TC Y RM                            EDICION 2002




      ENCEFALO
    HUESO TEMPORAL

             CATEDRA DE RADIOLOGIA
          FACULTAD DE CIENCIAS MEDICAS
                      U.N.L.P
Las imágenes normales son la base para comprender la patología macroscópica.
La clínica tiene un correlato práctico directo con las alteraciones      de cada una de las
estructuras.
       Entonces, se trata de “enfermar” los distintos sectores anatómicos, para “crear” las
distintas patologías. Por ejemplo a partir de los nervios ocurrirán los neurinomas,de los vasos
arteriales los aneurismas,los transtornos del calibre y hasta algunos infrecuentes tumores
vasculares etc.,etc.
    En general no existen en el cuerpo espacios vacíos. Cuando una estructura aumenta de
tamaño desplaza a las vecinas de alli el enorme valor del conocimiento de las anatomía por
cortes o “topográfica” como se la denominaba antes.
    La utilización clínica de esta metodología de examen por imágenes permite sucesivamente
la detección (hallazgo), caracterización (diagnósticos diferenciales) y la estadificación
(extensiones) de las alteraciones patológicas, para programar la terapéutica adecuada a cada
paciente.
       Por último, le recomendamos buena suerte en la búsqueda de detalles y relaciones
anatómicas en su práctica de la Medicina de todos los días.
TC Y RM                            EDICION 2002




 ENCEFALO NORMAL


             CATEDRA DE RADIOLOGIA
          FACULTAD DE CIENCIAS MEDICAS
                      U.N.L.P
CATEDRA DE RADIOLOGIA U.N.L.P.   Encéfalo normal       Edición 2002




cuerpo c. calloso
rodilla c. calloso                                   esplenium c. calloso
rostrum c. calloso                                   tálamo

cuerpo mamilar                                       cisterna cuadrigem.
                                          M
hipófisis
                                         P           IV ventrículo
a. basilar
seno esfenoidal                                      foramen de
                                              B      Magendie
unión
bulbo-médular                                        cisterna magna


                                                     médula cervical
tronco encefálico
 M = mesencéfalo
 P = protuberancia
 B = bulbo
                                                           RM sagital T2
CATEDRA DE RADIOLOGIA U.N.L.P.   Encéfalo normal              Edición 2002




t.c.s.                                                      seno sagital
                                                            superior


                                                            diploe
cuerpo c. calloso
rodilla c. calloso                                          esplenium c. calloso
rostrum c. calloso                                          tálamo
                                                            tentorio
cuerpo mamilar                                              acueducto de Silvio
                                           M
tallo pituitario
hipófisis                                 P                 IV ventrículo
seno esfenoidal                                             cerebelo
clivus
                                               B            amígdala
cavum                                                       cerebelosa

                                                            médula cervical


 M = mesencéfalo
 P = protuberancia
 B = bulbo
                                                   RM sagital T1 con contraste
CATEDRA DE RADIOLOGIA U.N.L.P.   Encéfalo normal                     Edición 2002




t.c.s.


                                                                   circunvolución del
cuerpo c. calloso                                                  cuerpo calloso

rodilla c. calloso
rostrum c. calloso                                                  tálamo

                                                                   tubérculos
espacio mamilopontino                         M                    cuadrigéminos
hipófisis                                                          tentorio
                                          P                        IV ventrículo
seno esfenoidal
clivus                                                             cerebelo
                                                  B                amígdala
                                                                   cerebelosa
agujero magno
                                                                   médula cervical


 M = mesencéfalo
 P = protuberancia
 B = bulbo
                                                      RM parasagital T1 con contraste
CATEDRA DE RADIOLOGIA U.N.L.P.   Encéfalo normal     Edición 2002




                                                    lóbulo parietal
cuerpo calloso
                                                    ventrículo lateral
lóbulo frontal
                                                    tálamo

                                                    lóbulo occipital

                                         P
pedúnculo                                           seno transverso
cerebeloso medio
                                                    cerebelo




  P = protuberancia

                                                    RM parasagital T2
CATEDRA DE RADIOLOGIA U.N.L.P.   Encéfalo normal                  Edición 2002




                                                                lóbulo parietal



cuerpo calloso
                                                                ventrículo lateral
lóbulo frontal                                                  cisura
tálamo                                                          parietoccipital

                                                                lóbulo occipital

                                         P                      tentorio
pedúnculo
cerebeloso medio                                                 cerebelo




  P = protuberancia

                                                   RM parasagital T1 con contraste
CATEDRA DE RADIOLOGIA U.N.L.P.   Encéfalo normal     Edición 2002




                                                   centro semioval
lóbulo frontal

tálamo                                             trígono ventricular

                                                   circunvolución
hipocampo                                          parahipocámpica
                                                   tentorio
lóbulo temporal                                    seno transverso
                                                   cerebelo




                                                   RM parasagital T2
CATEDRA DE RADIOLOGIA U.N.L.P.   Encéfalo normal                  Edición 2002




t.c.s.
                                                                diploe


                                                                 centro semioval
lóbulo frontal

                                                                trígono ventricular
tálamo
                                                                circunvolución
                                                                parahipocámpica
hipocampo                                                       tentorio
                                                                seno transverso
seno maxilar
                                                                 cerebelo




                                                   RM parasagital T1 con contraste
CATEDRA DE RADIOLOGIA U.N.L.P.   Encéfalo normal                  Edición 2002




                                                                 lóbulo parietal
lóbulo frontal

circunvoluciónes
temporales                                                       cisura de Silvio


     superior
                                                                seno transverso
   media
inferior                                                        cerebelo




                                                   RM parasagital T1 con contraste
CATEDRA DE RADIOLOGIA U.N.L.P.   Encéfalo normal               Edición 2002




                                                       seno sagital superior

     cisura interhemisférica

                                                       a. cerebral anterior

      lóbulo frontal

      circunvolución
      orbitaria                                         circunvolución recta
      nervio óptico
                                                        seno etmoidal


      seno maxilar




                                                   RM coronal T1 con contraste
CATEDRA DE RADIOLOGIA U.N.L.P.   Encéfalo normal                Edición 2002



                                                       seno sagital superior

   cisura interhemisférica


                                                       lóbulo frontal
   a. pericallosa
                                                        asta frontal

   a. cerebral anterior
                                                       cisura de Silvio

                                                        lóbulo temporal
   seno esfenoidal




                                                   RM coronal T1 con contraste
CATEDRA DE RADIOLOGIA U.N.L.P.   Encéfalo normal                Edición 2002



                                                       seno sagital superior

   cisura interhemisférica


   a. pericallosa                                      lóbulo frontal
   cuerpo calloso
                                                        asta frontal

   tercer ventrículo
                                                       cisura de Silvio
   tallo hipofisario                                   seno cavernoso
   hipófisis
                                                        lóbulo temporal
   seno esfenoidal




                                                   RM coronal T1 con contraste
CATEDRA DE RADIOLOGIA U.N.L.P.   Encéfalo normal                Edición 2002



                                                       seno sagital superior

  cisura interhemisférica

  a. pericallosa                                       centro semioval
  cuerpo calloso
                                                        ventrículo lateral
  fornix
  III ventrículo                                       cisura de Silvio
  quiasma óptico                                       cisterna supraselar
  hipófisis
                                                        lóbulo temporal
  seno
  esfenoidal




                                                   RM coronal T1 con contraste
CATEDRA DE RADIOLOGIA U.N.L.P.   Encéfalo normal                Edición 2002



                                                       seno sagital superior

  cisura interhemisférica

  a. pericallosa                                       centro semioval
  cuerpo calloso
  núcleo caudado                                        ventrículo lateral

  cisura de Silvio                                     foramen de Monro
  hipotálamo                                            tercer ventrículo
  amígdala
                                                        lóbulo temporal
  clivus




                                                   RM coronal T1 con contraste
CATEDRA DE RADIOLOGIA U.N.L.P.   Encéfalo normal                Edición 2002



                                                       seno sagital superior

  cisura interhemisférica

                                                       centro semioval
  cuerpo calloso
  núcleo caudado                                        ventrículo lateral
                                                       ínsula
  cisura de Silvio
                                                        III ventrículo
  hipotálamo


                                                        lóbulo temporal




                                                   RM coronal T1 con contraste
CATEDRA DE RADIOLOGIA U.N.L.P.   Encéfalo normal                Edición 2002



                                                       seno sagital superior

  cisura interhemisférica

                                                       centro semioval
  cuerpo calloso
                                                        ventrículo lateral
  cisura de Silvio                                     ínsula
                                                        III ventrículo
  fosa interpeduncular                                 pedúnculo cerebral
  lóbulo temporal                                      circunvol. del hipocampo
  V par
                                                       c.a.i.
                                                       c.a.e
                                                       .




                                                   RM coronal T1 con contraste
CATEDRA DE RADIOLOGIA U.N.L.P.   Encéfalo normal                Edición 2002



                                                       seno sagital superior

  cisura interhemisférica

                                                       centro semioval

  a. pericallosa                                        ventrículo lateral
                                                       ínsula
  cisura de Silvio
                                                        III ventrículo
                                                        pedúnculo cerebral
  circunvolución                                        lóbulo temporal
  del hipocampo




                                                   RM coronal T1 con contraste
CATEDRA DE RADIOLOGIA U.N.L.P.   Encéfalo normal                Edición 2002



                                                       seno sagital superior

  cisura interhemisférica

                                                       centro semioval


  cuerpo calloso                                        ventrículo lateral

  cisura de Silvio


  acueducto de Silvio
  tentorio                                              lóbulo temporal

  cerebelo
                                                        pedúnculo cerebral
                                                        medio




                                                   RM coronal T1 con contraste
CATEDRA DE RADIOLOGIA U.N.L.P.   Encéfalo normal                 Edición 2002




                                                       seno sagital superior

  cisura interhemisférica



                                                       centro semioval


                                                        asta occipital

  tubérculo                                             pineal
  cuadrigémino superior
                                                        tubérculo cuadrigémino
  tentorio                                              inferior

  cerebelo                                              IV ventrículo

  seno transverso

  agujero magno


                                                       médula cervical



                                                   RM coronal T1 con contraste
CATEDRA DE RADIOLOGIA U.N.L.P.   Encéfalo normal                Edición 2002




                                                       seno sagital superior

  cisura interhemisférica
                                                       lóbulo parietal


                                                       centro semioval

  seno recto                                            asta occipital
  plexo coroideo


                                                        lóbulo temporal
  tentorio

  seno transverso                                       IV ventrículo


  cerebelo
                                                       amígdala cerebelosa




                                                   RM coronal T1 con contraste
CATEDRA DE RADIOLOGIA U.N.L.P.   Encéfalo normal                Edición 2002




                                                       seno sagital superior

  cisura interhemisférica
                                                       lóbulo parietal



  centro semioval


                                                        asta occipital
                                                        lóbulo temporal

  tentorio                                              vermis cerebeloso

  seno transverso


  cerebelo




                                                   RM coronal T1 con contraste
CATEDRA DE RADIOLOGIA U.N.L.P.   Encéfalo normal                Edición 2002




                                                       seno sagital superior

  cisura interhemisférica
                                                       lóbulo parietal



  centro semioval


                                                        asta occipital
                                                        lóbulo temporal

  tentorio                                              vermis cerebeloso

  seno transverso


  cerebelo




                                                   RM coronal T1 con contraste
CATEDRA DE RADIOLOGIA U.N.L.P.   Encéfalo normal                Edición 2002




                                                       seno sagital superior



 cisura interhemisférica



                                                       lóbulo occipital




  tentorio

  seno transverso


                                                       cerebelo




                                                   RM coronal T1 con contraste
CATEDRA DE RADIOLOGIA U.N.L.P.   Encéfalo normal            Edición 2002




                                                   seno maxilar




                                                   cavum


     clivus
                                                   a. basilar
                                                   unión bulbo - medular

    amígdala cerebelosa
                                                   hemisferio cerebeloso




                                                                RM axial T2
CATEDRA DE RADIOLOGIA U.N.L.P.   Encéfalo normal             Edición 2002




                                                    seno maxilar




                                                    clivus
     a. carótida interna

                                                    bulbo
                                                    seno lateral

     vermis cerebeloso

                                                    hemisferio cerebeloso




                                                   RM axial T1 con contraste
CATEDRA DE RADIOLOGIA U.N.L.P.   Encéfalo normal                Edición 2002




                                                       seno maxilar




                                                       clivus
    a. carótida interna

                                                       bulbo


    vermis cerebeloso

                                                       hemisferio cerebeloso




                                                   RM axial Densidad Protónica
CATEDRA DE RADIOLOGIA U.N.L.P.   Encéfalo normal            Edición 2002




                                                    seno maxilar




     lóbulo temporal
                                                    a. carótida interna

     bulbo

                                                    seno lateral

      vermis cerebeloso

                                                    hemisferio cerebeloso




                                                   RM axial T1 con contraste
CATEDRA DE RADIOLOGIA U.N.L.P.   Encéfalo normal                Edición 2002




                                                       seno maxilar


                                                       seno esfenoidal
    lóbulo temporal
                                                       a. carótida interna
    a. basilar
                                                       cóclea
    c.a.i.


