RADIOLOGÍA DE TORAX
Rejilla




                       Filtro




                                    Haz de rayos X




Generador de rayos X
                                                     Paciente             Película fotográfica
                        Diafragma
PROYECCION: Anteroposterior (AP) ó
              Posteroanterior (PA)
DISTANCIA ADECUADA: 1.80 Mts

MANEJO DE LA RESPIRACIÓN:
  La inspiración forzada permite evaluar completamente los
  campos pulmonares


EXPOSICIÓN “Penetración” ADECUADA
  Poder ver la vasculatura detrás del corazón y debajo del
  borde diafragmático
  Poder observar los vasos parahiliares
Rx PA normal y con
técnica adecuada:
PENETRACIÓN:
Los cuerpos vertebrales
inferiores son visibles
ROTACIÓN:
Las apófisis espinosas
son centrales respecto a
las articulaciones
esternoclaviculares
INSPIRACIÓN:
La parte posterior de la
10° u 11° costilla se
encuentran cerca del
ángulo cardiofrénico
“Dos
sustancias de
la misma
densidad, en
contacto
directo, no se
diferencian
entre si en una
radiografía”
DENSIDAD
GLÁNDULAS
 MAMARIAS
RX CENTRADA



                                                                       NIVEL HIDROAÉREO
                                                                          EN CÁMARA
                                                                           GÁSTRICA




Las apófisis espinosas de C7 y T1 se remarcan como puntos de referencia, así también las uniones
 esternoclaviculares, para poder precisar si se encuentra centrado o rotado… ¡este paciente ESTÁ
                                       BIEN POSICIONADO!
Descartar
presencia de
 Asimetrías
 Fracturas
 Luxaciones
 Proliferación
 blastíca o
 lítica



               RX PORTÁTIL
      DEVERSAS FX COSTALES
El diafragma debe estar bien adosado al estómago y al hígado,
            sin presencia subdiafragmatico de aire
                          Neumoperitoneo
Ángulos deben estar libres de cualquier sustancia, terminar en
         punta, de lo contrario se sospecha de derrame
                        Costodiafragmático
                            Cardiofrénico
                    Hemidifragma derecho
                es mas alto que el izquierdo (hígado)
               tiene por debajo la densidad hepática
                    Hemidifragma izquierdo
                        tiene por debajo gas
           el ángulo esplénico del colon y la cámara gástrica
Los senos costofrenicos deben estar
          libres y tener forma afilada.
Si estan borrados habra que realizar
placas en decubito lateral para ver si
             existe derrame.
            Senos costofrenicos normales
                        Sombra mamaria
   Descartar ausencia de una sombra
              (mastectomia)
                         Cámara gástrica
 si esta muy separada del pulmon hay
 engrosamiento de la pared gastrica o
         derrame subpulmonar
                         Colon esplénico
                Borde cardiaco izquierdo
NEUMOPERITONEO
DERRAME PLEURAL DERECHO
Observar cambios en las densidades
     Excesiva radiolucidez: EPOC, Neumotórax
  Radioopacidades: Nódulos, Infiltrados, Derrames,
 Observar el calibre y distribución de los vasos
  Normalmente son delgados, y se bifurcan de manera
                       armónica
Borrosos y prominentes: incremento trama vascular, alas
                     de mariposa
  Bifurcación tortuosa como ramas de arbol: enfisema
SUPERIOR
    Ensanchado o de calibre normal (determinar si la
          proyección es en decubito o de pie)
          TRÁQUEA: desplazada/línea media
 CAYADO DE LA AORTA: se encuentra ensanchado en
aneurismas aórticos y disección traumática de la aorta
LA TRÁQUEA Y EL CAYADO DEBEN ESTAR EN ÍNTIMO
                     CONTACTO
    Si se encuentran separados por algún espacio, podría deberse a
                          nódulos linfáticos
 VENA ÁCIGOS: tamaño normal de 1 cm, se ensancha en
       obstrucciones de VCS o ICC Derecha
          BIFURCACIÓN DE LA CARINA
       Puede encontrarse ensanchada por nódulos linfáticos
HILIO
Formado por las sombras de las arterias pulmonares y los
                       bronquios
 El izquierdo se encuentra por arriba del derecho (70%)
          30% personas se encuentra al mismo nivel
   UN HILIO DERECHO SUPERIOR AL IZQUIERDO NUNCA
               ES UN HALLAZGO NORMAL

       EVALUAR EL ANCHO DEL MEDIASTINO
       Se encuentra ensanchado por adenopatías, masas…
PATRÓN DE BÚSQUEDA SUGERIDO
 TEJIDOS
BLANDOS




TEJIDOS
 ÓSEOS                        MEDIASTINO Y
                               TRÁQUEA



                                 SOMBRA
                                CARDÍACA
PARÉNQUIMA
 PULMONAR
                               ANGULOS
                            COSTOFRENICOS Y
                            CARDIOFRENICOS
Rx Lateral

        Vista lateral


Confirmar lesiones de pulmón
       o mediastino

 Lateral derecha o izquierda



  Permite orientarnos para
saber en qué lúbulo pulmonar
  se encuentra la patología


   Mejor proyección para
     evaluar los hilios
Fractura costal

 Secundaria a
  traumatismo cerrado o
  penetrante o costillas
  afectada por un
  enfermedad.
 Fractura  estudio por
  presencia de hemotorax
  o neumotórax asociado
 Fracturas del
 esternón y de
 columna
 vertebral:
   pedir
    proyecciones
    laterales
   No olvidar
    hacer un
    EKG ante la
    contusión
    esternal y
    enzimas
    cardiacas
ENFISEMA SUBCUTÁNEO


