Características de la región del
Antebrazo
 Es la región del miembro superior comprendida entre el
codo y la muñeca
 Esta constituida por:
 Huesos:
1.-El radio
2.-La Ulna (ó Cubito)
Entre los Huesos Existe una Membrana Interosea.
 Músculos : Se dividen en 2 grupos:
1.- Flexo-pronadores
2.-Extenso-supinadores
 Elementos vasculares y nerviosos
La Membrana Interosea
 Ubicada ente los huesos radio y
ulna, se inserta en los bordes
interóseos de ambos huesos.
 Funciones de la membrana
interósea:
1.-Contribuir a la unión de los
dos huesos del antebrazo.
2.-Aumentar la superficie de
inserción del esqueleto
antebraquial.
3.-Transmitir y amortiguar las
fuerzas longitudinales al
sostener cargas.
Los Músculos Flexo-pronadores
 Se subdividen en 2 grupos:
 Grupo Superficial: Son 5 músculos:
1.-Pronador Redondo
2.-Flexor Radial del Carpo
3.-Palmar Largo
4.-Flexor Cubital del Carpo
5.-Flexor Superficial de los Dedos
 Grupo Profundo: Son 3 músculos:
1.- Flexor Profundo de los dedos
2.-Flexor Largo del Pulgar
3.- Pronador Cuadrado
El Músculo Pronador Redondo
 Es un músculo
aplanado y
oblicuo.
Localizado en la
parte externa de la
primera región
anterior del
antebrazo.
 Origen: En el epicóndilo medial o epitróclea del
humero y en la apófisis coronoides del cúbito por
dos fascículos.
 Inserción: en el tercio medial de la cara lateral del
Radio.
 Inervación: Esta dada por el Nervio Mediano.
 Función: Es un músculo Pronador y flexor del
antebrazo.
El Músculo Flexor Radial del Carpo
 Se trata de un
músculo Oblicuo.
 Origen: En la
epitróclea .
 Inserción: En la cara
anterior de la base
del II metacarpiano.
 Inervación: Esta dada por el Nervio Mediano.
 Función: Es un Músculo Flexor de la mano y del
antebrazo .
El Músculo Palmar Largo
 Origen: Epicóndilo medial
húmero
 Inserción: Termina dando la
aponeurosis palmar (sujeta la
piel de la palma de la mano)
 Inervación: Esta dada por el
N. mediano
 Función: Es un Músculo
Flexor de la mano, tensa
aponeurosis palmar.
El Músculo Flexor Cubital del Carpo
 El punto de origen de
este Músculo forma el
canal epitrocleo-
olecraneano, por donde
pasa el nervio cubital
(cuando nos damos un
golpe en el codo por la
parte interna se lesiona
a este nervio lo que
causa un calambre a lo
largo del antebrazo y la
mano).
 Origen: En el epicóndilo medial del húmero.
 Inserción: Forma un tendón que se inserta en el
pisiforme, el cual se extiende en diversas porciones
insertándose en la apófisis unciforme del ganchoso,
apófisis estiloides y el 5to metacarpiano.
 Inervación: Esta dada por el N. cubital
 Función: Es un Músculo flexor de la mano, y es un
abductor cubital
El Músculo Flexor Superficial de los
Dedos
 Debajo de este músculo, en su origen se forma
un arco tendinoso por donde pasa la arteria
cubital y el nervio mediano. En su inserción
forma una bifurcación por donde inferiormente
pasa el tendón del músculo flexor profundo de
los dedos.
 Origen: Este músculo se origina en 3 estructuras
en el epicóndilo medial del húmero, la apófisis
coronoides cúbito y la diáfisis del radio
 Inserción: En la2ª
falange de los dedos
2do a 5to.
 Inervación: Esta
dada por el nervio
mediano.
 Función :Flexor
dedos y de la mano
indirectamente.
El Músculo Flexor Profundo de los
dedos
 Se trata de un Músculo
Plano.
