Dra. Sylvana Cuenca Buele
Anatomopatóloga
Aparato digestivo
 Se extiende desde la boca al ano
 Glándulas relacionadas con él:
 Salivales, hígado, páncreas
 La digestión comprende:
 Fragmentación del material alimenticio en partículas
pequeñas
 Absorción hacia la circulación
 “La digestión es el proceso mediante el cual el material
alimenticio se convierte en sustancias que pueden ser
absorbidas hacia la circulación”
Cavidad bucal: Labios y carrillos
Lengua
 Dos porciones:
 Cuerpo: Móvil
 Base: Pared anterior de
la faringe
 Surco terminal
 Región anterior
 Región posterior
 Conformada por:
 Membrana mucosa
 Fibra muscular estriada
(intrínseca y extrínseca)
 Glándulas:
 Mucosas: base de lengua
 Serosas: cuerpo
 Mixtas: Cerca dela punta
Lengua
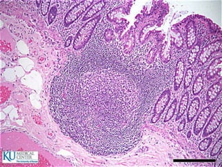
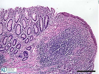
 El tercio posterior de la lengua tiene nódulos linfáticos
 Criptas
 Papilas:
 Filiformes
 Fungiformes
 Circunvaladas
 Foliadas
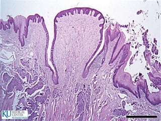
Papilas filiformes
Glándulas salivales principales
 Glándula parótida
 Glándula submaxila
 Glándula sublingual
Saliva
 Alcanza un volumen de 1000 ml en 24h
 Funciones:
 Humedece de forma constante la cavidad bucal
 Ayuda a limpiar restos alimenticios
 Humedece los alimentos
 Mantiene el equilibrio hídrico
 Composición:
 Amilasa y maltasa
 Lisosima y Rnasa Dnasa
 Gammaglobulinas: IgA
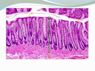
Aparato digestivo tubular
 Mucosa
 Submucosa
 Muscular
 Serosa
Mucosa
 Formada por:
1. Membrana epitelial superficial
2. Lámina propia
3. Muscularis mucosae
 Contiene vellosidades y criptas que incrementan la
capacidad de absorción y secreción
 Capilares sanguíneos que absorven las sustancias
alimenticias
 Producen IgA
Submucosa
 Tejido conectivo areolar grueso con fibras elásticas muy
notables
 Permite la movilidad de la mucosa y contiene plexos de
vasos sanguíneos y nervios mayores con algunas células
ganglionares
 Los nervios están formados por fibras posganglionares
amielínicas del simpático. Con algunas fibras
preganglionares del parasimpático procedentes del nervio
vago
 Las fibras posganglionares inervan la muscularis mucosae
y las glándulas mucosas
 Plexo submucoso de Meissner
Muscular externa
 Se dispone en dos capas:
 Circular interna: Estrecha la luz
 Longitudinal externa: Acorta el intestino
 Entre las dos hay un plexo vascular y un plexo nervioso
 Plexo mientérico de Auerbach: en su mayor parte es
parasimpático y produce las ondas peristálticas
 Lentas
 Rápidas
Serosa (adventicia)
 Tejido conectivo areolar relativamente denso y elástico
 En algunas regiones está cubierta por peritóneo y se la
denomina serosa
Esófago
 25cm de longitud
 Hacia arriba se continúa con la faringe y hacia abajo
con el estómago
 EPITELIO: Plano estrtificado no queratinizado, en la
parte inferior presenta una transición repentina a
epitelio cilíndrico
 SUBMUCOSA: Fibras colágenas elásticas
 MUSCULAR:
 ADVENTICIA:
ESTÓMAGO
ESTÓMAGO
 2 a 3 L
 Esfínter esofagogástrico o cardias
 Esfínter pilórico
 Pliegues o arrugas longitudinales
 El alimento llega al estómago en forma de bolo y sale de el
en forma de quimo
 Jugo gástrico:
 Ácido clorhídrico, enzimas (pepsina, renina y lipasa) y moco
 Factor intrínseco
 Gastrina
Otras capas del estómago
 Submucosa
 Muscular
 Serosa
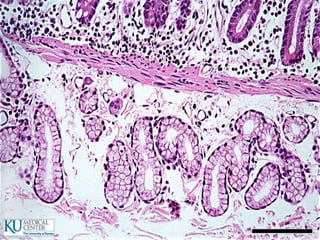
Intestino delgado
 720 cm de longitud
 Duodeno: 20 cm
 Yeyuno
 Íleon
Especializaciones superficiales de
la mucosa