Tenemos
densidad
de aire en
las partes
blandas de
la pared
torácica.
GENERALIDADES PLEURA
 Formada por dos capas
    Parietal: recubre el interior
     de la cavidad torácica
    Visceral: recubre la superficie
     pulmonar, introduciéndose
     entre las cisuras pulmonares.
 En condiciones normales la
  única pleura que somos
  capaces de reconocer es la
  pleura visceral que separa los
  lóbulos (cisuras).
 El espacio pleural es un
  espacio prácticamente virtual
  en el que pueden aparecer
  múltiples patologías
ENGROSAMIENTO PLEURAL
• Se presenta posterior a pleuritis
• Tiene importancia clínica por confundirse con un
    derrame (Asintomático)
•   En pacientes de edad avanzada  engrosamiento
    apical bilateral idiopático
•   Engrosamiento apical unilateral/asimétrico 
    Tumor de pancoast
•   Engrosamiento unilateral mas extenso 
    toracotomía previa o derrame
•   Placas pleurales  exposición al asbesto
Engrosamiento pleural
NEUMOTÓRAX
 Se define como la
  presencia de aire en la
  cavidad pleural
 Un neumotórax grande se
  reconoce con facilidad por
  que el pulmón colapsa
  totalmente:
   La imagen es densa
   No hay trama vascular en
    el pulmón afectado
 CAUSAS
  TRAUMÁTICO
    Heridas penetrantes/trauma torácico
    Yatrogénico
      Toracoscopía

      Toracocentesis

      Colocación catéter central

      Barotrauma

      Postquirúrgico

      Biopsia pulmonar transtorácica/broncoscopía

  ESPONTÁNEO
    Ruptura de bula
    Secundario a fibrosis o enfisema
    Neumomediastino
DERRAMES
       PLEURALES/HIDROTÓRAX


 Trasudado, exudado,
 sangre, quilo, etc; que se
 presenta como una
 densidad bien definida en
 el espacio pleural
El angulo
costofrenico
derecho esta
obliterado por un
derrame pleural
secundario a
fallo cardiaco
(existe
cardiomegalia).
 Si tenemos duda para
  identificar si realmente es
  líquido o no, se realiza una
  placa en decúbito lateral con
  rayo horizontal y ver el
  líquido desplazarse hacia la
  zona más declive.
 Si se mueve, entonces
  hablamos del “tumor
  evanescente”
  correspondiente al derrame
 cisural encapsulado
EMPIEMA
 Definición:
   Es una encapsulación pleural
    infectada, suele ser una
    complicación neumónica.
 Hallazgos radiológicos
   Masa de bordes nítidos.
   Borde convexo al pulmón.
   Nivel hidroaéreo (a veces)
Derrame pleural derecho y masa pleural
 posterior, convexa, bien delimitada, de
        base periférica, compatible con
              empiema pleural derecho.
HEMOTÓRAX
 Generalmente hay antecedente de
  traumatismo de tórax
 Se denomina simple cuando no
  cumple criterios de masivo.
 Se denomina masivo cuando
       Tras la colocación de sonda
        endopleural hay drenaje de 1500
       Cuando hay 20 mL/kg o del 25% de
        la volemia dentro de la cavidad
        torácica
       Si se recuperan más de 15 mL/kg
        inicialmente
       O 3 a 4 mL/kg/hora
   está indicada la exploración
    quirúrgica.
PATRÓN ALVEOLAR
 Lesiones que afectan al espacio aéreo
 Las lesiones del espacio aéreo son aquéllas en las que el
  aire de los alveolos es reemplazado por: exudado,
  trasudado o tejido.
    Es un proceso rápido que se transmite por los poros de
     Kohn y canales de Lambert al tejido pulmonar adyacente.
    Puede ser localizado o difuso
        LOCALIZADO: neumonía neumocócica
        DIFUSO: edema agudo de pulmón, respectivamente.
    Cuando la afectación es alveolar, los bronquios
     permanecen permeables, rodeados de parénquima
     consolidado
        Esto explica la presencia del broncograma aéreo.
broncograma aereo   alveolograma aereo




