Eladio Lapresa  Acosta Unidad de Urgencias y H.Polivalente. Enero 2011  Radiologia Osea
Modalidades de imagen Abordaje de las fractura Abordaje de las lesiones oseas Abordaje de las artritis
Radiografia simple Tomografia Computarizada Ultrasonido Medicina nuclear Radiologia Intervensionista  Imagen por Resonancia Magnetica
Radiografia Simple Imagen primordial para ver hueso y articulaciones, particularmente en patologia traumatica.  Ventajas Barato Rapidez Accesibilidad
Radiografia simple Desventajas Uso de radiacion  ionizante  (rayos x) Da informacion limitada de las partes o tejidos blandos
Tomografia Computarizada (TC) Tubo de rayos x que rota alrededor del pte Capacidad de obtener imagenes axiales Reconstruccion en otros planos y 3D Mejor para corteza osea y calcificaciones Buena para evaluar fracturas comminutas pelvis calcaneo Muneca
Tomografia Computarizada (TC) Desventajas Dosis de radiacion al paciente Artefactos  por  metales Pobre caracterizacion de partes blandas
 
Ultrasonido Relativamente barato Las ondas de sonido son reflejadas en las interfaces de los tejidos blandos  No da radiacion ionizante Aplicaciones en Musculo-esqueletico En niños para Displasia/luxación de cadera Lesión de tendones como en el manguito rotator Masas de tejidos blandos Toma de biopsia guiada por ultrasonido
longitudinal transversal
Medicina Nuclear Evaluación de todo el esqueleto Muy sensible, no especifica. fractura tumor artritis infeccion enfermedad metabolica del hueso
scan oseo Normal   Metástasis multiples
Radiologia Intervensionista Artrografia Puncion articular y aspiracion Biopsia Guiada por ultrasonido  Guiada por T.C.  Intervensionismo vertebral Bloqueo de raices nerviosas Inyeccion en las focetas articulares discografias
Paciente se coloca en un campo magnetico potente Imagen multiplanar Excelente contraste de tejidos blandos Imagen por resonancia magnetica (IRM)
 
coronal   sagital axial
Desventajas Contraindicaciones Cuerpos extranos metalicos en orbita Marcapasos  Aparatos neuroestimuladores  Claustrofobia Riesgo teórico en el primer trimestre de gestación Artefactos por objetos ferromagneticos Imagen de anatomia osea, fracturas y descalcificacion Imagen por Resonancia Magnetica (IRM)
Cirugia compleja en cadera causando artefactos
Abordaje Radiológico de las fracturas
Lo ideal es incluir la articulacion superior e inf, particularmente cuando hay huesos pares
Descripción de fracturas Cerrada vs. abierta Simple vs. comminuta (compleja)  Extra-articular vrs. intra-articular Trazo de la linea de fractura Posición de la fractura
Cerrada  (no hay comunicacion con el exterior de la piel)  Abierta  o fractura compuesta (hay comunicacion)
Simple : Dos fragmentos Comminuta  (compleja): Mas de dos fragmentos
Fractura Intra-articular  involucra la superficie articular de la articulacion subyacente
Transversal   Oblicuo  Espiral   Longitudinal Trazo de la linea de fractura
Transversal Oblicuo  Espiral   Longitudinal Trazo de la linea de fractura
Posición de la fractura Angulacion  – grado de deformidad angular de los fragmentos Desplazamiento  - es un cambio en el eje anatomico de uno de los fragmentos con respecto al otro Diastasis  – es una separacion de fragmentos Impactacion  – ocurre cuando los fragmentos se icrustan uno en el otro, da la impresion de no haber fractura Acabalgamiento  – ocurre cuando uno de los fragmentos se desplaza por encima del otro  Rotacion  – el fragmento distal se rota con respecto al proximal (rotacion externa o interna)
medial   lateral   lateral / valgo  medial / varo     Desplazamiento y angulación de fracturas
rotacion     rotacion   acabalgamiento  diastasis interna   externa   acortamiento Posición de la fractura
Fracturas en Niños Arqueamiento plastico - fractura sin rotura de la cortical Torus – cortical abulsionada Tallo verde – ruptura de la cortical en un lado del hueso Fractura de Salter-Harris - una fractura que involucra el disco de crecimiento
Arqueamiento  Torus  Tallo verde plástico
Torus / fractura-abulsión
Fractura en tallo verde
Clasificacion de Salter Harris de las fracturas en el disco de crecimiento
S   A  L   T   R Slipped  Above  Lower   Through  Ruined
 
