Neumotórax
    Laura Gabriela Dominguez Dominguez

          Brigitte Reyes Palmeros

               Imagenologia

                   4510

                 29/08/12
Neumotórax
Se define al neumotórax como la presencia de aire en
la cavidad pleural el que proviene producto de una
lesión en el parénquima pulmonar, lo que con lleva un
colapso de este parénquima en mayor o menor grado
según sea la cuantía del neumotórax.

Por su parte el grado de colapso pulmonar y la reserva
funcional respiratoria determinarán el compromiso
respiratorio del paciente.
Clasificación
   Neumotórax espontaneo (primario, secundario)

   Neumotórax traumático (abierto, cerrado)

   Neumotórax iatrogénico
Neumotórax espontaneo
Neumotórax espontaneo primario:
 Sin causa subyacente
 Frecuente en edades tempranas (20-40 anos)
 Predominio en sexo masculino


Neumotórax espontaneo secundario:
 Complicación de una enfermedad pulmonar preexistente
 Frecuente en edad avanzadas (>50 anos)
Neumotórax traumático
Irrupción de aire en el espacio pleural como consecuencia
   de un traumatismo

   Abierto (heridas penetrantes)

   Cerrado (golpe o choque)
Neumotórax iatrogénico
   Se suele producir como consecuencia de procedimientos
    invasivos a nivel torácico

   Toracocentesis, biopsia pulmonar transbronquial, biopsia
    pleural, lavado broncoalveolar, punción pulmonar
    transtorácica, o cateterización de la vena subclavia
Cuantificación del tamaño del neumotórax
   No existe un consenso universal en el método de cuantificar el
    tamaño del neumotórax.

   El consenso del American College of Chest Physicians (ACCP) utiliza
    la denominación de neumotórax pequeño cuando la distancia entre
    el ápex pulmonar y la cúpula torácica es menor de 3 cm

   La British Thoracic Society (BTS) diferencia el neumotó-rax en
    pequeño o grande en base a la presencia de una franja de aire <2
    cm o ≥2 cm respectivamente entre el borde pulmonar y la pared
    torácica
British Thoracic Society



Un neumotórax grande el pulmón se colapsa totalmente
• El pulmón colapsado es muy denso y no hay trama
   vascular en el hemitórax que rodea al pulmón.

Neumotorax pequeño  fina línea blanca de la pleura
visceral del pulmón
*Esta línea blanca se delimita centralmente por el aire
radiolúcido dentro del pulmón y periféricamente por el
aire dentro de la cavidad pleural.
Neumotorax
pequeño
Hallazgos Radiográficos
Estudio radiológico siempre de tórax en
             proyección estándar:

o Proyección postero- anterior
o Bipedestación
o Inspiracion forzada
   La existencia de una línea fina, claramente definida, producida por el
    margen externo de la pleura visceral, la cual representa el límite del
    pulmón, separada de la pleura parietal a nivel de la pared costal por un
    espacio lleno de aire, en la proyección AP

   La parte superior de la línea se incurva hacia el ápex pulmonar

   Hiperclaridad, secundaria a un espacio interpleural

   Habitualmente existe desplazamiento mediastínico, descenso o
    aplanamiento de la curva diafragmática ipsilateral y ensanchamiento de
    los espacios intercostales

   Ausencia de vasos entre el límite del pulmón y la pared torácica

   En la radiografía en bipedestación se puede observar un menisco cuando
    existe presencia de una pequeña cantidad de líquido en el espacio pleural
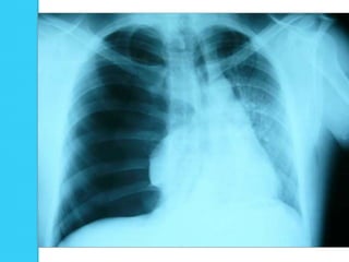
Neumotórax
   espontáneo.