                     insuficiencia cardiaca
Carcinoma alveolar
PATRÓN ALVEOLAR LOCALIZADO
 El más típico y característico es
  la neumonía neumocócica
 Una densidad homogénea
  confluente que borra los vasos
  de todo un lóbulo, que puede ser
  segmentaria o lobar con
  broncograma aéreo; la
  afectación pleural (derrame) es
  muy frecuente.
 En ocasiones puede aparecer
  cavitación (infrecuente en la
  neumonía neumocócica)
  sugiriendo otras posibilidades
  como: tuberculosis, anaerobios,
  gramnegativos y estafilococo.
Mujer de 52 años. Rx PA.
Consolidación
parenquimatosa superpuesta
a base pulmonar
izquierda (no borra silueta
cardíaca). Compatible con
proceso parenquimatoso
típico neumónico.
PATRÓN ALVEOLAR DIFUSO
 El edema agudo de
  pulmón es el ejemplo
  característico de
  afectación pulmonar
  difusa.
 El hallazgo típico es la
  presencia de un patrón
  alveolar difuso de
  predominio perihiliar (en
  “alas de mariposa”).
 El paciente puede
  presentar cardiomegalia
  si la causa es cardíaca.
ALAS DE MARIPOSA
PATRÓN INTERSTICIAL
INTERSTICIO
               El intersticio es una red de tejido
                conectivo que rodea la vía aérea y alveolar.
               En condiciones normales el intersticio no
                se ve en la radiografía de tórax
   ALVEOLO     Su afección puede traducirse en un
                engrosamiento, a veces reconocible, que
                denominamos PATRÓN INTERSTICIAL.
               Signos radiológicos de patrón intersticial
                  No existe el broncograma aéreo.
                  Existen líneas y micronódulos que
                   representan la afectación intersticial.
                  Se ven sombras irregulares con
                   apariencia reticular.
                  La confluencia de las lesiones es tardía.
PATRÓN INTERSTICIAL LINEAL
  Patrón lineal o linfangítico (patrón
   septal)
    Presencia de líneas de Kerley
     (engrosamiento de los septos
     interlobulillares que puede estar ocupado
     por edema, tumor, hemosiderina,
     fibrosis)
    Las causas del patrón lineal son: edema
     de pulmón, neumoconiosis, insuficiencia
     cardíaca crónica, linfangitis
     carcinomatosa y linfoma.
 Las líneas A son largas (2-6 cm), se dirigen hacia los hilios y no contactan con la pleura
 Las líneas B de Kerley se ven como finas líneas de 1 a 2 mm de espesor y de menos de 2 cm
  de largo dispuestas perpendicularmente a la pleura costal en las bases pulmonares.Son
  frecuentes en la infiltración edematosa o neoplásica de los tabiques, pero también pueden
  verse en procesos inflamatorios.
PATRÓN RETICULAR O PULMÓN
           EN PANAL
 Se caracteriza por la presencia en el parénquima pulmonar de quistes
  de pequeño tamaño (hasta 1 cm) redondeados u ovales, que dan
  aspecto de un “panal” y que pueden acompañarse de pérdida de
  volumen.
 La presencia de panalización puede significar lesión destructiva final
  con fibrosis y distorsión de la arquitectura pulmonar de grado severo.
 Probablemente representa el “estadio final” de gran cantidad de
  lesiones infiltrativas (intersticiales).
 Puede estar producido por:
      Fibrosis pulmonar (+ representativa).
      Neumoconiosis.
      Histiocitosis X.
      Colgenosis.
      Neumonías intersticiales.
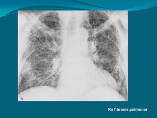
Rx fibrosis pulmonar
PATRÓN MICRONODULAR O MILIAR
 Se presenta como nódulos redondeados de pequeño tamaño,
  inferiores a 1 cm de diámetro, con bordes netos y
  distribuidos de forma difusa por ambos campos pulmonares.
 Las enfermedades que pueden producir patrón micronodular
  o miliar son:
    Granulomatosas:
        Tuberculosis miliar.
        Artritis reumatoide.
        Silicosis.
        Neumoconiosis.
        Sarcoidosis.
    Neoplasmas:
        Metástasis de tiroides, riñón y melanoma.
        Cáncer de células alveolares.
        Otras causas: Proteinosis alveolar.
        Amiloidosis.
        Hemosiderosis idiopática.
        Microlitiasis alveolar.
PATRÓN RETICULONODULAR
 Aparece un patrón mixto
  intersticial y nodular, las
  líneas suelen partir de
  los nódulos.
 Suelen darse en:
    Sarcoidosis.
    Alveolitis alérgica
     extrínseca.
    Granuloma eosinófilo.
    Neumoconiosis.
Patrón retículonodular
. Radiografía con patrón reticular basal y
periférico muy sugerente de fibrosis pulmonar
PATRÓN CAVITARIO O PATRÓN
        DESTRUCTIVO PULMONAR
 Los hallazgos radiológicos van a traducir
  la pérdida de parénquima pulmonar
 CAVIDADES PULMONARES: son zonas
  de parénquima limitadas por una pared y
  con contenido liquido y/o aéreo, siendo
  muy característico que posean niveles
  hidroaéreos.
    CAVIDADES CON PARED GRUESA
      (espesor de 3 mm), como sucede en       Imágenes de cavidades.
      los abscesos y en el cáncer de pulmón   1. Caverna.
      cavitado                                2. Quiste aéreo.
                                              3. Bula.
    CAVIDADES CON PARED FINA (1-2
                                              4. Absceso pulmonar.
      mm) como sucede en las bullas           5. Bulas subpleurales.
      enfisematosas
 Lesión tumoral cavitada si es de pared gruesa y
   contorno interno nodular

 Cavidad tuberculosa si existe una reacción
   inflamatoria perilesional

 Bulla si es de pared muy delgada y contorno regular.
 QUISTES: Lesiones de paredes
                    finas,
                      Las cavidades pueden presentarse
                       rellenas de líquido con apariencia
                       de masa sólida o vaciar su
                       contenido dando lugar a la
                       aparición de un nivel hidroaéreo.
                      Un nivel hidroaéreo representa la
                       existencia de una lesión cavitaria
                       intrapulmonar.
                      Si esta vacía podremos visualizar
                       su pared.
                   BRONQUIECTASIAS
                      lesiones quísticas entre 1 y 2 cm de
                       diámetro
Bronquiectasias
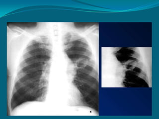
Varón de 71 años. Rx PA y lateral de tórax. Masa
cavitada, con pared gruesa en segmento superior del
  lóbulo inferior derecho, producido por cáncer de
                       pulmón.
MASAS Y NÓDULOS
PULMONARES




 Esta clasificación resulta útil a la hora de establecer un
  diagnóstico diferencial y en la valoración radiológica
  tanto de los nódulos como de una masa pulmonar
    Prestaremos atención a las características propias de
     los mismos y a la existencia o no de signos de
     acompañamiento como: adenopatías, infiltrados
     contralaterales o lesiones costales
NÓDULO PULMONAR SOLITARIO

 Lesión redondeada u oval, menor de 6 cm de diámetro, de
  contorno redondeado, lobulado, umbilicado, cavitado o no
  y que puede tener calcificaciones en su interior
 El nódulo está rodeado habitualmente por aire, excepto si
  contacta con la pleura. Suele presentarse como un hallazgo
  casual y el diagnóstico diferencial es muy amplio.

