ENCEFALO
HUESO TEMPORAL
TC Y RM
Las imágenes normales son la base para comprender la patología macroscópica.
La clínica tiene un correlato práctico directo con las alteraciones de cada una de las
estructuras.
Entonces, se trata de “enfermar” los distintos sectores anatómicos, para “crear” las
distintas patologías. Por ejemplo a partir de los nervios ocurrirán los neurinomas,de los vasos
arteriales los aneurismas,los transtornos del calibre y hasta algunos infrecuentes tumores
vasculares etc.,etc.
En general no existen en el cuerpo espacios vacíos. Cuando una estructura aumenta de
tamaño desplaza a las vecinas de alli el enorme valor del conocimiento de las anatomía por
cortes o “topográfica” como se la denominaba antes.
La utilización clínica de esta metodología de examen por imágenes permite sucesivamente
la detección (hallazgo), caracterización (diagnósticos diferenciales) y la estadificación
(extensiones) de las alteraciones patológicas, para programar la terapéutica adecuada a cada
paciente.
Por último, le recomendamos buena suerte en la búsqueda de detalles y relaciones
anatómicas en su práctica de la Medicina de todos los días.
ENCEFALO NORMAL
TC Y RM
médula cervical
cisterna magna
foramen de
Magendie
IV ventrículo
seno esfenoidal
hipófisis
cuerpo mamilar
rostrum c. calloso
rodilla c. calloso
cuerpo c. calloso
esplenium c. calloso
cisterna cuadrigem.
tálamo
M
P
B
a. basilar
M = mesencéfalo
P = protuberancia
B = bulbo
tronco encefálico
unión
bulbo-médular
RM sagital T2
médula cervical
amígdala
cerebelosa
IV ventrículo
esplenium c. calloso
tálamo
cerebelo
M = mesencéfalo
P = protuberancia
B = bulbo
M
P
B
rostrum c. calloso
rodilla c. calloso
cuerpo c. calloso
clivus
seno esfenoidal
hipófisis
tallo pituitario
tentorio
seno sagital
superior
diploe
t.c.s.
acueducto de Silvio
RM sagital T1 con contraste
cuerpo mamilar
cavum
M = mesencéfalo
P = protuberancia
B = bulbo
M
P
B
médula cervical
amígdala
cerebelosa
IV ventrículo
tálamo
cerebelo
tentorio
tubérculos
cuadrigéminos
rostrum c. calloso
rodilla c. calloso
cuerpo c. calloso
clivus
seno esfenoidal
hipófisis
t.c.s.
espacio mamilopontino
circunvolución del
cuerpo calloso
agujero magno
RM parasagital T1 con contraste
cerebelo
lóbulo occipital
lóbulo parietal
lóbulo frontal
cuerpo calloso
tálamo
ventrículo lateral
P
pedúnculo
cerebeloso medio
seno transverso
P = protuberancia
RM parasagital T2
cerebelo
lóbulo occipital
lóbulo parietal
lóbulo frontal
cuerpo calloso
tálamo
tentorio
ventrículo lateral
cisura
parietoccipital
P
pedúnculo
cerebeloso medio
P = protuberancia
RM parasagital T1 con contraste
centro semioval
trígono ventricular
circunvolución
parahipocámpica
tentorio
seno transverso
cerebelo
lóbulo frontal
tálamo
hipocampo
lóbulo temporal
RM parasagital T2
centro semioval
trígono ventricular
circunvolución
parahipocámpica
tentorio
seno transverso
cerebelo
lóbulo frontal
tálamo
hipocampo
t.c.s.
