Lesiones adaptaciones y
muerte celulares
1°
Tema
VISION GENERAL DE LAS
RESPUESTAS
CELULARES AL ESTRÉS
homeostasis
ADAPTACIONES CELULARES AL ESTRÉS
Cambios reversibles como respuestas al entorno
Número
Tamaño
Fenotipo
Actividad metabólica
Funciones
Adaptaciones
Patológicas
Son respuestas al estrés que permiten que las células
puedan modular su estructura y función para evitar de este
modo la lesión.
Fisiológicas
Representar respuestas de las células a la estimulación
normal por hormonas o sustancias químicas endógenas (p.
ej., aumento de tamaño por inducción hormonal de la
mama y del útero durante el embarazo
Respuestas adaptativas
Hipertrofia
Hiperplasia
atrofia
Metaplasia
Si se supera la capacidad de adaptación o si el estrés externo es inherentemente nocivo se produce una
lesión celular
Hipertrofia
Es el aumento del tamaño de las células que provoca un incremento del tamaño del órgano
Hipertrofia
Fisiológica Patológica
Hiperplasia
Tiene lugar si la población celular es capaz de replicación puede producirse con hipertrofia y con frecuencia en respuesta
a los mismos estímulos
Fisiológica
Patológica
Hiperplasia hormonal
proliferación del epitelio glandular de la
mama femenina en la pubertad y durante el
embarazo
Hiperplasia compensadora
se produce cuando una porción del tejido es
eliminada o está enferma.
Factores de crecimiento
Atrofia
Se conoce como atrofia la reducción en el tamaño de la célula por la pérdida de sustancia celular
1
Inadecuada nutrición
2
Falta estimulación
endocrina
Los cambios celulares fundamentales son idénticos
3
Disminución de la carga
de trabajo
4
Disminución de la
irrigación
5Envejecimiento
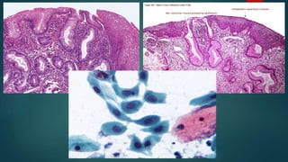
Metaplasia
La metaplasia es un cambio reversible en el que un tipo de célula adulta epitelial o mesenquimatosa es sustituido
por otro tipo de célula adulta
Metaplasia escamosa Metaplasia apocrina Metaplasia intestinal
Metaplasia ósea Metaplasia cartilaginosa
2
Tema
LESION Y MUERTE CELULAR
Stress
Stress
Stress
Lesión celular reversible
En los estadios iniciales o en las formas leves de lesión los
cambios funcionales y morfológicos son reversibles si se elimina
el estímulo dañino.
En este estadio aunque puede haber anomalías estructurales y
funcionales significativas, la lesión no suele haber progresado a
un daño grave de la membrana ni a la disolución nuclear.
Muerte celular
Con un daño continuado la lesión se vuelve irreversible y en este
momento la célula ya no se puede recuperar y muere.
Hay dos tipos de muerte celular
Necrosis Apoptosis
LESION
Y MUERTE CELULAR
MORFOLOGÍA DE LA LESIÓN
CELULAR Y TISULAR
Todos los tipos de estrés y las influencias nocivas
ejercen sus efectos primero en el ámbito molecular
o bioquímico
Puede perderse la función celular mucho antes de
que se produzca la muerte celular y los cambios
morfológicos de la lesión celular
células miocárdicas pierden su contractilidad después de 1-2 min de isquemia, aunque no mueren hasta que han transcurrido 20-30 min de isquemia.