Identificación de la
     línea que
 corresponde a la
  pleura visceral
NEUMOTÓRAX:
Neumotórax derecho.
 Identificación de la
  línea de la pleura
       visceral
Signo del menisco
Radiografía en posición vertical
   El neumotórax se identifica como una delgada línea de
    pleura visceral rodeada de aire de ambos lados

   El tejido pulmonar por dentro de esta línea no tiene
    aumento de la densidad, a menos que el grado de
    colapso sea elevado.
Radiografía PA:
    neumotórax.

  Se observa la línea
  pleural (visceral)
 blanca (flechas) y la
 ausencia de marcas
     vasculares
  pulmonares en la
zona lateral a la línea
       pleural.
   Los tejidos blandos que cubren la zona se pliegan y la
    aparente opacidad del tejido pulmonar aumenta hacia los
    lados en forma gradual hasta llegar a un borde en el que
    disminuye en forma brusca.

   Este borde representa el margen lateral de los tejidos
    plegados.

   A menudo la vasculatura pulmonar es visible en la parte
    distal a la línea del pliegue cutáneo
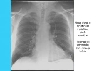
Radiografía PA: pliegues cutáneos que simulan un neumotórax. Línea pleural aparente (flechas) no se extiende
mas allá del margen torácico. Hay aumento gradual de la opacidad pulmonar desde la parte medial hacia la zona
lateral. La opacidad es máxima en el borde interno de la línea y luego disminuye en forma abrupta.
Pliegue cutáneo en
  pared torácica
   izquierda que
       simula
    neumotórax.

  Obsérvese que
  sobrepasa los
límites de la caja
     torácica
   Un pequeño nivel aire-liquido en el ángulo costofrenico (que
    se manifiesta como un línea horizontal de interfase aire-
    liquido) puede ser el indicio de un neumotórax sutil.

   La ausencia de vasculatura periférica es un signo indirecto
    de neumotórax

   La vasculatura normal del pulmón o se visualiza a 1-2 cm de
    la pared torácica y las bullas o ampollas apicales la
    atenúan aun mas.

   Puede conducir a un Dx falso se neumotórax.
Radiografía PA:

  tórax pequeño
 con nivel aire-
liquido (flechas)
   en el ángulo
  costofrenico.
   Cuando el diagnostico de neumotórax es incierto se
    debe tomar una radiografía en espiración o en decúbito
    lateral.

   Rx en espiración el neumotórax aparenta ser mayor
    de tamaño por disminución del tamaño del pulmón
    subyacente pero la cantidad de aire atrapado en el
    espacio pleural no se modifica

   Rx en decúbito el neumotórax se desplaza hacia la
    porción superior del tórax.
Neumotórax espontaneo
Signos radiológicos
   Colapso pulmonar de mayor o menor un grado dependiente
    de la magnitud del neumotórax. Se considera total cuando
    hay un colapso pulmonar máximo. El grado de colapso es
    mínimo, cuando el espacio que hay entre la pleura visceral y
    parietal es menor de 1 cm.

   La denominada " linea pleural " que es la pleura visceral del
    pulmón colapsado

   3) Ausencia de trama vascular pulmonar distal. Suele ser
    de localización apical debido a la tendencia del aire a
    ascender.
NEUMOTORAX
ESPONTANEO PARCIAL

 Separacion de una
 parte de la pleura
      visceral
NEUMOTORAX
    ESPONTANEO
     COMPLETO

   Separacion de la
pleura visceral a todo
lo largo de la cavidad
        pleural
NEUMOTORAX ESPONTANEO TOTAL
Colapso pulmonar total y formación del muñón
Neumotórax a tensión
Signos radiológicos de Neumotórax a tensión

   Colapso completo del pulmón

   Depresión del diafragma homolateral

   Desplazamiento del mediastino y la tráquea hacia el
    tórax contra lateral
Neumotórax derecho a
tensión: desplazamiento
      mediastínico
contralateral, depresión
     diafragmática.

