TROMBOEMBOLISMO
PULMONAR
CLASE MEDICINA INTERNA
UNIVERSIDAD SIMON
BOLIVAR MAYO 2021
DefinicioneS
.
Embolo es un trombo o parte del
mismo que puede desprenderse
del vaso y viajar a través del
torrente sanguíneo.
Trombo Embolismo
Pulmonar
Trombo Embolismo Pulmonar
Tipos De Émbolos
Sanguíneos: Grasos:
• traumatismos óseos
Sépticos:
• flebitis y endocarditis
Líquido amniótico:
• roturas del saco vitelino.
Aéreos:
•colocación de catéteres
venosos y roturas venosas.
Neoplásicos:
• tumores intracardiacos
Cuerpo extraño:
• polvo, drogas
Parasitarios:
• esquistosomiasis
Trombo Embolismo Pulmonar
Triada de Virchow
Estasis.
Provocado por reposo con
ausencia de utilización de
la bomba muscular. Al
circular lentamente la
sangre, finalmente
coagula.
Daño a la pared del vaso.
Ocurre en relación a
trauma del endotelio,
exponiendo las capas
profundas de la pared del
vaso y gatillando la
cascada de la coagulación.
Hipercoagulabilidad.
Yasea congénita o
adquirida.
Factores de Riesgo
•Trombosis venosa profunda.
•Cirugías (remplazo de cadera o rodilla…).
•Fractura de fémur.
•Obesidad.
•Sedentarismo.
•Encamamiento mayor de 3 días.
Trombo Embolismo Pulmonar
La incidencia estimada de TEP es
de 70 a 200 casos por 100.000
habitantes por año˜, y se
correlaciona fuertemente con la
edad en forma directa.
En Colombia, la mortalidad hospitalaria global
por TEP esde 14,8% , con un adecuado manejo,
esta puede disminuir desde el 15-30% hasta el
3-10 %.
El 30 % de los pacientes sobrevivientes a un
episodio agudo de TEP tendrán síntomas
residuales, y el 2% desarrollarán
hipertensiónPulmonar.
Respiratorios y
Hemodinámicos
Efectos respiratorios
aumento del espacio
muerto alveolar:
continúan
ventilándose alvéolos
sin perfusión,
desequilibrio entre la
ventilación y perfusión
(V/Q)
Bronco constricción:
dada por plaquetas y
serotonina, reducirían
la ventilación del
territorio no
perfundido.
taquipnea:
efecto compensatorio
para producir
hiperventilación.
hipoxemia
Más tardíamente
puede haber pérdida
regional del
surfactante e infarto
pulmonar.
FISIPOTOLOGIA
Fisiopatología
Efectos hemodinámicos.
cuando excede un 50% de
obstrucción
produce un incremento
brusco de resistencia y
presión.
Al factor mecánico del
émbolo se suma el efecto
vasoconstrictor de las
aminas liberadas por las
plaquetas del trombo.
Si la obstrucción supera el
60 a 75% de la circulación
pulmonar
se desencadena un cor
pulmonale agudo, con
disminución brusca del
gasto cardíaco.
si se reduce el gasto
sistémico, puede
producirse isquemia
ventricular derecha, mayor
caída del gasto y arritmias.
LA VENTILACIÓN Y LA PERFUSIÓN PULMONAR
- Son procesos discontinuos.
- La ventilación depende de la intermitencia de los
movimientos respiratorios y la perfusion de las variaciones
entre sístole y diástole.
- El cociente global V/Q (ventilación alveolar total dividida por
el gasto cardiaco) aporta poca información sobre el
intercambio gaseoso en el pulmón.
- Las relaciones locales V/Q son las que realmente determinan
las presiones alveolares y sanguíneas de O2 y CO2.
- En bipedestación, la distribución de la ventilación y la
perfusión no son homogéneas (zonas de West). Por efecto
gravitacional, en los vértices la ventilación es mayor que la
perfusión y lo contrario ocurre en las bases.