                           Causas frecuentes de NPS
                           - Granuloma: Tuberculoso, Inespecífico.
                           - Carcinoma broncogénico.
                           - Metástasis solitaria.
                           - Quiste hidatídico.
                           - Hamartoma
NÓDULOS PULMONARES MÚLTIPLES
 Suelen detectarse en las radiografías
  PA y lateral de tórax, como múltiples
  nódulos de distribución difusa.
 Causas de nódulos pulmonares
  múltiples
    Metástasis.
    Granulomas.
    Quiste hidatídico.
    Abscesos hematógenos.
    Linfoma.
    Hamartomas.
    Fístulas arteriovenosas.
    Artritis reumatoide.
    Enfermedad de Wegener.
MASAS
 Se define como masa pulmonar todo nódulo superior a 6 cm.
 Semiológicamente son como los nódulos, pero de mayor
  tamaño. La etiología de las masas pulmonares es
  frecuentemente maligna, aunque deben considerarse otros
  diagnósticos.
 Causas de masas pulmonares
    Carcinoma broncogénico (80%).
    Quiste hidatídico.
    Metástasis.
    Conglomerado silicótico.
    Absceso agudo.
    Linfoma.
    Carcinoma broncoalveolar.
    Secuestro pulmonar.
    Infarto.
    Quiste broncogénico.
MASA

 Imágenes de condensación homogénea y
  bien delimitadas de tamaño superior a 6 cm.
 Pueden ser única o múltiples.
 La etiología es frecuentemente maligna,
  aunque también se manifiesta de este
  modo, los abscesos y los quístes hidatídicos.
La radiografía muestra una masa redondeada en la base del hemitórax
    derecho con densidad cálcica. La tomografía computada revela
 gruesas calcificaciones en “palomitas de maíz” en el espesor de la
masa pulmonar. Además presenta áreas de baja densidad en el rango
    de tejido adiposo. Esas dos características son prácticamente
             patognomónicas de un hamartoma pulmonar.
 Los signos radiológicos que distinguen la
 benignidad o malignidad de un nódulo son:
   Benignidad: tamaño menor a 4 cm,
    calcificaciones en su interior, coexistencia
    con signos de TBC antigua.
   Malignidad: tamaño mayor a 4 cm. Bordes
    mal definidos, contorno lobulado o
    umbilicado, adenopatías hiliares o
    medistínicas no calcificadas.
ATELECTASIAS
 Se define atelectasia o colapso pulmonar como la pérdida de
  volumen de un lóbulo o segmento, independientemente de la
  causa que la produzca.
 TIPOS
    Atelectasia obstructiva:
       Causa más frecuente de atelectasia. Se debe a una obstrucción endoluminal
       de las vías aéreas.
    Atelectasia cicatricial o fibrótica
      Secundaria a la formación de tejido cicatricial en el espacio interalveolar o
       intersticial. Frecuentemente acompaña a bronquiectasias.
    Atelectasia pasiva
      También llamada atelectasia por relajación. Suele acompañar a procesos que
       ocupan el espacio pleural (derrame, neumotórax)
    Atelectasia compresiva
      Pérdida de volumen que acompaña a procesos intrapulmonares ocupantes de
       espacio (masas, bullas)
    Atelectasia adhesiva
      Atelectasia con vías aéreas permeables. Se debe a una alteración del agente
       tensoactivo pulmonar.
ATELECTASIA
 SIGNOS RADIOLÓGICOS
   desplazamiento de las cisuras
   desplazamiento de los hilios y
      del mediastino HACIA EL
      LADO AFECTADO
     elevación de el hemidiafragma
      DEL LADO AFECTADO
     Disminución de los espacios
      costales EN EL LADO
      AFECTADO
     enfisema compensador
      CONTRALATERAL
     aumento de la densidad sin
      broncograma
     en el adulto suele significar
      neoplasia que obstruye el
      bronquio
ENFISEMA PULMONAR
 Densidad pulmonar disminuida
 Diafragmas aplanados o descendidos
 Espacios intercostales aumentados, asi como
  aire retroesternal, en Rx LATERAL (aumento
  del diámetro AP del tórax)
 Corazón estrecho y verticalizado.
TUMORES DE MEDIASTINO
 Suelen presentarse como un ensanchamiento del
  mediastino o bien como una anomalía en el
  contorno externo del mismo, con bordes nítidos

 Se trata de lesiones extrapleurales (limitadas por la
  pleura parietal), y dependiendo de la localización
  de la masa puede desplazar los órganos
  mediastínicos adyacentes.
INSUFICIENCIA CARDIACA
Los 4 signos radiológicos de ICC
   1) Lineas B Kerley
   2) Congestión peribronquial
   3) Liquido en las cisuras
   4) Derrame pleural
 SE PUEDE ACOMPAÑAR DE
 CARDIOMEGALIA
ICC
Rx de tórax de un paciente con insuficiencia cardiaca descompensada.
   En la región de los hilios se observa bronquios (flechas negras)
 rodeadas por opacidades que corresponden a liquido en el espacio
      intersticial peribroncovascular: “manguito peribronquial”.
Aneurisma Aórtico
Mujer de 38 años. Rx PA. Masa      Mujer de 38 años. Rx
 polilobulada mediastínica.     lateral. Masa mediastínica
                                anterior (linfoma Hodgkin).
NEUMOMEDIASTINO
 Es la presencia de gas difuso
  en el mediastino.
 El aire puede llegar hasta el
  mediastino desde: abdomen,
  cuello, pulmón, rotura
  esofágica y rotura traqueal.
 HALLAZGOS
  RADIOLÓGICOS
    presencia de una banda
     radiotransparente alrededor
     del corazón y mediastino,
     también puede presentarse
     como pequeñas burbujas
     aéreas en su interior.      Figura 6.4A. Rx PA de tórax. Mujer de 57 años.
                                      Línea radiolúcida paracardíaca izquierda.
                                                 Neumomediastino.
Rx PA de tórax. Mujer de 40     Rx lateral. Masa localizada
    años. Masa mediastínica         en mediastino posterior
redondeada, bien definida que no         (neurofibroma).
    borra la silueta cardíaca.
 Traumáticas
    Traumatismo cerrado de tórax
    Secundario a cirugía de cuello y
     tórax
    Perforación esofágica
    Perforación traqueobronquial
    Ejercicio vigoroso
    Asma
    Ventilación mecánica
 Espontáneo
    Rotura de vesícula o bula
    Idiopático
Neumopericardio
 Presencia de aire en la
  cavidad pericárdica.
 Compromiso
  hemodinámico
  importante.
 Común en RN
  sometidos a ventilación
  mecánica por distrés
  respiratorio.
 Excepcional en el
                            Neumopericardio tardío tras
  adulto.                      pericardiocentesis
PATOLOGÍA DIAFRAGMÁTICA
 HERNIA DEL HIATO: se origina la imagen de
  masa retrocardíaca con nivel hidroaéreo al
  provocar un desplazamiento de la cámara
  gástrica.
 ROTURA DIAFRAGMÁTICA: se sospecha
  cuando se identifica en la rx de tórax,
  estructuras abdominales como el estómago o
  el intestino.
RUPTURA TRAUMÁTICA DEL DIAFRAGMA
Radiografia torax