                                                       seno lateral
    vermis cerebeloso


                                                       hemisferio cerebeloso




                                                   RM axial Densidad Protónica
CATEDRA DE RADIOLOGIA U.N.L.P.   Encéfalo normal            Edición 2002




                                                   seno maxilar


                                                   seno esfenoidal
     lóbulo temporal
                                                   a. carótida interna
     cóclea
                                                   cisterna del ángulo
     vestíbulo                                     pontocerebeloso


     vermis cerebeloso


                                                   hemisferio cerebeloso




                                                               RM axial T2
CATEDRA DE RADIOLOGIA U.N.L.P.   Encéfalo normal                Edición 2002




                                                       seno esfenoidal

    lóbulo temporal                                    a. carótida interna

                                                       a. basilar
    protuberancia
                                                      pedúnculo cerebeloso
                                                      medio

    vermis cerebeloso


                                                       hemisferio cerebeloso




                                                   RM axial Densidad Protónica
CATEDRA DE RADIOLOGIA U.N.L.P.   Encéfalo normal           Edición 2002




                                                   seno esfenoidal

     lóbulo temporal                               a. carótida interna

                                                   a. basilar
     protuberancia                                 cisterna del ángulo
                                                   pontocerebeloso
                                                   pedúnculo cerebeloso
     IV ventrículo                                 medio


     vermis cerebeloso
                                                   hemisferio cerebeloso




                                                               RM axial T2
CATEDRA DE RADIOLOGIA U.N.L.P.   Encéfalo normal            Edición 2002




    hipófisis                                       lóbulo temporal
    asta temporal                                   cisterna pontina


    protuberancia
                                                    cisterna ambiens
    IV ventrículo


                                                    hemisferio cerebeloso


    lóbulo occipital


                                                    seno sagital


                                                   RM axial T1 con contraste
CATEDRA DE RADIOLOGIA U.N.L.P.   Encéfalo normal                Edición 2002




     hipófisis                                         lóbulo temporal

                                                       a. basilar
     protuberancia

                                                       IV ventrículo

     vermis cerebeloso
                                                       hemisferio cerebeloso


     lóbulo occipital


                                                       seno sagital


                                                   RM axial Densidad Protónica
CATEDRA DE RADIOLOGIA U.N.L.P.   Encéfalo normal            Edición 2002




     cristalino


                                                   celdillas etmoidales




     hipófisis                                     lóbulo temporal
     asta temporal
                                                   a. basilar

     protuberancia
                                                   cisterna ambiens
     IV ventrículo

     vermis cerebeloso
                                                   hemisferio cerebeloso


     lóbulo occipital


                                                   seno sagital


                                                                  RM axial T2
CATEDRA DE RADIOLOGIA U.N.L.P.   Encéfalo normal              Edición 2002




                                                    nervio óptico



a. cerebral media

                                                    tallo hipofisario
cist.supraselar
cist. interpenduncular                              cist. crural

                                                    cist. ambiens
 acueducto de Silvio
                                                    cist. cuadrigeminal
 vermis cerebeloso




                                                    lóbulo occipital




                                                   RM axial T1 con contraste
CATEDRA DE RADIOLOGIA U.N.L.P.   Encéfalo normal                Edición 2002




                                                      nervio óptico



a. cerebral media
                                                       a. carótida interna
cisterna supraselar


cist. interpenduncular                                 pedúnculo cerebral

 acueducto de Silvio

 vermis cerebeloso




                                                       lóbulo occipital




                                                   RM axial Densidad Protónica
CATEDRA DE RADIOLOGIA U.N.L.P.   Encéfalo normal            Edición 2002




                                                   nervio óptico



a. cerebral media                                  a. carótida interna
cisterna supraselar
                                                   a. cerebral posterior
cist. interpenduncular                             pedúnculo cerebral

 acueducto de Silvio

 vermis cerebeloso




                                                   lóbulo occipital




                                                                   RM axial T2
CATEDRA DE RADIOLOGIA U.N.L.P.   Encéfalo normal                Edición 2002




     circunvolución supraorbitaria                        circunvolución recta


a.cerebral media
 a.silviana)                                               a. cerebral anterior

     tracto óptico
     sustancia negra
                                                          pedúnculo cerebral
     núcleo rojo
                                                          acueducto de Silvio

     lóbulo temporal                                      vermis cerebeloso




     lóbulo occipital
                                                          seno sagital superior


                                                       RM axial Densidad Protónica
CATEDRA DE RADIOLOGIA U.N.L.P.   Encéfalo normal           Edición 2002




circunvolución supraorbitaria                      circunvolución recta




a. cerebral media                                  cisterna supraselar
 tracto óptico
sustancia negra                                    cisterna interpeduncular
núcleo rojo                                        pedúnculo cerebral

                                                   acueducto de Silvio
cisterna cuadrigeminal
                                                   vermis cerebeloso
lóbulo temporal




lóbulo occipital

                                                   seno sagital superior

                                                               RM axial T2
CATEDRA DE RADIOLOGIA U.N.L.P.   Encéfalo normal                Edición 2002




                                                        lóbulo frontal

núcleo lenticular
   putamen
   globo pálido                                         ínsula
   claustro                                             III ventrículo
   cápsula externa
                                                        tálamo
   lóbulo temporal
                                                        cisterna vermiana
                                                        superior




   lóbulo occipital

                                                       seno sagital superior


                                                    RM axial Densidad Protónica
CATEDRA DE RADIOLOGIA U.N.L.P.   Encéfalo normal             Edición 2002




lóbulo frontal


                                                   cisura de Silvio

 putamen
globo pálido                                        ínsula
cápsula interna                                     III ventrículo
cápsula externa
                                                    tálamo

lóbulo temporal
                                                    cisterna vermiana
                                                    superior



                                                   asta occipital
 lóbulo occipital


                                                   seno sagital superior


                                                                 RM axial T2
CATEDRA DE RADIOLOGIA U.N.L.P.   Encéfalo normal                Edición 2002



                                                      seno frontal


lóbulo frontal




 putamen                                              cabeza del n. caudado
                                                      cápsula externa
globo pálido
cápsula interna                                       agujero de Monro
cápsula externa                                        III ventrículo
                                                       tálamo
lóbulo temporal                                       vena cerebral interna




 lóbulo occipital

                                                      seno sagital superior


                                                   RM axial Densidad Protónica
CATEDRA DE RADIOLOGIA U.N.L.P.   Encéfalo normal             Edición 2002



                                                   seno frontal


lóbulo frontal




                                                   cabeza del n. caudado
putamen
                                                   cápsula externa
globo pálido
cápsula interna                                    agujero de Monro
cápsula externa                                     III ventrículo

                                                    tálamo
lóbulo temporal                                    vena cerebral interna
atrio ventricular                                  cisterna vermiana
                                                   superior



 lóbulo occipital

                                                   seno sagital superior


                                                                  RM axial T2
CATEDRA DE RADIOLOGIA U.N.L.P.   Encéfalo normal                Edición 2002




                                                        lóbulo frontal


rodilla del c. calloso                                 asta anterior
cabeza del n. caudado
cuerpo del ventrículo                                   núcleo lenticular
lateral


cisterna del                                            tálamo
velo interpuesto
esplenium del c. calloso



                                                        cisura interhemisférica



seno sagital


                                                    RM axial Densidad Protónica
CATEDRA DE RADIOLOGIA U.N.L.P.   Encéfalo normal            Edición 2002




                                                    lóbulo frontal


rodilla del c. calloso                              asta anterior
cabeza del n. caudado
cuerpo del ventrículo                               núcleo lenticular
lateral


cisterna del                                        tálamo
velo interpuesto
esplenium del c. calloso



                                                    cisura interhemisférica



seno sagital


                                                                 RM axial T2
CATEDRA DE RADIOLOGIA U.N.L.P.   Encéfalo normal             Edición 2002




                                                     cisura interhemisférica

   lóbulo frontal


   rodilla del c. calloso


                                                     ventrículo lateral
   septum pelucidum


                                                     esplenium del c. calloso

   lóbulo parietal




   cisura calcarina

                                                     seno sagital superior


                                                   RM axial T1 con contraste
CATEDRA DE RADIOLOGIA U.N.L.P.   Encéfalo normal           Edición 2002




                                                   cisura interhemisférica
   lóbulo frontal

   rodilla del c. calloso



                                                   ventrículo lateral
   septum pelucidum


                                                   esplenium del c. calloso

   lóbulo parietal                                 seno sagital inferior




   cisura calcarina

                                                   seno sagital superior


                                                               RM axial T2
CATEDRA DE RADIOLOGIA U.N.L.P.   Encéfalo normal             Edición 2002




                                                     cisura interhemisférica

   lóbulo frontal




   cuerpo del c. calloso                             ventrículo lateral

                                                     corona radiata



   lóbulo parietal




                                                     seno sagital superior


                                                   RM axial T1 con contraste
CATEDRA DE RADIOLOGIA U.N.L.P.   Encéfalo normal           Edición 2002




                                                   cisura interhemisférica

   lóbulo frontal




   cuerpo del c. calloso                           ventrículo lateral

                                                   corona radiata



   lóbulo parietal




                                                   seno sagital superior


                                                               RM axial T2
CATEDRA DE RADIOLOGIA U.N.L.P.   Encéfalo normal            Edición 2002




                                                     cisura interhemisférica

   lóbulo frontal




                                                     centro semioval



   lóbulo parietal




                                                     seno sagital superior


                                                   RM axial T1 con contraste
CATEDRA DE RADIOLOGIA U.N.L.P.   Encéfalo normal          Edición 2002




                                                   cisura interhemisférica

   lóbulo frontal




                                                   centro semioval



   lóbulo parietal




                                                   seno sagital superior


                                                              RM axial T2
CATEDRA DE RADIOLOGIA U.N.L.P.   Encéfalo normal             Edición 2002




   lóbulo frontal                                    circunvolución frontal
                                                     superior
   surco frontal superior

                                                     cisura interhemisférica
   circunvolución
   frontal media
                                                     centro semioval


                                                     circunvolución
   cisura de Rolando                                 precentral (motora)
    circunvolución
    postcentral
                                                     cisura calcarina



                                                     seno sagital superior



                                                   RM axial T1 con contraste
CATEDRA DE RADIOLOGIA U.N.L.P.   Encéfalo normal               Edición 2002




   lóbulo frontal                                      circunvolución frontal
                                                       superior
   surco frontal superior

                                                        cisura interhemisférica
   circunvolución
   frontal media
                                                        centro semioval


                                                        circunvolución
   cisura de Rolando                                    precentral (motora)
    circunvolución
    postcentral
                                                        cisura calcarina



                                                        seno sagital superior



                                                   RM axial Densidad Protónica
CATEDRA DE RADIOLOGIA U.N.L.P.   Encéfalo normal           Edición 2002




     lóbulo frontal                                circunvolución frontal
                                                   superior
     surco frontal superior

                                                   cisura interhemisférica
     circunvolución
     frontal media
                                                   centro semioval


                                                   circunvolución
     cisura de Rolando                             precentral (motora)
     circunvolución
     postcentral                                   cisura calcarina



                                                   seno sagital superior



                                                              RM axial T2
CATEDRA DE RADIOLOGIA U.N.L.P.   Encéfalo normal             Edición 2002




                                                   seno sagital superior


                                                   circunvolución frontal
                                                   superior
  cisura interhemisférica


                                                   circunvolución paracentral


  hoz del cerebro




                                                   seno sagital superior




                                                   RM axial T1 con contraste
CATEDRA DE RADIOLOGIA U.N.L.P.   Encéfalo normal             Edición 2002




                                                   seno sagital superior


                                                   circunvolución frontal
                                                   superior
 cisura interhemisférica


                                                   circunvolución paracentral


  hoz del cerebro




                                                   seno sagital superior




                                                                 RM axial T2
CATEDRA DE RADIOLOGIA U.N.L.P.        Encéfalo normal                                Edición 2002
                                                                  NUCLEOS DE LA BASE
cápsula interna
                                                                  núcleo caudado
brazo anterior                                                                         CUERPO
                                                   putamen                            ESTRIADO
                                                                  núcleo lenticular
rodilla                                            globo pálido

brazo posterior
                                                   tálamo




                                                                                         cisura de
                                                                                         Silvio
                              cápsula extrema
                              claustrum                                                  ínsula
                              cápsula externa
                                                                                         III ventrículo




                                                                                         cisterna
                                                                                         vermiana
                              ventrículo lateral                                         superior
CATEDRA DE RADIOLOGIA U.N.L.P.              Encéfalo normal                           Edición 2002

                                                                    REGION SELAR


                                                      tálamo



                                                      quiasma óptico
cisterna supraselar                                   tallo hipofisario
 adenohipófisis                                       neurohipófisis
 seno esfenoidal




                          seno cavernoso                                           quiasma óptico
                      •carótida interna                                            tallo hipofisario
                      •III par
                                                                                   hipófisis
                      •IV par
                      •V par (rama oftálmica
                           y maxilar superior)                                     seno esfenoidal
                      •VI par
CATEDRA DE RADIOLOGIA U.N.L.P.      Encéfalo normal                       Edición 2002

                                                            HIPOCAMPO

                                              trígono
                                              cola del hipocampo
asta temporal                                 cabeza del hipocampo
amígdala
                                              circunvolución hipocámpica
lóbulo
temporal                                                                    fornix
                                                                            III ventrículo
                                                                            amígdala
                                                                            cabeza del
                              asta temporal                                 hipocampo
                                                                            circunvolución
                                                                            hipocámpica



                                              trígono

                                              hipocampo
asta temporal
amígdala                                      circunvolución hipocámpica



                                              cerebelo
CATEDRA DE RADIOLOGIA U.N.L.P.   Encéfalo normal              Edición 2002




                                                   globo ocular




                                                   lóbulo temporal

        c.a.e.


        bulbo


                                                   cerebelo
       cisterna magna




                                                    TC axial con contraste
CATEDRA DE RADIOLOGIA U.N.L.P.   Encéfalo normal              Edición 2002




        celdilla etmoidal
                                                   nervio óptico




         clivus                                    lóbulo temporal

                                                   cisterna del ángulo
        protuberancia                              pontocerebeloso



                                                   cerebelo




         t.c.s.


                                                     TC axial con contraste
CATEDRA DE RADIOLOGIA U.N.L.P.   Encéfalo normal              Edición 2002




       seno esfenoidal
                                                   lóbulo temporal
       dorso selar
       a. basilar                                  cisterna prepontina

       protuberancia                               cisterna del ángulo
                                                   pontocerebeloso

                                                   IV ventrículo
       vermis cerebeloso
                                                   cerebelo



       t.c.s.


                                                     TC axial con contraste
CATEDRA DE RADIOLOGIA U.N.L.P.   Encéfalo normal              Edición 2002




      seno frontal



                                                   lóbulo frontal




                                                   lóbulo temporal
       dorso selar
                                                   cisterna prepontina
       a. basilar
       protuberancia
       pirámide petrosa

       nódulo                                      IV ventrículo

       vermis cerebeloso
                                                   cerebelo


       t.c.s.


