Ortopedia
Ortopedia y
Traumatología
Diagnostico y Tratamiento
Objetivos
•Que necesitamos para dar
Diagnósticos
•Historia clínica ortopédica
•Exploración ortopédica
•Métodos Diagnósticos de gabinete
•Tratamientos
Historia
clínica
Presentación para el
paciente
Interrogatorio dirigido
y presuntivo
Antecedentes
Motivo de consulta
Dolor
Sensación
incomoda
subjetiva e
individual
Tipos
evolución
y manejos
Local,
Referido,
Irradiado
Deformidad
Congénito
•Agudo
•Crónico
Adquirido
Exploración Física
Inspección
• Exploración respeto
• Protección personal
• Acompañamiento
• Protección legal
Palpación
Superficial
Profunda
Alteración de sensibilidad
o temperatura
Zonas de dolor
comparativa
Movilidad
fuerza
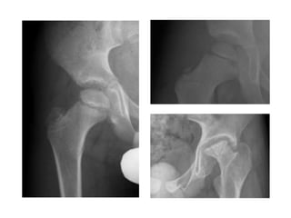
Evaluación Radiográfica
Principios generales
• Estudio de zona explorada
• Adecuada calidad
• Dos proyecciones
• Valorar todo el estudio, partes blandas y huesos
• Estudio comparativo en tiempo y espacio
Nivel de radio densidad
• Mayor radiodensidad
(radiopacos) → Menor
radiodensidad (radiolucido)
• Metal → Hueso → Agua
(músculo/grasa) → Aire
• Anatomía
• Diferencias
• Patrones
Que ven? Moteado Apolillado Permeativo
Goldstandar
• Aspectos que deben tenerse en cuenta ante una
lesión ósea
• • Tamaño.
• • Número (si la lesión es única o son múltiples lesiones).
• • Forma (si son alargadas o redondeadas).
• • Márgenes.
• • Trabeculaciones.
• • Calcificaciones.
• • Afectación cortical (si existe erosión, penetración o
expansión).
• • Respuesta perióstica (si está ausente, si hay capas
apuestas, si existe triángulo de Codman o en sol
radiante).
• • Localización en el hueso (si está en la diáfisis, en la
metáfisis o en la epífisis).
• • Localización en el esqueleto (axial, troncozonal o
periférica).
• • Posición en el hueso (central, cortical o parostal).
• • Patrón de destrucción ósea (geográfico, apolillado o
permeable).
Segmento anatómico Proyecciones más
habituales
Huesos largos AP, L
Mano AP, oblicuas
Muñeca AP, L, oblicuas
Codo AP, L
Hombro AP, transescapular,
transtorácica
Tórax PA, L, parrilla costal
Pelvis AP, outlet, inlet
Acetábulo AP, alar, obturatriz
Cadera AP, axial
Rodilla AP, L, oblicuas, axial
Tobillo AP, L, mortaja
Pie AP, oblicuas
Columna cervical AP, L, transoral,
nadador
Columna dorsal AP, L
Columna lumbar AP, L
Complementarios
Exámenes de laboratorio (p. ej., análisis de sangre y de orina,
análisis de líquido sinovial en las artritis inflamatorias, cultivo de
exudados en las infecciones, biopsias en los tumores, etc.).
• Exámenes eléctricos (p. ej., estudios de conducción nerviosa
en las lesiones de nervios periféricos, electromiografía en las
miopatías, etc.).
• Técnicas de imagen especiales (p. ej., tomografía
computarizada, ecografía, resonancia magnética, densitometría,
etc.).
• Técnicas de imagen funcionales (p. ej., gammagrafía ósea,
tomografía por emisión de positrones [PET], etc.).
Laboratorio
Resonancia
Magnética
•No irradiación
•Tiempo de estudio
Tomografía
• Delimita lesiones oseas y articulares complejas
• Bajo costo y rapido
Usg
• No invasivo
• Lesiones superficales
• Analgesia
EMG y
Gammagrama
Clasificación de las
fracturas
Evaluación inicial
Que hueso?
Que segmento óseo?
Que tipo de fractura?
Que tipo de mecanismo?
Que hueso?
Que segmento?
Que tipo de fractura?
Simple
Simpl
e
Tercer
fragme
nto
Bifocal
Que tipo de mecanismo?
• La fractura se produce en el sitio de impacto. Una contusión
ocasiona una fractura transversal generalmente con conminución,
dependiendo de la intensidad del impacto:
• Proyectil de arma de fuego.
• Arma blanca.
Directo
• La fractura se produce en un sitio distante a la al sitio del impacto.
Intervienen distintas fuerzas solas o combinadas y ocasionan
fracturas especificas:
• Flexión o inclinación (tensión y comprensión).
• Tensión pura.
• Compresión pura.
• Torsión, giro o torque.
Indirecto
Que tipo de esfuerzo?
Que tipo de esfuerzo?
• Flexión
• Cuando es sometido a dos fuerzas en la
misma dirección pero en sentido
contrario, sufre un momento de flexión y
descompone en dos fuerzas diferentes:
tensión en una cortical y compresión en
la cortical opuesta. El hueso cortical
soporta mejor fuerzas compresivas, por
lo que generalmente se rompe por
aumento en la fuerza de tensión. En
niños ocasiona las fracturas en rama
verde y en adultos una fractura lineal,
transversa u oblicua, casi siempre con
un tercer fragmento pequeño en cuña.
• Tensión
• Tracción de un musculo o ligamento al
hueso que se inserta y le provoca una
Que tipo de esfuerzo?
• Compresión
• Fuerza centrípeta, axial, sin flexión. Hueso
esponjoso. Fracturas por aplastamiento,
hundimiento, estallido. En niños se presenta
como una fractura en rodete o torus.
• Torsión
• Dos fuerzas de rotación en sentido contrario
alrededor de un eje y ocasiona fracturas
helicoidales o espiroideas.
• Cizallamiento
• Dos fuerzas paralelas en sentido contrario
que desplazan al hueso siguiendo el plano
de las fuerzas.
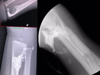
Clasificacion basica
• General descriptiva
• Se determinan todas las características de la fractura, tanto en forma clínica como
radiográfica y se enumeran adecuadamente. Útil cuando se trata de describir una
fractura en una radiografía.
• Winquist y Hansen para fracturas diafisarias.
• Valora el tamaño del tercer fragmento.
• AO para fracturas metafisarias.
• Para determinar si es articular y que severidad tiene.
Por su mecanismo de
produccion
• Directo
• Golpe leve
• Fracturas transversas sin leison
importante en partes blandas.
• Aplastamiento
• Mecanismo intenso, ocasiona extenso
daño a hueso y tejidos blandos.
• Penetrante
• Puede ser por arma de fuego o arma
blanca. Las heridas PAF pueden ser de
alta velocidad y baja velocidad y varían
en la severidad de la lesión ósea y
partes blandas.
• Indirecto
• Tracción
• Torsión
• Flexión
• Compresión
• Cizallamiento
Por su relación con el
medio externo
1
2
3
A
B
C
Por su etiologia
• Habitual
• Fuerza externa suficiente para producir lesión sobre
un hueso sano.
• Terreno previamente dañado
• Producida por un truama leve o por contracción
muscular sobre un hueso frágil.
• Fatiga
• Fuerza de baja intensidad de forma repetitiva.
Por la intensidad del
truamatismo
• Baja energía
• Con mínima lesión a partes blandas.
• Alta energía
• Severa lesión alrededor de la fractura
Por las lesiones
agregadas
• Simple
• Sin lesiones asociadas.
• Complicada
• Fractura-luxación
• Lesión vascular
• Lesión neurológica
• Expuesta
Por el grado de estabilidad
• Estables
• Fracturas alineadas, simples.
• Inestables
• Conminutas, varios fragmentos, desplazadas.
Por su extension
• Completa
• Incompleta
• Rama verde
• Rodete o torus
Por la relación entre los
fragmentos
• Alineada
• Desplazada
Por su relación con la
articulación
• Extraarticular
• Intraarticular
Por su localizacion
• Epífisis
• Metafisis
• Diáfisis
• Proximal, medio, distal
• Combinadas
• Especificas
Por su configuracion
• Transversa
• Oblicua
• Corta o larga
• Espiroidea o helicoidal
Por el numero de
fragmentos
• Bifragmentaria o simple
• Trifragmentaria o en cuña
• Cuña simple, cuña de torsión
• Conminuta
• Segmentaria
Lesión fisaria
Lesión fisaria
Lesión fisaria
Lesión fisaria
I. Fractura metafisaria
que se extiende hasta
la fisis.
II. Deslizamiento de la
fisis. Salter I.
III. Deslizamiento de la
fisis hacia la metafisis con
triangulo de Truston-
Holland. Saltera II.
IV. Transfisaria. Salter III.
Tratamientos
•Médico
•Quirúrgico
Tx Médico
•Control de daños
•Manejo de Dolor
•Inmovilización adecuada
•Grados de desplazamiento
•Tipo de lesión
Crecimiento y
ortesis
Inmovilización de
fracturas
Técnica básica: normas generals
Estar seguro del diagnóstico
Retirar sortijas, pulseras y demás de miembro afecto
Valoración del material necesario
Colocar el miembro afectado
Proteger las prominencias óseas
Vendar desde la zona distal a la proximal, de
articulación a articulación
Evitar arrugas y giros de venda
Dar dos vueltas al comenzar el vendaje
Un vendaje aplicada incorrectamente no sólo dejará de
cumplir su función, sino que puede provocar
complicaciones graves.
Tx
Quirúrgico
Traumático
Crónico
Degerativo
Traumático
• Evaluar personalidad de
la fractura
• indicaciones absolutas y
relativas
• Historia del paciente
Urgencia en Ortopedia
• Fracturas expuestas, fracturas con lesión fisiaria
• Artritis Séptica
• Síndrome compartimental
• Luxaciones Irreductibles
• Politrauma inestabilidad pélvica o espinal
• Tratamientos quirurgicos basicos
Tratamientos
avanzados
12.08.20
FOLLOW UP
FOLLOW UP
FOLLOW UP
FOLLOW UP
FOLLOW UP
FOLLOW UP
FOLLOW UP
FOLLOW UP
25.09.21
FOLLOW UP
17.11.20 25.11.20
FOLLOW UP
25.01.21
FOLLOW UP
18.03.2021
FOLLOW UP
18.03.2021
19.03.21
19.03.21
19.03.21
13.05.21
19.03.21
13.05.21
19.03.21
27.05.21
INFECCIONES
OSTEOARTICULARES
OSTEOMIELITIS Y ARTRITIS
PIOGENA.
CONCEPTOS ACTUALES DE
TRATAMIENTO ORTOPÉDICO.
DR. José Antonio Delgado Pérez
INSTITUTO NACIONAL DE PEDIATRÍA.
Epidemióloga
• Incidencia 0.2 a 1.6/1000
niños por año
• Mayor presentación en
hombres 2:1
• Países en vías de desarrollo
OSTEOMIELITIS
• Clasificación.
OSTEOMIELITIS
• TIPOS:
• Aguda
• Crónica.
Aguda
• Más frecuente en menores de 5 años.
• Staphylococcus aureus (70%-90%)
• Otros organismos.
• Inmunocompromiso.
• Hospitalización prolongada y procedimientos
invasivos.
Aguda
• Clasificación:
• Hematógena.
• Directa.
• Foco contiguo
Aguda
• CUADRO CLÍNCIO
• Fiebre, letargo, irritabilidad, poco apetito.
• Calor, eritema, dolor y edema (en zona de lesión).
• Preguntar por trauma localizado e infecciones recientes.
• Descartar otras patologías.
Aguda
• FISIOPATOLOGÍA.
• Regiones metafisarias de huesos largos. 75%
• fémur 29% Tibia 22%
• húmero 12% peroné 5%
• radio 4% cúbito 3%
Aguda
• Otitis Media
• Sinusitis
• Faringitis.
Aguda
• Radiografías
• Laboratorios (BH completa, VSG,
PCR)
• Resonancia Magnética.
• Gammagrafía
Aguda
• Tratamiento antibiótico no
especificó
• Tratamiento específico
después del cultivo
• Tratamiento quirúrgico en
expuestas (17% de
recurrencia)
• Seguimiento con BH, PCR y
VSG
Aguda
Aguda
• Complicaciones:
• Infección crónica
• necrosis avascular
• trombosis venosa
• embolismo pulmonar
• alteraciones multisistémicas
Crónica
• Necrosis ósea,
• Secuestros e involucros
• Defectos óseos segmentarios
Crónica
• Secundario a un
diagnóstico tardío de una
Osteomielitis aguda o a un
mal manejo.
• Antibiótico adecuado por
tres semanas o menos.
Crónica
• S. Aureus.
• Tibia
• Fémur y húmero
Crónica
• Erradicar el organismo
causal
• Eliminar el tejido
destruido e inflamatorio
• Restaurar la función
anatómica.
Crónica
• TRATAMIENTO
• Antibióticos
• Desbridamiento (promedio 3)
• Manejo de secuelas
• injertos, transportes óseos.
Crónica
• COMPLICACIONES
• RECURRENCIA .....
• Deformidades angulares, pseudoartrosis,
• Edema, dolor y hasta luxaciones articulares.
Tratamiento
médico
• Aguda ... intravenoso
• Crónico .... 3 fases
• Cirugia legrado óseo
• Antibióticos sistémico 4 a 6 semanas
• Antibióticos local
ARTRITIS SEPTICA
Epidemiología
• Más común que la Osteomielitis 2-
1.
• 70% niños de 1 a 5 años (50%
menores de 2 años)
• 94% monoarticular
Epidemiología
• Cadera 41% rodilla 23%
• Tobillo 14% codo 12%
• Muñeca 4% hombro 4%
Epidemiología
Fisiopatología
• Siembra hematógena de la sinovial
durante la bacteremia.
• Osteomielitis adyacente.
• rodilla 31% cadera 23%
tobillo 18% codo 14%
Evaluación
• Radiografías
• BH, PCR VSG, tiempos
• En cadera tomar ultrasonido.
• DX DIFERENCIALES
• Sinovitis transitoria, artritis reactiva, neoplasias,
trauma, Perthes,
Evaluación
• CRITERIOS DE KOCHER
• fiebre mayor a 38.5
• sin apoyo
• leucocitos mayor a 12,000
• VSG mayor a 40 mm/h o PCR mayor a 10
Diagnóstico
• Punción
• Tinción de Gram y cultivo
• leucocitos arriba de 50,000 mm3 (polimorfonucleares)
• Proteínas
• baja concentración de glucosa (menos 30% sérico.)
Tratamiento
• Antibióticos. (Similar a osteomielitis)
• 4 semanas
Tratamiento
Tratamiento
Complicaciones
• Sepsis
• Artrofibrosis
• Artrosis prematura
• Osteonecrosis (fémur próximal)
• Infección persistente.
SINOVITIS TRANSITORIA
LEGG CALVE PERTHES
ARTRITIS SEPTICA
Diagnóstico diferencial ... PERLAS dolor en
CADERA
• Diferenciar causas de dolor en
la cadera del paciente
pediatrico
• No retrasar Diagnósticos de
Urgencia
• Diferenciación clínica
Sinovitis Transitoria
• Causa mas común de dolor en cadera
• 3 - 8 años
• LADO DERECHO >>>
• Masculino >> 2:1 Femenino
Artritis Séptica
• Urgencia en Ortopedia
• Daño y destrucción de
cartílago articular irreversible
• lesión a la cadera en horas
(mayor a 8 hrs)
• inoculación hematogena o por
contigüidad
• Mas común en neonatos
>2años
• focos múltiples …
Legg Calve Perthes
• 1910.
• Etiología ? NAV
• Masculino 4>1 Femenino
• Bilateral 20% = 18 meses
• 3 - 10 años
Presentación Clínica
• Dolor
• AS/St moderado a severo
• Perthes nulo a moderado
• *todos los pacientes con dolor en la rodilla deben de ser explorados de la cadera
• Marcha
• AS/St negación
• Perthes Trendelemburg
• *fase corta de apoyo de miembro pélvico afectado
• Fiebre
• AS > 38
• St =< 38
• Perthes +/-
Movimiento
• AS
• Nulos
• At
• moderados con limitación
• Perthes
• Normales, Limitación de
rotación interna y flexión
Presentación Clínica
Laboratorio
Criterios de Kocher
Recordar
• Manejo multidisciplinario
• Manejo quirúrgico prioritario ... artritis séptica es urgencia
• Valoración neonatal
• Siempre tomar cultivos
• Cualquier niño que niega el apoyo tiene que ser referido
• Signos vitales >38 +++
• Rangos de Movilidad
• Criterios
.???
Dr. José Antonio Delgado Pérez
ortoblastos@gmail.com
55 2341 4920
ARTICULACIONES
EQUIPO 1:
ANDRÉS AMAYA, TOMÁS AÑEZ Y
GABRIEL HENRÍQUEZ
TRAUMATOLOGÍA Y ORTOPEDIA
¿Que es una articulacion?
Union y/o punto de giro entre dos
o mas huesos que permite crear
unidades funcionales cinematicas.
VASCULARIZACION E INERVACION ARTICULAR
Arterias articulares se originan de
anastomosis arterial periarticular y
son acompañadas de venas
satelites
Nervios articulares provienen de ramas que
tambien inervan piel y musculo adyacente
(Ley de Hilton). Nociceptores comunes en
membrana fibrosa y en ligamentos asociados,
membrana sinovial insensible. Producen
propiocepcion.
PLANOS Y EJES ANATOMICOS
Planos en los cuales
una articulación tiene
libertad de movilidad.
Existen 1, 2 y 3 GL.
Grados de libertad
OSTEOCINETICA
Estudio de
movimientos de una
articulación respecto a
un eje anatómico. Son
macromovimientos
Rodar
Deslizar
Rotar
Estudio de movimientos
de articulaciones
intrínsecamente, sin
tomar en cuenta ejes
anatómicos o huesos
ARTROCINEMATICA
ARTROCINEMATICA
ARTROCINEMATICA
ARTROCINEMATICA
Movimiento de rodadura es en
la misma dirección que la
osteocinemática
Dependiendo si la superficie
articular del componente
móvil es:
Convexa, se desliza en
sentido contrario que la
rodadura
Cóncava, se desliza al
mismo sentido que la
rodadura
Regla Cóncavo-Convexo
1.
2.
a.
b.
Capa de cartílago (hialino)
Cápsula articular (membrana
sinovial y membrana fibrosa
externa)
ARTICULACIONES
SINOVIALES
TIPOS DE ARTICULACIONES
Planas: Acromioclavicular
Bisagra: Humerocubital
Esférica: Coxofemoral
Tipos:
TIPOS DE ARTICULACIONES SINOVIALES
Pivote: Atlantoaxial
Bicondílea: Tibiofemoral
Condílea: Radiocarpiana
En silla de montar:
Carpometacarpiana del pulgar
Tipos:
TIPOS DE ARTICULACIONES SINOVIALES
TIPOS DE ARTICULACIONES
FIBROSAS
CARTILAGINOSAS
ARTICULACIONES
SÓLIDAS
Lesiones de meniscos y fibrocartílagos
Tejido con características intermedias
entre el tejido conjuntivo denso y
cartílago hialino.
Ubicado en discos IV, puntos en los
que algunos tendones y ligamentos se
insertan en los y en la sínfisis del pubis.
Siempre está asociado a TCD y sus
límites son imprecisos
Lesiones de meniscos y fibrocartílagos
Discos IV
Labrum (Glenoideo y cadera)
Fibrocartílago triangular
Meniscos
Lesiones en fibrocartílagos
Lesiones de meniscos y fibrocartílagos
Discos intervertebrales
Deshidratación del disco
Protrusión de disco
Hernia discal
Hernia central (posterior).
Produce dolor bilateral.
Hernia lateral. Produce dolor
unilateral.
Hernia posterolateral
Hernia axial
Artrosis
Lesiones en fibrocartílagos
Lesiones de meniscos y fibrocartílagos
Labrum glenoideo (Rodete)
85% de los pacientes > 50 años
presentan degeneración.
SLAP (Superior Labrum Anterior and
Posterior)
Lesión de Banckart (ALPSA):
desgarro del labrum asociado a
lesión anterior
Etiología
Compresión
Tracción brusca del miembro
superior
Microtraumatismos repetidos en
abducción y rotación externa
Lesiones en fibrocartílagos
Lesiones de meniscos y fibrocartílagos
Labrum de cadera
Desgarro
Artrosis
Etiología
Traumatismos (choque
femoroacetabular)
Movimientos repetitivos
(actividades deportivas
provocan desgaste natural)
Problemas de alineación de la
articulación de la cadera
Lesiones en fibrocartílagos
Lesiones de meniscos y fibrocartílagos
Fibrocartílago triangular: principal
componente estabilizador de la
articulación radioulnar distal
Fractura: Se puede fracturar en
combinación con fractura de
radio distal
Común en caídas con
hiperextensión
Maniobras de provocación del
dolor
Test de Grind
Test de compresión
Test del Meniscoide o Waiter
Lesiones en fibrocartílagos
Lesiones de meniscos y fibrocartílagos
Fibrocartílago triangular
Clasificación de Palmer (1989): Traumáticas o
degenerativas + localización
Clasificación de Atzei: Valoración de la
repercusión clínica y funcional de la lesión
Lesiones en fibrocartílagos
Lesiones de meniscos y fibrocartílagos
Lesiones meniscales tienen 3 planos
Plano vertical
Longitudinales: Simples o en Asa de
balde
Transversales
Oblicuas
Horizontal: Roturas en boca de pez
Combinadas
Pedunculadas
En pico de loro
Formas más frecuentes son las
longitudinales en asa de balde, las cuales
son responsables del bloqueo articular y
predominan en menisco interno.
Formas transversales predominan en
menisco externo y no producen bloqueo
Meniscos
Lesiones de meniscos y fibrocartílagos
Lesiones meniscales tienen 3
planos
Son frecuentes en adultos
jóvenes, relacionada con la
práctica de deportes como
fútbol, tenis y esquí.
Mecanismo:
Se producen por rotación
con la rodilla en flexión
Menisco queda atrapado
entre cóndilos femorales y
platillos tibiales
Zonas frecuentes de lesión
son las de mayor fijeza=
menisco interno, cuerno
posterior
Meniscos
Lesiones de meniscos y fibrocartílagos
Lesiones meniscales
Lesión aguda
Dolor intenso acompañado
de crujido o desgarro a la
palpación. Evidente en la
interlínea articular
Derrame articular
Bloqueo articular
Lesión crónica
Dolor impreciso
Inestabilidad articular
Incapacidad para
actividades de mayor
exigencia física
Derrame articular ocasional
Chasquidos
Meniscos
Lesiones de meniscos y fibrocartílagos
Diagnóstico diferencial
Meniscos discoideos
Quistes de meniscos
Tratamiento
Lesión aguda
Reposo absoluto
Analgésicos
Calor o frío local
Rehabilitación
Lesión crónica
Cirugía artroscópica
Meniscorrafia
Menisectomía parcial
Meniscos
Ximena Avelar Villaseñor
Carla Soto Lopez
Mauricio Aguilar Jonapá
Artritis Reumatoide
¿Qué es la artritis reumatoide?
La artritis reumatoide es una enfermedad inflamatoria crónica sistémica de etiología
incierta, caracterizada por una poliartritis erosiva simétrica que produce una
incapacidad progresiva. Se caracteriza por su curso variable y prolongado, con
exacerbación y remisión de los dolores articulares y tumefacción que conducen a
deformidades progresivas.
● Se manifiesta con frecuencia entre los 60 y 75 años.
● Relación mujer:hombre de 3:1
● Presentación característica: dolor y rigidez en las articulaciones pequeñas de las
manos y los pies.
Patología clínica
● Predisposición genética.
● Infecciones que causan una activación
inmunitaria y respuesta cruzada con
antígenos endógenos en la sinovial y en otros
tejidos.
● Variantes HLA DR4 y DR1, y otros genes
implicados en la respuesta inmunitaria.
● Tabaquismo.
→ Embarazo es un efecto protector.
Histológicamente se puede observar inflamación
sinovial con infiltrado de linfocitos, polimorfonucleares
y macrofagos con hipertrofia sinovial → Estas celulas
liveran TNF, IL-1, IL-6, RANKL (activadores de
osteoclastos e incremento de proteasa) → Degradacion
de ligamentos, tendones, huesos y cartilagos.
Presentación
Al inicio se presenta como:
● Dolor.
● Rigidez (Mañana >1hr de duración).
● Tumefacción sinovial y dolor en la palpación con
aumento de temperatura de las articulación
afectadas.
Deformidad articular con el paso del tiempo en las:
● Manos.
● Muñecas.
● Pies.
● Otros.
La evolución clínica con empeoramiento y remisiones.
Manifestaciones extraarticulares
● Fiebre, cansancio y pérdida de peso.
● Nódulos reumatoides.
● Escleritis y queratoconjuntivitis.
● Ojos y boca seca (síndrome Sjogren).
● Pericarditis y pleuritis.
● Fibrosis pulmonar y nódulos pulmonares.
● Anemia.
● Amiloidosis (infrecuente).
● Vasculitis (infrecuente).
● Síndrome de Felty (infrecuente), con
esplenomegalia, leucopenia, adenopatía,
anemia y trombocitopenia.
Criterios de diagnóstico
El dx de la AR se debe realizar basándose en la historia clínica, la
exploración radiográfica y los hallazgos de laboratorio, después de
descartar otras enfermedades
Se asignan puntos a criterios clínicos individuales y, si la puntuación
supera seis puntos, se confirma el diagnóstico de AR.
Criterios diagnósticos del ACR/EULAR 2010.
Pruebas complementarias
- Análisis de sangre ordinarios: anemia
normocítica normocrómica, trombocitosis,
VSG alta, CRP alta, ALP ligeramente alta.
- Análisis inmunológicos: AAPC positivos y/o
RF positivo (70-75%)
- Líquido sinovial: estéril y turbio con
aumento del número de leucocitos y
viscosidad baja.
- Pruebas de imagen: osteoporosis y
erosiones periarticulares en las radiografías.
La ecografía y la RM no se utilizan
habitualmente, pero pueden ser útiles para
detectar sinovitis subclínica y erosiones
incipientes que no son visibles en las
radiografías.
Imagenología
El primer signo radiográfico de afectación reumatoide es
la osteopenia local, y con la progresión de la
enfermedad, aparecen erosiones y quistes. Aunque no
es frecuente, en ocasiones se observa destrucción
articular masiva
- Aumento de las partes blandas a expensas de la
hipertrofia sinovial y el derrame articular
- Etapas tardías: Se observan luxaciones o
subluxaciones articulares, sobre todo en manos y
pies. La anquilosis ósea, propia de las muñecas y
tobillos, es difícil de observar.
Tratamiento
Fármacos antirreumáticos
modificadores de la enfermedad
Fármacos antirreumáticos
biológicos
-Metotrexato
-Azatioprina
-Sulfasalacina
-Inhibidores del TNF
-Tratamiento antilinfocitos B
-Tratamiento anti IL-6
OSTEOARTRITIS
Ana Gabriela Andrade Anzola ID 00439035
Mauricio Ramirez Ávila ID 00455836
Angeles Denisse Palmero Lanz ID 00407734
REVISIÓN DE CIENCIAS
BASICAS
Osmosis - Osteoarthritis: Video, anatomy, definition & function | osmosis.
OSTEO-ARTR-ITIS
Trastorno degenerativo crónico de
articulaciones relacionado con edad, se
produce un ablandamiento progresivo y
destrucción del cartílago articular.
Suele acompañarse de osteofitos (espolones
óseos), formación de quistes subcondrales,
sinovitis leve y fibrosis capsular.
Factores de riesgo: edad avanzada,
traumatismo articular, ocupación (futbolistas-
rodilla), obesidad, tabaquismo, sexo femenino,
antecedentes familiares post-ovicio.
Aunque hay algunos signos de inflamación, no
se trata principalmente de una artritis
inflamatoria.
HUESO CARTÍLAGO ARTICULAR INFLAMACIÓN
Osmosis - Osteoarthritis: Video, anatomy, definition & function | osmosis.
Mohindra M, Jain JK. Fundamentals of orthopedics. 2nd ed. New Delhi, India: Jaypee Brothers Medical; 2017.
Consejo de Salubridad General. Diagnóstico y tratamiento de osteoartrosis en rodilla GPC. México: Gobierno Federal; 2014.
FACTORES
DE
RIESGO
Desequilibrio entre reparación normal del cartílago
y la degeneración (mediada por condrocitos), que
conduce a la pérdida de cartílago, también
participan citocinas (IL1, TNF-alfa)
La pérdida de cartílago es asimétrica
(por ejemplo, en la rodilla, el compartimento medial se
afecta con más frecuencia que el lateral)
Una vez que se pierde el cartílago, los huesos
comienzan a frotarse entre sí (eburnación).
