in situ. Tinción de Papanicolaou.
© 2007 Editorial Médica Panamericana, S.A de C.V.
Cisfarm
C8 Patología general de las neoplasias 149
FIGURA 8-19. Citología exfoliativa. Impronta de linfoma de Hodgkin. Tinción de Giemsa.
© 2007 Editorial Médica Panamericana, S.A de C.V.
Cisfarm
150 Patología general
TEJIDO DE ORIGEN BENIGNAS MALIGNAS
Epitelio de revestimiento Papiloma Carcinoma
Epitelio glandular Adenoma Adenocarcinoma
Trofoblasto Mola hidatiforme Coriocarcinoma
Tejido fibroso Fibroma Fibrosarcoma
Tejido adiposo Lipoma Liposarcoma
Músculo liso Leiomioma Leiomiosarcoma
Músculo estriado Rabdomioma Rabdomiosarcoma
Cartílago Condroma Condrosarcoma
Hueso Osteoma Osteosarcoma
Notocorda Cordoma Cordoma
Vasos sanguíneos Hemangioma Hemangiosarcoma
Vasos linfáticos Linfangioma Linfangiosarcoma
Glomo Tumor glómico Hemangiopericitoma
Linfoide Linfoma benigno Linfoma maligno
Mesotelio Mesotelioma Mesotelioma maligno
Sinovial Sinovioma Sarcoma sinovial
Nervios periféricos Neuroma Neurosarcoma
Vainas nerviosas Neurilemoma, fibroma Sarcoma neurogénico
Glía Glioma Glioma o glioblastoma
Neuronas Ganglioneuroma Neuroblastoma
Células pigmentadas Nevo Melanoma
Médula adrenal Feocromocitoma Feocromocitoma
Células pluripotenciales Teratoma, tumor mixto Teratoma, tumor mixto
TABLA 8-2 Clasificación y nomenclatura de algunas neoplasias.
BENIGNOS MALIGNOS
Encapsulados No encapsulados
Se conservan bien Necrosis y hemorragias frecuentes
No invasivos Invasivos
Bien diferenciados citológicamente Poco diferenciados citológicamente
Mitosis infrecuentes y normales Mitosis numerosas y atípicas
Crecimiento lento Crecimiento rápido
No producen metástasis Producen metástasis
TABLA 8-1 Diferencias entre tumores benignos y malignos.
© 2007 Editorial Médica Panamericana, S.A de C.V.
Cisfarm
C8 Patología general de las neoplasias 151
REQUIEREN TRANSFORMACIÓN METABÓLICA
(PROCARCINÓGENOS) CARCINÓGENOS DIRECTOS
Sintéticos Agentes alquilantes
7,12-dimetilbenzoantraceno Mostaza de uracilo
N-metil-4-aminoazobenceno N-estearoiletilenamina
Tetracloruro de carbono 1,4-dimetanosulfonóxidobutano
Etionina 1 -etilenóxido-3,4-epoxiciclohexano-propiolactona
2-metilaminofenoceno Propanosulfona
Dimetilnitrosamina Iones electrofílicos
Etil carbamato (uretano) Berilio
Naturales Cadmio
Alcaloides de la pirrolizidina (senecio, Cobre
crotalaria, heliotropo) Cobalto
Cicasina Níquel
Afiatoxina B Plomo
Safacol
TABLA 8-3 Algunos carcinógenos químicos.
© 2007 Editorial Médica Panamericana, S.A de C.V.
Cisfarm
152 Patología general
AGENTE O CIRCUNSTANCIA EXPOSICIÓN LOCALIZACIÓN DEL CÁNCER
PROFESIONAL MÉDICA SOCIAL
Aflatoxina + Hígado
Bebidas alcohólicas + Boca, faringe, laringe, esófago,
hígado
Agentes alquilantes
Ciclofosfamida + Vejiga
Melfalán + Médula ósea
Aminas aromáticas
4-aminodifenil + Vejiga
Benzidina + Vejiga
2-naftilamina + Vejiga
Arsénico§ + + Piel, pulmón
Asbesto + Pulmón, pIeura, peritoneo
Benceno + Médula ósea
Bis (clorometil) éter + Pulmón
Bisulfán + Médula ósea
Cadmio§ + Próstata
Betel, tabaco, cal (mascado) + Boca
Cromo§ + Pulmón
Clornafazina + Vejiga
Fabricación de muebles
(madera dura) + Senos nasales
Drogas inmunosupresoras + Sistema reticuloendotelial
Radiaciones ionizantes + + Médula ósea y probablemente
todos los demás sitios
Elaboración de alcohol isopropílico + Senos nasales
Fabricación de artículos de cuero + Senos nasales
Gas mostaza + Laringe, pulmón
Níquel§ + Senos nasales, pulmón
Estrógenos
Sin antagonismo + Endometrio
Transplacentarios (DES) + Vagina
Hiperalimentación (causa de obesidad) + Endometrio, vesícula biliar
Fenacetina Riñón (pelvis)
Hidrocarburos policíclicos + + Piel, escroto, pulmón
Historia reproductiva
Edad avanzada en el primer embarazo + Mama
Paridad nula o escasa + Ovario
Parásitos
Schistosoma haematobium + Vejiga
Chlonorchis sinensis + Hígado (colangioma)
Promiscuidad sexual + Cuello uterino
TABLA 8-4 Circunstancias y agentes carcinogénicos humanos establecidos.*
© 2007 Editorial Médica Panamericana, S.A de C.V.
Cisfarm
C8 Patología general de las neoplasias 153
Esteroides
Anabólicos (oximetolona) Hígado
Anticonceptivos + Hígado (hamartoma)
Hábito de fumar + Boca, faringe, laringe, pulmón,
esófago, vejiga
Luz UV + + Piel, labio
Cloruro de vinilo + + Hígado (angiosarcoma)
Virus (hepatitis B) + Hígado (hepatoma)
* Ampliado del grupo de trabajo del IARC, 1980.
Este cuadro se limita a las causas firmemente establecidas. Hemos omitido algunos de los determinantes más importantes del cáncer hu-
mano. (Algunos casos limítrofes no permitieron llegar a un acuerdo; p. ej., buscando un equilibrio incluimos el cadmio y excluimos el
berilio.)
Un signo más (+) indica que se ha obtenido prueba de carcinogenicidad.
§ Únicamente algunos compuestos o estados oxidativos.
Por ejemplo, por rayos X, torio, thorotrast, algunos trabajadores en minas subterráneas y otras ocupaciones.
Nota: La exposición profesional a herbicidas del tipo de los fenoxiácidos y clorofenoles (o sus impurezas) es causa bien establecida de sar-
comas de los tejidos blandos y, quizá, de linfomas.
Doll R, Peto R: The causes of caitcer, Nueva York, Oxford Universíty Press, 1981.
TABLA 8-4 Continuación
© 2007 Editorial Médica Panamericana, S.A de C.V.
Cisfarm
154 Patología general
I. Virus de ADN (casi 50 virus diferentes)
A. Virus del grupo papiloma (conejos, perros, va-
cas, otros)
B. Virus del grupo polioma
Virus de polioma murino (Py)
Virus de polioma de simio (SV40)
C. Adenovirus
Adenovirus humanos (31 miembros, de los
que al menos 12 inducen neoplasias en
animales neonatos y transforman células
in vitro)
Adenovirus de simio (6 virus)
Adenovirus aviarios (2 virus)
Adenovirus bovino
D. Virus herpes
Linfoma de Burkitt*
Carcinoma de Lucké*
Enfermedad de Marek*
II. Virus de ARN (cerca de 100 virus)
A. Virus de leucemias y sarcomas aviarios (>20
virus)
B. Virus de leucemias y sarcomas murinos (número
incierto)
C. Virus de tumor mamario murino (3 virus)
D. Virus de leucemias y sarcomas de gato, hámster,
rata
* Las pruebas sugieren que estas neoplasias se asocian con nue-
vos miembros del grupo de los virus herpes.
TABLA 8-5 Virus oncogénicos.
© 2007 Editorial Médica Panamericana, S.A de C.V.
Cisfarm
C8 Patología general de las neoplasias 155
ÓRGANO NEOPLASIA SECRECIÓN EFECTO
Hipófisis Adenoma o carcinoma Una o varias hormonas Acromegalia
Hiperprolactinemia
Síndrome de Cushing
Síndromes combinados
Paratiroides Adenoma o carcinoma Hormona paratiroidea Hiperparatiroidismo
Tiroides Adenoma o carcinoma Hormona tiroidea Hipertiroidismo
Calcitonina Hipocalcemia
Islotes de Langerhans Adenoma o carcinoma Insulina, gastrina, glucagón, Hiperinsulinismo
otros péptidos
Síndrome de Zollinger-Ellison,
otros síndromes complejos
Médula adrenal Feocromocitoma Adrenalina Hipertensión
Corteza adrenal Adenoma o carcinoma Corticosteroides Síndrome de Cushing
Ovarios Arrenoblastoma
Resto adenocortical Andrógenos Masculinización
Tumor de células hiliares
Tecoma o luteoma Estrógenos Feminización
Tumor de células de la granulosa
Testículos Tumor de células intersticiales Andrógenos Masculinización
TABLA 8-6 Algunas neoplasias funcionales de las glándulas endocrinas.
© 2007 Editorial Médica Panamericana, S.A de C.V.
Cisfarm
156 Patología general
CITOLOGÍA EXFOLIATIVA DE LAS MUCOSAS Y SEROSAS
Citología cérvico vaginal
Citología de líquidos (derrames pleural, pericárdico,
ascítico, orina, líquido cefalorraquídeo, etcétera)
Citología de la expectoración
Biopsia. Aspiracion con aguja fina
Órganos superficiales
Lesiones subcutáneas o cutáneas
Glándulas salivales mayores y menores
Glándula tiroides
Glándula mamaria
Ganglios linfáticos
Órganos profundos
Encéfalo (cirugía estereotáxica)
Mediastino
Pulmón
Hígado
Vesícula biliar
Páncreas
Retroperitoneo
Ganglios linfáticos
TABLA 8-7
Sitios en donde se pueden efectuar estudios
citológicos.
MICROORGANISMOS PATÓGENOS Y NO PATÓGENOS
IDENTIFICADOS POR MEDIO DEL ESTUDIO CITOLÓGICO
Flora fisiológica Bacilo de Dôderlain
Flora patógena Gardnerella
Actinomyces
Chlamydia trachomatis
Hongos Candida spp.
Parásitos Trichomonas
Virus Herpes
Papiloma
Citomegalovirus
TABLA 8-8
Microorganismos identificados por el estudio
citológico.
Citología pulmonar
Expectoración
Cepillado bronquial
Lavado bronquial y bronquioloalveolar
Aspiración transtorácica
TABLA 8-9
Material originado en el pulmón utilizado
para estudios citológicos.
© 2007 Editorial Médica Panamericana, S.A de C.V.
Cisfarm
9
Patologíadelmetabolismo
y la nutrición
Patologíadelmetabolismo
y la nutrición Ruy Pérez Tamayo
Cecilia Ridaura Sanz
FIGURA 9-1. Metabolismo de la fenilalanina. En el esquema
se indican las enzimas que participan y las diferentes enferme-
dades provocadas por su deficiencia.
NH2
CH2
C
OH
COOH
Fenilalanina
hidroxilasa
Ácido
p-hidroxifenilpirúvico
Ácido
homogentísico
Ácido
maleildiacético
Ácido
p-hidroxifenil-
pirúvico
oxidasa
Tirosina
3,4-hidroxi-
fenilalanina
H
NH2
CH2
C H
O
O
C
H
O
O
C
Tirosinasa
Homogenticasa
H
CH
OH
C
COOH
COOH
COOH
CH2
H2
C
O
OH
OH
CH2
C
D O P A
COOH
NH2
C
O
C
O
H
C
Fenilcetonuria
Tirosinosis
Alcaptonuria
Albinismo
© 2007 Editorial Médica Panamericana, S.A de C.V.
Cisfarm
158 Patología general
FIGURA 9-2. Mecanismo bioquímico de las principales manifestaciones clínicas provocadas por la deficiencia de fenilalanina hidroxilasa.
C
Fenilalanina
Deficiencia
de fenilalanina
hidroxilasa
o
m
s
i
l
o
b
a
t
e
m
l
e
d
n
ó
i
c
i
b
i
h
n
I
o
c
i
v
ú
r
i
p
l
i
n
e
f
o
d
i
c
Á
de la tirosina
Reducción de la
conversión de
tirosina → adrenalina
Reducción de la
conversión de
tirosina → melanina
Reducción de la
adrenalina plasmática
Cabello rubio
ojos azules
Lesiones del sistema
nervioso central
Convulsiones
Ácido
fenilacético
Ácido
fenilacético
Retardo
mental
Cambios
en el EEG
fenilacetilglutamina
NH2 COOH
H
CH2
C
NH2 COOH
H
Tirosina
CH2
OH
© 2007 Editorial Médica Panamericana, S.A de C.V.
Cisfarm
C9 Patología del metabolismo y la nutrición 159
FIGURA 9-3. Sitio del bloqueo metabólico en la
enfermedad de la orina en jarabe de arce, que afecta
el catabolismo de los aminoácidos de cadena rami-
ficada.
C
NH2 COOH
H
CH
Isoleucina
CH2
CH3
C
NH2 COOH
H
CH2
Leucina
CH3
CH3
CH
NH2
CO2
O2
C O
H
R
R
COOH
C COOH
O
R
C
NH2 COOH
H
CH
Valina
CH3
CH3
CoA
NADP
© 2007 Editorial Médica Panamericana, S.A de C.V.
Cisfarm
160 Patología general
FIGURA 9-4. El ciclo de la urea. En el esquema la membrana interna de las mitocondrias está representada por las líneas verticales paralelas. Las enzimas que catalizan cada uno de los
pasos señalados son: 1. carbamil fosfato sintetasa; 2, ornitina transcarbamilasa; 3, arginosuccinato sintetasa; 4, arginosuccinato deshidrogenasa; 5, arginasa; 6, transportadora de ornitina.
NH2C NH2
Urea
O
6
5
2
1
Arginina
a
n
i
t
i
n
r
O
a
n
i
t
i
n
r
O
Matriz
Membrana
interna
Citosol
Arginino
succinato AMP
PPI Aspartato
Citrulina
Citrulina
Carbamil
2 ATP
2 ADP + PI
NH3
2PI
ATP
Fumarato
4
6
3
CO2
P
© 2007 Editorial Médica Panamericana, S.A de C.V.
Cisfarm
C9 Patología del metabolismo y la nutrición 161
FIGURA 9-5. Esquema del metabolismo del glucógeno, que incluye las enzimas que catalizan los distintos pasos de síntesis y degradación y las 10 variantes conocidas de glucogenosis.
Amilo
(1,4 → 1,6)
transglucosidasa
(ramificadora)
Glucógeno sintetasa
Fosfoglucomutasa
Glucosa-1-fosfato
Glucosa-6-fosfato
α 1,4-glucosidasa
Glucosa-6-fosfato
Glucosa
Glucoquinasa
Glucosa-1-fosfatasa
AMILO-1,6-fosfatasa
Glucosa-6-fosfatasa
Glucógeno ramificado
Glucógeno desramificado
Glucógeno
Fosforilasa
Tipo
IV
Tipo
VII
Tipo
VI
Tipo
V
Tipo
II
Tipo
I
Tipo
III
Fosfoglucomutasa
© 2007 Editorial Médica Panamericana, S.A de C.V.
Cisfarm
162 Patología general
FIGURA 9-6. Aspecto microscó-
pico del hígado en la enfermedad
de Von Gierke (glucogenosis tipo
I). Los hepatocitos están aumen-
tados de tamaño, tienen la mem-
brana celular bien definida y el
citoplasma aparentemente vacío.
© 2007 Editorial Médica Panamericana, S.A de C.V.
Cisfarm
C9 Patología del metabolismo y la nutrición 163
FIGURA 9-7. Esquema de la digestión y absorción de los carbohidratos en el ser humano.
Intraluminal
Almidón
60%
Glucosa
60%
Glucosa
5%
Galatosa
5%
Lactosa
10%
Sacarosa
30%
Maltotriosa
Maltosa
α-dextrinas
α-amilasa
Maltasa
Transporte
activo
Transporte
activo
PL
Maltasa
α-dextrinasa
Intestinal
Transporte celular
Chapa estriada
Lactasa
PL
Transporte
activo
PL
Difusión
facilitada
PL
Fructosa
15%
Glucosa
15%
Sacarasa
© 2007 Editorial Médica Panamericana, S.A de C.V.
Cisfarm
164 Patología general
FIGURA 9-8. Parte del citoplas-
ma de una célula de Gaucher, con
vesículas irregulares que contie-
nen estructuras tubulares finas.
© 2007 Editorial Médica Panamericana, S.A de C.V.
Cisfarm
C9 Patología del metabolismo y la nutrición 165
FIGURA 9-9. Dramático aspecto de un paciente con porfiria congénita (enfermedad de Günther) con graves lesiones de la piel expuesta al sol.
© 2007 Editorial Médica Panamericana, S.A de C.V.
Cisfarm
166 Patología general
FIGURA 9-10. Aspecto histológico de un tofo. Los depósitos de urato en los tejidos estimulan una reacción inflamatoria de cuerpo extraño, con células gigantes que se agrupan alrrededor
de los cristales.
© 2007 Editorial Médica Panamericana, S.A de C.V.
Cisfarm
C9 Patología del metabolismo y la nutrición 167
FIGURA 9-11. Histología de algunos cambios tisulares en la diabetes mellitas. a)Hialinización de un islote de Langerhans. b) y c) depósitos nodulares y difusos de material hialino en glo-
mérulos renales (lesión de Kimmelstiel-Wilson).
(b)
(a)
(c)
© 2007 Editorial Médica Panamericana, S.A de C.V.
Cisfarm
168 Patología general
FIGURA 9-12. Esquema de las dos fases metabólicas de las sustancias tóxicas.
No toxina
Oxidación OH
Reducción Conjugación
Fase II
No tóxica
COOH
NH
Hidrólisis
Fase I
SH
Toxina
No tóxica
Menos tóxica
Más tóxica
Tóxica
Tóxica
© 2007 Editorial Médica Panamericana, S.A de C.V.
Cisfarm
C9 Patología del metabolismo y la nutrición 169
POR INTERACCIÓN
CON EL MEDIO AMBIENTE CONSTITUCIONALES
Tipos de enfermedades Infecciosas, tóxicas, traumáticas Congénitas y hereditarias; degenerativas;
autoinmunes; neoplásicas
Etiología Conocida Desconocida
Patogenia Conocida Desconocida
Modelos experimentales Adecuados en la mayoría de Sólo unos cuantos
los casos
Diagnóstico Sencillo en la mayoría de los casos Difícil con frecuencia
Tratamiento Conocido y eficiente en la mayoría
de los casos Ineficiente y con frecuencia sólo sintomático
Prevención Posible y con frecuencia efectiva Sólo en muy pocas enfermedades; inefectivo
en la mayoría
TABLA 9-1 Diferencias entre las enfermedades ambientales y las constitucionales.
© 2007 Editorial Médica Panamericana, S.A de C.V.
Cisfarm
170 Patología general
TIPO ENZIMA AFECTADA TEJIDOS AFECTADOS SÍNTOMAS CLÍNICOS
I Glucosa-6-fosfatasa Hígado, riñón, intestino Hepatomegalia y nefromegalia;
detención del crecimiento:
hipoglucemia, acidosis, hiperlipemia
II Glucosidasa lisosómica Todos los órganos Glucogenosis generalizada: enfermedad
de Pompe, glucogenosis cardiaca
III Sistema desramificador Hígado, músculo, corazón Hepatomegalia; lípidos, glucosa, ECG
normales
IV Amilo-1,4→1,6 transglucosilasa Glucógeno anormal generalizado Hepatoesplenomegalia; ascitis; cirrosis;
(“enzima ramificadora”) (amilopectina) insuficiencia hepática
V Fosforilasa muscular Únicamente músculo Debilidad y calambres del músculo
esquelético esquelético con el ejercicio; no hay
aumento del lactato sanguíneo
VI Deficiencia de fosforilasa hepática Hígado Hepatomegalia; bazo normal; no hay
hipoglucemia, lipemia ni acidosis
VII Fosfofructoquinasa Músculo esquelético, eritrocitos Debilidad y calambres del músculo
(no se examinaron otros esquelético con el ejercicio
tejidos)
VIII No hay deficiencia, pero está Hígado, encéfalo, músculo Hepatomegalia, degeneración cerebral
reducida la actividad de esquelético normal
la fosforilasa hepática; el sistema
activador de la fosforilasa
es normal
IX Defecto de la fosforilasa quinasa Hígado únicamente Hepatomegalia; no hay
hepática (la fosforilasa total esplenomegalia, hipoglucemia
es normal pero no está activada) ni acidosis
X Fosforilasa quinasa dependiente Hígado y músculos Hepatomegalia; no hay patología del
del AMPc músculo esquelético ni del corazón
No clasificado: todas las actividades Hígado, o hígado y riñón Hepatomegalia con síndrome
enzimáticas son normales de Fanconi raquitismo resistente a
la vitamina D, intolerancia hereditaria
a la fructosa, etcétera
Modificado de Felig. P. “Disorders of Carbohydrate metabolism.” En Bondy PK, Rosenberg LF (eds.). Metabolic control and disease, 8a. ed.,
pp. 276-392. Filadelfia, WB Saunders Co. 1980.
TABLA 9-2 Anomalías hereditarias del metabolismo del glucógeno.
© 2007 Editorial Médica Panamericana, S.A de C.V.
Cisfarm
C9 Patología del metabolismo y la nutrición 171
TABLA 9-3 Clasificación de las porfirias humanas más importantes.
PRINCIPALES SÍNTOMAS
DE PRESENTACIÓN
EXCRECIÓN DE ALA; PBG,
PORFIRINAS*
CLASIFICACIÓN
Eritropoyéticas
Porfiria eritropo-
yética congénita
Protoporfiria
eritropoyética
Hepáticas
Porfiria intermi-
tente aguda
Coproporfiria
hereditaria
Porfiria variegata
Porfiria cutánea
tardía
ENZIMA DEFICIENTE
Uroporfirina II
cosintasa
Ferroquelatasa
PBG desaminasa
Coproporfirinóge-
no oxidasa
Protoporfirinóge-
no oxidasa o
ferroquelatasa
Uroporfirinógeno
descarboxilasa
HERENCIA
Autosómica
recesiva
Autosómica
dominante
Autosómica
dominante
Autosómica
dominante
Autosómica
dominante
**
* aLA: ácido gamma-aminolevulínico; PBG: porfobilinógeno; Uro: uroporfirina; Copro: coproporfirina; Proto: protoporfirina; Isocopro: isocoproporfirina.
** Se ha documentado herencia autosómica dominante en algunas familias, pero no en otras.
† Isómetros tipo I.
Kappas A, Sassa S, Anderson KE. “The porphyrias.” En Stanbury JB, Wyngaarden JB, Frederickson DS y cols. (eds.). The metabolic basis of inherited disease, 5a.
ed., pp. 1301-1384. Nueva York. McGraw-Hill Book Co.
FOTOSEN-
SIBILIDAD
Presente
(severa)
Presente
Ausente
Presente
Presente
Presente
NEURO-
VISCERALES
Ausentes
Ausentes
Presentes
Presentes
Presentes
Ausentes
AUMENTO
DE PORFIRINAS
EN ERITROCITOS*
Uro†
Copro†
Proto
Ausentes
Ausentes
Ausentes
Ausentes
ORINA
Uro†
Copro†
Ausentes
ALA, PBG
ALA, PBG
copro
ALA, PBG
copro
Uro, 7-carboxi-
lato porfirina
HECES
Copro†
Proto
Copro
Copro
Proto
Isocopro
© 2007 Editorial Médica Panamericana, S.A de C.V.
Cisfarm
172 Patología general
DEFICIENCIAS CONSECUENCIAS INTOXICACIONES
Vitaminas Endógenas: por
Vitamina A Ceguera nocturna, queratomalacia Bilirrubina, cuerpos cetónicos, amoníaco
y xeroftalmía, metaplasia epitelial
Vitamina D Raquitismo y osteomalacia Exógenas: por
Vitamina E a. Sustancias químicas
Vitamina K Hipoprotrombinemia Sustancias orgánicas no terapéuticas (alcoholes,
fenoles, benceno, etc.)
Vitamina C Escorbuto
Vitamina B1 Beriberi
Riboflavina Queilosis, glositis, dermatitis Sustancias inorgánicas no terapéuticas
(CN, Hg2, As, etc.)
Nicotinamida Pelagra
Vitamina B12 Anemia perniciosa
Elementos Sustancias terapéuticas (barbitúricos, sales mercuriales,
Yodo sulfonamidas, antibióticos, anestésicos, etc.)
Calcio
Hierro b. Toxinas bacterianas
Cobre
Manganeso
Zinc
Combinadas
TABLA 9-4 Alteraciones metabólicas adquiridas.
© 2007 Editorial Médica Panamericana, S.A de C.V.
Cisfarm
C9 Patología del metabolismo y la nutrición 173
BIOLÓGICAS QUÍMICAS
Traslación de membrana Ionización
Capacidad de reserva funcional Solubilidad en lípidos
Acumulación de drogas en el organismo Acción química no específica
Tolerancia Biotransformaciones
Acción química específica No sintéticas (oxidación, reducción, hidrólisis)
Falta de susceptibilidad Sintéticas (conjugaciones)
Inmunidad (hipersensibilidad)
Determinantes genéticas
Especie
Edad
Sexo
Lesiones anteriores
Dieta
TABLA 9-5 Algunas determinantes de la toxicidad.
CIRCULATORIAS METABÓLICAS SANGUÍNEAS
Taquicardia Glucogenólisis hepática Aumento de plaquetas y fibrinógeno
Aumento del volumen Hiperglucemia Disminución del tiempo
minuto cardiaco de protrombina
Vasoconstricción Aumento del consumo de O2 Coagulación acelerada
generalizada
Contracción esplénica Reducción de colesterol y Leucocitosis
vitamina C en las adrenales
Hipertensión Aumento de corticoesteroides Eritrosedimentación acelerada y
en la orina formación de “rouleaux”
Hipoferremia
Fibrinólisis
Eosinopenia
TABLA 9-6 Alteraciones del organismo en la primera fase de la respuesta metabólica a la agresión.
© 2007 Editorial Médica Panamericana, S.A de C.V.
Cisfarm
174 Patología general
CIRCULATORIAS METABÓLICAS HIDROELECTROLÍTICAS
Taquicardia Hipotermia Retención de agua
Reducción del volumen Anoxia Retención de Na y Cl
minuto cardiaco
Vasconstricción generalizada Acidosis metabólica Pérdida renal de K
Hipotensión Reducción del consumo de O2 Oliguria
Baja presión auricular derecha Reducción de la producción de energía Hemodilución
Hipovolemia Hipoglucemia
Hiperaminoacedemia
TABLA 9-7 Alteraciones del organismo en la segunda fase de la respuesta metabólica a la agresión.
TABLA 9-8 Alteraciones del organismo en la tercera fase de la respuesta metabólica a la agresión.
HIDROELECTROLÍTICAS
Retención de agua
Retención de Na y Cl
Pérdida renal de K,
azufre, fosfato
Oliguria
METABÓLICAS
Fiebre
Aumento del consumo de O2
Balance nitrogenado
negativo
Disminución ponderal
Hiperglucemia
Aumento de corticosteroides
urinarios
Retención de ácido ascórbico
SANGUÍNEAS
Eosinopenia
Leucocitosis
Hipoalbuminemia
Hiperglobulinemia
Aumento del
fibrinógeno
CIRCULATORIAS
Taquicardia
Normotensión
Volumen minuto
cardiaco normal
I. Por interferencia en el consumo de alimento
A. Disminución del apetito; enfermedad infecciosa, enfermedad cardiaca, cirugía
y anestesia, dolor y drogas usadas para su tratamiento, deficiencia de tiamina,
alcohol
B. Enfermedad gastrointestinal; úlcera péptica, diarrea, enfermedad biliar y hepática,
gastroenteritis aguda, lesiones obstructivas
C. Enfermedades traumáticas y neurológicas que interfieren en la capacidad de
alimentarse por sí mismo
D. Trastornos neuropsiquiátricos: neurosis, psicosis, migraña
E. Embarazo, anorexia y vómitos
F. Alergia alimentaria
TABLA 9-9 Factores que pueden producir desnutrición.
© 2007 Editorial Médica Panamericana, S.A de C.V.
Cisfarm
C9 Patología del metabolismo y la nutrición 175
G. Terapéutica: drogas que causan anorexia, dietas con restricción de ciertos
alimentos esenciales
II. Por aumento de la destrucción
A. En el aparato digestivo: aclorhidria, terapéutica con alcálisis
B. Después de la absorción; metales pesados, trinitrotolueno, sulfonamidas
III. Por interferencia de la absorción
A. Ausencia de secreciones digestivas normales; aclorhidria, ictericia obstructiva,
aquilia pancreática, resección gástrica.
B. Hipermotilidad intestinal: colitis ulcerosa, disentería bacilar y amebiana, otras
enfermedades diarreicas
C. Reducción de la superficie absortiva efectiva: resecciones intestinales,
operaciones derivativas del intestino, enteropatías
D. Alteraciones del mecanismo intrínseco de la absorción: esprue, deficiencias
vitamínicas
E. Drogas que impiden la absorción: vaselina, cartárticos drásticos, absorbentes
coloidales
IV. Por interferencia en la utilización o acumulación
A. Alteraciones de la función hepática: en hepatitis, cirrosis, diabetes no controlada,
alcoholismo
B. Hipotiroidismo
C. Neoplasia del aparato digestivo
D. Terapéutica: sulfonamidas, radioterapia
V. Por aumento de la excreción o pérdida
A. Lactancia
B. Pérdida en exudados serosos, como en las quemaduras graves
C. Glucosuria y albuminuria
D. Hemorragia aguda o crónica
VI. Por aumento de los requerimientos nutritivos
A. Aumento de la actividad física: ejercicio intenso, delirio, algunas psicosis
B. Periodos de crecimiento rápido
C. Embarazo y lactancia
D. Fiebre
E. Hipertiroidismo
F. Tratamiento: medicación tiroidea, terapéutica de la fiebre, dietas con alto
contenido en hidratos de carbono, insulina, administración de dextrosa por vía
parenteral
Keys A. “Undernutrition.” en Duncan GG (eds.). Diseases of metabolism, 3a. ed., pp. 660-692.
Filadelfia. WB Saunders Co. 1954.
TABLA 9-9 Factores que pueden producir desnutrición.
I. Obesidad por trastornos de regulación (sin anomalía
metabólica primaria)
A. Psicológica
1. Exceso neurótico de comida
2. Exceso no neurótico de comida (modelo
cultural de dieta)
B. Fisiológica
1. Aumento de la ingesta: trastorno hipotalámico
2. Reducción del egreso: inmovilización forzada
II. Obesidad metabólica
A. Enzimática: obesidad genética en ratones (?)
B. Hormonal: hiperadrenocorticismo
C. Neurológica: lipodistrofia (automática) (?)
TABLA 9-10
Agrupamiento tentativo de las formas de obesidad
de acuerdo con el mecanismo patogénico.
© 2007 Editorial Médica Panamericana, S.A de C.V.
Cisfarm
© 2007 Editorial Médica Panamericana, S.A de C.V.
Cisfarm
PATOLOGÍA
ESPECIAL
PATOLOGÍA
ESPECIAL
© 2007 Editorial Médica Panamericana, S.A de C.V.
Cisfarm
© 2007 Editorial Médica Panamericana, S.A de C.V.
Cisfarm
10
Patología del aparato
digestivo José Jessurun
Jesús Aguirre García
Arturo Ángeles Ángeles
Óscar Larraza Hernández
Patología del aparato
digestivo
FIGURA 10-1. Acalasia.
© 2007 Editorial Médica Panamericana, S.A de C.V.
Cisfarm
180 Patología especial
FIGURA 10-2. Divertículos esofágicos.
© 2007 Editorial Médica Panamericana, S.A de C.V.
Cisfarm
C10 Patología del aparato digestivo 181
FIGURA 10-3. a) Esófago normal. b)
Reflujo gastroesofágico.
© 2007 Editorial Médica Panamericana, S.A de C.V.
Cisfarm
182 Patología especial
FIGURA 10-4. Reflujo gastroesofágico. Hombre de 45 años
de edad con ardor retrosternal de largo tiempo de evolución. a) Du-
rante la esofagoscopia se observó enrojecimiento del epitelio del tercio distal
del esófago. b) La biopsia de esta zona mostró hiperplasia de la zona basal. c)
Numerosos eosinófilos intraepiteliales.
(b)
(c)
(a)
© 2007 Editorial Médica Panamericana, S.A de C.V.
Cisfarm
C10 Patología del aparato digestivo 183
FIGURA 10-5. Este espécimen de biopsia fue tomado a 3 cm por encima de la unión gastroesofágica. En lugar de epitelio epidermoide se observa mucosa de tipo glandular de tipo intes-
tinal. A este cambio metaplásico (sustitución del epitelio epidermoide por epitelio de tipo columnar o glandular) se le conoce como esófago de Barrett.
© 2007 Editorial Médica Panamericana, S.A de C.V.
Cisfarm
184 Patología especial
FIGURA 10-6. Esofagitis herpética. Este espécimen se obtuvo en la autopsia de un hombre de 32 años de
edad que recibió un trasplante renal cinco años antes, por lo que fue necesario administrar medicamentos
inmunosupresores para evitar el rechazo. Poco antes de morir desarrolló dolor retrosternal intenso. a) En la
autopsia se encontraron múltiples lesiones eritematobulosas en el tercio distal del esófago y proximal del
estómago. b) El examen microscópico demostró múltiples células epiteliales con núcleos claros en “vidrio
esmerilado” e inclusiones intranucleares típicas de infección por virus del Herpes.
(b)
(a)
© 2007 Editorial Médica Panamericana, S.A de C.V.
Cisfarm
C10 Patología del aparato digestivo 185
FIGURA 10-7. Adenocarcinoma de la
unión cardioesofágica. Este tumor,
como el originado en el cardias, com-
parte características epidemiológicas
y clínicas muy parecidas con el adeno-
carcinoma esofágico asociado a esófa-
go de Barrett.
© 2007 Editorial Médica Panamericana, S.A de C.V.
Cisfarm
186 Patología especial
FIGURA 10-8. Gastritis aguda flegmonosa. Este espécimen fue obtenido durante el estudio endoscópico de un paciente con linfoma generalizado que desarrolló dolor y sangrado epigás-
trico. Numerosos neutrófilos infiltran la lámina propia, penetran y destruyen las células epiteliales.
© 2007 Editorial Médica Panamericana, S.A de C.V.
Cisfarm
C10 Patología del aparato digestivo 187
FIGURA 10-9. Gastritis crónica atrófica con metaplasia intestinal. Entre las células columna-
res de tipo foveolar hay células caliciformes idénticas a las del intestino delgado y colon.
© 2007 Editorial Médica Panamericana, S.A de C.V.
Cisfarm
188 Patología especial
FIGURA 10-10. Topografía del estómago. a) Gastritis crónica tipo
A o autoinmune. Las alteraciones inflamatorias y los cambios meta-
plásicos predominan en el cuerpo y fondo. b) Gastritis crónica tipo
B o antral. Las alteraciones inflamatorias y los cambios metaplási-
cos predominan en el antro.
© 2007 Editorial Médica Panamericana, S.A de C.V.
Cisfarm
C10 Patología del aparato digestivo 189
FIGURA 10-11. Gastritis crónica activa asociada a infección por Helicobacter pylori. En este espécimen obtenido del antro gástrico se observa abundante infiltrado inflamatorio linfoplas-
mocitario en la lámina propia.
© 2007 Editorial Médica Panamericana, S.A de C.V.
Cisfarm
190 Patología especial
FIGURA 10-12. Helicobacter pylori. En la
mayoría de los casos es fácil observar a la
bacteria en cortes teñidos con hematoxilina
y eosina a). Algunas tinciones especiales
como las de Giemsa b) y c) y plata d) facilitan
su identificación.
(b)
(d)
(c)
(a)
© 2007 Editorial Médica Panamericana, S.A de C.V.
Cisfarm
C10 Patología del aparato digestivo 191
FIGURA 10-13. Gastritis granulomatosa. Este espécimen de biopsia fue obtenido de un paciente con sarcoidosis y muestra numerosos granulomas en la lámina propia además de otras
células inflamatorias.
© 2007 Editorial Médica Panamericana, S.A de C.V.
Cisfarm
192 Patología especial
FIGURA 10-14. Gastritis linfocítica. Caracterizada por la abundancia de lin-
focitos intraepiteliales, este tipo de gastritis de reciente descripción puede
asociarse a la enfermedad celíaca. a) Además de los linfocitos intraepite-
liales, la lámina propia está infiltrada por abundantes linfocitos y células
plasmáticas. b) Los linfocitos intraepiteliales muestran inmunorreactividad
para CD3, lo que los identifica como linfocitos T.
(b)
(a)
© 2007 Editorial Médica Panamericana, S.A de C.V.
Cisfarm
C10 Patología del aparato digestivo 193
FIGURA 10-15. Gastropatía aguda. a) La mucosa de todo el estómago tiene aspecto congestivo y
hemorrágico. b) En la lámina propia superficial se observa edema, congestión vascular y microhe-
morragias. Nótese la ausencia de células inflamatorias.
(b)
(a)
© 2007 Editorial Médica Panamericana, S.A de C.V.
Cisfarm
194 Patología especial
FIGURA 10-16. Gastropatía crónica. A diferencia de la gastritis asociada a infección por
Helicobacter pylori, en la gastritis “química” hay escasas células inflamatorias. La rege-
neración consecutiva al daño del epitelio superficial por bilis o medicamentos produce
hiperplasia del mismo. Las glándulas foveolares muestran irregularidades con proyecciones
papilares hacia el interior de su luz y las células contienen menos moco.
© 2007 Editorial Médica Panamericana, S.A de C.V.
Cisfarm
C10 Patología del aparato digestivo 195
FIGURA 10-17. Pólipo gástrico hiperplásico. La naturaleza regenerativa de este pólipo
se hace evidente en el corte histológico que aquí se muestra. La mayor parte de la masa
está constituida por glándulas foveolares de aspecto regenerativo e infiltrado inflamatorio
linfoplasmocitario en la lámina propia.
© 2007 Editorial Médica Panamericana, S.A de C.V.
Cisfarm
196 Patología especial
FIGURA 10-18. Pólipo gástrico adenomatoso. Este pólipo displásico está constituido por células columnares altas con núcleos hipercromáticos elongados. El aspecto histológico es idéntico
al del adenoma tubular del colon.
© 2007 Editorial Médica Panamericana, S.A de C.V.
Cisfarm
C10 Patología del aparato digestivo 197
FIGURA 10-19. Adenocarcinoma gástrico. a) En este ejemplo, el tumor ha sustituido
casi la totalidad de la superficie del estómago sin producir lesiones elevadas, por lo que
en algunas clasificaciones se le denomina adenocarcinoma de diseminación supeficial.
La compresión extrínseca del colédoco por los ganglios linfáticos metastásicos explica la
dilatación de la vesicula biliar y la colestasis hepática. b) El tumor infiltra difusamente la
pared gástrica a nivel del píloro, produciendo obstrucción del mismo.
(b)
(a)
© 2007 Editorial Médica Panamericana, S.A de C.V.
Cisfarm
198 Patología especial
FIGURA 10-20. a) Adenocarcioma gástrico de tipo intestinal. Células cohesivas forman túbu-
los o glándulas. b) y c) Adenocarcinoma gástrico de tipo difuso. Células claras con abundante
moco intracitoplásmico (anillo de sello) infiltran de manera individual. En este ejemplo las
células neoplásicas “flotan” en lagos de moco.
(b)
(c)
(a)
© 2007 Editorial Médica Panamericana, S.A de C.V.
Cisfarm
C10 Patología del aparato digestivo 199
FIGURA 10-21. Linfoma gástrico. Corte transversal del estómago que muestra sustitución total de la pared por una neoplasia blanca que recuerda la “carne de pescado”. En la porción
central se observa una úlcera.
© 2007 Editorial Médica Panamericana, S.A de C.V.
Cisfarm
200 Patología especial
FIGURA 10-22. Duodenitis péptica. Mucosa duodenal vecina a una úlcera péptica teñida con tinción de PAS-azul alciano. Las células caliciformes normales del intestino se tiñen de azul
(azul alciano positivas) debido a que contienen mucopolisacáridos ácidos. En el centro de la fotografía se observan dos vellosidades parcialmente revestidas por células con citoplasma teñido
de rojo (PAS positivas) debido al alto contenido de mucopolisacáridos neutros. Estas células son semejantes a las células foveolares o superficiales del estómago y representan zonas de
metaplasia gástrica. En las vellosidades del duodeno normal no hay células PAS positivas.
© 2007 Editorial Médica Panamericana, S.A de C.V.
Cisfarm
C10 Patología del aparato digestivo 201
FIGURA 10-23. Colitis hemorrágica por Shigella. a) Aspecto congestivo y hemorrágico de la mucosa rectal. b) Espécimen de biopsia correspondiente al colon de un estudiante de medicina
que presentó dolor abdominal y diarrea hemorrágica poco antes de su examen de patología. En la lámina propia hay numerosos eritrocitos extravasados. El cultivo de la mucosa fue positivo
para Escherichia coli O157:H7. Esta cepa con frecuencia produce verotoxinas.
(b)
(a)
© 2007 Editorial Médica Panamericana, S.A de C.V.
Cisfarm
202 Patología especial
FIGURA 10-24. Enfermedad celíaca. a) Espécimen de biopsia que se obtuvo del yeyuno de
un paciente con síndrome de mal-absorción. Nótese la ausencia de vellosidades y la elon-
gación de las criptas. b) A mayor aumento se observa el infiltrado linfoplasmocitario en la
lámina propia, aplanamiento del epitelio superficial e infiltración del mismo por linfocitos. c)
La inmunorreacción con anticuerpos anti-CD3 identifica a los linfocitos intraepiteliales como
linfocitos T.
(b)
(c)
(a)
© 2007 Editorial Médica Panamericana, S.A de C.V.
Cisfarm
C10 Patología del aparato digestivo 203
FIGURA 10-25. Diverticulosis del colon. Numerosos sacos se proyectan a través de la muscular propia hacia el exterior.
© 2007 Editorial Médica Panamericana, S.A de C.V.
Cisfarm
204 Patología especial
FIGURA 10-26. a) Vólvulos. b) Intususcepción.
© 2007 Editorial Médica Panamericana, S.A de C.V.
Cisfarm
C10 Patología del aparato digestivo 205
FIGURA 10-27. Enfermedad de Crohn. a) Segmento de colon proximal con nume-
rosas úlceras lineales. b) Cripta destruida con abundantes neutrófilos intraluminales
(microabsceso). c) Acúmulos de histiocitos y células gigantes forman un pequeño
granuloma.
(b) (c)
(a)
© 2007 Editorial Médica Panamericana, S.A de C.V.
Cisfarm
206 Patología especial
FIGURA 10-28. Colitis ulcerosa. A diferencia de la enfermedad de Crohn, en la colitis ulce-
rosa las lesiones son continuas y predominan en el recto y segmentos distales del colon.
Nótese la ausencia de haustras en los segmentos afectados.
© 2007 Editorial Médica Panamericana, S.A de C.V.
Cisfarm
C10 Patología del aparato digestivo 207
FIGURA 10-29. Colitis ulcerosa. a) El recto muestra pequeñas úlceras. Entre la
mucosa residual de aspecto granular hay algunos seudopólipos. b) Corte histológi-
co del caso anterior que muestra acortamiento de las criptas, cambio indicativo de
cronicidad. En condiciones normales las criptas descienden hasta la muscular de
la mucosa. La lámina propia muestra un denso infiltrado constituido por linfocitos
y células plasmáticas. La submucosa es de aspecto normal.
(b)
(a)
© 2007 Editorial Médica Panamericana, S.A de C.V.
Cisfarm
208 Patología especial
FIGURA 10-30. Colitis ulcerosa. El corte histológico proviene de un espécimen de colectomía de un paciente que desarrolló megacolon tóxico. Además de los cambios inflamatorios
característicos de la colitis ulcerosa, hay una úlcera profunda que se observa a la izquierda de la fotografía.
© 2007 Editorial Médica Panamericana, S.A de C.V.
Cisfarm
C10 Patología del aparato digestivo 209
FIGURA 10-31. Colitis colagenosa. Por debajo del epitelio superficial se observa una densa banda de colágena que se tiñe de azul con la tinción de Masson.
© 2007 Editorial Médica Panamericana, S.A de C.V.
Cisfarm
210 Patología especial
FIGURA 10-32. Síndrome de prolapso mucoso. a) Dos pólipos regenerativos localizados en el recto. El paciente padecía de prolapso rectal de varios años de evolución. b) Los cambios
histológicos más característicos son la proliferación de fibras musculares en el interior de la mucosa (células con citoplasma rojo) y la fibrosis de la lámina propia (fibras de color azul).
(b)
(a)
© 2007 Editorial Médica Panamericana, S.A de C.V.
Cisfarm
C10 Patología del aparato digestivo 211
FIGURA 10-33. Adenoma velloso. a) Pólipo semejante a una coliflor. Esta lesión fue
resecada endoscópicamente. b) Microscópicamente están constituidos por numero-
sas proyecciones digitiformes formadas por células displásicas.
(b)
(a)
© 2007 Editorial Médica Panamericana, S.A de C.V.
Cisfarm
212 Patología especial
FIGURA 10-34. Poliposis múltiple adenomatosa. Miles de pólipos tapizan la mucosa del colon.
© 2007 Editorial Médica Panamericana, S.A de C.V.
Cisfarm
C10 Patología del aparato digestivo 213
FIGURA 10-35. Modelo molecular de la evolución del cáncer colo-rectal (Fearon y
Vogelstein).
Epitelio normal
Pérdida o mutación en el locus APC
(cromosoma 5q)
Hipometilación del ADN
Mutación del gen ras (cromosoma 12p)
Pérdida del gen DCC (cromosoma 18q)
Pérdida del gen p53 (cromosoma 17p)
Adenoma temprano
Epitelio hiperproliferativo
Adenoma intermedio
Adenoma tardío
CARCINOMA
© 2007 Editorial Médica Panamericana, S.A de C.V.
Cisfarm
214 Patología especial
FIGURA 10-36. Adenocarcinoma del colon originado en un adenoma velloso. El tejido de aspecto claro en la parte inferior de la fotografía corresponde al carcinoma invasor.
© 2007 Editorial Médica Panamericana, S.A de C.V.
Cisfarm
C10 Patología del aparato digestivo 215
FIGURA 10-37. Adenocarcinoma del colon. Este tumor circunferencial corresponde al denominado carcinoma en “anillo de servilleta”. Nótese la dilatación del colon proximal al tumor.
© 2007 Editorial Médica Panamericana, S.A de C.V.
Cisfarm
216 Patología especial
FIGURA 10-38. Adenocarcinoma del colon. La mayoría de los tumores forman estructuras glandulares o tubulares constituidas por células columnares altas.
© 2007 Editorial Médica Panamericana, S.A de C.V.
Cisfarm
C10 Patología del aparato digestivo 217
FIGURA 10-39. a) Sistema de estadificación de Dukes (supervivencia a cinco años). b) Sistema de estadificación de Astler-Coller (sobrevida a cinco años).
© 2007 Editorial Médica Panamericana, S.A de C.V.
Cisfarm
218 Patología especial
FIGURA 10-40. Adenocarcinoma originado en el ámpula de Vater. En este sitio se localiza la mayoría de los adenocarcinomas del intestino delgado.
© 2007 Editorial Médica Panamericana, S.A de C.V.
Cisfarm
C10 Patología del aparato digestivo 219
FIGURA 10-41. Cistadenocarcinoma del apéndice cecal. La neoplasia distiende la luz apendicular, la que se observa como una cavidad llena de moco. La neoplasia infiltra y destruye la
pared del órgano.
© 2007 Editorial Médica Panamericana, S.A de C.V.
Cisfarm
220 Patología especial
FIGURA 10-42. Partícula Dane y marcadores del virus de la hepatitis B.
© 2007 Editorial Médica Panamericana, S.A de C.V.
Cisfarm
C10 Patología del aparato digestivo 221
FIGURA 10-43. Replicación del virus B en el hepatocito.
Inmunotinción del antígeno
superficial del virus B
en el citoplasma de
los hepatocitos.
Inmunotinción que muestra
antígeno central del virus B
en el núcleo de numerosos
hepatocitos. En algunas
células se observa el núcleo
sin teñir.
© 2007 Editorial Médica Panamericana, S.A de C.V.
Cisfarm
222 Patología especial
FIGURA 10-44. Hepatitis viral aguda. a) Distorsión de las placas hepáticas por focos infla-
matorios y lesión de los hepatocitos, que muestran variación en el tamaño y la tinción. Las
alteraciones son más intensas alrededor de la vena centrolobulillar. b) Globo hialino: hepatocito
intensamente eosinófilo con restos nucleares. Hay infiltración de linfocitos y células de Kupffer
prominentes. c) Degeneración globoide: hepatocito aumentado de tamaño, rodeado por célu-
las inflamatorias; muestra condensación del citoplasma alrededor del núcleo picnótico.
(c)
(b)
(a)
© 2007 Editorial Médica Panamericana, S.A de C.V.
Cisfarm
C10 Patología del aparato digestivo 223
FIGURA 10-45. Hepatitis fulminante: se observa necrosis hepatocelular total, con hemorragia, infiltración de linfocitos y neoformación de colangiolos.
© 2007 Editorial Médica Panamericana, S.A de C.V.
Cisfarm
224 Patología especial
FIGURA 10-46. Hepatitis crónica con actividad mínima o leve.
© 2007 Editorial Médica Panamericana, S.A de C.V.
Cisfarm
C10 Patología del aparato digestivo 225
FIGURA 10-47. Hepatitis crónica con actividad moderada.
Los espacios porta presentan infiltración de linfocitos
y células plasmáticas con destrucción parcial o total
de la placa limitante.
Los síntomas de insuficiencia hepática son leves
o moderados. Las aminotransferasas están elevadas de
tres a diez veces los valores normales (100 a 400 U/l).
El diagnóstico diferencial histológico debe establecerse
principalmente con la cirrosis biliar primaria.
© 2007 Editorial Médica Panamericana, S.A de C.V.
Cisfarm
226 Patología especial
FIGURA 10-48. Hepatitis crónica con actividad intensa.
La insuficiencia hepática es intensa, con cifras
de aminotransferasas superiores a 400 U/l.
El diagnóstico diferencial histológico debe
hacerse con la hepatitis fulminante.
El lobulillo hepático de la izquierda muestra un
puente de necrosis entre el espacio porta y la
vena eferente; en los lobulillos de la derecha
hay necrosis total (multilobulillar).
© 2007 Editorial Médica Panamericana, S.A de C.V.
Cisfarm
C10 Patología del aparato digestivo 227
FIGURA 10-49. Hepatitis crónica por virus C con actividad mínima, esteatosis focal y fibrosis intensa (lesión precirrótica).
© 2007 Editorial Médica Panamericana, S.A de C.V.
Cisfarm
228 Patología especial
FIGURA 10-50. Causas de colestasis y conductos afectados.
© 2007 Editorial Médica Panamericana, S.A de C.V.
Cisfarm
C10 Patología del aparato digestivo 229
FIGURA 10-51. a) Colestasis intrahepática: la colangiografía muestra conductos extrahepáticos normales en un caso de cirrosis biliar primaria. b) Biopsia del caso con destrucción de un
conducto interlobulillar que presenta inflamación granulomatosa.
(b)
(a)
© 2007 Editorial Médica Panamericana, S.A de C.V.
Cisfarm
230 Patología especial
FIGURA 10-52. a) Colestasis intrahepática: la colangiografía revela zonas de estenosis que alternan con dilatación de los conductos intrahepáticos en un caso de colangitis esclerosante
primaria. (Cortesía de la doctora Margarita Dehesa.) b) La biopsia presenta fibrosis concéntrica de conductos biliares con obliteración parcial de la luz.
(b)
(a)
© 2007 Editorial Médica Panamericana, S.A de C.V.
Cisfarm
C10 Patología del aparato digestivo 231
(b)
(a)
FIGURA 10-53. a) Colestasis extrahepática: litiasis de vesícula y conductos biliares extrahepáticos. b) La autopsia del caso (figura 10-53a) reveló colangitis bacteriana: conducto septal
con neutrófilos y restos celulares en la luz.
© 2007 Editorial Médica Panamericana, S.A de C.V.
Cisfarm
232 Patología especial
FIGURA 10-54. Estasis biliar intensa en canalículos y hepatocitos; los hepatocitos de la porción central, con citoplasma claro, presentan estasis de colatos (colatostasis).
© 2007 Editorial Médica Panamericana, S.A de C.V.
Cisfarm
C10 Patología del aparato digestivo 233
FIGURA 10-55. Cirrosis biliar primaria: la mayoría de los hepatocitos presenta en el citoplasma material intensamente eosinófilo que corresponde a cuerpos de Mallory.
© 2007 Editorial Médica Panamericana, S.A de C.V.
Cisfarm
234 Patología especial
FIGURA 10-56. Colestasis crónica: el depósito anormal de cobre en el citoplasma de los hepatocitos se asocia a aumento de la proteína transportadora de cobre que aparece como grumos
café oscuros con la tinción de orceína con pH 1 a 2.
© 2007 Editorial Médica Panamericana, S.A de C.V.
Cisfarm
C10 Patología del aparato digestivo 235
FIGURA 10-57. Efectos de la obstrucción del flujo biliar. Los xantomas y los trastornos secundarios a deficiencia de vitaminas liposolubles se presentan en colestasis crónicas; las restantes
manifestaciones ocurren en obstrucciones biliares agudas y crónicas. En raras ocasiones el síndrome de colestasis es incompleto, como en el prurito del embarazo, sin ictericia.
© 2007 Editorial Médica Panamericana, S.A de C.V.
Cisfarm
236 Patología especial
FIGURA 10-58. Hepatitis alcohólica: se observa un cuerpo de Mallory rodeado por neutrófilos (satelitosis). Los hepatocitos presentan cuerpos de Mallory y esteatosis.
© 2007 Editorial Médica Panamericana, S.A de C.V.
Cisfarm
C10 Patología del aparato digestivo 237
FIGURA 10-59. a) Hepatitis alcohólica: el tricrómico de Masson muestra
fibras de colágena tipo I, teñidas de color azul, entre las placas hepáticas. b)
Hepatitis alcohólica con fibrosis pericelular intensa que oblitera los sinusoides.
Tinción de retículo.
(b)
(a)
© 2007 Editorial Médica Panamericana, S.A de C.V.
Cisfarm
238 Patología especial
FIGURA 10-60. Alteraciones anatómicas y funcionales de la cirrosis hepática.
© 2007 Editorial Médica Panamericana, S.A de C.V.
Cisfarm
C10 Patología del aparato digestivo 239
FIGURA 10-61. a) Cirrosis de la hemocromatosis con
nódulos de regeneración pequeños y uniformes. b) Aspecto
histológico de la cirrosis micronodular: el nódulo de regene-
ración es de menor tamaño que un lobulillo normal y está
rodeado por colágena. Tinción de retículo.
(b)
(a)
© 2007 Editorial Médica Panamericana, S.A de C.V.
Cisfarm
240 Patología especial
FIGURA 10-62. a) Cirrosis macronodular por virus
B. En el lóbulo derecho hay zonas amplias de fibro-
sis, el lóbulo izquierdo presenta atrofia y un carci-
noma hepatocelular (nódulo mayor). b) Cirrosis con
nódulos de regeneración de gran tamaño rodeados
por bandas fibrosas de grosor variable. Tinción de
retículo.
(b)
(a)
© 2007 Editorial Médica Panamericana, S.A de C.V.
Cisfarm
C10 Patología del aparato digestivo 241
FIGURA 10-63. Carcinoma hepatocelular. Se observan tres características típicas de esta lesión: el color verde por la presencia de bilis, la invasión de un vaso (abajo y a la
izquierda del tumor) y la coexistencia de cirrosis.
© 2007 Editorial Médica Panamericana, S.A de C.V.
Cisfarm
242 Patología especial
FIGURA 10-64. Carcinoma hepatocelular con patrón trabecular: células semejantes a hepatocitos que se distribuyen en masas rodeadas por células endoteliales y separadas por sinusoi-
des.
© 2007 Editorial Médica Panamericana, S.A de C.V.
Cisfarm
C10 Patología del aparato digestivo 243
FIGURA 10-65. a) Metástasis de timoma en hígado. La depresión central
de los nódulos tumorales es característica de las metástasis. b) Superficie
de corte del hígado de la figura 10-65a con necrosis central y cavitación de
las metástasis.
(b)
(a)
© 2007 Editorial Médica Panamericana, S.A de C.V.
Cisfarm
244 Patología especial
FIGURA 10-66. Colelitiasis: cálculos facetados de colesterol.
© 2007 Editorial Médica Panamericana, S.A de C.V.
Cisfarm
C10 Patología del aparato digestivo 245
FIGURA 10-67. Factores de riesgo en el desarrollo de cálculos de colesterol.
© 2007 Editorial Médica Panamericana, S.A de C.V.
Cisfarm
246 Patología especial
FIGURA 10-68. Carcinoma de la vesícula biliar: hay litiasis, engrosamiento intenso de la pared vesicular y colestasis.
© 2007 Editorial Médica Panamericana, S.A de C.V.
Cisfarm
C10 Patología del aparato digestivo 247
FIGURA 10-69. Esquema de las porciones exocrina y
endocrina del páncreas. En la parte inferior se mues-
tran dos micrografías electrónicas. La célula endocrina
muestra los característicos gránulos neuroendocrinos
electrón-densos y la célula exocrina, los gránulos de
zimógeno que la identifican.
Célula acinar
m15 proteasas
m6 amilasas
mlipasa
mfosfolipasa
Célula endocrina Célula exocrina
Islote de Langerhans
mInsulina
mGlucagón
mSomatostatina
mPolipéptido pancreático
mPeptido intestinal vasoactivo
C
o
n
d
u
c
t
o
© 2007 Editorial Médica Panamericana, S.A de C.V.
Cisfarm
248 Patología especial
FIGURA 10-70. Pancreatitis aguda. Esquema que conjunta los factores etiológicos, los mecanismos de acción y los
efectos producidos.
© 2007 Editorial Médica Panamericana, S.A de C.V.
Cisfarm
C10 Patología del aparato digestivo 249
FIGURA 10-71. Pancreatitis necrohemorrágica. Se observa necrosis extensa del parénquima pancreático, con múltiples áreas hemorrágicas.
© 2007 Editorial Médica Panamericana, S.A de C.V.
Cisfarm
250 Patología especial
FIGURA 10-72. Fotomicrografía de la pancreatitis aguda. En la mitad izquierda se observa parénquima pancreático conservado y en el lado derecho, éste se encuentra necrótico, con
escaso infiltrado inflamatorio.
© 2007 Editorial Médica Panamericana, S.A de C.V.
Cisfarm
C10 Patología del aparato digestivo 251
FIGURA 10-73. Pancreatitis crónica. La mayor parte del parénquima pancreático ha sido sustituida por tejido fibroso, que se observa de color azul con la tinción de Masson. Hay escasos
ácinos residuales en la parte izquierda.
© 2007 Editorial Médica Panamericana, S.A de C.V.
Cisfarm
252 Patología especial
FIGURA 10-74. Adenocarcinoma de la cabeza del páncreas. El tumor es de límites poco precisos y comprime la arcada duodenal.
© 2007 Editorial Médica Panamericana, S.A de C.V.
Cisfarm
C10 Patología del aparato digestivo 253
FIGURA 10-75. Adenocarcinoma bien diferenciado del páncreas. Se observan glándulas revestidas por células con características neoplásicas malignas.
© 2007 Editorial Médica Panamericana, S.A de C.V.
Cisfarm
254 Patología especial
FIGURA 10-76. Islote de Langerhans. Se observa una rica malla vascular y, alrededor de ella, células argirófilas. Tinción de Grimelius.
© 2007 Editorial Médica Panamericana, S.A de C.V.
Cisfarm
C10 Patología del aparato digestivo 255
FIGURA 10-77. Células que contienen insulina. Son numerosas y se localizan en la porción central del islote. Técnica de peroxidasa-antiperoxidasa.
© 2007 Editorial Médica Panamericana, S.A de C.V.
Cisfarm
256 Patología especial
FIGURA 10-78. Células que almacenan somatostatina. Son escasas y con prolongaciones. Se sitúan entre las células α y β. Técnica de peroxidasa-antiperoxidasa.
© 2007 Editorial Médica Panamericana, S.A de C.V.
Cisfarm
C10 Patología del aparato digestivo 257
FIGURA 10-79. Se identifican células productoras de somatostatina asociadas con células de los conductos. Técnica de peroxidasa.
© 2007 Editorial Médica Panamericana, S.A de C.V.
Cisfarm
258 Patología especial
FIGURA 10-80. Micrografía electrónica de células α. Los gránulos son redondos, electrodensos y con un nucleoide de textura granular.
© 2007 Editorial Médica Panamericana, S.A de C.V.
Cisfarm
C10 Patología del aparato digestivo 259
FIGURA 10-81. Micrografía electrónica de una célula β. Los gránulos son de tamaño y densidad variable, con halo amplio; algunos de ellos tienen aspecto cristaloide.
© 2007 Editorial Médica Panamericana, S.A de C.V.
Cisfarm
260 Patología especial
FIGURA 10-82. Abajo a la izquierda se ilustran gránulos en donde se almacena somatostatina; son redondos, de tamaño y electrodensidad variable y se encuentran en una célula vecina
a una célula β.
© 2007 Editorial Médica Panamericana, S.A de C.V.
Cisfarm
C10 Patología del aparato digestivo 261
FIGURA 10-83. Tumor endocrino de páncreas, situado en la cabeza y reseca-
do por medio de la técnica quirúrgica de Whipple.
© 2007 Editorial Médica Panamericana, S.A de C.V.
Cisfarm
262 Patología especial
FIGURA 10-84. Fotomicrografía de un tumor endocrino del páncreas que ilustra cordones celulares en contacto con vasos sanguíneos.
© 2007 Editorial Médica Panamericana, S.A de C.V.
Cisfarm
C10 Patología del aparato digestivo 263
FIGURA 10-85. Nidos sólidos de células neoplásicas rodeados por vasos de aspecto sinusoidal. Tinción de hematoxilina-eosina.
© 2007 Editorial Médica Panamericana, S.A de C.V.
Cisfarm
264 Patología especial
FIGURA 10-86 . Las células de este tumor poseen gastrina en el citoplasma, evidenciada por la técnica de peroxidasa-antiperoxidasa unida a un anticuerpo antigastrina. El paciente tenía
síndrome de Zollinger-Ellison.
© 2007 Editorial Médica Panamericana, S.A de C.V.
Cisfarm
C10 Patología del aparato digestivo 265
FIGURA 10-87. Paciente con un tumor de células α. Se ilustra el eritema necrolítico
característico.
© 2007 Editorial Médica Panamericana, S.A de C.V.
Cisfarm
266 Patología especial
Gastritis neutrofílica aguda
Gastritis crónica
De predominio corporal (tipo A)
De predominio antral (tipo B)
Eosinofílica
Granulomatosa
Linfocítica
TABLA 10-1 Gastritis. Clasificación morfológica.
Alcohol
Medicamentos
Aspirina
Antiinflamatorios no esteroideos
Esteroides
Drogas antineoplásicas
Isquemia
Hipovolemia
Estrés
Quemaduras
Cirugía
Trauma
TABLA 10-2 Gastropatía aguda. Causas.
Digestión deficiente
Mezcla inadecuada de alimentos y enzimas (posgastrectomía)
Deficiencia de sales biliares
Insuficiencia pancreática
Deficiencia específica de algunas enzimas (disacaridasas)
Absorción deficiente
Reducción de la superficie de absorción (resección intestinal)
Daño de la mucosa (enfermedad celíaca, Whipple, Crohn)
Flora intestinal alterada (síndrome de asa ciega)
Motilidad alterada (escleroderma)
Enteropatía con pérdida de proteinas
Linfangiectasias intestinales
“Primarias” o idiopáticas
Secundarias a obstrucción (Whipple, tumores)
Daño de la mucosa (enfermedad celíaca)
TABLA 10-3
Síndromes de malabsorción.
Clasificación fisiopatológica.
POBLACIÓN PREVALENCIA (%)
Japoneses de Hawaii 56.2
Akita, Japón 37.7
Nueva Orleans, EUA 33.2
Estados Unidos de Norteamérica 32.2
Nueva York, EUA 32.1
Miyagi, Japón 28.1
Barcelona, España 21.7
Cali, Colombia 11.0
México 2.7
Shiraz, Irán 2.1
Bantus, África 0
Tomado de Rev Invest Clin 42:193-197.1990.
TABLA 10-4
Prevalencia de pólipos adenomatosos
en diversas series de autopsia.
© 2007 Editorial Médica Panamericana, S.A de C.V.
Cisfarm
C10 Patología del aparato digestivo 267
CLASIFICACIÓN ANTIGUA CLASIFICACIÓN ACTUAL
Hepatitis crónica lobulillar Hepatitis crónica con actividad mínima o leve
Hepatitis crónica persistente
Hepatitis crónica activa Hepatitis crónica con actividad moderada
Con necrosis periportal o de la placa limitante
Con necrosis periportal y “puentes” de necrosis Hepatitis crónica con actividad intensa
entre espacios porta y venas eferentes o con
necrosis multilobulillar
Independientemente del grado de actividad, la fibrosis puede estar ausente o varía de leve a intensa. El grado de
actividad no tiene relación con el pronóstico.
TABLA 10-6 Clasificación histológica de la hepatitis crónica.
VIRUS A VIRUS B VIRUS C VIRUS D VIRUS E
Familia Picornavirus Hepadnavirus Flavivirus Deltavirus Calicivirus
Ácidos nucleicos ARN (7.4 kb) ADN (3.2 kb) ARN (9.4 kb) ARN (1.7 kb) ARN (7.5 kb)
Ultraestructura Icosaedro 27 nm Partícula Dane 42 nm Esférico 30-38 nm Esférico 36 nm Esférico 32 nm
Transmisión Fecal-oral Parenteral Parenteral Parenteral Fecal-oral
Incubación (semanas) 2 a 7; × 4 6 a 26; × 12 2 a 22; × 7 4 a 26; × 11 2 a 9; × 6
Marcadores serológicos Anticuerpo A Ag superficial Anticuerpo C Antígeno D Anticuerpo E
Ac superficial Anticuerpo D
Ac central
Ag e
Ac e
Cronicidad No Sí Sí Sí No
Pronóstico Bueno Variable Malo Malo Malo
en embarazo
TABLA 10-5 Características principales de los virus hepatotrópicos.
© 2007 Editorial Médica Panamericana, S.A de C.V.
Cisfarm
268 Patología especial
Cirrosis secundarias a diversas causas
Cirrosis alcohólica
Cirrosis por virus (B, C, D)
Cirrosis por agentes químicos
Cirrosis biliar secundaria
Cirrosis congestiva
Cirrosis por derivación yeyuno-ileal
Cirrosis de la obesidad
Cirrosis por hipervitaminosis A
Cirrosis de etiología desconocida
Cirrosis criptogénica
Cirrosis biliar primaria
Cirrosis secundaria a hepatitis autoinmune
Cirrosis de la sarcoidosis
Cirrosis infantil de la India
Cirrosis asociadas con trastornos congénitos del
metabolismo
Cirrosis de la hemocromatosis
Cirrosis de la enfermedad de Wilson
Cirrosis de la galactosemia
Cirrosis de la amilopectinosis
Cirrosis de la tirosinemia
Cirrosis por deficiencia de α-1-antitripsina
Cirrosis de la hipermetioninemia
TABLA 10-7 Etiología de la cirrosis hepática.
Benignos
Adenoma hepatocelular — Esteroides anticonceptivos
Hemangioma — Malformación congénita
Malignos
Carcinoma hepatocelular — Virus B y C
Hemocromatosis
Tirosinemia hereditaria
Aflatoxinas (?)
Carcinoma fibrolaminar — ?
Hepatoblastoma — ?
Carcinoma colangiocelular — Clonorchis sinensis
Opistorchis viverrine
Angiosarcoma — Cloruro de vinilo
Arsénico
Dióxido de torio
TABLA 10-8 Tumores hepáticos más comunes y causas.
Alcoholismo
Padecimientos de vías biliares
Traumatismos directos
Úlceras pépticas penetrantes
Divertículos duodenales
Isquemia aguda
Choque
Hiperlipidemia (tipos I y IV)
Hipotermia
Medicamentos (azatioprina, sulfonamidas, tiazidas, fu-
rosemide, estrógenos, tetraciclinas, ácido valproico,
pentamidina)
Extensión de infecciones locales (peritonitis)
Vasculitis
Infecciones sistémicas, sobre todo virales
Poscirugía
Desnutrición
Idiopáticas
TABLA 10-9 Etiología de la pancreatitis.
© 2007 Editorial Médica Panamericana, S.A de C.V.
Cisfarm
C10 Patología del aparato digestivo 269
CÉLULA HORMONA LOCALIZACIÓN Y% GRÁNULO (M.E.)
α glucagón islotes, 20% redondo, con nucleoide excéntrico.
β insulina islotes, 70% cristaloide
δ somatostatina islotes, 5-10% y redondo,conelectroconductosdedensidadvariable
δ 1 VIP islotes, <l% redondo, electrodenso
PP polipéptido pancreático islotes, 1-2% y conductos redondo, tamaño variable
EC serotonina conductos pleomórfico
M.E.: microscopio electrónico; EC: enterocromafín; VIP: péptido intestinal vasoactivo.
TABLA 10-10 Células y hormonas pancreáticas.
Hiperplasia de células β
Tumor extrapancreático
Tumor pequeño en páncreas residual
Tumores mesenquimatosos hipoglicemiantes
Alteraciones funcionales
TABLA 10-11 Hiperinsulinemia sin tumor pancreático.
© 2007 Editorial Médica Panamericana, S.A de C.V.
Cisfarm
© 2007 Editorial Médica Panamericana, S.A de C.V.
Cisfarm
11
Roberto Barrios
Patología del aparato
respiratorio
Patología del aparato
respiratorio
FIGURA 11-1. Corte de pulmón que muestra cambios de daño alveolar difuso. Se observa engrosamiento de los tabiques alveolares por la presencia de
células inflamatorias. La luz de los alveolos muestra proteínas plasmáticas que acompañan al líquido de edema, así como algunos macrófagos.
© 2007 Editorial Médica Panamericana, S.A de C.V.
Cisfarm
272 Patología especial
FIGURA 11-2. Aspecto macroscópico de pulmones en los que se aprecian cambios de neumonía. Existe consolidación lobar que contrasta con parénquima libre de
lesiones.
© 2007 Editorial Médica Panamericana, S.A de C.V.
Cisfarm
C11 Patología del aparato respiratorio 273
FIGURA 11-3. Corte de pulmón que muestra un cuerpo de Masson formado por fibroblastos que van de un alveolo al siguiente a través de los poros interalveolares. Esto representa la
organización de un exudado. Además, se observa infiltrado inflamatorio crónico en el resto del parénquima pulmonar.
© 2007 Editorial Médica Panamericana, S.A de C.V.
Cisfarm
274 Patología especial
FIGURA 11-4. Corte parasagital de un pulmón con neumonía la cual se ha abscedado y cavi-
tado. Existe acentuado engrosamiento difuso de la pleura.
© 2007 Editorial Médica Panamericana, S.A de C.V.
Cisfarm
C11 Patología del aparato respiratorio 275
FIGURA 11-5. Actinomicosis. Se observa un denso exudado purulento en medio del cual se presentan “gránulos actinomicóticos.”
© 2007 Editorial Médica Panamericana, S.A de C.V.
Cisfarm
276 Patología especial
FIGURA 11-6. Neumonía por virus de inclusión citomegálica. Se aprecia un acercamiento de tabique alveolar muy engrosado. En una de las células que reviste a uno de los espacios se
aprecia una inclusión intranuclear rodeada de un halo claro. Esta inclusión es muy característica del efecto citopático causado por el virus de inclusión citomegálica.
© 2007 Editorial Médica Panamericana, S.A de C.V.
Cisfarm
C11 Patología del aparato respiratorio 277
FIGURA 11-7. Aspergilosis invasora. Se observan los organismos como filamentos tanto en la pared como en la luz de un vaso sanguíneo.
© 2007 Editorial Médica Panamericana, S.A de C.V.
Cisfarm
278 Patología especial
FIGURA 11-8. Aspecto macroscópico de un pulmón con bronquiectasias.
Pueden apreciarse los bronquios enormemente dilatados y rodeados de areas
de fibrosis.
© 2007 Editorial Médica Panamericana, S.A de C.V.
Cisfarm
C11 Patología del aparato respiratorio 279
FIGURA 11-9. Corte del bronquio de un paciente asmático. Se observa un epitelio metaplásico (que sustituye al epitelio cilíndrico ciliado normal) sobre una membrana muy engrosada.
Nótese además un infiltrado inflamatorio en el tejido conjuntivo subyacente.
© 2007 Editorial Médica Panamericana, S.A de C.V.
Cisfarm
280 Patología especial
FIGURA 11-10. Neumonía intersticial descamativa. Se aprecian algunos alvéolos de paredes moderadamente engrosadas por un infiltrado inflamatorio de linfocitos y algunos macrófagos.
Lo más llamativo en el aspecto histológico de esta lesión es la presencia de numerosos macrófagos que ocupan y llenan los espacios alveolares. En el citoplasma de algunos macrófagos
se aprecia un pigmento ocre que se le ha denominado pigmento del fumador.
© 2007 Editorial Médica Panamericana, S.A de C.V.
Cisfarm
C11 Patología del aparato respiratorio 281
FIGURA 11-11. Neumonía intersticial de tipo usual o clásico. En esta condición existen zonas de pulmón con gran distorsión de la arquitectura normal del pulmón debido a fibrosis inters-
titicial alternando con áreas de pulmón normal. En la ilustración se puede observar un área de fibrosis con uno de los llamados “focos fibroblásticos” muy característicos de esta lesión.
© 2007 Editorial Médica Panamericana, S.A de C.V.
Cisfarm
282 Patología especial
FIGURA 11-12. Pulmón de un paciente con neumonitis por hipersensibilidad (alveolitis alérgica extrínseca). La figura muestra un conglomerado de linfocitos rodeando a algunas células
gigantes multinucleadas con espacios vacíos en su interior los cuales corresponden a cristales de colesterol.
© 2007 Editorial Médica Panamericana, S.A de C.V.
Cisfarm
C11 Patología del aparato respiratorio 283
FIGURA 11-13. Proteinosis alveolar. Se observan varios alvéolos cuyos tabiques no llaman mayormente la atención, son delgados y de aspecto normal sin embargo, los espacios alveolares
están ocupados por abundante material eosinofílico, finamente granular y en algunas zonas grumoso constituido por surfactante el cual se acumula exageradamente en estos pacientes.
© 2007 Editorial Médica Panamericana, S.A de C.V.
Cisfarm
284 Patología especial
FIGURA 11-14. Corte de pulmón de un enfermo con silicosis. Se aprecian nódulos de colágena densa organizados en forma de capas concéntricas. Las zonas centrales basofílicas repre-
sentan focos de calcificación.
© 2007 Editorial Médica Panamericana, S.A de C.V.
Cisfarm
C11 Patología del aparato respiratorio 285
FIGURA 11-15. Cuerpo ferruginoso, constituido por una fibra central de asbestos rodeada de pigmento férrico.
© 2007 Editorial Médica Panamericana, S.A de C.V.
Cisfarm
286 Patología especial
FIGURA 11-16. Rama de arteria pulmonar que muestra cambios hipertensivos. Se observa reducción de su luz por fibrosis de la íntima y reduplicación de las fibras elásticas.
© 2007 Editorial Médica Panamericana, S.A de C.V.
Cisfarm
C11 Patología del aparato respiratorio 287
FIGURA 11-17. Aspecto macroscópico de un émbolo pulmonar que ocupa tanto el tronco de la arteria pulmonar como sus dos ramas principales.
© 2007 Editorial Médica Panamericana, S.A de C.V.
Cisfarm
288 Patología especial
FIGURA 11-18. Granulomatosis de Wegener. Parénquima pulmonar de un paciente con granulomatosis de Wegener. La figura ilustra una arteria ocluida por un trombo y rodeada de un
infiltrado inflamatorio en el que se encuentran algunas células gigantes multinucleadas.
© 2007 Editorial Médica Panamericana, S.A de C.V.
Cisfarm
C11 Patología del aparato respiratorio 289
FIGURA 11-19. Hamartoma pulmonar. La figura muestra un nódulo bien circunscrito, formado por cartílago con espacios ocasionales que pueden tener revestimiento en algunos sitios.
© 2007 Editorial Médica Panamericana, S.A de C.V.
Cisfarm
290 Patología especial
FIGURA 11-20. Carcinoma epidermoide (escamoso). Se aprecian las células de aspecto escamoso infiltrando tejido conjuntivo el cual en parte se produce como respuesta a la neoplasia
(reacción desmoplásica).
© 2007 Editorial Médica Panamericana, S.A de C.V.
Cisfarm
C11 Patología del aparato respiratorio 291
FIGURA 11-21. Adenocarcinoma en el cual se aprecia formación de luces que recuerdan formaciones glandulares. La ilustración muestra además núcleos que varían mucho de tamaño y
forma (pleomorfismo) con nucleolo muy prominente.
© 2007 Editorial Médica Panamericana, S.A de C.V.
Cisfarm
292 Patología especial
FIGURA 11-22. Carcinoma bronquioloalveolar. El aspecto macroscópico puede
asumir varias formas pero una de ellas es como consolidación lobar (zona más
clara en la fotografía) que puede confundirse radiológicamente con una neumo-
nía lobar.
© 2007 Editorial Médica Panamericana, S.A de C.V.
Cisfarm
C11 Patología del aparato respiratorio 293
FIGURA 11-23. Carcinoma bronquioloalveolar. Se aprecian células epiteliales malignas tapizando espacios alveolares. Esta neoplasia crece sobre el epitelio alveolar respetando la aquitec-
tura original. De acuerdo a la clasificación actual de neoplasias de la Organización Mundial de la Salud, se le considera un carcinoma in situ, es decir, preinvasivo. Si se demuestra invasión,
se le denomina adenocarcinoma con patrón de crecimiento lepídico.
© 2007 Editorial Médica Panamericana, S.A de C.V.
Cisfarm
294 Patología especial
FIGURA 11-24. Acercamiento del aspecto macroscopico de
un mesotelioma. Esta neoplasia, de muy mal pronóstico, tiende
a crecer alrededor del pulmón. Lo característico es que rodea
al pulmón sin gran invasión parenquimatosa pero siguiendo los
espacios ocupados por mesotelio (pleura, peritoneo).
© 2007 Editorial Médica Panamericana, S.A de C.V.
Cisfarm
C11 Patología del aparato respiratorio 295
I. Vía aerógena o broncógena
1) Aspiración de material séptico
2) Postneumónico
3) Obstrucción
4) Postraumático
II. Vía hematógena
1) Embolias sépticas
2) Infarto pulmonar séptico (émbolo séptico)
3) Secundaria a septicemia
III. Por contigüidad o directa
1) Absceso subfrénico
2) Absceso hepático
3) Herida penetrada de tórax
TABLA 11-2
Vías por las cuales los microorganismos piógenos
pueden llegar al pulmón
Pulmón de choque
Pulmón húmedo
Pulmón de bomba
Pulmón rígido
Pulmón postraumático
Pulmón asociado a toxicidad por oxígeno
Pulmón de respirador
Atelectasia congestiva
Síndrome de membranas hialinas del adulto
Síndrome de Insuficiencia Respiratoria Progresiva del
Adulto (SIRPA)
Sinónimos utilizados para el síndrome
de daño alveolar difuso
TABLA 11-1
Panacinar (panlobulillar) Afecta al acino completo (se asocia a deficiencia de alfa 1
tripsina).
Centroacinar (centrolobulillar) Afecta porciones proximales del acino (se asocia a
tabaquismo).
Paraseptal o distal Afecta al acino distal (se asocia a neumotórax espontáneo).
Irregular o cicatrizal Se encuentra en la vecindad de cicatrices (por tracción).
Otros (compensatorio, buloso,
intersticial, senil)
TABLA 11-5 Clasificación anatómica del enfisema
Aspergilosis intrabronquial alérgica
Aspergiloma
Granulomatosis broncocéntrica
Neumonía por aspergillus
Aspergilosis invasora con vasculitis
Empiema por aspergillus
TABLA 11-4
Formas de respuesta tisular pulmonar al
aspergillus.
Levaduras Candidiosis Candida albicans
Criptococosis Cryptococcus neoformans
Filamentos Aspergilosis Aspergillus fumigatus
Ficomicetos Mucormicosis Mucor
Dimórficos Histoplasmosis Histoplasma capsulatum
Blastomicosis Blastomyces dermatiditis
Coccidioidomicosis Coccidioides immitis
Esporotricosis Sporotrix shenckii
TABLA 11-3 Hongos que producen infecciones pulmonares
© 2007 Editorial Médica Panamericana, S.A de C.V.
Cisfarm
296 Patología especial
De causa conocida
Polvos inorgánicos Silicio, berilio, aluminio, otros
Polvos orgánicos Bagasosis, neumonitis por hipersensibilidad;
(véase tabla 11-7)
Polvos químicos Baquelita y otros
Gases Oxígeno, cloro, otros
Vapores Óxidos de Zn, Cu, Mg, Cd, otros
Aerosoles Grasas, aceites, otros
Medicamentos Nitrofurantoína, otros
Radiaciones
Agentes infecciosos
Varios Uremia, insuficiencia cardiaca crónica, otras
Causa desconocida:
Neumonía intersticial usual o clásica (fibrosis pulmonar idiopática, síndrome de
Hamman y Rich)
Neumopatías asociadas a enfermedades del tejido conectivo
Sarcoidosis
Microlitiasis alveolar
Histiocitosis de células de Langerhans (Histiocitosis X)
Síndrome de Goodpasture
Hemosiderosis pulmonar idiopática
Procesos infiltrativos linfoides
Vasculitis pulmonares granulomatosis de Wegener, PAN, Churg y Strauss)
Enfermedad venooclusiva pulmonar
Granulomatosis broncocéntrica
Lesión de las vías aéreas con fibrosis intersticial (BOOP)
TABLA 11-6 Enfermedades que afectan al intersticio pulmonar
ENFERMEDAD AGENTE ASOCIADO CON
Bagasosis Thermoactinomyces vulgaris Bagazo de la caña de azúcar
Pulmón del granjero Micropolyspora faeni Heno, paja, silos
Enfermedad de los “queseros” Penicillium casei
Aspergillus clavatus Queso con mohos
Enfermedad de los que cuidan palomas antígenos aviarios Palomas, pollos, pericos
Enfermedad de los cafetaleros polvo del grano de café
Enfermedad de los bañistas de sauna Aureobasidium sp. Agua de baños sauna contaminada
Pulmón de los tabacaleros Aspergillus sp. Planta del tabaco
TABLA 11-7 Algunos ejemplos de neumonitis por hipersensibilidad
© 2007 Editorial Médica Panamericana, S.A de C.V.
Cisfarm
C11 Patología del aparato respiratorio 297
Crisotila Silicato de Fe, Mg y Al, es el más usado.
Amosita Posee más sílice que el anterior, más Fe y
menos Mg. Fibras más largas.
Crocidolita Contiene benzopireno. Es el más relacio-
nado con neoplasias malignas.
TABLA 11-9 Clasificación de los asbestos
AGENTE FUENTE
Sílice y silicatos Abrasivos, cerámica, minería,
vidrio
Asbestos Aislantes, filtros (antiguamente
los frenos de autos)
Carbón Minería
Estaño Fundición
TABLA 11-8 Neumoconiosis
Poliarteritis nodosa
Artritis reumatoide
Lupus eritematoso sistémico
Esclerosis sistémica (esclerodermia) y síndrome de
CREST
Dermatopolimiositis
Enfermedad mixta del tejido conjuntivo
Vasculitis por hipersensibilidad
Enfermedad de Behcet
o síndrome de Hughes-Stovin
Arteritis de Takayasu
Vasculitis de células gigantes
TABLA 11-11
Vasculitis sistémicas en las que puede existir
compromiso pulmonar
Cardiopatías Insuficiencia cardiaca (numerosas causas)
Cortocircuitos cardiacos de izquierda a derecha; enfermedad de válvulas cardiacas
Mixoma y trombosis intraauricular
Enfermedad pulmonar intrínseca Enfisema, fibrosis intersticial de cualquier origen
Enfermedad vascular pulmonar Tromboembolia pulmonar
Hipertensión pulmonar primaria
Enfermedad venooclusiva pulmonar
Misceláneas Fibrosis y neoplasias mediastinales, obesidad, deformación del tórax
TABLA 11-10 Causas de hipertensión pulmonar
© 2007 Editorial Médica Panamericana, S.A de C.V.
Cisfarm
298 Patología especial
I. Tumores epiteliales
A) Benignos:
1. Papilomas
2. Adenomas
B) Displasia/carcinoma in situ
C) Malignos:
1. Carcinoma de células escamosas
(epidermoide)
2. Carcinoma de células pequeñas
3. Adenocarcinoma
a) Acinar
b) Papilar
c) Bronquioloalveolar
d) Carcinoma sólido con producción de
mucina
4. Carcinoma de células grandes
a) Carcinoma de células
Grandes neuroendocrino
Carcinoma basaloide
Carcinoma de cellulas
Grandes con fenotipo babdoide
b) Carcinoma de células claras
c) Carcinoide
Carcinoide típico
Carcinoide atípico
II. Tumores de tejidos blandos
III. Tumores mesoteliales
A) Benignos
B) Malignos
IV. Tumores misceláneos
A) Benignos
B) Malignos
V. Tumores secundarios
VI. Tumores no clasificados
VII. Lesiones semejantes a tumores
* Modificado de Organización Mundial de la Salud, 3a. ed. 2004.
TABLA 11-12
Clasificación histológica de las neoplasias
pulmonares*
© 2007 Editorial Médica Panamericana, S.A de C.V.
Cisfarm
Patología del útero, vagina,
vulva, ovario, glándula mamaria,
del embarazo y de la placenta
Patología del útero, vagina,
vulva, ovario, glándula mamaria,
del embarazo y de la placenta
Fernando de la Torre
Jaime Prat
María J. Merino
Paolo Di Castro
FIGURA 12-1. Infección por herpes virus en vulva. Zona superficial
de epitelio escamoso vulvar con cuerpos de inclusión de virus del
herpes. Nótense los grandes cuerpos acidófilos alargados dentro de
los núcleos.
12
© 2007 Editorial Médica Panamericana, S.A de C.V.
Cisfarm
300 Patología especial
FIGURA 12-2. a) Condiloma acuminado en labio menor de vulva. Nódulo blanco
y papilar, bien delimitado. b) Condiloma acuminado de vulva. Papilomatosis con
epitelio escamoso engrosado y con hiperqueratosis.
(a)
(b)
© 2007 Editorial Médica Panamericana, S.A de C.V.
Cisfarm
C12 Patología del útero, vagina, vulva, ovario, glándula mamaria, del embarazo y de la placenta 301
FIGURA 12-3. Imagen colposcópca del cérvix de una mujer joven con un engrosamiento blanquecino (acetoblanco) correspondiente a una lesión condilomatosa subclínica. (Cortesía del
Dr. Óscar Trejo Solórzano.)
© 2007 Editorial Médica Panamericana, S.A de C.V.
Cisfarm
302 Patología especial
FIGURA 12-4. Condiloma de cérvix. El efecto citopático del VPH en una zona de destrucción citoplásmica perinuclear que produce un halo perinuclear característico junto con alteración
nuclear. A estas células escamosas alteradas se les denomina coilocitos. También se aprecia macrocitosis y binucleación.
© 2007 Editorial Médica Panamericana, S.A de C.V.
Cisfarm
C12 Patología del útero, vagina, vulva, ovario, glándula mamaria, del embarazo y de la placenta 303
FIGURA 12-5. Cervicitis por clamidia. Epitelio escamoso metaplásico del cérvix con pequeñas vacuolas citoplásmicas y corpúsculos en su interior correspondientes a inclusiones de cla-
midia.
© 2007 Editorial Médica Panamericana, S.A de C.V.
Cisfarm
304 Patología especial
FIGURA 12-6. Imagen citológica de la tricomoniasis vaginal (prueba de Papanicolaou). Se reconoce un trofozoíto piriforme con cilios y un pequeño núcleo alargado. Compare el tamaño
con la célula intermedia del epitelio escamoso cervicovaginal.
© 2007 Editorial Médica Panamericana, S.A de C.V.
Cisfarm
C12 Patología del útero, vagina, vulva, ovario, glándula mamaria, del embarazo y de la placenta 305
FIGURA 12-7. Endometritis tuberculosa. Las dos zonas nodulares en el estroma corresponden a granulomas. Las glándulas son de aspecto normal. Frecuentemente el foco de infección
se encuentra en la trompa uterina.
© 2007 Editorial Médica Panamericana, S.A de C.V.
Cisfarm
306 Patología especial
FIGURA 12-8. Zona de transformación (Z-T)
del cérvix.
© 2007 Editorial Médica Panamericana, S.A de C.V.
Cisfarm
C12 Patología del útero, vagina, vulva, ovario, glándula mamaria, del embarazo y de la placenta 307
FIGURA 12-9. Adenomiosis. El miometrio está intensamente engrosado y
trabeculado con pequeños quistes correspondientes a endometrio ectópico.
Característicamente produce aumento de espesor asimétrico del miometrio
corporal.
© 2007 Editorial Médica Panamericana, S.A de C.V.
Cisfarm
308 Patología especial
FIGURA 12-10. Pólipo endometrial que ocupa la cavidad
endometrial. Habitualmente se adaptan a la forma de la
cavidad y no la deforman significativamente. Son blandos,
de crecimiento lento y pueden producir sangrado.
© 2007 Editorial Médica Panamericana, S.A de C.V.
Cisfarm
C12 Patología del útero, vagina, vulva, ovario, glándula mamaria, del embarazo y de la placenta 309
FIGURA 12-11. a) Hiperplasia adenomatosa o compleja del endometrio. Las
glándulas muestran proliferación en la forma de yemas ramificadas a partir de
las glándulas originales. b) Hiperplasia simple del endometrio. Se compara una
glándula normal en el lado derecho con una glándula grande y con epitelio aglo-
merado en el lado izquierdo.
(a)
(b)
© 2007 Editorial Médica Panamericana, S.A de C.V.
Cisfarm
310 Patología especial
FIGURA 12-12. a) Adenocarcinoma endometrial. La cavidad está ocupada por un gran tumor exofítico y nodular. El útero está aumentado de tamaño y hubo sangrado transvaginal. b)
Carcinoma adenoscamoso del endometrio. Se observa el componente glandular y placas de epitelio escamoso en el mismo tumor.
(a) (b)
© 2007 Editorial Médica Panamericana, S.A de C.V.
Cisfarm
C12 Patología del útero, vagina, vulva, ovario, glándula mamaria, del embarazo y de la placenta 311
FIGURA 12-13. Tumor mixto mesodérmico (mülleriano) del útero. Doble componente, glandular y mesenquimatoso. En el componente mesenquimatoso hay células grandes de citoplasma
acidófilo con diferenciación a músculo estriado. Corresponde a un tumor heterólogo.
© 2007 Editorial Médica Panamericana, S.A de C.V.
Cisfarm
312 Patología especial
FIGURA 12-14. Leiomioma uterino. Las células musculares forman grandes fascículos separados por colágena en bandas de espesor variable (tinción tricrómica de Masson).
© 2007 Editorial Médica Panamericana, S.A de C.V.
Cisfarm
C12 Patología del útero, vagina, vulva, ovario, glándula mamaria, del embarazo y de la placenta 313
FIGURA 12-15. a) Leiomiomas uterinos. Útero con múltiples nódulos bien circunscritos,
subserosos e intramurales. También se reconoce un quiste seroso del ovario. b) Leiomioma
submucoso pediculado que se ha prolapsado a través del canal y el orificio cervical externo
hasta la vagina. Clínicamente se observa como un gran pólipo en el fondo de la vagina.
(b)
(a)
© 2007 Editorial Médica Panamericana, S.A de C.V.
Cisfarm
314 Patología especial
FIGURA 12-16. Imagen histológica de un condiloma del cérvix. El epitelio es grueso y hay extensa coilocitosis en capas medias y superficiales, así como proliferación de las células pro-
fundas.
© 2007 Editorial Médica Panamericana, S.A de C.V.
Cisfarm
C12 Patología del útero, vagina, vulva, ovario, glándula mamaria, del embarazo y de la placenta 315
FIGURA 12-17. a) Neoplasia intraepitelial cervical grado 3 (lesión intraepitelial escamosa
de alto grado). Imagen obtenida mediante colposcopio que muestra una amplia zona perio-
rificiaria acetoblanca bien delimitada y realzada, con puntilleo. (Cortesía del Dr. Óscar Trejo
Solórzano.) b) Neoplasia intraepitelial del cérvix grado 3 (NIC III) descubierta mediante estu-
dio de Papanicolaou. Numerosas células inmaduras de núcleos grandes y escaso citoplasma
(técnica de Papanicolaou). c) Neoplasia intraepitelial del cérvix grado 2 (NIC II). Lámina de
epitelio escamoso atípico con células grandes e inmaduras que ocupan todo el espesor del
epitelio. Por técnicas de biología molecular se demostró la presencia de genoma de virus de
papiloma humano de los grupos de alto riesgo 16/18.
(a)
(b)
(c)
© 2007 Editorial Médica Panamericana, S.A de C.V.
Cisfarm
316 Patología especial
FIGURA 12-18. a) Condiloma ordinario del cérvix. Técnica de inmunoperoxidasa con anticuerpos contra pro-
teínas tardías de VPH. Se aprecia positividad en las capas superficiales, donde se ha sintetizado la cápside del
virus. b) Condiloma cervical. Técnica de hibridación de ADN in situ para VPH de los tipos 31/33/35. Se demues-
tra la positividad en los núcleos en diferentes zonas del epitelio alterado. (Ambas imágenes son cortesía del
Dr. Patricio Gariglio.)
(a)
(b)
© 2007 Editorial Médica Panamericana, S.A de C.V.
Cisfarm
C12 Patología del útero, vagina, vulva, ovario, glándula mamaria, del embarazo y de la placenta 317
FIGURA 12-19. Carcinoma epidermoide invasor del cérvix. a) Cérvix abierto que revela una úlce-
ra irregular y profunda en la zona de transformación asociada a un componente exofítico papilar.
b) Epitelio anormal que penetra con ramificaciones irregulares y anguladas al estroma cervical.
Hay inflamación ante el proceso infiltrante. c) Adenocarcinoma papilar del cérvix. El tumor es exo-
fítico y revela numerosas prolongaciones digitiformes así como invasión al estroma en su base.
(b)
(c)
(a)
© 2007 Editorial Médica Panamericana, S.A de C.V.
Cisfarm
318 Patología especial
FIGURA 12-20. Carcinoma de ano asociado a condiloma perianal. (Cortesía del Dr. Óscar
Coyoli García.)
© 2007 Editorial Médica Panamericana, S.A de C.V.
Cisfarm
C12 Patología del útero, vagina, vulva, ovario, glándula mamaria, del embarazo y de la placenta 319
FIGURA 12-21. a) Folículo primordial. La célula germinal y ovogonia
—que en este caso es multinucleada— aparece rodeada por una fina
capa de células de la granulosa. En torno al folículo se observan fibro-
blastos del estroma ovárico. b) Folículo de Graaf cavitado y constituido
por una colección central de células de la granulosa que rodea al óvulo.
El estroma circundante aparece condensado y se encuentra constituido
por células de la teca.
(a)
(b)
© 2007 Editorial Médica Panamericana, S.A de C.V.
Cisfarm
320 Patología especial
FIGURA 12-22. Quistes endometrióticos bilaterales. Se observa el contenido “achocolatado” característico.
© 2007 Editorial Médica Panamericana, S.A de C.V.
Cisfarm
C12 Patología del útero, vagina, vulva, ovario, glándula mamaria, del embarazo y de la placenta 321
FIGURA 12-23. Ovario poliquístico. a) El ovario está aumentado de
tamaño, muestra superficie blanquecina y contiene numerosos quis-
tes foliculares. b) Los quistes se encuentran revestidos por una fina
capa de células de la granulosa rodeada de una abundante colección
de células de la teca luteinizadas.
(a)
(b)
© 2007 Editorial Médica Panamericana, S.A de C.V.
Cisfarm
322 Patología especial
FIGURA 12-24. Hipertecosis del estroma ovárico. Nido central de células esteroides (células del estroma luteinizadas) productoras de andrógenos, rodeado de estroma ovárico hiperce-
lular.
© 2007 Editorial Médica Panamericana, S.A de C.V.
Cisfarm
C12 Patología del útero, vagina, vulva, ovario, glándula mamaria, del embarazo y de la placenta 323
FIGURA 12-25. Histogénesis de los tumores ováricos, frecuencia y distribución por edades.
Origen Células epiteliales Células germinales Cordones sexuales Metástasis
superficiales (tumores estroma
epiteliales comunes)
Frecuencia 65-70% 15-20% 5-10% 5%
Edades Más de 20 años De 0 a 25 años Todas las edades Variable
Tipos Tumor seroso • Teratoma • Fibroma
Tumor mucinoso • Disgerminoma • Tumor de células de
Tumor endometrioide • Tumor del saco la granulosa-teca
Tumor de células claras vitelino • Tumor de células de
Tumor de Brenner • Coriocarcinoma Sertoli-Leydig
Tumor inclasificable
© 2007 Editorial Médica Panamericana, S.A de C.V.
Cisfarm
324 Patología especial
FIGURA 12-26. Cistoadenoma seroso. Quiste unicameral de superficie externa lisa y blanquecina. En su interior había líquido claro.
© 2007 Editorial Médica Panamericana, S.A de C.V.
Cisfarm
C12 Patología del útero, vagina, vulva, ovario, glándula mamaria, del embarazo y de la placenta 325
FIGURA 12-27. Cistoadenoma seroso de malignidad borderline (de bajo potencial de malignidad). a) La superficie interna del quiste muestra papilas blanquecinas que resultan de la
proliferación epitelial. b) Se observa marcada proliferación epitelial con nidos celulares aislados. El estroma tiene aspecto uniforme y edematoso en las papilas. No se observa invasión
destructiva.
(a) (b)
© 2007 Editorial Médica Panamericana, S.A de C.V.
Cisfarm
326 Patología especial
FIGURA 12-28. a) Cistoadenocarcinoma seroso papilar de alto grado de
malignidad. El tumor es quístico y sólido. El componente sólido muestra al
corte un color amarillento debido a necrosis. b) Carcinoma seroso papilar.
Las células neoplásicas se agrupan en pequeños nidos y forman papilas que
contienen ejes conectivo-vasculares.
(a)
(b)
© 2007 Editorial Médica Panamericana, S.A de C.V.
Cisfarm
C12 Patología del útero, vagina, vulva, ovario, glándula mamaria, del embarazo y de la placenta 327
FIGURA 12-29. a) Cistoadenoma mucinoso de tipo intestinal. Múltiples
cavidades quísticas que contienen moco espeso. b) Cistadenoma
mucinoso benigno de tipo intestinal. Se observa una hilera de células
columnares con núcleos basales y citoplasma eosinofílico con células
caliciformes ocasionales.
(b)
(a)
© 2007 Editorial Médica Panamericana, S.A de C.V.
Cisfarm
328 Patología especial
FIGURA 12-30. Cistoadenocarcinoma mucinoso bien diferenciado. Nido central de células apiteliales con arquitectura “cribiforme” secundaria a necrosis.
© 2007 Editorial Médica Panamericana, S.A de C.V.
Cisfarm
C12 Patología del útero, vagina, vulva, ovario, glándula mamaria, del embarazo y de la placenta 329
FIGURA 12-31. Seudomixoma peritoneal en una paciente de 41 años de edad con
antecedentes de cistadenoma mucinoso ovárico de tipo intestinal resecado seis años
antes. Se observa una abundante colección de material mucoide que rodea las vísceras
abdominales.
© 2007 Editorial Médica Panamericana, S.A de C.V.
Cisfarm
330 Patología especial
FIGURA 12-32. a) Citoadenocarcinoma endometrioide. Tumor de gran tamaño, sólido y quístico, hemorrágico y necrótico. b) Adenocarcinoma endometrioide con diferenciación escamosa
(adenoacantoma).
(b)
(a)
© 2007 Editorial Médica Panamericana, S.A de C.V.
Cisfarm
C12 Patología del útero, vagina, vulva, ovario, glándula mamaria, del embarazo y de la placenta 331
FIGURA 12-33. Tecoma. Su aspecto es semejante al del fibroma, pero muestra color amarillo por su elevado contenido de hormonas esteroides. Se trata de un tumor funcionante.
© 2007 Editorial Médica Panamericana, S.A de C.V.
Cisfarm
332 Patología especial
FIGURA 12-34. Tumor de células de la granulosa. La superficie de corte
muestra numerosos espacios quísticos rellenos por coágulos sanguíneos
separados por zonas sólidas de color gris-amarillo.
© 2007 Editorial Médica Panamericana, S.A de C.V.
Cisfarm
C12 Patología del útero, vagina, vulva, ovario, glándula mamaria, del embarazo y de la placenta 333
FIGURA 12-35. a) Tumor de células de la granulosa. Se observan numerosos microfolículos rodeados por células de la granulosa. El aspecto oval y uniforme de los núcleos es característico
y permite distinguirlos de los del carcinoma indiferenciado. b) Tumor de células de la granulosa juvenil. Varios folículos rudimentarios revestidos por células que muestran cierto grado de
pleomorfismo nuclear. El estroma adyacente contiene células de la teca luteinizadas.
(b)
(a)
© 2007 Editorial Médica Panamericana, S.A de C.V.
Cisfarm
334 Patología especial
FIGURA 12-36. Tumor de células de Sertoli-Leydig bien diferenciado. El aspecto histológico recuerda al de un testículo fetal. Se observan túbulos revestidos por células de Sertoli (izquierda)
y nidos de células esteroides tipo Leydig (derecha).
© 2007 Editorial Médica Panamericana, S.A de C.V.
Cisfarm
C12 Patología del útero, vagina, vulva, ovario, glándula mamaria, del embarazo y de la placenta 335
FIGURA 12-37. Tumor de células esteroides (lipoide) inespecífico. Las células de contornos poligonales contienen citoplasma eosinofílico abundante y núcleos redondos uniformes. Estas
células son idénticas a las que se encuentran en el intersticio del testículo y en la corteza suprarrenal.
© 2007 Editorial Médica Panamericana, S.A de C.V.
Cisfarm
336 Patología especial
FIGURA 12-39. a) Disgerminoma ovárico. Las células contienen
núcleos redondos inmaduros y citoplasmas de aspecto vacuolado
de contenido rico en glucógeno. Los márgenes citoplásmicos son
bien definidos y en los septos se observan numerosos linfocitos.
b) Tumor del saco vitelino. Arquitectura laberíntica y numerosos
cuerpos glomeruloides de Schiller-Duval.
(b)
(a)
© 2007 Editorial Médica Panamericana, S.A de C.V.
Cisfarm
C12 Patología del útero, vagina, vulva, ovario, glándula mamaria, del embarazo y de la placenta 337
FIGURA 12-40. Teratoma quístico maduro. El quiste contiene sebo de color amarillo y pelos.
© 2007 Editorial Médica Panamericana, S.A de C.V.
Cisfarm
338 Patología especial
FIGURA 12-41. Teratoma inmaduro. Tumor sólido de aspecto cerebroide (por su contenido en tejido neural), con amplias zonas hemorrágicas y necróticas.
© 2007 Editorial Médica Panamericana, S.A de C.V.
Cisfarm
C12 Patología del útero, vagina, vulva, ovario, glándula mamaria, del embarazo y de la placenta 339
FIGURA 12-42. Teratoma inmaduro grado histológico III. Tejido neural inmaduro hipercelular con extensa necrosis central. Se observan neurotúbulos que simulan estadios normales del
desarrollo de sistema nervioso central.
© 2007 Editorial Médica Panamericana, S.A de C.V.
Cisfarm
340 Patología especial
FIGURA 12-43. Tumor de Krukenberg. Se observan nidos de células mucosecretoras en anillo de sello rodeadas por una llamativa proliferación fibroblástica del estroma. El tumor primario
se encontraba en el antro gástrico.
© 2007 Editorial Médica Panamericana, S.A de C.V.
Cisfarm
C12 Patología del útero, vagina, vulva, ovario, glándula mamaria, del embarazo y de la placenta 341
FIGURA 12-44. Lóbulo mamario normal, con conductos ácinos y estroma.
© 2007 Editorial Médica Panamericana, S.A de C.V.
Cisfarm
342 Patología especial
FIGURA 12-45. Involución mamaria con atrofia del componente epitelial.
© 2007 Editorial Médica Panamericana, S.A de C.V.
Cisfarm
C12 Patología del útero, vagina, vulva, ovario, glándula mamaria, del embarazo y de la placenta 343
FIGURA 12-46. Mama lactante con (recuadro) vacuolación citoplásmica y secreción.
© 2007 Editorial Médica Panamericana, S.A de C.V.
Cisfarm
344 Patología especial
FIGURA 12-47. Necrosis grasa de la mama.
© 2007 Editorial Médica Panamericana, S.A de C.V.
Cisfarm
C12 Patología del útero, vagina, vulva, ovario, glándula mamaria, del embarazo y de la placenta 345
FIGURA 12-48. Mastopatía fibroquística.
© 2007 Editorial Médica Panamericana, S.A de C.V.
Cisfarm
346 Patología especial
FIGURA 12-49. Mastopatía fibroquística con microquistes y proliferación epitelial, proliferación intraductal y metaplasia apocrina.
© 2007 Editorial Médica Panamericana, S.A de C.V.
Cisfarm
C12 Patología del útero, vagina, vulva, ovario, glándula mamaria, del embarazo y de la placenta 347
FIGURA 12-50. Ginecomastia. a) Aspecto macroscópico de hipertrofia. b)
Histología con hiperplasia ductal y estromal.
(b)
(a)
© 2007 Editorial Médica Panamericana, S.A de C.V.
Cisfarm
348 Patología especial
FIGURA 12-51. Fibroadenoma mamario. a) Un nódulo bien definido con b) proli-
feración de conductos, ácinos y estroma.
(b)
(a)
© 2007 Editorial Médica Panamericana, S.A de C.V.
Cisfarm
C12 Patología del útero, vagina, vulva, ovario, glándula mamaria, del embarazo y de la placenta 349
FIGURA 12-52. Papiloma intraductal.
© 2007 Editorial Médica Panamericana, S.A de C.V.
Cisfarm
350 Patología especial
FIGURA 12-53. Carcinoma intraductal. a) Conductos íntegros. b) Anaplasia
del epitelio ductal.
(b)
(a)
© 2007 Editorial Médica Panamericana, S.A de C.V.
Cisfarm
C12 Patología del útero, vagina, vulva, ovario, glándula mamaria, del embarazo y de la placenta 351
FIGURA 12-54. Carcinoma ductal infiltrante. a) Nódulo firme con retracción
del tejido vecino. b) Nódulo con infiltración por el epitelio neoplásico.
