UNIVERSIDAD NACIONAL AUTÓNOMA DE MÉXICO
FACULTAD DE MEDICINA
HOSPITAL GENERAL FERNANDO QUIRÓZ
ISSSTE
MÓDULO DE NEUMOLOGÍA
SÍNDROMES PLEUROPULMONARES
ALARCÓN HERNÁNDEZ ESTEFANÍA
• Conjunto sistematizado de signos recogidos en
la exploración que tiene como base un
determinado estado anatomopatológico
producido por múltiples causas.
Rohde Einhaus FC, Green Schnecuer León,
et al. Neumología. 6° ed. México: Trillas;
2007.
• Para que las alteraciones del parénquima
pulmonar o de la cavidad pleural den origen a
un síndrome, deben existir dos condiciones:
Magnitud suficiente para
modificar los signos
normales de exploración.
Lesión cercana pared
torácica el pulmón.
Los procesos patológicos del pulmón y de la
pleura modifican su estado físico y morfológico,
lo que trae como consecuencia un cambio en la
resolución a los rayos X.
Rohde Einhaus FC, Green Schnecuer León,
et al. Neumología. 6° ed. México: Trillass;
2007.
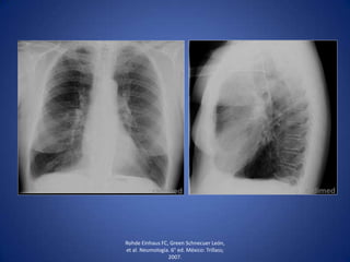
Condensación Atelectasia Rarefacción
Cavitario
Rohde Einhaus FC, Green Schnecuer León,
et al. Neumología. 6° ed. México: Trillass;
2007.
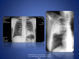
Derrame pleural Neumotórax
Hidroneumotórax
Rohde Einhaus FC, Green Schnecuer León,
et al. Neumología. 6° ed. México: Trillass;
2007.
Resulta de procesos patológicos que ocasionan
cambios en el contenido alveolar, cambiando su
contenido normalmente de aire, por exudado,
fibrina o algún otro elemento extraño.
Neumonía Tuberculosis
Tumores
Rohde Einhaus FC, Green Schnecuer León,
et al. Neumología. 6° ed. México: Trillass;
2007.
Hallazgos clínicos
Síndrome de condensación pulmonar
Inspección ↓ movilidad del hemitórax afectado (por alteración de la
ventilación y por modificación en las características elásticas del
pulmón)
Palpación V.V. ↑
Percusión La sonoridad está disminuida o abolida, no hay resonancia
pulmonar (claro pulmonar). Se percibe sonido mate o submate.
Auscultación R.respiratorios ↑ en intensidad; audibles durante toda la
espiración.
Soplo tubario.
La transmisión de la voz se ausculta con mayor intensidad en el
sitio afectado.
Fenómenos
agregados
Estertores alveolares al final de la inspiración (denotan que los
alveolos están parcialmente llenos).
Estertores bronquialveolares.
En casos de irritación pleural: Frote pleural.
Rohde Einhaus FC, Green Schnecuer León,
et al. Neumología. 6° ed. México: Trillass;
2007.
PARÉNQUIMA
PULMONAR ↑
CONSISTENCIA
• Varían de forma,
tamaño y grado de
densidad según el
número de alveolos
que se encuentren
consolidados.
Rohde Einhaus FC, Green Schnecuer León, et al. Neumología. 6°
ed. México: Trillass; 2007
“Opacidad que tiende a ser
homogénea, de bordes más
o menos bien limitados, rara
vez definidos con nitidez y
precisión”
• Broncograma aéreo (visualizar dentro de una
opacidad parenquimatosa la trama del árbol
bronquial correspondiente al área afectada.)
Rohde Einhaus FC, Green Schnecuer León,
et al. Neumología. 6° ed. México: Trillass;
2007.
El broncograma y el
bronquiolograma aéreos
también se pueden
observar en casos de
atelectasia no obstructiva.
Rohde Einhaus FC, Green Schnecuer León,
et al. Neumología. 6° ed. México: Trillass;
2007.
Rohde Einhaus FC, Green Schnecuer León,
et al. Neumología. 6° ed. México: Trillass;
2007.
