RADIOGRAFIA DE
ABDOMEN
(parte 2)
Dra. Pretel
SIGNO DE LA LÍNEA DEL PSOAS
• Utilizado en el diagnóstico diferencial de la patología
intraabdominal y la retroperitoneal.
• El borramiento de la línea del psoas sucede en procesos con
alteración de la radiotransparencia de la grasa
retroperitoneal(infiltración por sangre, edema, líquido o
tumoración).
• La línea del psoas puede no verse en hasta un 40 % de sujetos
normales y puede estar conservada la línea en presencia de
patología retroperitoneal, por lo que su utilidad es muy escasa.
SIGNO DEL HÍGADO AUSENTE
• La identificación de aire intestinal en el hemitórax derecho
(en la placa de tórax de un neonato) permite realizar el
diagnóstico de hernia diafragmática congénita.
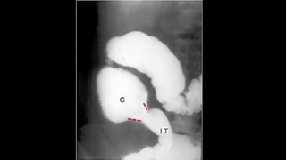
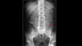
SIGNO DE LA MEDIA
LUNA O DEL MENISCO
• Signo de invaginación intestinal
en la radiografía simple de
abdomen.
• Corresponde a la semiluna de
gas intraluminal que queda
atrapado entre el asa
invaginada y el asa invaginante.
• En el enema opaco, se forma
por el bario que rellena el
colon hasta el ángulo opaco.
• El defecto de repleción
redondeado corresponde a la
cabeza de la invaginación.
Alrededor se acumula en bario
con forma semilunar.
SIGNO DE LAS ÚLCERAS EN BOTÓN
• Úlcera de la mucosa que se extiende a la submucosa
del colon.
• Cuello estrecho y profundo y base ancha (en forma de
“T” o botón de camisa).
• Sugiere colitis ulcerosa, la enfermedad de Crohn,
amebiasis, etc.
SIGNO DEL PARAGUAS INVERTIDO
• Consiste en la apertura amplia de la válvula asociada a un
estrechamiento de luz del íleon terminal.
• Signo no es específico, se ve en tuberculosis ileocecal,
también puede estar presente en algunos pacientes con
enfermedad de Crohn severa.
SIGNO DE LA PILA DE MONEDAS
• Aspecto de los pliegues intestinales engrosados, lisos, rectos
y perpendiculares al eje longitudinal.
• El signo se presenta cuando existe infiltración difusa de la
submucosa por edema o hemorragia intramural
(traumatismo, isquemia, toma de anticoagulantes, etc.)
• Más evidente en yeyuno por el mayor tamaño de los
pliegues
SIGNO DEL HALO
• Signo de divertículo duodenal intraluminal.
• El signo recibe el nombre por la imagen lineal
radiolucente que queda entre el contraste baritado que
rellena el divertículo y el de la luz duodenal, y que
corresponde a la pared del divertículo
SIGNO DEL OJO DE BUEY
• Aspecto que tiene el defecto de repleción nodular con
pequeña úlcera en la parte más elevada, donde se acumula
el bario.
• Puede verse en: metástasis de melanoma y de otros
tumores, sarcoma de Kaposi, linfoma, etc.
SIGNO DE POPPEL
• la causa más frecuente de crecimiento de la ampolla de
Vater es la inflamación edematosa secundaria a la
pancreatitis aguda.
• Se manifiesta como un defecto de repleción duodenal.
También puede observarse una imagen similar en pacientes
con úlcera duodenal aguda o con impactación de un cálculo
de colédoco
SIGNO DEL TRES INVERTIDO
• Signo de crecimiento de la cabeza
pancreática.
• La parte central del 3 corresponde a la zona
de fijación de la pared duodenal, donde
está la papila.
• Las dos impresiones por encima y por
debajo de este punto corresponden al
crecimiento pancreático, asociado al edema
o infiltración de la pared duodenal.
• También descrito en el carcinoma duodenal.