LA VENTILACIÓN Y LA PERFUSIÓN PULMONAR
Se pueden encontrar tres patrones de
relación V/Q: o Áreas perfundidas y
no ventiladas, con V/Q = 0
(equivale al concepto fisiológico de
cortocircuito) o Áreas ventiladas no
perfundidas (espacio muerto
fisiológico), que corresponde al 25%
de la ventilación.
o Áreas en las que la perfusión y la
ventilación son homogéneamente
proporcionales, con cociente V/Q
entre 3 y 10. Con el envejecimiento
de produce una alteración progresiva
de las relaciones V/Q
LA VENTILACIÓN Y LA PERFUSIÓN PULMONAR
- En condiciones fisiológicas existe un pequeño cortocircuito
que representa el 1% del gasto cardiaco: las venas bronquiales
que drenan en las venas pulmonares, y las venas de Tebesio
(coronarias).
- La disminución o ausencia de la perfusión pulmonar
produce aumento del espacio muerto alveolar,
broncoconstricción refleja y atelectasias.
- La hipoventilación alveolar producida, la existencia de zonas
de infarto pulmonar y alteraciones en el surfactante
pulmonar producen hipoxemia y retención de anhídrido
carbónico (CO2).
VENTILACIÓN Y LA PERFUSIÓN PULMONAR
La principal causa de hipoxemia en el TEP está producida por la
existencia de zonas pulmonares que tienen mala perfusión y buena
ventilación (desigualdad ventilación/perfusión) lo cual produce;
- Aumento del gradiente de tensión alveoloarterial de oxígeno [P(A-
a)O2]
- Cortocircuito intrapulmonar de sangre venosa mixta, hipoventilación
alveolar
- Disminución en la eliminación de CO2.
-> Cuando la tromboembolia es tan grave que produce hipercapnia, la
hipertensión pulmonar suele ocasionar insuficiencia ventricular
derecha aguda que con frecuencia evoluciona al fallecimiento del
paciente.
• El tamaño y
localización del
émbolo.
• La edad y la condición
cardiorrespiratoria
previa del paciente.
El cuadro clínico del TEP
varía ampliamente y
depende de:
• disnea súbita o de
evolución rápida
(horas)
• dolor torácico
pleurítico u opresivo.
• tos.
Los síntomas más
frecuentes son:
• Hemoptisis.
• edema con o sin dolor
en una pierna (TVP).
• Síncope.
• palpitaciones.
Menos frecuentesson:
• Taquipnea.
• Taquicardia.
• galope y el
reforzamiento del
segundo ruido
pulmonar.
Los signos más
frecuentes son:
•aparición de sibilancias o
estertores localizados.
•disminución de los ruidos
respiratorios.
•Cianosis.
•Hipotensión.
•signos clínicos de TVP.
Menos frecuentesson:
CUADRO CLINICO .
Síndromes Clínicos
Disnea súbita o de rápida
evolución (horas) y causa
poco aparente (embolismo
pulmonar submasivo
agudo).
En un paciente con
enfermedad
cardiorrespiratoria previa
severa como ICC o EPOC, un
embolismo pequeño puede
tener una expresión clínica
grave.
Dolor pleurítico,
acompañado o no de
hemoptisis o disnea súbita
(embolismo pulmonar
periférico).
Se relaciona anátomo-
patológicamente con el infarto
pulmonar.
Colapso circulatorio
(embolismo pulmonar
masivo).
Hipotensión persistente con
choque por obstrucción de
más del 30% de la circulación o
de menor magnitud en un
paciente con enfermedad
cardiorrespiratoria previa
grave
Trombo Embolismo Pulmonar
CLASIFICACIÓN DE LA EMBOLIA PULMONAR
 PE masiva: comprende 5 a 10% de los casos. Se caracteriza por
trombosis extensa que afecta al menos, la mitad de los vasos del
pulmón. Los signos definitorios de PE masiva son: disnea, síncope,
hipotensión y cianosis. El cuadro inicial puede ser el choque
cardiogénico.
 PE submasiva: abarca 20 a 25% de los pacientes y se caracteriza por
disfunción del VD a pesar de la presión arterial sistémica normal. La
combinación de insuficiencia de las cavidades derechas del corazón y la
liberación de biomarcadores cardiacos denota una mayor posibilidad
de deterioro clínico.
 La PE de bajo riesgo comprende 70 a 75% de los casos, y en tal
situación los pacientes muestran un pronóstico excelente.
Trombo Embolismo
Pulmonar
Puntaje De Wells Para
Probabilidad Clínica De TEP
Probabilidad
Trombo Embolismo Pulmonar
Diagnóstico
Cuadro hemático,
BUN, creatinina
Rx de Tórax PAy
lateral.
