PATOLOGÍA
Ariadna Lucia Ochoa Morales 102932
Luz Denisse Ramos Portillo 111127
MVZ. Nora Alejandrina López Salinas
HIPEREMIA Y CONGESTIÓN
Las superficies de los tejidos hiperemicos o
congestionados son hemorrágicos y húmedos.
HIPEREMIA ACTIVA
• Activa o Arterial. El aumento del contenido sanguíneo
intravascular se debe en este tipo de hiperemia a un aumento
del aporte arterial de sangre.
• Macroscópicamente: El órgano con hiperemia activa toma un
color rojo vivo, muestra un volumen aumentado y mayor
temperatura. Hiperemia activa fisiológica se observa en general
en órganos con aumento de su actividad, como en las glándulas
de secreción interna o en el músculo esquelético.
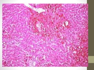
HIPEREMIA PASIVA
• Pasiva o Venosa. En este caso el aumento del contenido
sanguíneo intravascular se debe a un drenaje insuficiente de
sangre venosa.
• Macroscópicamente: el órgano afectado muestra aumento de
volumen, color rojo violáceo oscuro, cianosis y disminución de la
temperatura local.
• Microscópicamente: En el caso de un hígado congestionado, se
observan las venas centrolobulillares y los sinusoides próximos a
ellas, están distendidas y contienen gran cantidad de sangre.
• a) Estado normal
b) hiperemia local
c) isquemia
d) hiperemia venosa
HEMORRAGIA
Se define como la extravasación de sangre, debido a ruptura de los
vasos. La hemorragia puede ser interna o externa.
Dentro de las hemorragias tenemos:
TIPO DESCRIPCION CAUSA
HEMATOMA Acumulación de s
sangre en tejidos
Traumatismos o enfermedades
Vasculares
HEMOPERICARDIO Acumulación de sangre en el
pericardio
Rotura aortica o Rotura cardiaca
HEMOTORAX Acumulación de sangre en la
cavidad pleural
Traumatismos, rotura aórtica
HEMOPERITONEO Acumulación de sangre en la
cavidad peritoneal
Rotura aórtica, rotura de bazo o
hígado
HEMARTROS Acumulación de sangre en la
cavidad articular
Trastornos hemorrágicos,
traumatismos
PÚRPURA(2-10 mm) Hemorragias tisulares de alrededor
de 1 cm de diámetro
Fragilidad vascular anormal
PETEQUIAS(1-2 mm) Hemorragias tisulares de alrededor
de 1 mm de diámetro
Aumento brusco de la presión,
enfermedades de los pequeños
vasos, alteraciones de la
coagulación
HEMORRAGIA
Cambios de coloración
• Los hematíes son degradados por los
macrófagos. La hemoglobina (rojo
azulado) se convierte en bilirrubina y
biliverdina (azul verdoso) y finalmente
en hemosiderina (castaño dorado). La
importancia clínica de las hemorragias
depende del volumen y rapidez de la
pérdida sanguínea y localización.
EDEMA
• Es el aumento de liquido en el espacio intersticial.
• Mecanismo: Aumento de la presión hidrostática de la
microcirculación. Disminución de la presión oncótica
plasmática . Obstrucción linfática
• Causas: Insuficiencia del hemicardio izquierdo, Inflamación,
Hipertensión venosa, Obstrucción linfática local
• MACROSCOPICO:
• Aumento de grosor y al cortarlo fluye de el “traslucido” , que
es transparente, amarillento y por lo general no coagula. En
sistema respiratorio se encuentra liquido espumoso en
bronquios y tráquea
• MICROSCOPICAMENTE:
• En un corte, teñido con H-E, el liquido se presenta con un
color traslucido o de coloración rosada; en el caso de edema
pulmonar se ven los alveolos distendidos y ocupados de este
material eosinofílico.
Bibliografía
• Kumar, Abbas, Fausto (1999 n=China). Pathologic Basis of
Disease, 7th edition. Elsevier Saunders. p. 122. ISBN 0-7216-
0187-1.
• Walter F., PhD. Boron. Medical Physiology: A Cellular And
Molecular Approaoch, Elsevier/Saunders. ISBN 1-4160-2328-3.
• Renkin EM. (1994) Cellular aspects of transvascular exchange:
a 40-year perspective. Microcirculation 1(3):157–67.
• Cho S, Atwood J (2002). «Peripheral oedema». Am J Med 113
(7): 580–6. doi:10.1016/S0002-9343(02)01322-0. PMID
12459405.
