Fracturas
Generalidades
BACHILLERES:
*GARCIA MARIA
*KIMBERLI GONZALEZ
REPUBLICA BOLIVARIANA DE VENEZUELA
UNIVERSIDAD NACIONAL EXPERIMENTAL DE LOS
LLANOS OCCIDENTES EZEQUIEL ZAMORA
UNELLEZ –BARINAS
Dr. Fredy Rondón
• Definir fractura,
• Identificar los diferentes tipos de fracturas
• Conocer las diferentes clasificaciones de fracturas
• Aprender a clasificar una fractura
• Diagnosticar una fractura
• Definir Luxacion y clasificacion.
• Esguince y clasificacion.
OBJETIVOS
∗ Se llama fractura a la rotura o pérdida de la solución
de continuidad del tejido óseo de un segmento
corporal, puede ir de un simple rasgo hasta una
completa destrucción de la arquitectura ósea.
∗ Esguince.
∗ Distensión o rotura completa/incompleta de un
ligamento o conjunto de estos, en tres grados I, II y III.
Definición
∗ Las fracturas pueden asociarse a luxación articular pasando a
construir una luxo_fractura.
∗ La mayoría de las fracturas son cerradas, pero se denominan
expuestas o abierta cuando se asocian a heridas de las partes
blandas que comunican al foco de la fractura.
∗ Las fracturas en tejido óseo con lesión estructural se denominan
en hueso patológico.
∗ La tipificación de las fracturas puede hacerse con
relación a:
Según el sitio que se
producen
a) Diafisiarias
a) paraarticulares : metafisis y epifisiarias
Según el tipo. a) Imcompletas
1. Fisuras huesos planos afectando la cortical
2. Compresivas por aplastamiento de la zona
esponjosa sin separacion de corticales,
vertebras.
a) completas
Según el numero de
fragmentos
a)Simples o a dos fragmentos.
b) Tercer fragmento libre pequeño.
c) Bifocales o segmentarias.
Clasificacion de las fracturas
Según el trazo de fractura a) trasversales: perpendicular al eje
del hueso
b) Oblicua: ángulo agudo con el eje
longitudinal.
c) Espiroidea.
Según comunicación con el foco de la
fractura con el exterior.
a) Cerrada.
b) Abierta o complicada.
c) Abierta secundaria
Según su etiología. a) Por traumatismo directo
b) Por fatiga o estrés, por traumas
mínimos repetitivo, frecuente en
diáfisis de tibia y peroné, cuello de
fémur.
Según mecanismo de produccion a) Por causa directa, se produce en el
mismo lugar donde actúa el agente causal.
b) Causa indirecta
1. compresión
2. distracción, avulsión o arrancamiento.
3. flexión
4. torsión, lleva fractura en espiral.
5. cizallamiento
Según el dezplazamiento a) Impactacion o telescopage
b) Diastasis.
c) Angulacion: varo, valgo, ante y
recurvatum
d) Rotacion o decalage
Formas de Presentación
FORMAS DE
PRESENTACIÓN
Tipos
Configuración
Posición fragmentaria
Aposición
Buena, acabalgamiento, distracción
Localización
Tercio
•Proximal
•Medio
•Inferior
Intra artic.
Epifisiaria
Diafisiaria
Infancia
En tallo verde
En “torus”
En tubo de plomo
Por curvamiento
Diafisiarias
Epifisiarias
Cerrada y abierta
Incompleta
Conminuta
Impactada
Avulsión
Oblicuas
Espiral
Vertical
Transversas
Factores de riesgo mas frecuentes
∗ Fractura acorde. Causada por
traumatismo brusco en un hueso
sano.
∗ Fractura de stress. Debido a stress
repetitivo sobre la zona (de fatiga o
de marcha).
∗ Causas.
∗ Atletas (pubis, tibia).
∗ Bailarinas de ballet (tibia, tercio
medio).
∗ Tosedor crónico (costillas
bajas).
∗ Golfista (costilla).
∗ Cargador de bultos
(primera costilla).
∗ Corredor de larga distancia
(peroné distal, tibia).
∗ Fractura de marcha
(metatarsianos).
