Servicio de Cirugía de Cabeza, Cuello y
Máxilofacial
DEPARTAMENTO DE CIRUGIA
Dr. Edwin J. Calderón Flores
Cirujano de Cabeza, Cuello y Maxilofacial
RNE:18918
HOSPITAL “LA CALETA”
Miembro de la Sociedad Peruana de Cirugía de Cabeza, Cuello y Maxilofacial
TRAQUEOCELE O DIVERTICULO TRAQUEAL
PATOLOGIA QUIRURGICA DE CABEZA Y CUELLO
- El DIVERTICULO TRAQUEAL O TRAQUEOCELE es una cavidad
aérea paratraqueal, que puede ser adquirido o congénito, debida a
la herniación de la mucosa traqueal a través de una zona de
debilidad en la musculatura de la pared traqueal, entre el cartílago y
la pars membranosa posterior de los anillos traqueales.
- Por lo general, la forma más habitual en adultos es la adquirida, que
suele presentarse con afección broncopulmonar crónica
concomitante.
- La localización más frecuente es el aspecto posterior derecho de la
tráquea.
- CLINICAMENTE puede ser asintomático, o causar síntomas
respiratorios y digestivos, crónicos y recurrentes, como tos
persistente, infecciones respiratorias de repetición y regurgitación.
Lo más frecuente es encontrar una tumoración cervical.
- La COMPLICACION más importante y letal es la formación de un
neumomediastino al perforar el divertículo durante una intubación
orotraqueal.
- El DIAGNOSTICO DIFERENCIAL se debe hacer con todas las masas
cervicales paratraqueales.
- Los mejores PROCEDIMIENTOS DIAGNOSTICOS son el EXAMEN
ENDOSCOPICO (se puede observar la comunicación del traqueocele
con la luz traqueal) y la TOMOGRAFIA COMPUTARIZADA (se
observa una colección aérea de límites precisos en la región
posterolateral derecha de la tráquea).
- El TRATAMIENTO QUIRURGICO puede estar indicado en los casos
sintomáticos y consiste en el cierre quirúrgico del defecto traqueal.
En el traqueocele adquirido, los traumas, las lesiones por
alta presión, la traqueotomía de larga duración, las
enfermedades traqueales obstructivas y, además las
infecciones recurrentes de las glándulas mucosas de la
tráquea con posterior obstrucción y dilatación ductal pueden
desempeñar un papel en la etiología.
A: Radiografía anteroposterior de tórax. Se observa un
saco lleno de aire que se origina en la tráquea proximal
derecha.
B: Tomografía computarizada. Se aprecia un traqueocele
que se origina en el aspecto posterolateral derecho de la
tráquea al nivel del primer anillo traqueal.
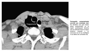
Tomografía computarizada
cervical con contraste oral.
Se identifica una gran lesión
aérea (traqueocele) en la
región paratraqueal derecha
que se extiende hacia la region
posterior traqueal y no
comunica con la luz esofágica
ni se rellena de contraste oral.
Fibrobroncoscopia. Se aprecia múltiples
orificios en la tráquea membranosa dispuestos
como un patrón de ferrocarril (entre las flechas).
También tenga en cuenta el abultamiento de la
pared traqueal derecha.
El TRATAMIENTO QUIRURGICO puede estar indicado en los casos
sintomáticos y consiste en el cierre quirúrgico del defecto traqueal.
La ilustración muestra cómo el saco traqueocele resecado desde la pared
posterolateral de la tráquea en su punto de origen al nivel del primer anillo
traqueal.
(A) Pieza operatoria.
(B) El examen microscópico que
muestra un epitelio respiratorio
simple ciliado (H&E; x10).
Webgrafia:
1. https://www.semanticscholar.org/paper/Surgical-Treatment-of-Acquired-
Tracheocele-Porubsky-
Gourin/2a2bf35c166838061965e4dbfbb6d2fa18aadcc3/figure/0
2. https://www.alliedacademies.org/articles/giant-acquired-tracheocele-in-
a-syndromic-child-case-report-and-reviewof-the-literature.pdf
3. https://www.semanticscholar.org/paper/Tracheocele%3B-a-case-of-
rare-clinical-entity.-Yazkan-
Ozpolat/10ce83064ca15323e14b3e342114b33d67a0e8ec
4. https://www.annalsthoracicsurgery.org/article/S0003-4975(13)02156-
5/pdf
¡¡ GRACIAS !!
Ciudad de Chimbote – Ancash – Perú.