(a)
(b)
© 2007 Editorial Médica Panamericana, S.A de C.V.
Cisfarm
352 Patología especial
FIGURA 12-55. Carcinoma lobulillar. a) Infiltrante. b) Con invasión en
hileras de células.
(b)
(a)
© 2007 Editorial Médica Panamericana, S.A de C.V.
Cisfarm
C12 Patología del útero, vagina, vulva, ovario, glándula mamaria, del embarazo y de la placenta 353
FIGURA 12-56. Enfermedad de Paget del pezón con invasión de epidermis.
© 2007 Editorial Médica Panamericana, S.A de C.V.
Cisfarm
354 Patología especial
FIGURA 12-57. Cistosarcoma filoide. a) Con un nódulo lobulado. b) Con prolife-
ración epitelial en una estroma muy celular.
(b)
(a)
© 2007 Editorial Médica Panamericana, S.A de C.V.
Cisfarm
C12 Patología del útero, vagina, vulva, ovario, glándula mamaria, del embarazo y de la placenta 355
FIGURA 12-58. Angiosarcoma de la mama con espacios vasculares revestidos por células endoteliales prominentes.
© 2007 Editorial Médica Panamericana, S.A de C.V.
Cisfarm
356 Patología especial
FIGURA 12-59. Anatomía de la placenta de término. a) Relación útero-placenta. Hacia la cavidad amniótica está la cara fetal; en contacto con la decidua basal está la cara materna. De la
cara fetal se originan las membranas fetales (constituidas por corion leve y amnios) adosadas a la decidua parietal. El conjunto de vellosidades coriales irrigadas por el mismo vaso decidual
constituye un cotiledón. El conjunto de cotiledones integra el corion frondoso (placenta propiamente dicha). b) Vellosidades coriales de término. Son las unidades anatomofuncionales de
la placenta. Están cubiertas por una capa continua de sincitiotrofoblasto y en su interior ramas de los vasos umbilicales. Las vellosidades están separadas entre sí por el espacio interve-
lloso, donde circula la sangre materna. c) Barrera placentaria (membranas metabólicas). La separación entre la sangre materna y la fetal se da por el trofoblasto, su membrana basal, la
membrana basal del endotelio y el endotelio mismo.
(a) (c)
(b)
© 2007 Editorial Médica Panamericana, S.A de C.V.
Cisfarm
C12 Patología del útero, vagina, vulva, ovario, glándula mamaria, del embarazo y de la placenta 357
FIGURA 12-60. Anormalidades de la
implantación. Se observa una placen-
ta de inserción baja, en contacto
con el orificio cervical interno, y una
placenta previa que lo ocluye total-
mente. En el lado derecho se mues-
tran las tres variedades de acretismo
placentario: placenta accreta (vellosi-
dades en contacto con el miometrio),
placenta increta (vellosidades en el
espesor del miometrio) y placen-
ta percreta (las vellosidades infiltran
todas las capas de la pared uterina,
incluyendo la serosa).
© 2007 Editorial Médica Panamericana, S.A de C.V.
Cisfarm
358 Patología especial
FIGURA 12-61. Pieza de histerectomía por acretismo. La paciente presentó hemorragia intensa y retención de la placenta. El útero es de tipo puerperal, grande, no contraído (subinvo-
lucionado), y se observa una placenta de inserción baja que involucra todo el espesor de la pared uterina (placenta percreta).
© 2007 Editorial Médica Panamericana, S.A de C.V.
Cisfarm
C12 Patología del útero, vagina, vulva, ovario, glándula mamaria, del embarazo y de la placenta 359
FIGURA 12-62. Fisiopatología de la enfermedad hipertensiva aguda del embarazo (preclampsia-eclampsia). (Modificado de Cavanagh y O’Connor.)
© 2007 Editorial Médica Panamericana, S.A de C.V.
Cisfarm
360 Patología especial
FIGURA 12-63. Anatomía patológica de la enfermedad hipertensiva aguda del embarazo. a) Lecho placentario
(decidua basal) con vasos arteriales con aterosis aguda. La íntima muestra abundantes células de citoplasma
espumoso que sustituyen la pared. Hay necrosis fibrinoide de la media. La lesión es similar a la observada
en el rechazo de injerto renal, por lo cual se ha especulado sobre un origen inmunológico. b) La placenta es
pequeña y en la cara materna se observan múltiples áreas de infarto (pálidos, café amarillento, bien delimi-
tados) y hematomas. Estas lesiones son consecuencia de la interrupción del flujo vascular decidual y de la
ruptura vascular, respectivamente. Grandes hematomas se pueden asociar a desprendimiento prematuro
de la placenta (abruptio placentae). c) En el hígado se observan múltiples áreas de hemorragia, de predomi-
nio subcapsular. d) La lesión renal afecta al endotelio del glomérulo (endoteliosis) y consiste en aumento del
tamaño citoplásmico con vacuolización. Esta lesión, igual que la hepática, involuciona después del nacimiento
del feto. e) Sistema nervioso central: hay múltiples focos de hemorragia, a veces petequial; la anoxia neuronal
resultante es la responsable de las crisis convulsivas de la eclampsia.
(a) (b)
(c) (d)
(e)
© 2007 Editorial Médica Panamericana, S.A de C.V.
Cisfarm
C12 Patología del útero, vagina, vulva, ovario, glándula mamaria, del embarazo y de la placenta 361
FIGURA 12-64. Corte histológico de pulmón en embolia de líquido amniótico. Los capilares pulmonares contienen escamas de la piel del feto (de color azul).
© 2007 Editorial Médica Panamericana, S.A de C.V.
Cisfarm
362 Patología especial
FIGURA 12-65. Infección perinatal. a) Infección perinatal de tipo ascendente. Los microorganismos cervicovaginales se extienden a la cavidad amniótica. Si el feto inhala el líquido
amniótico infectado desarrollará una neumonía congénita de adquisición intrauterina. La infección producirá liberación de prostaglandinas, que resultará en contractilidad del miometrio y
la liberación de elastasas por los neutrófilos ocasionará ruptura de membranas fetales. La contractilidad y la ruptura de membranas son responsables de un parto inmaduro (antes de 28
semanas de gestación) o pretérmino (antes de 37 semanas). b) Corioamnionitis. La cara materna con coloración amarillenta de las membranas. El feto es inmaduro. El inserto muestra
el abundante exudado de neutrófilos. c) Infección perinatal hematógena. Involucra a las vellosidades coriales y al feto. La infección generalmente es llevada a la placenta a través de la
sangre materna, pero también puede originarse por la reactivación de focos infecciosos en el endometrio o decidua (por ejemplo tuberculosis). Los agentes patógenos cruzan la barrera
placentaria y se introducen en los vasos de las vellosidades para llegar al feto por la circulación umbilical. d) Placenta en infección por citomegalovirus. En el interior de una vellosidad
corial se aprecian las características inclusiones intranucleares e intracitoplásmicas. (Caso cortesía de la Dra. Lourdes Molinar.)
(b)
(a)
(c) (d)
© 2007 Editorial Médica Panamericana, S.A de C.V.
Cisfarm
C12 Patología del útero, vagina, vulva, ovario, glándula mamaria, del embarazo y de la placenta 363
FIGURA 12-66. Patología frecuente del cordón umbilical. a) Inserción
velamentosa del cordón. Los vasos se ramifican sobre las membranas
fetales. b) Arteria umbilical única. Se observan sólo dos vasos, una
arteria (luz pequeña) y una vena (luz grande). Por fuera de ellos, la gela-
tina de Warthon.
(b)
(a)
© 2007 Editorial Médica Panamericana, S.A de C.V.
Cisfarm
364 Patología especial
FIGURA 12-67. Tipos de placenta gemelar. a) Monocorial
monoamniótica. Los dos fetos están en la misma cavidad amnió-
tica y son monocigotos. b) Monocorial diamniótica. Los gemelos
son monocigotos, cada uno en una diferente bolsa amniótica. c)
Dicorial fusionada. Son dos placentas estrechamente unidas; los
gemelos pueden ser dicigotos (85% de los casos) o monocigotos
(15%). d) Dicorial separada. Se aprecian dos placentas aisladas.
La correlación de cigocidad es igual al tipo anterior.
(a) (b)
(d)
(c)
© 2007 Editorial Médica Panamericana, S.A de C.V.
Cisfarm
C12 Patología del útero, vagina, vulva, ovario, glándula mamaria, del embarazo y de la placenta 365
FIGURA 12-68. a) Trompa uterina en embarazo ectópico tubario. La porción ampular está dilatada, la pared congestiva. La luz ocupada por coágulos y el saco gestacional, con embrión
de 8 mm. b) Imagen microscópica: las vellosidades están implantadas en la mucosa tubaria. c) Endometrio con reacción de Arias-Stella. Las glándulas están dilatadas, de borde aserrado,
revestidas por células de citoplasma claro y núcleos grandes atípicos.
(b)
(a)
(c)
© 2007 Editorial Médica Panamericana, S.A de C.V.
Cisfarm
366 Patología especial
FIGURA 12-69. a) Pieza de histerectomía en bloque (útero y producto de la concepción) con mola hidatidiforme completa: se observan múltiples vesículas translúcidas o café claro,
de casi 2 cm de diámetro. b) Imagen microscópica de la mola hidatidiforme. Las vellosidades son hidrópicas, avasculares y con grado variable de hiperplasia del trofoblasto. No hay
correlación entre el grado de hiperplasia del trofoblasto y el pronóstico para la paciente.
(b)
(a)
© 2007 Editorial Médica Panamericana, S.A de C.V.
Cisfarm
C12 Patología del útero, vagina, vulva, ovario, glándula mamaria, del embarazo y de la placenta 367
FIGURA 12-70. Pieza de histerectomía con mola invasora. La lesión es focal, en el espesor del miometrio, por lo cual el legrado uterino no sirve para su diagnóstico.
© 2007 Editorial Médica Panamericana, S.A de C.V.
Cisfarm
368 Patología especial
FIGURA 12-71. Aspecto macro y microscópico del coriocarcinoma.
La lesión es pequeña, involucra el fondo uterino, se extiende al miome-
trio; es necrótica, rojiza, de bordes mal definidos. Los ovarios muestran
grandes quistes tecaluteínicos secundarios a los niveles elevados de
hCG. Microscópicamente se observan cordones o masas formadas
por dos tipos de células, las externas de citoplasma más oscuro, que
corresponden al sincitiotrofoblasto, y las internas de citoplasma claro,
citotrofoblasto.
(b)
(a)
© 2007 Editorial Médica Panamericana, S.A de C.V.
Cisfarm
C12 Patología del útero, vagina, vulva, ovario, glándula mamaria, del embarazo y de la placenta 369
AGENTE ENFERMEDAD PRODUCIDA
1. Virus herpes simplex Herpes genital
2. Virus del papiloma humano Condiloma, displasias y cáncer genital
3. Virus de la hepatitis B Hepatitis B
4. Virus de la inmunodeficiencia humana SIDA
5. Virus del molusco contagioso Molusco contagioso
6. Chlamydia trachomatis Clamidiasis
7. Calymmatobacterium (Donovania) granulomatis Granuloma inguinal
8. Haemophilus ducreyi Chancroide
9. Treponema pallidum Sífilis
10. Neisseria gonorrhoeae Blenorragia (gonorrea)
11. Gardnerella vaginalis Vaginosis bacteriana
12. Trichomonas vaginalis Tricomoniasis
13. Entamoeba histolytica Amibiasis genital
14. Giardia lamblia Giardiasis
15. Sarcoptes scabiei Escabiasis (sarna)
16. Phthirus pubis Pediculosis púbica
TABLA 12-1 Enfermedades de transmisión sexual
1. Historia clínica
2. Observación clínica, directa o con técnicas de
microscopia como la colposcopia, la vulvoscopia
o la peniscopia
3. Cultivo de las lesiones
4. Serología
5. Estudio microscópico en fresco
6. Citología
7. Biopsia convencional
8. Inmunohistoquímica
9. Biología molecular
10. Microscopia electrónica
TABLA 12-2
Procedimientos para diagnóstico de enfermedades
infecciosas genitales
L1, L2, L3 Linfogranuloma venéreo
A, B, Ba, C Tracoma
B, D, E, F, G, H, I, J, K Uretritis, cervicitis,
enfermedad inflamatoria
pélvica, conjuntivitis,
epididimitis, perihepatitis,
neumonía de lactantes
TABLA 12-3
Inmunotipos de Chlamydia trachomatis
y síndromes clínicos
© 2007 Editorial Médica Panamericana, S.A de C.V.
Cisfarm
370 Patología especial
1. Manipulación quirúrgica u obstétrica
2. Depresión inmunofisiológica (embarazo)
3. Depresión inmune grave (inmunosupresión médica o
SIDA)
4. Modificación del microambiente vaginal (disminución
de la acidez vaginal)
5. Prolapso uterino
6. Obstrucciones del canal cervical o la cavidad uterina
7. Aplicación de DIU o tapones vaginales
8. Focos sépticos
a. Vías genitales inferiores o a distancia
b. Rotura prematura de membranas
c. Neoplasias con necrosis e infección secundaria
9. Traumatismos (maniobras abortivas, violación, otros)
TABLA 12-6 Factores que favorecen las infecciones uterinas
Sífilis primaria
Chancro
Sífilis secundaria
Condiloma plano en mucosas
Erupción maculopapular generalizada con afección
palmoplantar
Alopecia
Linfadenopatía
Hepatitis
Síndrome neurótico
Uveítis
Sílilis latente
Asintomática, con serología positiva
Sífilis terciaria
Neurosífilis
Sífilis cardiovascular
Gomas (lesiones granulomatosas)
TABLA 12-5 Etapas evolutivas de la sífilis
Infecciosas (enfermedades por transmisión sexual ulcerativas):
Granuloma inguinal Calymmatobacterium (Donovania) granulomatis
Linfogranuloma venéreo Chlamydia trachomatis
Chancroide (chancro blando) Haemophilus ducreyi
Sífilis (chancro) Treponema pallidum
Herpes genital Herpes simplex
Ulceropatía genital por cocos grampositivos Cocos grampositivos (estreptococos, estafilococos)
Candidosis Candida
Tuberculosis genital Mycobacterium tuberculosis
No infecciosas:
Trauma
Inflamatorias no infecciosas
Síndrome de Behçet
Neoplasias malignas:
Carcinoma epidermoide in situ (NIVU) o invasor
Melanoma maligno
Enfermedad de Paget
TABLA 12-4 Causas de úlcera en genitales externos (ulceropatía genital)
© 2007 Editorial Médica Panamericana, S.A de C.V.
Cisfarm
C12 Patología del útero, vagina, vulva, ovario, glándula mamaria, del embarazo y de la placenta 371
Sarcomas puros
Homólogos (tejidos propios del útero):
Leiomiosarcorna
Sarcoma del estroma endometrial
bajo grado
alto grado
Heterólogos (tejidos ajenos al útero):
Rabdomiosarcoma, condrosarcoma, osteosarcoma,
etcétera
Tumores mixtos mesodérmicos (müllerianos)
Homólogos o heterólogos
TABLA 12-10 Clasificación de sarcomas de útero
Benignos
Adenofibroma
Adenomioma
Malignos
Adenosarcoma
homólogo
heterólogo
Carcinosarcoma (tumor mixto mesodérmico o
mülleriano)
homólogo
heterólogo
Carcinofibroma
Tomado de International Society of Gynecologic Pathologists.
1989.
TABLA 12-11 Clasificación de tumores endometriales mixtos
1. Obesidad
2. Síndrome de ovarios poliquísticos (Stein-Leventhal)
3. Administración exógena de estrógenos
4. Neoplasias ováricas productoras de estrógenos
5. Ciclos anovulatorios (disfunción ovárica-hipotalámica)
TABLA 12-7
Condiciones asociadas a producción anormal
de estrógenos u hormonas relacionadas
Hiperplasia simple (con o sin atipia)
Hiperplasia compleja o adenomatosa (con o sin atipia)
TABLA 12-8 Clasificación de la hiperplasia endometrial (OMS)
A. Adenocarcinoma
Adenocarcinoma endometrioide
Carcinoma adenoscamoso (incluye adenoacantoma)
Adenocarcinoma mucinoso
Adenocarcinoma papilar seroso
Adenocarcinoma de células claras
B. Carcinoma de células pequeñas
C. Carcinoma epidermoide
TABLA 12-9 Clasificación de carcinoma endometrial
© 2007 Editorial Médica Panamericana, S.A de C.V.
Cisfarm
372 Patología especial
REAGAN RICHART MEISELS SISTEMA BETHESDA
Displasia leve NIC I Condiloma ordinario Lesión intraepitelial escamosa de bajo grado
Displasia moderada NIC II Condiloma atípico
Displasia intensa NIC III Lesión intraepitelial escamosa de alto grado
Carcinoma epidermoide in situ
TABLA 12-12 Clasificación de las lesiones premalignas del cuello uterino
1. Infección por virus de papiloma humano
2. Inicio de vida sexual activa antes de los 17 años
3. Multiparidad
4. Tabaquismo
5. Historia de enfermedades de transmisión sexual
repetidas
6. Promiscuidad sexual (múltiples parejas sexuales o pa-
reja masculina de riesgo)
7. Inmunosupresión
TABLA 12-13
Factores de riesgo para el desarrollo de
lesiones premalignas o carcinoma del cérvix
Estadio I Carcinoma confinado al cérvix
Estadio II Carcinoma que se extiende fuera del cérvix
pero sin llegar a la pared pélvica y/o que
invade la vagina pero sin llegar al tercio
inferior
Estadio III Carcinoma que se extiende hasta la pared
pélvica y/o al tercio inferior de la vagina.
Estadio IV Carcinoma que se extiende más allá de la
pelvis verdadera y/o que ha invadido la
mucosa de la vejiga o el recto.
Tomado de International Federation of Gynecology and Obstetrics
(FIGO). 1985.
TABLA 12-14
Carcinoma del cérvix
Clasificación por etapa clínica
1. Carcinomas:
a) Carcinoma epidermoide
queratinizante
no queratinizante de células grandes
no queratinizante de células pequeñas
tipo verrugoso
b) Adenocarcinoma
c) Carcinoma adenoescamoso
d) Carcinoma transicional
e) Carcinoma endocrino
2. Sarcomas:
a) Leiomiosarcoma
3. Otros tipos:
a) Tumor mixto mesodérmico (mülleriano)
b) Melanoma maligno
TABLA 12-15
Neoplasias malignas del cérvix
Clasificación histológica
© 2007 Editorial Médica Panamericana, S.A de C.V.
Cisfarm
C12 Patología del útero, vagina, vulva, ovario, glándula mamaria, del embarazo y de la placenta 373
1. Carcinomas:
a) Carcinoma epidermoide
Tipo clásico o común (asociado o no a infección
por VPH)
Basaloide (asociado a infección por VPH)
Condilomatoso (asociado a infección por VPH)
Verrugoso ("verrucoso") (asociado a infección por
VPH)
b) Carcinoma basocelular
c) Adenocarcinoma
Carcinoma adenoide quístico
Enfermedad de Paget vulvar
Adenocarcinomas de glándulas sudoríparas
2. Sarcomas:
a) Leiomiosarcoma
b) Otros tipos (raros)
3. Otros tipos:
a) Melanoma maligno
TABLA 12-17
Neoplasias malignas de la vulva
Clasificación histológica
Los grados 1 y 2 son poco comunes, la mayoría corres-
ponde a NIVU 3.
La mayoría de las lesiones ocurre entre los 20 y los 40
años.
La progresión a carcinoma invasor es rara, especialmen-
te en mujeres jóvenes.
El tratamiento es la escisión con estudio histopatológico
para descartar microinvasión o invasión.
TABLA 12-16
Características de la neoplasia
intraepitelial vulvar
Estadio I: Tumor limitado a los ovarios.
Estadio Ia: Tumor limitado a un ovario; no hay ascitis. La superficie externa se encuentra libre y
la cápsula intacta.
Estadio Ib: Tumor limitado a ambos ovarios; no hay ascitis. La superficie externa se encuentra
libre y la cápsula intacta.
Estadio Ic: Tumores en estadio Ia o en estadio Ib, pero con afectación de la superficie de uno o
de ambos ovarios; o con cápsula rota; o cuando hay ascitis que contiene células ma-
lignas; o en casos de lavado peritoneal positivo.
Estadio II: Tumor que afecta a uno o ambos ovarios con extensión pélvica.
Estadio IIa: Extensión y/o metástasis al útero y/o trompas.
Estadio IIb: Extensión a otros tejidos pélvicos.
Estadio IIc: Tumor en estadio IIa o IIb, pero con afectación de la superficie de uno o de ambos
ovarios; o tumores con cápsula o cápsulas rotas; o en casos que presentan ascitis
que contiene células malignas; o cuando el lavado peritoneal es positivo.
Estadio III: El tumor afecta a uno o ambos ovarios, con implantes peritoneales extrapélvicos y/o
metástasis en ganglios inguinales o retroperitoneales. Las metástasis hepáticas su-
perficiales se consideran estadio III.
Estadio IIIa: Metástasis microscópicas en el peritoneo extrapélvico.
Estadio IIIb: Metástasis macroscópicas en el peritoneo extrapélvico de 2 cm de diámetro o
mayores.
Estadio IIIc: Metástasis en el peritoneo extrapélvico de más de 2 cm de diámetro y/o metástasis a
ganglios linfáticos retroperitoneales o inguinales.
Estadio IV: Metástasis a distancia. Los tumores con metástasis hepáticas profundas se conside-
ran en estadio IV.
Tomado de FIGO. 1988.
TABLA 12-18 Estadios del cáncer de ovario
PLACENTA CORDÓN
Forma: discoide Inserción: excéntrica
Peso: 500 g Longitud: 55 cm
Diámetro: 20 cm Diámetro: 1.0-1.2 cm
Espesor: 2.0-2.5 cm Vasos: 2 arterias, 1 vena
TABLA 12-19
Características generales de la placenta
y el cordón a término
© 2007 Editorial Médica Panamericana, S.A de C.V.
Cisfarm
374 Patología especial
Grávido:
desprendimiento de placenta
placenta previa
ruptura uterina
embarazo ectópico roto
Puerperio temprano:
atonía uterina
traumática:
desgarro
ruptura
laceración
perforación
Puerperio tardío:
retención de placenta
subinvolución del lecho placentario
TABLA 12-21
Causas de hemorragia en el estado
grávido-puerperal
b) Sin trascendencia funcional
calcificaciones
trombo intervelloso
quiste subcorial
c) Condiciones específicas
eritroblastosis fetal
enfermedades metabólicas
enfermedades genéticas
4. Patología del cordón umbilical
Véase la tabla 2-22
5. Embarazo ectópico
tubario
cervical
abdominal
ovárico
TABLA 12-20 Continuación
1. Patología materna del embarazo
a) Condiciones previas de la madre que se agravan
con la gestación:
colagenopatías
cardiopatías
diabetes mellitus
nefropatías
hipertensión arterial
b) Condiciones nuevas de la madre:
preclampsia-eclampsia
hemorragia en estado grávido-puerperal
infección puerperal
embolia de líquido amniótico
síndrome de Sheehan
2. Patología del útero obstétrico
acretismo
atonía
subinvolución
traumatismos:
ruptura, perforación
3. Patología de la placenta
a) Con trascendencia funcional
Por situación:
placenta baja
placenta previa
Por hipoperfusión:
hipotrofia
infarto
hematoma retroplacentario
Por infección:
corioamnionitis
villitis (placentitis)
Enfermedad trofoblástica gestacional
mola hidatidiforme
completa
parcial (embrionada)
mola invasora
coriocarcinoma
TABLA 12-20 Patología del embarazo y la placenta
© 2007 Editorial Médica Panamericana, S.A de C.V.
Cisfarm
C12 Patología del útero, vagina, vulva, ovario, glándula mamaria, del embarazo y de la placenta 375
TIPO ASOCIACIÓN
Cordón corto (< 30 cm) No descenso del feto
Cordón muy corto (<10 cm) Malformaciones fetales
Cordón largo (> 110 cm) Circulares, nudos
Inserción marginal y velamentosa Hipotrofia fetal
Embarazo múltiple
Arteria umbilical única Malformaciones genitourinarias del feto
Diabetes materna
Funisitis Infección ascendente
Nudo apretado Óbito fetal
Circulares apretadas Óbito fetal
TABLA 12-22 Correlación clínica de la patología del cordón umbilical
Hipoperfusión placentaria y anoxia
Infección hematógena
Eritroblastosis
Malformación cardiaca
Cromosomopatías letales (?)
Errores congénitos del metabolismo (?)
Accidentes del cordón (?)
Trauma obstétrico
Diabetes materna
TABLA 12-23 Causas de óbito fetal
EJEMPLO
Anomalías cromosómicas Trisomías, monosomías
Infecciones Virus
Corioamnionitis
Agentes teratógenos Medicamentos
Radiaciones
Factores físicos Leiomiomas
Incompetencia istmo-cervical
Útero tabicado
Factores endocrinos Insuficiencia lútea (?)
Hipotiroidismo
Diabetes mellitus
Factores inmunológicos ?
TABLA 12-24
Factores etiológicos asociados con el aborto
espontáneo
CARACTERÍSTICA PRIMER TRIMESTRE SEGUNDO TRIMESTRE TERCER TRIMESTRE
Tamaño Grandes Medianas Pequeñas
Vasos Ninguno/escaso Moderados Abundantes
Sincitiotrofoblasto Presente Presente Presente
Citotrofoblasto Capa continua Capa discontinua Ausente
TABLA 12-25 Diferencias en las vellosidades coriales a microscopia de luz
© 2007 Editorial Médica Panamericana, S.A de C.V.
Cisfarm
376 Patología especial
MOLA COMPLETA MOLA PARCIAL
Edad gestacional Segundo trimestre Primer trimestre
Volumen 500 g < 100 g
Vesículas Muy hidrópicas (> 1 cm) Levemente hidrópicas (< 1 cm)
Patrón cromosómico Normal (46, XX) Anormal (69, XXY)
Saco gestacional Ausente Presente
Embrión Ausente Alterado o ausente
hCG Muy elevada Baja
TABLA 12-26 Diferencias entre mola completa y parcial
© 2007 Editorial Médica Panamericana, S.A de C.V.
Cisfarm
13
Patología del riñón
Patología del riñón Beatríz De León Bojorge
Luis Salinas Madrigal
FIGURA 13-1. Glomerulonefritis posinfecciosa con proliferación mesangial, oclusión de la luz capilar y algunos polimorfonucleares.
© 2007 Editorial Médica Panamericana, S.A de C.V.
Cisfarm
378 Patología especial
FIGURA 13-2. Depósitos densos subepiteliales (“jorobas”) y fusión de podoci-
tos.
© 2007 Editorial Médica Panamericana, S.A de C.V.
Cisfarm
C13 Patología del riñón 379
FIGURA 13-3. Proliferación de células epiteliales (media luna circunferencial celular) con colapso del ovillo glomerular (PAS).
© 2007 Editorial Médica Panamericana, S.A de C.V.
Cisfarm
380 Patología especial
FIGURA 13-4. El espectro de la patología glomerular.
(Continúa)
© 2007 Editorial Médica Panamericana, S.A de C.V.
Cisfarm
C13 Patología del riñón 381
FIGURA 13-4. (Continuación).
© 2007 Editorial Médica Panamericana, S.A de C.V.
Cisfarm
382 Patología especial
FIGURA 13-5. Estadio temprano de glomerulonefritis membranosa con depósitos granulares, regulares y densos por fuera de la membrana basal (subepiteliales). La célula epitelial es
prominente con fusión de podocitos y transformación vellosa de citoplasma.
© 2007 Editorial Médica Panamericana, S.A de C.V.
Cisfarm
C13 Patología del riñón 383
FIGURA 13-6. lnmunofluorescencia con depósitos granulares de tamaño variable que siguen el contorno de las asas capilares.
© 2007 Editorial Médica Panamericana, S.A de C.V.
Cisfarm
384 Patología especial
FIGURA 13-7. Estadio avanzado de glomerulonefritis membranosa con engrosamiento de la membrana basal y además proyecciones de la membrana a manera de clavas (plata metena-
mina).
© 2007 Editorial Médica Panamericana, S.A de C.V.
Cisfarm
C13 Patología del riñón 385
FIGURA 13-8. Tinción de plata metenamina que muestra membrana basal glomerular normal en una glomerulopatía de cambios mínimos.
© 2007 Editorial Médica Panamericana, S.A de C.V.
Cisfarm
386 Patología especial
FIGURA 13-9. Ultraestructura de glomerulopatía de cambios míni-
mos con fusión extensa de podocitos, exclusivamente.
© 2007 Editorial Médica Panamericana, S.A de C.V.
Cisfarm
C13 Patología del riñón 387
FIGURA 13-10. Esclerosis focal y segmentaria cerca del polo vascular y adherencias a la cápsula de Bowman (PAS).
© 2007 Editorial Médica Panamericana, S.A de C.V.
Cisfarm
388 Patología especial
FIGURA 13-11. Enfermedad de Berger. lnmunofluorescencia con depósitos mesangiales y algunos subendoteliales de IgA.
© 2007 Editorial Médica Panamericana, S.A de C.V.
Cisfarm
C13 Patología del riñón 389
FIGURA 13-12. Glomerulonefritis membranoproliferativa. Tinción de plata metenamina con aumento del volumen del glomérulo y acentuación del patrón lobular por proliferación mesangial
y duplicación de la membrana basal en capilares periféricos.
© 2007 Editorial Médica Panamericana, S.A de C.V.
Cisfarm
390 Patología especial
FIGURA 13-13. Glomerulonefritis membranoproliferativa. lnmunofluorescencia con depósitos subendoteliales abundantes gruesos, dispuestos en la periferia de las lobulaciones glomeru-
lares.
© 2007 Editorial Médica Panamericana, S.A de C.V.
Cisfarm
C13 Patología del riñón 391
FIGURA 13-14. Ultraestructura con depósitos densos gruesos en el espesor de la membrana basal con fusión extensa de podocitos epiteliales.
© 2007 Editorial Médica Panamericana, S.A de C.V.
Cisfarm
392 Patología especial
FIGURA 13-15. Glomerulonefritis proliferativa difusa (tipo IV) con proliferación acentuada mesangial, polimorfonucleares y paredes gruesas, rígidas (“asas de alambre”).
© 2007 Editorial Médica Panamericana, S.A de C.V.
Cisfarm
C13 Patología del riñón 393
FIGURA 13-16. Mayor aumento de asas de alambre (que corresponden a depósitos inmunes subendoteliales).
© 2007 Editorial Médica Panamericana, S.A de C.V.
Cisfarm
394 Patología especial
FIGURA 13-17. Inmunofluorescencia con grandes e irregulares depósitos subendoteliales periféricos y además numerosos depósitos mesangiales, correspondiente a glomerulonefritis
proliferativa difusa (tipo IV).
© 2007 Editorial Médica Panamericana, S.A de C.V.
Cisfarm
C13 Patología del riñón 395
FIGURA 13-18. Inmunofluorescencia con depósitos inmunes en la membrana basal de túbulos en nefritis intersticial lúpica.
© 2007 Editorial Médica Panamericana, S.A de C.V.
Cisfarm
396 Patología especial
FIGURA 13-19. Glomerulonefritis proliferativa intra (color magenta) y extracapilar con adherencias a la cápsula de Bowman en una púrpura de Henoch-Schönlein.
© 2007 Editorial Médica Panamericana, S.A de C.V.
Cisfarm
C13 Patología del riñón 397
FIGURA 13-20. Ultraestructura con membrana basal anormal por fragmentación, laminación y aspecto “apolillado”, característico del síndrome de Alport.
© 2007 Editorial Médica Panamericana, S.A de C.V.
Cisfarm
398 Patología especial
FIGURA 13-21. Necrosis tubular aguda con tubulorrexis. Distorsión y necrosis del epitelio con citoplasma eosinófilo y cambios de regeneración con irrregularidad en los núcleos.
© 2007 Editorial Médica Panamericana, S.A de C.V.
Cisfarm
C13 Patología del riñón 399
FIGURA 13-22. Riñón con cicatrices retráctiles y atrofia parenquimatosa, por pielo-
nefritis crónica.
© 2007 Editorial Médica Panamericana, S.A de C.V.
Cisfarm
400 Patología especial
FIGURA 13-23. Riñón al corte con gran dilatación de cálices y pelvicilla,
cálculos en cálices y atrofia del parénquima renal.
© 2007 Editorial Médica Panamericana, S.A de C.V.
Cisfarm
C13 Patología del riñón 401
FIGURA 13-24. Nefroesclerosis con arteriolas de paredes engrosadas, hialinas con obstrucción de la luz. Además de atrofia tubular y fibrosis intersticial secundarias.
© 2007 Editorial Médica Panamericana, S.A de C.V.
Cisfarm
402 Patología especial
FIGURA 13-25. Riñón en herradura. Fusión anterior de polos inferiores, originando un tejido renal continuo.
© 2007 Editorial Médica Panamericana, S.A de C.V.
Cisfarm
C13 Patología del riñón 403
FIGURA 13-26. Fotografía microscópica de displasia renal con estructuras quísticas de epitelio alto y collaretes fibromusculares. Ausencia de tejido renal normal maduro.
© 2007 Editorial Médica Panamericana, S.A de C.V.
Cisfarm
404 Patología especial
FIGURA 13-27. Displasia renal quística total. Ausencia de parénquima renal macroscópico y numerosos quistes de tamaño diverso.
© 2007 Editorial Médica Panamericana, S.A de C.V.
Cisfarm
C13 Patología del riñón 405
FIGURA 13-28. Riñón poliquístico del adulto. Múltiples quistes de paredes fibrosas y retráctiles que deforman y sustituyen al parénquima renalbilateral
© 2007 Editorial Médica Panamericana, S.A de C.V.
Cisfarm
406 Patología especial
FIGURA 13-29. Riñón poliquístico del niño. Riñones muy aumentados de
tamaño, conservado el aspecto reniforme, sin fibrosis y con quistes pequeños
radiales corticomedulares.
© 2007 Editorial Médica Panamericana, S.A de C.V.
Cisfarm
C13 Patología del riñón 407
FIGURA 13-30. Riñón poliquístico infantil. Numerosos quistes alargados de tubos colectores en un parénquima sin fibrosis.
© 2007 Editorial Médica Panamericana, S.A de C.V.
Cisfarm
408 Patología especial
FIGURA 13-31. Riñón con angiomiolipoma. Tumor amarillo, multilobulado y blando de bordes mal definidos.
© 2007 Editorial Médica Panamericana, S.A de C.V.
Cisfarm
C13 Patología del riñón 409
FIGURA 13-32. Angiomiolipoma renal con tejido adiposo maduro y fascículos de músculo liso.
© 2007 Editorial Médica Panamericana, S.A de C.V.
Cisfarm
410 Patología especial
FIGURA 13-33. Oncocitoma renal. Tumor homogéneo, encapsulado, de color café con cicatriz
fibrosa central.
© 2007 Editorial Médica Panamericana, S.A de C.V.
Cisfarm
C13 Patología del riñón 411
FIGURA 13-34. Adenocarcinoma renal. Se observa una masa de tejido amarillo naranja
de 15 cm con áreas de hemorragia y necrosis.
© 2007 Editorial Médica Panamericana, S.A de C.V.
Cisfarm
412 Patología especial
FIGURA 13-35. Carcinoma renal: grupos de células grandes de citoplasma claro, sin atipias nucleares que se disponen en grupos rodeados por delicadas bandas conectivas.
© 2007 Editorial Médica Panamericana, S.A de C.V.
Cisfarm
C13 Patología del riñón 413
FIGURA 13-36. Nefroblastoma. Neoplasia blanquecina con zonas de necrosis y hemorra-
gia que sustituye totalmente al riñón.
© 2007 Editorial Médica Panamericana, S.A de C.V.
Cisfarm
414 Patología especial
FIGURA 13-37. Nefroblastoma. Neoplasia con grupos de células pequeñas y homogéneas (blastema), estructuras tubulares (epiteliales) y tejido estromal (mesenquimatoso).
© 2007 Editorial Médica Panamericana, S.A de C.V.
Cisfarm
C13 Patología del riñón 415
FIGURA 13-38. Tumor de Wilms anaplásico. Microfotografía con células de tamaño mayor de las habituales con multinucleación y atipias.
© 2007 Editorial Médica Panamericana, S.A de C.V.
Cisfarm
416 Patología especial
FIGURA 13-39. Sarcoma de células claras con patrón homogéneo de células de citoplasma claro con núcleo monótono y de cromatina fina.
© 2007 Editorial Médica Panamericana, S.A de C.V.
Cisfarm
C13 Patología del riñón 417
FIGURA 13-40. Tumor rabdoide maligno. Neoplasia con células grandes con núcleo de cromatina granular y nucleolo prominente eosinófilo con citoplasma abundante y la presencia de una
zona clara “inclusión”, que rechaza al núcleo.
© 2007 Editorial Médica Panamericana, S.A de C.V.
Cisfarm
418 Patología especial
ESTADIO MICROSCOPIA DE LUZ MICROSCOPIA ELECTRÓNICA
I Sin cambios Depósitos densos subepiteliales
II Proliferación de MB con salientes “clavas” MB entre los depósitos subepiteliales
III MB rodeando depósitos imagen “arrosariada” Incorporación de depósitos a la MB
IV MB gruesa (por neoformación de MB) Reabsorción de depósitos
V Remodelación de MB MB normal
TABLA 13-2 Estadios morfológicos en glomerulonefritis membranosa
Glomerulonefritis endocapilar difusa
Tipo I) posinfecciosa
Tipo II) no posinfecciosa
Glomerulonefritis extracapilar difusa
Tipo I (anticuerpos antimembrana basal capilar)
Tipo II (complejos inmunes)
Tipo III (inmunofluorescencia negativa)
Glomerulonefritis membranosa idíopática
Glomerulopatía de cambios mínimos (Nefrosis lipoídica)
Glomeruloesclerosis focal y segmentaria
Glomerulopatía colapsante
Glomerulonefritis mesangioproliferativa
por IgM
por IgA (nefropatía de Berger)
Glomerulonefritis membranoproliferativa
Tipo I: depósitos subendoteliales
Tipo II: depósitos densos
Tipo III: depósitos intramembranosos
TABLA 13-1 Enfermedades glomerulares primarias
Primaria (idiopática)
Secundaria
Infecciones (hepatitis B o C, sífilis, paludismo,
esquistosomiasis)
Enfermedades sistémicas (lupus eritematoso)
Carcinomas (colon, pulmón)
Medicamentos; sales (penicilina, Captopryl; oro,
mercurio)
TABLA 13-3 Clasificación de la glomerulonefritis membranosa
Lupus eritematoso sistémico
Síndrome de Goodpasture
Poliarteritis nodosa
Granulomatosis de Wegener
Púrpura anafilactoide de Henoch-Schönlein
Toxemia del embarazo
Diabetes mellitus
Amiloidosis
Procesos infecciosos (endocarditis bacteriana, sífilis,
paludismo, esquistosomiasis, estrongiloidasis, hepatitis
B y C)
SIDA (síndrome de inmunodeficiencia adquirida)
Drogadicción por heroína
Crioglobulinemia esencial mixta (IgM-IgG)
Macroglobulinemia de Waldenstrom
Síndrome antifosfolípidos
Hepatopatías crónicas
Enfermedad de cadenas ligeras o de cadenas pesadas
Tumores (carcinomas y linfomas)
TABLA 13-4
Procesos sistémicos que pueden producir
enfermedad glomerular
© 2007 Editorial Médica Panamericana, S.A de C.V.
Cisfarm
C13 Patología del riñón 419
Índice de actividad (0-24)
Hipercelularidad mesangial (0-3)
Exudado polimorfonuclear (0-3)
Asas de alambre (0-3)
Necrosís fibrinoide/cariorrexis (0-3) × 2
Proliferación extracapilar celular (0-3) × 2
Inflamación intersticial (0-3)
Índice de cronicidad (0-12)
Glomérulos escleróticos (0-3)
Proliferación extracapilar fibrosa (0-3)
Atrofia tubular (0-3)
Fibrosis intersticial (0-3)
TABLA 13-6
Índice de actividad y cronicidad en lupus
eritematoso sistémico
I. Glomérulos normales
a. Normal (con microscopio de luz y electrónico
e inmunofluorescencia)
b. Normal al microscopio de luz, pero con
depósitos al microscopio electrónico o por
inmunofluorescencia
II. Alteraciones mesangiales (mesangiopatía)
a. Con expansión mesangial o mínima
hipercelularidad mesangial
b. Con moderada hipercelularidad mesangial
III. Glomerulonefrítis focal y segmentaría
IV. Glomerulonefrítis proliferativa difusa
V. Glomerulonefritis membranosa difusa
VI. Glomerulonefritis esclerosante avanzada
TABLA 13-5 Clasificación de la glomerulonefritis lúpica
1. Infecciones agudas: pielonefritis aguda (bacteriana,
por hongos y por virus)
2. Asociadas con infecciones agudas sistémicas
(bacterianas, micóticas)
3. Infecciones crónicas (pielonefritis crónica,
tuberculosis, sífilis)
4. Inducidas por medicamentos:
i. por acción tóxica directa (aminoglucósidos,
ciclosporina A, anfotericina B)
ii. inmunoalérgicos (alopurinol, ampicilina,
meticitina, medicamentos antiinflamatorios no
esteroideos, rifampicina)
a) por células T
b) por antícuerpos antimembrana basal tubular
e) por complejos inmunes
5. Asociadas con enfermedades inmunológicas:
rechazo del trasplante, lupus eritematoso sistémico,
síndrome de Goodpasture, criogiobulinemia mixta,
glomerulonefritis por complejos inmunes, síndrome
de Sjögren y glomerulonefritis extracapitar
6. Uropatía obstructiva, con o sin infección
7. Nefropatía de reflujo
8. Asociada con necrosis papilar (diabetes mellitus,
nefropatía por analgésicos, nefropatía de células
falciformes, necrosis papilar hemorrágica del recién
nacido)
9. Metales pesados (plomo, mercurio, cadmio, oro,
plata, cobre y hierro)
10. Necrosis tubular aguda (asociada con estados de
choque)
11. Alteraciones metabólicas (hipercalcemia, gota,
oxalosis)
12. Hereditarias (nefronoptisis de Fanconi, nefritis
familiar de Alport)
13. Misceláneas (nefritis por radiación y nefropatía de
los Balcanes)
TABLA 13-7
Clasificación etiopatogénica de la nefritis
tubulointersticial
© 2007 Editorial Médica Panamericana, S.A de C.V.
Cisfarm
420 Patología especial
1. Normal
2. Rechazo híperagudo: polimorfonucleares en capilares
glomerulares o intertubulares
3. Cambios limítrofes: infiltrado inflamatorio intersticial
mononuclear leve a moderado, focal, pero con tubuli-
tis ocasional
4. Rechazo agudo
Grado I: tubulitis moderada, sin lesión vascular
Grado II: endarteritis (arteritis de la íntima)
Grado III: arteritis transmural y/o con necrosis
fibrinoide
5. Rechazo crónico
Grado I: fibrosis intersticial y atrofia tubular leves
Grado II: fibrosis intersticial y atrofia tubular
moderadas
Grado III: fibrosis intersticial y atrofia tubular acentua-
da con pérdida tubular
6. No relacionados con rechazo
Toxicidad por ciclosporina
Aguda: vacuolización ísométrica del epitelio de los
túbulos proximales (semejando histológicamente a
la nefrosis osmótica), megamitocondrias (pueden
ser hasta del tamaño de la mitad del núcleo tubular,
para lo cual se necesita el microscopio electrónico)
y microcalcificaciones epiteliales tubulares
Crónica: depósitos hialinos nodulares en la pared
de arteriolas y/o fibrosis de la íntima, y se pueden
acompañar por bandas de fibrosis intersticial.
Microangiopatía trombótica
TABLA 13-8
Clasificación del rechazo en el trasplante renal
(Banff, 1997)
© 2007 Editorial Médica Panamericana, S.A de C.V.
Cisfarm
14
Patología de vejiga,
próstata y testículo
Patología de vejiga,
próstata y testículo Julián Arista
Francisco González Crussi
FIGURA 14-1. Aspecto macroscópico de una cistitis bacteriana. La mucosa tiene aspecto edematoso y áreas de despulimiento con hemorragia reciente. Este
paciente falleció por choque séptico.
© 2007 Editorial Médica Panamericana, S.A de C.V.
Cisfarm
422 Patología especial
FIGURA 14-2. Cistitis bacteriana. Se observa pérdida parcial del urotello, congestión vascular o infiltrado inflamatorio agudo y crónico.
© 2007 Editorial Médica Panamericana, S.A de C.V.
Cisfarm
C14 Patología de vejiga, próstata y testículo 423
FIGURA 14-3. Aspecto macroscópico del carcinoma de células transicionales. La cavidad vesical está ocupada casi en su totalidad por una gran lesión pedunculada.
© 2007 Editorial Médica Panamericana, S.A de C.V.
Cisfarm
424 Patología especial
FIGURA 14-4. Aspecto macroscópico del carcinoma de células transicionales. El aspecto del tumor es papilar y en la vecindad la mucosa presenta aspecto en empedrado que histológi-
camente correspondió a carcinoma in situ.
© 2007 Editorial Médica Panamericana, S.A de C.V.
Cisfarm
C14 Patología de vejiga, próstata y testículo 425
FIGURA 14-5. a) Carcinoma transicional grado II. Se observa un tallo central de tipo fibrovascular en torno al
cual se disponen células neoplásicas multiestratificadas. Algunas de ellas muestran atipia moderada. Los car-
cinomas que conservan el patrón papliar son clasificados como bien diferenciados. b) Carcinoma transicional
grado III. La neoplasia se dispone en nidos de límites bien definidos que infiltran el músculo de la pared vesical.
El pronóstico es peor que las neoplasias que muestran patrón papilar.
(a)
(b)
© 2007 Editorial Médica Panamericana, S.A de C.V.
Cisfarm
426 Patología especial
FIGURA 14-6. Carcinoma transicional in situ. Se observa engrosamiento de la mucosa por la multiestratificación de las células malignas. El número de capas (más de diez) que existe en
este tipo de tumores es uno de los criterios más importantes para clasificarlo como maligno. La neoplasia no rebasa la membrana basal y no hay infiltración a la lámina propia. Cuando se
diagnostica en este estadio el pronóstico es muy bueno.
© 2007 Editorial Médica Panamericana, S.A de C.V.
Cisfarm
C14 Patología de vejiga, próstata y testículo 427
FIGURA 14-7. Pronóstico del carcinoma vesical. Las neoplasias no infiltrantes tienen un buen pronóstico. La infiltración a capas musculares y al tejido perivesical es un dato desfavorable,
ya que la presencia de vasos en estos sitios favorece la diseminación. La sobrevida a cinco años en estos casos es casi de 50%. Las metástasis a los ganglios linfáticos regionales implican
un pésimo pronóstico y la mortalidad a largo plazo es casi de 100%.
© 2007 Editorial Médica Panamericana, S.A de C.V.
Cisfarm
428 Patología especial
FIGURA 14-8. Aspecto macroscópico de la hiperplasla glandular de la próstata en
un corte axial. a) La glándula muestra numerosos nódulos de tamaño variable, en
los cuales hay quistes que corresponden a glándulas dilatadas. Aunque la hiperpla-
sia prostática afecta sobre todo la región periuretral, también se puede observar
en las áreas periféricas. b) Imagen histológica de la hiperplasla nodular de la prós-
tata. Se observa un nódulo constituido por glándulas hiperplásicas, algunas de las
cuales están dilatadas. En la vecindad hay además hiperplasia del tejido muscular.
c) Hiperplasia adenomatosa atípica (adenosis prostática). Las glándulas proliferantes son
uniformes, bien diferenciadas y forman un nódulo de límites regulares. La proliferación de
glándulas prostáticas benignas y las glándulas del carcinoma bien diferenciado pueden ser
muy semejantes. La ausencia de nucleolos prominentes y la presencia de células basales
permiten asegurar que las glándulas son benignas.
(c)
(b)
(a)
© 2007 Editorial Médica Panamericana, S.A de C.V.
Cisfarm
C14 Patología de vejiga, próstata y testículo 429
FIGURA 14-9. Metaplasia escamosa en un área de infarto en hiperplasia prostática. El epitelio epidermoide muestra atipia y se asocia a infiltrado inflamatorio crónico y hemorragia recien-
te. El aspecto atípico de las células reactivas puede confundirse con una neoplasia maligna. Los infartos se producen por una deficiente irrigación, quizá por la compresión de los vasos
sanguíneos secundarios a la hiperplasia.
© 2007 Editorial Médica Panamericana, S.A de C.V.
Cisfarm
430 Patología especial
FIGURA 14-10. a) Prostatitis aguda. En la luz de las glándulas hay abundantes
polimorfonucleares, además de cambios degenerativos en las células epiteliales
que las revisten. (Cortesía de la Dra. Ana María Gómez.) b) Prostatitis crónica.
Éste es el tipo de prostatitis más frecuente. La mayoría de los casos son asinto-
máticos y en su etiología se han propuesto diversos factores (tabla 14-4).
(b)
(a)
© 2007 Editorial Médica Panamericana, S.A de C.V.
Cisfarm
C14 Patología de vejiga, próstata y testículo 431
FIGURA 14-11. Radiografía de pelvis en un paciente con metástasis óseas de carcinoma prostático. Las áreas radiopacas con aspecto marmóreo que se observan en los huesos pélvicos
y los fémures corresponden a la reacción osteoblástica secundaria a la infiltración neoplásica. (Cortesía del Dr. Jorge Hernández.) El carcinoma prostático puede producir también lesiones
líticas o bien osteolíticas y osteoblásticas.
© 2007 Editorial Médica Panamericana, S.A de C.V.
Cisfarm
432 Patología especial
FIGURA 14-12. Metástasis de carcinoma prostático en ganglio linfático supraclavicular con estudio inmunohistoquímico (técnica de inmunoperoxidasa). Las células malignas son positivas
con el anticuerpo contra el antígeno prostático específico y confirma que el tumor primario está en la próstata. Esta técnica es muy específica y sensible y permite diagnosticar tumores
poco diferenciados.
© 2007 Editorial Médica Panamericana, S.A de C.V.
Cisfarm
C14 Patología de vejiga, próstata y testículo 433
FIGURA 14-13. Macroscópicamente el carcinoma prostático se observa como uno o más nódulos, de color gris o blanco amarillento, que pueden ser difíciles de distinguir del tejido
prostático vecino. La mayoría se encuentra en la periferia de la glándula. La palpación puede facilitar su localización ya que por lo general existe induración por desmoplasia. En un alto
porcentaje (80%) la neoplasia es multifocal, pero muchas de las zonas con carcinoma sólo se podrán identificar microscópicamente. En este caso la próstata muestra además un área de
infarto hemorrágico en el tercer corte de arriba a la derecha.
© 2007 Editorial Médica Panamericana, S.A de C.V.
Cisfarm
434 Patología especial
FIGURA 14-14. Representación esquemática del carcinoma prostático en corte axial de la próstata. Generalmente periféricos; 80% multicéntricos; la mayoría en lóbulo posterior. 1) Uretra.
2) Zona periuretral. 3 y 4) Áreas de carcinoma prostático palpable (estadio B). 5) Área de carcinoma prostático no palpable (estadio A).
© 2007 Editorial Médica Panamericana, S.A de C.V.
Cisfarm
C14 Patología de vejiga, próstata y testículo 435
FIGURA 14-15. Esquema de la clasificación de Gleason para el carcinoma prostático. La clasificación se basa fundamentalmente en los patrones de crecimiento de la neoplasia y secun-
dariamente en su aspecto cítológico. Debido a que la mayoría de los carcinomas prostáticos exhiben dos o más patrones histológicos es posible sumar los dos patrones predominantes en
la neoplasia (suma de Gleason). Así, por ejemplo, si un carcinoma prostático presenta principalmente patrones 1 y 2, la suma de Gleason es de 3. Si muestra patrones 4 y 5 la suma será
de 9. El primero tendrá un mejor pronóstico y las posibilidades de que existan metástasis son mucho más bajas que en el segundo caso. La clasificación de Gleason es la más utilizada en
el carcinoma prostático debido a que es la que ha demostrado tener una mejor correlación con las metástasis y la sobrevida.
© 2007 Editorial Médica Panamericana, S.A de C.V.
Cisfarm
436 Patología especial
FIGURA 14-16. a) Patrón 1 de Gleason del carcinoma prostático. Está constituido por glán-
dulas neoplásicas bien formadas que están revestidas por células con nucleolos aparentes.
Los nucleolos están presentes en la mayoría de los carcinomas, y tienen un gran valor
diagnóstico para distinguir al carcinoma de proliferaciones benignas como la hiperplasia
adenomatosa (figura 14-26) en la cual los nucleolos están ausentes o son poco aparentes.
b) El patrón 3 de Gleason muestra aspecto cribiforme que se caracteriza por luces de diá-
metro variable dentro de las glándulas malignas. c) Patrón 5 de Gleason. La neoplasia es
poco diferenciada, no forma glándulas y las células infiltran difusamente el estroma. Los
carcinomas prostáticos con estas características son muy agresivos y cuando predominan
en la neoplasia el pronóstico es muy malo.
(c)
(b)
(a)
© 2007 Editorial Médica Panamericana, S.A de C.V.
Cisfarm
C14 Patología de vejiga, próstata y testículo 437
FIGURA 14-17. Infiltración neural en carcinoma prostático. El nervio se encuentra rodeado por glándulas neoplásicas y algunas de ellas están en contacto con las fibras nerviosas. Esta
imagen es útil para establecer el diagnóstico de carcinoma, sobre todo en biopsias pequeñas o cuando el carcinoma es bien diferenciado y hay duda respecto a si las glándulas proliferantes
son malignas o benignas.
© 2007 Editorial Médica Panamericana, S.A de C.V.
Cisfarm
438 Patología especial
FIGURA 14-18. Biopsia por aspiración en un caso de carcinoma prostático moderadamente diferenciado. Las células muestran variación en su tamaño y en algunas de ellas hay atipia con
nucleolos aparentes. La certeza diagnóstica con este método es muy alta, particularmente en las neoplasias moderadamente y poco diferenciadas. (Cortesía del Dr. Armando Gamboa).
© 2007 Editorial Médica Panamericana, S.A de C.V.
Cisfarm
C14 Patología de vejiga, próstata y testículo 439
FIGURA 14-19. Neoplasia intraepitelial prostática (displasia prostática). La displasia en la próstata se desarrolla en los conductos distales (a) y se caracteriza por una proliferación anormal
de las células de revestimiento (b). En este caso la imagen corresponde a una displasia de alto grado por la atipia nuclear, la multiestratificación irregular de las células y los nucleolos apa-
rentes. Los datos que apoyan su naturaleza preneoplásica incluyen su asociación espacial con las áreas de carcinoma, la continuidad de conductos displásicos con el carcinoma en cortes
seriados y la gran semejanza citológica de las displasias de alto grado con los carcinomas infiltrantes.
(b)
(a)
© 2007 Editorial Médica Panamericana, S.A de C.V.
Cisfarm
440 Patología especial
FIGURA 14-20. Carcinoma endometrioide de la próstata. Estos carcinomas se desarrollan en los conductos mayores prostáticos y tienen un aspecto muy diferente a los carcinomas de
los conductos distales ilustrados anteriormente. En este caso hay un patrón papilar de crecimiento de las células neoplásicas hacia la luz del conducto. En general los carcinomas de los
conductos mayores son más agresivos.
© 2007 Editorial Médica Panamericana, S.A de C.V.
Cisfarm
C14 Patología de vejiga, próstata y testículo 441
FIGURA 14-21. Atrofia de glándulas prostáticas. Las glándulas muestran una distribución irregular, con límites mal definidos, lo que les confiere aspecto infiltrativo semejante al de algunos
carcinomas. La atrofia glandular prostática es muy común en hombres de edad avanzada.
© 2007 Editorial Médica Panamericana, S.A de C.V.
Cisfarm
442 Patología especial
FIGURA 14-22. Desarrollo gonadal embrionario temprano. a) Embrión humano al principio de la quinta semana, indicando el nivel de sección (6.3 mm). b) Vista frontal en tercera dimen-
sión al mismo nivel, a mediados de la quinta semana, mostrando mayor crecimiento de las protrusiones que flanquean al intestino posterior, o “eminencias urogenitales”. Las relaciones
topográficas de estas eminencias se ilustran en c), en sección transversal a la sexta semana. Una sección similar, en d), muestra un estadio un poco más avanzado, en el que las gónadas
indiferentes están ya presentes.
(a) (b) (c)
(d)
© 2007 Editorial Médica Panamericana, S.A de C.V.
Cisfarm
C14 Patología de vejiga, próstata y testículo 443
FIGURA 14-23. Control de la diferenciación embrionaria testicular. Bajo
la influencia de genes localizados en el cromosoma Y, cerca del centró-
mero, aparece el factor de diferenciación testicular (FDT) entre la sexta
y la séptima semanas de gestación. En ausencia de cromosoma Y la
gónada indiferente se diferencia irremisiblemente en ovario; después de
la séptima semana es imposible obtener un testículo por ningún méto-
do experimental. Las células de Sertoli secretan un factor de inhibición
mülleriana (FIM), responsable de la regresión de los conductos de Müller.
Las células de Leydig secretan testosterona (T), hormona fundamental
para la maduración de las estructuras originadas en los conductos de
Wolff (conducto deferente, epidídimo, vesícula seminal, conducto eyacu-
latorio). Un derivado de esta hormona, la dihidrotestosterona (DHT), es
responsable del desarrollo de los genitales masculinos externos, pene y
piel escrotal.
© 2007 Editorial Médica Panamericana, S.A de C.V.
Cisfarm
444 Patología especial
FIGURA 14-24. El esquema muestra que las células de la lesión precursora, antiguamente denominada carcinoma in situ representan la fase más temprana que se puede identificar mor-
fológicamente en el curso del desarrollo de un tumor maligno de células germinales. Esta lesión se puede ver en el tejido testicular cercano a las márgenes de dichos tumores, aunque no
en pacientes pediátricos, ni tampoco en el seminoma espermatocítico. Este último no “encaja” bien en el esquema teórico. Aunque se consideró por mucho tiempo como una variante
del seminoma, hoy se piensa que se trata de una entidad aparte, propia de pacientes ancianos, y frecuentemente controlable sólo por cirugía. Tradicionalmente se acepta que el carcinoma
embrionario representa una fase precursora de otros tumores, puesto que las células que lo componen son capaces de diferenciarse en varias direcciones: a) hacia estructuras extraem-
brionarias, sean vitelinas (dando lugar a un tumor de saco vitelino), sean trofoblásticas (originando un coriocarcinoma), o bien, hacia estructuras somáticas embrionarias, que pueden ser
muy variadas y comprender simultáneamente derivados de endo, ecto y mesodermo, como sucede en los teratomas. Aunque esta hipótesis ha sido validada por estudios experimentales
y apoyada por diversas observaciones en material tumoral humano, algunos autores consideran que el seminoma es también un tumor capaz de actuar como precursor de otros tumores
(véase el texto), como se indica en la figura con líneas punteadas. En el esquema tradicional, los seminomas eran considerados como neoplasias formadas por células germinales que
habían progresado en su diferenciación hasta convertirse en células precursoras de células sexuales, o gonocitos, y se habían “congelado” en ese estado, por lo que no fueron ya capaces
de mayor diferenciación.
SEMINOMA
ESPERMATOCÍTICO
SEMINOMA
TUMOR DE SACO
VITELINO TERATOMA
LESIÓN
PRECURSORA
CARCINOMA
EMBRIONARIO
CORIOCARCINOMA
?
© 2007 Editorial Médica Panamericana, S.A de C.V.
Cisfarm
C14 Patología de vejiga, próstata y testículo 445
FIGURA 14-25. Lesión precursora del cáncer testicular, o neoplasia intratubular de células germinales (NICG). Se observan células atípicas que reemplazan la estructura normal de un
túbulo seminífero. La tinción inmunohistoquímica hace uso de un anticuerpo antifosfatasa alcalina placentaria, y revela la inmunorreactividad (cromógeno rojo) de las células anormales,
sobre todo en la membrana celular.
© 2007 Editorial Médica Panamericana, S.A de C.V.
Cisfarm
446 Patología especial
FIGURA 14-26. Histopatología del seminoma. Aspecto característico del seminoma testicular, compuesto por un tipo celular predominante, con citoplasma abundante, membranas celu-
lares bien definidas y núcleos grandes, con nucleolo prominente.
© 2007 Editorial Médica Panamericana, S.A de C.V.
Cisfarm
C14 Patología de vejiga, próstata y testículo 447
FIGURA 14-27. Histopatología del seminoma. Varios aspectos típicos de la histopatología del seminoma pueden observarse: densa infiltración linfocitaria rodea a un túbulo seminífero con
lesión de NICG, el cual a su vez se encuentra rodeado por el parénquima tumoral uniformemente celular característico del seminoma.
© 2007 Editorial Médica Panamericana, S.A de C.V.
Cisfarm
448 Patología especial
FIGURA 14-28. Inmunohistoquímica del seminoma. Las células del seminoma comparten gran número de características en común con las células de la lesión precursora (NICG). Una de
ellas es la posesión de una fosfatasa alcalina semejante a la fosfatasa alcalina placentaria, puesta aquí en evidencia por la tinción inmunohistoquímica con anticuerpos a dicha fosfatasa.
© 2007 Editorial Médica Panamericana, S.A de C.V.
Cisfarm
C14 Patología de vejiga, próstata y testículo 449
FIGURA 14-29. Histopatología del carcinoma embrionario. El aspecto histológico del carcinoma embrionario sugiere diferenciación epitelial por la presencia de formaciones sólidas, papila-
res o glandulares de células atípicas con aspecto de epitelio. Sin embargo, se considera que dichas células son totipotenciales o pluripotenciales, pues experimentalmente se ha demostrado
que son capaces de dar origen a una gran diversidad de tejidos especializados (véase la figura 14-38).
© 2007 Editorial Médica Panamericana, S.A de C.V.
Cisfarm
450 Patología especial
FIGURA 14-30. Teratoma testicular. a) Microfotografía a bajo aumento
que demuestra el borde de un teratoma testicular expansil en un pacien-
te pospubertal. El tumor comprime el parénquima testicular normal.
En la zona limítrofe del testículo existían lesiones de NICG reveladas
por tinción con anticuerpos antifosfatasa alcalina. El teratoma muestra
zonas de cartílago, túbulos epiteliales semejantes a epéndimo, y otros
tejidos, como es característico en estos tumores. b) Teratoma testicular.
Detalle, a mayor aumento, del teratoma testicular, mostrando nódulos de
cartílago y células “primitivas” pobremente diferenciadas, propias de los
teratomas “inmaduros”.
(b)
(a)
© 2007 Editorial Médica Panamericana, S.A de C.V.
Cisfarm
C14 Patología de vejiga, próstata y testículo 451
FIGURA 14-31. Totipotencialidad de las células que originan los teratomas. Los animales más comúnmente utilizados en la experimentación no desarrollan teratomas espontáneamente.
Sin embargo, es posible producir teratomas en ciertas cepas de ratón mediante injerto de embriones presomíticos tempranos (hasta del séptimo día de la gestación, cuando el concepto
es de forma cilíndrica [egg cylinderl, pero no después) en hospederos apropiados (ratones singeneicos). También se producen teratomas mediante injertos de la “eminencia urogenital” de
embriones más desarrollados en el testículo o bajo la cápsula renal del recipiente. Los teratomas así producidos pueden ser malignos, pues crecen masivamente y por lo general causan
la muerte del hospedero por inanición; rara vez por metástasis. Mientras tengan células primitivas, denominadas células de carcinoma embrionario (CCE), pueden trasplantarse a otros
ratones, en los cuales producen teratomas. Sólo los teratomas con CCE son trasplantables. Una sola CCE aislada e injertada en la masa celular interna de un embrión normal en fase de
blastocisto, puede desarrollarse normalmente y dar origen a varios tejidos de dicho embrión. Si se le permite a este embrión desarrollarse hasta alcanzar el término dentro del útero mater-
no, el recién nacido resultará ser una quimera, parte de cuyos tejidos provienen de las células del embrión normal, y parte de la CCE progenitora injertada artificialmente por manipulación
experimental (se ha dicho que, en cierto modo, el animal así producido es ¡hijo de un teratoma!). Para diferenciarse normalmente, la CCE requiere del medio ambiente proporcionado por
la masa celular interna del blastocisto, pues si se injerta un gran número de CCE, el resultado es un teratoma intrauterino y no un feto normal. Los genes que controlan la diferenciación
celular son entonces influenciados por el medio. Estos experimentos han hecho concluir a los investigadores que la distinción entre células primitivas o embrionarias y células “malignas”
se torna borrosa y se convierte en un problema de semántica. Así, las CCE del teratoma murino experimental son todas malignas en cuanto a que conforman un teratoma letal para el
hospedero. Algunas de ellas son embrionarias, puesto que dan origen a estructuras tisulares diferenciadas y estructuralmente complejas, como es usual en los teratomas. Pero otras CCE
son realmente embrionarias, puesto que pueden dar lugar a los tejidos normales de un ratón cuando se colocan en el blastocisto embrionario.
© 2007 Editorial Médica Panamericana, S.A de C.V.
Cisfarm
452 Patología especial
FIGURA 14-32. Los teratomas denominados “inmaduros” se caracterizan por su alto contenido de células pobremente diferenciadas. Esta característica por sí sola no determina un
pronóstico desfavorable. En esta ilustración, el tejido neuroectodérmico de un teratoma testicular muestra zonas “inmaduras”, compuestas por células de núcleo pequeño, denso y muy
basofílico (neuroblastos), adyacente a una zona poco celular, con aspecto de tejido glial cerebral, o zona “madura”.
© 2007 Editorial Médica Panamericana, S.A de C.V.
Cisfarm
C14 Patología de vejiga, próstata y testículo 453
FIGURA 14-33. Histopatología del tumor de saco vitelino. Los aspectos histopatológicos del tumor de saco vitelino o de senos endodérmicos pueden ser complejos. De entre las muy
diversas estructuras descritas se ilustran las siguientes. a) Formaciones papilares. Nótese el depósito extracelular de una sustancia homogénea, amorfa, eosinofílica, que sugiere la produc-
ción de proteínas por el tumor. b) Estructuras macroquísticas, en cuyo interior se observan también depósitos de material eosinofílico amorfo. c) En una zona celular de aspecto “sólido”
se observan células inmunorreactivas (color café intenso, debido al cromógeno empleado) a anticuerpos anti-α-fetoproteína. Esta proteína se localiza con frecuencia en los depósitos amor-
fos y eosinofílicos revelados por la tinción convencional con hematoxilina y eosina. d) A bajo aumento, otra zona del tumor revela un aspecto de microquistes, en “panal de abeja”, muy
frecuente en los tumores de saco vitelino.
(d)
(b)
(c)
(a)
© 2007 Editorial Médica Panamericana, S.A de C.V.
Cisfarm
454 Patología especial
FIGURA 14-34. Producción de α-fetoproteína. La α-fetoproteína (AFP) es la proteína circulante más importante durante la vida fetal. Es el equivalente prenatal de la albúmina. Así como en la
vida posnatal la albúmina sirve, entre otras cosas, para el transporte y acarreo de hormonas y compuestos bioactivos, la AFP muestra gran afinidad por los estrógenos y hormonas esenciales
al desarrollo fetal normal. No se sabe de qué manera se reprimen los genes que codifican su producción, pero está claro, como la curva demuestra, que después de alcanzar un máximo en
la semana 15 de la gestación, la producción de AFP disminuye notablemente, y cesa de modo abrupto después del nacimiento. En el recién nacido su concentración es de 10 a 12 n/dL; a
las dos semanas de edad es de sólo 0.6 ng/dL. La vida media de la AFP es de casi cinco días. Puede haber problemas de interpretación en los recién nacidos, pues los niveles de AFP en
ellos pueden ser altos. Sin embargo, aun cuando los genes de su producción no hayan sido “silenciados” del todo, normalmente debe observarse una clara tendencia a la desaparición. Si
los niveles séricos altos debidos a un tumor persisten durante 25 días después de la extirpación quirúrgica, es necesario sospechar que la resección del tumor fue incompleta.
AFP (mg/mL)
3
2.5
2
1.5
1
0.5
0
0 5 10 15 20 25 28 30
© 2007 Editorial Médica Panamericana, S.A de C.V.
Cisfarm
C14 Patología de vejiga, próstata y testículo 455
FIGURA 14-35. Histopatología del coriocarcinoma. La característica fundamental en este tumor es la formación de citotrofoblasto y de sincitiotrofoblasto. Este último se identifica fácil-
mente en las preparaciones histológicas por su aspecto de células gigantes y multinucleadas, como se observa en la fotografía. El sincicio citoplásmico resulta de la fusión de células cito-
trofoblásticas; la diferenciación trofoblástica de células de carcinoma embrionario puede identificarse mediante tinciones inmunohistoquímicas que emplean anticuerpos contra la hormona
coriónica gonadotrópica.
© 2007 Editorial Médica Panamericana, S.A de C.V.
Cisfarm
456 Patología especial
FIGURA 14-36. Poliembrioma y “cuerpos embrioides”. Cuando las células primitivas, o células de carcinoma embrionario (CCE) del teratoma experimental del ratón, se inyectan en la
cavidad peritoneal de un ratón recipiente, se obtiene la formación de numerosos corpúsculos celulares esferoidales que semejan un embrión temprano. a) Aspecto de algunos de estos
corpúsculos, o cuerpos embrioides, en el líquido ascítico hemorrágico, rodeados de eritrocitos (microscopio de barrida, X 700). Experimentalmente, en el ratón, el desarrollo de un teratoma
empieza pareciéndose a un embrión normal hasta la fase de aspecto “cilíndrico” (egg cylinder: aproximadamente séptimo día del embrión del ratón), después de la cual los tejidos se des-
organizan y proliferan en la forma caótica, propia de los teratomas, en lugar de crecer ordenadamente, como se espera en el embrión normal. También en los tumores de células germinales
del humano, sobre todo los teratomas malignos, se pueden observar ocasionalmente en algunos cuerpos embrioides, como los que se ilustran en b) y c). La diferenciación tisular puede
ser notable en los embrioides. d) Diferenciación hacia alantoides. La parte periférica del embrioide se diferencia hacia trofoblasto, en forma de célula gigante o sincicial multinucleada. Un
tumor de células germinales sumamente raro está constituido por gran número de cuerpos embrioides y por esta razón se designa como poliembrioma.
(a)
(b)
(c)
(d)
© 2007 Editorial Médica Panamericana, S.A de C.V.
Cisfarm
C14 Patología de vejiga, próstata y testículo 457
Aspectos clínicos
Patología prostática más frecuente
Asociada a alteraciones hormonales
Disminución de andrógenos
Incremento en estradiol y dehidrotestosterona
Más frecuente en zona periuretral
Dificultad para orinar, obstrucción y retención urinarias
a veces asociadas a cistitis y pielonefritis
Aspectos morfológicos
Incremento de tamaño y peso (50 a 200 g)
Nódulos hiperplásicos constituidos por:
Tejido fibromuscular
Glándulas con o sin dilataciones quísticas
Se puede asociar a:
Infartos prostáticos
Metaplasia escamosa
Prostatitis crónica y ocasionalmente aguda
No se considera una condición premaligna
TABLA 14-3 Características de la hiperplasia nodular
Enfisematosa Secundaria a bacterias formadoras de gas. Más frecuente en diabéticos.
Quística/glandular Irritación crónica por infecciones u otras condiciones (cirugía, extrofia vesical, etc.).
Formación de quistes mucinosos.
Folicular Folículos linfoides en la pared vesical. Asociada a infección por salmonella.
Hemorrágica Administración de ciclofosfamida, colocación de catéteres o infecciones virales.
Eosinofílica En ocasiones se asocia con eosinofilia periférica y enfermedades alérgicas.
Abundantes eosinófilos en la lámina propia.
Intersticial Etiología desconocida. Disuria y hematuria recurrentes en mujeres de edad media.
Infiltrado linfoide, mastocitos y edema de la lámina propia.
Otras Virus (adenovirus, herpes), amibiasis, químicos.
TABLA 14-1 Variedad de cistitis. Etiología y aspectos morfológicos
95% de los tumores vesicales
Promedio de edad: 50 años
Carcinogenéticos:
Anilinas industriales
Tabaquismo
Ciclofosfamida
Irritación crónica
Otros
Puede ser multicéntrico en la vejiga o en otros sitios
donde hay epitelio transicional (uretra, uréter, etc.)
Síntomas: disuria, hematuria, obstrucción urinaria
TABLA 14-2 Carcinoma de células transicionales
© 2007 Editorial Médica Panamericana, S.A de C.V.
Cisfarm
458 Patología especial
VARIEDAD DE PROSTATITIS CARACTERÍSTICAS CLÍNICO-PATOLÓGICAS
Aguda Asociación con cistitis, uretritis o infecciones sistémicas. Introducción de catéteres y
resecciones transuretrales
Gramnegativos, principalmente E. coli, disuria, fiebre, dolor prostático intenso.
Infiltración por neutrófilos, necrosis y abscesos
Crónica Asociada a hiperplasia nodular con ruptura de conductos. Secuela de prostatitis aguda.
Infección por Chlamidia trachomatis.
Síntomas leves o asintomatica. Infiltración por linfocitos, histiocitos y células plasmáticas
Tuberculosa Asociada a tuberculosis sistémica y muy frecuente en tuberculosis del sistema
genitourinario. Tacto rectal normal en etapas tempranas e indurada en casos crónicos.
Necrosis caseosa, granulomas con células gigantes de tipo Langhans
Granulomatosa no específica Asociada a ruptura de conductos o a resección transuretral prostática. Puede ser
asintomática o producir fiebre y síntomas sistémicos. Infiltración por linfocitos,
histiocitos y células gigantes con granulomas sin necrosis caseosa
TABLA 14-4 Características de la prostatitis
A Carcinoma microscópico no palpable
B Confinado a la próstata. Nódulo(s) palpable(s) en el
tacto rectal
C Extensión de la neoplasia a la cápsula y tejidos
periprostáticos
D Metástasis a ganglios linfáticos, hueso, etcétera
Modificado de Huben y Morphy. Prostatic Cancer. An update.
Prostate Cancer CA 36:274. 1986.
TABLA 14-5 Estadios clínicos del carcinoma prostático
Cisfarm
C14 Patología de vejiga, próstata y testículo 459
La tabla no pretende ser completa sino sólo enumerar algunos pade-
cimientos en los cuales el testículo es patológico, por anormalidad de
los genes que controlan su desarrollo. El testículo puede estar ausen-
te, como en la aplasia gonadal. Si el testículo desaparece en etapas
tempranas del desarrollo embrionario, los genitales externos pueden
ser ambiguos o de tipo femenino, ya que el testículo embrionario
contribuye al desarrollo del aparato genital masculino (figura 14-23).
La causa más frecuente de ausencia de testículo es la involución pro-
ducida por la criptorquidia, pero en ese caso los genitales externos
pueden ser normales (ya que la regresión es tardía), y la ausencia
testicular es entonces comúnmente unilateral. La criptorquidia acom-
paña con frecuencia a los síndromes aquí enumerados. En el varón
XX, el fenotipo es masculino, con testículos bilateralmente y órganos
masculinos internos y externos. Sin embargo, el cariotipo es XX, aun-
que se sabe que parte del cromosoma Y se ha transferido al brazo
corto de un cromosoma X. El testículo carece de espermatogonias y
puede ser atrófico. En la disgenesia gonadal tipo Swyer el cariotipo
es 46,XY, pero el fenotipo es femenino, puesto que el testículo no se
desarrolla normalmente en las etapas embrionarias cruciales para
el desarrollo genital. Los órganos derivados del conducto de Müller
(trompas de Falopio, útero) están presentes. El testículo se encuentra
convertido en un cordón fibroso sin estructura testicular reconocible.
TABLA 14-6 Algunos trastornos genéticos de la diferenciación testicular
ENFERMEDAD
Aplasia gonadal
Regresión testicular
Síndrome de Klinefelter
Variantes del síndrome de
Klinefelter
Varón XX
Disgenesia gonadal
(Swyer)
Disgenesia gonadal mixta
Síndrome de Drash
Hermafroditismo
verdadero
CARIOTIPO
XY
XY
XXY
XY/XXY, XXXY
y otros
XX
XY
XO/XY
y otros
XY
XX/XY, XO/XY
y otros
CONDUCTOS
Müller
Wolff
Wolff
Wolff
Wolff
Müller,
inmaduros
Müller y
Wolff
Müller y
Wolff
Wolff y
Müller
TESTÍCULO
Ausente
Ausente o rudimentario
Puede ser pequeño,
atrófico
Normal o pequeño
Puede ser pequeño;
hay criptorquidia en
15% de los casos
Cordón fibroso
Testículo y cordón
fibroso
Anormalidad por
disgenesia
Ovario y/o testículo y/u
ovotestis
COMENTARIO
Algunos casos autosómicos
recesivos
Si la regresión es temprana, el
fenotipo es femenino; si es tar-
día, masculino
El fenotipo puede ser
“eunucoide”
El fenotipo puede ser semejan-
te al de Klinefelter
Resulta de la transferencia de
material del cromosoma Y a la
punta de Xp
Eunucoide
Ocurre virilización en la
pubertad
Se asocia con tumor de Wilms
Síndrome raro, a veces familiar
En cambio, en la disgenesia gonadal mixta un testículo es normal,
pero el contralateral está transformado en un cordón fibroso; puede
entonces verse epidídimo del lado testicular y trompa de Falopio del
lado de la gónada fibrosa, aunque estos hallazgos no son constantes.
En el síndrome de Drash, genes que controlan el desarrollo y diferen-
ciación de las eminencias urogenitales del embrión funcionan mal. El
resultado es nefasto para el riñón (nefropatía con síndrome nefrítico,
tumor de Wilms) y para el aparato genital (genitales ambiguos, gó-
nadas malformadas). El hermafroditismo verdadero es raro (menos
de 10% de los llamados “estados intersexuales”). En este síndrome
la anormalidad de diferenciación afecta a las células germinales
primitivas dando como resultado la formación de testículo y ovario
simultáneamente. Dichos órganos pueden estar fusionados en una
gónada “híbrida” u ovotestis, o puede haber testículo de un lado y
ovario del lado opuesto. El cariotipo es variable, pero más de la mi-
tad son 46,XX y con fenotipo femenino. En pacientes hermafroditas
hay alta frecuencia de desarrollo de tumor de células germinales: en
aquellos con cromosoma Y la frecuencia es de 5%; el riesgo es de
1.5% en los que carecen de cromosoma Y.
© 2007 Editorial Médica Panamericana, S.A de C.V.
Cisfarm
460 Patología especial
aMaier y cols. Cancer 32:1212-1226. 1972.
bSkinner DG. J Urol 15:65-69. 1976.
cMarks y cols. Hemat Oncol Clin N Amer 5:1143-1172. 1991.
TABLA 14-7 Comparación de tres métodos para estimar el estadio clínico de los tumores testiculares
MÉTODO HOSPITAL WALTER REED A
IA: Confinado al testículo, sin evi-
dencia clínica o radiológica de
diseminación
IB: Igual que el IA, pero se encuen-
tran metástasis linfáticas durante
la disección de ganglios linfáticos
pediátricos
II: El tumor es exclusivamente sub-
diafragmático y no se ha extendido
a los órganos viscerales, pero hay
evidencia clínica o radiográfica de
metástasis linfáticas en ganglios
paraaórticos, inguinales, femorales
e ilíacos
III: El tumor se extiende por arriba del
diafragma, o se ha diseminado al
parénquima de los órganos
MÉTODO SKINNER B
A: Igual que el Walter Reed IA, pero
requiere comprobación de gan-
glios linfáticos negativos por
biopsia
B: La enfermedad es enteramente
subdiafragmática, el tórax y me-
diastino son normales
Bl: Menos de seis ganglios linfáticos
positivos, que están bien encap-
sulados y no muestran extensión
tumoral al tejido retroperitoneal
B2: Seis o más ganglios linfáticos
invadidos, bien encapsulados
y/o extensión al tejido graso
retroperitoneal
B3: Voluminosa masa tumoral retro-
peritoneal (de más de 5 cm de
diámetro)
MÉTODO VARIANTE DEL WALTER REED C
I: Tumor limitado al testículo
II: Hay diseminación linfática subdia-
fragmática, que ha mostrado con
la terapia:
a) pequeña disminución de
volumen
b) gran disminución de volumen
III: Hay extensión a ganglios linfáticos
supradiafragmáticos
IV: Hay metástasis a distancia y/o
extraganglionares
ENFERMEDAD % DE CASOS CON NICG
Criptorquidia 2 a 8%
Pacientes con historia previa de tumor testicular de células germinales ~ 5%
Pacientes con historia previa de infertilidad ~ 1%
Disgenesia gonadal en individuos poseedores de cromosoma Y Elevado %, no cuantificado
Síndrome de “feminización testicular” (insensibilidad a los andrógenos)
TABLA 14-8
Padecimientos en que se observa lesión precursora del cáncer testicular
(neoplasia intratubular de células germinales)
© 2007 Editorial Médica Panamericana, S.A de C.V.
Cisfarm
15
Patología de la piel
Jorge Fernández-Díez
Patología de la piel
FIGURA 15-1. a) Primoinfección tuberculosa cutánea de los dedos índice y medio. b) Lupus
vulgar (tuberculosis mucocutánea), eritema centro facial y deformación de la nariz, con
úlcera del labio superior y nariz.
(a)
(b)
© 2007 Editorial Médica Panamericana, S.A de C.V.
Cisfarm
462 Patología especial
FIGURA 15-2. a) Fotomicrografía de granulomas epitelioides, sin necrosis
caseosa (HE x150). b) Bacilos de la tuberculosis (ZN x 400).
(a)
(b)
© 2007 Editorial Médica Panamericana, S.A de C.V.
Cisfarm
C15 Patología de la piel 463
ESQUEMA 15-1. Historia natural de la lepra. TT lepra tuberculoide polar, BB lepra dimorfa polar, LL lepra lepromatosa polar, BT lepra dimorfa hacia polo tuberculoide, BL lepra dimorfa hacia
el polo lepromatoso. Lepra en reacción, FL fenómeno de Lucio, EN eritema nodoso, EP eritema polimorfo.
HISTORIA NATURAL Y CLASIFICACIÓN DE LA LEPRA
Resolución
Espontánea
Persistente
Tuberculoide
(TT)
(BT)
(BL)
Dimorfa ?
(BB)
Lepromatosa macular
difusa
nodular
reacción
FL
EN
EP ??
(LL)
L. Indeterminada
© 2007 Editorial Médica Panamericana, S.A de C.V.
Cisfarm
464 Patología especial
FIGURA 15-3. a) Lepra indeterminada exhibe mácula hipocrómica e hipoestésica. b) Lepra lepromatosa exhibe la cara infiltrada, frente, arcos superciliares, nariz ancha y pabellones de las
orejas, alopecia de las cejas.
(a) (b)
© 2007 Editorial Médica Panamericana, S.A de C.V.
Cisfarm
C15 Patología de la piel 465
FIGURA 15-4. Lepra lepromatosa, histiocitos vacuolados o células de Virchow (HE
x360). b) Lepra lepromatosa, tronco nervioso infiltrado por linfocitos e histiocitos vacuo-
lados (HE x150). c) Lepra lepromatosa, bacilos de la lepra en el citoplasma de histiocitos
(fite faraco x400).
(c)
(b)
(a)
© 2007 Editorial Médica Panamericana, S.A de C.V.
Cisfarm
466 Patología especial
ESQUEMA 15-2. Lepra en reacción. Tipo reversa: lepra limítrofe hacia el polo lepromatoso, BT lepra limítrofe hacia el polo tuberculoide, TT lepra polar tuberculoide. Tipo degrado. BT lepra
limítrofe hacia tuberculoide. BL lepra limítrofe hacia el polo lepromatoso. Lepra polar lepromatosa.
-“Reversa” BL BT ó TT
-“Degrado” BT BL ó LL
• Tipo I “crónico”
-Eritema nodoso
-Fenómeno de Lucio
-Eritema polimorfo ?
• Tipo II “agudo”
LEPRA EN REACCIÓN (LLR)
© 2007 Editorial Médica Panamericana, S.A de C.V.
Cisfarm
C15 Patología de la piel 467
FIGURA 15-5. Fotografía clínica de verruga vulgar paraungueal.
© 2007 Editorial Médica Panamericana, S.A de C.V.
Cisfarm
468 Patología especial
FIGURA 15-6. a) Condiloma acuminado gigante de la región anal con carcinoma epidermoide por PVH fenotipo
16. b) Condiloma con acantosis, papilomatosis, coilocitos superficiales y efecto citopático, proliferación vascular
de la papila (HE x125).
(b)
(a)
© 2007 Editorial Médica Panamericana, S.A de C.V.
Cisfarm
C15 Patología de la piel 469
FIGURA 15-7. Fotomicrografía de neoplasia intraepitelial, Ca in situ, atipias celulares acentuadas, pérdida de la maduración, mitosis atípicas, hiperqueratosis y paraqueratosis (HE x150).
© 2007 Editorial Médica Panamericana, S.A de C.V.
Cisfarm
470 Patología especial
FIGURA 15-8. a) Micetoma por Actinomadura madurae,
pie y pierna deformados con aumento de volumen y tra-
yectos fistulosos. b) Grano de Nocardia brasiliensis, grano
pequeño, clavas pequeñas y anchas, en el seno de un
absceso (HE x150). c) Grano de Actinomadura madurae,
de aspecto cartográfico; sus filamentos se tiñen inten-
samente con hematoxilina, seudoclavas basófilos (HE
x180). d) Grano de Actinomadura pelletieri, grano peque-
ño, homogéneo, que se tiñe de violeta intenso, aspecto
de plato roto; no se distinguen filamentos en su interior
(HE x150). e) Grano de Streptomyces somaliensis, grano
grande, redondo, de aspecto homogéneo, en forma de
rebanada de patata con hematoxilina y eosina; de color
rosado pálido en el centro y más intenso en la periferia
(HE x150). f) Grano de Actinomyces israelii (micobacteria),
grano grande, filiforme, grampositivo, ácido alcohol resis-
tente negativo, filamentos largos, delgados y entrelazados
(HE x150).
(e)
(c)
(a)
(f)
(d)
(b)
© 2007 Editorial Médica Panamericana, S.A de C.V.
Cisfarm
C15 Patología de la piel 471
FIGURA 15-9. a) Blastomicosis sudamericana, lesión destructiva crónica granulomatosa mucocutánea, destrucción de la pirámide nasal. b) Paracoccidioides brasiliensis con gemación
múltiple “timón de barco” (Grocott x400).
(a) (b)
© 2007 Editorial Médica Panamericana, S.A de C.V.
Cisfarm
472 Patología especial
FIGURA 15-10. Criptococosis por Cryptococcus neoformans, espora grande, halo claro de mucopolisácaridos, gemación binaria (azul alciado x400).
© 2007 Editorial Médica Panamericana, S.A de C.V.
Cisfarm
C15 Patología de la piel 473
FIGURA 15-11. a) Cromomicosis en las piernas, placas verrugosas. b)
Cromomicosis Phyalophora pedrosoi o esclerotes de Medler, esporas pig-
mentadas de café-negro con hematoxilina y eosina, en el interior de una
célula gigante multinucleada (HE x210).
(b)
(a)
© 2007 Editorial Médica Panamericana, S.A de C.V.
Cisfarm
474 Patología especial
FIGURA 15-12. a) Leishmaniasis cutánea o úlceras de los chicleros. b) Muchas leishmanias kinetoplastos en el citoplasma de macrófagos (HE x400).
(b)
(a)
© 2007 Editorial Médica Panamericana, S.A de C.V.
Cisfarm
C15 Patología de la piel 475
FIGURA 15-13. a) Psoriasis de grandes placas eritematosas, bien limitadas. b) Detalle micros-
cópico de psoriasis, acantosis regular tipo psoriasiforme, hiperqueratosis, paraqueratosis,
atrofia suprapapilar, exocitosis de neutrófilos y microabscesos en la capa córnea “Munro”,
dilatación y tortuosidad de los capilares de la papila dérmica (HE x150).
(a)
(b)
© 2007 Editorial Médica Panamericana, S.A de C.V.
Cisfarm
476 Patología especial
FIGURA 15-14. a) Liquen plano, lesiones típicas en las muñecas. b) Detalle microscópi-
co del liquen plano, acantosis en forma de dientes de sierra, hiperqueratosis ortoquera-
tósica, infiltrado linfo-histiocítico en banda en la dermis papilar. (HE x80).
(b)
(a)
© 2007 Editorial Médica Panamericana, S.A de C.V.
Cisfarm
C15 Patología de la piel 477
FIGURA 15-15. a) Niño con eczema atópico, eritema, costras mieliséricas, huellas
de rascado. b) Detalle microscópico de eczema atópico, acantosis, espongiosis y
microvesículas intraepidérmicas, exocitosis de linfocitos y eosinófilos (HE x80).
(b)
(a)
© 2007 Editorial Médica Panamericana, S.A de C.V.
Cisfarm
478 Patología especial
(b)
(a)
FIGURA 15-16. a) Lupus eritematoso generalizado, eritema facial con úlceras en tórax con pápulas hemorrágicas y úlceras por vasculitis. b) Piel, epidermis atrófica con hiperqueratosis y
tapones de queratina, edema de la capa basal, infiltrado linfocitario superficial (arriba) (HE x175). Inmunofluorescencia directa banda lúpica, depósito de IgG en la unión dermo-epidérmica
(IFD x175).
© 2007 Editorial Médica Panamericana, S.A de C.V.
Cisfarm
C15 Patología de la piel 479
FIGURA 15-17. Vasculitis cutánea en las piernas, pápulas, placas eritematosas, hemorragia, úlceras.
© 2007 Editorial Médica Panamericana, S.A de C.V.
Cisfarm
480 Patología especial
FIGURA 15-18. a) Detalle de vasculitis necrosante leucocitoclástica de pequeños
vasos; la pared exhibe necrosis fibrinoide, polvo nuclear y neutrófilos (HE x180).
b) Detalle de vasculitis necrosante de vasos pequeños (HE x350). c) Depósitos de
IgG en la pared del vaso sanguíneo (IFD x210).
(c)
(b)
(a)
© 2007 Editorial Médica Panamericana, S.A de C.V.
Cisfarm
C15 Patología de la piel 481
FIGURA 15-19. Pénfigo vulgar en tórax, vesículas pequeñas, eritema, úlceras, costras.
© 2007 Editorial Médica Panamericana, S.A de C.V.
Cisfarm
482 Patología especial
FIGURA 15-20. Pénfigo vegetante en la espalda, placas verrugosas y vesículas peque-
ñas, úlceras.
© 2007 Editorial Médica Panamericana, S.A de C.V.
Cisfarm
C15 Patología de la piel 483
FIGURA 15-21. a) Detalle de pénfigo vulgar, vesícula intraepitelial acantolítica (HE x210). b)
Inmunofluorescencia indirecta, depósitos de IgG no fija complemento, con patrón en malla,
alrededor de los queratinocitos (IFI x210).
(a)
(b)
© 2007 Editorial Médica Panamericana, S.A de C.V.
Cisfarm
484 Patología especial
FIGURA 15-22. a) Eczema de contacto alérgico en el cuello, eritema, liqueinificación de la piel, huellas de rascado. b) Detalle microscópico de eczema alérgico, microvesícula intraepidér-
mica subcorneal del tipo espongiótica, exocitosis de linfocitos y eosinófilos (HE x150).
(a) (b)
© 2007 Editorial Médica Panamericana, S.A de C.V.
Cisfarm
C15 Patología de la piel 485
FIGURA 15-23. Detalle microscópico de la queratosis
seborreica con proliferación benigna de las células basaloi-
des con seudoquistes de queratina (HE x125).
© 2007 Editorial Médica Panamericana, S.A de C.V.
Cisfarm
486 Patología especial
(a) (b)
FIGURA 15-24. Esquema de los tipos morfológicos de las células névicas y melanocitos tanto a) benignas como b) malignas. (Ackerman y cols., 1994.)
© 2007 Editorial Médica Panamericana, S.A de C.V.
Cisfarm
C15 Patología de la piel 487
FIGURA 15-25. a) Nevo acral lentiginoso congénito pequeño. b) Nevo com-
puesto; detalle microscópico; tecas de células névicas en la unión dermoe-
pidermis, células névicas pequeñas en la dermis profunda (HE x125).
(b)
(a)
© 2007 Editorial Médica Panamericana, S.A de C.V.
Cisfarm
488 Patología especial
FIGURA 15-26. a) Esquema de nevo adquirido intradérmico tipo Miescher,
con silueta de triángulo invertido, células monótonas. (Ackerman y cols.,
1994, p. 50.) b) Esquema de nevo adquirido intradérmico tipo Unna, con
células monótonas, de aspecto exofítico verrugoso. (Ackermany y cols., 1994,
p. 47.)
(b)
(a)
© 2007 Editorial Médica Panamericana, S.A de C.V.
Cisfarm
C15 Patología de la piel 489
FIGURA 15-27. a) Queratoacantoma del párpado, nódulo crateriforme bien circunscrito, de evolución rápida.
(Cortesía del Dr. Alfredo Gómez Leal.) b) Aspecto panorámico microscópico de queratoacantoma; el centro
está lleno de queratina, acantosis y papilomatosis del epitelio basal del cráter, con atipias células e invasión a
la dermis vecina. Nótese el inicio abrupto del epitelio normal vecinal inferior izquierdo (HE x60).
(a)
(b)
© 2007 Editorial Médica Panamericana, S.A de C.V.
Cisfarm
490 Patología especial
FIGURA 15-28. a) Carcinoma basocelular del tipo nodular ulcerado en el
párpado inferior, pigmentado, de bordes perlados. b) Carcinoma basocelular
nodular: los nidos neoplásicos de células basales están en la dermis superfi-
cial, y exhiben empalizada en la periferia (HE x75).
(b)
(a)
© 2007 Editorial Médica Panamericana, S.A de C.V.
Cisfarm
C15 Patología de la piel 491
FIGURA 15-29. a) Carcinoma epidermoide del tipo verrugoso del pene; se obser-
va la deformación del glande, la neoplasia blanquecina verrugosa bien limitada. b)
Carcinoma epidermoide bien diferenciado; forma mosaicos de células epiteliales,
hay disqueratosis, citoplasma claro, citoplasma eosinófilo, mitosis atípicas, for-
mación de perlas córneas, desproporción núcleo citoplasma (HE x125).
(a)
(b)
© 2007 Editorial Médica Panamericana, S.A de C.V.
Cisfarm
492 Patología especial
FIGURA 15-30. a) Mujer de 75 años de edad con melanoma maligno de tipo lentiginoso en la mejilla con 20 años de evolución; zona plana con crecimiento radial y los nódulos con creci-
miento vertical. b) Melanoma maligno de diseminación superficial en la pierna; siete años de evolución; crecimiento asimétrico, bordes irregulares, color irregular, áreas hipocrómicas de
regresión y nódulos de crecimiento vertical. c) Pierna de un niño con melanoma originado en nevo congénito de 14 x 10 cm con metástasis inguinales.
(a)
(b) (c)
© 2007 Editorial Médica Panamericana, S.A de C.V.
Cisfarm
C15 Patología de la piel 493
FIGURA 15-31. a) Esquema de crecimiento melanocítico. Izquierda: arriba, patrón normal de los melanocitos en la capa basal; en medio, proliferación benigna de melanocito en la capa
basal; abajo, proliferación lentiginosa benigna de los melanocitos en la capa basal. Derecha: arriba y en medio, proliferación neoplásica de los melanocitos en la epidermis con emigración
transepitelial; abajo, invasión a la dermis superficial. (Ackerman y cols., 1994, p. 111.) b) Detalle microscópico del melanoma in situ; proliferación neoplásica de los melanocitos en la capa
basal, pleomorfismo nuclear y citoplasma claro (HE x150). c) Detalle microscópico del melanoma maligno de diseminación superficial; los melanocitos neoplásicos exhiben citoplasma
claro y núcleo ovoide con nucleolo rojo aparente, emigración pagetoide intraepitelial e invasión a la dermis superficial (HE x80). d) Detalle microscópico del melanoma maligno; muestra
células epiteloides, pleomorfismo nuclear, seudoinclusión nuclear, pigmento y mitosis atípicas (HE x175).
(d)
(c)
(b)
(a)
© 2007 Editorial Médica Panamericana, S.A de C.V.
Cisfarm
494 Patología especial
FIGURA 15-32. Detalle microscópico del melanoma maligno con crecimiento vertical; se aprecian melanocitos neoplásicos en la dermis teñidos con HMB-45 positivos (HMB-45 x75)
© 2007 Editorial Médica Panamericana, S.A de C.V.
Cisfarm
C15 Patología de la piel 495
FIGURA 15-33. a) Esquema de la distribución de los nevos en el síndrome de nevos displásicos. b) Síndrome de nevos displásicos; los nevos exhiben diferentes formas, tamaños, colores
y bordes irregulares, crecimiento asimétrico; más de 100 nevos. c) Detalle microscópico de nevo displásico; muestra epidermis delgada con proliferación digitiforme de las proyecciones
interpapilares; se juntan y forman puentes; los melanocitos se disponen sobre todo en las puntas de las proyecciones, con atipia desde leve a neoplásica. Hay hiperplasia laminar de la
dermis papilar y proliferación vascular superficial con infiltrado linfocitario (HE x125). d) Detalle microscópico de nevo displásico (izquierda) y melanoma (derecha) (HE x80).
(b)
(d)
(c)
(a)
© 2007 Editorial Médica Panamericana, S.A de C.V.
Cisfarm
496 Patología especial
FIGURA 15-34. a) Pieza quirúrgica de un tumor de células de Merkel; tumor grande, mal
limitado; blanco grisáceo, del glúteo. b) Detalle microscópico de merkeloma; células peque-
ñas, uniformes, escaso citoplasma, núcleo redondo, cromatina fina sin nucleolo (HE x210).
c) Detalle de una célula de Merkel con el microscopio electrónico; exhibe en el citoplasma
gránulos pequeños uniformes electrodensos (gránulos neuroendocrinos) (ME 86,000).
(c)
(b)
(a)
© 2007 Editorial Médica Panamericana, S.A de C.V.
Cisfarm
C15 Patología de la piel 497
(a)
(c)
(b)
FIGURA 15-35. a) Micosis fungoides; placas infiltradas eritematoes-
camosas mal limitadas; 14 años de evolución; lesiones diseminadas
por toda la superficie cutánea. b) Micosis fungoides en la fase tumoral;
hombre viejo con 25 años de evolución. c) Detalle microscópico de
micosis fungoides; se ve la invasión de linfocitos intermedios y grandes
con núcleos hendidos cerebriformes CD4 positivos, invadiendo la epi-
dermis (exocitosis seca) (HE x150).
© 2007 Editorial Médica Panamericana, S.A de C.V.
Cisfarm
498 Patología especial
FIGURA 15-36. a) Linfoma de alto grado de células grandes hendidas B, pla-
cas, nódulos, hombre de 48 años. b) Detalle microscópico de linfoma de células
grandes B; se aprecian las células grandes y núcleos hendidos (HE x210).
(b)
(a)
© 2007 Editorial Médica Panamericana, S.A de C.V.
Cisfarm
C15 Patología de la piel 499
TABLA 15-1 Tuberculosis
1a.
2a.
1a.
2a.
2a.
2a.
CLÍNICA
Manos, dedos,
nódulo ulcerado,
úlceras, linfangitis
y adenitis
90% en la cara
Placa, nódulo, rojizo
eritematoso, puede
ulcerarse
Placa verrugosa bien
limitada, mayor de
5 cm
Placas y nódulos
ulcerados con
fístulas
Pápulas o nódulos
pequeños
Nódulo necrótico
Eritema indurado de
Bazin
Eritema nodoso
BAAR
++++
+, –
–
++++
++
–
PCR+
RNAm para
Mycobacte-
rium
tuberculosis
PATOLOGÍA
Inflamación aguda
Granulomas poco
frecuentes y mal
constituidos
Granulomas
superficiales bien
constituidos sin
necrosis caseosa
Hiperplasia
seudoepiteliomatosa
con granulomas
bien constituidos
sin necrosis caseosa
Inflamación aguda
abscedada con
granulomas bien
constituidos con
necrosis caseosa
Granulomas múltiples
bien constituidos
con necrosis
caseosa
NN: vasculitis
necrosante
dérmica
EIB: paniculitis
lobular con
vasculitis
EN: paniculitis septal
con vasculitis
MECANISMO
Inoculación
Manejo de alimentos
y material de
laboratorio, y animales
contaminados
Reinfección
Inoculación accidental
por manejo de
alimentos frescos,
material de
laboratorio y animales
contaminaados
Contigüidad
Tb ganglionar
Abscesos fríos
Hematógena
Foco pulmonar
Hipersensibilidad
humoral por
complejos inmunes
TIPOS DE
TUBERCULOSIS
Primo infección
Lupus vulgar
Tb verrugosa
Escrofulodermia
Tb miliar
Tuberculides
© 2007 Editorial Médica Panamericana, S.A de C.V.
Cisfarm
500 Patología especial
TABLA 15-2 Datos generales de la lepra
DIMORFA
Mácula hipocrómica
eritematosa con
bordes elevados
Placas con sensibilidad
variable
LT/LL
Sí/no
Generalmente
evoluciona al polo
maligno LL
+/–
++/–
Granulomas
tuberculoides
e histiocitos
vacuolados,
perianexial,
perineural
BAAR ++
Humoral C.I.
Eritema nodoso
Maligno 75%
Incierto
LEPROMATOSA
Lepra bonita o lazarina,
máculas
Placas difusas,
infiltradas, nódulos,
alopecia, uveítis,
fenómeno de Lucio,
renitis crónica
Sí
Maligna
–
++++
Infiltrado nodular o
difuso de histiocitos
vacuolados
(granulomas
histiocíticos)
BAAR++++
Humoral C.I.
Eritema nodoso
Fenómeno de Lucio
Maligno 100%
Resistente
TUBERCULOIDE
Mácula eritematosa de
bordes geográficos
elevados circinados
con disestesia,
nódulos, trastornos
neurológicos,
queratitis
No
Benigno
+++/++++
–
Granulomas
tuberculoides
(histiocitos
activados),
perianexial y
perineural
BAAR–
Humoral C.I.
Eritema nodoso
Benigno 100%
Responde
INDETERMINADA
Mácula hipocrómica,
disestésica, alopecia,
anhidrosis
Sí/no
75% involuciona
espontáneamente
+/–
–/+ escasos
Infiltrado de linfocitos
perivascular,
perianexial,
perineural
BAAR ++
Humoral C.I.
Eritema nodoso
Maligno 75%
Incierto
TIPOS
Clínica
Contagio
Evolución
Reacción de
Mitsuda
Bacteriología
Patología
Hipersensibilidad
Pronóstico
Tratamiento sulfas
© 2007 Editorial Médica Panamericana, S.A de C.V.
Cisfarm
C15 Patología de la piel 501
* Véase la figura 15-8.
TABLA 15-4 Diferencias entre los microorganismos que producen el micetoma*
FRECUENCIA
85%
10%
<5%
<5%
<5%
<5%
Muy raro
FORMA DEL GRANO
Reniforme, redondo,
polilobulado
Cartográfico o
polilobulado
Fragmentado (plato roto)
Ovalado con estrías,
(rebanada de patata)
Filamentosa o vesiculosa,
concéntricos y radiales
Interior filamentoso,
hialino o vesiculoso,
oval o curvilíneo
Multilobulados en el
centro, filamentosos,
microsifonados y
elementos cocoides
CLAVAS Y PERFILES
Clavas pequeñas y
anchas
10x2 micras
Seudoclavas, flecos
Sin clavas, perfiles
lisos
Sin clavas, perfiles
lisos
Sin clavas, perfiles
irregulares
Sin clavas,
desflecado,
perfiles
irregulares
Clavas largas y
delgadas
TAMAÑO
DEL GRANO
20 a 40 micras
(20 a 150 micras)
granos pequeños
500 > micras
a 3 mm
50 a 80 micras
(30 a 400 micras)
80 a 120 micras
(200 micras)
60 a 120 micras
(>500 micras)
80 a 200 micras
(> 500 micras)
30 a 100 micras
(>500 micras)
COLOR DE LOS
FILAMENTOS CON
HE
Anfófilo, azul claro
en el centro
Filamentos color
púrpura
Rojo violáceo
intenso
Rosa pálido, borde
rosa más intenso
Café marrón al
rosa, violeta
o negro en la
periferia
Rosados
(eosinófilos)
HONGOS
Nocardia
brasiliensis
Actinomadura
madurae
Actinomadura
pelletieri
Streptomyces
somaliensis
Madurella
mycetomatis
Scedosporidium
apiospermum
Actinomyces
israelii o
bovis
MICROORGANISMOS MÉXICO MUNDO
Nocardia brasiliensis* 85% 32%
Actinomadura madurae* 10% 8%
Madurella grisea** <5% —
Madurella mycetomatis** <5% 19%
Actinomadura pelletieri* <5% 9%
Streptomyces somaliensis** <5% 7%
Scedosporidium apiospermum** <5% 3%
* Hongos falsos.
** Hongos verdaderos.
TABLA 15-3 Micetomas en México
© 2007 Editorial Médica Panamericana, S.A de C.V.
Cisfarm
502 Patología especial
TIPO ÁREA GEOGRÁFICA ESPECIES
Visceral, Viejo y Nuevo Mundos: Europa, África Oriental, América Latina L. donovani
Kala-Azar L.d. chagasi
Cutánea, ulcerada, Viejo Mundo, Europa, África Oriental L. minor
moderada, localizada, grave Europa, África Oriental L. major, L. tropica
Cutánea, ulcerada, Nuevo Mundo,
moderada, localizada América Latina L. mexicana mexicana
América Latina L. panamensis
Grave América Latina L. amazonensis
América Latina L. guyanensis
Mucocutánea, Nuevo Mundo América Latina L.b. braziliensis
Uta, Espundia América Latina L. peruana
Cutánea, difusa, Viejo Mundo Etiopía L.m. ethiopica
Cutánea, difusa, Nuevo Mundo América Latina L. amazonensis
Tomado de Von Lichtenberg F. Path of Infect. Dis. 1991.
TABLA 15-5 Leishmaniasis
MEDICAMENTOS GRADO DE RIESGO
Antihipertensivos
Hidralacina Alto
Antiarrítmicos
Procainamida Alto
Practolol Alto
Agentes quelantes
D-Penicilamina Alto
Antituberculosos
Isoniacida Moderado
Anticonvulsionantes
Hidantoínas Moderado
Succinimidas Moderado
Antitiroideas
Derivadas de las tioureas Bajo
Psicotrópicas
Derivadas de las fenotiacinas Bajo
Anticonceptivos orales
Estrógenos-progesterona Indefinido
Sulfonamidas Indefinido
TABLA 15-6 Medicamentos que inducen LEG
LEG Piel afectada 100% positiva
LEG Piel clínicamente normal
y expuesta al sol 90% positiva
LEG Piel clínicamente normal
y no expuesta al sol 65% positiva
LED Piel afectada 100% positiva
LED Piel normal expuesta 0% positiva
o no expuesta al sol 0% positiva
TABLA 15-7 Inmunofluorescencia directa en lupus eritematoso
© 2007 Editorial Médica Panamericana, S.A de C.V.