diploe
seno maxilar
RM parasagital T1 con contraste
cisura de Silvio
superior
media
inferior
circunvoluciónes
temporales
cerebelo
seno transverso
lóbulo parietal
lóbulo frontal
RM parasagital T1 con contraste
seno etmoidal
circunvolución recta
a. cerebral anterior
seno sagital superior
nervio óptico
seno maxilar
lóbulo frontal
circunvolución
orbitaria
cisura interhemisférica
RM coronal T1 con contraste
seno sagital superior
asta frontal
cisura de Silvio
lóbulo temporal
lóbulo frontal
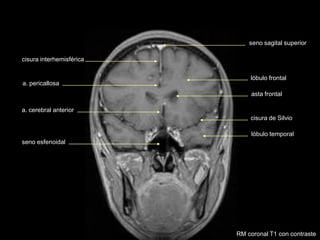
cisura interhemisférica
a. pericallosa
a. cerebral anterior
seno esfenoidal
RM coronal T1 con contraste
seno sagital superior
asta frontal
cisura de Silvio
lóbulo temporal
lóbulo frontal
cisura interhemisférica
a. pericallosa
tercer ventrículo
seno esfenoidal
cuerpo calloso
hipófisis
tallo hipofisario seno cavernoso
RM coronal T1 con contraste
seno sagital superior
cisura de Silvio
lóbulo temporal
cisura interhemisférica
a. pericallosa
III ventrículo
seno esfenoidal
cuerpo calloso
hipófisis
quiasma óptico
ventrículo lateral
centro semioval
cisterna supraselar
fornix
RM coronal T1 con contraste
seno sagital superior
cisura de Silvio
lóbulo temporal
cisura interhemisférica
a. pericallosa
tercer ventrículo
cuerpo calloso
ventrículo lateral
centro semioval
hipotálamo
núcleo caudado
clivus
amígdala
foramen de Monro
RM coronal T1 con contraste
seno sagital superior
cisura de Silvio
lóbulo temporal
cisura interhemisférica
III ventrículo
cuerpo calloso
ventrículo lateral
centro semioval
hipotálamo
núcleo caudado
ínsula
RM coronal T1 con contraste
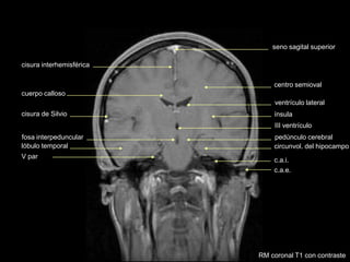
seno sagital superior
cisura de Silvio
lóbulo temporal
cisura interhemisférica
III ventrículo
cuerpo calloso
ventrículo lateral
centro semioval
fosa interpeduncular
ínsula
pedúnculo cerebral
V par
circunvol. del hipocampo
c.a.i.
c.a.e.
RM coronal T1 con contraste
seno sagital superior
cisura de Silvio
lóbulo temporal
cisura interhemisférica
III ventrículo
ventrículo lateral
centro semioval
ínsula
pedúnculo cerebral
circunvolución
del hipocampo
a. pericallosa
RM coronal T1 con contraste
seno sagital superior
cisura de Silvio
lóbulo temporal
cisura interhemisférica
ventrículo lateral
centro semioval
pedúnculo cerebral
medio
acueducto de Silvio
cuerpo calloso
tentorio
cerebelo
RM coronal T1 con contraste
seno sagital superior
cisura interhemisférica
asta occipital
centro semioval
IV ventrículo
tentorio
cerebelo
médula cervical
tubérculo
cuadrigémino superior
tubérculo cuadrigémino
inferior
agujero magno
seno transverso
RM coronal T1 con contraste
pineal
seno sagital superior
cisura interhemisférica
asta occipital
centro semioval
IV ventrículo
tentorio
cerebelo
amígdala cerebelosa
plexo coroideo
lóbulo parietal
lóbulo temporal
seno transverso
seno recto
RM coronal T1 con contraste
seno sagital superior
cisura interhemisférica
centro semioval
tentorio
cerebelo
lóbulo parietal
lóbulo temporal
seno transverso
vermis cerebeloso
RM coronal T1 con contraste
asta occipital
seno sagital superior
cisura interhemisférica
centro semioval
tentorio
cerebelo
lóbulo parietal
lóbulo temporal
seno transverso
vermis cerebeloso
RM coronal T1 con contraste
asta occipital
seno sagital superior
cisura interhemisférica
tentorio
cerebelo
lóbulo occipital
seno transverso
RM coronal T1 con contraste
seno maxilar
clivus
amígdala cerebelosa
unión bulbo - medular
hemisferio cerebeloso
RM axial T2
a. basilar
cavum
seno maxilar
vermis cerebeloso
bulbo
hemisferio cerebeloso
seno lateral
a. carótida interna
clivus
RM axial T1 con contraste
seno maxilar
vermis cerebeloso
bulbo
hemisferio cerebeloso
a. carótida interna
clivus
RM axial Densidad Protónica
seno maxilar
vermis cerebeloso
bulbo
hemisferio cerebeloso
a. carótida interna
seno lateral
lóbulo temporal
RM axial T1 con contraste
seno maxilar
vermis cerebeloso
c.a.i.