Estos miocitos no parece que hayan muerto hasta pasadas 2-3 h si se observan mediante microscopía electrónica y hasta después de 6-12 h en caso de
emplear la microscopia óptica
Lesión reversible
Hinchazón celular Cambio graso
Primera manifestación de casi todas las formas de
lesión en las células
Es una alteración reversible difícil de apreciar al
microscopio óptico puede ser más manifiesta si se
considera el órgano en su totalidad
cambio hidrópico
o degeneración vacuolar
Manifiesto por la aparición de vacuolas lipídicas
en el citoplasma
Se encuentra principalmente en las células que
participan en el metabolismo graso (p. ej.,
hepatocitos y células miocárdicas) y también es
reversible
1.Alteraciones de la membrana plasmática
2.Cambios en las mitocondrias
3.Dilatación del RE
4.Alteraciones nucleares
cambios intracelulares
de la lesión reversible
Cambios morfológicos en la lesión celular reversible e irreversible
A. Túbulos renales normales con células epiteliales viables
B. Lesión isquémica temprana que muestra bullas en la superficie (reversible)
C. Lesión necrótica (irreversible)
Necrosis
Muerte celular asociada a la pérdida de la integridad de la membrana con
extravasación del contenido celular y que culmina en la disolución de las células
sobre todo por la acción degradante de las enzimas sobre las células con lesiones
mortales
MORFOLOGÍA
Cambios citoplásmicos
1. Las células necróticas presentan una mayor
eosinofilia aspecto más homogéneo y vidrioso
2. Las figuras de mielina son más llamativas
3. Cuando las enzimas han digerido los orgánulos
citoplásmicos el citoplasma sufre una
vacuolización y adopta un aspecto «apolillado».
Cambios nucleares
Tres patrones distintos secundarios a la rotura del
ADN y a la cromatina
1. Picnosis
2. Cariolisis
3. Cariorrexis
cariorrexis
cariolisis
picnosis
Célula normal
NECROSIS TISULAR
Patrones
forma de necrosis en la que se conserva al menos durante unos días la arquitectura de base del tejido. Los tejidos
afectados adoptan una textura firme
Necrosis coagulativa
Necrosis por licuefacción
Bacterianas
Micóticas focales
No se conocen con claridad, la muerte por hipoxia de
las células del sistema nervioso central suele asociarse
a una necrosis por licuefacción
Necrosis licuefactiva. Infarto cerebral que muestra disolución del tejido
Necrosis gangrenosa
No es un patrón definido de muerte celular este término
se sigue empleando en la práctica clínica
Suele referirse a la afectación de un miembro sobre todo
el inferior, por una pérdida de la irrigación
( Gangrena + infección > gangrena húmeda)
Destrucción focal de la grasa típicamente producida por la
liberación de lipasas
Este cuadro se asocia a una emergencia abdominal
desastrosa llamada pancreatitis aguda
La necrosis fibrinoide
forma especial de necrosis en reacciones
inmunitarias durante las cuales se depositan
complejos de antígenos y anticuerpos en las
paredes de las arterias
LESION CELULAR
Mecanismos
La respuesta celular a los estímulos lesivos depende del tipo de la duración y dé la intensidad de la lesión
isquemiatoxinas
Lesión reversible
Lesión irreversible
Las consecuencias de un estímulo lesivo dependen del tipo del estado de la adaptabilidad y de la composición
genética de la célula lesionada
Estimulo
Respuesta
La lesión celular se debe a alteraciones funcionales y bioquímicas en uno o más de los componentes celulares
esenciales
Cualquier lesión puede poner en marcha múltiples alteraciones bioquímicas
Vías múltiples de estrés celular conducen a la permeabilización de la membrana externa mitocondrial y a la
apoptosis.
