WILSON VARGAS
CARRERA
PARAMEDICO
TRASORNOS GASTRICOS
 Una de las causas más importantes y conocidas
es la alteración a nivel del esfínter esofágico
inferior, que es un anillo muscular que rodea al
esófago en su unión con el estómago, y
permanece cerrado impidiendo que el contenido
del estómago vuelva de nuevo al esófago.
Cuando el esfínter se altera y se produce una
disminución de su presión en reposo, se relaja y
no ejerce bien su función, de forma que el
contenido estomacal refluye. Determinados
fármacos y sustancias como el alcohol, el
chocolate o el tabaco favorecen la relajación del
esfínter y, por lo tanto, el reflujo
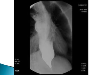
 Es una enfermedad de la motilidad
del esófago caracterizada por
relajación incompleta del
esfínter esofágico inferior y por la
ausencia de la peristaltismo
esofágica
 Se produce por incapacidad del
plexo mienterico para transmitir
informacion lo que produce una
relajacion receptiva del cardias
 Esta lesión ocasiona megaesofago
que almacena alimento el cual sufre
putrefacción infección ulceración
de la mucosa dolor retro esternal
perforación y muerte del paciente
 Inflamación superficial o
profunda de la mucosa del
estomago producida por
bacterias y sustancias
irritantes (alcohol, ácido
acetilsalicílico)
 Destruyen las uniones
estrechas de las células
epiteliales y puede ocasionar
atrofia glandular.
 Se manifiesta por dolor
urente en la parte anterior e
inferior del tórax (epi-gastrio)
 desaparecen todas o casi todas las glándulas
de la mucosa, lo que lleva a la aclorhídria y en
ocasiones anemia perniciosa.
 Significa que el estómago ha
dejado de producir ácido
clorhídrico, se diagnostica
cuando el pH no disminuye de
6,5 luego de la estimulación
gástrica.
Aclorhidria
 Hipoclorhidria: existe
disminución de la cantidad de
ácido, se acompana de cese de
secreción de pepsinógeno por lo
que el estómago no digiere
proteínas.
 Además se produce anemia
perniciosa porque no se absorbe
vitamina B2 por falta del factor
intrínseco que no se produce en
la glándula gástríca.
 Es una excoriación de la
mucosa gástrica o intestinal
por acción de jugo gástrico.
Se relaciona con un
desequilibrio entre el ritmo
de secreción gástrica, el
grado de protección de la
mucosa gastroduodenal y la
acción neutralizante de los
jugos duodenales.
 Pacientespresentan
infección que puede durar toda la
vida a menos que se erradique
con antibióticos.
Infección crónica de las
porciones terminales del
estomago e iniciales del
duodeno por la bacteria
helicobacter pylori,
 Adenomas productores
de gastrina que se
localizan en páncreas,
estômago y duodeno se
ocasionan úlceras
graves.
Síndrome de Zollinger
Ellison
 Se producen por
 Reflujo duodeno gástrico
 Por exeso de secreción de ácido gástrico
producida por estimulación bacteriana
 Tabaco
 Alcohol
 Acido acetilsalícilico
 Antiinflamatorios no esteroides.
 La mayoría de pacientes se tratan con
antibióticos y bloqueadores de la bomba
de protones; cuando existen hemorragias
masivas se recurre a Ia cirugía
 En el pasado para el tratamiento de úlceras
gástricas, duodenales o prepilóricas se
utilizaba la vagotomía combinada con la
extirpación de la mucosa del antro que
secreta gastrina, acompañada además de
piloroplastia para impedir la estasis gástrica.
 La pancreatitis,
obstrucción de la ampolla
de Vater y extirpación de
la cabeza del páncreas por
cáncer producen digestión
anormal grave que
produce falta de absorción
de hasta 60% de las grasas
y 50% de proteínas y
carbohidratos.
Insuficiencia pancreática
 Es Ia inflamación aguda o
crónica del páncreas
ocasionada por el alcohol y la
obstrucción de Ia ampolla de
Vater por un cálculo biliar.
 La cantidad de tripsinógeno
que se acumula en el páncreas
sobrepasa al inihibidor de
tripsina
 Activa a la tripsina que a su
vez activa al tripsinógeno,
quimiotripsinógeno y
carboxipolipetidasa
 Enzimas que digeren con
rapidez el propio pancreas y lo
destruyen en forma completa
y permanente

Transtornos gastro esofagicos

  • 1.