SIGNO DE LA DOBLE BURBUJA
• Signo de obstrucción duodenal visible en la radiografía
simple de abdomen del neonato.
• Consiste en la distensión por gas del estómago y de la
porción del duodeno proximal a la obstrucción.
• Las causas incluyen: atresia duodenal, páncreas anular,
vólvulo intestinal, membrana duodenal, malrotación y
vena porta preduodenal.
SIGNO DE LA TRIPLE
BURBUJA
• Se da en la obstrucción yeyunal
congénita (atresia).
• El gas y el líquido se acumulan en el
estómago, en duodeno y yeyuno
proximal.
• Aparece una triple burbuja en la
radiografía simple de abdomen.
• La imagen es patognomónica
SIGNO DEL COLLAR DE PERLAS
• Hilera de burbujas en disposición vertical u oblicua, en
decúbito supino o en bipedestación.
• Representa pequeñas cantidades de aire atrapado en las
válvulas conniventes del intestino delgado,
predominantemente lleno de líquido.
• Se presenta en la obstrucción mecánica del intestino
delgado, aunque rara vez también puede verse en el íleo
paralítico, gastroenteritis o tras la aplicación de un enema
salino.
SIGNO DE LA ESCALERA
• Signo visto en la radiografía
simple de abdomen en la
obstrucción intestinal.
• Llamado así por el aspecto de
las asas intestinales dilatadas y
rellenas de aire, superpuestas
unas sobre otras.
SIGNO DEL ASA ORGULLOSA
• Se produce un engrosamiento mesentérico bien por la
presencia de una masa inflamatoria o por cambios
proliferativos fibroadiposos.
• Afectación del meso que provoca desplazamiento de las asas
intestinales que deja aislado al íleon terminal del resto de
asas de vecindad.
• Visto en Enfermedad de Crohn.
SIGNO DE LA CUERDA
SIGNO DEL EMPEDRADO
• Signo de enfermedad de Crohn en el estudio baritado.
• La presencia de úlceras longitudinales y transversales,
con islotes de mucosa sana entre ellas, provoca la
apariencia de empedrado en la mucosa del segmento
intestinal afectado.
• Visible en intestino delgado y puede verse también en
el colon.
SIGNO LA ESPINA DEL
ROSAL
• En la enfermedad de Crohn, el
tránsito baritado.
• Puede mostrar ulceraciones
profundas, transversales al eje
del asa afectada, que simulan
espinas en un tallo.
SIGNO DEL PICO
• Consiste en la presencia de una
prominencia (pico) justo donde
comienza la dificultad de paso, en un
intento del bario de entrar en el canal
pilórico.
• Está descrito en cuadros obstructivos
del tubo digestivo, como en estenosis
hipertrófica del píloro, la acalasia y el
vólvulo
SIGNO DE LA RIEL
• Provocado por un doble hilo
de contraste que recorre el
canal pilórico.
• Visto en estenosis hipertrófica
del píloro.
SIGNO DE AUSENCIA DE
LA CÁMARA GÁSTRICA
• Visto en radiografía de abdomen de
pie o tórax PA.
• Se aprecia burbuja de aire gástrica
muy pequeña o totalmente
ausente.
• Mayor valor si se asocia a aire
esofágico con nivel hidroaéreo.
SIGNO DEL TRIÁNGULO
• Signo de neumoperitoneo en la
radiografía simple de abdomen.
• El aire, cuando se acumula
entre tres asas o entre dos asas
y el peritoneo, se presenta
como un triángulo de baja
densidad.
SIGNO DE LA VESÍCULA VISIBLE
• Signo de
neumoperitoneo en
la radiografía simple
de abdomen.
• Presente cuando el
aire se sitúa
rodeando la vesícula.
SIGNO DEL HÍGADO
CLARO
• Descrito en neonatos.
• Indican neumoperitoneo
SIGNO DE LA MANZANA MORDIDA
• Se corresponde a la pérdida del calibre circunferencial de un segmento breve del
colon.