Depleción de
ATP
Daño
mitocondrial
Aflujo de
calcio
Acumulación
de especies
reactivas del
oxígeno
Aumento de la
permeabilidad
de las
membranas
celulares
Acumulación
de ADN
dañado y de
proteínas mal
plegadas:
Mecanismos de la lesión celular
CORRELACIONES
CLINICO-PATOLOGICAS
Lesión isquémica e hipóxica
Por ejemplo el músculo cardíaco cesa de
contraerse a los 60 s de la oclusión
coronaria
Lesión por isquemia-reperfusión
En algunas circunstancias la recuperación
del flujo hacia los tejidos isquémicos pero
viables condiciona la muerte paradójica de
las células que no presentaban lesiones
irreversibles
Lesión química (tóxica)
Las sustancias químicas inducen la lesión
celular
Directamente
Metabolitos
APOPTOSIS
La apoptosis es una vía de muerte celular en la que las células activan enzimas capaces de degradar
el ADN de la propia célula, así como las proteínas nucleares y citoplásmicas
Patológicas
1. La apoptosis elimina las células que se hallan
genéticamente alteradas
2. Daño en el ADN
3. Acumulación de proteínas mal plegadas
4. Lesión celular en ciertas infecciones
5. Atrofia patológica en órganos
Causas de apoptosis
Fisiológicas
1. Destrucción programada de las células durante la
embriogenia
2. La involución de los tejidos dependientes de hormonas
3. La pérdida celular en las poblaciones celulares en
proliferación
4. Muerte de células que han cumplido su finalidad útil
5. Eliminación de Linfocitos autorreactivos
6. Muerte celular inducida por los Linfocitos T
Acumulaciones
intracelulares
Esteatosis hepática
Cuerpos de Russel
Alfa-1-antitripsina
Proteína hialina alcohólica
GLUCOGENÓSIS
lipofucsina
melanina
hemosiderina
CALCIFICACIONES
PATOLOGICA
Calcificación distrófica
La calcificación distrófica se encuentra en áreas de necrosis de cualquier tipo
Es virtualmente inevitable en los ateromas de la ateroesclerosis avanzada asociada a
lesión de la íntima en la aorta y en las grandes arterias y se caracteriza por la acumula-
ción de lípidos
Calcificación metastásica
La calcificación metastásica puede producirse en los tejidos normales cuando hay
hipercalcemia
1) aumento de la secreción de hormona paratiroidea
2) destrucción de hueso
3) trastornos relacionados con la vitamina
4) Insuficiencia renal
El envejecimiento celular es consecuencia de un deterioro progresivo en la vitalidad y en la capacidad
funcional de las células. Se considera que varios mecanismos son responsables del envejecimiento celular.
Lesión del ADN
Distintas agresiones metabólicas que se
acumulan a lo largo del tiempo pueden
causar lesiones en el ADN nuclear y
mitocondrial
Menor replicación celular.
Todas las células normales tienen
una capacidad de replicación limitada y, cuando
han experimentado un número fijo de divisiones
celulares, quedan
detenidcis en un estadio terminal en el que ya no
se dividen y
que se conoce como senescencia de replicación.
Homeostasis defectuosa de
las proteínas.
Con el tiempo las células no consiguen mantener
una homeostasis normal de las proteínas porque
aumenta el recambio y se reduce la síntesis en
relación con una menor traducción de las
proteínas y una actividad defectuosa de las
chaperonas (que estimulan el plegamiento normal
de las proteínas
Gracias….….

Adaptaciones celulares 3

  • 1.
  • 2.
  • 3.
    VISION GENERAL DELAS RESPUESTAS CELULARES AL ESTRÉS
  • 4.
  • 7.
    ADAPTACIONES CELULARES ALESTRÉS Cambios reversibles como respuestas al entorno Número Tamaño Fenotipo Actividad metabólica Funciones
  • 8.
    Adaptaciones Patológicas Son respuestas alestrés que permiten que las células puedan modular su estructura y función para evitar de este modo la lesión. Fisiológicas Representar respuestas de las células a la estimulación normal por hormonas o sustancias químicas endógenas (p. ej., aumento de tamaño por inducción hormonal de la mama y del útero durante el embarazo
  • 9.
    Respuestas adaptativas Hipertrofia Hiperplasia atrofia Metaplasia Si sesupera la capacidad de adaptación o si el estrés externo es inherentemente nocivo se produce una lesión celular
  • 10.
    Hipertrofia Es el aumentodel tamaño de las células que provoca un incremento del tamaño del órgano
  • 11.
  • 12.
    Hiperplasia Tiene lugar sila población celular es capaz de replicación puede producirse con hipertrofia y con frecuencia en respuesta a los mismos estímulos Fisiológica Patológica Hiperplasia hormonal proliferación del epitelio glandular de la mama femenina en la pubertad y durante el embarazo Hiperplasia compensadora se produce cuando una porción del tejido es eliminada o está enferma. Factores de crecimiento
  • 14.
    Atrofia Se conoce comoatrofia la reducción en el tamaño de la célula por la pérdida de sustancia celular 1 Inadecuada nutrición 2 Falta estimulación endocrina Los cambios celulares fundamentales son idénticos 3 Disminución de la carga de trabajo 4 Disminución de la irrigación 5Envejecimiento
  • 16.