El hueso subcondral muestra marcada actividad
osteoblástica que se presenta como esclerosis
subcondral.
Articulaciones comúnmente afectadas:
Rodilla (la más común)
Cadera, DIP (interfalángica distal)
PIP (interfalángica proximal)
PATOLOGÍA
Osmosis - Osteoarthritis: Video, anatomy, definition & function | osmosis.
Mohindra M, Jain JK. Fundamentals of orthopedics. 2nd ed. New Delhi, India: Jaypee Brothers Medical; 2017.
Columna lumbosacra
Articulación
metatarsofalángica
Dolor articular asimétrico que se agrava con el esfuerzo y se alivia con el reposo
(posibles causas: inflamación sinovial, espasmo muscular, microfracturas,
estiramiento del nervio perióstico, distensión por derrame articular)
Dolor en las articulaciones que comenzó en una articulación aislada, rango de
movimiento limitado. (sobre todo la flexión)
Rigidez en periodos de inactividad, dificultad para realizar actividades diarias
(rigidez mínima matutina= menos de 30m)
Sin síntomas sistémicos
Aumento de volumen intermitente que no es mayor al doble del tamaño articular
No se acompaña de aumento de temperatura o de cambio de coloración.
Crepitación ósea
Sonido que se produce cuando dos superficies óseas rozan o se mueven entre sí
CARACTERÍSTICAS CLÍNICAS
Mohindra M,
Jain JK.
Fundamental
s of
orthopedics.
2nd ed. New
Delhi, India:
Jaypee
Brothers
Medical;
2017.
Go A. First
aid for the
USMLE step
2: A student-
to-student
guide.
Stamford, CT:
Appleton &
Lange; 2022.
The pain is typically aggravated on
exertion and relieved on taking rest
unlike rheumatoid and other
inflammatory arthritis
Mohindra M, Jain JK. Fundamentals of orthopedics. 2nd ed. New Delhi, India: Jaypee Brothers
Medical; 2017.
Go A. First aid for the USMLE step 2: A student-to-student guide. Stamford, CT: Appleton &
Lange; 2022.
Carpometacarpal (CMC)
CARACTERÍSTICAS CLÍNICAS
Fig. Osteofitos marginales
seagull wings sign:
Estrechamiento
irregular del
espacio articular y
osteofitos
marginales de las
articulaciones IP
que se asemejan a
una gaviota
voladora.
01
Dolor
EVA
Índice de
WOMAC
The Knee Society Clinical
System
AMICAL
Kellgren y
Lawrence
Clasificación Ahlback
Historia familiar, factores de riesgo de osteoartrosis
Rigidez articular matutina < 1 hr, promedio < 30 min.
Dolor articular intenso que incrementa con la
bipedestación prolongada, al inicio de la marcha, al
subir escaleras y que disminuye con reposo
Dolor y espasmo muscular
Deformidades óseas, contractura, rigidez y
crepitación de la rodilla al movimiento.
Derrame articular sin aumento de temperatura.
CRITERIOS DIAGNÓSTICOS
ANTECEDENTES Y DATOS CLÍNICOS
02 EVALUACIONES
Instituto Mexicano del Seguro Social. Prevención,
Diagnóstico y Tratamiento de Rehabilitación en el
Paciente Adulto con Osteoartrosis de Rodilla en los Tres
Niveles de Atención. México: Gobierno Federal; 2014.
Grave
CRITERIOS DIAGNÓSTICOS
KELLENGREN Y LAWRENCE
AHLBACK
Instituto Mexicano del Seguro Social. Prevención, Diagnóstico y Tratamiento de Rehabilitación en el Paciente Adulto con
Osteoartrosis de Rodilla en los Tres Niveles de Atención. México: Gobierno Federal; 2014.
03
CRITERIOS DIAGNÓSTICOS
RAYOS X
Disminución del espacio articular
Asimétrica, medial > lateral
Esclerosis subcondral
Quiste subcondral
Osteofitos
Cuerpos libres
Etapas avanzadas:
Deformaciones articulares Heberden nodes
and Bouchard nodes
Subluxación articular
HALLMARK´S RADIOLOGICAL FEATURES
04
AP y lateral
Pérdida del espacio
articular, Osteofitos,
Esclerosis subcondral
05
LABS
ESR:
Tasa de sedimentación
eritrocítica
C-reactiva normal
Ácido úrico normal
Niveles (elevados)
homocisteína
Arthrocentesis
"aspiración articular"
Mohindra M, Jain JK. Fundamentals of orthopedics. 2nd ed. New Delhi, India: Jaypee Brothers Medical; 2017.
Instituto Mexicano del Seguro Social. Prevención, Diagnóstico y Tratamiento de Rehabilitación en el Paciente Adulto con Osteoartrosis de Rodilla en los Tres Niveles de Atención. México: Gobierno Federal; 2014
MRI
CT
Lesiones óseas
Espacio articular
Presencia de derrame articular
Alteraciones del retináculo
Permite evaluar tejidos blandos:
retináculos, tendón patelar y tróclea,
osteofitos, líquido articular, lesiones
meniscales y la superficie subcondral
Relación tróclea-patela y las
estructuras blandas.
Modificaciones en el estilo de vida, fisioterapia para mejorar la
fuerza muscular
Aplicación de calor (termoterapia)
AINES a corto plazo: 1st line Acetaminophen e Inhibidores
específicos de COX-2 (citocromo oxidasa)
Paracetamol (menos efectivo que AINES- 1ra linea en guia de
práctica clínica MX)
Opiaceos: para px contraindicados con AINES
Inyecciones de ácido hialurónico intra-articular (actúa como
colchón, 2da línea)
esteroides (menos recomendados), duloxetina?
ESTRECHAMIENTO DEL ESPACIO ARTICULAR
NO FARMACOLÓGICO
FARMACOLÓGICO
Masoterapia con hielo
Crioterapia
Pérdida de peso
Ejercicios aeróbicos, acuáticos
Compresas húmedo calientes
Luz infraroja
Parafina
Fluidoterapia
no respondedores, lavado y desbridamiento
artroscópicos, osteotomía tibial alta
(excelente cuando solo se pierde el espacio
articular medial)
OPCIÓN QUIRÚRGICA
Instituto Mexicano del Seguro Social. Prevención, Diagnóstico y Tratamiento de Rehabilitación en el
Paciente Adulto con Osteoartrosis de Rodilla en los Tres Niveles de Atención. México: Gobierno
Federal; 2014
.
Mohindra M, Jain JK. Fundamentals of orthopedics. 2nd ed. New Delhi, India: Jaypee Brothers
Medical; 2017.
TRATAMIENTO
Dependiendo del avance de la enfermedad: (Calificación de Ahlback para OA de rodilla)... ETAPAS I,II,III
I
II
III
ESPACIO ARTICULAR AUSENTE
(UNA VEZ COMPLETADA LA PÉRDIDA DEL
CARTÍLAGO)
PÉRDIDA ÓSEA: REEMPLAZO TOTAL DE LA
ARTICULACIÓN
GRACIAS!
LESIONES MUSCULARES
Karen Jiménez – CuauhtémocArellano –Yesenia Canche
EL MÚSCULO HUMANO
Aproximadamente el 40% del cuerpo humano está conformado por músculo, en
nuestro cuerpo, se diferencian tres tipos de músculos o fibras.
• Esquelético
• Liso
• Cardiaco
El cuerpo humano tiene alrededor de 600 músculos esqueléticos que le ayudan a mover
sus huesos y diversas estructuras que le permiten desarrollarse e interactuar con su
medio.
Hall JE. Guyton& Hall. Tratado de fisiología médica. Capitulo 6 P. 77 (Edición 14th). [Reino Unido]:ElsevierLimited (UK);
2021.
ANATOMÍA FISIOLÓGICA DEL
MUSCULO ESQUELÉTICO
Los músculos esqueléticos están
conformados por muchas fibras las cuales
tienen un diámetro que varía entre 10 y
80 μm. Cada una de estas fibras está formada
por subunidades cada vez más pequeñas
llegando desde lo macroscópico hasta lo
molecular.
Las miofibrillas están formadas por
filamentos de actina y miosina. Cada fibra
muscular tiene de cientos a miles de
miofibrillas.
Los filamentos de actina y miosina son
responsables de la contracción muscular.
Hall JE. Guyton & Hall. Tratado de fisiología médica. Capitulo 6 p.78 (Edición
14th). [Reino Unido]: Elsevier Limited (UK); 2021.
SARCOPLASMA Y RETÍCULO
SARCOPLÁSMICO
• Entre las miofibrillas existe el sarcoplasma, un fluido que
contiene potasio, magnesio y fosfatos. Además de muchas
mitocondrias.
• Dentro del sarcoplasma, tenemos a los retículos
sarcoplásmicos. Extensos retículos especializados que
regulan el almacenamiento, recaptación y liberación de
calcio para la contracción muscular. Los músculos de
contracción rápida tienen retículos más grandes.
Hall JE. Guyton & Hall. Tratado de fisiología médica. Capitulo 6 P. 79 (Edición
14th). [Reino Unido]: Elsevier Limited (UK); 2021.
MECANISMO GENERAL DE LA
CONTRACCIÓN MUSCULAR
La contracción muscular es un indicador de la salud del
tejido. Y esta ocurre en las siguientes etapas.
1. Un potencial de acción viaja de la fibra motora a sus
terminales en las fibras musculares
2. Se secreta acetilcolina en cada una de las terminales
3. Acetilcolina actúa en la membrana de las fibras
musculares para abrir canales de cationes
4. La apertura de los canales permite que iones sodio se
difundan hacia el interior de la membrana de la fibra
muscular. La despolarización resultante activa los
canales de sodio por voltaje iniciando un potencial de
acción en la membrana.
5. El potencial de acción viaja por la membrana de la
fibra muscular
6. El potencial despolariza la membrana muscular y una
parte del voltaje viaja a los retículos sarcoplásmicos
para liberar iones calcio.
7. Los iones calcio inician fuerzas de atracción entre la
actina y la miosina, haciendo que se deslicen entre
ellos y generando la fuerza contráctil.
8. Después de una fracción de segundo, el calcio es
bombeado de nuevo a los retículos y permanecen ahí
hasta la próxima contracción.
Hall JE. Guyton & Hall. Tratado de fisiología médica. CAPITULO 6 p.81 (Edición 14th). [Reino Unido]: ElsevierLimited (UK); 2021.
FIBRAS MUSCULARES RAPIDAS FRENTE A
LENTAS
• Todos los músculos del cuerpo están formados por una mezcla de
fibras musculares “rápidas” y “lentas” con algunas fibras intermedias
que existen.
• Hay músculos como los tibiales anteriores que reaccionan
rápidamente y están formados principalmente por fibras rápidas y
contienen muy pocas fibras lentas.
• Músculos como el sóleo responden lentamente con contracciones
prolongadas y está formado principalmente por fibras lentas.
Hall JE. Guyton & Hall. Tratado de fisiología médica. Capitulo 6 p. 88 (Edición 14th). [Reino Unido]: Elsevier Limited (UK); 2021.
FIBRAS LENTAS (TIPO I)
Las fibras lentas son más pequeñas que las fibras
rápidas
Su inervación se da por fibras más pequeñas
En comparación de las rápidas, las fibras lentas
tienen más vascularización para dar más oxígeno.
Tienen más mitocondrias
Tienen más mioglobina que se combina con
oxígeno y se almacena hasta ser necesitado.
La mioglobina le da el color mas rojizo al
musculo.
Hall JE. Guyton& Hall. Tratado de fisiología médica. Capitulo 6 p.88
(Edición14th). [Reino Unido]: Elsevier Limited (UK); 2021.
FIBRAS RÁPIDAS (TIPO II)
Son fibras grandes
Tienen un retículo sarcoplásmico extenso para
liberar calcio e iniciar la contracción
Hay enzimas glucolíticas presentes
Menos vascularizadas
Menos mitocondrias que las lentas. El mecanismo
de metabolismo oxidatorio es secundario.
Hall JE. Guyton& Hall. Tratado de fisiología médica. Capitulo 6 p. 88
(Edición14th). [Reino Unido]: Elsevier Limited (UK); 2021.
UNIDAD
MOTORA
• A todas las fibras musculares
inervadas por una única fibra
nerviosa se le llama unidad
motora. Mientras más preciso
se necesita que sean las
acciones de un musculo, más
fibras nerviosas poseerá por
cada fibra muscular.
Hall JE. Guyton & Hall. Tratado de fisiología médica. Capitulo 6 p. 90 (Edición 14th). [Reino
Unido]: Elsevier Limited (UK); 2021.
DESNERVACIÓN MUSCULAR Y
PRONOSTICO CLÍNICO
• Cuando un musculo pierde su
inervación, sea la causa que sea, ya no
recibe señales contráctiles, las cuales son
necesarias para mantener el tamaño
muscular normal.
• La atrofia comienza casi inmediatamente,
y después de 2 meses aproximadamente
comienzan a haber cambios
degenerativos.
El pronóstico depende de que tan rápido se restaura la inervación.
Si la recuperación es rápida, se puede producir la recuperación
completa en 3 meses para adelante, pasando esa fecha, la capacidad
de recuperación disminuye y no se produce ninguna recuperación
adicional después de los 2 años.
En la etapa final de la denervación, el musculo se sustituye por
tejido fibroso y adiposo. La capacidad de regeneración es casi nula.
Además, el tejido fibroso se comienza a contraer durante meses,
creando contracturas debilitantes y desfigurantes.
Hall JE. Guyton & Hall. Tratado de fisiología médica. Capitulo 6 (Edición 14th). [Reino Unido]: Elsevier
Limited (UK); 2021.
MUSCULO LISO
• Las fibras musculares lisas
tienen un diámetro habitual de
1 a 5 micras y solo de 20 a 500
micras de longitud lo cual los
hace desde 30 hasta cientos de
veces más chicas que las
esqueléticas.
• Los mismos conceptos de
contracción se aplican al
musculo liso al igual que el
esquelético. Solo varía su
disposición física interna.
Hall JE. Guyton & Hall. Tratado de fisiología médica. CAPITULO 7 p.92 (Edición
14th). [Reino Unido]: Elsevier Limited (UK); 2021.
MULTIUNITARIO
• Fibras separadas y delgadas
• Cada fibra es independiente y esta
inervada por una única terminación
nerviosa.
• Musculo ciliar del ojo
• Iris del ojo
• Pilo erectores
• Musculo visceral
• Masas de cientos de fibras musculares
lisas que se contraen juntas.
• Uniones en hendidura
• Aparato digestivo
• Vías biliares
• Útero
UNITARIO
MUSCULO LISO
Hall JE. Guyton & Hall. Tratado de fisiología médica. CAPITULO 7 p.92 (Edición 14th). [Reino Unido]: ElsevierLimited (UK); 2021.
MUSCULO CARDIACO
• El corazón tiene tres tipos de fibras, musculo auricular,
musculo ventricular y fibras musculares.El auricular y
ventricular son muy similares al esquelético. Sin embargo,
las fibras especializadas de excitación y conducción se
contraen de forma débil. Por el otro lado, presentan
descargas eléctricas rítmicas automáticas en forma de
potenciales de acción por todo el corazón, así crean el
sistema excitador que controla el latido.
Hall JE. Guyton & Hall. Tratado de fisiología médica. CAPITULO 8 p.100 (Edición 14th). [Reino Unido]: ElsevierLimited (UK); 2021.
CONTUSIONES
• Resultado de un golpe directo de objetos no afilados contra alguna parte del
cuerpo ---> Machacamiento de las fibras musculares y los tejidos conjuntivos
sin que se rompa la piel.
• Contusiones mínimas: resultado de un pequeño golpe y su consecuencia
es un enrojecimiento de la zona afectada.
• Contusiones de 1°: resultado es la equimosis --> ruptura de pequeños
vasos cuya sangre se desparrama por el tejido celular de la piel, mucosas
o serosas.
• Contusiones de 2°: hematoma, es extravasación de
sangre en el interior del organismo, en el intersticio de tejidos o en
una cavidad orgánica.
• Contusiones de 3°: pueden tener un aspecto normal, pero luego se
tornan grisáseas debido al aplastamiento de grasa y
músculo, se pueden ver incolucrados nervios, huesos.
Contusión muscular (moretón) (MuscleContusion (Bruise)) - OrthoInfo - AAOS. (2021). Aaos.org. Recuperado Agosto 28, 2023, from
https://orthoinfo.aaos.org/es/diseases--conditions/contusion-muscular-moreton--muscle-contusion-bruise/
DIFERENCIA EQUIMOSIS VS HEMATOMA
Diferencia entre equimosis y hematoma. (2017.). Robalino,K. Slideshare.Recuperado Agosto 28,
2023. https://es.slideshare.net/KarolinaRobalino/diferencia-entre-equimosis-y-hematoma
TRATAMIENTO
• Inmovilización y elevación de la zona afectada
(extremidades)
• Aplicación de hielo: reduce la inflamación y
extravasación de la sangre.
• Tomar analgésico vía oral: en casos de
inflamación o dolor, paracetamol,
• ibuprofeno y ácido acetilsalicílico.
• Aplicación de una pomada antivaricosa,
generalmente a base de heparina o
heparinoides--> cuando haya una rotura de
vasos sanguíneos--> una extravasación de
sangre que da lugar a un hematoma.
• No pinchar los hematomas, se reabsorben por
sí solos.
• Aplicación de calor. Una vez pasadas 24 horas
para facilitar la reabsorción del hematoma.
• Mantener la zona en reposo.
Heridas,contusiones y pequeños traumatismos.(2002).Iglesias,L.Pardo, M. Villanueva,M.Elsevier.es.Recuperado August 28, 2023, from https://www.elsevier.es/es-revista-farmacia-profesional-3-pdf-
13036530
REHABILITACIÓN
• En la primera etapa de rehabilitación, se
indican ejercicios suaves de estiramiento
que empezarán a restaurar la amplitud de
movimiento del área lesionada.
• Luego incorporar ejercicios de
fortalecimientoy soporte de peso.
• Síndrome compartimental
• Miositis osificante
COMPLICACIONES
Heridas,contusiones y pequeños traumatismos.(2002.).Iglesias,L. Pardo,M. Villanueva,M.Elsevier.es. Recuperado August 28, 2023, from https://www.elsevier.es/es-revista-farmacia-profesional-3-pdf-
13036530
DESGARROS Y ROTURAS MUSCULARES
FISIOPATOLOGÍA
• Lesión por giro del músculo o unidad músculo tendinosa
debido a una sobrecarga mecánica
• Puede ser de forma pasiva o activa lo que produce un
desgarro
• Puede darse por fuerzas:
• Intrínsecas o indirectas: no actúa una fuerza externa
y hay daño microscópico hasta la rotura completa.
• Criterios histopatológicos o por criterios de
imagen
• Extrínsecas o directas: compresión del músculo por
traumatismo directo (contusión o laceración)
• Leves, moderadas o graves
1. Grossman, S. (2014). Porth. Fisiopatología: alteraciones de la salud:Conceptos Básicos. LWW.
• Más frecuentes en:
• Músculos biarticulares
• Unión miotendinosa
• De acción excéntrica
• Músculos con alta proporción de fibras tipo II
• Zonas de transición anatómica o funcional
• Deportes de aceleración rápida
2. Muñoz, S., Astudillo, C., Miranda, E., Albarracin, F. (2018). Vol. 24, pág 22-33. Lesiones musculares deportivas: correlación entre anatomía y estudio
porimágenes Recuperado 27 de agoso de https://scielo.conicyt.cl/pdf/rchradiol/v24n1/0717-9308-rchradiol-24-01-00022.pdf
ETIQUETA DE LA
LESIÓN
MUSCULAR
•Nombre:tipo de lesión de acuerdo a
los criterios anatomopatológicos
(rotura muscular grado II)
•Primer apellido:localización de la
lesión y si tiene relación o no con el
componente conectivo (de la unión
músculo tendinosa proximal)
•Segundo apellido:detalla grupo
muscular afectado (del bíceps femoral)
3.Servicios médicos del Fútbol Club Barcelona.(2009).Gñuide Práctica Clínica de lesiones musculares.Epidemiología,diagnóstico, tratamiento y
prevención.Recuperado27 de agosto de file:///Users/karenjimenez/Downloads/164711-Text%20de%20l'article-299104-1-10-20110124%20(1).pdf
EPIDEMIOLOGÍA
• Lesiones musculares suponen más del 30% de
todas las lesiones
• En un estudio realizado por la UEFA indicó que en
el caso del fútbol profesional el riesgo de padecer
una lesión muscular es de 1,7 lesiones/1.000hr y
son las que más motivos de baja causan
4. UANL. (2019, 10 junio). Los desgarros musculares suponen más del 30% de todas las lesiones. CIDICS. Recuperado 27 de agosto de 2023,
de http://cidics.uanl.mx/nota-
81/#:~:text=Los%20estudios%20epidemiol%C3%B3gicos%20m%C3%A1s%20recientes,en%20deportistas%20de%20alto%20rendimiento.
CLÍNICA
• Presencia dolor e hinchazón
• Equimosis
• Ruptura significativa encontramos hachazo muscular
• Debilidad muscular
5. Muñoz, S., Astudillo, C., Miranda, E., Albarracin, F. (2018). Vol. 24, pág 22-33. Lesiones musculares deportivas: correlación entre anatomía y estudio
porimágenes Recuperado 27 de agoso de https://scielo.conicyt.cl/pdf/rchradiol/v24n1/0717-9308-rchradiol-24-01-00022.pdf
MÉTODOS DE IMAGEN PARA EVALUACIÓN
DE LAS LESIONES MUSCULARES
• •RX → útil para detectar calcificaciones o en caso de
sospecha de miositis osificante
• •TAC→ no está indicada sólo para detectar si
calcificaciones están en músculo o en contacto con la
cortical ósea
• •RM→ exámenes de elección por capacidad multiplanar,
alto contraste tisular, alta sensibilidad, menor especificidad
• •USG→ mejor examen de elección se realiza eje corto y
largo de cada músculo, ayuda a intervenciones como
aspiración del hematoma y en la inyección de plasma rico
en plaquetas)
• DX diferencial:contractura muscular
USG
• Aumento o disminución difusa de la ecogenicidad
• Distorsión de la arquitectura o patrón fascicular
• Solución de continuidad → interrupción macroscópica de los
fascículos
• Colección líquida → hematoma
6. Muñoz, S., Astudillo, C., Miranda, E., Albarracin, F. (2018). Vol. 24, pág 22-33. Lesiones musculares deportivas: correlación entre anatomía y estudio
porimágenes Recuperado 27 de agoso de https://scielo.conicyt.cl/pdf/rchradiol/v24n1/0717-9308-rchradiol-24-01-00022.pdf
LESIONES INDIRECTAS CRITERIOS
HISTOPATOLÓGICOS
Nomenclatura Estadios Características Clínica Pronóstico
Contractura y/o dolor muscular
de aparición tardía
I Alteración funcional, elevación de proteínas y enzimas.
Aunque hay desestructuración leve del parénquima
muscular se considera más un mecanismo de adaptación
que una lesión verdadera
- Inflamación mínima, dolor y aumento de
sensibilidad.
-Mínima o sin pérdida de la función
1-3 días
Microrrotura fibrilar y/o
elongación muscular
II Alteraciones de pocas fibras y poca lesión del tejido
conectivo
-Dolor persistente e inflamación asociada
- Disminución de la fuerza y función
3-15 días
Rotura fibrilar III Alteraciones de más fibras y más lesiones del tejido
conectivo,hay hematoma
-Dolor intenso
-Pérdida casi completa de fuerza y función
3 a 8 semanas
Rotura muscular IV Rotura importante o desinserción completa. La
funcionalidad de las fibras indemnes es del todo
insuficiente
-Inflamación y dolor intenso
-Pérdida completa de fuerza y función
8 a 12 semanas
7.Serviciosmédicos del Fútbol Club Barcelona.(2009).Gñui de Práctica Clínica de lesiones musculares.Epidemiología,diagnóstico, tratamiento y
prevención.Recuperado27 de agosto de file:///Users/karenjimenez/Downloads/164711-Text%20de%20l'article-299104-1-10-20110124%20(1).pdf
LESIONES
INDIRECTAS
CRITERIOS
POR
IMAGEN
8. Muñoz, S., Astudillo, C., Miranda, E., Albarracin, F. (2018). Vol. 24, pág 22-33. Lesiones musculares deportivas: correlación entre anatomía y estudio
porimágenes Recuperado 27 de agoso de https://scielo.conicyt.cl/pdf/rchradiol/v24n1/0717-9308-rchradiol-24-01-00022.pdf
LESIONES DIRECTAS CRITERIOS POR
IMAGEN
Tipo de
lesión
Ubicación Fascia Definición Hematoma USG RM
Contusión/
laceración
Generalmente
extremidad
inferior. Muslo
más frecuente.
Generalmente
más de un
músculo
comprometido
Contusión: no
comprometida
Laceración: Siempre
rotura de fascia
Desde foco edema/hemorragia
hasta rotura total o subtotal
Depende de la
envergadura de
la lesión. Puede
haber edema
intramuscular y
luego
interfascial-
subcutánea
Desde edema focal
a
a gran colección
líquida
intramuscular.
Aumento de
ecogenicidad.
Distorsión de la
arquitectura.
Edema.
Defecto intramuscular.
Colección líquida
intramuscular.
Eventualmente
retracción de cabos.
9.Serviciosmédicos del Fútbol Club Barcelona.(2009).Gñui de Práctica Clínica de lesiones musculares.Epidemiología,diagnóstico, tratamiento y
prevención.Recuperado27 de agosto de file:///Users/karenjimenez/Downloads/164711-Text%20de%20l'article-299104-1-10-20110124%20(1).pdf
COMPLICACIONES
• Cicatrices musculares
• Hernia muscular
• Síndrome compartimental crónico
• Calcificaciones (miositis osificante)
10. Muñoz, S., Astudillo, C., Miranda, E., Albarracin, F. (2018). Vol. 24, pág 22-33. Lesiones musculares deportivas: correlación entre anatomía y estudio
porimágenes Recuperado 27 de agoso de https://scielo.conicyt.cl/pdf/rchradiol/v24n1/0717-9308-rchradiol-24-01-00022.pdf
TRATAMIENTO
• Primera fase:
• RICE R: reposo, I: Ice, C: compresión, E: elevación
• AINES primeras 48 a 72 hrs
• Crioterapia
• Segunda fase:
• Movilidad y funcionalidad precoz
• Fisioterapia progresiva
• En indicaciones específicas se puede utilizar infiltraciones y uso de
PRP (plasma rico en plaquetas)
• Caso de rotura está indicado tratamiento qx con las
siguientes indicaciones:
• Lesión muscular grado 4 rotura total
• Lesión muscular con desinserción tendinosa parcial (50% o total)
• Lesión muscular grado 2 con afectación de más del 50% del vientre
muscular
• Hematoma intramuscular no respondedor a punción de aspiración
repetitivo
• Re lesiones musculares recurrentes que formen importantes
cicatrices fibrosas
PREVENCIÓN
• Estiramientos previos antes de realizar
alguna actividad física
MIOSITIS OSIFIC ANTE
▪ Se trata de una lesión benigna autolimitada, caracterizada por una
formación ósea heterotópica
▪ La MO progresiva tiene carácter hereditario y se caracteriza por
fibrosis y osificación en músculo, ligamentos y tendones tanto en
extremidades superiores como en la espalda, siendo
incapacitante y en su fase final mortal.
▪ MO circunscrita o traumática, en el que la producción de tejido
óseo heterotópico está asociada a un traumatismo previo en la
zona de la lesión.
▪ No asociado a historia de traumatismo previo, pudiendo estar
relacionada su aparición con trastornos hematológicos,
neurológicos o quemaduras.
Miositisosificante.A propósito de un caso.(2022). Juncal,M. Simón, M. Vaca,P. Martín, S. Servicio de Cirugía ortopédica y Traumatología.Complejo Asistencial deZamora.Zamora (España).Recuperado Agosto 2023.
https://www.saludcastillayleon.es/CAZamora/es/publicaciones/revista-nuevo-hospital-2022/nuevo-hospital-2022-febrero-xviii-1/barrio-velasco-mj-simon-ochoa-m-vaca-fernandez-pl-martin-bl.ficheros/2104279-
NUEVOHOSPITAL
EPIDEMIOLOGÍA
• Esta patología puede ser hereditaria, llegando a
afectar a 2 niños por cada millón.