 Pliegues circulares (válvulas de Kerckring)
 Vellosidades y criptas
 Microvellosidades
 Tipos de glándulas:
 Intestinales
 Submucosas (Brunner)
 Situadas fuera del tubo digestivo
Intestino delgado
 Epitelio:
 Células cilíndricas
 Células de Paneth
 Células caliciformes
 Células enteroendócrinas
ID: Células cilíndricas
 Cada célula tiene un borde en cepillo
 Borde PAS positivo en relación con el Glucocáliz
 El glucocáliz es resistente a los proteolíticos y
mucolíticos
 Las microvellosidades tienen un centro con filamentos
finos de actina que se mezclan con el velo terminal que
tiene miosina
 Absorben azúcares y aminoácidos por un proceso
activo y pasan al espacio extracelular por difusión
pasiva
 Absorven lípidos: Los lípidos primero son captados por las
miscelas intraluminales de sales biliares, que los estabilizan
en una emulsión y los transportan al borde estriado donde
difunden al interior de la célula como ácidos grasos
 Estos ácidos se unen a un componente glucoproteínico
(apoproteína) en el retículo de golgi
 Las gotitas de quilomicrones de lipoproteína así formados
pasan hacia los espacios intercelulares y se dirigen hacia
abajo para atravezar la lámina basal y entrar a los vasos
linfáticos (quilíferos), de la lámina propia
Células indiferenciadas
 Fuente de origen de las demás células
 Tienen características de células inmaduras
 Sufren mitosis frecuentes
Células de Paneth
 Son células secretorias de proteína, la secreción se
acelera después de los alimentos
 Son capaces de fagocitar bacterias
Células mucosas
 Están dispersas entre las células cilíndricas y su
número aumenta del duodeno a la porción terminal
del íleon
 El moco excretado es una glucoproteína ácida y forma
una película protectora sobre el glucocáliz de las
microvellosidades
Células enteroendócrinas
 Se encuentran en las criptas y vellosidades
 Secretan péptidos reguladores activos que participan
en la secreción gástrica, la motilidad intestinal, la
secreción pancreática y la contracción de la vesícula
biliar
Otros tipos de células epiteliales
 Las células caveoladas no son frecuentes pero se
encuentran en criptas y vellosidades de intestino
delgado, intestino grueso, estómago
 Células migratorias: Linfocitos
Intestino Grueso
 180cm de largo
 El material alimenticio entra en estado semilíquido y
sale semisólido
 Función:
 Absorción de líquido
 Secreción de moco
TUBO DIGESTIVO.pptx
TUBO DIGESTIVO.pptx
TUBO DIGESTIVO.pptx
TUBO DIGESTIVO.pptx
TUBO DIGESTIVO.pptx
TUBO DIGESTIVO.pptx
TUBO DIGESTIVO.pptx
TUBO DIGESTIVO.pptx
TUBO DIGESTIVO.pptx
TUBO DIGESTIVO.pptx
TUBO DIGESTIVO.pptx
TUBO DIGESTIVO.pptx
TUBO DIGESTIVO.pptx
TUBO DIGESTIVO.pptx
TUBO DIGESTIVO.pptx
TUBO DIGESTIVO.pptx
TUBO DIGESTIVO.pptx
TUBO DIGESTIVO.pptx
TUBO DIGESTIVO.pptx
TUBO DIGESTIVO.pptx
TUBO DIGESTIVO.pptx
TUBO DIGESTIVO.pptx
TUBO DIGESTIVO.pptx
TUBO DIGESTIVO.pptx
TUBO DIGESTIVO.pptx
TUBO DIGESTIVO.pptx
TUBO DIGESTIVO.pptx
TUBO DIGESTIVO.pptx
TUBO DIGESTIVO.pptx
TUBO DIGESTIVO.pptx
TUBO DIGESTIVO.pptx
TUBO DIGESTIVO.pptx
TUBO DIGESTIVO.pptx

TUBO DIGESTIVO.pptx

  • 1.
    Dra. Sylvana CuencaBuele Anatomopatóloga
  • 2.
    Aparato digestivo  Seextiende desde la boca al ano  Glándulas relacionadas con él:  Salivales, hígado, páncreas  La digestión comprende:  Fragmentación del material alimenticio en partículas pequeñas  Absorción hacia la circulación  “La digestión es el proceso mediante el cual el material alimenticio se convierte en sustancias que pueden ser absorbidas hacia la circulación”
  • 3.