Fractura de Salter Harris tipo 2
 
Fractura de Salter Harris tipo 3
Fracturas especiales  Fractura por stress o por fatiga   Sumatoria de microfracturas causadas por trauma repetitivo (frecuentemente vistas en atletas) hueso normal con carga anormal  Fractura por insuficiencia Hueso osteoporótico fracturado por stress normal  hueso anormal con carga normal Fractura patológica Fractura que tiene lugar en un hueso previamente enfermo por una patologia que puede ser benigna o maligna.
Fractura por fatiga del 3 er  metatarso (fractura por la marcha)
Fractura del calcaneo por insuficiencia
Fractura por Insuficiencia  del cuello femoral
Fracturas Patologicas
Abordaje de las Artritis Tejidos blandos  (edema, calcificacion) Densidad osea  Espacios articulares Erosiones Nuevo hueso  (osteofitos, periostitis) Patron Simetria
Abordaje de las Artritis Osteoartritis Artritis erosiva Artritis reumatoide Artritis psoriasica Gota Artritis infecciosa
Osteoartritis IFDs, IFPs, 1 st  CMC Osteofitos Estrechez asimetrica del espacio articular  Esclerosis subcondral Quistes subcondrales No erosiones marginales Densidad osea preservada
Osteoartritis
Osteoartritis
Osteoartritis
Osteoartritis
Artritis erosiva
 
 
 
 
 
erosiones
erosiones
Artritis Reumatoidea Muneca, MCFs, IFPs IFDs respetadas simetrica osteopenia Erosiones marginales Estrechez del espacio articular Edema fusiforme de tejidos blandos subluxaciones
Artritis psoriasica Manos  >  Pies IFDs principalmente  (tambien IFPs y MCFs) La densidad del hueso preservada periostitis “ dedo en salchicha” erosion del extremo de las falanges
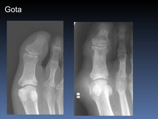
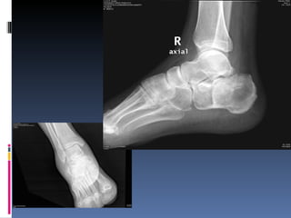
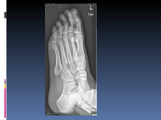
Gota Asimetrica Mas comun en la 1a.  articulacion M.T.T.F. Es comun la bursitis del olecranon Erosiones con bordes sobresalientes (mordedura de rata) Edema de partes blandas Depositos con densidad de tejidos blandos (tofos)
Gota
Gota Bursitis del olecranon
Gota
Artritis Infecciosa Mono-articular Derrame articular Osteopenia periarticular Destruccion del cartilago y corteza articular Curso rapido Usualmente por S.aureus
PRACTICAS
 
 
 
 
 
 
 
Varon 46 años, sin AP de interes MC: Caida accidental sobre muñeca dcha Rx  urgencias: imagen compatible con solución de continuidad en la cortical de la estiloides radial Trat: ferula dorsal y revision en 10 dias en CCEE traumatologia.
 
5 semanas después:  CCEE traumatologia HARE Guadix: se retira férula, movilizacion aún dolorosa, limitacion de La flexoextension por dolor. Alta médica.  4 semanas después:  Se solicita TC: luxacion semilunar. Traslado a Unidad mano traumatologia HUVN HUVN: Se interviene quirúrgicamente intentando en un primer momento la reducción del semilunar. Posteriormente se realiza carpectomía de la primera hilera del carpo por la imposibilidad de reducción  Actualmente en RHB con grave limitación funcional
 