• Adquirida secundariamente a procedimientos
ortopédicos y traumatismos con mayor incidencia
durante la segunda y la tercera década de la vida.
• Se asocia a anomalías esqueléticas, eritema,
disminución de la movilidad articular
• Deportes de contacto como el fútbol, hockey,
Rugby y combate, según el estudio de Muir et
al (2010), la incidencia en este subgrupo de
deportes fue de 0-9% en contusiones leves,
17-72% en contusiones moderadas-severas y
del 100% en contusiones recurrentes.
• Las áreas más comunes son codos, muslos y
nalgas, es muy frecuente en el músculo
cuádriceps y en la zona inguinal de los
aductores
SánchezAguilar, M., García Jiménez, R., & Borrego Dorado,I. (2017). Miositis osificante: gammagrafía ósea y tomografía por emisiónde positrones/tomografía computarizada con 18F-desoxiglucosa.Reumatologia Clinica. https://doi.org/10.1016/j.reuma.2017.01.017
MIOSITIS OSIFICANTE. QUÉES Y CUÁLES SON SUS SÍNTOMAS YSU TRATAMIENTO. (2015). Lamas, J. FisioOnline.RecuperadoAgosto 2023. https://www.fisioterapia-online.com/articulos/miositis-osificante-que-es-y-cuales-son-sus-sintomas-y-su-tratamiento
EJEMPLO
• Entonces en una lesión en el muslo,el proceso se inicia
con una contusión,que produce una lesión muscular y
hematoma dentro del músculo y tejidos periféricos.El
hematoma se reabsorbe a las semanas,pero en caso de
la miositis se calcifica,y a la consulta con el médico
cirujano evaluará la posible resección quirúrgica.
Se distinguen Dos fases.
• Fase Caliente:El área está edematizada y suele ser
hipersensible a la palpación,El dolor y la tumefacción
disminuyen la flexibilidad.
• Fase Fría: La Calcificación se estabiliza.
MIOSITIS OSIFICANTE. QUÉ ES Y CUÁLES SON SUS SÍNTOMAS Y SU TRATAMIENTO. (2015).Lamas, J. FisioOnline.Recuperado Agosto 2023. https://www.fisioterapia-online.com/articulos/miositis-osificante-que-es-y-
cuales-son-sus-sintomas-y-su-tratamiento
SIGNOS Y SÍNTOMAS
1. Dolor al movimiento o la palpación.
2. Inflamación.
3. Rigidez.
4. Dureza de la musculatura a la palpación (por la
osificación).
5. Pérdida de amplitud de Movimiento.
MIOSITIS OSIFICANTE. QUÉ ES Y CUÁLES SON SUS SÍNTOMAS Y SU TRATAMIENTO. (2015).Lamas, J. FisioOnline.Recuperado Agosto 2023. https://www.fisioterapia-online.com/articulos/miositis-osificante-que-es-y-
cuales-son-sus-sintomas-y-su-tratamiento
DIAGNÓSTICOS
• Diferenciales
• Se incluyen tumores malignos como el
linfoma, el osteosarcoma o el
rabdomiosarcoma.
• Los métodos diagnósticos de imagen
difieren en sensibilidad y especificidad
dependiendo de la fase madurativa del
proceso en el que sean utilizados
Miositisosificante.A propósito de un caso.(2022). Juncal,M. Simón, M. Vaca,P. Martín, S. Servicio de Cirugía ortopédica y Traumatología.Complejo Asistencial deZamora.Zamora (España).Recuperado Agosto 2023.
https://www.saludcastillayleon.es/CAZamora/es/publicaciones/revista-nuevo-hospital-2022/nuevo-hospital-2022-febrero-xviii-1/barrio-velasco-mj-simon-ochoa-m-vaca-fernandez-pl-martin-bl.ficheros/2104279-
NUEVOHOSPITAL
MÉTODOS DE
DIAGNÓSTICO
En radiología no observaremos imágenes sugerentes de
MO hasta pasadas de dos a cuatro semanas del inicio de
los síntomas.
la ecografía es capaz de detectar cambios tempranos en
los tejidos blandos, precisa de completar el estudio con
otras pruebas de imagen que confirmen los patrones de
osificación característicos de la MO
La RMN es la técnica de imagen de elección para la
evaluación de tejidos blandos, y nos permitirá delimitar la
lesión.
La biopsia será necesaria en aquellos casos en los que las
imágenes no nos aporten un diagnóstico concluyente.
Miositisosificante.A propósito de un caso.(2022). Juncal,M. Simón, M. Vaca,P. Martín, S. Servicio de Cirugía ortopédica y Traumatología.Complejo Asistencial deZamora.Zamora (España).Recuperado Agosto 2023.
https://www.saludcastillayleon.es/CAZamora/es/publicaciones/revista-nuevo-hospital-2022/nuevo-hospital-2022-febrero-xviii-1/barrio-velasco-mj-simon-ochoa-m-vaca-fernandez-pl-martin-bl.ficheros/2104279-
NUEVOHOSPITAL
TRATAMIENTOS
• El tratamiento recomendado será por lo tanto
reposo y medicación antiinflamatoria, ejercicios
isométricos suaves para completar el arco de
movilidad.
• La radioterapia puede ser utilizada para reducir el
tamaño de la lesión o propiciar la maduración de la
misma, en casos en los que se planee el
tratamiento quirúrgico.
• El tratamiento quirúrgico en casos de compromiso
neurovascular o clínica incapacitante persistente, y
deberá evitarse en fases precoces ya que la falta de
maduración de la lesión propiciará la recidiva de la
misma
Miositisosificante.A propósito de un caso.(2022). Juncal,M. Simón, M. Vaca,P. Martín, S. Servicio de Cirugía ortopédica y Traumatología.Complejo Asistencial deZamora.Zamora (España).Recuperado Agosto 2023.
https://www.saludcastillayleon.es/CAZamora/es/publicaciones/revista-nuevo-hospital-2022/nuevo-hospital-2022-febrero-xviii-1/barrio-velasco-mj-simon-ochoa-m-vaca-fernandez-pl-martin-bl.ficheros/2104279-NUEVOHOSPITAL
PATOLOGÍA
TENDINOSA
Wendy Farfán
Arantza Tomas
Alejandra Tomas
Los tendones son tejido conectivo, muy
resistente, el cual esta organizado
para resistir las tensiones del cuerpo,
así mismo están situados en los
extremos del músculo y el extremo de
un hueso.
ANATOMIA Y FISIOLOGÍA
¿Qué son los tendones?
Anatomía Interfase hueso-tendón o entesis.
Responsable de la transmisión de cargas del tendón al hueso.
Zona I: Colágeno tipo I, MAC de decorina, fibroblasto.
Zona II: Fibrocartílago no mineralizado, colágeno tipo I y II, escaso
colágeno tipo II, IX y X. MAC de agrecanos y decorina. Fibrocondrocito.
Zona III: Fibrocartílago mineralizado, escaso colágeno tipo II y X. MAC
de agrecanos y tejido mineral.
Zona IV: Zona ósea, colágeno tipo I,
Fibrocondrocito.
MAC de tejido mineral y celular;
osteocitos, osteoblastos y osteoclastos.
CICATRIZACIÓN
FASE INICIAL
2 días
Fibroblastos se forman del epi y endotendón para migrar
Plaquetas almacenan y liberan ADP
Hormonas
FASE PROLIFERATIVA
4-21 días
Predominio de fibroblastos
Secreción de colágeno se hace en patrones al azar
FASE DE REMODELACIÓN
A la cuarta semana
Hasta la sexta semana se llena de colágeno, reorientando sus fibras al
sitio de estrés
Fuerzas de tracción
Puede durar hasta 112 días
Hasta que recupere su fuerza si hay buen abordaje
ETIOLOGÍA
Afecta Matriz de colágeno y
tenocitos
Rizado desigual e irregular
Disminución de ondulación de
las ondas
Incremento colágeno
reparador tipo III
FACTORES DE RIESGO
Degeneración por sobre uso
Cizalla, comprensiva o tensil
Almacenamiento y liberación
Biomecánico: Mala alineación
(valgo/varo)
Edad cada vez mayor
Tabaquismo
Comorbilidades
Terreno/suelo
Calzado: inadecuado o tacón
(prolongada flexión plantar)
Fármacos
RUPTURAS
RUPTURA DEL TENDÓN
DE AQUILES
Bailarines, corredores, atletas de salto
2 de cada 1.000 personas -->
Hombres de 30-40 años
35-45 años
Fluruquinolonas y corticoesteroides
Re-injury
Dolor
Causas
Factores de riesgo
Complicaciones
Manifestaciones
Simmons Thompson
Historia clínica
Pruebas físicas: Gap test y prueba de
flexión de rodilla de Matles
(dorsiflexión)
Radiografía
Análgesicos
Cirugía
Diagnóstico
Tratamiento
RUPTURA DEL TENDÓN
SUPRAESPINOSO
10%
Deportes de remo, tenis, béisbol
Actividad atlética no habitual
Pacientes jóvenes
Diabetes
Genética
Hipercolesterolemia
Dolor y debilidad en el deltoide lateral
que se exacerba en la noche
Asintomático
Quinta década
Causas
Factores de riesgo
Manifestaciones
Radiografía
Ultrasonido
MRI: supraespinatus
Análgesicos
Inyección de
coritcoesteroides
Rehabilitación
Diagnóstico
Tratamiento
RUPTURA DEL TENDÓN
ROTULIANO
Atletas de salto, voleibol, atletismo,
fútbol, baloncesto
No atlético (cirugía)
Glucocorticoide
Explosive jumping
Ejercicio de largas horas
Hombres
Fractura avulsión de tuberosidad tibial
Fractura
Causas
Factores de riesgo
Complicaciones
Incapacidad para soportar
Hemartrosis
Dolor y sensibilidad
Ultrasonido
Rayos X: posición y potencial de
fractura
MRI: inusual
Inflamación
Inabilidad de mantenerla derecha o
rótula alta o baja
Cirugía
Yeso de extensión
Rehabilitación
Manifestaciones
Diagnóstico
Tratamiento
RUPTURA DEL TENDÓN
DEL BÍCEPS
Roturas del tendón proximal
Trabajos pesados encima de la cabeza
o uso excesivo de hombro
4-6 década
Tabaquismo
Fármacos
Se agrava al levantar, tirar o realizar
actividades
Clic
Se agrava con la noche
Causas
Factores de riesgo
Manifestaciones
Estallido con equimosis e inflamación -
distal
Signo de Popey - proximal
Difícil en pacientes obesos y con poca
masa muscular - inspección y
palpación rotando
Speed
Yergason
MRI
Ultrasonido
Descartar subluxación
Inyección glucocorticoides en el
espacio subacromial o en la vaina del
tendón del bíceps
Diagnóstico
Tratamiento
Sobre uso --> dolor en
las espinillas
Corredores y ciclistas -
30 grados
Intensidad
Eversión del pie
Ejercicio en clima frío
Burning/sharp empeora
Epicondilo femoral
lateral
Causas
Factores de riesgo
Manifestaciones
SÍNDROME DE ESTRÉS
TIBIAL MEDIAL
Gammagrafía que
descarte periostitis
Radiografías
negativas
Test de Ober
Diagnóstico
HERIDAD TENDINOSAS.
¿Qué son?
Tendinosis
Tendinitis
Tenosinovitis
Las heridas tendinosas son el resultados
de diferentes situaciones como los
esfuerzos muy bruscos, los traumatismo,
él sobre uso y el exceso de
entrenamiento en el deporte.
Pueden ser de 3 tipos:
Es la inflamación o irritación de los tendones.
Esta afección produce dolor y molestias justo al
lado de una articulación.
Las más comunes son del hombro (hombro de
nadador), del codo (codo de tenista y codo del
golfista) y de rodilla (rodilla de saltador). También
puede aparecer en cadera, tobillo y muñecas.
TENDINITIS
¿Qué es?
SIGNOS Y SÍNTOMAS
Codo de tenista:
Dolor en la zona
exterior del antebrazo,
cerca del codo, cuando
se rota el antebrazo o se
toma un objeto.
Estos se manifiestan junto a la articulación del tendón lesionado y
consisten en dolor, sensibilidad y rigidez. El dolor empeora con
actividades que emplean el músculo al que se fija el tendón
lesionado.
Se producen tipos específicos de dolor según su localización:
Tendinitis aquílea
Dolor justo por encima
del talón.
Tendinitis bicipital
Dolor en la zona del
hombro.
La más común es por lesión o sobreesfuerzo durante el trabajo u ocio.
En ocasiones infecciones en el interior de la vaina del tendón puede causar la
inflamación; y el dolor puede ser resultado de un pequeño desgarro o inflamación.
También puede asociarse a enfermedades inflamatorias como artritis reumatoide.
CAUSAS Y FACTORES DE
RIESGO
Causas
Realizar movimientos repetitivos forzados
con brazos o piernas.
Técnicas inapropiadas al practicar deportes
Edad
Factores de riesgo
DIAGNÓSTICO
Muchas veces es basado en historia clínica, signos y síntomas. Con una
anamnesis detallada y exploración física correcta suele ser suficiente.
Se pueden realizar pruebas especiales para identificar cada patología.
CLÍNICO
02 Son de poca ayuda, los tendones no se ven con rayos x, pero sirven
para excluir otras lesiones o enfermedades óseas.
RADIOGRAFÍAS
En pocas ocasiones suele ser necesaria para identificar rotura de
tendón u otras lesiones en tendón o su vaina sinovial.
RESONANCIAS MAGNÉTICAS
Los análisis de sangre con pruebas reumáticas en caso de
sospechar artritis reumatoide.
ANÁLISIS DE SANGRE
03
01
04
TENDINITIS BICIPITAL:
El paciente resiste la presión hacia abajo en la
muñeca.
Brazo en elevación de 60-90 grados hacia
delante, con codo extendido y antebrazo en
supinación.
Se produce dolor en el hombro en los casos con la
patología.
Codo flexionado a 90 grados y el paciente debe
supinar el antebrazo contra la resistencia
mientras el doctor busca dolor a largo del
bíceps.
ILIOPSOAS TENDINITIS:
Extensión pasiva de la cadera y flexión activa
de la cadera son dolorosas.
Paciente en decúbito supino levanta el talón 15
grados con respecto a la cama.
El paciente, sentado en una silla, levanta el
muslo contra resistencia, esto a menudo
exacerba el dolor.
TRATAMIENTO
Inyección de
corticoides:
Se inyecta en el
interior del tejido que
rodea el tendón.
Reduce la inflamación
y dolor.
Efectos secundarios:
Si se realiza
repetidamente debilita
el tendón y aumenta
riesgo de rotura
Con frecuencia se necesitan tratamientos sencillos como reposo,
aplicación de hielo y antiinflamatorios o analgésicos vía tópica y/o
sistemática.
OTROS ABORDAJES:
Ejercicios de
fortalecimiento:
Programa de
ejercicios específicos
para fortalecer la
capacidad e
absorción de fuerzas
Cirugía:
Cuando hay desgarro de
un tendón, se opta por
cirugía reconstructiva
para retirar el tejido
inflamado fuera de la
vaina del tendón o aliviar
la presión sobre este
extirpando hueso.
Esta reduce el dolor,
restaura la función y
previene rotura total del
tendón.
Puede volverse crónica o prolongada y producir la rotura del
tendón; además de generar una lesión permanente en los
tejidos de este.
COMPLICACIONES
En ancianos y quienes no realizan reposo se cura más
lentamente y es más probable que progrese a una forma
crónica. (tendinosis)
Afecta la estructura del tendón, transformándolo en
un tejido más fibroso y débil.
En esta condición hay un proceso degenerativo
del tejido que conforma el tendón, quiere decir
que hay un desgaste del tendón y no sólo una
inflamación.
Esto implica una pérdida progresiva de la
capacidad de respuesta para una adecuada
regeneración o cicatrización por someterse a una
carga cíclica de gran volumen y de manera
reiterada.
TENDINOSIS
¿Qué es?
SIGNOS Y SÍNTOMAS
Los síntomas y signos clínicos son similares a otras afectaciones
articulares, pero estas suelen permanecer por más tiempo. Entre la
sintomatología más común encontramos las siguientes:
Dolor de moderada a elevada intensidad, que puede
variar con los movimientos articulares.
La musculatura adyacente se encuentra alterada.
Al momento de mover la zona, la persona puede sentir
como se genera un contacto entre el tendón y otras
estructuras.
El tejido conectivo muestra señales de desgaste
estructural.
Están dentro de las patologías de sobreuso que representan cerca del 60% de las
lesiones deportivas y se relacionan con una sobrecarga cíclica repetida. Estas
lesiones se producen en general en el contexto de una práctica deportiva regular e
intensa.
CAUSAS Y FACTORES DE
RIESGO
Causas
Aumenta significativamente con:
Edad
Sexo masculino
Obesidad
Deportes que requieren correr largas distancias
(fondo, maratón, triatlón) o movimientos explosivos
repetitivos (vóley; artes marciales, rugby).
Factores de riesgo
Las alteraciones estructurales que ocurren histológicamente son :
CAMBIOS HISTOLÓGICOS
Bandas de colágeno
desorganizadas
Hipercelularidad
Aumento de vasos sanguíneos y
terminaciones nerviosas.
También se aprecia infiltración
grasa y signos de hipoxia.
No se aprecian signos de
inflamación.
Para clasificar grados de avance y alteraciones degenerativas, y con
base en esto proponer tratamientos específicos, se realiza una
evaluación clínica específica y estudio ecográfico.
CLASIFICACIÓN:
- Historia clínica: detectar factores
predisponentes, causa de la sobrecarga
deportiva, plan de trabajo físico
realizado, superficies, competencias,
calzado, volumen de entrenamiento.
- Ecografía: Evalúa engrosamiento del
tendón, presencia de rupturas de fibras,
quistes; calcificaciones; fibrosis intra
sustancia del tendón.
TRATAMIENTO
01 Suspensión de la actividad física por dos semanas y luego dosificación
deportiva.
Inicio de kinesioterapia y fisioterapia para disminuir dolor; estimular
cicatrización con uso de masoterapia y ultrasonido; analgesia (TENS)
Ingesta de anti oxidantes: Bioxantin 1 al día por dos meses.
Aplicación de frío local y elongación muscular pasiva.
Evaluar respuesta a las 8 semanas de evolución.
ETAPA 1: ENFRENTAMIENTO INICIAL
Ondas de Choque radiales.
Uso de brace anti vibratorio.
Kinesio-Taping.
Infiltración con Polidocanol.
Al tratamiento inicial se le agrega:
ETAPA 2:
02
TRATAMIENTO
Junto con lo anterior se aplica infiltración de concentrado plaquetario
autólogo (PRP) bajo control ecográfico.
Esto para aportar una cantidad importante de factores de crecimiento
presente en las plaquetas que juegan un rol en la estimulación de la
cicatrización y reparación de los tejidos.
ETAPA 3:
03
Liberar y resecar peri tendón
engrosado. Se elimina la proliferación
neuro vascular causante del dolor
crónico.
Estimular reparación con incisiones
longitudinales el tendón
Resección de todo el tejido necrótico o
fibroso del tendón afectado.
Aplicación de Concentrado Plaquetario
Autológo.
Se plantea un tratamiento quirúrgico que
tiene como objetivos:
ETAPA 4:
04
Inflamación patológica de las
entesis comprometidas, que son
los sitios de inserción de los
tendones, ligamentos, fascias y
cápsulas articulares al hueso;
así como también el sitio de
unión del cartílago al hueso
subcondral.
ENTESITIS.
¿Qué es?
SIGNOS Y SÍNTOMAS
La articulación tiene
cierta rigidez.
Entre los principales síntomas se encuentra el dolor en la
articulación, el cual puede llegar a extenderse por todo el cuerpo y
se presenta de manera súbita.
El dolor se percibe cuando se mueve más próxima a la entesis
La zona se encuentra
enrojecida y su
temperatura es un poco
más elevada.
Artritis reumatoide
Artropatía
Espondilitis anquilosante
Gota.
Algunas de estas pueden deberse a distintas enfermedades como lo son:
CAUSAS Y FACTORES DE
RIESGO
Causas
El estrés mecánico, es un factor central en
el desarrollo de la entesitis.
También un desencadenante es la respuesta
inmune innata.
Presente en pacientes más jóvenes y obesos.
Factores de riesgo
La radiografía y la tomografía computarizada evalúan y detectan cambios
óseos estructurales. De igual forma con otras pruebas como la RNM y la
ecografía se han impuesto para el diagnostico.
DIAGNOSTICO Y TRATAMIENTO
Evaluación por imagen:
No se ha diseñado especificamente una
guía para el tratamiento de estar
enfermedad, sin embargo el uso de AINES
y esteroides locales, han sido eficaces en
etapas agudas,
Tratamiento:
AMPUTACIONES Y
REIMPLANTES
Juan Pablo Urbina Lara, Valeria Vilchis Moo, Andrés Montañez.
Trauma y Ortopedia, Dr. Delgado
01 Definición
02 Epidemiología
03 Causas
04 Decisión de amputar
05 Criterios
06 Tipos
07 Pediátricos y crónico
degenerativas
Índice 08 Traumáticos
09 Reimplantes
Definición
La amputación es un procedimiento quirúrgico que comprende la extirpación
de una extremidad o parte de un miembro, como consecuencia de una lesión,
enfermedad, infección o cirugía.
Se realiza para eliminar extremidades con enfermedades o lesiones graves, o
que ya no son funcionales.
El intento por salvar una extremidad no siempre es la mejor opción para el
paciente.
Optimizar la función de un paciente y reducir la morbilidad
La amputación de la pierna (por arriba y por debajo de la rodilla) es el tipo de procedimiento de
amputación que se realiza con más frecuencia.
En México, se realizan 75 amputaciones a diario y existen 750 mil personas con amputaciones
(INEGI, 2015) y la principal causa de estas amputaciones es por DM2.
Pacientes de raza negra tienen una tasa 2 a 4 veces menor de amputación de extremidad inferior en
comparación con los pacientes de raza blanca.
Epidemiología
Enfermedad arterial periférica
Lesiones traumáticas: principal en personas jóvenes
Infecciones agudas o crónicas que no responden a
antibióticos
Tejido muerto o dañado
Causas
En pacientes con enfermedades vasculares o diabéticas orientarlos acerca de la higiene, dieta y
medidas generales que previenen desenlaces tan graves como la amputación.
Todo fracasa úlcera en el pie del diabético o presencia de dolor a la marcha e incluso en reposo
y claudicación intermitente en extremidad amenazada de isquemia.
Un estudio vascular en estas condiciones y una terapéutica de reconstrucción vascular oportuna
pueden salvar 70 a 80% de los miembros a largo plazo.
El costo de efectuar un puente vascular es menor que el que representa una amputación.
La mejor prótesis no es mejor que la peor extremidad.
Decisión de amputar
Criterios
Pueden variar de un médico a otro pero existen sistemas de puntuación o indicaciones que ayudan a los
médicos a decidir si debe llevarse a cabo la amputación.
Indicaciones de Lange para la amputación primaria de fracturas de
tibia con lesión vascular
Índice predictivo de salvación IPS/PSI
Índice de salvación de la extremidad (ISE). Limb
Salvage Index (LSI)
Sistema de puntuación de Hannover (FSH). Hannover Fracture Scale
‘98 (HFS ‘98).
Puntuación de severidad de la extremidad lesionada
PSEL/MESS
¡OJO!
Alta especificidad
Baja sensibilidad
Tipos
Primaria o traumática
Producida por un
agente traumático
Secundaria o quirúrgica
Electiva o programada
para ser realizada por
medio de un acto
quirúrgico.
Forma suavemente cónica.
No doloroso.
Cicatriz correcta y en lugar adecuado.
Extremidades óseas con buen
recubrimiento de tejido.
Revestimiento cutáneo bien nutrido.
Con la piel ni demasiado tensa ni
demasiado laxa.
Movilidad suficiente y fuerza de
palanca.
Conservar los arcos de movilidad de la
extremidad proximal.
Buena irrigación sanguínea.
Muñón “perfecto”
Las extremidades superiores son más comúnmente afectadas.
Las amputaciones y deficiencias congénitas son ausencias de miembros o miembros incompletos
en el momento del nacimiento, se produce cuando una parte o toda la extremidad de un niño
no se forma completamente durante el embarazo.
La mayoría se deben a inhibición del crecimiento intrauterino primaria o interrupción secundaria
a destrucción intrauterina de tejidos embrionarios normales.
Pediátricos
Longitudinales:
Transversales:
Pueden ser Longitudinales (más frecuente) y Transversales
Consisten en mal desarrollo específico.
La deficiencia de rayos radiales es la deficiencia más común del
miembro superior, y la hipoplasia del peroné es la deficiencia
más común de los miembros inferiores
Se observa ausencia de todos los elementos distales a un nivel determinado,
y el miembro remeda a un muñón de amputación.
Las bridas amnióticas son la causa más frecuente.
Los casos restantes se deben principalmente a síndromes genéticos
subyacentes como el síndrome de Adams-Oliver o anormalidades
cromosómicas.
Rara vez está indicada la reamputación de una extremidad superior con defecto congénito, sin embargo, en la extremidad
inferior, la capacidad para soportar peso y la igualdad relativa de la longitud de ambas piernas son obligatorias para obtener
la función máxima.
La reamputación puede estar indicada para la deficiencia femoral focal y la ausencia congénita del peroné o la tibia a fin de
formar una extremidad residual más funcional y mejorar la colocación de una prótesis
Clasificación de Frantz y O’Rahilly:
Amelia es la ausencia completa de una extremidad
Hemimelia es la ausencia de una parte sustancial de una extremidad
Focomelia es la inserción de la parte terminal de la extremidad en o cerca del tronco.
Dx
Generalmente radiografía
A veces, estudios genéticos
Tx
Procedimientos quirúrgicos
Dispositivos protésicos
En un niño en crecimiento, el ajuste de
una prótesis puede ser difícil y requiere
ajustes frecuente:
El ajuste protésico en la extremidad
superior debe comenzar próximo al
momento en que el niño se equilibre
sentado, casi siempre alrededor de los
cuatro a seis meses de edad.
El ajuste de una prótesis para la
extremidad inferior a menudo comienza
cuando el niño desarrolla la capacidad
para gatear y tirar de algo para ponerse
de pie, por lo general a los ocho a 12
meses de edad.
Crónico-degenerativos
El 90% de las amputaciones mayores de extremidades inferiores son atribuidas a la presencia de
enfermedades crónico-degenerativas; de estas, el 60% son secundarias a procesos infecciosos,
el 30% a insuficiencia arterial y el restante 10% a trauma, cáncer y ciertos padecimientos
congénitos
La amputación de extremidades en el Instituto Mexicano del Seguro Social (IMSS)
principalmente se debe a enfermedades crónico-degenerativas no controladas como Diabetes
Mellitus y Aterosclerosis, por ello especialistas de la Institución recomiendan mantener un
régimen de vida saludable y llevar sus evaluaciones médicas periódicas.
Amputaciones traumáticas
Paciente típico: varón
15-30 años, trabajador
de campo, medio
industrial, conductores
de motocicletas y
personas que utilizan
equipos eléctricos
Segunda causa más frecuente de pérdida de miembro
Sangrado
Dolor
Tejido corporal aplastado
(destrozado, pero todavía
adherido parcialmente al músculo,
hueso, tendón o piel)
Síntomas:
Clasificación
Completa: La parte queda
separada completamente
del cuerpo
Parcial: Hay algo de
hueso, tejido o músculo
que mantiene en parte
unida al cuerpo la zona
afectada.
Limpia o en guillotina: presenta bordes nítidos y bien
definidos, así como una lesión de carácter localizado en
los tejidos blandos, los nervios y los vasos.
Por aplastamiento: hay una lesión más intensa de los
tejidos blandos, especialmente de la capa íntima de las
arterias. La lesión de los tejidos blandos puede ser
localizada o extenderse hasta una cierta distancia del
borde de la herida.
Por arrancamiento: distensión forzada con desgarro tisular.
Los nervios y los vasos sanguíneos muestran un desgarro
en diferentes zonas de la parte lesionada.
Las amputaciones también se pueden clasificar según el grado de lesión de los
tejidos blandos, los nervios y los vasos:
¿Qué hacer?
Principalmente enfocarse en
garantizar la estabilidad de un
paciente con una lesión grave y
cualquier lesión adicional.
Las amputaciones son lesiones
que distraen la atención y que
pueden provocar que se pasen
por alto otras afectaciones
críticas.
Limpiar la zona afectada del cuerpo
Proteger la zona afectada del cuerpo
Colocar la parte afectada en una bolsa de plástico cerrada o en un contenedor seco, e introducir la
bolsa en hielo. El miembro amputado no debe establecer contacto directo con el agua o el hielo, y
no se debe congelar.