Radiografia torax

  • 1.
  • 2.
    Rejilla Filtro Haz de rayos X Generador de rayos X Paciente Película fotográfica Diafragma
  • 3.
    PROYECCION: Anteroposterior (AP)ó Posteroanterior (PA)
  • 4.
    DISTANCIA ADECUADA: 1.80Mts MANEJO DE LA RESPIRACIÓN: La inspiración forzada permite evaluar completamente los campos pulmonares EXPOSICIÓN “Penetración” ADECUADA Poder ver la vasculatura detrás del corazón y debajo del borde diafragmático Poder observar los vasos parahiliares
  • 5.
    Rx PA normaly con técnica adecuada: PENETRACIÓN: Los cuerpos vertebrales inferiores son visibles ROTACIÓN: Las apófisis espinosas son centrales respecto a las articulaciones esternoclaviculares INSPIRACIÓN: La parte posterior de la 10° u 11° costilla se encuentran cerca del ángulo cardiofrénico
  • 7.
    “Dos sustancias de la misma densidad,en contacto directo, no se diferencian entre si en una radiografía”
  • 8.
  • 9.
    RX CENTRADA NIVEL HIDROAÉREO EN CÁMARA GÁSTRICA Las apófisis espinosas de C7 y T1 se remarcan como puntos de referencia, así también las uniones esternoclaviculares, para poder precisar si se encuentra centrado o rotado… ¡este paciente ESTÁ BIEN POSICIONADO!
  • 10.
    Descartar presencia de Asimetrías Fracturas Luxaciones Proliferación blastíca o lítica RX PORTÁTIL DEVERSAS FX COSTALES
  • 11.
    El diafragma debeestar bien adosado al estómago y al hígado, sin presencia subdiafragmatico de aire Neumoperitoneo Ángulos deben estar libres de cualquier sustancia, terminar en punta, de lo contrario se sospecha de derrame Costodiafragmático Cardiofrénico Hemidifragma derecho es mas alto que el izquierdo (hígado) tiene por debajo la densidad hepática Hemidifragma izquierdo tiene por debajo gas el ángulo esplénico del colon y la cámara gástrica
  • 13.
    Los senos costofrenicosdeben estar libres y tener forma afilada. Si estan borrados habra que realizar placas en decubito lateral para ver si existe derrame. Senos costofrenicos normales Sombra mamaria Descartar ausencia de una sombra (mastectomia) Cámara gástrica si esta muy separada del pulmon hay engrosamiento de la pared gastrica o derrame subpulmonar Colon esplénico Borde cardiaco izquierdo
  • 14.
  • 15.
  • 16.
    Observar cambios enlas densidades Excesiva radiolucidez: EPOC, Neumotórax Radioopacidades: Nódulos, Infiltrados, Derrames, Observar el calibre y distribución de los vasos Normalmente son delgados, y se bifurcan de manera armónica Borrosos y prominentes: incremento trama vascular, alas de mariposa Bifurcación tortuosa como ramas de arbol: enfisema
  • 17.
    SUPERIOR Ensanchado o de calibre normal (determinar si la proyección es en decubito o de pie) TRÁQUEA: desplazada/línea media CAYADO DE LA AORTA: se encuentra ensanchado en aneurismas aórticos y disección traumática de la aorta LA TRÁQUEA Y EL CAYADO DEBEN ESTAR EN ÍNTIMO CONTACTO Si se encuentran separados por algún espacio, podría deberse a nódulos linfáticos VENA ÁCIGOS: tamaño normal de 1 cm, se ensancha en obstrucciones de VCS o ICC Derecha BIFURCACIÓN DE LA CARINA Puede encontrarse ensanchada por nódulos linfáticos
  • 18.
    HILIO Formado por lassombras de las arterias pulmonares y los bronquios El izquierdo se encuentra por arriba del derecho (70%) 30% personas se encuentra al mismo nivel UN HILIO DERECHO SUPERIOR AL IZQUIERDO NUNCA ES UN HALLAZGO NORMAL EVALUAR EL ANCHO DEL MEDIASTINO Se encuentra ensanchado por adenopatías, masas…
  • 24.
    PATRÓN DE BÚSQUEDASUGERIDO TEJIDOS BLANDOS TEJIDOS ÓSEOS MEDIASTINO Y TRÁQUEA SOMBRA CARDÍACA PARÉNQUIMA PULMONAR ANGULOS COSTOFRENICOS Y CARDIOFRENICOS
  • 31.
    Rx Lateral Vista lateral Confirmar lesiones de pulmón o mediastino Lateral derecha o izquierda Permite orientarnos para saber en qué lúbulo pulmonar se encuentra la patología Mejor proyección para evaluar los hilios
  • 35.
    Fractura costal  Secundariaa traumatismo cerrado o penetrante o costillas afectada por un enfermedad.  Fractura  estudio por presencia de hemotorax o neumotórax asociado
  • 36.
     Fracturas del esternón y de columna vertebral:  pedir proyecciones laterales  No olvidar hacer un EKG ante la contusión esternal y enzimas cardiacas
  • 37.
    ENFISEMA SUBCUTÁNEO Tenemos densidad de aireen las partes blandas de la pared torácica.
  • 39.
    GENERALIDADES PLEURA  Formadapor dos capas  Parietal: recubre el interior de la cavidad torácica  Visceral: recubre la superficie pulmonar, introduciéndose entre las cisuras pulmonares.  En condiciones normales la única pleura que somos capaces de reconocer es la pleura visceral que separa los lóbulos (cisuras).  El espacio pleural es un espacio prácticamente virtual en el que pueden aparecer múltiples patologías
  • 40.