• Trigo Tavera, Francisco J. (2004) Patología General Veterinaria
4ta Edicion, UNAM

PATOLOGIA

  • 1.
    PATOLOGÍA Ariadna Lucia OchoaMorales 102932 Luz Denisse Ramos Portillo 111127 MVZ. Nora Alejandrina López Salinas
  • 2.
  • 3.
    Las superficies delos tejidos hiperemicos o congestionados son hemorrágicos y húmedos.
  • 4.
    HIPEREMIA ACTIVA • Activao Arterial. El aumento del contenido sanguíneo intravascular se debe en este tipo de hiperemia a un aumento del aporte arterial de sangre. • Macroscópicamente: El órgano con hiperemia activa toma un color rojo vivo, muestra un volumen aumentado y mayor temperatura. Hiperemia activa fisiológica se observa en general en órganos con aumento de su actividad, como en las glándulas de secreción interna o en el músculo esquelético.
  • 5.
    HIPEREMIA PASIVA • Pasivao Venosa. En este caso el aumento del contenido sanguíneo intravascular se debe a un drenaje insuficiente de sangre venosa. • Macroscópicamente: el órgano afectado muestra aumento de volumen, color rojo violáceo oscuro, cianosis y disminución de la temperatura local. • Microscópicamente: En el caso de un hígado congestionado, se observan las venas centrolobulillares y los sinusoides próximos a ellas, están distendidas y contienen gran cantidad de sangre.
  • 6.
    • a) Estadonormal b) hiperemia local c) isquemia d) hiperemia venosa
  • 7.
    HEMORRAGIA Se define comola extravasación de sangre, debido a ruptura de los vasos. La hemorragia puede ser interna o externa. Dentro de las hemorragias tenemos: TIPO DESCRIPCION CAUSA HEMATOMA Acumulación de s sangre en tejidos Traumatismos o enfermedades Vasculares HEMOPERICARDIO Acumulación de sangre en el pericardio Rotura aortica o Rotura cardiaca HEMOTORAX Acumulación de sangre en la cavidad pleural Traumatismos, rotura aórtica HEMOPERITONEO Acumulación de sangre en la cavidad peritoneal Rotura aórtica, rotura de bazo o hígado HEMARTROS Acumulación de sangre en la cavidad articular Trastornos hemorrágicos, traumatismos PÚRPURA(2-10 mm) Hemorragias tisulares de alrededor de 1 cm de diámetro Fragilidad vascular anormal PETEQUIAS(1-2 mm) Hemorragias tisulares de alrededor de 1 mm de diámetro Aumento brusco de la presión, enfermedades de los pequeños vasos, alteraciones de la coagulación
  • 10.
    HEMORRAGIA Cambios de coloración •Los hematíes son degradados por los macrófagos. La hemoglobina (rojo azulado) se convierte en bilirrubina y biliverdina (azul verdoso) y finalmente en hemosiderina (castaño dorado). La importancia clínica de las hemorragias depende del volumen y rapidez de la pérdida sanguínea y localización.
  • 11.
    EDEMA • Es elaumento de liquido en el espacio intersticial. • Mecanismo: Aumento de la presión hidrostática de la microcirculación. Disminución de la presión oncótica plasmática . Obstrucción linfática • Causas: Insuficiencia del hemicardio izquierdo, Inflamación, Hipertensión venosa, Obstrucción linfática local
  • 12.
    • MACROSCOPICO: • Aumentode grosor y al cortarlo fluye de el “traslucido” , que es transparente, amarillento y por lo general no coagula. En sistema respiratorio se encuentra liquido espumoso en bronquios y tráquea
  • 13.
    • MICROSCOPICAMENTE: • Enun corte, teñido con H-E, el liquido se presenta con un color traslucido o de coloración rosada; en el caso de edema pulmonar se ven los alveolos distendidos y ocupados de este material eosinofílico.
  • 14.
    Bibliografía • Kumar, Abbas,Fausto (1999 n=China). Pathologic Basis of Disease, 7th edition. Elsevier Saunders. p. 122. ISBN 0-7216- 0187-1. • Walter F., PhD. Boron. Medical Physiology: A Cellular And Molecular Approaoch, Elsevier/Saunders. ISBN 1-4160-2328-3. • Renkin EM. (1994) Cellular aspects of transvascular exchange: a 40-year perspective. Microcirculation 1(3):157–67. • Cho S, Atwood J (2002). «Peripheral oedema». Am J Med 113 (7): 580–6. doi:10.1016/S0002-9343(02)01322-0. PMID 12459405. • Trigo Tavera, Francisco J. (2004) Patología General Veterinaria 4ta Edicion, UNAM