hemisferio cerebeloso
a. carótida interna
seno lateral
cóclea
lóbulo temporal
seno esfenoidal
a. basilar
RM axial Densidad Protónica
seno maxilar
vermis cerebeloso
hemisferio cerebeloso
a. carótida interna
lóbulo temporal
seno esfenoidal
cisterna del ángulo
pontocerebeloso
vestíbulo
RM axial T2
cóclea
vermis cerebeloso
hemisferio cerebeloso
a. carótida interna
lóbulo temporal
seno esfenoidal
a. basilar
protuberancia
pedúnculo cerebeloso
medio
RM axial Densidad Protónica
vermis cerebeloso
hemisferio cerebeloso
a. carótida interna
lóbulo temporal
seno esfenoidal
a. basilar
protuberancia
pedúnculo cerebeloso
medio
IV ventrículo
cisterna del ángulo
pontocerebeloso
RM axial T2
lóbulo occipital
hemisferio cerebeloso
lóbulo temporal
protuberancia
IV ventrículo
cisterna ambiens
asta temporal cisterna pontina
hipófisis
seno sagital
RM axial T1 con contraste
lóbulo occipital
hemisferio cerebeloso
lóbulo temporal
protuberancia
IV ventrículo
a. basilar
hipófisis
vermis cerebeloso
seno sagital
RM axial Densidad Protónica
lóbulo occipital
hemisferio cerebeloso
lóbulo temporal
protuberancia
IV ventrículo
cisterna ambiens
asta temporal
a. basilar
hipófisis
vermis cerebeloso
seno sagital
RM axial T2
cristalino
celdillas etmoidales
tallo hipofisario
nervio óptico
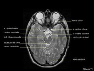
cist.supraselar
cist. interpenduncular
acueducto de Silvio
vermis cerebeloso
lóbulo occipital
a. cerebral media
RM axial T1 con contraste
cist. crural
cist. ambiens
cist. cuadrigeminal
pedúnculo cerebral
nervio óptico
cisterna supraselar
cist. interpenduncular
acueducto de Silvio
vermis cerebeloso
lóbulo occipital
a. cerebral media
a. carótida interna
RM axial Densidad Protónica
pedúnculo cerebral
nervio óptico
cisterna supraselar
cist. interpenduncular
acueducto de Silvio
vermis cerebeloso
lóbulo occipital
a. cerebral media a. carótida interna
RM axial T2
a. cerebral posterior
a. cerebral anterior
pedúnculo cerebral
acueducto de Silvio
vermis cerebeloso
sustancia negra
núcleo rojo
lóbulo occipital
a.cerebral media
(a.silviana)
lóbulo temporal
tracto óptico
circunvolución recta
circunvolución supraorbitaria
seno sagital superior
RM axial Densidad Protónica
cisterna supraselar
cisterna interpeduncular
pedúnculo cerebral
acueducto de Silvio
vermis cerebeloso
sustancia negra
núcleo rojo
cisterna cuadrigeminal
lóbulo occipital
a. cerebral media
lóbulo temporal
circunvolución recta
circunvolución supraorbitaria
tracto óptico
seno sagital superior
RM axial T2
ínsula
III ventrículo
tálamo
cisterna vermiana
superior
lóbulo occipital
lóbulo temporal
cápsula externa
claustro
seno sagital superior
lóbulo frontal
núcleo lenticular
globo pálido
putamen
RM axial Densidad Protónica
ínsula
III ventrículo
tálamo
cisterna vermiana
superior
lóbulo occipital
lóbulo temporal
cápsula externa
cápsula interna
asta occipital
seno sagital superior
cisura de Silvio
lóbulo frontal
globo pálido
putamen
RM axial T2
cabeza del n. caudado
III ventrículo
tálamo
lóbulo occipital
lóbulo temporal
cápsula externa
globo pálido
putamen
cápsula interna
seno sagital superior
lóbulo frontal
agujero de Monro
cápsula externa
vena cerebral interna
seno frontal
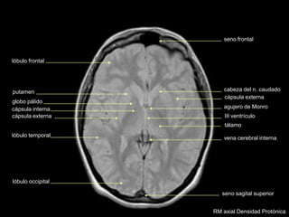
RM axial Densidad Protónica
cabeza del n. caudado
III ventrículo
tálamo
lóbulo occipital
lóbulo temporal
cápsula externa
globo pálido
putamen
cápsula interna
seno sagital superior
lóbulo frontal
cisterna vermiana
superior
agujero de Monro
cápsula externa
vena cerebral interna
atrio ventricular
seno frontal
RM axial T2
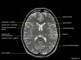