Cisfarm
C15 Patología de la piel 503
Vasculitis de vasos pequeños
Vasculitis leucocitoclástica Sólo afecta a las vénulas y capilares de la piel; no hay
necrosante cutánea manifestaciones sistémicas ni glomerulares. Depósitos de
complejos inmunes.
Vasculitis por crioglobulinemia Vasculitis con depósitos inmunes de crioglobulinas en vénulas,
esencial capilares y arteriolas con crioglobulinas en el suero. Afecta la piel
y los glomérulos.
Púrpura de Henoch-Schönlein Vasculitis con depósitos de IgA predominante en vénulas, capilares
y arteriolas. Afecta típicamente piel, riñón, intestino; se asocia con
artralgias y artritis.
Poliangeítis microscópica Vasculitis necrosante con pocos o sin depósitos inmunes en
(poliarteritis microscópica) vénulas, capilares y arteriolas. Arteritis necrosante de arterias
pequeñas y medianas. Glomerulonefritis necrosante muy
frecuente. Los capilares pulmonares son frecuentemente
afectados. ANCA +.
Síndrome de Churg-Strauss Inflamación granulomatosa con abundantes eosinófilos en el tracto
respiratorio y vasculitis necrosante de vasos pequeños y
medianos; se asocia con asma y eosinofilia en sangre.
Granulomatosis de Wegener Inflamación granulomatosa que afecta tracto respiratorio, vasculitis
necrosante sistémica de vasos pequeños y medianos.
Glomerulonefritis. ANCA +.
Vasculitis de vasos medianos
Poliarteritis nodosa Arteritis necrosante de arterias medianas y en ocasiones pequeñas
de todos los órganos, sin glomerulonefritis, arterias arcuatas e
interlobares. AgsHB 70%. Hipertensión arterial; no afecta pulmón.
Eosinofilia periférica.
Enfermedad de Kawasaki Arteritis que afecta arterias grandes, medianas y pequeñas; se
asocia con el síndrome de ganglios linfáticos mucocutáneos.
Coronarias frecuentemente afectadas; la aorta y venas
ocasionalmente. Es frecuente en niños.
Vasculitis de vasos grandes
Arteriritis de células gigantes Arteritis granulomatosa de la aorta y sus ramas mayores, con
(arteritis de la temporal) predilección de las arterias extracraneales (carótida). Con
frecuencia afecta la arteria temporal. Por arriba de los 40 años,
se asocia a polimialgia reumática.
Arteritis de Takayasu Arteritis granulomatosa de la aorta (tuberculosis) y sus
ramas mayores supraaórticas. En enfermos por abajo de
40 años.
TABLA 15-8 Clasificación de las vasculitis
© 2007 Editorial Médica Panamericana, S.A de C.V.
Cisfarm
504 Patología especial
Infecciosas
Vasculitis por bacterias (estreptococo, neisseria,
micobacterias, pseudomonas, etc.)
Vasculitis por rickettsia (fiebre manchada de las Montañas
Rocallosas)
Vasculitis por espiroquetas (sífilis)
Vasculitis por hongos (aspergilosis)
Vasculitis por virus (herpes virus, hepatitis B y otros).
Otros microorganismos
Mediadas por complejos inmunes
Púrpura de Henoch-Schönlein
Crioglobulinemia esencial
Vasculitis tipo enfermedad del suero y fenómeno de Arthus
Vasculitis lúpica
Poliarteritis nodosa clásica y microscópica por hepatitis B
Mediadas directamente por anticuerpos
Síndrome de Goodpasture (anticuerpos antimembrana
basal)
Enfermedad de Kawasaki (anticuerpos anticélula endotelial)
Mediadas por ANCA (anticuerpos anticitoplasma
de neutrófilos)
Granulomatosis de Wegener
Poliangeítis microscópica (poliarteritis microscópica)
Síndrome de Churg-Strauss
Mediadas por células
Reacción vascular celular a los alotrasplantes
Vasculitis linfocítica (autoinmunidad, enfermedad viral,
medicamentos, linfoma)
Mecanismo desconocido
Arteritis de la temporal de células gigantes
Arteritis de Takayasu
TABLA 15-9 Clasificación patogénica de las vasculitis
C-ANCA Granulomatosis de Wegener
C-ANCA y P-ANCA Poliangeítis microscópica
Crioglobulinemia mixta Vasculitis con crioglobulinemia esencial
IgA absorbida a la fibronectina Púrpura de Henoch-Schönlein
Anticuerpos antihepatitis B Arteritis de complejos inmunes
Anticuerpos antimembrana basal glomerular Síndrome de Goodpasture
Anticuerpos antinucleares Lupus eritematoso generalizado
Anticuerpos anti C1q Vasculitis urticarial hipocomplementémica
Anticuerpos anticardiolipinas Microangiopatía trombótica
Anticuerpos antiverotoxina Síndrome urémico hemolítico
Anticuerpos anti Scl-70 Esclerosis sistémica progresiva
Inmunoglobulinas monoclonales Amiloidosis
TABLA 15-10 Factores serológicos patogénicos de las vasculitis
© 2007 Editorial Médica Panamericana, S.A de C.V.
Cisfarm
C15 Patología de la piel 505
TABLA 15-11 Características clínicas de diferentes tipos de melanoma
EDAD
40 años
25 años
60 años
35 años
45 años
< 15 años
< 15 años
TOPOGRAFÍA
Tronco, piernas
Extremidades,
tronco
Cara
Manos y pies
Boca, vagina,
conjuntiva
Cualquier lugar
Diseminados en
todo el cuerpo;
más de 100
nevos
SUPERVIVENCIA
A 5 AÑOS EN
CRECIMIENTO VERTICAL
<.75 mm 90%
0.76-1.5 mm 70%
> 1.5 mm 45%
< 0.75 mm 70%
0.76-1.5 mm 50%
> 1.5 mm 35%
< 0.75 mm 99%
0.76-1.5 mm 80%
> 1.5 mm 65%
< 0.75 mm 70%
0.76-1.5 mm 50%
> 1.5 mm 30%
Muy malo
Muy malo
Muy malo
CLÍNICA
2-4 mm, placa
eritematosa café
claro
1 cm, nódulo de
pigmentación
variable
Varios cm,
pigmentación
irregular
< 1 cm, café oscuro
Máculas planas
pigmentadas
Gigantes, > 10 cm
a) Asimétricos
b) Bordes
c) Color
d) Diámetro
TIEMPO
DE EVOLUCIÓN
CRECIMIENTO RADIAL
2 a 4 años
Semanas o meses
10 a 15 años
4 a 6 años
?
Primer decenio
10 años
TIPO DE
MELANOMA
Diseminación
superficial
Nodular
Lentigo maligno
Acral lentiginoso
Mucosas
lentiginosas
En nevo congénito
Nevos displásicos,
familiar
© 2007 Editorial Médica Panamericana, S.A de C.V.
Cisfarm
506 Patología especial
Edad
Sitio anatómico
Embarazo
Estadio clínico
Fase de crecimiento radial o vertical
Microestradificación de Breslow o Clark
Ulceración
Índice mitósico, proliferación Ki-67
Cambios de regresión
Satelitosis microscópica
Respuesta inflamatoria del hospedero
Márgenes quirúrgicos
Contenido de ADN (ploidia)
HLa-DR
Oncogenes
TABLA 15-12 Factores pronóstico
Estadio I 99% (cualquier tipo)
Estadio II 79% (65 a 85%)
Estadio III 0 a 5%
TABLA 15-13 Supervivencia del melanoma a 5 años
SUPERVIVENCIA
FRECUENCIA A 5 AÑOS
Linfomas cutáneos de células T
Comportamiento clínico indolente
Micosis fungoides 40% 89%
Variantes de la micosis fungoides
MF folicular 4% 75%
Reticulosis pagetoide <1% 100%
Linfoma cutáneo de células grandes T. CD 30 positivo 10% 93%
Papulosis linfomatoide 14% 100%
Comportamiento clínico agresivo
Síndrome de Sézary 3% 11%
Linfoma cutáneo de células grandes T. CD 30 negativo 8% 15%
Entidades provisionales
Linfoma cutáneo de células T pleomórfico
de células pequeñas y medianas 2% 62%
Linfoma de células T subcutáneo tipo paniculitis <1% ?
Linfoma cutáneo de células B
Comportamiento clínico indolente
Linfoma cutáneo primario de células B de la zona
marginal (inmunocitoma) 2% 100%
Linfoma cutáneo primario de células centro foliculares 13% 97%
Comportamiento clínico intermedio
Linfoma cutáneo primario de células B de las piernas 2% 55%
Entidades provisionales
Plasmocitoma cutáneo primario <1% 100%
Linfoma de células grandes B intravascular <1% 50%
* Fuente: European Organization for Research and Treatment of Cancer.
TABLA 15-14 Clasificación de la EORTC* de los linfomas primarios de la piel
© 2007 Editorial Médica Panamericana, S.A de C.V.
Cisfarm
17
Laura Chávez Macías
Juan E. Olvera Rabiela
Patología
del sistema nervioso
Patología
del sistema nervioso
FIGURA 17-1. a) Cromatólisis central. Es la desaparición de los
gránulos de ARN de la parte central del citoplasma de las neuronas.
b) Degeneración eosinófila. El citoplasma de las neuronas es inten-
samente eosinófilo y ocurre en hipoxia e isquemia. c) La satelitosis
consiste en el aumento de oligodendrocitos perineuronales que
ocurre en enfermedades crónicas con atrofia neuronal. (Continúa.)
(a) (b)
(c)
© 2007 Editorial Médica Panamericana, S.A de C.V.
Cisfarm
534 Patología especial
FIGURA 17-1 (Continuación). d) La gliosis es una respuesta de reparación de los astrocitos,
con citoplasma abundante, que los convierte en gemistocitos. e) La ependimitis granular se
ve a simple vista como granitos de sal en las paredes ventriculares y consiste en la prolife-
ración de astrocitos subependimarios donde se pierde el revestimiento ependimario. f) En
lesiones con destrucción rápida del tejido los macrófagos, tanto de la microglia como de la
circulación, inician la fagocitosis y se ven con el citoplasma claro y reticular.
(d)
(f)
(e)
© 2007 Editorial Médica Panamericana, S.A de C.V.
Cisfarm
C17 Patología del sistema nervioso 535
FIGURA 17-2. a) Infarto hemorrágico reciente en el territorio de la cerebral media izquierda, secundario a oclusión embólica. b) Infarto en el territorio de la carótida interna izquierda, de
seis semanas de evolución, secundario a oclusión por trombosis en su porción cervical. c) En la fase subaguda del infarto cerebral hay macrófagos con citoplasma reticular que fagocitan
el tejido dañado y empieza la gliosis. Los infartos antiguos quedan cavitados y con bandas de gliosis. d) Infarto de ocho meses de evolución, con reabsorción total, en el territorio de la
carótida interna izquierda.
(a)
(c)
(b)
(d)
© 2007 Editorial Médica Panamericana, S.A de C.V.
Cisfarm
536 Patología especial
FIGURA 17-3. a) El vaso venoso en que ocurre con mayor frecuencia la trombosis es el seno longitudi-
nal superior, que se muestra aquí cortado transversalmente. b) Infarto hemorrágico parietal, parasagital
izquierdo, secundario a trombosis del seno longitudinal superior. Los infartos secundarios a la trombosis
de este seno pueden ser uni o bilaterales. c) Infarto hemorrágico secundario a trombosis de las venas
cerebrales internas, con forma de alas de mariposa.
(a)
(b)
(c)
© 2007 Editorial Médica Panamericana, S.A de C.V.
Cisfarm
C17 Patología del sistema nervioso 537
FIGURA 17-4. Hemorragia asociada a hipertensión arterial en hemisferio cerebral derecho con extensión ventricular.
© 2007 Editorial Médica Panamericana, S.A de C.V.
Cisfarm
538 Patología especial
FIGURA 17-5. Los aneurismas gigantes miden más de dos centímetros, pueden sufrir trombosis y a veces se hacen un lecho en el parénquima por compresión crónica.
© 2007 Editorial Médica Panamericana, S.A de C.V.
Cisfarm
C17 Patología del sistema nervioso 539
FIGURA 17-6. a) Las malformaciones arteriovenosas se localizan con mayor
frecuencia en los hemisferios cerebrales, algunas son muy grandes como esta
gigante en el lóbulo frontal derecho. b) Los vasos malformados tienen diferente
espesor de la pared, pueden estar dilatados y el parénquima que se encuentra
entre ellos muestra gliosis y atrofia.
(a)
(b)
© 2007 Editorial Médica Panamericana, S.A de C.V.
Cisfarm
540 Patología especial
FIGURA 17-7. a) En la enfermedad de Moschowitz los capilares y arteriolas se obstru-
yen por un material hialino que contiene fibrina y plaquetas. b) Como consecuencia de
las alteraciones en la microcirculación ocurren hemorragias perivasculares múltiples, en
un paciente con enfermedad de Moschowitz.
(a)
(b)
© 2007 Editorial Médica Panamericana, S.A de C.V.
Cisfarm
C17 Patología del sistema nervioso 541
FIGURA 17-8. La hidrocefalia se debe a la obstrucción de la circulación del líquido
cerebroespinal; en este caso extremo fue consecuencia de la estenosis congénita
del acueducto. El septum puede romperse o rasgarse en casos graves.
© 2007 Editorial Médica Panamericana, S.A de C.V.
Cisfarm
542 Patología especial
FIGURA 17-9. a) Hematoma epidural en un niño con fractura del hueso temporal, secun-
daria a un golpe con pelota de beisbol. La sangre arterial extravasada se acumula sobre el
lóbulo temporal. b) El hematoma subdural puede ser bilateral; la sangre venosa se acumula
en la superficie dorsolateral de los hemisferios cerebrales.
(a)
(b)
© 2007 Editorial Médica Panamericana, S.A de C.V.
Cisfarm
C17 Patología del sistema nervioso 543
FIGURA 17-10. Las contusiones cerebrales son más frecuentes en la superficie ventral de los lóbulos frontales y temporales.
© 2007 Editorial Médica Panamericana, S.A de C.V.
Cisfarm
544 Patología especial
FIGURA 17-11. a) Empiema subdural secundario a escaras de decúbito infectadas. El exudado se
acumula entre la duramadre y la aracnoides. b) Leptomeningitis purulenta con acúmulo máximo del
exudado en la parte dorsal y parasagital de los hemisferios cerebrales. c) Los abscesos cerebrales
pueden ser múltiples y dependen para su encapsulación de los vasos neoformados en la periferia,
que son la fuente de fibroblastos, y se notan como un anillo de color rojo. En este caso como com-
plicación de bronquiectasias abscedadas.
(a)
(b)
(c)
© 2007 Editorial Médica Panamericana, S.A de C.V.
Cisfarm
C17 Patología del sistema nervioso 545
FIGURA 17-12. a) En la leptomeningitis tuberculosa el exudado se acumula en el espacio
subaracnoideo basal, donde rodea al quiasma y a las arterias del polígono. b) La endarteritis
que ocurre en la leptomeningitis tuberculosa es causa de lesiones isquémicas en múltiples
territorios. c) Los tuberculomas se localizan en el parénquima de los hemisferios cerebrales,
y en los niños en el cerebelo. En este caso pudo alcanzar gran tamaño porque se hizo una
derivación que disminuyó la hidrocefalia que causaba al comprimir el cuarto ventrículo.
(a) (b)
(c)
© 2007 Editorial Médica Panamericana, S.A de C.V.
Cisfarm
546 Patología especial
FIGURA 17-13. La poliomielitis afecta a la sustancia gris de la médula, más notable en este caso en el segmento torácico.
© 2007 Editorial Médica Panamericana, S.A de C.V.
Cisfarm
C17 Patología del sistema nervioso 547
FIGURA 17-14. Las células de Purkinje del cerebelo contienen inclusiones eosinófilas redondeadas en el citoplasma, que corresponden a cuerpos de Negri.
© 2007 Editorial Médica Panamericana, S.A de C.V.
Cisfarm
548 Patología especial
FIGURA 17-15. Encefalitis por virus del herpes simple. La afección es más aparente en los lóbulos temporales, ínsulas y cíngulos, que presentan lesiones necrohemorrágicas.
© 2007 Editorial Médica Panamericana, S.A de C.V.
Cisfarm
C17 Patología del sistema nervioso 549
FIGURA 17-16. Panencefalitis esclerosante subaguda con afección de todos los lóbulos e hidrocefalia ex vacuo. La consistencia del encéfalo en estos casos está aumentada.
© 2007 Editorial Médica Panamericana, S.A de C.V.
Cisfarm
550 Patología especial
FIGURA 17-17. En la leucoencefalopatía multifocal progresiva hay desmielinización en muchos sitios, más notoria en la sustancia blanca de los hemisferios cerebrales.
© 2007 Editorial Médica Panamericana, S.A de C.V.
Cisfarm
C17 Patología del sistema nervioso 551
FIGURA 17-18. En la enfermedad de Creutzfeldt-Jakob la corteza tiene aspecto microquístico con pérdida neuronal, por lo que se le ha dado el nombre de encefalopatía espongiforme.
© 2007 Editorial Médica Panamericana, S.A de C.V.
Cisfarm
552 Patología especial
FIGURA 17-19. La toxoplasmosis congénita cursa con destrucción extensa del encéfalo, en especial en la corteza y vecindad de los ventrículos, con calcificaciones múltiples.
© 2007 Editorial Médica Panamericana, S.A de C.V.
Cisfarm
C17 Patología del sistema nervioso 553
FIGURA 17-20. Las amibas de vida libre afectan de forma diferente al sistema nervioso, según el género que se encuentre. En este enfermo se encontraron lesiones necrohemorrágicas
múltiples producidas por Balamuthia mandrillaris, que sólo afectaba a monos y se ha descrito recientemente en humanos.
© 2007 Editorial Médica Panamericana, S.A de C.V.
Cisfarm
554 Patología especial
FIGURA 17-21. Escólex de Cysticercus cellulosae; lo común es encontrar el cuerpo del parásito en cortes histológicos, pero en este corte afortunado se observa la cabeza con su corona
de ganchos.
© 2007 Editorial Médica Panamericana, S.A de C.V.
Cisfarm
C17 Patología del sistema nervioso 555
FIGURA 17-22. a) Cisticercosis subaracnoidea basal. Puede evolucionar a la fibrosis con formación de un
plastrón que impide la circulación del líquido cefalorraquídeo. b) Cisticercosis cerebral masiva. Los cisticercos
se encuentran en espacios perivasculares, extensiones del espacio subaracnoideo, y no en el parénquima
como antes se pensaba.
(a)
(b)
© 2007 Editorial Médica Panamericana, S.A de C.V.
Cisfarm
556 Patología especial
FIGURA 17-23. La esclerosis múltiple en su forma crónica (de Charcot) cursa con placas de desmielinización, irregulares y deprimidas, en la sustancia blanca de múltiples sitios del encé-
falo.
© 2007 Editorial Médica Panamericana, S.A de C.V.
Cisfarm
C17 Patología del sistema nervioso 557
FIGURA 17-24. Leucodistrofia metacromática. La sustancia blanca tiene aspecto gelati-
noso, las partes afectadas se observan de color gris y de aspecto granular.
© 2007 Editorial Médica Panamericana, S.A de C.V.
Cisfarm
558 Patología especial
FIGURA 17-25. En la enfermedad de Alzheimer hay atrofia acentuada de las circunvoluciones y gran amplitud de los surcos. La atrofia es generalmente simétrica.
© 2007 Editorial Médica Panamericana, S.A de C.V.
Cisfarm
C17 Patología del sistema nervioso 559
FIGURA 17-26. a) Las placas neuríticas son masas eosinófilas con un centro amiloide,
de dendritas y axones con filamentos anormales. b) La degeneración neurofibrilar se ve
como material fibrilar basófilo en el citoplasma de neuronas que después se destruyen y
desaparecen, y quedan sólo las marañas neurofibrilares. c) La degeneración granulovacuolar
consiste en la presencia en el citoplasma de gránulos basófilos rodeados de un halo, más
evidente en las neuronas del hipocampo.
(a)
(b)
(c)
© 2007 Editorial Médica Panamericana, S.A de C.V.
Cisfarm
560 Patología especial
FIGURA 17-27. El aplanamiento del contorno de los ventrículos laterales en la corea de Huntington se debe a la atrofia del caudado y el putamen. Hay hidrocefalia ex vacuo.
© 2007 Editorial Médica Panamericana, S.A de C.V.
Cisfarm
C17 Patología del sistema nervioso 561
FIGURA 17-28. Enfermedad de Parkinson. La sustancia nigra prácticamente ha desaparecido en este corte del mesencéfalo de una persona con mucho tiempo de evolución de esta
enfermedad.
© 2007 Editorial Médica Panamericana, S.A de C.V.
Cisfarm
562 Patología especial
FIGURA 17-29. Los cuerpos de Lewy en las neuronas residuales de la sustancia nigra y el locus coeruleus son característicos, aunque no exclusivos de la enfermedad de Parkinson.
© 2007 Editorial Médica Panamericana, S.A de C.V.
Cisfarm
C17 Patología del sistema nervioso 563
FIGURA 17-30. Astrocitoma quístico del hemisferio cerebeloso izquierdo en un adolescente. Había datos de asinergia cerebelosa y lateropulsión hacia la izquierda. Posteriormente apare-
cieron datos de hipertensión endocraneana que se agravaron después de un estudio neumoencefalográfico. La muerte sobrevino después del enclavamiento de las amigdalas cerebelosas.
Nótese una porción quística en el centro de la parte sólida.
© 2007 Editorial Médica Panamericana, S.A de C.V.
Cisfarm
564 Patología especial
FIGURA 17-31. Astrocitoma del puente de Varolio con cambios anaplásicos. Niña con afección de pares craneanos, trastornos cerebelosos y motores. El tumor infiltra ampliamente la base
y tegmentum pontino. Los datos de disfunción del cerebelo son secundarios a la interrupción de los pedúnculos cerebelosos medios. El tumor tiene una parte con necrosis e hipervascula-
rización en la que microscópicamente se encontraron datos de anaplasia.
© 2007 Editorial Médica Panamericana, S.A de C.V.
Cisfarm
C17 Patología del sistema nervioso 565
FIGURA 17-32. Glioblastoma multiforme frontal derecho con extensión al lóbulo frontal izquierdo vía cuerpo calloso. Este hombre de 47 años de edad tuvo alteraciones de muchas fun-
ciones cerebrales superiores y posteriormente datos de hipertensión endocraneana. Casi todo el tejido neoplásico muestra necrosis e hipervascularización. Microscópicamente se notó
hiperplasia endotelial de los vasos neoformados y gran pleomorfismo celular.
© 2007 Editorial Médica Panamericana, S.A de C.V.
Cisfarm
566 Patología especial
FIGURA 17-33. Ependimoma del cuarto ventrículo en un hombre de 34 años de edad. Los datos clínicos principales fueron trastornos cerebelosos e hipertensión endocraneana. El tumor
es de gran tamaño y ha bloqueado casi totalmente la circulación del líquido cefalorraquídeo.
© 2007 Editorial Médica Panamericana, S.A de C.V.
Cisfarm
C17 Patología del sistema nervioso 567
FIGURA 17-34. Pineoblastoma de gran tamaño en un niño de 11 años de edad. Clínicamente había datos de compresión de la lámina cuadrigémina e hipertensión endocraneana grave.
El tumor comprime estructuras mesencefálicas y del diencéfalo y desplaza al cerebelo. Su gran extensión en sentido dorsal permitió que fuera abordado por una cerebrotomía parietal. La
fotografía ilustra la superficie medial de la mitad derecha del encéfalo.
© 2007 Editorial Médica Panamericana, S.A de C.V.
Cisfarm
568 Patología especial
FIGURA 17-35. Meduloblastoma que infil-
tra extensamente al vermis cerebeloso e
invade el cuarto ventriculo. Este niño de
13 años de edad tenía ataxia del tronco,
caminaba con los pies separados y tamba-
leantes y presentaba sensación vertiginosa
y nistagmus. Finalmente tuvo cuadro de
hipertensión endocraneana.
© 2007 Editorial Médica Panamericana, S.A de C.V.
Cisfarm
C17 Patología del sistema nervioso 569
FIGURA 17-36. Schwannoma o neurilemoma del nervio acús-
tico derecho. Fue un hombre de 55 años de edad con varios
años de hipoacusia, que progresó a la anacusia, afección de
varios nervios craneanos bajos, trastornos cerebelosos y hemi-
paresia izquierda. Se intentó su resección y sólo se obtuvieron
algunos fragmentos de cerebelo. El enfermo murió en el poso-
peratorio inmediato. Nótese el gran tamaño del tumor que se
encuentra alojado en lo que los neurocirujanos llaman el ángulo
pontocerebeloso.
© 2007 Editorial Médica Panamericana, S.A de C.V.
Cisfarm
570 Patología especial
FIGURA 17-37. Schwannomas intraespinares en una mujer de 36 años de edad con enfermedad de Von
Recklinghausen. El mayor comprime varios segmentos cervicales de la médula espinal. Hay otro de menor
tamaño en el segmento torácico con la huella del agujero de conjunción por el que creció fuera del conducto
espinal, lo que le dio el aspecto descrito como en reloj de arena. Se intentó su resección mediante un aborda-
je inadecuado, hubo edema grave de la médula espinal y la paciente falleció con insuficiencia ventilatoria.
© 2007 Editorial Médica Panamericana, S.A de C.V.
Cisfarm
C17 Patología del sistema nervioso 571
FIGURA 17-38. Mujer de 42 años de edad con enfermedad de Von Recklinghausen. Tenía
incontables neurofibromas en tronco y extremidades, así como un gran número de manchas
“café con leche”.
© 2007 Editorial Médica Panamericana, S.A de C.V.
Cisfarm
572 Patología especial
FIGURA 17-39. Meningioma de gran tamaño sobre la superficie dorsolateral del hemisferio cerebral derecho. Ocurrió en un hombre de 42 años de edad que tenía más de tres años con
trastornos motores y sensitivos en el hemicuerpo izquierdo. Su cuadro de hipertensión endocraneana era de más de un año de duración y ya tenía atrofia bilateral de la papila óptica. Los
huesos de la bóveda estaban invadidos por el tumor. Durante la craneotomía para su resección hubo sangrado masivo en los agujeros de trépano que no pudo ser controlado.
© 2007 Editorial Médica Panamericana, S.A de C.V.
Cisfarm
C17 Patología del sistema nervioso 573
FIGURA 17-40. Meningioma del ala del esfenoides. Mujer de 45 años de edad con historia de varios años atribuible a compresión de nervios, quiasma y bandaletas ópticas, hipotálamo,
superficie orbitaria frontal y porción medial del lóbulo temporal. Se consideró que su resección presentaba un gran riesgo porque en su parte medial comprimía a la carótida interna y al
seno cavernoso.
© 2007 Editorial Médica Panamericana, S.A de C.V.
Cisfarm
574 Patología especial
FIGURA 17-41. Tumor germinal de gran tamaño, sobre la superficie dorsal del mesencéfalo, en un joven de 15 años de edad. Su aspecto microscópico es idéntico al seminoma del tes-
tículo, sin otros componentes.
© 2007 Editorial Médica Panamericana, S.A de C.V.
Cisfarm
C17 Patología del sistema nervioso 575
FIGURA 17-42. “Glioma nasal” o heterotopía glial nasal en un niño de cinco años
de edad. Se hizo su resección sin complicaciones, ya que no existía conexión con
el cerebro.
© 2007 Editorial Médica Panamericana, S.A de C.V.
Cisfarm
576 Patología especial
FIGURA 17-43. Craniofaringioma en un nino de 11 años de edad con retraso en el crecimiento, ceguera y datos de hipertensión endocraneana. Nótese su gran tamaño y aspecto multi-
quístico. Fue biopsiado mediante craneotomía frontal.
© 2007 Editorial Médica Panamericana, S.A de C.V.
Cisfarm
C17 Patología del sistema nervioso 577
FIGURA 17-44. Metástasis múltiples de carcinoma broncogénico de células pequeñas. Había otras en ambos hemisferios cerebrales y cerebelosos además de las dos que se ilustran en
esta foto, localizadas en el lóbulo frontal izquierdo y núcleo caudado derecho. Se trató de un hombre de 56 años de edad con tabaquismo intenso desde su juventud.
© 2007 Editorial Médica Panamericana, S.A de C.V.
Cisfarm
578 Patología especial
1. Tumores de tejido neuroepitelial
1.1 Tumores astrocíticos
1.1.1 Astrocitoma
1.1.1.1 Fibrilar
1.1.1.2 Protoplásmico
1.1.1.3 Gemistocítico
1.1.2 Astrocitoma anaplásico (maligno)
1.1.3 Glioblastoma multiforme
1.1.3.1 Glioblastoma de células gigantes
1.1.3.2 Gliosarcoma
1.1.4 Astrocitoma pilocítico
1.1.5 Xantoastrocitoma pleomorfo
1.1.6 Astrocitoma subependimario de células
gigantes (tumor de la esclerosis tuberosa)
1.2 Tumores oligodendrocíticos
1.2.1 Oligodendroglioma
1.2.2 Oligodendroglioma anaplásico (maligno)
1.3 Tumores ependimarios
1.3.1 Ependimoma
1.3.1.1 Celular
1.3.1.2 Papilar
1.3.1.3 De células claras
1.3.2 Ependimoma anaplásico (maligno)
1.3.3 Ependimoma mixopapilar
1.3.4 Subependimoma
1.4 Gliomas mixtos
1.4.1 Oligoastrocitoma
1.4.2 Oligoastrocitoma anaplásico (maligno)
1.4.3 Otros
1.5 Tumores de los plexos coroides
1.5.1 Papiloma de los plexos coroides
1.5.2 Carcinoma de los plexos coroides
1.6 Tumores neuroepiteliales de origen incierto
1.6.1 Astroblastoma
1.6.2 Espongioblastoma polar
1.6.3 Gliomatosis cerebri
1.7 Tumores de neuronas y mixtos con elementos
neuronales y gliales
1.7.1 Gangliocitoma
1.7.2 Gangliocitoma displásico del cerebelo
(Lhermitte-Duclos)
1.7.3 Ganglioglioma infantil, desmoplásico
1.7.4 Tumor neuroepitelial disembrioplásico
1.7.5 Ganglioglioma
1.7.6 Ganglioglioma anaplásico (maligno)
1.7.7 Neurocitoma central
1.7.8 Paragangliomna del filum terminale
1.7.9 Neuroblastoma olfatorio (estesioneuroblastoma)
1.7.9.1 Neuroepitelioma olfatorio
1.8 Tumores del parénquima de la pineal
1.8.1 Pineocitoma
1.8.2 Pineoblastoma
1.8.3 Tumores mixtos de la pineal
1.9 Tumores embrionarios
1.9.1 Meduloepitelioma
1.9.2 Neuroblastoma
1.9.2.1 Ganglioneuroblastoma
1.9.3 Ependimoblastoma
1.9.4 Tumores neuroectodérmicos primitivos
1.9.4.1 Meduloblastoma
1.9.4.1.1 Meduloblastoma
desmoplásico
1.9.4.1.2 Medulomioblastoma
1.9.4.1.3 Meduloblastoma melanótico
2 Tumores de nervios craneanos y espinales
2.1 Schwannoma (neurilemoma, neurinoma)
2.1.1 Celular
2.1.2 Plexiforme
2.1.3 Melanótico
2.2 Neurofibroma
2.2.1 Circunscrito (solitario)
2.2.2 Plexiforme
2.3 Tumores malignos de la vaina de los nervios perifé-
ricos (TMVNP) (sarcoma neurogénico, neurofibroma
anaplásico, “schwannoma maligno”)
2.3.1 Epitelioide
TABLA 17-1 Tipos histológicos de los tumores del sistema nervioso, de acuerdo con la Organización Mundial de la Salud
© 2007 Editorial Médica Panamericana, S.A de C.V.
Cisfarm
C17 Patología del sistema nervioso 579
2.3.2 TMVNP con diferenciación divergente
mesenquimatosa y/o epitelial
2.3.3 Melanótico
3 Tumores de las meninges
3.1 Tumores de células meningoteliales
3.1.1 Meningioma
3.1.1.1 Meningotelial
3.1.1.2 Fibroso (fibroblástico)
3.1.1.3 Transicional (mixto)
3.1.1.4 Psamomatoso
3.1.1.5 Angiomatoso
3.1.1.6 Microquístico
3.1.1.7 Secretorio
3.1.1.8 De células claras
3.1.1.9 Cordoide
3.1.1.10 Con abundantes células plasmáticas
y folículos linfoides
3.1.1.11 Metaplásico
3.1.2 Meningioma atípico
3.1.3 Meningioma papilar
3.1.4 Meningioma anaplásico (maligno)
3.2 Tumores mesenquimatosos no meningoteliales
benignos
3.2.1 Tumores osteocartilaginosos
3.2.2 Lipoma
3.2.3 Fibrohistiocitoma
3.2.4 Otros
Malignos
3.2.5 Hemangiopericitoma
3.2.6 Condrosarcoma
3.2.6.1 Condrosarcoma mesenquimatoso
3.2.7 Fibrohistiocitoma maligno
3.2.8 Rabdomiosarcoma
3.2.9 Sarcomatosis meníngea
3.2.10 Otros
3.3 Lesiones melanocíticas primarias
3.3.1 Melanosis difusa
3.3.2 Melanocitoma
3.3.3 Melanoma maligno
3.3.3.1 Melanomatosis meníngea
3.4 Tumores de histogénesis incierta
3.4.1 Hemangioblastoma (hemangioblastoma
capilar)
4 Neoplasias linfohematopoyéticas
4.1 Linfomas
4.2 Plasmocitoma
4.3 Sarcoma granulocítico
4.4 Otras
5 Tumores de células germinales
5.1 Germinoma
5.2 Carcinoma embrionario
5.3 Tumor de senos endodérmicos
5.4 Coriocarcinoma
5.5 Teratoma
5.5.1 Inmaduro
5.5.2 Maduro
5.5.3 Teratoma con transformación maligna
5.6 Tumores germinales mixtos
6 Quistes y lesiones pseudotumorales
6.1 Quiste de la bolsa de Rathke
6.2 Quiste epidermoide
6.3 Quiste dermoide
6.4 Quiste coloide del tercer ventrículo
6.5 Quiste enterógeno
6.6 Quiste neuróglico
6.7 Quiste aracnoideo
6.8 Hamartoma neuronal hipotalámico
6.9 Heterotopia glial nasal
6.10Granuloma de células plasmáticas
7 Tumores de la región de la silla turca
7.1 Adenoma hipofisiario
7.2 Carcinoma hipofisiario
7.3 Craneofaringioma
7.3.1 Adamantinomatoso
TABLA 17-1 Continuación
© 2007 Editorial Médica Panamericana, S.A de C.V.
Cisfarm
580 Patología especial
7.3.2 Papilar
8 Extensiones de tumores de estructuras vecinas
8.1 Paraganglioma (quimiodectoma)
8.2 Cordoma
8.3 Condroma
8.4 Carcinoma
9 Tumores metastásicos
10 Tumores no clasificados
TABLA 17-1 Continuación
© 2007 Editorial Médica Panamericana, S.A de C.V.
Cisfarm
18
Miguel A. Idoate
Francisco Javier Pardo Mindán
Patología
del aparato
cardiovascular
Patología
del aparato
cardiovascular
FIGURA 18-1. Morfología microscópica del sistema vascular sanguíneo.
© 2007 Editorial Médica Panamericana, S.A de C.V.
Cisfarm
582 Patología especial
FIGURA 18-2. Tipos más comunes de capilares.
© 2007 Editorial Médica Panamericana, S.A de C.V.
Cisfarm
C18 Patología del aparato cardiovascular 583
FIGURA 18-3. Aneurisma en fresa de base de cráneo abierto al ventrículo lateral que ocasionó la muerte del paciente.
© 2007 Editorial Médica Panamericana, S.A de C.V.
Cisfarm
584 Patología especial
FIGURA 18-4. Necrosis distal del cuarto dedo producida por vasculitis en una enferma de 26 años de edad afectada de lupus eritematoso diseminado.
© 2007 Editorial Médica Panamericana, S.A de C.V.
Cisfarm
C18 Patología del aparato cardiovascular 585
FIGURA 18-5. Topografía de las vasculitis.
© 2007 Editorial Médica Panamericana, S.A de C.V.
Cisfarm
586 Patología especial
FIGURA 18-6. Panarteritis nodosa. Necrosis fibrinoide total de la pared vascular asociada a densa infiltración inflamatoria. (Tricrómico de Masson, x200.)
© 2007 Editorial Médica Panamericana, S.A de C.V.
Cisfarm
C18 Patología del aparato cardiovascular 587
FIGURA 18-7. Vasculitis leucocitoclástica. Necrosis fibrinoide de la pared de vénulas y capilares asociada a denso infiltrado neutrofílico y fenómenos de leucocitoclasia en la dermis super-
ficial. El paciente refirió el antecedente de una ingesta de eritromicina tres días antes de la aparición de la reacción cutánea (H&E, x400).
© 2007 Editorial Médica Panamericana, S.A de C.V.
Cisfarm
588 Patología especial
FIGURA 18-8. Depósito de IgA en la pared de un vaso de pequeño calibre de la dermis superficial en un varón de 12 años de edad diagnosticado de púrpura de Schönlein-Henoch (inmu-
nofluorescencia directa frente a IgA, x400).
© 2007 Editorial Médica Panamericana, S.A de C.V.
Cisfarm
C18 Patología del aparato cardiovascular 589
FIGURA 18-9. Tumores vasculares.
© 2007 Editorial Médica Panamericana, S.A de C.V.
Cisfarm
590 Patología especial
FIGURA 18-10. Hemangioma capilar cutáneo en un niño de 10 años de edad. El tumor está constituido por vasos capilares dilatados ocupados por sangre (H&E, x100).
© 2007 Editorial Médica Panamericana, S.A de C.V.
Cisfarm
C18 Patología del aparato cardiovascular 591
FIGURA 18-11. Granuloma piógeno. Crecimiento exofítico polipoide en la piel.
© 2007 Editorial Médica Panamericana, S.A de C.V.
Cisfarm
592 Patología especial
FIGURA 18-12. Angiomatosis bacilar en un paciente diagnosticado con síndrome de inmunodeficiencia adquirida (SIDA). Proliferación vascular y agregados densos de material eosinófilo
entremezclados con vasos dilatados (H&E, x200).
© 2007 Editorial Médica Panamericana, S.A de C.V.
Cisfarm
C18 Patología del aparato cardiovascular 593
FIGURA 18-13. Hemangioendotelioma epitelioide. Tumoración que forma estructuras vasculares revestidas por un endotelio hipertrófico que se tiñe intensamente con anticuerpo frente
a CD34 (avidina-biotina-peroxidasa, x200).
© 2007 Editorial Médica Panamericana, S.A de C.V.
Cisfarm
594 Patología especial
FIGURA 18-14. Placas y nódulos violáceos correspondientes a un sarcoma de Kaposi que
aparecieron cuatro años después de que al paciente se le realizara un trasplante renal.
© 2007 Editorial Médica Panamericana, S.A de C.V.
Cisfarm
C18 Patología del aparato cardiovascular 595
FIGURA 18-15. Sarcoma de Kaposi. Tumor constituido por células fusiformes con tendencia a formar hendiduras con hematíes (H&E, x200).
© 2007 Editorial Médica Panamericana, S.A de C.V.
Cisfarm
596 Patología especial
FIGURA 18-16. Malformación congénita cardiaca compleja después de haberse practicado un “banding” que muestra tronco arterioso común, comunicación interventricular y ausencia
de conducto arterioso.
© 2007 Editorial Médica Panamericana, S.A de C.V.
Cisfarm
C18 Patología del aparato cardiovascular 597
FIGURA 18-17. Nódulo de Aschoff. Densa infiltración inflamatoria en el intersticio del miocardio que adopta un aspecto en huso característico de la fiebre reumática (H&E, x200).
© 2007 Editorial Médica Panamericana, S.A de C.V.
Cisfarm
598 Patología especial
FIGURA 18-18. Formación de verrugas en el borde libre de la válvula aórtica en una endocar-
ditis por Staphylococcus aureus.
© 2007 Editorial Médica Panamericana, S.A de C.V.
Cisfarm
C18 Patología del aparato cardiovascular 599
FIGURA 18-19. Depósito de fibrina en el pericardio visceral asociado a uremia (H&E,
x200).
© 2007 Editorial Médica Panamericana, S.A de C.V.
Cisfarm
600 Patología especial
FIGURA 18-20. Identificación de un infarto agudo de miocardio de menos de 24 horas de evolución mediante la técnica del azul de tetrazolio. Esta técnica identifica el miocardio viable en
rojo. El área pálida del septo interventricular corresponde al tejido necrótico.
© 2007 Editorial Médica Panamericana, S.A de C.V.
Cisfarm
C18 Patología del aparato cardiovascular 601
FIGURA 18-21. Miocardiopatía dilatada. Se aprecia amplia dilatación de las cámaras ventriculares e hipertrofia de las bandas ventriculares y cuerdas tendinosas.
© 2007 Editorial Médica Panamericana, S.A de C.V.
Cisfarm
602 Patología especial
FIGURA 18-22. Mixoma auricular. Tumor blando de consistencia gelatinosa, bien delimitado, que por la parte superior se adhería a la pared auricular izquierda.
© 2007 Editorial Médica Panamericana, S.A de C.V.
Cisfarm
C18 Patología del aparato cardiovascular 603
FIGURA 18-23. Infiltrado linfoide intersticial miocárdico asociado a miocitolisis (H&E, x400).
© 2007 Editorial Médica Panamericana, S.A de C.V.
Cisfarm
604 Patología especial
DENOMINACIÓN CARACTERÍSTICAS
Aneurismas “en fresa” Suelen localizarse en el polígono de Willis
Fístulas arteriovenosas Causan trombosis, recanalización, y ocasionalmente insuficiencia circulatoria local
o cardiaca
Telangiectasias congénitas Arañas vasculares
Síndrome de Sturge-Weber Afectación de piel (área del trigémino) y leptomeninges
Síndrome de Rendu-Weber-Osler Afectación de piel, mucosas y vísceras. Causan hemorragias y coagulopatías
Síndrome de Klippel-Trénaunay Telangiectasias, angiomas, várices y gigantismo de una extremidad
TABLA 18-1 Malformaciones congénitas de los vasos.
Congénita
Fístulas arteriovenosas
Hipertensión
Traumatismos
Arterioesclerosis
Infección
Vasculitis
TABLA 18-2 Etiología de los aneurismas vasculares.
Infecciosas: bacterias, rickettsias, espiroquetas, virus,
hongos, inmunológicas
Mediadas por inmunocomplejos
Púrpura de Schönlein-Henoch
Crioglobulinemia esencial
Enfermedad del suero
Lupus eritematoso diseminado
Angeítis leucocitoclástica por hipersensibilidad
Anticuerpos directos
Síndrome de Goodpasture
Enfermedad de Kawasaki
Asociados a ANCAs
Poliarteritis nodosa clásica
Granulomatosis alérgica de Churg-Strauss
Granulomatosis de Wegener
Mediadas por células
Rechazo vascular de injertos
De origen desconocido
Arteritis temporal
Enfermedad de Takayasu
Tromboangeítis obliterante (enfermedad de Buerger)
TABLA 18-3 Clasificación de vasculitis.
© 2007 Editorial Médica Panamericana, S.A de C.V.
Cisfarm
C18 Patología del aparato cardiovascular 605
EE SS: extremidades superiores. EE II: extremidades inferiores. LPMN: leucocitos polimorfonucleares.
TABLA 18-4 Características de las vasculitis.
ETIOPATOGENIA
Virus (?)
Hepatitis B (?)
Autoanticuer-
pos contra
endotelio
Relación con
asma
bronquial (?)
Alergenos
respiratorios
fármacos
Reacción hiper-
sensibilidad
tipo III
Autoanticuerpos
contra antíge-
nos de la
pared vascular
HLA-DR4
Tabaco
MORFOLOGÍA
Necrosis fibrinoide,
LPMN
LPMN, necrosis
fibrinoide
Eosinófilos, linfoci-
tos, LPMN, necro-
sis fibrinoide
Linfocitos, necrosis
fibrinoide
LPMN, leucocitocla-
sia, depósitos de
inmunoglobulinas
y complemento
Granulomas de
células gigantes,
linfocitos
Granulomas de cé-
lulas gigantes,
linfocitos
LPMN, linfocitos,
trombosis
TRATAMIENTO
Corticoides,
ciclofosfamida
Cura espontánea-
mente
Corticoides
Corticoides,
ciclofosfamida
Corticoides
Corticoides
Corticoides
Corticoides
CLÍNICA
Fiebre,
hipertensión
Fiebre, rash
cutáneo,
linfadenopatía
Asma bronquial
Neumonitis,
catarro,
proteinuria
Púrpura
Fiebre, dolor de
cabeza, altera-
ciones de
la visión
Desaparición
del pulso
en EE SS
Alteraciones
de la visión,
fiebre, dolor,
síndrome de
Raynaud
VASOS
AFECTADOS
Arterias
Vasos pequeños
Vasos pequeños
Vasos pequeños
Capilares,
arteriolas,
vénulas
Arteria temporal
Arterias muscu-
lares
Arterias, venas,
nervios
VASCULITIS
Panarteritis
nodosa
Enfermedad de
Kawasaki
Granulomatosis
alérgica de
Churg-Strauss
Granulomatosis
de Wegener
Angeítis leuco-
citoclástica
por hiper-
sensibilidad
Arteritis tem-
poral
Enfermedad
de Takayasu
Enfermedad
de Buerger
ÓRGANO
AFECTADO
Riñón, corazón,
hígado
Piel, mucosas,
ganglios
Manos, pulmón,
nervios, riñón
Vías respiratorias,
pulmón, riñón
Piel, mucosas,
cualquier órgano
Cerebro
Territorio de ramas
del arco aórtico
EE SS, EE II
Insuficiencia cardiaca congestiva
Traumatismos
Embarazo
Neoplasia
Posoperatorio
Inmovilización prolongada en la cama
TABLA 18-5 Etiología de la tromboflebitis.
© 2007 Editorial Médica Panamericana, S.A de C.V.
Cisfarm
606 Patología especial
Benignos
Nevus telangiectásico
Hemangioma
Capilar
Cavernoso
Venoso, arteriovenoso
Granuloma piógeno
Angiomatosis
Linfangiomas
Tumor glómico
Intermedios
Hemangiopericitoma
Hemangioendotelioma epitelioi-
de
Malignos
Angiosarcoma
TABLA 18-6 Tumores vasculares.
TIPO % SEXO V/M ANOMALÍA HEMODINÁMICA
Con corto circuito I/D 20-30 1/1 Perimembranosa, muscular, infundibular Sobrecarga izquierda
CIV 10-15 1/3 Ostium secundum, ostium primum Sobrecarga derecha
CIA 10 1/3 Aislado HT pulmonar, sobrecarga derecha
PCA 6-10 1.2/1 Pronóstico según grado de estenosis pulmonar Sobrecarga derecha
Con corto circuito D/I 8-10 2/1 Dextrógira Sobrecarga bilateral, cianosis precoz
Fallot 0.5-2 1/1 Levógira No alteraciones
Trasposición de los
grandes vasos 1-1.5 1/1 Asociación aórtica Sobrecarga ventricular, HT pulmonar
Tronco arterioso 6-10 1/1 Asociación a hipoplasia derecha y pulmonar Cianosis
Atresia tricúspide 5-7 3-4/1 Asociación a hipoplasia de ventrículo derecho Red colateral intercostal, HT preestenótica
e hipotensión abdominal
Sin corto circuito 3-5 1.2/1 Interrupción, ductus persistente, CIV Sobrecarga de ventrículo izquierdo,
hipertrofia
Estenosis pulmonar 6-10 1/1 Estenosis valvular, asociación a hipoplasia Cianosis, insuficiencia cardiaca derecha
de cavidades izquierdas
Coartación de aorta 6 2/1 Estrechamiento aórtico asociado o no a Variable, cianosis, hipertensión, EE SS,
hipoplasia aórtica y PCA o válvula aórtica hipotensión, EE II
bicúspide
Estenosis aórtica 8 3/1 Estenosis valvular. Pronóstico según el grado Sobrecarga de ventrículo izquierdo
de estenosis
HT: hipertensión; CIV: comunicación interventricular; CIA: comunicación interauricular; PCA: persistencia del conducto arterioso; EE SS: extre-
midades superiores; EE II: extremidades inferiores.
TABLA 18-7 Cardiopatías congénitas más frecuentes.
© 2007 Editorial Médica Panamericana, S.A de C.V.
Cisfarm
C18 Patología del aparato cardiovascular 607
Miocardiopatías
Orgánicas: miocarditis, malformaciones, isquemia, infarto
Funcionales: alteraciones del equilibrio ácido-base
Trastornos hemodinámicos
Sobrecarga de volumen: insuficiencias valvulares,
cardiopatías congénitas
Sobrecarga de presión: hipertensión sistémica,
hipertensión pulmonar, estenosis valvulares
Arritmia cardiaca
Por gasto cardiaco aumentado
Anemia, hipertiroidismo, fístulas arteriovenosas
TABLA 18-8 Causas de la insuficiencia cardiaca congestiva.
Alteración del parénquima pulmonar
Enfermedad pulmonar obstructiva crónica (EPOC)
Fibrosis
Atelectasia extensa
Alteración vascular pulmonar intrínseca
Embolia pulmonar
Esclerosis vascular pulmonar primaria o secundaria
Vasculitis extensa
Vasoconstricción arteriolar mantenida
Acidosis metabólica
Hipoxemia
Alteración de la movilidad torácica
Cifoescoliosis
Obesidad patológica
Enfermedades neuromusculares
TABLA 18-9 Etiología del cor pulmonale.
CAUSA LOCALIZACIÓN TAMAÑO ANATOMÍA PATOLÓGICA
Fiebre
reumática lnmune St. β hemolítico Mitral, aórtica 1-2 mm Nódulo de Aschoff
Infecciosa Microorganismos, Estafilococo Mitral, aórtica 1 cm Necrosis, fibrina, colonias
LED Vasculitis Mitral, tricúspide Engrosamientos Fibrosis
Carcinoide Vasodilatación Tricúspide, pulmonar Engrosamientos Fibrosis
Marántica Enfermedades consuntivas Cualquiera Pequeñas, confluentes Fibrosis
TABLA 18-10 Características generales de las endocarditis.
© 2007 Editorial Médica Panamericana, S.A de C.V.
Cisfarm
608 Patología especial
Enfermedad reumática crónica
Cardiopatías congénitas
Tetralogía de Fallot
Coartación aórtica
Ductus arterioso persistente
Defecto septoventricular
Válvula aórtica bicúspide
Prolapso de la válvula mitral
Prótesis valvulares
TABLA 18-11 Factores predisponentes para la endocarditis.
Bacterias
Estreptococo viridans, faecalis (65%)
Estafilococo aureus (20-30%)
Pneumococo
Estafilococo epidermidis (drogadictos)
Escherichia coli
Neisseria gonorrhae
Hongos (drogadictos)
Candida, aspergillus
TABLA 18-12
Causas más frecuentes de endocarditis
infecciosa.
Insuficiencia o estenosis valvular
Insuficiencia cardiaca
Abscesos miocárdicos y consecuente perforación del
septo interventricular
Pericarditis supurativa
Embolismo sistémico y pulmonar, séptico o aséptico
Infección metastásica: abscesos múltiples
Infartos viscerales
Glomerulonefritis focal o difusa (inmune)
TABLA 18-13 Complicaciones de la endocarditis infecciosa.
Infección
Bacterias
Virus
Hongos
lnmunológica
Fiebre reumática
Colagenosis
Reacción de hipersensibilidad a medicamentos
Miscelánea
Uremia
Infarto agudo de miocardio
Metástasis
Agentes físicos
Posquirúrgica
TABLA 18-14 Causas de la pericarditis.
Funcionales
Vasoespasmo
Arritmias
Hipotensión arterial
Extrínsecas
Pericarditis
Neoplasias
Parietales
Arteriosclerosis
Arteritis
Traumatismos
Intraluminales
Trombosis
Embolias
Estados de
hipercoagulabilidad
TABLA 18-15 Causas de infarto de miocardio.
© 2007 Editorial Médica Panamericana, S.A de C.V.
Cisfarm
C18 Patología del aparato cardiovascular 609
TIEMPO MACROSCOPIA MICROSCOPIA MICROSCOPIA ELECTRÓNICA
1 hora Normal, áreas tetrazolio pálidas Cardiomiocitos ondulados Lesiones mitocondriales
5 horas Normal, áreas tetrazolio pálidas Edema, hemorragia Marginación cromatina nuclear
18 horas Palidez Miocitolisis, bandas de contracción
24 horas Palidez, hiperemia Necrosis de coagulación total
7 días Borde hiperémico, Infiltración macrofágica, desintegración
reblandecimiento cardiomiocitos, reacción fibrovascular
10 días Áreas geográficas amarillas Tejido de granulación
con hiperemia
30 días Área blanquecina Cicatriz fibrosa
TABLA 18-16 Morfología temporal del infarto de miocardio.
Primarias
ldiopáticas
Periparto
Familiar
De células gigantes (M. de Fiedler)
Cardiomiopatía dilatada
Secundarias
Infecciosa
Aguda: virus Coxackie
Crónica: enfermedad de Chagas, enfermedad de Lyme,
etcétera
Inmune: fiebre reumática
Colagenosis: lupus eritematoso diseminado, esclerosis
sistémica
Rechazo de trasplante
Tóxico-medicamentosa: catecolaminas, antraciclinas
Alérgica: fármacos, etcétera
Agentes físicos
Sarcoidosis
Enfermedad de Kawasaki
Posinfarto de miocardio
TABLA 18-17 Causas más frecuentes de las miocarditis.
Primera biopsia
Miocarditis con o sin fibrosis
Miocarditis dudosa (recomendar nueva biopsia)
No miocarditis
Segunda biopsia
Miocarditis persistente con o sin fibrosis
Miocarditis en fase de resolución con o sin fibrosis
Miocarditis resuelta con o sin fibrosis
Añadir
Distribución de la lesión: focal, multifocal, difusa
Naturaleza del infiltrado: linfocítico, eosinofílico, de
células gigantes. etcétera
Localización de la fibrosis: perivascular, intersticial
TABLA 18-18
Criterios de Dallas para el diagnóstico
de las miocarditis idiopáticas.
© 2007 Editorial Médica Panamericana, S.A de C.V.
Cisfarm
610 Patología especial
ETIOLOGÍA MORFOLOGÍA
Miocarditis “viral” e idiopática Infiltrado linfomacrofágico y fibras necróticas aisladas
Miocarditis bacteriana Infiltrado neutrofílico, colonias bacterianas
Triquinosis Infiltrado linfoeosinofílico, quistes
Tripanosomiasis Infiltrado polimorfo, quistes intracelulares
Toxoplasmosis Infiltrado linfomacrofágico, quistes
Tuberculosis Infiltrado granulomatoso, bacilos ácido-alcohol resistentes
Hongos Infiltrado granulomatoso, hifas, seudohifas, esporas; evidenciadas
mediante tinciones de PAS, Grocott, mucicarmín de Best
Miocarditis de Fiedler Infiltrado granulomatoso multifocal y abundantes células gigantes
multinucleadas
Reacciones de hipersensibilidad Infiltrado polimorfo, vasculitis aguda, depósitos de
inmunoglobulinas y complemento
TABLA 18-19 Morfología de las miocarditis.
Primarias
Dilatada (congestiva)
Tóxica
Hipertrófica
Restrictiva u obliterativa
Amiloidosis, hemocromatosis, sarcoidosis...
Secundarias
Tóxica
Alcohol, cobalto, catecolaminas, ciclofosfamida,
antraciclinas
Metabólica
Enfermedades del tiroides, alt. del potasio,
hemocromatosis
Inmunológicas
Postrasplante
Enfermedades neuromusculares
Ataxia de Friedreich, distrofia muscular
Tesaurismosis
Mucopolisacaridosis, glucogenosis, E. de Fabry
Infiltrativas
Leucemia, carcinomatosis
TABLA 18-20 Clasificación de las miocardiopatías.
Idiopática
Inflamatoria
linfocítica, eosinofílica
No inflamatoria
Secundaria
Infecciosa: virus, bacterias, hongos
Metabólica: endocrina, tesaurismosis, nutricional
Autoinmune: colagenosis
Neoplasias
Toxinas y fármacos
Adriamicina, radiación
Genética
Periparto
TABLA 18-21 Causas de cardiomiopatía dilatada.
GRADO MORFOLOGÍA
0 No rechazo
1 A Infiltrado linfoide focal sin necrosis
1 B Infiltrado linfoide difuso sin necrosis
2 Un foco de linfocitos con miocitolisis
3 A Infiltrado linfoide multifocal con miocitolisis
3 B Inflamación difusa con miocitolisis
4 Infiltrado masivo de linfocitos y LPMN con
necrosis, edema y hemorragia
TABLA 18-22
Clasificación del rechazo agudo según la
Sociedad Internacional para el Trasplante
Cardiaco.
© 2007 Editorial Médica Panamericana, S.A de C.V.
Cisfarm
19
Hugo Galera Davidson
Patología
del sistema endocrino
Patología
del sistema endocrino
FIGURA 19-1. Histología de la hipófisis normal. a) La adenohipófisis o hipófisis anterior, formada por cordones de células epiteliales de citoplasma acidófilo finamente granular, aparece a
la izquierda; la neurohipófisis o hipófisis posterior, constituida por tejido nervioso, se encuentra a la derecha. b) Con tinción de ácido periódico-Schiff se aprecia mejor el carácter glandular
de la hipófisis anterior.
(a) (b)
© 2007 Editorial Médica Panamericana, S.A de C.V.
Cisfarm
612 Patología especial
FIGURA 19-2. Adenoma hipofisiario de gran tamaño, con compresión de estructuras vecinas, necrosis y hemorragia.
© 2007 Editorial Médica Panamericana, S.A de C.V.
Cisfarm
C19 Patología del sistema endocrino 613
FIGURA 19-3. Adenoma hipofisiario secretor de prolactina. a) Presencia de células positi-
vas para prolactina, demostrada por inmunohistoquímica. b) Ultraestructura de los gránulos
citoplásmaticos en células secretoras de prolactina del mismo tumor.
(b)
(a)
© 2007 Editorial Médica Panamericana, S.A de C.V.
Cisfarm
614 Patología especial
FIGURA 19-4. Histología de los adenomas hipofisiarios. a) Patrón uniforme de células
pequeñas. b) Patrón trabecular o papilar, con espacios de aspecto glandular.
(b)
(a)
© 2007 Editorial Médica Panamericana, S.A de C.V.
Cisfarm
C19 Patología del sistema endocrino 615
FIGURA 19-5. Células C en el tiroides inmunoteñidas para calcitonina.
© 2007 Editorial Médica Panamericana, S.A de C.V.
Cisfarm
616 Patología especial
(a)
(b)
FIGURA 19-6. Tiroiditis de Hashimoto. a) Aspecto macroscópico de la glándula en
un caso adulto de la enfermedad. b) Histología del tiroides, con atrofia folicular, infil-
tración linfocitaria y formación de centros germinales.
© 2007 Editorial Médica Panamericana, S.A de C.V.
Cisfarm
C19 Patología del sistema endocrino 617
FIGURA 19-7. Aspecto microscópico de la tiroiditis de Quervain. a) y b) Infiltración inflamatoria con destrucción de folículos tiroideos y formación de células gigantes.
(b)
(a)
© 2007 Editorial Médica Panamericana, S.A de C.V.
Cisfarm
618 Patología especial
FIGURA 19-8. Aspecto macroscópico de la tiroiditis de Riedel.
© 2007 Editorial Médica Panamericana, S.A de C.V.
Cisfarm
C19 Patología del sistema endocrino 619
(a)
(b)
FIGURA 19-9. Enfermedad de Graves. a) Aspecto macroscópico del tiroides en la enfermedad
de Graves, con aumento al triple del tamaño del órgano, que además comprime la tráquea. b)
Hiperplasia avanzada del epitelio folicular con formación prominente de papilas.
© 2007 Editorial Médica Panamericana, S.A de C.V.
Cisfarm
620 Patología especial
(b)
(a)
FIGURA 19-10. Hiperplasia nodular coloide. a)Paciente con gran bocio nodular sin trastornos funciona-
les. b) Superficie de corte del bocio, que revela la presencia de nódulos de distintos tamaños, algunos
quísticos y otros sólidos.
© 2007 Editorial Médica Panamericana, S.A de C.V.
Cisfarm
C19 Patología del sistema endocrino 621
FIGURA 19-11. Hiperplasia del epitelio tiroideo en un caso de enfermedad de Plumer (hiperplasia nodular tóxica).
© 2007 Editorial Médica Panamericana, S.A de C.V.
Cisfarm
622 Patología especial
FIGURA 19-12. Adenoma folicular del tiroides. a) Superficie de corte de un adenoma
folicular de gran tamaño, con necrosis y calcificación.b) Folículos de diferentes tama-
ños con espacios interfoliculares irregulares; se observa parte de la cápsula que separa
al adenoma del resto del tiroides.
(b)
(a)
© 2007 Editorial Médica Panamericana, S.A de C.V.
Cisfarm
C19 Patología del sistema endocrino 623
FIGURA 19-13. Carcinoma papilar del tiroides. a) Aspecto quístico con estructuras
papilares visibles microscópicamente. b) Papilas formadas por tejido conjuntivo vas-
cular y revestidas por epitelio seudoestratificado o cúbico con núcleos redondos o
irregulares.
(a)
(b)
© 2007 Editorial Médica Panamericana, S.A de C.V.
Cisfarm
624 Patología especial
FIGURA 19-14. Carcinoma folicular del tiroides. a) Superficie de corte de la neoplasia, que
aparece como una zona blanquecina sin límites definidos. b) Nódulo constituido por estruc-
turas foliculares de aspecto embrionario. c) Invasión intravascular en la cápsula del tumor.
(c)
(a)
(b)
© 2007 Editorial Médica Panamericana, S.A de C.V.
Cisfarm
C19 Patología del sistema endocrino 625
FIGURA 19-15. Carcinoma medular de tiroides. a) Nódulo blanquecino irregular
pero bien delimitado del resto del órgano. b) Células neoplásicas rodeando masas
irregulares de amiloide.
(b)
(a)
© 2007 Editorial Médica Panamericana, S.A de C.V.
Cisfarm
626 Patología especial
FIGURA 19-16. Carcinoma indiferenciado o ana-
plásico del tiroides. a) Aspecto clínico de una
paciente que tenía un bocio asintomático de larga
duración, que repentinamente empezó a crecer y
a producirle disfagia. b) La gran masa tumoral, con
metástasis ganglionares mediastinales y pulmo-
nares bilaterales múltiples. c) y d) Histología de la
neoplasia, en la que sobresalen las grandes atipias
nucleares y las células gigantes.
(a) (b)
(c)
(c)
© 2007 Editorial Médica Panamericana, S.A de C.V.
Cisfarm
C19 Patología del sistema endocrino 627
FIGURA 19-17. Hiperplasia de una sola de las cuatro glándulas paratiroides.
(b)
(a)
© 2007 Editorial Médica Panamericana, S.A de C.V.
Cisfarm
628 Patología especial
FIGURA 19-18. Adenoma cortical suprarrenal. a) Aspecto macroscópico, que muestra un
pequeño quiste y áreas de hemorragia focal. b) y c) Histología de las áreas subcapsular y
central del adenoma, que muestran variaciones en el tamaño y forma de las células.
(c)
(a) (b)
© 2007 Editorial Médica Panamericana, S.A de C.V.
Cisfarm
C19 Patología del sistema endocrino 629
FIGURA 19-19. Carcinoma cortical suprarrenal. a) La lesión afecta dos terceras partes
de la glándula y es de aspecto homogéneo y color blanquecino. b) La neoplasia está for-
mada por células grandes y pleomórficas, dispuestas en láminas o masas irregulares.
(b)
(a)
© 2007 Editorial Médica Panamericana, S.A de C.V.
Cisfarm
630 Patología especial
FIGURA 19-20. Aspecto macroscópico de un feocromocitoma.
© 2007 Editorial Médica Panamericana, S.A de C.V.
Cisfarm
C19 Patología del sistema endocrino 631
FIGURA 19-21. Histología del feocromocitoma. a) Patrón homogéneo, con varia-
ción morfológica nuclear. b) Patrón tubular, también con atipias principalmente
nucleares.
(b)
(a)
© 2007 Editorial Médica Panamericana, S.A de C.V.
Cisfarm
632 Patología especial
TIPO FRECUENCIA
Adenoma lactotropo 30%
Adenoma somatotropo 20%
Adenoma corticotropo 10%
Adenoma tirotropo Raro
Adenoma gonadotropo Raro
Adenoma plurihormonal* Raro
Oncocitoma** Raro
Adenoma no funcionante 30%
* En este grupo también se incluyen los adenomas mixtos de cé-
lulas productoras de STH y PRL.
** El oncocitoma es una variedad de adenoma no funcionante
cuyo citoplasma es eosinófilo y rico en mitocondrias.
TABLA 19-1
Clasificación inmunohistoquímica
de los adenomas hipofisiarios
EFECTOS LOCALES EFECTOS SISTÉMICOS
(Adenomas grandes) (Adenomas pequeños)
Productores de STH o no funcionantes Ausentes (30%) Hipersecreción hormonal
STH (25%)
Compresión glandular Gigantismo (infancia)
Hipopituirarismo Acromegalia (adulto)
Diabetes insípida
Expansión de silla turca
Extensión supraselar
Compresión de quisma ópctico
(defectos visuales)
Compresión de hipotálamo
(diabetes insípida)
Compresión de 3er ventrículo (hidrocefalia)
Invasión de senos paranasales (meningitis)
Invasión de seno cavernoso
Productores de PRL PRL (34%)
Galactorrea Amenorrea
Productores de ACTH ACTH (10%)
Síndrome de Cushing
Otros funcionantes TSH, FSH y LH (5%)
TABLA 19-2 Adenomas hipofisiarios. Manifestaciones clínicas
© 2007 Editorial Médica Panamericana, S.A de C.V.
Cisfarm
C19 Patología del sistema endocrino 633
HIPOTIROIDISMO PRIMARIO
Alteraciones del desarrollo
Agenesia. Disgenesia
Bocio dishormogénico
Destrucción tiroidea
Tumores
Tiroiditis
Ablación glandular
Cirugía
Radiaciones
Bloqueo farmacológico de la síntesis y secreción
HIPOTIROIDISMO SECUNDARIO
Destrucción hipofisiaria
Tumores
Infarto
Traumatismos
Déficit aislado de TSH
HIPOTIROIDISMO TERCIARIO
Destrucción hipotalámica
Tumores
Traumatismos
TABLA 19-4 Causas de hipotiroidismo
NECROSIS ISQUÉMICA
Necrosis posparto
(Síndrome de Sheehan)
Traumatismo cefálico
Vasculopatía (Diabetes mellitus)
INFLAMACIONES CRÓNICAS
Tuberculosis
Sífilis
TUMORES LOCALES
Adenoma no funcionante
Craneofaringioma
Cordoma
Histiocitosis X
Gliomas
Tumores germinales
Tumores metastáticos
ENFERMEDADES METABÓLICAS
Amiloidosis
Hemocromatosis
TABLA 19-3 Causas del hipopituitarismo
© 2007 Editorial Médica Panamericana, S.A de C.V.
Cisfarm
634 Patología especial
TUMORES PRIMARIOS
Epiteliales benignos
Adenoma folicular
Epiteliales malignos
Carcinoma papilar
Carcinoma folicular
Carcinoma medular
Carcinoma
indiferenciado
No epiteliales benignos
No epiteliales malignos
Linfoma
Hemangioendotelioma
TUMORES SECUNDARIOS
TABLA 19-8 Clasificación de los tumores tiroideos
BOCIO ENDÉMICO BOCIO ESPORÁDICO (MULTIFACTORIAL)
Alteración fundamental Déficit relativo
Déficit absoluto de yodo en dieta Déficit relativo de yodo en dieta
Enzimas en células foliculares
Alteraciones complementarias Aumento en necesidades fisiológicos
Exceso de fluoruros Pubertad
Carbonato cálcico Embarazo
Consumo excesivo de Brassicae y Cruciferae: Tratamiento farmacológico
Nabo, Coliflor, Berza, Col, Mandioca, etc. Tiouracilo, Isoniacida, Perclorato potásico
TABLA 19-7 Factores etiológicos del bocio simple (hiperplasia difusa no tóxica)
Bocio o hiperplasia difusa (Enfermedad de Graves)
Bocio o hiperplasia nodular (Enfermedad de
Plummer)
Adenoma tóxico
Carcinoma funcionante
Tiroiditis de Hashimoto
Subaguda
Silente
Tireopatía por amiodarona
Enfermedad trofoblástica
Struma ovario (teratoma ovárico con tejido
tiroideo)
Alteración hipofisiaria
Tumor secretor de TSH
Resistencia a la hormona tiroidea
Hipersecreción de TRH
Secreción ectópica de TSH o TRH
TABLA 19-5 Causas de hipertiroidismo
Del transporte del yodo (AR)
De la síntesis hormonal
Déficit aislado de peroxidasa (AR)
Acoplamiento defectuoso de la yodotirosina (?)
formación de tiroglobalina (?) de la secreción
Déficit de yodotironina desyonidasa (AR)
Del transporte de T3 y T4
Déficit de la síntesis de proteína transportadora
(ligado a X)
Del efecto periférico de T3 y T4 (AR o AD)
AR: Autosómica recesiva. AD: Autosómica dominante
TABLA 19-6
Errores congénitos del metabolismo
de las hormonas tiroideas
© 2007 Editorial Médica Panamericana, S.A de C.V.
Cisfarm
C19 Patología del sistema endocrino 635
CARCINOMA CARCINOMA LINFOMA
PAPILAR FOLICULAR MEDULAR LINFOMA
Exceso de yodo en la dieta + + –
Déficit de yodo en la dieta + + –
Radiación cervical + + – –
Herencia – + + –
Predisposición racial + – –
Tiroiditis de Hashimoto +/– – + +
TABLA 19-9 Factores etiológicos relacionados con tipos histológicos de tumores malignos del tiroides
Estadio I
A. Confinado a un lóbulo
B. Afectación bilateral, multicéntrica o en el istmo
Estadio II
A. Metástasis ganglionares unilaterales
B. Metástasis ganglionares bilaterales, mediastínicas o
en la línea media
Estadio III
Invasión de tejidos blandos del cuello
Estadio IV
Metástasis hematógenas
TABLA 19-10 Estadios del cáncer de tiroides
ESTRUCTURALES CITOLÓGICAS
Normofolicular (simple)* Células de Hürthle
Macrofolicular (coloide)* Célula clara
Microfolicular (fetal)* Célula mucosa
Trabecular (embrionario)* Célula lipídica
Tóxico (funcionante) Célula en anillo de sello
Trabecular hialinizante Atípico
Adenolipoma
* Lesiones más frecuentes.
TABLA 19-11 Variedades histológicas de adenoma folicular
CALCITONINA
CEA
Mucinas
Melanina
Citoqueratina
Sinaptofisina
VIP
VIP. Péptido intestinal vasoactivo
PR. Póptido relacionado
RH. Hormona liberadora
Cromogranina
Enolasa
ACTH
Betaendorfina
Prostaglandinas
Bradiquinina
HCG
Katacalcina
Calcitonina PR
Bombesina
Somatostatina
Prolactina RH
Serotonina
TABLA 19-12
Contenido secretor de las células
del carcinoma medular
© 2007 Editorial Médica Panamericana, S.A de C.V.
Cisfarm
636 Patología especial
Primario
Adenoma único 80-90%
Adenoma múltiple 1-4%
Hiperplasia difusa 3-15%
Carcinoma 1-4%
Secundario
Insuficiencia renal crónica
Malabsorción intestinal
Deficiencia de vitamina D
Carcinoma medular del tiroides
Terciario
Autonomía de hiperplasia secundaria
Síndromes paraneoplásicos*
*Tumores malignos que segregan una hormona que activa recep-
tores de PTH en las células diana, pero que no presentan reac-
ción cruzada en la prueba para detectar PTH. Estos pacientes tie-
nen niveles altos de AMPC urinario (activación de células) y bajo
nivel de PTH (supresión) asociada a marcada hipercalcemia.
TABLA 19-13 Causas de hiperparatiroidismo
Cara de luna llena
Obesidad troncular
Atrofia cutánea (estrías)
Encefalopatía esteroidea
Miopatía esteroidea (atrofia muscular)
Osteoporosis
Debilidad y fatigabilidad
Alteraciones menstruales
Hirsutismo
Intolerancia a la glucosa
Hipercolesterolemia
Aterosclerosis
Efecto androgénico
Virilismo
Infertilidad
Efecto mineralcorticoide
Hipertensión
Alcalosis hipopotasémica
lnmunodepresión
Infecciones
TABLA 19-14
Principales manifestaciones clínicas
y metabólicas del hipercortisolismo
(síndrome de Cushing)
FEOCROMOCITOMA GANGLIONEUROBLASTOMA NEUROBLASTOMA
Edad Adultos Adultos/infantil Infantil
Agresividad 90% benignos Benigno Maligno
Secreción Catecolaminas Catecolaminas Catecolaminas
+++ + +
Clínica Hipertensión Masa abdominal Masa abdominal
Metástasis
Macroscopia Tumor hemorrágico Tumor firme Tumor necrótico
Microscopia Células grandes Células ganglionares Células pequeñas
Inmunorreacción Cromogranina Proteína S-100 ENE
Los neuroblastomas pueden madurar mostrando células ganglionares. El resultado final de la maduración es la trans-
formación en ganglioneuroma benigno.
La inmunorreacción para cromogranina es muy positiva en el feocromocitoma y la inmunorreacción para la enola-
sa neuronal específica (ENE) es más prominente en el neuroblastoma. La proteína S-100 es positiva en los distintos
componentes neurales del ganglioneuroblastoma.
TABLA 19-15 Tumores de la médula suprarrenal
© 2007 Editorial Médica Panamericana, S.A de C.V.
Cisfarm
C19 Patología del sistema endocrino 637
MEN I MEN IIA MEN IIB
Epónimo Wermer Sipple
Mutación RET RET
Hipófisis Adenomas
Tiroides Hiperplasia células C Hiperplasia células C
Carcinoma medular +++ Carcinoma medular +++
Paratiroides Hiperplasia +++ Hiperplasia +
Adenomas +
Islotes Hiperplasia ++
Adenomas ++
Carcinomas +++
Suprarrenal Hiperplasia corteza Feocromocitoma ++ Feocromocitoma +++
Otros Neuromas mucocutáneos
TABLA 19-16 Síndromes de neoplasias endócrinas múltiples (MEN)
© 2007 Editorial Médica Panamericana, S.A de C.V.
Cisfarm
© 2007 Editorial Médica Panamericana, S.A de C.V.
Cisfarm
20
Patología de músculo esquelético,
de nervio periférico y de tejidos
blandos
Patología de músculo esquelético,
de nervio periférico y de tejidos
blandos Alicia Rodríguez Velasco
Jorge Fernández Díez
Ruy Pérez Tamayo
FIGURA 20-1. a) Músculo normal, corte transversal, tejido congelado teñido con ATPasa a pH 4.3. Tamaño y forma similares entre fibras tipo 1 (oscuras) y fibras tipo 2 (claras). b) El histo-
grama confirma tamaño y proporción normales entre ambos tipos de fibras.
(b)
5 10 15 20 25 30 35 40 45 50 55 60 65 70 75 80 85 90 95
10
20
30
40
Tipo 1
Tipo 2
0
50
>10
0
Histograma de músculo
Edad 12 años
Triceps derecho
Tipo 1: 51.4%
Diam. Prom. 53.78
Proporción 1/2:1.06
Sexo Fem.
ATPasa: 9.4
Tipo 2: 48.6%
Diam. Prom. 60.65
Número
de
fi
bras
%
Tamaño de fibras (μm)
(a)
© 2007 Editorial Médica Panamericana, S.A de C.V.
Cisfarm
640 Patología especial
FIGURA 20-2. Microscopia electrónica. a) Núcleo subsarcolemal. Miofibrillas, la sarcómera está delimitada por bandas Z (alfa-actina); la banda A está compuesta de miosina y la banda I de
actina. b) Placa neuromuscular (izquierda) con sus hendiduras correspondientes. También hay varios núcleos subsarcolemales.
(b)
(a)
A
Z
I
© 2007 Editorial Médica Panamericana, S.A de C.V.
Cisfarm
C20 Músculo esquelético, nervio periférico y tejidos blandos 641
FIGURA 20-3. Representación esquemática del complejo distrofina y glicoproteínas asociadas. (DGC) y su relación con la laminina. DG, distroglicanos; SG, sarcoglicanos; SP, sarcospanos;
Dys 1, 2 y 3, anticuerpos para distrofina comercialmente producidos.
MATRÍZ EXTRACELULAR
Sarcoglicanopatías
LAMININA, cadena α2
(merosina)
Distrofia muscular congénita,
Merosina negativa
α,β,γ y δ
SARCOLEMA
Distrofinopatías
Duchenne y Becker ACTINA (BANDA I)
COOH
(Dys 1)
SARCOMERA z
z
NH2 (Dys 3)
Distrobrevina
SP
DG, α y β
SG, α, β, γ y δ
Sintrofinas, α y β
DISTROFINA (Dys 2)
© 2007 Editorial Médica Panamericana, S.A de C.V.
Cisfarm
642 Patología especial
FIGURA 20-4. a) Tricrómico de Masson, patrón miopático: variación en el tama-
ño de las fibras; miofagocitosis (flechas); fibras hendidas, fibrosis endomisial
y perimisial. b) Patrón neuropático (reinervación): con ATPasa pH 9.4, muestra
agrupación de fibras por tipos, claras tipo 1 y oscuras tipo 2.
(b)
(a)
© 2007 Editorial Médica Panamericana, S.A de C.V.
Cisfarm
C20 Músculo esquelético, nervio periférico y tejidos blandos 643
FIGURA 20-5. a) Miopatía por almacenamiento de glucógeno (hematoxilina y eosina), vacuolización del sarcoplasma. b) Miopatía por almacenamiento de lípidos (rojo oleoso), sarcoplasma
con aumento en el número de gotas de lípidos. c) Miopatía mitocondrial, tricrómico de Gomori modificado (TGM) demuestra fibras rojas rasgadas (centro); d) La microscopia electrónica
muestra acúmulo anormal subsarcolemal de mitocondrias pleomórficas.
(a) (b)
(d)
(c)
© 2007 Editorial Médica Panamericana, S.A de C.V.
Cisfarm
644 Patología especial
FIGURA 20-6. Miopatías estructurales congénitas a) Central core TGM:
muestra áreas centrales desprovistas de mitocondrias. b) La microscopia
electrónica ilustra desorganización y ausencia de mitocondrias en la región
central de la fibra. c) Miopatía nemalínica TGM: fibras de menor tamaño
(atróficas), con numerosas inclusiones oscuras. d) Microscopia electrónica
con estructuras semejantes a bastones (cuerpos nemalínicos) subsarcole-
males. e) Miopatía centronuclear ATPasa a pH 9.4: fibras más pequeñas y
redondeadas, en algunas hay núcleo central y en otras el centro está vacío
(miotúbulo). En todas estas miopatías, la tinción de ATPasa demuestra
que predominan fibras tipo 1.
(a) (b)
(c) (d)
(e)
© 2007 Editorial Médica Panamericana, S.A de C.V.
Cisfarm
C20 Músculo esquelético, nervio periférico y tejidos blandos 645
FIGURA 20-7. a) Distrofia tipo Duchenne (Hematoxilina y Eosina). Variación en el tamaño de las fibras; fibras hen-
didas (cabezas de flecha), necrosis y miofagocitosis (flechas), fibrosis peri y endomisial. b) Distrofia tipo Becker,
además de la fibrosis epi y endomisial y la variación en el tamaño de las fibras, hay grupos de regeneración. c)
Inmunohistoquímica: control normal y d) Negativa, para distrofina en distrofia de Duchenne. e) Inmunohistoquímica
con tinción irregular en distrofia tipo Becker.
(c)
(a)
(d)
(e)
(b)
© 2007 Editorial Médica Panamericana, S.A de C.V.
Cisfarm
646 Patología especial
FIGURA 20-8. Distrofia mitónica (Hematoxilina y Eosina) a) El corte mues-
tra centralización nuclear y variación en el tamaño de las fibras. b) Corte
transversal donde se encuentran fibras en anillo (flechas).
(b)
(a)
© 2007 Editorial Médica Panamericana, S.A de C.V.
Cisfarm
C20 Músculo esquelético, nervio periférico y tejidos blandos 647
FIGURA 20-9. Dermatomiositis. a) Con hematoxilina y eosina se encuentra infiltrado infla-
matorio linfocitario. b) Inmunohistoquímica para miosina con un patrón denominado “atrofia
perifascicular”, que por sí solo revela la naturaleza inflamatoria de la lesión. c) En ocasiones
acompañado en microscopia electrónica por inclusiones tubuloreticulares (centro) en células
endoteliales.
(a) (b)
(c)
© 2007 Editorial Médica Panamericana, S.A de C.V.
Cisfarm
648 Patología especial
FIGURA 20-10. a) Hematoxilina y eosina. Enfermedad de Werdnig-Hoffmann (atro-
fia muscular espinal tipo 1), muestra fascículos de fibras tipo 2 atróficas y grupos de
fibras tipo 1 hipertróficas. b) Se destaca con ATPasa pH 9.4 la naturaleza de las fibras,
tipo 1 (claras) y tipo 2 (oscuras).
(a)
(b)
© 2007 Editorial Médica Panamericana, S.A de C.V.
Cisfarm
C20 Músculo esquelético, nervio periférico y tejidos blandos 649
FIGURA 20-11. a) Fibra aislada y nódulos de Ranvier (n) están
separados por zonas internodales de las células Schwann y vai-
nas de mielina. b) Sección longitudinal de un nervio a nivel de nódulo
de Ranvier que termina en pequeños filamentos. c) Vaina de mielina
en diferentes secciones con relación al nódulo de Ranvier y a la
célula de Schwann.
a n
b
c
© 2007 Editorial Médica Panamericana, S.A de C.V.
Cisfarm
650 Patología especial
FIGURA 20-12. a) Nervio normal incluido en parafina y teñido con H-E. El
perineuro está dispuesto concéntricamente alrededor de fascículos individua-
les y separa el endoneuro del tejido conectivo del epineuro. Las fibras mielini-
zadas grandes individuales pueden ser visibles; se observa con frecuencia el
cuerpo de Renaud por debajo del perineuro. b) Corte longitudinal teñido con
azul de toluidina; se observa desmielinización y remielinización segmentaria;
la mielina se ve arrosariada de negro intenso.
(b)
(a)
© 2007 Editorial Médica Panamericana, S.A de C.V.
Cisfarm
C20 Músculo esquelético, nervio periférico y tejidos blandos 651
FIGURA 20-13. Nervio normal corte transversal incluido en resina Epon y teñido con azul de toluidina; el perineuro es visible, son capas de células concéntricas en la periferia del fascículo;
las fibras mielinizadas exhiben tamaño variable y grosor de la mielina variable; hay células de Schwann con axones no mielinizados; hay vasos endoneurales, el grosor de la mielina es
proporcional al diámetro de la fibra mielinizada.
© 2007 Editorial Médica Panamericana, S.A de C.V.
Cisfarm
652 Patología especial
FIGURA 20-14. Fibra aislada de nervio normal; la mielina es osmiofílica, regular en color, diámetro y silueta; los nodos de Ranvier son fácilmente visibles y regularmente dispuestos en
intervalos de casi 1 mm.
© 2007 Editorial Médica Panamericana, S.A de C.V.
Cisfarm
C20 Músculo esquelético, nervio periférico y tejidos blandos 653
FIGURA 20-15. Microscopia electrónica; corte transversal de nervio normal; se observan células de Schwann con axones mielinizados y no mielinizados; células grandes y pequeñas.
© 2007 Editorial Médica Panamericana, S.A de C.V.
Cisfarm
654 Patología especial
A B C D E
FIGURA 20-16.1. Desmielinización y remielinización
segmentaria. a) Nervio normal. b) Desmielinización inci-
piente, retracción paranodal de la mielina con ampliación
del espacio nodal. c) Destrucción de la vaina de mielina y
mitosis de la célula de Schwann. d) y e) remielinización.
© 2007 Editorial Médica Panamericana, S.A de C.V.
Cisfarm
C20 Músculo esquelético, nervio periférico y tejidos blandos 655
A B C D E
FIGURA 20-16.2. Degeneración y regeneración axonal.
a) Nervio normal. b) Degeneración axonal. c) Yema proli-
ferativa, polo proximal y vestigios de mielina. d) Axón con
mielinización delgada. e) Axón mielinizado y conectado a su
órgano blanco.
© 2007 Editorial Médica Panamericana, S.A de C.V.
Cisfarm
656 Patología especial
FIGURA 20-17. Síndrome de Guillain-Barré a) Sección transversal de nervio incluido en
resina; el número de axones está disminuido; hay pérdida axonal en fibras mielinizadas
grandes y pequeñas; hay axones grandes que exhiben vainas de mielina delgada; hay capas
de células de Schwann. b) Fibra aislada con nodo de Ranvier; exhibe retracción paranodal,
sin mielina. c) Microscopía electrónica de nervio con axón de gran calibre y vaina de mielina
delgada, degeneración axonal y capas de células de Schwann.
(a) (b)
(c)
© 2007 Editorial Médica Panamericana, S.A de C.V.
Cisfarm
C20 Músculo esquelético, nervio periférico y tejidos blandos 657
FIGURA 20-18. Sección transversal nervio, incluido en parafina; se observan abundantes bacilos de Hansen en las células de Schwann, teñidos con Fite-Faraco.
© 2007 Editorial Médica Panamericana, S.A de C.V.
Cisfarm
658 Patología especial
FIGURA 20-19. a) Sección longitudinal del nervio incluido en parafina y teñido
con H-E; se exhiben las fibras microvacuolización “desmielinización”. b) Corte
longitudinal de nervio incluido en parafina. Se observa desmielinización con grumos
pequeños de mielina. c) Microscopia electrónica. Corte transversal del nervio con
acentuada desmielinización y remielinización de células grandes y pequeñas.
(c)
(a)
(b)
© 2007 Editorial Médica Panamericana, S.A de C.V.
Cisfarm
C20 Músculo esquelético, nervio periférico y tejidos blandos 659
FIGURA 20-20. Microscopía electrónica. a) Corte transversal panorámico de nervio; se observa desmielinización y remielinización de células grandes con degeneración axonal y prolifera-
ción de células de Schwann en bulbos de cebolla. Corresponde a la enfermedad de Charcot-Marie-Tooth. b) Corte transversal de nervio incluido en resina; se observan las vainas de mielina
muy engrosadas, otros axones exhiben vaina de mielina delgada; neuropatía tomaculosa.
(a) (b)
© 2007 Editorial Médica Panamericana, S.A de C.V.
Cisfarm
660 Patología especial
FIGURA 20-21. Leucodistrofia metacromática. a) y b) Microscopia electrónica.
Corte transversal de nervio incluido en resina. Se observan axones con vainas de
mielina muy engrosadas y nodulares y otras delgadas e irregulares: neuropatía toma-
culosa. c) Fibra aislada incluida en resina exhibe la mielina nodular, característica de
la neuropatía tomaculosa (del latín tomaculum salchiiha).
(a)
(b)
(c)
© 2007 Editorial Médica Panamericana, S.A de C.V.
Cisfarm
C20 Músculo esquelético, nervio periférico y tejidos blandos 661
FIGURA 20-22. Leucodistrofia metacromática a) Sección transversal de nervio
incluido en resina, con disminución en el número de axones, con disminución
y adelgazamiento de la vaina de mielina; escasas células de Schwann exhiben
gránulos en el citoplasma, teñidos con azul de toluidina. b) Microscopía elec-
trónica. Citoplasma de célula de Schwann; corresponde a una célula granular;
hay un gránulo elongado que presenta estriaciones con periodicidad regular;
electrodensas.
(b)
(a)
© 2007 Editorial Médica Panamericana, S.A de C.V.
Cisfarm
662 Patología especial
FIGURA 20-23. Corte longitudinal de nervio, incluido en parafina y teñido con H-E; exhibe un nódulo de amiloide.
© 2007 Editorial Médica Panamericana, S.A de C.V.
Cisfarm
C20 Músculo esquelético, nervio periférico y tejidos blandos 663
FIGURA 20-24. a) Sección panorámica de músculo esquelético incluido
en parafina y teñida con H-E; vasculitis necrosante PAN. b) Detalle de
la anterior PAN.
(b)
(a)
© 2007 Editorial Médica Panamericana, S.A de C.V.
Cisfarm
664 Patología especial
FIGURA 20-25. Aspecto microscópico de un caso de fascitis nodular. Nódulo firme en antebrazo de cuatro años de evolución. Se observa músculo estriado no invadido en el ángulo inferior
izquierdo. Hay masas de tejido fibroso que forman nódulos. (Cortesía del Dr. Héctor Abelardo Rodríguez.)
© 2007 Editorial Médica Panamericana, S.A de C.V.
Cisfarm
C20 Músculo esquelético, nervio periférico y tejidos blandos 665
FIGURA 20-26. Histología de un fibrosarcoma, formado por haces de células alargadas con núcleos puntiagudos; hay varias mitosis. (Cortesía del Dr. Héctor Abelardo Rodríguez.)
© 2007 Editorial Médica Panamericana, S.A de C.V.
Cisfarm
666 Patología especial
FIGURA 20-27. Fibrohistiocitoma fibroso, de carácter celular y con algunas células atípicas. (Cortesía del Dr. Héctor Abelardo Rodríguez.)
© 2007 Editorial Médica Panamericana, S.A de C.V.
Cisfarm
C20 Músculo esquelético, nervio periférico y tejidos blandos 667
FIGURA 20-28. Lipoma subcutáneo; obsérvese la ausencia de cápsula.
© 2007 Editorial Médica Panamericana, S.A de C.V.
Cisfarm
668 Patología especial
FIGURA 20-29. a) Liposarcoma pleomórfico, con estroma laxo
y células atípicas. (Cortesía del Dr. Héctor Abelardo Rodríguez.)
b) Liposarcoma pleomórfico. Mayor aumento de lipoblasto atípico,
que muestra el citoplasma distendido por vacuolas llenas de grasa.
(Cortesía del Dr. Héctor Abelardo Rodríguez.)
(a)
(b)
© 2007 Editorial Médica Panamericana, S.A de C.V.
Cisfarm
C20 Músculo esquelético, nervio periférico y tejidos blandos 669
FIGURA 20-30. Mesenquimoma, que muestra dos elementos neoplásicos derivados del tejido conjuntivo: tejido fibroso y cartílago. (Cortesía del Dr. Héctor Abelardo Rodríguez.)
© 2007 Editorial Médica Panamericana, S.A de C.V.
Cisfarm
670 Patología especial
FIGURA 20-31. Mixoma, que muestra estroma mucoide y muy escasas células (Cortesía del Dr. Héctor Abelardo Rodríguez.)
© 2007 Editorial Médica Panamericana, S.A de C.V.
Cisfarm
C20 Músculo esquelético, nervio periférico y tejidos blandos 671
FIGURA 20-32. Sarcoma epiteloide, en el que una parte de las células adopta aspecto de carcinoma epidermoide. (Cortesía del Dr. Héctor Abelardo Rodríguez.)
© 2007 Editorial Médica Panamericana, S.A de C.V.
Cisfarm
672 Patología especial
FIGURA 20-33. Sarcoma alveolar de partes blandas, con células grandes, eosinófilas dispuestas en un patrón alveolar. (Cortesía del Dr. Héctor Abelardo Rodríguez.)
© 2007 Editorial Médica Panamericana, S.A de C.V.
Cisfarm
C20 Músculo esquelético, nervio periférico y tejidos blandos 673
FIGURA 20-34. Sarcoma de Ewing desarrollado en la región paravertebral de un niño de ocho años de edad. La imagen es indistinguible de la misma neoplasia que ocurre en el esqueleto.
(Cortesía del Dr. Héctor Abelardo Rodríguez.)
© 2007 Editorial Médica Panamericana, S.A de C.V.
Cisfarm
674 Patología especial
FIGURA 20-35. Tumor maligno de células gigantes. La imagen es idéntica a la de la neoplasia del mismo nombre que ocurre en el esqueleto. (Cortesía del Dr. Héctor Abelardo
Rodríguez.)
© 2007 Editorial Médica Panamericana, S.A de C.V.
Cisfarm
C20 Músculo esquelético, nervio periférico y tejidos blandos 675
TABLA 20-1 Diagnóstico diferencial en enfermedades neuromusculares más frecuentes.
MÚSCULO
Distrofia muscular:
Distrofinopatías
FSHD
LGMD
Distrofia muscular
congénita
Distrofia miotónica
Glucogénesis: II, V, VII
Lípidos: deficiencia de
carnitina
Mitocondriopatías
Miopatías congénitas
estructurales:
Central core
Miopatía nemalínica
Centronuclear
Desproporción congénita
de las fibras
Alteraciones miotónicas:
Miotonía congénita
Paramiotonía congénita
Parálisis periódica:
Hipokalémica
Hiperkalémica
Dermatomiositis
Polimiositis
Drogas miotóxicas
Hereditarias
Degenerativas
Metabólicas
Congénitas
Adquiridas
Inflamatorias/
inmunológicas
Tóxicas
NEURONA MOTORA
Atrofia espinal muscular
(SMA): 1, 2 y 3
Esclerosis lateral
amiotrófica
Gangliosidosis GM2
NERVIO PERIFÉRICO
Charcot-Marie-Tooth
Dejerine Sottas
Ataxia de Friedrerich
Neuropatía hereditaria
Neuropatía axonal gigante
Enfermedad de Refsum
Abetalipoproteinemia
Leucodistrofia metacromática
Enfermedad de Krabbe
Porfiria
Enfermedad de Tangier
Enfermedad de Fabry
Neuropatía hipomielinizante
congénita
Polineuropatía desmielinizan-
te inflamatoria aguda
Polineuropatía desmielinizan-
te inflamatoria crónica
Vasculitis
Toxinas ambientales
UNIÓN
NEUROMUSCULAR
Miastenia congénita
Miastenia gravis
Miastenia neonatal
transitoria
Miastenia grave
Botulismot
© 2007 Editorial Médica Panamericana, S.A de C.V.
Cisfarm
676 Patología especial
TABLA 20-2 Clasificación general de las miopatías más frecuentes y su forma de transmisión conocida.
SUBTIPO
Glucógeno
Tipo II (Pompe)
Tipo V (McArdle)
Tipo VII (Tarui)
Lípidos
Deficiencia de carnitina
Mitocondriales
MELAS
MERRF
Nemalínica
Central core
Miotubular (centronuclear)
Desproporción congénita de las fibras
Desmiopatías
Distrofinopatías (Duchenne/Becker)
Sarcoglicanopatías (síndrome de
cinturas-LGMD)
Facioescapulohumeral
Emery-Dreifuss
Distrofia muscular congénita:
Merosina negativa
Fukuyama
TIPO
1. Miopatías
Metabólicas
Congénitas
estructurales
Distrofias
HERENCIA
AR
AR
AR
AR
Mutación puntual
Mutación puntual
AD
AD
XR
XR
AR, AD
AD
XR
AR
AR
GENE
17q23
11q13
1ccnq32
11p11-p13
tARNLeu
tARNLeu
1q21-q23
19q13.1
Xq28
Xp21.2
15q; 2p; 5p; 13q12
4q35
Xq28
6q2
9q31-q33
PROTEÍNA
GAA
Fosforilasa muscular
Fosfofructoquinasa
muscular
Carnitin-palmitoil-trans-
ferasa
NEM1
Receptor ryanodine
MTM1
Distrofina
LGMD2; LGMD3;
LGMD1; SCARMD1
Emerina
Merosin
FCMD
Proteína kinasa
FSHD: Distrofia fascio-escapulo-numeral; LGMD: distrofia de las cinturas; SMA: atrofia muscular espinal.
Continuación
Miositis viral
Miositis parasitaria
Infecciosas Poliomielitist Herpes zoster
Herpes simple
Enfermedad de Lymet
© 2007 Editorial Médica Panamericana, S.A de C.V.
Cisfarm
C20 Músculo esquelético, nervio periférico y tejidos blandos 677
TABLA 20-2 Continuación
AD: autosómica dominante; AR: autosómica recesiva; XR: recesiva ligada al X; MELAS: miopatía mitocondrial con acidosis láctica; MERRF:
epilepsia mioclónica con fibras rojas rasgadas; SMA: atrofia muscular espinal (por sus siglas en inglés).
Distrofia miotónica
Enfermedad muscular extraocular
Miotonías no distróficas
Miotonía congénita
Parálisis periódica:
Hiperkalémica
Hipokalémica
Paramiotonía congénita
Miositis infecciosa
Dermatomiositis
Poliomiositis
Otras enfermedades del tejido conectivo:
Escleroderma
Lupus sistémico
Artritis reumatoide
Miositis de cuerpos de inclusión
Miopatías asociadas a VIH
Síndromes miasténicos congénitos
Miastenia gravis
Botulismo
Tipo I (Werdning-Hoffman)
Tipo II
Tipo III (Kugelberg-Welander)
Enfermedades de
membranas
musculares
(canales
de iones)
Inflamatorias
Enfermedades
de unión
neuromuscular
2. Atrofias
neurogénicas
Atrofia muscular
espinal
AD
AD
AR
AR
AR
17q13.1-13.3
1q31-q32
17q13.1-q13.2
5q11-q13
5q11-q13
Canal de sodio
Canal de calcio (receptor
dehidropiridina)
Canal de sodio
SMA
SMA
© 2007 Editorial Médica Panamericana, S.A de C.V.
Cisfarm
678 Patología especial
CLÍNICA MIOPATÍA NEUROPATÍA (NEURONA MOTORA INFERIOR)
Edad de inicio Desde antes del nacimiento hasta Desde antes del nacimiento hasta vida
vida adulta adulta
Hipotonía y debilidad +++ +++
Fasciculaciones No +++
Reflejos Normales Normales o disminuidos
Cambios sensoriales No No
CPK Aumentados + a +++ Normales o aumentados +
Conducción nerviosa (VCN) Normal Anormal
EMG Potencial de unidad motora disminuido Potencial de unidad motora aumentado
Biopsia Cuadríceps (proximal). Atrofia ++; fibrosis; Gastrocnemio (distal). Atrofia +++; sin
necrosis; núcleos centrales. Cambios fibrosis; sin necrosis; núcleos periféricos
dependiendo de etiología agrupación de fibras por tipos; fibras
anguladas
TABLA 20-4 Datos clínicos que orientan a localizar la enfermedad en músculo o neurona motora inferior.
CARACTERÍSTICAS TIPO 1 TIPO 2
Tipo de contracción Lenta Rápida
Acción Fuerza sostenida Movimiento propulsor
Enzimas
NADH Oscuras Claras
ATPasa pH 9.4 Claras Oscuras
Mitocondrias Numerosas Escasas
Glucógeno Pobre Rico
Mioglobina Abundante Escasa
Lípidos Abundantes Escasos
Banda Z Ancha Delgada
Metabolismo Aeróbico Anaeróbico
Proporción 1 2
TABLA 20-3 Diferencias entre las miofibras 1 y 2.
Comunicación estrecha entre clínico y patólogo.
Notificación previa al laboratorio de patología sobre la
fecha de toma.
Muestra no traumatizada del cuerpo del músculo.
Tomada por un experto en la técnica de biopsia. Toma
a cielo abierto, sin el uso de pinzas para biopsia de
músculo.
Evitar sitios de biopsia previa, inyección o aplicación
de agujas para EMG, músculos clínicamente no
involucrados o los gravemente afectados.
El tamaño ideal de la muestra es 2 cm de longitud por
1 cm de ancho.
La muestra se debe preparar para histoquímica
(congelado), histología (incluida en parafina) y
microscopia electrónica (glutaraldehído).
Interpretación de hallazgos basándose en el contexto
clínico.
TABLA 20-5 Manejo básico de la biopsia muscular.
© 2007 Editorial Médica Panamericana, S.A de C.V.
Cisfarm
C20 Músculo esquelético, nervio periférico y tejidos blandos 679
TINCIÓN EVALUACIÓN
Histoquímica (tejido congelado)
Hematoxilina y eosina (H&E) Morfología general: tamaño, forma y distribución de las fibras; posición del núcleo;
depósitos; necrosis; fagocitosis; regeneración; infiltrados; tejido conectivo
Tricrómico modificado de Gomori Mitocondrias (fibras rojas rasgadas); central core; miopatía nemalínica
ATPasa pH 9.4 Tipo de fibras
Ácido peryódico de Schiff (PAS) Distribución de glucógeno (almacenamiento)
Rojo oleoso (RO) Lípidos
Fosfatasa ácida Distribución lisosomal anormal. Necrosis de las fibras
Inmunohistoquímica (tejido incluido en parafina)
Distrofina Distrofinopatías (Duchenne y Becker)
Merosina Distrofia muscular congénita
Sarcoglicanos Sarcoglicanopatías
Vimentina Fibras musculares fetales (miopatía centronuclear); fibras en regeneración
Desmina Desminopatías
TABLA 20-6 Tinciones básicas de histoquímica e inmunohistoquímica.
TIPO
CARACTERÍSTICAS II (POMPE) V (MCARDLE) VII (TARUI)
Enzima deficiente Maltasa ácida Miofosforilasa Fosfofructoquinasa
Edad de inicio/síntomas:
Neonatal Al nacimiento/hipotonía grave, Primeros meses; fatal Al nacimiento; hipotonía rara,
deterioro rápido; hepatoes- (rara) grave; debilidad;
plenomeglia; cardiomiopatía; convulsiones; opacidad
macroglosia corneal
Niños Hipotonía lentamente progresiva; Intolerancia al ejercicio Intolerancia al ejercicio con
debilidad de extremidades; calambres. Más grave que
cardiomiopatía la V.
Laboratorio CPK elevada + a ++; células CPK elevada + a ++; CPK elevada +; mioglobinuria
vacuoladas en sangre y mioglobinuria
médula ósea. EMG sugiere EMG sugiere miopatía
miopatía
Herencia Autosómica recesiva; gene Autosómica, recesiva y Japoneses y judíos. Autosó-
17q23 dominante; gene mica recesiva; gene
11q13-13.2 10p, 21q22.3
TABLA 20-7 Glucogenosis que con mayor frecuencia se manifiestan inicialmente como enfermedad muscular.
© 2007 Editorial Médica Panamericana, S.A de C.V.
Cisfarm
680 Patología especial
DEFICIENCIA INICIO CUADRO CLÍNICO/LABORATORIO
CPT II Infancia Hepatomegalia; hipoglicemia; mialgia; hipotonía. Predomina en
varones/CPK normal. Miopatía lipídica.
Adolescencia Mialgia; rabdomiolisis/Mioglobinuria inducida por ayuno y/o ejercicio
prolongado. No almacenamiento muscular de lípidos, o mínimo
Deficiencia de carnitina
Sistémica Neonatal Síndrome semejante a enfermedad de Reye; hipoglicemia; bajos niveles
de carnitina sérica
Miopática (rara) Infancia Debilidad muscular proximal progresiva; cardiomiopatía
Variable CPK elevada ++; EMG hallazgos miopáticos
Acil-CoA deshidrogenasa
MCAD (cadena mediana) Infancia tardía Enfermedad semejante a síndrome de Reye; síndrome de muerte súbita
CPT, carnitina palmitotransferasa; MCAD, Acil-CoA deshidrogenasa de cadena media.
TABLA 20-8 Enfermedades más frecuentes por atesoramiento de lípidos, con manifestación muscular primaria.
TIPO SUBTIPO GENE AFECTADO PROTEÍNA
Autosómica dominante (LGMD-1) LGMD-1 A 5q31
LGMD-1 B 1q11-21
LGMD-1 C 6q23
LGMD-1 D 3p25 Caveolina-3
Autosómica recesiva (LGMD-2) LGMD-2 A 15q15 Calpaína-3
LGMD-2 B 2p13
LGMD-2 C 13q12 γ-Sarcoglicano
LGMD-2 D 17q21 α-Sarcoglicano (adhalina)
LGMD-2 E 4q12 β-Sarcoglicano
LGMD-2 F 5Q33-34 δ-Sarcoglicano
LGMD-2 G 17q11-1
TABLA 20-9 Clasificación de distrofia muscular de las cinturas (LGMD).
© 2007 Editorial Médica Panamericana, S.A de C.V.
Cisfarm
C20 Músculo esquelético, nervio periférico y tejidos blandos 681
CON AFECCIÓN A SISTEMA NERVIOSO CENTRAL (SNC)
TABLA 20-10 Distrofia muscular congénita, tipos y características.
HALLAZGOS
Región
geográfica
Evolución
Desarrollo
psicomotor
Cambios en
SNC
Afección ocular
Gene afectado
SIN AFECCIÓN SNC
(DIAGNÓSTICO
DE EXCLUSIÓN)
Occidental,
clásica
Progresiva
Normal
Ninguno
No
No conocido
MEROSINA
NEGATIVA
Progresiva
Retraso en todos
los casos
Rediolucidez (TAC)
en sustancia
blanca. Sin re-
percusión clínica
No
6q22-23 (región
codificadora de
merosina)
FUKUYAMA
Japón
Progresiva, hasta
vida adulta
Retraso severo,
todos los casos
Polimicrogiria;
hipoplasia
cerebelosa leve
región frontal
Ninguna o leves
9q31-33
MÚSCULO-OJO-
CEREBRO
Finlandia
Progresiva, hasta
vida adulta
Retraso severo,
todos los casos
Polimicrogiria; pa-
quigiria
Miopía severa,
displasia
retiniana, atrofia
óptica
No conocido
SÍNDROME DE
WALKER-WARBURG
(WWS)
Caucásicos
Progresiva, rara
vez sobreviven
infancia
Retraso severo,
todos los casos
Lisencefalia;
hipoplasia
vermix
cerebeloso
Microftalmia,
displasia reti-
niana
No conocido
© 2007 Editorial Médica Panamericana, S.A de C.V.
Cisfarm
682 Patología especial
TÉCNICAS APLICACIONES
General
Hematoxilina y eosina Ver tamaño, estructura, células de Schwann, perineuro y endoneuro, células
inflamatorias, vasos sanguíneos, estado de la colágena, etcétera
Hematoxilina van Gieson Colágena en rojo, mielina en negro
Tinción de retículo Membrana basal alrededor de cada célula de Schwann y nervio
Tricrómico de Masson Estado de la colágena y necrosis fibrinoide en vasculitis
Azul alciano Glicosaminoglicanos en azul
Azul de Toluidina Células cebadas en parafina, cortes en resina 1 micra, tinción
metacromática para lípidos sulfatados
Tinciones para mielina
Luxol-fast-blue Mielina azul, se puede combinar con tinción de plata para el axón
Loyez Mielina negra
Osmio Mielina negra
PAS Mielina rosa brillante
Microscopia electrónica Tetróxido de osmio
Fibras aisladas Todas las técnicas rutinarias y de histoquímica
Inmunohistoquímica
S-100 Células de Schwann
Leu-7 Células de Schwann
Proteína ácida glial fibrilar Algunas células de Schwann no mielinizadas
Proteína básica de la mielina Mielina
Antígeno membrana epitelial Células del perineuro
CD-34 Células endoneurales
TABLA 20-11 Técnicas histológicas para el estudio del nervio periférico.