∗ Paracaidista (peroné
proximal).
∗ Trabajador de pala
(apófisis espinosas
cervicodorsales).
Tipos
∗ Fractura patológica.
∗ Causa local (carcinoma
metastásico), suelen
ocurrir a nivel de los
cuerpos vertebrales, 1/3
proximal del fémur y ½
proximal del húmero.
∗ Causa generalizada
(osteoporosis senil), con
afectación fundamental en
los cuerpos vertebrales
dorsales y lumbares, así
como el cuello del fémur.
∗ Enfermedad local.
∗ Tumores benignos.
∗ Encondroma.
∗ Tumores malignos.
∗ Ca. Metastásico.
∗ Infección.
∗ Osteomielitis.
∗ Otros.
∗ Quiste simple.
∗ Displasia fibrosa.
∗ Granuloma eosinófilo.
∗ Lesiones difusas.
∗ Congénitas.
∗ Adquiridas.
∗ Dolor
∗ Impotencia funcional
∗ Deformidad
∗ Crepitación
∗ Movilidad anormal
Cuadro clínico
∗ FUE DESCRITA POR MAURICE MULLER EN 1988.
∗ SE BASO PARA DOCUMENTAR Y COMPRENDER EN
TERMINOS BIOMECANICOS Y BIOLOGICOS.
∗ PARA LA ADQUISICION DE LOS DATOS.
∗ ALMACENAJE DE DICHOS DATOS.
∗ RECUPERACION DE LOS MISMOS.
∗ PROPORCIONA UN SISTEMA EN QUE EL CIRUJANO
PUEDE IDENTIFICAR Y DESCRIBIR LA LESION DEL
HUESO.
Clasificación AO
Cuadro Comparativo
FRACTURAS LUXACIONES ESGUINCES DESGARROS
DOLOR
Localizado en la
zona lesionada
que aumenta con
el movimiento
Localizado en la
articulación, aumenta
con el movimiento y
la inflamación.
Localizado en la
articulación,
aumenta al tacto.
Dolor súbito con
sensación de tirón.
IMPOTENCIA
FUNCIONAL
Incapacidad de
movimiento.
Imposibilidad de
movimiento
Relativo al grado
de esguince.
Gran incapacidad.
INFLAMACION
En el sitio de la lesión producida por la acumulación de líquidos
(plasma) como respuesta a trauma.
Relativo al tipo de
desgarro.
ENROJECIMIENTO Amorotamiento o enrojecimiento de la zona lesionada.
CREPITACION
Chasquido (ruido
producido por
roce de los
fragmentos óseos)
10%NORMAL
Valoración
clínica
No hay deformidad
palpable
Domicilio
Deformidad palpable
o herida penetrante
Cráneo simple
TAC, si la fx cruza ramas de la
meníngea media
Sospecha Fx base
Estudio simple
proyecciones para base
Examen neurológico anormal
Sospecha de lesión
TAC
60% Agresiones
17% Acc. Autom
Otras
I. Pasa a través de la porción media del maxilar superior
II. Piramidal, cruza al etmoides oblicuamente.
III. Supracigomatica, comienza en la zona nasal con
extension al etmoides.
De importancia por el daño neurológico que pueden causar
Fx estables Fx inestables
HOMBRO
BRAZO
CODO
ANTEBRAZO
MUÑECA
MANO
Monteggia
Colles
Fx escafoides
ESTABLESESTABLES INESTABLESINESTABLES
Fx Malgaigne
En libro abierto
En asa de cubo
En horcajadas
Fx por avulsión
Del ala iliaca
Del sacro
Fx aisladas de
las ramas
pélvicas
Complicaciones
∗ De la propia fractura.
∗ Unión retrasada.
∗ No unión.
∗ Mala unión.
∗ Necrosis aséptica.
∗ Acortamiento.
∗ Infección.
∗ Asociadas.
∗ Lesión vascular.
∗ Contractura isquémica
de Volkman.
∗ Gangrena gaseosa.
∗ Enfermedad .
Tromboembólica
∗ Embolismo graso
∗ Síndrome
compartimental.