No se debe utilizar nunca hielo seco como agente de enfriamiento
Si no se puede obtener agua o hielo, es necesario mantener alejado del calor el miembro
amputado.
1.
2.
3.
4.
5.
Todas las amputaciones requieren radiografías para evaluar el nivel de amputación del hueso,
fracturas o luxaciones adicionales y cualquier cuerpo extraño.
Una vez estabilizado el paciente...
¿Es posible salvar el miembro?
REIMPLANTES
Definición
Acto quirúrgico destinado a reubicar un miembro amputado en su posición natural
y a ser posible hacerlo funcional.
¿Es lo mismo reimplante que
revascularización?
REIMPLANTE
El término reimplante hace referencia a
volver a unir una parte que ha sido
completamente amputada
El término revascularización se usa para
describir la reparación de una parte del
miembro que ha sido amputada de forma
incompleta, quedando unida por tejidos
blandos (piel, nervios o tendones) y que
precisa de la reparación vascular para
prevenir la necrosis.
REVASCULARIZACIÓN
Antebrazo: 6-8h desde el momento de la lesión
Dedos: 8h si se mantienen “calientes” y hasta 24h si se mantienen en frío
Tipo de amputación: El mecanismo de lesión es el factor que influye en mayor medida sobre los resultados.
Localización: reimplantaciones que se efectúan en el miembro superior suelen tener mejores resultados que las
que se llevan a cabo en el miembro inferior
Tiempo de isquemia: Miembros amputados con gran cantidad de tejidos blandos presentan menor tolerancia a la
isquemia
Coexistencia de otras lesiones o enfermedades
Edad del paciente
Factores a tener en cuenta para salvar un miembro
Orden de reparación durante la reimplantación
1) Hueso
2) Tendón
3) Nervio
4) Vaso
5) Tejido blando
Indicaciones y contraindicaciones para realizar un reimplante
¿Reimplante en niños y adultos?
LA EDAD NO ES UNA CONTRAINDICACIÓN para un reimplante.
En los pacientes de tercera edad se deben examinar las arterias
para ver si existe arteriosclerosis, que ocasiona frecuentemente que
los vasos no sean permeables tras la anastomosis, motivo que
contraindica el reimplante.
En los niños, a diferencia de los adultos, la mayoría de los
segmentos amputados o devascularizados tienen indicación de
reimplantar porque las probabilidades de un buen resultado son
mayores.
Malformaciones
Congenitas del
Aparato
Locomotor
Carmen Adriana Arias Rodríguez
Jimena Beatriz Aguiar Cervera
Juan Carlos Velázquez Benitez
Traumatología y Ortopedía
Definición
Los defectos congénitos de las extremidades
implican extremidades faltantes, incompletas,
supernumerarias, o anormalmente desarrolladas
presentes en el nacimiento.
La mayoría se deben a inhibición del crecimiento
intrauterino primaria o interrupción secundaria a
destrucción intrauterina de tejidos embrionarios
normales. Las extremidades superiores son más
comúnmente afectadas.
BOYADJIEV BOYD, S. A. (S/F). MALFORMACIONES CONGÉNITAS DE LAS EXTREMIDADES. MANUAL MSD VERSIÓN PARA PROFESIONALES. RECUPERADO EL 2 DE SEPTIEMBRE DE 2023, DE
HTTPS://WWW.MSDMANUALS.COM/ES-MX/PROFESSIONAL/PEDIATR%C3%ADA/MALFORMACIONES-CONG%C3%A9NITAS-CRANEOFACIALES-Y-
MUSCULOESQUEL%C3%A9TICAS/MALFORMACIONES-CONG%C3%A9NITAS-DE-LAS-EXTREMIDADES
Directamente del mesénquima
(osificación intramembranosa)
Remplazando tejido cartilaginoso
previamente formado en el
mesénquima por tejido óseo
(osificación endocondral)
cartílago-> quinta semana
Deriva de condrocitos.
Huesos aparecen como
condensaciones mesenquimatosas
formando moldes de estos que luego se
transforman en tejido óseo.
Desarrollo de hueso y cartílago
Forma una capa membranosa que se condensa
para formar un molde óseo, células se
diferencian en osteoblastos--- centros de
osificación. (células vecinas- calcifica)
molde del hueso
cartílago
pericondrio- periostio
vasculatura, células pluripotenciales->
hematopoyeticas y osteoblastos
centros de osificación (diáfisis y epífisis
Huesos largos de las extremidades. (Después del
periodo embrionario)
Osificación intramembranosa
Osificación endocondral
Osificación de clavícula, mandíbula, maxilar, humero, radio, cúbito, fémur y tibia.
La escapula, coxal, peroné, falanges distales de la mano y ciertos huesos del
cráneo (osificación prematura).
Mitad de la vida prenatal: cráneo y vertebras
Antes de nacer: calcáneo, cuboides, fémur (distal), tibia (proximal)
Epífisis de extremidades, carpo, tarso. Niñas -> centros de osificación
Osificación secundaria de vertebras, costillas, clavícula, escápula y coxal.
2nda y 3era década: fusión de las epífisis y diáfisis.
Suturas de base del cráneo se empiezan a cerrar
Maduración esquelética
P. Embrionario:
P. Fetal:
Infancia:
Adolescencia:
E. Adulta:
Interzonas homogéneas: 6 semana- área condrógenica
entre extremidades-> +modelos cartilaginosos
Interzonas de 3 capas: 7. 2 condrogénicas y capa
intermedia (cápsula articular, ligamentos y membrana
sinovial
Cavitación articular: espacios en el centro de la
articulación ->cavidad articular
mesénquima interzonal ->cartílago, fibrocartílago o
tejido fibroso
no hay cavidad articular -> unión cabos óseos
calcificación en vida adulta (cráneo)
6ta inica- 8tava adulto
Articulaciones sinoviales
Articulaciones no sinoviales
EPAXIL (dorsal): músculos extensores del cuello y
columna vertebral
HIPOAXIL (ventral): músculos del cuello, flexores
laterales y ventrales de la columna
miotomos occipitales-> lengua.
Migración de mioblastos a arcos-> músculos
masticadores, expresión facial, faringe y laringe
Del mesénquima que rodea a los huesos en desarrollo
Células mesenquimatosas especializadas (mioblastos) -> Mesodermo intraembrionario
Miotomos de los somitos
Mesodermo de los arcos branquiales
Mesénquima que rodea a los huesos en desarrollo
Acondroplasia:
trastorno autosómico dominante
crecimiento endocondral
cráneo normal, longitud de extremidades alterada
Artrogriposis congénita múltiple:
inmovilidad articular <- falta de movilidad muscular
en el desarrollo
contracturas múltiple articulares
Distrofia miotónica:
herencia autosómica dominante
alteraciones en contracción muscular
Malformaciones congénitas que
afectan al aparato locomotor
Malformaciones
del
miembro
superior
La clasificación de malformaciones congénitas de
miembro superior desarrollada por Swanson en 1964,
respaldada por asociaciones médicas, se aceptó
internacionalmente en 1976 y actualmente se usa su
versión modificada por la IFSHH.
SARMIENTO-OSORIO, DIANA CAROLINA, GUILLÉN OLAYA, JAVIER FABRICIO, FRANCO
ZULUAGA, JORGE ANDRÉS, & GUTIÉRREZ GÓMEZ, MARÍA LUCÍA. (2020). MANUAL DE
MALFORMACIONES CONGÉNITAS DE MIEMBRO SUPERIOR EN FETOS O RECIÉN NACIDOS
BASADO EN ESTUDIOS CADAVÉRICOS. UNIVERSITAS MEDICA, 61(4), 88-106. EPUB
SEPTEMBER 30, 2020.HTTPS://DOI.ORG/10.11144/JAVERIANA.UMED61-4.MMCM
Deficiencia transversa en la formación del miembro superior o peromelia: 6% de
malformaciones congenitas de miemb. sup.
Deficiencia longitudinal en la formación del miembro superior:
Deficiencia congénita longitudinal pre axial o radial en la formación del miembro superior
Deficiencia congénita longitudinal central en la formación del miembro superior (mano
hendida)
Deficiencia congénita longitudinal pos axial o ulnar en la formación del miembro superior
Tipo I: Malformaciones en miembro
superior por fallo en la formación
Aqueiria y braquidactilia
Def. longitudinal
Sindactilia
1.
Tipo II: Malformaciones en miembro superior por
fallo en la diferenciacion o separación de las partes
2. Sinfalangismo 3. Camptodactilia
4. Clinodactilia 5. Sinostosis RUIZ, C. A. V., MARINA, D. P., VÁZQUEZ-VELA, C. C., & LEEDER, P. C. (2012). ANOMALÍAS CONGÉNITAS
MÁS COMUNES DE LA MANO. REVISTA MEXICANA DE ORTOPEDIA PEDIÁTRICA, 14(1), 5-11.
HTTPS://WWW.MEDIGRAPHIC.COM/PDFS/OPEDIATRIA/OP-2012/OP121B.PDF
Tipo III: Malformaciones en
miembro superior por duplicación
Polidactilia Dimelia ulnar
1:700-1,000 nacidos vivos
Mas frecuente polidactilia del pulgar o preaxial
Clasificación de Wassel
Mano en espejo
Expresión elevada aberrante de SHH
Clasificación de Al-Qattan
Tipo IV: Malformaciones en miembro
superior por crecimiento excesivo
Macrodactilia
Crecimiento excesivo y desproporcionado de todas las
estructuras de uno o más dígitos.
Mayor frecuencia en presentación pre axial.
Forma aislada o en algunos casos se asocia con
lipofibromatosis de las fibras nerviosas locales con mayor
frecuencia sobre la distribución correspondiente al nervio
mediano.
Asociado a pacientes que cursan con neurofibromatosis
o con alteraciones vasculares como hemangiomas y
enfermedad por insuficiencia venosa.
BERNAL GONZÁLEZ, MARIO DE JESÚS, CABRERA VILTRES, NELSON, ÁLVAREZ PLACERES, LEOPOLDO, NÁPOLES PÉREZ,
MAILYN, & AYALA CHINÉA, ÁNGEL PABLO. (2017). MACRODACTILIA. REVISTA CUBANA DE ORTOPEDIA Y
TRAUMATOLOGÍA, 31(1), 76-81. RECUPERADO EN 04 DE SEPTIEMBRE DE 2023, DE HTTP://SCIELO.SLD.CU/SCIELO.PHP?
SCRIPT=SCI_ARTTEXT&PID=S0864-215X2017000100007&LNG=ES&TLNG=ES.
Tipo V: Malformaciones en miembro superior
por crecimiento restringido o deficiencia
CARLOS RAÚL, SANTA MARÍA-RAMIREZ, & LEGUIZAMÓN MENDOZA, DEYSI MARÍA GLORIA. (2018). BRAQUIDACTILIA FAMILIAR
SIN COMPONENTE FUNCIONAL. REVISTA CIENTÍFICA CIENCIA MÉDICA, 21(2), 75-76. RECUPERADO EN 04 DE SEPTIEMBRE DE
2023, DE HTTP://WWW.SCIELO.ORG.BO/SCIELO.PHP?SCRIPT=SCI_ARTTEXT&PID=S1817-74332018000200014&LNG=ES&TLNG=ES.
Braquimetacarpia y braquidactilia Hipoplasia del pulgar
VERGARA AMADOR, ENRIQUE M. (2008). HIPOPLASIA DEL PULGAR: PRESENTACIÓN CLÍNICA Y RECONSTRUCCIÓN.
REVISTA DE LA FACULTAD DE MEDICINA, 56(1), 33-42. RETRIEVED SEPTEMBER 04, 2023, FROM
HTTP://WWW.SCIELO.ORG.CO/SCIELO.PHP?SCRIPT=SCI_ARTTEXT&PID=S0120-00112008000100005&LNG=EN&TLNG=ES.
Braquimetacarpia:
hipoplasia aislada en
metacrapiano
Braquidactilia: Hipoplasia
en 1 o más falanges
Falta de desarrollo,
desarrollo anormal o
ausencia de las
estructuras radiales del
antebrazo.
Clasificación de Blauth
Tipo VI: Malformaciones en miembro superior por
síndrome de bandas de constricción congénita
SARMIENTO-OSORIO, DIANA CAROLINA, GUILLÉN OLAYA, JAVIER FABRICIO, FRANCO ZULUAGA, JORGE ANDRÉS, & GUTIÉRREZ
GÓMEZ, MARÍA LUCÍA. (2020). MANUAL DE MALFORMACIONES CONGÉNITAS DE MIEMBRO SUPERIOR EN FETOS O RECIÉN
NACIDOS BASADO EN ESTUDIOS CADAVÉRICOS. UNIVERSITAS MEDICA, 61(4), 88-106. EPUB SEPTEMBER 30,
2020.HTTPS://DOI.ORG/10.11144/JAVERIANA.UMED61-4.MMCM
Acrosindactilia o seudosindactilia
1:1200 nacidos vivos
Necrosis focal de extremidad
Etapa pos embrionaria
Amputación por bandas anulares
provenientes de tejido coriónico... isquemia,
necrosis, amputación intrauterina.
Fusión de dígitos como cicatrización.
Acondroplasia Discondroplaisa Artrogriposis
Tipo VII: Malformaciones en miembro superior por
anomalias esqueléticas generalizadas
SARMIENTO-OSORIO, DIANA CAROLINA, GUILLÉN OLAYA, JAVIER FABRICIO, FRANCO ZULUAGA, JORGE ANDRÉS, & GUTIÉRREZ
GÓMEZ, MARÍA LUCÍA. (2020). MANUAL DE MALFORMACIONES CONGÉNITAS DE MIEMBRO SUPERIOR EN FETOS O RECIÉN
NACIDOS BASADO EN ESTUDIOS CADAVÉRICOS. UNIVERSITAS MEDICA, 61(4), 88-106. EPUB SEPTEMBER 30,
2020.HTTPS://DOI.ORG/10.11144/JAVERIANA.UMED61-4.MMCM
Malformaciones
del miembro
inferior
Se tratan sobre todo de malformaciones
longitudinales, donde se incluyen las
agenesias e hipoplasias del fémur, las
agenesias e hipoplasias del eje peronéo y las
del eje tibial. Las malformaciones
transversales son mucho menos frecuentes
que en los miembros superiores
UCM. (2014). TEMA 9. MALFORMACIONES CONGÉNITAS DE INTERÉS ORTOPÉDICO. UCM.ES. HTTPS://WWW.UCM.ES/DATA/CONT/DOCS/420-2014-03-20-
09%20MALFORMACIONES%20CONGENITAS.PDF
Cuando se altera la fisis del trocánter mayor se
produce la deformidad inversa al bloquearse el
crecimiento a este nivel y mantenerse el del
cartílago de conjunción de la cabeza femoral.
Incluye una gran variedad desde un
acortamiento discreto hasta la aplasia
completa. Se acompañan de alteraciones de las
partes blandas y de la movilidad/estabilidad de
cadera y rodilla.
Diagnóstico: Radiografía simple
COXA VALGA
Malformaciones femorales
UCM. (2014). TEMA 9. MALFORMACIONES CONGÉNITAS DE INTERÉS ORTOPÉDICO. UCM.ES. HTTPS://WWW.UCM.ES/DATA/CONT/DOCS/420-2014-03-20-09%20MALFORMACIONES%20CONGENITAS.PDF
Luxación congenita de
rodilla
La tibia está desplazada
por delante del fémur
colocando la rodilla en
hiperextensión e
hiperflexión de la cadera
llevando la cara anterior
del miembro inferior
contra tórax y abdomen
haciendo fácil su
diagnóstico en el
momento del
nacimiento.
Luxación.
Subluxación
Genum recurvatum
congénitos
Se diferencian 3 grados:
Diagnóstico: La
resonancia da poca
información. El
desplazamiento anterior
de la tibia se observa en
relación con la línea
anterior de la diáfisis
femora
UCM. (2014). TEMA 9. MALFORMACIONES CONGÉNITAS DE INTERÉS ORTOPÉDICO. UCM.ES. HTTPS://WWW.UCM.ES/DATA/CONT/DOCS/420-2014-03-20-09%20MALFORMACIONES%20CONGENITAS.PDF
Es la forma más frecuente de
malformación de los miembros
inferiores. Suele ser
esporádica y asociarse a
hipoplasia femoral
En las aplasias hay una bandeleta
fibrosa que sustituye al peroné y se
extiende hasta el calcáneo.
El pie está siempre afectado:
coaliciones tarsianas y la
ausencia de 1 a 3 radios
externos del pie.
Aplasias del peroné
UCM. (2014). TEMA 9. MALFORMACIONES CONGÉNITAS DE INTERÉS ORTOPÉDICO. UCM.ES. HTTPS://WWW.UCM.ES/DATA/CONT/DOCS/420-2014-03-20-09%20MALFORMACIONES%20CONGENITAS.PDF
Es una afección rara, de etiología
desconocida, se asocia a la
neurofibromatosis.
La pseudoartrosis es excepcional en el
momento del nacimiento y se desarrolla
habitualmente después del comienzo de
la marcha entre 1 y 3 años.
Los niños nacen con una incurvación
anterior y en varo de la tibia (nunca hay
una incurvación posterior)
Pseudoartrosis
congenita
de
la
tibia
UCM. (2014). TEMA 9. MALFORMACIONES CONGÉNITAS DE INTERÉS ORTOPÉDICO. UCM.ES. HTTPS://WWW.UCM.ES/DATA/CONT/DOCS/420-2014-03-20-09%20MALFORMACIONES%20CONGENITAS.PDF
Aparecen por acortamiento o hipertrofia de uno o varios
segmentos esqueléticos de un lado en relación con el otro a lo
que suman las malposiciones articulares.
las hipoplasias mayores de los miembros inferiores, las
osteocondrodisplasias por crecimiento anómalo fibroso o
cartilaginoso. Las hiperplasias unilaterales: displasia epifisaria
hemimélica y las formas secundarias a fístulas arteriovenosas
congénitas
Dismetrías
UCM. (2014). TEMA 9. MALFORMACIONES CONGÉNITAS DE INTERÉS ORTOPÉDICO. UCM.ES. HTTPS://WWW.UCM.ES/DATA/CONT/DOCS/420-2014-03-20-09%20MALFORMACIONES%20CONGENITAS.PDF
Asociación
VACTERL
V
Malformaciones
vertebrales
A Atresia anal
T
Fistula
traqueoesofágica
E Atresia esofágica
Grupo de defectos
de nacimiento que
ocurren juntos y que
afectan varias partes
del cuerpo.
C
Anomalías
cardiovasculares
R Anomalías renales
L
Otras anomalías en las
extremidades
MC, Á.-I., & CM, R.-M. (S/F). ASOCIACIÓN VACTERL. PRESENTACIÓN DE UN CASO EN
SESIÓN ANATOMO- PATOLÓGICA Y CONSIDERACIONES GENERALES. MEDIGRAPHIC.COM.
RECUPERADO EL 2 DE SEPTIEMBRE DE 2023, DE
HTTPS://WWW.MEDIGRAPHIC.COM/PDFS/ACTPEDMEX/APM-2017/APM175F.PDF
Etiología y
Características
Pronóstico
Su etiología es desconocida y probablemente
multifactorial, por lo que no puede
catalogarse como un síndrome específico
La presencia de las diversas malformaciones
en varias combinaciones es por lo que se
cataloga como una asociación y no como
síndrome con etiología única establecida.
Depende de la oportuna corrección quirúrgica
de los defectos que ponen en riesgo la vida del
paciente, siendo atresia esofágica y atresia
anal de los más importantes de corregir
rápidamente
Asociación VACTERL
MC, Á.-I., & CM, R.-M. (S/F). ASOCIACIÓN VACTERL. PRESENTACIÓN DE UN CASO EN SESIÓN ANATOMO- PATOLÓGICA Y CONSIDERACIONES GENERALES. MEDIGRAPHIC.COM. RECUPERADO EL 2 DE SEPTIEMBRE DE 2023, DE
HTTPS://WWW.MEDIGRAPHIC.COM/PDFS/ACTPEDMEX/APM-2017/APM175F.PDF
Asociación
VACTERL
Para su diagnóstico es necesario por lo menos 3
de los 7 criterios
Diagnóstico
MC, Á.-I., & CM, R.-M. (S/F). ASOCIACIÓN VACTERL. PRESENTACIÓN DE UN CASO EN SESIÓN ANATOMO- PATOLÓGICA Y CONSIDERACIONES GENERALES.
MEDIGRAPHIC.COM. RECUPERADO EL 2 DE SEPTIEMBRE DE 2023, DE HTTPS://WWW.MEDIGRAPHIC.COM/PDFS/ACTPEDMEX/APM-2017/APM175F.PDF
ANATOMÍA
FUNCIONAL
ESCAPULOHUMERAL
Docente:
Dr. José Antonio Delgado Pérez
Joseph Aguilar Tzuc
Jennifer Reyes Betaza
Karen Pamela Rosado Velázquez
Alumnos:
Lunes, 4 de septiembre de 2023.
Traumatología
y Ortopedia
INTRODUCCIÓN
El hombro es la articulación más móvil del cuerpo.
Glenohumeral
Esternoclavicular (SC),
Acromioclavicular (AC)
Escapulotorácica.
Movimiento producido por las interacciones entre las
articulaciones:
En conjunto, la interacción coordinada de estas estructuras
permite una extraordinaria libertad de movimiento y
función.
INTRODUCCIÓN
Acciones de la Articulación Glenohumeral
Flexión
Extensión
Abducción
Aducción
Rotación Interna (Medial)
Rotación Externa (Lateral)
Circunducción
Articulación Sinovial de Esfera y Cavidad, es la articulación
más movil y produce las siguientes acciones:
PUNTOS CLAVE DE LA ARTICULACIÓN
GLENOHUMERAL
ANATOMÍA ESCAPULOHUMERAL
RELACIONES ARTICULARES
ANATOMÍA ESCAPULOHUMERAL
ARTICULACIÓN
ESTERNOCLAVICULAR
Extremo Medial de la Clavícula
Manubrio del Esternón
Cartílago de Primera Costilla
Compuesta por el:
Sinovial en forma de silla de montar, une el esquelo axial
con el apendicular.
Elevación
Depresión
Protracción
Retracción
Rotación
Movimientos:
RELACIONES
ARTICULARES
ANATOMÍA ESCAPULOHUMERAL
ARTICULACIÓN
ACROMIOCLAVICULAR
Los movimientos son mínimos pero
importantes para dar la máxima movilidad
en la articulación escapulotorácica
Articulación diartrodial rodeada
por una cápsula y tiene
membrana sinovial
intraarticular y cartílago
articular
Rotación hacia arriba
Rotación hacia abajo
Rotación en plano horizontal
Rotación en plano sagital
Movimientos:
RELACIONES ARTICULARES
ANATOMÍA ESCAPULOHUMERAL
ARTICULACIÓN
ESCAPULOTORÁCICA
No se considera una verdadera
articulación
La escápula se desliza sobre un lecho muscular en la pared
torácica posterior y su forma se adapta a las costillas
subyacentes.
En reposo gira internamente (35-45°)
Hacia Arriba (3°)
Hacia Adelante (15-20°)
Movimientos:
RELACIONES ARTICULARES
Se encuentra donde la cabeza semiesférico del húmero se
articula con la cavidad glenoidea de la escápula.
ANATOMÍA ESCAPULOHUMERAL
La articulación que conectan
la escápula, la clavícula y el
húmero anclan la extremidad
superior al tronco.
RELACIONES ARTICULARES
ANATOMÍA ESCAPULOHUMERAL
Estas articulaciones son
interdependientes.
MANGUITO ROTADOR
Se refiere al conjunto de músculos y tendones que
proporcionan estabilidad al hombro.
Su importancia estriba en que mantienen la cabeza del húmero
dentro de la cavidad glenoidea de la escápula.
Subescapular
Rota internamente el
húmero.
Supraespinoso
Realiza los primeros 15 a
20 grados de separación
del brazo (movimiento de
abducción).
Infraespinoso
Rota el brazo
externamente
Redondo menor
Rota el brazo
externamente
ARTICULACIÓN
Rodete glenoideo
El manguito rotador tiene una función fundamental al estabilizar la
articulación glenohumeral.
Los grupos musculares además de producir movimientos del hombro,
mantienen la articulación estabilizada, y evitan que la cabeza humeral
se luxe en dirección anterior o superior.
LIGAMENTOS Y ANATOMÍA CAPSULAR
ARTICULACIÓN GLENOHUMERAL
LIGAMENTOS Y ANATOMÍA CAPSULAR
Externa: tejido fibroso laxo
Interna: membrana sinovial
Húmero: cuello anatómico
Escápula: dos líneas de inserción
Anterior e inferior
Superior y posterior
Cápsula articular
Inserciones
Entre los tubérculos
Entre ligamentos glenohumerales
superior y medio
Dos orificios
LIGAMENTOS Y ANATOMÍA CAPSULAR
Bursa subdeltoidea subacromial: entre la cápsula articular y el músculo deltoideo o acromion.
Bursa subcoracoidea: entre la cápsula del proceso coracoides de la escápula.
Bursa subescapular: entre la cápsula y el tendón subescapular
Bursa coracobraquial está entre los músculos subescapular y coracobraquial.
Líquido sinovial
LIGAMENTOS
L. coracohumeral L. glenohumeral superior L. glenohumeral medio
LIGAMENTOS
L. glenohumeral inferior L. transverso del húmero L. acromioclavicular
L. coracocromial L. coracoclavicular
Dolor
del
hombro
José Sala, Pamela Ceballos y
Roman Flores
Anatomia
Ligamentos
Huesos y
Músculos
Exp. Física
Maniobras Especiales
Sx. Arco Doloroso
Hawkins (pinzamiento
supraespinoso) y Jobe.
Gerber=Mano/Espalda
(subescapular).
Yergason=Supinación
(Tendón del Biceps).
Prueba de Jobe:
M. Supraespinoso
Tendinitis Bicipital
Inflamación C. Larga del Bicep Braquial--> Manguito Rotador
<-- Basket, Nadador, Béisbol, Golf y Tenis/ Repeticiones/Cargas pesadas.
Crioterapia
ptl 500mg 2/6 - 3/8
+ Piroxicam
CAPSULITIS
A D H E S I V A
¿QUÉ ES? ENFERMEDAD
CARACTERIZADA POR
RIGIDEZ Y DOLOR EN
LA ARTICULACIÓN DEL
HOMBRO
La necesidad de mantener el hombro
inmóvil por largos períodos de tiempo
aumenta el riesgo de padecer hombro
rígido.
SÍNTOMAS
ETAPA DE BLOQUEO
MOTOR ETAPA DE RIGIDEZ ETAPA DE ALIVIO
Cualquier movimiento del
hombro causa dolor, y la
capacidad de movimiento
se vuelve limitada
(entre 2 y 9 meses)
se manifiesta lentamente y en
tres etapas
El hombro se vuelve más
rígido y es cada vez más
difícil usarlo
El dolor puede disminuir
(entre 4 y 12 meses)
La capacidad de
movimiento del hombro
comienza a mejorar
(entre 5 y 24 meses)
CAUSA:
El hombro congelado o capsulitis adhesiva es
el resultado de la inflamación y el
endurecimiento de la cápsula alrededor de la
articulación del hombro.
FACTORES DE
RIESGO
Condiciones médicas
como diabetes, tiroides
hiperactiva o hipoactiva
Lesión previa: Inmovilidad o
movilidad reducida debido a
fractura de brazo, accidente
cerebrovascular o cirugías
como mastectomía
Edad: Más común entre
las personas mayores
Género: Las mujeres
tienen un mayor riesgo
de desarrollar hombro
congelado
DIAGNÓSTICO
Inspección: movimiento del hombro
Palpación: en partes del hombro para
ver qué puede estar causando el dolor
Se puede tomar una radiografía o una
exploración por resonancia magnética
Generalmente es por los síntomas del
paciente
Puede mejorar de forma natural,
pero tarda de 18-24 meses
Opciones de tratamiento:
Analgésicos.
Fisioterapia.
Infiltraciones de corticoesteroides
y anestésicos locales
Artroscopia de hombro y
manipulación bajo anestesia
Depende de la etapa de la condición y
la gravedad de su dolor y rigidez.
1.
2.
3.
4.
TRATAMIENTO
Tendinitis calcificante
¿QUÉ ES? ACUMULACIÓN DE
DEPÓSITOS DE CALCIO
EN EL INTERIOR DEL
TENDÓN, LO QUE PUEDE
CAUSAR DOLOR Y
LIMITACIÓN EN EL
MOVIMIENTO DE LA
ARTICULACIÓN
AFECTADA.
