TROMBOEMBOLISMO   PULMONAR DR. Juan Álvarez Arana
Objetivos
Definición Es el resultado de la obstrucción parcial o total del flujo sanguíneo pulmonar por un émbolo procedente, en la mayoría de los casos (95%), del sistema venoso profundo de las extremidades inferiores (grandes venas proximales) y en menor frecuencia de las pélvicas.  Otros orígenes pueden ser: vena cava inferior, cavidades cardíacas derechas, válvulas cardíacas (endocarditis), ventrículo derecho (necrosis) y miembros superiores. Son poco frecuentes los émbolos formados por tumores, aire, liquido amniótico, medula ósea y cuerpos extraños.
Incidencia y epidemiologia En EE.UU causa 600,000 casos no fatales y 300,000 muertes anuales. En México la prevalencia exacta es desconocida, se estima en 139/100,000 habitantes y 70% son fatales. Incidencia mundial de 1/1000 por año. Se encuentra hasta en un 25% de las necropsias. En el 34% de los casos de TEP la primera manifestación es la muerte súbita y el 11% fallece en la primera hora por falla hemodinámica. Nieto JA et al. Tromboembolia pulmonar. Luces y sombras Rev Esp Cardiol. 2008;61(3):229-32
Incidencia y epidemiologia La TEP es causa de fallecimiento en el 5-23% de pacientes hospitalizados y aproximadamente el 71% de los fallecimientos por TEP procede de ETV adquirida en el hospital. 50% de los pacientes con TVP tienen TEP. Sin tratamiento tiene una mortalidad del 20-30%.  Es de difícil diagnóstico, sólo el 30% de los TEP con un mal desenlace se diagnostican en vida. La complicación más grave del TEP a largo plazo es la hipertensión pulmonar.  Nieto JA et al. Tromboembolia pulmonar. Luces y sombras Rev Esp Cardiol. 2008;61(3):229-32
Factores de riesgo Factores hereditarios Deficiencia de antitrombina Deficiencia de Proteína C Deficiencia de Proteína S Factor de V leiden Resistencia de la proteína C activada sin el factor V leinden Mutación del gen de protrombina Disfibrinogenemia Deficiencia de plasminogeno Factores adquiridos Movilidad reducida Edad avanzada Cáncer Enfermedad medica aguda Cirugía mayor Trauma Daño de medula espinal Embarazo y periodo postparto Policitemia vera Síndrome de anticuerpos antifosfolipidos Anticonceptivos orales Terapia de reemplazo hormonal Heparinas Quimioterapia Obesidad Cateterización venosa central Inmovilizador o férula Factores Probables Niveles elevados de lipoproteína Niveles elevados de homocisteina, factores VIII, IX and XI, fibrinogeno, inibidor de fibrinolisis trombina activada Factores Probables Niveles elevados de lipoproteína Niveles elevados de homocisteina, factores VIII, IX and XI, fibrinogeno, inibidor de fibrinolisis trombina activada Tapson V. N Engl J Med 2008;358:1037-1052
Etiopatogenia TRIADA DE VIRCHOW
Pathophysiology of Pulmonary Embolism Tapson V. N Engl J Med 2008;358:1037-1052
. Fisiopatología
 
Clasificacion:  TEP masivo: causa muerte o choque TEP submasivo: es el mas frecuente Infarto pulmonar: 10% de los casos TEP recurrente: produce hipertensión pulmonar y cor pulmonale Cuadro clínico
Cuadro clínico
El TEP agudo frecuentemente se presenta con disnea o dolor de pecho, o muerte súbita. El 15 a 30% de los pacientes con TEP no presentan síntomas. El dolor torácico pleurítico y la hemoptisis ocurren mas frecuentemente en pacientes con infarto de pulmón. Taquicardia y taquipnea son comunes pero no específicos.  Acute Pulmonary Embolism Victor F. Tapson, M.D. N Engl J Med 2008;358:1037-52. Cuadro clínico