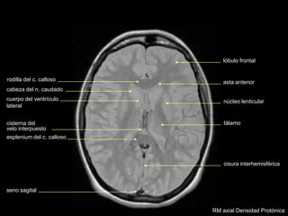
asta anterior
cuerpo del ventrículo
lateral
rodilla del c. calloso
cabeza del n. caudado
cisterna del
velo interpuesto
esplenium del c. calloso
núcleo lenticular
tálamo
cisura interhemisférica
seno sagital
lóbulo frontal
RM axial Densidad Protónica
asta anterior
cuerpo del ventrículo
lateral
rodilla del c. calloso
cabeza del n. caudado
cisterna del
velo interpuesto
esplenium del c. calloso
núcleo lenticular
tálamo
cisura interhemisférica
seno sagital
lóbulo frontal
RM axial T2
seno sagital superior
ventrículo lateral
cisura interhemisférica
cisura calcarina
lóbulo parietal
lóbulo frontal
rodilla del c. calloso
esplenium del c. calloso
septum pelucidum
RM axial T1 con contraste
seno sagital superior
ventrículo lateral
cisura interhemisférica
cisura calcarina
lóbulo parietal
lóbulo frontal
esplenium del c. calloso
rodilla del c. calloso
septum pelucidum
RM axial T2
seno sagital inferior
seno sagital superior
ventrículo lateral
cisura interhemisférica
lóbulo parietal
lóbulo frontal
cuerpo del c. calloso
corona radiata
RM axial T1 con contraste
seno sagital superior
ventrículo lateral
cisura interhemisférica
lóbulo parietal
lóbulo frontal
cuerpo del c. calloso
corona radiata
RM axial T2
seno sagital superior
cisura interhemisférica
lóbulo parietal
lóbulo frontal
centro semioval
RM axial T1 con contraste
seno sagital superior
cisura interhemisférica
lóbulo parietal
lóbulo frontal
centro semioval
RM axial T2
seno sagital superior
cisura interhemisférica
lóbulo frontal
centro semioval
circunvolución frontal
superior
cisura calcarina
cisura de Rolando
surco frontal superior
circunvolución
postcentral
circunvolución
precentral (motora)
circunvolución
frontal media
RM axial T1 con contraste
seno sagital superior
cisura interhemisférica
lóbulo frontal
centro semioval
circunvolución frontal
superior
cisura calcarina
cisura de Rolando
surco frontal superior
circunvolución
postcentral
circunvolución
precentral (motora)
circunvolución
frontal media
RM axial Densidad Protónica
seno sagital superior
cisura interhemisférica
lóbulo frontal
centro semioval
circunvolución frontal
superior
cisura calcarina
cisura de Rolando
surco frontal superior
circunvolución
postcentral
circunvolución
precentral (motora)
circunvolución
frontal media
RM axial T2
seno sagital superior
circunvolución paracentral
circunvolución frontal
superior
cisura interhemisférica
hoz del cerebro
seno sagital superior
RM axial T1 con contraste
seno sagital superior
circunvolución paracentral
circunvolución frontal
superior
cisura interhemisférica
hoz del cerebro
seno sagital superior
RM axial T2
cápsula interna
brazo anterior
brazo posterior
tálamo
cápsula extrema
cápsula externa
claustrum
ventrículo lateral
cisterna
vermiana
superior
III ventrículo
ínsula
cisura de
Silvio
núcleo lenticular
globo pálido
putamen
núcleo caudado
NUCLEOS DE LA BASE
CUERPO
ESTRIADO
rodilla
REGION SELAR
adenohipófisis neurohipófisis
seno esfenoidal
tallo hipofisario
quiasma óptico
tálamo
cisterna supraselar
seno cavernoso quiasma óptico
tallo hipofisario
hipófisis
seno esfenoidal
•carótida interna
•III par
•IV par
•V par (rama oftálmica
y maxilar superior)
•VI par
HIPOCAMPO
trígono
cerebelo
trígono
asta temporal
fornix
III ventrículo
amígdala
cabeza del
hipocampo
circunvolución
hipocámpica
asta temporal
asta temporal
circunvolución hipocámpica
circunvolución hipocámpica
hipocampo
cola del hipocampo
cabeza del hipocampo
amígdala
amígdala
lóbulo
temporal
lóbulo temporal
cisterna magna
bulbo
c.a.e.