• Sugieren neoplasia de colon tipo adenocarcinoma

Radiografía de abdomen- parte 2

  • 1.
  • 2.
    SIGNO DE LALÍNEA DEL PSOAS • Utilizado en el diagnóstico diferencial de la patología intraabdominal y la retroperitoneal. • El borramiento de la línea del psoas sucede en procesos con alteración de la radiotransparencia de la grasa retroperitoneal(infiltración por sangre, edema, líquido o tumoración). • La línea del psoas puede no verse en hasta un 40 % de sujetos normales y puede estar conservada la línea en presencia de patología retroperitoneal, por lo que su utilidad es muy escasa.
  • 4.
    SIGNO DEL HÍGADOAUSENTE • La identificación de aire intestinal en el hemitórax derecho (en la placa de tórax de un neonato) permite realizar el diagnóstico de hernia diafragmática congénita.
  • 6.
    SIGNO DE LAMEDIA LUNA O DEL MENISCO • Signo de invaginación intestinal en la radiografía simple de abdomen. • Corresponde a la semiluna de gas intraluminal que queda atrapado entre el asa invaginada y el asa invaginante.
  • 7.
    • En elenema opaco, se forma por el bario que rellena el colon hasta el ángulo opaco. • El defecto de repleción redondeado corresponde a la cabeza de la invaginación. Alrededor se acumula en bario con forma semilunar.
  • 8.
    SIGNO DE LASÚLCERAS EN BOTÓN • Úlcera de la mucosa que se extiende a la submucosa del colon. • Cuello estrecho y profundo y base ancha (en forma de “T” o botón de camisa). • Sugiere colitis ulcerosa, la enfermedad de Crohn, amebiasis, etc.
  • 10.
    SIGNO DEL PARAGUASINVERTIDO • Consiste en la apertura amplia de la válvula asociada a un estrechamiento de luz del íleon terminal. • Signo no es específico, se ve en tuberculosis ileocecal, también puede estar presente en algunos pacientes con enfermedad de Crohn severa.
  • 12.
    SIGNO DE LAPILA DE MONEDAS • Aspecto de los pliegues intestinales engrosados, lisos, rectos y perpendiculares al eje longitudinal. • El signo se presenta cuando existe infiltración difusa de la submucosa por edema o hemorragia intramural (traumatismo, isquemia, toma de anticoagulantes, etc.) • Más evidente en yeyuno por el mayor tamaño de los pliegues
  • 14.
    SIGNO DEL HALO •Signo de divertículo duodenal intraluminal. • El signo recibe el nombre por la imagen lineal radiolucente que queda entre el contraste baritado que rellena el divertículo y el de la luz duodenal, y que corresponde a la pared del divertículo
  • 16.
    SIGNO DEL OJODE BUEY • Aspecto que tiene el defecto de repleción nodular con pequeña úlcera en la parte más elevada, donde se acumula el bario. • Puede verse en: metástasis de melanoma y de otros tumores, sarcoma de Kaposi, linfoma, etc.
  • 18.
    SIGNO DE POPPEL •la causa más frecuente de crecimiento de la ampolla de Vater es la inflamación edematosa secundaria a la pancreatitis aguda. • Se manifiesta como un defecto de repleción duodenal. También puede observarse una imagen similar en pacientes con úlcera duodenal aguda o con impactación de un cálculo de colédoco
  • 20.
    SIGNO DEL TRESINVERTIDO • Signo de crecimiento de la cabeza pancreática. • La parte central del 3 corresponde a la zona de fijación de la pared duodenal, donde está la papila. • Las dos impresiones por encima y por debajo de este punto corresponden al crecimiento pancreático, asociado al edema o infiltración de la pared duodenal. • También descrito en el carcinoma duodenal.
  • 21.