Los síntomas y signos tanto de la TVP como del TEP pueden ser altamente sugestivos pero son poco sensibles o específicos. El TEP masivo ocurre cuando se produce una obstrucción mecánica súbita del 50% o mas del lecho arterial pulmonar.  La posibilidad de TEP masiva puede ser considerada en pacientes que tienen síncope o presíncope, hipotensión, hipoxemia extrema, disociación electromecánica o paro cardíaco. Acute Pulmonary Embolism Victor F. Tapson, M.D. N Engl J Med 2008;358:1037-52. Cuadro clínico
Factores de Riesgo Alcocer Gamba, et. al.  Tromboembolia pulmonar, un enfoque multidisciplinario.  NEUMOLOGÍA Y CIRUGÍA DE TÓRAX Vol. 65(2):88-100, 2006
DIAGNÓSTICO
 
 
Diagnóstico  Es frecuente en nuestro país que trabajemos en centros que no cuentan con recursos como gammagrama ventilatorio-perfusorio o la posibilidad de realizar la prueba “ estándar de oro”, angiografía pulmonar. Mientras no se cuente con todos los recursos, tenemos que adaptarnos y  no es correcto depender de lo que se carece. Alcocer Gamba, et. al.  Tromboembolia pulmonar, un enfoque multidisciplinario.  NEUMOLOGÍA Y CIRUGÍA DE TÓRAX Vol. 65(2):88-100, 2006
Score de Wells de Embolia pulmonar Thromb Haemost 2000Mar; 83(3):416-20 JAMA 2006; 295:172 Alta 7-12 Moderada 2- 6 Baja 0-1
Diagnostic Algorithm for Suspected Pulmonary Embolism in a Patient without Hypotension or Shock Konstantinides S. N Engl J Med 2008;359:2804-2813
Score de Geneva revizado Baja 0-3  Intermedia 4-10 Alta ≥  11 N Engl J Med 2008;358:1037-52. Variable Ptos. >65 años 1 TVP o TEP previo 3 Cirugía o Fractura de EEII 2 Cancer Activo 2 Dolor unilateral de EEII 3 Hemoptisis 2 FC 75-94 x´ 3 FC ≥ 95 x´ 5 Dolor a la palpación o edema unilateral 4
Desordenes asociados a ↑Dimero-D Arterial thromboembolic disease  Myocardial infarction  Stroke  Acute limb ischemia  Atrial fibrillation  Intracardiac thrombus  Venous thromboembolic disease  Deep vein thrombosis  Pulmonary embolism  Disseminated intravascular coagulation  Preeclampsia and eclampsia  Abnormal fibrinolysis; use of thrombolytic agents  Cardiovascular disease, congestive failure Malignancy   Severe infection/sepsis/inflammation  Surgery/trauma (eg, tissue ischemia, necrosis)  Systemic inflammatory response syndrome  Vasoocclusive episode of sickle cell disease  Severe liver disease (decreased clearance)  Renal disease  Nephrotic syndrome (eg, renal vein thrombosis)  Acute renal failure  Chronic renal failure and underlying cardiovascular disease  Normal pregnancy  Venous malformations
Dimero D Valores de Dimero D < 500 ng/ml en pacientes con probabilidad baja o moderada -> Descarta TEP Probabilidad alta de TEP -> Examenes de Imagen Chest. 2008 Oct;134(4):789-93 N Engl J Med 2008;358:1037-52. JAMA 2006; 295:172
Manifestaciones en la Radiografía de Tórax Atelectasias Laminares Signo de Fleischner Amputación de rama arterial
Manifestaciones en la Radiografía de Tórax Hiperclaridad  Normal Derrame Pleural
Arteriografía Pulmonar
Arteriografía Pulmonar
Angiografía Pulmonar Por Sustracción Digital Menor experiencia. Menor certeza en embolismo menor a 30%. Menos medio de contraste. Menos morbi-mortalidad.
Gammagrafía Pulmonar Metodo no invasivo Metodo mas empleado Si es normal  excluye diagnostico 100% Defecto perfusorio en presencia de ventilación normal es diagnostico Alta, moderada, y baja probabilidad diagnóstica Estudio PIOPED
Gammagrafía Pulmonar Perfusoria Normal Perfusoria Anormal
Gamagrafía Pulmonar
TAC Espiral Para TEP Tomografía computarizada espiral con medio de contraste mostrando un coagulo intraluminal en el tronco anterior después de su origen y en arteria interlobar derecha .