 Origen: En el cúbito y la
cara anterior del radio.
 Inserción: En la base de la
3ra falange de los 4
últimos dedos.
 Inervación: Esta dada por
los nervios Mediano y
cubital.
 Función: Flexiona la
tercera falange.
El Músculo Flexor Largo del Pulgar
 Origen: En la parte medial
anterior del radio.
 Inserción: En la cara anterior
de la 3ra falange del pulgar.
 Inervación: Esta dada por el
Nervio Mediano.
 Función: Principalmente
flexiona el pulgar, aunque su
acción continua lleva a la
flexión y abducion de la
muñeca.
El Músculo Pronador Cuadrado
 Origen: En la cara anterior del
cuarto inferior del cúbito.
 Inserción: En la cara antero-
externa del cuarto inferior del
Radio.
 Inervación: Está dada por el
Nervio Mediano
 Función: Este músculo es el
pronador principal del antebrazo,
independientemente del ángulo
de la articulación del codo. Su
tono supera al del Músculo
Bíceps, es por eso que en reposo
los codos se disponen en
pronación.
Los Músculos Extenso-supinadores
 Se subdividen en 3 grupos, según el movimiento que lleven a cabo:
 Grupo 1: Extienden y abducen la muñeca:
1.-Extensor Radial Largo del Carpo
2.-Extensor Radial Corto del Carpo
3.-Extensor Cubital del Carpo
 Grupo 2: Extienden los 4 dedos mediales:
1.-Extensor de los dedos
2.-Extensor del dedo índice
3.-Extensor del dedo meñique
 Grupo 3: Extienden el pulgar:
1.-Abductor largo del Pulgar
2.-Extensor Corto del Pulgar
3.- Extensor Largo del Pulgar
El Músculo Extensor Radial Largo
del Carpo
 Se encuentra debajo del
Músculo Braquirradial.
 Origen: En el borde
externo del húmero.
 Inserción: En el tendón del
2do metacarpiano.
 Inervación: Esta dada por
el nervio radial.
 Función: Es un músculo
Extensor y abductor de la
mano
El Músculo Extensor Radial Corto
del Carpo
 Este Músculo forma parte del
1er plano posterior .
 Origen: Cúbito y radio
 Inserción:1er. Falange del
pulgar
 Inervación: Esta dada por el N.
radial
 Función: Extiende el pulgar, es
un músculo abductor radial
mano, y abductor del pulgar.
El Músculo Extensor Cubital del
Carpo
 Origen: En el Epicóndilo
lateral cúbito
 Inserción: En la Apófisis
estiloides del 5to
metacarpiano
 Inervación: Esta dada por
el N. radial.
 Función: Se trata de un
Músculo Extensor y
abductor ulnar mano
El Músculo Extensor Común de los
dedos
 Este Músculo Forma parte
del 2º plano posterior.
 Origen: Epicóndilo lateral del
cúbito
 Inserción: El retinaculo
Extensor del 2do al 5to dedo.
 Inervación: Esta dada por el
N. radial
 Función: Extiende los dedos,
también es en músculo flexor
dorsal de la mano.
El Músculo Extensor del dedo
índice
 Se trata de un músculo profundo que
se encuentra delante del músculo
extensor de los dedos.
 Origen: En la superficie dorsal de la
mitad inferior del cubito.
 Inserción: En la porción cubital del
tendón del músculo extensor común
de los dedos (que va del 2do al 5to
dedo).
 Inervación: Esta a cargo del Nervio
Radial.
 Función: Principalmente extiende el
dedo índice con una ligera tendencia a
la abducción, aunque también
extiende a la muñeca.
El Músculo Extensor del dedo meñique
 Se trata de un músculo delgado y
fusiforme, que situado por dentro
del Músculo extensor común de los
dedos.
 Origen: En la cara posterior del
cubito, junto al extensor común de
los dedos.