  • 8.
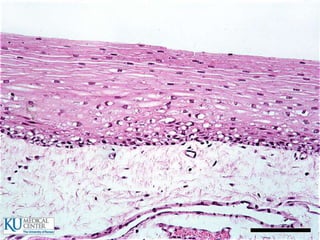
    Lengua  Dos porciones: Cuerpo: Móvil  Base: Pared anterior de la faringe  Surco terminal  Región anterior  Región posterior  Conformada por:  Membrana mucosa  Fibra muscular estriada (intrínseca y extrínseca)  Glándulas:  Mucosas: base de lengua  Serosas: cuerpo  Mixtas: Cerca dela punta
  • 9.
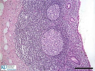
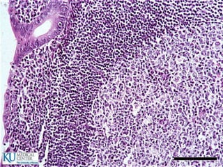
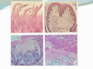
    Lengua  El tercioposterior de la lengua tiene nódulos linfáticos  Criptas  Papilas:  Filiformes  Fungiformes  Circunvaladas  Foliadas
  • 11.
  • 20.
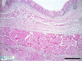
    Glándulas salivales principales Glándula parótida  Glándula submaxila  Glándula sublingual
  • 26.
    Saliva  Alcanza unvolumen de 1000 ml en 24h  Funciones:  Humedece de forma constante la cavidad bucal  Ayuda a limpiar restos alimenticios  Humedece los alimentos  Mantiene el equilibrio hídrico  Composición:  Amilasa y maltasa  Lisosima y Rnasa Dnasa  Gammaglobulinas: IgA
  • 27.
    Aparato digestivo tubular Mucosa  Submucosa  Muscular  Serosa
  • 28.
    Mucosa  Formada por: 1.Membrana epitelial superficial 2. Lámina propia 3. Muscularis mucosae  Contiene vellosidades y criptas que incrementan la capacidad de absorción y secreción  Capilares sanguíneos que absorven las sustancias alimenticias  Producen IgA
  • 29.
    Submucosa  Tejido conectivoareolar grueso con fibras elásticas muy notables  Permite la movilidad de la mucosa y contiene plexos de vasos sanguíneos y nervios mayores con algunas células ganglionares  Los nervios están formados por fibras posganglionares amielínicas del simpático. Con algunas fibras preganglionares del parasimpático procedentes del nervio vago  Las fibras posganglionares inervan la muscularis mucosae y las glándulas mucosas  Plexo submucoso de Meissner
  • 30.
    Muscular externa  Sedispone en dos capas:  Circular interna: Estrecha la luz  Longitudinal externa: Acorta el intestino  Entre las dos hay un plexo vascular y un plexo nervioso  Plexo mientérico de Auerbach: en su mayor parte es parasimpático y produce las ondas peristálticas  Lentas  Rápidas
  • 31.
    Serosa (adventicia)  Tejidoconectivo areolar relativamente denso y elástico  En algunas regiones está cubierta por peritóneo y se la denomina serosa
  • 33.
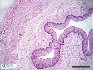
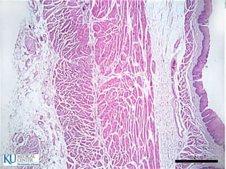
    Esófago  25cm delongitud  Hacia arriba se continúa con la faringe y hacia abajo con el estómago  EPITELIO: Plano estrtificado no queratinizado, en la parte inferior presenta una transición repentina a epitelio cilíndrico  SUBMUCOSA: Fibras colágenas elásticas  MUSCULAR:  ADVENTICIA:
  • 43.
  • 44.
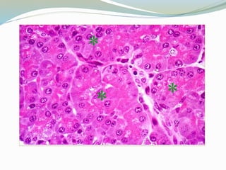
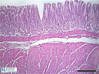
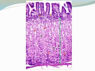
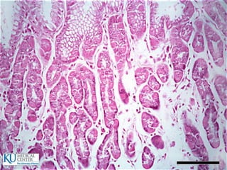
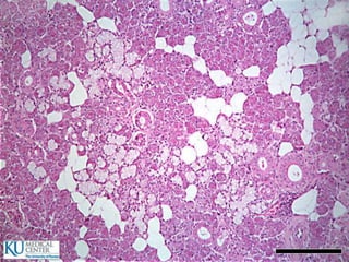
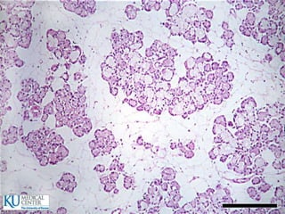
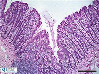
    ESTÓMAGO  2 a3 L  Esfínter esofagogástrico o cardias  Esfínter pilórico  Pliegues o arrugas longitudinales  El alimento llega al estómago en forma de bolo y sale de el en forma de quimo  Jugo gástrico:  Ácido clorhídrico, enzimas (pepsina, renina y lipasa) y moco  Factor intrínseco  Gastrina
  • 58.