FASES Dos fases:
Formativa:
Dura de 1-6 años, no suele haber
dolor o muy poco
Reabsortiva: 1-6 meses, fase de
dolor agudo por la acumulación de
los cristales en la bolsa articular
SÍNTOMAS
DOLOR AGUDO RIGIDEZ NUEVO BROTE
Fase reabsortiva
Hombro y cara externa del
brazo sin razón aparente
Degeneración tendinosa sin
romper el tendón
Si el dolor se mantiene
puede causar una rigidez o
capsulitis
Puede desaparecer el dolor
hasta que aparece un nuevo
brote, aproximadamente de 1
mes a 2 años después
CAUSA:
Se desconocen las causas por las se
depositan cristales de calcio en el
hombro
FACTORES DE
RIESGO
Trastornos endocrinos
Brazo dominante
Tener en el otro hombro
30%
Sexo: Más frecuente en
mujeres
Otras calcificaiones
DIAGNÓSTICO
Radiografía por la visibilidad del
calcio, dos vistas
Resonancia y ecografía para localizar
el depósito
Localizaciones: Tendón supraespinoso
(65%), infraespinoso (30%) y
subescapular (5%)
Generalmente es por los síntomas del
paciente
Depende de los síntomas
Indoloro: sin tratamiento, esperar la
reabsroción (menos casos)
Dolor agudo: Analgésicos, AINES,
narcóticos y hielo (10-15 min 4 días)
Dolor intenso: Infiltraciones
anestésicas en la bolsa
Calcificación Grande: Punción con
ecografía para aspiración, solo con
tendón íntegro y calcio blando
CRÓNICO: cirugía (artroscopia), dolor de
más de 6 meses
TRATAMIENTO

Presentación de ortopedia, miembro superior

  • 1.
  • 3.
  • 4.
    Objetivos •Que necesitamos paradar Diagnósticos •Historia clínica ortopédica •Exploración ortopédica •Métodos Diagnósticos de gabinete •Tratamientos
  • 5.
    Historia clínica Presentación para el paciente Interrogatoriodirigido y presuntivo Antecedentes Motivo de consulta
  • 6.
  • 7.
  • 8.
  • 9.
  • 13.
    • Exploración respeto •Protección personal • Acompañamiento • Protección legal
  • 14.
  • 16.
  • 17.
  • 18.
    Principios generales • Estudiode zona explorada • Adecuada calidad • Dos proyecciones • Valorar todo el estudio, partes blandas y huesos • Estudio comparativo en tiempo y espacio
  • 19.
    Nivel de radiodensidad • Mayor radiodensidad (radiopacos) → Menor radiodensidad (radiolucido) • Metal → Hueso → Agua (músculo/grasa) → Aire • Anatomía • Diferencias • Patrones
  • 20.
    Que ven? MoteadoApolillado Permeativo
  • 21.
    Goldstandar • Aspectos quedeben tenerse en cuenta ante una lesión ósea • • Tamaño. • • Número (si la lesión es única o son múltiples lesiones). • • Forma (si son alargadas o redondeadas). • • Márgenes. • • Trabeculaciones. • • Calcificaciones. • • Afectación cortical (si existe erosión, penetración o expansión). • • Respuesta perióstica (si está ausente, si hay capas apuestas, si existe triángulo de Codman o en sol radiante). • • Localización en el hueso (si está en la diáfisis, en la metáfisis o en la epífisis). • • Localización en el esqueleto (axial, troncozonal o periférica). • • Posición en el hueso (central, cortical o parostal). • • Patrón de destrucción ósea (geográfico, apolillado o permeable). Segmento anatómico Proyecciones más habituales Huesos largos AP, L Mano AP, oblicuas Muñeca AP, L, oblicuas Codo AP, L Hombro AP, transescapular, transtorácica Tórax PA, L, parrilla costal Pelvis AP, outlet, inlet Acetábulo AP, alar, obturatriz Cadera AP, axial Rodilla AP, L, oblicuas, axial Tobillo AP, L, mortaja Pie AP, oblicuas Columna cervical AP, L, transoral, nadador Columna dorsal AP, L Columna lumbar AP, L
  • 22.
    Complementarios Exámenes de laboratorio(p. ej., análisis de sangre y de orina, análisis de líquido sinovial en las artritis inflamatorias, cultivo de exudados en las infecciones, biopsias en los tumores, etc.). • Exámenes eléctricos (p. ej., estudios de conducción nerviosa en las lesiones de nervios periféricos, electromiografía en las miopatías, etc.). • Técnicas de imagen especiales (p. ej., tomografía computarizada, ecografía, resonancia magnética, densitometría, etc.). • Técnicas de imagen funcionales (p. ej., gammagrafía ósea, tomografía por emisión de positrones [PET], etc.).
  • 23.
  • 24.
  • 25.
    Tomografía • Delimita lesionesoseas y articulares complejas • Bajo costo y rapido
  • 26.
    Usg • No invasivo •Lesiones superficales • Analgesia
  • 27.
  • 28.
  • 30.
    Evaluación inicial Que hueso? Quesegmento óseo? Que tipo de fractura? Que tipo de mecanismo?
  • 31.
  • 32.
  • 33.
    Que tipo defractura? Simple Simpl e Tercer fragme nto Bifocal
  • 34.
    Que tipo demecanismo? • La fractura se produce en el sitio de impacto. Una contusión ocasiona una fractura transversal generalmente con conminución, dependiendo de la intensidad del impacto: • Proyectil de arma de fuego. • Arma blanca. Directo • La fractura se produce en un sitio distante a la al sitio del impacto. Intervienen distintas fuerzas solas o combinadas y ocasionan fracturas especificas: • Flexión o inclinación (tensión y comprensión). • Tensión pura. • Compresión pura. • Torsión, giro o torque. Indirecto
  • 35.
    Que tipo deesfuerzo?
  • 36.
    Que tipo deesfuerzo? • Flexión • Cuando es sometido a dos fuerzas en la misma dirección pero en sentido contrario, sufre un momento de flexión y descompone en dos fuerzas diferentes: tensión en una cortical y compresión en la cortical opuesta. El hueso cortical soporta mejor fuerzas compresivas, por lo que generalmente se rompe por aumento en la fuerza de tensión. En niños ocasiona las fracturas en rama verde y en adultos una fractura lineal, transversa u oblicua, casi siempre con un tercer fragmento pequeño en cuña. • Tensión • Tracción de un musculo o ligamento al hueso que se inserta y le provoca una
  • 37.
    Que tipo deesfuerzo? • Compresión • Fuerza centrípeta, axial, sin flexión. Hueso esponjoso. Fracturas por aplastamiento, hundimiento, estallido. En niños se presenta como una fractura en rodete o torus. • Torsión • Dos fuerzas de rotación en sentido contrario alrededor de un eje y ocasiona fracturas helicoidales o espiroideas. • Cizallamiento • Dos fuerzas paralelas en sentido contrario que desplazan al hueso siguiendo el plano de las fuerzas.
  • 38.
    Clasificacion basica • Generaldescriptiva • Se determinan todas las características de la fractura, tanto en forma clínica como radiográfica y se enumeran adecuadamente. Útil cuando se trata de describir una fractura en una radiografía. • Winquist y Hansen para fracturas diafisarias. • Valora el tamaño del tercer fragmento. • AO para fracturas metafisarias. • Para determinar si es articular y que severidad tiene.
  • 39.
    Por su mecanismode produccion • Directo • Golpe leve • Fracturas transversas sin leison importante en partes blandas. • Aplastamiento • Mecanismo intenso, ocasiona extenso daño a hueso y tejidos blandos. • Penetrante • Puede ser por arma de fuego o arma blanca. Las heridas PAF pueden ser de alta velocidad y baja velocidad y varían en la severidad de la lesión ósea y partes blandas. • Indirecto • Tracción • Torsión • Flexión • Compresión • Cizallamiento
  • 40.
    Por su relacióncon el medio externo 1 2 3 A B C
  • 41.
    Por su etiologia •Habitual • Fuerza externa suficiente para producir lesión sobre un hueso sano. • Terreno previamente dañado • Producida por un truama leve o por contracción muscular sobre un hueso frágil. • Fatiga • Fuerza de baja intensidad de forma repetitiva.
  • 42.
    Por la intensidaddel truamatismo • Baja energía • Con mínima lesión a partes blandas. • Alta energía • Severa lesión alrededor de la fractura
  • 43.
    Por las lesiones agregadas •Simple • Sin lesiones asociadas. • Complicada • Fractura-luxación • Lesión vascular • Lesión neurológica • Expuesta
  • 44.
    Por el gradode estabilidad • Estables • Fracturas alineadas, simples. • Inestables • Conminutas, varios fragmentos, desplazadas.
  • 45.
    Por su extension •Completa • Incompleta • Rama verde • Rodete o torus
  • 46.
    Por la relaciónentre los fragmentos • Alineada • Desplazada
  • 47.
    Por su relacióncon la articulación • Extraarticular • Intraarticular
  • 48.
    Por su localizacion •Epífisis • Metafisis • Diáfisis • Proximal, medio, distal • Combinadas • Especificas
  • 49.
    Por su configuracion •Transversa • Oblicua • Corta o larga • Espiroidea o helicoidal
  • 50.
    Por el numerode fragmentos • Bifragmentaria o simple • Trifragmentaria o en cuña • Cuña simple, cuña de torsión • Conminuta • Segmentaria
  • 51.
  • 52.
  • 53.
  • 54.
    Lesión fisaria I. Fracturametafisaria que se extiende hasta la fisis. II. Deslizamiento de la fisis. Salter I. III. Deslizamiento de la fisis hacia la metafisis con triangulo de Truston- Holland. Saltera II. IV. Transfisaria. Salter III.
  • 55.
  • 56.
    Tx Médico •Control dedaños •Manejo de Dolor •Inmovilización adecuada •Grados de desplazamiento •Tipo de lesión
  • 57.
  • 58.
    Inmovilización de fracturas Técnica básica:normas generals Estar seguro del diagnóstico Retirar sortijas, pulseras y demás de miembro afecto Valoración del material necesario Colocar el miembro afectado Proteger las prominencias óseas Vendar desde la zona distal a la proximal, de articulación a articulación Evitar arrugas y giros de venda Dar dos vueltas al comenzar el vendaje Un vendaje aplicada incorrectamente no sólo dejará de cumplir su función, sino que puede provocar complicaciones graves.
  • 59.
  • 60.
    Traumático • Evaluar personalidadde la fractura • indicaciones absolutas y relativas • Historia del paciente
  • 61.
    Urgencia en Ortopedia •Fracturas expuestas, fracturas con lesión fisiaria • Artritis Séptica • Síndrome compartimental • Luxaciones Irreductibles • Politrauma inestabilidad pélvica o espinal
  • 62.
  • 64.
  • 66.
  • 67.
  • 68.
  • 69.
  • 70.
  • 71.
  • 72.
  • 73.
  • 74.
  • 75.
  • 76.
  • 77.
  • 78.
  • 79.
  • 80.
  • 81.
  • 82.
  • 83.
  • 84.
  • 85.
    OSTEOMIELITIS Y ARTRITIS PIOGENA. CONCEPTOSACTUALES DE TRATAMIENTO ORTOPÉDICO. DR. José Antonio Delgado Pérez INSTITUTO NACIONAL DE PEDIATRÍA.
  • 87.
    Epidemióloga • Incidencia 0.2a 1.6/1000 niños por año • Mayor presentación en hombres 2:1 • Países en vías de desarrollo
  • 89.
  • 90.
  • 91.
    Aguda • Más frecuenteen menores de 5 años. • Staphylococcus aureus (70%-90%) • Otros organismos. • Inmunocompromiso. • Hospitalización prolongada y procedimientos invasivos.
  • 92.
  • 93.
    Aguda • CUADRO CLÍNCIO •Fiebre, letargo, irritabilidad, poco apetito. • Calor, eritema, dolor y edema (en zona de lesión). • Preguntar por trauma localizado e infecciones recientes. • Descartar otras patologías.
  • 94.
    Aguda • FISIOPATOLOGÍA. • Regionesmetafisarias de huesos largos. 75% • fémur 29% Tibia 22% • húmero 12% peroné 5% • radio 4% cúbito 3%
  • 95.
    Aguda • Otitis Media •Sinusitis • Faringitis.
  • 98.
    Aguda • Radiografías • Laboratorios(BH completa, VSG, PCR) • Resonancia Magnética. • Gammagrafía
  • 100.
    Aguda • Tratamiento antibióticono especificó • Tratamiento específico después del cultivo • Tratamiento quirúrgico en expuestas (17% de recurrencia) • Seguimiento con BH, PCR y VSG
  • 101.
  • 102.
    Aguda • Complicaciones: • Infeccióncrónica • necrosis avascular • trombosis venosa • embolismo pulmonar • alteraciones multisistémicas
  • 104.
    Crónica • Necrosis ósea, •Secuestros e involucros • Defectos óseos segmentarios
  • 105.
    Crónica • Secundario aun diagnóstico tardío de una Osteomielitis aguda o a un mal manejo. • Antibiótico adecuado por tres semanas o menos.
  • 106.
    Crónica • S. Aureus. •Tibia • Fémur y húmero
  • 107.
    Crónica • Erradicar elorganismo causal • Eliminar el tejido destruido e inflamatorio • Restaurar la función anatómica.
  • 108.
    Crónica • TRATAMIENTO • Antibióticos •Desbridamiento (promedio 3) • Manejo de secuelas • injertos, transportes óseos.
  • 110.
    Crónica • COMPLICACIONES • RECURRENCIA..... • Deformidades angulares, pseudoartrosis, • Edema, dolor y hasta luxaciones articulares.
  • 117.
    Tratamiento médico • Aguda ...intravenoso • Crónico .... 3 fases • Cirugia legrado óseo • Antibióticos sistémico 4 a 6 semanas • Antibióticos local
  • 121.
  • 122.
    Epidemiología • Más comúnque la Osteomielitis 2- 1. • 70% niños de 1 a 5 años (50% menores de 2 años) • 94% monoarticular
  • 123.
    Epidemiología • Cadera 41%rodilla 23% • Tobillo 14% codo 12% • Muñeca 4% hombro 4%
  • 124.
  • 125.
    Fisiopatología • Siembra hematógenade la sinovial durante la bacteremia. • Osteomielitis adyacente. • rodilla 31% cadera 23% tobillo 18% codo 14%
  • 126.
    Evaluación • Radiografías • BH,PCR VSG, tiempos • En cadera tomar ultrasonido. • DX DIFERENCIALES • Sinovitis transitoria, artritis reactiva, neoplasias, trauma, Perthes,
  • 127.
    Evaluación • CRITERIOS DEKOCHER • fiebre mayor a 38.5 • sin apoyo • leucocitos mayor a 12,000 • VSG mayor a 40 mm/h o PCR mayor a 10
  • 129.
    Diagnóstico • Punción • Tinciónde Gram y cultivo • leucocitos arriba de 50,000 mm3 (polimorfonucleares) • Proteínas • baja concentración de glucosa (menos 30% sérico.)
  • 130.
    Tratamiento • Antibióticos. (Similara osteomielitis) • 4 semanas
  • 131.
  • 132.
  • 133.
    Complicaciones • Sepsis • Artrofibrosis •Artrosis prematura • Osteonecrosis (fémur próximal) • Infección persistente.
  • 135.
    SINOVITIS TRANSITORIA LEGG CALVEPERTHES ARTRITIS SEPTICA Diagnóstico diferencial ... PERLAS dolor en CADERA
  • 136.
    • Diferenciar causasde dolor en la cadera del paciente pediatrico • No retrasar Diagnósticos de Urgencia • Diferenciación clínica
  • 137.
    Sinovitis Transitoria • Causamas común de dolor en cadera • 3 - 8 años • LADO DERECHO >>> • Masculino >> 2:1 Femenino
  • 138.
    Artritis Séptica • Urgenciaen Ortopedia • Daño y destrucción de cartílago articular irreversible • lesión a la cadera en horas (mayor a 8 hrs) • inoculación hematogena o por contigüidad • Mas común en neonatos >2años • focos múltiples …
  • 139.
    Legg Calve Perthes •1910. • Etiología ? NAV • Masculino 4>1 Femenino • Bilateral 20% = 18 meses • 3 - 10 años
  • 140.
    Presentación Clínica • Dolor •AS/St moderado a severo • Perthes nulo a moderado • *todos los pacientes con dolor en la rodilla deben de ser explorados de la cadera • Marcha • AS/St negación • Perthes Trendelemburg • *fase corta de apoyo de miembro pélvico afectado • Fiebre • AS > 38 • St =< 38 • Perthes +/-
  • 141.
    Movimiento • AS • Nulos •At • moderados con limitación • Perthes • Normales, Limitación de rotación interna y flexión
  • 142.
  • 144.
  • 145.
  • 146.
    Recordar • Manejo multidisciplinario •Manejo quirúrgico prioritario ... artritis séptica es urgencia • Valoración neonatal • Siempre tomar cultivos • Cualquier niño que niega el apoyo tiene que ser referido • Signos vitales >38 +++ • Rangos de Movilidad • Criterios
  • 147.
    .??? Dr. José AntonioDelgado Pérez ortoblastos@gmail.com 55 2341 4920
  • 148.
    ARTICULACIONES EQUIPO 1: ANDRÉS AMAYA,TOMÁS AÑEZ Y GABRIEL HENRÍQUEZ TRAUMATOLOGÍA Y ORTOPEDIA
  • 149.
    ¿Que es unaarticulacion? Union y/o punto de giro entre dos o mas huesos que permite crear unidades funcionales cinematicas.
  • 150.
    VASCULARIZACION E INERVACIONARTICULAR Arterias articulares se originan de anastomosis arterial periarticular y son acompañadas de venas satelites Nervios articulares provienen de ramas que tambien inervan piel y musculo adyacente (Ley de Hilton). Nociceptores comunes en membrana fibrosa y en ligamentos asociados, membrana sinovial insensible. Producen propiocepcion.
  • 151.
    PLANOS Y EJESANATOMICOS
  • 152.
    Planos en loscuales una articulación tiene libertad de movilidad. Existen 1, 2 y 3 GL. Grados de libertad
  • 153.
    OSTEOCINETICA Estudio de movimientos deuna articulación respecto a un eje anatómico. Son macromovimientos
  • 154.
    Rodar Deslizar Rotar Estudio de movimientos dearticulaciones intrínsecamente, sin tomar en cuenta ejes anatómicos o huesos ARTROCINEMATICA
  • 155.
  • 156.
  • 157.
    ARTROCINEMATICA Movimiento de rodaduraes en la misma dirección que la osteocinemática Dependiendo si la superficie articular del componente móvil es: Convexa, se desliza en sentido contrario que la rodadura Cóncava, se desliza al mismo sentido que la rodadura Regla Cóncavo-Convexo 1. 2. a. b.
  • 158.
    Capa de cartílago(hialino) Cápsula articular (membrana sinovial y membrana fibrosa externa) ARTICULACIONES SINOVIALES TIPOS DE ARTICULACIONES
  • 159.
    Planas: Acromioclavicular Bisagra: Humerocubital Esférica:Coxofemoral Tipos: TIPOS DE ARTICULACIONES SINOVIALES
  • 160.
    Pivote: Atlantoaxial Bicondílea: Tibiofemoral Condílea:Radiocarpiana En silla de montar: Carpometacarpiana del pulgar Tipos: TIPOS DE ARTICULACIONES SINOVIALES
  • 161.
  • 162.
    Lesiones de meniscosy fibrocartílagos Tejido con características intermedias entre el tejido conjuntivo denso y cartílago hialino. Ubicado en discos IV, puntos en los que algunos tendones y ligamentos se insertan en los y en la sínfisis del pubis. Siempre está asociado a TCD y sus límites son imprecisos
  • 163.
    Lesiones de meniscosy fibrocartílagos Discos IV Labrum (Glenoideo y cadera) Fibrocartílago triangular Meniscos Lesiones en fibrocartílagos
  • 164.
    Lesiones de meniscosy fibrocartílagos Discos intervertebrales Deshidratación del disco Protrusión de disco Hernia discal Hernia central (posterior). Produce dolor bilateral. Hernia lateral. Produce dolor unilateral. Hernia posterolateral Hernia axial Artrosis Lesiones en fibrocartílagos
  • 165.
    Lesiones de meniscosy fibrocartílagos Labrum glenoideo (Rodete) 85% de los pacientes > 50 años presentan degeneración. SLAP (Superior Labrum Anterior and Posterior) Lesión de Banckart (ALPSA): desgarro del labrum asociado a lesión anterior Etiología Compresión Tracción brusca del miembro superior Microtraumatismos repetidos en abducción y rotación externa Lesiones en fibrocartílagos
  • 166.
    Lesiones de meniscosy fibrocartílagos Labrum de cadera Desgarro Artrosis Etiología Traumatismos (choque femoroacetabular) Movimientos repetitivos (actividades deportivas provocan desgaste natural) Problemas de alineación de la articulación de la cadera Lesiones en fibrocartílagos
  • 167.
    Lesiones de meniscosy fibrocartílagos Fibrocartílago triangular: principal componente estabilizador de la articulación radioulnar distal Fractura: Se puede fracturar en combinación con fractura de radio distal Común en caídas con hiperextensión Maniobras de provocación del dolor Test de Grind Test de compresión Test del Meniscoide o Waiter Lesiones en fibrocartílagos
  • 168.
    Lesiones de meniscosy fibrocartílagos Fibrocartílago triangular Clasificación de Palmer (1989): Traumáticas o degenerativas + localización Clasificación de Atzei: Valoración de la repercusión clínica y funcional de la lesión Lesiones en fibrocartílagos
  • 169.
    Lesiones de meniscosy fibrocartílagos Lesiones meniscales tienen 3 planos Plano vertical Longitudinales: Simples o en Asa de balde Transversales Oblicuas Horizontal: Roturas en boca de pez Combinadas Pedunculadas En pico de loro Formas más frecuentes son las longitudinales en asa de balde, las cuales son responsables del bloqueo articular y predominan en menisco interno. Formas transversales predominan en menisco externo y no producen bloqueo Meniscos
  • 170.
    Lesiones de meniscosy fibrocartílagos Lesiones meniscales tienen 3 planos Son frecuentes en adultos jóvenes, relacionada con la práctica de deportes como fútbol, tenis y esquí. Mecanismo: Se producen por rotación con la rodilla en flexión Menisco queda atrapado entre cóndilos femorales y platillos tibiales Zonas frecuentes de lesión son las de mayor fijeza= menisco interno, cuerno posterior Meniscos
  • 171.
    Lesiones de meniscosy fibrocartílagos Lesiones meniscales Lesión aguda Dolor intenso acompañado de crujido o desgarro a la palpación. Evidente en la interlínea articular Derrame articular Bloqueo articular Lesión crónica Dolor impreciso Inestabilidad articular Incapacidad para actividades de mayor exigencia física Derrame articular ocasional Chasquidos Meniscos
  • 172.
    Lesiones de meniscosy fibrocartílagos Diagnóstico diferencial Meniscos discoideos Quistes de meniscos Tratamiento Lesión aguda Reposo absoluto Analgésicos Calor o frío local Rehabilitación Lesión crónica Cirugía artroscópica Meniscorrafia Menisectomía parcial Meniscos
  • 173.
    Ximena Avelar Villaseñor CarlaSoto Lopez Mauricio Aguilar Jonapá Artritis Reumatoide
  • 174.
    ¿Qué es laartritis reumatoide? La artritis reumatoide es una enfermedad inflamatoria crónica sistémica de etiología incierta, caracterizada por una poliartritis erosiva simétrica que produce una incapacidad progresiva. Se caracteriza por su curso variable y prolongado, con exacerbación y remisión de los dolores articulares y tumefacción que conducen a deformidades progresivas. ● Se manifiesta con frecuencia entre los 60 y 75 años. ● Relación mujer:hombre de 3:1 ● Presentación característica: dolor y rigidez en las articulaciones pequeñas de las manos y los pies.
  • 175.
    Patología clínica ● Predisposicióngenética. ● Infecciones que causan una activación inmunitaria y respuesta cruzada con antígenos endógenos en la sinovial y en otros tejidos. ● Variantes HLA DR4 y DR1, y otros genes implicados en la respuesta inmunitaria. ● Tabaquismo. → Embarazo es un efecto protector. Histológicamente se puede observar inflamación sinovial con infiltrado de linfocitos, polimorfonucleares y macrofagos con hipertrofia sinovial → Estas celulas liveran TNF, IL-1, IL-6, RANKL (activadores de osteoclastos e incremento de proteasa) → Degradacion de ligamentos, tendones, huesos y cartilagos.
  • 176.
    Presentación Al inicio sepresenta como: ● Dolor. ● Rigidez (Mañana >1hr de duración). ● Tumefacción sinovial y dolor en la palpación con aumento de temperatura de las articulación afectadas. Deformidad articular con el paso del tiempo en las: ● Manos. ● Muñecas. ● Pies. ● Otros. La evolución clínica con empeoramiento y remisiones.
  • 177.
    Manifestaciones extraarticulares ● Fiebre,cansancio y pérdida de peso. ● Nódulos reumatoides. ● Escleritis y queratoconjuntivitis. ● Ojos y boca seca (síndrome Sjogren). ● Pericarditis y pleuritis. ● Fibrosis pulmonar y nódulos pulmonares. ● Anemia. ● Amiloidosis (infrecuente). ● Vasculitis (infrecuente). ● Síndrome de Felty (infrecuente), con esplenomegalia, leucopenia, adenopatía, anemia y trombocitopenia.
  • 179.
    Criterios de diagnóstico Eldx de la AR se debe realizar basándose en la historia clínica, la exploración radiográfica y los hallazgos de laboratorio, después de descartar otras enfermedades Se asignan puntos a criterios clínicos individuales y, si la puntuación supera seis puntos, se confirma el diagnóstico de AR. Criterios diagnósticos del ACR/EULAR 2010.
  • 180.
    Pruebas complementarias - Análisisde sangre ordinarios: anemia normocítica normocrómica, trombocitosis, VSG alta, CRP alta, ALP ligeramente alta. - Análisis inmunológicos: AAPC positivos y/o RF positivo (70-75%) - Líquido sinovial: estéril y turbio con aumento del número de leucocitos y viscosidad baja. - Pruebas de imagen: osteoporosis y erosiones periarticulares en las radiografías. La ecografía y la RM no se utilizan habitualmente, pero pueden ser útiles para detectar sinovitis subclínica y erosiones incipientes que no son visibles en las radiografías.
  • 181.
    Imagenología El primer signoradiográfico de afectación reumatoide es la osteopenia local, y con la progresión de la enfermedad, aparecen erosiones y quistes. Aunque no es frecuente, en ocasiones se observa destrucción articular masiva - Aumento de las partes blandas a expensas de la hipertrofia sinovial y el derrame articular - Etapas tardías: Se observan luxaciones o subluxaciones articulares, sobre todo en manos y pies. La anquilosis ósea, propia de las muñecas y tobillos, es difícil de observar.
  • 183.
    Tratamiento Fármacos antirreumáticos modificadores dela enfermedad Fármacos antirreumáticos biológicos -Metotrexato -Azatioprina -Sulfasalacina -Inhibidores del TNF -Tratamiento antilinfocitos B -Tratamiento anti IL-6
  • 185.
    OSTEOARTRITIS Ana Gabriela AndradeAnzola ID 00439035 Mauricio Ramirez Ávila ID 00455836 Angeles Denisse Palmero Lanz ID 00407734
  • 186.
    REVISIÓN DE CIENCIAS BASICAS Osmosis- Osteoarthritis: Video, anatomy, definition & function | osmosis.
  • 187.
    OSTEO-ARTR-ITIS Trastorno degenerativo crónicode articulaciones relacionado con edad, se produce un ablandamiento progresivo y destrucción del cartílago articular. Suele acompañarse de osteofitos (espolones óseos), formación de quistes subcondrales, sinovitis leve y fibrosis capsular. Factores de riesgo: edad avanzada, traumatismo articular, ocupación (futbolistas- rodilla), obesidad, tabaquismo, sexo femenino, antecedentes familiares post-ovicio. Aunque hay algunos signos de inflamación, no se trata principalmente de una artritis inflamatoria. HUESO CARTÍLAGO ARTICULAR INFLAMACIÓN Osmosis - Osteoarthritis: Video, anatomy, definition & function | osmosis. Mohindra M, Jain JK. Fundamentals of orthopedics. 2nd ed. New Delhi, India: Jaypee Brothers Medical; 2017.
  • 188.