El pulmón colapsado se
  identifica como un
muñón hiliar. Sinequias
 pleurales impiden el
   colapso completo
Neumotórax izquierdo en
         supino:
   hipertransparencia
 relativa, visualización
  muy nítida del borde
 cardíaco y de la grasa
   epicárdica (flecha),
      descenso del
  hemidiafragma, seno
 costofrénico profundo
Neumotórax izquierdo a
  tensión en supino.

        Paciente
 politraumatizado con
  fracturas costales
izquierdas y contusión
  pulmonar bilateral
Neumomediastino
   La presencia de neumomediastino aumenta la posibilidad
    de que haya un neumotórax; en estos casos se debe
    buscar una línea pleural.
Bullas: sus paredes
  presentan un borde
 cóncavo con la pared
torácica frente al borde
convexo del neumotórax
Bullas: sus paredes
 presentan un borde
cóncavo con la pared
  torácica frente al
 borde convexo del
     neumotórax
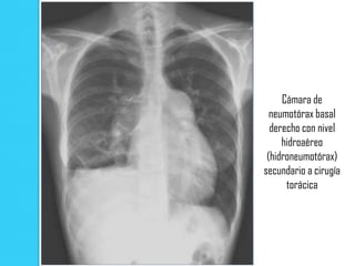
Cámara de
  neumotórax basal
  derecho con nivel
     hidroaéreo
 (hidroneumotórax)
secundario a cirugía
      torácica
Cámara de
  neumotórax basal
  derecho con nivel
     hidroaéreo
 (hidroneumotórax)
secundario a cirugía
      torácica