∗ Tardias
∗ Atrofia de Sudeck.
∗ Miositis osificante.
∗ Artrosis.
∗ Sinostosis.
Complicaciones
Lesión completa o incompleta del aparato capsulo-
ligamentoso, ocasionada por un movimiento forzado,
mas allá de sus limites normales o en un sentido no
propio de la articulación.
Esguinces
∗ Lesiones Frecuente en el adulto.
∗ Pueden producirse en cualquier articulación, mas
frecuente en tobillo, dedos de la mano, columna
cervical, muñecas, rodillas.
∗ El 15% son asociadas a practicas deportivas.
∗ En la mayoría de los casos son atendidos por médicos
no especialistas
epidemiologia
GRADO I GRADO II GRADO III
(Leve distención
ligamentosa).
Dolor espontaneo leve.
El paciente se queja de dolor
por la inflamación de la zona.
Ligero aumento de volumen.
Marcha posible.
Leve claudicación.
(Moderado, rotura parcial de
ligamentos.)
Mayor dolor a veces intenso.
Dolor a la palpación del
ligamento.
Aumento de volumen uní o
biomaleolar.
Equimosis, fundamental para
diferenciar el grado I del
grado II , porque al romperse
los ligamentos parcialmente
hay sangramiento.
Marcha claudicante.
Movilidad dolorosa.
Severo, rotura completa de
ligmentos.
Gran dolor
Gran aumento de volumen
Marcha muy dificultosa o
imposible.
Movilidad restriguida
Equimosis
Inestabilidad, es lo que lo
diferencia del grado II
Clasificación de los esguinces
∗ Perdida completa o estable de la congruencia de las
superficies oseas que forman una articulacion
luxaciones
∗ Según relación anatómica completa o parcial
∗ Según el tiempo de evolución aguda, sub aguda
(dias) inveterada (semanas)
clasificacion
Generalidades de las fracturas.

Generalidades de las fracturas.

  • 1.
    Fracturas Generalidades BACHILLERES: *GARCIA MARIA *KIMBERLI GONZALEZ REPUBLICABOLIVARIANA DE VENEZUELA UNIVERSIDAD NACIONAL EXPERIMENTAL DE LOS LLANOS OCCIDENTES EZEQUIEL ZAMORA UNELLEZ –BARINAS Dr. Fredy Rondón
  • 2.
    • Definir fractura, •Identificar los diferentes tipos de fracturas • Conocer las diferentes clasificaciones de fracturas • Aprender a clasificar una fractura • Diagnosticar una fractura • Definir Luxacion y clasificacion. • Esguince y clasificacion. OBJETIVOS
  • 3.
    ∗ Se llamafractura a la rotura o pérdida de la solución de continuidad del tejido óseo de un segmento corporal, puede ir de un simple rasgo hasta una completa destrucción de la arquitectura ósea. ∗ Esguince. ∗ Distensión o rotura completa/incompleta de un ligamento o conjunto de estos, en tres grados I, II y III. Definición
  • 4.
    ∗ Las fracturaspueden asociarse a luxación articular pasando a construir una luxo_fractura. ∗ La mayoría de las fracturas son cerradas, pero se denominan expuestas o abierta cuando se asocian a heridas de las partes blandas que comunican al foco de la fractura. ∗ Las fracturas en tejido óseo con lesión estructural se denominan en hueso patológico.
  • 5.
    ∗ La tipificaciónde las fracturas puede hacerse con relación a:
  • 6.
    Según el sitioque se producen a) Diafisiarias a) paraarticulares : metafisis y epifisiarias Según el tipo. a) Imcompletas 1. Fisuras huesos planos afectando la cortical 2. Compresivas por aplastamiento de la zona esponjosa sin separacion de corticales, vertebras. a) completas Según el numero de fragmentos a)Simples o a dos fragmentos. b) Tercer fragmento libre pequeño. c) Bifocales o segmentarias. Clasificacion de las fracturas
  • 7.