                                                     TC axial con contraste
CATEDRA DE RADIOLOGIA U.N.L.P.   Encéfalo normal                Edición 2002



   seno frontal




                                                   lóbulo frontal


                                                   a. cerebral anterior
   a. cerebral media
                                                   cisterna supraselar
   asta temporal
                                                   a. basilar
   a. cerebral posterior
                                                   protuberancia


   IV ventrículo

                                                   vermis cerebeloso

                                                   cerebelo




                                                       TC axial con contraste
CATEDRA DE RADIOLOGIA U.N.L.P.   Encéfalo normal              Edición 2002




    cisura interhemisférica
                                                   lóbulo frontal



                                                   cisura de Silvio
                                                    ínsula
    hipotálamo
    plexo coroideo                                 cisterna interpeduncular

                                                   pedúnculo cerebral
    asta temporal
    IV ventrículo                                  tubérculo cuadrigémino


     cerebelo                                       vermis cerebeloso


                                                   lóbulo occipital




                                                      TC axial con contraste
CATEDRA DE RADIOLOGIA U.N.L.P.   Encéfalo normal             Edición 2002




   cisura interhemisférica                         lóbulo frontal


   cabeza del n. caudado                           cisura de Silvio
                                                   ínsula
    III ventrículo
                                                   cisterna interpeduncular
   plexo coroideo
                                                   pedúnculo cerebral

   cisterna cuadrigeminal                          tubérculo cuadrigémino


   cerebelo                                        vermis cerebeloso




                                                     TC axial con contraste
CATEDRA DE RADIOLOGIA U.N.L.P.   Encéfalo normal                 Edición 2002




                                                       hoz del cerebro

   cisura interhemisférica                             lóbulo frontal

   cuerpo calloso
                                                       asta frontal
   cabeza del n. caudado
                                                       brazo anterior
   núcleo lenticular                                                     cápsula
   cápsula externa                                     rodilla           interna
                                                       brazo posterior
    III ventrículo
                                                       tálamo

   plexo coroideo


                                                       vermis cerebeloso




                                                   lóbulo occipital



                                                        TC axial con contraste
CATEDRA DE RADIOLOGIA U.N.L.P.   Encéfalo normal            Edición 2002




   cisura interhemisférica



                                                   cuerpo calloso

   ventrículo lateral                              septum pelucidum

                                                   centro semioval




   plexo coroideo                                  glándula pineal
   calcificado                                     calcificada
                                                   asta occipital
   seno longitudinal inferior




   seno longitudinal superior



                                                    TC axial con contraste
CATEDRA DE RADIOLOGIA U.N.L.P.   Encéfalo normal           Edición 2002




                                                   hoz del cerebro


   cisura interhemisférica




   ventrículo lateral                              centro semioval



  plexo coroideo




   seno longitudinal superior



                                                    TC axial con contraste
CATEDRA DE RADIOLOGIA U.N.L.P.   Encéfalo normal            Edición 2002




                                                   hoz del cerebro



  cisura interhemisférica




   ventrículo lateral                              centro semioval




   cisura interhemisférica




                                                     TC axial con contraste
CATEDRA DE RADIOLOGIA U.N.L.P.   Encéfalo normal              Edición 2002




       hoz del cerebro
                                                   lóbulo frontal



    centro semioval




                                                    lóbulo parietal




                                                      TC axial con contraste
CATEDRA DE RADIOLOGIA U.N.L.P.   Encéfalo normal               Edición 2002




                                                   lóbulo frontal




    centro semioval                                hoz del cerebro




                                                       TC axial con contraste
TOMOGRAFIA COMPUTADA            EDICION 2002




   HUESO TEMPORAL
       NORMAL

          CATEDRA DE RADIOLOGIA
       FACULTAD DE CIENCIAS MEDICAS
                   U.N.L.P
CATEDRA DE RADIOLOGIA U.N.L.P.   Hueso temporal normal        Edición 2002




 ap.pterigoides                                             vómer


 cóndilo del
                                                            clivus
 maxilar inferior




 mastoides



 sutura
 occipito-temporal
                                                         protuberancia
                                                         occipital interna
CATEDRA DE RADIOLOGIA U.N.L.P.   Hueso temporal normal              Edición 2002




                                                             seno maxilar




                                                                  conducto
                                                                  carotídeo
 conducto
 auditivo externo




                                                         protuberancia
                                                         occipital externa
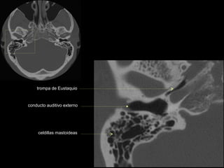
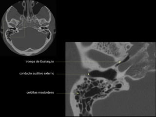
trompa de Eustaquio


conducto auditivo externo




     celdillas mastoideas
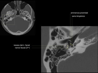
eminencia piramidal
                          seno timpánico




receso del n. facial
  nervio facial (3era)
estribo (cruras)




nervio facial
ventana oval




martillo
yunque
martillo

                                           cóclea




                     yunque
                    vestíbulo

conducto semicircular externo
nervio facial




articulación yunque/martillo

  conducto auditivo interno
conducto semicircular posterior
antro mastoideo

celdillas retrolaberínticas
conducto semicircular
     superior
conducto semicircular superior
cabeza del martillo


          procidencia de meninges




cóclea
tendón tensor del tímpano




conducto carotídeo
espina supra y retrotimpánica




nervio facial (2da)
nervio facial (1era)
conducto auditivo interno



                     cresta falciforme




promontorio
nervio facial (2da)




estribo
ventana oval


membrana
timpánica
conducto semicircular
                        externo




conducto semicircular
superior
antro mastoideo

ventana redonda
nervio facial (3era)
conducto semicircular externo




conducto semicircular superior
A continuación encontrará las mismas imágenes revisadas hasta ahora, las
cuales se presentan, inicialmente, sin las referencias con el fin de utilizarlas a
manera de repaso.
Haciendo un click con el botón izquierdo del mouse u oprimiendo el botón
“page down” (av. pág), podrá corroborar la correspondencia con las referencias
originales.
TC Y RM                            EDICION 2002




 ENCEFALO NORMAL


             CATEDRA DE RADIOLOGIA
          FACULTAD DE CIENCIAS MEDICAS
                      U.N.L.P
CATEDRA DE RADIOLOGIA U.N.L.P.   Encéfalo normal       Edición 2002




cuerpo c. calloso
rodilla c. calloso                                   esplenium c. calloso
rostrum c. calloso                                   tálamo

cuerpo mamilar                                       cisterna cuadrigem.
                                          M
hipófisis
                                         P           IV ventrículo
a. basilar
seno esfenoidal                                      foramen de
                                              B      Magendie
unión
bulbo-médular                                        cisterna magna


                                                     médula cervical
tronco encefálico
 M = mesencéfalo
 P = protuberancia
 B = bulbo
                                                           RM sagital T2
CATEDRA DE RADIOLOGIA U.N.L.P.   Encéfalo normal              Edición 2002




t.c.s.                                                      seno sagital
                                                            superior


                                                            diploe
cuerpo c. calloso
rodilla c. calloso                                          esplenium c. calloso
rostrum c. calloso                                          tálamo
                                                            tentorio
cuerpo mamilar                                              acueducto de Silvio
                                           M
tallo pituitario
hipófisis                                 P                 IV ventrículo
seno esfenoidal                                             cerebelo
clivus
                                               B            amígdala
cavum                                                       cerebelosa

                                                            médula cervical


 M = mesencéfalo
 P = protuberancia
 B = bulbo
                                                   RM sagital T1 con contraste
CATEDRA DE RADIOLOGIA U.N.L.P.   Encéfalo normal                     Edición 2002




t.c.s.


                                                                   circunvolución del
cuerpo c. calloso                                                  cuerpo calloso

rodilla c. calloso
rostrum c. calloso                                                  tálamo

                                                                   tubérculos
espacio mamilopontino                         M                    cuadrigéminos
hipófisis                                                          tentorio
                                          P                        IV ventrículo
seno esfenoidal
clivus                                                             cerebelo
                                                  B                amígdala
                                                                   cerebelosa
agujero magno
                                                                   médula cervical


 M = mesencéfalo
 P = protuberancia
 B = bulbo
                                                      RM parasagital T1 con contraste
CATEDRA DE RADIOLOGIA U.N.L.P.   Encéfalo normal     Edición 2002




                                                    lóbulo parietal



cuerpo calloso
                                                    ventrículo lateral
lóbulo frontal
                                                    tálamo

                                                    lóbulo occipital

                                         P
pedúnculo                                           seno transverso
cerebeloso medio
                                                    cerebelo




  P = protuberancia

                                                    RM parasagital T2
CATEDRA DE RADIOLOGIA U.N.L.P.   Encéfalo normal                  Edición 2002




                                                                 lóbulo parietal
cuerpo calloso
                                                                ventrículo lateral
lóbulo frontal                                                  cisura
tálamo                                                          parietoccipital

                                                                lóbulo occipital

                                         P                      tentorio
pedúnculo
cerebeloso medio                                                 cerebelo




  P = protuberancia

                                                   RM parasagital T1 con contraste
CATEDRA DE RADIOLOGIA U.N.L.P.   Encéfalo normal     Edición 2002




                                                   centro semioval
lóbulo frontal

tálamo                                             trígono ventricular

                                                   circunvolución
hipocampo                                          parahipocámpica
                                                   tentorio
lóbulo temporal                                    seno transverso
                                                   cerebelo




                                                   RM parasagital T2
CATEDRA DE RADIOLOGIA U.N.L.P.   Encéfalo normal                  Edición 2002




t.c.s.
                                                                diploe


                                                                 centro semioval
lóbulo frontal

                                                                trígono ventricular
tálamo
                                                                circunvolución
                                                                parahipocámpica
hipocampo                                                       tentorio
                                                                seno transverso
seno maxilar
                                                                 cerebelo




                                                   RM parasagital T1 con contraste
CATEDRA DE RADIOLOGIA U.N.L.P.   Encéfalo normal                  Edición 2002




                                                                 lóbulo parietal
lóbulo frontal

circunvoluciones
temporales                                                       cisura de Silvio


     superior
                                                                seno transverso
   media
inferior                                                        cerebelo




                                                   RM parasagital T1 con contraste
CATEDRA DE RADIOLOGIA U.N.L.P.   Encéfalo normal               Edición 2002




                                                       seno sagital superior

     cisura interhemisférica

                                                       a. cerebral anterior

      lóbulo frontal

      circunvolución
      orbitaria                                         circunvolución recta
      nervio óptico
                                                        seno etmoidal


      seno maxilar




                                                   RM coronal T1 con contraste
CATEDRA DE RADIOLOGIA U.N.L.P.   Encéfalo normal                Edición 2002



                                                       seno sagital superior

   cisura interhemisférica


                                                       lóbulo frontal
   a. pericallosa
                                                        asta frontal

   a. cerebral anterior
                                                       cisura de Silvio

                                                        lóbulo temporal
   seno esfenoidal




                                                   RM coronal T1 con contraste
CATEDRA DE RADIOLOGIA U.N.L.P.   Encéfalo normal                Edición 2002



                                                       seno sagital superior

   cisura interhemisférica


   a. pericallosa                                      lóbulo frontal
   cuerpo calloso
                                                        asta frontal

   tercer ventrículo
                                                       cisura de Silvio
   tallo hipofisario                                   seno cavernoso
   hipófisis
                                                        lóbulo temporal
   seno esfenoidal




                                                   RM coronal T1 con contraste
CATEDRA DE RADIOLOGIA U.N.L.P.   Encéfalo normal                Edición 2002



                                                       seno sagital superior

  cisura interhemisférica

  a. pericallosa                                       centro semioval
  cuerpo calloso
                                                        ventrículo lateral
  fornix
  III ventrículo                                       cisura de Silvio
  quiasma óptico                                       cisterna supraselar
  hipófisis
                                                        lóbulo temporal
  seno
  esfenoidal




                                                   RM coronal T1 con contraste
CATEDRA DE RADIOLOGIA U.N.L.P.   Encéfalo normal                Edición 2002



                                                       seno sagital superior

  cisura interhemisférica

  a. pericallosa                                       centro semioval
  cuerpo calloso
  núcleo caudado                                        ventrículo lateral

  cisura de Silvio                                     foramen de Monro
  hipotálamo                                            tercer ventrículo
  amígdala
                                                        lóbulo temporal
  clivus




                                                   RM coronal T1 con contraste
CATEDRA DE RADIOLOGIA U.N.L.P.   Encéfalo normal                Edición 2002



                                                       seno sagital superior

  cisura interhemisférica

                                                       centro semioval
  cuerpo calloso
  núcleo caudado                                        ventrículo lateral
                                                       ínsula
  cisura de Silvio
                                                        III ventrículo
  hipotálamo


                                                        lóbulo temporal




                                                   RM coronal T1 con contraste
CATEDRA DE RADIOLOGIA U.N.L.P.   Encéfalo normal                Edición 2002



                                                       seno sagital superior

  cisura interhemisférica

                                                       centro semioval
  cuerpo calloso
                                                        ventrículo lateral
  cisura de Silvio                                     ínsula
                                                        III ventrículo
  fosa interpeduncular                                 pedúnculo cerebral
  lóbulo temporal                                      circunvol. del hipocampo
  V par                                                c.a.i.
                                                       c.a.e
                                                       .




                                                   RM coronal T1 con contraste
CATEDRA DE RADIOLOGIA U.N.L.P.   Encéfalo normal                Edición 2002



                                                       seno sagital superior

  cisura interhemisférica

                                                       centro semioval

  a. pericallosa                                        ventrículo lateral
                                                       ínsula
  cisura de Silvio
                                                        III ventrículo
                                                        pedúnculo cerebral
  circunvolución                                        lóbulo temporal
  del hipocampo




                                                   RM coronal T1 con contraste
CATEDRA DE RADIOLOGIA U.N.L.P.   Encéfalo normal                Edición 2002



                                                       seno sagital superior

  cisura interhemisférica

                                                       centro semioval


  cuerpo calloso                                        ventrículo lateral

  cisura de Silvio


  acueducto de Silvio
  tentorio                                              lóbulo temporal

  cerebelo
                                                        pedúnculo cerebral
                                                        medio




                                                   RM coronal T1 con contraste
CATEDRA DE RADIOLOGIA U.N.L.P.   Encéfalo normal                 Edición 2002




                                                       seno sagital superior

  cisura interhemisférica



                                                       centro semioval


                                                        asta occipital

  tubérculo                                             pineal
  cuadrigémino superior
                                                        tubérculo cuadrigémino
  tentorio                                              inferior

  cerebelo                                              IV ventrículo

  seno transverso                                       foramen de Magendie


  agujero magno


                                                       médula cervical



                                                   RM coronal T1 con contraste
CATEDRA DE RADIOLOGIA U.N.L.P.   Encéfalo normal                Edición 2002




                                                       seno sagital superior

  cisura interhemisférica
                                                       lóbulo parietal


                                                       centro semioval

  seno recto                                            asta occipital
  plexo coroideo


                                                        lóbulo temporal
  tentorio

  seno transverso                                       IV ventrículo


  cerebelo
                                                       amígdala cerebelosa




                                                   RM coronal T1 con contraste
CATEDRA DE RADIOLOGIA U.N.L.P.   Encéfalo normal                Edición 2002




                                                       seno sagital superior

  cisura interhemisférica
                                                       lóbulo parietal



  centro semioval


                                                        asta occipital
                                                        lóbulo temporal

  tentorio                                              vermis cerebeloso

  seno transverso


  cerebelo




                                                   RM coronal T1 con contraste
CATEDRA DE RADIOLOGIA U.N.L.P.   Encéfalo normal                Edición 2002




                                                       seno sagital superior

  cisura interhemisférica
                                                       lóbulo parietal



  centro semioval


                                                        asta occipital
                                                        lóbulo temporal

  tentorio                                              vermis cerebeloso

  seno transverso


  cerebelo




                                                   RM coronal T1 con contraste
CATEDRA DE RADIOLOGIA U.N.L.P.   Encéfalo normal                Edición 2002




                                                       seno sagital superior



 cisura interhemisférica



                                                       lóbulo occipital




  tentorio

  seno transverso


                                                       cerebelo




                                                   RM coronal T1 con contraste
CATEDRA DE RADIOLOGIA U.N.L.P.   Encéfalo normal            Edición 2002




                                                   seno maxilar




                                                   cavum


     clivus
                                                   a. basilar
                                                   unión bulbo - médular

    amígdala cerebelosa
                                                   hemisferio cerebeloso