Gases arteriales
Electrocardiograma Dímero D
Gammagrafía
pulmonar de
perfusión y de
ventilación-perfusión
AngioTAC
Angiografíapulmonar
Ultrasonido Doppler
venoso de miembros
inferiores
Ecocardiograma
Troponinas
Trombo Embolismo
Pulmonar
Prominencia de la arteria pulmonar
Signo de westermark
Dímero D
De baja especificidad, útiles
en pacientes que están en
urgencia ya que se combina
con probabilidad clínica.
Cáncer
IAM
Inflamaciones
Necrosis
Son productos de degradación de la fibrina detectados cuando
el trombo, en un proceso de coagulación, es proteolizado por la
plasmina .Es llamado así porque contiene dos fragmentos D
entrecruzados de proteína Fibrina.
•La sensibilidad :95%.
•El índice normal de dímeros-D en la sangre es inferior a 500
microgramos/litro.
•El resultado de un análisis de dímeros-D es negativo cuando
muestra un índice inferior a 500 microgramos/litro. Este
resultado negativo permite descartar por completo una embolia
pulmonar y/o una flebitis.
Dímeros-D Trombo Embolismo
Pulmonar
Factores que provocan el
aumento de dímeros-D
Algunas condiciones fisiológicas provocan la formación de
pequeñas cantidades de fibrina:
•Después de una intervención quirúrgica.
•Durante un embarazo.
•Patologías inflamatorias.
•Reabsorción de un hematoma.
•Hemorragias
•El índice sanguíneo de dímeros-D aumenta con la edad..
Gammagrafía Pulmonar De Perfusión Y
De Ventilación-perfusión
Se le da a inhalar a paciente xenón radioactivo.
Si el paciente tiene su vía bronquial despejada (ventilación adecuada)
como es en el caso del TEP, el xenón se distribuye en todo el espacio
pulmonar.
Después, con albúmina marcada, se hace un estudio con gama cámara
para evaluar la perfusión pulmonar.
Es altamente sugerente de TEP si las zonas pulmonares que están
ventiladas no están perfundidas, se produce una incongruencia.
debe leerse como normal (prácticamente descarta TEP), anormal
diagnóstica (prácticamente confirma TEP) o anormal no diagnóstica (no
confirma, ni descarta TEP)
TAC Helicoidal
Es la técnica de elección.
Permite la visualización directa del
trombo dentro de la arteria pulmonar
y sus ramas.
Angio TAC que revela un trombo oclusivo en
el tronco de la arteria pulmonar derecha y
trombos menores en la arteria pulmonar
izquierda (flechas).
Ecografía venosa de la extremidades
inferiores
Junto al Doppler a color son las mas
utilizadas para detectar TVP
En pacientes con sospecha de TEP si
se confirma TVP, no se hace
necesaria otras pruebas
Está indicado siempre que exista clínica de TVP
Está indicado si la gammagrafía no es diagnóstica
y/o la angioTAC es normal en presencia de una
probabilidad clínica alta.
Un examen positivo con una probabilidad clínica
alta puede considerarse diagnóstico de TEP
Un examen negativo no descarta TEP
 Signos de TVP
 Ausencia de coaptabilidad de la vena
Visualización del trombo intraluminal
con obstrucción parcial o completa de
la luz venosa.
 Dilatación de la vena comparada con la
arteria adyacente.
 Señales de Doppler venoso anormales
Doppler Venoso de MMII
Angiografía Pulmonar
Único que asegura diagnóstico (gold Santandar).
Tiene alta sensibilidad y especificidad en vasos grandes.
A través de la vena femoral se realiza la cateterización por la
aurícula y ventrículo derechos de las arterias pulmonares.
inyectando medio de contraste en la raíz de la arteria pulmonar
Si es negativo habiendo TEP es de mejor pronóstico.
obliteración masiva de la arteria pulmonar izquierda. A la derecha, después del tratamiento con Urokinasa y
fragmentación mecánica del trombo hay reperfusión total y caída de la presión media de arteria pulmonar de 43 a 22
mmHg. (Gentileza Dr Mario Fava, Radiología, U. Católica)
•Defecto de repleción intraluminal en el interior del árbol arterial
opacificado
•Oclusión completa de una rama de la arteria pulmonar (puede darse
por un trombo in situ)
•Retraso en la opacificación de las ramas arteriales pulmonares
Signos
angiográficos
de EP
Tratamiento
La primera opción terapéutica de la
enfermedad tromboembólica venosa son
las heparinas de bajo peso molecular.