  • 3.
     Una delas causas más importantes y conocidas es la alteración a nivel del esfínter esofágico inferior, que es un anillo muscular que rodea al esófago en su unión con el estómago, y permanece cerrado impidiendo que el contenido del estómago vuelva de nuevo al esófago. Cuando el esfínter se altera y se produce una disminución de su presión en reposo, se relaja y no ejerce bien su función, de forma que el contenido estomacal refluye. Determinados fármacos y sustancias como el alcohol, el chocolate o el tabaco favorecen la relajación del esfínter y, por lo tanto, el reflujo
  • 4.
     Es unaenfermedad de la motilidad del esófago caracterizada por relajación incompleta del esfínter esofágico inferior y por la ausencia de la peristaltismo esofágica  Se produce por incapacidad del plexo mienterico para transmitir informacion lo que produce una relajacion receptiva del cardias  Esta lesión ocasiona megaesofago que almacena alimento el cual sufre putrefacción infección ulceración de la mucosa dolor retro esternal perforación y muerte del paciente
  • 6.
     Inflamación superficialo profunda de la mucosa del estomago producida por bacterias y sustancias irritantes (alcohol, ácido acetilsalicílico)  Destruyen las uniones estrechas de las células epiteliales y puede ocasionar atrofia glandular.  Se manifiesta por dolor urente en la parte anterior e inferior del tórax (epi-gastrio)
  • 8.
     desaparecen todaso casi todas las glándulas de la mucosa, lo que lleva a la aclorhídria y en ocasiones anemia perniciosa.
  • 9.
     Significa queel estómago ha dejado de producir ácido clorhídrico, se diagnostica cuando el pH no disminuye de 6,5 luego de la estimulación gástrica. Aclorhidria
  • 10.
     Hipoclorhidria: existe disminuciónde la cantidad de ácido, se acompana de cese de secreción de pepsinógeno por lo que el estómago no digiere proteínas.  Además se produce anemia perniciosa porque no se absorbe vitamina B2 por falta del factor intrínseco que no se produce en la glándula gástríca.
  • 11.
     Es unaexcoriación de la mucosa gástrica o intestinal por acción de jugo gástrico. Se relaciona con un desequilibrio entre el ritmo de secreción gástrica, el grado de protección de la mucosa gastroduodenal y la acción neutralizante de los jugos duodenales.
  • 12.
     Pacientespresentan infección quepuede durar toda la vida a menos que se erradique con antibióticos. Infección crónica de las porciones terminales del estomago e iniciales del duodeno por la bacteria helicobacter pylori,
  • 13.
     Adenomas productores degastrina que se localizan en páncreas, estômago y duodeno se ocasionan úlceras graves. Síndrome de Zollinger Ellison
  • 14.
     Se producenpor  Reflujo duodeno gástrico  Por exeso de secreción de ácido gástrico producida por estimulación bacteriana  Tabaco  Alcohol  Acido acetilsalícilico  Antiinflamatorios no esteroides.  La mayoría de pacientes se tratan con antibióticos y bloqueadores de la bomba de protones; cuando existen hemorragias masivas se recurre a Ia cirugía
  • 15.
     En elpasado para el tratamiento de úlceras gástricas, duodenales o prepilóricas se utilizaba la vagotomía combinada con la extirpación de la mucosa del antro que secreta gastrina, acompañada además de piloroplastia para impedir la estasis gástrica.
  • 16.
     La pancreatitis, obstrucciónde la ampolla de Vater y extirpación de la cabeza del páncreas por cáncer producen digestión anormal grave que produce falta de absorción de hasta 60% de las grasas y 50% de proteínas y carbohidratos. Insuficiencia pancreática
  • 17.
     Es Iainflamación aguda o crónica del páncreas ocasionada por el alcohol y la obstrucción de Ia ampolla de Vater por un cálculo biliar.  La cantidad de tripsinógeno que se acumula en el páncreas sobrepasa al inihibidor de tripsina  Activa a la tripsina que a su vez activa al tripsinógeno, quimiotripsinógeno y carboxipolipetidasa  Enzimas que digeren con rapidez el propio pancreas y lo destruyen en forma completa y permanente