    ENGROSAMIENTO PLEURAL • Sepresenta posterior a pleuritis • Tiene importancia clínica por confundirse con un derrame (Asintomático) • En pacientes de edad avanzada  engrosamiento apical bilateral idiopático • Engrosamiento apical unilateral/asimétrico  Tumor de pancoast • Engrosamiento unilateral mas extenso  toracotomía previa o derrame • Placas pleurales  exposición al asbesto
  • 41.
  • 42.
    NEUMOTÓRAX  Se definecomo la presencia de aire en la cavidad pleural  Un neumotórax grande se reconoce con facilidad por que el pulmón colapsa totalmente:  La imagen es densa  No hay trama vascular en el pulmón afectado
  • 43.
     CAUSAS TRAUMÁTICO  Heridas penetrantes/trauma torácico  Yatrogénico  Toracoscopía  Toracocentesis  Colocación catéter central  Barotrauma  Postquirúrgico  Biopsia pulmonar transtorácica/broncoscopía  ESPONTÁNEO  Ruptura de bula  Secundario a fibrosis o enfisema  Neumomediastino
  • 46.
    DERRAMES PLEURALES/HIDROTÓRAX  Trasudado, exudado, sangre, quilo, etc; que se presenta como una densidad bien definida en el espacio pleural
  • 47.
    El angulo costofrenico derecho esta obliteradopor un derrame pleural secundario a fallo cardiaco (existe cardiomegalia).
  • 48.
     Si tenemosduda para identificar si realmente es líquido o no, se realiza una placa en decúbito lateral con rayo horizontal y ver el líquido desplazarse hacia la zona más declive.  Si se mueve, entonces hablamos del “tumor evanescente” correspondiente al derrame cisural encapsulado
  • 51.
    EMPIEMA  Definición:  Es una encapsulación pleural infectada, suele ser una complicación neumónica.  Hallazgos radiológicos  Masa de bordes nítidos.  Borde convexo al pulmón.  Nivel hidroaéreo (a veces)
  • 52.
    Derrame pleural derechoy masa pleural posterior, convexa, bien delimitada, de base periférica, compatible con empiema pleural derecho.
  • 53.
    HEMOTÓRAX  Generalmente hayantecedente de traumatismo de tórax  Se denomina simple cuando no cumple criterios de masivo.  Se denomina masivo cuando  Tras la colocación de sonda endopleural hay drenaje de 1500  Cuando hay 20 mL/kg o del 25% de la volemia dentro de la cavidad torácica  Si se recuperan más de 15 mL/kg inicialmente  O 3 a 4 mL/kg/hora  está indicada la exploración quirúrgica.
  • 57.
    PATRÓN ALVEOLAR  Lesionesque afectan al espacio aéreo  Las lesiones del espacio aéreo son aquéllas en las que el aire de los alveolos es reemplazado por: exudado, trasudado o tejido.  Es un proceso rápido que se transmite por los poros de Kohn y canales de Lambert al tejido pulmonar adyacente.  Puede ser localizado o difuso  LOCALIZADO: neumonía neumocócica  DIFUSO: edema agudo de pulmón, respectivamente.  Cuando la afectación es alveolar, los bronquios permanecen permeables, rodeados de parénquima consolidado  Esto explica la presencia del broncograma aéreo.
  • 58.
    broncograma aereo alveolograma aereo insuficiencia cardiaca Carcinoma alveolar
  • 59.
    PATRÓN ALVEOLAR LOCALIZADO El más típico y característico es la neumonía neumocócica  Una densidad homogénea confluente que borra los vasos de todo un lóbulo, que puede ser segmentaria o lobar con broncograma aéreo; la afectación pleural (derrame) es muy frecuente.  En ocasiones puede aparecer cavitación (infrecuente en la neumonía neumocócica) sugiriendo otras posibilidades como: tuberculosis, anaerobios, gramnegativos y estafilococo.
  • 60.
    Mujer de 52años. Rx PA. Consolidación parenquimatosa superpuesta a base pulmonar izquierda (no borra silueta cardíaca). Compatible con proceso parenquimatoso típico neumónico.
  • 62.
    PATRÓN ALVEOLAR DIFUSO El edema agudo de pulmón es el ejemplo característico de afectación pulmonar difusa.  El hallazgo típico es la presencia de un patrón alveolar difuso de predominio perihiliar (en “alas de mariposa”).  El paciente puede presentar cardiomegalia si la causa es cardíaca.
  • 63.
  • 65.
    PATRÓN INTERSTICIAL INTERSTICIO  El intersticio es una red de tejido conectivo que rodea la vía aérea y alveolar.  En condiciones normales el intersticio no se ve en la radiografía de tórax ALVEOLO  Su afección puede traducirse en un engrosamiento, a veces reconocible, que denominamos PATRÓN INTERSTICIAL.  Signos radiológicos de patrón intersticial  No existe el broncograma aéreo.  Existen líneas y micronódulos que representan la afectación intersticial.  Se ven sombras irregulares con apariencia reticular.  La confluencia de las lesiones es tardía.
  • 66.
    PATRÓN INTERSTICIAL LINEAL Patrón lineal o linfangítico (patrón septal)  Presencia de líneas de Kerley (engrosamiento de los septos interlobulillares que puede estar ocupado por edema, tumor, hemosiderina, fibrosis)  Las causas del patrón lineal son: edema de pulmón, neumoconiosis, insuficiencia cardíaca crónica, linfangitis carcinomatosa y linfoma.  Las líneas A son largas (2-6 cm), se dirigen hacia los hilios y no contactan con la pleura  Las líneas B de Kerley se ven como finas líneas de 1 a 2 mm de espesor y de menos de 2 cm de largo dispuestas perpendicularmente a la pleura costal en las bases pulmonares.Son frecuentes en la infiltración edematosa o neoplásica de los tabiques, pero también pueden verse en procesos inflamatorios.