Obstrucción de un bronquio. ↓ del volumen del pulmón
Desplazamiento de
estructuras vecinas como
mediastino, tráquea y
diafragma hacia el lado
afectado.
Los espacios intercostales se
cierran
Hallazgos clínicos
• Clínicamente: Este síndrome y el derrame
pleural tienen pocas diferencias entre sí.
Rohde Einhaus FC, Green Schnecuer León,
et al. Neumología. 6° ed. México: Trillass;
2007.
Síndrome de condensación pulmonar
Inspección ↓ volumen torácico
Retracción de los espacios intercostales
Hueco supraclavicular o supraesternal.
Hipomovilidad del lado afectado.
Palpación ↓ movimientos respiratorios
V.V. ↓ o ausentes
En ocasiones, el ápex de desvía hacia el lado afectado
Percusión Mate o submate.
Auscultación No se auscultad ruidos respiratorios ni la transmisión de la voz.
Aumento de la
densidad
parenquimatosa
(opacidad) por colapso
pulmonar.
Datos de pérdida de
volumen pulmonar
(también por colapso
pulmonar)
Rohde Einhaus FC, Green Schnecuer León,
et al. Neumología. 6° ed. México: Trillass;
2007.
• Opacidad bien definida, homogénea y de bordes precisos y nítidos.
• Pocos sacos alveolares colapsados → Opacidad lineal, pequeña,
horizontal, por lo general basal y con frecuencia múltiple (atelectasias
laminares).
• Colapso total → La opacidad ocupa todo un campo pulmonar.
Atelectasia redonda
Rohde Einhaus FC, Green Schnecuer León,
et al. Neumología. 6° ed. México: Trillass;
2007.
Atelactasia laminar
Datos radiológicos de pérdida de volumen por atelectasia:
A) Desplazamiento de las cisuras hacia el sitio del colapso.
B) Elevación del hemidiafragma del lado afectado.
D) Disminución de los espacios intercostales.
E) Sobredistensión del tejido pulmonar sano.
Rohde Einhaus FC, Green Schnecuer León,
et al. Neumología. 6° ed. México: Trillass;
2007.
Mecanismo de producción en
atelectasia
Atelectasia obstructiva:
• Más frecuente.
• Oclusión total de un bronquio o bronquiolo.
• “Atelectasias por reabsorción”.
Rohde Einhaus FC, Green Schnecuer León,
et al. Neumología. 6° ed. México: Trillass;
2007.
Atelectasia no obstructiva
Atelectasia pasiva:
• Cuando el aumento de la densidad del
parénquima pulmonar está dado por una
disminución de contenido de aire en los
alveolos.
• Neumotórax
• Compresión sobre el parénquima pulmonar
producida por líquido de derrame pleural.
Rohde Einhaus FC, Green Schnecuer León,
et al. Neumología. 6° ed. México: Trillass;
2007.
Atelectasia adhesiva
• Inactivación o ausencia de agente tensoactivo
pulmonar.
• Puede observarse en el síndrome de
insuficiencia respiratoria del recién nacido o
en el síndrome de insuficiencia respiratoria
progresiva del adulto.
Rohde Einhaus FC, Green Schnecuer León,
et al. Neumología. 6° ed. México: Trillass;
2007.
Atelectasia cicatrizal
• La fibrosis cicatrizal por destrucción pulmonar
distorsiona la arquitectura pulmonar normal y
colapsa los alveolos .
• Tuberculosis pulmonar.
Rohde Einhaus FC, Green Schnecuer León,
et al. Neumología. 6° ed. México: Trillass;
2007.
• El bronquio y/o bronquiolo permanecen
permeables; por tanto, puede existir
broncograma, bronquiolograma aéreo o
ambos.
Rohde Einhaus FC, Green Schnecuer León,
et al. Neumología. 6° ed. México: Trillass;
2007.
Rohde Einhaus FC, Green Schnecuer León,
et al. Neumología. 6° ed. México: Trillass;
2007.
Hallazgos clínicos
Síndrome cavitario
Inspección ↓ movimientos respiratorios del lado
afectado.
Auscultación Puede encontrarse soplo anfórico o soplo
cavitario*
Rohde Einhaus FC, Green Schnecuer León,
et al. Neumología. 6° ed. México: Trillass;
2007.