En caso de insuficiencia renal, se podrían
utilizar heparinas no fraccionadas. Ante
un primer episodio de tromboembolismo
idiopático no grave, sin marcadores de
recidiva durante el seguimiento, la
anticoagulación debe ser mantenida
durante seis meses.
Tratamiento
Disminución
del
crecimiento
del trombo.
Promover su
lisis.
Evitar
recurrencia.
Evitar
complicaciones
(muerte,
hipertensión
arterial
pulmonar).
Heparina no
fraccionada
cataliza la inactivación
de la
trombina por el
factor Xa y la
antitrombina
dosis de carga de
80U/Kg de peso,
seguido de una
infusión de 18U
kg/hora
Trombo Embolismo Pulmonar
Trombo Embolismo Pulmonar
Tratamiento
Heparina de bajo
peso molecular
Inhiben principalmenteal
factor Xa.
no requiere
monitorización, alcanza
niveles estables y se asocia
a menos episodios de
trombocitopenia y
osteoporosis que la HNF.
1mg/kg
Enoxaparina
s.c. cada 12 horas
Anticoagulantes
orales
Actúan interfiriendo la
conversión de vit K a vit K
etopóxido, produciendo
reducción de los factores de
coagulación dependientes
de vitamina K (II, VII, IX, X).
Warfarina dosis 5-7.5 mg
TRATAMIENTO
Anticoagulantes orales durante 3-6 meses :
Warfarina: 5mg/dia
Tto con transición a dabigatrán o edoxaban
Tto con rivaroxaban o apixaban
Heparina no fraccionada durante 7 días mínimo:
En bolo de 80U/kg seguida de una infusión de 18 U/kg/H
Se debe ajustar para mantener un tiempo de tromboplastina
de 60 a 80s
Enoxaparina 1mg/kg cada 12H
Datelparina 100 U/kg
Heparinas de bajo peso molecular
Fármaco Dosis
Enoxaparina 1 mg/kg s.c. c/12 hrs
tinzarapina 175 UI/ kg s.c. c/24 hrs
Dalterapina 200 UI/kg s.c. c/24 hrs
Warfarina: 5 mg vía oral.
7.2. Anticoagulación inicial
SARTD-CHGUV Sesión de Formación
Continuada
Valencia 28 de Octubre de 2019
• Parenteral: Pacientes de riesgo alto e intermedio de
sufrir TEP deben anticoagularse, siendo el régimen
inicial más usado la HBPM, aunque también se usan
fondaparinaux o HNF. El uso de los NACO
farmacodinámicamente parece factible, pero aún está
en estudio*.
• Antagonistas vit K: Tan pronto como sea posible, o se
prevea el alta en los próximos días, es conveniente que
los pacientes pasen a un régimen de anticoagulación
oral con anti-vitK, al menos 3-4 días antes de retirar la
HBPM.
Trombolíticos
Potencian fibrinólisis fisiológica mediante la activación
del plasminógeno para aumentar la producción de
plasmina y así lisar rápidamente los trombos recientes
Estos están indicados en la TEP hemodinamicamente
inestable
Estreptoquinasa 250,000 UI en 30min
Uroquinasa 4,400 UI/kg en 10min
Tratamiento
Trombolíticos
Indicado en TEP graves,
con compromiso
hemodinámico y sin
contraindicaciones para su
uso
Actúan activando el
plasminógeno en plasmina,
que degrada la fibrina de
un trombo en péptidos
solubles.
Complicaciones:
hemorragias cerebrales,
HTA
Estreptokinasa: “Bolo”
inicial de 250.000 UI
administrado en 30
minutos, seguido de una
infusión de 100.000
UI/hora por 24 horas.
Manejo
quirúrgico
Filtro de vena
cava superior
Embolectomía
quirúrgica
Embolectomía
pulmonar
percutánea
• TROMBOLISIS:
Estreptoquinasa: 250 000 UI en 30 minutos seguido
de 100 000 UI/hora/24 hrs.
Uroquinasa: 4400 UI/Kg seguido de 4400U/Kg/12 o
24 hrs.
Activador del plasminogeno tisular recombinante (rt-
PA), 100 mg administrados en 2 hrs.