Muchas Gracias

Sesion radiologia osea.eladio

  • 1.
    Eladio Lapresa Acosta Unidad de Urgencias y H.Polivalente. Enero 2011 Radiologia Osea
  • 2.
    Modalidades de imagenAbordaje de las fractura Abordaje de las lesiones oseas Abordaje de las artritis
  • 3.
    Radiografia simple TomografiaComputarizada Ultrasonido Medicina nuclear Radiologia Intervensionista Imagen por Resonancia Magnetica
  • 4.
    Radiografia Simple Imagenprimordial para ver hueso y articulaciones, particularmente en patologia traumatica. Ventajas Barato Rapidez Accesibilidad
  • 5.
    Radiografia simple DesventajasUso de radiacion ionizante (rayos x) Da informacion limitada de las partes o tejidos blandos
  • 6.
    Tomografia Computarizada (TC)Tubo de rayos x que rota alrededor del pte Capacidad de obtener imagenes axiales Reconstruccion en otros planos y 3D Mejor para corteza osea y calcificaciones Buena para evaluar fracturas comminutas pelvis calcaneo Muneca
  • 7.
    Tomografia Computarizada (TC)Desventajas Dosis de radiacion al paciente Artefactos por metales Pobre caracterizacion de partes blandas
  • 8.
  • 9.
    Ultrasonido Relativamente baratoLas ondas de sonido son reflejadas en las interfaces de los tejidos blandos No da radiacion ionizante Aplicaciones en Musculo-esqueletico En niños para Displasia/luxación de cadera Lesión de tendones como en el manguito rotator Masas de tejidos blandos Toma de biopsia guiada por ultrasonido
  • 10.
  • 11.
    Medicina Nuclear Evaluaciónde todo el esqueleto Muy sensible, no especifica. fractura tumor artritis infeccion enfermedad metabolica del hueso
  • 12.
    scan oseo Normal Metástasis multiples
  • 13.
    Radiologia Intervensionista ArtrografiaPuncion articular y aspiracion Biopsia Guiada por ultrasonido Guiada por T.C. Intervensionismo vertebral Bloqueo de raices nerviosas Inyeccion en las focetas articulares discografias
  • 14.
    Paciente se colocaen un campo magnetico potente Imagen multiplanar Excelente contraste de tejidos blandos Imagen por resonancia magnetica (IRM)
  • 15.
  • 16.
    coronal sagital axial
  • 17.
    Desventajas Contraindicaciones Cuerposextranos metalicos en orbita Marcapasos Aparatos neuroestimuladores Claustrofobia Riesgo teórico en el primer trimestre de gestación Artefactos por objetos ferromagneticos Imagen de anatomia osea, fracturas y descalcificacion Imagen por Resonancia Magnetica (IRM)
  • 18.
    Cirugia compleja encadera causando artefactos
  • 19.
  • 20.
    Lo ideal esincluir la articulacion superior e inf, particularmente cuando hay huesos pares
  • 21.
    Descripción de fracturasCerrada vs. abierta Simple vs. comminuta (compleja) Extra-articular vrs. intra-articular Trazo de la linea de fractura Posición de la fractura
  • 22.
    Cerrada (nohay comunicacion con el exterior de la piel) Abierta o fractura compuesta (hay comunicacion)
  • 23.
    Simple : Dosfragmentos Comminuta (compleja): Mas de dos fragmentos
  • 24.
    Fractura Intra-articular involucra la superficie articular de la articulacion subyacente
  • 25.
    Transversal Oblicuo Espiral Longitudinal Trazo de la linea de fractura
  • 26.
    Transversal Oblicuo Espiral Longitudinal Trazo de la linea de fractura
  • 27.
    Posición de lafractura Angulacion – grado de deformidad angular de los fragmentos Desplazamiento - es un cambio en el eje anatomico de uno de los fragmentos con respecto al otro Diastasis – es una separacion de fragmentos Impactacion – ocurre cuando los fragmentos se icrustan uno en el otro, da la impresion de no haber fractura Acabalgamiento – ocurre cuando uno de los fragmentos se desplaza por encima del otro Rotacion – el fragmento distal se rota con respecto al proximal (rotacion externa o interna)
  • 28.
    medial lateral lateral / valgo medial / varo Desplazamiento y angulación de fracturas
  • 29.
    rotacion rotacion acabalgamiento diastasis interna externa acortamiento Posición de la fractura
  • 30.