    SIGNO DE LADOBLE BURBUJA • Signo de obstrucción duodenal visible en la radiografía simple de abdomen del neonato. • Consiste en la distensión por gas del estómago y de la porción del duodeno proximal a la obstrucción. • Las causas incluyen: atresia duodenal, páncreas anular, vólvulo intestinal, membrana duodenal, malrotación y vena porta preduodenal.
  • 23.
    SIGNO DE LATRIPLE BURBUJA • Se da en la obstrucción yeyunal congénita (atresia). • El gas y el líquido se acumulan en el estómago, en duodeno y yeyuno proximal. • Aparece una triple burbuja en la radiografía simple de abdomen. • La imagen es patognomónica
  • 24.
    SIGNO DEL COLLARDE PERLAS • Hilera de burbujas en disposición vertical u oblicua, en decúbito supino o en bipedestación. • Representa pequeñas cantidades de aire atrapado en las válvulas conniventes del intestino delgado, predominantemente lleno de líquido. • Se presenta en la obstrucción mecánica del intestino delgado, aunque rara vez también puede verse en el íleo paralítico, gastroenteritis o tras la aplicación de un enema salino.
  • 26.
    SIGNO DE LAESCALERA • Signo visto en la radiografía simple de abdomen en la obstrucción intestinal. • Llamado así por el aspecto de las asas intestinales dilatadas y rellenas de aire, superpuestas unas sobre otras.
  • 27.
    SIGNO DEL ASAORGULLOSA • Se produce un engrosamiento mesentérico bien por la presencia de una masa inflamatoria o por cambios proliferativos fibroadiposos. • Afectación del meso que provoca desplazamiento de las asas intestinales que deja aislado al íleon terminal del resto de asas de vecindad. • Visto en Enfermedad de Crohn.
  • 28.
  • 29.
    SIGNO DEL EMPEDRADO •Signo de enfermedad de Crohn en el estudio baritado. • La presencia de úlceras longitudinales y transversales, con islotes de mucosa sana entre ellas, provoca la apariencia de empedrado en la mucosa del segmento intestinal afectado. • Visible en intestino delgado y puede verse también en el colon.
  • 31.
    SIGNO LA ESPINADEL ROSAL • En la enfermedad de Crohn, el tránsito baritado. • Puede mostrar ulceraciones profundas, transversales al eje del asa afectada, que simulan espinas en un tallo.
  • 32.
    SIGNO DEL PICO •Consiste en la presencia de una prominencia (pico) justo donde comienza la dificultad de paso, en un intento del bario de entrar en el canal pilórico. • Está descrito en cuadros obstructivos del tubo digestivo, como en estenosis hipertrófica del píloro, la acalasia y el vólvulo
  • 33.
    SIGNO DE LARIEL • Provocado por un doble hilo de contraste que recorre el canal pilórico. • Visto en estenosis hipertrófica del píloro.
  • 34.
    SIGNO DE AUSENCIADE LA CÁMARA GÁSTRICA • Visto en radiografía de abdomen de pie o tórax PA. • Se aprecia burbuja de aire gástrica muy pequeña o totalmente ausente. • Mayor valor si se asocia a aire esofágico con nivel hidroaéreo.
  • 35.
    SIGNO DEL TRIÁNGULO •Signo de neumoperitoneo en la radiografía simple de abdomen. • El aire, cuando se acumula entre tres asas o entre dos asas y el peritoneo, se presenta como un triángulo de baja densidad.
  • 36.
    SIGNO DE LAVESÍCULA VISIBLE • Signo de neumoperitoneo en la radiografía simple de abdomen. • Presente cuando el aire se sitúa rodeando la vesícula.
  • 37.
    SIGNO DEL HÍGADO CLARO •Descrito en neonatos. • Indican neumoperitoneo
  • 38.
    SIGNO DE LAMANZANA MORDIDA • Se corresponde a la pérdida del calibre circunferencial de un segmento breve del colon. • Sugieren neoplasia de colon tipo adenocarcinoma