    Consejo de SalubridadGeneral. Diagnóstico y tratamiento de osteoartrosis en rodilla GPC. México: Gobierno Federal; 2014. FACTORES DE RIESGO
  • 189.
    Desequilibrio entre reparaciónnormal del cartílago y la degeneración (mediada por condrocitos), que conduce a la pérdida de cartílago, también participan citocinas (IL1, TNF-alfa) La pérdida de cartílago es asimétrica (por ejemplo, en la rodilla, el compartimento medial se afecta con más frecuencia que el lateral) Una vez que se pierde el cartílago, los huesos comienzan a frotarse entre sí (eburnación). El hueso subcondral muestra marcada actividad osteoblástica que se presenta como esclerosis subcondral. Articulaciones comúnmente afectadas: Rodilla (la más común) Cadera, DIP (interfalángica distal) PIP (interfalángica proximal) PATOLOGÍA Osmosis - Osteoarthritis: Video, anatomy, definition & function | osmosis. Mohindra M, Jain JK. Fundamentals of orthopedics. 2nd ed. New Delhi, India: Jaypee Brothers Medical; 2017. Columna lumbosacra Articulación metatarsofalángica
  • 190.
    Dolor articular asimétricoque se agrava con el esfuerzo y se alivia con el reposo (posibles causas: inflamación sinovial, espasmo muscular, microfracturas, estiramiento del nervio perióstico, distensión por derrame articular) Dolor en las articulaciones que comenzó en una articulación aislada, rango de movimiento limitado. (sobre todo la flexión) Rigidez en periodos de inactividad, dificultad para realizar actividades diarias (rigidez mínima matutina= menos de 30m) Sin síntomas sistémicos Aumento de volumen intermitente que no es mayor al doble del tamaño articular No se acompaña de aumento de temperatura o de cambio de coloración. Crepitación ósea Sonido que se produce cuando dos superficies óseas rozan o se mueven entre sí CARACTERÍSTICAS CLÍNICAS Mohindra M, Jain JK. Fundamental s of orthopedics. 2nd ed. New Delhi, India: Jaypee Brothers Medical; 2017. Go A. First aid for the USMLE step 2: A student- to-student guide. Stamford, CT: Appleton & Lange; 2022.
  • 191.
    The pain istypically aggravated on exertion and relieved on taking rest unlike rheumatoid and other inflammatory arthritis Mohindra M, Jain JK. Fundamentals of orthopedics. 2nd ed. New Delhi, India: Jaypee Brothers Medical; 2017. Go A. First aid for the USMLE step 2: A student-to-student guide. Stamford, CT: Appleton & Lange; 2022. Carpometacarpal (CMC)
  • 192.
    CARACTERÍSTICAS CLÍNICAS Fig. Osteofitosmarginales seagull wings sign: Estrechamiento irregular del espacio articular y osteofitos marginales de las articulaciones IP que se asemejan a una gaviota voladora.
  • 193.
    01 Dolor EVA Índice de WOMAC The KneeSociety Clinical System AMICAL Kellgren y Lawrence Clasificación Ahlback Historia familiar, factores de riesgo de osteoartrosis Rigidez articular matutina < 1 hr, promedio < 30 min. Dolor articular intenso que incrementa con la bipedestación prolongada, al inicio de la marcha, al subir escaleras y que disminuye con reposo Dolor y espasmo muscular Deformidades óseas, contractura, rigidez y crepitación de la rodilla al movimiento. Derrame articular sin aumento de temperatura. CRITERIOS DIAGNÓSTICOS ANTECEDENTES Y DATOS CLÍNICOS 02 EVALUACIONES Instituto Mexicano del Seguro Social. Prevención, Diagnóstico y Tratamiento de Rehabilitación en el Paciente Adulto con Osteoartrosis de Rodilla en los Tres Niveles de Atención. México: Gobierno Federal; 2014.
  • 194.
    Grave CRITERIOS DIAGNÓSTICOS KELLENGREN YLAWRENCE AHLBACK Instituto Mexicano del Seguro Social. Prevención, Diagnóstico y Tratamiento de Rehabilitación en el Paciente Adulto con Osteoartrosis de Rodilla en los Tres Niveles de Atención. México: Gobierno Federal; 2014.
  • 195.
    03 CRITERIOS DIAGNÓSTICOS RAYOS X Disminucióndel espacio articular Asimétrica, medial > lateral Esclerosis subcondral Quiste subcondral Osteofitos Cuerpos libres Etapas avanzadas: Deformaciones articulares Heberden nodes and Bouchard nodes Subluxación articular HALLMARK´S RADIOLOGICAL FEATURES 04 AP y lateral Pérdida del espacio articular, Osteofitos, Esclerosis subcondral 05 LABS ESR: Tasa de sedimentación eritrocítica C-reactiva normal Ácido úrico normal Niveles (elevados) homocisteína Arthrocentesis "aspiración articular" Mohindra M, Jain JK. Fundamentals of orthopedics. 2nd ed. New Delhi, India: Jaypee Brothers Medical; 2017. Instituto Mexicano del Seguro Social. Prevención, Diagnóstico y Tratamiento de Rehabilitación en el Paciente Adulto con Osteoartrosis de Rodilla en los Tres Niveles de Atención. México: Gobierno Federal; 2014 MRI CT Lesiones óseas Espacio articular Presencia de derrame articular Alteraciones del retináculo Permite evaluar tejidos blandos: retináculos, tendón patelar y tróclea, osteofitos, líquido articular, lesiones meniscales y la superficie subcondral Relación tróclea-patela y las estructuras blandas.
  • 196.
    Modificaciones en elestilo de vida, fisioterapia para mejorar la fuerza muscular Aplicación de calor (termoterapia) AINES a corto plazo: 1st line Acetaminophen e Inhibidores específicos de COX-2 (citocromo oxidasa) Paracetamol (menos efectivo que AINES- 1ra linea en guia de práctica clínica MX) Opiaceos: para px contraindicados con AINES Inyecciones de ácido hialurónico intra-articular (actúa como colchón, 2da línea) esteroides (menos recomendados), duloxetina? ESTRECHAMIENTO DEL ESPACIO ARTICULAR NO FARMACOLÓGICO FARMACOLÓGICO Masoterapia con hielo Crioterapia Pérdida de peso Ejercicios aeróbicos, acuáticos Compresas húmedo calientes Luz infraroja Parafina Fluidoterapia no respondedores, lavado y desbridamiento artroscópicos, osteotomía tibial alta (excelente cuando solo se pierde el espacio articular medial) OPCIÓN QUIRÚRGICA Instituto Mexicano del Seguro Social. Prevención, Diagnóstico y Tratamiento de Rehabilitación en el Paciente Adulto con Osteoartrosis de Rodilla en los Tres Niveles de Atención. México: Gobierno Federal; 2014 . Mohindra M, Jain JK. Fundamentals of orthopedics. 2nd ed. New Delhi, India: Jaypee Brothers Medical; 2017. TRATAMIENTO Dependiendo del avance de la enfermedad: (Calificación de Ahlback para OA de rodilla)... ETAPAS I,II,III I II III ESPACIO ARTICULAR AUSENTE (UNA VEZ COMPLETADA LA PÉRDIDA DEL CARTÍLAGO) PÉRDIDA ÓSEA: REEMPLAZO TOTAL DE LA ARTICULACIÓN
  • 197.
  • 198.
    LESIONES MUSCULARES Karen Jiménez– CuauhtémocArellano –Yesenia Canche
  • 199.
    EL MÚSCULO HUMANO Aproximadamenteel 40% del cuerpo humano está conformado por músculo, en nuestro cuerpo, se diferencian tres tipos de músculos o fibras. • Esquelético • Liso • Cardiaco El cuerpo humano tiene alrededor de 600 músculos esqueléticos que le ayudan a mover sus huesos y diversas estructuras que le permiten desarrollarse e interactuar con su medio. Hall JE. Guyton& Hall. Tratado de fisiología médica. Capitulo 6 P. 77 (Edición 14th). [Reino Unido]:ElsevierLimited (UK); 2021.
  • 200.
    ANATOMÍA FISIOLÓGICA DEL MUSCULOESQUELÉTICO Los músculos esqueléticos están conformados por muchas fibras las cuales tienen un diámetro que varía entre 10 y 80 μm. Cada una de estas fibras está formada por subunidades cada vez más pequeñas llegando desde lo macroscópico hasta lo molecular. Las miofibrillas están formadas por filamentos de actina y miosina. Cada fibra muscular tiene de cientos a miles de miofibrillas. Los filamentos de actina y miosina son responsables de la contracción muscular. Hall JE. Guyton & Hall. Tratado de fisiología médica. Capitulo 6 p.78 (Edición 14th). [Reino Unido]: Elsevier Limited (UK); 2021.
  • 201.
    SARCOPLASMA Y RETÍCULO SARCOPLÁSMICO •Entre las miofibrillas existe el sarcoplasma, un fluido que contiene potasio, magnesio y fosfatos. Además de muchas mitocondrias. • Dentro del sarcoplasma, tenemos a los retículos sarcoplásmicos. Extensos retículos especializados que regulan el almacenamiento, recaptación y liberación de calcio para la contracción muscular. Los músculos de contracción rápida tienen retículos más grandes. Hall JE. Guyton & Hall. Tratado de fisiología médica. Capitulo 6 P. 79 (Edición 14th). [Reino Unido]: Elsevier Limited (UK); 2021.
  • 202.
    MECANISMO GENERAL DELA CONTRACCIÓN MUSCULAR La contracción muscular es un indicador de la salud del tejido. Y esta ocurre en las siguientes etapas. 1. Un potencial de acción viaja de la fibra motora a sus terminales en las fibras musculares 2. Se secreta acetilcolina en cada una de las terminales 3. Acetilcolina actúa en la membrana de las fibras musculares para abrir canales de cationes 4. La apertura de los canales permite que iones sodio se difundan hacia el interior de la membrana de la fibra muscular. La despolarización resultante activa los canales de sodio por voltaje iniciando un potencial de acción en la membrana. 5. El potencial de acción viaja por la membrana de la fibra muscular 6. El potencial despolariza la membrana muscular y una parte del voltaje viaja a los retículos sarcoplásmicos para liberar iones calcio. 7. Los iones calcio inician fuerzas de atracción entre la actina y la miosina, haciendo que se deslicen entre ellos y generando la fuerza contráctil. 8. Después de una fracción de segundo, el calcio es bombeado de nuevo a los retículos y permanecen ahí hasta la próxima contracción. Hall JE. Guyton & Hall. Tratado de fisiología médica. CAPITULO 6 p.81 (Edición 14th). [Reino Unido]: ElsevierLimited (UK); 2021.
  • 203.
    FIBRAS MUSCULARES RAPIDASFRENTE A LENTAS • Todos los músculos del cuerpo están formados por una mezcla de fibras musculares “rápidas” y “lentas” con algunas fibras intermedias que existen. • Hay músculos como los tibiales anteriores que reaccionan rápidamente y están formados principalmente por fibras rápidas y contienen muy pocas fibras lentas. • Músculos como el sóleo responden lentamente con contracciones prolongadas y está formado principalmente por fibras lentas. Hall JE. Guyton & Hall. Tratado de fisiología médica. Capitulo 6 p. 88 (Edición 14th). [Reino Unido]: Elsevier Limited (UK); 2021.
  • 204.
    FIBRAS LENTAS (TIPOI) Las fibras lentas son más pequeñas que las fibras rápidas Su inervación se da por fibras más pequeñas En comparación de las rápidas, las fibras lentas tienen más vascularización para dar más oxígeno. Tienen más mitocondrias Tienen más mioglobina que se combina con oxígeno y se almacena hasta ser necesitado. La mioglobina le da el color mas rojizo al musculo. Hall JE. Guyton& Hall. Tratado de fisiología médica. Capitulo 6 p.88 (Edición14th). [Reino Unido]: Elsevier Limited (UK); 2021.
  • 205.
    FIBRAS RÁPIDAS (TIPOII) Son fibras grandes Tienen un retículo sarcoplásmico extenso para liberar calcio e iniciar la contracción Hay enzimas glucolíticas presentes Menos vascularizadas Menos mitocondrias que las lentas. El mecanismo de metabolismo oxidatorio es secundario. Hall JE. Guyton& Hall. Tratado de fisiología médica. Capitulo 6 p. 88 (Edición14th). [Reino Unido]: Elsevier Limited (UK); 2021.
  • 206.
    UNIDAD MOTORA • A todaslas fibras musculares inervadas por una única fibra nerviosa se le llama unidad motora. Mientras más preciso se necesita que sean las acciones de un musculo, más fibras nerviosas poseerá por cada fibra muscular. Hall JE. Guyton & Hall. Tratado de fisiología médica. Capitulo 6 p. 90 (Edición 14th). [Reino Unido]: Elsevier Limited (UK); 2021.
  • 207.
    DESNERVACIÓN MUSCULAR Y PRONOSTICOCLÍNICO • Cuando un musculo pierde su inervación, sea la causa que sea, ya no recibe señales contráctiles, las cuales son necesarias para mantener el tamaño muscular normal. • La atrofia comienza casi inmediatamente, y después de 2 meses aproximadamente comienzan a haber cambios degenerativos. El pronóstico depende de que tan rápido se restaura la inervación. Si la recuperación es rápida, se puede producir la recuperación completa en 3 meses para adelante, pasando esa fecha, la capacidad de recuperación disminuye y no se produce ninguna recuperación adicional después de los 2 años. En la etapa final de la denervación, el musculo se sustituye por tejido fibroso y adiposo. La capacidad de regeneración es casi nula. Además, el tejido fibroso se comienza a contraer durante meses, creando contracturas debilitantes y desfigurantes. Hall JE. Guyton & Hall. Tratado de fisiología médica. Capitulo 6 (Edición 14th). [Reino Unido]: Elsevier Limited (UK); 2021.
  • 208.
    MUSCULO LISO • Lasfibras musculares lisas tienen un diámetro habitual de 1 a 5 micras y solo de 20 a 500 micras de longitud lo cual los hace desde 30 hasta cientos de veces más chicas que las esqueléticas. • Los mismos conceptos de contracción se aplican al musculo liso al igual que el esquelético. Solo varía su disposición física interna. Hall JE. Guyton & Hall. Tratado de fisiología médica. CAPITULO 7 p.92 (Edición 14th). [Reino Unido]: Elsevier Limited (UK); 2021.
  • 209.
    MULTIUNITARIO • Fibras separadasy delgadas • Cada fibra es independiente y esta inervada por una única terminación nerviosa. • Musculo ciliar del ojo • Iris del ojo • Pilo erectores • Musculo visceral • Masas de cientos de fibras musculares lisas que se contraen juntas. • Uniones en hendidura • Aparato digestivo • Vías biliares • Útero UNITARIO MUSCULO LISO Hall JE. Guyton & Hall. Tratado de fisiología médica. CAPITULO 7 p.92 (Edición 14th). [Reino Unido]: ElsevierLimited (UK); 2021.
  • 210.
    MUSCULO CARDIACO • Elcorazón tiene tres tipos de fibras, musculo auricular, musculo ventricular y fibras musculares.El auricular y ventricular son muy similares al esquelético. Sin embargo, las fibras especializadas de excitación y conducción se contraen de forma débil. Por el otro lado, presentan descargas eléctricas rítmicas automáticas en forma de potenciales de acción por todo el corazón, así crean el sistema excitador que controla el latido. Hall JE. Guyton & Hall. Tratado de fisiología médica. CAPITULO 8 p.100 (Edición 14th). [Reino Unido]: ElsevierLimited (UK); 2021.
  • 211.
    CONTUSIONES • Resultado deun golpe directo de objetos no afilados contra alguna parte del cuerpo ---> Machacamiento de las fibras musculares y los tejidos conjuntivos sin que se rompa la piel. • Contusiones mínimas: resultado de un pequeño golpe y su consecuencia es un enrojecimiento de la zona afectada. • Contusiones de 1°: resultado es la equimosis --> ruptura de pequeños vasos cuya sangre se desparrama por el tejido celular de la piel, mucosas o serosas. • Contusiones de 2°: hematoma, es extravasación de sangre en el interior del organismo, en el intersticio de tejidos o en una cavidad orgánica. • Contusiones de 3°: pueden tener un aspecto normal, pero luego se tornan grisáseas debido al aplastamiento de grasa y músculo, se pueden ver incolucrados nervios, huesos. Contusión muscular (moretón) (MuscleContusion (Bruise)) - OrthoInfo - AAOS. (2021). Aaos.org. Recuperado Agosto 28, 2023, from https://orthoinfo.aaos.org/es/diseases--conditions/contusion-muscular-moreton--muscle-contusion-bruise/
  • 212.
    DIFERENCIA EQUIMOSIS VSHEMATOMA Diferencia entre equimosis y hematoma. (2017.). Robalino,K. Slideshare.Recuperado Agosto 28, 2023. https://es.slideshare.net/KarolinaRobalino/diferencia-entre-equimosis-y-hematoma
  • 213.
    TRATAMIENTO • Inmovilización yelevación de la zona afectada (extremidades) • Aplicación de hielo: reduce la inflamación y extravasación de la sangre. • Tomar analgésico vía oral: en casos de inflamación o dolor, paracetamol, • ibuprofeno y ácido acetilsalicílico. • Aplicación de una pomada antivaricosa, generalmente a base de heparina o heparinoides--> cuando haya una rotura de vasos sanguíneos--> una extravasación de sangre que da lugar a un hematoma. • No pinchar los hematomas, se reabsorben por sí solos. • Aplicación de calor. Una vez pasadas 24 horas para facilitar la reabsorción del hematoma. • Mantener la zona en reposo. Heridas,contusiones y pequeños traumatismos.(2002).Iglesias,L.Pardo, M. Villanueva,M.Elsevier.es.Recuperado August 28, 2023, from https://www.elsevier.es/es-revista-farmacia-profesional-3-pdf- 13036530
  • 214.
    REHABILITACIÓN • En laprimera etapa de rehabilitación, se indican ejercicios suaves de estiramiento que empezarán a restaurar la amplitud de movimiento del área lesionada. • Luego incorporar ejercicios de fortalecimientoy soporte de peso. • Síndrome compartimental • Miositis osificante COMPLICACIONES Heridas,contusiones y pequeños traumatismos.(2002.).Iglesias,L. Pardo,M. Villanueva,M.Elsevier.es. Recuperado August 28, 2023, from https://www.elsevier.es/es-revista-farmacia-profesional-3-pdf- 13036530
  • 215.
    DESGARROS Y ROTURASMUSCULARES FISIOPATOLOGÍA • Lesión por giro del músculo o unidad músculo tendinosa debido a una sobrecarga mecánica • Puede ser de forma pasiva o activa lo que produce un desgarro • Puede darse por fuerzas: • Intrínsecas o indirectas: no actúa una fuerza externa y hay daño microscópico hasta la rotura completa. • Criterios histopatológicos o por criterios de imagen • Extrínsecas o directas: compresión del músculo por traumatismo directo (contusión o laceración) • Leves, moderadas o graves 1. Grossman, S. (2014). Porth. Fisiopatología: alteraciones de la salud:Conceptos Básicos. LWW.
  • 216.
    • Más frecuentesen: • Músculos biarticulares • Unión miotendinosa • De acción excéntrica • Músculos con alta proporción de fibras tipo II • Zonas de transición anatómica o funcional • Deportes de aceleración rápida 2. Muñoz, S., Astudillo, C., Miranda, E., Albarracin, F. (2018). Vol. 24, pág 22-33. Lesiones musculares deportivas: correlación entre anatomía y estudio porimágenes Recuperado 27 de agoso de https://scielo.conicyt.cl/pdf/rchradiol/v24n1/0717-9308-rchradiol-24-01-00022.pdf
  • 217.
    ETIQUETA DE LA LESIÓN MUSCULAR •Nombre:tipode lesión de acuerdo a los criterios anatomopatológicos (rotura muscular grado II) •Primer apellido:localización de la lesión y si tiene relación o no con el componente conectivo (de la unión músculo tendinosa proximal) •Segundo apellido:detalla grupo muscular afectado (del bíceps femoral) 3.Servicios médicos del Fútbol Club Barcelona.(2009).Gñuide Práctica Clínica de lesiones musculares.Epidemiología,diagnóstico, tratamiento y prevención.Recuperado27 de agosto de file:///Users/karenjimenez/Downloads/164711-Text%20de%20l'article-299104-1-10-20110124%20(1).pdf
  • 218.
    EPIDEMIOLOGÍA • Lesiones muscularessuponen más del 30% de todas las lesiones • En un estudio realizado por la UEFA indicó que en el caso del fútbol profesional el riesgo de padecer una lesión muscular es de 1,7 lesiones/1.000hr y son las que más motivos de baja causan 4. UANL. (2019, 10 junio). Los desgarros musculares suponen más del 30% de todas las lesiones. CIDICS. Recuperado 27 de agosto de 2023, de http://cidics.uanl.mx/nota- 81/#:~:text=Los%20estudios%20epidemiol%C3%B3gicos%20m%C3%A1s%20recientes,en%20deportistas%20de%20alto%20rendimiento.
  • 219.
    CLÍNICA • Presencia dolore hinchazón • Equimosis • Ruptura significativa encontramos hachazo muscular • Debilidad muscular 5. Muñoz, S., Astudillo, C., Miranda, E., Albarracin, F. (2018). Vol. 24, pág 22-33. Lesiones musculares deportivas: correlación entre anatomía y estudio porimágenes Recuperado 27 de agoso de https://scielo.conicyt.cl/pdf/rchradiol/v24n1/0717-9308-rchradiol-24-01-00022.pdf
  • 221.
    MÉTODOS DE IMAGENPARA EVALUACIÓN DE LAS LESIONES MUSCULARES • •RX → útil para detectar calcificaciones o en caso de sospecha de miositis osificante • •TAC→ no está indicada sólo para detectar si calcificaciones están en músculo o en contacto con la cortical ósea • •RM→ exámenes de elección por capacidad multiplanar, alto contraste tisular, alta sensibilidad, menor especificidad • •USG→ mejor examen de elección se realiza eje corto y largo de cada músculo, ayuda a intervenciones como aspiración del hematoma y en la inyección de plasma rico en plaquetas) • DX diferencial:contractura muscular
  • 222.
    USG • Aumento odisminución difusa de la ecogenicidad • Distorsión de la arquitectura o patrón fascicular • Solución de continuidad → interrupción macroscópica de los fascículos • Colección líquida → hematoma 6. Muñoz, S., Astudillo, C., Miranda, E., Albarracin, F. (2018). Vol. 24, pág 22-33. Lesiones musculares deportivas: correlación entre anatomía y estudio porimágenes Recuperado 27 de agoso de https://scielo.conicyt.cl/pdf/rchradiol/v24n1/0717-9308-rchradiol-24-01-00022.pdf
  • 223.
    LESIONES INDIRECTAS CRITERIOS HISTOPATOLÓGICOS NomenclaturaEstadios Características Clínica Pronóstico Contractura y/o dolor muscular de aparición tardía I Alteración funcional, elevación de proteínas y enzimas. Aunque hay desestructuración leve del parénquima muscular se considera más un mecanismo de adaptación que una lesión verdadera - Inflamación mínima, dolor y aumento de sensibilidad. -Mínima o sin pérdida de la función 1-3 días Microrrotura fibrilar y/o elongación muscular II Alteraciones de pocas fibras y poca lesión del tejido conectivo -Dolor persistente e inflamación asociada - Disminución de la fuerza y función 3-15 días Rotura fibrilar III Alteraciones de más fibras y más lesiones del tejido conectivo,hay hematoma -Dolor intenso -Pérdida casi completa de fuerza y función 3 a 8 semanas Rotura muscular IV Rotura importante o desinserción completa. La funcionalidad de las fibras indemnes es del todo insuficiente -Inflamación y dolor intenso -Pérdida completa de fuerza y función 8 a 12 semanas 7.Serviciosmédicos del Fútbol Club Barcelona.(2009).Gñui de Práctica Clínica de lesiones musculares.Epidemiología,diagnóstico, tratamiento y prevención.Recuperado27 de agosto de file:///Users/karenjimenez/Downloads/164711-Text%20de%20l'article-299104-1-10-20110124%20(1).pdf
  • 224.
  • 225.
    8. Muñoz, S.,Astudillo, C., Miranda, E., Albarracin, F. (2018). Vol. 24, pág 22-33. Lesiones musculares deportivas: correlación entre anatomía y estudio porimágenes Recuperado 27 de agoso de https://scielo.conicyt.cl/pdf/rchradiol/v24n1/0717-9308-rchradiol-24-01-00022.pdf
  • 226.
    LESIONES DIRECTAS CRITERIOSPOR IMAGEN Tipo de lesión Ubicación Fascia Definición Hematoma USG RM Contusión/ laceración Generalmente extremidad inferior. Muslo más frecuente. Generalmente más de un músculo comprometido Contusión: no comprometida Laceración: Siempre rotura de fascia Desde foco edema/hemorragia hasta rotura total o subtotal Depende de la envergadura de la lesión. Puede haber edema intramuscular y luego interfascial- subcutánea Desde edema focal a a gran colección líquida intramuscular. Aumento de ecogenicidad. Distorsión de la arquitectura. Edema. Defecto intramuscular. Colección líquida intramuscular. Eventualmente retracción de cabos. 9.Serviciosmédicos del Fútbol Club Barcelona.(2009).Gñui de Práctica Clínica de lesiones musculares.Epidemiología,diagnóstico, tratamiento y prevención.Recuperado27 de agosto de file:///Users/karenjimenez/Downloads/164711-Text%20de%20l'article-299104-1-10-20110124%20(1).pdf
  • 227.
    COMPLICACIONES • Cicatrices musculares •Hernia muscular • Síndrome compartimental crónico • Calcificaciones (miositis osificante) 10. Muñoz, S., Astudillo, C., Miranda, E., Albarracin, F. (2018). Vol. 24, pág 22-33. Lesiones musculares deportivas: correlación entre anatomía y estudio porimágenes Recuperado 27 de agoso de https://scielo.conicyt.cl/pdf/rchradiol/v24n1/0717-9308-rchradiol-24-01-00022.pdf
  • 228.
    TRATAMIENTO • Primera fase: •RICE R: reposo, I: Ice, C: compresión, E: elevación • AINES primeras 48 a 72 hrs • Crioterapia • Segunda fase: • Movilidad y funcionalidad precoz • Fisioterapia progresiva • En indicaciones específicas se puede utilizar infiltraciones y uso de PRP (plasma rico en plaquetas) • Caso de rotura está indicado tratamiento qx con las siguientes indicaciones: • Lesión muscular grado 4 rotura total • Lesión muscular con desinserción tendinosa parcial (50% o total) • Lesión muscular grado 2 con afectación de más del 50% del vientre muscular • Hematoma intramuscular no respondedor a punción de aspiración repetitivo • Re lesiones musculares recurrentes que formen importantes cicatrices fibrosas
  • 229.
    PREVENCIÓN • Estiramientos previosantes de realizar alguna actividad física
  • 230.
    MIOSITIS OSIFIC ANTE ▪Se trata de una lesión benigna autolimitada, caracterizada por una formación ósea heterotópica ▪ La MO progresiva tiene carácter hereditario y se caracteriza por fibrosis y osificación en músculo, ligamentos y tendones tanto en extremidades superiores como en la espalda, siendo incapacitante y en su fase final mortal. ▪ MO circunscrita o traumática, en el que la producción de tejido óseo heterotópico está asociada a un traumatismo previo en la zona de la lesión. ▪ No asociado a historia de traumatismo previo, pudiendo estar relacionada su aparición con trastornos hematológicos, neurológicos o quemaduras. Miositisosificante.A propósito de un caso.(2022). Juncal,M. Simón, M. Vaca,P. Martín, S. Servicio de Cirugía ortopédica y Traumatología.Complejo Asistencial deZamora.Zamora (España).Recuperado Agosto 2023. https://www.saludcastillayleon.es/CAZamora/es/publicaciones/revista-nuevo-hospital-2022/nuevo-hospital-2022-febrero-xviii-1/barrio-velasco-mj-simon-ochoa-m-vaca-fernandez-pl-martin-bl.ficheros/2104279- NUEVOHOSPITAL
  • 231.