    Fracturas en NiñosArqueamiento plastico - fractura sin rotura de la cortical Torus – cortical abulsionada Tallo verde – ruptura de la cortical en un lado del hueso Fractura de Salter-Harris - una fractura que involucra el disco de crecimiento
  • 31.
    Arqueamiento Torus Tallo verde plástico
  • 32.
  • 33.
  • 34.
    Clasificacion de SalterHarris de las fracturas en el disco de crecimiento
  • 35.
    S A L T R Slipped Above Lower Through Ruined
  • 36.
  • 37.
    Fractura de SalterHarris tipo 2
  • 38.
  • 39.
    Fractura de SalterHarris tipo 3
  • 40.
    Fracturas especiales Fractura por stress o por fatiga Sumatoria de microfracturas causadas por trauma repetitivo (frecuentemente vistas en atletas) hueso normal con carga anormal Fractura por insuficiencia Hueso osteoporótico fracturado por stress normal hueso anormal con carga normal Fractura patológica Fractura que tiene lugar en un hueso previamente enfermo por una patologia que puede ser benigna o maligna.
  • 41.
    Fractura por fatigadel 3 er metatarso (fractura por la marcha)
  • 42.
    Fractura del calcaneopor insuficiencia
  • 43.
    Fractura por Insuficiencia del cuello femoral
  • 44.
  • 45.
    Abordaje de lasArtritis Tejidos blandos (edema, calcificacion) Densidad osea Espacios articulares Erosiones Nuevo hueso (osteofitos, periostitis) Patron Simetria
  • 46.
    Abordaje de lasArtritis Osteoartritis Artritis erosiva Artritis reumatoide Artritis psoriasica Gota Artritis infecciosa
  • 47.
    Osteoartritis IFDs, IFPs,1 st CMC Osteofitos Estrechez asimetrica del espacio articular Esclerosis subcondral Quistes subcondrales No erosiones marginales Densidad osea preservada
  • 48.
  • 49.
  • 50.
  • 51.
  • 52.
  • 53.
  • 54.
  • 55.
  • 56.
  • 57.
  • 58.
  • 59.
  • 60.
    Artritis Reumatoidea Muneca,MCFs, IFPs IFDs respetadas simetrica osteopenia Erosiones marginales Estrechez del espacio articular Edema fusiforme de tejidos blandos subluxaciones
  • 61.
    Artritis psoriasica Manos > Pies IFDs principalmente (tambien IFPs y MCFs) La densidad del hueso preservada periostitis “ dedo en salchicha” erosion del extremo de las falanges
  • 62.
    Gota Asimetrica Mascomun en la 1a. articulacion M.T.T.F. Es comun la bursitis del olecranon Erosiones con bordes sobresalientes (mordedura de rata) Edema de partes blandas Depositos con densidad de tejidos blandos (tofos)
  • 63.
  • 64.
  • 65.
  • 66.
    Artritis Infecciosa Mono-articularDerrame articular Osteopenia periarticular Destruccion del cartilago y corteza articular Curso rapido Usualmente por S.aureus
  • 67.
  • 68.
  • 69.
  • 70.
  • 71.
  • 72.
  • 73.
  • 74.
  • 75.
    Varon 46 años,sin AP de interes MC: Caida accidental sobre muñeca dcha Rx urgencias: imagen compatible con solución de continuidad en la cortical de la estiloides radial Trat: ferula dorsal y revision en 10 dias en CCEE traumatologia.
  • 76.
  • 77.
    5 semanas después: CCEE traumatologia HARE Guadix: se retira férula, movilizacion aún dolorosa, limitacion de La flexoextension por dolor. Alta médica. 4 semanas después: Se solicita TC: luxacion semilunar. Traslado a Unidad mano traumatologia HUVN HUVN: Se interviene quirúrgicamente intentando en un primer momento la reducción del semilunar. Posteriormente se realiza carpectomía de la primera hilera del carpo por la imposibilidad de reducción  Actualmente en RHB con grave limitación funcional
  • 78.
  • 79.

Notas del editor

  • #17 El contraste de tejidos blandos e imagenes multi-planares ayudan a la evaluacion pre-operatoria en tumores de musculo esqueletico
  • #36 Slipped: Se deslizó through: A través Above: Por encima ruined: Arruinado Lower: Menor
  • #50 ESCLEROSIS SUBCONDONDRAL
  • #51 ESTRECHEZ ASIMETRICA / QUISTES SUBCONDRALES
  • #55 CARTILAGO ARTICULAR
  • #56 MEMBRANA SINOVIAL
  • #57 LIQUIDO ARTICULAR
  • #58 IL-1: Activa monocitos/macrofagos: Inflamacion Estimula la proliferacion de fibroblastos: Formacion del Pannus sinovial Activa condrocitos: Fragmentacion del cartilago Activa Osteoclastos: Resorcion osea