    Otras capas delestómago  Submucosa  Muscular  Serosa
  • 59.
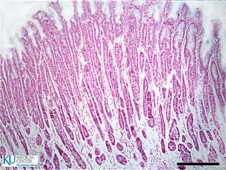
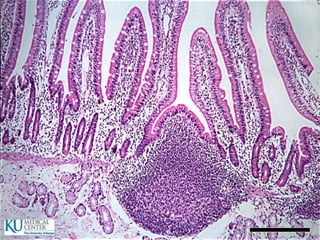
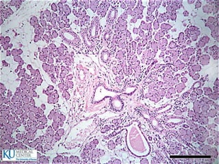
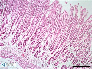
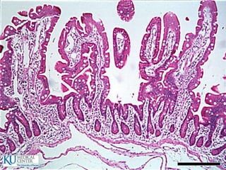
    Intestino delgado  720cm de longitud  Duodeno: 20 cm  Yeyuno  Íleon
  • 60.
    Especializaciones superficiales de lamucosa  Pliegues circulares (válvulas de Kerckring)  Vellosidades y criptas  Microvellosidades  Tipos de glándulas:  Intestinales  Submucosas (Brunner)  Situadas fuera del tubo digestivo
  • 63.
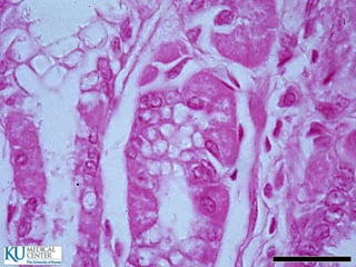
    Intestino delgado  Epitelio: Células cilíndricas  Células de Paneth  Células caliciformes  Células enteroendócrinas
  • 64.
    ID: Células cilíndricas Cada célula tiene un borde en cepillo  Borde PAS positivo en relación con el Glucocáliz  El glucocáliz es resistente a los proteolíticos y mucolíticos  Las microvellosidades tienen un centro con filamentos finos de actina que se mezclan con el velo terminal que tiene miosina  Absorben azúcares y aminoácidos por un proceso activo y pasan al espacio extracelular por difusión pasiva
  • 65.
     Absorven lípidos:Los lípidos primero son captados por las miscelas intraluminales de sales biliares, que los estabilizan en una emulsión y los transportan al borde estriado donde difunden al interior de la célula como ácidos grasos  Estos ácidos se unen a un componente glucoproteínico (apoproteína) en el retículo de golgi  Las gotitas de quilomicrones de lipoproteína así formados pasan hacia los espacios intercelulares y se dirigen hacia abajo para atravezar la lámina basal y entrar a los vasos linfáticos (quilíferos), de la lámina propia
  • 66.
    Células indiferenciadas  Fuentede origen de las demás células  Tienen características de células inmaduras  Sufren mitosis frecuentes
  • 67.
    Células de Paneth Son células secretorias de proteína, la secreción se acelera después de los alimentos  Son capaces de fagocitar bacterias
  • 68.
    Células mucosas  Estándispersas entre las células cilíndricas y su número aumenta del duodeno a la porción terminal del íleon  El moco excretado es una glucoproteína ácida y forma una película protectora sobre el glucocáliz de las microvellosidades
  • 69.
    Células enteroendócrinas  Seencuentran en las criptas y vellosidades  Secretan péptidos reguladores activos que participan en la secreción gástrica, la motilidad intestinal, la secreción pancreática y la contracción de la vesícula biliar
  • 70.
    Otros tipos decélulas epiteliales  Las células caveoladas no son frecuentes pero se encuentran en criptas y vellosidades de intestino delgado, intestino grueso, estómago  Células migratorias: Linfocitos
  • 84.
    Intestino Grueso  180cmde largo  El material alimenticio entra en estado semilíquido y sale semisólido  Función:  Absorción de líquido  Secreción de moco