    Metaplasia La metaplasia esun cambio reversible en el que un tipo de célula adulta epitelial o mesenquimatosa es sustituido por otro tipo de célula adulta Metaplasia escamosa Metaplasia apocrina Metaplasia intestinal Metaplasia ósea Metaplasia cartilaginosa
  • 19.
  • 20.
  • 21.
  • 22.
    Lesión celular reversible Enlos estadios iniciales o en las formas leves de lesión los cambios funcionales y morfológicos son reversibles si se elimina el estímulo dañino. En este estadio aunque puede haber anomalías estructurales y funcionales significativas, la lesión no suele haber progresado a un daño grave de la membrana ni a la disolución nuclear. Muerte celular Con un daño continuado la lesión se vuelve irreversible y en este momento la célula ya no se puede recuperar y muere. Hay dos tipos de muerte celular Necrosis Apoptosis LESION Y MUERTE CELULAR
  • 26.
    MORFOLOGÍA DE LALESIÓN CELULAR Y TISULAR Todos los tipos de estrés y las influencias nocivas ejercen sus efectos primero en el ámbito molecular o bioquímico Puede perderse la función celular mucho antes de que se produzca la muerte celular y los cambios morfológicos de la lesión celular
  • 27.
    células miocárdicas pierdensu contractilidad después de 1-2 min de isquemia, aunque no mueren hasta que han transcurrido 20-30 min de isquemia. Estos miocitos no parece que hayan muerto hasta pasadas 2-3 h si se observan mediante microscopía electrónica y hasta después de 6-12 h en caso de emplear la microscopia óptica
  • 28.
    Lesión reversible Hinchazón celularCambio graso Primera manifestación de casi todas las formas de lesión en las células Es una alteración reversible difícil de apreciar al microscopio óptico puede ser más manifiesta si se considera el órgano en su totalidad cambio hidrópico o degeneración vacuolar Manifiesto por la aparición de vacuolas lipídicas en el citoplasma Se encuentra principalmente en las células que participan en el metabolismo graso (p. ej., hepatocitos y células miocárdicas) y también es reversible
  • 29.
    1.Alteraciones de lamembrana plasmática 2.Cambios en las mitocondrias 3.Dilatación del RE 4.Alteraciones nucleares cambios intracelulares de la lesión reversible
  • 30.
    Cambios morfológicos enla lesión celular reversible e irreversible A. Túbulos renales normales con células epiteliales viables B. Lesión isquémica temprana que muestra bullas en la superficie (reversible) C. Lesión necrótica (irreversible)
  • 31.
    Necrosis Muerte celular asociadaa la pérdida de la integridad de la membrana con extravasación del contenido celular y que culmina en la disolución de las células sobre todo por la acción degradante de las enzimas sobre las células con lesiones mortales
  • 32.
    MORFOLOGÍA Cambios citoplásmicos 1. Lascélulas necróticas presentan una mayor eosinofilia aspecto más homogéneo y vidrioso 2. Las figuras de mielina son más llamativas 3. Cuando las enzimas han digerido los orgánulos citoplásmicos el citoplasma sufre una vacuolización y adopta un aspecto «apolillado». Cambios nucleares Tres patrones distintos secundarios a la rotura del ADN y a la cromatina 1. Picnosis 2. Cariolisis 3. Cariorrexis
  • 34.
  • 35.
  • 36.
    forma de necrosisen la que se conserva al menos durante unos días la arquitectura de base del tejido. Los tejidos afectados adoptan una textura firme Necrosis coagulativa
  • 37.
    Necrosis por licuefacción Bacterianas Micóticasfocales No se conocen con claridad, la muerte por hipoxia de las células del sistema nervioso central suele asociarse a una necrosis por licuefacción Necrosis licuefactiva. Infarto cerebral que muestra disolución del tejido
  • 38.
    Necrosis gangrenosa No esun patrón definido de muerte celular este término se sigue empleando en la práctica clínica Suele referirse a la afectación de un miembro sobre todo el inferior, por una pérdida de la irrigación ( Gangrena + infección > gangrena húmeda)
  • 39.
    Destrucción focal dela grasa típicamente producida por la liberación de lipasas Este cuadro se asocia a una emergencia abdominal desastrosa llamada pancreatitis aguda
  • 40.