    EPIDEMIOLOGÍA • Esta patologíapuede ser hereditaria, llegando a afectar a 2 niños por cada millón. • Adquirida secundariamente a procedimientos ortopédicos y traumatismos con mayor incidencia durante la segunda y la tercera década de la vida. • Se asocia a anomalías esqueléticas, eritema, disminución de la movilidad articular • Deportes de contacto como el fútbol, hockey, Rugby y combate, según el estudio de Muir et al (2010), la incidencia en este subgrupo de deportes fue de 0-9% en contusiones leves, 17-72% en contusiones moderadas-severas y del 100% en contusiones recurrentes. • Las áreas más comunes son codos, muslos y nalgas, es muy frecuente en el músculo cuádriceps y en la zona inguinal de los aductores SánchezAguilar, M., García Jiménez, R., & Borrego Dorado,I. (2017). Miositis osificante: gammagrafía ósea y tomografía por emisiónde positrones/tomografía computarizada con 18F-desoxiglucosa.Reumatologia Clinica. https://doi.org/10.1016/j.reuma.2017.01.017 MIOSITIS OSIFICANTE. QUÉES Y CUÁLES SON SUS SÍNTOMAS YSU TRATAMIENTO. (2015). Lamas, J. FisioOnline.RecuperadoAgosto 2023. https://www.fisioterapia-online.com/articulos/miositis-osificante-que-es-y-cuales-son-sus-sintomas-y-su-tratamiento
  • 232.
    EJEMPLO • Entonces enuna lesión en el muslo,el proceso se inicia con una contusión,que produce una lesión muscular y hematoma dentro del músculo y tejidos periféricos.El hematoma se reabsorbe a las semanas,pero en caso de la miositis se calcifica,y a la consulta con el médico cirujano evaluará la posible resección quirúrgica. Se distinguen Dos fases. • Fase Caliente:El área está edematizada y suele ser hipersensible a la palpación,El dolor y la tumefacción disminuyen la flexibilidad. • Fase Fría: La Calcificación se estabiliza. MIOSITIS OSIFICANTE. QUÉ ES Y CUÁLES SON SUS SÍNTOMAS Y SU TRATAMIENTO. (2015).Lamas, J. FisioOnline.Recuperado Agosto 2023. https://www.fisioterapia-online.com/articulos/miositis-osificante-que-es-y- cuales-son-sus-sintomas-y-su-tratamiento
  • 233.
    SIGNOS Y SÍNTOMAS 1.Dolor al movimiento o la palpación. 2. Inflamación. 3. Rigidez. 4. Dureza de la musculatura a la palpación (por la osificación). 5. Pérdida de amplitud de Movimiento. MIOSITIS OSIFICANTE. QUÉ ES Y CUÁLES SON SUS SÍNTOMAS Y SU TRATAMIENTO. (2015).Lamas, J. FisioOnline.Recuperado Agosto 2023. https://www.fisioterapia-online.com/articulos/miositis-osificante-que-es-y- cuales-son-sus-sintomas-y-su-tratamiento
  • 234.
    DIAGNÓSTICOS • Diferenciales • Seincluyen tumores malignos como el linfoma, el osteosarcoma o el rabdomiosarcoma. • Los métodos diagnósticos de imagen difieren en sensibilidad y especificidad dependiendo de la fase madurativa del proceso en el que sean utilizados Miositisosificante.A propósito de un caso.(2022). Juncal,M. Simón, M. Vaca,P. Martín, S. Servicio de Cirugía ortopédica y Traumatología.Complejo Asistencial deZamora.Zamora (España).Recuperado Agosto 2023. https://www.saludcastillayleon.es/CAZamora/es/publicaciones/revista-nuevo-hospital-2022/nuevo-hospital-2022-febrero-xviii-1/barrio-velasco-mj-simon-ochoa-m-vaca-fernandez-pl-martin-bl.ficheros/2104279- NUEVOHOSPITAL
  • 235.
    MÉTODOS DE DIAGNÓSTICO En radiologíano observaremos imágenes sugerentes de MO hasta pasadas de dos a cuatro semanas del inicio de los síntomas. la ecografía es capaz de detectar cambios tempranos en los tejidos blandos, precisa de completar el estudio con otras pruebas de imagen que confirmen los patrones de osificación característicos de la MO La RMN es la técnica de imagen de elección para la evaluación de tejidos blandos, y nos permitirá delimitar la lesión. La biopsia será necesaria en aquellos casos en los que las imágenes no nos aporten un diagnóstico concluyente. Miositisosificante.A propósito de un caso.(2022). Juncal,M. Simón, M. Vaca,P. Martín, S. Servicio de Cirugía ortopédica y Traumatología.Complejo Asistencial deZamora.Zamora (España).Recuperado Agosto 2023. https://www.saludcastillayleon.es/CAZamora/es/publicaciones/revista-nuevo-hospital-2022/nuevo-hospital-2022-febrero-xviii-1/barrio-velasco-mj-simon-ochoa-m-vaca-fernandez-pl-martin-bl.ficheros/2104279- NUEVOHOSPITAL
  • 236.
    TRATAMIENTOS • El tratamientorecomendado será por lo tanto reposo y medicación antiinflamatoria, ejercicios isométricos suaves para completar el arco de movilidad. • La radioterapia puede ser utilizada para reducir el tamaño de la lesión o propiciar la maduración de la misma, en casos en los que se planee el tratamiento quirúrgico. • El tratamiento quirúrgico en casos de compromiso neurovascular o clínica incapacitante persistente, y deberá evitarse en fases precoces ya que la falta de maduración de la lesión propiciará la recidiva de la misma Miositisosificante.A propósito de un caso.(2022). Juncal,M. Simón, M. Vaca,P. Martín, S. Servicio de Cirugía ortopédica y Traumatología.Complejo Asistencial deZamora.Zamora (España).Recuperado Agosto 2023. https://www.saludcastillayleon.es/CAZamora/es/publicaciones/revista-nuevo-hospital-2022/nuevo-hospital-2022-febrero-xviii-1/barrio-velasco-mj-simon-ochoa-m-vaca-fernandez-pl-martin-bl.ficheros/2104279-NUEVOHOSPITAL
  • 237.
  • 238.
    Los tendones sontejido conectivo, muy resistente, el cual esta organizado para resistir las tensiones del cuerpo, así mismo están situados en los extremos del músculo y el extremo de un hueso. ANATOMIA Y FISIOLOGÍA ¿Qué son los tendones?
  • 239.
    Anatomía Interfase hueso-tendóno entesis. Responsable de la transmisión de cargas del tendón al hueso. Zona I: Colágeno tipo I, MAC de decorina, fibroblasto. Zona II: Fibrocartílago no mineralizado, colágeno tipo I y II, escaso colágeno tipo II, IX y X. MAC de agrecanos y decorina. Fibrocondrocito. Zona III: Fibrocartílago mineralizado, escaso colágeno tipo II y X. MAC de agrecanos y tejido mineral. Zona IV: Zona ósea, colágeno tipo I, Fibrocondrocito. MAC de tejido mineral y celular; osteocitos, osteoblastos y osteoclastos. CICATRIZACIÓN
  • 241.
    FASE INICIAL 2 días Fibroblastosse forman del epi y endotendón para migrar Plaquetas almacenan y liberan ADP Hormonas
  • 242.
    FASE PROLIFERATIVA 4-21 días Predominiode fibroblastos Secreción de colágeno se hace en patrones al azar
  • 243.
    FASE DE REMODELACIÓN Ala cuarta semana Hasta la sexta semana se llena de colágeno, reorientando sus fibras al sitio de estrés Fuerzas de tracción Puede durar hasta 112 días Hasta que recupere su fuerza si hay buen abordaje
  • 244.
    ETIOLOGÍA Afecta Matriz decolágeno y tenocitos Rizado desigual e irregular Disminución de ondulación de las ondas Incremento colágeno reparador tipo III FACTORES DE RIESGO Degeneración por sobre uso Cizalla, comprensiva o tensil Almacenamiento y liberación Biomecánico: Mala alineación (valgo/varo) Edad cada vez mayor Tabaquismo Comorbilidades Terreno/suelo Calzado: inadecuado o tacón (prolongada flexión plantar) Fármacos RUPTURAS
  • 245.
    RUPTURA DEL TENDÓN DEAQUILES Bailarines, corredores, atletas de salto 2 de cada 1.000 personas --> Hombres de 30-40 años 35-45 años Fluruquinolonas y corticoesteroides Re-injury Dolor Causas Factores de riesgo Complicaciones Manifestaciones Simmons Thompson
  • 246.
    Historia clínica Pruebas físicas:Gap test y prueba de flexión de rodilla de Matles (dorsiflexión) Radiografía Análgesicos Cirugía Diagnóstico Tratamiento
  • 247.
    RUPTURA DEL TENDÓN SUPRAESPINOSO 10% Deportesde remo, tenis, béisbol Actividad atlética no habitual Pacientes jóvenes Diabetes Genética Hipercolesterolemia Dolor y debilidad en el deltoide lateral que se exacerba en la noche Asintomático Quinta década Causas Factores de riesgo Manifestaciones
  • 248.
  • 249.
    RUPTURA DEL TENDÓN ROTULIANO Atletasde salto, voleibol, atletismo, fútbol, baloncesto No atlético (cirugía) Glucocorticoide Explosive jumping Ejercicio de largas horas Hombres Fractura avulsión de tuberosidad tibial Fractura Causas Factores de riesgo Complicaciones
  • 250.
    Incapacidad para soportar Hemartrosis Dolory sensibilidad Ultrasonido Rayos X: posición y potencial de fractura MRI: inusual Inflamación Inabilidad de mantenerla derecha o rótula alta o baja Cirugía Yeso de extensión Rehabilitación Manifestaciones Diagnóstico Tratamiento
  • 251.
    RUPTURA DEL TENDÓN DELBÍCEPS Roturas del tendón proximal Trabajos pesados encima de la cabeza o uso excesivo de hombro 4-6 década Tabaquismo Fármacos Se agrava al levantar, tirar o realizar actividades Clic Se agrava con la noche Causas Factores de riesgo Manifestaciones
  • 252.
    Estallido con equimosise inflamación - distal Signo de Popey - proximal Difícil en pacientes obesos y con poca masa muscular - inspección y palpación rotando Speed Yergason MRI Ultrasonido Descartar subluxación Inyección glucocorticoides en el espacio subacromial o en la vaina del tendón del bíceps Diagnóstico Tratamiento
  • 253.
    Sobre uso -->dolor en las espinillas Corredores y ciclistas - 30 grados Intensidad Eversión del pie Ejercicio en clima frío Burning/sharp empeora Epicondilo femoral lateral Causas Factores de riesgo Manifestaciones SÍNDROME DE ESTRÉS TIBIAL MEDIAL Gammagrafía que descarte periostitis Radiografías negativas Test de Ober Diagnóstico
  • 254.
    HERIDAD TENDINOSAS. ¿Qué son? Tendinosis Tendinitis Tenosinovitis Lasheridas tendinosas son el resultados de diferentes situaciones como los esfuerzos muy bruscos, los traumatismo, él sobre uso y el exceso de entrenamiento en el deporte. Pueden ser de 3 tipos:
  • 255.
    Es la inflamacióno irritación de los tendones. Esta afección produce dolor y molestias justo al lado de una articulación. Las más comunes son del hombro (hombro de nadador), del codo (codo de tenista y codo del golfista) y de rodilla (rodilla de saltador). También puede aparecer en cadera, tobillo y muñecas. TENDINITIS ¿Qué es?
  • 256.
    SIGNOS Y SÍNTOMAS Codode tenista: Dolor en la zona exterior del antebrazo, cerca del codo, cuando se rota el antebrazo o se toma un objeto. Estos se manifiestan junto a la articulación del tendón lesionado y consisten en dolor, sensibilidad y rigidez. El dolor empeora con actividades que emplean el músculo al que se fija el tendón lesionado. Se producen tipos específicos de dolor según su localización: Tendinitis aquílea Dolor justo por encima del talón. Tendinitis bicipital Dolor en la zona del hombro.
  • 257.
    La más comúnes por lesión o sobreesfuerzo durante el trabajo u ocio. En ocasiones infecciones en el interior de la vaina del tendón puede causar la inflamación; y el dolor puede ser resultado de un pequeño desgarro o inflamación. También puede asociarse a enfermedades inflamatorias como artritis reumatoide. CAUSAS Y FACTORES DE RIESGO Causas Realizar movimientos repetitivos forzados con brazos o piernas. Técnicas inapropiadas al practicar deportes Edad Factores de riesgo
  • 258.
    DIAGNÓSTICO Muchas veces esbasado en historia clínica, signos y síntomas. Con una anamnesis detallada y exploración física correcta suele ser suficiente. Se pueden realizar pruebas especiales para identificar cada patología. CLÍNICO 02 Son de poca ayuda, los tendones no se ven con rayos x, pero sirven para excluir otras lesiones o enfermedades óseas. RADIOGRAFÍAS En pocas ocasiones suele ser necesaria para identificar rotura de tendón u otras lesiones en tendón o su vaina sinovial. RESONANCIAS MAGNÉTICAS Los análisis de sangre con pruebas reumáticas en caso de sospechar artritis reumatoide. ANÁLISIS DE SANGRE 03 01 04
  • 259.
    TENDINITIS BICIPITAL: El pacienteresiste la presión hacia abajo en la muñeca. Brazo en elevación de 60-90 grados hacia delante, con codo extendido y antebrazo en supinación. Se produce dolor en el hombro en los casos con la patología. Codo flexionado a 90 grados y el paciente debe supinar el antebrazo contra la resistencia mientras el doctor busca dolor a largo del bíceps.
  • 260.
    ILIOPSOAS TENDINITIS: Extensión pasivade la cadera y flexión activa de la cadera son dolorosas. Paciente en decúbito supino levanta el talón 15 grados con respecto a la cama. El paciente, sentado en una silla, levanta el muslo contra resistencia, esto a menudo exacerba el dolor.
  • 261.
    TRATAMIENTO Inyección de corticoides: Se inyectaen el interior del tejido que rodea el tendón. Reduce la inflamación y dolor. Efectos secundarios: Si se realiza repetidamente debilita el tendón y aumenta riesgo de rotura Con frecuencia se necesitan tratamientos sencillos como reposo, aplicación de hielo y antiinflamatorios o analgésicos vía tópica y/o sistemática. OTROS ABORDAJES: Ejercicios de fortalecimiento: Programa de ejercicios específicos para fortalecer la capacidad e absorción de fuerzas Cirugía: Cuando hay desgarro de un tendón, se opta por cirugía reconstructiva para retirar el tejido inflamado fuera de la vaina del tendón o aliviar la presión sobre este extirpando hueso. Esta reduce el dolor, restaura la función y previene rotura total del tendón.
  • 262.
    Puede volverse crónicao prolongada y producir la rotura del tendón; además de generar una lesión permanente en los tejidos de este. COMPLICACIONES En ancianos y quienes no realizan reposo se cura más lentamente y es más probable que progrese a una forma crónica. (tendinosis) Afecta la estructura del tendón, transformándolo en un tejido más fibroso y débil.
  • 263.
    En esta condiciónhay un proceso degenerativo del tejido que conforma el tendón, quiere decir que hay un desgaste del tendón y no sólo una inflamación. Esto implica una pérdida progresiva de la capacidad de respuesta para una adecuada regeneración o cicatrización por someterse a una carga cíclica de gran volumen y de manera reiterada. TENDINOSIS ¿Qué es?
  • 264.
    SIGNOS Y SÍNTOMAS Lossíntomas y signos clínicos son similares a otras afectaciones articulares, pero estas suelen permanecer por más tiempo. Entre la sintomatología más común encontramos las siguientes: Dolor de moderada a elevada intensidad, que puede variar con los movimientos articulares. La musculatura adyacente se encuentra alterada. Al momento de mover la zona, la persona puede sentir como se genera un contacto entre el tendón y otras estructuras. El tejido conectivo muestra señales de desgaste estructural.
  • 265.
    Están dentro delas patologías de sobreuso que representan cerca del 60% de las lesiones deportivas y se relacionan con una sobrecarga cíclica repetida. Estas lesiones se producen en general en el contexto de una práctica deportiva regular e intensa. CAUSAS Y FACTORES DE RIESGO Causas Aumenta significativamente con: Edad Sexo masculino Obesidad Deportes que requieren correr largas distancias (fondo, maratón, triatlón) o movimientos explosivos repetitivos (vóley; artes marciales, rugby). Factores de riesgo
  • 266.
    Las alteraciones estructuralesque ocurren histológicamente son : CAMBIOS HISTOLÓGICOS Bandas de colágeno desorganizadas Hipercelularidad Aumento de vasos sanguíneos y terminaciones nerviosas. También se aprecia infiltración grasa y signos de hipoxia. No se aprecian signos de inflamación.
  • 267.
    Para clasificar gradosde avance y alteraciones degenerativas, y con base en esto proponer tratamientos específicos, se realiza una evaluación clínica específica y estudio ecográfico. CLASIFICACIÓN: - Historia clínica: detectar factores predisponentes, causa de la sobrecarga deportiva, plan de trabajo físico realizado, superficies, competencias, calzado, volumen de entrenamiento. - Ecografía: Evalúa engrosamiento del tendón, presencia de rupturas de fibras, quistes; calcificaciones; fibrosis intra sustancia del tendón.
  • 268.
    TRATAMIENTO 01 Suspensión dela actividad física por dos semanas y luego dosificación deportiva. Inicio de kinesioterapia y fisioterapia para disminuir dolor; estimular cicatrización con uso de masoterapia y ultrasonido; analgesia (TENS) Ingesta de anti oxidantes: Bioxantin 1 al día por dos meses. Aplicación de frío local y elongación muscular pasiva. Evaluar respuesta a las 8 semanas de evolución. ETAPA 1: ENFRENTAMIENTO INICIAL Ondas de Choque radiales. Uso de brace anti vibratorio. Kinesio-Taping. Infiltración con Polidocanol. Al tratamiento inicial se le agrega: ETAPA 2: 02
  • 269.
    TRATAMIENTO Junto con loanterior se aplica infiltración de concentrado plaquetario autólogo (PRP) bajo control ecográfico. Esto para aportar una cantidad importante de factores de crecimiento presente en las plaquetas que juegan un rol en la estimulación de la cicatrización y reparación de los tejidos. ETAPA 3: 03 Liberar y resecar peri tendón engrosado. Se elimina la proliferación neuro vascular causante del dolor crónico. Estimular reparación con incisiones longitudinales el tendón Resección de todo el tejido necrótico o fibroso del tendón afectado. Aplicación de Concentrado Plaquetario Autológo. Se plantea un tratamiento quirúrgico que tiene como objetivos: ETAPA 4: 04
  • 270.
    Inflamación patológica delas entesis comprometidas, que son los sitios de inserción de los tendones, ligamentos, fascias y cápsulas articulares al hueso; así como también el sitio de unión del cartílago al hueso subcondral. ENTESITIS. ¿Qué es?
  • 271.
    SIGNOS Y SÍNTOMAS Laarticulación tiene cierta rigidez. Entre los principales síntomas se encuentra el dolor en la articulación, el cual puede llegar a extenderse por todo el cuerpo y se presenta de manera súbita. El dolor se percibe cuando se mueve más próxima a la entesis La zona se encuentra enrojecida y su temperatura es un poco más elevada.
  • 272.
    Artritis reumatoide Artropatía Espondilitis anquilosante Gota. Algunasde estas pueden deberse a distintas enfermedades como lo son: CAUSAS Y FACTORES DE RIESGO Causas El estrés mecánico, es un factor central en el desarrollo de la entesitis. También un desencadenante es la respuesta inmune innata. Presente en pacientes más jóvenes y obesos. Factores de riesgo
  • 273.
    La radiografía yla tomografía computarizada evalúan y detectan cambios óseos estructurales. De igual forma con otras pruebas como la RNM y la ecografía se han impuesto para el diagnostico. DIAGNOSTICO Y TRATAMIENTO Evaluación por imagen: No se ha diseñado especificamente una guía para el tratamiento de estar enfermedad, sin embargo el uso de AINES y esteroides locales, han sido eficaces en etapas agudas, Tratamiento:
  • 274.
    AMPUTACIONES Y REIMPLANTES Juan PabloUrbina Lara, Valeria Vilchis Moo, Andrés Montañez. Trauma y Ortopedia, Dr. Delgado
  • 275.
    01 Definición 02 Epidemiología 03Causas 04 Decisión de amputar 05 Criterios 06 Tipos 07 Pediátricos y crónico degenerativas Índice 08 Traumáticos 09 Reimplantes
  • 276.
    Definición La amputación esun procedimiento quirúrgico que comprende la extirpación de una extremidad o parte de un miembro, como consecuencia de una lesión, enfermedad, infección o cirugía. Se realiza para eliminar extremidades con enfermedades o lesiones graves, o que ya no son funcionales. El intento por salvar una extremidad no siempre es la mejor opción para el paciente. Optimizar la función de un paciente y reducir la morbilidad
  • 277.
    La amputación dela pierna (por arriba y por debajo de la rodilla) es el tipo de procedimiento de amputación que se realiza con más frecuencia. En México, se realizan 75 amputaciones a diario y existen 750 mil personas con amputaciones (INEGI, 2015) y la principal causa de estas amputaciones es por DM2. Pacientes de raza negra tienen una tasa 2 a 4 veces menor de amputación de extremidad inferior en comparación con los pacientes de raza blanca. Epidemiología
  • 278.
    Enfermedad arterial periférica Lesionestraumáticas: principal en personas jóvenes Infecciones agudas o crónicas que no responden a antibióticos Tejido muerto o dañado Causas
  • 279.
    En pacientes conenfermedades vasculares o diabéticas orientarlos acerca de la higiene, dieta y medidas generales que previenen desenlaces tan graves como la amputación. Todo fracasa úlcera en el pie del diabético o presencia de dolor a la marcha e incluso en reposo y claudicación intermitente en extremidad amenazada de isquemia. Un estudio vascular en estas condiciones y una terapéutica de reconstrucción vascular oportuna pueden salvar 70 a 80% de los miembros a largo plazo. El costo de efectuar un puente vascular es menor que el que representa una amputación. La mejor prótesis no es mejor que la peor extremidad. Decisión de amputar
  • 280.
    Criterios Pueden variar deun médico a otro pero existen sistemas de puntuación o indicaciones que ayudan a los médicos a decidir si debe llevarse a cabo la amputación. Indicaciones de Lange para la amputación primaria de fracturas de tibia con lesión vascular
  • 281.
    Índice predictivo desalvación IPS/PSI Índice de salvación de la extremidad (ISE). Limb Salvage Index (LSI)
  • 282.
    Sistema de puntuaciónde Hannover (FSH). Hannover Fracture Scale ‘98 (HFS ‘98). Puntuación de severidad de la extremidad lesionada PSEL/MESS
  • 283.
  • 284.
    Tipos Primaria o traumática Producidapor un agente traumático Secundaria o quirúrgica Electiva o programada para ser realizada por medio de un acto quirúrgico.
  • 285.
    Forma suavemente cónica. Nodoloroso. Cicatriz correcta y en lugar adecuado. Extremidades óseas con buen recubrimiento de tejido. Revestimiento cutáneo bien nutrido. Con la piel ni demasiado tensa ni demasiado laxa. Movilidad suficiente y fuerza de palanca. Conservar los arcos de movilidad de la extremidad proximal. Buena irrigación sanguínea. Muñón “perfecto”
  • 286.
    Las extremidades superioresson más comúnmente afectadas. Las amputaciones y deficiencias congénitas son ausencias de miembros o miembros incompletos en el momento del nacimiento, se produce cuando una parte o toda la extremidad de un niño no se forma completamente durante el embarazo. La mayoría se deben a inhibición del crecimiento intrauterino primaria o interrupción secundaria a destrucción intrauterina de tejidos embrionarios normales. Pediátricos
  • 287.
    Longitudinales: Transversales: Pueden ser Longitudinales(más frecuente) y Transversales Consisten en mal desarrollo específico. La deficiencia de rayos radiales es la deficiencia más común del miembro superior, y la hipoplasia del peroné es la deficiencia más común de los miembros inferiores Se observa ausencia de todos los elementos distales a un nivel determinado, y el miembro remeda a un muñón de amputación. Las bridas amnióticas son la causa más frecuente. Los casos restantes se deben principalmente a síndromes genéticos subyacentes como el síndrome de Adams-Oliver o anormalidades cromosómicas.
  • 288.
    Rara vez estáindicada la reamputación de una extremidad superior con defecto congénito, sin embargo, en la extremidad inferior, la capacidad para soportar peso y la igualdad relativa de la longitud de ambas piernas son obligatorias para obtener la función máxima. La reamputación puede estar indicada para la deficiencia femoral focal y la ausencia congénita del peroné o la tibia a fin de formar una extremidad residual más funcional y mejorar la colocación de una prótesis Clasificación de Frantz y O’Rahilly: Amelia es la ausencia completa de una extremidad Hemimelia es la ausencia de una parte sustancial de una extremidad Focomelia es la inserción de la parte terminal de la extremidad en o cerca del tronco.
  • 289.
    Dx Generalmente radiografía A veces,estudios genéticos Tx Procedimientos quirúrgicos Dispositivos protésicos En un niño en crecimiento, el ajuste de una prótesis puede ser difícil y requiere ajustes frecuente: El ajuste protésico en la extremidad superior debe comenzar próximo al momento en que el niño se equilibre sentado, casi siempre alrededor de los cuatro a seis meses de edad. El ajuste de una prótesis para la extremidad inferior a menudo comienza cuando el niño desarrolla la capacidad para gatear y tirar de algo para ponerse de pie, por lo general a los ocho a 12 meses de edad.
  • 290.
    Crónico-degenerativos El 90% delas amputaciones mayores de extremidades inferiores son atribuidas a la presencia de enfermedades crónico-degenerativas; de estas, el 60% son secundarias a procesos infecciosos, el 30% a insuficiencia arterial y el restante 10% a trauma, cáncer y ciertos padecimientos congénitos La amputación de extremidades en el Instituto Mexicano del Seguro Social (IMSS) principalmente se debe a enfermedades crónico-degenerativas no controladas como Diabetes Mellitus y Aterosclerosis, por ello especialistas de la Institución recomiendan mantener un régimen de vida saludable y llevar sus evaluaciones médicas periódicas.
  • 291.
    Amputaciones traumáticas Paciente típico:varón 15-30 años, trabajador de campo, medio industrial, conductores de motocicletas y personas que utilizan equipos eléctricos Segunda causa más frecuente de pérdida de miembro Sangrado Dolor Tejido corporal aplastado (destrozado, pero todavía adherido parcialmente al músculo, hueso, tendón o piel) Síntomas:
  • 292.
    Clasificación Completa: La partequeda separada completamente del cuerpo Parcial: Hay algo de hueso, tejido o músculo que mantiene en parte unida al cuerpo la zona afectada.
  • 293.
    Limpia o enguillotina: presenta bordes nítidos y bien definidos, así como una lesión de carácter localizado en los tejidos blandos, los nervios y los vasos. Por aplastamiento: hay una lesión más intensa de los tejidos blandos, especialmente de la capa íntima de las arterias. La lesión de los tejidos blandos puede ser localizada o extenderse hasta una cierta distancia del borde de la herida. Por arrancamiento: distensión forzada con desgarro tisular. Los nervios y los vasos sanguíneos muestran un desgarro en diferentes zonas de la parte lesionada. Las amputaciones también se pueden clasificar según el grado de lesión de los tejidos blandos, los nervios y los vasos:
  • 295.
    ¿Qué hacer? Principalmente enfocarseen garantizar la estabilidad de un paciente con una lesión grave y cualquier lesión adicional. Las amputaciones son lesiones que distraen la atención y que pueden provocar que se pasen por alto otras afectaciones críticas.
  • 296.
    Limpiar la zonaafectada del cuerpo Proteger la zona afectada del cuerpo Colocar la parte afectada en una bolsa de plástico cerrada o en un contenedor seco, e introducir la bolsa en hielo. El miembro amputado no debe establecer contacto directo con el agua o el hielo, y no se debe congelar. No se debe utilizar nunca hielo seco como agente de enfriamiento Si no se puede obtener agua o hielo, es necesario mantener alejado del calor el miembro amputado. 1. 2. 3. 4. 5. Todas las amputaciones requieren radiografías para evaluar el nivel de amputación del hueso, fracturas o luxaciones adicionales y cualquier cuerpo extraño. Una vez estabilizado el paciente...
  • 297.
  • 298.
  • 299.
    Definición Acto quirúrgico destinadoa reubicar un miembro amputado en su posición natural y a ser posible hacerlo funcional. ¿Es lo mismo reimplante que revascularización?
  • 300.
    REIMPLANTE El término reimplantehace referencia a volver a unir una parte que ha sido completamente amputada El término revascularización se usa para describir la reparación de una parte del miembro que ha sido amputada de forma incompleta, quedando unida por tejidos blandos (piel, nervios o tendones) y que precisa de la reparación vascular para prevenir la necrosis. REVASCULARIZACIÓN
  • 301.