Trombo Embolismo
Pulmonar
7.4. Filtros de vena cava
SARTD-CHGUV Sesión de Formación
Continuada
Valencia 28 de Octubre de 2019
TEP.ppt

TEP.ppt

  • 1.
  • 2.
    DefinicioneS . Embolo es untrombo o parte del mismo que puede desprenderse del vaso y viajar a través del torrente sanguíneo. Trombo Embolismo Pulmonar
  • 4.
    Trombo Embolismo Pulmonar TiposDe Émbolos Sanguíneos: Grasos: • traumatismos óseos Sépticos: • flebitis y endocarditis Líquido amniótico: • roturas del saco vitelino. Aéreos: •colocación de catéteres venosos y roturas venosas. Neoplásicos: • tumores intracardiacos Cuerpo extraño: • polvo, drogas Parasitarios: • esquistosomiasis
  • 7.
    Trombo Embolismo Pulmonar Triadade Virchow Estasis. Provocado por reposo con ausencia de utilización de la bomba muscular. Al circular lentamente la sangre, finalmente coagula. Daño a la pared del vaso. Ocurre en relación a trauma del endotelio, exponiendo las capas profundas de la pared del vaso y gatillando la cascada de la coagulación. Hipercoagulabilidad. Yasea congénita o adquirida.
  • 8.
    Factores de Riesgo •Trombosisvenosa profunda. •Cirugías (remplazo de cadera o rodilla…). •Fractura de fémur. •Obesidad. •Sedentarismo. •Encamamiento mayor de 3 días. Trombo Embolismo Pulmonar
  • 10.
    La incidencia estimadade TEP es de 70 a 200 casos por 100.000 habitantes por año˜, y se correlaciona fuertemente con la edad en forma directa. En Colombia, la mortalidad hospitalaria global por TEP esde 14,8% , con un adecuado manejo, esta puede disminuir desde el 15-30% hasta el 3-10 %. El 30 % de los pacientes sobrevivientes a un episodio agudo de TEP tendrán síntomas residuales, y el 2% desarrollarán hipertensiónPulmonar.
  • 12.
    Respiratorios y Hemodinámicos Efectos respiratorios aumentodel espacio muerto alveolar: continúan ventilándose alvéolos sin perfusión, desequilibrio entre la ventilación y perfusión (V/Q) Bronco constricción: dada por plaquetas y serotonina, reducirían la ventilación del territorio no perfundido. taquipnea: efecto compensatorio para producir hiperventilación. hipoxemia Más tardíamente puede haber pérdida regional del surfactante e infarto pulmonar. FISIPOTOLOGIA
  • 13.
    Fisiopatología Efectos hemodinámicos. cuando excedeun 50% de obstrucción produce un incremento brusco de resistencia y presión. Al factor mecánico del émbolo se suma el efecto vasoconstrictor de las aminas liberadas por las plaquetas del trombo. Si la obstrucción supera el 60 a 75% de la circulación pulmonar se desencadena un cor pulmonale agudo, con disminución brusca del gasto cardíaco. si se reduce el gasto sistémico, puede producirse isquemia ventricular derecha, mayor caída del gasto y arritmias.
  • 15.
    LA VENTILACIÓN YLA PERFUSIÓN PULMONAR - Son procesos discontinuos. - La ventilación depende de la intermitencia de los movimientos respiratorios y la perfusion de las variaciones entre sístole y diástole. - El cociente global V/Q (ventilación alveolar total dividida por el gasto cardiaco) aporta poca información sobre el intercambio gaseoso en el pulmón. - Las relaciones locales V/Q son las que realmente determinan las presiones alveolares y sanguíneas de O2 y CO2. - En bipedestación, la distribución de la ventilación y la perfusión no son homogéneas (zonas de West). Por efecto gravitacional, en los vértices la ventilación es mayor que la perfusión y lo contrario ocurre en las bases.
  • 16.
    LA VENTILACIÓN YLA PERFUSIÓN PULMONAR Se pueden encontrar tres patrones de relación V/Q: o Áreas perfundidas y no ventiladas, con V/Q = 0 (equivale al concepto fisiológico de cortocircuito) o Áreas ventiladas no perfundidas (espacio muerto fisiológico), que corresponde al 25% de la ventilación. o Áreas en las que la perfusión y la ventilación son homogéneamente proporcionales, con cociente V/Q entre 3 y 10. Con el envejecimiento de produce una alteración progresiva de las relaciones V/Q
  • 17.