                                                                RM axial T2
CATEDRA DE RADIOLOGIA U.N.L.P.   Encéfalo normal             Edición 2002




                                                    seno maxilar




                                                    clivus
     a. carótida interna

                                                    bulbo
                                                    seno lateral

     vermis cerebeloso

                                                    hemisferio cerebeloso




                                                   RM axial T1 con contraste
CATEDRA DE RADIOLOGIA U.N.L.P.   Encéfalo normal                Edición 2002




                                                       seno maxilar




                                                       clivus
    a. carótida interna

                                                       bulbo


    vermis cerebeloso

                                                       hemisferio cerebeloso




                                                   RM axial Densidad Protónica
CATEDRA DE RADIOLOGIA U.N.L.P.   Encéfalo normal            Edición 2002




                                                    seno maxilar




     lóbulo temporal
                                                    a. carótida interna

     bulbo

                                                    seno lateral

      vermis cerebeloso

                                                    hemisferio cerebeloso




                                                   RM axial T1 con contraste
CATEDRA DE RADIOLOGIA U.N.L.P.   Encéfalo normal                Edición 2002




                                                       seno maxilar


                                                       seno esfenoidal
    lóbulo temporal
                                                       a. carótida interna
    a. basilar
                                                       cóclea
    c.a.i.



    vermis cerebeloso


                                                       hemisferio cerebeloso




                                                   RM axial Densidad Protónica
CATEDRA DE RADIOLOGIA U.N.L.P.   Encéfalo normal            Edición 2002




                                                   seno maxilar


                                                   seno esfenoidal
     lóbulo temporal
                                                   a. carótida interna
     cóclea
                                                   cisterna del ángulo
     vestíbulo                                     pontocerebeloso


     vermis cerebeloso


                                                   hemisferio cerebeloso




                                                               RM axial T2
CATEDRA DE RADIOLOGIA U.N.L.P.   Encéfalo normal                Edición 2002




                                                       seno esfenoidal

    lóbulo temporal                                    a. carótida interna

                                                       a. basilar
    protuberancia
                                                      pedúnculo cerebeloso
                                                      medio
                                                       seno lateral
    vermis cerebeloso


                                                       hemisferio cerebeloso




                                                   RM axial Densidad Protónica
CATEDRA DE RADIOLOGIA U.N.L.P.   Encéfalo normal           Edición 2002




                                                   seno esfenoidal

     lóbulo temporal                               a. carótida interna

                                                   a. basilar
     protuberancia                                 cisterna del ángulo
                                                   pontocerebeloso
                                                   pedúnculo cerebeloso
     IV ventrículo                                 medio


     vermis cerebeloso
                                                   hemisferio cerebeloso




                                                               RM axial T2
CATEDRA DE RADIOLOGIA U.N.L.P.   Encéfalo normal            Edición 2002




    hipófisis                                       lóbulo temporal
    asta temporal                                   cisterna pontina


    protuberancia
                                                    cisterna ambiens
    IV ventrículo


                                                    hemisferio cerebeloso


    lóbulo occipital


                                                    seno sagital


                                                   RM axial T1 con contraste
CATEDRA DE RADIOLOGIA U.N.L.P.   Encéfalo normal                Edición 2002




     hipófisis                                         lóbulo temporal

                                                       a. basilar
     protuberancia

                                                       IV ventrículo

     vermis cerebeloso
                                                       hemisferio cerebeloso


     lóbulo occipital


                                                       seno sagital


                                                   RM axial Densidad Protónica
CATEDRA DE RADIOLOGIA U.N.L.P.   Encéfalo normal            Edición 2002




     cristalino


                                                   celdillas etmoidales




     hipófisis                                     lóbulo temporal
     asta temporal
                                                   a. basilar

     protuberancia
                                                   cisterna ambiens
     IV ventrículo

     vermis cerebeloso
                                                   hemisferio cerebeloso


     lóbulo occipital


                                                   seno sagital


                                                                  RM axial T2
CATEDRA DE RADIOLOGIA U.N.L.P.   Encéfalo normal              Edición 2002




                                                    nervio óptico



a. cerebral media

                                                    tallo hipofisario
cist.supraselar
cist. interpenduncular                              cist. crural

                                                    cist. ambiens
 acueducto de Silvio
                                                    cist. cuadrigeminal
 vermis cerebeloso




                                                    lóbulo occipital




                                                   RM axial T1 con contraste
CATEDRA DE RADIOLOGIA U.N.L.P.   Encéfalo normal                Edición 2002




                                                      nervio óptico



a. cerebral media
                                                       a. carótida interna
cisterna supraselar


cist. interpenduncular                                 pedúnculo cerebral

 acueducto de Silvio

 vermis cerebeloso


 seno transverso


                                                       lóbulo occipital




                                                   RM axial Densidad Protónica
CATEDRA DE RADIOLOGIA U.N.L.P.   Encéfalo normal            Edición 2002




                                                   nervio óptico



a. cerebral media                                  a. carótida interna
cisterna supraselar
                                                   a. cerebral posterior
cist. interpenduncular                             pedúnculo cerebral

 acueducto de Silvio

 vermis cerebeloso


 seno transverso


                                                   lóbulo occipital




                                                                   RM axial T2
CATEDRA DE RADIOLOGIA U.N.L.P.   Encéfalo normal                Edición 2002




     circunvolución supraorbitaria                        circunvolución recta


a.cerebral media
 a.silviana)                                               a. cerebral anterior

     tracto óptico
     sustancia negra
                                                          pedúnculo cerebral
     núcleo rojo
                                                          acueducto de Silvio

     lóbulo temporal                                      vermis cerebeloso




     lóbulo occipital
                                                          seno sagital superior


                                                       RM axial Densidad Protónica
CATEDRA DE RADIOLOGIA U.N.L.P.   Encéfalo normal           Edición 2002




circunvolución supraorbitaria                      circunvolución recta




a. cerebral media                                  cisterna supraselar
 tracto óptico
sustancia negra                                    cisterna interpeduncular
núcleo rojo                                        pedúnculo cerebral

                                                   acueducto de Silvio
cisterna cuadrigeminal
                                                   vermis cerebeloso
lóbulo temporal




lóbulo occipital

                                                   seno sagital superior

                                                               RM axial T2
CATEDRA DE RADIOLOGIA U.N.L.P.   Encéfalo normal                Edición 2002




                                                        lóbulo frontal

núcleo lenticular
   putamen
   globo pálido                                         ínsula
   claustro                                             III ventrículo
   cápsula externa
                                                        tálamo
   lóbulo temporal
                                                        cisterna vermiana
                                                        superior




   lóbulo occipital

                                                       seno sagital superior


                                                    RM axial Densidad Protónica
CATEDRA DE RADIOLOGIA U.N.L.P.   Encéfalo normal             Edición 2002




lóbulo frontal


                                                   cisura de Silvio

 putamen
globo pálido                                        ínsula
cápsula interna                                     III ventrículo
cápsula externa
                                                    tálamo

lóbulo temporal
                                                    cisterna vermiana
                                                    superior



                                                   asta occipital
 lóbulo occipital


                                                   seno sagital superior


                                                                 RM axial T2
CATEDRA DE RADIOLOGIA U.N.L.P.   Encéfalo normal                Edición 2002



                                                      seno frontal


lóbulo frontal




 putamen                                              cabeza del n. caudado
                                                      cápsula externa
globo pálido
cápsula interna                                       agujero de Monro
cápsula externa                                        III ventrículo
                                                       tálamo
lóbulo temporal                                       vena cerebral interna




 lóbulo occipital

                                                      seno sagital superior


                                                   RM axial Densidad Protónica
CATEDRA DE RADIOLOGIA U.N.L.P.   Encéfalo normal             Edición 2002



                                                   seno frontal


lóbulo frontal




                                                   cabeza del n. caudado
putamen
                                                   cápsula externa
globo pálido
cápsula interna                                    agujero de Monro
cápsula externa                                     III ventrículo

                                                    tálamo
lóbulo temporal                                    vena cerebral interna
atrio ventricular                                  cisterna vermiana
                                                   superior



 lóbulo occipital

                                                   seno sagital superior


                                                                  RM axial T2
CATEDRA DE RADIOLOGIA U.N.L.P.   Encéfalo normal                Edición 2002




                                                        lóbulo frontal


rodilla del c. calloso                                 asta anterior
cabeza del n. caudado
cuerpo del ventrículo                                   núcleo lenticular
lateral


cisterna del                                            tálamo
velo interpuesto
esplenium del c. calloso



                                                        cisura interhemisférica



seno sagital


                                                    RM axial Densidad Protónica
CATEDRA DE RADIOLOGIA U.N.L.P.   Encéfalo normal            Edición 2002




                                                    lóbulo frontal


rodilla del c. calloso                              asta anterior
cabeza del n. caudado
cuerpo del ventrículo                               núcleo lenticular
lateral


cisterna del                                        tálamo
velo interpuesto
esplenium del c. calloso                            atrio ventricular



                                                    cisura interhemisférica



seno sagital


                                                                 RM axial T2
CATEDRA DE RADIOLOGIA U.N.L.P.   Encéfalo normal             Edición 2002




                                                     cisura interhemisférica

   lóbulo frontal


   rodilla del c. calloso


                                                     ventrículo lateral
   septum pelucidum


                                                     esplenium del c. calloso

   lóbulo parietal




   cisura calcarina

                                                     seno sagital superior


                                                   RM axial T1 con contraste
CATEDRA DE RADIOLOGIA U.N.L.P.   Encéfalo normal           Edición 2002




                                                   cisura interhemisférica
   lóbulo frontal

   rodilla del c. calloso



                                                   ventrículo lateral
   septum pelucidum


                                                   esplenium del c. calloso

   lóbulo parietal                                 seno sagital inferior




   cisura calcarina

                                                   seno sagital superior


                                                               RM axial T2
CATEDRA DE RADIOLOGIA U.N.L.P.   Encéfalo normal             Edición 2002




                                                     cisura interhemisférica

   lóbulo frontal




   cuerpo del c. calloso                             ventrículo lateral

                                                     corona radiata



   lóbulo parietal




                                                     seno sagital superior


                                                   RM axial T1 con contraste
CATEDRA DE RADIOLOGIA U.N.L.P.   Encéfalo normal           Edición 2002




                                                   cisura interhemisférica

   lóbulo frontal




   cuerpo del c. calloso                           ventrículo lateral

                                                   corona radiata



   lóbulo parietal




                                                   seno sagital superior


                                                               RM axial T2
CATEDRA DE RADIOLOGIA U.N.L.P.   Encéfalo normal            Edición 2002




                                                     cisura interhemisférica

   lóbulo frontal




                                                     centro semioval



   lóbulo parietal




                                                     seno sagital superior


                                                   RM axial T1 con contraste
CATEDRA DE RADIOLOGIA U.N.L.P.   Encéfalo normal          Edición 2002




                                                   cisura interhemisférica

   lóbulo frontal




                                                   centro semioval



   lóbulo parietal




                                                   seno sagital superior


                                                              RM axial T2
CATEDRA DE RADIOLOGIA U.N.L.P.   Encéfalo normal             Edición 2002




   lóbulo frontal                                    circunvolución frontal
                                                     superior
   surco frontal superior

                                                     cisura interhemisférica
   circunvolución
   frontal media
                                                     centro semioval


                                                     circunvolución
   cisura de Rolando                                 precentral (motora)
    circunvolución
    postcentral
                                                     cisura calcarina



                                                     seno sagital superior



                                                   RM axial T1 con contraste
CATEDRA DE RADIOLOGIA U.N.L.P.   Encéfalo normal               Edición 2002




   lóbulo frontal                                      circunvolución frontal
                                                       superior
   surco frontal superior

                                                        cisura interhemisférica
   circunvolución
   frontal media
                                                        centro semioval


                                                        circunvolución
   cisura de Rolando                                    precentral (motora)
    circunvolución
    postcentral
                                                        cisura calcarina



                                                        seno sagital superior



                                                   RM axial Densidad Protónica
CATEDRA DE RADIOLOGIA U.N.L.P.   Encéfalo normal           Edición 2002




     lóbulo frontal                                circunvolución frontal
                                                   superior
     surco frontal superior

                                                   cisura interhemisférica
     circunvolución
     frontal media
                                                   centro semioval


                                                   circunvolución
     cisura de Rolando                             precentral (motora)
     circunvolución
     postcentral                                   cisura calcarina



                                                   seno sagital superior



                                                              RM axial T2
CATEDRA DE RADIOLOGIA U.N.L.P.   Encéfalo normal             Edición 2002




                                                   seno sagital superior


                                                   circunvolución frontal
                                                   superior
  cisura interhemisférica


                                                   circunvolución paracentral


  hoz del cerebro




                                                   seno sagital superior




                                                   RM axial T1 con contraste
CATEDRA DE RADIOLOGIA U.N.L.P.   Encéfalo normal             Edición 2002




                                                   seno sagital superior


                                                   circunvolución frontal
                                                   superior
 cisura interhemisférica


                                                   circunvolución paracentral


  hoz del cerebro




                                                   seno sagital superior




                                                                 RM axial T2
CATEDRA DE RADIOLOGIA U.N.L.P.        Encéfalo normal                                Edición 2002
                                                                  NUCLEOS DE LA BASE
cápsula interna
                                                                  núcleo caudado
brazo anterior                                                                         CUERPO
                                                   putamen                            ESTRIADO
                                                                  núcleo lenticular
rodilla                                            globo pálido

brazo posterior
                                                   tálamo




                                                                                         cisura de
                                                                                         Silvio
                              cápsula extrema
                              claustrum                                                  ínsula
                              cápsula externa
                                                                                         III ventrículo




                                                                                         cisterna
                                                                                         vermiana
                              ventrículo lateral                                         superior
CATEDRA DE RADIOLOGIA U.N.L.P.              Encéfalo normal                           Edición 2002

                                                                    REGION SELAR


                                                      tálamo



                                                      quiasma óptico
cisterna supraselar                                   tallo hipofisario
 adenohipófisis                                       neurohipófisis
 seno esfenoidal




                          seno cavernoso                                           quiasma óptico
                      •carótida interna                                            tallo hipofisario
                      •III par
                                                                                   hipófisis
                      •IV par
                      •V par (rama oftálmica
                           y maxilar superior)                                     seno esfenoidal
                      •VI par
CATEDRA DE RADIOLOGIA U.N.L.P.      Encéfalo normal                       Edición 2002

                                                            HIPOCAMPO

                                              trígono
                                              cola del hipocampo
asta temporal                                 cabeza del hipocampo
amígdala
                                              circunvolución hipocámpica
lóbulo
temporal                                                                    fornix
                                                                            III ventrículo
                                                                            amígdala
                                                                            cabeza del
                              asta temporal                                 hipocampo
                                                                            circunvolución
                                                                            hipocámpica



                                              trígono

                                              hipocampo
asta temporal
amígdala                                      circunvolución hipocámpica



                                              cerebelo
CATEDRA DE RADIOLOGIA U.N.L.P.   Encéfalo normal              Edición 2002




                                                   globo ocular




                                                   lóbulo temporal

        c.a.e.


        bulbo


                                                   cerebelo
       cisterna magna




                                                    TC axial con contraste
CATEDRA DE RADIOLOGIA U.N.L.P.   Encéfalo normal              Edición 2002




        celdilla etmoidal
                                                   nervio óptico




         clivus                                    lóbulo temporal

                                                   cisterna del ángulo
        protuberancia                              pontocerebeloso



                                                   cerebelo




         t.c.s.