    La necrosis fibrinoide formaespecial de necrosis en reacciones inmunitarias durante las cuales se depositan complejos de antígenos y anticuerpos en las paredes de las arterias
  • 41.
  • 42.
    La respuesta celulara los estímulos lesivos depende del tipo de la duración y dé la intensidad de la lesión isquemiatoxinas Lesión reversible Lesión irreversible
  • 43.
    Las consecuencias deun estímulo lesivo dependen del tipo del estado de la adaptabilidad y de la composición genética de la célula lesionada Estimulo Respuesta
  • 44.
    La lesión celularse debe a alteraciones funcionales y bioquímicas en uno o más de los componentes celulares esenciales
  • 45.
    Cualquier lesión puedeponer en marcha múltiples alteraciones bioquímicas Vías múltiples de estrés celular conducen a la permeabilización de la membrana externa mitocondrial y a la apoptosis.
  • 46.
    Depleción de ATP Daño mitocondrial Aflujo de calcio Acumulación deespecies reactivas del oxígeno Aumento de la permeabilidad de las membranas celulares Acumulación de ADN dañado y de proteínas mal plegadas: Mecanismos de la lesión celular
  • 47.
    CORRELACIONES CLINICO-PATOLOGICAS Lesión isquémica ehipóxica Por ejemplo el músculo cardíaco cesa de contraerse a los 60 s de la oclusión coronaria Lesión por isquemia-reperfusión En algunas circunstancias la recuperación del flujo hacia los tejidos isquémicos pero viables condiciona la muerte paradójica de las células que no presentaban lesiones irreversibles Lesión química (tóxica) Las sustancias químicas inducen la lesión celular Directamente Metabolitos
  • 49.
  • 50.
    La apoptosis esuna vía de muerte celular en la que las células activan enzimas capaces de degradar el ADN de la propia célula, así como las proteínas nucleares y citoplásmicas
  • 51.
    Patológicas 1. La apoptosiselimina las células que se hallan genéticamente alteradas 2. Daño en el ADN 3. Acumulación de proteínas mal plegadas 4. Lesión celular en ciertas infecciones 5. Atrofia patológica en órganos Causas de apoptosis Fisiológicas 1. Destrucción programada de las células durante la embriogenia 2. La involución de los tejidos dependientes de hormonas 3. La pérdida celular en las poblaciones celulares en proliferación 4. Muerte de células que han cumplido su finalidad útil 5. Eliminación de Linfocitos autorreactivos 6. Muerte celular inducida por los Linfocitos T
  • 52.
  • 53.
  • 54.
  • 55.
  • 56.
  • 57.
  • 58.
    Calcificación distrófica La calcificacióndistrófica se encuentra en áreas de necrosis de cualquier tipo Es virtualmente inevitable en los ateromas de la ateroesclerosis avanzada asociada a lesión de la íntima en la aorta y en las grandes arterias y se caracteriza por la acumula- ción de lípidos
  • 60.
    Calcificación metastásica La calcificaciónmetastásica puede producirse en los tejidos normales cuando hay hipercalcemia 1) aumento de la secreción de hormona paratiroidea 2) destrucción de hueso 3) trastornos relacionados con la vitamina 4) Insuficiencia renal
  • 62.
    El envejecimiento celulares consecuencia de un deterioro progresivo en la vitalidad y en la capacidad funcional de las células. Se considera que varios mecanismos son responsables del envejecimiento celular. Lesión del ADN Distintas agresiones metabólicas que se acumulan a lo largo del tiempo pueden causar lesiones en el ADN nuclear y mitocondrial Menor replicación celular. Todas las células normales tienen una capacidad de replicación limitada y, cuando han experimentado un número fijo de divisiones celulares, quedan detenidcis en un estadio terminal en el que ya no se dividen y que se conoce como senescencia de replicación. Homeostasis defectuosa de las proteínas. Con el tiempo las células no consiguen mantener una homeostasis normal de las proteínas porque aumenta el recambio y se reduce la síntesis en relación con una menor traducción de las proteínas y una actividad defectuosa de las chaperonas (que estimulan el plegamiento normal de las proteínas
  • 63.