  • 69.
    PATRÓN RETICULAR OPULMÓN EN PANAL  Se caracteriza por la presencia en el parénquima pulmonar de quistes de pequeño tamaño (hasta 1 cm) redondeados u ovales, que dan aspecto de un “panal” y que pueden acompañarse de pérdida de volumen.  La presencia de panalización puede significar lesión destructiva final con fibrosis y distorsión de la arquitectura pulmonar de grado severo.  Probablemente representa el “estadio final” de gran cantidad de lesiones infiltrativas (intersticiales).  Puede estar producido por:  Fibrosis pulmonar (+ representativa).  Neumoconiosis.  Histiocitosis X.  Colgenosis.  Neumonías intersticiales.
  • 70.
  • 71.
    PATRÓN MICRONODULAR OMILIAR  Se presenta como nódulos redondeados de pequeño tamaño, inferiores a 1 cm de diámetro, con bordes netos y distribuidos de forma difusa por ambos campos pulmonares.  Las enfermedades que pueden producir patrón micronodular o miliar son:  Granulomatosas:  Tuberculosis miliar.  Artritis reumatoide.  Silicosis.  Neumoconiosis.  Sarcoidosis.  Neoplasmas:  Metástasis de tiroides, riñón y melanoma.  Cáncer de células alveolares.  Otras causas: Proteinosis alveolar.  Amiloidosis.  Hemosiderosis idiopática.  Microlitiasis alveolar.
  • 74.
    PATRÓN RETICULONODULAR  Apareceun patrón mixto intersticial y nodular, las líneas suelen partir de los nódulos.  Suelen darse en:  Sarcoidosis.  Alveolitis alérgica extrínseca.  Granuloma eosinófilo.  Neumoconiosis.
  • 75.
  • 76.
    . Radiografía conpatrón reticular basal y periférico muy sugerente de fibrosis pulmonar
  • 77.
    PATRÓN CAVITARIO OPATRÓN DESTRUCTIVO PULMONAR  Los hallazgos radiológicos van a traducir la pérdida de parénquima pulmonar  CAVIDADES PULMONARES: son zonas de parénquima limitadas por una pared y con contenido liquido y/o aéreo, siendo muy característico que posean niveles hidroaéreos.  CAVIDADES CON PARED GRUESA (espesor de 3 mm), como sucede en Imágenes de cavidades. los abscesos y en el cáncer de pulmón 1. Caverna. cavitado 2. Quiste aéreo. 3. Bula.  CAVIDADES CON PARED FINA (1-2 4. Absceso pulmonar. mm) como sucede en las bullas 5. Bulas subpleurales. enfisematosas
  • 78.
     Lesión tumoralcavitada si es de pared gruesa y contorno interno nodular  Cavidad tuberculosa si existe una reacción inflamatoria perilesional  Bulla si es de pared muy delgada y contorno regular.
  • 79.
     QUISTES: Lesionesde paredes finas,  Las cavidades pueden presentarse rellenas de líquido con apariencia de masa sólida o vaciar su contenido dando lugar a la aparición de un nivel hidroaéreo.  Un nivel hidroaéreo representa la existencia de una lesión cavitaria intrapulmonar.  Si esta vacía podremos visualizar su pared.  BRONQUIECTASIAS  lesiones quísticas entre 1 y 2 cm de diámetro Bronquiectasias
  • 80.
    Varón de 71años. Rx PA y lateral de tórax. Masa cavitada, con pared gruesa en segmento superior del lóbulo inferior derecho, producido por cáncer de pulmón.
  • 84.
    MASAS Y NÓDULOS PULMONARES Esta clasificación resulta útil a la hora de establecer un diagnóstico diferencial y en la valoración radiológica tanto de los nódulos como de una masa pulmonar  Prestaremos atención a las características propias de los mismos y a la existencia o no de signos de acompañamiento como: adenopatías, infiltrados contralaterales o lesiones costales
  • 85.
    NÓDULO PULMONAR SOLITARIO Lesión redondeada u oval, menor de 6 cm de diámetro, de contorno redondeado, lobulado, umbilicado, cavitado o no y que puede tener calcificaciones en su interior  El nódulo está rodeado habitualmente por aire, excepto si contacta con la pleura. Suele presentarse como un hallazgo casual y el diagnóstico diferencial es muy amplio. Causas frecuentes de NPS - Granuloma: Tuberculoso, Inespecífico. - Carcinoma broncogénico. - Metástasis solitaria. - Quiste hidatídico. - Hamartoma
  • 87.
    NÓDULOS PULMONARES MÚLTIPLES Suelen detectarse en las radiografías PA y lateral de tórax, como múltiples nódulos de distribución difusa.  Causas de nódulos pulmonares múltiples  Metástasis.  Granulomas.  Quiste hidatídico.  Abscesos hematógenos.  Linfoma.  Hamartomas.  Fístulas arteriovenosas.  Artritis reumatoide.  Enfermedad de Wegener.
  • 89.
    MASAS  Se definecomo masa pulmonar todo nódulo superior a 6 cm.  Semiológicamente son como los nódulos, pero de mayor tamaño. La etiología de las masas pulmonares es frecuentemente maligna, aunque deben considerarse otros diagnósticos.  Causas de masas pulmonares  Carcinoma broncogénico (80%).  Quiste hidatídico.  Metástasis.  Conglomerado silicótico.  Absceso agudo.  Linfoma.  Carcinoma broncoalveolar.  Secuestro pulmonar.  Infarto.  Quiste broncogénico.
  • 90.