Tomografía Computarizada Espiral Con Medio De Contraste
ARTERIOGRAFIA
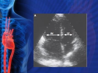
Ecocardiograma 30 a 40% pacientes presenta alteraciones Aumento del tamaño ventricular derecho Disminución función ventriculo derecho Regurgitación tricuspidea Disfunción ventricular derecha y trombo ventricular derecho implicados en el pronostico
 
Ecocardiograma En TEP Diagnóstico : Embolo en Cavidades derechas Evalúa la repercusión hemodinamica Dilatación Ventricular derecha Hipertensión Arterial Pulmonar Movimiento paradojico del septum interventricular
Angiotac Detecta anomalias pulmonares alternativas que pueden explicar la clínica del paciente Sensibilidad 83% Especificidad 96% Valor predictivo positivo Probabilidad clínica  Alta 96% Intermedia 92% Baja 56% Valor predictivo negativo Probabilidad clínica Alta 60 Intermedia 89 Baja 96 N Engl J Med. 2006 Jun 1;354(22):2317-27
 
Angiografia
Se confirma el diagnóstico de tromboembolia pulmonar en las siguientes condiciones: Alcocer Gamba, et. al.  Tromboembolia pulmonar, un enfoque multidisciplinario.  NEUMOLOGÍA Y CIRUGÍA DE TÓRAX Vol. 65(2):88-100, 2006
La tromboembolia pulmonar puede ser excluida por: Alcocer Gamba, et. al.  Tromboembolia pulmonar, un enfoque multidisciplinario.  NEUMOLOGÍA Y CIRUGÍA DE TÓRAX Vol. 65(2):88-100, 2006
Diagnostico diferencial Alcocer Gamba, et. al.  Tromboembolia pulmonar, un enfoque multidisciplinario.  NEUMOLOGÍA Y CIRUGÍA DE TÓRAX Vol. 65(2):88-100, 2006
Tratamiento
Treatment of Acute Pulmonary Embolism.
 
Anticoagulant Drugs for Initial Treatment of Pulmonary Embolism Konstantinides S. N Engl J Med 2008;359:2804-2813
Trombolisis Indicaciones potenciales Hipotensión Hipoxemia Severa  Alteración en la perfusión  Disfunsión ventricular derecha  TVP extenso Evaluar Riesgo beneficio caso a caso N Engl J Med 2002 Oct 10;347(15):1143-50
Embolectomia por cateter
Embolectomía Quirúrgica Requiere equipo médico experimentado y necesidad de un bypass cardiopulmonar Indicaciones Trombolisis contraindicada Trombo en Auricula derecha, ventriculo derecho o en foramen oval No ha sido comparada con trombolisis primaria ni embolectomía por catéter Management of unsuccessful thrombolysis in acute massive pulmonary embolism. Chest. 2006 Apr;129(4):1043-50.
Alcocer Gamba, et. al.  Tromboembolia pulmonar, un enfoque multidisciplinario.  NEUMOLOGÍA Y CIRUGÍA DE TÓRAX Vol. 65(2):88-100, 2006
Medidas preventivas
Bibliografia HARRISON PRINCIPIOS DE MEDICINA INTERNA, 16ª edición, Cap. 239. Alcocer Gamba, et. al.  Tromboembolia pulmonar, un enfoque multidisciplinario.  NEUMOLOGÍA Y CIRUGÍA DE TÓRAX  Vol. 65(2):88-100, 2006 Stavros Konstantinides, M.D .Acute Pulmonary Embolism.  N Engl J Med Volume 359(26):2804-2813 December 25, 2008 FARRERAS ROZMAN, MEDICINA INTERNA,  13ª edición, Pág.. 828-845. N Engl J Med 2010;363:266-74.N Engl J Med 2008;358:1037-52.

Tromboembolismo pulmonar

  • 1.
    TROMBOEMBOLISMO PULMONAR DR. Juan Álvarez Arana
  • 2.
  • 3.
    Definición Es elresultado de la obstrucción parcial o total del flujo sanguíneo pulmonar por un émbolo procedente, en la mayoría de los casos (95%), del sistema venoso profundo de las extremidades inferiores (grandes venas proximales) y en menor frecuencia de las pélvicas. Otros orígenes pueden ser: vena cava inferior, cavidades cardíacas derechas, válvulas cardíacas (endocarditis), ventrículo derecho (necrosis) y miembros superiores. Son poco frecuentes los émbolos formados por tumores, aire, liquido amniótico, medula ósea y cuerpos extraños.
  • 4.