• Hiperclaridad o
hiperluminiscencia.
• Debe analizarse tamaño,
localización, paredes de la
cavidad e investigar si
existe o no nivel
hidroaéreo.
• Absceso pulmonar →
Hiperclaridad redonda u
oval, rodeada de una
opacidad de bordes mal
definidos y un nivel
hidroaéreo.
• “Imagen en canasta”.
Rohde Einhaus FC, Green Schnecuer León,
et al. Neumología. 6° ed. México: Trillass;
2007.
• Lesiones cavitadas de origen fímico se llaman
cavernas→ Hiperclaridades más o menos redondas.
• Quistes, neumatoceles y bulas → hiperclaridades de
diversos tamaños, de paredes delgadas,
generalmente bien definidas y nítidas que pueden
estar o no ocupadas por líquido.
Rohde Einhaus FC, Green Schnecuer León,
et al. Neumología. 6° ed. México: Trillass;
2007.
• Se integra en pacientes que cursan con enfisema
pulmonar.
• Tórax en inspiración profunda permanente o tórax en
tonel.
Rohde Einhaus FC, Green Schnecuer León,
et al. Neumología. 6° ed. México: Trillass;
2007.
Inspección ↓ movimientos respiratorios en
ambos lados del tórax
Palpación ↓ V.V. ↓ transmisión de la voz en
ambos lados del tórax
Percusión ↑ sonoridad
Auscultación ↓ Ruido respiratorio en ambos lados
del tórax.
Enfisema centrolobulillar
• Espacios intercostales abiertos
• Facies abotagada
• Cianosis distal y central
• Se auscultan estertores bronquiales.
Enfisema panlobulillar
• Coloración rosada
Enfisema lobar infantil → afección unilateral
Rohde Einhaus FC, Green Schnecuer León,
et al. Neumología. 6° ed. México: Trillass;
2007.
Afección
bilateral
Hallazgos radiológicos de
síndrome de rarefacción
• Campos pulmonares
más grandes de lo
normal, hiperclaros e
hiperluminiscentes.
• Trama vascular; poco
definida, escasa.
• Corazón pequeño →
“Corazón en gota”.
Rohde Einhaus FC, Green Schnecuer León,
et al. Neumología. 6° ed. México: Trillass;
2007.
• Espacios intercostales
abiertos.
• Arcos costales tienden a
horizontalizarse.
• Hemidiafragmas
aplanados y descendidos.
• P.L. Espacio retrosternal
aumentado de tamaño y
se ve hiperluminiscente.
Rohde Einhaus FC, Green Schnecuer León,
et al. Neumología. 6° ed. México: Trillass;
2007.
Rohde Einhaus FC, Green Schnecuer León,
et al. Neumología. 6° ed. México: Trillass;
2007.
Rohde Einhaus FC, Green Schnecuer León,
et al. Neumología. 6° ed. México: Trillass;
2007.
• Cuando el espacio pleural se encuentra
ocupado por líquido, ya sea trasudado,
exudado (serofibrinoso) sangre (hemotórax),
material purulento (empiema) o quilo
(quilotórax).
Rohde Einhaus FC, Green Schnecuer León,
et al. Neumología. 6° ed. México: Trillass;
2007.
Hallazgos clínicos
• Lkcjv
Rohde Einhaus FC, Green Schnecuer León,
et al. Neumología. 6° ed. México: Trillass;
2007.
Derrame pleural
Inspección ↓ MR en el lado afectado.
↑ espacios intercostales
Abombamiento de la región
Palpación Hipomovilidad
V.V. ↓ o abolidas.
Ápex puede palparse desplazado hacia el
lado sano.
Percusión Sonido mate
Auscultación R.R ↓ o abolidos
Transmisión de voz ↓ o abolida
Hallazgos radiológicos en
derrame pleural
• Opacidad que será más grande según la
cantidad de líquido intrapleural.
• Para detectarlo mediante rx deben existir
entre 250-600 ml de derrame.
• Obliteración del seno costodiafgragmático.
• El límite superior de la opacidad por derrame
generalmente es cóncavo hacia arriba y más
alto en la periferia.
• “Derrame subpulmonar”
Rohde Einhaus FC, Green Schnecuer León,
et al. Neumología. 6° ed. México: Trillass;
2007.