                                                     TC axial con contraste
CATEDRA DE RADIOLOGIA U.N.L.P.   Encéfalo normal              Edición 2002




                                                   nervio óptico


       seno esfenoidal
                                                   lóbulo temporal
       dorso selar
       a. basilar                                  cisterna prepontina

       protuberancia                               cisterna del ángulo
                                                   pontocerebeloso

                                                   IV ventrículo
       vermis cerebeloso
                                                   cerebelo



       t.c.s.


                                                     TC axial con contraste
CATEDRA DE RADIOLOGIA U.N.L.P.   Encéfalo normal              Edición 2002




      seno frontal



                                                   lóbulo frontal




                                                   lóbulo temporal
       dorso selar
                                                   cisterna prepontina
       a. basilar
       protuberancia
       pirámide petrosa

       nódulo                                      IV ventrículo

       vermis cerebeloso
                                                   cerebelo


       t.c.s.


                                                     TC axial con contraste
CATEDRA DE RADIOLOGIA U.N.L.P.   Encéfalo normal                Edición 2002



   seno frontal




                                                   lóbulo frontal


                                                   a. cerebral anterior
   a. cerebral media
                                                   cisterna supraselar
   asta temporal
                                                   a. basilar
   a. cerebral posterior
                                                   protuberancia


   IV ventrículo

                                                   vermis cerebeloso

                                                   cerebelo




                                                       TC axial con contraste
CATEDRA DE RADIOLOGIA U.N.L.P.   Encéfalo normal              Edición 2002




    cisura interhemisférica
                                                   lóbulo frontal



                                                   cisura de Silvio
                                                    ínsula
    hipotálamo
    plexo coroideo                                 cisterna interpeduncular

                                                   pedúnculo cerebral
    asta temporal
    IV ventrículo                                  tubérculo cuadrigémino


     cerebelo                                       vermis cerebeloso


                                                   lóbulo occipital




                                                      TC axial con contraste
CATEDRA DE RADIOLOGIA U.N.L.P.   Encéfalo normal             Edición 2002




   cisura interhemisférica                         lóbulo frontal


   cabeza del n. caudado                           cisura de Silvio
                                                   ínsula
    III ventrículo
                                                   cisterna interpeduncular
   plexo coroideo
                                                   pedúnculo cerebral

   cisterna cuadrigeminal                          tubérculo cuadrigémino


   cerebelo                                        vermis cerebeloso




                                                     TC axial con contraste
CATEDRA DE RADIOLOGIA U.N.L.P.   Encéfalo normal                 Edición 2002




                                                       hoz del cerebro

   cisura interhemisférica                             lóbulo frontal

   cuerpo calloso
                                                       asta frontal
   cabeza del n. caudado
                                                       brazo anterior
   núcleo lenticular                                                     cápsula
   cápsula externa                                     rodilla           interna
                                                       brazo posterior
    III ventrículo
                                                       tálamo

   plexo coroideo


                                                       vermis cerebeloso




                                                   lóbulo occipital



                                                        TC axial con contraste
CATEDRA DE RADIOLOGIA U.N.L.P.   Encéfalo normal            Edición 2002




   cisura interhemisférica



                                                   cuerpo calloso

   ventrículo lateral                              septum pelucidum

                                                   centro semioval




   plexo coroideo                                  glándula pineal
   calcificado                                     calcificada
                                                   asta occipital
   seno longitudinal inferior




   seno longitudinal superior



                                                    TC axial con contraste
CATEDRA DE RADIOLOGIA U.N.L.P.   Encéfalo normal           Edición 2002




                                                   hoz del cerebro


   cisura interhemisférica




   ventrículo lateral                              centro semioval



  plexo coroideo




   seno longitudinal superior



                                                    TC axial con contraste
CATEDRA DE RADIOLOGIA U.N.L.P.   Encéfalo normal            Edición 2002




                                                   hoz del cerebro



  cisura interhemisférica




   ventrículo lateral                              centro semioval




   cisura interhemisférica




                                                     TC axial con contraste
CATEDRA DE RADIOLOGIA U.N.L.P.   Encéfalo normal              Edición 2002




       hoz del cerebro
                                                   lóbulo frontal



    centro semioval




                                                    lóbulo parietal




                                                      TC axial con contraste
CATEDRA DE RADIOLOGIA U.N.L.P.   Encéfalo normal               Edición 2002




                                                   lóbulo frontal




    centro semioval                                hoz del cerebro




                                                       TC axial con contraste
TOMOGRAFIA COMPUTADA            EDICION 2002




   HUESO TEMPORAL
       NORMAL

          CATEDRA DE RADIOLOGIA
       FACULTAD DE CIENCIAS MEDICAS
                   U.N.L.P
CATEDRA DE RADIOLOGIA U.N.L.P.   Hueso temporal normal        Edición 2002




 ap.pterigoides                                             vómer


 cóndilo del
                                                            clivus
 maxilar inferior




 mastoides



 sutura
 occipito-temporal
                                                         protuberancia
                                                         occipital interna
CATEDRA DE RADIOLOGIA U.N.L.P.   Hueso temporal normal              Edición 2002




                                                             seno maxilar




                                                                  conducto
                                                                  carotídeo
 conducto
 auditivo externo




                                                         protuberancia
                                                         occipital externa
trompa de Eustaquio


conducto auditivo externo




     celdillas mastoideas
eminencia piramidal
                          seno timpánico




receso del n. facial
  nervio facial (3era)
estribo (cruras)




nervio facial
ventana oval




martillo
yunque
martillo

                                           cóclea




                     yunque
                    vestíbulo

conducto semicircular externo
nervio facial




articulación yunque/martillo

  conducto auditivo interno
conducto semicircular posterior
antro mastoideo

celdillas retrolaberínticas
conducto semicircular
     superior
conducto semicircular superior
cabeza del martillo


          procidencia de meninges




cóclea
tendón tensor del tímpano




conducto carotídeo
espina supra y retrotimpánica




nervio facial (2da)
nervio facial (1era)
conducto auditivo interno



                     cresta falciforme




promontorio
nervio facial (2da)