© 2007 Editorial Médica Panamericana, S.A de C.V.
Cisfarm
C20 Músculo esquelético, nervio periférico y tejidos blandos 683
NEUROPATÍA
AGUDA
Síndrome de
Guillain-Barré
Difteria
Polineuropatía
tóxica
Paraneoplásica
Vasculitis
TABLA 20-12
Clasificación de las neuropatías periféricas.
NEUROPATÍA SUBAGUDA
SENSOMOTORA SIMÉTRICA
O ASIMÉTRICA
Avitaminosis
Alcoholismo
Tóxica
Paraneoplásica
Diabetes mellitus
Sarcoidosis
NEUROPATÍA PERIFÉRICA
CRÓNICA PROGRESIVA O
RECURRENTE
Polirradiculoneuropatía
desmielinizante
Inflamatoria crónica
Porfiria
Tóxica
Avitaminosis
Medicamentos
Diabetes mellitus
Paraneoplásica
Urémica
Vasculitis
Amiloidosis
Lepra
Hereditarias
NEUROPATÍA PERIFÉRICA
HEREDITARIA DEL ADULTO
Y DEL NIÑO
Charcot-Marie-Tooth
(tipos 1 y 2)
Enfermedad de Déjéri-
ne-Sottas (tipo 3)
Abetalipoproteinemia
Enfermedad de Tangier
Amiloidosis hereditaria
Enfermedad de Refsum
Adrenoleucodistrofia
Leucodistrofia
metacromática
MONONEUROPATÍA
MÚLTIPLE
Tumores primarios
Metástasis
Vasculitis
Diabetes mellitus
Sarcoidosis
Lepra
Enfermedad de Lyme
Post-herpes zoster
SIDA
Trauma
Neuropatía tomaculosa
© 2007 Editorial Médica Panamericana, S.A de C.V.
Cisfarm
684 Patología especial
NEUROPATÍA SITIO (LOCUS) GEN MECANISMO
Charcot-Marie-Tooth 1
CMT1A 17p11.2-12 PMP22 Duplicación/mutación puntual
CMT1B 1q22-23 Po Mutación puntual
CMT1C Desconocido Desconocido Desconocido
CMTX Xq13.1 CX32 Mutación puntual
CMT4 8q Desconocido Desconocido
Charcot-Marie-Tooth 2
CMT2A 1p36 Desconocido Desconocido
CMT2B 3q Desconocido Desconocido
CMT2C Desconocido Desconocido Desconocido
CMT2D 7p Desconocido Desconocido
Déjérine-Sottas
DSD-A 17p11.2-12 PMP22 Mutación puntual
DSD-B 1q22-23 Po Mutación puntual
Neuropatía tomaculosa
HNPP-A 17p11.2-12 PMP22 Deleción/mutación puntual
HNPP-B Desconocido Desconocido Desconocido
Neuralgia amiotrófica hereditaria
HNA 17q24-25 Desconocido Desconocido
* Las neuropatías de Charcot-Marie-Tooth tipo 1 (CMT1A), de Déjérine-Sottas (DSD-A) y neuropatía hereditaria con riesgo a la parálisis por
presión o neuropatía tomaculosa (HNPP-A) son trastornos del mismo gen PMP-22, en el mismo sitio cromosómico 17p11.2-12. Todas son
mutaciones puntuales, pero en CMT1 hay una duplicación de secuencias de ácidos nucleicos dentro del exón, mientras que en HNPP-A
hay una deleción de estas secuencias; en DSD-A no hay cambios en el número de las secuencias en el exón. Los cambios patológicos en
la biopsia nerviosa son distintos a pesar de que las tres sean variedades genéticas del gen PMP22. (Tomado de Sarnat, 1999.)
TABLA 20-13 Neuropatías hereditarias motoras y sensitivas. Genética molecular.*
© 2007 Editorial Médica Panamericana, S.A de C.V.
Cisfarm
C20 Músculo esquelético, nervio periférico y tejidos blandos 685
ENFERMEDAD HALLAZGOS CLÍNICOS Y ANATOMOPATOLÓGICOS
NSAH I: autosómica dominante Neuropatía predominantemente sensitiva que afecta a adultos jóvenes
Degeneración axonal (principalmente fibras mielínicas)
NSAH II: autosómica recesiva Neuropatía predominantemente sensitiva que inicia durante la lactancia
Algunos casos esporádica Degeneración axonal (sobre todo fibras mielínicas)
NSAH III: autosómica recesiva Neuropatía predominantemente autónoma, que se inicia durante la lactancia
(síndrome de Riley-Day; Degeneración axonal (principalmente fibras amielínicas), atrofia y pérdida
disautonomía familiar); de células de los ganglios sensitivos y autónomos
autosómica recesiva (más
frecuente en niños judíos; locus
en cromosoma 9q31-q33)
* NSAH: neuropatías sensitivas y autónomas hereditarias.
TABLA 20-14 Neuropatías sensitivas y autónomas hereditarias.*
© 2007 Editorial Médica Panamericana, S.A de C.V.
Cisfarm
686 Patología especial
TABLA 20-15 Neuropatías hereditarias de causa metabólica conocida.
DEFECTO METABÓLICO
Enzima de transporte
de peroxisomas;
gen ALD
Mutaciones de la
transtiretina
Enzimas implicadas
en la síntesis de
heme (déficit agu-
dointermitente de
protobilinógeno
desaminasa)
Fitanoil CoA alfa-
hidroxilasa (enzima
de peroxisomas)
HERENCIA
Ligada a X; 4%
de las porta-
doras están
sintomáticas
Autosómica
dominante
Autosómica
dominante
Autosómica
recesiva
HALLAZGOS CLÍNICOS
Neuropatía mixta sensitivo-
motora insuficiencia supra-
rrenal, paraplejía espástica,
comienzo entre los 10 a 20
años en los varones
(leucodistrofia); entre los
20 a 40 años en las muje-
res (mieloneuropatía)
Disfunción sensitiva y autó-
noma; la edad de comien-
zo varía con el lugar de la
mutación
Episodios agudos de disfun-
ción neurológica
Trastornos psiquiátricos,
dolor abdominal, convul-
siones, debilidad proximal,
disfunción autónoma; los
ataques pueden desenca-
denarse por fármacos
Neuropatía mixta sensitivo-
motora con nervios
palpables; ataxia, ceguera
nocturna, retinitis pigmen-
tosa, ictiosis; comienza
antes de los 20 años
(existe una forma infantil
distinta genéticamente)
HALLAZGOS
ANATOMOPATOLÓGICOS
Degeneración axonal (mie-
linizados y amielínicos);
desmielinización segmenta-
ria con bulbos de cebolla;
microscopia electrónica:
inclusiones lineales en las
células de Schwann
Depósitos de amiloide en las
paredes vasculares y tejido
conjuntivo con degenera-
ción axonal
Degeneración axonal aguda
y crónica; cúmulos en re-
generación
Intensa formación de bulbos
de cebolla
ENFERMEDAD
Adrenoleuco-
distrofia
Polineuropatía
por amiloidosis
familiar
Porfiria (aguda
intermitente,
coproporfiria,
variegata)
Enfermedad
de Refsum
© 2007 Editorial Médica Panamericana, S.A de C.V.
Cisfarm
21
Patología del esqueleto
y de las articulaciones Ruy Pérez Tamayo
Alberto G. Ayala
Yae Y Ro
Patología del esqueleto
y de las articulaciones
FIGURA 21-1. Aspecto microscópico de la
osteomielitis. Las trabéculas óseas están des-
organizadas y el espacio intertrabecular está
ocupado por tejido fibroso laxo con infiltrado
inflamatorio agudo y crónico.
© 2007 Editorial Médica Panamericana, S.A de C.V.
Cisfarm
688 Patología especial
FIGURA 21-2. Exostosis osteocartilaginosa. Tanto el hueso como el cartílago son irregulares y no forman estructuras normales.
© 2007 Editorial Médica Panamericana, S.A de C.V.
Cisfarm
C21 Patología del esqueleto y de las articulaciones 689
FIGURA 21-3. Osteoporosis. Las trabéculas óseas son muy delgadas y están separadas entre sí por espacios amplios.
© 2007 Editorial Médica Panamericana, S.A de C.V.
Cisfarm
690 Patología especial
FIGURA 21-4. Aspecto microscópico de una lesión ósea en el hiperparatiroidismo crónico. Abundantes trabéculas finas depositadas en tejido fibroso laxo; hay signos aparentes de depósito
y reabsorción acelerada del hueso.
© 2007 Editorial Médica Panamericana, S.A de C.V.
Cisfarm
C21 Patología del esqueleto y de las articulaciones 691
FIGURA 21-5. Enfermedad de Paget ósea. Abundantes trabéculas irregulares con signos de depósito excesivo (“mosaico”), en el estadio 2 de la enfermedad.
© 2007 Editorial Médica Panamericana, S.A de C.V.
Cisfarm
692 Patología especial
FIGURA 21-6. Displasia fibrosa. El espacio medular está ocupado por tejido fibroso denso; hay escasas trabéculas óseas deformadas.
© 2007 Editorial Médica Panamericana, S.A de C.V.
Cisfarm
C21 Patología del esqueleto y de las articulaciones 693
FIGURA 21-7. Defecto cortical fibroso. Por debajo de la corteza ósea hay una masa de tejido fibroso denso con muy pocas células.
© 2007 Editorial Médica Panamericana, S.A de C.V.
Cisfarm
694 Patología especial
FIGURA 21-8. Osteoma osteoide. a) Imagen radiológica de un caso localizado en la apófi-
sis tuberosa del cuello del fémur. b) Pequeño aumento de la neoplasia, que ilustra el nido
rodeado por hueso proliferado no tumoral. c) Mayor aumento del tumor, con abundante
formación de osteoide.
(c)
(b)
(a)
© 2007 Editorial Médica Panamericana, S.A de C.V.
Cisfarm
C21 Patología del esqueleto y de las articulaciones 695
FIGURA 21-9. Osteosarcoma. a) Radiografía de un sarcoma osteogénico en la metáfisis del fémur. b)
Aspecto macroscópico de la neoplasia. c) Existe proliferación celular con numerosas atipias y depósito
de tejido osteoide, con calificación focal.
(c)
(b)
(a)
© 2007 Editorial Médica Panamericana, S.A de C.V.
Cisfarm
696 Patología especial
FIGURA 21-10. Osteocondroma. a) La neoplasia está localizada en la metáfisis del húme-
ro y muestra un aspecto esponjoso característico. b) Aspecto macroscópico de los dos
componentes del tumor: el cartílago periférico y el tejido óseo central. c) Histología del
osteocondroma.
(a)
(b)
(c)
© 2007 Editorial Médica Panamericana, S.A de C.V.
Cisfarm
C21 Patología del esqueleto y de las articulaciones 697
FIGURA 21-11. Condroma. a) Radiografía de una lesión localizada en un hueso metacarpiano. b)
Deformación de los huesos de la mano por condromas múltiples. c) Histología de un condroma; se aprecia
la estructura nodular de la neoplasia.
(a)
(b)
(c)
© 2007 Editorial Médica Panamericana, S.A de C.V.
Cisfarm
698 Patología especial
FIGURA 21-12. Condroblastoma. a) El tumor se localiza en el extremo superior del húmero y oblitera la
estructura pero conserva la cortical. b) Corte macroscópico del mismo tumor, que muestra su carácter
cartilaginoso. c) Condroblastos, células gigantes y calcificación en “alambrado de gallinero.”
(a)
(c)
(b)
© 2007 Editorial Médica Panamericana, S.A de C.V.
Cisfarm
C21 Patología del esqueleto y de las articulaciones 699
FIGURA 21-13. Fibroma condromixoide. a) La lesión afecta la metáfisis del peroné pero con-
serva la cortical. b) La imagen histológica muestra los dos componentes del tumor: el fibroso
(izquierda) y el cartilaginoso (derecha).
(a)
(b)
© 2007 Editorial Médica Panamericana, S.A de C.V.
Cisfarm
700 Patología especial
FIGURA 21-14. Condrosarcoma. a) Neoplasia en el tercio superior del húmero. b) Gran tumor en la pared costal. c) Condrosarcoma
en la extremidad inferior del fémur; se aprecia la formación de cartílago. d) Imagen microscópica de la neoplasia.
(a) (b)
(c)
(d)
© 2007 Editorial Médica Panamericana, S.A de C.V.
Cisfarm
C21 Patología del esqueleto y de las articulaciones 701
FIGURA 21-15. Sarcoma de Ewing. a) Extensa lesión que afecta gran parte del hueso ilíaco. b) Imagen
microscópica del tumor, con células redondas y uniformes, escaso citoplasma, cromatina homogénea y
sin nucleolo visibles; el estroma es mínimo.
(b)
(a)
© 2007 Editorial Médica Panamericana, S.A de C.V.
Cisfarm
702 Patología especial
FIGURA 21-16. Adamantinoma. a) Radiografías lateral y póstero-anterior de la tibia
en un caso de lesión neoplásica extensa. b) Aspecto macroscópico de otro caso de
adamantinoma de larga evolución. c) Imagen histológica, con tejido fibroso que limita
espacios revestidos por células epiteliales.
(a) (b)
(c)
© 2007 Editorial Médica Panamericana, S.A de C.V.
Cisfarm
C21 Patología del esqueleto y de las articulaciones 703
FIGURA 21-17. Tumor de células gigantes. a) Radiografías frontal y lateral de la rodilla,
localización clásica de este tumor. b) Destrucción completa de la porción distal del fémur. c)
Histología de la neoplasia, que muestra numerosas células gigantes.
(a)
(b)
(c)
© 2007 Editorial Médica Panamericana, S.A de C.V.
Cisfarm
704 Patología especial
FIGURA 21-18. Quiste óseo aneurismático. a) Lesión que afecta la metáfisis
del cúbito, con desaparición de la cortical. b) Aspecto macroscópico de la misma
lesión. c) Espacios irregulares rodeados por tejido fibroso y revestidos por osteo-
clastos.
(a) (b)
(c)
© 2007 Editorial Médica Panamericana, S.A de C.V.
Cisfarm
C21 Patología del esqueleto y de las articulaciones 705
FIGURA 21-19. Granuloma eosinófilo. a) Lesión en sacabocado en la base de la cabeza del
fémur sin reacción laminada. b) Acúmulos de células histiocíticas con escasos eosinófilos.
(a)
(b)
© 2007 Editorial Médica Panamericana, S.A de C.V.
Cisfarm
706 Patología especial
FIGURA 21-20. Membrana sinovial en la artritis reumatoide. Existen vellosidades irregulares, engrosadas y con denso infiltrado inflamatorio crónico, que llenan la cavidad sinovial.
© 2007 Editorial Médica Panamericana, S.A de C.V.
Cisfarm
C21 Patología del esqueleto y de las articulaciones 707
FIGURA 21-21. Aspecto microscópico de un tofo gotoso. Los cristales de uratos son amorfos y están rodeadeos por células gigantes de cuerpo extraño.
© 2007 Editorial Médica Panamericana, S.A de C.V.
Cisfarm
708 Patología especial
FIGURA 21-22. Histiocitoma fibroso de vaina tendinosa, con proliferación esteriforme en las zonas fibrosas.
© 2007 Editorial Médica Panamericana, S.A de C.V.
Cisfarm
C21 Patología del esqueleto y de las articulaciones 709
FIGURA 21-23. Sinovitis vilonodular pigmentada, con vellosidades irregulares que se proyectan en la cavidad articular; hay abundante pigmento hemático.
© 2007 Editorial Médica Panamericana, S.A de C.V.
Cisfarm
710 Patología especial
FIGURA 21-24. Sarcoma sinovial bifásico, con áreas sarcomatosas fusocelulares y seudoglandulares, revestidas por células de aspecto epitelial.
© 2007 Editorial Médica Panamericana, S.A de C.V.
Cisfarm
C21 Patología del esqueleto y de las articulaciones 711
I. Tumores que forman hueso
A. Benignos
1. Osteoma
2. Osteoma osteoide
3. Osteoblastoma
B. Malignos
1. Osteosarcoma convencional
2. Parosteal
3. Intraóseo bien diferenciado
4. Periosteal
5. Telangiectásico
6. Multicéntrico
7. Maxilar/mandibular
8. De células pequeñas
9. Secundario a enfermedad de Paget
o irradiación
II. Tumores que forman cartílago
A. Benignos
1. Condroma/Encondroma
2. Osteocondroma
3. Condroma periosteal
4. Condroblastoma
5. Fibroma condromixoide
B. Malignos
1. Condrosarcoma clásico
2. Mesenquimal
3. Desdiferenciado
4. De células claras
III. Tumor de células gigantes
IV. Tumores de células pequeñas
A. Malignos
1. Sarcoma de Ewing
2. Linfoma maligno
V. Tumores vasculares
A. Benignos
1. Hemangioma
2. Linfangioma
3. Tumor glómico
B. Intermediario
1. Hemangioma histiocitoide/epitelioide
(hemangioendotelioma)
C. Malignos
1. Angiosarcoma
VI. Tumores de tejido conjuntivo
A. Benignos
1. Fibroma desmoplásico
2. Lipoma
3. Fibrohistiocitoma
4. Schwannoma
5. Neurofibroma
B. Malignos
1. Fibrohistiocitoma maligno
2. Leiomiosarcoma
3. Mesenquimoma maligno
4. Sarcoma no clasificado
VII. Tumores del notocordo o relacionados
A. Malignos
1. Cordoma
2. Paracordoma
VIII. Otros tumores
A. Malignos
1. Adamantinoma
IX. Tumores no clasificados
X. Pseudoneoplasmas
1. Quiste aneurismático de hueso
2. Quiste simple de hueso
3. Quiste juxta-articular
4. Fibroma no osificante
5. Granuloma eosinófilo
6. Displasia fibrosa y fibroma osificante
7. Tumor pardo del hiperparatiroidismo
8. Proliferación parosteal bizarra
osteocondromatosa
9. Sinovitis vilonodular pigmentada
XI. Tumores metastásicos
TABLA 21-1 Clasificación de tumores óseos.
© 2007 Editorial Médica Panamericana, S.A de C.V.
Cisfarm
© 2007 Editorial Médica Panamericana, S.A de C.V.
Cisfarm
22
Mario Armando Luna
Patología
de cabeza y cuello
Patología
de cabeza y cuello
FIGURA 22-1. Célula multinucleada con inclusiones
nucleares diagnósticas de herpes (prueba de Tzanck).
© 2007 Editorial Médica Panamericana, S.A de C.V.
Cisfarm
714 Patología especial
FIGURA 22-2. Candidiasis de mucosa bucal. Lesiones blanquecinas en borde lateral de la lengua.
© 2007 Editorial Médica Panamericana, S.A de C.V.
Cisfarm
C22 Patología de cabeza y cuello 715
FIGURA 22-3. Tricoleucoplaquia. Lesión papilar con hiperqueratosis y paraqueratosis.
© 2007 Editorial Médica Panamericana, S.A de C.V.
Cisfarm
716 Patología especial
FIGURA 22-4. Sialometaplasia necrosante. Ácinos infartados y ductos con metaplasia escamosa.
© 2007 Editorial Médica Panamericana, S.A de C.V.
Cisfarm
C22 Patología de cabeza y cuello 717
FIGURA 22-5. Carcinoma epidermoide. Nidos de células malignas con citoplasma queratinizado invadiendo el estroma.
© 2007 Editorial Médica Panamericana, S.A de C.V.
Cisfarm
718 Patología especial
FIGURA 22-6. Carcinoma verrugoso. Lesión exofítica bien queratinizada con margen profundo bien circunscrito.
© 2007 Editorial Médica Panamericana, S.A de C.V.
Cisfarm
C22 Patología de cabeza y cuello 719
FIGURA 22-7. Angiofibroma juvenil. El estroma formado por fibroblastos inmaduros contiene vasos sanguíneos sin pared muscular.
© 2007 Editorial Médica Panamericana, S.A de C.V.
Cisfarm
720 Patología especial
FIGURA 22-8. Carcinoma indiferenciado de la nasofaringe (carcinoma linfoepitelial). Células epiteliales de núcleo claro y nucleolo prominente mezcladas con células linfoides.
© 2007 Editorial Médica Panamericana, S.A de C.V.
Cisfarm
C22 Patología de cabeza y cuello 721
FIGURA 22-9. Rabdomiosarcoma embrionario. Células fusiformes con estriaciones en el citoplasma.
© 2007 Editorial Médica Panamericana, S.A de C.V.
Cisfarm
722 Patología especial
FIGURA 22-10. Sinusitis alérgica. mucina con eosinófilos y cristales de Charcot-Leyden
© 2007 Editorial Médica Panamericana, S.A de C.V.
Cisfarm
C22 Patología de cabeza y cuello 723
FIGURA 22-11. Rinoscleroma. Células de Mikulicz.
© 2007 Editorial Médica Panamericana, S.A de C.V.
Cisfarm
724 Patología especial
FIGURA 22-12. Miosferulosis. Espacios que contienen sacos con esférulas.
© 2007 Editorial Médica Panamericana, S.A de C.V.
Cisfarm
C22 Patología de cabeza y cuello 725
FIGURA 22-13. Pólipo nasal alérgico o inflamatorio revestido por epitelio ciliado. La membrana basal está engrosada y la estroma edematosa infiltrada por células inflamatorias.
© 2007 Editorial Médica Panamericana, S.A de C.V.
Cisfarm
726 Patología especial
FIGURA 22-14. Papiloma de la mucosa sinonasal con patrón exofítico.
© 2007 Editorial Médica Panamericana, S.A de C.V.
Cisfarm
C22 Patología de cabeza y cuello 727
FIGURA 22-15. Papiloma invertido. Epitelio estratificado no queratinizado cubre la superficie y se invagina en el estroma.
© 2007 Editorial Médica Panamericana, S.A de C.V.
Cisfarm
728 Patología especial
FIGURA 22-16. Hiperplasia epitelial con hiperqueratosis (izquierda). Hiperplasia con displasia (derecha).
© 2007 Editorial Médica Panamericana, S.A de C.V.
Cisfarm
C22 Patología de cabeza y cuello 729
FIGURA 22-17. Papiloma laríngeo. Papilas revestidas por epitelio escamoso no queratinizado.
© 2007 Editorial Médica Panamericana, S.A de C.V.
Cisfarm
730 Patología especial
FIGURA 22-18. Carcinoma fusocelular. Islotes de carcinoma epidermoide del cual se desprenden células fusiformes.
© 2007 Editorial Médica Panamericana, S.A de C.V.
Cisfarm
C22 Patología de cabeza y cuello 731
FIGURA 22-19. Lesión linfoepitelial benigna. Islotes epimioepiteliales en estroma linfoide.
© 2007 Editorial Médica Panamericana, S.A de C.V.
Cisfarm
732 Patología especial
FIGURA 22-20. Adenoma pleomorfo. Células epiteliales formando glándulas e islotes queratinizados en un estroma mixoide.
© 2007 Editorial Médica Panamericana, S.A de C.V.
Cisfarm
C22 Patología de cabeza y cuello 733
FIGURA 22-21. Tumor de Warthin. Estructura
papilar formada por tejido linfoide revestido
por oncocitos.
© 2007 Editorial Médica Panamericana, S.A de C.V.
Cisfarm
734 Patología especial
FIGURA 22-22. Adenoma de células basales. a) Islotes epiteliales con células
periféricas en empalizada descansando sobre membrana basal prominente. b)
Nidos epiteliales con material amorfo hialino.
(a)
(b)
© 2007 Editorial Médica Panamericana, S.A de C.V.
Cisfarm
C22 Patología de cabeza y cuello 735
FIGURA 22-23. a) Carcinoma mucoepidermoide de baja malignidad.
Quistes revestidos por células mucinosas y transicionales. b) Carcinoma
mucoepidermoide de alta malignidad. Islotes epiteliales sólidos invadiendo
músculo. Los islotes están formados por células transicionales con pocas
células mucinosas.
(a)
(b)
© 2007 Editorial Médica Panamericana, S.A de C.V.
Cisfarm
736 Patología especial
FIGURA 22-24. Carcinoma adenoide quístico. Células neoplásicas pequeñas en patrón cribiforme.
© 2007 Editorial Médica Panamericana, S.A de C.V.
Cisfarm
C22 Patología de cabeza y cuello 737
FIGURA 22-25. Carcinoma de células acinosas. Células ovoides con citoplasma granular.
© 2007 Editorial Médica Panamericana, S.A de C.V.
Cisfarm
738 Patología especial
FIGURA 22-26. a) Carcinoma salival ductal. Glándulas revestidas por células pleomórficas en estroma hialinizado. b) Carcinoma epimioepitelial. Ductos rodeados por células claras. c)
Carcinoma polimorfo de baja malignidad. Glándulas y nidos sólidos formados por células epiteliales uniformes. d) Carcinoma de células basales. Nidos epiteliales formados por células
redondas separados por estroma fibroso.
(a) (b)
(c) (d)
© 2007 Editorial Médica Panamericana, S.A de C.V.
Cisfarm
C22 Patología de cabeza y cuello 739
FIGURA 22-27. Queratoquiste odontogénico. Quistes revestidos por epitelio escamoso estratificado queratinizado.
© 2007 Editorial Médica Panamericana, S.A de C.V.
Cisfarm
740 Patología especial
FIGURA 22-28. Quiste radicular.
© 2007 Editorial Médica Panamericana, S.A de C.V.
Cisfarm
C22 Patología de cabeza y cuello 741
FIGURA 22-29. Ameloblastoma. Islotes epiteliales con células reticulares en el centro. Las células periféricas separan los islotes de la estroma.
© 2007 Editorial Médica Panamericana, S.A de C.V.
Cisfarm
742 Patología especial
FIGURA 22-30. Granuloma de células gigantes. Células gigantes multinucleadas en estroma fusocelular hemorrágico.
© 2007 Editorial Médica Panamericana, S.A de C.V.
Cisfarm
C22 Patología de cabeza y cuello 743
FIGURA 22-31. La localización de la adenopatía puede sugerir el origen de carcinoma primario.
YUGULAR SUPERIOR
Lengua lateral
Lengua posterior
Amigdala, Paladar
SUBMAXILAR
Piel cara lateral
Lengua anterior
Piso de la boca
Labio
YUGULAR MEDIO
Laringe, Faringe
YUGULAR INFERIOR
Tiroides, Esófago cervical
ESCALENO
Tumores por debajo de clavícula
CERVICALES
POSTERIOR
Nasofaringe
Tiroides
© 2007 Editorial Médica Panamericana, S.A de C.V.
Cisfarm
744 Patología especial
FIGURA 22-32. Paraganglioma no cromafínico (quimiodectoma) del cuerpo carotídeo. Nidos de células grandes separadas por estroma vascular (patrón en Zellballen).
© 2007 Editorial Médica Panamericana, S.A de C.V.
Cisfarm
C22 Patología de cabeza y cuello 745
Por bacterias
Gingivitis necrosante aguda (angina de Vincent)
Estomatitis gangrenosa (noma)
Sífilis
Actinomicosis
Por virus
Gingivoestomatitis herpética
Herpes recidivante
Aftas recidivantes
Mononucleosis infecciosa
Úlceras por virus citomegálico
Por hongos
Candidiasis
Histoplasmosis
TABLA 22-2 Lesiones inflamatorias de la mucosa bucal
Liquen plano
Pénfigo vulgar
Eritema multiforme
Epidermolisis bulosa
Gingivitis crónica descamativa
Lupus eritematoso
Queratosis folicular
TABLA 22-3
Lesiones de tipo dermatológico en mucosa bucal
Hereditarias
Leucoedema
Leucoqueratosis hereditaria
Nevo blanco esponjoso
Disqueratosis benigna intraepitelial hereditaria
Reactivas
Hiperqueratosis por fricción
Leucoplaquia por tabaco de mascar
Estomatitis nicotínica
Queilitis solar
Misceláneas
Leucoplaquia idiopática
Tricoleucoplaquia
Lengua geográfica
Liquen plano
Lesiones blanco-amarillentas
Candidiasis
Fibrosis submucosa
Quemaduras de la mucosa
Gránulos de Fordyce
Tejido linfoide ectópico
Lipoma
TABLA 22-4
Lesiones blancas (leucoplaquia)
de la mucosa bucal
Labio hendido
Paladar hendido
Gránulos de Fordyce
Macroglosia
Microglosia
Fisura lingual
Fisura labial congénita
TABLA 22-1 Anomalías congénitas de la cavidad bucal
© 2007 Editorial Médica Panamericana, S.A de C.V.
Cisfarm
746 Patología especial
I. Inflamatorias
A. Alérgica estacional
B. Alérgica perenne
No alérgica perenne
C. Pólipos nasales
1. Eosinofílicos
2. Neutrofilícos
D. Rinitis atrófica
E. Misceláneas
II. No inflamatorias
A. Rinitis medicamentosa
1. Tópica
2. Sistémica
B. Trastornos sistémicos, v.gr., embarazo
C. Rinitis idiopática vasomotora
III. Defectos de estructuras
A. Desviación del tabique nasal
B. Defectos ciliares
1. Congénitos
2. Adquiridos
C. Misceláneos
Trauma, cuerpo extraño, atresia, etcétera
TABLA 22-5 Clasificación de la rinitis crónica
© 2007 Editorial Médica Panamericana, S.A de C.V.
Cisfarm
C22 Patología de cabeza y cuello 747
EXOFÍTICO INVERTIDO CÉLULAS CILÍNDRICAS
Edad media 47 años 49 años 57 años
Relación H:M 9:1 9:1 1:1
Septo nasal 96% 1% 0%
Pared lateral 4% 23% -
Seno maxilar 0% 17% 42%
Pared lateral y
seno maxilar 0% 42% 58%
V.P.H 90% 60% 0%
Recidiva 30% 39-65% 45-65%
Cancerización Muy rara 3-13% 3-15%
TABLA 22-7 Papilomas de la mucosa sinonasal (schneideriana)
GRANULOMATOSIS LINFOMA INFLAMACIÓN
DE WEGENER ANGIOCÉNTRICO NO ESPECÍFICA
Localización Senos y mucosa nasal. Rara Facial. Paladar Facial. Tejidos blandos
en tejidos blandos
Destrucción ósea Rara Sí Sí
Extensión Sistémica. Vasculitis. Localizada o sistémica. Localizada vías respiratorias
Glomerulitis No vasculitis superiores
Asociación con linfomas No Sí. Tipo T No
Aspecto microscópico Vasculitis necrosante. Células Angiocéntrico No necrosis Infiltrado no especifico. No
gigantes Necrosis fibrinoide. fibrinoide, Células atípicas células atípicas Células
No células atípicas gigantes, granulomas raros
ANCA Positiva Negativa Negativa
Tratamiento Ciclofosfamida con Quimioterapia y/o radiación ?
o sin esteroides
TABLA 22-6 Diagnóstico diferencial del granuloma letal de la línea media
© 2007 Editorial Médica Panamericana, S.A de C.V.
Cisfarm
748 Patología especial
Adenomas
1. Adenoma pleomorfo
2. Mioepitelioma
3. Adenoma de células basales
Adenoma membranoso
4. Tumor de Warthin (adenolinfoma)
5. Oncocitoma (adenoma oncocítico)
6. Adenoma canalicular
7. Adenoma sebáceo
8. Papiloma ductal
Papiloma ductal invertido
Papiloma intraductal
Sialoadenoma papilífero
9. Cistadenoma, mucinoso, papilar
TABLA 22-10
Tumores epiteliales benignos
de las glándulas salivales
PROCESO SEXO EDAD (AÑOS) ABUSO DE LA VOZ SITIO EN CUERDA VOCAL BILATERAL O UNILATERAL
Edema F> M 40-70 No Anterior Bilateral
Nódulo F 25-35 Sí Unión de tercio
anterior con tercio
medio Bilateral
Pólipo 80% M 30-55 Sí Anterior Unilateral
Hematoma F> M 45-55 Sí Tercio posterior Unilateral
TABLA 22-8 Procesos exudativos del espacio de Reinke
INFANTIL ADULTOS
Relación H:M 1:1 2:1
Principio de síntomas 68% menores de 4 años Cuarta década
Número de papilomas
Solitario 17% 44%
Más de 2 30% 48%
Papilomatosis 83% 8%
Papilomas extralaríngeos 12% 0%
Extensión traqueobronquial 4% 0%
Recidiva Muy frecuente Rara
Cancerización Muy rara (1%) 20%
TABLA 22-9 Papilomas de laringe. Diferencias clínicas de acuerdo con la edad
© 2007 Editorial Médica Panamericana, S.A de C.V.
Cisfarm
C22 Patología de cabeza y cuello 749
Carcinomas
Carcinoma de células acinares
Carcinoma mucoepidermoide
Carcinoma adenoideo quístico
Adenocarcinoma polimorfo de baja malignidad
(adenocarcinoma de ductos terminales)
Carcinoma epitelial-mioepitelial
Adenocarcinoma de células basales
Carcinoma sebáceo
Cistadenocarcinoma papilar
Adenocarcinoma mucinoso
Carcinoma oncocítico (oncocitoma maligno)
Carcinoma ductal salival
Carcinoma mioepitelial (mioepitelioma maligno)
Tumor mixto maligno
Carcinoma ex adenoma pleomorfo
1. Invasivo
2. Intracapsular
Carcinosarcoma
Carcinoma epidermoide
Carcinoma de células pequeñas
Carcinoma indiferenciado
Otros carcinomas
TABLA 22-11
Tumores epiteliales malignos
de las glándulas salivales
PBM CEM CCB CDS
Relación H:M 1:2 2:1 1:1 3:1
Sitio
Glándula mayor (%) 5 87 99 99
Glándulas menores (%) 95 13 1 1
Recidival local 12 31 28 33
Metástasis a ganglios linfáticos regionales (%) 10 18 12 59
Metástasis distantes (%) 0 8 4 46
Mortalidad (%) 1 7 4 65
PBM: polimorfo de baja malignidad; CEM: carcinoma epitelial mioepitelial; CCB: carcinoma de células ba-
sales; CDS: carcinoma ductal salival.
TABLA 22-12 Diferencias clínicas de adenocarcinomas comunes de glándulas salivales
I. Quistes odontogénicos
A. De desarrollo
Queratoquiste (primordial)
Quiste folicular (dentígero)
Quiste queratinizante
Quiste periodontal lateral
Quiste gingival
B. Inflamatorios
Quiste radicular
Quiste residual (colateral)
Quiste paradental
II. Quistes no odontogénicos
A. Fisurales
Nasolabial (globulomaxilar)
Nasopalatino
Palatino medio
B. Pseudoquistes
TABLA 22-13 Quistes de los huesos maxilares
© 2007 Editorial Médica Panamericana, S.A de C.V.
Cisfarm
750 Patología especial
Quiste radicular
Quiste folicular (dentígero)
Quiste residual (colateral)
Queratoquiste (quiste primordial)
Quiste periodontal lateral
Quiste calcificante
Quiste gingival
Quiste de erupción
Quiste paradental
TABLA 22-14
Frecuencia de quistes odontogénicos
en orden descendente
EDAD MEDIA
TUMOR (AÑOS) SITIO COMÚN RADIOGRAFÍA RECIDIVA
Ameloblastoma 40 Ángulo mandíbula Multilocular radiolucente Sí
T. Epitelial calcificante 40 Ángulo mandíbula Radiolucente con focos opacos Sí
Adenoamelobastoma 18 Anterior Igual No
Mixoma 30 Cualquier región Multilocular radiolucente Sí
Fibroma osificante 40 Mandíbula Radiolucente con focos opacos No
Cementoblastoma 25 Mandíbula posterior Opaco No
Odontoma 18 Cualquier región Opaco No
Fibroma 12 Ángulo mandíbula Radiolucente con focos opacos Sí
TABLA 22-16 Características clínicas de los tumores odontogénicos más comunes
I. Epitelial
Ameloblastoma
Tumor epitelial calcificante
Tumor odontogénico adenomatoide
Tumor odontogénico epidermoide
II. Mesenquimal
Mixoma odontogénico
Fibroma odontogénico
1. Periférico
2. Central
Fibroma cementificante
Cementoblastoma (cementoma verdadero)
Cementoma gigantiforme
Odontoma
1. Complejo
2. Compuesto
III. Mixtos (epitelial mesenquinal)
Fibroma ameloblástico
Fibro-odontoma ameloblástico
TABLA 22-15 Clasificación de los tumores odontogénicos
© 2007 Editorial Médica Panamericana, S.A de C.V.
Cisfarm
C22 Patología de cabeza y cuello 751
RELACIÓN AL EPITELIO DE
TIPO SITIO MÚSCULO ECM REVESTIMIENTO PARED EDAD PACIENTE
Branquial Lateral Anterior Escamoso o respiratorio Linfoide con centros 3a. década
germinales
Tirogloso Línea Sin Escamoso o respiratorio Folículos tiroideos 90% menores
de 30 años
Tímico Lateral Posterior Escamoso Corpúsculos de Hassall 3 a 6 años
Linfangioma Difuso Sin Endotelio Tejido conectivo 90% menores
de 3 años
Ránula Difuso Sin Con frecuencia sin epitelio Células en anillo de sello Cualquier edad
ECM: Músculo esternocleidomastoideo.
TABLA 22-17 Características de los quistes del cuello
© 2007 Editorial Médica Panamericana, S.A de C.V.
Cisfarm
© 2007 Editorial Médica Panamericana, S.A de C.V.
Cisfarm
23
Patología pediátrica
Eduardo López Corella
Cecilia Ridaura Sanz
Patología pediátrica
FIGURA 23-1. a) Hemorragia cerebral de la matriz germinativa con extensión parenquimatosa, que llena los ventrículos laterales y el tercer ventrículo, y b) forma un hematoma en la cisterna
magna en este cerebro marcadamente inmaduro.
(a)
(b)
© 2007 Editorial Médica Panamericana, S.A de C.V.
Cisfarm
754 Patología especial
FIGURA 23-2. Lesiones hipóxico isquémicas del cerebro neonatal. a) Leucomalacia peri-
ventricular con licuefacción y degeneración quística. b) Otro caso con marcada degenera-
ción multiquística, y c) la desaparición por necrosis de parte de la corteza formando una
porencefalia.
(a) (b)
(c)
© 2007 Editorial Médica Panamericana, S.A de C.V.
Cisfarm
C23 Patología pediátrica 755
FIGURA 23-3. Enfermedad de membrana hialina pulmonar. Prominentes membranas hialinas revisten espacios aéreos inmaduros.
© 2007 Editorial Médica Panamericana, S.A de C.V.
Cisfarm
756 Patología especial
FIGURA 23-4. Displasia broncopulmonar. Hay proliferación fibroblástica con fibrosis intersticial y evidencia de regeneración de epitelio alveolar dañado.
© 2007 Editorial Médica Panamericana, S.A de C.V.
Cisfarm
C23 Patología pediátrica 757
FIGURA 23-5. Enfisema pulmonar intersticial agudo. Como consecuencia de ruptura alveolar, el aire se extiende al intersticio formando espacios alargados.
© 2007 Editorial Médica Panamericana, S.A de C.V.
Cisfarm
758 Patología especial
(a) (b)
FIGURA 23-6. a) Enfisema pulmonar intersticial agudo y b) persistente. En el enfisema agudo el aire diseca las estructuras de los tabiques formando espacios alrededor de vasos y bron-
quios. En el enfisema persistente se agrega una reacción a cuerpo extraño con células multinucleadas.
© 2007 Editorial Médica Panamericana, S.A de C.V.
Cisfarm
C23 Patología pediátrica 759
FIGURA 23-7. Enterocolitis necrosante. Necrosis hemorrágica de la pared intesti-
nal a) y evidencia de neumatosis con burbujas de aire visibles por la serosa b).
(a)
(b)
© 2007 Editorial Médica Panamericana, S.A de C.V.
Cisfarm
760 Patología especial
FIGURA 23-8. a) Onfalitis en sepsis neonatal. Corte del ombligo con ulceración de la piel e infiltrado inflamatorio que se extiende a la profundidad y afecta la pared de vasos umbilicales.
b) Corioamnionitis en sepsis neonatal. Placenta con infiltrado purulento en las membranas.
(b)
(a)
© 2007 Editorial Médica Panamericana, S.A de C.V.
Cisfarm
C23 Patología pediátrica 761
FIGURA 23-9. a) Infección cerebral neonatal por toxoplasma. Meningoencefalitis
por toxoplasmosis neonatal con extensas zonas de necrosis del parénquima alrede-
dor de la cisura de Silvio. b) Taquizoítos de toxoplasma en tejido cerebral.
(a)
(b)
© 2007 Editorial Médica Panamericana, S.A de C.V.
Cisfarm
762 Patología especial
FIGURA 23-10. Hepatitis herpética. a) El hígado muestra focos de necrosis. b)
En la histología, los focos de necrosis (izquierda) se delimitan del tejido hepático
conservado (derecha).
(a)
(b)
© 2007 Editorial Médica Panamericana, S.A de C.V.
Cisfarm
C23 Patología pediátrica 763
FIGURA 23-11. Anancefalia con raquisquisis. En este caso se presentan tanto la ausencia de desarrollo encefálico como la falta de fusión del canal raquídeo en gran parte de su exten-
sión.
(a) (b)
© 2007 Editorial Médica Panamericana, S.A de C.V.
Cisfarm
764 Patología especial
FIGURA 23-12. a) Mielomeningocele lumbar roto y b) mielomeningocele íntegro dorsolumbar gigante.
(Cortesía del Dr. Fernando Rueda Franco).
(b)
(a)
© 2007 Editorial Médica Panamericana, S.A de C.V.
Cisfarm
C23 Patología pediátrica 765
FIGURA 23-13. Malformación de Arnold-Chiari. a) La combinación de un menin-
gocele o mielomeningocele con hidrocefalia apunta a la presencia de esta malfor-
mación con dilatación de las cavidades ventriculares b) hernia del cerebelo hacia
el canal raquídeo con elongación y acodamiento del bulbo raquídeo.
(a)
(b)
© 2007 Editorial Médica Panamericana, S.A de C.V.
Cisfarm
766 Patología especial
(a)
FIGURA 23-14. Holoprosencefalia. Fusión de hemisferios cerebrales con
ausencia de cisura interhemisférica. a) En el corte coronal del cerebro b) se
confirma la fusión y la ausencia de cisura y de cuerpo calloso.
(b)
© 2007 Editorial Médica Panamericana, S.A de C.V.
Cisfarm
C23 Patología pediátrica 767
FIGURA 23-15. Quiste broncogénico paratraqueal. El quiste comprime la tráquea y
produce dificultad respiratoria.
© 2007 Editorial Médica Panamericana, S.A de C.V.
Cisfarm
768 Patología especial
FIGURA 23-16. Malformación adenomatoide quística tipo II. El pulmón está sustituido por
numerosos quistes pequeños y uniformes.
© 2007 Editorial Médica Panamericana, S.A de C.V.
Cisfarm
C23 Patología pediátrica 769
FIGURA 23-17. Secuestros pulmonares. a) Esquema. b) Secuestro intralobar. La porción superior, secuestrada, muestra retención de secreciones mucosas en bronquios. La porción inferior
comunica normalmente con el árbol bronquial y la circulación pulmonar. Secuestro extralobar. c) Una porción de parénquima pulmonar, separado de los pulmones, se encuentra adherido
al diafragma.
(c)
(b)
Intralobar
(a)
SECUESTROS
Extralobar
© 2007 Editorial Médica Panamericana, S.A de C.V.
Cisfarm
770 Patología especial
Atresia proximal
y fístula distal
90%
Atresia
sin fístula
8%
Fístula
sin atresia (en H)
4%
Atresia distal
fístula proximal
< 1%
Doble fístula
< 1 %
FIGURA 23-18. Espectro de malformaciones traqueoesofágicas.
© 2007 Editorial Médica Panamericana, S.A de C.V.
Cisfarm
C23 Patología pediátrica 771
(a) (b)
FIGURA 23-19. Malformaciones anorrectales. a) Alta y b) baja.
© 2007 Editorial Médica Panamericana, S.A de C.V.
Cisfarm
772 Patología especial
FIGURA 23-20. Enfermedad de Hirschsprung. Estrechamiento distal y marcada dilatación proximal visibles a) en
la radiografía con medio de contraste y b) en la cirugía. (Cortesía del Dr. Luis de la Torre Mondragón).
(a)
(b)
© 2007 Editorial Médica Panamericana, S.A de C.V.
Cisfarm
C23 Patología pediátrica 773
FIGURA 23-21. a) Enfermedad de Hirschsprung, b) y c) plexos normales. Se encuentran gruesos troncos nerviosos (a) y están ausentes los plexos de Meissner (b) y de Auerbach (c)
normales con sus células ganglionares. (Cortesía del Dr. Daniel Carrasco Daza).
(c)
(a) (b)
© 2007 Editorial Médica Panamericana, S.A de C.V.
Cisfarm
774 Patología especial
FIGURA 23-22. Fibrosis hepática congénita. El hígado muestra bandas fibrosas
bien delimitadas a) en cuyo seno hay conductos biliares hamartomatosos b).
(a)
(b)
© 2007 Editorial Médica Panamericana, S.A de C.V.
Cisfarm
C23 Patología pediátrica 775
FIGURA 23-23. Enfermedad de Caroli. Dilatación de conductos biliares intrahepáticos cerca del hilio.
© 2007 Editorial Médica Panamericana, S.A de C.V.
Cisfarm
776 Patología especial
FIGURA 23-24. Atresia de vías biliares. a) El hígado verdoso por colestasis. La flecha supe-
rior indica la vesícula biliar rudimentaria. Las sondas exponen el árbol biliar convertido en un
cordón fibroso (izquierda) y la vena porta (derecha). b) Corte del colédoco resecado previo
a cirugía de Kasai. Se aprecia inflamación y fibrosis en la pared engrosada. c) Cirrosis biliar.
El hígado es firme y colestático.
(a)
(b)
(c)
© 2007 Editorial Médica Panamericana, S.A de C.V.
Cisfarm
C23 Patología pediátrica 777
FIGURA 23-25. Hernia de Bochdalek. a) Asas intestinales ocupan el hemitórax izquierdo de un neonato. (Cortesía del Dr. Lorenzo F. Pérez Fernández). b) En una pieza de autopsia se
aprecian asas intestinales rodeando al corazón
(b)
(a)
© 2007 Editorial Médica Panamericana, S.A de C.V.
Cisfarm
778 Patología especial
FIGURA 23-26. Recién nacido con onfalocele. El cordón umbilical se implanta en el saco.
© 2007 Editorial Médica Panamericana, S.A de C.V.
Cisfarm
C23 Patología pediátrica 779
FIGURA 23-27. Recién nacido con gastrosquisis. El defecto de la pared, a la derecha del ombligo, permite la salida de asas intestinales. (Cortesía del Dr. Luis de la Torre Mondragón.)
© 2007 Editorial Médica Panamericana, S.A de C.V.
Cisfarm
780 Patología especial
FIGURA 23-28. Aspecto microscópico de los tumores del grupo de neuroblastoma.
a) Indiferenciado, con células pequeñas y uniformes sin evidencia de diferenciación. b)
Ganglioneuroblastoma con datos de diferenciación neuronal. c) Ganglioneuroma con estroma
shwanniano maduro y neuronas maduras.
(a) (b)
(c)
© 2007 Editorial Médica Panamericana, S.A de C.V.
Cisfarm
C23 Patología pediátrica 781
FIGURA 23-29. a) Retinoblastoma que ocupa la cavidad vítrea y se extiende al nervio ópti-
co. b) Está formado por células pequeñas que sustituyen la retina, c) y forman rosetas.
(a) (b)
(c)
© 2007 Editorial Médica Panamericana, S.A de C.V.
Cisfarm
782 Patología especial
FIGURA 23-30. Hepatoblastoma a) Aspecto macroscópico con sustitución
extensa del parénquima hepático por un crecimiento tumoral heterogéneo. b)
Aspecto microscópico de un hepatoblastoma mixto con alternancia de células
epiteliales poco diferenciadas y tejido mesenquimatoso con depósito de osteoi-
de, azul en esta tinción tricrómica.
(a)
(b)
© 2007 Editorial Médica Panamericana, S.A de C.V.
Cisfarm
C23 Patología pediátrica 783
FIGURA 23-31. Espectro histológico de los tumores neuroecodérmicos primi-
tivos periféricos a). Tumor de Ewing, con células pequeñas y la característica
necrosis de contorno cartográfico. En el recuadro, se aprecia la morfología celular
uniforme. b) Tumor neuroectodérmico primitivo periférico, con células pequeñas
invadiendo músculo esquelético.
(b)
(a)
© 2007 Editorial Médica Panamericana, S.A de C.V.
Cisfarm
784 Patología especial
FIGURA 23-32. Espectro microscópico de los tumores germinales. a) Germinoma intracra-
neano. b) Tumor de saco vitelino en testículo. c) Teratoma inmaduro con mezcla de tejidos
bien diferenciados alternando con neuroepitelio primitivo.
(a) (b)
(c)
© 2007 Editorial Médica Panamericana, S.A de C.V.
Cisfarm
C23 Patología pediátrica 785
FIGURA 23-33. Teratoma sacrocoxígeo en un recién nacido.
© 2007 Editorial Médica Panamericana, S.A de C.V.
Cisfarm
786 Patología especial
FIGURA 23-34. Histocitosis X. Las células de Langerhans muestran núcleos estriados y abundante citoplasma.
© 2007 Editorial Médica Panamericana, S.A de C.V.
Cisfarm
C23 Patología pediátrica 787
FIGURA 23-35. Histocitosis X. Tres gránulos de Birbeck en el citoplasma de una célula de Langerhans. Uno de ellos con la típica expansión “en raqueta”. (Cortesía del Dr. Rodolfo Rodríguez
Jurado).
© 2007 Editorial Médica Panamericana, S.A de C.V.
Cisfarm
788 Patología especial
FIGURA 23-36. Histocitosis X tipo Letterer Siwe con afección seboreica de piel de cráneo.
© 2007 Editorial Médica Panamericana, S.A de C.V.
Cisfarm
C23 Patología pediátrica 789
FIGURA 23-37. Histocitosis X. Lesiones osteoliticas. (a) en peñasco temporal (b)
en fémur.
(a)
(b)
© 2007 Editorial Médica Panamericana, S.A de C.V.
Cisfarm
790 Patología especial
FIGURA 23-38. Histocitosis X en ganglios periaórticos.
© 2007 Editorial Médica Panamericana, S.A de C.V.
Cisfarm
C23 Patología pediátrica 791
FIGURA 23-39. Glucogenosis I. Enfermedad de von Gierke. Hepatocitosis grandes de citoplasma claro y membrana plasmática reforzada.
© 2007 Editorial Médica Panamericana, S.A de C.V.
Cisfarm
792 Patología especial
FIGURA 23-40. Glucogenosis II. Enfermedad de Pompe. Acumulación de glucógeno en neuronas.
© 2007 Editorial Médica Panamericana, S.A de C.V.
Cisfarm
C23 Patología pediátrica 793
FIGURA 23-41. Glucogenosis IV. (Amilopectinosis. Enfermedad de Andersen.) Amilopectina acumulada en hígado y fibrosis hepática avanzada. La amilopectina resalta con esta tinción de
PAS.
© 2007 Editorial Médica Panamericana, S.A de C.V.
Cisfarm
794 Patología especial
FIGURA 23-42. Enfermedad de Gaucher. a) Hígado con acumulación de mate-
rial PAS positivo en células de Kupffer. b) Con el microscopio electrónico se
aprecia el carácter fibrilar del material.
(a)
(b)
© 2007 Editorial Médica Panamericana, S.A de C.V.
Cisfarm
C23 Patología pediátrica 795
FIGURA 23-43. Enfermedad de Niemann Pick. a) Acumulación de material
finamente vacuolar en el interior de hepatocitos y de células de Kupffer. b)
Con el microscopio electrónico se aprecia la estructura laminar concéntrica del
material acumulado.
(a)
(b)
© 2007 Editorial Médica Panamericana, S.A de C.V.
Cisfarm
796 Patología especial
FIGURA 23-44. Mucoviscidosis. patología pancreática. a) Retención de secrecio-
nes espesas en conductos pancreáticos con atrofia parenquimatosa y fibrosis. b)
El páncreas está adelgazado y nodular.
(a)
(b)
© 2007 Editorial Médica Panamericana, S.A de C.V.
Cisfarm
C23 Patología pediátrica 797
FIGURA 23-45. Mucoviscidosis. patología pulmonar. a) Moco denso en glándulas traquea-
les. b) Abscesos y bronquiectasias en pulmones. c) Neumonía purulenta con inflamación
aguda en bronquiolos y alveolos pulmonares.
(a) (b)
(c)
© 2007 Editorial Médica Panamericana, S.A de C.V.
Cisfarm
798 Patología especial
FIGURA 23-46. Mucoviscidosis neonatal ileo meconial. La luz intestinal está ocupada por meconio espeso que impide el tránsito del contenido intestinal.
© 2007 Editorial Médica Panamericana, S.A de C.V.
Cisfarm
C23 Patología pediátrica 799
Cardiopatías congénitas (conducto arterioso persistente,
defectos septales, tetralogía de Fallot, estenosis
pulmonar, otras)
Hepatitis neonatal de células gigantes con fibrosis portal
Cataratas bilaterales/coriorretinitis
Sordera
Sistema nervioso central: inflamación, necrosis,
calcificación periventricular, meningoencefalitis,
hidrocefalia, hidranencefalia
TABLA 23-3 Síndrome de Rubeola
UNIVERSALES
Hepatoesplenomegalia
Ictericia (hepatitis)
Petequias (trombocitopenia)
Meningoencefalitis
Coriorretinitis y/o cataratas
Anemia
ESPECIALES
Toxoplasma Lues Rubeola CMV Herpes
Microcefalia + − + + +
Hidrocefalia + − − + +
Calcificación en SNC + − +/− + −
Miocarditis + +/− − +/− −
Neumonitis + + − +/− +
Lesión ósea +/− + + +/− −
Sordera +/− + + + −
Exantema − + +/− − +
(+/−) Se presenta en menos del 15% de los casos.
TABLA 23-2
TORCH
Manifestaciones clínicas
Cerebro Hemorragia subependimaria/intraventricular
Lesión hipóxico/isquémica
Leucomalacia periventricular
Necrosis neuronal
Pulmón Enfermedad de membrana hialina
Displasia broncopulmonar
Enfisema pulmonar intersticial
Intestino Enterocolitis necrosante
TABLA 23-1 Patología de la prematurez
Agangliosis total. Afecta todo el tubo digestivo.
Rara, incompatible con la vida.
Agangliosis enterocólica. Afecta intestino: todo o parte
del intestino delgado y todo el colon. Rara. De difícil
corrección quirúrgica, dependiendo de su extensión.
Hirschsprung de segmento largo. Afecta todo el colon o
extensas porciones del mismo.
Enfermedad de Hirschsprung clásica. La zona
agangliósica está situada en rectosigmoides. Es la
forma habitual. Diversas técnicas bien establecidas de
correción quirúrgica.
Enfermedad de Hirschsprung de segmento corto.
Afecta recto terminal.
Enfermedad de Hirschsprung de segmento ultracorto.
Afecta unión anorrectal. Se corrige por miotomía
del esfínter rectal externo.
TABLA 23-4 Espectro de agangliosis intestinal
© 2007 Editorial Médica Panamericana, S.A de C.V.
Cisfarm
800 Patología especial
NIÑOS PEQUEÑOS ESCOLARES ADOLESCENTES
Blastomas Leucemias/linfomas Sarcomas óseos
Teratomas Tumores cerebrales Linfomas/leucemias
Rabdomiosarcoma Sarcomas Tumores cerebrales
TABLA 23-6 Neoplasias frecuentes en los niños
CENTRALES
Intracraneales. Meduloblastoma
Neuroblastoma cerebral
Pinealoblastoma
Ependimoblastoma
Retinoblastoma
Extracraneales. Neuroblastoma
PERIFERICOS
Tumor neuroectodérmico primitivo
(PNET, neuroepitelioma)
Tumor de Ewing
TABLA 23-8 Tumores neuroectodérmicos primitivos
MARCADORES DE DIFERENCIACIÓN EN ALGUNOS TUMORES
Neuroblastoma. Formación de rosetas. Diferenciación neuronal. Estroma fibrilar. Marcadores
neuronales. Prolongaciones citoplasmáticas con gránulos neurosecretores.
Linfomas. Antígeno común leucocitario positivo. Marcadores T o B. TdT.
Rabdomiosarcoma. Citoplasma "miógeno". Glucógeno en citoplasma. Desmina, miogenina y
MyoD1 positivas. Miofibrillas con formación de bandas Z.
Tumor de Ewing. Glucógeno en citoplasma. Marcador Ewing positivo (CD99). (MIC2).
Neuroepitelioma/PNET. Marcadores neurales positivos. Marcador Ewing positivo (CD99). (MIC2).
Tumor de células pequeñas desmoplásico. Marcadores de diferenciación divergente.
TABLA 23-7 Tumores de células pequeñas y redondas en la infancia
ONFALOCELE GASTROSQUISIS
En el sitio del ombligo Al lado (usualmente derecho) del ombligo
Vísceras en un saco Vísceras libres
Ombligo se implanta en el saco Ombligo se implanta normalmente, al lado del defecto
Diversas malformaciones asociadas Pocas malformaciones asociadas
TABLA 23-5 Malformaciones de pared abdominal
© 2007 Editorial Médica Panamericana, S.A de C.V.
Cisfarm
C23 Patología pediátrica 801
DE CÉLULAS GERMINALES
Germinomas
Disgerminoma, de ovario
Seminoma, de testículo
DE ESTRUCTURAS EMBRIONARIAS
Carcinoma embrionario
Tumor de saco vitelino (tumor de senos endodérmicos,
tumor de Teilum)
DE POBLACIONES CELULARES TOTIPOTENCIALES
Teratomas Maduro
Inmaduro
Maligno
TABLA 23-10 Tumores germinales
TABLA 23-9
Pronóstico de Neuroblastoma (NB) de acuerdo a sus características clínicas,
biológicas y génetico moleculares
NB FAVORABLE
1 copia
Aneuploide
Hiperdiploide
No
< 1 año
I o II o IVS
95%
CARACTERÍSTICA
N-myc (MyCN)
Citometria de flujo (DNA)
Pérdida de la heterocigocidad
en cromosoma 1p
Edad
Etapa clínica
Supervivencia a tres años
NB INTERMEDIO
1 copia
Euploide
Ocasional
Cualquier
III o IV
50-90%
NB DESFAVORABLE
amplificado
Euploide
Presente
> 1 año
III o IV
< 15%
© 2007 Editorial Médica Panamericana, S.A de C.V.
Cisfarm
802 Patología especial
TIPO EPÓNIMO ENZIMA CLÍNICA PATOLOGÍA
I von Gierke Glucosa-6-fosfatasa Hepatomegalia Glucógeno hepático
Nefromegalia aumentado
Hipoglicemia Esteatosis hepática
II Pompe Amilo glucosidasa Cardiomegalia Glucógeno en lisosomas
Hipotonía en hígado y músculo
Macroglosia
Afección neurológica
III Forbes/Cori Enzima desramificadora Visceromegalia Glucógeno visceral
Fibrosis hepática
IV Andersen Amilopectinosis Cirrosis Cirrosis hepática
Enzima ramificadora Afección neurológica Amilopectina multivisceral
V McArdle Miofosforilasa Dolor y debilidad muscular Glucógeno en músculo
VI Hers Hepatofosforilasa Hepatomegalia Glucógeno hepático
Hipoglicemia leve irregular
VII Tarui Fosfofructo cinasa Calambres Glucógeno en músculo
muscular Mioglobinuria
VIII Fosforilasa b Hepatomegalia Glucógeno en hígado
cinasa hepática Deterioro neurológico y músculo.
lipidemia Esteatosis
IX Fosforilasa cinasa Hepatomegalia Glucógeno y lípidos
hepática acentuada en hígado
X Cinasa dependiente Hepatomegalia Glucógeno en hígado
de AMP cíclico y músculo
TABLA 23-11
Glucogenosis
Entidades principales
© 2007 Editorial Médica Panamericana, S.A de C.V.
Cisfarm
http://MedicoModerno.Blogspot.Com
C23 Patología pediátrica 803
TIPO EPÓNIMO ENZIMA INTELECTO
IH Hurler a-l-iduronidasa Retraso
IS Scheie a-l-iduronidasa Normal
IIA Hunter Sulfoiduronato sulfatasa Retraso leve
IIIA Sanfilippo A Heparan sulfato sulfatasa Retraso
IIIB Sanfilippo B N-Acetil-a-O-glucosaminidasa Retraso
IIIC Sanfilippo C Acetil CoA: a-glucosaminido N. acetiltransferasa Retraso
IIID Sanfilippo D N-acetilglucosamino-6-sulfato sulfatasa Retraso
IVA Morquio A b-galactosamina-6-sulfato sulfatasa Normal
IVB Morquio B b-galactosidasa Normal
V
VI Maroteux- Lamy Arilsulfatasa B Normal con retraso tardía
VII Sly b-glucuronidasa normal
VIII glucosamina-6-sulfato sulfatasa Retraso
TABLA 23-12 Mucopolisacaridosis principales
© 2007 Editorial Médica Panamericana, S.A de C.V.
Cisfarm
© 2007 Editorial Médica Panamericana, S.A de C.V.
Cisfarm

Patologia_principios_-_Tamayo_4a.pdf

  • 2.
  • 3.
    1 El término patología(proviene del griego πατηοσ, en- fermedad, y λογοσ, conocimiento) significa “el estudio científico de la naturaleza de la enfermedad, sus causas, mecanismos, evolución y consecuencias”. Junto con la terapéutica, es una de las disciplinas más antiguas de la medicina. Su evolución histórica puede resumirse en cinco periodos diferentes, cada uno marcado por un cambio fundamental en el concepto del sitio afectado por la enfermedad. LA PATOLOGÍA EN LOS ALBORES DE LA HISTORIA Hoy en día conocemos muchas enfermedades, pero este hecho no siempre fue tan claro para el hombre: por varios milenios nuestros antepasados creyeron que sólo existía una enfermedad, que podía manifestarse de distintas formas, por ejemplo fiebre, vómitos de sangre, crisis convulsivas, o muerte de la madre y el niño du- rante un parto. La enfermedad seguía siendo la misma, aunque hubiera de por medio un traumatismo con frac- tura, o una herida en la guerra, o el encuentro con un puma en la montaña. El padecimiento era un castigo divino por la violación de alguna regla, o el resultado de una hechicería, de modo que se tenía un concepto mágico-religioso de la enfermedad. En algunos casos la causa era manifiesta, pero el hombre primitivo sabía muy bien que las verdaderas causas eran ocultas y so- brenaturales y que la enfermedad era la misma, aunque tuviera distintos síntomas. Además, la enfermedad no estaba localizada, ni aun en los casos mencionados de la fractura, de la herida o de los desgarros producidos por la fiera, sino que en realidad todo el organismo estaba afectado. El tratamiento eran rezos, ofrendas y sacrificios a los dioses para obtener el perdón de algu- na ofensa, o bien ritos y ceremonias para deshacer el hechizo responsable. PREVALECEN LOS HUMORES Las teorías humorales de la enfermedad surgieron en forma imprecisa en los primeros registros de la historia, junto con los conceptos mágico-religiosos, y se estruc- turaron con más precisión cuando fueron adoptadas por los griegos, quienes las tomaron de Egipto y de la India. Estas teorías prevalecieron en el mundo médico occidental hasta la época del Renacimiento, esto es, du- rante más de 2000 años. Al principio las teorías humo- rales variaban en ciertos detalles en distintos sitios del mundo antiguo, pero poco a poco fueron adquiriendo un carácter más uniforme hasta que convergieron en la versión elaborada por el médico griego Galeno, en el siglo II d.C. De acuerdo con esta versión, el organismo está formado por cuatro humores con distintas propie- dades cada uno: sangre, caliente y húmeda; flema, fría y húmeda; bilis amarilla, caliente y seca, y bilis negra, Ruy PérezTamayo Evolución histórica de la patología Evolución histórica de la patología 3 Patologi a_01_5R.indd 3 Patologi a_01_5R.indd 3 25/4/07 18:51:16 25/4/07 18:51:16 Cisfarm
  • 4.
    4 Patología general secay fría (figura 1-1). La salud es el equilibrio de los humores (isonomía) y la enfermedad ocurre cuando se pierde este equilibrio, lo que puede deberse al predo- minio de uno de ellos (monarquía), o por un cambio en sus propiedades. Comparada con los conceptos primitivos de en- fermedad, la teoría humoral muestra dos diferencias importantes: 1) no existe una, sino varias o muchas enfermedades diferentes, y 2) éstas no afectan a todo el organismo sino sólo a los humores. En el siglo V a.C. los médicos hipocráticos adoptaron esta teoría y ejercieron una medicina racional, que coexistió con la medicina mágico-religiosa de los seguidores de Ascle- piades. Hipócrates enseñaba que la base de la medicina era la observación clínica cuidadosa, acompañada por el examen físico del paciente, lo que permitiría establecer su diagnóstico, que se expresaba como un tipo definido de desequilibrio de los humores. El tratamiento se ba- saba en tres medidas: sangría (para eliminar el exceso del humor responsable del desequilibrio o monarquía), purga (para ayudar a la sangría en la eliminación del humor excesivo), y dieta (para evitar que a partir de los alimentos ingeridos se siguiera produciendo el humor anormal). En cambio, en los templos de Asclepiades el paciente se preparaba para una ceremonia religiosa y dormía (incubatio) en un recinto especial donde se le aparecía el dios, a veces acompañado por sus hermanas Hygeia y Panacea, y por los animales sagrados, el perro y la serpiente, que lo curaban en forma milagrosa. Entre los romanos, Asclepiades se transformó en Esculapio, pero su medicina siguió siendo mágico-reli- giosa; en cambio, con Galeno la medicina hipocrática se convirtió en dogmática y perdió uno de sus elementos más importantes, que era la insistencia en el valor de la observación clínica. El auge de la Iglesia Católica como un poder político, se apresuró a llenar el hueco que dejaba el Imperio romano al colapsarse, y así inició la Edad Media europea. Durante este periodo (siglos II al XV d.C.) la estructura central de la medicina fue ga- lénica, a pesar de la refrescante invasión de los árabes (siglos VIII-XI d.C.) quienes finalmente se limitaron a traducir los textos clásicos y a contribuir con algunos comentarios originales. EL NACIMIENTO DE LA PATOLOGÍA Existe consenso entre todos los historiadores en consi- derar a Antonio Benivieni (1440-1502) como el padre FIGURA 1-1. Teoría del equilibrio de los humores. Bilis amarilla Fuego Agua Flema Sangre-aire Caliente Húmedo Seco Frío Tierra-bilis negra FIGURA 1-2. Antonio Benivieni (1440-1502) y su libro. Patologi a_01_5R.indd 4 Patologi a_01_5R.indd 4 25/4/07 18:51:18 25/4/07 18:51:18 Cisfarm http://MedicoModerno.Blogspot.Com
  • 5.
    C1 Evolución históricade la patología 5 de la patología (figura 1-2). Este juicio se basa en su libro, De Abditis Nonnullis ac Mirandis Morborum et Sanationum Causis (De las causas ocultas y admirables de las enfermedades y de sus curaciones), que apareció cinco años después de su muerte. Entre otros datos, el volumen contiene los protocolos de 15 autopsias reali- zadas para determinar la causa de la muerte o el sitio de la enfermedad. Cada caso comienza con una breve descripción de la enfermedad clínica, seguida por los hallazgos importantes de la autopsia; a menudo Beni- vieni incluye observaciones finales con la intención de establecer correlaciones anatomoclínicas. El caso XXXVI dice lo siguiente: Endurecimiento del estómago Mi tocayo, Antonio Bruno, retenía por corto tiem- po el alimento que había ingerido y lo vomitaba sin digerir. Fue tratado cuidadosamente con toda clase de remedios para aliviar problemas gástricos, pero como ninguno le sirvió para nada se adelgazó por su desnutrición hasta que sólo le quedaban piel y huesos, y finalmente murió. El cadáver se abrió por razones de beneficio público. Se encontró que la apertura de su estóma- go se había cerrado y se había endurecido hasta la parte inferior resultando en que nada podía pa- sar a los órganos distales, por lo que la muerte era inevitable. Aquí la observación clínico-patológica es escueta, casi telegráfica, pero el diagnóstico puede hacerse a pesar de los 500 años que nos separan de él: se trata de un cáncer del estómago, de la variedad conocida como linitis plástica. Benivieni es importante como precursor de un mé- todo para el estudio de la enfermedad, la correlación anatomoclínica, que a lo largo de más de cinco siglos ha proporcionado información muy útil, y todavía lo sigue haciendo. Pero Benivieni formaba parte de su época y en su obra se encuentran relatos de exorcismos y demonios junto a observaciones anatómicas; además, cita con frecuencia a Galeno y a Avicena como autori- dades, y sus tratamientos estaban dirigidos a recuperar el equilibrio perdido de los “cuatro humores”. Otro personaje importante para el desarrollo de la patología (y de otras ciencias) fue Jean Fernel (1497- 1558) (figura 1-3), profesor de medicina en París, que además era filósofo, matemático, astrónomo y filólogo. En 1554 publicó su obra Universa Medicina, que está dividida en tres partes: fisiología, patología y terapéutica. La sección de patología es la más extensa y en ella las enfermedades se clasifican en generales y especiales; estas últimas se dividen en las que afectan órganos por encima del diafragma, las localizadas en estructuras subdiafragmáticas y las externas. Desde otro punto de vista también se clasificaban en simples, si afectaban sólo parte de un órgano, compuestas si estaba afectado todo el órgano, y complicadas si estaban comprometidas las relaciones entre diferentes órganos. Ocasionalmente se mencionan datos de autopsias, casi siempre relacio- nados con algún síntoma, pero en forma demasiado breve como para permitir su interpretación. Este libro fue uno de los textos más leídos en los siglos XVI y FIGURA 1-3. Jean Fernel (1497-1558) y su libro. Patologi a_01_5R.indd 5 Patologi a_01_5R.indd 5 25/4/07 18:51:19 25/4/07 18:51:19 Cisfarm
  • 6.
    6 Patología general XVII,e influyó en la aceptación de que no hay una sino muchas enfermedades y que algunas son localizadas. Dos autores del siglo XVII fueron importantes, tanto por sus observaciones originales como por sus textos, que fueron recopilaciones extensas de todo lo publicado hasta entonces sobre autopsias. El primero fue Johann Schenck von Grafenberg (1530-1598), de Friburgo, cuyo libro Observationum Medicarum Rararum apareció en 1597; el segundo fue Theophilus Bonettus (1620-1689) (figura 1-4), de Ginebra, cuya obra Sepulchretum Anato- micum Sive Anatomía Práctica se publicó en 1679. Los dos tratados son colecciones de casos publicados por otros autores, pero reunidos sin criterios de selección ni juicio crítico, por lo que debemos felicitarnos, ya que incluyeron casi todo el material que existía hasta sus respectivas épocas, si bien en la actualidad es difícil distinguir en sus páginas entre la realidad y la fanta- sía. La obra de Bonettus está formada por dos gruesos tomos con 1,700 páginas y contiene los resúmenes de más de 3,000 protocolos de autopsias, incluyendo los de Benivieni, Glisson, Willis, Vesalio, Riolano, Wepfer y muchos más. Este libro no sólo es importante como la mayor colección de casos publicada en la historia, sino porque además sirvió de texto y de estímulo a Giovanni Battista Morgagni (1682-1771) (figura 1-5), quien representa la cumbre de la correlación anatomo- clínica en el Renacimiento. Morgagni fue profesor de anatomía y de medicina en la universidad de Padua durante 56 años, dedicados a la cátedra, a estudios de anatomía y al ejercicio de la medicina clínica; era un maestro muy popular y respetado, médico y amigo de papas y cardenales, quien dedicó sus pocas horas libres al estudio de los clásicos y de la arqueología. En 1761, cuando Morgagni tenía 79 años de edad, publicó su monumental obra De Sedibus et Causis Morborum per Anatomen Indagatis, que contiene las historias clínicas y los protocolos de autopsia de más de 700 casos, en la que todos los datos, tanto de los síntomas del paciente como de los hallazgos en la autopsia, están descritos con gran minuciosidad y detalle; Morgagni siempre in- tenta establecer corrrelaciones entre los datos clínicos y los órganos alterados en la autopsia y relacionados con ellos. De Sedibus contiene descripciones de aneu- rismas sifilíticos de la aorta, meningitis secundaria a otitis purulenta, hiperostosis frontal, atrofia amarilla aguda del hígado, úlcera péptica gástrica, gomas ce- rebrales, ileítis regional, cáncer gástrico, endocarditis bacteriana, estenosis mitral, aterosclerosis coronaria, quistes del ovario, cirrosis hepática, hemorragia cere- bral, estenosis e insuficiencia aórticas, tetralogía de Fa- llot, cálculos biliares y urinarios, quistes de los plexos coroides, estenosis pulmonar, esplenomegalia, fiebre tifoidea, neumonía, quistes paratesticulares (hidátide de Morgagni) y muchas enfermedades más. De Sedi- bus no es un tratado de anatomía patológica (no tiene figuras) ni un libro de medicina, sino más bien es un extenso comentario sobre el Sepulchretum de Bonettus con algunas enmiendas y muchas adiciones, sobre todo en detalles de correlación anatomoclínica. Esta etapa del desarrollo de la ciencia de la enferme- dad se cierra con el firme establecimiento del principio de que los síntomas clínicos se explican por alteraciones anatómicas, lo que sirvió de base para los trabajos de Laennec, Bright, Skoda y muchos anatomistas clínicos FIGURA 1-4. Theophilus Bonettus (1620-1689) y su libro. Patologi a_01_5R.indd 6 Patologi a_01_5R.indd 6 25/4/07 18:51:20 25/4/07 18:51:20 Cisfarm
  • 7.
    C1 Evolución históricade la patología 7 del siglo XIX. También quedó establecida la utilidad de los estudios posmortem para el avance de la medicina. Sigerist rindió tributo al genio de Morgagni con las siguientes palabras: Esperamos de todo médico tacto y seriedad moral, pero del patólogo lo esperamos en grado máximo. A éste llegan los muertos, personas que los médicos no pudieron salvar. A menudo la autopsia demuestra la insuficiencia de los conocimientos humanos. En estos casos el patólogo no debe desempeñar el papel de juez sino que debe servir de ayuda y ser un consejero. Es bueno que un hombre tan profundamente consustan- ciado con su misión haya estado en los comienzos del desarrollo de la ciencia de la anatomía patológica. APARICIÓN DE LOS TEJIDOS El siguiente paso importante en la evolución de la pato- logía fue dado por Marie François Xavier Bichat (1771- 1802), un médico francés que trabajó en París y murió antes de cumplir 31 años de edad. Bichat (figura 1-6) fue alumno y protegido del gran cirujano Desault, y en 1800 fue nombrado médico del Hôtel-Dieu; trabajaba día y noche en las salas clínicas, en el laboratorio y en la sala de autopsias, se dice que en un año realizó personalmente más de seiscientas autopsias y que su único descanso era cambiar de un tipo de trabajo a otro. En 1800 apareció su Traité des Membranes, en el que siguiendo una idea de Pinel, Bichat propone que los órganos están formados por elementos llama- dos “tejidos” (tissus); que tejidos similares forman par- te de diferentes órganos y que ésta es la razón de la aparición de síntomas idénticos cuando la enfermedad afecta distintos órganos. En su Anatomie Générale, de 1801, Bichat señala que existen 21 tejidos diferentes (tabla 1-1), caracterizados por distintas propiedades, que fueron estudiados y distinguidos por medio de varios métodos como “la acción de varias sustancias químicas, el calor, el agua, el aire, los ácidos, los álcalis, la sal, la desecación, la maceración, la putrefacción, el agua FIGURA 1-5. Giovanni Battista Morgagni (1682-1771) y su libro. FIGURA 1-6. Xavier Bichat (1771-1802). Patologi a_01_5R.indd 7 Patologi a_01_5R.indd 7 25/4/07 18:51:21 25/4/07 18:51:21 Cisfarm
  • 8.
    8 Patología general hirviente,etcétera.” En ningún momento Bichat utilizó el microscopio, del que desconfiaba profundamente. Su obra contrasta con la de Morgagni, quien vivió más de 90 años y después de haber trabajado durante más de 50 años dejó sólidamente establecida la patología en corre- laciones entre síntomas clínicos y órganos lesionados; en cambio, Bichat sólo trabajó activamente ocho años (dos después de su nombramiento en el Hôtel-Dieu y sin haber sido designado oficialmente como docente en la Facultad de Medicina), pero a su muerte había logrado establecer el concepto de los tejidos como subunidades de los órganos internos y desplazar de éstos el asien- to de las enfermedades, identificándolo en los tejidos. PATOLOGÍA CELULAR El siguiente paso en la búsqueda del sitio de la enfer- medad lo dio Rudolf Virchow (1821-1902) (figura 1-7), alumno de Müller y de Schönlein en Berlín. Virchow desempeñó la primera cátedra de patología de Alemania, establecida en Würzburg para él cuando tenía 28 años de edad, pero después de siete años regresó a Berlín a ocupar la misma cátedra, que incluía un instituto en el hospital de La Charité. Dos años después Virchow dio una serie de conferencias para médicos generales que aparecieron en forma de libro el 8 de agosto de 1858, con el nombre de Cellularpathologie in ihrer Begründung auf physiologische und pathologische Gewebelehere (Pato- logía celular y sus bases en la fisiología y patología de los tejidos). Éste es uno de los libros más importantes en la historia de la medicina y seguramente la contri- bución más sobresaliente del siglo XIX al progreso de la medicina científica. Virchow tomó el concepto re- cién surgido de la célula como el componente unitario de todos los sistemas vivos conocidos (propuesto por Schwann y Schleiden en 1848) y lo colocó en el cen- FIGURA 1-7. Rudolf Virchow (1821-1902) y su libro. 1. Celular 2. Nervioso, animal 3. Nervioso, orgánico 4. Arteriaal 5. Venoso 6. Exhalante 7. Absorbente 8. Óseo 9. Medular 10. Cartilaginoso 11. Fibroso 12. Fibrocartilaginoso 13. Muscular, animal 14. Muscular, orgánico 15. Mucoso 16. Seroso 17. Sinovial 18. Glandular 19. Dermoide 20. Epidermoide 21. Piloso TABLA 1-1 Los 21 “elementos” anatómicos o tejidos descritos por Bichat (1800) Patologi a_01_5R.indd 8 Patologi a_01_5R.indd 8 25/4/07 18:51:22 25/4/07 18:51:22 Cisfarm
  • 9.
    C1 Evolución históricade la patología 9 tro de la medicina, junto con su concepto de patología celular. Avanzando dentro del pensamiento de Mor- gagni, que localizaba la enfermedad en los órganos, y de Bichat, que la identificaba en los tejidos, Virchow propuso que si las células son los componentes de los órganos y de los tejidos, entonces el sitio último de la enfermedad es la célula. El concepto de Virchow fue más allá de los límites estrechos impuestos por distintas técnicas. Para pene- trar en la naturaleza de la enfermedad hay que hacerlo no con los métodos de la anatomía patológica, o de la bioquímica patológica, o de la fisiología patológica, sino con la unión armónica y complementaria de todas ellos y de otras especialidades que puedan contribuir. Virchow dijo: “La enfermedad es la vida en condicio- nes anormales”, por lo que sólo puede comprenderse con la misma integración de métodos necesaria para el conocimiento de la vida normal. PATOLOGÍA SUBCELULAR Y MOLECULAR Con la ayuda de nuevas técnicas biofísicas y bioquími- cas, en las últimas décadas la patología ha penetrado a los niveles de organización subcelular y molecular. Los cambios en la enfermedad que hasta hace cincuenta años se describían solamente al nivel morfológico y de microscopía óptica, ahora se interpretan en sus di- mensiones ultraestructural, metabólica y bioquímica. ¿Significa esto que una vez más se ha desplazado el sitio de la enfermedad, ahora de las células a los organelos subcelulares y a las moléculas? La respuesta a esta pre- gunta es negativa por las siguientes dos razones: 1. La enfermedad solamente se observa en los seres vivos; es una forma de vida. Los organelos subce- lulares sólo poseen algunas, y las moléculas aún menos, del conjunto total de las propiedades de los seres vivientes; la estructura más pequeña que las muestra todas es la célula. Dichas propiedades son: a) alta complejidad estructural; b) amplia variedad fenotípica; c) metabolismo energético; d) recambio metabólico; e) autoduplicación y f) autocuración (véase el capítulo 2). Un organelo subcelular como la mitocondria pueder ser anormal y hasta esa anor- malidad ser responsable de una enfermedad, pero lo que se enferma es la célula que la contiene; lo mismo ocurre con moléculas complejas como la hemoglobina o la colágena; en cambio, no hay mo- léculas anormales de glucosa o de agua. 2. La vida necesita del tiempo para surgir, expresar sus poderes y desarrollar su casi infinita variedad feno- típica, participando de esa manera en la evolución. En cambio, los objetos inanimados no requieren del paso del tiempo para realizar su existencia. Las membranas celulares y los organelos subcelulares son cosas biológicas y llevan la huella del tiempo grabada en su estructura y su función, y de manera más sutil, aunque igualmente esencial, las macro- moléculas biológicas también dependen del tiempo; en cambio, los electrones, los átomos de carbono y el agua existen fuera del tiempo y son indepen- dientes de éste y por ello no se pueden enfermar. HACIA EL FUTURO Hemos repasado la búsqueda del sitio de la enfermedad a través de la historia, desde todo el organismo en la prehistoria, los humores en los tiempos clásicos y en la Edad Media; los órganos, en el Renacimiento; los tejidos, a fines del siglo XVIII; las células, a mediados del siglo XIX; y, en sentido limitado, los organelos sub- celulares y las macromoléculas biológicas en nuestro tiempo. La investigación contemporánea en patología avanza simultáneamente en dos frentes: 1. El conocimiento morfológico más fino de algunos de los padecimientos ya conocidos (como la tu- berculosis o la cirrosis hepática), el estudio de nue- vas enfermedades conforme van surgiendo (como el choque tóxico o el sida), la mejor identificación de otras que ya se conocían pero que cada vez se diagnostican mejor (como los linfomas y otras neo- plasias), y la corrección de errores de interpretación tradicionales gracias al uso de nuevas técnicas que aumentan tanto el poder de resolución como la es- pecificidad de los marcadores (como la enfermedad de Whipple o las hepatitis virales). La consecuencia inmediata de esta investigación es la mejoría del diagnóstico anatómico, por tanto, un aumento en la calidad de la asistencia médica. 2. La mejor comprensión de los mecanismos patogé- nicos generales (como la apoptosis o la inmuno- patología) y especiales (como en la amibiasis o en la enfermedad de Alzheimer). Esta investigación es interdisciplinaria, tanto en sus conceptos como en su metodología, y sus resultados suelen condu- cir a modificaciones en ideas generales que, tarde o temprano, también se reflejan en mejor manejo clínico de los enfermos (como en el uso de este- roides en enfermedades de autoinmunidad, o la vacuna contra el paludismo). Los médicos deseamos curar a los enfermos, pero también prevenir las enfermedades y la única manera de alcanzar estos dos objetivos es a través del conocimiento. La historia de la medicina no es otra cosa que el relato de la forma lenta y penosa como se ha ido acumulando el conocimiento sobre la enfermedad a través del tiem- po. Pero no se trata de cualquier tipo de conocimiento: Patologi a_01_5R.indd 9 Patologi a_01_5R.indd 9 25/4/07 18:51:23 25/4/07 18:51:23 Cisfarm
  • 10.
    10 Patología general debeser conocimiento científico, debe pasar las pruebas más rigurosas que podamos imaginar, una y otra vez, hasta despojarlo de todos los sueños, deseos, esperanzas e intereses económicos y de otros tipos. Sólo entonces sirve para prevenir y curar las enfermedades. Sin el conocimiento científico de la enfermedad la medicina, la “buena” medicina, no es posible. LECTURAS ADICIONALES Pérez Tamayo, R. El concepto de enfermedad. Su evolución a través de la historia. México. El Colegio Nacional-Fondo de Cultura Eco- nómica. 1988. Pérez Tamayo, R. Historia de diez gigantes. México. El Colegio Nacio- nal. 1991. PérezTamayo, R. De la magia primitiva a la medicina moderna. México. Fondo de Cultura Económica. 1997. Patologi a_01_5R.indd 10 Patologi a_01_5R.indd 10 25/4/07 18:51:23 25/4/07 18:51:23 Cisfarm
  • 11.
    2 Lesiones en diferentesniveles de organización biológica Lesiones en diferentes niveles de organización biológica Ruy Pérez Tamayo FIGURA 2-1. Glóbulos rojos de un caso de anemia de células falciformes. (Cortesía del Dr. Joaquín Carrillo). © 2007 Editorial Médica Panamericana, S.A de C.V. Cisfarm
  • 12.
    10 Patología general FIGURA2-2. Esquema de la molécula de procolágena y de las modificaciones que la transforman en una molécula de colágena insoluble. (Tomado de Procop DJ y cols. New Eng J. Med. 301: 13, 77, 1979.) PROCOLÁGENA Glc Gal Gal (Man)n GlcNac (Man)n GlcNac (10 nm) (2.0 nm) Dominio globular Dominio triple helicoidal Dominio no triple helicoidal Glc Gal Gal Dominio triple helicoidal Dominio no triple helicoidal Dominio no triple helicoidal (1.0 nm) PROPÉPTIDO N-TERMINAL (15 nm) PROCOLÁGENA (300 nm) PROPÉPTIDO N-TERMINAL (10 nm) © 2007 Editorial Médica Panamericana, S.A de C.V. Cisfarm
  • 13.
    C2 Lesiones endiferentes niveles de organización biológica 11 FIGURA 2-3. Aspecto radiológico del esqueleto de un niño recién nacido con osteogénesis imperfecta grave (tipo I). (Cortesía de la Dra. Sandra Carnevale.) © 2007 Editorial Médica Panamericana, S.A de C.V. Cisfarm
  • 14.
    12 Patología general FIGURA2-4. Cordero de 10 horas de nacido, afectado por dermatosparaxis, con laceraciones cutáneas extensas. (Tomado de Fjolstad M, Helle O.: J. Pathol 112:183, 1974.) © 2007 Editorial Médica Panamericana, S.A de C.V. Cisfarm
  • 15.
    C2 Lesiones endiferentes niveles de organización biológica 13 FIGURA 2-5. Histología de la piel en la esclerodermia, con abundante colágena por debajo del nivel de las glándulas sudoríparas. © 2007 Editorial Médica Panamericana, S.A de C.V. Cisfarm
  • 16.
    14 Patología general FIGURA2-6. Linfoma difuso no Hodking con células en anillo de sello. Se observan cristales en el citoplasma de las células neoplásicas, que por inmunohistoquímica se demostró eran de cadenas kappa. © 2007 Editorial Médica Panamericana, S.A de C.V. Cisfarm
  • 17.
    C2 Lesiones endiferentes niveles de organización biológica 15 FIGURA 2-7. Mieloma múltiple. a) Histología de la neoplasia. b) Citología de un frotis del tumor, que permite apreciar la morfología de las células plasmáticas neoplásicas. (Cortesía del Dr. Joaquín Carrillo.) (a) (b) © 2007 Editorial Médica Panamericana, S.A de C.V. Cisfarm
  • 18.
    16 Patología general FIGURA2-8. Alteración de las uniones intercelulares en el cáncer. a) Epitelio cervical normal unido por desmosomas (desmosome) y uniones firmes (nexus). b) Carcinoma epidermoide del cuello uterino en el que las células están unidas por un desmoso- ma pero no hay unión firme (wide gap). (Tomado de McNutt NS. Science 165:597. 1969.) (b) DESMOSOMA UNIÓN FIRME (a) DESMOSOMA UNIONES FIRMES S © 2007 Editorial Médica Panamericana, S.A de C.V. Cisfarm
  • 19.
    C2 Lesiones endiferentes niveles de organización biológica 17 FIGURA 2-9. Perforaciones circulares en la membrana de un eritrocito de un paciente con hemoglobinuria paroxística, después de reaccionar con anticuerpo y complemento. (Tomado de Dourmashkin RR, Rosse WF: Am J Med 41:699, 1966.) © 2007 Editorial Médica Panamericana, S.A de C.V. Cisfarm
  • 20.
    18 Patología general FIGURA2-10. Megamitocondrias. a) Degeneración vacuolar de hepatocitos con formación de megamitocondrias (gránulos anaranjados). b) Mitocondrias gigantes en el hígado de un ratón alimentado con una dieta rica en grasas y deficiente en riboflavina. (Tomado de Tandier B. y cols. J. Cell Biol 41: 472, 1969.) (b) (a) © 2007 Editorial Médica Panamericana, S.A de C.V. Cisfarm
  • 21.
    C2 Lesiones endiferentes niveles de organización biológica 19 FIGURA 2-11. Tumefacción mitocondrial en una célula tubular renal humana que muestra la imagen “en negativo” característica de la fase II de la reac- ción celular reversible a la agresión. © 2007 Editorial Médica Panamericana, S.A de C.V. Cisfarm
  • 22.
    20 Patología general FIGURA2-12. Daño mitocondrial avanzado en el miocardio, produci- do por emetina administrada en dosis elevada a un perro. © 2007 Editorial Médica Panamericana, S.A de C.V. Cisfarm
  • 23.
    C2 Lesiones endiferentes niveles de organización biológica 21 FIGURA 2-13. Histología de las vellosidades articulares en la artritis reumatoide. Hay proliferación de células sinoviales, infiltración inflamatoria y formación de pannus. © 2007 Editorial Médica Panamericana, S.A de C.V. Cisfarm
  • 24.
    22 Patología general FIGURA2-14. Hiperplasia del retículo endoplásmico rugoso en una célula acinar pancreática 72 horas después de la administración de actnomicina D. (Tomado de Gerzain Rodríguez T. J. Ultrastruct Res 19:116, 1967.) © 2007 Editorial Médica Panamericana, S.A de C.V. Cisfarm
  • 25.
    C2 Lesiones endiferentes niveles de organización biológica 23 FIGURA 2-15. Dilatación y degranulación del retículo endoplásmico rugoso en un hepatocito de rata, en respuesta a anoxia incipiente. © 2007 Editorial Médica Panamericana, S.A de C.V. Cisfarm
  • 26.
    24 Patología general FIGURA2-16. Aspecto histológico del estadio I de la reacción celular reversible a la agresión. a) Tumefacción turbia del citoplasma de células tubulares renales. b) Tumefacción turbia de hepatocitos. (a) (b) © 2007 Editorial Médica Panamericana, S.A de C.V. Cisfarm
  • 27.
    C2 Lesiones endiferentes niveles de organización biológica 25 (c) (a) (b) FIGURA 2-17. Esteatosis hepática. a) y b) Esteatosis en dos casos de alcoholismo crónico. El núcleo de los hepatocitos afectados está empujado a la periferia de la célula. c) Esteatosis aguda del embarazo, en la que la grasa no desplaza el núcleo del hepatocito. © 2007 Editorial Médica Panamericana, S.A de C.V. Cisfarm
  • 28.
    26 Patología general FIGURA2-18. Estadio 3 de la reacción inespecífica celular a la agresión, con dilatación mitocondrial y pérdida parcial de cristas y contenido. © 2007 Editorial Médica Panamericana, S.A de C.V. Cisfarm
  • 29.
    C2 Lesiones endiferentes niveles de organización biológica 27 FIGURA 2-19. Las dos formas conocidas de muerte celular. El esquema muestra las principales diferencias morfológicas que distinguen a los dos procesos, el momento en la instalación de la necrosis, y las consecuencias de cada uno de ellos. (Tomado de Majno G. Joris I. Am. J. Pathol 146:3, 1995.) ONCOSIS vesiculación APOPTOSIS pseudopodos 2A 2B 2C 1A 1B 1C Fagocitosis Inflamación Fagocitosis por macófagos o células vecinas NECROSIS © 2007 Editorial Médica Panamericana, S.A de C.V. Cisfarm
  • 30.
    28 Patología general FIGURA2-20. Hiperplasia nodular de la próstata, con estenosis de la uretra prostática. © 2007 Editorial Médica Panamericana, S.A de C.V. Cisfarm
  • 31.
    C2 Lesiones endiferentes niveles de organización biológica 29 FIGURA 2-21. Atrofia intestinal. a) Vellosidad intestinal normal. b) Vellosidad intestinal atrófica, en caso de sprue. (b) (a) © 2007 Editorial Médica Panamericana, S.A de C.V. Cisfarm
  • 32.
    30 Patología general FIGURA2-22. Metaplasia intestinal. Las glándulas del colon (izquierda) se transforman en glándulas con aspecto de intestino delgado (derecha). © 2007 Editorial Médica Panamericana, S.A de C.V. Cisfarm
  • 33.
    C2 Lesiones endiferentes niveles de organización biológica 31 CAMBIOS ESTRUCTURALES CAMBIOS EN LA REGULACIÓN Congénita Hemoglobinopatías Talasanemias Anemia de células faciformes y otras α-talasanemia variedades (casi 200) β-talasanemia Adquirida Metahemoglobinemia Anemia aplástica y otras intoxicaciones TABLA 2-1 Patología molecular de la Hb TIPO SUBUNIDADES DISTRIBUCIÓN EN TEJIDOS Colágenas fibrilares I α1(I), α2(I) Piel, huesos, tendón, dentina II α1(II) Cartílago hialino, cuerpo vítreo III α1(III) Piel, vasos V α1(V), α2(V), α3(V) Incierto; asociado con tipos I y III XI α1(XI), α2(XI), α3(XI) Cartílago hialino Colágenos no fibrilares IV α1(IV), α2(IV) Membranas basales VI α1(VI), α2(VI), α2(VI) Vasos, piel, discos intervertebrales VII α1(VII) Unión dermoepidérmica VIII α1(VIII), α2(VIII) Membrana de Descemet IX α1(IX), α2(IX), α2(IX) Cartílago hialino, humor vítreo X α1(X) Cartílago hipertrófico XII α1(XII) Piel y tendón embrionarios XIII α1(XIII) Células endoteliales XIV α1(XIV) Piel y tendón embrionarios XV a XIX ya identificadas, pero todavía no suficientemente caracterizadas TABLA 2-2 La familia de las moléculas de colágena (1996) CAMBIOS ESTRUCTURALES CAMBIOS EN LA REGULACIÓN Genético Deficiencia de hidroxilasa Osteogénesis imperfecta Dermatosparaxis Epidermólisis bulosa Defecto en ratones moteados Mo Adquirido Escorbuto Fibrosis (retroperitoneal, perivascular, otras) Latirismo Esclerodermia Deficiencia de Cu+ Artritis reumatoide, otras artritis Penicilamina Enfermedad de Paget ósea Homocistinuria Efecto del alcohol en hígado Hidralazina TABLA 2-3 Patología molecular de la colágena CAMBIOS ESTRUCTURALES CAMBIOS EN LA REGULACIÓN Genética Hereditaria Cadenas H (γ, α, μ) Inmunodeficiencias congénitas Somática Cadenas L (κ, λ) Distrofia miotónica Gamopatías policlonales Gamopatías monoclonales Agammaglobulinemia adquirida Adquirida Amiloidosis Timoma con agammaglobulinemia Primaria Inmunodepresión Otros tipos Radiación Yatrógena TABLA 2-4 Patología molecular de las Ig © 2007 Editorial Médica Panamericana, S.A de C.V. Cisfarm
  • 34.
    32 Patología general TIPODE ALTERACIÓN EJEMPLO I. Trastornos funcionales 1. Transporte Aminoácidos Glicinuria, cistinuria Carbohidratos Glucosuria renal Fosfatos Raquitismo resistente Combinados Síndrome de Fanconi 2. Compartamentalización No definidos 3. Receptores hormonales Diabetes insípida renal 4. Comunicación Neoplasia II. Trastornos estructurales 1. Estructura trilaminar Engrosamiento Contacto con parásitos Perforación Lisis por C 2. Glicocálix Engrosamiento Neoplasias 3. Uniones laxas Neoplasias TABLA 2-5 Patología de las membranas TIPO DE ALTERACIÓN EJEMPLO I. Trastornos estructurales 1. Aumento de tamaño o número Megamitocondrias Alcohol etílico, cuprizone Tumefacción Anoxia, intoxicación por CN- Hiperplasia Oncocitoma, hipertiroidismo 2. Cambios en las membranas Aflatoxina, 2-4 dinitrofenol 3. Cambios en la matriz Aumento en la densidad Carcinógenos Disminución en la densidad Anoxia, tóxicos Cristales Anticonceptivos II. Trastornos estructurales con alteración funcional 1. Síndrome hipermetabólico 2. Sustancias metabólicas Emetina 3. Corticosteroides Triamcinolona, dexametasona 4. Miopatías poco frecuentes Megaconial; pleioconial TABLA 2-6 Patología de las mitocondrias © 2007 Editorial Médica Panamericana, S.A de C.V. Cisfarm
  • 35.
    C2 Lesiones endiferentes niveles de organización biológica 33 TIPO DE ALTERACIÓN EJEMPLO I. Retículo endoplásmico rugoso 1. Trastornos estructurales y funcionales Hiperplasia Regeneración hepática; drogas Atrofia Desnutrición Cocleosomas Intoxicación con α-NIT Desgranulación Etionina; escorbuto Dilatación Isquemia; intoxicaciones Fragmentación y vesiculación Intoxicaciones; necrosis II. Retículo endoplásmico liso 1. Trastornos estructurales y funcionales Hiperplasia Fenobarbital y otras drogas Dilatación Intoxicaciones; necrosis Agregados tubulares Intoxicaciones TABLA 2-8 Patología de retículo endoplásmico TIPO DE ALTERACIÓN ENZIMA AFECTADA I. Con deficiencia funcional 1. Defectos en la fagocitosis Enfermedad crónica granulomatosa Oxidasa de NAD; H2O2 Síndrome de Chediak-Higashi Proteasas 2. Anomalías enzimáticas Glicogenosis tipo II (Pompe) α-1, 4-glicosidasa Síndrome de Hurler α-L-iduronidasa Gangliosidosis GM1 y GM2 N-acetil-β-hexosaminidasa Enfermedad de Fabry α-galactosidasa Enfermedad de Gaucher Glucocerebrosidasa Enfermedad de Krabbé Galactocerebrosidasa Leucodistrofia metacromática Arilsulfatasa A Enfermedad de Niemann-Pick Esfingomielinasa Enfermedad de Farber Ceramidasa ácida II. Trastornos estructurales con 1. Inflamación Proteínas catiónicas 2. Fenómeno de Arthus Múltiple 3. Gota Múltiple 4. Artritis reumatoide Colagenasa, proteasas TABLA 2-7 Patología de los lisosomas © 2007 Editorial Médica Panamericana, S.A de C.V. Cisfarm
  • 36.
    34 Patología general I.Procesos degenerativos Otros nombres 1. Reversibles Reacción celular a la agresión (estadios I y II) Tumefacción turbia Esteatosis Degeneración vacuolar Infiltración glucogénica Degeneración grasa Degeneración hialina Paratrofia glucogénica Degeneración mucoide Atrocitosis; otros Células en “anillo de sello” 2. Irreversibles Reacción celular a la agresión (estadios III y IV) Degeneración hidrópica; otros Degeneración hialina Necrobiosis; otros Muerte celular Necrosis; apoptosis; otros II Enfermedades celulares Mecanismos; tipos 1. De la continuidad biológica Patología del ADN Mutaciones; defectos en la reparación de ADN Patología de los genes Enfermedades genéticas Patología de los cromosomas Turner; Klinefelter; otros 2. Del crecimiento celular Patología de la regeneración Hiperplasia, hipertrofia Patología de la renovación Aplasia, atrofia 3. De la diferenciación Anaplasia Proliferación; neoplasia Metaplasia Inflamación; hormonas Displasia Epitelios polarizados 4. De la integración tisular Transformación neoplástica Tumores TABLA 2-9 Patología celular © 2007 Editorial Médica Panamericana, S.A de C.V. Cisfarm
  • 37.
    C2 Lesiones endiferentes niveles de organización biológica 35 LIGADAS AL SEXO DOMINANTES EJEMPLO Distrofia muscular Acondroplasia Retinitis pigmentosa Agammaglobulinemia Poliposis intestinal Ataxia de Friederich Diabetes insípida renal Esclerosis intestinal Amiotonía congénita Enfermedad de Fabry Osteogénesis imperfecta Riñón poliquístico Hemofilia Feocromocitoma Síndrome de Fanconi Ictiosis vulgar Retinoblastoma Disautonomía Microftalmía Polidactilia Sordomudez Albinismo ocular Catarata congénita Seudoxantoma elástico Síndrome de Hurler Corea de Huntington Fibroelastosis endocárdica Hipofosfatemia Neurofibromatosis Mucoviscidosis TABLA 2-10 Algunas enfermedades hereditarias Formación de clonas a partir de pocas células Menor requerimiento de suero para multiplicarse Ausencia de inhibición por contacto ni de movimiento ni de multiplicación Potencial ilimitado de multiplicación (“inmortalidad”) Mayor producción de ácido láctico Anomalías cromosómicas frecuentes Expresión de nuevos antígenos en membranas TABLA 2-11 Algunas propiedades de las células transformadas in vitro © 2007 Editorial Médica Panamericana, S.A de C.V. Cisfarm
  • 38.
    © 2007 EditorialMédica Panamericana, S.A de C.V. Cisfarm
  • 39.
    3 Patología general dela inflamación Patología general de la inflamación Ruy Pérez Tamayo FIGURA 3-1. John Hunter (1728-1793). © 2007 Editorial Médica Panamericana, S.A de C.V. Cisfarm
  • 40.
    38 Patología general FIGURA3-2. Demostración de dos poros formados por la separación de las células endoteliales (flechas) de un capilar. La luz está llena de eritrocitos y dos de ellos se insinúan entre los poros. (Cortesía del Dr. Guido Majno.) © 2007 Editorial Médica Panamericana, S.A de C.V. Cisfarm
  • 41.
    C3 Patología generalde la inflamación 39 FIGURA 3-3. Inversión del flujo circulatorio. a) Los eritrocitos ocupan el centro de la luz de los vasos dilatados, mientras que los leucocitos están marginados a lo largo de la pared. b) Mayor aumento de una vénula, en donde la marginación leucocitaria es aparente y algunos leucocitos (arriba) empiezan a atravesar la pared. (a) (b) © 2007 Editorial Médica Panamericana, S.A de C.V. Cisfarm
  • 42.
    40 Patología general FIGURA3-4. Ultrastructura de la diapédesis en la pared de una vénula. La célula 1 es un polimorfonuclear que atraviesa el endotelio para ponerse en contacto con una célula peritelial (PC); en el espacio perivascular hay un eritrocito (R). La célula 2 es un polimorfonuclear adherido al endotelio (E) y la célula 3 ya se encuentra en el tejido conjuntivo. (Tomado de Marchesi VT, Florey HW: Quart J Expo Physiol 45:343, 1960.) © 2007 Editorial Médica Panamericana, S.A de C.V. Cisfarm
  • 43.
    C3 Patología generalde la inflamación 41 FIGURA 3-5. Eritrocito entre dos células endoteliales (E) en migración hacia el espacio estravascular (X). En la luz (L) del pequeño vaso se observan algunas plaquetas (PL). (Cortesía del Dr. Ramzi Cotran.) © 2007 Editorial Médica Panamericana, S.A de C.V. Cisfarm
  • 44.
    42 Patología general FIGURA3-6. Diagrama de los distintos factores que contribuyen a la acumu- lación del exudado en la inflamación aguda. AGRESIÓN Liberación de metabolitos (histamina, serotonina, etcétera) Reflejo axónico Dilatación arteriolar Dilatación capilar Efecto directo sobre la pared capilar Aumento de la permeabilidad capilar Retardo circulatorio con hipertensión venular Aumento de la presión hidrostática capilar Aumento de la viscosidad de la sangre Pasaje del líquido al espacio intersticial © 2007 Editorial Médica Panamericana, S.A de C.V. Cisfarm
  • 45.
    C3 Patología generalde la inflamación 43 FIGURA 3-7. Células de la inflamación aguda. a) Leucocitos polimorfonuclea- res rodeando un gránulo actinomicósico. b) Células mononucleares: linfocitos, monolitos y células plasmáticas. (a) (b) © 2007 Editorial Médica Panamericana, S.A de C.V. Cisfarm
  • 46.
    44 Patología general FIGURA3-8. La fagocitosis según Metchnikoff. Bacilo del carbunco coloreado con vesu- vina en el citoplasma de un leucocito de rana. Las dos figuras representan dos fases del movimiento de la misma célula. © 2007 Editorial Médica Panamericana, S.A de C.V. Cisfarm
  • 47.
    C3 Patología generalde la inflamación 45 FIGURA 3-9. Tipos anatómicos de exudados inflamatorios. a) Peritonitis tuberculosa miliar. b) Exudado necrótico en un absceso hepático amibiano. c) Exudado fibrinoso en una peri- carditis urémica. (a) (b) (c) © 2007 Editorial Médica Panamericana, S.A de C.V. Cisfarm
  • 48.
    46 Patología general FIGURA3-10. Células en inflamaciones crónicas. a) Histiocitos en lepra Lepromatosa. b) Células epitelioides en sarcoidosis de Boeck. c) Macrófagos en xantogranulomatosis. d) Células gigantes en clonorquiasis. (a) (b) (c) (d) © 2007 Editorial Médica Panamericana, S.A de C.V. Cisfarm
  • 49.
    C3 Patología generalde la inflamación 47 Aumento de los flujos de Na+, y Ca++ a través de la membrana Aumento de la poza intracelular de Ca++ intercambiable Liberación del Ca++ unido a la membrana Activación de la ATPasa de Na+ y K+ Aumento de los pliegues de la membrana y formación de pseudópodos Despolarización de la membrana Tumefacción celular Activación de la proesterasa I Aumento en la formación de microtúbulos Aumento de glucólisis y producción de anión superóxido Aumento de adhesividad de la membrana Agregación celular Marginación endotelial Neutropenia y neutrofilia Aumento de la quimiocinesis Quimiotaxis Acumulación en los tejidos Inhibición o aumento en la fagocitosis Desgranulación TABLA 3-1 Cambios inducidos en los leucocitos neutrófilos por agentes quimiotácticos FENÓMENO MEDIADORES Aumento en permeabilidad vascular Plasma Cininas (bradicinna, otras) Plasmina Factor de Hageman Complemento (C33a, C5a) Fibrinopéptidos Células y tejidos: Histamina 5-hidroxitriptamina PAF Prostaglandinas Tromboxanos Leukotrienos (B4) Proteínas catiónicas (lisosomas) Interleucinas (TNF, TNF) Sustancia P Neurotensina LNPF Leucocitos VPF/VGF Cambios en comportamiento celular Plasma Calicreína Plasmina Complemento (C3r, C5r, C567) Coagulación (fibrinopéptido B4) Células y tejidos Secretinas (L, E y P) Adhesinas Integrinas (ICAM-1, VCAM-1) PECAM (CD31) Quimiocinas (>20 tipos; IL-8) Daño celular y tisular Complejo C5-C9 (MAC) Coagulación Proteasas (lisosomas) Óxido nítrico Radicales libres de O2 TABLA 3-2 Algunos mediadores químicos de la inflamación © 2007 Editorial Médica Panamericana, S.A de C.V. Cisfarm
  • 50.
