Radiografía simple y
tomografía de tórax
Kortright Maldonado Karen
Radiografía simple de tórax
 5 Densiadades básicas
Radio- OpacoRadio- Lúcido
Radiografía simple de tórax
¿Qué vamos a
evaluar?
 Proyección
 Penetración
 Rotación
 Tej. blandos
 Márco óseo
 Diafragma
 Hilios
 Trama vasc.
 Silueta cardiaca
 Mediastino
 Pulmones
 Espacio pleural
Sistema ABCDEF
Radiografía simple de tórax
Proyecciones
 Sistemático: PA y Lateral.
 Proyecciones complementarias
 AP en decúbito supino
 AP lordótica
 AP cifótica
 PA en espiración
 Oblícuas (dcha e izda)
 Decúbito lateral con rayo horizontal
 PA de bajo kilovoltaje
Radiografía simple de tórax
 Proyecciones
Posteroanterior
*Inspiración
*Clavículas oblicuas
*Arcos posterioires de las costillas
Radiografía simple de tórax
 Proyecciones
Anteroposterior
*Falsa cardiomegalia
*Clavículas horizontales
*Aumenta el ancho del mediastino
*Estructuras del hilio de mayor tamaño
Radiografía simple de tórax
 Proyecciones
Anteroposterior
Visualiza mejor:
*Ápices pulmonares
*Lóbulo medio y
língula
LORDÓTICA
Radiografía simple de tórax
 Proyecciones
Lateral
Visualiza:
*Esternón
*Ángulos
costofrénicos post.
*Mediastino
Decúbito lateral
Radiografía simple de tórax
Radiografía simple de tórax
 Costillas (5-7 costillas anteriores, 9-10 posteriores)
Radiografía simple de tórax
 Lóbulos y cisuras
.
Radiografía simple de tórax
 Lóbulos y cisuras
.
Lóbulo superior derecho
Radiografía simple de tórax
 Lóbulos y cisuras
.
Lóbulo medio
Radiografía simple de tórax
 Lóbulos y cisuras
.
Lóbulo inferior derecho
Radiografía simple de tórax
 Lóbulos y cisuras
.
Lóbulo superior izquierdo
Radiografía simple de tórax
 Lóbulos y cisuras
.
Segmento sup. de la língula
Está formada por un
segmento inferior y un
segmento superior. Su
forma típica se parece a
una lengua.
Este segmento pulmonar
está ventilado por
el bronquio lingular e
irrigado por la arteria
lingular.
Radiografía simple de tórax
 Lóbulos y cisuras
.
Segmento inf. de la língula
Está formada por un
segmento inferior y un
segmento superior. Su
forma típica se parece a
una lengua.
Este segmento pulmonar
está ventilado por
el bronquio lingular e
irrigado por la arteria
Radiografía simple de tórax
 Lóbulos y cisuras
.
Lóbulo inferior izquierdo
 Segmentos
pulmonares
.
 Segmentos pulmonares
.
Radiografía simple de tórax
Radiografía simple de tórax
 Angulo costofrénico
.
Radiografía simple de tórax
 Signo de la silueta
“Cuando dos estructuras de la misma densidad radiológica se
encuentran en el mismo plano se pierde el margen entre
ellas.”
.
Radiografía simple de tórax
 Silueta cardiaca
.
Radiografía simple de tórax
 Compratimientos del mediastino
Radiografía simple de tórax
 PA
Radiografía simple de tórax
 Lateral-Varón
Radiografía simple de tórax
 Lateral-Mujer
Radiografía simple de tórax
VARIANTE
.Situs inversus
Tomografía de tórax
Kortright Maldonado Karen
 Brindan mayores detalles
 Proporcionan
importantes datos
anatómicos de pacientes
con enf. pulmonares
Tomografía de tórax
Indicaciones
• Cáncer pulmonar
• Nódulos / masas
• Patologías que comprometen
la pleura y el parénquima
pulmonar
• Evaluación del parénquima
pulmonar, en pacientes con
pruebas funcionales
pulmonares anormales y Rx
normal.