TRAQUEOCELE

  • 1.
    Servicio de Cirugíade Cabeza, Cuello y Máxilofacial DEPARTAMENTO DE CIRUGIA Dr. Edwin J. Calderón Flores Cirujano de Cabeza, Cuello y Maxilofacial RNE:18918 HOSPITAL “LA CALETA” Miembro de la Sociedad Peruana de Cirugía de Cabeza, Cuello y Maxilofacial
  • 2.
    TRAQUEOCELE O DIVERTICULOTRAQUEAL PATOLOGIA QUIRURGICA DE CABEZA Y CUELLO
  • 3.
    - El DIVERTICULOTRAQUEAL O TRAQUEOCELE es una cavidad aérea paratraqueal, que puede ser adquirido o congénito, debida a la herniación de la mucosa traqueal a través de una zona de debilidad en la musculatura de la pared traqueal, entre el cartílago y la pars membranosa posterior de los anillos traqueales. - Por lo general, la forma más habitual en adultos es la adquirida, que suele presentarse con afección broncopulmonar crónica concomitante. - La localización más frecuente es el aspecto posterior derecho de la tráquea. - CLINICAMENTE puede ser asintomático, o causar síntomas respiratorios y digestivos, crónicos y recurrentes, como tos persistente, infecciones respiratorias de repetición y regurgitación. Lo más frecuente es encontrar una tumoración cervical.
  • 4.
    - La COMPLICACIONmás importante y letal es la formación de un neumomediastino al perforar el divertículo durante una intubación orotraqueal. - El DIAGNOSTICO DIFERENCIAL se debe hacer con todas las masas cervicales paratraqueales. - Los mejores PROCEDIMIENTOS DIAGNOSTICOS son el EXAMEN ENDOSCOPICO (se puede observar la comunicación del traqueocele con la luz traqueal) y la TOMOGRAFIA COMPUTARIZADA (se observa una colección aérea de límites precisos en la región posterolateral derecha de la tráquea). - El TRATAMIENTO QUIRURGICO puede estar indicado en los casos sintomáticos y consiste en el cierre quirúrgico del defecto traqueal.
  • 5.
    En el traqueoceleadquirido, los traumas, las lesiones por alta presión, la traqueotomía de larga duración, las enfermedades traqueales obstructivas y, además las infecciones recurrentes de las glándulas mucosas de la tráquea con posterior obstrucción y dilatación ductal pueden desempeñar un papel en la etiología. A: Radiografía anteroposterior de tórax. Se observa un saco lleno de aire que se origina en la tráquea proximal derecha. B: Tomografía computarizada. Se aprecia un traqueocele que se origina en el aspecto posterolateral derecho de la tráquea al nivel del primer anillo traqueal.
  • 6.
    Tomografía computarizada cervical concontraste oral. Se identifica una gran lesión aérea (traqueocele) en la región paratraqueal derecha que se extiende hacia la region posterior traqueal y no comunica con la luz esofágica ni se rellena de contraste oral.
  • 7.
    Fibrobroncoscopia. Se apreciamúltiples orificios en la tráquea membranosa dispuestos como un patrón de ferrocarril (entre las flechas). También tenga en cuenta el abultamiento de la pared traqueal derecha.
  • 8.
    El TRATAMIENTO QUIRURGICOpuede estar indicado en los casos sintomáticos y consiste en el cierre quirúrgico del defecto traqueal. La ilustración muestra cómo el saco traqueocele resecado desde la pared posterolateral de la tráquea en su punto de origen al nivel del primer anillo traqueal.
  • 9.
    (A) Pieza operatoria. (B)El examen microscópico que muestra un epitelio respiratorio simple ciliado (H&E; x10).
  • 10.
    Webgrafia: 1. https://www.semanticscholar.org/paper/Surgical-Treatment-of-Acquired- Tracheocele-Porubsky- Gourin/2a2bf35c166838061965e4dbfbb6d2fa18aadcc3/figure/0 2. https://www.alliedacademies.org/articles/giant-acquired-tracheocele-in- a-syndromic-child-case-report-and-reviewof-the-literature.pdf 3.https://www.semanticscholar.org/paper/Tracheocele%3B-a-case-of- rare-clinical-entity.-Yazkan- Ozpolat/10ce83064ca15323e14b3e342114b33d67a0e8ec 4. https://www.annalsthoracicsurgery.org/article/S0003-4975(13)02156- 5/pdf
  • 11.
    ¡¡ GRACIAS !! Ciudadde Chimbote – Ancash – Perú.