    48 Patología general AGUDACRÓNICA Cambios vasculares Muy aparentes; reactivos Poco aparentes; proliferativos Tipos celulares Leucocitos neutrófilos, pocos Macrófagos, linfocitos, células linfocitos y macrófagos plasmáticas, epiteloides y gigantes Cambios extracelulares Exudado; daño tisular agudo Organización del exudado; coexistencia de daño tisular y cicatrización Mediadores químicos Plasmáticos, aminas vasoactivas, Todos los de la aguda más varias lípidos ácidos, lisosomas citocinas Resultado del proceso Identificación, neutralización Daño tisular mediado por las células y eliminación del agente inflamatorias; prevalencia de la causal y de las células y otros respuesta inmune en la morfología alterados de la lesión TABLA 3-3 Diferencias entre inflamación aguda y crónica © 2007 Editorial Médica Panamericana, S.A de C.V. Cisfarm
  • 51.
    4 Reparaciónyregeneración Reparaciónyregeneración Ruy Pérez Tamayo FIGURA4-1. Evolución morfológica de los fibroblastos durante la cicatrización. a) Fibroblastos jóvenes con mitosis en una herida de 24 horas. b) Polarización de los fibroblastos en una herida de 3 días. c) Fibroblastos “inactivos” en una cicatriz de 10 días. (b) (c) (a) © 2007 Editorial Médica Panamericana, S.A de C.V. Cisfarm
  • 52.
    50 Patología general FIGURA4-2. Neoformación vascular en tejido de granulación. Muchos de los vasos neoformados todavía no tienen luz. © 2007 Editorial Médica Panamericana, S.A de C.V. Cisfarm
  • 53.
    C4 Reparación yregeneración 51 FIGURA 4-3. Úlcera por estasis crónica en un paciente con insuficiencia venosa de las extremidades inferiores. © 2007 Editorial Médica Panamericana, S.A de C.V. Cisfarm
  • 54.
    52 Patología general FIGURA4-4. Cicatriz queloide. a) Aspecto macroscópico de cicatrices queloides en la cara anterior del tórax. b) Histología de una cicatriz queloide, con fascículos anchos y hialinizados de colágena. (b) (a) © 2007 Editorial Médica Panamericana, S.A de C.V. Cisfarm
  • 55.
    C4 Reparación yregeneración 53 (a) (b) FIGURA 4-5. Fibrosis del miocardio. a) Zona de infarto reciente. b) Cicatrización antigua del miocardio. © 2007 Editorial Médica Panamericana, S.A de C.V. Cisfarm
  • 56.
    54 Patología general FIGURA4-6. Estenosis cicatricial antigua de la válvula mitral en la fiebre reumática crónica. © 2007 Editorial Médica Panamericana, S.A de C.V. Cisfarm
  • 57.
    C4 Reparación yregeneración 55 FIGURA 4-7. Cirrosis hepática. a) Aspecto macroscópico del hígado, con sustitución de su arquitectura normal por múltiples nódulos de regeneración parenquimatosa de distintos tamaños. b) Los nódulos están separados por bandas irregulares de tejido fibroso. (a) (b) © 2007 Editorial Médica Panamericana, S.A de C.V. Cisfarm
  • 58.
    56 Patología general FIGURA4-8. Fibrosis pulmonar intralveolar. Exudado inflamatorio intraveolar organizado en forma de tejido fibroso. © 2007 Editorial Médica Panamericana, S.A de C.V. Cisfarm
  • 59.
    C4 Reparación yregeneración 57 FIGURA 4-9. Fibrosis pulmonar intersticial difusa. a) Pulmones hiperextensos con lesiones microquísticas múltiples. b) Engrosamiento generalizado de los tabiques alveolares. (a) (b) © 2007 Editorial Médica Panamericana, S.A de C.V. Cisfarm
  • 60.
    58 Patología general FIGURA4-10. Ultraestructura del miofibroblasto. En la parte inferior aparece parte del citoplasma de un miofibroblasto. La presencia de fascículos de microfibrillas paralelas asociadas con cuerpos densos es clara. En la parte superior hay parte de un fibroblasto ortodoxo para comparar su ultraestructura. (Cortesía del Dr. Guido Majno.) © 2007 Editorial Médica Panamericana, S.A de C.V. Cisfarm
  • 61.
    C4 Reparación yregeneración 59 FIGURA 4-11. Borde de una úlcera péptica gástrica con regeneración redundante de la mucosa. © 2007 Editorial Médica Panamericana, S.A de C.V. Cisfarm
  • 62.
    60 Patología general FACTORDE CRECIMIENTO ORIGEN CÉLULA BLANCO Y EFECTO EGF Plaquetas Queratinocito motógeno y mitógeno TGF-α Macrófagos, queratinocitos Queratinocito motógeno y mitógeno HB-EGF Macrófagos Queratinocito y fibroblasto mitógeno FGFS 1, 2 y 4 Macrófagos y endotelio dañado Fibroblasto angiogénico y mitógeno FGF7(KGF) Fibroblasto dérmico Queratinocito motógeno y mitógeno PDGF Plaquetas, macrófagos, queratinocitos Macrófagos, fibroblastos quimiotácticos; macrófago activador, fibroblasto mitógeno y producción de matriz IGF-1 Plaquetas; plasma Endotelio y fibroblasto mitógeno VEGF Queratinocitos; macrófagos Angiogénesis TGF-β1 y β2 Plaquetas, macrófagos Queratinocito de migración; macrófagos y fibroblastos quimiotácticos; fibroblasto, producción de matriz y remodelación TGF-β3 Macrófagos Anticicatricial CTGF Fibroblastos; endotelio Fibroblastos, regulación de TGF-β1 Activina Fibroblastos; queratinocitos Desconocida IL-1α y -β Neutrófilos Macrófagos, fibroblastos y queratinocitos; activación precoz de GF TNF-α Neutrófilos Estimulación TABLA 4-1 Mediadores de crecimiento en el lecho de la herida © 2007 Editorial Médica Panamericana, S.A de C.V. Cisfarm
  • 63.
    C4 Reparación yregeneración 61 Factores locales Tipo de agente causal de la herida Tamaño de la herida Localización de la herida Temperatura Radiación ionizante Estímulo local Infección Factores generales Edad Temperatura Luz ultravioleta Estado nutricional Proteínas (metionina) Vitamina C Infección generalizada Hormonas Corticoides ACTH Tiroxina Estrógenos Somatotrofina TABLA 4-2 Factores que influyen en la cicatrización Cicatrización deficiente Úlceras vasculares Úlcera de estasis Aterosclerosis Hipertensión arterial Vasculitis Úlceras neuropáticas Pioderma gangrenoso Úlceras multifactoriales Úlcera de decúbito Úlceras cutáneas en los diabéticos Cicatrización excesiva Queloide y cicatriz hipertrófica Fibrosis parenquimatosa Fibrosis cardiaca Fibrosis hepática Fibrosis renal Fibrosis pulmonar TABLA 4-3 Trastornos de la cicatrización © 2007 Editorial Médica Panamericana, S.A de C.V. Cisfarm
  • 64.
    © 2007 EditorialMédica Panamericana, S.A de C.V. Cisfarm
  • 65.
    5 Inmunopatología Ruy PérezTamayo Inmunopatología FIGURA 5-1. Miastenia gravis. a) Microfotografía de una placa neuromuscular en la que se ha teñido el autoanticuerpo (IgG) con un anticuerpo anti-IgG marcado con peroxidasa. b) Electromicrografía de parte de una placa neuromuscular, con el anticuerpo depositado en la membrana postsináptica, que es donde se encuentran los receptores de la acetilcolina. (Tomado de Sahashi K, y cols. Mayo Clinic Proc 52:267-280. 1977.) (b) (a) © 2007 Editorial Médica Panamericana, S.A de C.V. Cisfarm
  • 66.
    64 Patología general FIGURA5-2. Anafilaxia experimental en el cobayo. a) Aspecto macroscópico de los órganos torácicos normales; los pulmones están colapsados y retraídos detrás del corazón. b) Órganos torácicos de un cobayo muerto por choque anafiláctico; los pulmones están sobredistendidos, cubren casi toda la cara anterior del corazón y se ven muy pálidos. (a) (b) © 2007 Editorial Médica Panamericana, S.A de C.V. Cisfarm
  • 67.
    C5 Inmunopatología 65 FIGURA5-3. Histología de un pseudopólipo nasal, una forma de anafilaxia local; hay edema y densa infiltración por leucocitos polimorfonucleares eosinófilos. © 2007 Editorial Médica Panamericana, S.A de C.V. Cisfarm
  • 68.
    66 Patología general FIGURA5-4. Asma bronquial. a) Aspecto sobredistendido de los pulmones en un caso fallecido durante un ataque agudo de asma. b) Corte trasnversal de un bronquio en el caso anterior, que muestra la luz ocupada por material mucoso denso. (b) (a) © 2007 Editorial Médica Panamericana, S.A de C.V. Cisfarm
  • 69.
    C5 Inmunopatología 67 FIGURA5-5. Efecto de un anticuerpo específico en presencia de C. a) Ultraestructura de un macrófago peritoneal de rata normal. b) a los 10 minutos de haber sido expuesto a un anticuerpo antimacrófago +C, el citoplasma está vacío y el núcleo está picnótico. (b) (a) © 2007 Editorial Médica Panamericana, S.A de C.V. Cisfarm
  • 70.
    68 Patología general FIGURA5-6. Estructura teórica del MAC, según la hipótesis de la dona de Mayer. (Tomado de Klein J. Immunology. The science of self-nonself discrimination. Nueva York, John Wiley & Sons. 1982.) Canal a través de la membrana Micela Canal a través de la membrana Bicapa lipídica Glucocáliz Complejo de ataque de la membrana © 2007 Editorial Médica Panamericana, S.A de C.V. Cisfarm
  • 71.
    C5 Inmunopatología 69 FIGURA5-7. Vasculitis en el fenómeno de Arthus. a) La mitad inferior de la pared de la vena es normal, mientras que la superior está destruida por el depósito de complejos inmunes e invasión por leucocitos polimorfonucleares. b) Depósito de fibrina en la pared vascular. (a) (b) © 2007 Editorial Médica Panamericana, S.A de C.V. Cisfarm
  • 72.
    70 Patología general FIGURA5-8. Vasculitis de hipersensibilidad. a) Arteritis en tejido celular, con engro- samiento de la pared y fibrosis perivascular. b) Arteritis aguda necrosante, con des- trucción de toda la pared e infiltración de fibrina en la íntima. (a) (b) © 2007 Editorial Médica Panamericana, S.A de C.V. Cisfarm
  • 73.
    C5 Inmunopatología 71 (a)(b) FIGURA 5-9. Histología del pénfigo vulgar. a) y b), vesículas intraepiteliales con células de Tzanck. (Cortesía del Dr. Jorge Fernández Díez.) © 2007 Editorial Médica Panamericana, S.A de C.V. Cisfarm
  • 74.
    72 Patología general FIGURA5-10. Histología de la reacción a la tuberculina, producida en un animal experimental (gallina). Las vénulas subcutáneas están rodeadas por manguitos de células mononuclea- res. © 2007 Editorial Médica Panamericana, S.A de C.V. Cisfarm
  • 75.
    C5 Inmunopatología 73 FIGURA5-11. Diversos aspectos de la histología de la dermatitis por contacto. a) y b), formación de vesículas intraepiteliales en ausencia de infiltrado inflamatorio, c) hiperqueratosis, un acompañante habitual de esta forma de dermatitis, d) las células basales epiteliales permanecen adheridas a las papilas; e) los anexos de la piel también están afectados. (a) (b) (c) (d) (e) © 2007 Editorial Médica Panamericana, S.A de C.V. Cisfarm
  • 76.
    74 Patología general FIGURA5-12. Infiltrado inflamatorio perivascular en un caso de polimiositis. © 2007 Editorial Médica Panamericana, S.A de C.V. Cisfarm
  • 77.
    C5 Inmunopatología 75 FIGURA5-13. Glomerulonefritis en el lupus eritematoso diseminado. a) Glomérulo con engrosamientos focales hialinos de la pared capilar (“asa de alambre”) y proliferación focal de células mesangioendoteliales. b) Depósito de C en la pared de las asas capilares glomerulares. c) Electromicrografía de parte de una asa capilar glomerular, con depósito de complejos inmunes en el seno de la membrana basal. (a) (c) (b) © 2007 Editorial Médica Panamericana, S.A de C.V. Cisfarm
  • 78.
    76 Patología general FIGURA5-14. Rechazo de aloinjertos. a) Infiltrado inflamatorio perivascular en el rechazo de un aloinjerto pulmonar en el perro. b) Lesión obliterante vascular en el rechazo crónico de un aloinjerto renal humano. (a) (b) © 2007 Editorial Médica Panamericana, S.A de C.V. Cisfarm
  • 79.
    C5 Inmunopatología 77 Mediadospor anticuerpos Tipo I Mediado por IgE (a veces IgG), antígeno soluble, activación de células cebadas con liberación de aminas vasoactivas (anafilaxia, rinitis alérgica, asma bronquial) Tipo II Mediado por IgM e IgG, antígeno insoluble (a veces receptores), activación del C con formación de MAC (alergia a drogas, anemia hemolítica autoinmune, miastenia gravis) Tipo III Mediado por IgM e IgG, antígeno soluble, activación del C, formación de complejos Ag-Ac (enfermedad del suero, glomerulonefritis, lupus eritematoso) Mediado por células Tipo IV Mediado por células T, antígeno soluble o asociado a células, activación de macrófagos, citotoxicidad (dermatitis por contacto, rechazo de injertos) TABLA 5-1 Clasificación de Coombs y Gell de los mecanismos inmunopatológicos Enfermedad del suero Glomerulonefritis posestreptocócica Otras glomerulonefritis posinfecciosas Endocarditis bacteriana Válvulas ventriculares Sífilis Hepatitis por virus B Paludismo Lupus eritematoso sistémico Artritis reumatoide Crioglobulinemia Vasculitis Poliarteritis nodosa Fenómeno de Lucio en la lepra Vasculitis leucocitoclástica Púrpura anafilactoide Tiroiditis crónica Dengue Panencefalitis esclerosante subaguda TABLA 5-3 Algunas enfermedades producidas por complejos inmunes Mediados por anticuerpos 1. Inactivación o estimulación de moléculas biológicamente activas 2. Anafilaxia 3. Citotoxicidad 4. Complejos inmunes 5. Penetración de Ac al núcleo celular Mediados por células 6. Células T citotóxicas 7. Células NK 8. Macrófagos activados Mediados por anticuerpos + células 9. Citotoxicidad celular mediada por anticuerpo 10. Rechazo de injertos 11. Autoinmunidad 12. Inmunidad a las neoplasias TABLA 5-2 Clasificación de los mecanismos inmunopatológicos © 2007 Editorial Médica Panamericana, S.A de C.V. Cisfarm
  • 80.
    78 Patología general NOMBRERECEPTOR EFECTOS IL-1 CDw121a Fiebre, activación de Mo y de linfocitos T IL-2 CD25 (α); CD122 (β) Estimula proliferación de células T IL-3 CD123 Estimula hemopoiesis (CSF) IL-4 CD124 Activa células B; estimula cambio a IgE IL-5 CD125 Estimula eosinófilos IL-6 CD126; CDw130 Estimula células T y B; proteínas de fase aguda IL-7 CDw127 Estimula células pre-B y pre-T IL-8 CDw128 Quimiotáctico para neutrófilos y células T IL-9 IL-9R Estimula células cebadas IL-10 Suprime actividad de macrófagos IL-11 IL-11R; CDw130 Estimula hemopoiesis con IL-3 e IL-4 IL-12 Activa células NK; estimula células Th1 IL-13 IL-13R Estimula células B; inhibe macrófagos G-CSF G-CSFR Estimula desarrollo de neutrófilos GM-CSF CDw116 Estimula desarrollo de mielomonocitos IFN-γ CD119 Activa macrófagos; aumenta expresión de MHC IFN-α CD118 Antiviral; aumenta expresión de MHC clase I IFN-β CD118 Antiviral; aumenta expresión de MHC clase I TNF-α p55; p75; CD120 Inflamación local; activa endotelio TNF-β p55; p75; CD120 Citotóxico; activa endotelio MCP-1 Quimiotáctico para macrófagos RANTES Quimiotáctico para monocitos, eosinófilos y células T TGF-β Inhibe inflamación y crecimiento celular MIF Inhibe migración de macrófagos TABLA 5-4 Algunas citocinas, sus receptores y sus efectos Encefalomielitis autoinmune Neuritis autoinmune Tiroiditis autoinmune Orquitis y epididimitis autoinmunes Carditis autoinmune Uveítis autoinmune Endoftalmitis autoinmune Anemia hemolítica autoinmune Adrenalitis autoinmune Artritis autoinmune TABLA 5-5 Algunas enfermedades autoinmunes experimentales © 2007 Editorial Médica Panamericana, S.A de C.V. Cisfarm
  • 81.
    C5 Inmunopatología 79 Deficienciasde anticuerpos (o de células B) Hipogammaglobulinemia ligada al sexo Hipogammaglobulinemia transitoria de la infancia Inmunodeficiencia común variable Inmunodeficiencia con hiper-IgM Deficiencia selectiva de IgA Deficiencia selectiva de IgM Deficiencia selectiva de subclases de IgG Deficiencia secundaria de células B asociada con drogas o pérdida de proteínas Deficiencia de 5-nucleotidasa Deficiencias de células T Síndrome de Di George Candidiasis mucocutánea crónica Deficiencia de nucleósido fosforilasa Deficiencias combinadas de células B y células T Deficiencia combinada grave (autosómica recesiva, ligada al sexo o esporádica) Síndrome de Nezelof Ataxia telangiectasia Síndrome de Wiskott-Aldrich Timoma Enanismo de extremidades cortas Deficiencia de adenosina desaminasa Síndrome de Kretschmer Enfermedad de injerto versus huésped Deficiencias fagocíticas Enfermedad granulomatosa crónica Deficiencia de glucosa-6-fosfato deshidrogenasa Deficiencia de mieloperoxidasa Síndrome de Chediak-Higashi Síndrome de Job Deficiencia de tuftsina Síndrome del “leucocito perezoso” IgE elevada, eccema, quimiotaxis deficiente e infecciones recurrentes TABLA 5-6 Clasificación de las inmunodeficiencias Deficiencias de C Deficiencia de C1, C1r y C1s Deficiencia de C2 Deficiencia de C3 (tipo I, tipo II) Deficiencia de C4 Deficiencia de C5 Deficiencia de C6 Deficiencia de C7 Deficiencia de C8 Deficiencia de C9 TABLA 5-6 Continuación © 2007 Editorial Médica Panamericana, S.A de C.V. Cisfarm
  • 82.
    © 2007 EditorialMédica Panamericana, S.A de C.V. Cisfarm
  • 83.
    6 Patología de lasenfermedades infecciosas Patología de las enfermedades infecciosas Ruy Pérez Tamayo Cecilia Ridaura Sanz FIGURA 6-1. Ultraestructura de los macrófagos en la rata. a) Macrófago peritoneal. b) Macrófago alveolar. (b) (a) © 2007 Editorial Médica Panamericana, S.A de C.V. Cisfarm
  • 84.
    82 Patología general Vacuolafagocítica Haluro MPO Halogenación de proteínas (microbicida) NADPH Receptores de membrana O2 H+ O2 H2 H O 2O H2O2 NADP 2GSH GSSG NADPH NADP Oxidasa SOD MPO Catalasa GSH - PO GSSG - RED HMS G - 6 - PD G - 6 - P Pentosa + CO2 HMS 7 1 4 2 3 5 6 7 O2 H2O2 Desgranulación FIGURA 6-2. Principales vías metabólicas del oxí- geno en leucocitos polimorfonucleares durante la explosión respiratoria. 1) Después del estímulo en la membrana el oxígeno molecular (O2) experimenta la reducción de un solo electrón a superóxido (O2 −), reacción catalizada por una oxidasa que utiliza pre- ferentemente NADPH como sustrato. 2) el O2 − es reducido más aún por dismutación espontánea a peróxido de hidrógeno (H2O2). 3) La mieloperoxidasa (MPO) penetra en las vacuolas fagocíticas donde puede catalizar reacciones microbicidas utilizando como sustrato H2O2 e iones haluro; estas reacciones pueden conducir a la halogenación de proteínas celu- lares y bacterianas. 4) El O2 que escapa de la vacuola fagocítica es reducido a peróxido (H2O2) con mayor velocidad por la enzima superóxido dismutasa (SOD). 5) El H2O2 es reducido por la catalasa a O2 + H2O. 6) La enzima glutatión peroxidasa cataliza la oxidación del GSH por H2O2; la glutatión reductasa (GSH- RED) utiliza el NADPH generado por oxidación de la glucosa en el “shunt” de los monofosfato de hexosas (HMS). (Tomado de Root RK, Cohen MS. Rev Infect Dis 3:565. 1981.) © 2007 Editorial Médica Panamericana, S.A de C.V. Cisfarm
  • 85.
    C6 Patología delas enfermedades infecciosas 83 FIGURA 6-3. Penetración del epitelio superficial del ciego del cobayo por dos trofozoítos de Entamoeba histolytica. (Cortesía del Dr. Adolfo Martínez Palomo.) © 2007 Editorial Médica Panamericana, S.A de C.V. Cisfarm
  • 86.
    84 Patología general FIGURA6-4. Esquema de la estructura del lipopolisacárido con sus tres regiones principales: lípido A, núcleos y antígeno “O”. Nótese la posición clave del KDO (2-ceto-3-desoxioctonato) como eslabón entre el lípido A y los polisacáridos. El KDO está unido por un enlace cetoácido a residuos de glucosamina del lípido A. (Tomado de Braude Al y cols. Microbiología clínica. Buenos Aires. Editorial Médica Panamericana. 1984.) KDO Lípido A Núcleo interior Núcleo exterior Polisacárido del núcleo Unidades repetitivas de cadenas laterales antigénicas “()” © 2007 Editorial Médica Panamericana, S.A de C.V. Cisfarm
  • 87.
    C6 Patología delas enfermedades infecciosas 85 FIGURA 6-5. Glomérulos de un paciente fallecido con coa- gulación vascular diseminada; numerosos capilares están obstruidos por trombos de fibrina. © 2007 Editorial Médica Panamericana, S.A de C.V. Cisfarm
  • 88.
    86 Patología general FIGURA6-6. a)Cortehistológicoconneumoníanecrosanteconcoloniasbacterianas porStaphylococcusHElOX.b)Coloniasbacterianasdecocosgrampositivos.Tinciónde Gram 40x. (b) (a) © 2007 Editorial Médica Panamericana, S.A de C.V. Cisfarm
  • 89.
    C6 Patología delas enfermedades infecciosas 87 FIGURA 6-7. a) Abscesos miocárdicos. b) Pericarditis purulenta. Ambos son producidos por infección sisté- mica por Staphylococcus aureus. (a) (b) © 2007 Editorial Médica Panamericana, S.A de C.V. Cisfarm
  • 90.
    88 Patología general FIGURA6-8. Meningitis aguda purulenta por neumococo. Espacio subaracnoideo ocupado por exudado con trombosis de las venas cerebrales corticales. © 2007 Editorial Médica Panamericana, S.A de C.V. Cisfarm
  • 91.
    C6 Patología delas enfermedades infecciosas 89 FIGURA 6-9. a) Neumonía por Klebsiella pneumoniae que muestra polimorfonu- cleares y macrófagos en el interior de un alveolo, rodeados por un material mucoide basófilo. HE 40x. b) Mismo corte teñido con tinción de Warthin Starry que muestra bacilos intracelulares. WS 40x. (b) (a) © 2007 Editorial Médica Panamericana, S.A de C.V. Cisfarm
  • 92.
    90 Patología general FIGURA6-10. Escleroma. a) Laringe abierta por su cara posterior con la mucosa despulida y ulcerada. b) Aspecto microscópico con hiperpla- sia epitelial e infiltrado inflamatorio en la submucosa con linfocitos y células plasmáticas. c) Tinción de Warthin Starry que muestra células vacuoladas con bacilos cortos y anchos en el interior y alrededor de las mismas. (b) (c) (a) © 2007 Editorial Médica Panamericana, S.A de C.V. Cisfarm
  • 93.
    C6 Patología delas enfermedades infecciosas 91 FIGURA 6-11. Pseudomonas aeruginosa. a) Mucosa intestinal con úlceras bien cir- cunscritas con un centro necrótico rodeadas por un halo hemorrágico. b) Vasculitis necrosante con destrucción de la pared y numerosos bacilos gramnegativos (rojos). Tinción de Gram 40x. (b) (a) © 2007 Editorial Médica Panamericana, S.A de C.V. Cisfarm
  • 94.
    92 Patología general FIGURA6-12. a) Lesión gomosa en el parénquima pulmonar en un caso de sífilis neonatal. b) Neumonía luética en un caso de sífilis congénita con infiltrados nodulares de linfocitos y células plasmáticas. (b) (a) © 2007 Editorial Médica Panamericana, S.A de C.V. Cisfarm
  • 95.
    C6 Patología delas enfermedades infecciosas 93 FIGURA 6-13. Granuloma tuberculoso con necrosis central rodeada de células epiteloides en empalizada y células gigantes multinucleadas. © 2007 Editorial Médica Panamericana, S.A de C.V. Cisfarm
  • 96.
    94 Patología general FIGURA6-14. Tuberculosis. a) Tuberculosis pulmonar primaria progresiva con lesión destructiva de aspecto caseoso en el parénquima del pulmón derecho y en los ganglios peritraqueales. b) Mal de Pott. Destrucción de las vértebras con colapso de las mismas, deformidad de la columna y compresión medular. c) Tuberculoma en el tallo cerebral. Masa ocupativa bien delimitada de aspecto caseoso. (b) (c) (a) © 2007 Editorial Médica Panamericana, S.A de C.V. Cisfarm
  • 97.
    C6 Patología delas enfermedades infecciosas 95 (d) (f) (e) FIGURA 6-14B. d) Meningitis tuberculosa. Exudado blanquecino en la base del encéfalo rodeando y ocluyendo las cisternas basales. e) Tuberculosis intes- tinal con lesiones ulceradas en la mucosa del ileon. f) Adenitis mesentérica con necrosis caseosa. © 2007 Editorial Médica Panamericana, S.A de C.V. Cisfarm
  • 98.
    96 Patología general FIGURA6-15. Bloque visceral con hepatomegalia y esplenomegalia de un caso de tuberculosis neonatal con diseminación miliar generalizada con lesiones pequeñas nodulares en la superficie pleural en el hígado y en el bazo. © 2007 Editorial Médica Panamericana, S.A de C.V. Cisfarm
  • 99.
    C6 Patología delas enfermedades infecciosas 97 FIGURA 6-16. a) Candidiasis esofágica superficial con extensa necrosis. b) Numerosas levaduras inva- diendo el espesor de la mucosa. PASlOx. (b) (a) © 2007 Editorial Médica Panamericana, S.A de C.V. Cisfarm
  • 100.
    98 Patología general FIGURA6-17. Granuloma con fragmentos de hifas de Candida en el interior de una célula gigante en un caso de enfermedad granulomatosa de la infancia. © 2007 Editorial Médica Panamericana, S.A de C.V. Cisfarm
  • 101.
    C6 Patología delas enfermedades infecciosas 99 FIGURA 6-18. Invasión de la glándula tiroides en un caso de candidiasis sistémica invasora. © 2007 Editorial Médica Panamericana, S.A de C.V. Cisfarm
  • 102.
    100 Patología general FIGURA6-19. Hifas cortas y anchas de la infección por Mucor. © 2007 Editorial Médica Panamericana, S.A de C.V. Cisfarm
  • 103.
    C6 Patología delas enfermedades infecciosas 101 FIGURA 6-20. a) Hifas delgadas y ramificadas en ángulo agudo de Aspergillus. b) Conidióforos con la vesícula y las conidias en forma de rayos. (b) (a) © 2007 Editorial Médica Panamericana, S.A de C.V. Cisfarm
  • 104.
    102 Patología general FIGURA6-21. a) Meningitis granulomatosa por Coccidiodes inmitis. Esférulas facogitadas por células gigantes (HE). b) Tinción de Grocott que revela la cápsula positiva a la tinción de plata. (b) (a) © 2007 Editorial Médica Panamericana, S.A de C.V. Cisfarm
  • 105.
    C6 Patología delas enfermedades infecciosas 103 FIGURA 6-22. Histoplasmosis con numerosos esporas en el interior de una célula gigante. a) Tinción de PAS. b) Tinción de plata metenamina. (b) (a) © 2007 Editorial Médica Panamericana, S.A de C.V. Cisfarm
  • 106.
    104 Patología general FIGURA6-23. Criptococo teñido con azul alciano que muestra las estructuras esféricas y la cápsula con material mucoide. © 2007 Editorial Médica Panamericana, S.A de C.V. Cisfarm
  • 107.
    C6 Patología delas enfermedades infecciosas 105 FIGURA 6-24. Sarampión. a) Célula multinucleada en el epitelio bronquiolar; los núcleos contienen una inclusión eosinófila rodeada de un halo claro. b) Neumonía de células gigantes en un lactante desnutrido. c) Hepatitis con hepatocitos multinucleados con inclusiones. d) Adenitis reactiva con hiperplasia de centros germinales y policariones (células gigantes multinucleadas de Warthin Finkeldey). (c) (a) (d) (b) © 2007 Editorial Médica Panamericana, S.A de C.V. Cisfarm
  • 108.
    106 Patología general FIGURA6-25. lnfección por Herpes naricela. Célula multinucleada con inclusiones eosinófilas en el núcleo con un halo claro. © 2007 Editorial Médica Panamericana, S.A de C.V. Cisfarm
  • 109.
    C6 Patología delas enfermedades infecciosas 107 FIGURA 6-26. a) Neumonía por citomegalovirus: numerosas células que revisten alveolos están aumentadas de tamaño y tienen inclusiones basófilas intranucleares. b) Efecto citopático característico de la infección por citomegalovirus con inclusión basófila en el núcleo con un halo claro (ojo de búho) y varias inclusiones basófilas en el citoplasma. (b) (a) © 2007 Editorial Médica Panamericana, S.A de C.V. Cisfarm
  • 110.
    108 Patología general FIGURA6-27. a) Atrofia extrema del timo en un caso de SIDA pediátrico comparado con (b) un timo normal para esa edad. (b) (a) © 2007 Editorial Médica Panamericana, S.A de C.V. Cisfarm
  • 111.
    C6 Patología delas enfermedades infecciosas 109 FIGURA 6-28. Timo de un lactante con SIDA con muy escasos linfocitos y ausencia de corpúsculos de Hassall con la misma morfología que la observada en casos de inmunodeficiencias primarias con displasia tímica. Compárese con la histología normal. (a) (b) © 2007 Editorial Médica Panamericana, S.A de C.V. Cisfarm
  • 112.
    110 Patología general FIGURA6-29. a) Adenopatía del SIDA con hiperplasia de centros germinales y células binucleadas. b) Proliferación vascular de vasos pequeños y ramificados. Inmunohistoquímica con factor VIII. (b) (a) © 2007 Editorial Médica Panamericana, S.A de C.V. Cisfarm
  • 113.
    C6 Patología delas enfermedades infecciosas 111 FIGURA 6-30. Encefalitis por VIH (a) con nódulos microgliales y (b) policariones. (b) (a) © 2007 Editorial Médica Panamericana, S.A de C.V. Cisfarm
  • 114.
    112 Patología general FIGURA6-31. a) Vasculitis coronaria en un caso de SIDA que muestra necrosis fibrinoide de la pared, engrosamiento endotelial e infiltrado inflamatorio mononu- clear (tinción de Masson). b) Inserto. (b) (a) © 2007 Editorial Médica Panamericana, S.A de C.V. Cisfarm
  • 115.
    C6 Patología delas enfermedades infecciosas 113 FIGURA 6-32. a) Neumonía por Pneumocistis carinii con numerosos organismos en el interior de los alveolos sin reacción iinflamatoria. b) Tinción de PAS Metenamina de plata para apreciar los quistes aglutinados. (b) (a) © 2007 Editorial Médica Panamericana, S.A de C.V. Cisfarm
  • 116.
    114 Patología general FIGURA6-33. Linfoma de células grandes en un caso de SIDA con afección de los ganglios abdominales. © 2007 Editorial Médica Panamericana, S.A de C.V. Cisfarm
  • 117.
    C6 Patología delas enfermedades infecciosas 115 1. Mecanismos locales de defensa A. Mecánicos o físicos Desecación, temperatura, descamación celular, secreciones orgánicas (lágrimas, saliva, sudor, etc.), tos B. Bioquímicos Ácidos grasos, pH local C. Biológicos Lisozima, anticuepos (IgA), complemento, fagocitosis D. Bacterianos Competencia metabólica; sustancias antibióticas 2. Mecanismos generales de defensa A. Anticuerpos B. Sustancias humorales no específicas Complemento, B-lisina, interferón, tuftsina C. Fagocitosis Sistemas microbicidas dependientes e independientes de O2 D. Respuesta inmunológica Amplificación, aumento de la eficiencia y de la especificidad de la inflamación TABLA 6-1 Mecanismos de defensa del huésped I. Inmunidad natural A. Específica B. Inespecífica II. Inmunidad adquirida A. Específica B. Inespecífica 1. Activa a. Natural b. Artificial 2. Pasiva a. Natural (congénita) b. Artificial TABLA 6-2 Tipos de inmunidad 1. Adherencia al hospedero 2. Penetración en el hospedero 3. Condiciones adecuadas dentro del hospedero 4. Escape de los mecanismos de defensa del hospedero 5. Escape de las acciones iatrogénicas 6. Daño en el hospedero TABLA 6-3 Los seis pasos necesarios para el establecimiento de un parásito PROTEÍNAS COMPUESTOS POLIMOLECULARES Derivadas de bacterias grampositivas Antígenos O somáticos de bacterias gramnegativas Endotoxinas y exotoxinas Endotoxinas Alta toxicidad No tan tóxicos Toxicidad específica El efecto no depende del agente causal Altamente termolábiles Sensibles a bajas temperaturas Neutralizadas por anticuerpos en Parcialmente neutralizadas por anticuerpos, proporciones estoiquiométricas aun en presencia de exceso de antígeno Puede prepararse toxoide No puede prepararse toxoide TABLA 6-4 Diferencias entre los dos tipos químicos de toxinas bacterianas © 2007 Editorial Médica Panamericana, S.A de C.V. Cisfarm
  • 118.
    116 Patología general INFECCIÓNLOCAL (PRIMARIA) Puerta de entrada Piel: carbúnculo, absceso subcutáneo, celulitis, artritis y osteomielitis postcirugía o heridas profundas Ojo: infección orbitaria profunda, panoftalmitis Nariz y garganta: sinusitis, absceso periamigdalino, absceso retrofaríngeo, otitis media (raro), mastoiditis, bronquitis, neumonía abscedada, empiema Uretra: cistitis, pielonefritis (rara), absceso prostático Vagina: cervicitis, salpingitis, absceso pélvico TABLA 6-6 Patogenia de la infección estafilocócica I. LOCALES a. Lesión cutánea: quemaduras, heridas, incisiones quirúrgicas, enfermedades de la piel b. Cuerpos extraños: suturas, catéteres, prótesis cardiovasculares, tapones, clavos óseos, etcétera II. DEFECTOS EN INMUNIDAD HUMORAL III. DEFECTOS EN LEUCOCITOS a. Leucopenia b. Defecto en quimiotaxis c. Defecto en fagocitosis d. Defecto en destrucción bacteriana intracelular IV. MISCELÁNEOS a. Diabetes, alcoholismo, uremia, neoplasias, tratamiento antibiótico prolongado, infección viral previa, mucoviscidosis TABLA 6-5 Infección por Staphylococus Factores predisponentes ESPECIE GRUPO LANCEFIELD ENFERMEDAD Piogénico B hemolítico Faringoamigdalitis Piodermitis St. pyogenes A Fiebre reumática Glomerulonefritis St. agalactiae B Sepsis neonatal Meningitis Faringitis C, G Endocarditis Neumococo Alfahemolítico St. pneumoniae Enterococo D St. faecalis Endocarditis. Infección urinaria St. Bovis Endocarditis. Sepsis Viridans Alfa no tipificado Alfa no hemolítico (verde) Endocarditis. Caries TABLA 6-7 Infección por Streptococcus © 2007 Editorial Médica Panamericana, S.A de C.V. Cisfarm
  • 119.
    C6 Patología delas enfermedades infecciosas 117 TUBERCULOSIS INFANTIL TUBERCULOSIS DEL ADULTO Tuberculosis primaria progresiva Tuberculosis secundaria Enfermedad principal Principal o concomitante Contagio cercano Contagio desconocido FORMAS ANATOMOCLÍNICAS Meníngea Pulmonar Pulmonar Ganglionar Intestinal Meníngea TABLA 6-11 Características diferenciales FORMA ANATOMOCLÍNICA PURA MIXTA TOTAL % Meníngea 26 52 78 51.3 Pulmonar 17 54 71 46.7 Intestinal 10 17 27 17.7 Tuberculoma (SNC) 4 17 21 13.8 Ósea 1 3 4 2.6 Renal 2 1 3 1.9 Ganglionar 2 — 2 1.3 Adrenal 1 — 1 0.6 Ótica — 1 1 0.6 Miliar generalizada — — 9 5.9 Asintomática — — 8 5.2 TABLA 6-10 Tuberculosis en autopsias. 152 casos (INPed) Enfermedad sistémica: Fiebre Pérdida de peso Visceromegalia Alteraciones hematológicas Infiltrado pulmonar intersticial Asociada a un padecimiento de base No se encuentra foco primario evidente La lesión histológica es multivisceral de la misma edad, exudativa con pocos granulomas y numerosos bacilos. Es frecuentemente subdiagnosticada. Mortalidad elevada TABLA 6-9 Tuberculosis miliar generalizada Características sobresalientes TABLA 6-8 Respuesta inmune en tuberculosis INMUNIDAD CELULAR HIPERSENSIBILIDAD CELULAR Proliferación de linfocitos TCD4+ Activación de linfocitos TCD8+ y células K Atrae y activa monocitos de la sangre periférica Linfocitos Th1 Activa macrófagos Linfocitos Th2 Síntesis de anticuerpos Producción de citocinas (FNT, interferón, etc.) FORMACIÓN DE CAVERNAS Y PROLIFERACIÓN DE BACILOS Lesión tisular con necrosis caseosa (bacilos inactivos) Destruye macrófagos locales con bacilos GRANULOMA Producen enzimas lisonales, radicales libres, IL2, etc. MUERTE DE BACILOS © 2007 Editorial Médica Panamericana, S.A de C.V. Cisfarm
  • 120.
    118 Patología general Infecciónaguda (daño directo) Bronquiolitis Queratoconjuntivitis Neumonía de células gigantes Encefalomielitis Hepatitis Enfermedad autoinmune Encefalopatía tóxica Neuritis óptica PolirradicuIoneuritis Lupus eritematoso (?) Inmunodeficiencia secundaria Infección lenta Panencefalitis esclerosante subaguda Complicaciones bacterianas TABLA 6-13 Complicaciones relacionadas con la infección por virus del sarampión CASOS % Pulmón 61 64.2 Hígado 25 26.3 Glándula salival 24 25.2 Tubo digestivo 19 19.5 Riñón 18 18.9 Suprarrenal 11 11.5 Páncreas 9 9.4 Ganglios linfáticos 7 7.3 Sistema nervioso central 7 7.3 Bazo 3 3.1 Corazón 3 3.1 Timo 13 3.1 Hipófisis 2 2.1 Tiroides 2 2.1 Testículo 1 1.05 Faringe y laringe 1 1.05 TABLA 6-14 Infección por citomegalovirus. 95 casos en 3 966 autopsias pediátricas del Instituto Nacional de Pediatría. A. Mucocutánea 1. Oral: glositis, estomatitis 2. Genital: vaginitis, balanitis 3. Respiratoria: laringitis, traqueobronquitis 4. Digestivo: esofagitis, enteritis, enfermedad perianal 5. Piel: intertrigo, dermatosis generalizada, dermatitis del pañal, onicomicosís, paroniquia 6. Candidiasis crónica mucocutánea B. Sistémica 1. Riñones y vías urinarias 2. Endocarditis 3. Meningitis 4. Candidemia TABLA 6-12 Infecciones por Candida © 2007 Editorial Médica Panamericana, S.A de C.V. Cisfarm
  • 121.
    C6 Patología delas enfermedades infecciosas 119 Patología primaria 22 casos Encefalopatía 16 Linfadenopatía 16 Nefritis intersticial 1 Glomerulonefritis 1 Arteriopatía coronaria 1 Infecciones oportunistas 30 casos Bacterianas 19 Citomegalovirus 12 Cándida 8 Pneumocistis carinii 6 Herpes varicela 5 Histoplasmosis 4 Micobacteria avium intracelulare 2 Sarampión 2 Adenovirus 1 Virus sincicial respiratorio 1 Toxoplasmosis 1 López Corella E. y cols. Instituto Nacional de Pediatría. TABLA 6-15 Patología de SIDA en niños en 30 autopsias (1986-2000) © 2007 Editorial Médica Panamericana, S.A de C.V. Cisfarm
  • 122.
    © 2007 EditorialMédica Panamericana, S.A de C.V. Cisfarm
  • 123.
    7 Patología general de lacirculación Ruy Pérez Tamayo Patología general de la circulación FIGURA 7-1. Lesión de la célula endotelial causada por O2 en el pulmón. Ultraestructura de parte de la pared de un capilar expuesto durante 48 horas a una atmósfera con 73% de O2. La célula endotelial se desprendió de la membrana basal y varios eritrocitos ocu- pan el espacio creado de esa manera; hay otros eritrocitos en el espacio intersticial del tabique alveolar. © 2007 Editorial Médica Panamericana, S.A de C.V. Cisfarm
  • 124.
    122 Patología general FIGURA7-2. Poliarteritis nodosa. a) Histología de una arteria interlobar renal, con necrosis fibrinoide de parte de la pared, engrosamiento irregular subendotelial e infil- tración inflamatoria de la íntima. b) Tinción de fibras elásticas del mismo vaso (corte seriado) que muestra la interrupción de las fibras a partir de la lesión. (a) (b) © 2007 Editorial Médica Panamericana, S.A de C.V. Cisfarm
  • 125.
    C7 Patología generalde la circulación 123 FIGURA 7-3. Aspecto macroscópico de la trombosis. a) Trombo en venas porta y esplénica. b)Gran trombo intracardiaco, que ocupa la aurícula izquierda. c) Trombo que ocluye la luz de la aorta abdominal, alojado en un aneurisma fusiforme. (c) (a) (b) © 2007 Editorial Médica Panamericana, S.A de C.V. Cisfarm
  • 126.
    124 Patología general FIGURA7-4. La secuencia de la coagulación sanguínea, que puede activarse por la vía extrínseca, por medio de la tromboplastina tisular (triángulo izquierdo) o por la vía intrínseca, mediante la acción del factor XII (triángulo derecho). Ambas vías encuentran un punto común en la activación del factor X (triángulo central). (Tomado de Hirsh J y cols.: Venous thromboembolism. Nueva York. Grune & Stratton. 1981. Pared vascular lesionada Prótesis vascular Endotoxinas Ag-Ab ADP Agregación plaquetaria Tromboplastina textural Extractos tejido maligno, mucina, tripsina Extractos tejido maligno, mucina, tripsina VII Ca Ca Ca Ca FL X Xa V XI IX IX a VIII XII XIIa XIa Protrombina Fib i F o n e g ó n i r brina Trombina Fosfolípidos (FL) © 2007 Editorial Médica Panamericana, S.A de C.V. Cisfarm
  • 127.
    C7 Patología generalde la circulación 125 FIGURA 7-5. Trombos arteriales y venosos organizados en el paquete vásculo-nervioso poplí- © 2007 Editorial Médica Panamericana, S.A de C.V. Cisfarm
  • 128.
    126 Patología general FIGURA7-6. Infartos isquémicos. a) Infartos múltiples del bazo, en un caso de endocarditis bacteriana. b) Infarto cerebral antiguo, con colapso del lóbulo temporal. c) Infarto del miocardio, que afecta al tabique interventricular, d)Infarto antiguo del miocardio, con fibrosis extensa que sustituye a las fibras musculares. (a) (b) (d) (c) © 2007 Editorial Médica Panamericana, S.A de C.V. Cisfarm
  • 129.
    C7 Patología generalde la circulación 127 FIGURA 7-7. Esquema de los mecanismos compensadores de la hemorragia. HEMORRAGIA presión arterial media seno carotídeo centro vasomotor vasos corazón vasoconstricción taquicardia riñón renina adrenalina suprarrenal centro vagal arco aórtico 120 60 0 © 2007 Editorial Médica Panamericana, S.A de C.V. Cisfarm
  • 130.
    128 Patología general FIGURA7-8. Necrosis tubular renal en un caso de choque hemorrágico. Las células tubulares están descamadas en la luz y muchas no muestran núcleo. © 2007 Editorial Médica Panamericana, S.A de C.V. Cisfarm
  • 131.
    C7 Patología generalde la circulación 129 FIGURA 7-9. Consecuencias de la insuficiencia cardíaca. a) Edema pulmonar. b) Congestión pasiva crónica del hígado, que toma aspecto de “nuez moscada.” (a) (b) © 2007 Editorial Médica Panamericana, S.A de C.V. Cisfarm
  • 132.
    130 Patología general I.Arteriopatías degenerativas A. Aterosclerosis B. Calcificación de la media (Monckeberg) C. Necrosis arterial Medionecrosis quística (Erdheim) Necrosis tóxica Necrosis física Necrosis arteriolar II. Arteriopatías hiperplásicas o proliferativas (hipertensivas) III. Arteriopatías inflamatorias A. Infecciosas Sifilítica Bacteriana Por plasmodios Viral B. Por hipersensibilidad Poliarteritis nodosa Asociada al lupus eritematoso Asociada con esclerodermia y acroesclerosis Asociada con fiebre reumática Tromboangeítis obliterante Arteritis temporal C. Traumáticas Químicas Físicas D. No determinadas Púrpura trombocitopénica trombótica Vasculitis nodular Arteritis del cayado aórtico IV. Arteriopatías tromboembólicas primarias A. Embolia B. Trombosis in situ V. Formas combinadas TABLA 7-1 Clasificación de las arteriopatías. © 2007 Editorial Médica Panamericana, S.A de C.V. Cisfarm
  • 133.
    8 (b) (a) Patología general de lasneoplasias Ruy Pérez Tamayo Patricia Alonso de Ruiz Patología general de las neoplasias FIGURA 8-1. Neoplasia con nombre derivado de las células que la forman. a) Hepatoma, aspecto macroscópico. b) Hepatoma, aspecto microscópico. © 2007 Editorial Médica Panamericana, S.A de C.V. Cisfarm
  • 134.
    132 Patología general FIGURA8-2. Ejemplos de neoplasias mixtas. a) Fibroadenoma mamario, con prolifera- ción de células epiteliales (de los conductos) y de células del estroma (fibroblastos). b) Carcinosarcoma mamario, en donde tanto los elementos epiteliales como los del estroma son malignos. (a) (b) © 2007 Editorial Médica Panamericana, S.A de C.V. Cisfarm
  • 135.
    C8 Patología generalde las neoplasias 133 FIGURA 8-3. Algunos epónimos de neoplasias. a) Thomas Hodgkin. b) Linfoma de Hodgkin c) Paul Grawitz. d) Tumor de Grawitz (antes conocido como hipernefroma, hoy como carcinom renal). e) Max Wilms. f) Tumor de Wilms (nefroblastoma). (b) (f) (e) (a) (d) (c) © 2007 Editorial Médica Panamericana, S.A de C.V. Cisfarm
  • 136.
    134 Patología general FIGURA8-4. Esquema de la iniciación y la promoción, según la hipótesis del “fenómeno infrecuente” y la selección clonal. Aun cuando sólo se incluyen tres tipos de células iniciadas ( , y ) es posible que puedan inducirse muchos más por una sola dosis iniciadora de un carcinógeno. (Tomado de Farber E. Am J Pathol 106:271. 1982.) Carcinógeno activado Carcinógeno activado Fenómeno infrecuente Fenómeno infrecuente Recuperación Diferencial Prolif. Celular + Inhibición Diferencial Prolif. Celular + Estimulación Diferencial Prolif. Celular 1 2 n ó i c o m o r P n ó i c a i c i n I © 2007 Editorial Médica Panamericana, S.A de C.V. Cisfarm
  • 137.
    C8 Patología generalde las neoplasias 135 FIGURA 8-5. Tamaño de las neoplasias. Carcinoma medular del tiroides de 0.8 cm de diámetro, que ya mostraba metástasis ganglionares. © 2007 Editorial Médica Panamericana, S.A de C.V. Cisfarm
  • 138.
    136 Patología general FIGURA8-6. Tamaño de las neoplasias. Cistosarcoma phyllodes de glándula mamaria, que pesó 12 kg. © 2007 Editorial Médica Panamericana, S.A de C.V. Cisfarm
  • 139.
    C8 Patología generalde las neoplasias 137 FIGURA 8-7. Necrosis de las neoplasias. Superficie fungante en un cystosarcoma phyllodes mamario. © 2007 Editorial Médica Panamericana, S.A de C.V. Cisfarm
  • 140.
    138 Patología general FIGURA8-8. Superficie de las neoplasias. a) Superficie lisa y ulcerada en un tumor maligno de células gigantes. b) Ulceración extensa en un carcinoma basocelular facial. c) Superficie vellosa o papilar en un cistadenocarcinoma del ovario. (c) (b) (a) © 2007 Editorial Médica Panamericana, S.A de C.V. Cisfarm
  • 141.
    C8 Patología generalde las neoplasias 139 FIGURA 8-9. Diferenciación celular en los tumores. a) Carcinoma epidermoide de piel con formación de queratina. b) Adenocarcinoma de colon poco diferenciado, con células en anillo de sello que producen moco pero no lo secretan. (b) (a) © 2007 Editorial Médica Panamericana, S.A de C.V. Cisfarm
  • 142.
    140 Patología general FIGURA8-10. Mitosis atípicas en una neoplasia maligna. © 2007 Editorial Médica Panamericana, S.A de C.V. Cisfarm
  • 143.
    C8 Patología generalde las neoplasias 141 FIGURA 8-11. Reacción desmoplástica intensa en un carcinoma poco diferenciado de la mama. © 2007 Editorial Médica Panamericana, S.A de C.V. Cisfarm
  • 144.
    142 Patología general FIGURA8-12. Células en “anillo de sello” invadiendo la mucosa del colon. El citoplasma está intensamente teñido de azul para revelar la presencia de moco que ocupa todo el citoplas- ma. © 2007 Editorial Médica Panamericana, S.A de C.V. Cisfarm
  • 145.
    C8 Patología generalde las neoplasias 143 FIGURA 8-13. Invasión vascular. a) Invasión de una vena por un carcinoma renal. b) Invasión de una vena intrahepática por un hepatoma. (b) (a) © 2007 Editorial Médica Panamericana, S.A de C.V. Cisfarm
  • 146.
    144 Patología general FIGURA8-14. La “escalera” de las metástasis. (Tomado de Poste G, Fidier IJ. Nature 283:139. NEOPLASIA PRIMITIVA METÁSTASIS ASCENSO DE LA ESCALERA DE LA METÁSTASIS 10. 9. 8. EXTRAVASACIÓN EVASIÓN Y PROLIFERACIÓN 7. DETENCIÓN 6. 5. 4. 3. 2. VASCULARIZACIÓN 1. PROLIFERACIÓN PROGRESIVA INVASIÓN Y DESPRENDIMIENTO EMBOLIA Y SUPERVIVENCIA © 2007 Editorial Médica Panamericana, S.A de C.V. Cisfarm
  • 147.
    C8 Patología generalde las neoplasias 145 FIGURA 8-15. Metástasis de un carcinoma mamario en un ganglio linfático. © 2007 Editorial Médica Panamericana, S.A de C.V. Cisfarm
  • 148.
    146 Patología general FIGURA8-16. Metástasis de un carcinoma mamario en a) hígado, b) pulmones. (b) (a) © 2007 Editorial Médica Panamericana, S.A de C.V. Cisfarm
  • 149.
    C8 Patología generalde las neoplasias 147 FIGURA 8-17. Carcinomatosis peritoneal secundaria a un carcinoma del ovario. © 2007 Editorial Médica Panamericana, S.A de C.V. Cisfarm
  • 150.
    148 Patología general FIGURA8-18. Citología exfoliativa. Carcinoma epidermoide in situ. Tinción de Papanicolaou. © 2007 Editorial Médica Panamericana, S.A de C.V. Cisfarm
  • 151.
    C8 Patología generalde las neoplasias 149 FIGURA 8-19. Citología exfoliativa. Impronta de linfoma de Hodgkin. Tinción de Giemsa. © 2007 Editorial Médica Panamericana, S.A de C.V. Cisfarm
  • 152.
    150 Patología general TEJIDODE ORIGEN BENIGNAS MALIGNAS Epitelio de revestimiento Papiloma Carcinoma Epitelio glandular Adenoma Adenocarcinoma Trofoblasto Mola hidatiforme Coriocarcinoma Tejido fibroso Fibroma Fibrosarcoma Tejido adiposo Lipoma Liposarcoma Músculo liso Leiomioma Leiomiosarcoma Músculo estriado Rabdomioma Rabdomiosarcoma Cartílago Condroma Condrosarcoma Hueso Osteoma Osteosarcoma Notocorda Cordoma Cordoma Vasos sanguíneos Hemangioma Hemangiosarcoma Vasos linfáticos Linfangioma Linfangiosarcoma Glomo Tumor glómico Hemangiopericitoma Linfoide Linfoma benigno Linfoma maligno Mesotelio Mesotelioma Mesotelioma maligno Sinovial Sinovioma Sarcoma sinovial Nervios periféricos Neuroma Neurosarcoma Vainas nerviosas Neurilemoma, fibroma Sarcoma neurogénico Glía Glioma Glioma o glioblastoma Neuronas Ganglioneuroma Neuroblastoma Células pigmentadas Nevo Melanoma Médula adrenal Feocromocitoma Feocromocitoma Células pluripotenciales Teratoma, tumor mixto Teratoma, tumor mixto TABLA 8-2 Clasificación y nomenclatura de algunas neoplasias. BENIGNOS MALIGNOS Encapsulados No encapsulados Se conservan bien Necrosis y hemorragias frecuentes No invasivos Invasivos Bien diferenciados citológicamente Poco diferenciados citológicamente Mitosis infrecuentes y normales Mitosis numerosas y atípicas Crecimiento lento Crecimiento rápido No producen metástasis Producen metástasis TABLA 8-1 Diferencias entre tumores benignos y malignos. © 2007 Editorial Médica Panamericana, S.A de C.V. Cisfarm
  • 153.
    C8 Patología generalde las neoplasias 151 REQUIEREN TRANSFORMACIÓN METABÓLICA (PROCARCINÓGENOS) CARCINÓGENOS DIRECTOS Sintéticos Agentes alquilantes 7,12-dimetilbenzoantraceno Mostaza de uracilo N-metil-4-aminoazobenceno N-estearoiletilenamina Tetracloruro de carbono 1,4-dimetanosulfonóxidobutano Etionina 1 -etilenóxido-3,4-epoxiciclohexano-propiolactona 2-metilaminofenoceno Propanosulfona Dimetilnitrosamina Iones electrofílicos Etil carbamato (uretano) Berilio Naturales Cadmio Alcaloides de la pirrolizidina (senecio, Cobre crotalaria, heliotropo) Cobalto Cicasina Níquel Afiatoxina B Plomo Safacol TABLA 8-3 Algunos carcinógenos químicos. © 2007 Editorial Médica Panamericana, S.A de C.V. Cisfarm
  • 154.
    152 Patología general AGENTEO CIRCUNSTANCIA EXPOSICIÓN LOCALIZACIÓN DEL CÁNCER PROFESIONAL MÉDICA SOCIAL Aflatoxina + Hígado Bebidas alcohólicas + Boca, faringe, laringe, esófago, hígado Agentes alquilantes Ciclofosfamida + Vejiga Melfalán + Médula ósea Aminas aromáticas 4-aminodifenil + Vejiga Benzidina + Vejiga 2-naftilamina + Vejiga Arsénico§ + + Piel, pulmón Asbesto + Pulmón, pIeura, peritoneo Benceno + Médula ósea Bis (clorometil) éter + Pulmón Bisulfán + Médula ósea Cadmio§ + Próstata Betel, tabaco, cal (mascado) + Boca Cromo§ + Pulmón Clornafazina + Vejiga Fabricación de muebles (madera dura) + Senos nasales Drogas inmunosupresoras + Sistema reticuloendotelial Radiaciones ionizantes + + Médula ósea y probablemente todos los demás sitios Elaboración de alcohol isopropílico + Senos nasales Fabricación de artículos de cuero + Senos nasales Gas mostaza + Laringe, pulmón Níquel§ + Senos nasales, pulmón Estrógenos Sin antagonismo + Endometrio Transplacentarios (DES) + Vagina Hiperalimentación (causa de obesidad) + Endometrio, vesícula biliar Fenacetina Riñón (pelvis) Hidrocarburos policíclicos + + Piel, escroto, pulmón Historia reproductiva Edad avanzada en el primer embarazo + Mama Paridad nula o escasa + Ovario Parásitos Schistosoma haematobium + Vejiga Chlonorchis sinensis + Hígado (colangioma) Promiscuidad sexual + Cuello uterino TABLA 8-4 Circunstancias y agentes carcinogénicos humanos establecidos.* © 2007 Editorial Médica Panamericana, S.A de C.V. Cisfarm
  • 155.
    C8 Patología generalde las neoplasias 153 Esteroides Anabólicos (oximetolona) Hígado Anticonceptivos + Hígado (hamartoma) Hábito de fumar + Boca, faringe, laringe, pulmón, esófago, vejiga Luz UV + + Piel, labio Cloruro de vinilo + + Hígado (angiosarcoma) Virus (hepatitis B) + Hígado (hepatoma) * Ampliado del grupo de trabajo del IARC, 1980. Este cuadro se limita a las causas firmemente establecidas. Hemos omitido algunos de los determinantes más importantes del cáncer hu- mano. (Algunos casos limítrofes no permitieron llegar a un acuerdo; p. ej., buscando un equilibrio incluimos el cadmio y excluimos el berilio.) Un signo más (+) indica que se ha obtenido prueba de carcinogenicidad. § Únicamente algunos compuestos o estados oxidativos. Por ejemplo, por rayos X, torio, thorotrast, algunos trabajadores en minas subterráneas y otras ocupaciones. Nota: La exposición profesional a herbicidas del tipo de los fenoxiácidos y clorofenoles (o sus impurezas) es causa bien establecida de sar- comas de los tejidos blandos y, quizá, de linfomas. Doll R, Peto R: The causes of caitcer, Nueva York, Oxford Universíty Press, 1981. TABLA 8-4 Continuación © 2007 Editorial Médica Panamericana, S.A de C.V. Cisfarm
  • 156.
    154 Patología general I.Virus de ADN (casi 50 virus diferentes) A. Virus del grupo papiloma (conejos, perros, va- cas, otros) B. Virus del grupo polioma Virus de polioma murino (Py) Virus de polioma de simio (SV40) C. Adenovirus Adenovirus humanos (31 miembros, de los que al menos 12 inducen neoplasias en animales neonatos y transforman células in vitro) Adenovirus de simio (6 virus) Adenovirus aviarios (2 virus) Adenovirus bovino D. Virus herpes Linfoma de Burkitt* Carcinoma de Lucké* Enfermedad de Marek* II. Virus de ARN (cerca de 100 virus) A. Virus de leucemias y sarcomas aviarios (>20 virus) B. Virus de leucemias y sarcomas murinos (número incierto) C. Virus de tumor mamario murino (3 virus) D. Virus de leucemias y sarcomas de gato, hámster, rata * Las pruebas sugieren que estas neoplasias se asocian con nue- vos miembros del grupo de los virus herpes. TABLA 8-5 Virus oncogénicos. © 2007 Editorial Médica Panamericana, S.A de C.V. Cisfarm
  • 157.
    C8 Patología generalde las neoplasias 155 ÓRGANO NEOPLASIA SECRECIÓN EFECTO Hipófisis Adenoma o carcinoma Una o varias hormonas Acromegalia Hiperprolactinemia Síndrome de Cushing Síndromes combinados Paratiroides Adenoma o carcinoma Hormona paratiroidea Hiperparatiroidismo Tiroides Adenoma o carcinoma Hormona tiroidea Hipertiroidismo Calcitonina Hipocalcemia Islotes de Langerhans Adenoma o carcinoma Insulina, gastrina, glucagón, Hiperinsulinismo otros péptidos Síndrome de Zollinger-Ellison, otros síndromes complejos Médula adrenal Feocromocitoma Adrenalina Hipertensión Corteza adrenal Adenoma o carcinoma Corticosteroides Síndrome de Cushing Ovarios Arrenoblastoma Resto adenocortical Andrógenos Masculinización Tumor de células hiliares Tecoma o luteoma Estrógenos Feminización Tumor de células de la granulosa Testículos Tumor de células intersticiales Andrógenos Masculinización TABLA 8-6 Algunas neoplasias funcionales de las glándulas endocrinas. © 2007 Editorial Médica Panamericana, S.A de C.V. Cisfarm
  • 158.
    156 Patología general CITOLOGÍAEXFOLIATIVA DE LAS MUCOSAS Y SEROSAS Citología cérvico vaginal Citología de líquidos (derrames pleural, pericárdico, ascítico, orina, líquido cefalorraquídeo, etcétera) Citología de la expectoración Biopsia. Aspiracion con aguja fina Órganos superficiales Lesiones subcutáneas o cutáneas Glándulas salivales mayores y menores Glándula tiroides Glándula mamaria Ganglios linfáticos Órganos profundos Encéfalo (cirugía estereotáxica) Mediastino Pulmón Hígado Vesícula biliar Páncreas Retroperitoneo Ganglios linfáticos TABLA 8-7 Sitios en donde se pueden efectuar estudios citológicos. MICROORGANISMOS PATÓGENOS Y NO PATÓGENOS IDENTIFICADOS POR MEDIO DEL ESTUDIO CITOLÓGICO Flora fisiológica Bacilo de Dôderlain Flora patógena Gardnerella Actinomyces Chlamydia trachomatis Hongos Candida spp. Parásitos Trichomonas Virus Herpes Papiloma Citomegalovirus TABLA 8-8 Microorganismos identificados por el estudio citológico. Citología pulmonar Expectoración Cepillado bronquial Lavado bronquial y bronquioloalveolar Aspiración transtorácica TABLA 8-9 Material originado en el pulmón utilizado para estudios citológicos. © 2007 Editorial Médica Panamericana, S.A de C.V. Cisfarm
  • 159.
    9 Patologíadelmetabolismo y la nutrición Patologíadelmetabolismo yla nutrición Ruy Pérez Tamayo Cecilia Ridaura Sanz FIGURA 9-1. Metabolismo de la fenilalanina. En el esquema se indican las enzimas que participan y las diferentes enferme- dades provocadas por su deficiencia. NH2 CH2 C OH COOH Fenilalanina hidroxilasa Ácido p-hidroxifenilpirúvico Ácido homogentísico Ácido maleildiacético Ácido p-hidroxifenil- pirúvico oxidasa Tirosina 3,4-hidroxi- fenilalanina H NH2 CH2 C H O O C H O O C Tirosinasa Homogenticasa H CH OH C COOH COOH COOH CH2 H2 C O OH OH CH2 C D O P A COOH NH2 C O C O H C Fenilcetonuria Tirosinosis Alcaptonuria Albinismo © 2007 Editorial Médica Panamericana, S.A de C.V. Cisfarm
  • 160.
    158 Patología general FIGURA9-2. Mecanismo bioquímico de las principales manifestaciones clínicas provocadas por la deficiencia de fenilalanina hidroxilasa. C Fenilalanina Deficiencia de fenilalanina hidroxilasa o m s i l o b a t e m l e d n ó i c i b i h n I o c i v ú r i p l i n e f o d i c Á de la tirosina Reducción de la conversión de tirosina → adrenalina Reducción de la conversión de tirosina → melanina Reducción de la adrenalina plasmática Cabello rubio ojos azules Lesiones del sistema nervioso central Convulsiones Ácido fenilacético Ácido fenilacético Retardo mental Cambios en el EEG fenilacetilglutamina NH2 COOH H CH2 C NH2 COOH H Tirosina CH2 OH © 2007 Editorial Médica Panamericana, S.A de C.V. Cisfarm
  • 161.
    C9 Patología delmetabolismo y la nutrición 159 FIGURA 9-3. Sitio del bloqueo metabólico en la enfermedad de la orina en jarabe de arce, que afecta el catabolismo de los aminoácidos de cadena rami- ficada. C NH2 COOH H CH Isoleucina CH2 CH3 C NH2 COOH H CH2 Leucina CH3 CH3 CH NH2 CO2 O2 C O H R R COOH C COOH O R C NH2 COOH H CH Valina CH3 CH3 CoA NADP © 2007 Editorial Médica Panamericana, S.A de C.V. Cisfarm
  • 162.
    160 Patología general FIGURA9-4. El ciclo de la urea. En el esquema la membrana interna de las mitocondrias está representada por las líneas verticales paralelas. Las enzimas que catalizan cada uno de los pasos señalados son: 1. carbamil fosfato sintetasa; 2, ornitina transcarbamilasa; 3, arginosuccinato sintetasa; 4, arginosuccinato deshidrogenasa; 5, arginasa; 6, transportadora de ornitina. NH2C NH2 Urea O 6 5 2 1 Arginina a n i t i n r O a n i t i n r O Matriz Membrana interna Citosol Arginino succinato AMP PPI Aspartato Citrulina Citrulina Carbamil 2 ATP 2 ADP + PI NH3 2PI ATP Fumarato 4 6 3 CO2 P © 2007 Editorial Médica Panamericana, S.A de C.V. Cisfarm
  • 163.
    C9 Patología delmetabolismo y la nutrición 161 FIGURA 9-5. Esquema del metabolismo del glucógeno, que incluye las enzimas que catalizan los distintos pasos de síntesis y degradación y las 10 variantes conocidas de glucogenosis. Amilo (1,4 → 1,6) transglucosidasa (ramificadora) Glucógeno sintetasa Fosfoglucomutasa Glucosa-1-fosfato Glucosa-6-fosfato α 1,4-glucosidasa Glucosa-6-fosfato Glucosa Glucoquinasa Glucosa-1-fosfatasa AMILO-1,6-fosfatasa Glucosa-6-fosfatasa Glucógeno ramificado Glucógeno desramificado Glucógeno Fosforilasa Tipo IV Tipo VII Tipo VI Tipo V Tipo II Tipo I Tipo III Fosfoglucomutasa © 2007 Editorial Médica Panamericana, S.A de C.V. Cisfarm
  • 164.
    162 Patología general FIGURA9-6. Aspecto microscó- pico del hígado en la enfermedad de Von Gierke (glucogenosis tipo I). Los hepatocitos están aumen- tados de tamaño, tienen la mem- brana celular bien definida y el citoplasma aparentemente vacío. © 2007 Editorial Médica Panamericana, S.A de C.V. Cisfarm
  • 165.
    C9 Patología delmetabolismo y la nutrición 163 FIGURA 9-7. Esquema de la digestión y absorción de los carbohidratos en el ser humano. Intraluminal Almidón 60% Glucosa 60% Glucosa 5% Galatosa 5% Lactosa 10% Sacarosa 30% Maltotriosa Maltosa α-dextrinas α-amilasa Maltasa Transporte activo Transporte activo PL Maltasa α-dextrinasa Intestinal Transporte celular Chapa estriada Lactasa PL Transporte activo PL Difusión facilitada PL Fructosa 15% Glucosa 15% Sacarasa © 2007 Editorial Médica Panamericana, S.A de C.V. Cisfarm
  • 166.
    164 Patología general FIGURA9-8. Parte del citoplas- ma de una célula de Gaucher, con vesículas irregulares que contie- nen estructuras tubulares finas. © 2007 Editorial Médica Panamericana, S.A de C.V. Cisfarm
  • 167.
    C9 Patología delmetabolismo y la nutrición 165 FIGURA 9-9. Dramático aspecto de un paciente con porfiria congénita (enfermedad de Günther) con graves lesiones de la piel expuesta al sol. © 2007 Editorial Médica Panamericana, S.A de C.V. Cisfarm
  • 168.
    166 Patología general FIGURA9-10. Aspecto histológico de un tofo. Los depósitos de urato en los tejidos estimulan una reacción inflamatoria de cuerpo extraño, con células gigantes que se agrupan alrrededor de los cristales. © 2007 Editorial Médica Panamericana, S.A de C.V. Cisfarm
  • 169.
    C9 Patología delmetabolismo y la nutrición 167 FIGURA 9-11. Histología de algunos cambios tisulares en la diabetes mellitas. a)Hialinización de un islote de Langerhans. b) y c) depósitos nodulares y difusos de material hialino en glo- mérulos renales (lesión de Kimmelstiel-Wilson). (b) (a) (c) © 2007 Editorial Médica Panamericana, S.A de C.V. Cisfarm
  • 170.
    168 Patología general FIGURA9-12. Esquema de las dos fases metabólicas de las sustancias tóxicas. No toxina Oxidación OH Reducción Conjugación Fase II No tóxica COOH NH Hidrólisis Fase I SH Toxina No tóxica Menos tóxica Más tóxica Tóxica Tóxica © 2007 Editorial Médica Panamericana, S.A de C.V. Cisfarm
  • 171.
    C9 Patología delmetabolismo y la nutrición 169 POR INTERACCIÓN CON EL MEDIO AMBIENTE CONSTITUCIONALES Tipos de enfermedades Infecciosas, tóxicas, traumáticas Congénitas y hereditarias; degenerativas; autoinmunes; neoplásicas Etiología Conocida Desconocida Patogenia Conocida Desconocida Modelos experimentales Adecuados en la mayoría de Sólo unos cuantos los casos Diagnóstico Sencillo en la mayoría de los casos Difícil con frecuencia Tratamiento Conocido y eficiente en la mayoría de los casos Ineficiente y con frecuencia sólo sintomático Prevención Posible y con frecuencia efectiva Sólo en muy pocas enfermedades; inefectivo en la mayoría TABLA 9-1 Diferencias entre las enfermedades ambientales y las constitucionales. © 2007 Editorial Médica Panamericana, S.A de C.V. Cisfarm
  • 172.
    170 Patología general TIPOENZIMA AFECTADA TEJIDOS AFECTADOS SÍNTOMAS CLÍNICOS I Glucosa-6-fosfatasa Hígado, riñón, intestino Hepatomegalia y nefromegalia; detención del crecimiento: hipoglucemia, acidosis, hiperlipemia II Glucosidasa lisosómica Todos los órganos Glucogenosis generalizada: enfermedad de Pompe, glucogenosis cardiaca III Sistema desramificador Hígado, músculo, corazón Hepatomegalia; lípidos, glucosa, ECG normales IV Amilo-1,4→1,6 transglucosilasa Glucógeno anormal generalizado Hepatoesplenomegalia; ascitis; cirrosis; (“enzima ramificadora”) (amilopectina) insuficiencia hepática V Fosforilasa muscular Únicamente músculo Debilidad y calambres del músculo esquelético esquelético con el ejercicio; no hay aumento del lactato sanguíneo VI Deficiencia de fosforilasa hepática Hígado Hepatomegalia; bazo normal; no hay hipoglucemia, lipemia ni acidosis VII Fosfofructoquinasa Músculo esquelético, eritrocitos Debilidad y calambres del músculo (no se examinaron otros esquelético con el ejercicio tejidos) VIII No hay deficiencia, pero está Hígado, encéfalo, músculo Hepatomegalia, degeneración cerebral reducida la actividad de esquelético normal la fosforilasa hepática; el sistema activador de la fosforilasa es normal IX Defecto de la fosforilasa quinasa Hígado únicamente Hepatomegalia; no hay hepática (la fosforilasa total esplenomegalia, hipoglucemia es normal pero no está activada) ni acidosis X Fosforilasa quinasa dependiente Hígado y músculos Hepatomegalia; no hay patología del del AMPc músculo esquelético ni del corazón No clasificado: todas las actividades Hígado, o hígado y riñón Hepatomegalia con síndrome enzimáticas son normales de Fanconi raquitismo resistente a la vitamina D, intolerancia hereditaria a la fructosa, etcétera Modificado de Felig. P. “Disorders of Carbohydrate metabolism.” En Bondy PK, Rosenberg LF (eds.). Metabolic control and disease, 8a. ed., pp. 276-392. Filadelfia, WB Saunders Co. 1980. TABLA 9-2 Anomalías hereditarias del metabolismo del glucógeno. © 2007 Editorial Médica Panamericana, S.A de C.V. Cisfarm
  • 173.
    C9 Patología delmetabolismo y la nutrición 171 TABLA 9-3 Clasificación de las porfirias humanas más importantes. PRINCIPALES SÍNTOMAS DE PRESENTACIÓN EXCRECIÓN DE ALA; PBG, PORFIRINAS* CLASIFICACIÓN Eritropoyéticas Porfiria eritropo- yética congénita Protoporfiria eritropoyética Hepáticas Porfiria intermi- tente aguda Coproporfiria hereditaria Porfiria variegata Porfiria cutánea tardía ENZIMA DEFICIENTE Uroporfirina II cosintasa Ferroquelatasa PBG desaminasa Coproporfirinóge- no oxidasa Protoporfirinóge- no oxidasa o ferroquelatasa Uroporfirinógeno descarboxilasa HERENCIA Autosómica recesiva Autosómica dominante Autosómica dominante Autosómica dominante Autosómica dominante ** * aLA: ácido gamma-aminolevulínico; PBG: porfobilinógeno; Uro: uroporfirina; Copro: coproporfirina; Proto: protoporfirina; Isocopro: isocoproporfirina. ** Se ha documentado herencia autosómica dominante en algunas familias, pero no en otras. † Isómetros tipo I. Kappas A, Sassa S, Anderson KE. “The porphyrias.” En Stanbury JB, Wyngaarden JB, Frederickson DS y cols. (eds.). The metabolic basis of inherited disease, 5a. ed., pp. 1301-1384. Nueva York. McGraw-Hill Book Co. FOTOSEN- SIBILIDAD Presente (severa) Presente Ausente Presente Presente Presente NEURO- VISCERALES Ausentes Ausentes Presentes Presentes Presentes Ausentes AUMENTO DE PORFIRINAS EN ERITROCITOS* Uro† Copro† Proto Ausentes Ausentes Ausentes Ausentes ORINA Uro† Copro† Ausentes ALA, PBG ALA, PBG copro ALA, PBG copro Uro, 7-carboxi- lato porfirina HECES Copro† Proto Copro Copro Proto Isocopro © 2007 Editorial Médica Panamericana, S.A de C.V. Cisfarm
  • 174.
    172 Patología general DEFICIENCIASCONSECUENCIAS INTOXICACIONES Vitaminas Endógenas: por Vitamina A Ceguera nocturna, queratomalacia Bilirrubina, cuerpos cetónicos, amoníaco y xeroftalmía, metaplasia epitelial Vitamina D Raquitismo y osteomalacia Exógenas: por Vitamina E a. Sustancias químicas Vitamina K Hipoprotrombinemia Sustancias orgánicas no terapéuticas (alcoholes, fenoles, benceno, etc.) Vitamina C Escorbuto Vitamina B1 Beriberi Riboflavina Queilosis, glositis, dermatitis Sustancias inorgánicas no terapéuticas (CN, Hg2, As, etc.) Nicotinamida Pelagra Vitamina B12 Anemia perniciosa Elementos Sustancias terapéuticas (barbitúricos, sales mercuriales, Yodo sulfonamidas, antibióticos, anestésicos, etc.) Calcio Hierro b. Toxinas bacterianas Cobre Manganeso Zinc Combinadas TABLA 9-4 Alteraciones metabólicas adquiridas. © 2007 Editorial Médica Panamericana, S.A de C.V. Cisfarm
  • 175.
    C9 Patología delmetabolismo y la nutrición 173 BIOLÓGICAS QUÍMICAS Traslación de membrana Ionización Capacidad de reserva funcional Solubilidad en lípidos Acumulación de drogas en el organismo Acción química no específica Tolerancia Biotransformaciones Acción química específica No sintéticas (oxidación, reducción, hidrólisis) Falta de susceptibilidad Sintéticas (conjugaciones) Inmunidad (hipersensibilidad) Determinantes genéticas Especie Edad Sexo Lesiones anteriores Dieta TABLA 9-5 Algunas determinantes de la toxicidad. CIRCULATORIAS METABÓLICAS SANGUÍNEAS Taquicardia Glucogenólisis hepática Aumento de plaquetas y fibrinógeno Aumento del volumen Hiperglucemia Disminución del tiempo minuto cardiaco de protrombina Vasoconstricción Aumento del consumo de O2 Coagulación acelerada generalizada Contracción esplénica Reducción de colesterol y Leucocitosis vitamina C en las adrenales Hipertensión Aumento de corticoesteroides Eritrosedimentación acelerada y en la orina formación de “rouleaux” Hipoferremia Fibrinólisis Eosinopenia TABLA 9-6 Alteraciones del organismo en la primera fase de la respuesta metabólica a la agresión. © 2007 Editorial Médica Panamericana, S.A de C.V. Cisfarm
  • 176.
    174 Patología general CIRCULATORIASMETABÓLICAS HIDROELECTROLÍTICAS Taquicardia Hipotermia Retención de agua Reducción del volumen Anoxia Retención de Na y Cl minuto cardiaco Vasconstricción generalizada Acidosis metabólica Pérdida renal de K Hipotensión Reducción del consumo de O2 Oliguria Baja presión auricular derecha Reducción de la producción de energía Hemodilución Hipovolemia Hipoglucemia Hiperaminoacedemia TABLA 9-7 Alteraciones del organismo en la segunda fase de la respuesta metabólica a la agresión. TABLA 9-8 Alteraciones del organismo en la tercera fase de la respuesta metabólica a la agresión. HIDROELECTROLÍTICAS Retención de agua Retención de Na y Cl Pérdida renal de K, azufre, fosfato Oliguria METABÓLICAS Fiebre Aumento del consumo de O2 Balance nitrogenado negativo Disminución ponderal Hiperglucemia Aumento de corticosteroides urinarios Retención de ácido ascórbico SANGUÍNEAS Eosinopenia Leucocitosis Hipoalbuminemia Hiperglobulinemia Aumento del fibrinógeno CIRCULATORIAS Taquicardia Normotensión Volumen minuto cardiaco normal I. Por interferencia en el consumo de alimento A. Disminución del apetito; enfermedad infecciosa, enfermedad cardiaca, cirugía y anestesia, dolor y drogas usadas para su tratamiento, deficiencia de tiamina, alcohol B. Enfermedad gastrointestinal; úlcera péptica, diarrea, enfermedad biliar y hepática, gastroenteritis aguda, lesiones obstructivas C. Enfermedades traumáticas y neurológicas que interfieren en la capacidad de alimentarse por sí mismo D. Trastornos neuropsiquiátricos: neurosis, psicosis, migraña E. Embarazo, anorexia y vómitos F. Alergia alimentaria TABLA 9-9 Factores que pueden producir desnutrición. © 2007 Editorial Médica Panamericana, S.A de C.V. Cisfarm
  • 177.
    C9 Patología delmetabolismo y la nutrición 175 G. Terapéutica: drogas que causan anorexia, dietas con restricción de ciertos alimentos esenciales II. Por aumento de la destrucción A. En el aparato digestivo: aclorhidria, terapéutica con alcálisis B. Después de la absorción; metales pesados, trinitrotolueno, sulfonamidas III. Por interferencia de la absorción A. Ausencia de secreciones digestivas normales; aclorhidria, ictericia obstructiva, aquilia pancreática, resección gástrica. B. Hipermotilidad intestinal: colitis ulcerosa, disentería bacilar y amebiana, otras enfermedades diarreicas C. Reducción de la superficie absortiva efectiva: resecciones intestinales, operaciones derivativas del intestino, enteropatías D. Alteraciones del mecanismo intrínseco de la absorción: esprue, deficiencias vitamínicas E. Drogas que impiden la absorción: vaselina, cartárticos drásticos, absorbentes coloidales IV. Por interferencia en la utilización o acumulación A. Alteraciones de la función hepática: en hepatitis, cirrosis, diabetes no controlada, alcoholismo B. Hipotiroidismo C. Neoplasia del aparato digestivo D. Terapéutica: sulfonamidas, radioterapia V. Por aumento de la excreción o pérdida A. Lactancia B. Pérdida en exudados serosos, como en las quemaduras graves C. Glucosuria y albuminuria D. Hemorragia aguda o crónica VI. Por aumento de los requerimientos nutritivos A. Aumento de la actividad física: ejercicio intenso, delirio, algunas psicosis B. Periodos de crecimiento rápido C. Embarazo y lactancia D. Fiebre E. Hipertiroidismo F. Tratamiento: medicación tiroidea, terapéutica de la fiebre, dietas con alto contenido en hidratos de carbono, insulina, administración de dextrosa por vía parenteral Keys A. “Undernutrition.” en Duncan GG (eds.). Diseases of metabolism, 3a. ed., pp. 660-692. Filadelfia. WB Saunders Co. 1954. TABLA 9-9 Factores que pueden producir desnutrición. I. Obesidad por trastornos de regulación (sin anomalía metabólica primaria) A. Psicológica 1. Exceso neurótico de comida 2. Exceso no neurótico de comida (modelo cultural de dieta) B. Fisiológica 1. Aumento de la ingesta: trastorno hipotalámico 2. Reducción del egreso: inmovilización forzada II. Obesidad metabólica A. Enzimática: obesidad genética en ratones (?) B. Hormonal: hiperadrenocorticismo C. Neurológica: lipodistrofia (automática) (?) TABLA 9-10 Agrupamiento tentativo de las formas de obesidad de acuerdo con el mecanismo patogénico. © 2007 Editorial Médica Panamericana, S.A de C.V. Cisfarm
  • 178.
    © 2007 EditorialMédica Panamericana, S.A de C.V. Cisfarm
  • 179.
    PATOLOGÍA ESPECIAL PATOLOGÍA ESPECIAL © 2007 EditorialMédica Panamericana, S.A de C.V. Cisfarm
  • 180.
    © 2007 EditorialMédica Panamericana, S.A de C.V. Cisfarm
  • 181.
    10 Patología del aparato digestivoJosé Jessurun Jesús Aguirre García Arturo Ángeles Ángeles Óscar Larraza Hernández Patología del aparato digestivo FIGURA 10-1. Acalasia. © 2007 Editorial Médica Panamericana, S.A de C.V. Cisfarm
  • 182.
    180 Patología especial FIGURA10-2. Divertículos esofágicos. © 2007 Editorial Médica Panamericana, S.A de C.V. Cisfarm
  • 183.
    C10 Patología delaparato digestivo 181 FIGURA 10-3. a) Esófago normal. b) Reflujo gastroesofágico. © 2007 Editorial Médica Panamericana, S.A de C.V. Cisfarm
  • 184.
    182 Patología especial FIGURA10-4. Reflujo gastroesofágico. Hombre de 45 años de edad con ardor retrosternal de largo tiempo de evolución. a) Du- rante la esofagoscopia se observó enrojecimiento del epitelio del tercio distal del esófago. b) La biopsia de esta zona mostró hiperplasia de la zona basal. c) Numerosos eosinófilos intraepiteliales. (b) (c) (a) © 2007 Editorial Médica Panamericana, S.A de C.V. Cisfarm
  • 185.
    C10 Patología delaparato digestivo 183 FIGURA 10-5. Este espécimen de biopsia fue tomado a 3 cm por encima de la unión gastroesofágica. En lugar de epitelio epidermoide se observa mucosa de tipo glandular de tipo intes- tinal. A este cambio metaplásico (sustitución del epitelio epidermoide por epitelio de tipo columnar o glandular) se le conoce como esófago de Barrett. © 2007 Editorial Médica Panamericana, S.A de C.V. Cisfarm
  • 186.
    184 Patología especial FIGURA10-6. Esofagitis herpética. Este espécimen se obtuvo en la autopsia de un hombre de 32 años de edad que recibió un trasplante renal cinco años antes, por lo que fue necesario administrar medicamentos inmunosupresores para evitar el rechazo. Poco antes de morir desarrolló dolor retrosternal intenso. a) En la autopsia se encontraron múltiples lesiones eritematobulosas en el tercio distal del esófago y proximal del estómago. b) El examen microscópico demostró múltiples células epiteliales con núcleos claros en “vidrio esmerilado” e inclusiones intranucleares típicas de infección por virus del Herpes. (b) (a) © 2007 Editorial Médica Panamericana, S.A de C.V. Cisfarm
  • 187.
    C10 Patología delaparato digestivo 185 FIGURA 10-7. Adenocarcinoma de la unión cardioesofágica. Este tumor, como el originado en el cardias, com- parte características epidemiológicas y clínicas muy parecidas con el adeno- carcinoma esofágico asociado a esófa- go de Barrett. © 2007 Editorial Médica Panamericana, S.A de C.V. Cisfarm
  • 188.
    186 Patología especial FIGURA10-8. Gastritis aguda flegmonosa. Este espécimen fue obtenido durante el estudio endoscópico de un paciente con linfoma generalizado que desarrolló dolor y sangrado epigás- trico. Numerosos neutrófilos infiltran la lámina propia, penetran y destruyen las células epiteliales. © 2007 Editorial Médica Panamericana, S.A de C.V. Cisfarm
  • 189.
    C10 Patología delaparato digestivo 187 FIGURA 10-9. Gastritis crónica atrófica con metaplasia intestinal. Entre las células columna- res de tipo foveolar hay células caliciformes idénticas a las del intestino delgado y colon. © 2007 Editorial Médica Panamericana, S.A de C.V. Cisfarm
  • 190.
    188 Patología especial FIGURA10-10. Topografía del estómago. a) Gastritis crónica tipo A o autoinmune. Las alteraciones inflamatorias y los cambios meta- plásicos predominan en el cuerpo y fondo. b) Gastritis crónica tipo B o antral. Las alteraciones inflamatorias y los cambios metaplási- cos predominan en el antro. © 2007 Editorial Médica Panamericana, S.A de C.V. Cisfarm
  • 191.
    C10 Patología delaparato digestivo 189 FIGURA 10-11. Gastritis crónica activa asociada a infección por Helicobacter pylori. En este espécimen obtenido del antro gástrico se observa abundante infiltrado inflamatorio linfoplas- mocitario en la lámina propia. © 2007 Editorial Médica Panamericana, S.A de C.V. Cisfarm
  • 192.
    190 Patología especial FIGURA10-12. Helicobacter pylori. En la mayoría de los casos es fácil observar a la bacteria en cortes teñidos con hematoxilina y eosina a). Algunas tinciones especiales como las de Giemsa b) y c) y plata d) facilitan su identificación. (b) (d) (c) (a) © 2007 Editorial Médica Panamericana, S.A de C.V. Cisfarm
  • 193.
    C10 Patología delaparato digestivo 191 FIGURA 10-13. Gastritis granulomatosa. Este espécimen de biopsia fue obtenido de un paciente con sarcoidosis y muestra numerosos granulomas en la lámina propia además de otras células inflamatorias. © 2007 Editorial Médica Panamericana, S.A de C.V. Cisfarm
  • 194.
    192 Patología especial FIGURA10-14. Gastritis linfocítica. Caracterizada por la abundancia de lin- focitos intraepiteliales, este tipo de gastritis de reciente descripción puede asociarse a la enfermedad celíaca. a) Además de los linfocitos intraepite- liales, la lámina propia está infiltrada por abundantes linfocitos y células plasmáticas. b) Los linfocitos intraepiteliales muestran inmunorreactividad para CD3, lo que los identifica como linfocitos T. (b) (a) © 2007 Editorial Médica Panamericana, S.A de C.V. Cisfarm
  • 195.
    C10 Patología delaparato digestivo 193 FIGURA 10-15. Gastropatía aguda. a) La mucosa de todo el estómago tiene aspecto congestivo y hemorrágico. b) En la lámina propia superficial se observa edema, congestión vascular y microhe- morragias. Nótese la ausencia de células inflamatorias. (b) (a) © 2007 Editorial Médica Panamericana, S.A de C.V. Cisfarm
  • 196.
    194 Patología especial FIGURA10-16. Gastropatía crónica. A diferencia de la gastritis asociada a infección por Helicobacter pylori, en la gastritis “química” hay escasas células inflamatorias. La rege- neración consecutiva al daño del epitelio superficial por bilis o medicamentos produce hiperplasia del mismo. Las glándulas foveolares muestran irregularidades con proyecciones papilares hacia el interior de su luz y las células contienen menos moco. © 2007 Editorial Médica Panamericana, S.A de C.V. Cisfarm
  • 197.
    C10 Patología delaparato digestivo 195 FIGURA 10-17. Pólipo gástrico hiperplásico. La naturaleza regenerativa de este pólipo se hace evidente en el corte histológico que aquí se muestra. La mayor parte de la masa está constituida por glándulas foveolares de aspecto regenerativo e infiltrado inflamatorio linfoplasmocitario en la lámina propia. © 2007 Editorial Médica Panamericana, S.A de C.V. Cisfarm
  • 198.
    196 Patología especial FIGURA10-18. Pólipo gástrico adenomatoso. Este pólipo displásico está constituido por células columnares altas con núcleos hipercromáticos elongados. El aspecto histológico es idéntico al del adenoma tubular del colon. © 2007 Editorial Médica Panamericana, S.A de C.V. Cisfarm
  • 199.
    C10 Patología delaparato digestivo 197 FIGURA 10-19. Adenocarcinoma gástrico. a) En este ejemplo, el tumor ha sustituido casi la totalidad de la superficie del estómago sin producir lesiones elevadas, por lo que en algunas clasificaciones se le denomina adenocarcinoma de diseminación supeficial. La compresión extrínseca del colédoco por los ganglios linfáticos metastásicos explica la dilatación de la vesicula biliar y la colestasis hepática. b) El tumor infiltra difusamente la pared gástrica a nivel del píloro, produciendo obstrucción del mismo. (b) (a) © 2007 Editorial Médica Panamericana, S.A de C.V. Cisfarm
  • 200.
    198 Patología especial FIGURA10-20. a) Adenocarcioma gástrico de tipo intestinal. Células cohesivas forman túbu- los o glándulas. b) y c) Adenocarcinoma gástrico de tipo difuso. Células claras con abundante moco intracitoplásmico (anillo de sello) infiltran de manera individual. En este ejemplo las células neoplásicas “flotan” en lagos de moco. (b) (c) (a) © 2007 Editorial Médica Panamericana, S.A de C.V. Cisfarm
  • 201.
    C10 Patología delaparato digestivo 199 FIGURA 10-21. Linfoma gástrico. Corte transversal del estómago que muestra sustitución total de la pared por una neoplasia blanca que recuerda la “carne de pescado”. En la porción central se observa una úlcera. © 2007 Editorial Médica Panamericana, S.A de C.V. Cisfarm
  • 202.
    200 Patología especial FIGURA10-22. Duodenitis péptica. Mucosa duodenal vecina a una úlcera péptica teñida con tinción de PAS-azul alciano. Las células caliciformes normales del intestino se tiñen de azul (azul alciano positivas) debido a que contienen mucopolisacáridos ácidos. En el centro de la fotografía se observan dos vellosidades parcialmente revestidas por células con citoplasma teñido de rojo (PAS positivas) debido al alto contenido de mucopolisacáridos neutros. Estas células son semejantes a las células foveolares o superficiales del estómago y representan zonas de metaplasia gástrica. En las vellosidades del duodeno normal no hay células PAS positivas. © 2007 Editorial Médica Panamericana, S.A de C.V. Cisfarm
  • 203.
    C10 Patología delaparato digestivo 201 FIGURA 10-23. Colitis hemorrágica por Shigella. a) Aspecto congestivo y hemorrágico de la mucosa rectal. b) Espécimen de biopsia correspondiente al colon de un estudiante de medicina que presentó dolor abdominal y diarrea hemorrágica poco antes de su examen de patología. En la lámina propia hay numerosos eritrocitos extravasados. El cultivo de la mucosa fue positivo para Escherichia coli O157:H7. Esta cepa con frecuencia produce verotoxinas. (b) (a) © 2007 Editorial Médica Panamericana, S.A de C.V. Cisfarm
  • 204.
    202 Patología especial FIGURA10-24. Enfermedad celíaca. a) Espécimen de biopsia que se obtuvo del yeyuno de un paciente con síndrome de mal-absorción. Nótese la ausencia de vellosidades y la elon- gación de las criptas. b) A mayor aumento se observa el infiltrado linfoplasmocitario en la lámina propia, aplanamiento del epitelio superficial e infiltración del mismo por linfocitos. c) La inmunorreacción con anticuerpos anti-CD3 identifica a los linfocitos intraepiteliales como linfocitos T. (b) (c) (a) © 2007 Editorial Médica Panamericana, S.A de C.V. Cisfarm
  • 205.
    C10 Patología delaparato digestivo 203 FIGURA 10-25. Diverticulosis del colon. Numerosos sacos se proyectan a través de la muscular propia hacia el exterior. © 2007 Editorial Médica Panamericana, S.A de C.V. Cisfarm
  • 206.
    204 Patología especial FIGURA10-26. a) Vólvulos. b) Intususcepción. © 2007 Editorial Médica Panamericana, S.A de C.V. Cisfarm
  • 207.
    C10 Patología delaparato digestivo 205 FIGURA 10-27. Enfermedad de Crohn. a) Segmento de colon proximal con nume- rosas úlceras lineales. b) Cripta destruida con abundantes neutrófilos intraluminales (microabsceso). c) Acúmulos de histiocitos y células gigantes forman un pequeño granuloma. (b) (c) (a) © 2007 Editorial Médica Panamericana, S.A de C.V. Cisfarm
  • 208.
    206 Patología especial FIGURA10-28. Colitis ulcerosa. A diferencia de la enfermedad de Crohn, en la colitis ulce- rosa las lesiones son continuas y predominan en el recto y segmentos distales del colon. Nótese la ausencia de haustras en los segmentos afectados. © 2007 Editorial Médica Panamericana, S.A de C.V. Cisfarm
  • 209.
    C10 Patología delaparato digestivo 207 FIGURA 10-29. Colitis ulcerosa. a) El recto muestra pequeñas úlceras. Entre la mucosa residual de aspecto granular hay algunos seudopólipos. b) Corte histológi- co del caso anterior que muestra acortamiento de las criptas, cambio indicativo de cronicidad. En condiciones normales las criptas descienden hasta la muscular de la mucosa. La lámina propia muestra un denso infiltrado constituido por linfocitos y células plasmáticas. La submucosa es de aspecto normal. (b) (a) © 2007 Editorial Médica Panamericana, S.A de C.V. Cisfarm
  • 210.
    208 Patología especial FIGURA10-30. Colitis ulcerosa. El corte histológico proviene de un espécimen de colectomía de un paciente que desarrolló megacolon tóxico. Además de los cambios inflamatorios característicos de la colitis ulcerosa, hay una úlcera profunda que se observa a la izquierda de la fotografía. © 2007 Editorial Médica Panamericana, S.A de C.V. Cisfarm
  • 211.
    C10 Patología delaparato digestivo 209 FIGURA 10-31. Colitis colagenosa. Por debajo del epitelio superficial se observa una densa banda de colágena que se tiñe de azul con la tinción de Masson. © 2007 Editorial Médica Panamericana, S.A de C.V. Cisfarm
  • 212.
    210 Patología especial FIGURA10-32. Síndrome de prolapso mucoso. a) Dos pólipos regenerativos localizados en el recto. El paciente padecía de prolapso rectal de varios años de evolución. b) Los cambios histológicos más característicos son la proliferación de fibras musculares en el interior de la mucosa (células con citoplasma rojo) y la fibrosis de la lámina propia (fibras de color azul). (b) (a) © 2007 Editorial Médica Panamericana, S.A de C.V. Cisfarm
  • 213.
    C10 Patología delaparato digestivo 211 FIGURA 10-33. Adenoma velloso. a) Pólipo semejante a una coliflor. Esta lesión fue resecada endoscópicamente. b) Microscópicamente están constituidos por numero- sas proyecciones digitiformes formadas por células displásicas. (b) (a) © 2007 Editorial Médica Panamericana, S.A de C.V. Cisfarm
  • 214.
    212 Patología especial FIGURA10-34. Poliposis múltiple adenomatosa. Miles de pólipos tapizan la mucosa del colon. © 2007 Editorial Médica Panamericana, S.A de C.V. Cisfarm
  • 215.
    C10 Patología delaparato digestivo 213 FIGURA 10-35. Modelo molecular de la evolución del cáncer colo-rectal (Fearon y Vogelstein). Epitelio normal Pérdida o mutación en el locus APC (cromosoma 5q) Hipometilación del ADN Mutación del gen ras (cromosoma 12p) Pérdida del gen DCC (cromosoma 18q) Pérdida del gen p53 (cromosoma 17p) Adenoma temprano Epitelio hiperproliferativo Adenoma intermedio Adenoma tardío CARCINOMA © 2007 Editorial Médica Panamericana, S.A de C.V. Cisfarm
  • 216.
    214 Patología especial FIGURA10-36. Adenocarcinoma del colon originado en un adenoma velloso. El tejido de aspecto claro en la parte inferior de la fotografía corresponde al carcinoma invasor. © 2007 Editorial Médica Panamericana, S.A de C.V. Cisfarm
  • 217.
    C10 Patología delaparato digestivo 215 FIGURA 10-37. Adenocarcinoma del colon. Este tumor circunferencial corresponde al denominado carcinoma en “anillo de servilleta”. Nótese la dilatación del colon proximal al tumor. © 2007 Editorial Médica Panamericana, S.A de C.V. Cisfarm
  • 218.
    216 Patología especial FIGURA10-38. Adenocarcinoma del colon. La mayoría de los tumores forman estructuras glandulares o tubulares constituidas por células columnares altas. © 2007 Editorial Médica Panamericana, S.A de C.V. Cisfarm
  • 219.
    C10 Patología delaparato digestivo 217 FIGURA 10-39. a) Sistema de estadificación de Dukes (supervivencia a cinco años). b) Sistema de estadificación de Astler-Coller (sobrevida a cinco años). © 2007 Editorial Médica Panamericana, S.A de C.V. Cisfarm
  • 220.
    218 Patología especial FIGURA10-40. Adenocarcinoma originado en el ámpula de Vater. En este sitio se localiza la mayoría de los adenocarcinomas del intestino delgado. © 2007 Editorial Médica Panamericana, S.A de C.V. Cisfarm
  • 221.
    C10 Patología delaparato digestivo 219 FIGURA 10-41. Cistadenocarcinoma del apéndice cecal. La neoplasia distiende la luz apendicular, la que se observa como una cavidad llena de moco. La neoplasia infiltra y destruye la pared del órgano. © 2007 Editorial Médica Panamericana, S.A de C.V. Cisfarm
  • 222.
    220 Patología especial FIGURA10-42. Partícula Dane y marcadores del virus de la hepatitis B. © 2007 Editorial Médica Panamericana, S.A de C.V. Cisfarm
  • 223.
    C10 Patología delaparato digestivo 221 FIGURA 10-43. Replicación del virus B en el hepatocito. Inmunotinción del antígeno superficial del virus B en el citoplasma de los hepatocitos. Inmunotinción que muestra antígeno central del virus B en el núcleo de numerosos hepatocitos. En algunas células se observa el núcleo sin teñir. © 2007 Editorial Médica Panamericana, S.A de C.V. Cisfarm
  • 224.
    222 Patología especial FIGURA10-44. Hepatitis viral aguda. a) Distorsión de las placas hepáticas por focos infla- matorios y lesión de los hepatocitos, que muestran variación en el tamaño y la tinción. Las alteraciones son más intensas alrededor de la vena centrolobulillar. b) Globo hialino: hepatocito intensamente eosinófilo con restos nucleares. Hay infiltración de linfocitos y células de Kupffer prominentes. c) Degeneración globoide: hepatocito aumentado de tamaño, rodeado por célu- las inflamatorias; muestra condensación del citoplasma alrededor del núcleo picnótico. (c) (b) (a) © 2007 Editorial Médica Panamericana, S.A de C.V. Cisfarm
  • 225.
    C10 Patología delaparato digestivo 223 FIGURA 10-45. Hepatitis fulminante: se observa necrosis hepatocelular total, con hemorragia, infiltración de linfocitos y neoformación de colangiolos. © 2007 Editorial Médica Panamericana, S.A de C.V. Cisfarm
  • 226.
    224 Patología especial FIGURA10-46. Hepatitis crónica con actividad mínima o leve. © 2007 Editorial Médica Panamericana, S.A de C.V. Cisfarm
  • 227.
    C10 Patología delaparato digestivo 225 FIGURA 10-47. Hepatitis crónica con actividad moderada. Los espacios porta presentan infiltración de linfocitos y células plasmáticas con destrucción parcial o total de la placa limitante. Los síntomas de insuficiencia hepática son leves o moderados. Las aminotransferasas están elevadas de tres a diez veces los valores normales (100 a 400 U/l). El diagnóstico diferencial histológico debe establecerse principalmente con la cirrosis biliar primaria. © 2007 Editorial Médica Panamericana, S.A de C.V. Cisfarm
  • 228.
    226 Patología especial FIGURA10-48. Hepatitis crónica con actividad intensa. La insuficiencia hepática es intensa, con cifras de aminotransferasas superiores a 400 U/l. El diagnóstico diferencial histológico debe hacerse con la hepatitis fulminante. El lobulillo hepático de la izquierda muestra un puente de necrosis entre el espacio porta y la vena eferente; en los lobulillos de la derecha hay necrosis total (multilobulillar). © 2007 Editorial Médica Panamericana, S.A de C.V. Cisfarm
  • 229.
    C10 Patología delaparato digestivo 227 FIGURA 10-49. Hepatitis crónica por virus C con actividad mínima, esteatosis focal y fibrosis intensa (lesión precirrótica). © 2007 Editorial Médica Panamericana, S.A de C.V. Cisfarm
  • 230.
    228 Patología especial FIGURA10-50. Causas de colestasis y conductos afectados. © 2007 Editorial Médica Panamericana, S.A de C.V. Cisfarm
  • 231.
    C10 Patología delaparato digestivo 229 FIGURA 10-51. a) Colestasis intrahepática: la colangiografía muestra conductos extrahepáticos normales en un caso de cirrosis biliar primaria. b) Biopsia del caso con destrucción de un conducto interlobulillar que presenta inflamación granulomatosa. (b) (a) © 2007 Editorial Médica Panamericana, S.A de C.V. Cisfarm
  • 232.
    230 Patología especial FIGURA10-52. a) Colestasis intrahepática: la colangiografía revela zonas de estenosis que alternan con dilatación de los conductos intrahepáticos en un caso de colangitis esclerosante primaria. (Cortesía de la doctora Margarita Dehesa.) b) La biopsia presenta fibrosis concéntrica de conductos biliares con obliteración parcial de la luz. (b) (a) © 2007 Editorial Médica Panamericana, S.A de C.V. Cisfarm
  • 233.
    C10 Patología delaparato digestivo 231 (b) (a) FIGURA 10-53. a) Colestasis extrahepática: litiasis de vesícula y conductos biliares extrahepáticos. b) La autopsia del caso (figura 10-53a) reveló colangitis bacteriana: conducto septal con neutrófilos y restos celulares en la luz. © 2007 Editorial Médica Panamericana, S.A de C.V. Cisfarm
  • 234.
    232 Patología especial FIGURA10-54. Estasis biliar intensa en canalículos y hepatocitos; los hepatocitos de la porción central, con citoplasma claro, presentan estasis de colatos (colatostasis). © 2007 Editorial Médica Panamericana, S.A de C.V. Cisfarm
  • 235.
    C10 Patología delaparato digestivo 233 FIGURA 10-55. Cirrosis biliar primaria: la mayoría de los hepatocitos presenta en el citoplasma material intensamente eosinófilo que corresponde a cuerpos de Mallory. © 2007 Editorial Médica Panamericana, S.A de C.V. Cisfarm
  • 236.
    234 Patología especial FIGURA10-56. Colestasis crónica: el depósito anormal de cobre en el citoplasma de los hepatocitos se asocia a aumento de la proteína transportadora de cobre que aparece como grumos café oscuros con la tinción de orceína con pH 1 a 2. © 2007 Editorial Médica Panamericana, S.A de C.V. Cisfarm
  • 237.
    C10 Patología delaparato digestivo 235 FIGURA 10-57. Efectos de la obstrucción del flujo biliar. Los xantomas y los trastornos secundarios a deficiencia de vitaminas liposolubles se presentan en colestasis crónicas; las restantes manifestaciones ocurren en obstrucciones biliares agudas y crónicas. En raras ocasiones el síndrome de colestasis es incompleto, como en el prurito del embarazo, sin ictericia. © 2007 Editorial Médica Panamericana, S.A de C.V. Cisfarm
  • 238.
    236 Patología especial FIGURA10-58. Hepatitis alcohólica: se observa un cuerpo de Mallory rodeado por neutrófilos (satelitosis). Los hepatocitos presentan cuerpos de Mallory y esteatosis. © 2007 Editorial Médica Panamericana, S.A de C.V. Cisfarm
  • 239.
    C10 Patología delaparato digestivo 237 FIGURA 10-59. a) Hepatitis alcohólica: el tricrómico de Masson muestra fibras de colágena tipo I, teñidas de color azul, entre las placas hepáticas. b) Hepatitis alcohólica con fibrosis pericelular intensa que oblitera los sinusoides. Tinción de retículo. (b) (a) © 2007 Editorial Médica Panamericana, S.A de C.V. Cisfarm
  • 240.
    238 Patología especial FIGURA10-60. Alteraciones anatómicas y funcionales de la cirrosis hepática. © 2007 Editorial Médica Panamericana, S.A de C.V. Cisfarm
  • 241.
    C10 Patología delaparato digestivo 239 FIGURA 10-61. a) Cirrosis de la hemocromatosis con nódulos de regeneración pequeños y uniformes. b) Aspecto histológico de la cirrosis micronodular: el nódulo de regene- ración es de menor tamaño que un lobulillo normal y está rodeado por colágena. Tinción de retículo. (b) (a) © 2007 Editorial Médica Panamericana, S.A de C.V. Cisfarm
  • 242.
    240 Patología especial FIGURA10-62. a) Cirrosis macronodular por virus B. En el lóbulo derecho hay zonas amplias de fibro- sis, el lóbulo izquierdo presenta atrofia y un carci- noma hepatocelular (nódulo mayor). b) Cirrosis con nódulos de regeneración de gran tamaño rodeados por bandas fibrosas de grosor variable. Tinción de retículo. (b) (a) © 2007 Editorial Médica Panamericana, S.A de C.V. Cisfarm
  • 243.
    C10 Patología delaparato digestivo 241 FIGURA 10-63. Carcinoma hepatocelular. Se observan tres características típicas de esta lesión: el color verde por la presencia de bilis, la invasión de un vaso (abajo y a la izquierda del tumor) y la coexistencia de cirrosis. © 2007 Editorial Médica Panamericana, S.A de C.V. Cisfarm
  • 244.
