CITOESQUELETO
P O R : A S H L E Y J U L I E T T E J U A R E Z B A R R E T O
D A N I E L A S O L O R Z A N O A L V A R E Z
A D Y L E N A I L Y N N G U T I E R R E Z M O R A L E S
Q U E T Z A L L I M A R T I N E Z G I L
M A R I A N A I B A R R A B E C E R R I L
EL CITOESQUELETO
Red grande de fibras proteicas y otras moléculas
que determinan la forma y estructura de las células
del cuerpo. El citoesqueleto ayuda a organizar las
estructuras llamadas orgánulos y otras sustancias
en el líquido dentro de las células. Es un
componente importante de muchas funciones
celulares, como el movimiento, la señalización y la
división.
FILAMENTOS DELGADOS
Organizacion lineal helicoideal de doble cadena
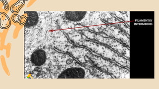
FILAMENTOS
INTERMEDIOS
MICROTÚBULOS
Los microtúbulos, como su nombre indica, son tubos
cuyas paredes están formadas por repeticiones de
dímeros de dos proteínas: α- y β-. los microtúbulos
son los más grandes de los tres tipos de fibras
citoesqueléticas, con un diámetro aproximado de
25 nm. Estos filamentos son indispensables para el
desplazamiento intracelular de orgánulos y
vesículas, forman el esqueleto de cilios y flagelos,
permiten la segregación de cromosomas durante
la división celular, etcétera.
Pawlina, W., & Ross, M. H. (2019). Ross. Histologia: Texto Y Atlas
(8a ed.). Wolters Kluwer Health.

Presentación .pdf

  • 1.
    CITOESQUELETO P O R: A S H L E Y J U L I E T T E J U A R E Z B A R R E T O D A N I E L A S O L O R Z A N O A L V A R E Z A D Y L E N A I L Y N N G U T I E R R E Z M O R A L E S Q U E T Z A L L I M A R T I N E Z G I L M A R I A N A I B A R R A B E C E R R I L
  • 2.
    EL CITOESQUELETO Red grandede fibras proteicas y otras moléculas que determinan la forma y estructura de las células del cuerpo. El citoesqueleto ayuda a organizar las estructuras llamadas orgánulos y otras sustancias en el líquido dentro de las células. Es un componente importante de muchas funciones celulares, como el movimiento, la señalización y la división.
  • 5.
    FILAMENTOS DELGADOS Organizacion linealhelicoideal de doble cadena
  • 8.
  • 12.
    MICROTÚBULOS Los microtúbulos, comosu nombre indica, son tubos cuyas paredes están formadas por repeticiones de dímeros de dos proteínas: α- y β-. los microtúbulos son los más grandes de los tres tipos de fibras citoesqueléticas, con un diámetro aproximado de 25 nm. Estos filamentos son indispensables para el desplazamiento intracelular de orgánulos y vesículas, forman el esqueleto de cilios y flagelos, permiten la segregación de cromosomas durante la división celular, etcétera.
  • 16.
    Pawlina, W., &Ross, M. H. (2019). Ross. Histologia: Texto Y Atlas (8a ed.). Wolters Kluwer Health.