Derrame pleural
Rohde Einhaus FC, Green Schnecuer León,
et al. Neumología. 6° ed. México: Trillass;
2007.
• Puede estar enquistado.
• Puede localizarse en las cisuras, dando una
imagen fusiforme, cuyos extremos se funden
imperceptiblemente con la cisura “Tumor
evanescente o tumor fantasma”.
Rohde Einhaus FC, Green Schnecuer León,
et al. Neumología. 6° ed. México: Trillass;
2007.
• Presencia de aire en la cavidad pleural.
• Un neumotórax a partir de 20% puede
detectarse por clínica.
• M.R.
• V.V.
• Transmisión de la voz
• R.R.
• ↑ del claro pulmonar o timpanismo franco
Rohde Einhaus FC, Green Schnecuer León,
et al. Neumología. 6° ed. México: Trillass;
2007.
Disminuidos
Hallazgos radiológicos de
neumotórax
• Hiperclaridad periférica;
en la que no se visualiza
la trama vascular,
limitada por el pulmón
colapsado.
• El pulmón se colapsa
hacia el hilio.
Rohde Einhaus FC, Green Schnecuer León,
et al. Neumología. 6° ed. México: Trillass;
2007.
• Si se encuentra a
tensión →
Descenso del
diafragma,
rechazo de la
silueta
mediotorácica
hacia el lado sano
y el pulmón
puede apreciarse
colapsado hacia
mediastino.
Rohde Einhaus FC, Green Schnecuer León,
et al. Neumología. 6° ed. México: Trillass;
2007.
Rohde Einhaus FC, Green Schnecuer León,
et al. Neumología. 6° ed. México: Trillass;
2007.
• Cuando además de líquido, existe aire en la cavidad
pleural (fístula broncopleural o introducción accidental
de aire a la cavidad pleural durante una punción).
• Líquido se acumula en las partes declives y el aire en la
parte superior.
Rohde Einhaus FC, Green Schnecuer León,
et al. Neumología. 6° ed. México: Trillass;
2007.
Hallazgos radiológicos de
hidroneumotórax
• Opacidad homogénea que
borra senos
costodiafragmáticos,
cardiofrénicos y diafragma.
• Nivel hidroaéreo.
• Desplazamiento de la sombra
mediotorácica hacia el lado
contrario.
Rohde Einhaus FC, Green Schnecuer León,
et al. Neumología. 6° ed. México: Trillass;
2007.
Hidroneumotórax
Rohde Einhaus FC, Green Schnecuer León,
et al. Neumología. 6° ed. México: Trillass;
2007.
Resumen de hallazgos clínicos
Condensación Atelectasia Cavitario Rarefacción Derrame Neumotórax
Inspección MR ↓ MR ↓
Tiros
intercostales
MR ↓ MR ↓ MR ↓ MR ↓
Palpación MR ↓
VV ↑
MR ↓
VV ↓
MR ↓
VV ↓
MR ↓
VV ↓
MR ↓
VV ↓
MR ↓
VV ↑
Percusión Mate Mate o
submate
Zona limitada de
hiperclaridad
Hipersonoridad Hipersonoridad Hipersonoridad
Auscultación RR ↑
TV ↑
Soplo tubario
Estertores
alveolares
RR ↓
TV ↓
Soplo cavitario RR ↓
TV ↓
RR ↓
TV ↓
RR ↓
TV ↓
Rohde Einhaus FC, Green Schnecuer León,
et al. Neumología. 6° ed. México: Trillass;
2007.
Imágenes obtenidas de:
• http://www.cpicmha.sld.cu/bvs/monografias/ImagenesFrecTorax/tematicas/absceso%20p.htm
• http://skorpiomenlamedicina.blogspot.mx/2011/11/interpretacion-de-las-radiografias-de.html
• http://www.telmeds.org/atlas/radiologia-pediatrica/hallazgos-radiologicos-patologicos/atelectasias/
• http://www.scielo.org.ar/scielo.php?script=sci_arttext&pid=S0325-
00752010000400017&lng=en&nrm=iso&tlng=es
• http://www.neumologica.org/Glosario%20Radilogico.htm
• http://www.archbronconeumol.org/es/normativa-sobre-el-diagnostico-tratamiento/articulo/13125382/
• http://www.radimed.com/galeria/126-Colapsos-atelectasias
Rohde Einhaus FC, Green Schnecuer León,
et al. Neumología. 6° ed. México: Trillass;
2007.

