ORGANOS LINFOIDES
El sistema linfático consiste en un grupo de células, tejidos y
órganos que monitorean las superficies corporales y los
compartimientos líquidos internos, reaccionando a la presencia
de sustancias potencialmente nocivas.

• Los linfocitos son el tipo celular predominante del sistema
del sistema linfático y son las células efectoras en la respuesta
del sistema inmune a las sustancias nocivas.

• El sistema linfático incluye:

- El tejido linfoide DIFUSO Ó LAXO.
- El tejido linfoide DENSO. Puede ser: Denso nodular
  (nódulos linfáticos) y denso cordonal .
ORGANOS LINFOIDES

     CAPSULADOS             NO CAPSULADOS.
                        • Se ubica en la lámina
                          propia de los sistemas
• GANGLIOS LINFÁTICOS     (DIGESTIVO
• TIMO                    RESPIRATORIO y
                          genitourinario).
• BAZO
                        • Ejemplo: Placas de
• BOLSA DE FABRICIO.      Peyer de íleon,
                          amígdalas palatinas y
                          lingual.
Tejido linfoide difuso y nódulos linfáticos
• Linfocitos y otras células libres del sistema linfático son
encontrados en la lámina propia del tubo digestivo, de las vías
respiratorias y del tracto genitourinario; sin estar envueltos por una
cápsula.


• Esa forma de tejido linfático es denominada tejido linfático difuso
o tejido linfático asociado a la mucosa (MALT), debido a su asocia-
ción con las mucosas;


• Además del tejido linfático difuso, concentraciones localizadas
de linfocitos son encontradas comúnmente en las paredes del tubo
digestivo, en las vías respiratorias y en el tracto genitourinario.
Tejido linfoide difuso y nódulos linfáticos
• Aunque esas concentraciones sean nitidamente delimitadas
continúan siendo no encapsulados;y reciben el nombre de nódulos
linfáticos;

• Esa forma de tejido linfático es denominada tejido linfático difuso
o tejido linfático asociado a la mucosa (MALT), debido a su asocia-
ción con las mucosas;


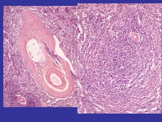
• Un centro germinativo, se encuentra localizado en la región cen-
tral del nódulo linfático, y aparece coloreado en tono claro.

• Una zona de manto o corona, constituye un anillo externo de
pequeños linfocitos circundando el centro germinativo.
Tejido linfoide difuso y nódulos linfáticos
• Los nódulos linfáticos generalmente son encontrados en estruc-
turas asociadas al tubo digestivo, como las amígdalas o tonsilas,
las placas de Peyer y el apéndice vermiforme.
Ganglios linfáticos o linfonódulos




                        ZONA CORTICAL
Ganglios linfáticos o linfonódulos




             ZONA MEDULAR
Timo
Timo
Timo
BAZO
órganos linfoides
órganos linfoides

órganos linfoides

  • 1.
  • 2.
    El sistema linfáticoconsiste en un grupo de células, tejidos y órganos que monitorean las superficies corporales y los compartimientos líquidos internos, reaccionando a la presencia de sustancias potencialmente nocivas. • Los linfocitos son el tipo celular predominante del sistema del sistema linfático y son las células efectoras en la respuesta del sistema inmune a las sustancias nocivas. • El sistema linfático incluye: - El tejido linfoide DIFUSO Ó LAXO. - El tejido linfoide DENSO. Puede ser: Denso nodular (nódulos linfáticos) y denso cordonal .
  • 3.
    ORGANOS LINFOIDES CAPSULADOS NO CAPSULADOS. • Se ubica en la lámina propia de los sistemas • GANGLIOS LINFÁTICOS (DIGESTIVO • TIMO RESPIRATORIO y genitourinario). • BAZO • Ejemplo: Placas de • BOLSA DE FABRICIO. Peyer de íleon, amígdalas palatinas y lingual.
  • 4.
    Tejido linfoide difusoy nódulos linfáticos • Linfocitos y otras células libres del sistema linfático son encontrados en la lámina propia del tubo digestivo, de las vías respiratorias y del tracto genitourinario; sin estar envueltos por una cápsula. • Esa forma de tejido linfático es denominada tejido linfático difuso o tejido linfático asociado a la mucosa (MALT), debido a su asocia- ción con las mucosas; • Además del tejido linfático difuso, concentraciones localizadas de linfocitos son encontradas comúnmente en las paredes del tubo digestivo, en las vías respiratorias y en el tracto genitourinario.
  • 5.
    Tejido linfoide difusoy nódulos linfáticos • Aunque esas concentraciones sean nitidamente delimitadas continúan siendo no encapsulados;y reciben el nombre de nódulos linfáticos; • Esa forma de tejido linfático es denominada tejido linfático difuso o tejido linfático asociado a la mucosa (MALT), debido a su asocia- ción con las mucosas; • Un centro germinativo, se encuentra localizado en la región cen- tral del nódulo linfático, y aparece coloreado en tono claro. • Una zona de manto o corona, constituye un anillo externo de pequeños linfocitos circundando el centro germinativo.
  • 6.
    Tejido linfoide difusoy nódulos linfáticos • Los nódulos linfáticos generalmente son encontrados en estruc- turas asociadas al tubo digestivo, como las amígdalas o tonsilas, las placas de Peyer y el apéndice vermiforme.
  • 7.
    Ganglios linfáticos olinfonódulos ZONA CORTICAL
  • 8.
    Ganglios linfáticos olinfonódulos ZONA MEDULAR
  • 9.
  • 10.
  • 11.
  • 12.