    Incidencia y epidemiologiaEn EE.UU causa 600,000 casos no fatales y 300,000 muertes anuales. En México la prevalencia exacta es desconocida, se estima en 139/100,000 habitantes y 70% son fatales. Incidencia mundial de 1/1000 por año. Se encuentra hasta en un 25% de las necropsias. En el 34% de los casos de TEP la primera manifestación es la muerte súbita y el 11% fallece en la primera hora por falla hemodinámica. Nieto JA et al. Tromboembolia pulmonar. Luces y sombras Rev Esp Cardiol. 2008;61(3):229-32
  • 5.
    Incidencia y epidemiologiaLa TEP es causa de fallecimiento en el 5-23% de pacientes hospitalizados y aproximadamente el 71% de los fallecimientos por TEP procede de ETV adquirida en el hospital. 50% de los pacientes con TVP tienen TEP. Sin tratamiento tiene una mortalidad del 20-30%. Es de difícil diagnóstico, sólo el 30% de los TEP con un mal desenlace se diagnostican en vida. La complicación más grave del TEP a largo plazo es la hipertensión pulmonar. Nieto JA et al. Tromboembolia pulmonar. Luces y sombras Rev Esp Cardiol. 2008;61(3):229-32
  • 6.
    Factores de riesgoFactores hereditarios Deficiencia de antitrombina Deficiencia de Proteína C Deficiencia de Proteína S Factor de V leiden Resistencia de la proteína C activada sin el factor V leinden Mutación del gen de protrombina Disfibrinogenemia Deficiencia de plasminogeno Factores adquiridos Movilidad reducida Edad avanzada Cáncer Enfermedad medica aguda Cirugía mayor Trauma Daño de medula espinal Embarazo y periodo postparto Policitemia vera Síndrome de anticuerpos antifosfolipidos Anticonceptivos orales Terapia de reemplazo hormonal Heparinas Quimioterapia Obesidad Cateterización venosa central Inmovilizador o férula Factores Probables Niveles elevados de lipoproteína Niveles elevados de homocisteina, factores VIII, IX and XI, fibrinogeno, inibidor de fibrinolisis trombina activada Factores Probables Niveles elevados de lipoproteína Niveles elevados de homocisteina, factores VIII, IX and XI, fibrinogeno, inibidor de fibrinolisis trombina activada Tapson V. N Engl J Med 2008;358:1037-1052
  • 7.
  • 8.
    Pathophysiology of PulmonaryEmbolism Tapson V. N Engl J Med 2008;358:1037-1052
  • 9.
  • 10.
  • 11.
    Clasificacion: TEPmasivo: causa muerte o choque TEP submasivo: es el mas frecuente Infarto pulmonar: 10% de los casos TEP recurrente: produce hipertensión pulmonar y cor pulmonale Cuadro clínico
  • 12.
  • 13.
    El TEP agudofrecuentemente se presenta con disnea o dolor de pecho, o muerte súbita. El 15 a 30% de los pacientes con TEP no presentan síntomas. El dolor torácico pleurítico y la hemoptisis ocurren mas frecuentemente en pacientes con infarto de pulmón. Taquicardia y taquipnea son comunes pero no específicos. Acute Pulmonary Embolism Victor F. Tapson, M.D. N Engl J Med 2008;358:1037-52. Cuadro clínico
  • 14.
    Los síntomas ysignos tanto de la TVP como del TEP pueden ser altamente sugestivos pero son poco sensibles o específicos. El TEP masivo ocurre cuando se produce una obstrucción mecánica súbita del 50% o mas del lecho arterial pulmonar. La posibilidad de TEP masiva puede ser considerada en pacientes que tienen síncope o presíncope, hipotensión, hipoxemia extrema, disociación electromecánica o paro cardíaco. Acute Pulmonary Embolism Victor F. Tapson, M.D. N Engl J Med 2008;358:1037-52. Cuadro clínico
  • 15.
    Factores de RiesgoAlcocer Gamba, et. al. Tromboembolia pulmonar, un enfoque multidisciplinario. NEUMOLOGÍA Y CIRUGÍA DE TÓRAX Vol. 65(2):88-100, 2006
  • 16.
  • 17.
  • 18.
  • 19.