Síndromes pleuropulmonares 1

  • 1.
    UNIVERSIDAD NACIONAL AUTÓNOMADE MÉXICO FACULTAD DE MEDICINA HOSPITAL GENERAL FERNANDO QUIRÓZ ISSSTE MÓDULO DE NEUMOLOGÍA SÍNDROMES PLEUROPULMONARES ALARCÓN HERNÁNDEZ ESTEFANÍA
  • 2.
    • Conjunto sistematizadode signos recogidos en la exploración que tiene como base un determinado estado anatomopatológico producido por múltiples causas. Rohde Einhaus FC, Green Schnecuer León, et al. Neumología. 6° ed. México: Trillas; 2007.
  • 3.
    • Para quelas alteraciones del parénquima pulmonar o de la cavidad pleural den origen a un síndrome, deben existir dos condiciones: Magnitud suficiente para modificar los signos normales de exploración. Lesión cercana pared torácica el pulmón.
  • 4.
    Los procesos patológicosdel pulmón y de la pleura modifican su estado físico y morfológico, lo que trae como consecuencia un cambio en la resolución a los rayos X. Rohde Einhaus FC, Green Schnecuer León, et al. Neumología. 6° ed. México: Trillass; 2007.
  • 5.
    Condensación Atelectasia Rarefacción Cavitario RohdeEinhaus FC, Green Schnecuer León, et al. Neumología. 6° ed. México: Trillass; 2007.
  • 6.
    Derrame pleural Neumotórax Hidroneumotórax RohdeEinhaus FC, Green Schnecuer León, et al. Neumología. 6° ed. México: Trillass; 2007.
  • 8.
    Resulta de procesospatológicos que ocasionan cambios en el contenido alveolar, cambiando su contenido normalmente de aire, por exudado, fibrina o algún otro elemento extraño. Neumonía Tuberculosis Tumores Rohde Einhaus FC, Green Schnecuer León, et al. Neumología. 6° ed. México: Trillass; 2007.
  • 9.
    Hallazgos clínicos Síndrome decondensación pulmonar Inspección ↓ movilidad del hemitórax afectado (por alteración de la ventilación y por modificación en las características elásticas del pulmón) Palpación V.V. ↑ Percusión La sonoridad está disminuida o abolida, no hay resonancia pulmonar (claro pulmonar). Se percibe sonido mate o submate. Auscultación R.respiratorios ↑ en intensidad; audibles durante toda la espiración. Soplo tubario. La transmisión de la voz se ausculta con mayor intensidad en el sitio afectado. Fenómenos agregados Estertores alveolares al final de la inspiración (denotan que los alveolos están parcialmente llenos). Estertores bronquialveolares. En casos de irritación pleural: Frote pleural. Rohde Einhaus FC, Green Schnecuer León, et al. Neumología. 6° ed. México: Trillass; 2007.
  • 10.
    PARÉNQUIMA PULMONAR ↑ CONSISTENCIA • Varíande forma, tamaño y grado de densidad según el número de alveolos que se encuentren consolidados. Rohde Einhaus FC, Green Schnecuer León, et al. Neumología. 6° ed. México: Trillass; 2007 “Opacidad que tiende a ser homogénea, de bordes más o menos bien limitados, rara vez definidos con nitidez y precisión”
  • 11.
    • Broncograma aéreo(visualizar dentro de una opacidad parenquimatosa la trama del árbol bronquial correspondiente al área afectada.) Rohde Einhaus FC, Green Schnecuer León, et al. Neumología. 6° ed. México: Trillass; 2007. El broncograma y el bronquiolograma aéreos también se pueden observar en casos de atelectasia no obstructiva.
  • 12.
    Rohde Einhaus FC,Green Schnecuer León, et al. Neumología. 6° ed. México: Trillass; 2007.
  • 13.
    Rohde Einhaus FC,Green Schnecuer León, et al. Neumología. 6° ed. México: Trillass; 2007. Obstrucción de un bronquio. ↓ del volumen del pulmón Desplazamiento de estructuras vecinas como mediastino, tráquea y diafragma hacia el lado afectado. Los espacios intercostales se cierran
  • 14.