    Antebrazo: 6-8h desdeel momento de la lesión Dedos: 8h si se mantienen “calientes” y hasta 24h si se mantienen en frío Tipo de amputación: El mecanismo de lesión es el factor que influye en mayor medida sobre los resultados. Localización: reimplantaciones que se efectúan en el miembro superior suelen tener mejores resultados que las que se llevan a cabo en el miembro inferior Tiempo de isquemia: Miembros amputados con gran cantidad de tejidos blandos presentan menor tolerancia a la isquemia Coexistencia de otras lesiones o enfermedades Edad del paciente Factores a tener en cuenta para salvar un miembro
  • 302.
    Orden de reparacióndurante la reimplantación 1) Hueso 2) Tendón 3) Nervio 4) Vaso 5) Tejido blando
  • 303.
    Indicaciones y contraindicacionespara realizar un reimplante
  • 304.
    ¿Reimplante en niñosy adultos? LA EDAD NO ES UNA CONTRAINDICACIÓN para un reimplante. En los pacientes de tercera edad se deben examinar las arterias para ver si existe arteriosclerosis, que ocasiona frecuentemente que los vasos no sean permeables tras la anastomosis, motivo que contraindica el reimplante. En los niños, a diferencia de los adultos, la mayoría de los segmentos amputados o devascularizados tienen indicación de reimplantar porque las probabilidades de un buen resultado son mayores.
  • 305.
    Malformaciones Congenitas del Aparato Locomotor Carmen AdrianaArias Rodríguez Jimena Beatriz Aguiar Cervera Juan Carlos Velázquez Benitez Traumatología y Ortopedía
  • 306.
    Definición Los defectos congénitosde las extremidades implican extremidades faltantes, incompletas, supernumerarias, o anormalmente desarrolladas presentes en el nacimiento. La mayoría se deben a inhibición del crecimiento intrauterino primaria o interrupción secundaria a destrucción intrauterina de tejidos embrionarios normales. Las extremidades superiores son más comúnmente afectadas. BOYADJIEV BOYD, S. A. (S/F). MALFORMACIONES CONGÉNITAS DE LAS EXTREMIDADES. MANUAL MSD VERSIÓN PARA PROFESIONALES. RECUPERADO EL 2 DE SEPTIEMBRE DE 2023, DE HTTPS://WWW.MSDMANUALS.COM/ES-MX/PROFESSIONAL/PEDIATR%C3%ADA/MALFORMACIONES-CONG%C3%A9NITAS-CRANEOFACIALES-Y- MUSCULOESQUEL%C3%A9TICAS/MALFORMACIONES-CONG%C3%A9NITAS-DE-LAS-EXTREMIDADES
  • 310.
    Directamente del mesénquima (osificaciónintramembranosa) Remplazando tejido cartilaginoso previamente formado en el mesénquima por tejido óseo (osificación endocondral) cartílago-> quinta semana Deriva de condrocitos. Huesos aparecen como condensaciones mesenquimatosas formando moldes de estos que luego se transforman en tejido óseo. Desarrollo de hueso y cartílago
  • 311.
    Forma una capamembranosa que se condensa para formar un molde óseo, células se diferencian en osteoblastos--- centros de osificación. (células vecinas- calcifica) molde del hueso cartílago pericondrio- periostio vasculatura, células pluripotenciales-> hematopoyeticas y osteoblastos centros de osificación (diáfisis y epífisis Huesos largos de las extremidades. (Después del periodo embrionario) Osificación intramembranosa Osificación endocondral
  • 312.
    Osificación de clavícula,mandíbula, maxilar, humero, radio, cúbito, fémur y tibia. La escapula, coxal, peroné, falanges distales de la mano y ciertos huesos del cráneo (osificación prematura). Mitad de la vida prenatal: cráneo y vertebras Antes de nacer: calcáneo, cuboides, fémur (distal), tibia (proximal) Epífisis de extremidades, carpo, tarso. Niñas -> centros de osificación Osificación secundaria de vertebras, costillas, clavícula, escápula y coxal. 2nda y 3era década: fusión de las epífisis y diáfisis. Suturas de base del cráneo se empiezan a cerrar Maduración esquelética P. Embrionario: P. Fetal: Infancia: Adolescencia: E. Adulta:
  • 314.
    Interzonas homogéneas: 6semana- área condrógenica entre extremidades-> +modelos cartilaginosos Interzonas de 3 capas: 7. 2 condrogénicas y capa intermedia (cápsula articular, ligamentos y membrana sinovial Cavitación articular: espacios en el centro de la articulación ->cavidad articular mesénquima interzonal ->cartílago, fibrocartílago o tejido fibroso no hay cavidad articular -> unión cabos óseos calcificación en vida adulta (cráneo) 6ta inica- 8tava adulto Articulaciones sinoviales Articulaciones no sinoviales
  • 315.
    EPAXIL (dorsal): músculosextensores del cuello y columna vertebral HIPOAXIL (ventral): músculos del cuello, flexores laterales y ventrales de la columna miotomos occipitales-> lengua. Migración de mioblastos a arcos-> músculos masticadores, expresión facial, faringe y laringe Del mesénquima que rodea a los huesos en desarrollo Células mesenquimatosas especializadas (mioblastos) -> Mesodermo intraembrionario Miotomos de los somitos Mesodermo de los arcos branquiales Mesénquima que rodea a los huesos en desarrollo
  • 316.
    Acondroplasia: trastorno autosómico dominante crecimientoendocondral cráneo normal, longitud de extremidades alterada Artrogriposis congénita múltiple: inmovilidad articular <- falta de movilidad muscular en el desarrollo contracturas múltiple articulares Distrofia miotónica: herencia autosómica dominante alteraciones en contracción muscular Malformaciones congénitas que afectan al aparato locomotor
  • 317.
    Malformaciones del miembro superior La clasificación demalformaciones congénitas de miembro superior desarrollada por Swanson en 1964, respaldada por asociaciones médicas, se aceptó internacionalmente en 1976 y actualmente se usa su versión modificada por la IFSHH. SARMIENTO-OSORIO, DIANA CAROLINA, GUILLÉN OLAYA, JAVIER FABRICIO, FRANCO ZULUAGA, JORGE ANDRÉS, & GUTIÉRREZ GÓMEZ, MARÍA LUCÍA. (2020). MANUAL DE MALFORMACIONES CONGÉNITAS DE MIEMBRO SUPERIOR EN FETOS O RECIÉN NACIDOS BASADO EN ESTUDIOS CADAVÉRICOS. UNIVERSITAS MEDICA, 61(4), 88-106. EPUB SEPTEMBER 30, 2020.HTTPS://DOI.ORG/10.11144/JAVERIANA.UMED61-4.MMCM
  • 318.
    Deficiencia transversa enla formación del miembro superior o peromelia: 6% de malformaciones congenitas de miemb. sup. Deficiencia longitudinal en la formación del miembro superior: Deficiencia congénita longitudinal pre axial o radial en la formación del miembro superior Deficiencia congénita longitudinal central en la formación del miembro superior (mano hendida) Deficiencia congénita longitudinal pos axial o ulnar en la formación del miembro superior Tipo I: Malformaciones en miembro superior por fallo en la formación
  • 319.
  • 321.
    Sindactilia 1. Tipo II: Malformacionesen miembro superior por fallo en la diferenciacion o separación de las partes 2. Sinfalangismo 3. Camptodactilia 4. Clinodactilia 5. Sinostosis RUIZ, C. A. V., MARINA, D. P., VÁZQUEZ-VELA, C. C., & LEEDER, P. C. (2012). ANOMALÍAS CONGÉNITAS MÁS COMUNES DE LA MANO. REVISTA MEXICANA DE ORTOPEDIA PEDIÁTRICA, 14(1), 5-11. HTTPS://WWW.MEDIGRAPHIC.COM/PDFS/OPEDIATRIA/OP-2012/OP121B.PDF
  • 322.
    Tipo III: Malformacionesen miembro superior por duplicación Polidactilia Dimelia ulnar 1:700-1,000 nacidos vivos Mas frecuente polidactilia del pulgar o preaxial Clasificación de Wassel Mano en espejo Expresión elevada aberrante de SHH Clasificación de Al-Qattan
  • 323.
    Tipo IV: Malformacionesen miembro superior por crecimiento excesivo Macrodactilia Crecimiento excesivo y desproporcionado de todas las estructuras de uno o más dígitos. Mayor frecuencia en presentación pre axial. Forma aislada o en algunos casos se asocia con lipofibromatosis de las fibras nerviosas locales con mayor frecuencia sobre la distribución correspondiente al nervio mediano. Asociado a pacientes que cursan con neurofibromatosis o con alteraciones vasculares como hemangiomas y enfermedad por insuficiencia venosa. BERNAL GONZÁLEZ, MARIO DE JESÚS, CABRERA VILTRES, NELSON, ÁLVAREZ PLACERES, LEOPOLDO, NÁPOLES PÉREZ, MAILYN, & AYALA CHINÉA, ÁNGEL PABLO. (2017). MACRODACTILIA. REVISTA CUBANA DE ORTOPEDIA Y TRAUMATOLOGÍA, 31(1), 76-81. RECUPERADO EN 04 DE SEPTIEMBRE DE 2023, DE HTTP://SCIELO.SLD.CU/SCIELO.PHP? SCRIPT=SCI_ARTTEXT&PID=S0864-215X2017000100007&LNG=ES&TLNG=ES.
  • 324.
    Tipo V: Malformacionesen miembro superior por crecimiento restringido o deficiencia CARLOS RAÚL, SANTA MARÍA-RAMIREZ, & LEGUIZAMÓN MENDOZA, DEYSI MARÍA GLORIA. (2018). BRAQUIDACTILIA FAMILIAR SIN COMPONENTE FUNCIONAL. REVISTA CIENTÍFICA CIENCIA MÉDICA, 21(2), 75-76. RECUPERADO EN 04 DE SEPTIEMBRE DE 2023, DE HTTP://WWW.SCIELO.ORG.BO/SCIELO.PHP?SCRIPT=SCI_ARTTEXT&PID=S1817-74332018000200014&LNG=ES&TLNG=ES. Braquimetacarpia y braquidactilia Hipoplasia del pulgar VERGARA AMADOR, ENRIQUE M. (2008). HIPOPLASIA DEL PULGAR: PRESENTACIÓN CLÍNICA Y RECONSTRUCCIÓN. REVISTA DE LA FACULTAD DE MEDICINA, 56(1), 33-42. RETRIEVED SEPTEMBER 04, 2023, FROM HTTP://WWW.SCIELO.ORG.CO/SCIELO.PHP?SCRIPT=SCI_ARTTEXT&PID=S0120-00112008000100005&LNG=EN&TLNG=ES. Braquimetacarpia: hipoplasia aislada en metacrapiano Braquidactilia: Hipoplasia en 1 o más falanges Falta de desarrollo, desarrollo anormal o ausencia de las estructuras radiales del antebrazo. Clasificación de Blauth
  • 325.
    Tipo VI: Malformacionesen miembro superior por síndrome de bandas de constricción congénita SARMIENTO-OSORIO, DIANA CAROLINA, GUILLÉN OLAYA, JAVIER FABRICIO, FRANCO ZULUAGA, JORGE ANDRÉS, & GUTIÉRREZ GÓMEZ, MARÍA LUCÍA. (2020). MANUAL DE MALFORMACIONES CONGÉNITAS DE MIEMBRO SUPERIOR EN FETOS O RECIÉN NACIDOS BASADO EN ESTUDIOS CADAVÉRICOS. UNIVERSITAS MEDICA, 61(4), 88-106. EPUB SEPTEMBER 30, 2020.HTTPS://DOI.ORG/10.11144/JAVERIANA.UMED61-4.MMCM Acrosindactilia o seudosindactilia 1:1200 nacidos vivos Necrosis focal de extremidad Etapa pos embrionaria Amputación por bandas anulares provenientes de tejido coriónico... isquemia, necrosis, amputación intrauterina. Fusión de dígitos como cicatrización.
  • 326.
    Acondroplasia Discondroplaisa Artrogriposis TipoVII: Malformaciones en miembro superior por anomalias esqueléticas generalizadas SARMIENTO-OSORIO, DIANA CAROLINA, GUILLÉN OLAYA, JAVIER FABRICIO, FRANCO ZULUAGA, JORGE ANDRÉS, & GUTIÉRREZ GÓMEZ, MARÍA LUCÍA. (2020). MANUAL DE MALFORMACIONES CONGÉNITAS DE MIEMBRO SUPERIOR EN FETOS O RECIÉN NACIDOS BASADO EN ESTUDIOS CADAVÉRICOS. UNIVERSITAS MEDICA, 61(4), 88-106. EPUB SEPTEMBER 30, 2020.HTTPS://DOI.ORG/10.11144/JAVERIANA.UMED61-4.MMCM
  • 327.
    Malformaciones del miembro inferior Se tratansobre todo de malformaciones longitudinales, donde se incluyen las agenesias e hipoplasias del fémur, las agenesias e hipoplasias del eje peronéo y las del eje tibial. Las malformaciones transversales son mucho menos frecuentes que en los miembros superiores UCM. (2014). TEMA 9. MALFORMACIONES CONGÉNITAS DE INTERÉS ORTOPÉDICO. UCM.ES. HTTPS://WWW.UCM.ES/DATA/CONT/DOCS/420-2014-03-20- 09%20MALFORMACIONES%20CONGENITAS.PDF
  • 328.
    Cuando se alterala fisis del trocánter mayor se produce la deformidad inversa al bloquearse el crecimiento a este nivel y mantenerse el del cartílago de conjunción de la cabeza femoral. Incluye una gran variedad desde un acortamiento discreto hasta la aplasia completa. Se acompañan de alteraciones de las partes blandas y de la movilidad/estabilidad de cadera y rodilla. Diagnóstico: Radiografía simple COXA VALGA Malformaciones femorales UCM. (2014). TEMA 9. MALFORMACIONES CONGÉNITAS DE INTERÉS ORTOPÉDICO. UCM.ES. HTTPS://WWW.UCM.ES/DATA/CONT/DOCS/420-2014-03-20-09%20MALFORMACIONES%20CONGENITAS.PDF
  • 329.
    Luxación congenita de rodilla Latibia está desplazada por delante del fémur colocando la rodilla en hiperextensión e hiperflexión de la cadera llevando la cara anterior del miembro inferior contra tórax y abdomen haciendo fácil su diagnóstico en el momento del nacimiento. Luxación. Subluxación Genum recurvatum congénitos Se diferencian 3 grados: Diagnóstico: La resonancia da poca información. El desplazamiento anterior de la tibia se observa en relación con la línea anterior de la diáfisis femora UCM. (2014). TEMA 9. MALFORMACIONES CONGÉNITAS DE INTERÉS ORTOPÉDICO. UCM.ES. HTTPS://WWW.UCM.ES/DATA/CONT/DOCS/420-2014-03-20-09%20MALFORMACIONES%20CONGENITAS.PDF
  • 330.
    Es la formamás frecuente de malformación de los miembros inferiores. Suele ser esporádica y asociarse a hipoplasia femoral En las aplasias hay una bandeleta fibrosa que sustituye al peroné y se extiende hasta el calcáneo. El pie está siempre afectado: coaliciones tarsianas y la ausencia de 1 a 3 radios externos del pie. Aplasias del peroné UCM. (2014). TEMA 9. MALFORMACIONES CONGÉNITAS DE INTERÉS ORTOPÉDICO. UCM.ES. HTTPS://WWW.UCM.ES/DATA/CONT/DOCS/420-2014-03-20-09%20MALFORMACIONES%20CONGENITAS.PDF
  • 331.
    Es una afecciónrara, de etiología desconocida, se asocia a la neurofibromatosis. La pseudoartrosis es excepcional en el momento del nacimiento y se desarrolla habitualmente después del comienzo de la marcha entre 1 y 3 años. Los niños nacen con una incurvación anterior y en varo de la tibia (nunca hay una incurvación posterior) Pseudoartrosis congenita de la tibia UCM. (2014). TEMA 9. MALFORMACIONES CONGÉNITAS DE INTERÉS ORTOPÉDICO. UCM.ES. HTTPS://WWW.UCM.ES/DATA/CONT/DOCS/420-2014-03-20-09%20MALFORMACIONES%20CONGENITAS.PDF
  • 332.
    Aparecen por acortamientoo hipertrofia de uno o varios segmentos esqueléticos de un lado en relación con el otro a lo que suman las malposiciones articulares. las hipoplasias mayores de los miembros inferiores, las osteocondrodisplasias por crecimiento anómalo fibroso o cartilaginoso. Las hiperplasias unilaterales: displasia epifisaria hemimélica y las formas secundarias a fístulas arteriovenosas congénitas Dismetrías UCM. (2014). TEMA 9. MALFORMACIONES CONGÉNITAS DE INTERÉS ORTOPÉDICO. UCM.ES. HTTPS://WWW.UCM.ES/DATA/CONT/DOCS/420-2014-03-20-09%20MALFORMACIONES%20CONGENITAS.PDF
  • 333.
    Asociación VACTERL V Malformaciones vertebrales A Atresia anal T Fistula traqueoesofágica EAtresia esofágica Grupo de defectos de nacimiento que ocurren juntos y que afectan varias partes del cuerpo. C Anomalías cardiovasculares R Anomalías renales L Otras anomalías en las extremidades MC, Á.-I., & CM, R.-M. (S/F). ASOCIACIÓN VACTERL. PRESENTACIÓN DE UN CASO EN SESIÓN ANATOMO- PATOLÓGICA Y CONSIDERACIONES GENERALES. MEDIGRAPHIC.COM. RECUPERADO EL 2 DE SEPTIEMBRE DE 2023, DE HTTPS://WWW.MEDIGRAPHIC.COM/PDFS/ACTPEDMEX/APM-2017/APM175F.PDF
  • 334.
    Etiología y Características Pronóstico Su etiologíaes desconocida y probablemente multifactorial, por lo que no puede catalogarse como un síndrome específico La presencia de las diversas malformaciones en varias combinaciones es por lo que se cataloga como una asociación y no como síndrome con etiología única establecida. Depende de la oportuna corrección quirúrgica de los defectos que ponen en riesgo la vida del paciente, siendo atresia esofágica y atresia anal de los más importantes de corregir rápidamente Asociación VACTERL MC, Á.-I., & CM, R.-M. (S/F). ASOCIACIÓN VACTERL. PRESENTACIÓN DE UN CASO EN SESIÓN ANATOMO- PATOLÓGICA Y CONSIDERACIONES GENERALES. MEDIGRAPHIC.COM. RECUPERADO EL 2 DE SEPTIEMBRE DE 2023, DE HTTPS://WWW.MEDIGRAPHIC.COM/PDFS/ACTPEDMEX/APM-2017/APM175F.PDF
  • 335.
    Asociación VACTERL Para su diagnósticoes necesario por lo menos 3 de los 7 criterios Diagnóstico MC, Á.-I., & CM, R.-M. (S/F). ASOCIACIÓN VACTERL. PRESENTACIÓN DE UN CASO EN SESIÓN ANATOMO- PATOLÓGICA Y CONSIDERACIONES GENERALES. MEDIGRAPHIC.COM. RECUPERADO EL 2 DE SEPTIEMBRE DE 2023, DE HTTPS://WWW.MEDIGRAPHIC.COM/PDFS/ACTPEDMEX/APM-2017/APM175F.PDF
  • 336.
    ANATOMÍA FUNCIONAL ESCAPULOHUMERAL Docente: Dr. José AntonioDelgado Pérez Joseph Aguilar Tzuc Jennifer Reyes Betaza Karen Pamela Rosado Velázquez Alumnos: Lunes, 4 de septiembre de 2023. Traumatología y Ortopedia
  • 337.
    INTRODUCCIÓN El hombro esla articulación más móvil del cuerpo. Glenohumeral Esternoclavicular (SC), Acromioclavicular (AC) Escapulotorácica. Movimiento producido por las interacciones entre las articulaciones: En conjunto, la interacción coordinada de estas estructuras permite una extraordinaria libertad de movimiento y función.
  • 338.
    INTRODUCCIÓN Acciones de laArticulación Glenohumeral Flexión Extensión Abducción Aducción Rotación Interna (Medial) Rotación Externa (Lateral) Circunducción Articulación Sinovial de Esfera y Cavidad, es la articulación más movil y produce las siguientes acciones:
  • 339.
    PUNTOS CLAVE DELA ARTICULACIÓN GLENOHUMERAL ANATOMÍA ESCAPULOHUMERAL
  • 340.
    RELACIONES ARTICULARES ANATOMÍA ESCAPULOHUMERAL ARTICULACIÓN ESTERNOCLAVICULAR ExtremoMedial de la Clavícula Manubrio del Esternón Cartílago de Primera Costilla Compuesta por el: Sinovial en forma de silla de montar, une el esquelo axial con el apendicular. Elevación Depresión Protracción Retracción Rotación Movimientos:
  • 341.
    RELACIONES ARTICULARES ANATOMÍA ESCAPULOHUMERAL ARTICULACIÓN ACROMIOCLAVICULAR Los movimientosson mínimos pero importantes para dar la máxima movilidad en la articulación escapulotorácica Articulación diartrodial rodeada por una cápsula y tiene membrana sinovial intraarticular y cartílago articular Rotación hacia arriba Rotación hacia abajo Rotación en plano horizontal Rotación en plano sagital Movimientos:
  • 342.
    RELACIONES ARTICULARES ANATOMÍA ESCAPULOHUMERAL ARTICULACIÓN ESCAPULOTORÁCICA Nose considera una verdadera articulación La escápula se desliza sobre un lecho muscular en la pared torácica posterior y su forma se adapta a las costillas subyacentes. En reposo gira internamente (35-45°) Hacia Arriba (3°) Hacia Adelante (15-20°) Movimientos:
  • 343.
    RELACIONES ARTICULARES Se encuentradonde la cabeza semiesférico del húmero se articula con la cavidad glenoidea de la escápula. ANATOMÍA ESCAPULOHUMERAL La articulación que conectan la escápula, la clavícula y el húmero anclan la extremidad superior al tronco.
  • 344.
    RELACIONES ARTICULARES ANATOMÍA ESCAPULOHUMERAL Estasarticulaciones son interdependientes.
  • 345.
    MANGUITO ROTADOR Se refiereal conjunto de músculos y tendones que proporcionan estabilidad al hombro. Su importancia estriba en que mantienen la cabeza del húmero dentro de la cavidad glenoidea de la escápula. Subescapular Rota internamente el húmero. Supraespinoso Realiza los primeros 15 a 20 grados de separación del brazo (movimiento de abducción). Infraespinoso Rota el brazo externamente Redondo menor Rota el brazo externamente
  • 346.
    ARTICULACIÓN Rodete glenoideo El manguitorotador tiene una función fundamental al estabilizar la articulación glenohumeral. Los grupos musculares además de producir movimientos del hombro, mantienen la articulación estabilizada, y evitan que la cabeza humeral se luxe en dirección anterior o superior.
  • 347.
    LIGAMENTOS Y ANATOMÍACAPSULAR ARTICULACIÓN GLENOHUMERAL
  • 348.
    LIGAMENTOS Y ANATOMÍACAPSULAR Externa: tejido fibroso laxo Interna: membrana sinovial Húmero: cuello anatómico Escápula: dos líneas de inserción Anterior e inferior Superior y posterior Cápsula articular Inserciones
  • 349.
    Entre los tubérculos Entreligamentos glenohumerales superior y medio Dos orificios LIGAMENTOS Y ANATOMÍA CAPSULAR Bursa subdeltoidea subacromial: entre la cápsula articular y el músculo deltoideo o acromion. Bursa subcoracoidea: entre la cápsula del proceso coracoides de la escápula. Bursa subescapular: entre la cápsula y el tendón subescapular Bursa coracobraquial está entre los músculos subescapular y coracobraquial. Líquido sinovial
  • 350.
    LIGAMENTOS L. coracohumeral L.glenohumeral superior L. glenohumeral medio
  • 351.
    LIGAMENTOS L. glenohumeral inferiorL. transverso del húmero L. acromioclavicular L. coracocromial L. coracoclavicular
  • 352.
    Dolor del hombro José Sala, PamelaCeballos y Roman Flores
  • 353.
  • 354.
  • 355.
    Maniobras Especiales Sx. ArcoDoloroso Hawkins (pinzamiento supraespinoso) y Jobe. Gerber=Mano/Espalda (subescapular). Yergason=Supinación (Tendón del Biceps). Prueba de Jobe: M. Supraespinoso
  • 356.
    Tendinitis Bicipital Inflamación C.Larga del Bicep Braquial--> Manguito Rotador <-- Basket, Nadador, Béisbol, Golf y Tenis/ Repeticiones/Cargas pesadas. Crioterapia ptl 500mg 2/6 - 3/8 + Piroxicam
  • 357.
  • 358.
    ¿QUÉ ES? ENFERMEDAD CARACTERIZADAPOR RIGIDEZ Y DOLOR EN LA ARTICULACIÓN DEL HOMBRO La necesidad de mantener el hombro inmóvil por largos períodos de tiempo aumenta el riesgo de padecer hombro rígido.
  • 359.
    SÍNTOMAS ETAPA DE BLOQUEO MOTORETAPA DE RIGIDEZ ETAPA DE ALIVIO Cualquier movimiento del hombro causa dolor, y la capacidad de movimiento se vuelve limitada (entre 2 y 9 meses) se manifiesta lentamente y en tres etapas El hombro se vuelve más rígido y es cada vez más difícil usarlo El dolor puede disminuir (entre 4 y 12 meses) La capacidad de movimiento del hombro comienza a mejorar (entre 5 y 24 meses)
  • 360.
    CAUSA: El hombro congeladoo capsulitis adhesiva es el resultado de la inflamación y el endurecimiento de la cápsula alrededor de la articulación del hombro.
  • 361.
    FACTORES DE RIESGO Condiciones médicas comodiabetes, tiroides hiperactiva o hipoactiva Lesión previa: Inmovilidad o movilidad reducida debido a fractura de brazo, accidente cerebrovascular o cirugías como mastectomía Edad: Más común entre las personas mayores Género: Las mujeres tienen un mayor riesgo de desarrollar hombro congelado
  • 362.
    DIAGNÓSTICO Inspección: movimiento delhombro Palpación: en partes del hombro para ver qué puede estar causando el dolor Se puede tomar una radiografía o una exploración por resonancia magnética Generalmente es por los síntomas del paciente
  • 363.
    Puede mejorar deforma natural, pero tarda de 18-24 meses Opciones de tratamiento: Analgésicos. Fisioterapia. Infiltraciones de corticoesteroides y anestésicos locales Artroscopia de hombro y manipulación bajo anestesia Depende de la etapa de la condición y la gravedad de su dolor y rigidez. 1. 2. 3. 4. TRATAMIENTO
  • 364.
  • 365.
    ¿QUÉ ES? ACUMULACIÓNDE DEPÓSITOS DE CALCIO EN EL INTERIOR DEL TENDÓN, LO QUE PUEDE CAUSAR DOLOR Y LIMITACIÓN EN EL MOVIMIENTO DE LA ARTICULACIÓN AFECTADA.
  • 366.
    FASES Dos fases: Formativa: Durade 1-6 años, no suele haber dolor o muy poco Reabsortiva: 1-6 meses, fase de dolor agudo por la acumulación de los cristales en la bolsa articular
  • 367.
    SÍNTOMAS DOLOR AGUDO RIGIDEZNUEVO BROTE Fase reabsortiva Hombro y cara externa del brazo sin razón aparente Degeneración tendinosa sin romper el tendón Si el dolor se mantiene puede causar una rigidez o capsulitis Puede desaparecer el dolor hasta que aparece un nuevo brote, aproximadamente de 1 mes a 2 años después
  • 368.
    CAUSA: Se desconocen lascausas por las se depositan cristales de calcio en el hombro
  • 369.
    FACTORES DE RIESGO Trastornos endocrinos Brazodominante Tener en el otro hombro 30% Sexo: Más frecuente en mujeres Otras calcificaiones
  • 370.
    DIAGNÓSTICO Radiografía por lavisibilidad del calcio, dos vistas Resonancia y ecografía para localizar el depósito Localizaciones: Tendón supraespinoso (65%), infraespinoso (30%) y subescapular (5%) Generalmente es por los síntomas del paciente
  • 371.
    Depende de lossíntomas Indoloro: sin tratamiento, esperar la reabsroción (menos casos) Dolor agudo: Analgésicos, AINES, narcóticos y hielo (10-15 min 4 días) Dolor intenso: Infiltraciones anestésicas en la bolsa Calcificación Grande: Punción con ecografía para aspiración, solo con tendón íntegro y calcio blando CRÓNICO: cirugía (artroscopia), dolor de más de 6 meses TRATAMIENTO