Neumotorax

  • 1.
    Neumotórax Laura Gabriela Dominguez Dominguez Brigitte Reyes Palmeros Imagenologia 4510 29/08/12
  • 2.
    Neumotórax Se define alneumotórax como la presencia de aire en la cavidad pleural el que proviene producto de una lesión en el parénquima pulmonar, lo que con lleva un colapso de este parénquima en mayor o menor grado según sea la cuantía del neumotórax. Por su parte el grado de colapso pulmonar y la reserva funcional respiratoria determinarán el compromiso respiratorio del paciente.
  • 3.
    Clasificación  Neumotórax espontaneo (primario, secundario)  Neumotórax traumático (abierto, cerrado)  Neumotórax iatrogénico
  • 4.
    Neumotórax espontaneo Neumotórax espontaneoprimario:  Sin causa subyacente  Frecuente en edades tempranas (20-40 anos)  Predominio en sexo masculino Neumotórax espontaneo secundario:  Complicación de una enfermedad pulmonar preexistente  Frecuente en edad avanzadas (>50 anos)
  • 5.
    Neumotórax traumático Irrupción deaire en el espacio pleural como consecuencia de un traumatismo  Abierto (heridas penetrantes)  Cerrado (golpe o choque)
  • 6.
    Neumotórax iatrogénico  Se suele producir como consecuencia de procedimientos invasivos a nivel torácico  Toracocentesis, biopsia pulmonar transbronquial, biopsia pleural, lavado broncoalveolar, punción pulmonar transtorácica, o cateterización de la vena subclavia
  • 7.
    Cuantificación del tamañodel neumotórax  No existe un consenso universal en el método de cuantificar el tamaño del neumotórax.  El consenso del American College of Chest Physicians (ACCP) utiliza la denominación de neumotórax pequeño cuando la distancia entre el ápex pulmonar y la cúpula torácica es menor de 3 cm  La British Thoracic Society (BTS) diferencia el neumotó-rax en pequeño o grande en base a la presencia de una franja de aire <2 cm o ≥2 cm respectivamente entre el borde pulmonar y la pared torácica
  • 9.
    British Thoracic Society Unneumotórax grande el pulmón se colapsa totalmente • El pulmón colapsado es muy denso y no hay trama vascular en el hemitórax que rodea al pulmón. Neumotorax pequeño  fina línea blanca de la pleura visceral del pulmón *Esta línea blanca se delimita centralmente por el aire radiolúcido dentro del pulmón y periféricamente por el aire dentro de la cavidad pleural.
  • 11.
  • 13.
  • 14.
    Estudio radiológico siemprede tórax en proyección estándar: o Proyección postero- anterior o Bipedestación o Inspiracion forzada
  • 15.
    La existencia de una línea fina, claramente definida, producida por el margen externo de la pleura visceral, la cual representa el límite del pulmón, separada de la pleura parietal a nivel de la pared costal por un espacio lleno de aire, en la proyección AP  La parte superior de la línea se incurva hacia el ápex pulmonar  Hiperclaridad, secundaria a un espacio interpleural  Habitualmente existe desplazamiento mediastínico, descenso o aplanamiento de la curva diafragmática ipsilateral y ensanchamiento de los espacios intercostales  Ausencia de vasos entre el límite del pulmón y la pared torácica  En la radiografía en bipedestación se puede observar un menisco cuando existe presencia de una pequeña cantidad de líquido en el espacio pleural
  • 16.
    Neumotórax espontáneo. Identificación de la línea que corresponde a la pleura visceral
  • 17.
    NEUMOTÓRAX: Neumotórax derecho. Identificaciónde la línea de la pleura visceral
  • 18.
  • 19.
    Radiografía en posiciónvertical  El neumotórax se identifica como una delgada línea de pleura visceral rodeada de aire de ambos lados  El tejido pulmonar por dentro de esta línea no tiene aumento de la densidad, a menos que el grado de colapso sea elevado.
  • 20.
    Radiografía PA: neumotórax. Se observa la línea pleural (visceral) blanca (flechas) y la ausencia de marcas vasculares pulmonares en la zona lateral a la línea pleural.
  • 21.
    Los tejidos blandos que cubren la zona se pliegan y la aparente opacidad del tejido pulmonar aumenta hacia los lados en forma gradual hasta llegar a un borde en el que disminuye en forma brusca.  Este borde representa el margen lateral de los tejidos plegados.  A menudo la vasculatura pulmonar es visible en la parte distal a la línea del pliegue cutáneo
  • 22.
    Radiografía PA: plieguescutáneos que simulan un neumotórax. Línea pleural aparente (flechas) no se extiende mas allá del margen torácico. Hay aumento gradual de la opacidad pulmonar desde la parte medial hacia la zona lateral. La opacidad es máxima en el borde interno de la línea y luego disminuye en forma abrupta.
  • 23.
    Pliegue cutáneo en pared torácica izquierda que simula neumotórax. Obsérvese que sobrepasa los límites de la caja torácica
  • 24.
    Un pequeño nivel aire-liquido en el ángulo costofrenico (que se manifiesta como un línea horizontal de interfase aire- liquido) puede ser el indicio de un neumotórax sutil.  La ausencia de vasculatura periférica es un signo indirecto de neumotórax  La vasculatura normal del pulmón o se visualiza a 1-2 cm de la pared torácica y las bullas o ampollas apicales la atenúan aun mas.  Puede conducir a un Dx falso se neumotórax.
  • 25.
    Radiografía PA: tórax pequeño con nivel aire- liquido (flechas) en el ángulo costofrenico.
  • 26.
    Cuando el diagnostico de neumotórax es incierto se debe tomar una radiografía en espiración o en decúbito lateral.  Rx en espiración el neumotórax aparenta ser mayor de tamaño por disminución del tamaño del pulmón subyacente pero la cantidad de aire atrapado en el espacio pleural no se modifica  Rx en decúbito el neumotórax se desplaza hacia la porción superior del tórax.
  • 27.
  • 28.
    Signos radiológicos  Colapso pulmonar de mayor o menor un grado dependiente de la magnitud del neumotórax. Se considera total cuando hay un colapso pulmonar máximo. El grado de colapso es mínimo, cuando el espacio que hay entre la pleura visceral y parietal es menor de 1 cm.  La denominada " linea pleural " que es la pleura visceral del pulmón colapsado  3) Ausencia de trama vascular pulmonar distal. Suele ser de localización apical debido a la tendencia del aire a ascender.
  • 29.
    NEUMOTORAX ESPONTANEO PARCIAL Separacionde una parte de la pleura visceral
  • 30.
    NEUMOTORAX ESPONTANEO COMPLETO Separacion de la pleura visceral a todo lo largo de la cavidad pleural
  • 31.
    NEUMOTORAX ESPONTANEO TOTAL Colapsopulmonar total y formación del muñón
  • 33.
  • 34.
    Signos radiológicos deNeumotórax a tensión  Colapso completo del pulmón  Depresión del diafragma homolateral  Desplazamiento del mediastino y la tráquea hacia el tórax contra lateral
  • 35.
    Neumotórax derecho a tensión:desplazamiento mediastínico contralateral, depresión diafragmática. El pulmón colapsado se identifica como un muñón hiliar. Sinequias pleurales impiden el colapso completo
  • 36.
    Neumotórax izquierdo en supino: hipertransparencia relativa, visualización muy nítida del borde cardíaco y de la grasa epicárdica (flecha), descenso del hemidiafragma, seno costofrénico profundo
  • 37.
    Neumotórax izquierdo a tensión en supino. Paciente politraumatizado con fracturas costales izquierdas y contusión pulmonar bilateral
  • 38.
    Neumomediastino  La presencia de neumomediastino aumenta la posibilidad de que haya un neumotórax; en estos casos se debe buscar una línea pleural.
  • 42.
    Bullas: sus paredes presentan un borde cóncavo con la pared torácica frente al borde convexo del neumotórax
  • 43.
    Bullas: sus paredes presentan un borde cóncavo con la pared torácica frente al borde convexo del neumotórax
  • 44.
    Cámara de neumotórax basal derecho con nivel hidroaéreo (hidroneumotórax) secundario a cirugía torácica
  • 45.
    Cámara de neumotórax basal derecho con nivel hidroaéreo (hidroneumotórax) secundario a cirugía torácica