estribo
ventana oval


membrana
timpánica
conducto semicircular
                        externo




conducto semicircular
superior
antro mastoideo

ventana redonda
nervio facial (3era)
conducto semicircular externo




conducto semicircular superior

Encéfalo con referencias

  • 1.
    TC Y RM EDICION 2002 ENCEFALO HUESO TEMPORAL CATEDRA DE RADIOLOGIA FACULTAD DE CIENCIAS MEDICAS U.N.L.P
  • 2.
    Las imágenes normalesson la base para comprender la patología macroscópica. La clínica tiene un correlato práctico directo con las alteraciones de cada una de las estructuras. Entonces, se trata de “enfermar” los distintos sectores anatómicos, para “crear” las distintas patologías. Por ejemplo a partir de los nervios ocurrirán los neurinomas,de los vasos arteriales los aneurismas,los transtornos del calibre y hasta algunos infrecuentes tumores vasculares etc.,etc. En general no existen en el cuerpo espacios vacíos. Cuando una estructura aumenta de tamaño desplaza a las vecinas de alli el enorme valor del conocimiento de las anatomía por cortes o “topográfica” como se la denominaba antes. La utilización clínica de esta metodología de examen por imágenes permite sucesivamente la detección (hallazgo), caracterización (diagnósticos diferenciales) y la estadificación (extensiones) de las alteraciones patológicas, para programar la terapéutica adecuada a cada paciente. Por último, le recomendamos buena suerte en la búsqueda de detalles y relaciones anatómicas en su práctica de la Medicina de todos los días.
  • 3.
    TC Y RM EDICION 2002 ENCEFALO NORMAL CATEDRA DE RADIOLOGIA FACULTAD DE CIENCIAS MEDICAS U.N.L.P
  • 4.
    CATEDRA DE RADIOLOGIAU.N.L.P. Encéfalo normal Edición 2002 cuerpo c. calloso rodilla c. calloso esplenium c. calloso rostrum c. calloso tálamo cuerpo mamilar cisterna cuadrigem. M hipófisis P IV ventrículo a. basilar seno esfenoidal foramen de B Magendie unión bulbo-médular cisterna magna médula cervical tronco encefálico M = mesencéfalo P = protuberancia B = bulbo RM sagital T2
  • 5.
    CATEDRA DE RADIOLOGIAU.N.L.P. Encéfalo normal Edición 2002 t.c.s. seno sagital superior diploe cuerpo c. calloso rodilla c. calloso esplenium c. calloso rostrum c. calloso tálamo tentorio cuerpo mamilar acueducto de Silvio M tallo pituitario hipófisis P IV ventrículo seno esfenoidal cerebelo clivus B amígdala cavum cerebelosa médula cervical M = mesencéfalo P = protuberancia B = bulbo RM sagital T1 con contraste
  • 6.
    CATEDRA DE RADIOLOGIAU.N.L.P. Encéfalo normal Edición 2002 t.c.s. circunvolución del cuerpo c. calloso cuerpo calloso rodilla c. calloso rostrum c. calloso tálamo tubérculos espacio mamilopontino M cuadrigéminos hipófisis tentorio P IV ventrículo seno esfenoidal clivus cerebelo B amígdala cerebelosa agujero magno médula cervical M = mesencéfalo P = protuberancia B = bulbo RM parasagital T1 con contraste
  • 7.
    CATEDRA DE RADIOLOGIAU.N.L.P. Encéfalo normal Edición 2002 lóbulo parietal cuerpo calloso ventrículo lateral lóbulo frontal tálamo lóbulo occipital P pedúnculo seno transverso cerebeloso medio cerebelo P = protuberancia RM parasagital T2
  • 8.
    CATEDRA DE RADIOLOGIAU.N.L.P. Encéfalo normal Edición 2002 lóbulo parietal cuerpo calloso ventrículo lateral lóbulo frontal cisura tálamo parietoccipital lóbulo occipital P tentorio pedúnculo cerebeloso medio cerebelo P = protuberancia RM parasagital T1 con contraste
  • 9.
    CATEDRA DE RADIOLOGIAU.N.L.P. Encéfalo normal Edición 2002 centro semioval lóbulo frontal tálamo trígono ventricular circunvolución hipocampo parahipocámpica tentorio lóbulo temporal seno transverso cerebelo RM parasagital T2
  • 10.
    CATEDRA DE RADIOLOGIAU.N.L.P. Encéfalo normal Edición 2002 t.c.s. diploe centro semioval lóbulo frontal trígono ventricular tálamo circunvolución parahipocámpica hipocampo tentorio seno transverso seno maxilar cerebelo RM parasagital T1 con contraste
  • 11.
    CATEDRA DE RADIOLOGIAU.N.L.P. Encéfalo normal Edición 2002 lóbulo parietal lóbulo frontal circunvoluciónes temporales cisura de Silvio superior seno transverso media inferior cerebelo RM parasagital T1 con contraste
  • 12.
    CATEDRA DE RADIOLOGIAU.N.L.P. Encéfalo normal Edición 2002 seno sagital superior cisura interhemisférica a. cerebral anterior lóbulo frontal circunvolución orbitaria circunvolución recta nervio óptico seno etmoidal seno maxilar RM coronal T1 con contraste
  • 13.
    CATEDRA DE RADIOLOGIAU.N.L.P. Encéfalo normal Edición 2002 seno sagital superior cisura interhemisférica lóbulo frontal a. pericallosa asta frontal a. cerebral anterior cisura de Silvio lóbulo temporal seno esfenoidal RM coronal T1 con contraste
  • 14.
    CATEDRA DE RADIOLOGIAU.N.L.P. Encéfalo normal Edición 2002 seno sagital superior cisura interhemisférica a. pericallosa lóbulo frontal cuerpo calloso asta frontal tercer ventrículo cisura de Silvio tallo hipofisario seno cavernoso hipófisis lóbulo temporal seno esfenoidal RM coronal T1 con contraste
  • 15.
    CATEDRA DE RADIOLOGIAU.N.L.P. Encéfalo normal Edición 2002 seno sagital superior cisura interhemisférica a. pericallosa centro semioval cuerpo calloso ventrículo lateral fornix III ventrículo cisura de Silvio quiasma óptico cisterna supraselar hipófisis lóbulo temporal seno esfenoidal RM coronal T1 con contraste
  • 16.
    CATEDRA DE RADIOLOGIAU.N.L.P. Encéfalo normal Edición 2002 seno sagital superior cisura interhemisférica a. pericallosa centro semioval cuerpo calloso núcleo caudado ventrículo lateral cisura de Silvio foramen de Monro hipotálamo tercer ventrículo amígdala lóbulo temporal clivus RM coronal T1 con contraste
  • 17.
    CATEDRA DE RADIOLOGIAU.N.L.P. Encéfalo normal Edición 2002 seno sagital superior cisura interhemisférica centro semioval cuerpo calloso núcleo caudado ventrículo lateral ínsula cisura de Silvio III ventrículo hipotálamo lóbulo temporal RM coronal T1 con contraste
  • 18.
    CATEDRA DE RADIOLOGIAU.N.L.P. Encéfalo normal Edición 2002 seno sagital superior cisura interhemisférica centro semioval cuerpo calloso ventrículo lateral cisura de Silvio ínsula III ventrículo fosa interpeduncular pedúnculo cerebral lóbulo temporal circunvol. del hipocampo V par c.a.i. c.a.e . RM coronal T1 con contraste
  • 19.
    CATEDRA DE RADIOLOGIAU.N.L.P. Encéfalo normal Edición 2002 seno sagital superior cisura interhemisférica centro semioval a. pericallosa ventrículo lateral ínsula cisura de Silvio III ventrículo pedúnculo cerebral circunvolución lóbulo temporal del hipocampo RM coronal T1 con contraste
  • 20.
    CATEDRA DE RADIOLOGIAU.N.L.P. Encéfalo normal Edición 2002 seno sagital superior cisura interhemisférica centro semioval cuerpo calloso ventrículo lateral cisura de Silvio acueducto de Silvio tentorio lóbulo temporal cerebelo pedúnculo cerebral medio RM coronal T1 con contraste
  • 21.
    CATEDRA DE RADIOLOGIAU.N.L.P. Encéfalo normal Edición 2002 seno sagital superior cisura interhemisférica centro semioval asta occipital tubérculo pineal cuadrigémino superior tubérculo cuadrigémino tentorio inferior cerebelo IV ventrículo seno transverso agujero magno médula cervical RM coronal T1 con contraste
  • 22.
    CATEDRA DE RADIOLOGIAU.N.L.P. Encéfalo normal Edición 2002 seno sagital superior cisura interhemisférica lóbulo parietal centro semioval seno recto asta occipital plexo coroideo lóbulo temporal tentorio seno transverso IV ventrículo cerebelo amígdala cerebelosa RM coronal T1 con contraste
  • 23.
    CATEDRA DE RADIOLOGIAU.N.L.P. Encéfalo normal Edición 2002 seno sagital superior cisura interhemisférica lóbulo parietal centro semioval asta occipital lóbulo temporal tentorio vermis cerebeloso seno transverso cerebelo RM coronal T1 con contraste
  • 24.
    CATEDRA DE RADIOLOGIAU.N.L.P. Encéfalo normal Edición 2002 seno sagital superior cisura interhemisférica lóbulo parietal centro semioval asta occipital lóbulo temporal tentorio vermis cerebeloso seno transverso cerebelo RM coronal T1 con contraste
  • 25.
    CATEDRA DE RADIOLOGIAU.N.L.P. Encéfalo normal Edición 2002 seno sagital superior cisura interhemisférica lóbulo occipital tentorio seno transverso cerebelo RM coronal T1 con contraste
  • 26.
    CATEDRA DE RADIOLOGIAU.N.L.P. Encéfalo normal Edición 2002 seno maxilar cavum clivus a. basilar unión bulbo - medular amígdala cerebelosa hemisferio cerebeloso RM axial T2
  • 27.
    CATEDRA DE RADIOLOGIAU.N.L.P. Encéfalo normal Edición 2002 seno maxilar clivus a. carótida interna bulbo seno lateral vermis cerebeloso hemisferio cerebeloso RM axial T1 con contraste
  • 28.
    CATEDRA DE RADIOLOGIAU.N.L.P. Encéfalo normal Edición 2002 seno maxilar clivus a. carótida interna bulbo vermis cerebeloso hemisferio cerebeloso RM axial Densidad Protónica
  • 29.
    CATEDRA DE RADIOLOGIAU.N.L.P. Encéfalo normal Edición 2002 seno maxilar lóbulo temporal a. carótida interna bulbo seno lateral vermis cerebeloso hemisferio cerebeloso RM axial T1 con contraste
  • 30.
    CATEDRA DE RADIOLOGIAU.N.L.P. Encéfalo normal Edición 2002 seno maxilar seno esfenoidal lóbulo temporal a. carótida interna a. basilar cóclea c.a.i. seno lateral vermis cerebeloso hemisferio cerebeloso RM axial Densidad Protónica
  • 31.
    CATEDRA DE RADIOLOGIAU.N.L.P. Encéfalo normal Edición 2002 seno maxilar seno esfenoidal lóbulo temporal a. carótida interna cóclea cisterna del ángulo vestíbulo pontocerebeloso vermis cerebeloso hemisferio cerebeloso RM axial T2
  • 32.
    CATEDRA DE RADIOLOGIAU.N.L.P. Encéfalo normal Edición 2002 seno esfenoidal lóbulo temporal a. carótida interna a. basilar protuberancia pedúnculo cerebeloso medio vermis cerebeloso hemisferio cerebeloso RM axial Densidad Protónica
  • 33.
    CATEDRA DE RADIOLOGIAU.N.L.P. Encéfalo normal Edición 2002 seno esfenoidal lóbulo temporal a. carótida interna a. basilar protuberancia cisterna del ángulo pontocerebeloso pedúnculo cerebeloso IV ventrículo medio vermis cerebeloso hemisferio cerebeloso RM axial T2
  • 34.
    CATEDRA DE RADIOLOGIAU.N.L.P. Encéfalo normal Edición 2002 hipófisis lóbulo temporal asta temporal cisterna pontina protuberancia cisterna ambiens IV ventrículo hemisferio cerebeloso lóbulo occipital seno sagital RM axial T1 con contraste
  • 35.
    CATEDRA DE RADIOLOGIAU.N.L.P. Encéfalo normal Edición 2002 hipófisis lóbulo temporal a. basilar protuberancia IV ventrículo vermis cerebeloso hemisferio cerebeloso lóbulo occipital seno sagital RM axial Densidad Protónica
  • 36.
    CATEDRA DE RADIOLOGIAU.N.L.P. Encéfalo normal Edición 2002 cristalino celdillas etmoidales hipófisis lóbulo temporal asta temporal a. basilar protuberancia cisterna ambiens IV ventrículo vermis cerebeloso hemisferio cerebeloso lóbulo occipital seno sagital RM axial T2
  • 37.
    CATEDRA DE RADIOLOGIAU.N.L.P. Encéfalo normal Edición 2002 nervio óptico a. cerebral media tallo hipofisario cist.supraselar cist. interpenduncular cist. crural cist. ambiens acueducto de Silvio cist. cuadrigeminal vermis cerebeloso lóbulo occipital RM axial T1 con contraste
  • 38.
    CATEDRA DE RADIOLOGIAU.N.L.P. Encéfalo normal Edición 2002 nervio óptico a. cerebral media a. carótida interna cisterna supraselar cist. interpenduncular pedúnculo cerebral acueducto de Silvio vermis cerebeloso lóbulo occipital RM axial Densidad Protónica
  • 39.
    CATEDRA DE RADIOLOGIAU.N.L.P. Encéfalo normal Edición 2002 nervio óptico a. cerebral media a. carótida interna cisterna supraselar a. cerebral posterior cist. interpenduncular pedúnculo cerebral acueducto de Silvio vermis cerebeloso lóbulo occipital RM axial T2
  • 40.
    CATEDRA DE RADIOLOGIAU.N.L.P. Encéfalo normal Edición 2002 circunvolución supraorbitaria circunvolución recta a.cerebral media a.silviana) a. cerebral anterior tracto óptico sustancia negra pedúnculo cerebral núcleo rojo acueducto de Silvio lóbulo temporal vermis cerebeloso lóbulo occipital seno sagital superior RM axial Densidad Protónica
  • 41.
    CATEDRA DE RADIOLOGIAU.N.L.P. Encéfalo normal Edición 2002 circunvolución supraorbitaria circunvolución recta a. cerebral media cisterna supraselar tracto óptico sustancia negra cisterna interpeduncular núcleo rojo pedúnculo cerebral acueducto de Silvio cisterna cuadrigeminal vermis cerebeloso lóbulo temporal lóbulo occipital seno sagital superior RM axial T2
  • 42.
    CATEDRA DE RADIOLOGIAU.N.L.P. Encéfalo normal Edición 2002 lóbulo frontal núcleo lenticular putamen globo pálido ínsula claustro III ventrículo cápsula externa tálamo lóbulo temporal cisterna vermiana superior lóbulo occipital seno sagital superior RM axial Densidad Protónica
  • 43.
    CATEDRA DE RADIOLOGIAU.N.L.P. Encéfalo normal Edición 2002 lóbulo frontal cisura de Silvio putamen globo pálido ínsula cápsula interna III ventrículo cápsula externa tálamo lóbulo temporal cisterna vermiana superior asta occipital lóbulo occipital seno sagital superior RM axial T2
  • 44.
    CATEDRA DE RADIOLOGIAU.N.L.P. Encéfalo normal Edición 2002 seno frontal lóbulo frontal putamen cabeza del n. caudado cápsula externa globo pálido cápsula interna agujero de Monro cápsula externa III ventrículo tálamo lóbulo temporal vena cerebral interna lóbulo occipital seno sagital superior RM axial Densidad Protónica
  • 45.
    CATEDRA DE RADIOLOGIAU.N.L.P. Encéfalo normal Edición 2002 seno frontal lóbulo frontal cabeza del n. caudado putamen cápsula externa globo pálido cápsula interna agujero de Monro cápsula externa III ventrículo tálamo lóbulo temporal vena cerebral interna atrio ventricular cisterna vermiana superior lóbulo occipital seno sagital superior RM axial T2
  • 46.
    CATEDRA DE RADIOLOGIAU.N.L.P. Encéfalo normal Edición 2002 lóbulo frontal rodilla del c. calloso asta anterior cabeza del n. caudado cuerpo del ventrículo núcleo lenticular lateral cisterna del tálamo velo interpuesto esplenium del c. calloso cisura interhemisférica seno sagital RM axial Densidad Protónica
  • 47.
    CATEDRA DE RADIOLOGIAU.N.L.P. Encéfalo normal Edición 2002 lóbulo frontal rodilla del c. calloso asta anterior cabeza del n. caudado cuerpo del ventrículo núcleo lenticular lateral cisterna del tálamo velo interpuesto esplenium del c. calloso cisura interhemisférica seno sagital RM axial T2
  • 48.
    CATEDRA DE RADIOLOGIAU.N.L.P. Encéfalo normal Edición 2002 cisura interhemisférica lóbulo frontal rodilla del c. calloso ventrículo lateral septum pelucidum esplenium del c. calloso lóbulo parietal cisura calcarina seno sagital superior RM axial T1 con contraste
  • 49.
    CATEDRA DE RADIOLOGIAU.N.L.P. Encéfalo normal Edición 2002 cisura interhemisférica lóbulo frontal rodilla del c. calloso ventrículo lateral septum pelucidum esplenium del c. calloso lóbulo parietal seno sagital inferior cisura calcarina seno sagital superior RM axial T2