    242 Patología especial FIGURA10-64. Carcinoma hepatocelular con patrón trabecular: células semejantes a hepatocitos que se distribuyen en masas rodeadas por células endoteliales y separadas por sinusoi- des. © 2007 Editorial Médica Panamericana, S.A de C.V. Cisfarm
  • 245.
    C10 Patología delaparato digestivo 243 FIGURA 10-65. a) Metástasis de timoma en hígado. La depresión central de los nódulos tumorales es característica de las metástasis. b) Superficie de corte del hígado de la figura 10-65a con necrosis central y cavitación de las metástasis. (b) (a) © 2007 Editorial Médica Panamericana, S.A de C.V. Cisfarm
  • 246.
    244 Patología especial FIGURA10-66. Colelitiasis: cálculos facetados de colesterol. © 2007 Editorial Médica Panamericana, S.A de C.V. Cisfarm
  • 247.
    C10 Patología delaparato digestivo 245 FIGURA 10-67. Factores de riesgo en el desarrollo de cálculos de colesterol. © 2007 Editorial Médica Panamericana, S.A de C.V. Cisfarm
  • 248.
    246 Patología especial FIGURA10-68. Carcinoma de la vesícula biliar: hay litiasis, engrosamiento intenso de la pared vesicular y colestasis. © 2007 Editorial Médica Panamericana, S.A de C.V. Cisfarm
  • 249.
    C10 Patología delaparato digestivo 247 FIGURA 10-69. Esquema de las porciones exocrina y endocrina del páncreas. En la parte inferior se mues- tran dos micrografías electrónicas. La célula endocrina muestra los característicos gránulos neuroendocrinos electrón-densos y la célula exocrina, los gránulos de zimógeno que la identifican. Célula acinar m15 proteasas m6 amilasas mlipasa mfosfolipasa Célula endocrina Célula exocrina Islote de Langerhans mInsulina mGlucagón mSomatostatina mPolipéptido pancreático mPeptido intestinal vasoactivo C o n d u c t o © 2007 Editorial Médica Panamericana, S.A de C.V. Cisfarm
  • 250.
    248 Patología especial FIGURA10-70. Pancreatitis aguda. Esquema que conjunta los factores etiológicos, los mecanismos de acción y los efectos producidos. © 2007 Editorial Médica Panamericana, S.A de C.V. Cisfarm
  • 251.
    C10 Patología delaparato digestivo 249 FIGURA 10-71. Pancreatitis necrohemorrágica. Se observa necrosis extensa del parénquima pancreático, con múltiples áreas hemorrágicas. © 2007 Editorial Médica Panamericana, S.A de C.V. Cisfarm
  • 252.
    250 Patología especial FIGURA10-72. Fotomicrografía de la pancreatitis aguda. En la mitad izquierda se observa parénquima pancreático conservado y en el lado derecho, éste se encuentra necrótico, con escaso infiltrado inflamatorio. © 2007 Editorial Médica Panamericana, S.A de C.V. Cisfarm
  • 253.
    C10 Patología delaparato digestivo 251 FIGURA 10-73. Pancreatitis crónica. La mayor parte del parénquima pancreático ha sido sustituida por tejido fibroso, que se observa de color azul con la tinción de Masson. Hay escasos ácinos residuales en la parte izquierda. © 2007 Editorial Médica Panamericana, S.A de C.V. Cisfarm
  • 254.
    252 Patología especial FIGURA10-74. Adenocarcinoma de la cabeza del páncreas. El tumor es de límites poco precisos y comprime la arcada duodenal. © 2007 Editorial Médica Panamericana, S.A de C.V. Cisfarm
  • 255.
    C10 Patología delaparato digestivo 253 FIGURA 10-75. Adenocarcinoma bien diferenciado del páncreas. Se observan glándulas revestidas por células con características neoplásicas malignas. © 2007 Editorial Médica Panamericana, S.A de C.V. Cisfarm
  • 256.
    254 Patología especial FIGURA10-76. Islote de Langerhans. Se observa una rica malla vascular y, alrededor de ella, células argirófilas. Tinción de Grimelius. © 2007 Editorial Médica Panamericana, S.A de C.V. Cisfarm
  • 257.
    C10 Patología delaparato digestivo 255 FIGURA 10-77. Células que contienen insulina. Son numerosas y se localizan en la porción central del islote. Técnica de peroxidasa-antiperoxidasa. © 2007 Editorial Médica Panamericana, S.A de C.V. Cisfarm
  • 258.
    256 Patología especial FIGURA10-78. Células que almacenan somatostatina. Son escasas y con prolongaciones. Se sitúan entre las células α y β. Técnica de peroxidasa-antiperoxidasa. © 2007 Editorial Médica Panamericana, S.A de C.V. Cisfarm
  • 259.
    C10 Patología delaparato digestivo 257 FIGURA 10-79. Se identifican células productoras de somatostatina asociadas con células de los conductos. Técnica de peroxidasa. © 2007 Editorial Médica Panamericana, S.A de C.V. Cisfarm
  • 260.
    258 Patología especial FIGURA10-80. Micrografía electrónica de células α. Los gránulos son redondos, electrodensos y con un nucleoide de textura granular. © 2007 Editorial Médica Panamericana, S.A de C.V. Cisfarm
  • 261.
    C10 Patología delaparato digestivo 259 FIGURA 10-81. Micrografía electrónica de una célula β. Los gránulos son de tamaño y densidad variable, con halo amplio; algunos de ellos tienen aspecto cristaloide. © 2007 Editorial Médica Panamericana, S.A de C.V. Cisfarm
  • 262.
    260 Patología especial FIGURA10-82. Abajo a la izquierda se ilustran gránulos en donde se almacena somatostatina; son redondos, de tamaño y electrodensidad variable y se encuentran en una célula vecina a una célula β. © 2007 Editorial Médica Panamericana, S.A de C.V. Cisfarm
  • 263.
    C10 Patología delaparato digestivo 261 FIGURA 10-83. Tumor endocrino de páncreas, situado en la cabeza y reseca- do por medio de la técnica quirúrgica de Whipple. © 2007 Editorial Médica Panamericana, S.A de C.V. Cisfarm
  • 264.
    262 Patología especial FIGURA10-84. Fotomicrografía de un tumor endocrino del páncreas que ilustra cordones celulares en contacto con vasos sanguíneos. © 2007 Editorial Médica Panamericana, S.A de C.V. Cisfarm
  • 265.
    C10 Patología delaparato digestivo 263 FIGURA 10-85. Nidos sólidos de células neoplásicas rodeados por vasos de aspecto sinusoidal. Tinción de hematoxilina-eosina. © 2007 Editorial Médica Panamericana, S.A de C.V. Cisfarm
  • 266.
    264 Patología especial FIGURA10-86 . Las células de este tumor poseen gastrina en el citoplasma, evidenciada por la técnica de peroxidasa-antiperoxidasa unida a un anticuerpo antigastrina. El paciente tenía síndrome de Zollinger-Ellison. © 2007 Editorial Médica Panamericana, S.A de C.V. Cisfarm
  • 267.
    C10 Patología delaparato digestivo 265 FIGURA 10-87. Paciente con un tumor de células α. Se ilustra el eritema necrolítico característico. © 2007 Editorial Médica Panamericana, S.A de C.V. Cisfarm
  • 268.
    266 Patología especial Gastritisneutrofílica aguda Gastritis crónica De predominio corporal (tipo A) De predominio antral (tipo B) Eosinofílica Granulomatosa Linfocítica TABLA 10-1 Gastritis. Clasificación morfológica. Alcohol Medicamentos Aspirina Antiinflamatorios no esteroideos Esteroides Drogas antineoplásicas Isquemia Hipovolemia Estrés Quemaduras Cirugía Trauma TABLA 10-2 Gastropatía aguda. Causas. Digestión deficiente Mezcla inadecuada de alimentos y enzimas (posgastrectomía) Deficiencia de sales biliares Insuficiencia pancreática Deficiencia específica de algunas enzimas (disacaridasas) Absorción deficiente Reducción de la superficie de absorción (resección intestinal) Daño de la mucosa (enfermedad celíaca, Whipple, Crohn) Flora intestinal alterada (síndrome de asa ciega) Motilidad alterada (escleroderma) Enteropatía con pérdida de proteinas Linfangiectasias intestinales “Primarias” o idiopáticas Secundarias a obstrucción (Whipple, tumores) Daño de la mucosa (enfermedad celíaca) TABLA 10-3 Síndromes de malabsorción. Clasificación fisiopatológica. POBLACIÓN PREVALENCIA (%) Japoneses de Hawaii 56.2 Akita, Japón 37.7 Nueva Orleans, EUA 33.2 Estados Unidos de Norteamérica 32.2 Nueva York, EUA 32.1 Miyagi, Japón 28.1 Barcelona, España 21.7 Cali, Colombia 11.0 México 2.7 Shiraz, Irán 2.1 Bantus, África 0 Tomado de Rev Invest Clin 42:193-197.1990. TABLA 10-4 Prevalencia de pólipos adenomatosos en diversas series de autopsia. © 2007 Editorial Médica Panamericana, S.A de C.V. Cisfarm
  • 269.
    C10 Patología delaparato digestivo 267 CLASIFICACIÓN ANTIGUA CLASIFICACIÓN ACTUAL Hepatitis crónica lobulillar Hepatitis crónica con actividad mínima o leve Hepatitis crónica persistente Hepatitis crónica activa Hepatitis crónica con actividad moderada Con necrosis periportal o de la placa limitante Con necrosis periportal y “puentes” de necrosis Hepatitis crónica con actividad intensa entre espacios porta y venas eferentes o con necrosis multilobulillar Independientemente del grado de actividad, la fibrosis puede estar ausente o varía de leve a intensa. El grado de actividad no tiene relación con el pronóstico. TABLA 10-6 Clasificación histológica de la hepatitis crónica. VIRUS A VIRUS B VIRUS C VIRUS D VIRUS E Familia Picornavirus Hepadnavirus Flavivirus Deltavirus Calicivirus Ácidos nucleicos ARN (7.4 kb) ADN (3.2 kb) ARN (9.4 kb) ARN (1.7 kb) ARN (7.5 kb) Ultraestructura Icosaedro 27 nm Partícula Dane 42 nm Esférico 30-38 nm Esférico 36 nm Esférico 32 nm Transmisión Fecal-oral Parenteral Parenteral Parenteral Fecal-oral Incubación (semanas) 2 a 7; × 4 6 a 26; × 12 2 a 22; × 7 4 a 26; × 11 2 a 9; × 6 Marcadores serológicos Anticuerpo A Ag superficial Anticuerpo C Antígeno D Anticuerpo E Ac superficial Anticuerpo D Ac central Ag e Ac e Cronicidad No Sí Sí Sí No Pronóstico Bueno Variable Malo Malo Malo en embarazo TABLA 10-5 Características principales de los virus hepatotrópicos. © 2007 Editorial Médica Panamericana, S.A de C.V. Cisfarm
  • 270.
    268 Patología especial Cirrosissecundarias a diversas causas Cirrosis alcohólica Cirrosis por virus (B, C, D) Cirrosis por agentes químicos Cirrosis biliar secundaria Cirrosis congestiva Cirrosis por derivación yeyuno-ileal Cirrosis de la obesidad Cirrosis por hipervitaminosis A Cirrosis de etiología desconocida Cirrosis criptogénica Cirrosis biliar primaria Cirrosis secundaria a hepatitis autoinmune Cirrosis de la sarcoidosis Cirrosis infantil de la India Cirrosis asociadas con trastornos congénitos del metabolismo Cirrosis de la hemocromatosis Cirrosis de la enfermedad de Wilson Cirrosis de la galactosemia Cirrosis de la amilopectinosis Cirrosis de la tirosinemia Cirrosis por deficiencia de α-1-antitripsina Cirrosis de la hipermetioninemia TABLA 10-7 Etiología de la cirrosis hepática. Benignos Adenoma hepatocelular — Esteroides anticonceptivos Hemangioma — Malformación congénita Malignos Carcinoma hepatocelular — Virus B y C Hemocromatosis Tirosinemia hereditaria Aflatoxinas (?) Carcinoma fibrolaminar — ? Hepatoblastoma — ? Carcinoma colangiocelular — Clonorchis sinensis Opistorchis viverrine Angiosarcoma — Cloruro de vinilo Arsénico Dióxido de torio TABLA 10-8 Tumores hepáticos más comunes y causas. Alcoholismo Padecimientos de vías biliares Traumatismos directos Úlceras pépticas penetrantes Divertículos duodenales Isquemia aguda Choque Hiperlipidemia (tipos I y IV) Hipotermia Medicamentos (azatioprina, sulfonamidas, tiazidas, fu- rosemide, estrógenos, tetraciclinas, ácido valproico, pentamidina) Extensión de infecciones locales (peritonitis) Vasculitis Infecciones sistémicas, sobre todo virales Poscirugía Desnutrición Idiopáticas TABLA 10-9 Etiología de la pancreatitis. © 2007 Editorial Médica Panamericana, S.A de C.V. Cisfarm
  • 271.
    C10 Patología delaparato digestivo 269 CÉLULA HORMONA LOCALIZACIÓN Y% GRÁNULO (M.E.) α glucagón islotes, 20% redondo, con nucleoide excéntrico. β insulina islotes, 70% cristaloide δ somatostatina islotes, 5-10% y redondo,conelectroconductosdedensidadvariable δ 1 VIP islotes, <l% redondo, electrodenso PP polipéptido pancreático islotes, 1-2% y conductos redondo, tamaño variable EC serotonina conductos pleomórfico M.E.: microscopio electrónico; EC: enterocromafín; VIP: péptido intestinal vasoactivo. TABLA 10-10 Células y hormonas pancreáticas. Hiperplasia de células β Tumor extrapancreático Tumor pequeño en páncreas residual Tumores mesenquimatosos hipoglicemiantes Alteraciones funcionales TABLA 10-11 Hiperinsulinemia sin tumor pancreático. © 2007 Editorial Médica Panamericana, S.A de C.V. Cisfarm
  • 272.
    © 2007 EditorialMédica Panamericana, S.A de C.V. Cisfarm
  • 273.
    11 Roberto Barrios Patología delaparato respiratorio Patología del aparato respiratorio FIGURA 11-1. Corte de pulmón que muestra cambios de daño alveolar difuso. Se observa engrosamiento de los tabiques alveolares por la presencia de células inflamatorias. La luz de los alveolos muestra proteínas plasmáticas que acompañan al líquido de edema, así como algunos macrófagos. © 2007 Editorial Médica Panamericana, S.A de C.V. Cisfarm
  • 274.
    272 Patología especial FIGURA11-2. Aspecto macroscópico de pulmones en los que se aprecian cambios de neumonía. Existe consolidación lobar que contrasta con parénquima libre de lesiones. © 2007 Editorial Médica Panamericana, S.A de C.V. Cisfarm
  • 275.
    C11 Patología delaparato respiratorio 273 FIGURA 11-3. Corte de pulmón que muestra un cuerpo de Masson formado por fibroblastos que van de un alveolo al siguiente a través de los poros interalveolares. Esto representa la organización de un exudado. Además, se observa infiltrado inflamatorio crónico en el resto del parénquima pulmonar. © 2007 Editorial Médica Panamericana, S.A de C.V. Cisfarm
  • 276.
    274 Patología especial FIGURA11-4. Corte parasagital de un pulmón con neumonía la cual se ha abscedado y cavi- tado. Existe acentuado engrosamiento difuso de la pleura. © 2007 Editorial Médica Panamericana, S.A de C.V. Cisfarm
  • 277.
    C11 Patología delaparato respiratorio 275 FIGURA 11-5. Actinomicosis. Se observa un denso exudado purulento en medio del cual se presentan “gránulos actinomicóticos.” © 2007 Editorial Médica Panamericana, S.A de C.V. Cisfarm
  • 278.
    276 Patología especial FIGURA11-6. Neumonía por virus de inclusión citomegálica. Se aprecia un acercamiento de tabique alveolar muy engrosado. En una de las células que reviste a uno de los espacios se aprecia una inclusión intranuclear rodeada de un halo claro. Esta inclusión es muy característica del efecto citopático causado por el virus de inclusión citomegálica. © 2007 Editorial Médica Panamericana, S.A de C.V. Cisfarm
  • 279.
    C11 Patología delaparato respiratorio 277 FIGURA 11-7. Aspergilosis invasora. Se observan los organismos como filamentos tanto en la pared como en la luz de un vaso sanguíneo. © 2007 Editorial Médica Panamericana, S.A de C.V. Cisfarm
  • 280.
    278 Patología especial FIGURA11-8. Aspecto macroscópico de un pulmón con bronquiectasias. Pueden apreciarse los bronquios enormemente dilatados y rodeados de areas de fibrosis. © 2007 Editorial Médica Panamericana, S.A de C.V. Cisfarm
  • 281.
    C11 Patología delaparato respiratorio 279 FIGURA 11-9. Corte del bronquio de un paciente asmático. Se observa un epitelio metaplásico (que sustituye al epitelio cilíndrico ciliado normal) sobre una membrana muy engrosada. Nótese además un infiltrado inflamatorio en el tejido conjuntivo subyacente. © 2007 Editorial Médica Panamericana, S.A de C.V. Cisfarm
  • 282.
    280 Patología especial FIGURA11-10. Neumonía intersticial descamativa. Se aprecian algunos alvéolos de paredes moderadamente engrosadas por un infiltrado inflamatorio de linfocitos y algunos macrófagos. Lo más llamativo en el aspecto histológico de esta lesión es la presencia de numerosos macrófagos que ocupan y llenan los espacios alveolares. En el citoplasma de algunos macrófagos se aprecia un pigmento ocre que se le ha denominado pigmento del fumador. © 2007 Editorial Médica Panamericana, S.A de C.V. Cisfarm
  • 283.
    C11 Patología delaparato respiratorio 281 FIGURA 11-11. Neumonía intersticial de tipo usual o clásico. En esta condición existen zonas de pulmón con gran distorsión de la arquitectura normal del pulmón debido a fibrosis inters- titicial alternando con áreas de pulmón normal. En la ilustración se puede observar un área de fibrosis con uno de los llamados “focos fibroblásticos” muy característicos de esta lesión. © 2007 Editorial Médica Panamericana, S.A de C.V. Cisfarm
  • 284.
    282 Patología especial FIGURA11-12. Pulmón de un paciente con neumonitis por hipersensibilidad (alveolitis alérgica extrínseca). La figura muestra un conglomerado de linfocitos rodeando a algunas células gigantes multinucleadas con espacios vacíos en su interior los cuales corresponden a cristales de colesterol. © 2007 Editorial Médica Panamericana, S.A de C.V. Cisfarm
  • 285.
    C11 Patología delaparato respiratorio 283 FIGURA 11-13. Proteinosis alveolar. Se observan varios alvéolos cuyos tabiques no llaman mayormente la atención, son delgados y de aspecto normal sin embargo, los espacios alveolares están ocupados por abundante material eosinofílico, finamente granular y en algunas zonas grumoso constituido por surfactante el cual se acumula exageradamente en estos pacientes. © 2007 Editorial Médica Panamericana, S.A de C.V. Cisfarm
  • 286.
    284 Patología especial FIGURA11-14. Corte de pulmón de un enfermo con silicosis. Se aprecian nódulos de colágena densa organizados en forma de capas concéntricas. Las zonas centrales basofílicas repre- sentan focos de calcificación. © 2007 Editorial Médica Panamericana, S.A de C.V. Cisfarm
  • 287.
    C11 Patología delaparato respiratorio 285 FIGURA 11-15. Cuerpo ferruginoso, constituido por una fibra central de asbestos rodeada de pigmento férrico. © 2007 Editorial Médica Panamericana, S.A de C.V. Cisfarm
  • 288.
    286 Patología especial FIGURA11-16. Rama de arteria pulmonar que muestra cambios hipertensivos. Se observa reducción de su luz por fibrosis de la íntima y reduplicación de las fibras elásticas. © 2007 Editorial Médica Panamericana, S.A de C.V. Cisfarm
  • 289.
    C11 Patología delaparato respiratorio 287 FIGURA 11-17. Aspecto macroscópico de un émbolo pulmonar que ocupa tanto el tronco de la arteria pulmonar como sus dos ramas principales. © 2007 Editorial Médica Panamericana, S.A de C.V. Cisfarm
  • 290.
    288 Patología especial FIGURA11-18. Granulomatosis de Wegener. Parénquima pulmonar de un paciente con granulomatosis de Wegener. La figura ilustra una arteria ocluida por un trombo y rodeada de un infiltrado inflamatorio en el que se encuentran algunas células gigantes multinucleadas. © 2007 Editorial Médica Panamericana, S.A de C.V. Cisfarm
  • 291.
    C11 Patología delaparato respiratorio 289 FIGURA 11-19. Hamartoma pulmonar. La figura muestra un nódulo bien circunscrito, formado por cartílago con espacios ocasionales que pueden tener revestimiento en algunos sitios. © 2007 Editorial Médica Panamericana, S.A de C.V. Cisfarm
  • 292.
    290 Patología especial FIGURA11-20. Carcinoma epidermoide (escamoso). Se aprecian las células de aspecto escamoso infiltrando tejido conjuntivo el cual en parte se produce como respuesta a la neoplasia (reacción desmoplásica). © 2007 Editorial Médica Panamericana, S.A de C.V. Cisfarm
  • 293.
    C11 Patología delaparato respiratorio 291 FIGURA 11-21. Adenocarcinoma en el cual se aprecia formación de luces que recuerdan formaciones glandulares. La ilustración muestra además núcleos que varían mucho de tamaño y forma (pleomorfismo) con nucleolo muy prominente. © 2007 Editorial Médica Panamericana, S.A de C.V. Cisfarm
  • 294.
    292 Patología especial FIGURA11-22. Carcinoma bronquioloalveolar. El aspecto macroscópico puede asumir varias formas pero una de ellas es como consolidación lobar (zona más clara en la fotografía) que puede confundirse radiológicamente con una neumo- nía lobar. © 2007 Editorial Médica Panamericana, S.A de C.V. Cisfarm
  • 295.
    C11 Patología delaparato respiratorio 293 FIGURA 11-23. Carcinoma bronquioloalveolar. Se aprecian células epiteliales malignas tapizando espacios alveolares. Esta neoplasia crece sobre el epitelio alveolar respetando la aquitec- tura original. De acuerdo a la clasificación actual de neoplasias de la Organización Mundial de la Salud, se le considera un carcinoma in situ, es decir, preinvasivo. Si se demuestra invasión, se le denomina adenocarcinoma con patrón de crecimiento lepídico. © 2007 Editorial Médica Panamericana, S.A de C.V. Cisfarm
  • 296.
    294 Patología especial FIGURA11-24. Acercamiento del aspecto macroscopico de un mesotelioma. Esta neoplasia, de muy mal pronóstico, tiende a crecer alrededor del pulmón. Lo característico es que rodea al pulmón sin gran invasión parenquimatosa pero siguiendo los espacios ocupados por mesotelio (pleura, peritoneo). © 2007 Editorial Médica Panamericana, S.A de C.V. Cisfarm
  • 297.
    C11 Patología delaparato respiratorio 295 I. Vía aerógena o broncógena 1) Aspiración de material séptico 2) Postneumónico 3) Obstrucción 4) Postraumático II. Vía hematógena 1) Embolias sépticas 2) Infarto pulmonar séptico (émbolo séptico) 3) Secundaria a septicemia III. Por contigüidad o directa 1) Absceso subfrénico 2) Absceso hepático 3) Herida penetrada de tórax TABLA 11-2 Vías por las cuales los microorganismos piógenos pueden llegar al pulmón Pulmón de choque Pulmón húmedo Pulmón de bomba Pulmón rígido Pulmón postraumático Pulmón asociado a toxicidad por oxígeno Pulmón de respirador Atelectasia congestiva Síndrome de membranas hialinas del adulto Síndrome de Insuficiencia Respiratoria Progresiva del Adulto (SIRPA) Sinónimos utilizados para el síndrome de daño alveolar difuso TABLA 11-1 Panacinar (panlobulillar) Afecta al acino completo (se asocia a deficiencia de alfa 1 tripsina). Centroacinar (centrolobulillar) Afecta porciones proximales del acino (se asocia a tabaquismo). Paraseptal o distal Afecta al acino distal (se asocia a neumotórax espontáneo). Irregular o cicatrizal Se encuentra en la vecindad de cicatrices (por tracción). Otros (compensatorio, buloso, intersticial, senil) TABLA 11-5 Clasificación anatómica del enfisema Aspergilosis intrabronquial alérgica Aspergiloma Granulomatosis broncocéntrica Neumonía por aspergillus Aspergilosis invasora con vasculitis Empiema por aspergillus TABLA 11-4 Formas de respuesta tisular pulmonar al aspergillus. Levaduras Candidiosis Candida albicans Criptococosis Cryptococcus neoformans Filamentos Aspergilosis Aspergillus fumigatus Ficomicetos Mucormicosis Mucor Dimórficos Histoplasmosis Histoplasma capsulatum Blastomicosis Blastomyces dermatiditis Coccidioidomicosis Coccidioides immitis Esporotricosis Sporotrix shenckii TABLA 11-3 Hongos que producen infecciones pulmonares © 2007 Editorial Médica Panamericana, S.A de C.V. Cisfarm
  • 298.
    296 Patología especial Decausa conocida Polvos inorgánicos Silicio, berilio, aluminio, otros Polvos orgánicos Bagasosis, neumonitis por hipersensibilidad; (véase tabla 11-7) Polvos químicos Baquelita y otros Gases Oxígeno, cloro, otros Vapores Óxidos de Zn, Cu, Mg, Cd, otros Aerosoles Grasas, aceites, otros Medicamentos Nitrofurantoína, otros Radiaciones Agentes infecciosos Varios Uremia, insuficiencia cardiaca crónica, otras Causa desconocida: Neumonía intersticial usual o clásica (fibrosis pulmonar idiopática, síndrome de Hamman y Rich) Neumopatías asociadas a enfermedades del tejido conectivo Sarcoidosis Microlitiasis alveolar Histiocitosis de células de Langerhans (Histiocitosis X) Síndrome de Goodpasture Hemosiderosis pulmonar idiopática Procesos infiltrativos linfoides Vasculitis pulmonares granulomatosis de Wegener, PAN, Churg y Strauss) Enfermedad venooclusiva pulmonar Granulomatosis broncocéntrica Lesión de las vías aéreas con fibrosis intersticial (BOOP) TABLA 11-6 Enfermedades que afectan al intersticio pulmonar ENFERMEDAD AGENTE ASOCIADO CON Bagasosis Thermoactinomyces vulgaris Bagazo de la caña de azúcar Pulmón del granjero Micropolyspora faeni Heno, paja, silos Enfermedad de los “queseros” Penicillium casei Aspergillus clavatus Queso con mohos Enfermedad de los que cuidan palomas antígenos aviarios Palomas, pollos, pericos Enfermedad de los cafetaleros polvo del grano de café Enfermedad de los bañistas de sauna Aureobasidium sp. Agua de baños sauna contaminada Pulmón de los tabacaleros Aspergillus sp. Planta del tabaco TABLA 11-7 Algunos ejemplos de neumonitis por hipersensibilidad © 2007 Editorial Médica Panamericana, S.A de C.V. Cisfarm
  • 299.
    C11 Patología delaparato respiratorio 297 Crisotila Silicato de Fe, Mg y Al, es el más usado. Amosita Posee más sílice que el anterior, más Fe y menos Mg. Fibras más largas. Crocidolita Contiene benzopireno. Es el más relacio- nado con neoplasias malignas. TABLA 11-9 Clasificación de los asbestos AGENTE FUENTE Sílice y silicatos Abrasivos, cerámica, minería, vidrio Asbestos Aislantes, filtros (antiguamente los frenos de autos) Carbón Minería Estaño Fundición TABLA 11-8 Neumoconiosis Poliarteritis nodosa Artritis reumatoide Lupus eritematoso sistémico Esclerosis sistémica (esclerodermia) y síndrome de CREST Dermatopolimiositis Enfermedad mixta del tejido conjuntivo Vasculitis por hipersensibilidad Enfermedad de Behcet o síndrome de Hughes-Stovin Arteritis de Takayasu Vasculitis de células gigantes TABLA 11-11 Vasculitis sistémicas en las que puede existir compromiso pulmonar Cardiopatías Insuficiencia cardiaca (numerosas causas) Cortocircuitos cardiacos de izquierda a derecha; enfermedad de válvulas cardiacas Mixoma y trombosis intraauricular Enfermedad pulmonar intrínseca Enfisema, fibrosis intersticial de cualquier origen Enfermedad vascular pulmonar Tromboembolia pulmonar Hipertensión pulmonar primaria Enfermedad venooclusiva pulmonar Misceláneas Fibrosis y neoplasias mediastinales, obesidad, deformación del tórax TABLA 11-10 Causas de hipertensión pulmonar © 2007 Editorial Médica Panamericana, S.A de C.V. Cisfarm
  • 300.
    298 Patología especial I.Tumores epiteliales A) Benignos: 1. Papilomas 2. Adenomas B) Displasia/carcinoma in situ C) Malignos: 1. Carcinoma de células escamosas (epidermoide) 2. Carcinoma de células pequeñas 3. Adenocarcinoma a) Acinar b) Papilar c) Bronquioloalveolar d) Carcinoma sólido con producción de mucina 4. Carcinoma de células grandes a) Carcinoma de células Grandes neuroendocrino Carcinoma basaloide Carcinoma de cellulas Grandes con fenotipo babdoide b) Carcinoma de células claras c) Carcinoide Carcinoide típico Carcinoide atípico II. Tumores de tejidos blandos III. Tumores mesoteliales A) Benignos B) Malignos IV. Tumores misceláneos A) Benignos B) Malignos V. Tumores secundarios VI. Tumores no clasificados VII. Lesiones semejantes a tumores * Modificado de Organización Mundial de la Salud, 3a. ed. 2004. TABLA 11-12 Clasificación histológica de las neoplasias pulmonares* © 2007 Editorial Médica Panamericana, S.A de C.V. Cisfarm
  • 301.
    Patología del útero,vagina, vulva, ovario, glándula mamaria, del embarazo y de la placenta Patología del útero, vagina, vulva, ovario, glándula mamaria, del embarazo y de la placenta Fernando de la Torre Jaime Prat María J. Merino Paolo Di Castro FIGURA 12-1. Infección por herpes virus en vulva. Zona superficial de epitelio escamoso vulvar con cuerpos de inclusión de virus del herpes. Nótense los grandes cuerpos acidófilos alargados dentro de los núcleos. 12 © 2007 Editorial Médica Panamericana, S.A de C.V. Cisfarm
  • 302.
    300 Patología especial FIGURA12-2. a) Condiloma acuminado en labio menor de vulva. Nódulo blanco y papilar, bien delimitado. b) Condiloma acuminado de vulva. Papilomatosis con epitelio escamoso engrosado y con hiperqueratosis. (a) (b) © 2007 Editorial Médica Panamericana, S.A de C.V. Cisfarm
  • 303.
    C12 Patología delútero, vagina, vulva, ovario, glándula mamaria, del embarazo y de la placenta 301 FIGURA 12-3. Imagen colposcópca del cérvix de una mujer joven con un engrosamiento blanquecino (acetoblanco) correspondiente a una lesión condilomatosa subclínica. (Cortesía del Dr. Óscar Trejo Solórzano.) © 2007 Editorial Médica Panamericana, S.A de C.V. Cisfarm
  • 304.
    302 Patología especial FIGURA12-4. Condiloma de cérvix. El efecto citopático del VPH en una zona de destrucción citoplásmica perinuclear que produce un halo perinuclear característico junto con alteración nuclear. A estas células escamosas alteradas se les denomina coilocitos. También se aprecia macrocitosis y binucleación. © 2007 Editorial Médica Panamericana, S.A de C.V. Cisfarm
  • 305.
    C12 Patología delútero, vagina, vulva, ovario, glándula mamaria, del embarazo y de la placenta 303 FIGURA 12-5. Cervicitis por clamidia. Epitelio escamoso metaplásico del cérvix con pequeñas vacuolas citoplásmicas y corpúsculos en su interior correspondientes a inclusiones de cla- midia. © 2007 Editorial Médica Panamericana, S.A de C.V. Cisfarm
  • 306.
    304 Patología especial FIGURA12-6. Imagen citológica de la tricomoniasis vaginal (prueba de Papanicolaou). Se reconoce un trofozoíto piriforme con cilios y un pequeño núcleo alargado. Compare el tamaño con la célula intermedia del epitelio escamoso cervicovaginal. © 2007 Editorial Médica Panamericana, S.A de C.V. Cisfarm
  • 307.
    C12 Patología delútero, vagina, vulva, ovario, glándula mamaria, del embarazo y de la placenta 305 FIGURA 12-7. Endometritis tuberculosa. Las dos zonas nodulares en el estroma corresponden a granulomas. Las glándulas son de aspecto normal. Frecuentemente el foco de infección se encuentra en la trompa uterina. © 2007 Editorial Médica Panamericana, S.A de C.V. Cisfarm
  • 308.
    306 Patología especial FIGURA12-8. Zona de transformación (Z-T) del cérvix. © 2007 Editorial Médica Panamericana, S.A de C.V. Cisfarm
  • 309.
    C12 Patología delútero, vagina, vulva, ovario, glándula mamaria, del embarazo y de la placenta 307 FIGURA 12-9. Adenomiosis. El miometrio está intensamente engrosado y trabeculado con pequeños quistes correspondientes a endometrio ectópico. Característicamente produce aumento de espesor asimétrico del miometrio corporal. © 2007 Editorial Médica Panamericana, S.A de C.V. Cisfarm
  • 310.
    308 Patología especial FIGURA12-10. Pólipo endometrial que ocupa la cavidad endometrial. Habitualmente se adaptan a la forma de la cavidad y no la deforman significativamente. Son blandos, de crecimiento lento y pueden producir sangrado. © 2007 Editorial Médica Panamericana, S.A de C.V. Cisfarm
  • 311.
    C12 Patología delútero, vagina, vulva, ovario, glándula mamaria, del embarazo y de la placenta 309 FIGURA 12-11. a) Hiperplasia adenomatosa o compleja del endometrio. Las glándulas muestran proliferación en la forma de yemas ramificadas a partir de las glándulas originales. b) Hiperplasia simple del endometrio. Se compara una glándula normal en el lado derecho con una glándula grande y con epitelio aglo- merado en el lado izquierdo. (a) (b) © 2007 Editorial Médica Panamericana, S.A de C.V. Cisfarm
  • 312.
    310 Patología especial FIGURA12-12. a) Adenocarcinoma endometrial. La cavidad está ocupada por un gran tumor exofítico y nodular. El útero está aumentado de tamaño y hubo sangrado transvaginal. b) Carcinoma adenoscamoso del endometrio. Se observa el componente glandular y placas de epitelio escamoso en el mismo tumor. (a) (b) © 2007 Editorial Médica Panamericana, S.A de C.V. Cisfarm
  • 313.
    C12 Patología delútero, vagina, vulva, ovario, glándula mamaria, del embarazo y de la placenta 311 FIGURA 12-13. Tumor mixto mesodérmico (mülleriano) del útero. Doble componente, glandular y mesenquimatoso. En el componente mesenquimatoso hay células grandes de citoplasma acidófilo con diferenciación a músculo estriado. Corresponde a un tumor heterólogo. © 2007 Editorial Médica Panamericana, S.A de C.V. Cisfarm
  • 314.
    312 Patología especial FIGURA12-14. Leiomioma uterino. Las células musculares forman grandes fascículos separados por colágena en bandas de espesor variable (tinción tricrómica de Masson). © 2007 Editorial Médica Panamericana, S.A de C.V. Cisfarm
  • 315.
    C12 Patología delútero, vagina, vulva, ovario, glándula mamaria, del embarazo y de la placenta 313 FIGURA 12-15. a) Leiomiomas uterinos. Útero con múltiples nódulos bien circunscritos, subserosos e intramurales. También se reconoce un quiste seroso del ovario. b) Leiomioma submucoso pediculado que se ha prolapsado a través del canal y el orificio cervical externo hasta la vagina. Clínicamente se observa como un gran pólipo en el fondo de la vagina. (b) (a) © 2007 Editorial Médica Panamericana, S.A de C.V. Cisfarm
  • 316.
    314 Patología especial FIGURA12-16. Imagen histológica de un condiloma del cérvix. El epitelio es grueso y hay extensa coilocitosis en capas medias y superficiales, así como proliferación de las células pro- fundas. © 2007 Editorial Médica Panamericana, S.A de C.V. Cisfarm
  • 317.
    C12 Patología delútero, vagina, vulva, ovario, glándula mamaria, del embarazo y de la placenta 315 FIGURA 12-17. a) Neoplasia intraepitelial cervical grado 3 (lesión intraepitelial escamosa de alto grado). Imagen obtenida mediante colposcopio que muestra una amplia zona perio- rificiaria acetoblanca bien delimitada y realzada, con puntilleo. (Cortesía del Dr. Óscar Trejo Solórzano.) b) Neoplasia intraepitelial del cérvix grado 3 (NIC III) descubierta mediante estu- dio de Papanicolaou. Numerosas células inmaduras de núcleos grandes y escaso citoplasma (técnica de Papanicolaou). c) Neoplasia intraepitelial del cérvix grado 2 (NIC II). Lámina de epitelio escamoso atípico con células grandes e inmaduras que ocupan todo el espesor del epitelio. Por técnicas de biología molecular se demostró la presencia de genoma de virus de papiloma humano de los grupos de alto riesgo 16/18. (a) (b) (c) © 2007 Editorial Médica Panamericana, S.A de C.V. Cisfarm
  • 318.
    316 Patología especial FIGURA12-18. a) Condiloma ordinario del cérvix. Técnica de inmunoperoxidasa con anticuerpos contra pro- teínas tardías de VPH. Se aprecia positividad en las capas superficiales, donde se ha sintetizado la cápside del virus. b) Condiloma cervical. Técnica de hibridación de ADN in situ para VPH de los tipos 31/33/35. Se demues- tra la positividad en los núcleos en diferentes zonas del epitelio alterado. (Ambas imágenes son cortesía del Dr. Patricio Gariglio.) (a) (b) © 2007 Editorial Médica Panamericana, S.A de C.V. Cisfarm
  • 319.
    C12 Patología delútero, vagina, vulva, ovario, glándula mamaria, del embarazo y de la placenta 317 FIGURA 12-19. Carcinoma epidermoide invasor del cérvix. a) Cérvix abierto que revela una úlce- ra irregular y profunda en la zona de transformación asociada a un componente exofítico papilar. b) Epitelio anormal que penetra con ramificaciones irregulares y anguladas al estroma cervical. Hay inflamación ante el proceso infiltrante. c) Adenocarcinoma papilar del cérvix. El tumor es exo- fítico y revela numerosas prolongaciones digitiformes así como invasión al estroma en su base. (b) (c) (a) © 2007 Editorial Médica Panamericana, S.A de C.V. Cisfarm
  • 320.
    318 Patología especial FIGURA12-20. Carcinoma de ano asociado a condiloma perianal. (Cortesía del Dr. Óscar Coyoli García.) © 2007 Editorial Médica Panamericana, S.A de C.V. Cisfarm
  • 321.
    C12 Patología delútero, vagina, vulva, ovario, glándula mamaria, del embarazo y de la placenta 319 FIGURA 12-21. a) Folículo primordial. La célula germinal y ovogonia —que en este caso es multinucleada— aparece rodeada por una fina capa de células de la granulosa. En torno al folículo se observan fibro- blastos del estroma ovárico. b) Folículo de Graaf cavitado y constituido por una colección central de células de la granulosa que rodea al óvulo. El estroma circundante aparece condensado y se encuentra constituido por células de la teca. (a) (b) © 2007 Editorial Médica Panamericana, S.A de C.V. Cisfarm
  • 322.
    320 Patología especial FIGURA12-22. Quistes endometrióticos bilaterales. Se observa el contenido “achocolatado” característico. © 2007 Editorial Médica Panamericana, S.A de C.V. Cisfarm
  • 323.
    C12 Patología delútero, vagina, vulva, ovario, glándula mamaria, del embarazo y de la placenta 321 FIGURA 12-23. Ovario poliquístico. a) El ovario está aumentado de tamaño, muestra superficie blanquecina y contiene numerosos quis- tes foliculares. b) Los quistes se encuentran revestidos por una fina capa de células de la granulosa rodeada de una abundante colección de células de la teca luteinizadas. (a) (b) © 2007 Editorial Médica Panamericana, S.A de C.V. Cisfarm
  • 324.
    322 Patología especial FIGURA12-24. Hipertecosis del estroma ovárico. Nido central de células esteroides (células del estroma luteinizadas) productoras de andrógenos, rodeado de estroma ovárico hiperce- lular. © 2007 Editorial Médica Panamericana, S.A de C.V. Cisfarm
  • 325.
    C12 Patología delútero, vagina, vulva, ovario, glándula mamaria, del embarazo y de la placenta 323 FIGURA 12-25. Histogénesis de los tumores ováricos, frecuencia y distribución por edades. Origen Células epiteliales Células germinales Cordones sexuales Metástasis superficiales (tumores estroma epiteliales comunes) Frecuencia 65-70% 15-20% 5-10% 5% Edades Más de 20 años De 0 a 25 años Todas las edades Variable Tipos Tumor seroso • Teratoma • Fibroma Tumor mucinoso • Disgerminoma • Tumor de células de Tumor endometrioide • Tumor del saco la granulosa-teca Tumor de células claras vitelino • Tumor de células de Tumor de Brenner • Coriocarcinoma Sertoli-Leydig Tumor inclasificable © 2007 Editorial Médica Panamericana, S.A de C.V. Cisfarm
  • 326.
    324 Patología especial FIGURA12-26. Cistoadenoma seroso. Quiste unicameral de superficie externa lisa y blanquecina. En su interior había líquido claro. © 2007 Editorial Médica Panamericana, S.A de C.V. Cisfarm
  • 327.
    C12 Patología delútero, vagina, vulva, ovario, glándula mamaria, del embarazo y de la placenta 325 FIGURA 12-27. Cistoadenoma seroso de malignidad borderline (de bajo potencial de malignidad). a) La superficie interna del quiste muestra papilas blanquecinas que resultan de la proliferación epitelial. b) Se observa marcada proliferación epitelial con nidos celulares aislados. El estroma tiene aspecto uniforme y edematoso en las papilas. No se observa invasión destructiva. (a) (b) © 2007 Editorial Médica Panamericana, S.A de C.V. Cisfarm
  • 328.
    326 Patología especial FIGURA12-28. a) Cistoadenocarcinoma seroso papilar de alto grado de malignidad. El tumor es quístico y sólido. El componente sólido muestra al corte un color amarillento debido a necrosis. b) Carcinoma seroso papilar. Las células neoplásicas se agrupan en pequeños nidos y forman papilas que contienen ejes conectivo-vasculares. (a) (b) © 2007 Editorial Médica Panamericana, S.A de C.V. Cisfarm
  • 329.
    C12 Patología delútero, vagina, vulva, ovario, glándula mamaria, del embarazo y de la placenta 327 FIGURA 12-29. a) Cistoadenoma mucinoso de tipo intestinal. Múltiples cavidades quísticas que contienen moco espeso. b) Cistadenoma mucinoso benigno de tipo intestinal. Se observa una hilera de células columnares con núcleos basales y citoplasma eosinofílico con células caliciformes ocasionales. (b) (a) © 2007 Editorial Médica Panamericana, S.A de C.V. Cisfarm
  • 330.
    328 Patología especial FIGURA12-30. Cistoadenocarcinoma mucinoso bien diferenciado. Nido central de células apiteliales con arquitectura “cribiforme” secundaria a necrosis. © 2007 Editorial Médica Panamericana, S.A de C.V. Cisfarm
  • 331.
    C12 Patología delútero, vagina, vulva, ovario, glándula mamaria, del embarazo y de la placenta 329 FIGURA 12-31. Seudomixoma peritoneal en una paciente de 41 años de edad con antecedentes de cistadenoma mucinoso ovárico de tipo intestinal resecado seis años antes. Se observa una abundante colección de material mucoide que rodea las vísceras abdominales. © 2007 Editorial Médica Panamericana, S.A de C.V. Cisfarm
  • 332.
    330 Patología especial FIGURA12-32. a) Citoadenocarcinoma endometrioide. Tumor de gran tamaño, sólido y quístico, hemorrágico y necrótico. b) Adenocarcinoma endometrioide con diferenciación escamosa (adenoacantoma). (b) (a) © 2007 Editorial Médica Panamericana, S.A de C.V. Cisfarm
  • 333.
    C12 Patología delútero, vagina, vulva, ovario, glándula mamaria, del embarazo y de la placenta 331 FIGURA 12-33. Tecoma. Su aspecto es semejante al del fibroma, pero muestra color amarillo por su elevado contenido de hormonas esteroides. Se trata de un tumor funcionante. © 2007 Editorial Médica Panamericana, S.A de C.V. Cisfarm
  • 334.
    332 Patología especial FIGURA12-34. Tumor de células de la granulosa. La superficie de corte muestra numerosos espacios quísticos rellenos por coágulos sanguíneos separados por zonas sólidas de color gris-amarillo. © 2007 Editorial Médica Panamericana, S.A de C.V. Cisfarm
  • 335.
    C12 Patología delútero, vagina, vulva, ovario, glándula mamaria, del embarazo y de la placenta 333 FIGURA 12-35. a) Tumor de células de la granulosa. Se observan numerosos microfolículos rodeados por células de la granulosa. El aspecto oval y uniforme de los núcleos es característico y permite distinguirlos de los del carcinoma indiferenciado. b) Tumor de células de la granulosa juvenil. Varios folículos rudimentarios revestidos por células que muestran cierto grado de pleomorfismo nuclear. El estroma adyacente contiene células de la teca luteinizadas. (b) (a) © 2007 Editorial Médica Panamericana, S.A de C.V. Cisfarm
  • 336.
    334 Patología especial FIGURA12-36. Tumor de células de Sertoli-Leydig bien diferenciado. El aspecto histológico recuerda al de un testículo fetal. Se observan túbulos revestidos por células de Sertoli (izquierda) y nidos de células esteroides tipo Leydig (derecha). © 2007 Editorial Médica Panamericana, S.A de C.V. Cisfarm
  • 337.
    C12 Patología delútero, vagina, vulva, ovario, glándula mamaria, del embarazo y de la placenta 335 FIGURA 12-37. Tumor de células esteroides (lipoide) inespecífico. Las células de contornos poligonales contienen citoplasma eosinofílico abundante y núcleos redondos uniformes. Estas células son idénticas a las que se encuentran en el intersticio del testículo y en la corteza suprarrenal. © 2007 Editorial Médica Panamericana, S.A de C.V. Cisfarm
  • 338.
    336 Patología especial FIGURA12-39. a) Disgerminoma ovárico. Las células contienen núcleos redondos inmaduros y citoplasmas de aspecto vacuolado de contenido rico en glucógeno. Los márgenes citoplásmicos son bien definidos y en los septos se observan numerosos linfocitos. b) Tumor del saco vitelino. Arquitectura laberíntica y numerosos cuerpos glomeruloides de Schiller-Duval. (b) (a) © 2007 Editorial Médica Panamericana, S.A de C.V. Cisfarm
  • 339.
    C12 Patología delútero, vagina, vulva, ovario, glándula mamaria, del embarazo y de la placenta 337 FIGURA 12-40. Teratoma quístico maduro. El quiste contiene sebo de color amarillo y pelos. © 2007 Editorial Médica Panamericana, S.A de C.V. Cisfarm
  • 340.
    338 Patología especial FIGURA12-41. Teratoma inmaduro. Tumor sólido de aspecto cerebroide (por su contenido en tejido neural), con amplias zonas hemorrágicas y necróticas. © 2007 Editorial Médica Panamericana, S.A de C.V. Cisfarm
  • 341.
    C12 Patología delútero, vagina, vulva, ovario, glándula mamaria, del embarazo y de la placenta 339 FIGURA 12-42. Teratoma inmaduro grado histológico III. Tejido neural inmaduro hipercelular con extensa necrosis central. Se observan neurotúbulos que simulan estadios normales del desarrollo de sistema nervioso central. © 2007 Editorial Médica Panamericana, S.A de C.V. Cisfarm
  • 342.
    340 Patología especial FIGURA12-43. Tumor de Krukenberg. Se observan nidos de células mucosecretoras en anillo de sello rodeadas por una llamativa proliferación fibroblástica del estroma. El tumor primario se encontraba en el antro gástrico. © 2007 Editorial Médica Panamericana, S.A de C.V. Cisfarm
  • 343.
    C12 Patología delútero, vagina, vulva, ovario, glándula mamaria, del embarazo y de la placenta 341 FIGURA 12-44. Lóbulo mamario normal, con conductos ácinos y estroma. © 2007 Editorial Médica Panamericana, S.A de C.V. Cisfarm
  • 344.
    342 Patología especial FIGURA12-45. Involución mamaria con atrofia del componente epitelial. © 2007 Editorial Médica Panamericana, S.A de C.V. Cisfarm
  • 345.
    C12 Patología delútero, vagina, vulva, ovario, glándula mamaria, del embarazo y de la placenta 343 FIGURA 12-46. Mama lactante con (recuadro) vacuolación citoplásmica y secreción. © 2007 Editorial Médica Panamericana, S.A de C.V. Cisfarm
  • 346.
    344 Patología especial FIGURA12-47. Necrosis grasa de la mama. © 2007 Editorial Médica Panamericana, S.A de C.V. Cisfarm
  • 347.
    C12 Patología delútero, vagina, vulva, ovario, glándula mamaria, del embarazo y de la placenta 345 FIGURA 12-48. Mastopatía fibroquística. © 2007 Editorial Médica Panamericana, S.A de C.V. Cisfarm
  • 348.
    346 Patología especial FIGURA12-49. Mastopatía fibroquística con microquistes y proliferación epitelial, proliferación intraductal y metaplasia apocrina. © 2007 Editorial Médica Panamericana, S.A de C.V. Cisfarm
  • 349.
    C12 Patología delútero, vagina, vulva, ovario, glándula mamaria, del embarazo y de la placenta 347 FIGURA 12-50. Ginecomastia. a) Aspecto macroscópico de hipertrofia. b) Histología con hiperplasia ductal y estromal. (b) (a) © 2007 Editorial Médica Panamericana, S.A de C.V. Cisfarm
  • 350.
    348 Patología especial FIGURA12-51. Fibroadenoma mamario. a) Un nódulo bien definido con b) proli- feración de conductos, ácinos y estroma. (b) (a) © 2007 Editorial Médica Panamericana, S.A de C.V. Cisfarm
  • 351.
    C12 Patología delútero, vagina, vulva, ovario, glándula mamaria, del embarazo y de la placenta 349 FIGURA 12-52. Papiloma intraductal. © 2007 Editorial Médica Panamericana, S.A de C.V. Cisfarm
  • 352.
    350 Patología especial FIGURA12-53. Carcinoma intraductal. a) Conductos íntegros. b) Anaplasia del epitelio ductal. (b) (a) © 2007 Editorial Médica Panamericana, S.A de C.V. Cisfarm
  • 353.
    C12 Patología delútero, vagina, vulva, ovario, glándula mamaria, del embarazo y de la placenta 351 FIGURA 12-54. Carcinoma ductal infiltrante. a) Nódulo firme con retracción del tejido vecino. b) Nódulo con infiltración por el epitelio neoplásico. (a) (b) © 2007 Editorial Médica Panamericana, S.A de C.V. Cisfarm
  • 354.
    352 Patología especial FIGURA12-55. Carcinoma lobulillar. a) Infiltrante. b) Con invasión en hileras de células. (b) (a) © 2007 Editorial Médica Panamericana, S.A de C.V. Cisfarm
  • 355.
    C12 Patología delútero, vagina, vulva, ovario, glándula mamaria, del embarazo y de la placenta 353 FIGURA 12-56. Enfermedad de Paget del pezón con invasión de epidermis. © 2007 Editorial Médica Panamericana, S.A de C.V. Cisfarm
  • 356.
    354 Patología especial FIGURA12-57. Cistosarcoma filoide. a) Con un nódulo lobulado. b) Con prolife- ración epitelial en una estroma muy celular. (b) (a) © 2007 Editorial Médica Panamericana, S.A de C.V. Cisfarm
  • 357.
    C12 Patología delútero, vagina, vulva, ovario, glándula mamaria, del embarazo y de la placenta 355 FIGURA 12-58. Angiosarcoma de la mama con espacios vasculares revestidos por células endoteliales prominentes. © 2007 Editorial Médica Panamericana, S.A de C.V. Cisfarm
  • 358.
    356 Patología especial FIGURA12-59. Anatomía de la placenta de término. a) Relación útero-placenta. Hacia la cavidad amniótica está la cara fetal; en contacto con la decidua basal está la cara materna. De la cara fetal se originan las membranas fetales (constituidas por corion leve y amnios) adosadas a la decidua parietal. El conjunto de vellosidades coriales irrigadas por el mismo vaso decidual constituye un cotiledón. El conjunto de cotiledones integra el corion frondoso (placenta propiamente dicha). b) Vellosidades coriales de término. Son las unidades anatomofuncionales de la placenta. Están cubiertas por una capa continua de sincitiotrofoblasto y en su interior ramas de los vasos umbilicales. Las vellosidades están separadas entre sí por el espacio interve- lloso, donde circula la sangre materna. c) Barrera placentaria (membranas metabólicas). La separación entre la sangre materna y la fetal se da por el trofoblasto, su membrana basal, la membrana basal del endotelio y el endotelio mismo. (a) (c) (b) © 2007 Editorial Médica Panamericana, S.A de C.V. Cisfarm
  • 359.
    C12 Patología delútero, vagina, vulva, ovario, glándula mamaria, del embarazo y de la placenta 357 FIGURA 12-60. Anormalidades de la implantación. Se observa una placen- ta de inserción baja, en contacto con el orificio cervical interno, y una placenta previa que lo ocluye total- mente. En el lado derecho se mues- tran las tres variedades de acretismo placentario: placenta accreta (vellosi- dades en contacto con el miometrio), placenta increta (vellosidades en el espesor del miometrio) y placen- ta percreta (las vellosidades infiltran todas las capas de la pared uterina, incluyendo la serosa). © 2007 Editorial Médica Panamericana, S.A de C.V. Cisfarm
  • 360.
    358 Patología especial FIGURA12-61. Pieza de histerectomía por acretismo. La paciente presentó hemorragia intensa y retención de la placenta. El útero es de tipo puerperal, grande, no contraído (subinvo- lucionado), y se observa una placenta de inserción baja que involucra todo el espesor de la pared uterina (placenta percreta). © 2007 Editorial Médica Panamericana, S.A de C.V. Cisfarm
  • 361.
    C12 Patología delútero, vagina, vulva, ovario, glándula mamaria, del embarazo y de la placenta 359 FIGURA 12-62. Fisiopatología de la enfermedad hipertensiva aguda del embarazo (preclampsia-eclampsia). (Modificado de Cavanagh y O’Connor.) © 2007 Editorial Médica Panamericana, S.A de C.V. Cisfarm
  • 362.
    360 Patología especial FIGURA12-63. Anatomía patológica de la enfermedad hipertensiva aguda del embarazo. a) Lecho placentario (decidua basal) con vasos arteriales con aterosis aguda. La íntima muestra abundantes células de citoplasma espumoso que sustituyen la pared. Hay necrosis fibrinoide de la media. La lesión es similar a la observada en el rechazo de injerto renal, por lo cual se ha especulado sobre un origen inmunológico. b) La placenta es pequeña y en la cara materna se observan múltiples áreas de infarto (pálidos, café amarillento, bien delimi- tados) y hematomas. Estas lesiones son consecuencia de la interrupción del flujo vascular decidual y de la ruptura vascular, respectivamente. Grandes hematomas se pueden asociar a desprendimiento prematuro de la placenta (abruptio placentae). c) En el hígado se observan múltiples áreas de hemorragia, de predomi- nio subcapsular. d) La lesión renal afecta al endotelio del glomérulo (endoteliosis) y consiste en aumento del tamaño citoplásmico con vacuolización. Esta lesión, igual que la hepática, involuciona después del nacimiento del feto. e) Sistema nervioso central: hay múltiples focos de hemorragia, a veces petequial; la anoxia neuronal resultante es la responsable de las crisis convulsivas de la eclampsia. (a) (b) (c) (d) (e) © 2007 Editorial Médica Panamericana, S.A de C.V. Cisfarm
  • 363.
    C12 Patología delútero, vagina, vulva, ovario, glándula mamaria, del embarazo y de la placenta 361 FIGURA 12-64. Corte histológico de pulmón en embolia de líquido amniótico. Los capilares pulmonares contienen escamas de la piel del feto (de color azul). © 2007 Editorial Médica Panamericana, S.A de C.V. Cisfarm
  • 364.
    362 Patología especial FIGURA12-65. Infección perinatal. a) Infección perinatal de tipo ascendente. Los microorganismos cervicovaginales se extienden a la cavidad amniótica. Si el feto inhala el líquido amniótico infectado desarrollará una neumonía congénita de adquisición intrauterina. La infección producirá liberación de prostaglandinas, que resultará en contractilidad del miometrio y la liberación de elastasas por los neutrófilos ocasionará ruptura de membranas fetales. La contractilidad y la ruptura de membranas son responsables de un parto inmaduro (antes de 28 semanas de gestación) o pretérmino (antes de 37 semanas). b) Corioamnionitis. La cara materna con coloración amarillenta de las membranas. El feto es inmaduro. El inserto muestra el abundante exudado de neutrófilos. c) Infección perinatal hematógena. Involucra a las vellosidades coriales y al feto. La infección generalmente es llevada a la placenta a través de la sangre materna, pero también puede originarse por la reactivación de focos infecciosos en el endometrio o decidua (por ejemplo tuberculosis). Los agentes patógenos cruzan la barrera placentaria y se introducen en los vasos de las vellosidades para llegar al feto por la circulación umbilical. d) Placenta en infección por citomegalovirus. En el interior de una vellosidad corial se aprecian las características inclusiones intranucleares e intracitoplásmicas. (Caso cortesía de la Dra. Lourdes Molinar.) (b) (a) (c) (d) © 2007 Editorial Médica Panamericana, S.A de C.V. Cisfarm
  • 365.
    C12 Patología delútero, vagina, vulva, ovario, glándula mamaria, del embarazo y de la placenta 363 FIGURA 12-66. Patología frecuente del cordón umbilical. a) Inserción velamentosa del cordón. Los vasos se ramifican sobre las membranas fetales. b) Arteria umbilical única. Se observan sólo dos vasos, una arteria (luz pequeña) y una vena (luz grande). Por fuera de ellos, la gela- tina de Warthon. (b) (a) © 2007 Editorial Médica Panamericana, S.A de C.V. Cisfarm
  • 366.
    364 Patología especial FIGURA12-67. Tipos de placenta gemelar. a) Monocorial monoamniótica. Los dos fetos están en la misma cavidad amnió- tica y son monocigotos. b) Monocorial diamniótica. Los gemelos son monocigotos, cada uno en una diferente bolsa amniótica. c) Dicorial fusionada. Son dos placentas estrechamente unidas; los gemelos pueden ser dicigotos (85% de los casos) o monocigotos (15%). d) Dicorial separada. Se aprecian dos placentas aisladas. La correlación de cigocidad es igual al tipo anterior. (a) (b) (d) (c) © 2007 Editorial Médica Panamericana, S.A de C.V. Cisfarm
  • 367.
    C12 Patología delútero, vagina, vulva, ovario, glándula mamaria, del embarazo y de la placenta 365 FIGURA 12-68. a) Trompa uterina en embarazo ectópico tubario. La porción ampular está dilatada, la pared congestiva. La luz ocupada por coágulos y el saco gestacional, con embrión de 8 mm. b) Imagen microscópica: las vellosidades están implantadas en la mucosa tubaria. c) Endometrio con reacción de Arias-Stella. Las glándulas están dilatadas, de borde aserrado, revestidas por células de citoplasma claro y núcleos grandes atípicos. (b) (a) (c) © 2007 Editorial Médica Panamericana, S.A de C.V. Cisfarm
  • 368.
    366 Patología especial FIGURA12-69. a) Pieza de histerectomía en bloque (útero y producto de la concepción) con mola hidatidiforme completa: se observan múltiples vesículas translúcidas o café claro, de casi 2 cm de diámetro. b) Imagen microscópica de la mola hidatidiforme. Las vellosidades son hidrópicas, avasculares y con grado variable de hiperplasia del trofoblasto. No hay correlación entre el grado de hiperplasia del trofoblasto y el pronóstico para la paciente. (b) (a) © 2007 Editorial Médica Panamericana, S.A de C.V. Cisfarm
  • 369.
    C12 Patología delútero, vagina, vulva, ovario, glándula mamaria, del embarazo y de la placenta 367 FIGURA 12-70. Pieza de histerectomía con mola invasora. La lesión es focal, en el espesor del miometrio, por lo cual el legrado uterino no sirve para su diagnóstico. © 2007 Editorial Médica Panamericana, S.A de C.V. Cisfarm
  • 370.
    368 Patología especial FIGURA12-71. Aspecto macro y microscópico del coriocarcinoma. La lesión es pequeña, involucra el fondo uterino, se extiende al miome- trio; es necrótica, rojiza, de bordes mal definidos. Los ovarios muestran grandes quistes tecaluteínicos secundarios a los niveles elevados de hCG. Microscópicamente se observan cordones o masas formadas por dos tipos de células, las externas de citoplasma más oscuro, que corresponden al sincitiotrofoblasto, y las internas de citoplasma claro, citotrofoblasto. (b) (a) © 2007 Editorial Médica Panamericana, S.A de C.V. Cisfarm
  • 371.
    C12 Patología delútero, vagina, vulva, ovario, glándula mamaria, del embarazo y de la placenta 369 AGENTE ENFERMEDAD PRODUCIDA 1. Virus herpes simplex Herpes genital 2. Virus del papiloma humano Condiloma, displasias y cáncer genital 3. Virus de la hepatitis B Hepatitis B 4. Virus de la inmunodeficiencia humana SIDA 5. Virus del molusco contagioso Molusco contagioso 6. Chlamydia trachomatis Clamidiasis 7. Calymmatobacterium (Donovania) granulomatis Granuloma inguinal 8. Haemophilus ducreyi Chancroide 9. Treponema pallidum Sífilis 10. Neisseria gonorrhoeae Blenorragia (gonorrea) 11. Gardnerella vaginalis Vaginosis bacteriana 12. Trichomonas vaginalis Tricomoniasis 13. Entamoeba histolytica Amibiasis genital 14. Giardia lamblia Giardiasis 15. Sarcoptes scabiei Escabiasis (sarna) 16. Phthirus pubis Pediculosis púbica TABLA 12-1 Enfermedades de transmisión sexual 1. Historia clínica 2. Observación clínica, directa o con técnicas de microscopia como la colposcopia, la vulvoscopia o la peniscopia 3. Cultivo de las lesiones 4. Serología 5. Estudio microscópico en fresco 6. Citología 7. Biopsia convencional 8. Inmunohistoquímica 9. Biología molecular 10. Microscopia electrónica TABLA 12-2 Procedimientos para diagnóstico de enfermedades infecciosas genitales L1, L2, L3 Linfogranuloma venéreo A, B, Ba, C Tracoma B, D, E, F, G, H, I, J, K Uretritis, cervicitis, enfermedad inflamatoria pélvica, conjuntivitis, epididimitis, perihepatitis, neumonía de lactantes TABLA 12-3 Inmunotipos de Chlamydia trachomatis y síndromes clínicos © 2007 Editorial Médica Panamericana, S.A de C.V. Cisfarm
  • 372.
    370 Patología especial 1.Manipulación quirúrgica u obstétrica 2. Depresión inmunofisiológica (embarazo) 3. Depresión inmune grave (inmunosupresión médica o SIDA) 4. Modificación del microambiente vaginal (disminución de la acidez vaginal) 5. Prolapso uterino 6. Obstrucciones del canal cervical o la cavidad uterina 7. Aplicación de DIU o tapones vaginales 8. Focos sépticos a. Vías genitales inferiores o a distancia b. Rotura prematura de membranas c. Neoplasias con necrosis e infección secundaria 9. Traumatismos (maniobras abortivas, violación, otros) TABLA 12-6 Factores que favorecen las infecciones uterinas Sífilis primaria Chancro Sífilis secundaria Condiloma plano en mucosas Erupción maculopapular generalizada con afección palmoplantar Alopecia Linfadenopatía Hepatitis Síndrome neurótico Uveítis Sílilis latente Asintomática, con serología positiva Sífilis terciaria Neurosífilis Sífilis cardiovascular Gomas (lesiones granulomatosas) TABLA 12-5 Etapas evolutivas de la sífilis Infecciosas (enfermedades por transmisión sexual ulcerativas): Granuloma inguinal Calymmatobacterium (Donovania) granulomatis Linfogranuloma venéreo Chlamydia trachomatis Chancroide (chancro blando) Haemophilus ducreyi Sífilis (chancro) Treponema pallidum Herpes genital Herpes simplex Ulceropatía genital por cocos grampositivos Cocos grampositivos (estreptococos, estafilococos) Candidosis Candida Tuberculosis genital Mycobacterium tuberculosis No infecciosas: Trauma Inflamatorias no infecciosas Síndrome de Behçet Neoplasias malignas: Carcinoma epidermoide in situ (NIVU) o invasor Melanoma maligno Enfermedad de Paget TABLA 12-4 Causas de úlcera en genitales externos (ulceropatía genital) © 2007 Editorial Médica Panamericana, S.A de C.V. Cisfarm
  • 373.
    C12 Patología delútero, vagina, vulva, ovario, glándula mamaria, del embarazo y de la placenta 371 Sarcomas puros Homólogos (tejidos propios del útero): Leiomiosarcorna Sarcoma del estroma endometrial bajo grado alto grado Heterólogos (tejidos ajenos al útero): Rabdomiosarcoma, condrosarcoma, osteosarcoma, etcétera Tumores mixtos mesodérmicos (müllerianos) Homólogos o heterólogos TABLA 12-10 Clasificación de sarcomas de útero Benignos Adenofibroma Adenomioma Malignos Adenosarcoma homólogo heterólogo Carcinosarcoma (tumor mixto mesodérmico o mülleriano) homólogo heterólogo Carcinofibroma Tomado de International Society of Gynecologic Pathologists. 1989. TABLA 12-11 Clasificación de tumores endometriales mixtos 1. Obesidad 2. Síndrome de ovarios poliquísticos (Stein-Leventhal) 3. Administración exógena de estrógenos 4. Neoplasias ováricas productoras de estrógenos 5. Ciclos anovulatorios (disfunción ovárica-hipotalámica) TABLA 12-7 Condiciones asociadas a producción anormal de estrógenos u hormonas relacionadas Hiperplasia simple (con o sin atipia) Hiperplasia compleja o adenomatosa (con o sin atipia) TABLA 12-8 Clasificación de la hiperplasia endometrial (OMS) A. Adenocarcinoma Adenocarcinoma endometrioide Carcinoma adenoscamoso (incluye adenoacantoma) Adenocarcinoma mucinoso Adenocarcinoma papilar seroso Adenocarcinoma de células claras B. Carcinoma de células pequeñas C. Carcinoma epidermoide TABLA 12-9 Clasificación de carcinoma endometrial © 2007 Editorial Médica Panamericana, S.A de C.V. Cisfarm
  • 374.
    372 Patología especial REAGANRICHART MEISELS SISTEMA BETHESDA Displasia leve NIC I Condiloma ordinario Lesión intraepitelial escamosa de bajo grado Displasia moderada NIC II Condiloma atípico Displasia intensa NIC III Lesión intraepitelial escamosa de alto grado Carcinoma epidermoide in situ TABLA 12-12 Clasificación de las lesiones premalignas del cuello uterino 1. Infección por virus de papiloma humano 2. Inicio de vida sexual activa antes de los 17 años 3. Multiparidad 4. Tabaquismo 5. Historia de enfermedades de transmisión sexual repetidas 6. Promiscuidad sexual (múltiples parejas sexuales o pa- reja masculina de riesgo) 7. Inmunosupresión TABLA 12-13 Factores de riesgo para el desarrollo de lesiones premalignas o carcinoma del cérvix Estadio I Carcinoma confinado al cérvix Estadio II Carcinoma que se extiende fuera del cérvix pero sin llegar a la pared pélvica y/o que invade la vagina pero sin llegar al tercio inferior Estadio III Carcinoma que se extiende hasta la pared pélvica y/o al tercio inferior de la vagina. Estadio IV Carcinoma que se extiende más allá de la pelvis verdadera y/o que ha invadido la mucosa de la vejiga o el recto. Tomado de International Federation of Gynecology and Obstetrics (FIGO). 1985. TABLA 12-14 Carcinoma del cérvix Clasificación por etapa clínica 1. Carcinomas: a) Carcinoma epidermoide queratinizante no queratinizante de células grandes no queratinizante de células pequeñas tipo verrugoso b) Adenocarcinoma c) Carcinoma adenoescamoso d) Carcinoma transicional e) Carcinoma endocrino 2. Sarcomas: a) Leiomiosarcoma 3. Otros tipos: a) Tumor mixto mesodérmico (mülleriano) b) Melanoma maligno TABLA 12-15 Neoplasias malignas del cérvix Clasificación histológica © 2007 Editorial Médica Panamericana, S.A de C.V. Cisfarm
  • 375.
    C12 Patología delútero, vagina, vulva, ovario, glándula mamaria, del embarazo y de la placenta 373 1. Carcinomas: a) Carcinoma epidermoide Tipo clásico o común (asociado o no a infección por VPH) Basaloide (asociado a infección por VPH) Condilomatoso (asociado a infección por VPH) Verrugoso ("verrucoso") (asociado a infección por VPH) b) Carcinoma basocelular c) Adenocarcinoma Carcinoma adenoide quístico Enfermedad de Paget vulvar Adenocarcinomas de glándulas sudoríparas 2. Sarcomas: a) Leiomiosarcoma b) Otros tipos (raros) 3. Otros tipos: a) Melanoma maligno TABLA 12-17 Neoplasias malignas de la vulva Clasificación histológica Los grados 1 y 2 son poco comunes, la mayoría corres- ponde a NIVU 3. La mayoría de las lesiones ocurre entre los 20 y los 40 años. La progresión a carcinoma invasor es rara, especialmen- te en mujeres jóvenes. El tratamiento es la escisión con estudio histopatológico para descartar microinvasión o invasión. TABLA 12-16 Características de la neoplasia intraepitelial vulvar Estadio I: Tumor limitado a los ovarios. Estadio Ia: Tumor limitado a un ovario; no hay ascitis. La superficie externa se encuentra libre y la cápsula intacta. Estadio Ib: Tumor limitado a ambos ovarios; no hay ascitis. La superficie externa se encuentra libre y la cápsula intacta. Estadio Ic: Tumores en estadio Ia o en estadio Ib, pero con afectación de la superficie de uno o de ambos ovarios; o con cápsula rota; o cuando hay ascitis que contiene células ma- lignas; o en casos de lavado peritoneal positivo. Estadio II: Tumor que afecta a uno o ambos ovarios con extensión pélvica. Estadio IIa: Extensión y/o metástasis al útero y/o trompas. Estadio IIb: Extensión a otros tejidos pélvicos. Estadio IIc: Tumor en estadio IIa o IIb, pero con afectación de la superficie de uno o de ambos ovarios; o tumores con cápsula o cápsulas rotas; o en casos que presentan ascitis que contiene células malignas; o cuando el lavado peritoneal es positivo. Estadio III: El tumor afecta a uno o ambos ovarios, con implantes peritoneales extrapélvicos y/o metástasis en ganglios inguinales o retroperitoneales. Las metástasis hepáticas su- perficiales se consideran estadio III. Estadio IIIa: Metástasis microscópicas en el peritoneo extrapélvico. Estadio IIIb: Metástasis macroscópicas en el peritoneo extrapélvico de 2 cm de diámetro o mayores. Estadio IIIc: Metástasis en el peritoneo extrapélvico de más de 2 cm de diámetro y/o metástasis a ganglios linfáticos retroperitoneales o inguinales. Estadio IV: Metástasis a distancia. Los tumores con metástasis hepáticas profundas se conside- ran en estadio IV. Tomado de FIGO. 1988. TABLA 12-18 Estadios del cáncer de ovario PLACENTA CORDÓN Forma: discoide Inserción: excéntrica Peso: 500 g Longitud: 55 cm Diámetro: 20 cm Diámetro: 1.0-1.2 cm Espesor: 2.0-2.5 cm Vasos: 2 arterias, 1 vena TABLA 12-19 Características generales de la placenta y el cordón a término © 2007 Editorial Médica Panamericana, S.A de C.V. Cisfarm
  • 376.
    374 Patología especial Grávido: desprendimientode placenta placenta previa ruptura uterina embarazo ectópico roto Puerperio temprano: atonía uterina traumática: desgarro ruptura laceración perforación Puerperio tardío: retención de placenta subinvolución del lecho placentario TABLA 12-21 Causas de hemorragia en el estado grávido-puerperal b) Sin trascendencia funcional calcificaciones trombo intervelloso quiste subcorial c) Condiciones específicas eritroblastosis fetal enfermedades metabólicas enfermedades genéticas 4. Patología del cordón umbilical Véase la tabla 2-22 5. Embarazo ectópico tubario cervical abdominal ovárico TABLA 12-20 Continuación 1. Patología materna del embarazo a) Condiciones previas de la madre que se agravan con la gestación: colagenopatías cardiopatías diabetes mellitus nefropatías hipertensión arterial b) Condiciones nuevas de la madre: preclampsia-eclampsia hemorragia en estado grávido-puerperal infección puerperal embolia de líquido amniótico síndrome de Sheehan 2. Patología del útero obstétrico acretismo atonía subinvolución traumatismos: ruptura, perforación 3. Patología de la placenta a) Con trascendencia funcional Por situación: placenta baja placenta previa Por hipoperfusión: hipotrofia infarto hematoma retroplacentario Por infección: corioamnionitis villitis (placentitis) Enfermedad trofoblástica gestacional mola hidatidiforme completa parcial (embrionada) mola invasora coriocarcinoma TABLA 12-20 Patología del embarazo y la placenta © 2007 Editorial Médica Panamericana, S.A de C.V. Cisfarm
  • 377.
    C12 Patología delútero, vagina, vulva, ovario, glándula mamaria, del embarazo y de la placenta 375 TIPO ASOCIACIÓN Cordón corto (< 30 cm) No descenso del feto Cordón muy corto (<10 cm) Malformaciones fetales Cordón largo (> 110 cm) Circulares, nudos Inserción marginal y velamentosa Hipotrofia fetal Embarazo múltiple Arteria umbilical única Malformaciones genitourinarias del feto Diabetes materna Funisitis Infección ascendente Nudo apretado Óbito fetal Circulares apretadas Óbito fetal TABLA 12-22 Correlación clínica de la patología del cordón umbilical Hipoperfusión placentaria y anoxia Infección hematógena Eritroblastosis Malformación cardiaca Cromosomopatías letales (?) Errores congénitos del metabolismo (?) Accidentes del cordón (?) Trauma obstétrico Diabetes materna TABLA 12-23 Causas de óbito fetal EJEMPLO Anomalías cromosómicas Trisomías, monosomías Infecciones Virus Corioamnionitis Agentes teratógenos Medicamentos Radiaciones Factores físicos Leiomiomas Incompetencia istmo-cervical Útero tabicado Factores endocrinos Insuficiencia lútea (?) Hipotiroidismo Diabetes mellitus Factores inmunológicos ? TABLA 12-24 Factores etiológicos asociados con el aborto espontáneo CARACTERÍSTICA PRIMER TRIMESTRE SEGUNDO TRIMESTRE TERCER TRIMESTRE Tamaño Grandes Medianas Pequeñas Vasos Ninguno/escaso Moderados Abundantes Sincitiotrofoblasto Presente Presente Presente Citotrofoblasto Capa continua Capa discontinua Ausente TABLA 12-25 Diferencias en las vellosidades coriales a microscopia de luz © 2007 Editorial Médica Panamericana, S.A de C.V. Cisfarm
  • 378.
    376 Patología especial MOLACOMPLETA MOLA PARCIAL Edad gestacional Segundo trimestre Primer trimestre Volumen 500 g < 100 g Vesículas Muy hidrópicas (> 1 cm) Levemente hidrópicas (< 1 cm) Patrón cromosómico Normal (46, XX) Anormal (69, XXY) Saco gestacional Ausente Presente Embrión Ausente Alterado o ausente hCG Muy elevada Baja TABLA 12-26 Diferencias entre mola completa y parcial © 2007 Editorial Médica Panamericana, S.A de C.V. Cisfarm
  • 379.
    13 Patología del riñón Patologíadel riñón Beatríz De León Bojorge Luis Salinas Madrigal FIGURA 13-1. Glomerulonefritis posinfecciosa con proliferación mesangial, oclusión de la luz capilar y algunos polimorfonucleares. © 2007 Editorial Médica Panamericana, S.A de C.V. Cisfarm
  • 380.
    378 Patología especial FIGURA13-2. Depósitos densos subepiteliales (“jorobas”) y fusión de podoci- tos. © 2007 Editorial Médica Panamericana, S.A de C.V. Cisfarm
  • 381.
    C13 Patología delriñón 379 FIGURA 13-3. Proliferación de células epiteliales (media luna circunferencial celular) con colapso del ovillo glomerular (PAS). © 2007 Editorial Médica Panamericana, S.A de C.V. Cisfarm
  • 382.
    380 Patología especial FIGURA13-4. El espectro de la patología glomerular. (Continúa) © 2007 Editorial Médica Panamericana, S.A de C.V. Cisfarm
  • 383.
    C13 Patología delriñón 381 FIGURA 13-4. (Continuación). © 2007 Editorial Médica Panamericana, S.A de C.V. Cisfarm
  • 384.
    382 Patología especial FIGURA13-5. Estadio temprano de glomerulonefritis membranosa con depósitos granulares, regulares y densos por fuera de la membrana basal (subepiteliales). La célula epitelial es prominente con fusión de podocitos y transformación vellosa de citoplasma. © 2007 Editorial Médica Panamericana, S.A de C.V. Cisfarm
  • 385.
    C13 Patología delriñón 383 FIGURA 13-6. lnmunofluorescencia con depósitos granulares de tamaño variable que siguen el contorno de las asas capilares. © 2007 Editorial Médica Panamericana, S.A de C.V. Cisfarm
  • 386.
    384 Patología especial FIGURA13-7. Estadio avanzado de glomerulonefritis membranosa con engrosamiento de la membrana basal y además proyecciones de la membrana a manera de clavas (plata metena- mina). © 2007 Editorial Médica Panamericana, S.A de C.V. Cisfarm
  • 387.
    C13 Patología delriñón 385 FIGURA 13-8. Tinción de plata metenamina que muestra membrana basal glomerular normal en una glomerulopatía de cambios mínimos. © 2007 Editorial Médica Panamericana, S.A de C.V. Cisfarm
  • 388.
    386 Patología especial FIGURA13-9. Ultraestructura de glomerulopatía de cambios míni- mos con fusión extensa de podocitos, exclusivamente. © 2007 Editorial Médica Panamericana, S.A de C.V. Cisfarm
  • 389.
    C13 Patología delriñón 387 FIGURA 13-10. Esclerosis focal y segmentaria cerca del polo vascular y adherencias a la cápsula de Bowman (PAS). © 2007 Editorial Médica Panamericana, S.A de C.V. Cisfarm
  • 390.
    388 Patología especial FIGURA13-11. Enfermedad de Berger. lnmunofluorescencia con depósitos mesangiales y algunos subendoteliales de IgA. © 2007 Editorial Médica Panamericana, S.A de C.V. Cisfarm
  • 391.
    C13 Patología delriñón 389 FIGURA 13-12. Glomerulonefritis membranoproliferativa. Tinción de plata metenamina con aumento del volumen del glomérulo y acentuación del patrón lobular por proliferación mesangial y duplicación de la membrana basal en capilares periféricos. © 2007 Editorial Médica Panamericana, S.A de C.V. Cisfarm
  • 392.
    390 Patología especial FIGURA13-13. Glomerulonefritis membranoproliferativa. lnmunofluorescencia con depósitos subendoteliales abundantes gruesos, dispuestos en la periferia de las lobulaciones glomeru- lares. © 2007 Editorial Médica Panamericana, S.A de C.V. Cisfarm
  • 393.
    C13 Patología delriñón 391 FIGURA 13-14. Ultraestructura con depósitos densos gruesos en el espesor de la membrana basal con fusión extensa de podocitos epiteliales. © 2007 Editorial Médica Panamericana, S.A de C.V. Cisfarm
  • 394.
    392 Patología especial FIGURA13-15. Glomerulonefritis proliferativa difusa (tipo IV) con proliferación acentuada mesangial, polimorfonucleares y paredes gruesas, rígidas (“asas de alambre”). © 2007 Editorial Médica Panamericana, S.A de C.V. Cisfarm
  • 395.
    C13 Patología delriñón 393 FIGURA 13-16. Mayor aumento de asas de alambre (que corresponden a depósitos inmunes subendoteliales). © 2007 Editorial Médica Panamericana, S.A de C.V. Cisfarm
  • 396.
    394 Patología especial FIGURA13-17. Inmunofluorescencia con grandes e irregulares depósitos subendoteliales periféricos y además numerosos depósitos mesangiales, correspondiente a glomerulonefritis proliferativa difusa (tipo IV). © 2007 Editorial Médica Panamericana, S.A de C.V. Cisfarm
  • 397.
    C13 Patología delriñón 395 FIGURA 13-18. Inmunofluorescencia con depósitos inmunes en la membrana basal de túbulos en nefritis intersticial lúpica. © 2007 Editorial Médica Panamericana, S.A de C.V. Cisfarm
  • 398.
    396 Patología especial FIGURA13-19. Glomerulonefritis proliferativa intra (color magenta) y extracapilar con adherencias a la cápsula de Bowman en una púrpura de Henoch-Schönlein. © 2007 Editorial Médica Panamericana, S.A de C.V. Cisfarm
  • 399.
    C13 Patología delriñón 397 FIGURA 13-20. Ultraestructura con membrana basal anormal por fragmentación, laminación y aspecto “apolillado”, característico del síndrome de Alport. © 2007 Editorial Médica Panamericana, S.A de C.V. Cisfarm
  • 400.
    398 Patología especial FIGURA13-21. Necrosis tubular aguda con tubulorrexis. Distorsión y necrosis del epitelio con citoplasma eosinófilo y cambios de regeneración con irrregularidad en los núcleos. © 2007 Editorial Médica Panamericana, S.A de C.V. Cisfarm
  • 401.
    C13 Patología delriñón 399 FIGURA 13-22. Riñón con cicatrices retráctiles y atrofia parenquimatosa, por pielo- nefritis crónica. © 2007 Editorial Médica Panamericana, S.A de C.V. Cisfarm
  • 402.
    400 Patología especial FIGURA13-23. Riñón al corte con gran dilatación de cálices y pelvicilla, cálculos en cálices y atrofia del parénquima renal. © 2007 Editorial Médica Panamericana, S.A de C.V. Cisfarm
  • 403.
    C13 Patología delriñón 401 FIGURA 13-24. Nefroesclerosis con arteriolas de paredes engrosadas, hialinas con obstrucción de la luz. Además de atrofia tubular y fibrosis intersticial secundarias. © 2007 Editorial Médica Panamericana, S.A de C.V. Cisfarm
  • 404.
    402 Patología especial FIGURA13-25. Riñón en herradura. Fusión anterior de polos inferiores, originando un tejido renal continuo. © 2007 Editorial Médica Panamericana, S.A de C.V. Cisfarm
  • 405.
    C13 Patología delriñón 403 FIGURA 13-26. Fotografía microscópica de displasia renal con estructuras quísticas de epitelio alto y collaretes fibromusculares. Ausencia de tejido renal normal maduro. © 2007 Editorial Médica Panamericana, S.A de C.V. Cisfarm
  • 406.
    404 Patología especial FIGURA13-27. Displasia renal quística total. Ausencia de parénquima renal macroscópico y numerosos quistes de tamaño diverso. © 2007 Editorial Médica Panamericana, S.A de C.V. Cisfarm
  • 407.
    C13 Patología delriñón 405 FIGURA 13-28. Riñón poliquístico del adulto. Múltiples quistes de paredes fibrosas y retráctiles que deforman y sustituyen al parénquima renalbilateral © 2007 Editorial Médica Panamericana, S.A de C.V. Cisfarm
  • 408.
    406 Patología especial FIGURA13-29. Riñón poliquístico del niño. Riñones muy aumentados de tamaño, conservado el aspecto reniforme, sin fibrosis y con quistes pequeños radiales corticomedulares. © 2007 Editorial Médica Panamericana, S.A de C.V. Cisfarm
  • 409.
    C13 Patología delriñón 407 FIGURA 13-30. Riñón poliquístico infantil. Numerosos quistes alargados de tubos colectores en un parénquima sin fibrosis. © 2007 Editorial Médica Panamericana, S.A de C.V. Cisfarm
  • 410.
    408 Patología especial FIGURA13-31. Riñón con angiomiolipoma. Tumor amarillo, multilobulado y blando de bordes mal definidos. © 2007 Editorial Médica Panamericana, S.A de C.V. Cisfarm
  • 411.
    C13 Patología delriñón 409 FIGURA 13-32. Angiomiolipoma renal con tejido adiposo maduro y fascículos de músculo liso. © 2007 Editorial Médica Panamericana, S.A de C.V. Cisfarm
  • 412.
    410 Patología especial FIGURA13-33. Oncocitoma renal. Tumor homogéneo, encapsulado, de color café con cicatriz fibrosa central. © 2007 Editorial Médica Panamericana, S.A de C.V. Cisfarm
  • 413.
    C13 Patología delriñón 411 FIGURA 13-34. Adenocarcinoma renal. Se observa una masa de tejido amarillo naranja de 15 cm con áreas de hemorragia y necrosis. © 2007 Editorial Médica Panamericana, S.A de C.V. Cisfarm
  • 414.
    412 Patología especial FIGURA13-35. Carcinoma renal: grupos de células grandes de citoplasma claro, sin atipias nucleares que se disponen en grupos rodeados por delicadas bandas conectivas. © 2007 Editorial Médica Panamericana, S.A de C.V. Cisfarm
  • 415.
    C13 Patología delriñón 413 FIGURA 13-36. Nefroblastoma. Neoplasia blanquecina con zonas de necrosis y hemorra- gia que sustituye totalmente al riñón. © 2007 Editorial Médica Panamericana, S.A de C.V. Cisfarm
  • 416.
    414 Patología especial FIGURA13-37. Nefroblastoma. Neoplasia con grupos de células pequeñas y homogéneas (blastema), estructuras tubulares (epiteliales) y tejido estromal (mesenquimatoso). © 2007 Editorial Médica Panamericana, S.A de C.V. Cisfarm
  • 417.
    C13 Patología delriñón 415 FIGURA 13-38. Tumor de Wilms anaplásico. Microfotografía con células de tamaño mayor de las habituales con multinucleación y atipias. © 2007 Editorial Médica Panamericana, S.A de C.V. Cisfarm
  • 418.
    416 Patología especial FIGURA13-39. Sarcoma de células claras con patrón homogéneo de células de citoplasma claro con núcleo monótono y de cromatina fina. © 2007 Editorial Médica Panamericana, S.A de C.V. Cisfarm
  • 419.
    C13 Patología delriñón 417 FIGURA 13-40. Tumor rabdoide maligno. Neoplasia con células grandes con núcleo de cromatina granular y nucleolo prominente eosinófilo con citoplasma abundante y la presencia de una zona clara “inclusión”, que rechaza al núcleo. © 2007 Editorial Médica Panamericana, S.A de C.V. Cisfarm
  • 420.
    418 Patología especial ESTADIOMICROSCOPIA DE LUZ MICROSCOPIA ELECTRÓNICA I Sin cambios Depósitos densos subepiteliales II Proliferación de MB con salientes “clavas” MB entre los depósitos subepiteliales III MB rodeando depósitos imagen “arrosariada” Incorporación de depósitos a la MB IV MB gruesa (por neoformación de MB) Reabsorción de depósitos V Remodelación de MB MB normal TABLA 13-2 Estadios morfológicos en glomerulonefritis membranosa Glomerulonefritis endocapilar difusa Tipo I) posinfecciosa Tipo II) no posinfecciosa Glomerulonefritis extracapilar difusa Tipo I (anticuerpos antimembrana basal capilar) Tipo II (complejos inmunes) Tipo III (inmunofluorescencia negativa) Glomerulonefritis membranosa idíopática Glomerulopatía de cambios mínimos (Nefrosis lipoídica) Glomeruloesclerosis focal y segmentaria Glomerulopatía colapsante Glomerulonefritis mesangioproliferativa por IgM por IgA (nefropatía de Berger) Glomerulonefritis membranoproliferativa Tipo I: depósitos subendoteliales Tipo II: depósitos densos Tipo III: depósitos intramembranosos TABLA 13-1 Enfermedades glomerulares primarias Primaria (idiopática) Secundaria Infecciones (hepatitis B o C, sífilis, paludismo, esquistosomiasis) Enfermedades sistémicas (lupus eritematoso) Carcinomas (colon, pulmón) Medicamentos; sales (penicilina, Captopryl; oro, mercurio) TABLA 13-3 Clasificación de la glomerulonefritis membranosa Lupus eritematoso sistémico Síndrome de Goodpasture Poliarteritis nodosa Granulomatosis de Wegener Púrpura anafilactoide de Henoch-Schönlein Toxemia del embarazo Diabetes mellitus Amiloidosis Procesos infecciosos (endocarditis bacteriana, sífilis, paludismo, esquistosomiasis, estrongiloidasis, hepatitis B y C) SIDA (síndrome de inmunodeficiencia adquirida) Drogadicción por heroína Crioglobulinemia esencial mixta (IgM-IgG) Macroglobulinemia de Waldenstrom Síndrome antifosfolípidos Hepatopatías crónicas Enfermedad de cadenas ligeras o de cadenas pesadas Tumores (carcinomas y linfomas) TABLA 13-4 Procesos sistémicos que pueden producir enfermedad glomerular © 2007 Editorial Médica Panamericana, S.A de C.V. Cisfarm
  • 421.
    C13 Patología delriñón 419 Índice de actividad (0-24) Hipercelularidad mesangial (0-3) Exudado polimorfonuclear (0-3) Asas de alambre (0-3) Necrosís fibrinoide/cariorrexis (0-3) × 2 Proliferación extracapilar celular (0-3) × 2 Inflamación intersticial (0-3) Índice de cronicidad (0-12) Glomérulos escleróticos (0-3) Proliferación extracapilar fibrosa (0-3) Atrofia tubular (0-3) Fibrosis intersticial (0-3) TABLA 13-6 Índice de actividad y cronicidad en lupus eritematoso sistémico I. Glomérulos normales a. Normal (con microscopio de luz y electrónico e inmunofluorescencia) b. Normal al microscopio de luz, pero con depósitos al microscopio electrónico o por inmunofluorescencia II. Alteraciones mesangiales (mesangiopatía) a. Con expansión mesangial o mínima hipercelularidad mesangial b. Con moderada hipercelularidad mesangial III. Glomerulonefrítis focal y segmentaría IV. Glomerulonefrítis proliferativa difusa V. Glomerulonefritis membranosa difusa VI. Glomerulonefritis esclerosante avanzada TABLA 13-5 Clasificación de la glomerulonefritis lúpica 1. Infecciones agudas: pielonefritis aguda (bacteriana, por hongos y por virus) 2. Asociadas con infecciones agudas sistémicas (bacterianas, micóticas) 3. Infecciones crónicas (pielonefritis crónica, tuberculosis, sífilis) 4. Inducidas por medicamentos: i. por acción tóxica directa (aminoglucósidos, ciclosporina A, anfotericina B) ii. inmunoalérgicos (alopurinol, ampicilina, meticitina, medicamentos antiinflamatorios no esteroideos, rifampicina) a) por células T b) por antícuerpos antimembrana basal tubular e) por complejos inmunes 5. Asociadas con enfermedades inmunológicas: rechazo del trasplante, lupus eritematoso sistémico, síndrome de Goodpasture, criogiobulinemia mixta, glomerulonefritis por complejos inmunes, síndrome de Sjögren y glomerulonefritis extracapitar 6. Uropatía obstructiva, con o sin infección 7. Nefropatía de reflujo 8. Asociada con necrosis papilar (diabetes mellitus, nefropatía por analgésicos, nefropatía de células falciformes, necrosis papilar hemorrágica del recién nacido) 9. Metales pesados (plomo, mercurio, cadmio, oro, plata, cobre y hierro) 10. Necrosis tubular aguda (asociada con estados de choque) 11. Alteraciones metabólicas (hipercalcemia, gota, oxalosis) 12. Hereditarias (nefronoptisis de Fanconi, nefritis familiar de Alport) 13. Misceláneas (nefritis por radiación y nefropatía de los Balcanes) TABLA 13-7 Clasificación etiopatogénica de la nefritis tubulointersticial © 2007 Editorial Médica Panamericana, S.A de C.V. Cisfarm
  • 422.
    420 Patología especial 1.Normal 2. Rechazo híperagudo: polimorfonucleares en capilares glomerulares o intertubulares 3. Cambios limítrofes: infiltrado inflamatorio intersticial mononuclear leve a moderado, focal, pero con tubuli- tis ocasional 4. Rechazo agudo Grado I: tubulitis moderada, sin lesión vascular Grado II: endarteritis (arteritis de la íntima) Grado III: arteritis transmural y/o con necrosis fibrinoide 5. Rechazo crónico Grado I: fibrosis intersticial y atrofia tubular leves Grado II: fibrosis intersticial y atrofia tubular moderadas Grado III: fibrosis intersticial y atrofia tubular acentua- da con pérdida tubular 6. No relacionados con rechazo Toxicidad por ciclosporina Aguda: vacuolización ísométrica del epitelio de los túbulos proximales (semejando histológicamente a la nefrosis osmótica), megamitocondrias (pueden ser hasta del tamaño de la mitad del núcleo tubular, para lo cual se necesita el microscopio electrónico) y microcalcificaciones epiteliales tubulares Crónica: depósitos hialinos nodulares en la pared de arteriolas y/o fibrosis de la íntima, y se pueden acompañar por bandas de fibrosis intersticial. Microangiopatía trombótica TABLA 13-8 Clasificación del rechazo en el trasplante renal (Banff, 1997) © 2007 Editorial Médica Panamericana, S.A de C.V. Cisfarm
  • 423.
    14 Patología de vejiga, próstatay testículo Patología de vejiga, próstata y testículo Julián Arista Francisco González Crussi FIGURA 14-1. Aspecto macroscópico de una cistitis bacteriana. La mucosa tiene aspecto edematoso y áreas de despulimiento con hemorragia reciente. Este paciente falleció por choque séptico. © 2007 Editorial Médica Panamericana, S.A de C.V. Cisfarm
  • 424.
    422 Patología especial FIGURA14-2. Cistitis bacteriana. Se observa pérdida parcial del urotello, congestión vascular o infiltrado inflamatorio agudo y crónico. © 2007 Editorial Médica Panamericana, S.A de C.V. Cisfarm
  • 425.
    C14 Patología devejiga, próstata y testículo 423 FIGURA 14-3. Aspecto macroscópico del carcinoma de células transicionales. La cavidad vesical está ocupada casi en su totalidad por una gran lesión pedunculada. © 2007 Editorial Médica Panamericana, S.A de C.V. Cisfarm
  • 426.
    424 Patología especial FIGURA14-4. Aspecto macroscópico del carcinoma de células transicionales. El aspecto del tumor es papilar y en la vecindad la mucosa presenta aspecto en empedrado que histológi- camente correspondió a carcinoma in situ. © 2007 Editorial Médica Panamericana, S.A de C.V. Cisfarm
  • 427.
    C14 Patología devejiga, próstata y testículo 425 FIGURA 14-5. a) Carcinoma transicional grado II. Se observa un tallo central de tipo fibrovascular en torno al cual se disponen células neoplásicas multiestratificadas. Algunas de ellas muestran atipia moderada. Los car- cinomas que conservan el patrón papliar son clasificados como bien diferenciados. b) Carcinoma transicional grado III. La neoplasia se dispone en nidos de límites bien definidos que infiltran el músculo de la pared vesical. El pronóstico es peor que las neoplasias que muestran patrón papilar. (a) (b) © 2007 Editorial Médica Panamericana, S.A de C.V. Cisfarm
  • 428.
    426 Patología especial FIGURA14-6. Carcinoma transicional in situ. Se observa engrosamiento de la mucosa por la multiestratificación de las células malignas. El número de capas (más de diez) que existe en este tipo de tumores es uno de los criterios más importantes para clasificarlo como maligno. La neoplasia no rebasa la membrana basal y no hay infiltración a la lámina propia. Cuando se diagnostica en este estadio el pronóstico es muy bueno. © 2007 Editorial Médica Panamericana, S.A de C.V. Cisfarm
  • 429.
    C14 Patología devejiga, próstata y testículo 427 FIGURA 14-7. Pronóstico del carcinoma vesical. Las neoplasias no infiltrantes tienen un buen pronóstico. La infiltración a capas musculares y al tejido perivesical es un dato desfavorable, ya que la presencia de vasos en estos sitios favorece la diseminación. La sobrevida a cinco años en estos casos es casi de 50%. Las metástasis a los ganglios linfáticos regionales implican un pésimo pronóstico y la mortalidad a largo plazo es casi de 100%. © 2007 Editorial Médica Panamericana, S.A de C.V. Cisfarm
  • 430.
    428 Patología especial FIGURA14-8. Aspecto macroscópico de la hiperplasla glandular de la próstata en un corte axial. a) La glándula muestra numerosos nódulos de tamaño variable, en los cuales hay quistes que corresponden a glándulas dilatadas. Aunque la hiperpla- sia prostática afecta sobre todo la región periuretral, también se puede observar en las áreas periféricas. b) Imagen histológica de la hiperplasla nodular de la prós- tata. Se observa un nódulo constituido por glándulas hiperplásicas, algunas de las cuales están dilatadas. En la vecindad hay además hiperplasia del tejido muscular. c) Hiperplasia adenomatosa atípica (adenosis prostática). Las glándulas proliferantes son uniformes, bien diferenciadas y forman un nódulo de límites regulares. La proliferación de glándulas prostáticas benignas y las glándulas del carcinoma bien diferenciado pueden ser muy semejantes. La ausencia de nucleolos prominentes y la presencia de células basales permiten asegurar que las glándulas son benignas. (c) (b) (a) © 2007 Editorial Médica Panamericana, S.A de C.V. Cisfarm
  • 431.
    C14 Patología devejiga, próstata y testículo 429 FIGURA 14-9. Metaplasia escamosa en un área de infarto en hiperplasia prostática. El epitelio epidermoide muestra atipia y se asocia a infiltrado inflamatorio crónico y hemorragia recien- te. El aspecto atípico de las células reactivas puede confundirse con una neoplasia maligna. Los infartos se producen por una deficiente irrigación, quizá por la compresión de los vasos sanguíneos secundarios a la hiperplasia. © 2007 Editorial Médica Panamericana, S.A de C.V. Cisfarm
  • 432.
    430 Patología especial FIGURA14-10. a) Prostatitis aguda. En la luz de las glándulas hay abundantes polimorfonucleares, además de cambios degenerativos en las células epiteliales que las revisten. (Cortesía de la Dra. Ana María Gómez.) b) Prostatitis crónica. Éste es el tipo de prostatitis más frecuente. La mayoría de los casos son asinto- máticos y en su etiología se han propuesto diversos factores (tabla 14-4). (b) (a) © 2007 Editorial Médica Panamericana, S.A de C.V. Cisfarm
  • 433.
    C14 Patología devejiga, próstata y testículo 431 FIGURA 14-11. Radiografía de pelvis en un paciente con metástasis óseas de carcinoma prostático. Las áreas radiopacas con aspecto marmóreo que se observan en los huesos pélvicos y los fémures corresponden a la reacción osteoblástica secundaria a la infiltración neoplásica. (Cortesía del Dr. Jorge Hernández.) El carcinoma prostático puede producir también lesiones líticas o bien osteolíticas y osteoblásticas. © 2007 Editorial Médica Panamericana, S.A de C.V. Cisfarm
  • 434.
    432 Patología especial FIGURA14-12. Metástasis de carcinoma prostático en ganglio linfático supraclavicular con estudio inmunohistoquímico (técnica de inmunoperoxidasa). Las células malignas son positivas con el anticuerpo contra el antígeno prostático específico y confirma que el tumor primario está en la próstata. Esta técnica es muy específica y sensible y permite diagnosticar tumores poco diferenciados. © 2007 Editorial Médica Panamericana, S.A de C.V. Cisfarm
  • 435.
    C14 Patología devejiga, próstata y testículo 433 FIGURA 14-13. Macroscópicamente el carcinoma prostático se observa como uno o más nódulos, de color gris o blanco amarillento, que pueden ser difíciles de distinguir del tejido prostático vecino. La mayoría se encuentra en la periferia de la glándula. La palpación puede facilitar su localización ya que por lo general existe induración por desmoplasia. En un alto porcentaje (80%) la neoplasia es multifocal, pero muchas de las zonas con carcinoma sólo se podrán identificar microscópicamente. En este caso la próstata muestra además un área de infarto hemorrágico en el tercer corte de arriba a la derecha. © 2007 Editorial Médica Panamericana, S.A de C.V. Cisfarm
  • 436.
    434 Patología especial FIGURA14-14. Representación esquemática del carcinoma prostático en corte axial de la próstata. Generalmente periféricos; 80% multicéntricos; la mayoría en lóbulo posterior. 1) Uretra. 2) Zona periuretral. 3 y 4) Áreas de carcinoma prostático palpable (estadio B). 5) Área de carcinoma prostático no palpable (estadio A). © 2007 Editorial Médica Panamericana, S.A de C.V. Cisfarm
  • 437.
    C14 Patología devejiga, próstata y testículo 435 FIGURA 14-15. Esquema de la clasificación de Gleason para el carcinoma prostático. La clasificación se basa fundamentalmente en los patrones de crecimiento de la neoplasia y secun- dariamente en su aspecto cítológico. Debido a que la mayoría de los carcinomas prostáticos exhiben dos o más patrones histológicos es posible sumar los dos patrones predominantes en la neoplasia (suma de Gleason). Así, por ejemplo, si un carcinoma prostático presenta principalmente patrones 1 y 2, la suma de Gleason es de 3. Si muestra patrones 4 y 5 la suma será de 9. El primero tendrá un mejor pronóstico y las posibilidades de que existan metástasis son mucho más bajas que en el segundo caso. La clasificación de Gleason es la más utilizada en el carcinoma prostático debido a que es la que ha demostrado tener una mejor correlación con las metástasis y la sobrevida. © 2007 Editorial Médica Panamericana, S.A de C.V. Cisfarm
  • 438.
    436 Patología especial FIGURA14-16. a) Patrón 1 de Gleason del carcinoma prostático. Está constituido por glán- dulas neoplásicas bien formadas que están revestidas por células con nucleolos aparentes. Los nucleolos están presentes en la mayoría de los carcinomas, y tienen un gran valor diagnóstico para distinguir al carcinoma de proliferaciones benignas como la hiperplasia adenomatosa (figura 14-26) en la cual los nucleolos están ausentes o son poco aparentes. b) El patrón 3 de Gleason muestra aspecto cribiforme que se caracteriza por luces de diá- metro variable dentro de las glándulas malignas. c) Patrón 5 de Gleason. La neoplasia es poco diferenciada, no forma glándulas y las células infiltran difusamente el estroma. Los carcinomas prostáticos con estas características son muy agresivos y cuando predominan en la neoplasia el pronóstico es muy malo. (c) (b) (a) © 2007 Editorial Médica Panamericana, S.A de C.V. Cisfarm
  • 439.
    C14 Patología devejiga, próstata y testículo 437 FIGURA 14-17. Infiltración neural en carcinoma prostático. El nervio se encuentra rodeado por glándulas neoplásicas y algunas de ellas están en contacto con las fibras nerviosas. Esta imagen es útil para establecer el diagnóstico de carcinoma, sobre todo en biopsias pequeñas o cuando el carcinoma es bien diferenciado y hay duda respecto a si las glándulas proliferantes son malignas o benignas. © 2007 Editorial Médica Panamericana, S.A de C.V. Cisfarm
  • 440.
    438 Patología especial FIGURA14-18. Biopsia por aspiración en un caso de carcinoma prostático moderadamente diferenciado. Las células muestran variación en su tamaño y en algunas de ellas hay atipia con nucleolos aparentes. La certeza diagnóstica con este método es muy alta, particularmente en las neoplasias moderadamente y poco diferenciadas. (Cortesía del Dr. Armando Gamboa). © 2007 Editorial Médica Panamericana, S.A de C.V. Cisfarm
  • 441.
    C14 Patología devejiga, próstata y testículo 439 FIGURA 14-19. Neoplasia intraepitelial prostática (displasia prostática). La displasia en la próstata se desarrolla en los conductos distales (a) y se caracteriza por una proliferación anormal de las células de revestimiento (b). En este caso la imagen corresponde a una displasia de alto grado por la atipia nuclear, la multiestratificación irregular de las células y los nucleolos apa- rentes. Los datos que apoyan su naturaleza preneoplásica incluyen su asociación espacial con las áreas de carcinoma, la continuidad de conductos displásicos con el carcinoma en cortes seriados y la gran semejanza citológica de las displasias de alto grado con los carcinomas infiltrantes. (b) (a) © 2007 Editorial Médica Panamericana, S.A de C.V. Cisfarm
  • 442.
    440 Patología especial FIGURA14-20. Carcinoma endometrioide de la próstata. Estos carcinomas se desarrollan en los conductos mayores prostáticos y tienen un aspecto muy diferente a los carcinomas de los conductos distales ilustrados anteriormente. En este caso hay un patrón papilar de crecimiento de las células neoplásicas hacia la luz del conducto. En general los carcinomas de los conductos mayores son más agresivos. © 2007 Editorial Médica Panamericana, S.A de C.V. Cisfarm
  • 443.
    C14 Patología devejiga, próstata y testículo 441 FIGURA 14-21. Atrofia de glándulas prostáticas. Las glándulas muestran una distribución irregular, con límites mal definidos, lo que les confiere aspecto infiltrativo semejante al de algunos carcinomas. La atrofia glandular prostática es muy común en hombres de edad avanzada. © 2007 Editorial Médica Panamericana, S.A de C.V. Cisfarm
  • 444.
    442 Patología especial FIGURA14-22. Desarrollo gonadal embrionario temprano. a) Embrión humano al principio de la quinta semana, indicando el nivel de sección (6.3 mm). b) Vista frontal en tercera dimen- sión al mismo nivel, a mediados de la quinta semana, mostrando mayor crecimiento de las protrusiones que flanquean al intestino posterior, o “eminencias urogenitales”. Las relaciones topográficas de estas eminencias se ilustran en c), en sección transversal a la sexta semana. Una sección similar, en d), muestra un estadio un poco más avanzado, en el que las gónadas indiferentes están ya presentes. (a) (b) (c) (d) © 2007 Editorial Médica Panamericana, S.A de C.V. Cisfarm
  • 445.