    Hallazgos clínicos • Clínicamente:Este síndrome y el derrame pleural tienen pocas diferencias entre sí. Rohde Einhaus FC, Green Schnecuer León, et al. Neumología. 6° ed. México: Trillass; 2007. Síndrome de condensación pulmonar Inspección ↓ volumen torácico Retracción de los espacios intercostales Hueco supraclavicular o supraesternal. Hipomovilidad del lado afectado. Palpación ↓ movimientos respiratorios V.V. ↓ o ausentes En ocasiones, el ápex de desvía hacia el lado afectado Percusión Mate o submate. Auscultación No se auscultad ruidos respiratorios ni la transmisión de la voz.
  • 15.
    Aumento de la densidad parenquimatosa (opacidad)por colapso pulmonar. Datos de pérdida de volumen pulmonar (también por colapso pulmonar) Rohde Einhaus FC, Green Schnecuer León, et al. Neumología. 6° ed. México: Trillass; 2007. • Opacidad bien definida, homogénea y de bordes precisos y nítidos. • Pocos sacos alveolares colapsados → Opacidad lineal, pequeña, horizontal, por lo general basal y con frecuencia múltiple (atelectasias laminares). • Colapso total → La opacidad ocupa todo un campo pulmonar.
  • 16.
    Atelectasia redonda Rohde EinhausFC, Green Schnecuer León, et al. Neumología. 6° ed. México: Trillass; 2007. Atelactasia laminar
  • 17.
    Datos radiológicos depérdida de volumen por atelectasia: A) Desplazamiento de las cisuras hacia el sitio del colapso. B) Elevación del hemidiafragma del lado afectado. D) Disminución de los espacios intercostales. E) Sobredistensión del tejido pulmonar sano. Rohde Einhaus FC, Green Schnecuer León, et al. Neumología. 6° ed. México: Trillass; 2007.
  • 18.
    Mecanismo de producciónen atelectasia Atelectasia obstructiva: • Más frecuente. • Oclusión total de un bronquio o bronquiolo. • “Atelectasias por reabsorción”. Rohde Einhaus FC, Green Schnecuer León, et al. Neumología. 6° ed. México: Trillass; 2007.
  • 19.
    Atelectasia no obstructiva Atelectasiapasiva: • Cuando el aumento de la densidad del parénquima pulmonar está dado por una disminución de contenido de aire en los alveolos. • Neumotórax • Compresión sobre el parénquima pulmonar producida por líquido de derrame pleural. Rohde Einhaus FC, Green Schnecuer León, et al. Neumología. 6° ed. México: Trillass; 2007.
  • 20.
    Atelectasia adhesiva • Inactivacióno ausencia de agente tensoactivo pulmonar. • Puede observarse en el síndrome de insuficiencia respiratoria del recién nacido o en el síndrome de insuficiencia respiratoria progresiva del adulto. Rohde Einhaus FC, Green Schnecuer León, et al. Neumología. 6° ed. México: Trillass; 2007.
  • 21.
    Atelectasia cicatrizal • Lafibrosis cicatrizal por destrucción pulmonar distorsiona la arquitectura pulmonar normal y colapsa los alveolos . • Tuberculosis pulmonar. Rohde Einhaus FC, Green Schnecuer León, et al. Neumología. 6° ed. México: Trillass; 2007.
  • 22.
    • El bronquioy/o bronquiolo permanecen permeables; por tanto, puede existir broncograma, bronquiolograma aéreo o ambos. Rohde Einhaus FC, Green Schnecuer León, et al. Neumología. 6° ed. México: Trillass; 2007.
  • 23.
    Rohde Einhaus FC,Green Schnecuer León, et al. Neumología. 6° ed. México: Trillass; 2007.
  • 24.
    Hallazgos clínicos Síndrome cavitario Inspección↓ movimientos respiratorios del lado afectado. Auscultación Puede encontrarse soplo anfórico o soplo cavitario* Rohde Einhaus FC, Green Schnecuer León, et al. Neumología. 6° ed. México: Trillass; 2007.
  • 25.