  • 50.
    CATEDRA DE RADIOLOGIAU.N.L.P. Encéfalo normal Edición 2002 cisura interhemisférica lóbulo frontal cuerpo del c. calloso ventrículo lateral corona radiata lóbulo parietal seno sagital superior RM axial T1 con contraste
  • 51.
    CATEDRA DE RADIOLOGIAU.N.L.P. Encéfalo normal Edición 2002 cisura interhemisférica lóbulo frontal cuerpo del c. calloso ventrículo lateral corona radiata lóbulo parietal seno sagital superior RM axial T2
  • 52.
    CATEDRA DE RADIOLOGIAU.N.L.P. Encéfalo normal Edición 2002 cisura interhemisférica lóbulo frontal centro semioval lóbulo parietal seno sagital superior RM axial T1 con contraste
  • 53.
    CATEDRA DE RADIOLOGIAU.N.L.P. Encéfalo normal Edición 2002 cisura interhemisférica lóbulo frontal centro semioval lóbulo parietal seno sagital superior RM axial T2
  • 54.
    CATEDRA DE RADIOLOGIAU.N.L.P. Encéfalo normal Edición 2002 lóbulo frontal circunvolución frontal superior surco frontal superior cisura interhemisférica circunvolución frontal media centro semioval circunvolución cisura de Rolando precentral (motora) circunvolución postcentral cisura calcarina seno sagital superior RM axial T1 con contraste
  • 55.
    CATEDRA DE RADIOLOGIAU.N.L.P. Encéfalo normal Edición 2002 lóbulo frontal circunvolución frontal superior surco frontal superior cisura interhemisférica circunvolución frontal media centro semioval circunvolución cisura de Rolando precentral (motora) circunvolución postcentral cisura calcarina seno sagital superior RM axial Densidad Protónica
  • 56.
    CATEDRA DE RADIOLOGIAU.N.L.P. Encéfalo normal Edición 2002 lóbulo frontal circunvolución frontal superior surco frontal superior cisura interhemisférica circunvolución frontal media centro semioval circunvolución cisura de Rolando precentral (motora) circunvolución postcentral cisura calcarina seno sagital superior RM axial T2
  • 57.
    CATEDRA DE RADIOLOGIAU.N.L.P. Encéfalo normal Edición 2002 seno sagital superior circunvolución frontal superior cisura interhemisférica circunvolución paracentral hoz del cerebro seno sagital superior RM axial T1 con contraste
  • 58.
    CATEDRA DE RADIOLOGIAU.N.L.P. Encéfalo normal Edición 2002 seno sagital superior circunvolución frontal superior cisura interhemisférica circunvolución paracentral hoz del cerebro seno sagital superior RM axial T2
  • 59.
    CATEDRA DE RADIOLOGIAU.N.L.P. Encéfalo normal Edición 2002 NUCLEOS DE LA BASE cápsula interna núcleo caudado brazo anterior CUERPO putamen ESTRIADO núcleo lenticular rodilla globo pálido brazo posterior tálamo cisura de Silvio cápsula extrema claustrum ínsula cápsula externa III ventrículo cisterna vermiana ventrículo lateral superior
  • 60.
    CATEDRA DE RADIOLOGIAU.N.L.P. Encéfalo normal Edición 2002 REGION SELAR tálamo quiasma óptico cisterna supraselar tallo hipofisario adenohipófisis neurohipófisis seno esfenoidal seno cavernoso quiasma óptico •carótida interna tallo hipofisario •III par hipófisis •IV par •V par (rama oftálmica y maxilar superior) seno esfenoidal •VI par
  • 61.
    CATEDRA DE RADIOLOGIAU.N.L.P. Encéfalo normal Edición 2002 HIPOCAMPO trígono cola del hipocampo asta temporal cabeza del hipocampo amígdala circunvolución hipocámpica lóbulo temporal fornix III ventrículo amígdala cabeza del asta temporal hipocampo circunvolución hipocámpica trígono hipocampo asta temporal amígdala circunvolución hipocámpica cerebelo
  • 62.
    CATEDRA DE RADIOLOGIAU.N.L.P. Encéfalo normal Edición 2002 globo ocular lóbulo temporal c.a.e. bulbo cerebelo cisterna magna TC axial con contraste
  • 63.
    CATEDRA DE RADIOLOGIAU.N.L.P. Encéfalo normal Edición 2002 celdilla etmoidal nervio óptico clivus lóbulo temporal cisterna del ángulo protuberancia pontocerebeloso cerebelo t.c.s. TC axial con contraste
  • 64.
    CATEDRA DE RADIOLOGIAU.N.L.P. Encéfalo normal Edición 2002 seno esfenoidal lóbulo temporal dorso selar a. basilar cisterna prepontina protuberancia cisterna del ángulo pontocerebeloso IV ventrículo vermis cerebeloso cerebelo t.c.s. TC axial con contraste
  • 65.
    CATEDRA DE RADIOLOGIAU.N.L.P. Encéfalo normal Edición 2002 seno frontal lóbulo frontal lóbulo temporal dorso selar cisterna prepontina a. basilar protuberancia pirámide petrosa nódulo IV ventrículo vermis cerebeloso cerebelo t.c.s. TC axial con contraste
  • 66.
    CATEDRA DE RADIOLOGIAU.N.L.P. Encéfalo normal Edición 2002 seno frontal lóbulo frontal a. cerebral anterior a. cerebral media cisterna supraselar asta temporal a. basilar a. cerebral posterior protuberancia IV ventrículo vermis cerebeloso cerebelo TC axial con contraste
  • 67.
    CATEDRA DE RADIOLOGIAU.N.L.P. Encéfalo normal Edición 2002 cisura interhemisférica lóbulo frontal cisura de Silvio ínsula hipotálamo plexo coroideo cisterna interpeduncular pedúnculo cerebral asta temporal IV ventrículo tubérculo cuadrigémino cerebelo vermis cerebeloso lóbulo occipital TC axial con contraste
  • 68.
    CATEDRA DE RADIOLOGIAU.N.L.P. Encéfalo normal Edición 2002 cisura interhemisférica lóbulo frontal cabeza del n. caudado cisura de Silvio ínsula III ventrículo cisterna interpeduncular plexo coroideo pedúnculo cerebral cisterna cuadrigeminal tubérculo cuadrigémino cerebelo vermis cerebeloso TC axial con contraste
  • 69.
    CATEDRA DE RADIOLOGIAU.N.L.P. Encéfalo normal Edición 2002 hoz del cerebro cisura interhemisférica lóbulo frontal cuerpo calloso asta frontal cabeza del n. caudado brazo anterior núcleo lenticular cápsula cápsula externa rodilla interna brazo posterior III ventrículo tálamo plexo coroideo vermis cerebeloso lóbulo occipital TC axial con contraste
  • 70.
    CATEDRA DE RADIOLOGIAU.N.L.P. Encéfalo normal Edición 2002 cisura interhemisférica cuerpo calloso ventrículo lateral septum pelucidum centro semioval plexo coroideo glándula pineal calcificado calcificada asta occipital seno longitudinal inferior seno longitudinal superior TC axial con contraste
  • 71.
    CATEDRA DE RADIOLOGIAU.N.L.P. Encéfalo normal Edición 2002 hoz del cerebro cisura interhemisférica ventrículo lateral centro semioval plexo coroideo seno longitudinal superior TC axial con contraste
  • 72.
    CATEDRA DE RADIOLOGIAU.N.L.P. Encéfalo normal Edición 2002 hoz del cerebro cisura interhemisférica ventrículo lateral centro semioval cisura interhemisférica TC axial con contraste
  • 73.
    CATEDRA DE RADIOLOGIAU.N.L.P. Encéfalo normal Edición 2002 hoz del cerebro lóbulo frontal centro semioval lóbulo parietal TC axial con contraste
  • 74.
    CATEDRA DE RADIOLOGIAU.N.L.P. Encéfalo normal Edición 2002 lóbulo frontal centro semioval hoz del cerebro TC axial con contraste
  • 75.
    TOMOGRAFIA COMPUTADA EDICION 2002 HUESO TEMPORAL NORMAL CATEDRA DE RADIOLOGIA FACULTAD DE CIENCIAS MEDICAS U.N.L.P
  • 76.
    CATEDRA DE RADIOLOGIAU.N.L.P. Hueso temporal normal Edición 2002 ap.pterigoides vómer cóndilo del clivus maxilar inferior mastoides sutura occipito-temporal protuberancia occipital interna
  • 77.
    CATEDRA DE RADIOLOGIAU.N.L.P. Hueso temporal normal Edición 2002 seno maxilar conducto carotídeo conducto auditivo externo protuberancia occipital externa
  • 78.
    trompa de Eustaquio conductoauditivo externo celdillas mastoideas
  • 79.
    eminencia piramidal seno timpánico receso del n. facial nervio facial (3era)
  • 80.
  • 81.
  • 82.
    martillo cóclea yunque vestíbulo conducto semicircular externo
  • 83.
  • 84.
  • 85.
  • 86.
  • 87.
  • 88.
    cabeza del martillo procidencia de meninges cóclea
  • 89.
    tendón tensor deltímpano conducto carotídeo
  • 90.
    espina supra yretrotimpánica nervio facial (2da)
  • 91.
  • 92.
    conducto auditivo interno cresta falciforme promontorio
  • 93.
  • 94.
  • 95.
    conducto semicircular externo conducto semicircular superior
  • 96.
  • 97.
  • 98.
  • 99.
    A continuación encontrarálas mismas imágenes revisadas hasta ahora, las cuales se presentan, inicialmente, sin las referencias con el fin de utilizarlas a manera de repaso. Haciendo un click con el botón izquierdo del mouse u oprimiendo el botón “page down” (av. pág), podrá corroborar la correspondencia con las referencias originales.
  • 100.
    TC Y RM EDICION 2002 ENCEFALO NORMAL CATEDRA DE RADIOLOGIA FACULTAD DE CIENCIAS MEDICAS U.N.L.P
  • 101.
    CATEDRA DE RADIOLOGIAU.N.L.P. Encéfalo normal Edición 2002 cuerpo c. calloso rodilla c. calloso esplenium c. calloso rostrum c. calloso tálamo cuerpo mamilar cisterna cuadrigem. M hipófisis P IV ventrículo a. basilar seno esfenoidal foramen de B Magendie unión bulbo-médular cisterna magna médula cervical tronco encefálico M = mesencéfalo P = protuberancia B = bulbo RM sagital T2
  • 102.
    CATEDRA DE RADIOLOGIAU.N.L.P. Encéfalo normal Edición 2002 t.c.s. seno sagital superior diploe cuerpo c. calloso rodilla c. calloso esplenium c. calloso rostrum c. calloso tálamo tentorio cuerpo mamilar acueducto de Silvio M tallo pituitario hipófisis P IV ventrículo seno esfenoidal cerebelo clivus B amígdala cavum cerebelosa médula cervical M = mesencéfalo P = protuberancia B = bulbo RM sagital T1 con contraste
  • 103.
    CATEDRA DE RADIOLOGIAU.N.L.P. Encéfalo normal Edición 2002 t.c.s. circunvolución del cuerpo c. calloso cuerpo calloso rodilla c. calloso rostrum c. calloso tálamo tubérculos espacio mamilopontino M cuadrigéminos hipófisis tentorio P IV ventrículo seno esfenoidal clivus cerebelo B amígdala cerebelosa agujero magno médula cervical M = mesencéfalo P = protuberancia B = bulbo RM parasagital T1 con contraste
  • 104.
    CATEDRA DE RADIOLOGIAU.N.L.P. Encéfalo normal Edición 2002 lóbulo parietal cuerpo calloso ventrículo lateral lóbulo frontal tálamo lóbulo occipital P pedúnculo seno transverso cerebeloso medio cerebelo P = protuberancia RM parasagital T2
  • 105.
    CATEDRA DE RADIOLOGIAU.N.L.P. Encéfalo normal Edición 2002 lóbulo parietal cuerpo calloso ventrículo lateral lóbulo frontal cisura tálamo parietoccipital lóbulo occipital P tentorio pedúnculo cerebeloso medio cerebelo P = protuberancia RM parasagital T1 con contraste
  • 106.
    CATEDRA DE RADIOLOGIAU.N.L.P. Encéfalo normal Edición 2002 centro semioval lóbulo frontal tálamo trígono ventricular circunvolución hipocampo parahipocámpica tentorio lóbulo temporal seno transverso cerebelo RM parasagital T2
  • 107.
    CATEDRA DE RADIOLOGIAU.N.L.P. Encéfalo normal Edición 2002 t.c.s. diploe centro semioval lóbulo frontal trígono ventricular tálamo circunvolución parahipocámpica hipocampo tentorio seno transverso seno maxilar cerebelo RM parasagital T1 con contraste
  • 108.
    CATEDRA DE RADIOLOGIAU.N.L.P. Encéfalo normal Edición 2002 lóbulo parietal lóbulo frontal circunvoluciones temporales cisura de Silvio superior seno transverso media inferior cerebelo RM parasagital T1 con contraste
  • 109.
    CATEDRA DE RADIOLOGIAU.N.L.P. Encéfalo normal Edición 2002 seno sagital superior cisura interhemisférica a. cerebral anterior lóbulo frontal circunvolución orbitaria circunvolución recta nervio óptico seno etmoidal seno maxilar RM coronal T1 con contraste
  • 110.
    CATEDRA DE RADIOLOGIAU.N.L.P. Encéfalo normal Edición 2002 seno sagital superior cisura interhemisférica lóbulo frontal a. pericallosa asta frontal a. cerebral anterior cisura de Silvio lóbulo temporal seno esfenoidal RM coronal T1 con contraste
  • 111.
    CATEDRA DE RADIOLOGIAU.N.L.P. Encéfalo normal Edición 2002 seno sagital superior cisura interhemisférica a. pericallosa lóbulo frontal cuerpo calloso asta frontal tercer ventrículo cisura de Silvio tallo hipofisario seno cavernoso hipófisis lóbulo temporal seno esfenoidal RM coronal T1 con contraste
  • 112.
    CATEDRA DE RADIOLOGIAU.N.L.P. Encéfalo normal Edición 2002 seno sagital superior cisura interhemisférica a. pericallosa centro semioval cuerpo calloso ventrículo lateral fornix III ventrículo cisura de Silvio quiasma óptico cisterna supraselar hipófisis lóbulo temporal seno esfenoidal RM coronal T1 con contraste
  • 113.
    CATEDRA DE RADIOLOGIAU.N.L.P. Encéfalo normal Edición 2002 seno sagital superior cisura interhemisférica a. pericallosa centro semioval cuerpo calloso núcleo caudado ventrículo lateral cisura de Silvio foramen de Monro hipotálamo tercer ventrículo amígdala lóbulo temporal clivus RM coronal T1 con contraste
  • 114.
    CATEDRA DE RADIOLOGIAU.N.L.P. Encéfalo normal Edición 2002 seno sagital superior cisura interhemisférica centro semioval cuerpo calloso núcleo caudado ventrículo lateral ínsula cisura de Silvio III ventrículo hipotálamo lóbulo temporal RM coronal T1 con contraste
  • 115.
    CATEDRA DE RADIOLOGIAU.N.L.P. Encéfalo normal Edición 2002 seno sagital superior cisura interhemisférica centro semioval cuerpo calloso ventrículo lateral cisura de Silvio ínsula III ventrículo fosa interpeduncular pedúnculo cerebral lóbulo temporal circunvol. del hipocampo V par c.a.i. c.a.e . RM coronal T1 con contraste
  • 116.
    CATEDRA DE RADIOLOGIAU.N.L.P. Encéfalo normal Edición 2002 seno sagital superior cisura interhemisférica centro semioval a. pericallosa ventrículo lateral ínsula cisura de Silvio III ventrículo pedúnculo cerebral circunvolución lóbulo temporal del hipocampo RM coronal T1 con contraste
  • 117.
    CATEDRA DE RADIOLOGIAU.N.L.P. Encéfalo normal Edición 2002 seno sagital superior cisura interhemisférica centro semioval cuerpo calloso ventrículo lateral cisura de Silvio acueducto de Silvio tentorio lóbulo temporal cerebelo pedúnculo cerebral medio RM coronal T1 con contraste
  • 118.
    CATEDRA DE RADIOLOGIAU.N.L.P. Encéfalo normal Edición 2002 seno sagital superior cisura interhemisférica centro semioval asta occipital tubérculo pineal cuadrigémino superior tubérculo cuadrigémino tentorio inferior cerebelo IV ventrículo seno transverso foramen de Magendie agujero magno médula cervical RM coronal T1 con contraste
  • 119.
    CATEDRA DE RADIOLOGIAU.N.L.P. Encéfalo normal Edición 2002 seno sagital superior cisura interhemisférica lóbulo parietal centro semioval seno recto asta occipital plexo coroideo lóbulo temporal tentorio seno transverso IV ventrículo cerebelo amígdala cerebelosa RM coronal T1 con contraste
  • 120.
    CATEDRA DE RADIOLOGIAU.N.L.P. Encéfalo normal Edición 2002 seno sagital superior cisura interhemisférica lóbulo parietal centro semioval asta occipital lóbulo temporal tentorio vermis cerebeloso seno transverso cerebelo RM coronal T1 con contraste
  • 121.
    CATEDRA DE RADIOLOGIAU.N.L.P. Encéfalo normal Edición 2002 seno sagital superior cisura interhemisférica lóbulo parietal centro semioval asta occipital lóbulo temporal tentorio vermis cerebeloso seno transverso cerebelo RM coronal T1 con contraste