    MASA  Imágenes decondensación homogénea y bien delimitadas de tamaño superior a 6 cm.  Pueden ser única o múltiples.  La etiología es frecuentemente maligna, aunque también se manifiesta de este modo, los abscesos y los quístes hidatídicos.
  • 91.
    La radiografía muestrauna masa redondeada en la base del hemitórax derecho con densidad cálcica. La tomografía computada revela gruesas calcificaciones en “palomitas de maíz” en el espesor de la masa pulmonar. Además presenta áreas de baja densidad en el rango de tejido adiposo. Esas dos características son prácticamente patognomónicas de un hamartoma pulmonar.
  • 93.
     Los signosradiológicos que distinguen la benignidad o malignidad de un nódulo son:  Benignidad: tamaño menor a 4 cm, calcificaciones en su interior, coexistencia con signos de TBC antigua.  Malignidad: tamaño mayor a 4 cm. Bordes mal definidos, contorno lobulado o umbilicado, adenopatías hiliares o medistínicas no calcificadas.
  • 97.
    ATELECTASIAS  Se defineatelectasia o colapso pulmonar como la pérdida de volumen de un lóbulo o segmento, independientemente de la causa que la produzca.  TIPOS  Atelectasia obstructiva:  Causa más frecuente de atelectasia. Se debe a una obstrucción endoluminal de las vías aéreas.  Atelectasia cicatricial o fibrótica  Secundaria a la formación de tejido cicatricial en el espacio interalveolar o intersticial. Frecuentemente acompaña a bronquiectasias.  Atelectasia pasiva  También llamada atelectasia por relajación. Suele acompañar a procesos que ocupan el espacio pleural (derrame, neumotórax)  Atelectasia compresiva  Pérdida de volumen que acompaña a procesos intrapulmonares ocupantes de espacio (masas, bullas)  Atelectasia adhesiva  Atelectasia con vías aéreas permeables. Se debe a una alteración del agente tensoactivo pulmonar.
  • 99.
    ATELECTASIA  SIGNOS RADIOLÓGICOS  desplazamiento de las cisuras  desplazamiento de los hilios y del mediastino HACIA EL LADO AFECTADO  elevación de el hemidiafragma DEL LADO AFECTADO  Disminución de los espacios costales EN EL LADO AFECTADO  enfisema compensador CONTRALATERAL  aumento de la densidad sin broncograma  en el adulto suele significar neoplasia que obstruye el bronquio
  • 101.
    ENFISEMA PULMONAR  Densidadpulmonar disminuida  Diafragmas aplanados o descendidos  Espacios intercostales aumentados, asi como aire retroesternal, en Rx LATERAL (aumento del diámetro AP del tórax)  Corazón estrecho y verticalizado.
  • 104.
    TUMORES DE MEDIASTINO Suelen presentarse como un ensanchamiento del mediastino o bien como una anomalía en el contorno externo del mismo, con bordes nítidos  Se trata de lesiones extrapleurales (limitadas por la pleura parietal), y dependiendo de la localización de la masa puede desplazar los órganos mediastínicos adyacentes.
  • 105.
    INSUFICIENCIA CARDIACA Los 4signos radiológicos de ICC  1) Lineas B Kerley  2) Congestión peribronquial  3) Liquido en las cisuras  4) Derrame pleural  SE PUEDE ACOMPAÑAR DE CARDIOMEGALIA
  • 106.
  • 107.
    Rx de tóraxde un paciente con insuficiencia cardiaca descompensada. En la región de los hilios se observa bronquios (flechas negras) rodeadas por opacidades que corresponden a liquido en el espacio intersticial peribroncovascular: “manguito peribronquial”.
  • 111.
  • 112.
    Mujer de 38años. Rx PA. Masa Mujer de 38 años. Rx polilobulada mediastínica. lateral. Masa mediastínica anterior (linfoma Hodgkin).
  • 113.
    NEUMOMEDIASTINO  Es lapresencia de gas difuso en el mediastino.  El aire puede llegar hasta el mediastino desde: abdomen, cuello, pulmón, rotura esofágica y rotura traqueal.  HALLAZGOS RADIOLÓGICOS  presencia de una banda radiotransparente alrededor del corazón y mediastino, también puede presentarse como pequeñas burbujas aéreas en su interior. Figura 6.4A. Rx PA de tórax. Mujer de 57 años. Línea radiolúcida paracardíaca izquierda. Neumomediastino.
  • 114.
    Rx PA detórax. Mujer de 40 Rx lateral. Masa localizada años. Masa mediastínica en mediastino posterior redondeada, bien definida que no (neurofibroma). borra la silueta cardíaca.
  • 115.
     Traumáticas  Traumatismo cerrado de tórax  Secundario a cirugía de cuello y tórax  Perforación esofágica  Perforación traqueobronquial  Ejercicio vigoroso  Asma  Ventilación mecánica  Espontáneo  Rotura de vesícula o bula  Idiopático
  • 116.
    Neumopericardio  Presencia deaire en la cavidad pericárdica.  Compromiso hemodinámico importante.  Común en RN sometidos a ventilación mecánica por distrés respiratorio.  Excepcional en el Neumopericardio tardío tras adulto. pericardiocentesis
  • 119.
    PATOLOGÍA DIAFRAGMÁTICA  HERNIADEL HIATO: se origina la imagen de masa retrocardíaca con nivel hidroaéreo al provocar un desplazamiento de la cámara gástrica.  ROTURA DIAFRAGMÁTICA: se sospecha cuando se identifica en la rx de tórax, estructuras abdominales como el estómago o el intestino.
  • 121.