    LA VENTILACIÓN YLA PERFUSIÓN PULMONAR - En condiciones fisiológicas existe un pequeño cortocircuito que representa el 1% del gasto cardiaco: las venas bronquiales que drenan en las venas pulmonares, y las venas de Tebesio (coronarias). - La disminución o ausencia de la perfusión pulmonar produce aumento del espacio muerto alveolar, broncoconstricción refleja y atelectasias. - La hipoventilación alveolar producida, la existencia de zonas de infarto pulmonar y alteraciones en el surfactante pulmonar producen hipoxemia y retención de anhídrido carbónico (CO2).
  • 18.
    VENTILACIÓN Y LAPERFUSIÓN PULMONAR La principal causa de hipoxemia en el TEP está producida por la existencia de zonas pulmonares que tienen mala perfusión y buena ventilación (desigualdad ventilación/perfusión) lo cual produce; - Aumento del gradiente de tensión alveoloarterial de oxígeno [P(A- a)O2] - Cortocircuito intrapulmonar de sangre venosa mixta, hipoventilación alveolar - Disminución en la eliminación de CO2. -> Cuando la tromboembolia es tan grave que produce hipercapnia, la hipertensión pulmonar suele ocasionar insuficiencia ventricular derecha aguda que con frecuencia evoluciona al fallecimiento del paciente.
  • 19.
    • El tamañoy localización del émbolo. • La edad y la condición cardiorrespiratoria previa del paciente. El cuadro clínico del TEP varía ampliamente y depende de: • disnea súbita o de evolución rápida (horas) • dolor torácico pleurítico u opresivo. • tos. Los síntomas más frecuentes son: • Hemoptisis. • edema con o sin dolor en una pierna (TVP). • Síncope. • palpitaciones. Menos frecuentesson: • Taquipnea. • Taquicardia. • galope y el reforzamiento del segundo ruido pulmonar. Los signos más frecuentes son: •aparición de sibilancias o estertores localizados. •disminución de los ruidos respiratorios. •Cianosis. •Hipotensión. •signos clínicos de TVP. Menos frecuentesson: CUADRO CLINICO .
  • 20.
    Síndromes Clínicos Disnea súbitao de rápida evolución (horas) y causa poco aparente (embolismo pulmonar submasivo agudo). En un paciente con enfermedad cardiorrespiratoria previa severa como ICC o EPOC, un embolismo pequeño puede tener una expresión clínica grave. Dolor pleurítico, acompañado o no de hemoptisis o disnea súbita (embolismo pulmonar periférico). Se relaciona anátomo- patológicamente con el infarto pulmonar. Colapso circulatorio (embolismo pulmonar masivo). Hipotensión persistente con choque por obstrucción de más del 30% de la circulación o de menor magnitud en un paciente con enfermedad cardiorrespiratoria previa grave Trombo Embolismo Pulmonar
  • 21.
    CLASIFICACIÓN DE LAEMBOLIA PULMONAR  PE masiva: comprende 5 a 10% de los casos. Se caracteriza por trombosis extensa que afecta al menos, la mitad de los vasos del pulmón. Los signos definitorios de PE masiva son: disnea, síncope, hipotensión y cianosis. El cuadro inicial puede ser el choque cardiogénico.  PE submasiva: abarca 20 a 25% de los pacientes y se caracteriza por disfunción del VD a pesar de la presión arterial sistémica normal. La combinación de insuficiencia de las cavidades derechas del corazón y la liberación de biomarcadores cardiacos denota una mayor posibilidad de deterioro clínico.  La PE de bajo riesgo comprende 70 a 75% de los casos, y en tal situación los pacientes muestran un pronóstico excelente.
  • 22.
  • 23.
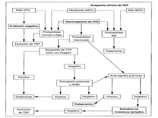
    Puntaje De WellsPara Probabilidad Clínica De TEP Probabilidad Trombo Embolismo Pulmonar
  • 26.
    Diagnóstico Cuadro hemático, BUN, creatinina Rxde Tórax PAy lateral. Gases arteriales Electrocardiograma Dímero D Gammagrafía pulmonar de perfusión y de ventilación-perfusión AngioTAC Angiografíapulmonar Ultrasonido Doppler venoso de miembros inferiores Ecocardiograma Troponinas Trombo Embolismo Pulmonar
  • 28.