    C14 Patología devejiga, próstata y testículo 443 FIGURA 14-23. Control de la diferenciación embrionaria testicular. Bajo la influencia de genes localizados en el cromosoma Y, cerca del centró- mero, aparece el factor de diferenciación testicular (FDT) entre la sexta y la séptima semanas de gestación. En ausencia de cromosoma Y la gónada indiferente se diferencia irremisiblemente en ovario; después de la séptima semana es imposible obtener un testículo por ningún méto- do experimental. Las células de Sertoli secretan un factor de inhibición mülleriana (FIM), responsable de la regresión de los conductos de Müller. Las células de Leydig secretan testosterona (T), hormona fundamental para la maduración de las estructuras originadas en los conductos de Wolff (conducto deferente, epidídimo, vesícula seminal, conducto eyacu- latorio). Un derivado de esta hormona, la dihidrotestosterona (DHT), es responsable del desarrollo de los genitales masculinos externos, pene y piel escrotal. © 2007 Editorial Médica Panamericana, S.A de C.V. Cisfarm
  • 446.
    444 Patología especial FIGURA14-24. El esquema muestra que las células de la lesión precursora, antiguamente denominada carcinoma in situ representan la fase más temprana que se puede identificar mor- fológicamente en el curso del desarrollo de un tumor maligno de células germinales. Esta lesión se puede ver en el tejido testicular cercano a las márgenes de dichos tumores, aunque no en pacientes pediátricos, ni tampoco en el seminoma espermatocítico. Este último no “encaja” bien en el esquema teórico. Aunque se consideró por mucho tiempo como una variante del seminoma, hoy se piensa que se trata de una entidad aparte, propia de pacientes ancianos, y frecuentemente controlable sólo por cirugía. Tradicionalmente se acepta que el carcinoma embrionario representa una fase precursora de otros tumores, puesto que las células que lo componen son capaces de diferenciarse en varias direcciones: a) hacia estructuras extraem- brionarias, sean vitelinas (dando lugar a un tumor de saco vitelino), sean trofoblásticas (originando un coriocarcinoma), o bien, hacia estructuras somáticas embrionarias, que pueden ser muy variadas y comprender simultáneamente derivados de endo, ecto y mesodermo, como sucede en los teratomas. Aunque esta hipótesis ha sido validada por estudios experimentales y apoyada por diversas observaciones en material tumoral humano, algunos autores consideran que el seminoma es también un tumor capaz de actuar como precursor de otros tumores (véase el texto), como se indica en la figura con líneas punteadas. En el esquema tradicional, los seminomas eran considerados como neoplasias formadas por células germinales que habían progresado en su diferenciación hasta convertirse en células precursoras de células sexuales, o gonocitos, y se habían “congelado” en ese estado, por lo que no fueron ya capaces de mayor diferenciación. SEMINOMA ESPERMATOCÍTICO SEMINOMA TUMOR DE SACO VITELINO TERATOMA LESIÓN PRECURSORA CARCINOMA EMBRIONARIO CORIOCARCINOMA ? © 2007 Editorial Médica Panamericana, S.A de C.V. Cisfarm
  • 447.
    C14 Patología devejiga, próstata y testículo 445 FIGURA 14-25. Lesión precursora del cáncer testicular, o neoplasia intratubular de células germinales (NICG). Se observan células atípicas que reemplazan la estructura normal de un túbulo seminífero. La tinción inmunohistoquímica hace uso de un anticuerpo antifosfatasa alcalina placentaria, y revela la inmunorreactividad (cromógeno rojo) de las células anormales, sobre todo en la membrana celular. © 2007 Editorial Médica Panamericana, S.A de C.V. Cisfarm
  • 448.
    446 Patología especial FIGURA14-26. Histopatología del seminoma. Aspecto característico del seminoma testicular, compuesto por un tipo celular predominante, con citoplasma abundante, membranas celu- lares bien definidas y núcleos grandes, con nucleolo prominente. © 2007 Editorial Médica Panamericana, S.A de C.V. Cisfarm
  • 449.
    C14 Patología devejiga, próstata y testículo 447 FIGURA 14-27. Histopatología del seminoma. Varios aspectos típicos de la histopatología del seminoma pueden observarse: densa infiltración linfocitaria rodea a un túbulo seminífero con lesión de NICG, el cual a su vez se encuentra rodeado por el parénquima tumoral uniformemente celular característico del seminoma. © 2007 Editorial Médica Panamericana, S.A de C.V. Cisfarm
  • 450.
    448 Patología especial FIGURA14-28. Inmunohistoquímica del seminoma. Las células del seminoma comparten gran número de características en común con las células de la lesión precursora (NICG). Una de ellas es la posesión de una fosfatasa alcalina semejante a la fosfatasa alcalina placentaria, puesta aquí en evidencia por la tinción inmunohistoquímica con anticuerpos a dicha fosfatasa. © 2007 Editorial Médica Panamericana, S.A de C.V. Cisfarm
  • 451.
    C14 Patología devejiga, próstata y testículo 449 FIGURA 14-29. Histopatología del carcinoma embrionario. El aspecto histológico del carcinoma embrionario sugiere diferenciación epitelial por la presencia de formaciones sólidas, papila- res o glandulares de células atípicas con aspecto de epitelio. Sin embargo, se considera que dichas células son totipotenciales o pluripotenciales, pues experimentalmente se ha demostrado que son capaces de dar origen a una gran diversidad de tejidos especializados (véase la figura 14-38). © 2007 Editorial Médica Panamericana, S.A de C.V. Cisfarm
  • 452.
    450 Patología especial FIGURA14-30. Teratoma testicular. a) Microfotografía a bajo aumento que demuestra el borde de un teratoma testicular expansil en un pacien- te pospubertal. El tumor comprime el parénquima testicular normal. En la zona limítrofe del testículo existían lesiones de NICG reveladas por tinción con anticuerpos antifosfatasa alcalina. El teratoma muestra zonas de cartílago, túbulos epiteliales semejantes a epéndimo, y otros tejidos, como es característico en estos tumores. b) Teratoma testicular. Detalle, a mayor aumento, del teratoma testicular, mostrando nódulos de cartílago y células “primitivas” pobremente diferenciadas, propias de los teratomas “inmaduros”. (b) (a) © 2007 Editorial Médica Panamericana, S.A de C.V. Cisfarm
  • 453.
    C14 Patología devejiga, próstata y testículo 451 FIGURA 14-31. Totipotencialidad de las células que originan los teratomas. Los animales más comúnmente utilizados en la experimentación no desarrollan teratomas espontáneamente. Sin embargo, es posible producir teratomas en ciertas cepas de ratón mediante injerto de embriones presomíticos tempranos (hasta del séptimo día de la gestación, cuando el concepto es de forma cilíndrica [egg cylinderl, pero no después) en hospederos apropiados (ratones singeneicos). También se producen teratomas mediante injertos de la “eminencia urogenital” de embriones más desarrollados en el testículo o bajo la cápsula renal del recipiente. Los teratomas así producidos pueden ser malignos, pues crecen masivamente y por lo general causan la muerte del hospedero por inanición; rara vez por metástasis. Mientras tengan células primitivas, denominadas células de carcinoma embrionario (CCE), pueden trasplantarse a otros ratones, en los cuales producen teratomas. Sólo los teratomas con CCE son trasplantables. Una sola CCE aislada e injertada en la masa celular interna de un embrión normal en fase de blastocisto, puede desarrollarse normalmente y dar origen a varios tejidos de dicho embrión. Si se le permite a este embrión desarrollarse hasta alcanzar el término dentro del útero mater- no, el recién nacido resultará ser una quimera, parte de cuyos tejidos provienen de las células del embrión normal, y parte de la CCE progenitora injertada artificialmente por manipulación experimental (se ha dicho que, en cierto modo, el animal así producido es ¡hijo de un teratoma!). Para diferenciarse normalmente, la CCE requiere del medio ambiente proporcionado por la masa celular interna del blastocisto, pues si se injerta un gran número de CCE, el resultado es un teratoma intrauterino y no un feto normal. Los genes que controlan la diferenciación celular son entonces influenciados por el medio. Estos experimentos han hecho concluir a los investigadores que la distinción entre células primitivas o embrionarias y células “malignas” se torna borrosa y se convierte en un problema de semántica. Así, las CCE del teratoma murino experimental son todas malignas en cuanto a que conforman un teratoma letal para el hospedero. Algunas de ellas son embrionarias, puesto que dan origen a estructuras tisulares diferenciadas y estructuralmente complejas, como es usual en los teratomas. Pero otras CCE son realmente embrionarias, puesto que pueden dar lugar a los tejidos normales de un ratón cuando se colocan en el blastocisto embrionario. © 2007 Editorial Médica Panamericana, S.A de C.V. Cisfarm
  • 454.
    452 Patología especial FIGURA14-32. Los teratomas denominados “inmaduros” se caracterizan por su alto contenido de células pobremente diferenciadas. Esta característica por sí sola no determina un pronóstico desfavorable. En esta ilustración, el tejido neuroectodérmico de un teratoma testicular muestra zonas “inmaduras”, compuestas por células de núcleo pequeño, denso y muy basofílico (neuroblastos), adyacente a una zona poco celular, con aspecto de tejido glial cerebral, o zona “madura”. © 2007 Editorial Médica Panamericana, S.A de C.V. Cisfarm
  • 455.
    C14 Patología devejiga, próstata y testículo 453 FIGURA 14-33. Histopatología del tumor de saco vitelino. Los aspectos histopatológicos del tumor de saco vitelino o de senos endodérmicos pueden ser complejos. De entre las muy diversas estructuras descritas se ilustran las siguientes. a) Formaciones papilares. Nótese el depósito extracelular de una sustancia homogénea, amorfa, eosinofílica, que sugiere la produc- ción de proteínas por el tumor. b) Estructuras macroquísticas, en cuyo interior se observan también depósitos de material eosinofílico amorfo. c) En una zona celular de aspecto “sólido” se observan células inmunorreactivas (color café intenso, debido al cromógeno empleado) a anticuerpos anti-α-fetoproteína. Esta proteína se localiza con frecuencia en los depósitos amor- fos y eosinofílicos revelados por la tinción convencional con hematoxilina y eosina. d) A bajo aumento, otra zona del tumor revela un aspecto de microquistes, en “panal de abeja”, muy frecuente en los tumores de saco vitelino. (d) (b) (c) (a) © 2007 Editorial Médica Panamericana, S.A de C.V. Cisfarm
  • 456.
    454 Patología especial FIGURA14-34. Producción de α-fetoproteína. La α-fetoproteína (AFP) es la proteína circulante más importante durante la vida fetal. Es el equivalente prenatal de la albúmina. Así como en la vida posnatal la albúmina sirve, entre otras cosas, para el transporte y acarreo de hormonas y compuestos bioactivos, la AFP muestra gran afinidad por los estrógenos y hormonas esenciales al desarrollo fetal normal. No se sabe de qué manera se reprimen los genes que codifican su producción, pero está claro, como la curva demuestra, que después de alcanzar un máximo en la semana 15 de la gestación, la producción de AFP disminuye notablemente, y cesa de modo abrupto después del nacimiento. En el recién nacido su concentración es de 10 a 12 n/dL; a las dos semanas de edad es de sólo 0.6 ng/dL. La vida media de la AFP es de casi cinco días. Puede haber problemas de interpretación en los recién nacidos, pues los niveles de AFP en ellos pueden ser altos. Sin embargo, aun cuando los genes de su producción no hayan sido “silenciados” del todo, normalmente debe observarse una clara tendencia a la desaparición. Si los niveles séricos altos debidos a un tumor persisten durante 25 días después de la extirpación quirúrgica, es necesario sospechar que la resección del tumor fue incompleta. AFP (mg/mL) 3 2.5 2 1.5 1 0.5 0 0 5 10 15 20 25 28 30 © 2007 Editorial Médica Panamericana, S.A de C.V. Cisfarm
  • 457.
    C14 Patología devejiga, próstata y testículo 455 FIGURA 14-35. Histopatología del coriocarcinoma. La característica fundamental en este tumor es la formación de citotrofoblasto y de sincitiotrofoblasto. Este último se identifica fácil- mente en las preparaciones histológicas por su aspecto de células gigantes y multinucleadas, como se observa en la fotografía. El sincicio citoplásmico resulta de la fusión de células cito- trofoblásticas; la diferenciación trofoblástica de células de carcinoma embrionario puede identificarse mediante tinciones inmunohistoquímicas que emplean anticuerpos contra la hormona coriónica gonadotrópica. © 2007 Editorial Médica Panamericana, S.A de C.V. Cisfarm
  • 458.
    456 Patología especial FIGURA14-36. Poliembrioma y “cuerpos embrioides”. Cuando las células primitivas, o células de carcinoma embrionario (CCE) del teratoma experimental del ratón, se inyectan en la cavidad peritoneal de un ratón recipiente, se obtiene la formación de numerosos corpúsculos celulares esferoidales que semejan un embrión temprano. a) Aspecto de algunos de estos corpúsculos, o cuerpos embrioides, en el líquido ascítico hemorrágico, rodeados de eritrocitos (microscopio de barrida, X 700). Experimentalmente, en el ratón, el desarrollo de un teratoma empieza pareciéndose a un embrión normal hasta la fase de aspecto “cilíndrico” (egg cylinder: aproximadamente séptimo día del embrión del ratón), después de la cual los tejidos se des- organizan y proliferan en la forma caótica, propia de los teratomas, en lugar de crecer ordenadamente, como se espera en el embrión normal. También en los tumores de células germinales del humano, sobre todo los teratomas malignos, se pueden observar ocasionalmente en algunos cuerpos embrioides, como los que se ilustran en b) y c). La diferenciación tisular puede ser notable en los embrioides. d) Diferenciación hacia alantoides. La parte periférica del embrioide se diferencia hacia trofoblasto, en forma de célula gigante o sincicial multinucleada. Un tumor de células germinales sumamente raro está constituido por gran número de cuerpos embrioides y por esta razón se designa como poliembrioma. (a) (b) (c) (d) © 2007 Editorial Médica Panamericana, S.A de C.V. Cisfarm
  • 459.
    C14 Patología devejiga, próstata y testículo 457 Aspectos clínicos Patología prostática más frecuente Asociada a alteraciones hormonales Disminución de andrógenos Incremento en estradiol y dehidrotestosterona Más frecuente en zona periuretral Dificultad para orinar, obstrucción y retención urinarias a veces asociadas a cistitis y pielonefritis Aspectos morfológicos Incremento de tamaño y peso (50 a 200 g) Nódulos hiperplásicos constituidos por: Tejido fibromuscular Glándulas con o sin dilataciones quísticas Se puede asociar a: Infartos prostáticos Metaplasia escamosa Prostatitis crónica y ocasionalmente aguda No se considera una condición premaligna TABLA 14-3 Características de la hiperplasia nodular Enfisematosa Secundaria a bacterias formadoras de gas. Más frecuente en diabéticos. Quística/glandular Irritación crónica por infecciones u otras condiciones (cirugía, extrofia vesical, etc.). Formación de quistes mucinosos. Folicular Folículos linfoides en la pared vesical. Asociada a infección por salmonella. Hemorrágica Administración de ciclofosfamida, colocación de catéteres o infecciones virales. Eosinofílica En ocasiones se asocia con eosinofilia periférica y enfermedades alérgicas. Abundantes eosinófilos en la lámina propia. Intersticial Etiología desconocida. Disuria y hematuria recurrentes en mujeres de edad media. Infiltrado linfoide, mastocitos y edema de la lámina propia. Otras Virus (adenovirus, herpes), amibiasis, químicos. TABLA 14-1 Variedad de cistitis. Etiología y aspectos morfológicos 95% de los tumores vesicales Promedio de edad: 50 años Carcinogenéticos: Anilinas industriales Tabaquismo Ciclofosfamida Irritación crónica Otros Puede ser multicéntrico en la vejiga o en otros sitios donde hay epitelio transicional (uretra, uréter, etc.) Síntomas: disuria, hematuria, obstrucción urinaria TABLA 14-2 Carcinoma de células transicionales © 2007 Editorial Médica Panamericana, S.A de C.V. Cisfarm
  • 460.
    458 Patología especial VARIEDADDE PROSTATITIS CARACTERÍSTICAS CLÍNICO-PATOLÓGICAS Aguda Asociación con cistitis, uretritis o infecciones sistémicas. Introducción de catéteres y resecciones transuretrales Gramnegativos, principalmente E. coli, disuria, fiebre, dolor prostático intenso. Infiltración por neutrófilos, necrosis y abscesos Crónica Asociada a hiperplasia nodular con ruptura de conductos. Secuela de prostatitis aguda. Infección por Chlamidia trachomatis. Síntomas leves o asintomatica. Infiltración por linfocitos, histiocitos y células plasmáticas Tuberculosa Asociada a tuberculosis sistémica y muy frecuente en tuberculosis del sistema genitourinario. Tacto rectal normal en etapas tempranas e indurada en casos crónicos. Necrosis caseosa, granulomas con células gigantes de tipo Langhans Granulomatosa no específica Asociada a ruptura de conductos o a resección transuretral prostática. Puede ser asintomática o producir fiebre y síntomas sistémicos. Infiltración por linfocitos, histiocitos y células gigantes con granulomas sin necrosis caseosa TABLA 14-4 Características de la prostatitis A Carcinoma microscópico no palpable B Confinado a la próstata. Nódulo(s) palpable(s) en el tacto rectal C Extensión de la neoplasia a la cápsula y tejidos periprostáticos D Metástasis a ganglios linfáticos, hueso, etcétera Modificado de Huben y Morphy. Prostatic Cancer. An update. Prostate Cancer CA 36:274. 1986. TABLA 14-5 Estadios clínicos del carcinoma prostático Cisfarm
  • 461.
    C14 Patología devejiga, próstata y testículo 459 La tabla no pretende ser completa sino sólo enumerar algunos pade- cimientos en los cuales el testículo es patológico, por anormalidad de los genes que controlan su desarrollo. El testículo puede estar ausen- te, como en la aplasia gonadal. Si el testículo desaparece en etapas tempranas del desarrollo embrionario, los genitales externos pueden ser ambiguos o de tipo femenino, ya que el testículo embrionario contribuye al desarrollo del aparato genital masculino (figura 14-23). La causa más frecuente de ausencia de testículo es la involución pro- ducida por la criptorquidia, pero en ese caso los genitales externos pueden ser normales (ya que la regresión es tardía), y la ausencia testicular es entonces comúnmente unilateral. La criptorquidia acom- paña con frecuencia a los síndromes aquí enumerados. En el varón XX, el fenotipo es masculino, con testículos bilateralmente y órganos masculinos internos y externos. Sin embargo, el cariotipo es XX, aun- que se sabe que parte del cromosoma Y se ha transferido al brazo corto de un cromosoma X. El testículo carece de espermatogonias y puede ser atrófico. En la disgenesia gonadal tipo Swyer el cariotipo es 46,XY, pero el fenotipo es femenino, puesto que el testículo no se desarrolla normalmente en las etapas embrionarias cruciales para el desarrollo genital. Los órganos derivados del conducto de Müller (trompas de Falopio, útero) están presentes. El testículo se encuentra convertido en un cordón fibroso sin estructura testicular reconocible. TABLA 14-6 Algunos trastornos genéticos de la diferenciación testicular ENFERMEDAD Aplasia gonadal Regresión testicular Síndrome de Klinefelter Variantes del síndrome de Klinefelter Varón XX Disgenesia gonadal (Swyer) Disgenesia gonadal mixta Síndrome de Drash Hermafroditismo verdadero CARIOTIPO XY XY XXY XY/XXY, XXXY y otros XX XY XO/XY y otros XY XX/XY, XO/XY y otros CONDUCTOS Müller Wolff Wolff Wolff Wolff Müller, inmaduros Müller y Wolff Müller y Wolff Wolff y Müller TESTÍCULO Ausente Ausente o rudimentario Puede ser pequeño, atrófico Normal o pequeño Puede ser pequeño; hay criptorquidia en 15% de los casos Cordón fibroso Testículo y cordón fibroso Anormalidad por disgenesia Ovario y/o testículo y/u ovotestis COMENTARIO Algunos casos autosómicos recesivos Si la regresión es temprana, el fenotipo es femenino; si es tar- día, masculino El fenotipo puede ser “eunucoide” El fenotipo puede ser semejan- te al de Klinefelter Resulta de la transferencia de material del cromosoma Y a la punta de Xp Eunucoide Ocurre virilización en la pubertad Se asocia con tumor de Wilms Síndrome raro, a veces familiar En cambio, en la disgenesia gonadal mixta un testículo es normal, pero el contralateral está transformado en un cordón fibroso; puede entonces verse epidídimo del lado testicular y trompa de Falopio del lado de la gónada fibrosa, aunque estos hallazgos no son constantes. En el síndrome de Drash, genes que controlan el desarrollo y diferen- ciación de las eminencias urogenitales del embrión funcionan mal. El resultado es nefasto para el riñón (nefropatía con síndrome nefrítico, tumor de Wilms) y para el aparato genital (genitales ambiguos, gó- nadas malformadas). El hermafroditismo verdadero es raro (menos de 10% de los llamados “estados intersexuales”). En este síndrome la anormalidad de diferenciación afecta a las células germinales primitivas dando como resultado la formación de testículo y ovario simultáneamente. Dichos órganos pueden estar fusionados en una gónada “híbrida” u ovotestis, o puede haber testículo de un lado y ovario del lado opuesto. El cariotipo es variable, pero más de la mi- tad son 46,XX y con fenotipo femenino. En pacientes hermafroditas hay alta frecuencia de desarrollo de tumor de células germinales: en aquellos con cromosoma Y la frecuencia es de 5%; el riesgo es de 1.5% en los que carecen de cromosoma Y. © 2007 Editorial Médica Panamericana, S.A de C.V. Cisfarm
  • 462.
    460 Patología especial aMaiery cols. Cancer 32:1212-1226. 1972. bSkinner DG. J Urol 15:65-69. 1976. cMarks y cols. Hemat Oncol Clin N Amer 5:1143-1172. 1991. TABLA 14-7 Comparación de tres métodos para estimar el estadio clínico de los tumores testiculares MÉTODO HOSPITAL WALTER REED A IA: Confinado al testículo, sin evi- dencia clínica o radiológica de diseminación IB: Igual que el IA, pero se encuen- tran metástasis linfáticas durante la disección de ganglios linfáticos pediátricos II: El tumor es exclusivamente sub- diafragmático y no se ha extendido a los órganos viscerales, pero hay evidencia clínica o radiográfica de metástasis linfáticas en ganglios paraaórticos, inguinales, femorales e ilíacos III: El tumor se extiende por arriba del diafragma, o se ha diseminado al parénquima de los órganos MÉTODO SKINNER B A: Igual que el Walter Reed IA, pero requiere comprobación de gan- glios linfáticos negativos por biopsia B: La enfermedad es enteramente subdiafragmática, el tórax y me- diastino son normales Bl: Menos de seis ganglios linfáticos positivos, que están bien encap- sulados y no muestran extensión tumoral al tejido retroperitoneal B2: Seis o más ganglios linfáticos invadidos, bien encapsulados y/o extensión al tejido graso retroperitoneal B3: Voluminosa masa tumoral retro- peritoneal (de más de 5 cm de diámetro) MÉTODO VARIANTE DEL WALTER REED C I: Tumor limitado al testículo II: Hay diseminación linfática subdia- fragmática, que ha mostrado con la terapia: a) pequeña disminución de volumen b) gran disminución de volumen III: Hay extensión a ganglios linfáticos supradiafragmáticos IV: Hay metástasis a distancia y/o extraganglionares ENFERMEDAD % DE CASOS CON NICG Criptorquidia 2 a 8% Pacientes con historia previa de tumor testicular de células germinales ~ 5% Pacientes con historia previa de infertilidad ~ 1% Disgenesia gonadal en individuos poseedores de cromosoma Y Elevado %, no cuantificado Síndrome de “feminización testicular” (insensibilidad a los andrógenos) TABLA 14-8 Padecimientos en que se observa lesión precursora del cáncer testicular (neoplasia intratubular de células germinales) © 2007 Editorial Médica Panamericana, S.A de C.V. Cisfarm
  • 463.
    15 Patología de lapiel Jorge Fernández-Díez Patología de la piel FIGURA 15-1. a) Primoinfección tuberculosa cutánea de los dedos índice y medio. b) Lupus vulgar (tuberculosis mucocutánea), eritema centro facial y deformación de la nariz, con úlcera del labio superior y nariz. (a) (b) © 2007 Editorial Médica Panamericana, S.A de C.V. Cisfarm
  • 464.
    462 Patología especial FIGURA15-2. a) Fotomicrografía de granulomas epitelioides, sin necrosis caseosa (HE x150). b) Bacilos de la tuberculosis (ZN x 400). (a) (b) © 2007 Editorial Médica Panamericana, S.A de C.V. Cisfarm
  • 465.
    C15 Patología dela piel 463 ESQUEMA 15-1. Historia natural de la lepra. TT lepra tuberculoide polar, BB lepra dimorfa polar, LL lepra lepromatosa polar, BT lepra dimorfa hacia polo tuberculoide, BL lepra dimorfa hacia el polo lepromatoso. Lepra en reacción, FL fenómeno de Lucio, EN eritema nodoso, EP eritema polimorfo. HISTORIA NATURAL Y CLASIFICACIÓN DE LA LEPRA Resolución Espontánea Persistente Tuberculoide (TT) (BT) (BL) Dimorfa ? (BB) Lepromatosa macular difusa nodular reacción FL EN EP ?? (LL) L. Indeterminada © 2007 Editorial Médica Panamericana, S.A de C.V. Cisfarm
  • 466.
    464 Patología especial FIGURA15-3. a) Lepra indeterminada exhibe mácula hipocrómica e hipoestésica. b) Lepra lepromatosa exhibe la cara infiltrada, frente, arcos superciliares, nariz ancha y pabellones de las orejas, alopecia de las cejas. (a) (b) © 2007 Editorial Médica Panamericana, S.A de C.V. Cisfarm
  • 467.
    C15 Patología dela piel 465 FIGURA 15-4. Lepra lepromatosa, histiocitos vacuolados o células de Virchow (HE x360). b) Lepra lepromatosa, tronco nervioso infiltrado por linfocitos e histiocitos vacuo- lados (HE x150). c) Lepra lepromatosa, bacilos de la lepra en el citoplasma de histiocitos (fite faraco x400). (c) (b) (a) © 2007 Editorial Médica Panamericana, S.A de C.V. Cisfarm
  • 468.
    466 Patología especial ESQUEMA15-2. Lepra en reacción. Tipo reversa: lepra limítrofe hacia el polo lepromatoso, BT lepra limítrofe hacia el polo tuberculoide, TT lepra polar tuberculoide. Tipo degrado. BT lepra limítrofe hacia tuberculoide. BL lepra limítrofe hacia el polo lepromatoso. Lepra polar lepromatosa. -“Reversa” BL BT ó TT -“Degrado” BT BL ó LL • Tipo I “crónico” -Eritema nodoso -Fenómeno de Lucio -Eritema polimorfo ? • Tipo II “agudo” LEPRA EN REACCIÓN (LLR) © 2007 Editorial Médica Panamericana, S.A de C.V. Cisfarm
  • 469.
    C15 Patología dela piel 467 FIGURA 15-5. Fotografía clínica de verruga vulgar paraungueal. © 2007 Editorial Médica Panamericana, S.A de C.V. Cisfarm
  • 470.
    468 Patología especial FIGURA15-6. a) Condiloma acuminado gigante de la región anal con carcinoma epidermoide por PVH fenotipo 16. b) Condiloma con acantosis, papilomatosis, coilocitos superficiales y efecto citopático, proliferación vascular de la papila (HE x125). (b) (a) © 2007 Editorial Médica Panamericana, S.A de C.V. Cisfarm
  • 471.
    C15 Patología dela piel 469 FIGURA 15-7. Fotomicrografía de neoplasia intraepitelial, Ca in situ, atipias celulares acentuadas, pérdida de la maduración, mitosis atípicas, hiperqueratosis y paraqueratosis (HE x150). © 2007 Editorial Médica Panamericana, S.A de C.V. Cisfarm
  • 472.
    470 Patología especial FIGURA15-8. a) Micetoma por Actinomadura madurae, pie y pierna deformados con aumento de volumen y tra- yectos fistulosos. b) Grano de Nocardia brasiliensis, grano pequeño, clavas pequeñas y anchas, en el seno de un absceso (HE x150). c) Grano de Actinomadura madurae, de aspecto cartográfico; sus filamentos se tiñen inten- samente con hematoxilina, seudoclavas basófilos (HE x180). d) Grano de Actinomadura pelletieri, grano peque- ño, homogéneo, que se tiñe de violeta intenso, aspecto de plato roto; no se distinguen filamentos en su interior (HE x150). e) Grano de Streptomyces somaliensis, grano grande, redondo, de aspecto homogéneo, en forma de rebanada de patata con hematoxilina y eosina; de color rosado pálido en el centro y más intenso en la periferia (HE x150). f) Grano de Actinomyces israelii (micobacteria), grano grande, filiforme, grampositivo, ácido alcohol resis- tente negativo, filamentos largos, delgados y entrelazados (HE x150). (e) (c) (a) (f) (d) (b) © 2007 Editorial Médica Panamericana, S.A de C.V. Cisfarm
  • 473.
    C15 Patología dela piel 471 FIGURA 15-9. a) Blastomicosis sudamericana, lesión destructiva crónica granulomatosa mucocutánea, destrucción de la pirámide nasal. b) Paracoccidioides brasiliensis con gemación múltiple “timón de barco” (Grocott x400). (a) (b) © 2007 Editorial Médica Panamericana, S.A de C.V. Cisfarm
  • 474.
    472 Patología especial FIGURA15-10. Criptococosis por Cryptococcus neoformans, espora grande, halo claro de mucopolisácaridos, gemación binaria (azul alciado x400). © 2007 Editorial Médica Panamericana, S.A de C.V. Cisfarm
  • 475.
    C15 Patología dela piel 473 FIGURA 15-11. a) Cromomicosis en las piernas, placas verrugosas. b) Cromomicosis Phyalophora pedrosoi o esclerotes de Medler, esporas pig- mentadas de café-negro con hematoxilina y eosina, en el interior de una célula gigante multinucleada (HE x210). (b) (a) © 2007 Editorial Médica Panamericana, S.A de C.V. Cisfarm
  • 476.
    474 Patología especial FIGURA15-12. a) Leishmaniasis cutánea o úlceras de los chicleros. b) Muchas leishmanias kinetoplastos en el citoplasma de macrófagos (HE x400). (b) (a) © 2007 Editorial Médica Panamericana, S.A de C.V. Cisfarm
  • 477.
    C15 Patología dela piel 475 FIGURA 15-13. a) Psoriasis de grandes placas eritematosas, bien limitadas. b) Detalle micros- cópico de psoriasis, acantosis regular tipo psoriasiforme, hiperqueratosis, paraqueratosis, atrofia suprapapilar, exocitosis de neutrófilos y microabscesos en la capa córnea “Munro”, dilatación y tortuosidad de los capilares de la papila dérmica (HE x150). (a) (b) © 2007 Editorial Médica Panamericana, S.A de C.V. Cisfarm
  • 478.
    476 Patología especial FIGURA15-14. a) Liquen plano, lesiones típicas en las muñecas. b) Detalle microscópi- co del liquen plano, acantosis en forma de dientes de sierra, hiperqueratosis ortoquera- tósica, infiltrado linfo-histiocítico en banda en la dermis papilar. (HE x80). (b) (a) © 2007 Editorial Médica Panamericana, S.A de C.V. Cisfarm
  • 479.
    C15 Patología dela piel 477 FIGURA 15-15. a) Niño con eczema atópico, eritema, costras mieliséricas, huellas de rascado. b) Detalle microscópico de eczema atópico, acantosis, espongiosis y microvesículas intraepidérmicas, exocitosis de linfocitos y eosinófilos (HE x80). (b) (a) © 2007 Editorial Médica Panamericana, S.A de C.V. Cisfarm
  • 480.
    478 Patología especial (b) (a) FIGURA15-16. a) Lupus eritematoso generalizado, eritema facial con úlceras en tórax con pápulas hemorrágicas y úlceras por vasculitis. b) Piel, epidermis atrófica con hiperqueratosis y tapones de queratina, edema de la capa basal, infiltrado linfocitario superficial (arriba) (HE x175). Inmunofluorescencia directa banda lúpica, depósito de IgG en la unión dermo-epidérmica (IFD x175). © 2007 Editorial Médica Panamericana, S.A de C.V. Cisfarm
  • 481.
    C15 Patología dela piel 479 FIGURA 15-17. Vasculitis cutánea en las piernas, pápulas, placas eritematosas, hemorragia, úlceras. © 2007 Editorial Médica Panamericana, S.A de C.V. Cisfarm
  • 482.
    480 Patología especial FIGURA15-18. a) Detalle de vasculitis necrosante leucocitoclástica de pequeños vasos; la pared exhibe necrosis fibrinoide, polvo nuclear y neutrófilos (HE x180). b) Detalle de vasculitis necrosante de vasos pequeños (HE x350). c) Depósitos de IgG en la pared del vaso sanguíneo (IFD x210). (c) (b) (a) © 2007 Editorial Médica Panamericana, S.A de C.V. Cisfarm
  • 483.
    C15 Patología dela piel 481 FIGURA 15-19. Pénfigo vulgar en tórax, vesículas pequeñas, eritema, úlceras, costras. © 2007 Editorial Médica Panamericana, S.A de C.V. Cisfarm
  • 484.
    482 Patología especial FIGURA15-20. Pénfigo vegetante en la espalda, placas verrugosas y vesículas peque- ñas, úlceras. © 2007 Editorial Médica Panamericana, S.A de C.V. Cisfarm
  • 485.
    C15 Patología dela piel 483 FIGURA 15-21. a) Detalle de pénfigo vulgar, vesícula intraepitelial acantolítica (HE x210). b) Inmunofluorescencia indirecta, depósitos de IgG no fija complemento, con patrón en malla, alrededor de los queratinocitos (IFI x210). (a) (b) © 2007 Editorial Médica Panamericana, S.A de C.V. Cisfarm
  • 486.
    484 Patología especial FIGURA15-22. a) Eczema de contacto alérgico en el cuello, eritema, liqueinificación de la piel, huellas de rascado. b) Detalle microscópico de eczema alérgico, microvesícula intraepidér- mica subcorneal del tipo espongiótica, exocitosis de linfocitos y eosinófilos (HE x150). (a) (b) © 2007 Editorial Médica Panamericana, S.A de C.V. Cisfarm
  • 487.
    C15 Patología dela piel 485 FIGURA 15-23. Detalle microscópico de la queratosis seborreica con proliferación benigna de las células basaloi- des con seudoquistes de queratina (HE x125). © 2007 Editorial Médica Panamericana, S.A de C.V. Cisfarm
  • 488.
    486 Patología especial (a)(b) FIGURA 15-24. Esquema de los tipos morfológicos de las células névicas y melanocitos tanto a) benignas como b) malignas. (Ackerman y cols., 1994.) © 2007 Editorial Médica Panamericana, S.A de C.V. Cisfarm
  • 489.
    C15 Patología dela piel 487 FIGURA 15-25. a) Nevo acral lentiginoso congénito pequeño. b) Nevo com- puesto; detalle microscópico; tecas de células névicas en la unión dermoe- pidermis, células névicas pequeñas en la dermis profunda (HE x125). (b) (a) © 2007 Editorial Médica Panamericana, S.A de C.V. Cisfarm
  • 490.
    488 Patología especial FIGURA15-26. a) Esquema de nevo adquirido intradérmico tipo Miescher, con silueta de triángulo invertido, células monótonas. (Ackerman y cols., 1994, p. 50.) b) Esquema de nevo adquirido intradérmico tipo Unna, con células monótonas, de aspecto exofítico verrugoso. (Ackermany y cols., 1994, p. 47.) (b) (a) © 2007 Editorial Médica Panamericana, S.A de C.V. Cisfarm
  • 491.
    C15 Patología dela piel 489 FIGURA 15-27. a) Queratoacantoma del párpado, nódulo crateriforme bien circunscrito, de evolución rápida. (Cortesía del Dr. Alfredo Gómez Leal.) b) Aspecto panorámico microscópico de queratoacantoma; el centro está lleno de queratina, acantosis y papilomatosis del epitelio basal del cráter, con atipias células e invasión a la dermis vecina. Nótese el inicio abrupto del epitelio normal vecinal inferior izquierdo (HE x60). (a) (b) © 2007 Editorial Médica Panamericana, S.A de C.V. Cisfarm
  • 492.
    490 Patología especial FIGURA15-28. a) Carcinoma basocelular del tipo nodular ulcerado en el párpado inferior, pigmentado, de bordes perlados. b) Carcinoma basocelular nodular: los nidos neoplásicos de células basales están en la dermis superfi- cial, y exhiben empalizada en la periferia (HE x75). (b) (a) © 2007 Editorial Médica Panamericana, S.A de C.V. Cisfarm
  • 493.
    C15 Patología dela piel 491 FIGURA 15-29. a) Carcinoma epidermoide del tipo verrugoso del pene; se obser- va la deformación del glande, la neoplasia blanquecina verrugosa bien limitada. b) Carcinoma epidermoide bien diferenciado; forma mosaicos de células epiteliales, hay disqueratosis, citoplasma claro, citoplasma eosinófilo, mitosis atípicas, for- mación de perlas córneas, desproporción núcleo citoplasma (HE x125). (a) (b) © 2007 Editorial Médica Panamericana, S.A de C.V. Cisfarm
  • 494.
    492 Patología especial FIGURA15-30. a) Mujer de 75 años de edad con melanoma maligno de tipo lentiginoso en la mejilla con 20 años de evolución; zona plana con crecimiento radial y los nódulos con creci- miento vertical. b) Melanoma maligno de diseminación superficial en la pierna; siete años de evolución; crecimiento asimétrico, bordes irregulares, color irregular, áreas hipocrómicas de regresión y nódulos de crecimiento vertical. c) Pierna de un niño con melanoma originado en nevo congénito de 14 x 10 cm con metástasis inguinales. (a) (b) (c) © 2007 Editorial Médica Panamericana, S.A de C.V. Cisfarm
  • 495.
    C15 Patología dela piel 493 FIGURA 15-31. a) Esquema de crecimiento melanocítico. Izquierda: arriba, patrón normal de los melanocitos en la capa basal; en medio, proliferación benigna de melanocito en la capa basal; abajo, proliferación lentiginosa benigna de los melanocitos en la capa basal. Derecha: arriba y en medio, proliferación neoplásica de los melanocitos en la epidermis con emigración transepitelial; abajo, invasión a la dermis superficial. (Ackerman y cols., 1994, p. 111.) b) Detalle microscópico del melanoma in situ; proliferación neoplásica de los melanocitos en la capa basal, pleomorfismo nuclear y citoplasma claro (HE x150). c) Detalle microscópico del melanoma maligno de diseminación superficial; los melanocitos neoplásicos exhiben citoplasma claro y núcleo ovoide con nucleolo rojo aparente, emigración pagetoide intraepitelial e invasión a la dermis superficial (HE x80). d) Detalle microscópico del melanoma maligno; muestra células epiteloides, pleomorfismo nuclear, seudoinclusión nuclear, pigmento y mitosis atípicas (HE x175). (d) (c) (b) (a) © 2007 Editorial Médica Panamericana, S.A de C.V. Cisfarm
  • 496.
    494 Patología especial FIGURA15-32. Detalle microscópico del melanoma maligno con crecimiento vertical; se aprecian melanocitos neoplásicos en la dermis teñidos con HMB-45 positivos (HMB-45 x75) © 2007 Editorial Médica Panamericana, S.A de C.V. Cisfarm
  • 497.
    C15 Patología dela piel 495 FIGURA 15-33. a) Esquema de la distribución de los nevos en el síndrome de nevos displásicos. b) Síndrome de nevos displásicos; los nevos exhiben diferentes formas, tamaños, colores y bordes irregulares, crecimiento asimétrico; más de 100 nevos. c) Detalle microscópico de nevo displásico; muestra epidermis delgada con proliferación digitiforme de las proyecciones interpapilares; se juntan y forman puentes; los melanocitos se disponen sobre todo en las puntas de las proyecciones, con atipia desde leve a neoplásica. Hay hiperplasia laminar de la dermis papilar y proliferación vascular superficial con infiltrado linfocitario (HE x125). d) Detalle microscópico de nevo displásico (izquierda) y melanoma (derecha) (HE x80). (b) (d) (c) (a) © 2007 Editorial Médica Panamericana, S.A de C.V. Cisfarm
  • 498.
    496 Patología especial FIGURA15-34. a) Pieza quirúrgica de un tumor de células de Merkel; tumor grande, mal limitado; blanco grisáceo, del glúteo. b) Detalle microscópico de merkeloma; células peque- ñas, uniformes, escaso citoplasma, núcleo redondo, cromatina fina sin nucleolo (HE x210). c) Detalle de una célula de Merkel con el microscopio electrónico; exhibe en el citoplasma gránulos pequeños uniformes electrodensos (gránulos neuroendocrinos) (ME 86,000). (c) (b) (a) © 2007 Editorial Médica Panamericana, S.A de C.V. Cisfarm
  • 499.
    C15 Patología dela piel 497 (a) (c) (b) FIGURA 15-35. a) Micosis fungoides; placas infiltradas eritematoes- camosas mal limitadas; 14 años de evolución; lesiones diseminadas por toda la superficie cutánea. b) Micosis fungoides en la fase tumoral; hombre viejo con 25 años de evolución. c) Detalle microscópico de micosis fungoides; se ve la invasión de linfocitos intermedios y grandes con núcleos hendidos cerebriformes CD4 positivos, invadiendo la epi- dermis (exocitosis seca) (HE x150). © 2007 Editorial Médica Panamericana, S.A de C.V. Cisfarm
  • 500.
    498 Patología especial FIGURA15-36. a) Linfoma de alto grado de células grandes hendidas B, pla- cas, nódulos, hombre de 48 años. b) Detalle microscópico de linfoma de células grandes B; se aprecian las células grandes y núcleos hendidos (HE x210). (b) (a) © 2007 Editorial Médica Panamericana, S.A de C.V. Cisfarm
  • 501.
    C15 Patología dela piel 499 TABLA 15-1 Tuberculosis 1a. 2a. 1a. 2a. 2a. 2a. CLÍNICA Manos, dedos, nódulo ulcerado, úlceras, linfangitis y adenitis 90% en la cara Placa, nódulo, rojizo eritematoso, puede ulcerarse Placa verrugosa bien limitada, mayor de 5 cm Placas y nódulos ulcerados con fístulas Pápulas o nódulos pequeños Nódulo necrótico Eritema indurado de Bazin Eritema nodoso BAAR ++++ +, – – ++++ ++ – PCR+ RNAm para Mycobacte- rium tuberculosis PATOLOGÍA Inflamación aguda Granulomas poco frecuentes y mal constituidos Granulomas superficiales bien constituidos sin necrosis caseosa Hiperplasia seudoepiteliomatosa con granulomas bien constituidos sin necrosis caseosa Inflamación aguda abscedada con granulomas bien constituidos con necrosis caseosa Granulomas múltiples bien constituidos con necrosis caseosa NN: vasculitis necrosante dérmica EIB: paniculitis lobular con vasculitis EN: paniculitis septal con vasculitis MECANISMO Inoculación Manejo de alimentos y material de laboratorio, y animales contaminados Reinfección Inoculación accidental por manejo de alimentos frescos, material de laboratorio y animales contaminaados Contigüidad Tb ganglionar Abscesos fríos Hematógena Foco pulmonar Hipersensibilidad humoral por complejos inmunes TIPOS DE TUBERCULOSIS Primo infección Lupus vulgar Tb verrugosa Escrofulodermia Tb miliar Tuberculides © 2007 Editorial Médica Panamericana, S.A de C.V. Cisfarm
  • 502.
    500 Patología especial TABLA15-2 Datos generales de la lepra DIMORFA Mácula hipocrómica eritematosa con bordes elevados Placas con sensibilidad variable LT/LL Sí/no Generalmente evoluciona al polo maligno LL +/– ++/– Granulomas tuberculoides e histiocitos vacuolados, perianexial, perineural BAAR ++ Humoral C.I. Eritema nodoso Maligno 75% Incierto LEPROMATOSA Lepra bonita o lazarina, máculas Placas difusas, infiltradas, nódulos, alopecia, uveítis, fenómeno de Lucio, renitis crónica Sí Maligna – ++++ Infiltrado nodular o difuso de histiocitos vacuolados (granulomas histiocíticos) BAAR++++ Humoral C.I. Eritema nodoso Fenómeno de Lucio Maligno 100% Resistente TUBERCULOIDE Mácula eritematosa de bordes geográficos elevados circinados con disestesia, nódulos, trastornos neurológicos, queratitis No Benigno +++/++++ – Granulomas tuberculoides (histiocitos activados), perianexial y perineural BAAR– Humoral C.I. Eritema nodoso Benigno 100% Responde INDETERMINADA Mácula hipocrómica, disestésica, alopecia, anhidrosis Sí/no 75% involuciona espontáneamente +/– –/+ escasos Infiltrado de linfocitos perivascular, perianexial, perineural BAAR ++ Humoral C.I. Eritema nodoso Maligno 75% Incierto TIPOS Clínica Contagio Evolución Reacción de Mitsuda Bacteriología Patología Hipersensibilidad Pronóstico Tratamiento sulfas © 2007 Editorial Médica Panamericana, S.A de C.V. Cisfarm
  • 503.
    C15 Patología dela piel 501 * Véase la figura 15-8. TABLA 15-4 Diferencias entre los microorganismos que producen el micetoma* FRECUENCIA 85% 10% <5% <5% <5% <5% Muy raro FORMA DEL GRANO Reniforme, redondo, polilobulado Cartográfico o polilobulado Fragmentado (plato roto) Ovalado con estrías, (rebanada de patata) Filamentosa o vesiculosa, concéntricos y radiales Interior filamentoso, hialino o vesiculoso, oval o curvilíneo Multilobulados en el centro, filamentosos, microsifonados y elementos cocoides CLAVAS Y PERFILES Clavas pequeñas y anchas 10x2 micras Seudoclavas, flecos Sin clavas, perfiles lisos Sin clavas, perfiles lisos Sin clavas, perfiles irregulares Sin clavas, desflecado, perfiles irregulares Clavas largas y delgadas TAMAÑO DEL GRANO 20 a 40 micras (20 a 150 micras) granos pequeños 500 > micras a 3 mm 50 a 80 micras (30 a 400 micras) 80 a 120 micras (200 micras) 60 a 120 micras (>500 micras) 80 a 200 micras (> 500 micras) 30 a 100 micras (>500 micras) COLOR DE LOS FILAMENTOS CON HE Anfófilo, azul claro en el centro Filamentos color púrpura Rojo violáceo intenso Rosa pálido, borde rosa más intenso Café marrón al rosa, violeta o negro en la periferia Rosados (eosinófilos) HONGOS Nocardia brasiliensis Actinomadura madurae Actinomadura pelletieri Streptomyces somaliensis Madurella mycetomatis Scedosporidium apiospermum Actinomyces israelii o bovis MICROORGANISMOS MÉXICO MUNDO Nocardia brasiliensis* 85% 32% Actinomadura madurae* 10% 8% Madurella grisea** <5% — Madurella mycetomatis** <5% 19% Actinomadura pelletieri* <5% 9% Streptomyces somaliensis** <5% 7% Scedosporidium apiospermum** <5% 3% * Hongos falsos. ** Hongos verdaderos. TABLA 15-3 Micetomas en México © 2007 Editorial Médica Panamericana, S.A de C.V. Cisfarm
  • 504.
    502 Patología especial TIPOÁREA GEOGRÁFICA ESPECIES Visceral, Viejo y Nuevo Mundos: Europa, África Oriental, América Latina L. donovani Kala-Azar L.d. chagasi Cutánea, ulcerada, Viejo Mundo, Europa, África Oriental L. minor moderada, localizada, grave Europa, África Oriental L. major, L. tropica Cutánea, ulcerada, Nuevo Mundo, moderada, localizada América Latina L. mexicana mexicana América Latina L. panamensis Grave América Latina L. amazonensis América Latina L. guyanensis Mucocutánea, Nuevo Mundo América Latina L.b. braziliensis Uta, Espundia América Latina L. peruana Cutánea, difusa, Viejo Mundo Etiopía L.m. ethiopica Cutánea, difusa, Nuevo Mundo América Latina L. amazonensis Tomado de Von Lichtenberg F. Path of Infect. Dis. 1991. TABLA 15-5 Leishmaniasis MEDICAMENTOS GRADO DE RIESGO Antihipertensivos Hidralacina Alto Antiarrítmicos Procainamida Alto Practolol Alto Agentes quelantes D-Penicilamina Alto Antituberculosos Isoniacida Moderado Anticonvulsionantes Hidantoínas Moderado Succinimidas Moderado Antitiroideas Derivadas de las tioureas Bajo Psicotrópicas Derivadas de las fenotiacinas Bajo Anticonceptivos orales Estrógenos-progesterona Indefinido Sulfonamidas Indefinido TABLA 15-6 Medicamentos que inducen LEG LEG Piel afectada 100% positiva LEG Piel clínicamente normal y expuesta al sol 90% positiva LEG Piel clínicamente normal y no expuesta al sol 65% positiva LED Piel afectada 100% positiva LED Piel normal expuesta 0% positiva o no expuesta al sol 0% positiva TABLA 15-7 Inmunofluorescencia directa en lupus eritematoso © 2007 Editorial Médica Panamericana, S.A de C.V. Cisfarm
  • 505.
    C15 Patología dela piel 503 Vasculitis de vasos pequeños Vasculitis leucocitoclástica Sólo afecta a las vénulas y capilares de la piel; no hay necrosante cutánea manifestaciones sistémicas ni glomerulares. Depósitos de complejos inmunes. Vasculitis por crioglobulinemia Vasculitis con depósitos inmunes de crioglobulinas en vénulas, esencial capilares y arteriolas con crioglobulinas en el suero. Afecta la piel y los glomérulos. Púrpura de Henoch-Schönlein Vasculitis con depósitos de IgA predominante en vénulas, capilares y arteriolas. Afecta típicamente piel, riñón, intestino; se asocia con artralgias y artritis. Poliangeítis microscópica Vasculitis necrosante con pocos o sin depósitos inmunes en (poliarteritis microscópica) vénulas, capilares y arteriolas. Arteritis necrosante de arterias pequeñas y medianas. Glomerulonefritis necrosante muy frecuente. Los capilares pulmonares son frecuentemente afectados. ANCA +. Síndrome de Churg-Strauss Inflamación granulomatosa con abundantes eosinófilos en el tracto respiratorio y vasculitis necrosante de vasos pequeños y medianos; se asocia con asma y eosinofilia en sangre. Granulomatosis de Wegener Inflamación granulomatosa que afecta tracto respiratorio, vasculitis necrosante sistémica de vasos pequeños y medianos. Glomerulonefritis. ANCA +. Vasculitis de vasos medianos Poliarteritis nodosa Arteritis necrosante de arterias medianas y en ocasiones pequeñas de todos los órganos, sin glomerulonefritis, arterias arcuatas e interlobares. AgsHB 70%. Hipertensión arterial; no afecta pulmón. Eosinofilia periférica. Enfermedad de Kawasaki Arteritis que afecta arterias grandes, medianas y pequeñas; se asocia con el síndrome de ganglios linfáticos mucocutáneos. Coronarias frecuentemente afectadas; la aorta y venas ocasionalmente. Es frecuente en niños. Vasculitis de vasos grandes Arteriritis de células gigantes Arteritis granulomatosa de la aorta y sus ramas mayores, con (arteritis de la temporal) predilección de las arterias extracraneales (carótida). Con frecuencia afecta la arteria temporal. Por arriba de los 40 años, se asocia a polimialgia reumática. Arteritis de Takayasu Arteritis granulomatosa de la aorta (tuberculosis) y sus ramas mayores supraaórticas. En enfermos por abajo de 40 años. TABLA 15-8 Clasificación de las vasculitis © 2007 Editorial Médica Panamericana, S.A de C.V. Cisfarm
  • 506.
    504 Patología especial Infecciosas Vasculitispor bacterias (estreptococo, neisseria, micobacterias, pseudomonas, etc.) Vasculitis por rickettsia (fiebre manchada de las Montañas Rocallosas) Vasculitis por espiroquetas (sífilis) Vasculitis por hongos (aspergilosis) Vasculitis por virus (herpes virus, hepatitis B y otros). Otros microorganismos Mediadas por complejos inmunes Púrpura de Henoch-Schönlein Crioglobulinemia esencial Vasculitis tipo enfermedad del suero y fenómeno de Arthus Vasculitis lúpica Poliarteritis nodosa clásica y microscópica por hepatitis B Mediadas directamente por anticuerpos Síndrome de Goodpasture (anticuerpos antimembrana basal) Enfermedad de Kawasaki (anticuerpos anticélula endotelial) Mediadas por ANCA (anticuerpos anticitoplasma de neutrófilos) Granulomatosis de Wegener Poliangeítis microscópica (poliarteritis microscópica) Síndrome de Churg-Strauss Mediadas por células Reacción vascular celular a los alotrasplantes Vasculitis linfocítica (autoinmunidad, enfermedad viral, medicamentos, linfoma) Mecanismo desconocido Arteritis de la temporal de células gigantes Arteritis de Takayasu TABLA 15-9 Clasificación patogénica de las vasculitis C-ANCA Granulomatosis de Wegener C-ANCA y P-ANCA Poliangeítis microscópica Crioglobulinemia mixta Vasculitis con crioglobulinemia esencial IgA absorbida a la fibronectina Púrpura de Henoch-Schönlein Anticuerpos antihepatitis B Arteritis de complejos inmunes Anticuerpos antimembrana basal glomerular Síndrome de Goodpasture Anticuerpos antinucleares Lupus eritematoso generalizado Anticuerpos anti C1q Vasculitis urticarial hipocomplementémica Anticuerpos anticardiolipinas Microangiopatía trombótica Anticuerpos antiverotoxina Síndrome urémico hemolítico Anticuerpos anti Scl-70 Esclerosis sistémica progresiva Inmunoglobulinas monoclonales Amiloidosis TABLA 15-10 Factores serológicos patogénicos de las vasculitis © 2007 Editorial Médica Panamericana, S.A de C.V. Cisfarm
  • 507.
    C15 Patología dela piel 505 TABLA 15-11 Características clínicas de diferentes tipos de melanoma EDAD 40 años 25 años 60 años 35 años 45 años < 15 años < 15 años TOPOGRAFÍA Tronco, piernas Extremidades, tronco Cara Manos y pies Boca, vagina, conjuntiva Cualquier lugar Diseminados en todo el cuerpo; más de 100 nevos SUPERVIVENCIA A 5 AÑOS EN CRECIMIENTO VERTICAL <.75 mm 90% 0.76-1.5 mm 70% > 1.5 mm 45% < 0.75 mm 70% 0.76-1.5 mm 50% > 1.5 mm 35% < 0.75 mm 99% 0.76-1.5 mm 80% > 1.5 mm 65% < 0.75 mm 70% 0.76-1.5 mm 50% > 1.5 mm 30% Muy malo Muy malo Muy malo CLÍNICA 2-4 mm, placa eritematosa café claro 1 cm, nódulo de pigmentación variable Varios cm, pigmentación irregular < 1 cm, café oscuro Máculas planas pigmentadas Gigantes, > 10 cm a) Asimétricos b) Bordes c) Color d) Diámetro TIEMPO DE EVOLUCIÓN CRECIMIENTO RADIAL 2 a 4 años Semanas o meses 10 a 15 años 4 a 6 años ? Primer decenio 10 años TIPO DE MELANOMA Diseminación superficial Nodular Lentigo maligno Acral lentiginoso Mucosas lentiginosas En nevo congénito Nevos displásicos, familiar © 2007 Editorial Médica Panamericana, S.A de C.V. Cisfarm
  • 508.
    506 Patología especial Edad Sitioanatómico Embarazo Estadio clínico Fase de crecimiento radial o vertical Microestradificación de Breslow o Clark Ulceración Índice mitósico, proliferación Ki-67 Cambios de regresión Satelitosis microscópica Respuesta inflamatoria del hospedero Márgenes quirúrgicos Contenido de ADN (ploidia) HLa-DR Oncogenes TABLA 15-12 Factores pronóstico Estadio I 99% (cualquier tipo) Estadio II 79% (65 a 85%) Estadio III 0 a 5% TABLA 15-13 Supervivencia del melanoma a 5 años SUPERVIVENCIA FRECUENCIA A 5 AÑOS Linfomas cutáneos de células T Comportamiento clínico indolente Micosis fungoides 40% 89% Variantes de la micosis fungoides MF folicular 4% 75% Reticulosis pagetoide <1% 100% Linfoma cutáneo de células grandes T. CD 30 positivo 10% 93% Papulosis linfomatoide 14% 100% Comportamiento clínico agresivo Síndrome de Sézary 3% 11% Linfoma cutáneo de células grandes T. CD 30 negativo 8% 15% Entidades provisionales Linfoma cutáneo de células T pleomórfico de células pequeñas y medianas 2% 62% Linfoma de células T subcutáneo tipo paniculitis <1% ? Linfoma cutáneo de células B Comportamiento clínico indolente Linfoma cutáneo primario de células B de la zona marginal (inmunocitoma) 2% 100% Linfoma cutáneo primario de células centro foliculares 13% 97% Comportamiento clínico intermedio Linfoma cutáneo primario de células B de las piernas 2% 55% Entidades provisionales Plasmocitoma cutáneo primario <1% 100% Linfoma de células grandes B intravascular <1% 50% * Fuente: European Organization for Research and Treatment of Cancer. TABLA 15-14 Clasificación de la EORTC* de los linfomas primarios de la piel © 2007 Editorial Médica Panamericana, S.A de C.V. Cisfarm
  • 509.
    17 Laura Chávez Macías JuanE. Olvera Rabiela Patología del sistema nervioso Patología del sistema nervioso FIGURA 17-1. a) Cromatólisis central. Es la desaparición de los gránulos de ARN de la parte central del citoplasma de las neuronas. b) Degeneración eosinófila. El citoplasma de las neuronas es inten- samente eosinófilo y ocurre en hipoxia e isquemia. c) La satelitosis consiste en el aumento de oligodendrocitos perineuronales que ocurre en enfermedades crónicas con atrofia neuronal. (Continúa.) (a) (b) (c) © 2007 Editorial Médica Panamericana, S.A de C.V. Cisfarm
  • 510.
    534 Patología especial FIGURA17-1 (Continuación). d) La gliosis es una respuesta de reparación de los astrocitos, con citoplasma abundante, que los convierte en gemistocitos. e) La ependimitis granular se ve a simple vista como granitos de sal en las paredes ventriculares y consiste en la prolife- ración de astrocitos subependimarios donde se pierde el revestimiento ependimario. f) En lesiones con destrucción rápida del tejido los macrófagos, tanto de la microglia como de la circulación, inician la fagocitosis y se ven con el citoplasma claro y reticular. (d) (f) (e) © 2007 Editorial Médica Panamericana, S.A de C.V. Cisfarm
  • 511.
    C17 Patología delsistema nervioso 535 FIGURA 17-2. a) Infarto hemorrágico reciente en el territorio de la cerebral media izquierda, secundario a oclusión embólica. b) Infarto en el territorio de la carótida interna izquierda, de seis semanas de evolución, secundario a oclusión por trombosis en su porción cervical. c) En la fase subaguda del infarto cerebral hay macrófagos con citoplasma reticular que fagocitan el tejido dañado y empieza la gliosis. Los infartos antiguos quedan cavitados y con bandas de gliosis. d) Infarto de ocho meses de evolución, con reabsorción total, en el territorio de la carótida interna izquierda. (a) (c) (b) (d) © 2007 Editorial Médica Panamericana, S.A de C.V. Cisfarm
  • 512.
    536 Patología especial FIGURA17-3. a) El vaso venoso en que ocurre con mayor frecuencia la trombosis es el seno longitudi- nal superior, que se muestra aquí cortado transversalmente. b) Infarto hemorrágico parietal, parasagital izquierdo, secundario a trombosis del seno longitudinal superior. Los infartos secundarios a la trombosis de este seno pueden ser uni o bilaterales. c) Infarto hemorrágico secundario a trombosis de las venas cerebrales internas, con forma de alas de mariposa. (a) (b) (c) © 2007 Editorial Médica Panamericana, S.A de C.V. Cisfarm
  • 513.
    C17 Patología delsistema nervioso 537 FIGURA 17-4. Hemorragia asociada a hipertensión arterial en hemisferio cerebral derecho con extensión ventricular. © 2007 Editorial Médica Panamericana, S.A de C.V. Cisfarm
  • 514.
    538 Patología especial FIGURA17-5. Los aneurismas gigantes miden más de dos centímetros, pueden sufrir trombosis y a veces se hacen un lecho en el parénquima por compresión crónica. © 2007 Editorial Médica Panamericana, S.A de C.V. Cisfarm
  • 515.
    C17 Patología delsistema nervioso 539 FIGURA 17-6. a) Las malformaciones arteriovenosas se localizan con mayor frecuencia en los hemisferios cerebrales, algunas son muy grandes como esta gigante en el lóbulo frontal derecho. b) Los vasos malformados tienen diferente espesor de la pared, pueden estar dilatados y el parénquima que se encuentra entre ellos muestra gliosis y atrofia. (a) (b) © 2007 Editorial Médica Panamericana, S.A de C.V. Cisfarm
  • 516.
    540 Patología especial FIGURA17-7. a) En la enfermedad de Moschowitz los capilares y arteriolas se obstru- yen por un material hialino que contiene fibrina y plaquetas. b) Como consecuencia de las alteraciones en la microcirculación ocurren hemorragias perivasculares múltiples, en un paciente con enfermedad de Moschowitz. (a) (b) © 2007 Editorial Médica Panamericana, S.A de C.V. Cisfarm
  • 517.
    C17 Patología delsistema nervioso 541 FIGURA 17-8. La hidrocefalia se debe a la obstrucción de la circulación del líquido cerebroespinal; en este caso extremo fue consecuencia de la estenosis congénita del acueducto. El septum puede romperse o rasgarse en casos graves. © 2007 Editorial Médica Panamericana, S.A de C.V. Cisfarm
  • 518.
    542 Patología especial FIGURA17-9. a) Hematoma epidural en un niño con fractura del hueso temporal, secun- daria a un golpe con pelota de beisbol. La sangre arterial extravasada se acumula sobre el lóbulo temporal. b) El hematoma subdural puede ser bilateral; la sangre venosa se acumula en la superficie dorsolateral de los hemisferios cerebrales. (a) (b) © 2007 Editorial Médica Panamericana, S.A de C.V. Cisfarm
  • 519.
    C17 Patología delsistema nervioso 543 FIGURA 17-10. Las contusiones cerebrales son más frecuentes en la superficie ventral de los lóbulos frontales y temporales. © 2007 Editorial Médica Panamericana, S.A de C.V. Cisfarm
  • 520.
    544 Patología especial FIGURA17-11. a) Empiema subdural secundario a escaras de decúbito infectadas. El exudado se acumula entre la duramadre y la aracnoides. b) Leptomeningitis purulenta con acúmulo máximo del exudado en la parte dorsal y parasagital de los hemisferios cerebrales. c) Los abscesos cerebrales pueden ser múltiples y dependen para su encapsulación de los vasos neoformados en la periferia, que son la fuente de fibroblastos, y se notan como un anillo de color rojo. En este caso como com- plicación de bronquiectasias abscedadas. (a) (b) (c) © 2007 Editorial Médica Panamericana, S.A de C.V. Cisfarm
  • 521.
    C17 Patología delsistema nervioso 545 FIGURA 17-12. a) En la leptomeningitis tuberculosa el exudado se acumula en el espacio subaracnoideo basal, donde rodea al quiasma y a las arterias del polígono. b) La endarteritis que ocurre en la leptomeningitis tuberculosa es causa de lesiones isquémicas en múltiples territorios. c) Los tuberculomas se localizan en el parénquima de los hemisferios cerebrales, y en los niños en el cerebelo. En este caso pudo alcanzar gran tamaño porque se hizo una derivación que disminuyó la hidrocefalia que causaba al comprimir el cuarto ventrículo. (a) (b) (c) © 2007 Editorial Médica Panamericana, S.A de C.V. Cisfarm
  • 522.
    546 Patología especial FIGURA17-13. La poliomielitis afecta a la sustancia gris de la médula, más notable en este caso en el segmento torácico. © 2007 Editorial Médica Panamericana, S.A de C.V. Cisfarm
  • 523.
    C17 Patología delsistema nervioso 547 FIGURA 17-14. Las células de Purkinje del cerebelo contienen inclusiones eosinófilas redondeadas en el citoplasma, que corresponden a cuerpos de Negri. © 2007 Editorial Médica Panamericana, S.A de C.V. Cisfarm
  • 524.
    548 Patología especial FIGURA17-15. Encefalitis por virus del herpes simple. La afección es más aparente en los lóbulos temporales, ínsulas y cíngulos, que presentan lesiones necrohemorrágicas. © 2007 Editorial Médica Panamericana, S.A de C.V. Cisfarm
  • 525.
    C17 Patología delsistema nervioso 549 FIGURA 17-16. Panencefalitis esclerosante subaguda con afección de todos los lóbulos e hidrocefalia ex vacuo. La consistencia del encéfalo en estos casos está aumentada. © 2007 Editorial Médica Panamericana, S.A de C.V. Cisfarm
  • 526.
    550 Patología especial FIGURA17-17. En la leucoencefalopatía multifocal progresiva hay desmielinización en muchos sitios, más notoria en la sustancia blanca de los hemisferios cerebrales. © 2007 Editorial Médica Panamericana, S.A de C.V. Cisfarm
  • 527.
    C17 Patología delsistema nervioso 551 FIGURA 17-18. En la enfermedad de Creutzfeldt-Jakob la corteza tiene aspecto microquístico con pérdida neuronal, por lo que se le ha dado el nombre de encefalopatía espongiforme. © 2007 Editorial Médica Panamericana, S.A de C.V. Cisfarm
  • 528.
    552 Patología especial FIGURA17-19. La toxoplasmosis congénita cursa con destrucción extensa del encéfalo, en especial en la corteza y vecindad de los ventrículos, con calcificaciones múltiples. © 2007 Editorial Médica Panamericana, S.A de C.V. Cisfarm
  • 529.
    C17 Patología delsistema nervioso 553 FIGURA 17-20. Las amibas de vida libre afectan de forma diferente al sistema nervioso, según el género que se encuentre. En este enfermo se encontraron lesiones necrohemorrágicas múltiples producidas por Balamuthia mandrillaris, que sólo afectaba a monos y se ha descrito recientemente en humanos. © 2007 Editorial Médica Panamericana, S.A de C.V. Cisfarm
  • 530.
    554 Patología especial FIGURA17-21. Escólex de Cysticercus cellulosae; lo común es encontrar el cuerpo del parásito en cortes histológicos, pero en este corte afortunado se observa la cabeza con su corona de ganchos. © 2007 Editorial Médica Panamericana, S.A de C.V. Cisfarm
  • 531.
    C17 Patología delsistema nervioso 555 FIGURA 17-22. a) Cisticercosis subaracnoidea basal. Puede evolucionar a la fibrosis con formación de un plastrón que impide la circulación del líquido cefalorraquídeo. b) Cisticercosis cerebral masiva. Los cisticercos se encuentran en espacios perivasculares, extensiones del espacio subaracnoideo, y no en el parénquima como antes se pensaba. (a) (b) © 2007 Editorial Médica Panamericana, S.A de C.V. Cisfarm
  • 532.
    556 Patología especial FIGURA17-23. La esclerosis múltiple en su forma crónica (de Charcot) cursa con placas de desmielinización, irregulares y deprimidas, en la sustancia blanca de múltiples sitios del encé- falo. © 2007 Editorial Médica Panamericana, S.A de C.V. Cisfarm
  • 533.
    C17 Patología delsistema nervioso 557 FIGURA 17-24. Leucodistrofia metacromática. La sustancia blanca tiene aspecto gelati- noso, las partes afectadas se observan de color gris y de aspecto granular. © 2007 Editorial Médica Panamericana, S.A de C.V. Cisfarm
  • 534.
    558 Patología especial FIGURA17-25. En la enfermedad de Alzheimer hay atrofia acentuada de las circunvoluciones y gran amplitud de los surcos. La atrofia es generalmente simétrica. © 2007 Editorial Médica Panamericana, S.A de C.V. Cisfarm
  • 535.
    C17 Patología delsistema nervioso 559 FIGURA 17-26. a) Las placas neuríticas son masas eosinófilas con un centro amiloide, de dendritas y axones con filamentos anormales. b) La degeneración neurofibrilar se ve como material fibrilar basófilo en el citoplasma de neuronas que después se destruyen y desaparecen, y quedan sólo las marañas neurofibrilares. c) La degeneración granulovacuolar consiste en la presencia en el citoplasma de gránulos basófilos rodeados de un halo, más evidente en las neuronas del hipocampo. (a) (b) (c) © 2007 Editorial Médica Panamericana, S.A de C.V. Cisfarm
  • 536.
    560 Patología especial FIGURA17-27. El aplanamiento del contorno de los ventrículos laterales en la corea de Huntington se debe a la atrofia del caudado y el putamen. Hay hidrocefalia ex vacuo. © 2007 Editorial Médica Panamericana, S.A de C.V. Cisfarm
  • 537.
    C17 Patología delsistema nervioso 561 FIGURA 17-28. Enfermedad de Parkinson. La sustancia nigra prácticamente ha desaparecido en este corte del mesencéfalo de una persona con mucho tiempo de evolución de esta enfermedad. © 2007 Editorial Médica Panamericana, S.A de C.V. Cisfarm
  • 538.
    562 Patología especial FIGURA17-29. Los cuerpos de Lewy en las neuronas residuales de la sustancia nigra y el locus coeruleus son característicos, aunque no exclusivos de la enfermedad de Parkinson. © 2007 Editorial Médica Panamericana, S.A de C.V. Cisfarm
  • 539.
    C17 Patología delsistema nervioso 563 FIGURA 17-30. Astrocitoma quístico del hemisferio cerebeloso izquierdo en un adolescente. Había datos de asinergia cerebelosa y lateropulsión hacia la izquierda. Posteriormente apare- cieron datos de hipertensión endocraneana que se agravaron después de un estudio neumoencefalográfico. La muerte sobrevino después del enclavamiento de las amigdalas cerebelosas. Nótese una porción quística en el centro de la parte sólida. © 2007 Editorial Médica Panamericana, S.A de C.V. Cisfarm
  • 540.
    564 Patología especial FIGURA17-31. Astrocitoma del puente de Varolio con cambios anaplásicos. Niña con afección de pares craneanos, trastornos cerebelosos y motores. El tumor infiltra ampliamente la base y tegmentum pontino. Los datos de disfunción del cerebelo son secundarios a la interrupción de los pedúnculos cerebelosos medios. El tumor tiene una parte con necrosis e hipervascula- rización en la que microscópicamente se encontraron datos de anaplasia. © 2007 Editorial Médica Panamericana, S.A de C.V. Cisfarm
  • 541.
    C17 Patología delsistema nervioso 565 FIGURA 17-32. Glioblastoma multiforme frontal derecho con extensión al lóbulo frontal izquierdo vía cuerpo calloso. Este hombre de 47 años de edad tuvo alteraciones de muchas fun- ciones cerebrales superiores y posteriormente datos de hipertensión endocraneana. Casi todo el tejido neoplásico muestra necrosis e hipervascularización. Microscópicamente se notó hiperplasia endotelial de los vasos neoformados y gran pleomorfismo celular. © 2007 Editorial Médica Panamericana, S.A de C.V. Cisfarm
  • 542.
    566 Patología especial FIGURA17-33. Ependimoma del cuarto ventrículo en un hombre de 34 años de edad. Los datos clínicos principales fueron trastornos cerebelosos e hipertensión endocraneana. El tumor es de gran tamaño y ha bloqueado casi totalmente la circulación del líquido cefalorraquídeo. © 2007 Editorial Médica Panamericana, S.A de C.V. Cisfarm
  • 543.
    C17 Patología delsistema nervioso 567 FIGURA 17-34. Pineoblastoma de gran tamaño en un niño de 11 años de edad. Clínicamente había datos de compresión de la lámina cuadrigémina e hipertensión endocraneana grave. El tumor comprime estructuras mesencefálicas y del diencéfalo y desplaza al cerebelo. Su gran extensión en sentido dorsal permitió que fuera abordado por una cerebrotomía parietal. La fotografía ilustra la superficie medial de la mitad derecha del encéfalo. © 2007 Editorial Médica Panamericana, S.A de C.V. Cisfarm
  • 544.
    568 Patología especial FIGURA17-35. Meduloblastoma que infil- tra extensamente al vermis cerebeloso e invade el cuarto ventriculo. Este niño de 13 años de edad tenía ataxia del tronco, caminaba con los pies separados y tamba- leantes y presentaba sensación vertiginosa y nistagmus. Finalmente tuvo cuadro de hipertensión endocraneana. © 2007 Editorial Médica Panamericana, S.A de C.V. Cisfarm
  • 545.
    C17 Patología delsistema nervioso 569 FIGURA 17-36. Schwannoma o neurilemoma del nervio acús- tico derecho. Fue un hombre de 55 años de edad con varios años de hipoacusia, que progresó a la anacusia, afección de varios nervios craneanos bajos, trastornos cerebelosos y hemi- paresia izquierda. Se intentó su resección y sólo se obtuvieron algunos fragmentos de cerebelo. El enfermo murió en el poso- peratorio inmediato. Nótese el gran tamaño del tumor que se encuentra alojado en lo que los neurocirujanos llaman el ángulo pontocerebeloso. © 2007 Editorial Médica Panamericana, S.A de C.V. Cisfarm
  • 546.
    570 Patología especial FIGURA17-37. Schwannomas intraespinares en una mujer de 36 años de edad con enfermedad de Von Recklinghausen. El mayor comprime varios segmentos cervicales de la médula espinal. Hay otro de menor tamaño en el segmento torácico con la huella del agujero de conjunción por el que creció fuera del conducto espinal, lo que le dio el aspecto descrito como en reloj de arena. Se intentó su resección mediante un aborda- je inadecuado, hubo edema grave de la médula espinal y la paciente falleció con insuficiencia ventilatoria. © 2007 Editorial Médica Panamericana, S.A de C.V. Cisfarm
  • 547.
    C17 Patología delsistema nervioso 571 FIGURA 17-38. Mujer de 42 años de edad con enfermedad de Von Recklinghausen. Tenía incontables neurofibromas en tronco y extremidades, así como un gran número de manchas “café con leche”. © 2007 Editorial Médica Panamericana, S.A de C.V. Cisfarm
  • 548.
    572 Patología especial FIGURA17-39. Meningioma de gran tamaño sobre la superficie dorsolateral del hemisferio cerebral derecho. Ocurrió en un hombre de 42 años de edad que tenía más de tres años con trastornos motores y sensitivos en el hemicuerpo izquierdo. Su cuadro de hipertensión endocraneana era de más de un año de duración y ya tenía atrofia bilateral de la papila óptica. Los huesos de la bóveda estaban invadidos por el tumor. Durante la craneotomía para su resección hubo sangrado masivo en los agujeros de trépano que no pudo ser controlado. © 2007 Editorial Médica Panamericana, S.A de C.V. Cisfarm
  • 549.
    C17 Patología delsistema nervioso 573 FIGURA 17-40. Meningioma del ala del esfenoides. Mujer de 45 años de edad con historia de varios años atribuible a compresión de nervios, quiasma y bandaletas ópticas, hipotálamo, superficie orbitaria frontal y porción medial del lóbulo temporal. Se consideró que su resección presentaba un gran riesgo porque en su parte medial comprimía a la carótida interna y al seno cavernoso. © 2007 Editorial Médica Panamericana, S.A de C.V. Cisfarm
  • 550.
    574 Patología especial FIGURA17-41. Tumor germinal de gran tamaño, sobre la superficie dorsal del mesencéfalo, en un joven de 15 años de edad. Su aspecto microscópico es idéntico al seminoma del tes- tículo, sin otros componentes. © 2007 Editorial Médica Panamericana, S.A de C.V. Cisfarm
  • 551.
    C17 Patología delsistema nervioso 575 FIGURA 17-42. “Glioma nasal” o heterotopía glial nasal en un niño de cinco años de edad. Se hizo su resección sin complicaciones, ya que no existía conexión con el cerebro. © 2007 Editorial Médica Panamericana, S.A de C.V. Cisfarm
  • 552.
    576 Patología especial FIGURA17-43. Craniofaringioma en un nino de 11 años de edad con retraso en el crecimiento, ceguera y datos de hipertensión endocraneana. Nótese su gran tamaño y aspecto multi- quístico. Fue biopsiado mediante craneotomía frontal. © 2007 Editorial Médica Panamericana, S.A de C.V. Cisfarm
  • 553.
    C17 Patología delsistema nervioso 577 FIGURA 17-44. Metástasis múltiples de carcinoma broncogénico de células pequeñas. Había otras en ambos hemisferios cerebrales y cerebelosos además de las dos que se ilustran en esta foto, localizadas en el lóbulo frontal izquierdo y núcleo caudado derecho. Se trató de un hombre de 56 años de edad con tabaquismo intenso desde su juventud. © 2007 Editorial Médica Panamericana, S.A de C.V. Cisfarm
  • 554.
    578 Patología especial 1.Tumores de tejido neuroepitelial 1.1 Tumores astrocíticos 1.1.1 Astrocitoma 1.1.1.1 Fibrilar 1.1.1.2 Protoplásmico 1.1.1.3 Gemistocítico 1.1.2 Astrocitoma anaplásico (maligno) 1.1.3 Glioblastoma multiforme 1.1.3.1 Glioblastoma de células gigantes 1.1.3.2 Gliosarcoma 1.1.4 Astrocitoma pilocítico 1.1.5 Xantoastrocitoma pleomorfo 1.1.6 Astrocitoma subependimario de células gigantes (tumor de la esclerosis tuberosa) 1.2 Tumores oligodendrocíticos 1.2.1 Oligodendroglioma 1.2.2 Oligodendroglioma anaplásico (maligno) 1.3 Tumores ependimarios 1.3.1 Ependimoma 1.3.1.1 Celular 1.3.1.2 Papilar 1.3.1.3 De células claras 1.3.2 Ependimoma anaplásico (maligno) 1.3.3 Ependimoma mixopapilar 1.3.4 Subependimoma 1.4 Gliomas mixtos 1.4.1 Oligoastrocitoma 1.4.2 Oligoastrocitoma anaplásico (maligno) 1.4.3 Otros 1.5 Tumores de los plexos coroides 1.5.1 Papiloma de los plexos coroides 1.5.2 Carcinoma de los plexos coroides 1.6 Tumores neuroepiteliales de origen incierto 1.6.1 Astroblastoma 1.6.2 Espongioblastoma polar 1.6.3 Gliomatosis cerebri 1.7 Tumores de neuronas y mixtos con elementos neuronales y gliales 1.7.1 Gangliocitoma 1.7.2 Gangliocitoma displásico del cerebelo (Lhermitte-Duclos) 1.7.3 Ganglioglioma infantil, desmoplásico 1.7.4 Tumor neuroepitelial disembrioplásico 1.7.5 Ganglioglioma 1.7.6 Ganglioglioma anaplásico (maligno) 1.7.7 Neurocitoma central 1.7.8 Paragangliomna del filum terminale 1.7.9 Neuroblastoma olfatorio (estesioneuroblastoma) 1.7.9.1 Neuroepitelioma olfatorio 1.8 Tumores del parénquima de la pineal 1.8.1 Pineocitoma 1.8.2 Pineoblastoma 1.8.3 Tumores mixtos de la pineal 1.9 Tumores embrionarios 1.9.1 Meduloepitelioma 1.9.2 Neuroblastoma 1.9.2.1 Ganglioneuroblastoma 1.9.3 Ependimoblastoma 1.9.4 Tumores neuroectodérmicos primitivos 1.9.4.1 Meduloblastoma 1.9.4.1.1 Meduloblastoma desmoplásico 1.9.4.1.2 Medulomioblastoma 1.9.4.1.3 Meduloblastoma melanótico 2 Tumores de nervios craneanos y espinales 2.1 Schwannoma (neurilemoma, neurinoma) 2.1.1 Celular 2.1.2 Plexiforme 2.1.3 Melanótico 2.2 Neurofibroma 2.2.1 Circunscrito (solitario) 2.2.2 Plexiforme 2.3 Tumores malignos de la vaina de los nervios perifé- ricos (TMVNP) (sarcoma neurogénico, neurofibroma anaplásico, “schwannoma maligno”) 2.3.1 Epitelioide TABLA 17-1 Tipos histológicos de los tumores del sistema nervioso, de acuerdo con la Organización Mundial de la Salud © 2007 Editorial Médica Panamericana, S.A de C.V. Cisfarm
  • 555.
    C17 Patología delsistema nervioso 579 2.3.2 TMVNP con diferenciación divergente mesenquimatosa y/o epitelial 2.3.3 Melanótico 3 Tumores de las meninges 3.1 Tumores de células meningoteliales 3.1.1 Meningioma 3.1.1.1 Meningotelial 3.1.1.2 Fibroso (fibroblástico) 3.1.1.3 Transicional (mixto) 3.1.1.4 Psamomatoso 3.1.1.5 Angiomatoso 3.1.1.6 Microquístico 3.1.1.7 Secretorio 3.1.1.8 De células claras 3.1.1.9 Cordoide 3.1.1.10 Con abundantes células plasmáticas y folículos linfoides 3.1.1.11 Metaplásico 3.1.2 Meningioma atípico 3.1.3 Meningioma papilar 3.1.4 Meningioma anaplásico (maligno) 3.2 Tumores mesenquimatosos no meningoteliales benignos 3.2.1 Tumores osteocartilaginosos 3.2.2 Lipoma 3.2.3 Fibrohistiocitoma 3.2.4 Otros Malignos 3.2.5 Hemangiopericitoma 3.2.6 Condrosarcoma 3.2.6.1 Condrosarcoma mesenquimatoso 3.2.7 Fibrohistiocitoma maligno 3.2.8 Rabdomiosarcoma 3.2.9 Sarcomatosis meníngea 3.2.10 Otros 3.3 Lesiones melanocíticas primarias 3.3.1 Melanosis difusa 3.3.2 Melanocitoma 3.3.3 Melanoma maligno 3.3.3.1 Melanomatosis meníngea 3.4 Tumores de histogénesis incierta 3.4.1 Hemangioblastoma (hemangioblastoma capilar) 4 Neoplasias linfohematopoyéticas 4.1 Linfomas 4.2 Plasmocitoma 4.3 Sarcoma granulocítico 4.4 Otras 5 Tumores de células germinales 5.1 Germinoma 5.2 Carcinoma embrionario 5.3 Tumor de senos endodérmicos 5.4 Coriocarcinoma 5.5 Teratoma 5.5.1 Inmaduro 5.5.2 Maduro 5.5.3 Teratoma con transformación maligna 5.6 Tumores germinales mixtos 6 Quistes y lesiones pseudotumorales 6.1 Quiste de la bolsa de Rathke 6.2 Quiste epidermoide 6.3 Quiste dermoide 6.4 Quiste coloide del tercer ventrículo 6.5 Quiste enterógeno 6.6 Quiste neuróglico 6.7 Quiste aracnoideo 6.8 Hamartoma neuronal hipotalámico 6.9 Heterotopia glial nasal 6.10Granuloma de células plasmáticas 7 Tumores de la región de la silla turca 7.1 Adenoma hipofisiario 7.2 Carcinoma hipofisiario 7.3 Craneofaringioma 7.3.1 Adamantinomatoso TABLA 17-1 Continuación © 2007 Editorial Médica Panamericana, S.A de C.V. Cisfarm
  • 556.
    580 Patología especial 7.3.2Papilar 8 Extensiones de tumores de estructuras vecinas 8.1 Paraganglioma (quimiodectoma) 8.2 Cordoma 8.3 Condroma 8.4 Carcinoma 9 Tumores metastásicos 10 Tumores no clasificados TABLA 17-1 Continuación © 2007 Editorial Médica Panamericana, S.A de C.V. Cisfarm
  • 557.
    18 Miguel A. Idoate FranciscoJavier Pardo Mindán Patología del aparato cardiovascular Patología del aparato cardiovascular FIGURA 18-1. Morfología microscópica del sistema vascular sanguíneo. © 2007 Editorial Médica Panamericana, S.A de C.V. Cisfarm
  • 558.
    582 Patología especial FIGURA18-2. Tipos más comunes de capilares. © 2007 Editorial Médica Panamericana, S.A de C.V. Cisfarm
  • 559.
    C18 Patología delaparato cardiovascular 583 FIGURA 18-3. Aneurisma en fresa de base de cráneo abierto al ventrículo lateral que ocasionó la muerte del paciente. © 2007 Editorial Médica Panamericana, S.A de C.V. Cisfarm
  • 560.
    584 Patología especial FIGURA18-4. Necrosis distal del cuarto dedo producida por vasculitis en una enferma de 26 años de edad afectada de lupus eritematoso diseminado. © 2007 Editorial Médica Panamericana, S.A de C.V. Cisfarm
  • 561.
    C18 Patología delaparato cardiovascular 585 FIGURA 18-5. Topografía de las vasculitis. © 2007 Editorial Médica Panamericana, S.A de C.V. Cisfarm
  • 562.
    586 Patología especial FIGURA18-6. Panarteritis nodosa. Necrosis fibrinoide total de la pared vascular asociada a densa infiltración inflamatoria. (Tricrómico de Masson, x200.) © 2007 Editorial Médica Panamericana, S.A de C.V. Cisfarm
  • 563.
    C18 Patología delaparato cardiovascular 587 FIGURA 18-7. Vasculitis leucocitoclástica. Necrosis fibrinoide de la pared de vénulas y capilares asociada a denso infiltrado neutrofílico y fenómenos de leucocitoclasia en la dermis super- ficial. El paciente refirió el antecedente de una ingesta de eritromicina tres días antes de la aparición de la reacción cutánea (H&E, x400). © 2007 Editorial Médica Panamericana, S.A de C.V. Cisfarm
  • 564.
    588 Patología especial FIGURA18-8. Depósito de IgA en la pared de un vaso de pequeño calibre de la dermis superficial en un varón de 12 años de edad diagnosticado de púrpura de Schönlein-Henoch (inmu- nofluorescencia directa frente a IgA, x400). © 2007 Editorial Médica Panamericana, S.A de C.V. Cisfarm
  • 565.
    C18 Patología delaparato cardiovascular 589 FIGURA 18-9. Tumores vasculares. © 2007 Editorial Médica Panamericana, S.A de C.V. Cisfarm
  • 566.
    590 Patología especial FIGURA18-10. Hemangioma capilar cutáneo en un niño de 10 años de edad. El tumor está constituido por vasos capilares dilatados ocupados por sangre (H&E, x100). © 2007 Editorial Médica Panamericana, S.A de C.V. Cisfarm
  • 567.
    C18 Patología delaparato cardiovascular 591 FIGURA 18-11. Granuloma piógeno. Crecimiento exofítico polipoide en la piel. © 2007 Editorial Médica Panamericana, S.A de C.V. Cisfarm
  • 568.
    592 Patología especial FIGURA18-12. Angiomatosis bacilar en un paciente diagnosticado con síndrome de inmunodeficiencia adquirida (SIDA). Proliferación vascular y agregados densos de material eosinófilo entremezclados con vasos dilatados (H&E, x200). © 2007 Editorial Médica Panamericana, S.A de C.V. Cisfarm
  • 569.
    C18 Patología delaparato cardiovascular 593 FIGURA 18-13. Hemangioendotelioma epitelioide. Tumoración que forma estructuras vasculares revestidas por un endotelio hipertrófico que se tiñe intensamente con anticuerpo frente a CD34 (avidina-biotina-peroxidasa, x200). © 2007 Editorial Médica Panamericana, S.A de C.V. Cisfarm
  • 570.
    594 Patología especial FIGURA18-14. Placas y nódulos violáceos correspondientes a un sarcoma de Kaposi que aparecieron cuatro años después de que al paciente se le realizara un trasplante renal. © 2007 Editorial Médica Panamericana, S.A de C.V. Cisfarm
  • 571.
    C18 Patología delaparato cardiovascular 595 FIGURA 18-15. Sarcoma de Kaposi. Tumor constituido por células fusiformes con tendencia a formar hendiduras con hematíes (H&E, x200). © 2007 Editorial Médica Panamericana, S.A de C.V. Cisfarm
  • 572.
    596 Patología especial FIGURA18-16. Malformación congénita cardiaca compleja después de haberse practicado un “banding” que muestra tronco arterioso común, comunicación interventricular y ausencia de conducto arterioso. © 2007 Editorial Médica Panamericana, S.A de C.V. Cisfarm
  • 573.
    C18 Patología delaparato cardiovascular 597 FIGURA 18-17. Nódulo de Aschoff. Densa infiltración inflamatoria en el intersticio del miocardio que adopta un aspecto en huso característico de la fiebre reumática (H&E, x200). © 2007 Editorial Médica Panamericana, S.A de C.V. Cisfarm
  • 574.
    598 Patología especial FIGURA18-18. Formación de verrugas en el borde libre de la válvula aórtica en una endocar- ditis por Staphylococcus aureus. © 2007 Editorial Médica Panamericana, S.A de C.V. Cisfarm
  • 575.
    C18 Patología delaparato cardiovascular 599 FIGURA 18-19. Depósito de fibrina en el pericardio visceral asociado a uremia (H&E, x200). © 2007 Editorial Médica Panamericana, S.A de C.V. Cisfarm
  • 576.
    600 Patología especial FIGURA18-20. Identificación de un infarto agudo de miocardio de menos de 24 horas de evolución mediante la técnica del azul de tetrazolio. Esta técnica identifica el miocardio viable en rojo. El área pálida del septo interventricular corresponde al tejido necrótico. © 2007 Editorial Médica Panamericana, S.A de C.V. Cisfarm
  • 577.
    C18 Patología delaparato cardiovascular 601 FIGURA 18-21. Miocardiopatía dilatada. Se aprecia amplia dilatación de las cámaras ventriculares e hipertrofia de las bandas ventriculares y cuerdas tendinosas. © 2007 Editorial Médica Panamericana, S.A de C.V. Cisfarm
  • 578.
    602 Patología especial FIGURA18-22. Mixoma auricular. Tumor blando de consistencia gelatinosa, bien delimitado, que por la parte superior se adhería a la pared auricular izquierda. © 2007 Editorial Médica Panamericana, S.A de C.V. Cisfarm
  • 579.
    C18 Patología delaparato cardiovascular 603 FIGURA 18-23. Infiltrado linfoide intersticial miocárdico asociado a miocitolisis (H&E, x400). © 2007 Editorial Médica Panamericana, S.A de C.V. Cisfarm
  • 580.
    604 Patología especial DENOMINACIÓNCARACTERÍSTICAS Aneurismas “en fresa” Suelen localizarse en el polígono de Willis Fístulas arteriovenosas Causan trombosis, recanalización, y ocasionalmente insuficiencia circulatoria local o cardiaca Telangiectasias congénitas Arañas vasculares Síndrome de Sturge-Weber Afectación de piel (área del trigémino) y leptomeninges Síndrome de Rendu-Weber-Osler Afectación de piel, mucosas y vísceras. Causan hemorragias y coagulopatías Síndrome de Klippel-Trénaunay Telangiectasias, angiomas, várices y gigantismo de una extremidad TABLA 18-1 Malformaciones congénitas de los vasos. Congénita Fístulas arteriovenosas Hipertensión Traumatismos Arterioesclerosis Infección Vasculitis TABLA 18-2 Etiología de los aneurismas vasculares. Infecciosas: bacterias, rickettsias, espiroquetas, virus, hongos, inmunológicas Mediadas por inmunocomplejos Púrpura de Schönlein-Henoch Crioglobulinemia esencial Enfermedad del suero Lupus eritematoso diseminado Angeítis leucocitoclástica por hipersensibilidad Anticuerpos directos Síndrome de Goodpasture Enfermedad de Kawasaki Asociados a ANCAs Poliarteritis nodosa clásica Granulomatosis alérgica de Churg-Strauss Granulomatosis de Wegener Mediadas por células Rechazo vascular de injertos De origen desconocido Arteritis temporal Enfermedad de Takayasu Tromboangeítis obliterante (enfermedad de Buerger) TABLA 18-3 Clasificación de vasculitis. © 2007 Editorial Médica Panamericana, S.A de C.V. Cisfarm
  • 581.
    C18 Patología delaparato cardiovascular 605 EE SS: extremidades superiores. EE II: extremidades inferiores. LPMN: leucocitos polimorfonucleares. TABLA 18-4 Características de las vasculitis. ETIOPATOGENIA Virus (?) Hepatitis B (?) Autoanticuer- pos contra endotelio Relación con asma bronquial (?) Alergenos respiratorios fármacos Reacción hiper- sensibilidad tipo III Autoanticuerpos contra antíge- nos de la pared vascular HLA-DR4 Tabaco MORFOLOGÍA Necrosis fibrinoide, LPMN LPMN, necrosis fibrinoide Eosinófilos, linfoci- tos, LPMN, necro- sis fibrinoide Linfocitos, necrosis fibrinoide LPMN, leucocitocla- sia, depósitos de inmunoglobulinas y complemento Granulomas de células gigantes, linfocitos Granulomas de cé- lulas gigantes, linfocitos LPMN, linfocitos, trombosis TRATAMIENTO Corticoides, ciclofosfamida Cura espontánea- mente Corticoides Corticoides, ciclofosfamida Corticoides Corticoides Corticoides Corticoides CLÍNICA Fiebre, hipertensión Fiebre, rash cutáneo, linfadenopatía Asma bronquial Neumonitis, catarro, proteinuria Púrpura Fiebre, dolor de cabeza, altera- ciones de la visión Desaparición del pulso en EE SS Alteraciones de la visión, fiebre, dolor, síndrome de Raynaud VASOS AFECTADOS Arterias Vasos pequeños Vasos pequeños Vasos pequeños Capilares, arteriolas, vénulas Arteria temporal Arterias muscu- lares Arterias, venas, nervios VASCULITIS Panarteritis nodosa Enfermedad de Kawasaki Granulomatosis alérgica de Churg-Strauss Granulomatosis de Wegener Angeítis leuco- citoclástica por hiper- sensibilidad Arteritis tem- poral Enfermedad de Takayasu Enfermedad de Buerger ÓRGANO AFECTADO Riñón, corazón, hígado Piel, mucosas, ganglios Manos, pulmón, nervios, riñón Vías respiratorias, pulmón, riñón Piel, mucosas, cualquier órgano Cerebro Territorio de ramas del arco aórtico EE SS, EE II Insuficiencia cardiaca congestiva Traumatismos Embarazo Neoplasia Posoperatorio Inmovilización prolongada en la cama TABLA 18-5 Etiología de la tromboflebitis. © 2007 Editorial Médica Panamericana, S.A de C.V. Cisfarm
  • 582.
    606 Patología especial Benignos Nevustelangiectásico Hemangioma Capilar Cavernoso Venoso, arteriovenoso Granuloma piógeno Angiomatosis Linfangiomas Tumor glómico Intermedios Hemangiopericitoma Hemangioendotelioma epitelioi- de Malignos Angiosarcoma TABLA 18-6 Tumores vasculares. TIPO % SEXO V/M ANOMALÍA HEMODINÁMICA Con corto circuito I/D 20-30 1/1 Perimembranosa, muscular, infundibular Sobrecarga izquierda CIV 10-15 1/3 Ostium secundum, ostium primum Sobrecarga derecha CIA 10 1/3 Aislado HT pulmonar, sobrecarga derecha PCA 6-10 1.2/1 Pronóstico según grado de estenosis pulmonar Sobrecarga derecha Con corto circuito D/I 8-10 2/1 Dextrógira Sobrecarga bilateral, cianosis precoz Fallot 0.5-2 1/1 Levógira No alteraciones Trasposición de los grandes vasos 1-1.5 1/1 Asociación aórtica Sobrecarga ventricular, HT pulmonar Tronco arterioso 6-10 1/1 Asociación a hipoplasia derecha y pulmonar Cianosis Atresia tricúspide 5-7 3-4/1 Asociación a hipoplasia de ventrículo derecho Red colateral intercostal, HT preestenótica e hipotensión abdominal Sin corto circuito 3-5 1.2/1 Interrupción, ductus persistente, CIV Sobrecarga de ventrículo izquierdo, hipertrofia Estenosis pulmonar 6-10 1/1 Estenosis valvular, asociación a hipoplasia Cianosis, insuficiencia cardiaca derecha de cavidades izquierdas Coartación de aorta 6 2/1 Estrechamiento aórtico asociado o no a Variable, cianosis, hipertensión, EE SS, hipoplasia aórtica y PCA o válvula aórtica hipotensión, EE II bicúspide Estenosis aórtica 8 3/1 Estenosis valvular. Pronóstico según el grado Sobrecarga de ventrículo izquierdo de estenosis HT: hipertensión; CIV: comunicación interventricular; CIA: comunicación interauricular; PCA: persistencia del conducto arterioso; EE SS: extre- midades superiores; EE II: extremidades inferiores. TABLA 18-7 Cardiopatías congénitas más frecuentes. © 2007 Editorial Médica Panamericana, S.A de C.V. Cisfarm
  • 583.
    C18 Patología delaparato cardiovascular 607 Miocardiopatías Orgánicas: miocarditis, malformaciones, isquemia, infarto Funcionales: alteraciones del equilibrio ácido-base Trastornos hemodinámicos Sobrecarga de volumen: insuficiencias valvulares, cardiopatías congénitas Sobrecarga de presión: hipertensión sistémica, hipertensión pulmonar, estenosis valvulares Arritmia cardiaca Por gasto cardiaco aumentado Anemia, hipertiroidismo, fístulas arteriovenosas TABLA 18-8 Causas de la insuficiencia cardiaca congestiva. Alteración del parénquima pulmonar Enfermedad pulmonar obstructiva crónica (EPOC) Fibrosis Atelectasia extensa Alteración vascular pulmonar intrínseca Embolia pulmonar Esclerosis vascular pulmonar primaria o secundaria Vasculitis extensa Vasoconstricción arteriolar mantenida Acidosis metabólica Hipoxemia Alteración de la movilidad torácica Cifoescoliosis Obesidad patológica Enfermedades neuromusculares TABLA 18-9 Etiología del cor pulmonale. CAUSA LOCALIZACIÓN TAMAÑO ANATOMÍA PATOLÓGICA Fiebre reumática lnmune St. β hemolítico Mitral, aórtica 1-2 mm Nódulo de Aschoff Infecciosa Microorganismos, Estafilococo Mitral, aórtica 1 cm Necrosis, fibrina, colonias LED Vasculitis Mitral, tricúspide Engrosamientos Fibrosis Carcinoide Vasodilatación Tricúspide, pulmonar Engrosamientos Fibrosis Marántica Enfermedades consuntivas Cualquiera Pequeñas, confluentes Fibrosis TABLA 18-10 Características generales de las endocarditis. © 2007 Editorial Médica Panamericana, S.A de C.V. Cisfarm
  • 584.
    608 Patología especial Enfermedadreumática crónica Cardiopatías congénitas Tetralogía de Fallot Coartación aórtica Ductus arterioso persistente Defecto septoventricular Válvula aórtica bicúspide Prolapso de la válvula mitral Prótesis valvulares TABLA 18-11 Factores predisponentes para la endocarditis. Bacterias Estreptococo viridans, faecalis (65%) Estafilococo aureus (20-30%) Pneumococo Estafilococo epidermidis (drogadictos) Escherichia coli Neisseria gonorrhae Hongos (drogadictos) Candida, aspergillus TABLA 18-12 Causas más frecuentes de endocarditis infecciosa. Insuficiencia o estenosis valvular Insuficiencia cardiaca Abscesos miocárdicos y consecuente perforación del septo interventricular Pericarditis supurativa Embolismo sistémico y pulmonar, séptico o aséptico Infección metastásica: abscesos múltiples Infartos viscerales Glomerulonefritis focal o difusa (inmune) TABLA 18-13 Complicaciones de la endocarditis infecciosa. Infección Bacterias Virus Hongos lnmunológica Fiebre reumática Colagenosis Reacción de hipersensibilidad a medicamentos Miscelánea Uremia Infarto agudo de miocardio Metástasis Agentes físicos Posquirúrgica TABLA 18-14 Causas de la pericarditis. Funcionales Vasoespasmo Arritmias Hipotensión arterial Extrínsecas Pericarditis Neoplasias Parietales Arteriosclerosis Arteritis Traumatismos Intraluminales Trombosis Embolias Estados de hipercoagulabilidad TABLA 18-15 Causas de infarto de miocardio. © 2007 Editorial Médica Panamericana, S.A de C.V. Cisfarm
  • 585.
    C18 Patología delaparato cardiovascular 609 TIEMPO MACROSCOPIA MICROSCOPIA MICROSCOPIA ELECTRÓNICA 1 hora Normal, áreas tetrazolio pálidas Cardiomiocitos ondulados Lesiones mitocondriales 5 horas Normal, áreas tetrazolio pálidas Edema, hemorragia Marginación cromatina nuclear 18 horas Palidez Miocitolisis, bandas de contracción 24 horas Palidez, hiperemia Necrosis de coagulación total 7 días Borde hiperémico, Infiltración macrofágica, desintegración reblandecimiento cardiomiocitos, reacción fibrovascular 10 días Áreas geográficas amarillas Tejido de granulación con hiperemia 30 días Área blanquecina Cicatriz fibrosa TABLA 18-16 Morfología temporal del infarto de miocardio. Primarias ldiopáticas Periparto Familiar De células gigantes (M. de Fiedler) Cardiomiopatía dilatada Secundarias Infecciosa Aguda: virus Coxackie Crónica: enfermedad de Chagas, enfermedad de Lyme, etcétera Inmune: fiebre reumática Colagenosis: lupus eritematoso diseminado, esclerosis sistémica Rechazo de trasplante Tóxico-medicamentosa: catecolaminas, antraciclinas Alérgica: fármacos, etcétera Agentes físicos Sarcoidosis Enfermedad de Kawasaki Posinfarto de miocardio TABLA 18-17 Causas más frecuentes de las miocarditis. Primera biopsia Miocarditis con o sin fibrosis Miocarditis dudosa (recomendar nueva biopsia) No miocarditis Segunda biopsia Miocarditis persistente con o sin fibrosis Miocarditis en fase de resolución con o sin fibrosis Miocarditis resuelta con o sin fibrosis Añadir Distribución de la lesión: focal, multifocal, difusa Naturaleza del infiltrado: linfocítico, eosinofílico, de células gigantes. etcétera Localización de la fibrosis: perivascular, intersticial TABLA 18-18 Criterios de Dallas para el diagnóstico de las miocarditis idiopáticas. © 2007 Editorial Médica Panamericana, S.A de C.V. Cisfarm
  • 586.
    610 Patología especial ETIOLOGÍAMORFOLOGÍA Miocarditis “viral” e idiopática Infiltrado linfomacrofágico y fibras necróticas aisladas Miocarditis bacteriana Infiltrado neutrofílico, colonias bacterianas Triquinosis Infiltrado linfoeosinofílico, quistes Tripanosomiasis Infiltrado polimorfo, quistes intracelulares Toxoplasmosis Infiltrado linfomacrofágico, quistes Tuberculosis Infiltrado granulomatoso, bacilos ácido-alcohol resistentes Hongos Infiltrado granulomatoso, hifas, seudohifas, esporas; evidenciadas mediante tinciones de PAS, Grocott, mucicarmín de Best Miocarditis de Fiedler Infiltrado granulomatoso multifocal y abundantes células gigantes multinucleadas Reacciones de hipersensibilidad Infiltrado polimorfo, vasculitis aguda, depósitos de inmunoglobulinas y complemento TABLA 18-19 Morfología de las miocarditis. Primarias Dilatada (congestiva) Tóxica Hipertrófica Restrictiva u obliterativa Amiloidosis, hemocromatosis, sarcoidosis... Secundarias Tóxica Alcohol, cobalto, catecolaminas, ciclofosfamida, antraciclinas Metabólica Enfermedades del tiroides, alt. del potasio, hemocromatosis Inmunológicas Postrasplante Enfermedades neuromusculares Ataxia de Friedreich, distrofia muscular Tesaurismosis Mucopolisacaridosis, glucogenosis, E. de Fabry Infiltrativas Leucemia, carcinomatosis TABLA 18-20 Clasificación de las miocardiopatías. Idiopática Inflamatoria linfocítica, eosinofílica No inflamatoria Secundaria Infecciosa: virus, bacterias, hongos Metabólica: endocrina, tesaurismosis, nutricional Autoinmune: colagenosis Neoplasias Toxinas y fármacos Adriamicina, radiación Genética Periparto TABLA 18-21 Causas de cardiomiopatía dilatada. GRADO MORFOLOGÍA 0 No rechazo 1 A Infiltrado linfoide focal sin necrosis 1 B Infiltrado linfoide difuso sin necrosis 2 Un foco de linfocitos con miocitolisis 3 A Infiltrado linfoide multifocal con miocitolisis 3 B Inflamación difusa con miocitolisis 4 Infiltrado masivo de linfocitos y LPMN con necrosis, edema y hemorragia TABLA 18-22 Clasificación del rechazo agudo según la Sociedad Internacional para el Trasplante Cardiaco. © 2007 Editorial Médica Panamericana, S.A de C.V. Cisfarm
  • 587.
    19 Hugo Galera Davidson Patología delsistema endocrino Patología del sistema endocrino FIGURA 19-1. Histología de la hipófisis normal. a) La adenohipófisis o hipófisis anterior, formada por cordones de células epiteliales de citoplasma acidófilo finamente granular, aparece a la izquierda; la neurohipófisis o hipófisis posterior, constituida por tejido nervioso, se encuentra a la derecha. b) Con tinción de ácido periódico-Schiff se aprecia mejor el carácter glandular de la hipófisis anterior. (a) (b) © 2007 Editorial Médica Panamericana, S.A de C.V. Cisfarm
  • 588.
    612 Patología especial FIGURA19-2. Adenoma hipofisiario de gran tamaño, con compresión de estructuras vecinas, necrosis y hemorragia. © 2007 Editorial Médica Panamericana, S.A de C.V. Cisfarm
  • 589.
    C19 Patología delsistema endocrino 613 FIGURA 19-3. Adenoma hipofisiario secretor de prolactina. a) Presencia de células positi- vas para prolactina, demostrada por inmunohistoquímica. b) Ultraestructura de los gránulos citoplásmaticos en células secretoras de prolactina del mismo tumor. (b) (a) © 2007 Editorial Médica Panamericana, S.A de C.V. Cisfarm
  • 590.
    614 Patología especial FIGURA19-4. Histología de los adenomas hipofisiarios. a) Patrón uniforme de células pequeñas. b) Patrón trabecular o papilar, con espacios de aspecto glandular. (b) (a) © 2007 Editorial Médica Panamericana, S.A de C.V. Cisfarm
  • 591.
    C19 Patología delsistema endocrino 615 FIGURA 19-5. Células C en el tiroides inmunoteñidas para calcitonina. © 2007 Editorial Médica Panamericana, S.A de C.V. Cisfarm
  • 592.
    616 Patología especial (a) (b) FIGURA19-6. Tiroiditis de Hashimoto. a) Aspecto macroscópico de la glándula en un caso adulto de la enfermedad. b) Histología del tiroides, con atrofia folicular, infil- tración linfocitaria y formación de centros germinales. © 2007 Editorial Médica Panamericana, S.A de C.V. Cisfarm
  • 593.