Notas del editor

  • #17 Neumotórax espontáneo. Identificación de la línea quecorresponde a la pleura visceral
  • #18 NEUMOTÓRAX:Neumotórax derecho.Identificación de la línea dela pleura visceral
  • #21 Radiografia PA: neumotorax. Se observa la linea pleural (visceral) blanca (flechas) y la ausencia de marcas vasculares pulmonares en la zona lateral a la linea pleural.
  • #23 Radiografía PA: pliegues cutáneos que simulan un neumotórax. Línea pleural aparente (flechas) no se extiende mas allá del margen torácico. Hay aumento gradual de la opacidad pulmonar desde la parte medial hacia la zona lateral. La opacidad es máxima en el borde interno de la línea y luego disminuye en forma abrupta.
  • #24 Pliegue cutáneo en pared torácica izquierda quesimula neumotórax. Obsérvese que sobrepasalos límites de la caja torácica
  • #26 Radiografia PA: torax pequeño con nivel aire-liquido (flechas) en el angulo costofrenico.
  • #36 Neumotórax derecho atensión: desplazamientomediastínicocontralateral, depresión diafragmática. El pulmón colapsado se identifica como un muñón hiliar. Sinequias pleuralesimpiden el colapso completo
  • #37 Neumotórax izquierdo en supino: hipertransparenciarelativa, visualización muy nítida del borde cardíaco y dela grasa epicárdica (flecha), descenso del hemidiafragma,seno costofrénico profundo
  • #38 Neumotórax izquierdo a tensión en supino. Paciente politraumatizado con fracturas costales izquierdasy contusión pulmonar bilateral
  • #43 Bullas: sus paredes presentanun borde cóncavo con la pared torácica frente al borde convexo del neumotórax
  • #44 Bullas: sus paredes presentanun borde cóncavo con la pared torácica frente al borde convexo del neumotórax
  • #45 Cámara de neumotórax basalderecho con nivel hidroaéreo(hidroneumotórax) secundario a cirugía torácica
  • #46 Cámara de neumotórax basalderecho con nivel hidroaéreo(hidroneumotórax) secundario a cirugía torácica