Tomografía de tórax
Cortes
Coronal
Sagital
Axial
1. Estándar
2. Alta resolución
3. Baja resol.
4. Ct angio
Tipos de TAC
Tomografía de tórax
Tipos de TAC (Diferencias)
Alta definiciónRegular
Nódulos (ARQUITECTURA)
Fibrosis, Bronquiectasia,Enfisema
Tomografía de tórax
Niveles
 Unión esternoclavicular: t1
 Ángulo de Luis (Esternón) 2da costilla, cayado
aórtico: t4
 Carina (Tráquea): t5
 Bifuración del tronco pulmonar: t5/t6
 Entrada de las venas pulmonares inferiores a a.
izquierda: t7/t8
Tomografía de tórax
Tejidos
HuesosPulmones
VENTANAS
Tomografía de tórax
v. braquiocef.
T
E
a. subclavia
carótida izquierda
t. a. braquiocef.
v. braquiocef.
manubrio
esternal
1a costilla
articulación
esternoclavicular
TC axial con
contraste
T1
TC axial con
esternón
v.c.s.
carina
v. ácigos
espacio
prevascular
aorta
ascendente
a. pulmonar
izquierda
aorta
descendente
vasos
mamarios
internos
T5
aorta
ascendente
v.c.s.
br. derecho
receso
pleuro-
acigoesofágico
rama a.
pulmonar
tronco a.
pumonar
a. pulm. der.
br. izquierdo
aorta
descendente
espacio
prevascular
TC axial con
E
T6
Ventana pulmonar
Corte sagital
1- Lóbulo superior derecho.
2- Lóbulo medio derecho.
3- Lóbulo inferior derecho.
Flecha negro: Fisura horizontal (menor).
Flecha roja: Fisura oblicua (mayor).
Tomografía de tórax
Ventana pulmonar
Corte sagital
1- Lóbulo superior izquierdo
2- Lóbulo inferior izquierdo.
Flecha roja: Fisura oblicua (mayor).
Tomografía de tórax
Ventana pulmonar
Corte coronal
1- Tráquea.
2- Bronquio izquierdo.
3- Bronquio derecho.
4- Bronquio segmentario apical del
lóbulo superior derecho.
5- Bronquio del lóbulo inferior
derecho.
Flecha roja: Fisura oblicua (mayor).
Tomografía de tórax
Ventana pulmonar
Corte axial
1- Bronquio segmentario
apical del lóbulo superior
derecho.
2- División de la tráquea en
dos bronquios principales.
3- Lóbulo superior
izquierdo.
4- Lóbulo inferior izquierdo.
Flecha roja: Fisura oblicua
Tomografía de tórax
Ventana pulmonar
1- Bronquio segmentario
posterior del lóbulo superior
derecho.
2- Bronquio segmentario
anterior del lóbulo superior
derecho.
3- Bronquio derecho.
4-Bronquio izquierdo.
5- Lóbulo superior
izquierdo.
6- Lóbulo inferior izquierdo.
Flecha roja, Fisura oblicua
(mayor).
Tomografía de tórax
Ventana pulmonar
1- Bronquio intermediario.
2- Línea de unión anterior.
3- Bronquio izquierdo.
4, Lóbulo superior izquierdo.
5- Lóbulo inferior izquierdo.
Flecha roja, Fisura oblicua
(mayor).
Tomografía de tórax
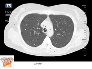
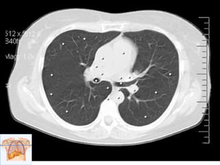
TRAQUEA: REDONDA U OVALADA, PARED DELGADA,
APLANADA, DELINEADA INTERNAMENTE Y EXTERNAMENTE
CARINA
T5
BRONQUIO PARA EL LOBULO
SUPERIOR DERECHO
BRONQUIO INTERMEDIARIO DERECHO
BRONQUIO PARA EL LOBULO MEDIO
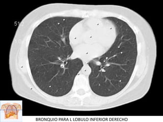
BRONQUIO PARA L LOBULO INFERIOR DERECHO
¡GRACIAS!
BIBLIOGRAGÍA:
 http://www.radiologymasterclass.co.uk/index.h
tml
 http://www.med.unne.edu.ar/sitio/multimedia
/imagenes/ckfinder/files/files/Carrera-
Medicina/MEDICINA-I/semio/piac012010.pdf

Radiografía simple y tomografía de tórax