    C19 Patología delsistema endocrino 617 FIGURA 19-7. Aspecto microscópico de la tiroiditis de Quervain. a) y b) Infiltración inflamatoria con destrucción de folículos tiroideos y formación de células gigantes. (b) (a) © 2007 Editorial Médica Panamericana, S.A de C.V. Cisfarm
  • 594.
    618 Patología especial FIGURA19-8. Aspecto macroscópico de la tiroiditis de Riedel. © 2007 Editorial Médica Panamericana, S.A de C.V. Cisfarm
  • 595.
    C19 Patología delsistema endocrino 619 (a) (b) FIGURA 19-9. Enfermedad de Graves. a) Aspecto macroscópico del tiroides en la enfermedad de Graves, con aumento al triple del tamaño del órgano, que además comprime la tráquea. b) Hiperplasia avanzada del epitelio folicular con formación prominente de papilas. © 2007 Editorial Médica Panamericana, S.A de C.V. Cisfarm
  • 596.
    620 Patología especial (b) (a) FIGURA19-10. Hiperplasia nodular coloide. a)Paciente con gran bocio nodular sin trastornos funciona- les. b) Superficie de corte del bocio, que revela la presencia de nódulos de distintos tamaños, algunos quísticos y otros sólidos. © 2007 Editorial Médica Panamericana, S.A de C.V. Cisfarm
  • 597.
    C19 Patología delsistema endocrino 621 FIGURA 19-11. Hiperplasia del epitelio tiroideo en un caso de enfermedad de Plumer (hiperplasia nodular tóxica). © 2007 Editorial Médica Panamericana, S.A de C.V. Cisfarm
  • 598.
    622 Patología especial FIGURA19-12. Adenoma folicular del tiroides. a) Superficie de corte de un adenoma folicular de gran tamaño, con necrosis y calcificación.b) Folículos de diferentes tama- ños con espacios interfoliculares irregulares; se observa parte de la cápsula que separa al adenoma del resto del tiroides. (b) (a) © 2007 Editorial Médica Panamericana, S.A de C.V. Cisfarm
  • 599.
    C19 Patología delsistema endocrino 623 FIGURA 19-13. Carcinoma papilar del tiroides. a) Aspecto quístico con estructuras papilares visibles microscópicamente. b) Papilas formadas por tejido conjuntivo vas- cular y revestidas por epitelio seudoestratificado o cúbico con núcleos redondos o irregulares. (a) (b) © 2007 Editorial Médica Panamericana, S.A de C.V. Cisfarm
  • 600.
    624 Patología especial FIGURA19-14. Carcinoma folicular del tiroides. a) Superficie de corte de la neoplasia, que aparece como una zona blanquecina sin límites definidos. b) Nódulo constituido por estruc- turas foliculares de aspecto embrionario. c) Invasión intravascular en la cápsula del tumor. (c) (a) (b) © 2007 Editorial Médica Panamericana, S.A de C.V. Cisfarm
  • 601.
    C19 Patología delsistema endocrino 625 FIGURA 19-15. Carcinoma medular de tiroides. a) Nódulo blanquecino irregular pero bien delimitado del resto del órgano. b) Células neoplásicas rodeando masas irregulares de amiloide. (b) (a) © 2007 Editorial Médica Panamericana, S.A de C.V. Cisfarm
  • 602.
    626 Patología especial FIGURA19-16. Carcinoma indiferenciado o ana- plásico del tiroides. a) Aspecto clínico de una paciente que tenía un bocio asintomático de larga duración, que repentinamente empezó a crecer y a producirle disfagia. b) La gran masa tumoral, con metástasis ganglionares mediastinales y pulmo- nares bilaterales múltiples. c) y d) Histología de la neoplasia, en la que sobresalen las grandes atipias nucleares y las células gigantes. (a) (b) (c) (c) © 2007 Editorial Médica Panamericana, S.A de C.V. Cisfarm
  • 603.
    C19 Patología delsistema endocrino 627 FIGURA 19-17. Hiperplasia de una sola de las cuatro glándulas paratiroides. (b) (a) © 2007 Editorial Médica Panamericana, S.A de C.V. Cisfarm
  • 604.
    628 Patología especial FIGURA19-18. Adenoma cortical suprarrenal. a) Aspecto macroscópico, que muestra un pequeño quiste y áreas de hemorragia focal. b) y c) Histología de las áreas subcapsular y central del adenoma, que muestran variaciones en el tamaño y forma de las células. (c) (a) (b) © 2007 Editorial Médica Panamericana, S.A de C.V. Cisfarm
  • 605.
    C19 Patología delsistema endocrino 629 FIGURA 19-19. Carcinoma cortical suprarrenal. a) La lesión afecta dos terceras partes de la glándula y es de aspecto homogéneo y color blanquecino. b) La neoplasia está for- mada por células grandes y pleomórficas, dispuestas en láminas o masas irregulares. (b) (a) © 2007 Editorial Médica Panamericana, S.A de C.V. Cisfarm
  • 606.
    630 Patología especial FIGURA19-20. Aspecto macroscópico de un feocromocitoma. © 2007 Editorial Médica Panamericana, S.A de C.V. Cisfarm
  • 607.
    C19 Patología delsistema endocrino 631 FIGURA 19-21. Histología del feocromocitoma. a) Patrón homogéneo, con varia- ción morfológica nuclear. b) Patrón tubular, también con atipias principalmente nucleares. (b) (a) © 2007 Editorial Médica Panamericana, S.A de C.V. Cisfarm
  • 608.
    632 Patología especial TIPOFRECUENCIA Adenoma lactotropo 30% Adenoma somatotropo 20% Adenoma corticotropo 10% Adenoma tirotropo Raro Adenoma gonadotropo Raro Adenoma plurihormonal* Raro Oncocitoma** Raro Adenoma no funcionante 30% * En este grupo también se incluyen los adenomas mixtos de cé- lulas productoras de STH y PRL. ** El oncocitoma es una variedad de adenoma no funcionante cuyo citoplasma es eosinófilo y rico en mitocondrias. TABLA 19-1 Clasificación inmunohistoquímica de los adenomas hipofisiarios EFECTOS LOCALES EFECTOS SISTÉMICOS (Adenomas grandes) (Adenomas pequeños) Productores de STH o no funcionantes Ausentes (30%) Hipersecreción hormonal STH (25%) Compresión glandular Gigantismo (infancia) Hipopituirarismo Acromegalia (adulto) Diabetes insípida Expansión de silla turca Extensión supraselar Compresión de quisma ópctico (defectos visuales) Compresión de hipotálamo (diabetes insípida) Compresión de 3er ventrículo (hidrocefalia) Invasión de senos paranasales (meningitis) Invasión de seno cavernoso Productores de PRL PRL (34%) Galactorrea Amenorrea Productores de ACTH ACTH (10%) Síndrome de Cushing Otros funcionantes TSH, FSH y LH (5%) TABLA 19-2 Adenomas hipofisiarios. Manifestaciones clínicas © 2007 Editorial Médica Panamericana, S.A de C.V. Cisfarm
  • 609.
    C19 Patología delsistema endocrino 633 HIPOTIROIDISMO PRIMARIO Alteraciones del desarrollo Agenesia. Disgenesia Bocio dishormogénico Destrucción tiroidea Tumores Tiroiditis Ablación glandular Cirugía Radiaciones Bloqueo farmacológico de la síntesis y secreción HIPOTIROIDISMO SECUNDARIO Destrucción hipofisiaria Tumores Infarto Traumatismos Déficit aislado de TSH HIPOTIROIDISMO TERCIARIO Destrucción hipotalámica Tumores Traumatismos TABLA 19-4 Causas de hipotiroidismo NECROSIS ISQUÉMICA Necrosis posparto (Síndrome de Sheehan) Traumatismo cefálico Vasculopatía (Diabetes mellitus) INFLAMACIONES CRÓNICAS Tuberculosis Sífilis TUMORES LOCALES Adenoma no funcionante Craneofaringioma Cordoma Histiocitosis X Gliomas Tumores germinales Tumores metastáticos ENFERMEDADES METABÓLICAS Amiloidosis Hemocromatosis TABLA 19-3 Causas del hipopituitarismo © 2007 Editorial Médica Panamericana, S.A de C.V. Cisfarm
  • 610.
    634 Patología especial TUMORESPRIMARIOS Epiteliales benignos Adenoma folicular Epiteliales malignos Carcinoma papilar Carcinoma folicular Carcinoma medular Carcinoma indiferenciado No epiteliales benignos No epiteliales malignos Linfoma Hemangioendotelioma TUMORES SECUNDARIOS TABLA 19-8 Clasificación de los tumores tiroideos BOCIO ENDÉMICO BOCIO ESPORÁDICO (MULTIFACTORIAL) Alteración fundamental Déficit relativo Déficit absoluto de yodo en dieta Déficit relativo de yodo en dieta Enzimas en células foliculares Alteraciones complementarias Aumento en necesidades fisiológicos Exceso de fluoruros Pubertad Carbonato cálcico Embarazo Consumo excesivo de Brassicae y Cruciferae: Tratamiento farmacológico Nabo, Coliflor, Berza, Col, Mandioca, etc. Tiouracilo, Isoniacida, Perclorato potásico TABLA 19-7 Factores etiológicos del bocio simple (hiperplasia difusa no tóxica) Bocio o hiperplasia difusa (Enfermedad de Graves) Bocio o hiperplasia nodular (Enfermedad de Plummer) Adenoma tóxico Carcinoma funcionante Tiroiditis de Hashimoto Subaguda Silente Tireopatía por amiodarona Enfermedad trofoblástica Struma ovario (teratoma ovárico con tejido tiroideo) Alteración hipofisiaria Tumor secretor de TSH Resistencia a la hormona tiroidea Hipersecreción de TRH Secreción ectópica de TSH o TRH TABLA 19-5 Causas de hipertiroidismo Del transporte del yodo (AR) De la síntesis hormonal Déficit aislado de peroxidasa (AR) Acoplamiento defectuoso de la yodotirosina (?) formación de tiroglobalina (?) de la secreción Déficit de yodotironina desyonidasa (AR) Del transporte de T3 y T4 Déficit de la síntesis de proteína transportadora (ligado a X) Del efecto periférico de T3 y T4 (AR o AD) AR: Autosómica recesiva. AD: Autosómica dominante TABLA 19-6 Errores congénitos del metabolismo de las hormonas tiroideas © 2007 Editorial Médica Panamericana, S.A de C.V. Cisfarm
  • 611.
    C19 Patología delsistema endocrino 635 CARCINOMA CARCINOMA LINFOMA PAPILAR FOLICULAR MEDULAR LINFOMA Exceso de yodo en la dieta + + – Déficit de yodo en la dieta + + – Radiación cervical + + – – Herencia – + + – Predisposición racial + – – Tiroiditis de Hashimoto +/– – + + TABLA 19-9 Factores etiológicos relacionados con tipos histológicos de tumores malignos del tiroides Estadio I A. Confinado a un lóbulo B. Afectación bilateral, multicéntrica o en el istmo Estadio II A. Metástasis ganglionares unilaterales B. Metástasis ganglionares bilaterales, mediastínicas o en la línea media Estadio III Invasión de tejidos blandos del cuello Estadio IV Metástasis hematógenas TABLA 19-10 Estadios del cáncer de tiroides ESTRUCTURALES CITOLÓGICAS Normofolicular (simple)* Células de Hürthle Macrofolicular (coloide)* Célula clara Microfolicular (fetal)* Célula mucosa Trabecular (embrionario)* Célula lipídica Tóxico (funcionante) Célula en anillo de sello Trabecular hialinizante Atípico Adenolipoma * Lesiones más frecuentes. TABLA 19-11 Variedades histológicas de adenoma folicular CALCITONINA CEA Mucinas Melanina Citoqueratina Sinaptofisina VIP VIP. Péptido intestinal vasoactivo PR. Póptido relacionado RH. Hormona liberadora Cromogranina Enolasa ACTH Betaendorfina Prostaglandinas Bradiquinina HCG Katacalcina Calcitonina PR Bombesina Somatostatina Prolactina RH Serotonina TABLA 19-12 Contenido secretor de las células del carcinoma medular © 2007 Editorial Médica Panamericana, S.A de C.V. Cisfarm
  • 612.
    636 Patología especial Primario Adenomaúnico 80-90% Adenoma múltiple 1-4% Hiperplasia difusa 3-15% Carcinoma 1-4% Secundario Insuficiencia renal crónica Malabsorción intestinal Deficiencia de vitamina D Carcinoma medular del tiroides Terciario Autonomía de hiperplasia secundaria Síndromes paraneoplásicos* *Tumores malignos que segregan una hormona que activa recep- tores de PTH en las células diana, pero que no presentan reac- ción cruzada en la prueba para detectar PTH. Estos pacientes tie- nen niveles altos de AMPC urinario (activación de células) y bajo nivel de PTH (supresión) asociada a marcada hipercalcemia. TABLA 19-13 Causas de hiperparatiroidismo Cara de luna llena Obesidad troncular Atrofia cutánea (estrías) Encefalopatía esteroidea Miopatía esteroidea (atrofia muscular) Osteoporosis Debilidad y fatigabilidad Alteraciones menstruales Hirsutismo Intolerancia a la glucosa Hipercolesterolemia Aterosclerosis Efecto androgénico Virilismo Infertilidad Efecto mineralcorticoide Hipertensión Alcalosis hipopotasémica lnmunodepresión Infecciones TABLA 19-14 Principales manifestaciones clínicas y metabólicas del hipercortisolismo (síndrome de Cushing) FEOCROMOCITOMA GANGLIONEUROBLASTOMA NEUROBLASTOMA Edad Adultos Adultos/infantil Infantil Agresividad 90% benignos Benigno Maligno Secreción Catecolaminas Catecolaminas Catecolaminas +++ + + Clínica Hipertensión Masa abdominal Masa abdominal Metástasis Macroscopia Tumor hemorrágico Tumor firme Tumor necrótico Microscopia Células grandes Células ganglionares Células pequeñas Inmunorreacción Cromogranina Proteína S-100 ENE Los neuroblastomas pueden madurar mostrando células ganglionares. El resultado final de la maduración es la trans- formación en ganglioneuroma benigno. La inmunorreacción para cromogranina es muy positiva en el feocromocitoma y la inmunorreacción para la enola- sa neuronal específica (ENE) es más prominente en el neuroblastoma. La proteína S-100 es positiva en los distintos componentes neurales del ganglioneuroblastoma. TABLA 19-15 Tumores de la médula suprarrenal © 2007 Editorial Médica Panamericana, S.A de C.V. Cisfarm
  • 613.
    C19 Patología delsistema endocrino 637 MEN I MEN IIA MEN IIB Epónimo Wermer Sipple Mutación RET RET Hipófisis Adenomas Tiroides Hiperplasia células C Hiperplasia células C Carcinoma medular +++ Carcinoma medular +++ Paratiroides Hiperplasia +++ Hiperplasia + Adenomas + Islotes Hiperplasia ++ Adenomas ++ Carcinomas +++ Suprarrenal Hiperplasia corteza Feocromocitoma ++ Feocromocitoma +++ Otros Neuromas mucocutáneos TABLA 19-16 Síndromes de neoplasias endócrinas múltiples (MEN) © 2007 Editorial Médica Panamericana, S.A de C.V. Cisfarm
  • 614.
    © 2007 EditorialMédica Panamericana, S.A de C.V. Cisfarm
  • 615.
    20 Patología de músculoesquelético, de nervio periférico y de tejidos blandos Patología de músculo esquelético, de nervio periférico y de tejidos blandos Alicia Rodríguez Velasco Jorge Fernández Díez Ruy Pérez Tamayo FIGURA 20-1. a) Músculo normal, corte transversal, tejido congelado teñido con ATPasa a pH 4.3. Tamaño y forma similares entre fibras tipo 1 (oscuras) y fibras tipo 2 (claras). b) El histo- grama confirma tamaño y proporción normales entre ambos tipos de fibras. (b) 5 10 15 20 25 30 35 40 45 50 55 60 65 70 75 80 85 90 95 10 20 30 40 Tipo 1 Tipo 2 0 50 >10 0 Histograma de músculo Edad 12 años Triceps derecho Tipo 1: 51.4% Diam. Prom. 53.78 Proporción 1/2:1.06 Sexo Fem. ATPasa: 9.4 Tipo 2: 48.6% Diam. Prom. 60.65 Número de fi bras % Tamaño de fibras (μm) (a) © 2007 Editorial Médica Panamericana, S.A de C.V. Cisfarm
  • 616.
    640 Patología especial FIGURA20-2. Microscopia electrónica. a) Núcleo subsarcolemal. Miofibrillas, la sarcómera está delimitada por bandas Z (alfa-actina); la banda A está compuesta de miosina y la banda I de actina. b) Placa neuromuscular (izquierda) con sus hendiduras correspondientes. También hay varios núcleos subsarcolemales. (b) (a) A Z I © 2007 Editorial Médica Panamericana, S.A de C.V. Cisfarm
  • 617.
    C20 Músculo esquelético,nervio periférico y tejidos blandos 641 FIGURA 20-3. Representación esquemática del complejo distrofina y glicoproteínas asociadas. (DGC) y su relación con la laminina. DG, distroglicanos; SG, sarcoglicanos; SP, sarcospanos; Dys 1, 2 y 3, anticuerpos para distrofina comercialmente producidos. MATRÍZ EXTRACELULAR Sarcoglicanopatías LAMININA, cadena α2 (merosina) Distrofia muscular congénita, Merosina negativa α,β,γ y δ SARCOLEMA Distrofinopatías Duchenne y Becker ACTINA (BANDA I) COOH (Dys 1) SARCOMERA z z NH2 (Dys 3) Distrobrevina SP DG, α y β SG, α, β, γ y δ Sintrofinas, α y β DISTROFINA (Dys 2) © 2007 Editorial Médica Panamericana, S.A de C.V. Cisfarm
  • 618.
    642 Patología especial FIGURA20-4. a) Tricrómico de Masson, patrón miopático: variación en el tama- ño de las fibras; miofagocitosis (flechas); fibras hendidas, fibrosis endomisial y perimisial. b) Patrón neuropático (reinervación): con ATPasa pH 9.4, muestra agrupación de fibras por tipos, claras tipo 1 y oscuras tipo 2. (b) (a) © 2007 Editorial Médica Panamericana, S.A de C.V. Cisfarm
  • 619.
    C20 Músculo esquelético,nervio periférico y tejidos blandos 643 FIGURA 20-5. a) Miopatía por almacenamiento de glucógeno (hematoxilina y eosina), vacuolización del sarcoplasma. b) Miopatía por almacenamiento de lípidos (rojo oleoso), sarcoplasma con aumento en el número de gotas de lípidos. c) Miopatía mitocondrial, tricrómico de Gomori modificado (TGM) demuestra fibras rojas rasgadas (centro); d) La microscopia electrónica muestra acúmulo anormal subsarcolemal de mitocondrias pleomórficas. (a) (b) (d) (c) © 2007 Editorial Médica Panamericana, S.A de C.V. Cisfarm
  • 620.
    644 Patología especial FIGURA20-6. Miopatías estructurales congénitas a) Central core TGM: muestra áreas centrales desprovistas de mitocondrias. b) La microscopia electrónica ilustra desorganización y ausencia de mitocondrias en la región central de la fibra. c) Miopatía nemalínica TGM: fibras de menor tamaño (atróficas), con numerosas inclusiones oscuras. d) Microscopia electrónica con estructuras semejantes a bastones (cuerpos nemalínicos) subsarcole- males. e) Miopatía centronuclear ATPasa a pH 9.4: fibras más pequeñas y redondeadas, en algunas hay núcleo central y en otras el centro está vacío (miotúbulo). En todas estas miopatías, la tinción de ATPasa demuestra que predominan fibras tipo 1. (a) (b) (c) (d) (e) © 2007 Editorial Médica Panamericana, S.A de C.V. Cisfarm
  • 621.
    C20 Músculo esquelético,nervio periférico y tejidos blandos 645 FIGURA 20-7. a) Distrofia tipo Duchenne (Hematoxilina y Eosina). Variación en el tamaño de las fibras; fibras hen- didas (cabezas de flecha), necrosis y miofagocitosis (flechas), fibrosis peri y endomisial. b) Distrofia tipo Becker, además de la fibrosis epi y endomisial y la variación en el tamaño de las fibras, hay grupos de regeneración. c) Inmunohistoquímica: control normal y d) Negativa, para distrofina en distrofia de Duchenne. e) Inmunohistoquímica con tinción irregular en distrofia tipo Becker. (c) (a) (d) (e) (b) © 2007 Editorial Médica Panamericana, S.A de C.V. Cisfarm
  • 622.
    646 Patología especial FIGURA20-8. Distrofia mitónica (Hematoxilina y Eosina) a) El corte mues- tra centralización nuclear y variación en el tamaño de las fibras. b) Corte transversal donde se encuentran fibras en anillo (flechas). (b) (a) © 2007 Editorial Médica Panamericana, S.A de C.V. Cisfarm
  • 623.
    C20 Músculo esquelético,nervio periférico y tejidos blandos 647 FIGURA 20-9. Dermatomiositis. a) Con hematoxilina y eosina se encuentra infiltrado infla- matorio linfocitario. b) Inmunohistoquímica para miosina con un patrón denominado “atrofia perifascicular”, que por sí solo revela la naturaleza inflamatoria de la lesión. c) En ocasiones acompañado en microscopia electrónica por inclusiones tubuloreticulares (centro) en células endoteliales. (a) (b) (c) © 2007 Editorial Médica Panamericana, S.A de C.V. Cisfarm
  • 624.
    648 Patología especial FIGURA20-10. a) Hematoxilina y eosina. Enfermedad de Werdnig-Hoffmann (atro- fia muscular espinal tipo 1), muestra fascículos de fibras tipo 2 atróficas y grupos de fibras tipo 1 hipertróficas. b) Se destaca con ATPasa pH 9.4 la naturaleza de las fibras, tipo 1 (claras) y tipo 2 (oscuras). (a) (b) © 2007 Editorial Médica Panamericana, S.A de C.V. Cisfarm
  • 625.
    C20 Músculo esquelético,nervio periférico y tejidos blandos 649 FIGURA 20-11. a) Fibra aislada y nódulos de Ranvier (n) están separados por zonas internodales de las células Schwann y vai- nas de mielina. b) Sección longitudinal de un nervio a nivel de nódulo de Ranvier que termina en pequeños filamentos. c) Vaina de mielina en diferentes secciones con relación al nódulo de Ranvier y a la célula de Schwann. a n b c © 2007 Editorial Médica Panamericana, S.A de C.V. Cisfarm
  • 626.
    650 Patología especial FIGURA20-12. a) Nervio normal incluido en parafina y teñido con H-E. El perineuro está dispuesto concéntricamente alrededor de fascículos individua- les y separa el endoneuro del tejido conectivo del epineuro. Las fibras mielini- zadas grandes individuales pueden ser visibles; se observa con frecuencia el cuerpo de Renaud por debajo del perineuro. b) Corte longitudinal teñido con azul de toluidina; se observa desmielinización y remielinización segmentaria; la mielina se ve arrosariada de negro intenso. (b) (a) © 2007 Editorial Médica Panamericana, S.A de C.V. Cisfarm
  • 627.
    C20 Músculo esquelético,nervio periférico y tejidos blandos 651 FIGURA 20-13. Nervio normal corte transversal incluido en resina Epon y teñido con azul de toluidina; el perineuro es visible, son capas de células concéntricas en la periferia del fascículo; las fibras mielinizadas exhiben tamaño variable y grosor de la mielina variable; hay células de Schwann con axones no mielinizados; hay vasos endoneurales, el grosor de la mielina es proporcional al diámetro de la fibra mielinizada. © 2007 Editorial Médica Panamericana, S.A de C.V. Cisfarm
  • 628.
    652 Patología especial FIGURA20-14. Fibra aislada de nervio normal; la mielina es osmiofílica, regular en color, diámetro y silueta; los nodos de Ranvier son fácilmente visibles y regularmente dispuestos en intervalos de casi 1 mm. © 2007 Editorial Médica Panamericana, S.A de C.V. Cisfarm
  • 629.
    C20 Músculo esquelético,nervio periférico y tejidos blandos 653 FIGURA 20-15. Microscopia electrónica; corte transversal de nervio normal; se observan células de Schwann con axones mielinizados y no mielinizados; células grandes y pequeñas. © 2007 Editorial Médica Panamericana, S.A de C.V. Cisfarm
  • 630.
    654 Patología especial AB C D E FIGURA 20-16.1. Desmielinización y remielinización segmentaria. a) Nervio normal. b) Desmielinización inci- piente, retracción paranodal de la mielina con ampliación del espacio nodal. c) Destrucción de la vaina de mielina y mitosis de la célula de Schwann. d) y e) remielinización. © 2007 Editorial Médica Panamericana, S.A de C.V. Cisfarm
  • 631.
    C20 Músculo esquelético,nervio periférico y tejidos blandos 655 A B C D E FIGURA 20-16.2. Degeneración y regeneración axonal. a) Nervio normal. b) Degeneración axonal. c) Yema proli- ferativa, polo proximal y vestigios de mielina. d) Axón con mielinización delgada. e) Axón mielinizado y conectado a su órgano blanco. © 2007 Editorial Médica Panamericana, S.A de C.V. Cisfarm
  • 632.
    656 Patología especial FIGURA20-17. Síndrome de Guillain-Barré a) Sección transversal de nervio incluido en resina; el número de axones está disminuido; hay pérdida axonal en fibras mielinizadas grandes y pequeñas; hay axones grandes que exhiben vainas de mielina delgada; hay capas de células de Schwann. b) Fibra aislada con nodo de Ranvier; exhibe retracción paranodal, sin mielina. c) Microscopía electrónica de nervio con axón de gran calibre y vaina de mielina delgada, degeneración axonal y capas de células de Schwann. (a) (b) (c) © 2007 Editorial Médica Panamericana, S.A de C.V. Cisfarm
  • 633.
    C20 Músculo esquelético,nervio periférico y tejidos blandos 657 FIGURA 20-18. Sección transversal nervio, incluido en parafina; se observan abundantes bacilos de Hansen en las células de Schwann, teñidos con Fite-Faraco. © 2007 Editorial Médica Panamericana, S.A de C.V. Cisfarm
  • 634.
    658 Patología especial FIGURA20-19. a) Sección longitudinal del nervio incluido en parafina y teñido con H-E; se exhiben las fibras microvacuolización “desmielinización”. b) Corte longitudinal de nervio incluido en parafina. Se observa desmielinización con grumos pequeños de mielina. c) Microscopia electrónica. Corte transversal del nervio con acentuada desmielinización y remielinización de células grandes y pequeñas. (c) (a) (b) © 2007 Editorial Médica Panamericana, S.A de C.V. Cisfarm
  • 635.
    C20 Músculo esquelético,nervio periférico y tejidos blandos 659 FIGURA 20-20. Microscopía electrónica. a) Corte transversal panorámico de nervio; se observa desmielinización y remielinización de células grandes con degeneración axonal y prolifera- ción de células de Schwann en bulbos de cebolla. Corresponde a la enfermedad de Charcot-Marie-Tooth. b) Corte transversal de nervio incluido en resina; se observan las vainas de mielina muy engrosadas, otros axones exhiben vaina de mielina delgada; neuropatía tomaculosa. (a) (b) © 2007 Editorial Médica Panamericana, S.A de C.V. Cisfarm
  • 636.
    660 Patología especial FIGURA20-21. Leucodistrofia metacromática. a) y b) Microscopia electrónica. Corte transversal de nervio incluido en resina. Se observan axones con vainas de mielina muy engrosadas y nodulares y otras delgadas e irregulares: neuropatía toma- culosa. c) Fibra aislada incluida en resina exhibe la mielina nodular, característica de la neuropatía tomaculosa (del latín tomaculum salchiiha). (a) (b) (c) © 2007 Editorial Médica Panamericana, S.A de C.V. Cisfarm
  • 637.
    C20 Músculo esquelético,nervio periférico y tejidos blandos 661 FIGURA 20-22. Leucodistrofia metacromática a) Sección transversal de nervio incluido en resina, con disminución en el número de axones, con disminución y adelgazamiento de la vaina de mielina; escasas células de Schwann exhiben gránulos en el citoplasma, teñidos con azul de toluidina. b) Microscopía elec- trónica. Citoplasma de célula de Schwann; corresponde a una célula granular; hay un gránulo elongado que presenta estriaciones con periodicidad regular; electrodensas. (b) (a) © 2007 Editorial Médica Panamericana, S.A de C.V. Cisfarm
  • 638.
    662 Patología especial FIGURA20-23. Corte longitudinal de nervio, incluido en parafina y teñido con H-E; exhibe un nódulo de amiloide. © 2007 Editorial Médica Panamericana, S.A de C.V. Cisfarm
  • 639.
    C20 Músculo esquelético,nervio periférico y tejidos blandos 663 FIGURA 20-24. a) Sección panorámica de músculo esquelético incluido en parafina y teñida con H-E; vasculitis necrosante PAN. b) Detalle de la anterior PAN. (b) (a) © 2007 Editorial Médica Panamericana, S.A de C.V. Cisfarm
  • 640.
    664 Patología especial FIGURA20-25. Aspecto microscópico de un caso de fascitis nodular. Nódulo firme en antebrazo de cuatro años de evolución. Se observa músculo estriado no invadido en el ángulo inferior izquierdo. Hay masas de tejido fibroso que forman nódulos. (Cortesía del Dr. Héctor Abelardo Rodríguez.) © 2007 Editorial Médica Panamericana, S.A de C.V. Cisfarm
  • 641.
    C20 Músculo esquelético,nervio periférico y tejidos blandos 665 FIGURA 20-26. Histología de un fibrosarcoma, formado por haces de células alargadas con núcleos puntiagudos; hay varias mitosis. (Cortesía del Dr. Héctor Abelardo Rodríguez.) © 2007 Editorial Médica Panamericana, S.A de C.V. Cisfarm
  • 642.
    666 Patología especial FIGURA20-27. Fibrohistiocitoma fibroso, de carácter celular y con algunas células atípicas. (Cortesía del Dr. Héctor Abelardo Rodríguez.) © 2007 Editorial Médica Panamericana, S.A de C.V. Cisfarm
  • 643.
    C20 Músculo esquelético,nervio periférico y tejidos blandos 667 FIGURA 20-28. Lipoma subcutáneo; obsérvese la ausencia de cápsula. © 2007 Editorial Médica Panamericana, S.A de C.V. Cisfarm
  • 644.
    668 Patología especial FIGURA20-29. a) Liposarcoma pleomórfico, con estroma laxo y células atípicas. (Cortesía del Dr. Héctor Abelardo Rodríguez.) b) Liposarcoma pleomórfico. Mayor aumento de lipoblasto atípico, que muestra el citoplasma distendido por vacuolas llenas de grasa. (Cortesía del Dr. Héctor Abelardo Rodríguez.) (a) (b) © 2007 Editorial Médica Panamericana, S.A de C.V. Cisfarm
  • 645.
    C20 Músculo esquelético,nervio periférico y tejidos blandos 669 FIGURA 20-30. Mesenquimoma, que muestra dos elementos neoplásicos derivados del tejido conjuntivo: tejido fibroso y cartílago. (Cortesía del Dr. Héctor Abelardo Rodríguez.) © 2007 Editorial Médica Panamericana, S.A de C.V. Cisfarm
  • 646.
    670 Patología especial FIGURA20-31. Mixoma, que muestra estroma mucoide y muy escasas células (Cortesía del Dr. Héctor Abelardo Rodríguez.) © 2007 Editorial Médica Panamericana, S.A de C.V. Cisfarm
  • 647.
    C20 Músculo esquelético,nervio periférico y tejidos blandos 671 FIGURA 20-32. Sarcoma epiteloide, en el que una parte de las células adopta aspecto de carcinoma epidermoide. (Cortesía del Dr. Héctor Abelardo Rodríguez.) © 2007 Editorial Médica Panamericana, S.A de C.V. Cisfarm
  • 648.
    672 Patología especial FIGURA20-33. Sarcoma alveolar de partes blandas, con células grandes, eosinófilas dispuestas en un patrón alveolar. (Cortesía del Dr. Héctor Abelardo Rodríguez.) © 2007 Editorial Médica Panamericana, S.A de C.V. Cisfarm
  • 649.
    C20 Músculo esquelético,nervio periférico y tejidos blandos 673 FIGURA 20-34. Sarcoma de Ewing desarrollado en la región paravertebral de un niño de ocho años de edad. La imagen es indistinguible de la misma neoplasia que ocurre en el esqueleto. (Cortesía del Dr. Héctor Abelardo Rodríguez.) © 2007 Editorial Médica Panamericana, S.A de C.V. Cisfarm
  • 650.
    674 Patología especial FIGURA20-35. Tumor maligno de células gigantes. La imagen es idéntica a la de la neoplasia del mismo nombre que ocurre en el esqueleto. (Cortesía del Dr. Héctor Abelardo Rodríguez.) © 2007 Editorial Médica Panamericana, S.A de C.V. Cisfarm
  • 651.
    C20 Músculo esquelético,nervio periférico y tejidos blandos 675 TABLA 20-1 Diagnóstico diferencial en enfermedades neuromusculares más frecuentes. MÚSCULO Distrofia muscular: Distrofinopatías FSHD LGMD Distrofia muscular congénita Distrofia miotónica Glucogénesis: II, V, VII Lípidos: deficiencia de carnitina Mitocondriopatías Miopatías congénitas estructurales: Central core Miopatía nemalínica Centronuclear Desproporción congénita de las fibras Alteraciones miotónicas: Miotonía congénita Paramiotonía congénita Parálisis periódica: Hipokalémica Hiperkalémica Dermatomiositis Polimiositis Drogas miotóxicas Hereditarias Degenerativas Metabólicas Congénitas Adquiridas Inflamatorias/ inmunológicas Tóxicas NEURONA MOTORA Atrofia espinal muscular (SMA): 1, 2 y 3 Esclerosis lateral amiotrófica Gangliosidosis GM2 NERVIO PERIFÉRICO Charcot-Marie-Tooth Dejerine Sottas Ataxia de Friedrerich Neuropatía hereditaria Neuropatía axonal gigante Enfermedad de Refsum Abetalipoproteinemia Leucodistrofia metacromática Enfermedad de Krabbe Porfiria Enfermedad de Tangier Enfermedad de Fabry Neuropatía hipomielinizante congénita Polineuropatía desmielinizan- te inflamatoria aguda Polineuropatía desmielinizan- te inflamatoria crónica Vasculitis Toxinas ambientales UNIÓN NEUROMUSCULAR Miastenia congénita Miastenia gravis Miastenia neonatal transitoria Miastenia grave Botulismot © 2007 Editorial Médica Panamericana, S.A de C.V. Cisfarm
  • 652.
    676 Patología especial TABLA20-2 Clasificación general de las miopatías más frecuentes y su forma de transmisión conocida. SUBTIPO Glucógeno Tipo II (Pompe) Tipo V (McArdle) Tipo VII (Tarui) Lípidos Deficiencia de carnitina Mitocondriales MELAS MERRF Nemalínica Central core Miotubular (centronuclear) Desproporción congénita de las fibras Desmiopatías Distrofinopatías (Duchenne/Becker) Sarcoglicanopatías (síndrome de cinturas-LGMD) Facioescapulohumeral Emery-Dreifuss Distrofia muscular congénita: Merosina negativa Fukuyama TIPO 1. Miopatías Metabólicas Congénitas estructurales Distrofias HERENCIA AR AR AR AR Mutación puntual Mutación puntual AD AD XR XR AR, AD AD XR AR AR GENE 17q23 11q13 1ccnq32 11p11-p13 tARNLeu tARNLeu 1q21-q23 19q13.1 Xq28 Xp21.2 15q; 2p; 5p; 13q12 4q35 Xq28 6q2 9q31-q33 PROTEÍNA GAA Fosforilasa muscular Fosfofructoquinasa muscular Carnitin-palmitoil-trans- ferasa NEM1 Receptor ryanodine MTM1 Distrofina LGMD2; LGMD3; LGMD1; SCARMD1 Emerina Merosin FCMD Proteína kinasa FSHD: Distrofia fascio-escapulo-numeral; LGMD: distrofia de las cinturas; SMA: atrofia muscular espinal. Continuación Miositis viral Miositis parasitaria Infecciosas Poliomielitist Herpes zoster Herpes simple Enfermedad de Lymet © 2007 Editorial Médica Panamericana, S.A de C.V. Cisfarm
  • 653.
    C20 Músculo esquelético,nervio periférico y tejidos blandos 677 TABLA 20-2 Continuación AD: autosómica dominante; AR: autosómica recesiva; XR: recesiva ligada al X; MELAS: miopatía mitocondrial con acidosis láctica; MERRF: epilepsia mioclónica con fibras rojas rasgadas; SMA: atrofia muscular espinal (por sus siglas en inglés). Distrofia miotónica Enfermedad muscular extraocular Miotonías no distróficas Miotonía congénita Parálisis periódica: Hiperkalémica Hipokalémica Paramiotonía congénita Miositis infecciosa Dermatomiositis Poliomiositis Otras enfermedades del tejido conectivo: Escleroderma Lupus sistémico Artritis reumatoide Miositis de cuerpos de inclusión Miopatías asociadas a VIH Síndromes miasténicos congénitos Miastenia gravis Botulismo Tipo I (Werdning-Hoffman) Tipo II Tipo III (Kugelberg-Welander) Enfermedades de membranas musculares (canales de iones) Inflamatorias Enfermedades de unión neuromuscular 2. Atrofias neurogénicas Atrofia muscular espinal AD AD AR AR AR 17q13.1-13.3 1q31-q32 17q13.1-q13.2 5q11-q13 5q11-q13 Canal de sodio Canal de calcio (receptor dehidropiridina) Canal de sodio SMA SMA © 2007 Editorial Médica Panamericana, S.A de C.V. Cisfarm
  • 654.
    678 Patología especial CLÍNICAMIOPATÍA NEUROPATÍA (NEURONA MOTORA INFERIOR) Edad de inicio Desde antes del nacimiento hasta Desde antes del nacimiento hasta vida vida adulta adulta Hipotonía y debilidad +++ +++ Fasciculaciones No +++ Reflejos Normales Normales o disminuidos Cambios sensoriales No No CPK Aumentados + a +++ Normales o aumentados + Conducción nerviosa (VCN) Normal Anormal EMG Potencial de unidad motora disminuido Potencial de unidad motora aumentado Biopsia Cuadríceps (proximal). Atrofia ++; fibrosis; Gastrocnemio (distal). Atrofia +++; sin necrosis; núcleos centrales. Cambios fibrosis; sin necrosis; núcleos periféricos dependiendo de etiología agrupación de fibras por tipos; fibras anguladas TABLA 20-4 Datos clínicos que orientan a localizar la enfermedad en músculo o neurona motora inferior. CARACTERÍSTICAS TIPO 1 TIPO 2 Tipo de contracción Lenta Rápida Acción Fuerza sostenida Movimiento propulsor Enzimas NADH Oscuras Claras ATPasa pH 9.4 Claras Oscuras Mitocondrias Numerosas Escasas Glucógeno Pobre Rico Mioglobina Abundante Escasa Lípidos Abundantes Escasos Banda Z Ancha Delgada Metabolismo Aeróbico Anaeróbico Proporción 1 2 TABLA 20-3 Diferencias entre las miofibras 1 y 2. Comunicación estrecha entre clínico y patólogo. Notificación previa al laboratorio de patología sobre la fecha de toma. Muestra no traumatizada del cuerpo del músculo. Tomada por un experto en la técnica de biopsia. Toma a cielo abierto, sin el uso de pinzas para biopsia de músculo. Evitar sitios de biopsia previa, inyección o aplicación de agujas para EMG, músculos clínicamente no involucrados o los gravemente afectados. El tamaño ideal de la muestra es 2 cm de longitud por 1 cm de ancho. La muestra se debe preparar para histoquímica (congelado), histología (incluida en parafina) y microscopia electrónica (glutaraldehído). Interpretación de hallazgos basándose en el contexto clínico. TABLA 20-5 Manejo básico de la biopsia muscular. © 2007 Editorial Médica Panamericana, S.A de C.V. Cisfarm
  • 655.
    C20 Músculo esquelético,nervio periférico y tejidos blandos 679 TINCIÓN EVALUACIÓN Histoquímica (tejido congelado) Hematoxilina y eosina (H&E) Morfología general: tamaño, forma y distribución de las fibras; posición del núcleo; depósitos; necrosis; fagocitosis; regeneración; infiltrados; tejido conectivo Tricrómico modificado de Gomori Mitocondrias (fibras rojas rasgadas); central core; miopatía nemalínica ATPasa pH 9.4 Tipo de fibras Ácido peryódico de Schiff (PAS) Distribución de glucógeno (almacenamiento) Rojo oleoso (RO) Lípidos Fosfatasa ácida Distribución lisosomal anormal. Necrosis de las fibras Inmunohistoquímica (tejido incluido en parafina) Distrofina Distrofinopatías (Duchenne y Becker) Merosina Distrofia muscular congénita Sarcoglicanos Sarcoglicanopatías Vimentina Fibras musculares fetales (miopatía centronuclear); fibras en regeneración Desmina Desminopatías TABLA 20-6 Tinciones básicas de histoquímica e inmunohistoquímica. TIPO CARACTERÍSTICAS II (POMPE) V (MCARDLE) VII (TARUI) Enzima deficiente Maltasa ácida Miofosforilasa Fosfofructoquinasa Edad de inicio/síntomas: Neonatal Al nacimiento/hipotonía grave, Primeros meses; fatal Al nacimiento; hipotonía rara, deterioro rápido; hepatoes- (rara) grave; debilidad; plenomeglia; cardiomiopatía; convulsiones; opacidad macroglosia corneal Niños Hipotonía lentamente progresiva; Intolerancia al ejercicio Intolerancia al ejercicio con debilidad de extremidades; calambres. Más grave que cardiomiopatía la V. Laboratorio CPK elevada + a ++; células CPK elevada + a ++; CPK elevada +; mioglobinuria vacuoladas en sangre y mioglobinuria médula ósea. EMG sugiere EMG sugiere miopatía miopatía Herencia Autosómica recesiva; gene Autosómica, recesiva y Japoneses y judíos. Autosó- 17q23 dominante; gene mica recesiva; gene 11q13-13.2 10p, 21q22.3 TABLA 20-7 Glucogenosis que con mayor frecuencia se manifiestan inicialmente como enfermedad muscular. © 2007 Editorial Médica Panamericana, S.A de C.V. Cisfarm
  • 656.
    680 Patología especial DEFICIENCIAINICIO CUADRO CLÍNICO/LABORATORIO CPT II Infancia Hepatomegalia; hipoglicemia; mialgia; hipotonía. Predomina en varones/CPK normal. Miopatía lipídica. Adolescencia Mialgia; rabdomiolisis/Mioglobinuria inducida por ayuno y/o ejercicio prolongado. No almacenamiento muscular de lípidos, o mínimo Deficiencia de carnitina Sistémica Neonatal Síndrome semejante a enfermedad de Reye; hipoglicemia; bajos niveles de carnitina sérica Miopática (rara) Infancia Debilidad muscular proximal progresiva; cardiomiopatía Variable CPK elevada ++; EMG hallazgos miopáticos Acil-CoA deshidrogenasa MCAD (cadena mediana) Infancia tardía Enfermedad semejante a síndrome de Reye; síndrome de muerte súbita CPT, carnitina palmitotransferasa; MCAD, Acil-CoA deshidrogenasa de cadena media. TABLA 20-8 Enfermedades más frecuentes por atesoramiento de lípidos, con manifestación muscular primaria. TIPO SUBTIPO GENE AFECTADO PROTEÍNA Autosómica dominante (LGMD-1) LGMD-1 A 5q31 LGMD-1 B 1q11-21 LGMD-1 C 6q23 LGMD-1 D 3p25 Caveolina-3 Autosómica recesiva (LGMD-2) LGMD-2 A 15q15 Calpaína-3 LGMD-2 B 2p13 LGMD-2 C 13q12 γ-Sarcoglicano LGMD-2 D 17q21 α-Sarcoglicano (adhalina) LGMD-2 E 4q12 β-Sarcoglicano LGMD-2 F 5Q33-34 δ-Sarcoglicano LGMD-2 G 17q11-1 TABLA 20-9 Clasificación de distrofia muscular de las cinturas (LGMD). © 2007 Editorial Médica Panamericana, S.A de C.V. Cisfarm
  • 657.
    C20 Músculo esquelético,nervio periférico y tejidos blandos 681 CON AFECCIÓN A SISTEMA NERVIOSO CENTRAL (SNC) TABLA 20-10 Distrofia muscular congénita, tipos y características. HALLAZGOS Región geográfica Evolución Desarrollo psicomotor Cambios en SNC Afección ocular Gene afectado SIN AFECCIÓN SNC (DIAGNÓSTICO DE EXCLUSIÓN) Occidental, clásica Progresiva Normal Ninguno No No conocido MEROSINA NEGATIVA Progresiva Retraso en todos los casos Rediolucidez (TAC) en sustancia blanca. Sin re- percusión clínica No 6q22-23 (región codificadora de merosina) FUKUYAMA Japón Progresiva, hasta vida adulta Retraso severo, todos los casos Polimicrogiria; hipoplasia cerebelosa leve región frontal Ninguna o leves 9q31-33 MÚSCULO-OJO- CEREBRO Finlandia Progresiva, hasta vida adulta Retraso severo, todos los casos Polimicrogiria; pa- quigiria Miopía severa, displasia retiniana, atrofia óptica No conocido SÍNDROME DE WALKER-WARBURG (WWS) Caucásicos Progresiva, rara vez sobreviven infancia Retraso severo, todos los casos Lisencefalia; hipoplasia vermix cerebeloso Microftalmia, displasia reti- niana No conocido © 2007 Editorial Médica Panamericana, S.A de C.V. Cisfarm
  • 658.
    682 Patología especial TÉCNICASAPLICACIONES General Hematoxilina y eosina Ver tamaño, estructura, células de Schwann, perineuro y endoneuro, células inflamatorias, vasos sanguíneos, estado de la colágena, etcétera Hematoxilina van Gieson Colágena en rojo, mielina en negro Tinción de retículo Membrana basal alrededor de cada célula de Schwann y nervio Tricrómico de Masson Estado de la colágena y necrosis fibrinoide en vasculitis Azul alciano Glicosaminoglicanos en azul Azul de Toluidina Células cebadas en parafina, cortes en resina 1 micra, tinción metacromática para lípidos sulfatados Tinciones para mielina Luxol-fast-blue Mielina azul, se puede combinar con tinción de plata para el axón Loyez Mielina negra Osmio Mielina negra PAS Mielina rosa brillante Microscopia electrónica Tetróxido de osmio Fibras aisladas Todas las técnicas rutinarias y de histoquímica Inmunohistoquímica S-100 Células de Schwann Leu-7 Células de Schwann Proteína ácida glial fibrilar Algunas células de Schwann no mielinizadas Proteína básica de la mielina Mielina Antígeno membrana epitelial Células del perineuro CD-34 Células endoneurales TABLA 20-11 Técnicas histológicas para el estudio del nervio periférico. © 2007 Editorial Médica Panamericana, S.A de C.V. Cisfarm
  • 659.
    C20 Músculo esquelético,nervio periférico y tejidos blandos 683 NEUROPATÍA AGUDA Síndrome de Guillain-Barré Difteria Polineuropatía tóxica Paraneoplásica Vasculitis TABLA 20-12 Clasificación de las neuropatías periféricas. NEUROPATÍA SUBAGUDA SENSOMOTORA SIMÉTRICA O ASIMÉTRICA Avitaminosis Alcoholismo Tóxica Paraneoplásica Diabetes mellitus Sarcoidosis NEUROPATÍA PERIFÉRICA CRÓNICA PROGRESIVA O RECURRENTE Polirradiculoneuropatía desmielinizante Inflamatoria crónica Porfiria Tóxica Avitaminosis Medicamentos Diabetes mellitus Paraneoplásica Urémica Vasculitis Amiloidosis Lepra Hereditarias NEUROPATÍA PERIFÉRICA HEREDITARIA DEL ADULTO Y DEL NIÑO Charcot-Marie-Tooth (tipos 1 y 2) Enfermedad de Déjéri- ne-Sottas (tipo 3) Abetalipoproteinemia Enfermedad de Tangier Amiloidosis hereditaria Enfermedad de Refsum Adrenoleucodistrofia Leucodistrofia metacromática MONONEUROPATÍA MÚLTIPLE Tumores primarios Metástasis Vasculitis Diabetes mellitus Sarcoidosis Lepra Enfermedad de Lyme Post-herpes zoster SIDA Trauma Neuropatía tomaculosa © 2007 Editorial Médica Panamericana, S.A de C.V. Cisfarm
  • 660.
    684 Patología especial NEUROPATÍASITIO (LOCUS) GEN MECANISMO Charcot-Marie-Tooth 1 CMT1A 17p11.2-12 PMP22 Duplicación/mutación puntual CMT1B 1q22-23 Po Mutación puntual CMT1C Desconocido Desconocido Desconocido CMTX Xq13.1 CX32 Mutación puntual CMT4 8q Desconocido Desconocido Charcot-Marie-Tooth 2 CMT2A 1p36 Desconocido Desconocido CMT2B 3q Desconocido Desconocido CMT2C Desconocido Desconocido Desconocido CMT2D 7p Desconocido Desconocido Déjérine-Sottas DSD-A 17p11.2-12 PMP22 Mutación puntual DSD-B 1q22-23 Po Mutación puntual Neuropatía tomaculosa HNPP-A 17p11.2-12 PMP22 Deleción/mutación puntual HNPP-B Desconocido Desconocido Desconocido Neuralgia amiotrófica hereditaria HNA 17q24-25 Desconocido Desconocido * Las neuropatías de Charcot-Marie-Tooth tipo 1 (CMT1A), de Déjérine-Sottas (DSD-A) y neuropatía hereditaria con riesgo a la parálisis por presión o neuropatía tomaculosa (HNPP-A) son trastornos del mismo gen PMP-22, en el mismo sitio cromosómico 17p11.2-12. Todas son mutaciones puntuales, pero en CMT1 hay una duplicación de secuencias de ácidos nucleicos dentro del exón, mientras que en HNPP-A hay una deleción de estas secuencias; en DSD-A no hay cambios en el número de las secuencias en el exón. Los cambios patológicos en la biopsia nerviosa son distintos a pesar de que las tres sean variedades genéticas del gen PMP22. (Tomado de Sarnat, 1999.) TABLA 20-13 Neuropatías hereditarias motoras y sensitivas. Genética molecular.* © 2007 Editorial Médica Panamericana, S.A de C.V. Cisfarm
  • 661.
    C20 Músculo esquelético,nervio periférico y tejidos blandos 685 ENFERMEDAD HALLAZGOS CLÍNICOS Y ANATOMOPATOLÓGICOS NSAH I: autosómica dominante Neuropatía predominantemente sensitiva que afecta a adultos jóvenes Degeneración axonal (principalmente fibras mielínicas) NSAH II: autosómica recesiva Neuropatía predominantemente sensitiva que inicia durante la lactancia Algunos casos esporádica Degeneración axonal (sobre todo fibras mielínicas) NSAH III: autosómica recesiva Neuropatía predominantemente autónoma, que se inicia durante la lactancia (síndrome de Riley-Day; Degeneración axonal (principalmente fibras amielínicas), atrofia y pérdida disautonomía familiar); de células de los ganglios sensitivos y autónomos autosómica recesiva (más frecuente en niños judíos; locus en cromosoma 9q31-q33) * NSAH: neuropatías sensitivas y autónomas hereditarias. TABLA 20-14 Neuropatías sensitivas y autónomas hereditarias.* © 2007 Editorial Médica Panamericana, S.A de C.V. Cisfarm
  • 662.
    686 Patología especial TABLA20-15 Neuropatías hereditarias de causa metabólica conocida. DEFECTO METABÓLICO Enzima de transporte de peroxisomas; gen ALD Mutaciones de la transtiretina Enzimas implicadas en la síntesis de heme (déficit agu- dointermitente de protobilinógeno desaminasa) Fitanoil CoA alfa- hidroxilasa (enzima de peroxisomas) HERENCIA Ligada a X; 4% de las porta- doras están sintomáticas Autosómica dominante Autosómica dominante Autosómica recesiva HALLAZGOS CLÍNICOS Neuropatía mixta sensitivo- motora insuficiencia supra- rrenal, paraplejía espástica, comienzo entre los 10 a 20 años en los varones (leucodistrofia); entre los 20 a 40 años en las muje- res (mieloneuropatía) Disfunción sensitiva y autó- noma; la edad de comien- zo varía con el lugar de la mutación Episodios agudos de disfun- ción neurológica Trastornos psiquiátricos, dolor abdominal, convul- siones, debilidad proximal, disfunción autónoma; los ataques pueden desenca- denarse por fármacos Neuropatía mixta sensitivo- motora con nervios palpables; ataxia, ceguera nocturna, retinitis pigmen- tosa, ictiosis; comienza antes de los 20 años (existe una forma infantil distinta genéticamente) HALLAZGOS ANATOMOPATOLÓGICOS Degeneración axonal (mie- linizados y amielínicos); desmielinización segmenta- ria con bulbos de cebolla; microscopia electrónica: inclusiones lineales en las células de Schwann Depósitos de amiloide en las paredes vasculares y tejido conjuntivo con degenera- ción axonal Degeneración axonal aguda y crónica; cúmulos en re- generación Intensa formación de bulbos de cebolla ENFERMEDAD Adrenoleuco- distrofia Polineuropatía por amiloidosis familiar Porfiria (aguda intermitente, coproporfiria, variegata) Enfermedad de Refsum © 2007 Editorial Médica Panamericana, S.A de C.V. Cisfarm
  • 663.
    21 Patología del esqueleto yde las articulaciones Ruy Pérez Tamayo Alberto G. Ayala Yae Y Ro Patología del esqueleto y de las articulaciones FIGURA 21-1. Aspecto microscópico de la osteomielitis. Las trabéculas óseas están des- organizadas y el espacio intertrabecular está ocupado por tejido fibroso laxo con infiltrado inflamatorio agudo y crónico. © 2007 Editorial Médica Panamericana, S.A de C.V. Cisfarm
  • 664.
    688 Patología especial FIGURA21-2. Exostosis osteocartilaginosa. Tanto el hueso como el cartílago son irregulares y no forman estructuras normales. © 2007 Editorial Médica Panamericana, S.A de C.V. Cisfarm
  • 665.
    C21 Patología delesqueleto y de las articulaciones 689 FIGURA 21-3. Osteoporosis. Las trabéculas óseas son muy delgadas y están separadas entre sí por espacios amplios. © 2007 Editorial Médica Panamericana, S.A de C.V. Cisfarm
  • 666.
    690 Patología especial FIGURA21-4. Aspecto microscópico de una lesión ósea en el hiperparatiroidismo crónico. Abundantes trabéculas finas depositadas en tejido fibroso laxo; hay signos aparentes de depósito y reabsorción acelerada del hueso. © 2007 Editorial Médica Panamericana, S.A de C.V. Cisfarm
  • 667.
    C21 Patología delesqueleto y de las articulaciones 691 FIGURA 21-5. Enfermedad de Paget ósea. Abundantes trabéculas irregulares con signos de depósito excesivo (“mosaico”), en el estadio 2 de la enfermedad. © 2007 Editorial Médica Panamericana, S.A de C.V. Cisfarm
  • 668.
    692 Patología especial FIGURA21-6. Displasia fibrosa. El espacio medular está ocupado por tejido fibroso denso; hay escasas trabéculas óseas deformadas. © 2007 Editorial Médica Panamericana, S.A de C.V. Cisfarm
  • 669.
    C21 Patología delesqueleto y de las articulaciones 693 FIGURA 21-7. Defecto cortical fibroso. Por debajo de la corteza ósea hay una masa de tejido fibroso denso con muy pocas células. © 2007 Editorial Médica Panamericana, S.A de C.V. Cisfarm
  • 670.
    694 Patología especial FIGURA21-8. Osteoma osteoide. a) Imagen radiológica de un caso localizado en la apófi- sis tuberosa del cuello del fémur. b) Pequeño aumento de la neoplasia, que ilustra el nido rodeado por hueso proliferado no tumoral. c) Mayor aumento del tumor, con abundante formación de osteoide. (c) (b) (a) © 2007 Editorial Médica Panamericana, S.A de C.V. Cisfarm
  • 671.
    C21 Patología delesqueleto y de las articulaciones 695 FIGURA 21-9. Osteosarcoma. a) Radiografía de un sarcoma osteogénico en la metáfisis del fémur. b) Aspecto macroscópico de la neoplasia. c) Existe proliferación celular con numerosas atipias y depósito de tejido osteoide, con calificación focal. (c) (b) (a) © 2007 Editorial Médica Panamericana, S.A de C.V. Cisfarm
  • 672.
    696 Patología especial FIGURA21-10. Osteocondroma. a) La neoplasia está localizada en la metáfisis del húme- ro y muestra un aspecto esponjoso característico. b) Aspecto macroscópico de los dos componentes del tumor: el cartílago periférico y el tejido óseo central. c) Histología del osteocondroma. (a) (b) (c) © 2007 Editorial Médica Panamericana, S.A de C.V. Cisfarm
  • 673.
    C21 Patología delesqueleto y de las articulaciones 697 FIGURA 21-11. Condroma. a) Radiografía de una lesión localizada en un hueso metacarpiano. b) Deformación de los huesos de la mano por condromas múltiples. c) Histología de un condroma; se aprecia la estructura nodular de la neoplasia. (a) (b) (c) © 2007 Editorial Médica Panamericana, S.A de C.V. Cisfarm
  • 674.
    698 Patología especial FIGURA21-12. Condroblastoma. a) El tumor se localiza en el extremo superior del húmero y oblitera la estructura pero conserva la cortical. b) Corte macroscópico del mismo tumor, que muestra su carácter cartilaginoso. c) Condroblastos, células gigantes y calcificación en “alambrado de gallinero.” (a) (c) (b) © 2007 Editorial Médica Panamericana, S.A de C.V. Cisfarm
  • 675.
    C21 Patología delesqueleto y de las articulaciones 699 FIGURA 21-13. Fibroma condromixoide. a) La lesión afecta la metáfisis del peroné pero con- serva la cortical. b) La imagen histológica muestra los dos componentes del tumor: el fibroso (izquierda) y el cartilaginoso (derecha). (a) (b) © 2007 Editorial Médica Panamericana, S.A de C.V. Cisfarm
  • 676.
    700 Patología especial FIGURA21-14. Condrosarcoma. a) Neoplasia en el tercio superior del húmero. b) Gran tumor en la pared costal. c) Condrosarcoma en la extremidad inferior del fémur; se aprecia la formación de cartílago. d) Imagen microscópica de la neoplasia. (a) (b) (c) (d) © 2007 Editorial Médica Panamericana, S.A de C.V. Cisfarm
  • 677.
    C21 Patología delesqueleto y de las articulaciones 701 FIGURA 21-15. Sarcoma de Ewing. a) Extensa lesión que afecta gran parte del hueso ilíaco. b) Imagen microscópica del tumor, con células redondas y uniformes, escaso citoplasma, cromatina homogénea y sin nucleolo visibles; el estroma es mínimo. (b) (a) © 2007 Editorial Médica Panamericana, S.A de C.V. Cisfarm
  • 678.
    702 Patología especial FIGURA21-16. Adamantinoma. a) Radiografías lateral y póstero-anterior de la tibia en un caso de lesión neoplásica extensa. b) Aspecto macroscópico de otro caso de adamantinoma de larga evolución. c) Imagen histológica, con tejido fibroso que limita espacios revestidos por células epiteliales. (a) (b) (c) © 2007 Editorial Médica Panamericana, S.A de C.V. Cisfarm
  • 679.
    C21 Patología delesqueleto y de las articulaciones 703 FIGURA 21-17. Tumor de células gigantes. a) Radiografías frontal y lateral de la rodilla, localización clásica de este tumor. b) Destrucción completa de la porción distal del fémur. c) Histología de la neoplasia, que muestra numerosas células gigantes. (a) (b) (c) © 2007 Editorial Médica Panamericana, S.A de C.V. Cisfarm
  • 680.
    704 Patología especial FIGURA21-18. Quiste óseo aneurismático. a) Lesión que afecta la metáfisis del cúbito, con desaparición de la cortical. b) Aspecto macroscópico de la misma lesión. c) Espacios irregulares rodeados por tejido fibroso y revestidos por osteo- clastos. (a) (b) (c) © 2007 Editorial Médica Panamericana, S.A de C.V. Cisfarm
  • 681.
    C21 Patología delesqueleto y de las articulaciones 705 FIGURA 21-19. Granuloma eosinófilo. a) Lesión en sacabocado en la base de la cabeza del fémur sin reacción laminada. b) Acúmulos de células histiocíticas con escasos eosinófilos. (a) (b) © 2007 Editorial Médica Panamericana, S.A de C.V. Cisfarm
  • 682.
    706 Patología especial FIGURA21-20. Membrana sinovial en la artritis reumatoide. Existen vellosidades irregulares, engrosadas y con denso infiltrado inflamatorio crónico, que llenan la cavidad sinovial. © 2007 Editorial Médica Panamericana, S.A de C.V. Cisfarm
  • 683.
    C21 Patología delesqueleto y de las articulaciones 707 FIGURA 21-21. Aspecto microscópico de un tofo gotoso. Los cristales de uratos son amorfos y están rodeadeos por células gigantes de cuerpo extraño. © 2007 Editorial Médica Panamericana, S.A de C.V. Cisfarm
  • 684.
    708 Patología especial FIGURA21-22. Histiocitoma fibroso de vaina tendinosa, con proliferación esteriforme en las zonas fibrosas. © 2007 Editorial Médica Panamericana, S.A de C.V. Cisfarm
  • 685.
    C21 Patología delesqueleto y de las articulaciones 709 FIGURA 21-23. Sinovitis vilonodular pigmentada, con vellosidades irregulares que se proyectan en la cavidad articular; hay abundante pigmento hemático. © 2007 Editorial Médica Panamericana, S.A de C.V. Cisfarm
  • 686.
    710 Patología especial FIGURA21-24. Sarcoma sinovial bifásico, con áreas sarcomatosas fusocelulares y seudoglandulares, revestidas por células de aspecto epitelial. © 2007 Editorial Médica Panamericana, S.A de C.V. Cisfarm
  • 687.
    C21 Patología delesqueleto y de las articulaciones 711 I. Tumores que forman hueso A. Benignos 1. Osteoma 2. Osteoma osteoide 3. Osteoblastoma B. Malignos 1. Osteosarcoma convencional 2. Parosteal 3. Intraóseo bien diferenciado 4. Periosteal 5. Telangiectásico 6. Multicéntrico 7. Maxilar/mandibular 8. De células pequeñas 9. Secundario a enfermedad de Paget o irradiación II. Tumores que forman cartílago A. Benignos 1. Condroma/Encondroma 2. Osteocondroma 3. Condroma periosteal 4. Condroblastoma 5. Fibroma condromixoide B. Malignos 1. Condrosarcoma clásico 2. Mesenquimal 3. Desdiferenciado 4. De células claras III. Tumor de células gigantes IV. Tumores de células pequeñas A. Malignos 1. Sarcoma de Ewing 2. Linfoma maligno V. Tumores vasculares A. Benignos 1. Hemangioma 2. Linfangioma 3. Tumor glómico B. Intermediario 1. Hemangioma histiocitoide/epitelioide (hemangioendotelioma) C. Malignos 1. Angiosarcoma VI. Tumores de tejido conjuntivo A. Benignos 1. Fibroma desmoplásico 2. Lipoma 3. Fibrohistiocitoma 4. Schwannoma 5. Neurofibroma B. Malignos 1. Fibrohistiocitoma maligno 2. Leiomiosarcoma 3. Mesenquimoma maligno 4. Sarcoma no clasificado VII. Tumores del notocordo o relacionados A. Malignos 1. Cordoma 2. Paracordoma VIII. Otros tumores A. Malignos 1. Adamantinoma IX. Tumores no clasificados X. Pseudoneoplasmas 1. Quiste aneurismático de hueso 2. Quiste simple de hueso 3. Quiste juxta-articular 4. Fibroma no osificante 5. Granuloma eosinófilo 6. Displasia fibrosa y fibroma osificante 7. Tumor pardo del hiperparatiroidismo 8. Proliferación parosteal bizarra osteocondromatosa 9. Sinovitis vilonodular pigmentada XI. Tumores metastásicos TABLA 21-1 Clasificación de tumores óseos. © 2007 Editorial Médica Panamericana, S.A de C.V. Cisfarm
  • 688.
    © 2007 EditorialMédica Panamericana, S.A de C.V. Cisfarm
  • 689.
    22 Mario Armando Luna Patología decabeza y cuello Patología de cabeza y cuello FIGURA 22-1. Célula multinucleada con inclusiones nucleares diagnósticas de herpes (prueba de Tzanck). © 2007 Editorial Médica Panamericana, S.A de C.V. Cisfarm
  • 690.
    714 Patología especial FIGURA22-2. Candidiasis de mucosa bucal. Lesiones blanquecinas en borde lateral de la lengua. © 2007 Editorial Médica Panamericana, S.A de C.V. Cisfarm
  • 691.
    C22 Patología decabeza y cuello 715 FIGURA 22-3. Tricoleucoplaquia. Lesión papilar con hiperqueratosis y paraqueratosis. © 2007 Editorial Médica Panamericana, S.A de C.V. Cisfarm
  • 692.
    716 Patología especial FIGURA22-4. Sialometaplasia necrosante. Ácinos infartados y ductos con metaplasia escamosa. © 2007 Editorial Médica Panamericana, S.A de C.V. Cisfarm
  • 693.
    C22 Patología decabeza y cuello 717 FIGURA 22-5. Carcinoma epidermoide. Nidos de células malignas con citoplasma queratinizado invadiendo el estroma. © 2007 Editorial Médica Panamericana, S.A de C.V. Cisfarm
  • 694.
    718 Patología especial FIGURA22-6. Carcinoma verrugoso. Lesión exofítica bien queratinizada con margen profundo bien circunscrito. © 2007 Editorial Médica Panamericana, S.A de C.V. Cisfarm
  • 695.
    C22 Patología decabeza y cuello 719 FIGURA 22-7. Angiofibroma juvenil. El estroma formado por fibroblastos inmaduros contiene vasos sanguíneos sin pared muscular. © 2007 Editorial Médica Panamericana, S.A de C.V. Cisfarm
  • 696.
    720 Patología especial FIGURA22-8. Carcinoma indiferenciado de la nasofaringe (carcinoma linfoepitelial). Células epiteliales de núcleo claro y nucleolo prominente mezcladas con células linfoides. © 2007 Editorial Médica Panamericana, S.A de C.V. Cisfarm
  • 697.
    C22 Patología decabeza y cuello 721 FIGURA 22-9. Rabdomiosarcoma embrionario. Células fusiformes con estriaciones en el citoplasma. © 2007 Editorial Médica Panamericana, S.A de C.V. Cisfarm
  • 698.
    722 Patología especial FIGURA22-10. Sinusitis alérgica. mucina con eosinófilos y cristales de Charcot-Leyden © 2007 Editorial Médica Panamericana, S.A de C.V. Cisfarm
  • 699.
    C22 Patología decabeza y cuello 723 FIGURA 22-11. Rinoscleroma. Células de Mikulicz. © 2007 Editorial Médica Panamericana, S.A de C.V. Cisfarm
  • 700.
    724 Patología especial FIGURA22-12. Miosferulosis. Espacios que contienen sacos con esférulas. © 2007 Editorial Médica Panamericana, S.A de C.V. Cisfarm
  • 701.
    C22 Patología decabeza y cuello 725 FIGURA 22-13. Pólipo nasal alérgico o inflamatorio revestido por epitelio ciliado. La membrana basal está engrosada y la estroma edematosa infiltrada por células inflamatorias. © 2007 Editorial Médica Panamericana, S.A de C.V. Cisfarm
  • 702.
    726 Patología especial FIGURA22-14. Papiloma de la mucosa sinonasal con patrón exofítico. © 2007 Editorial Médica Panamericana, S.A de C.V. Cisfarm
  • 703.
    C22 Patología decabeza y cuello 727 FIGURA 22-15. Papiloma invertido. Epitelio estratificado no queratinizado cubre la superficie y se invagina en el estroma. © 2007 Editorial Médica Panamericana, S.A de C.V. Cisfarm
  • 704.
    728 Patología especial FIGURA22-16. Hiperplasia epitelial con hiperqueratosis (izquierda). Hiperplasia con displasia (derecha). © 2007 Editorial Médica Panamericana, S.A de C.V. Cisfarm
  • 705.
    C22 Patología decabeza y cuello 729 FIGURA 22-17. Papiloma laríngeo. Papilas revestidas por epitelio escamoso no queratinizado. © 2007 Editorial Médica Panamericana, S.A de C.V. Cisfarm
  • 706.
    730 Patología especial FIGURA22-18. Carcinoma fusocelular. Islotes de carcinoma epidermoide del cual se desprenden células fusiformes. © 2007 Editorial Médica Panamericana, S.A de C.V. Cisfarm
  • 707.
    C22 Patología decabeza y cuello 731 FIGURA 22-19. Lesión linfoepitelial benigna. Islotes epimioepiteliales en estroma linfoide. © 2007 Editorial Médica Panamericana, S.A de C.V. Cisfarm
  • 708.
    732 Patología especial FIGURA22-20. Adenoma pleomorfo. Células epiteliales formando glándulas e islotes queratinizados en un estroma mixoide. © 2007 Editorial Médica Panamericana, S.A de C.V. Cisfarm
  • 709.
    C22 Patología decabeza y cuello 733 FIGURA 22-21. Tumor de Warthin. Estructura papilar formada por tejido linfoide revestido por oncocitos. © 2007 Editorial Médica Panamericana, S.A de C.V. Cisfarm
  • 710.
    734 Patología especial FIGURA22-22. Adenoma de células basales. a) Islotes epiteliales con células periféricas en empalizada descansando sobre membrana basal prominente. b) Nidos epiteliales con material amorfo hialino. (a) (b) © 2007 Editorial Médica Panamericana, S.A de C.V. Cisfarm
  • 711.
    C22 Patología decabeza y cuello 735 FIGURA 22-23. a) Carcinoma mucoepidermoide de baja malignidad. Quistes revestidos por células mucinosas y transicionales. b) Carcinoma mucoepidermoide de alta malignidad. Islotes epiteliales sólidos invadiendo músculo. Los islotes están formados por células transicionales con pocas células mucinosas. (a) (b) © 2007 Editorial Médica Panamericana, S.A de C.V. Cisfarm
  • 712.
    736 Patología especial FIGURA22-24. Carcinoma adenoide quístico. Células neoplásicas pequeñas en patrón cribiforme. © 2007 Editorial Médica Panamericana, S.A de C.V. Cisfarm
  • 713.
    C22 Patología decabeza y cuello 737 FIGURA 22-25. Carcinoma de células acinosas. Células ovoides con citoplasma granular. © 2007 Editorial Médica Panamericana, S.A de C.V. Cisfarm
  • 714.
    738 Patología especial FIGURA22-26. a) Carcinoma salival ductal. Glándulas revestidas por células pleomórficas en estroma hialinizado. b) Carcinoma epimioepitelial. Ductos rodeados por células claras. c) Carcinoma polimorfo de baja malignidad. Glándulas y nidos sólidos formados por células epiteliales uniformes. d) Carcinoma de células basales. Nidos epiteliales formados por células redondas separados por estroma fibroso. (a) (b) (c) (d) © 2007 Editorial Médica Panamericana, S.A de C.V. Cisfarm
  • 715.
    C22 Patología decabeza y cuello 739 FIGURA 22-27. Queratoquiste odontogénico. Quistes revestidos por epitelio escamoso estratificado queratinizado. © 2007 Editorial Médica Panamericana, S.A de C.V. Cisfarm
  • 716.
    740 Patología especial FIGURA22-28. Quiste radicular. © 2007 Editorial Médica Panamericana, S.A de C.V. Cisfarm
  • 717.
    C22 Patología decabeza y cuello 741 FIGURA 22-29. Ameloblastoma. Islotes epiteliales con células reticulares en el centro. Las células periféricas separan los islotes de la estroma. © 2007 Editorial Médica Panamericana, S.A de C.V. Cisfarm
  • 718.
    742 Patología especial FIGURA22-30. Granuloma de células gigantes. Células gigantes multinucleadas en estroma fusocelular hemorrágico. © 2007 Editorial Médica Panamericana, S.A de C.V. Cisfarm
  • 719.
    C22 Patología decabeza y cuello 743 FIGURA 22-31. La localización de la adenopatía puede sugerir el origen de carcinoma primario. YUGULAR SUPERIOR Lengua lateral Lengua posterior Amigdala, Paladar SUBMAXILAR Piel cara lateral Lengua anterior Piso de la boca Labio YUGULAR MEDIO Laringe, Faringe YUGULAR INFERIOR Tiroides, Esófago cervical ESCALENO Tumores por debajo de clavícula CERVICALES POSTERIOR Nasofaringe Tiroides © 2007 Editorial Médica Panamericana, S.A de C.V. Cisfarm
  • 720.
    744 Patología especial FIGURA22-32. Paraganglioma no cromafínico (quimiodectoma) del cuerpo carotídeo. Nidos de células grandes separadas por estroma vascular (patrón en Zellballen). © 2007 Editorial Médica Panamericana, S.A de C.V. Cisfarm
  • 721.
    C22 Patología decabeza y cuello 745 Por bacterias Gingivitis necrosante aguda (angina de Vincent) Estomatitis gangrenosa (noma) Sífilis Actinomicosis Por virus Gingivoestomatitis herpética Herpes recidivante Aftas recidivantes Mononucleosis infecciosa Úlceras por virus citomegálico Por hongos Candidiasis Histoplasmosis TABLA 22-2 Lesiones inflamatorias de la mucosa bucal Liquen plano Pénfigo vulgar Eritema multiforme Epidermolisis bulosa Gingivitis crónica descamativa Lupus eritematoso Queratosis folicular TABLA 22-3 Lesiones de tipo dermatológico en mucosa bucal Hereditarias Leucoedema Leucoqueratosis hereditaria Nevo blanco esponjoso Disqueratosis benigna intraepitelial hereditaria Reactivas Hiperqueratosis por fricción Leucoplaquia por tabaco de mascar Estomatitis nicotínica Queilitis solar Misceláneas Leucoplaquia idiopática Tricoleucoplaquia Lengua geográfica Liquen plano Lesiones blanco-amarillentas Candidiasis Fibrosis submucosa Quemaduras de la mucosa Gránulos de Fordyce Tejido linfoide ectópico Lipoma TABLA 22-4 Lesiones blancas (leucoplaquia) de la mucosa bucal Labio hendido Paladar hendido Gránulos de Fordyce Macroglosia Microglosia Fisura lingual Fisura labial congénita TABLA 22-1 Anomalías congénitas de la cavidad bucal © 2007 Editorial Médica Panamericana, S.A de C.V. Cisfarm
  • 722.
    746 Patología especial I.Inflamatorias A. Alérgica estacional B. Alérgica perenne No alérgica perenne C. Pólipos nasales 1. Eosinofílicos 2. Neutrofilícos D. Rinitis atrófica E. Misceláneas II. No inflamatorias A. Rinitis medicamentosa 1. Tópica 2. Sistémica B. Trastornos sistémicos, v.gr., embarazo C. Rinitis idiopática vasomotora III. Defectos de estructuras A. Desviación del tabique nasal B. Defectos ciliares 1. Congénitos 2. Adquiridos C. Misceláneos Trauma, cuerpo extraño, atresia, etcétera TABLA 22-5 Clasificación de la rinitis crónica © 2007 Editorial Médica Panamericana, S.A de C.V. Cisfarm
  • 723.
    C22 Patología decabeza y cuello 747 EXOFÍTICO INVERTIDO CÉLULAS CILÍNDRICAS Edad media 47 años 49 años 57 años Relación H:M 9:1 9:1 1:1 Septo nasal 96% 1% 0% Pared lateral 4% 23% - Seno maxilar 0% 17% 42% Pared lateral y seno maxilar 0% 42% 58% V.P.H 90% 60% 0% Recidiva 30% 39-65% 45-65% Cancerización Muy rara 3-13% 3-15% TABLA 22-7 Papilomas de la mucosa sinonasal (schneideriana) GRANULOMATOSIS LINFOMA INFLAMACIÓN DE WEGENER ANGIOCÉNTRICO NO ESPECÍFICA Localización Senos y mucosa nasal. Rara Facial. Paladar Facial. Tejidos blandos en tejidos blandos Destrucción ósea Rara Sí Sí Extensión Sistémica. Vasculitis. Localizada o sistémica. Localizada vías respiratorias Glomerulitis No vasculitis superiores Asociación con linfomas No Sí. Tipo T No Aspecto microscópico Vasculitis necrosante. Células Angiocéntrico No necrosis Infiltrado no especifico. No gigantes Necrosis fibrinoide. fibrinoide, Células atípicas células atípicas Células No células atípicas gigantes, granulomas raros ANCA Positiva Negativa Negativa Tratamiento Ciclofosfamida con Quimioterapia y/o radiación ? o sin esteroides TABLA 22-6 Diagnóstico diferencial del granuloma letal de la línea media © 2007 Editorial Médica Panamericana, S.A de C.V. Cisfarm
  • 724.
    748 Patología especial Adenomas 1.Adenoma pleomorfo 2. Mioepitelioma 3. Adenoma de células basales Adenoma membranoso 4. Tumor de Warthin (adenolinfoma) 5. Oncocitoma (adenoma oncocítico) 6. Adenoma canalicular 7. Adenoma sebáceo 8. Papiloma ductal Papiloma ductal invertido Papiloma intraductal Sialoadenoma papilífero 9. Cistadenoma, mucinoso, papilar TABLA 22-10 Tumores epiteliales benignos de las glándulas salivales PROCESO SEXO EDAD (AÑOS) ABUSO DE LA VOZ SITIO EN CUERDA VOCAL BILATERAL O UNILATERAL Edema F> M 40-70 No Anterior Bilateral Nódulo F 25-35 Sí Unión de tercio anterior con tercio medio Bilateral Pólipo 80% M 30-55 Sí Anterior Unilateral Hematoma F> M 45-55 Sí Tercio posterior Unilateral TABLA 22-8 Procesos exudativos del espacio de Reinke INFANTIL ADULTOS Relación H:M 1:1 2:1 Principio de síntomas 68% menores de 4 años Cuarta década Número de papilomas Solitario 17% 44% Más de 2 30% 48% Papilomatosis 83% 8% Papilomas extralaríngeos 12% 0% Extensión traqueobronquial 4% 0% Recidiva Muy frecuente Rara Cancerización Muy rara (1%) 20% TABLA 22-9 Papilomas de laringe. Diferencias clínicas de acuerdo con la edad © 2007 Editorial Médica Panamericana, S.A de C.V. Cisfarm
  • 725.
    C22 Patología decabeza y cuello 749 Carcinomas Carcinoma de células acinares Carcinoma mucoepidermoide Carcinoma adenoideo quístico Adenocarcinoma polimorfo de baja malignidad (adenocarcinoma de ductos terminales) Carcinoma epitelial-mioepitelial Adenocarcinoma de células basales Carcinoma sebáceo Cistadenocarcinoma papilar Adenocarcinoma mucinoso Carcinoma oncocítico (oncocitoma maligno) Carcinoma ductal salival Carcinoma mioepitelial (mioepitelioma maligno) Tumor mixto maligno Carcinoma ex adenoma pleomorfo 1. Invasivo 2. Intracapsular Carcinosarcoma Carcinoma epidermoide Carcinoma de células pequeñas Carcinoma indiferenciado Otros carcinomas TABLA 22-11 Tumores epiteliales malignos de las glándulas salivales PBM CEM CCB CDS Relación H:M 1:2 2:1 1:1 3:1 Sitio Glándula mayor (%) 5 87 99 99 Glándulas menores (%) 95 13 1 1 Recidival local 12 31 28 33 Metástasis a ganglios linfáticos regionales (%) 10 18 12 59 Metástasis distantes (%) 0 8 4 46 Mortalidad (%) 1 7 4 65 PBM: polimorfo de baja malignidad; CEM: carcinoma epitelial mioepitelial; CCB: carcinoma de células ba- sales; CDS: carcinoma ductal salival. TABLA 22-12 Diferencias clínicas de adenocarcinomas comunes de glándulas salivales I. Quistes odontogénicos A. De desarrollo Queratoquiste (primordial) Quiste folicular (dentígero) Quiste queratinizante Quiste periodontal lateral Quiste gingival B. Inflamatorios Quiste radicular Quiste residual (colateral) Quiste paradental II. Quistes no odontogénicos A. Fisurales Nasolabial (globulomaxilar) Nasopalatino Palatino medio B. Pseudoquistes TABLA 22-13 Quistes de los huesos maxilares © 2007 Editorial Médica Panamericana, S.A de C.V. Cisfarm
  • 726.
    750 Patología especial Quisteradicular Quiste folicular (dentígero) Quiste residual (colateral) Queratoquiste (quiste primordial) Quiste periodontal lateral Quiste calcificante Quiste gingival Quiste de erupción Quiste paradental TABLA 22-14 Frecuencia de quistes odontogénicos en orden descendente EDAD MEDIA TUMOR (AÑOS) SITIO COMÚN RADIOGRAFÍA RECIDIVA Ameloblastoma 40 Ángulo mandíbula Multilocular radiolucente Sí T. Epitelial calcificante 40 Ángulo mandíbula Radiolucente con focos opacos Sí Adenoamelobastoma 18 Anterior Igual No Mixoma 30 Cualquier región Multilocular radiolucente Sí Fibroma osificante 40 Mandíbula Radiolucente con focos opacos No Cementoblastoma 25 Mandíbula posterior Opaco No Odontoma 18 Cualquier región Opaco No Fibroma 12 Ángulo mandíbula Radiolucente con focos opacos Sí TABLA 22-16 Características clínicas de los tumores odontogénicos más comunes I. Epitelial Ameloblastoma Tumor epitelial calcificante Tumor odontogénico adenomatoide Tumor odontogénico epidermoide II. Mesenquimal Mixoma odontogénico Fibroma odontogénico 1. Periférico 2. Central Fibroma cementificante Cementoblastoma (cementoma verdadero) Cementoma gigantiforme Odontoma 1. Complejo 2. Compuesto III. Mixtos (epitelial mesenquinal) Fibroma ameloblástico Fibro-odontoma ameloblástico TABLA 22-15 Clasificación de los tumores odontogénicos © 2007 Editorial Médica Panamericana, S.A de C.V. Cisfarm
  • 727.
    C22 Patología decabeza y cuello 751 RELACIÓN AL EPITELIO DE TIPO SITIO MÚSCULO ECM REVESTIMIENTO PARED EDAD PACIENTE Branquial Lateral Anterior Escamoso o respiratorio Linfoide con centros 3a. década germinales Tirogloso Línea Sin Escamoso o respiratorio Folículos tiroideos 90% menores de 30 años Tímico Lateral Posterior Escamoso Corpúsculos de Hassall 3 a 6 años Linfangioma Difuso Sin Endotelio Tejido conectivo 90% menores de 3 años Ránula Difuso Sin Con frecuencia sin epitelio Células en anillo de sello Cualquier edad ECM: Músculo esternocleidomastoideo. TABLA 22-17 Características de los quistes del cuello © 2007 Editorial Médica Panamericana, S.A de C.V. Cisfarm
  • 728.
    © 2007 EditorialMédica Panamericana, S.A de C.V. Cisfarm
  • 729.
    23 Patología pediátrica Eduardo LópezCorella Cecilia Ridaura Sanz Patología pediátrica FIGURA 23-1. a) Hemorragia cerebral de la matriz germinativa con extensión parenquimatosa, que llena los ventrículos laterales y el tercer ventrículo, y b) forma un hematoma en la cisterna magna en este cerebro marcadamente inmaduro. (a) (b) © 2007 Editorial Médica Panamericana, S.A de C.V. Cisfarm
  • 730.
    754 Patología especial FIGURA23-2. Lesiones hipóxico isquémicas del cerebro neonatal. a) Leucomalacia peri- ventricular con licuefacción y degeneración quística. b) Otro caso con marcada degenera- ción multiquística, y c) la desaparición por necrosis de parte de la corteza formando una porencefalia. (a) (b) (c) © 2007 Editorial Médica Panamericana, S.A de C.V. Cisfarm
  • 731.
    C23 Patología pediátrica755 FIGURA 23-3. Enfermedad de membrana hialina pulmonar. Prominentes membranas hialinas revisten espacios aéreos inmaduros. © 2007 Editorial Médica Panamericana, S.A de C.V. Cisfarm
  • 732.
    756 Patología especial FIGURA23-4. Displasia broncopulmonar. Hay proliferación fibroblástica con fibrosis intersticial y evidencia de regeneración de epitelio alveolar dañado. © 2007 Editorial Médica Panamericana, S.A de C.V. Cisfarm
  • 733.
    C23 Patología pediátrica757 FIGURA 23-5. Enfisema pulmonar intersticial agudo. Como consecuencia de ruptura alveolar, el aire se extiende al intersticio formando espacios alargados. © 2007 Editorial Médica Panamericana, S.A de C.V. Cisfarm
  • 734.
    758 Patología especial (a)(b) FIGURA 23-6. a) Enfisema pulmonar intersticial agudo y b) persistente. En el enfisema agudo el aire diseca las estructuras de los tabiques formando espacios alrededor de vasos y bron- quios. En el enfisema persistente se agrega una reacción a cuerpo extraño con células multinucleadas. © 2007 Editorial Médica Panamericana, S.A de C.V. Cisfarm
  • 735.
    C23 Patología pediátrica759 FIGURA 23-7. Enterocolitis necrosante. Necrosis hemorrágica de la pared intesti- nal a) y evidencia de neumatosis con burbujas de aire visibles por la serosa b). (a) (b) © 2007 Editorial Médica Panamericana, S.A de C.V. Cisfarm
  • 736.
    760 Patología especial FIGURA23-8. a) Onfalitis en sepsis neonatal. Corte del ombligo con ulceración de la piel e infiltrado inflamatorio que se extiende a la profundidad y afecta la pared de vasos umbilicales. b) Corioamnionitis en sepsis neonatal. Placenta con infiltrado purulento en las membranas. (b) (a) © 2007 Editorial Médica Panamericana, S.A de C.V. Cisfarm
  • 737.
    C23 Patología pediátrica761 FIGURA 23-9. a) Infección cerebral neonatal por toxoplasma. Meningoencefalitis por toxoplasmosis neonatal con extensas zonas de necrosis del parénquima alrede- dor de la cisura de Silvio. b) Taquizoítos de toxoplasma en tejido cerebral. (a) (b) © 2007 Editorial Médica Panamericana, S.A de C.V. Cisfarm
  • 738.
    762 Patología especial FIGURA23-10. Hepatitis herpética. a) El hígado muestra focos de necrosis. b) En la histología, los focos de necrosis (izquierda) se delimitan del tejido hepático conservado (derecha). (a) (b) © 2007 Editorial Médica Panamericana, S.A de C.V. Cisfarm
  • 739.
    C23 Patología pediátrica763 FIGURA 23-11. Anancefalia con raquisquisis. En este caso se presentan tanto la ausencia de desarrollo encefálico como la falta de fusión del canal raquídeo en gran parte de su exten- sión. (a) (b) © 2007 Editorial Médica Panamericana, S.A de C.V. Cisfarm
  • 740.
    764 Patología especial FIGURA23-12. a) Mielomeningocele lumbar roto y b) mielomeningocele íntegro dorsolumbar gigante. (Cortesía del Dr. Fernando Rueda Franco). (b) (a) © 2007 Editorial Médica Panamericana, S.A de C.V. Cisfarm
  • 741.
    C23 Patología pediátrica765 FIGURA 23-13. Malformación de Arnold-Chiari. a) La combinación de un menin- gocele o mielomeningocele con hidrocefalia apunta a la presencia de esta malfor- mación con dilatación de las cavidades ventriculares b) hernia del cerebelo hacia el canal raquídeo con elongación y acodamiento del bulbo raquídeo. (a) (b) © 2007 Editorial Médica Panamericana, S.A de C.V. Cisfarm
  • 742.
    766 Patología especial (a) FIGURA23-14. Holoprosencefalia. Fusión de hemisferios cerebrales con ausencia de cisura interhemisférica. a) En el corte coronal del cerebro b) se confirma la fusión y la ausencia de cisura y de cuerpo calloso. (b) © 2007 Editorial Médica Panamericana, S.A de C.V. Cisfarm
  • 743.
    C23 Patología pediátrica767 FIGURA 23-15. Quiste broncogénico paratraqueal. El quiste comprime la tráquea y produce dificultad respiratoria. © 2007 Editorial Médica Panamericana, S.A de C.V. Cisfarm
  • 744.
    768 Patología especial FIGURA23-16. Malformación adenomatoide quística tipo II. El pulmón está sustituido por numerosos quistes pequeños y uniformes. © 2007 Editorial Médica Panamericana, S.A de C.V. Cisfarm
  • 745.
    C23 Patología pediátrica769 FIGURA 23-17. Secuestros pulmonares. a) Esquema. b) Secuestro intralobar. La porción superior, secuestrada, muestra retención de secreciones mucosas en bronquios. La porción inferior comunica normalmente con el árbol bronquial y la circulación pulmonar. Secuestro extralobar. c) Una porción de parénquima pulmonar, separado de los pulmones, se encuentra adherido al diafragma. (c) (b) Intralobar (a) SECUESTROS Extralobar © 2007 Editorial Médica Panamericana, S.A de C.V. Cisfarm
  • 746.
    770 Patología especial Atresiaproximal y fístula distal 90% Atresia sin fístula 8% Fístula sin atresia (en H) 4% Atresia distal fístula proximal < 1% Doble fístula < 1 % FIGURA 23-18. Espectro de malformaciones traqueoesofágicas. © 2007 Editorial Médica Panamericana, S.A de C.V. Cisfarm
  • 747.
    C23 Patología pediátrica771 (a) (b) FIGURA 23-19. Malformaciones anorrectales. a) Alta y b) baja. © 2007 Editorial Médica Panamericana, S.A de C.V. Cisfarm
  • 748.
    772 Patología especial FIGURA23-20. Enfermedad de Hirschsprung. Estrechamiento distal y marcada dilatación proximal visibles a) en la radiografía con medio de contraste y b) en la cirugía. (Cortesía del Dr. Luis de la Torre Mondragón). (a) (b) © 2007 Editorial Médica Panamericana, S.A de C.V. Cisfarm
  • 749.
    C23 Patología pediátrica773 FIGURA 23-21. a) Enfermedad de Hirschsprung, b) y c) plexos normales. Se encuentran gruesos troncos nerviosos (a) y están ausentes los plexos de Meissner (b) y de Auerbach (c) normales con sus células ganglionares. (Cortesía del Dr. Daniel Carrasco Daza). (c) (a) (b) © 2007 Editorial Médica Panamericana, S.A de C.V. Cisfarm
  • 750.
    774 Patología especial FIGURA23-22. Fibrosis hepática congénita. El hígado muestra bandas fibrosas bien delimitadas a) en cuyo seno hay conductos biliares hamartomatosos b). (a) (b) © 2007 Editorial Médica Panamericana, S.A de C.V. Cisfarm
  • 751.
    C23 Patología pediátrica775 FIGURA 23-23. Enfermedad de Caroli. Dilatación de conductos biliares intrahepáticos cerca del hilio. © 2007 Editorial Médica Panamericana, S.A de C.V. Cisfarm
  • 752.
    776 Patología especial FIGURA23-24. Atresia de vías biliares. a) El hígado verdoso por colestasis. La flecha supe- rior indica la vesícula biliar rudimentaria. Las sondas exponen el árbol biliar convertido en un cordón fibroso (izquierda) y la vena porta (derecha). b) Corte del colédoco resecado previo a cirugía de Kasai. Se aprecia inflamación y fibrosis en la pared engrosada. c) Cirrosis biliar. El hígado es firme y colestático. (a) (b) (c) © 2007 Editorial Médica Panamericana, S.A de C.V. Cisfarm
  • 753.
    C23 Patología pediátrica777 FIGURA 23-25. Hernia de Bochdalek. a) Asas intestinales ocupan el hemitórax izquierdo de un neonato. (Cortesía del Dr. Lorenzo F. Pérez Fernández). b) En una pieza de autopsia se aprecian asas intestinales rodeando al corazón (b) (a) © 2007 Editorial Médica Panamericana, S.A de C.V. Cisfarm
  • 754.
    778 Patología especial FIGURA23-26. Recién nacido con onfalocele. El cordón umbilical se implanta en el saco. © 2007 Editorial Médica Panamericana, S.A de C.V. Cisfarm
  • 755.
    C23 Patología pediátrica779 FIGURA 23-27. Recién nacido con gastrosquisis. El defecto de la pared, a la derecha del ombligo, permite la salida de asas intestinales. (Cortesía del Dr. Luis de la Torre Mondragón.) © 2007 Editorial Médica Panamericana, S.A de C.V. Cisfarm
  • 756.
    780 Patología especial FIGURA23-28. Aspecto microscópico de los tumores del grupo de neuroblastoma. a) Indiferenciado, con células pequeñas y uniformes sin evidencia de diferenciación. b) Ganglioneuroblastoma con datos de diferenciación neuronal. c) Ganglioneuroma con estroma shwanniano maduro y neuronas maduras. (a) (b) (c) © 2007 Editorial Médica Panamericana, S.A de C.V. Cisfarm
  • 757.
    C23 Patología pediátrica781 FIGURA 23-29. a) Retinoblastoma que ocupa la cavidad vítrea y se extiende al nervio ópti- co. b) Está formado por células pequeñas que sustituyen la retina, c) y forman rosetas. (a) (b) (c) © 2007 Editorial Médica Panamericana, S.A de C.V. Cisfarm
  • 758.
    782 Patología especial FIGURA23-30. Hepatoblastoma a) Aspecto macroscópico con sustitución extensa del parénquima hepático por un crecimiento tumoral heterogéneo. b) Aspecto microscópico de un hepatoblastoma mixto con alternancia de células epiteliales poco diferenciadas y tejido mesenquimatoso con depósito de osteoi- de, azul en esta tinción tricrómica. (a) (b) © 2007 Editorial Médica Panamericana, S.A de C.V. Cisfarm
  • 759.
    C23 Patología pediátrica783 FIGURA 23-31. Espectro histológico de los tumores neuroecodérmicos primi- tivos periféricos a). Tumor de Ewing, con células pequeñas y la característica necrosis de contorno cartográfico. En el recuadro, se aprecia la morfología celular uniforme. b) Tumor neuroectodérmico primitivo periférico, con células pequeñas invadiendo músculo esquelético. (b) (a) © 2007 Editorial Médica Panamericana, S.A de C.V. Cisfarm
  • 760.
    784 Patología especial FIGURA23-32. Espectro microscópico de los tumores germinales. a) Germinoma intracra- neano. b) Tumor de saco vitelino en testículo. c) Teratoma inmaduro con mezcla de tejidos bien diferenciados alternando con neuroepitelio primitivo. (a) (b) (c) © 2007 Editorial Médica Panamericana, S.A de C.V. Cisfarm
  • 761.
    C23 Patología pediátrica785 FIGURA 23-33. Teratoma sacrocoxígeo en un recién nacido. © 2007 Editorial Médica Panamericana, S.A de C.V. Cisfarm
  • 762.
    786 Patología especial FIGURA23-34. Histocitosis X. Las células de Langerhans muestran núcleos estriados y abundante citoplasma. © 2007 Editorial Médica Panamericana, S.A de C.V. Cisfarm
  • 763.
    C23 Patología pediátrica787 FIGURA 23-35. Histocitosis X. Tres gránulos de Birbeck en el citoplasma de una célula de Langerhans. Uno de ellos con la típica expansión “en raqueta”. (Cortesía del Dr. Rodolfo Rodríguez Jurado). © 2007 Editorial Médica Panamericana, S.A de C.V. Cisfarm
  • 764.
    788 Patología especial FIGURA23-36. Histocitosis X tipo Letterer Siwe con afección seboreica de piel de cráneo. © 2007 Editorial Médica Panamericana, S.A de C.V. Cisfarm
  • 765.
    C23 Patología pediátrica789 FIGURA 23-37. Histocitosis X. Lesiones osteoliticas. (a) en peñasco temporal (b) en fémur. (a) (b) © 2007 Editorial Médica Panamericana, S.A de C.V. Cisfarm
  • 766.
    790 Patología especial FIGURA23-38. Histocitosis X en ganglios periaórticos. © 2007 Editorial Médica Panamericana, S.A de C.V. Cisfarm
  • 767.
    C23 Patología pediátrica791 FIGURA 23-39. Glucogenosis I. Enfermedad de von Gierke. Hepatocitosis grandes de citoplasma claro y membrana plasmática reforzada. © 2007 Editorial Médica Panamericana, S.A de C.V. Cisfarm
  • 768.
    792 Patología especial FIGURA23-40. Glucogenosis II. Enfermedad de Pompe. Acumulación de glucógeno en neuronas. © 2007 Editorial Médica Panamericana, S.A de C.V. Cisfarm
  • 769.
    C23 Patología pediátrica793 FIGURA 23-41. Glucogenosis IV. (Amilopectinosis. Enfermedad de Andersen.) Amilopectina acumulada en hígado y fibrosis hepática avanzada. La amilopectina resalta con esta tinción de PAS. © 2007 Editorial Médica Panamericana, S.A de C.V. Cisfarm
  • 770.
    794 Patología especial FIGURA23-42. Enfermedad de Gaucher. a) Hígado con acumulación de mate- rial PAS positivo en células de Kupffer. b) Con el microscopio electrónico se aprecia el carácter fibrilar del material. (a) (b) © 2007 Editorial Médica Panamericana, S.A de C.V. Cisfarm
  • 771.
    C23 Patología pediátrica795 FIGURA 23-43. Enfermedad de Niemann Pick. a) Acumulación de material finamente vacuolar en el interior de hepatocitos y de células de Kupffer. b) Con el microscopio electrónico se aprecia la estructura laminar concéntrica del material acumulado. (a) (b) © 2007 Editorial Médica Panamericana, S.A de C.V. Cisfarm
  • 772.
    796 Patología especial FIGURA23-44. Mucoviscidosis. patología pancreática. a) Retención de secrecio- nes espesas en conductos pancreáticos con atrofia parenquimatosa y fibrosis. b) El páncreas está adelgazado y nodular. (a) (b) © 2007 Editorial Médica Panamericana, S.A de C.V. Cisfarm
  • 773.
    C23 Patología pediátrica797 FIGURA 23-45. Mucoviscidosis. patología pulmonar. a) Moco denso en glándulas traquea- les. b) Abscesos y bronquiectasias en pulmones. c) Neumonía purulenta con inflamación aguda en bronquiolos y alveolos pulmonares. (a) (b) (c) © 2007 Editorial Médica Panamericana, S.A de C.V. Cisfarm
  • 774.
    798 Patología especial FIGURA23-46. Mucoviscidosis neonatal ileo meconial. La luz intestinal está ocupada por meconio espeso que impide el tránsito del contenido intestinal. © 2007 Editorial Médica Panamericana, S.A de C.V. Cisfarm
  • 775.
    C23 Patología pediátrica799 Cardiopatías congénitas (conducto arterioso persistente, defectos septales, tetralogía de Fallot, estenosis pulmonar, otras) Hepatitis neonatal de células gigantes con fibrosis portal Cataratas bilaterales/coriorretinitis Sordera Sistema nervioso central: inflamación, necrosis, calcificación periventricular, meningoencefalitis, hidrocefalia, hidranencefalia TABLA 23-3 Síndrome de Rubeola UNIVERSALES Hepatoesplenomegalia Ictericia (hepatitis) Petequias (trombocitopenia) Meningoencefalitis Coriorretinitis y/o cataratas Anemia ESPECIALES Toxoplasma Lues Rubeola CMV Herpes Microcefalia + − + + + Hidrocefalia + − − + + Calcificación en SNC + − +/− + − Miocarditis + +/− − +/− − Neumonitis + + − +/− + Lesión ósea +/− + + +/− − Sordera +/− + + + − Exantema − + +/− − + (+/−) Se presenta en menos del 15% de los casos. TABLA 23-2 TORCH Manifestaciones clínicas Cerebro Hemorragia subependimaria/intraventricular Lesión hipóxico/isquémica Leucomalacia periventricular Necrosis neuronal Pulmón Enfermedad de membrana hialina Displasia broncopulmonar Enfisema pulmonar intersticial Intestino Enterocolitis necrosante TABLA 23-1 Patología de la prematurez Agangliosis total. Afecta todo el tubo digestivo. Rara, incompatible con la vida. Agangliosis enterocólica. Afecta intestino: todo o parte del intestino delgado y todo el colon. Rara. De difícil corrección quirúrgica, dependiendo de su extensión. Hirschsprung de segmento largo. Afecta todo el colon o extensas porciones del mismo. Enfermedad de Hirschsprung clásica. La zona agangliósica está situada en rectosigmoides. Es la forma habitual. Diversas técnicas bien establecidas de correción quirúrgica. Enfermedad de Hirschsprung de segmento corto. Afecta recto terminal. Enfermedad de Hirschsprung de segmento ultracorto. Afecta unión anorrectal. Se corrige por miotomía del esfínter rectal externo. TABLA 23-4 Espectro de agangliosis intestinal © 2007 Editorial Médica Panamericana, S.A de C.V. Cisfarm
  • 776.
    800 Patología especial NIÑOSPEQUEÑOS ESCOLARES ADOLESCENTES Blastomas Leucemias/linfomas Sarcomas óseos Teratomas Tumores cerebrales Linfomas/leucemias Rabdomiosarcoma Sarcomas Tumores cerebrales TABLA 23-6 Neoplasias frecuentes en los niños CENTRALES Intracraneales. Meduloblastoma Neuroblastoma cerebral Pinealoblastoma Ependimoblastoma Retinoblastoma Extracraneales. Neuroblastoma PERIFERICOS Tumor neuroectodérmico primitivo (PNET, neuroepitelioma) Tumor de Ewing TABLA 23-8 Tumores neuroectodérmicos primitivos MARCADORES DE DIFERENCIACIÓN EN ALGUNOS TUMORES Neuroblastoma. Formación de rosetas. Diferenciación neuronal. Estroma fibrilar. Marcadores neuronales. Prolongaciones citoplasmáticas con gránulos neurosecretores. Linfomas. Antígeno común leucocitario positivo. Marcadores T o B. TdT. Rabdomiosarcoma. Citoplasma "miógeno". Glucógeno en citoplasma. Desmina, miogenina y MyoD1 positivas. Miofibrillas con formación de bandas Z. Tumor de Ewing. Glucógeno en citoplasma. Marcador Ewing positivo (CD99). (MIC2). Neuroepitelioma/PNET. Marcadores neurales positivos. Marcador Ewing positivo (CD99). (MIC2). Tumor de células pequeñas desmoplásico. Marcadores de diferenciación divergente. TABLA 23-7 Tumores de células pequeñas y redondas en la infancia ONFALOCELE GASTROSQUISIS En el sitio del ombligo Al lado (usualmente derecho) del ombligo Vísceras en un saco Vísceras libres Ombligo se implanta en el saco Ombligo se implanta normalmente, al lado del defecto Diversas malformaciones asociadas Pocas malformaciones asociadas TABLA 23-5 Malformaciones de pared abdominal © 2007 Editorial Médica Panamericana, S.A de C.V. Cisfarm
  • 777.
    C23 Patología pediátrica801 DE CÉLULAS GERMINALES Germinomas Disgerminoma, de ovario Seminoma, de testículo DE ESTRUCTURAS EMBRIONARIAS Carcinoma embrionario Tumor de saco vitelino (tumor de senos endodérmicos, tumor de Teilum) DE POBLACIONES CELULARES TOTIPOTENCIALES Teratomas Maduro Inmaduro Maligno TABLA 23-10 Tumores germinales TABLA 23-9 Pronóstico de Neuroblastoma (NB) de acuerdo a sus características clínicas, biológicas y génetico moleculares NB FAVORABLE 1 copia Aneuploide Hiperdiploide No < 1 año I o II o IVS 95% CARACTERÍSTICA N-myc (MyCN) Citometria de flujo (DNA) Pérdida de la heterocigocidad en cromosoma 1p Edad Etapa clínica Supervivencia a tres años NB INTERMEDIO 1 copia Euploide Ocasional Cualquier III o IV 50-90% NB DESFAVORABLE amplificado Euploide Presente > 1 año III o IV < 15% © 2007 Editorial Médica Panamericana, S.A de C.V. Cisfarm
  • 778.
    802 Patología especial TIPOEPÓNIMO ENZIMA CLÍNICA PATOLOGÍA I von Gierke Glucosa-6-fosfatasa Hepatomegalia Glucógeno hepático Nefromegalia aumentado Hipoglicemia Esteatosis hepática II Pompe Amilo glucosidasa Cardiomegalia Glucógeno en lisosomas Hipotonía en hígado y músculo Macroglosia Afección neurológica III Forbes/Cori Enzima desramificadora Visceromegalia Glucógeno visceral Fibrosis hepática IV Andersen Amilopectinosis Cirrosis Cirrosis hepática Enzima ramificadora Afección neurológica Amilopectina multivisceral V McArdle Miofosforilasa Dolor y debilidad muscular Glucógeno en músculo VI Hers Hepatofosforilasa Hepatomegalia Glucógeno hepático Hipoglicemia leve irregular VII Tarui Fosfofructo cinasa Calambres Glucógeno en músculo muscular Mioglobinuria VIII Fosforilasa b Hepatomegalia Glucógeno en hígado cinasa hepática Deterioro neurológico y músculo. lipidemia Esteatosis IX Fosforilasa cinasa Hepatomegalia Glucógeno y lípidos hepática acentuada en hígado X Cinasa dependiente Hepatomegalia Glucógeno en hígado de AMP cíclico y músculo TABLA 23-11 Glucogenosis Entidades principales © 2007 Editorial Médica Panamericana, S.A de C.V. Cisfarm http://MedicoModerno.Blogspot.Com
  • 779.
    C23 Patología pediátrica803 TIPO EPÓNIMO ENZIMA INTELECTO IH Hurler a-l-iduronidasa Retraso IS Scheie a-l-iduronidasa Normal IIA Hunter Sulfoiduronato sulfatasa Retraso leve IIIA Sanfilippo A Heparan sulfato sulfatasa Retraso IIIB Sanfilippo B N-Acetil-a-O-glucosaminidasa Retraso IIIC Sanfilippo C Acetil CoA: a-glucosaminido N. acetiltransferasa Retraso IIID Sanfilippo D N-acetilglucosamino-6-sulfato sulfatasa Retraso IVA Morquio A b-galactosamina-6-sulfato sulfatasa Normal IVB Morquio B b-galactosidasa Normal V VI Maroteux- Lamy Arilsulfatasa B Normal con retraso tardía VII Sly b-glucuronidasa normal VIII glucosamina-6-sulfato sulfatasa Retraso TABLA 23-12 Mucopolisacaridosis principales © 2007 Editorial Médica Panamericana, S.A de C.V. Cisfarm
  • 780.
    © 2007 EditorialMédica Panamericana, S.A de C.V. Cisfarm