    Según el trazode fractura a) trasversales: perpendicular al eje del hueso b) Oblicua: ángulo agudo con el eje longitudinal. c) Espiroidea. Según comunicación con el foco de la fractura con el exterior. a) Cerrada. b) Abierta o complicada. c) Abierta secundaria Según su etiología. a) Por traumatismo directo b) Por fatiga o estrés, por traumas mínimos repetitivo, frecuente en diáfisis de tibia y peroné, cuello de fémur.
  • 8.
    Según mecanismo deproduccion a) Por causa directa, se produce en el mismo lugar donde actúa el agente causal. b) Causa indirecta 1. compresión 2. distracción, avulsión o arrancamiento. 3. flexión 4. torsión, lleva fractura en espiral. 5. cizallamiento Según el dezplazamiento a) Impactacion o telescopage b) Diastasis. c) Angulacion: varo, valgo, ante y recurvatum d) Rotacion o decalage
  • 11.
    Formas de Presentación FORMASDE PRESENTACIÓN Tipos Configuración Posición fragmentaria Aposición Buena, acabalgamiento, distracción Localización Tercio •Proximal •Medio •Inferior Intra artic. Epifisiaria Diafisiaria Infancia En tallo verde En “torus” En tubo de plomo Por curvamiento Diafisiarias Epifisiarias Cerrada y abierta Incompleta Conminuta Impactada Avulsión Oblicuas Espiral Vertical Transversas
  • 18.
    Factores de riesgomas frecuentes ∗ Fractura acorde. Causada por traumatismo brusco en un hueso sano. ∗ Fractura de stress. Debido a stress repetitivo sobre la zona (de fatiga o de marcha). ∗ Causas. ∗ Atletas (pubis, tibia). ∗ Bailarinas de ballet (tibia, tercio medio). ∗ Tosedor crónico (costillas bajas). ∗ Golfista (costilla). ∗ Cargador de bultos (primera costilla). ∗ Corredor de larga distancia (peroné distal, tibia). ∗ Fractura de marcha (metatarsianos). ∗ Paracaidista (peroné proximal). ∗ Trabajador de pala (apófisis espinosas cervicodorsales).
  • 22.
    Tipos ∗ Fractura patológica. ∗Causa local (carcinoma metastásico), suelen ocurrir a nivel de los cuerpos vertebrales, 1/3 proximal del fémur y ½ proximal del húmero. ∗ Causa generalizada (osteoporosis senil), con afectación fundamental en los cuerpos vertebrales dorsales y lumbares, así como el cuello del fémur. ∗ Enfermedad local. ∗ Tumores benignos. ∗ Encondroma. ∗ Tumores malignos. ∗ Ca. Metastásico. ∗ Infección. ∗ Osteomielitis. ∗ Otros. ∗ Quiste simple. ∗ Displasia fibrosa. ∗ Granuloma eosinófilo. ∗ Lesiones difusas. ∗ Congénitas. ∗ Adquiridas.
  • 31.
    ∗ Dolor ∗ Impotenciafuncional ∗ Deformidad ∗ Crepitación ∗ Movilidad anormal Cuadro clínico
  • 32.
    ∗ FUE DESCRITAPOR MAURICE MULLER EN 1988. ∗ SE BASO PARA DOCUMENTAR Y COMPRENDER EN TERMINOS BIOMECANICOS Y BIOLOGICOS. ∗ PARA LA ADQUISICION DE LOS DATOS. ∗ ALMACENAJE DE DICHOS DATOS. ∗ RECUPERACION DE LOS MISMOS. ∗ PROPORCIONA UN SISTEMA EN QUE EL CIRUJANO PUEDE IDENTIFICAR Y DESCRIBIR LA LESION DEL HUESO. Clasificación AO
  • 34.
    Cuadro Comparativo FRACTURAS LUXACIONESESGUINCES DESGARROS DOLOR Localizado en la zona lesionada que aumenta con el movimiento Localizado en la articulación, aumenta con el movimiento y la inflamación. Localizado en la articulación, aumenta al tacto. Dolor súbito con sensación de tirón. IMPOTENCIA FUNCIONAL Incapacidad de movimiento. Imposibilidad de movimiento Relativo al grado de esguince. Gran incapacidad. INFLAMACION En el sitio de la lesión producida por la acumulación de líquidos (plasma) como respuesta a trauma. Relativo al tipo de desgarro. ENROJECIMIENTO Amorotamiento o enrojecimiento de la zona lesionada. CREPITACION Chasquido (ruido producido por roce de los fragmentos óseos)
  • 35.