    Prominencia de laarteria pulmonar Signo de westermark
  • 33.
    Dímero D De bajaespecificidad, útiles en pacientes que están en urgencia ya que se combina con probabilidad clínica. Cáncer IAM Inflamaciones Necrosis
  • 34.
    Son productos dedegradación de la fibrina detectados cuando el trombo, en un proceso de coagulación, es proteolizado por la plasmina .Es llamado así porque contiene dos fragmentos D entrecruzados de proteína Fibrina. •La sensibilidad :95%. •El índice normal de dímeros-D en la sangre es inferior a 500 microgramos/litro. •El resultado de un análisis de dímeros-D es negativo cuando muestra un índice inferior a 500 microgramos/litro. Este resultado negativo permite descartar por completo una embolia pulmonar y/o una flebitis. Dímeros-D Trombo Embolismo Pulmonar
  • 35.
    Factores que provocanel aumento de dímeros-D Algunas condiciones fisiológicas provocan la formación de pequeñas cantidades de fibrina: •Después de una intervención quirúrgica. •Durante un embarazo. •Patologías inflamatorias. •Reabsorción de un hematoma. •Hemorragias •El índice sanguíneo de dímeros-D aumenta con la edad..
  • 37.
    Gammagrafía Pulmonar DePerfusión Y De Ventilación-perfusión Se le da a inhalar a paciente xenón radioactivo. Si el paciente tiene su vía bronquial despejada (ventilación adecuada) como es en el caso del TEP, el xenón se distribuye en todo el espacio pulmonar. Después, con albúmina marcada, se hace un estudio con gama cámara para evaluar la perfusión pulmonar. Es altamente sugerente de TEP si las zonas pulmonares que están ventiladas no están perfundidas, se produce una incongruencia. debe leerse como normal (prácticamente descarta TEP), anormal diagnóstica (prácticamente confirma TEP) o anormal no diagnóstica (no confirma, ni descarta TEP)
  • 38.
    TAC Helicoidal Es latécnica de elección. Permite la visualización directa del trombo dentro de la arteria pulmonar y sus ramas.
  • 40.
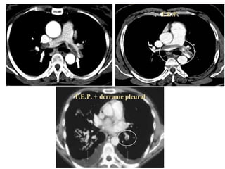
    Angio TAC querevela un trombo oclusivo en el tronco de la arteria pulmonar derecha y trombos menores en la arteria pulmonar izquierda (flechas).
  • 41.
    Ecografía venosa dela extremidades inferiores Junto al Doppler a color son las mas utilizadas para detectar TVP En pacientes con sospecha de TEP si se confirma TVP, no se hace necesaria otras pruebas
  • 42.
    Está indicado siempreque exista clínica de TVP Está indicado si la gammagrafía no es diagnóstica y/o la angioTAC es normal en presencia de una probabilidad clínica alta. Un examen positivo con una probabilidad clínica alta puede considerarse diagnóstico de TEP Un examen negativo no descarta TEP  Signos de TVP  Ausencia de coaptabilidad de la vena Visualización del trombo intraluminal con obstrucción parcial o completa de la luz venosa.  Dilatación de la vena comparada con la arteria adyacente.  Señales de Doppler venoso anormales Doppler Venoso de MMII
  • 43.
    Angiografía Pulmonar Único queasegura diagnóstico (gold Santandar). Tiene alta sensibilidad y especificidad en vasos grandes. A través de la vena femoral se realiza la cateterización por la aurícula y ventrículo derechos de las arterias pulmonares. inyectando medio de contraste en la raíz de la arteria pulmonar Si es negativo habiendo TEP es de mejor pronóstico.
  • 44.
    obliteración masiva dela arteria pulmonar izquierda. A la derecha, después del tratamiento con Urokinasa y fragmentación mecánica del trombo hay reperfusión total y caída de la presión media de arteria pulmonar de 43 a 22 mmHg. (Gentileza Dr Mario Fava, Radiología, U. Católica) •Defecto de repleción intraluminal en el interior del árbol arterial opacificado •Oclusión completa de una rama de la arteria pulmonar (puede darse por un trombo in situ) •Retraso en la opacificación de las ramas arteriales pulmonares Signos angiográficos de EP
  • 48.