    Diagnóstico Esfrecuente en nuestro país que trabajemos en centros que no cuentan con recursos como gammagrama ventilatorio-perfusorio o la posibilidad de realizar la prueba “ estándar de oro”, angiografía pulmonar. Mientras no se cuente con todos los recursos, tenemos que adaptarnos y no es correcto depender de lo que se carece. Alcocer Gamba, et. al. Tromboembolia pulmonar, un enfoque multidisciplinario. NEUMOLOGÍA Y CIRUGÍA DE TÓRAX Vol. 65(2):88-100, 2006
  • 20.
    Score de Wellsde Embolia pulmonar Thromb Haemost 2000Mar; 83(3):416-20 JAMA 2006; 295:172 Alta 7-12 Moderada 2- 6 Baja 0-1
  • 21.
    Diagnostic Algorithm forSuspected Pulmonary Embolism in a Patient without Hypotension or Shock Konstantinides S. N Engl J Med 2008;359:2804-2813
  • 22.
    Score de Genevarevizado Baja 0-3 Intermedia 4-10 Alta ≥ 11 N Engl J Med 2008;358:1037-52. Variable Ptos. >65 años 1 TVP o TEP previo 3 Cirugía o Fractura de EEII 2 Cancer Activo 2 Dolor unilateral de EEII 3 Hemoptisis 2 FC 75-94 x´ 3 FC ≥ 95 x´ 5 Dolor a la palpación o edema unilateral 4
  • 23.
    Desordenes asociados a↑Dimero-D Arterial thromboembolic disease Myocardial infarction Stroke Acute limb ischemia Atrial fibrillation Intracardiac thrombus Venous thromboembolic disease Deep vein thrombosis Pulmonary embolism Disseminated intravascular coagulation Preeclampsia and eclampsia Abnormal fibrinolysis; use of thrombolytic agents Cardiovascular disease, congestive failure Malignancy Severe infection/sepsis/inflammation Surgery/trauma (eg, tissue ischemia, necrosis) Systemic inflammatory response syndrome Vasoocclusive episode of sickle cell disease Severe liver disease (decreased clearance) Renal disease Nephrotic syndrome (eg, renal vein thrombosis) Acute renal failure Chronic renal failure and underlying cardiovascular disease Normal pregnancy Venous malformations
  • 24.
    Dimero D Valoresde Dimero D < 500 ng/ml en pacientes con probabilidad baja o moderada -> Descarta TEP Probabilidad alta de TEP -> Examenes de Imagen Chest. 2008 Oct;134(4):789-93 N Engl J Med 2008;358:1037-52. JAMA 2006; 295:172
  • 25.
    Manifestaciones en laRadiografía de Tórax Atelectasias Laminares Signo de Fleischner Amputación de rama arterial
  • 26.
    Manifestaciones en laRadiografía de Tórax Hiperclaridad Normal Derrame Pleural
  • 27.
  • 28.
  • 29.
    Angiografía Pulmonar PorSustracción Digital Menor experiencia. Menor certeza en embolismo menor a 30%. Menos medio de contraste. Menos morbi-mortalidad.
  • 30.
    Gammagrafía Pulmonar Metodono invasivo Metodo mas empleado Si es normal excluye diagnostico 100% Defecto perfusorio en presencia de ventilación normal es diagnostico Alta, moderada, y baja probabilidad diagnóstica Estudio PIOPED
  • 31.
    Gammagrafía Pulmonar PerfusoriaNormal Perfusoria Anormal
  • 32.
  • 33.
    TAC Espiral ParaTEP Tomografía computarizada espiral con medio de contraste mostrando un coagulo intraluminal en el tronco anterior después de su origen y en arteria interlobar derecha .
  • 34.
    Tomografía Computarizada EspiralCon Medio De Contraste
  • 35.
  • 36.
    Ecocardiograma 30 a40% pacientes presenta alteraciones Aumento del tamaño ventricular derecho Disminución función ventriculo derecho Regurgitación tricuspidea Disfunción ventricular derecha y trombo ventricular derecho implicados en el pronostico
  • 37.
  • 38.
    Ecocardiograma En TEPDiagnóstico : Embolo en Cavidades derechas Evalúa la repercusión hemodinamica Dilatación Ventricular derecha Hipertensión Arterial Pulmonar Movimiento paradojico del septum interventricular
  • 39.
    Angiotac Detecta anomaliaspulmonares alternativas que pueden explicar la clínica del paciente Sensibilidad 83% Especificidad 96% Valor predictivo positivo Probabilidad clínica Alta 96% Intermedia 92% Baja 56% Valor predictivo negativo Probabilidad clínica Alta 60 Intermedia 89 Baja 96 N Engl J Med. 2006 Jun 1;354(22):2317-27
  • 40.