    • Hiperclaridad o hiperluminiscencia. •Debe analizarse tamaño, localización, paredes de la cavidad e investigar si existe o no nivel hidroaéreo. • Absceso pulmonar → Hiperclaridad redonda u oval, rodeada de una opacidad de bordes mal definidos y un nivel hidroaéreo. • “Imagen en canasta”. Rohde Einhaus FC, Green Schnecuer León, et al. Neumología. 6° ed. México: Trillass; 2007.
  • 26.
    • Lesiones cavitadasde origen fímico se llaman cavernas→ Hiperclaridades más o menos redondas. • Quistes, neumatoceles y bulas → hiperclaridades de diversos tamaños, de paredes delgadas, generalmente bien definidas y nítidas que pueden estar o no ocupadas por líquido. Rohde Einhaus FC, Green Schnecuer León, et al. Neumología. 6° ed. México: Trillass; 2007.
  • 27.
    • Se integraen pacientes que cursan con enfisema pulmonar. • Tórax en inspiración profunda permanente o tórax en tonel. Rohde Einhaus FC, Green Schnecuer León, et al. Neumología. 6° ed. México: Trillass; 2007. Inspección ↓ movimientos respiratorios en ambos lados del tórax Palpación ↓ V.V. ↓ transmisión de la voz en ambos lados del tórax Percusión ↑ sonoridad Auscultación ↓ Ruido respiratorio en ambos lados del tórax.
  • 28.
    Enfisema centrolobulillar • Espaciosintercostales abiertos • Facies abotagada • Cianosis distal y central • Se auscultan estertores bronquiales. Enfisema panlobulillar • Coloración rosada Enfisema lobar infantil → afección unilateral Rohde Einhaus FC, Green Schnecuer León, et al. Neumología. 6° ed. México: Trillass; 2007. Afección bilateral
  • 29.
    Hallazgos radiológicos de síndromede rarefacción • Campos pulmonares más grandes de lo normal, hiperclaros e hiperluminiscentes. • Trama vascular; poco definida, escasa. • Corazón pequeño → “Corazón en gota”. Rohde Einhaus FC, Green Schnecuer León, et al. Neumología. 6° ed. México: Trillass; 2007.
  • 30.
    • Espacios intercostales abiertos. •Arcos costales tienden a horizontalizarse. • Hemidiafragmas aplanados y descendidos. • P.L. Espacio retrosternal aumentado de tamaño y se ve hiperluminiscente. Rohde Einhaus FC, Green Schnecuer León, et al. Neumología. 6° ed. México: Trillass; 2007.
  • 31.
    Rohde Einhaus FC,Green Schnecuer León, et al. Neumología. 6° ed. México: Trillass; 2007.
  • 32.
    Rohde Einhaus FC,Green Schnecuer León, et al. Neumología. 6° ed. México: Trillass; 2007.
  • 33.
    • Cuando elespacio pleural se encuentra ocupado por líquido, ya sea trasudado, exudado (serofibrinoso) sangre (hemotórax), material purulento (empiema) o quilo (quilotórax). Rohde Einhaus FC, Green Schnecuer León, et al. Neumología. 6° ed. México: Trillass; 2007.
  • 34.
    Hallazgos clínicos • Lkcjv RohdeEinhaus FC, Green Schnecuer León, et al. Neumología. 6° ed. México: Trillass; 2007. Derrame pleural Inspección ↓ MR en el lado afectado. ↑ espacios intercostales Abombamiento de la región Palpación Hipomovilidad V.V. ↓ o abolidas. Ápex puede palparse desplazado hacia el lado sano. Percusión Sonido mate Auscultación R.R ↓ o abolidos Transmisión de voz ↓ o abolida
  • 35.
    Hallazgos radiológicos en derramepleural • Opacidad que será más grande según la cantidad de líquido intrapleural. • Para detectarlo mediante rx deben existir entre 250-600 ml de derrame. • Obliteración del seno costodiafgragmático. • El límite superior de la opacidad por derrame generalmente es cóncavo hacia arriba y más alto en la periferia. • “Derrame subpulmonar” Rohde Einhaus FC, Green Schnecuer León, et al. Neumología. 6° ed. México: Trillass; 2007.
  • 36.
    Derrame pleural Rohde EinhausFC, Green Schnecuer León, et al. Neumología. 6° ed. México: Trillass; 2007.
  • 37.