    Tratamiento La primera opciónterapéutica de la enfermedad tromboembólica venosa son las heparinas de bajo peso molecular. En caso de insuficiencia renal, se podrían utilizar heparinas no fraccionadas. Ante un primer episodio de tromboembolismo idiopático no grave, sin marcadores de recidiva durante el seguimiento, la anticoagulación debe ser mantenida durante seis meses.
  • 50.
    Tratamiento Disminución del crecimiento del trombo. Promover su lisis. Evitar recurrencia. Evitar complicaciones (muerte, hipertensión arterial pulmonar). Heparinano fraccionada cataliza la inactivación de la trombina por el factor Xa y la antitrombina dosis de carga de 80U/Kg de peso, seguido de una infusión de 18U kg/hora Trombo Embolismo Pulmonar
  • 51.
    Trombo Embolismo Pulmonar Tratamiento Heparinade bajo peso molecular Inhiben principalmenteal factor Xa. no requiere monitorización, alcanza niveles estables y se asocia a menos episodios de trombocitopenia y osteoporosis que la HNF. 1mg/kg Enoxaparina s.c. cada 12 horas Anticoagulantes orales Actúan interfiriendo la conversión de vit K a vit K etopóxido, produciendo reducción de los factores de coagulación dependientes de vitamina K (II, VII, IX, X). Warfarina dosis 5-7.5 mg
  • 52.
    TRATAMIENTO Anticoagulantes orales durante3-6 meses : Warfarina: 5mg/dia Tto con transición a dabigatrán o edoxaban Tto con rivaroxaban o apixaban Heparina no fraccionada durante 7 días mínimo: En bolo de 80U/kg seguida de una infusión de 18 U/kg/H Se debe ajustar para mantener un tiempo de tromboplastina de 60 a 80s Enoxaparina 1mg/kg cada 12H Datelparina 100 U/kg
  • 54.
    Heparinas de bajopeso molecular Fármaco Dosis Enoxaparina 1 mg/kg s.c. c/12 hrs tinzarapina 175 UI/ kg s.c. c/24 hrs Dalterapina 200 UI/kg s.c. c/24 hrs Warfarina: 5 mg vía oral.
  • 56.
    7.2. Anticoagulación inicial SARTD-CHGUVSesión de Formación Continuada Valencia 28 de Octubre de 2019 • Parenteral: Pacientes de riesgo alto e intermedio de sufrir TEP deben anticoagularse, siendo el régimen inicial más usado la HBPM, aunque también se usan fondaparinaux o HNF. El uso de los NACO farmacodinámicamente parece factible, pero aún está en estudio*. • Antagonistas vit K: Tan pronto como sea posible, o se prevea el alta en los próximos días, es conveniente que los pacientes pasen a un régimen de anticoagulación oral con anti-vitK, al menos 3-4 días antes de retirar la HBPM.
  • 59.
    Trombolíticos Potencian fibrinólisis fisiológicamediante la activación del plasminógeno para aumentar la producción de plasmina y así lisar rápidamente los trombos recientes Estos están indicados en la TEP hemodinamicamente inestable Estreptoquinasa 250,000 UI en 30min Uroquinasa 4,400 UI/kg en 10min
  • 60.
    Tratamiento Trombolíticos Indicado en TEPgraves, con compromiso hemodinámico y sin contraindicaciones para su uso Actúan activando el plasminógeno en plasmina, que degrada la fibrina de un trombo en péptidos solubles. Complicaciones: hemorragias cerebrales, HTA Estreptokinasa: “Bolo” inicial de 250.000 UI administrado en 30 minutos, seguido de una infusión de 100.000 UI/hora por 24 horas. Manejo quirúrgico Filtro de vena cava superior Embolectomía quirúrgica Embolectomía pulmonar percutánea
  • 61.
    • TROMBOLISIS: Estreptoquinasa: 250000 UI en 30 minutos seguido de 100 000 UI/hora/24 hrs. Uroquinasa: 4400 UI/Kg seguido de 4400U/Kg/12 o 24 hrs. Activador del plasminogeno tisular recombinante (rt- PA), 100 mg administrados en 2 hrs. Trombo Embolismo Pulmonar
  • 63.
    7.4. Filtros devena cava SARTD-CHGUV Sesión de Formación Continuada Valencia 28 de Octubre de 2019