cerebelo
globo ocular
TC axial con contraste
lóbulo temporal
nervio óptico
t.c.s.
celdilla etmoidal
clivus
cerebelo
protuberancia
cisterna del ángulo
pontocerebeloso
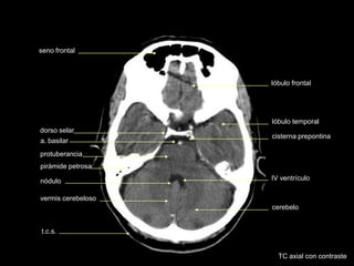
TC axial con contraste
lóbulo temporal
t.c.s.
seno esfenoidal
dorso selar
cerebelo
protuberancia cisterna del ángulo
pontocerebeloso
vermis cerebeloso
IV ventrículo
cisterna prepontina
a. basilar
TC axial con contraste
lóbulo temporal
t.c.s.
dorso selar
cerebelo
protuberancia
vermis cerebeloso
IV ventrículo
cisterna prepontina
a. basilar
lóbulo frontal
seno frontal
nódulo
pirámide petrosa
TC axial con contraste
a. cerebral anterior
a. basilar
a. cerebral media
a. cerebral posterior
lóbulo frontal
seno frontal
cisterna supraselar
asta temporal
protuberancia
IV ventrículo
vermis cerebeloso
cerebelo
TC axial con contraste
cisura interhemisférica
hipotálamo
plexo coroideo
asta temporal
IV ventrículo
lóbulo frontal
cisura de Silvio
ínsula
cisterna interpeduncular
pedúnculo cerebral
tubérculo cuadrigémino
cerebelo vermis cerebeloso
lóbulo occipital
TC axial con contraste
cisura interhemisférica
III ventrículo
plexo coroideo
lóbulo frontal
cisura de Silvio
ínsula
cisterna interpeduncular
pedúnculo cerebral
cisterna cuadrigeminal tubérculo cuadrigémino
cerebelo vermis cerebeloso
cabeza del n. caudado
TC axial con contraste
cisura interhemisférica
III ventrículo
lóbulo frontal
vermis cerebeloso
lóbulo occipital
cabeza del n. caudado
núcleo lenticular
brazo anterior
rodilla
brazo posterior
tálamo
plexo coroideo
cápsula
interna
cápsula externa
asta frontal
hoz del cerebro
cuerpo calloso
TC axial con contraste
cisura interhemisférica
ventrículo lateral
plexo coroideo
calcificado
centro semioval
asta occipital
seno longitudinal superior
seno longitudinal inferior
cuerpo calloso
septum pelucidum
TC axial con contraste
glándula pineal
calcificada
cisura interhemisférica
ventrículo lateral
plexo coroideo
centro semioval
seno longitudinal superior
hoz del cerebro
TC axial con contraste
cisura interhemisférica
cisura interhemisférica
centro semioval
hoz del cerebro
ventrículo lateral
TC axial con contraste
centro semioval
hoz del cerebro
lóbulo frontal
lóbulo parietal
TC axial con contraste
centro semioval hoz del cerebro
lóbulo frontal
TC axial con contraste
HUESO TEMPORAL
NORMAL
TOMOGRAFIA COMPUTADA
ap.pterigoides
clivus
cóndilo del
maxilar inferior
mastoides
sutura
occipito-temporal
protuberancia
occipital interna
vómer
conducto
carotídeo
seno maxilar
conducto
auditivo externo
protuberancia
occipital externa
conducto auditivo externo
trompa de Eustaquio
celdillas mastoideas
receso del n. facial
nervio facial (3era)
eminencia piramidal
seno timpánico
estribo (cruras)
nervio facial
martillo
yunque
ventana oval
conducto semicircular externo
vestíbulo
cóclea
martillo
yunque
conducto auditivo interno
articulación yunque/martillo
nervio facial
conducto semicircular posterior
antro mastoideo
celdillas retrolaberínticas
conducto semicircular
superior
conducto semicircular superior
cóclea
cabeza del martillo
procidencia de meninges
conducto carotídeo
tendón tensor del tímpano
espina supra y retrotimpánica
nervio facial (2da)
nervio facial (1era)
conducto auditivo interno
cresta falciforme
promontorio
estribo
nervio facial (2da)
ventana oval
membrana timpánica
conducto semicircular superior
conducto semicircular externo
ventana redonda
antro mastoideo
nervio facial (3era)
conducto semicircular superior
conducto semicircular externo

TC Cerebro.pdf