    • Puede estarenquistado. • Puede localizarse en las cisuras, dando una imagen fusiforme, cuyos extremos se funden imperceptiblemente con la cisura “Tumor evanescente o tumor fantasma”. Rohde Einhaus FC, Green Schnecuer León, et al. Neumología. 6° ed. México: Trillass; 2007.
  • 38.
    • Presencia deaire en la cavidad pleural. • Un neumotórax a partir de 20% puede detectarse por clínica. • M.R. • V.V. • Transmisión de la voz • R.R. • ↑ del claro pulmonar o timpanismo franco Rohde Einhaus FC, Green Schnecuer León, et al. Neumología. 6° ed. México: Trillass; 2007. Disminuidos
  • 39.
    Hallazgos radiológicos de neumotórax •Hiperclaridad periférica; en la que no se visualiza la trama vascular, limitada por el pulmón colapsado. • El pulmón se colapsa hacia el hilio. Rohde Einhaus FC, Green Schnecuer León, et al. Neumología. 6° ed. México: Trillass; 2007.
  • 40.
    • Si seencuentra a tensión → Descenso del diafragma, rechazo de la silueta mediotorácica hacia el lado sano y el pulmón puede apreciarse colapsado hacia mediastino. Rohde Einhaus FC, Green Schnecuer León, et al. Neumología. 6° ed. México: Trillass; 2007.
  • 41.
    Rohde Einhaus FC,Green Schnecuer León, et al. Neumología. 6° ed. México: Trillass; 2007.
  • 42.
    • Cuando ademásde líquido, existe aire en la cavidad pleural (fístula broncopleural o introducción accidental de aire a la cavidad pleural durante una punción). • Líquido se acumula en las partes declives y el aire en la parte superior. Rohde Einhaus FC, Green Schnecuer León, et al. Neumología. 6° ed. México: Trillass; 2007.
  • 43.
    Hallazgos radiológicos de hidroneumotórax •Opacidad homogénea que borra senos costodiafragmáticos, cardiofrénicos y diafragma. • Nivel hidroaéreo. • Desplazamiento de la sombra mediotorácica hacia el lado contrario. Rohde Einhaus FC, Green Schnecuer León, et al. Neumología. 6° ed. México: Trillass; 2007.
  • 44.
    Hidroneumotórax Rohde Einhaus FC,Green Schnecuer León, et al. Neumología. 6° ed. México: Trillass; 2007.
  • 45.
    Resumen de hallazgosclínicos Condensación Atelectasia Cavitario Rarefacción Derrame Neumotórax Inspección MR ↓ MR ↓ Tiros intercostales MR ↓ MR ↓ MR ↓ MR ↓ Palpación MR ↓ VV ↑ MR ↓ VV ↓ MR ↓ VV ↓ MR ↓ VV ↓ MR ↓ VV ↓ MR ↓ VV ↑ Percusión Mate Mate o submate Zona limitada de hiperclaridad Hipersonoridad Hipersonoridad Hipersonoridad Auscultación RR ↑ TV ↑ Soplo tubario Estertores alveolares RR ↓ TV ↓ Soplo cavitario RR ↓ TV ↓ RR ↓ TV ↓ RR ↓ TV ↓ Rohde Einhaus FC, Green Schnecuer León, et al. Neumología. 6° ed. México: Trillass; 2007.
  • 46.
    Imágenes obtenidas de: •http://www.cpicmha.sld.cu/bvs/monografias/ImagenesFrecTorax/tematicas/absceso%20p.htm • http://skorpiomenlamedicina.blogspot.mx/2011/11/interpretacion-de-las-radiografias-de.html • http://www.telmeds.org/atlas/radiologia-pediatrica/hallazgos-radiologicos-patologicos/atelectasias/ • http://www.scielo.org.ar/scielo.php?script=sci_arttext&pid=S0325- 00752010000400017&lng=en&nrm=iso&tlng=es • http://www.neumologica.org/Glosario%20Radilogico.htm • http://www.archbronconeumol.org/es/normativa-sobre-el-diagnostico-tratamiento/articulo/13125382/ • http://www.radimed.com/galeria/126-Colapsos-atelectasias Rohde Einhaus FC, Green Schnecuer León, et al. Neumología. 6° ed. México: Trillass; 2007.