  • 122.
    CATEDRA DE RADIOLOGIAU.N.L.P. Encéfalo normal Edición 2002 seno sagital superior cisura interhemisférica lóbulo occipital tentorio seno transverso cerebelo RM coronal T1 con contraste
  • 123.
    CATEDRA DE RADIOLOGIAU.N.L.P. Encéfalo normal Edición 2002 seno maxilar cavum clivus a. basilar unión bulbo - médular amígdala cerebelosa hemisferio cerebeloso RM axial T2
  • 124.
    CATEDRA DE RADIOLOGIAU.N.L.P. Encéfalo normal Edición 2002 seno maxilar clivus a. carótida interna bulbo seno lateral vermis cerebeloso hemisferio cerebeloso RM axial T1 con contraste
  • 125.
    CATEDRA DE RADIOLOGIAU.N.L.P. Encéfalo normal Edición 2002 seno maxilar clivus a. carótida interna bulbo vermis cerebeloso hemisferio cerebeloso RM axial Densidad Protónica
  • 126.
    CATEDRA DE RADIOLOGIAU.N.L.P. Encéfalo normal Edición 2002 seno maxilar lóbulo temporal a. carótida interna bulbo seno lateral vermis cerebeloso hemisferio cerebeloso RM axial T1 con contraste
  • 127.
    CATEDRA DE RADIOLOGIAU.N.L.P. Encéfalo normal Edición 2002 seno maxilar seno esfenoidal lóbulo temporal a. carótida interna a. basilar cóclea c.a.i. vermis cerebeloso hemisferio cerebeloso RM axial Densidad Protónica
  • 128.
    CATEDRA DE RADIOLOGIAU.N.L.P. Encéfalo normal Edición 2002 seno maxilar seno esfenoidal lóbulo temporal a. carótida interna cóclea cisterna del ángulo vestíbulo pontocerebeloso vermis cerebeloso hemisferio cerebeloso RM axial T2
  • 129.
    CATEDRA DE RADIOLOGIAU.N.L.P. Encéfalo normal Edición 2002 seno esfenoidal lóbulo temporal a. carótida interna a. basilar protuberancia pedúnculo cerebeloso medio seno lateral vermis cerebeloso hemisferio cerebeloso RM axial Densidad Protónica
  • 130.
    CATEDRA DE RADIOLOGIAU.N.L.P. Encéfalo normal Edición 2002 seno esfenoidal lóbulo temporal a. carótida interna a. basilar protuberancia cisterna del ángulo pontocerebeloso pedúnculo cerebeloso IV ventrículo medio vermis cerebeloso hemisferio cerebeloso RM axial T2
  • 131.
    CATEDRA DE RADIOLOGIAU.N.L.P. Encéfalo normal Edición 2002 hipófisis lóbulo temporal asta temporal cisterna pontina protuberancia cisterna ambiens IV ventrículo hemisferio cerebeloso lóbulo occipital seno sagital RM axial T1 con contraste
  • 132.
    CATEDRA DE RADIOLOGIAU.N.L.P. Encéfalo normal Edición 2002 hipófisis lóbulo temporal a. basilar protuberancia IV ventrículo vermis cerebeloso hemisferio cerebeloso lóbulo occipital seno sagital RM axial Densidad Protónica
  • 133.
    CATEDRA DE RADIOLOGIAU.N.L.P. Encéfalo normal Edición 2002 cristalino celdillas etmoidales hipófisis lóbulo temporal asta temporal a. basilar protuberancia cisterna ambiens IV ventrículo vermis cerebeloso hemisferio cerebeloso lóbulo occipital seno sagital RM axial T2
  • 134.
    CATEDRA DE RADIOLOGIAU.N.L.P. Encéfalo normal Edición 2002 nervio óptico a. cerebral media tallo hipofisario cist.supraselar cist. interpenduncular cist. crural cist. ambiens acueducto de Silvio cist. cuadrigeminal vermis cerebeloso lóbulo occipital RM axial T1 con contraste
  • 135.
    CATEDRA DE RADIOLOGIAU.N.L.P. Encéfalo normal Edición 2002 nervio óptico a. cerebral media a. carótida interna cisterna supraselar cist. interpenduncular pedúnculo cerebral acueducto de Silvio vermis cerebeloso seno transverso lóbulo occipital RM axial Densidad Protónica
  • 136.
    CATEDRA DE RADIOLOGIAU.N.L.P. Encéfalo normal Edición 2002 nervio óptico a. cerebral media a. carótida interna cisterna supraselar a. cerebral posterior cist. interpenduncular pedúnculo cerebral acueducto de Silvio vermis cerebeloso seno transverso lóbulo occipital RM axial T2
  • 137.
    CATEDRA DE RADIOLOGIAU.N.L.P. Encéfalo normal Edición 2002 circunvolución supraorbitaria circunvolución recta a.cerebral media a.silviana) a. cerebral anterior tracto óptico sustancia negra pedúnculo cerebral núcleo rojo acueducto de Silvio lóbulo temporal vermis cerebeloso lóbulo occipital seno sagital superior RM axial Densidad Protónica
  • 138.
    CATEDRA DE RADIOLOGIAU.N.L.P. Encéfalo normal Edición 2002 circunvolución supraorbitaria circunvolución recta a. cerebral media cisterna supraselar tracto óptico sustancia negra cisterna interpeduncular núcleo rojo pedúnculo cerebral acueducto de Silvio cisterna cuadrigeminal vermis cerebeloso lóbulo temporal lóbulo occipital seno sagital superior RM axial T2
  • 139.
    CATEDRA DE RADIOLOGIAU.N.L.P. Encéfalo normal Edición 2002 lóbulo frontal núcleo lenticular putamen globo pálido ínsula claustro III ventrículo cápsula externa tálamo lóbulo temporal cisterna vermiana superior lóbulo occipital seno sagital superior RM axial Densidad Protónica
  • 140.
    CATEDRA DE RADIOLOGIAU.N.L.P. Encéfalo normal Edición 2002 lóbulo frontal cisura de Silvio putamen globo pálido ínsula cápsula interna III ventrículo cápsula externa tálamo lóbulo temporal cisterna vermiana superior asta occipital lóbulo occipital seno sagital superior RM axial T2
  • 141.
    CATEDRA DE RADIOLOGIAU.N.L.P. Encéfalo normal Edición 2002 seno frontal lóbulo frontal putamen cabeza del n. caudado cápsula externa globo pálido cápsula interna agujero de Monro cápsula externa III ventrículo tálamo lóbulo temporal vena cerebral interna lóbulo occipital seno sagital superior RM axial Densidad Protónica
  • 142.
    CATEDRA DE RADIOLOGIAU.N.L.P. Encéfalo normal Edición 2002 seno frontal lóbulo frontal cabeza del n. caudado putamen cápsula externa globo pálido cápsula interna agujero de Monro cápsula externa III ventrículo tálamo lóbulo temporal vena cerebral interna atrio ventricular cisterna vermiana superior lóbulo occipital seno sagital superior RM axial T2
  • 143.
    CATEDRA DE RADIOLOGIAU.N.L.P. Encéfalo normal Edición 2002 lóbulo frontal rodilla del c. calloso asta anterior cabeza del n. caudado cuerpo del ventrículo núcleo lenticular lateral cisterna del tálamo velo interpuesto esplenium del c. calloso cisura interhemisférica seno sagital RM axial Densidad Protónica
  • 144.
    CATEDRA DE RADIOLOGIAU.N.L.P. Encéfalo normal Edición 2002 lóbulo frontal rodilla del c. calloso asta anterior cabeza del n. caudado cuerpo del ventrículo núcleo lenticular lateral cisterna del tálamo velo interpuesto esplenium del c. calloso atrio ventricular cisura interhemisférica seno sagital RM axial T2
  • 145.
    CATEDRA DE RADIOLOGIAU.N.L.P. Encéfalo normal Edición 2002 cisura interhemisférica lóbulo frontal rodilla del c. calloso ventrículo lateral septum pelucidum esplenium del c. calloso lóbulo parietal cisura calcarina seno sagital superior RM axial T1 con contraste
  • 146.
    CATEDRA DE RADIOLOGIAU.N.L.P. Encéfalo normal Edición 2002 cisura interhemisférica lóbulo frontal rodilla del c. calloso ventrículo lateral septum pelucidum esplenium del c. calloso lóbulo parietal seno sagital inferior cisura calcarina seno sagital superior RM axial T2
  • 147.
    CATEDRA DE RADIOLOGIAU.N.L.P. Encéfalo normal Edición 2002 cisura interhemisférica lóbulo frontal cuerpo del c. calloso ventrículo lateral corona radiata lóbulo parietal seno sagital superior RM axial T1 con contraste
  • 148.
    CATEDRA DE RADIOLOGIAU.N.L.P. Encéfalo normal Edición 2002 cisura interhemisférica lóbulo frontal cuerpo del c. calloso ventrículo lateral corona radiata lóbulo parietal seno sagital superior RM axial T2
  • 149.
    CATEDRA DE RADIOLOGIAU.N.L.P. Encéfalo normal Edición 2002 cisura interhemisférica lóbulo frontal centro semioval lóbulo parietal seno sagital superior RM axial T1 con contraste
  • 150.
    CATEDRA DE RADIOLOGIAU.N.L.P. Encéfalo normal Edición 2002 cisura interhemisférica lóbulo frontal centro semioval lóbulo parietal seno sagital superior RM axial T2
  • 151.
    CATEDRA DE RADIOLOGIAU.N.L.P. Encéfalo normal Edición 2002 lóbulo frontal circunvolución frontal superior surco frontal superior cisura interhemisférica circunvolución frontal media centro semioval circunvolución cisura de Rolando precentral (motora) circunvolución postcentral cisura calcarina seno sagital superior RM axial T1 con contraste
  • 152.
    CATEDRA DE RADIOLOGIAU.N.L.P. Encéfalo normal Edición 2002 lóbulo frontal circunvolución frontal superior surco frontal superior cisura interhemisférica circunvolución frontal media centro semioval circunvolución cisura de Rolando precentral (motora) circunvolución postcentral cisura calcarina seno sagital superior RM axial Densidad Protónica
  • 153.
    CATEDRA DE RADIOLOGIAU.N.L.P. Encéfalo normal Edición 2002 lóbulo frontal circunvolución frontal superior surco frontal superior cisura interhemisférica circunvolución frontal media centro semioval circunvolución cisura de Rolando precentral (motora) circunvolución postcentral cisura calcarina seno sagital superior RM axial T2
  • 154.
    CATEDRA DE RADIOLOGIAU.N.L.P. Encéfalo normal Edición 2002 seno sagital superior circunvolución frontal superior cisura interhemisférica circunvolución paracentral hoz del cerebro seno sagital superior RM axial T1 con contraste
  • 155.
    CATEDRA DE RADIOLOGIAU.N.L.P. Encéfalo normal Edición 2002 seno sagital superior circunvolución frontal superior cisura interhemisférica circunvolución paracentral hoz del cerebro seno sagital superior RM axial T2
  • 156.
    CATEDRA DE RADIOLOGIAU.N.L.P. Encéfalo normal Edición 2002 NUCLEOS DE LA BASE cápsula interna núcleo caudado brazo anterior CUERPO putamen ESTRIADO núcleo lenticular rodilla globo pálido brazo posterior tálamo cisura de Silvio cápsula extrema claustrum ínsula cápsula externa III ventrículo cisterna vermiana ventrículo lateral superior
  • 157.
    CATEDRA DE RADIOLOGIAU.N.L.P. Encéfalo normal Edición 2002 REGION SELAR tálamo quiasma óptico cisterna supraselar tallo hipofisario adenohipófisis neurohipófisis seno esfenoidal seno cavernoso quiasma óptico •carótida interna tallo hipofisario •III par hipófisis •IV par •V par (rama oftálmica y maxilar superior) seno esfenoidal •VI par
  • 158.
    CATEDRA DE RADIOLOGIAU.N.L.P. Encéfalo normal Edición 2002 HIPOCAMPO trígono cola del hipocampo asta temporal cabeza del hipocampo amígdala circunvolución hipocámpica lóbulo temporal fornix III ventrículo amígdala cabeza del asta temporal hipocampo circunvolución hipocámpica trígono hipocampo asta temporal amígdala circunvolución hipocámpica cerebelo
  • 159.
    CATEDRA DE RADIOLOGIAU.N.L.P. Encéfalo normal Edición 2002 globo ocular lóbulo temporal c.a.e. bulbo cerebelo cisterna magna TC axial con contraste
  • 160.
    CATEDRA DE RADIOLOGIAU.N.L.P. Encéfalo normal Edición 2002 celdilla etmoidal nervio óptico clivus lóbulo temporal cisterna del ángulo protuberancia pontocerebeloso cerebelo t.c.s. TC axial con contraste
  • 161.
    CATEDRA DE RADIOLOGIAU.N.L.P. Encéfalo normal Edición 2002 nervio óptico seno esfenoidal lóbulo temporal dorso selar a. basilar cisterna prepontina protuberancia cisterna del ángulo pontocerebeloso IV ventrículo vermis cerebeloso cerebelo t.c.s. TC axial con contraste
  • 162.
    CATEDRA DE RADIOLOGIAU.N.L.P. Encéfalo normal Edición 2002 seno frontal lóbulo frontal lóbulo temporal dorso selar cisterna prepontina a. basilar protuberancia pirámide petrosa nódulo IV ventrículo vermis cerebeloso cerebelo t.c.s. TC axial con contraste
  • 163.
    CATEDRA DE RADIOLOGIAU.N.L.P. Encéfalo normal Edición 2002 seno frontal lóbulo frontal a. cerebral anterior a. cerebral media cisterna supraselar asta temporal a. basilar a. cerebral posterior protuberancia IV ventrículo vermis cerebeloso cerebelo TC axial con contraste
  • 164.
    CATEDRA DE RADIOLOGIAU.N.L.P. Encéfalo normal Edición 2002 cisura interhemisférica lóbulo frontal cisura de Silvio ínsula hipotálamo plexo coroideo cisterna interpeduncular pedúnculo cerebral asta temporal IV ventrículo tubérculo cuadrigémino cerebelo vermis cerebeloso lóbulo occipital TC axial con contraste
  • 165.
    CATEDRA DE RADIOLOGIAU.N.L.P. Encéfalo normal Edición 2002 cisura interhemisférica lóbulo frontal cabeza del n. caudado cisura de Silvio ínsula III ventrículo cisterna interpeduncular plexo coroideo pedúnculo cerebral cisterna cuadrigeminal tubérculo cuadrigémino cerebelo vermis cerebeloso TC axial con contraste
  • 166.
    CATEDRA DE RADIOLOGIAU.N.L.P. Encéfalo normal Edición 2002 hoz del cerebro cisura interhemisférica lóbulo frontal cuerpo calloso asta frontal cabeza del n. caudado brazo anterior núcleo lenticular cápsula cápsula externa rodilla interna brazo posterior III ventrículo tálamo plexo coroideo vermis cerebeloso lóbulo occipital TC axial con contraste
  • 167.
    CATEDRA DE RADIOLOGIAU.N.L.P. Encéfalo normal Edición 2002 cisura interhemisférica cuerpo calloso ventrículo lateral septum pelucidum centro semioval plexo coroideo glándula pineal calcificado calcificada asta occipital seno longitudinal inferior seno longitudinal superior TC axial con contraste
  • 168.
    CATEDRA DE RADIOLOGIAU.N.L.P. Encéfalo normal Edición 2002 hoz del cerebro cisura interhemisférica ventrículo lateral centro semioval plexo coroideo seno longitudinal superior TC axial con contraste
  • 169.
    CATEDRA DE RADIOLOGIAU.N.L.P. Encéfalo normal Edición 2002 hoz del cerebro cisura interhemisférica ventrículo lateral centro semioval cisura interhemisférica TC axial con contraste
  • 170.
    CATEDRA DE RADIOLOGIAU.N.L.P. Encéfalo normal Edición 2002 hoz del cerebro lóbulo frontal centro semioval lóbulo parietal TC axial con contraste
  • 171.
    CATEDRA DE RADIOLOGIAU.N.L.P. Encéfalo normal Edición 2002 lóbulo frontal centro semioval hoz del cerebro TC axial con contraste
  • 172.
    TOMOGRAFIA COMPUTADA EDICION 2002 HUESO TEMPORAL NORMAL CATEDRA DE RADIOLOGIA FACULTAD DE CIENCIAS MEDICAS U.N.L.P
  • 173.
    CATEDRA DE RADIOLOGIAU.N.L.P. Hueso temporal normal Edición 2002 ap.pterigoides vómer cóndilo del clivus maxilar inferior mastoides sutura occipito-temporal protuberancia occipital interna
  • 174.
    CATEDRA DE RADIOLOGIAU.N.L.P. Hueso temporal normal Edición 2002 seno maxilar conducto carotídeo conducto auditivo externo protuberancia occipital externa
  • 175.
    trompa de Eustaquio conductoauditivo externo celdillas mastoideas
  • 176.
    eminencia piramidal seno timpánico receso del n. facial nervio facial (3era)
  • 177.
  • 178.
  • 179.
    martillo cóclea yunque vestíbulo conducto semicircular externo
  • 180.
  • 181.
  • 182.
  • 183.
  • 184.
  • 185.
    cabeza del martillo procidencia de meninges cóclea
  • 186.
    tendón tensor deltímpano conducto carotídeo
  • 187.
    espina supra yretrotimpánica nervio facial (2da)
  • 188.
  • 189.
    conducto auditivo interno cresta falciforme promontorio
  • 190.
  • 191.
  • 192.
    conducto semicircular externo conducto semicircular superior
  • 193.
  • 194.
  • 195.