  • 41.
  • 42.
    Se confirma eldiagnóstico de tromboembolia pulmonar en las siguientes condiciones: Alcocer Gamba, et. al. Tromboembolia pulmonar, un enfoque multidisciplinario. NEUMOLOGÍA Y CIRUGÍA DE TÓRAX Vol. 65(2):88-100, 2006
  • 43.
    La tromboembolia pulmonarpuede ser excluida por: Alcocer Gamba, et. al. Tromboembolia pulmonar, un enfoque multidisciplinario. NEUMOLOGÍA Y CIRUGÍA DE TÓRAX Vol. 65(2):88-100, 2006
  • 44.
    Diagnostico diferencial AlcocerGamba, et. al. Tromboembolia pulmonar, un enfoque multidisciplinario. NEUMOLOGÍA Y CIRUGÍA DE TÓRAX Vol. 65(2):88-100, 2006
  • 45.
  • 46.
    Treatment of AcutePulmonary Embolism.
  • 47.
  • 48.
    Anticoagulant Drugs forInitial Treatment of Pulmonary Embolism Konstantinides S. N Engl J Med 2008;359:2804-2813
  • 49.
    Trombolisis Indicaciones potencialesHipotensión Hipoxemia Severa Alteración en la perfusión Disfunsión ventricular derecha TVP extenso Evaluar Riesgo beneficio caso a caso N Engl J Med 2002 Oct 10;347(15):1143-50
  • 50.
  • 51.
    Embolectomía Quirúrgica Requiereequipo médico experimentado y necesidad de un bypass cardiopulmonar Indicaciones Trombolisis contraindicada Trombo en Auricula derecha, ventriculo derecho o en foramen oval No ha sido comparada con trombolisis primaria ni embolectomía por catéter Management of unsuccessful thrombolysis in acute massive pulmonary embolism. Chest. 2006 Apr;129(4):1043-50.
  • 52.
    Alcocer Gamba, et.al. Tromboembolia pulmonar, un enfoque multidisciplinario. NEUMOLOGÍA Y CIRUGÍA DE TÓRAX Vol. 65(2):88-100, 2006
  • 53.
  • 54.
    Bibliografia HARRISON PRINCIPIOSDE MEDICINA INTERNA, 16ª edición, Cap. 239. Alcocer Gamba, et. al. Tromboembolia pulmonar, un enfoque multidisciplinario. NEUMOLOGÍA Y CIRUGÍA DE TÓRAX Vol. 65(2):88-100, 2006 Stavros Konstantinides, M.D .Acute Pulmonary Embolism. N Engl J Med Volume 359(26):2804-2813 December 25, 2008 FARRERAS ROZMAN, MEDICINA INTERNA, 13ª edición, Pág.. 828-845. N Engl J Med 2010;363:266-74.N Engl J Med 2008;358:1037-52.

Notas del editor

  • #3 Conocer los factores de riesgo del TEP ya que es una relevante causa de morbimortalidad y un desafío al que hacer frente en los próximos años. Reconocer los métodos diagnósticos indicados en esta patología e identificar el mejor tratamiento disponible. TEP puede ocurrir rapida e impredeciblemente y puede ser dificil de diagnosticar. El tratamiento oportuno puede reducir la mortalidad y una apropiada profilaxis primaria es usualmente efectiva.
  • #4 Venas poplíteas, femorales e iliacas
  • #5 La incidencia varia de acuerdo al factor de riesgo y a la prueba diagnostica utilizada.
  • #6 ETV enfermedad tromboembolica venosa Cuando se confirma el diagnóstico de TEP y se inicia una terapia efectiva, el embolismo recurrente y la muerte son poco comunes, salvo que el paciente presente inicialmente inestabilidad hemodinámica, donde la mortalidad es del 20 a 30% aproximadamente.
  • #54 Vacunación contra el virus Influenza: en &gt;de 6 meses de edad, con enfermedades subyacentes, &gt; de 50 años, residentes de acilos de ancianos, personas con enfermedad cardiaca o pulmonar crónica, DM2, HIV, IRC o enfermedades hematológicas, mujeres en segundo y tercer trimestre de embarazo, trabajadores de la salud.