    10%NORMAL Valoración clínica No hay deformidad palpable Domicilio Deformidadpalpable o herida penetrante Cráneo simple TAC, si la fx cruza ramas de la meníngea media Sospecha Fx base Estudio simple proyecciones para base Examen neurológico anormal Sospecha de lesión TAC 60% Agresiones 17% Acc. Autom Otras
  • 37.
    I. Pasa através de la porción media del maxilar superior II. Piramidal, cruza al etmoides oblicuamente. III. Supracigomatica, comienza en la zona nasal con extension al etmoides.
  • 38.
    De importancia porel daño neurológico que pueden causar Fx estables Fx inestables
  • 40.
  • 41.
    ESTABLESESTABLES INESTABLESINESTABLES Fx Malgaigne Enlibro abierto En asa de cubo En horcajadas Fx por avulsión Del ala iliaca Del sacro Fx aisladas de las ramas pélvicas
  • 44.
    Complicaciones ∗ De lapropia fractura. ∗ Unión retrasada. ∗ No unión. ∗ Mala unión. ∗ Necrosis aséptica. ∗ Acortamiento. ∗ Infección. ∗ Asociadas. ∗ Lesión vascular. ∗ Contractura isquémica de Volkman. ∗ Gangrena gaseosa. ∗ Enfermedad . Tromboembólica ∗ Embolismo graso ∗ Síndrome compartimental.
  • 45.
    ∗ Tardias ∗ Atrofiade Sudeck. ∗ Miositis osificante. ∗ Artrosis. ∗ Sinostosis. Complicaciones
  • 47.
    Lesión completa oincompleta del aparato capsulo- ligamentoso, ocasionada por un movimiento forzado, mas allá de sus limites normales o en un sentido no propio de la articulación. Esguinces
  • 48.
    ∗ Lesiones Frecuenteen el adulto. ∗ Pueden producirse en cualquier articulación, mas frecuente en tobillo, dedos de la mano, columna cervical, muñecas, rodillas. ∗ El 15% son asociadas a practicas deportivas. ∗ En la mayoría de los casos son atendidos por médicos no especialistas epidemiologia
  • 50.
    GRADO I GRADOII GRADO III (Leve distención ligamentosa). Dolor espontaneo leve. El paciente se queja de dolor por la inflamación de la zona. Ligero aumento de volumen. Marcha posible. Leve claudicación. (Moderado, rotura parcial de ligamentos.) Mayor dolor a veces intenso. Dolor a la palpación del ligamento. Aumento de volumen uní o biomaleolar. Equimosis, fundamental para diferenciar el grado I del grado II , porque al romperse los ligamentos parcialmente hay sangramiento. Marcha claudicante. Movilidad dolorosa. Severo, rotura completa de ligmentos. Gran dolor Gran aumento de volumen Marcha muy dificultosa o imposible. Movilidad restriguida Equimosis Inestabilidad, es lo que lo diferencia del grado II Clasificación de los esguinces
  • 57.
    ∗ Perdida completao estable de la congruencia de las superficies oseas que forman una articulacion luxaciones
  • 58.
    ∗ Según relaciónanatómica completa o parcial ∗ Según el tiempo de evolución aguda, sub aguda (dias) inveterada (semanas) clasificacion

Notas del editor

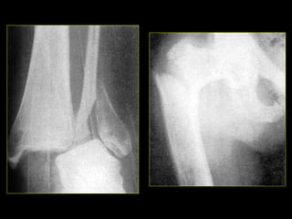
  • #10 Fractura de la base del V metatarsiano (izq). Fx desplazada de cúbito y radio (sup-der); Fx desplazada tibia peroné.
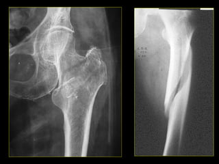
  • #11 Fx desplazada 1/3 distal del peroné. Fractura trocánter mayor del fémur.