 Inserción: En la porción cubital del
tendón del músculo extensor común
de los dedos y en la porción cubital
de la 1ra falange del meñique.
 Inervación: Esta dada por el Nervio
Radial.
 Función: Extiende la primera
falange del meñique.
El Músculo Abductor largo del
Pulgar
 Este músculo se encuentra en el
reborde inferior de la cara radial
del antebrazo.
 Origen: En la porción cubital
posterior del radio.
 Inserción: En la cara radial de la
base del 1er metacarpiano.
 Inervación: Es inervado por el
nervio radial.
 Función: Abducir el pulgar.
El Músculo Extensor Corto del
Pulgar
 Se encuentra inferior al músculo
extensor común de los dedos. Su
tendón Constituye un Limite de la
Tabaquera anatómica.
 Origen: En la cara posterior del cubito
y el radio.
 Inserción: En la 1ra falange del pulgar.
 Inervación: Esta dada por el nervio
interóseo posterior que el rama del
Nervio Radial.
 Función: Extiende la 1er falange del
pulgar, también abduce la muñeca
muñeca individualizando a las
acciones de la primera y tercera
falange de este dedo
El Músculo Extensor Largo del
Pulgar
 Es un músculo profundo de
trayectoria curvilínea y
estructura fusiforme.
 Origen: En la cara posterior del
tercio medio del cúbito.
 Inserción: En la cara posterior
de la base de la 3ra falange del
pulgar.
 Inervación: Esta a cargo del
Nervio Radial.
 Función: Extiende la tercer
falange.
La Fosa Cubital
 Es una región triangular que se sitúa ventral a la articulación del codo.
 Limites:
 Lateral: Músculo Braquiorradial
 Medial: Músculo Pronador Redondo
 Base: Una línea imaginaria que une a los 2 epicondilos del humero
 Suelo: Los Músculos Supinador y Braquial.
 Techo: Piel, Fascia y Aponeurosis Bicipital.
 Contenido:
 El Nervio Cutáneo lateral del antebrazo que emerge entre el músculo Bíceps y el
Braquial.
 El Nervio Radial; Se introduce en el compartimiento anterior profundo al
braquiorradial
 Arteria Braquial; Cruza el tendón del bíceps y se halla profunda a la aponeurosis
bicipital.
 El Nervio Mediano: Se encuentra Medial a la Arteria Braquial.
 El Nervio Cutáneo Medial del Antebrazo; Superficial al Músculo Pronador Redondo.
Imagen de la Fosa Cubital
Imagen de la Fosa Cubital
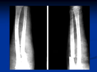
Fractura de los Huesos del
Antebrazo
 Una fractura en el antebrazo es la ruptura de uno o
ambos huesos del antebrazo.
 Generalmente son causadas por un traumatismo en
el hueso. Por ejemplo:
1.-Caer sobre un brazo extendido
2.-Caer directamente sobre el antebrazo
3.-Golpe directo en el antebrazo
4.-Doblar el brazo más allá del rango normal de
movimiento del codo
Tratamiento
 El tratamiento depende de la gravedad de
la lesión, aunque generalmente incluye:
 Reducción manual o quirúrgica.
 Diversos aparatos usados para sostener el
hueso en su lugar mientras sana, por
ejemplo:
 Una férula o tablilla (se puede usar con o
sin cirugía).
 Una placa de metal con tornillos
(requiere cirugía).
 Solo tornillos (requieren de cirugía).
Las Articulaciones del Antebrazo
 El Antebrazo cuenta con varias articulaciones.
Entre ellas se encuentran:
 La Articulaculacion del Codo: La cual se compone
por las articulaciones:
1.-Articulación Humeroradial
2.-Articulación Radiocubital proximal
3.-Articulación Humerocúbital
 La Articulación Radio Cubital Distal
La Articulaculacion del Codo
 Articulación humeroradial: Se trata de
un tipo de articulación condílea o
esférica, sucede entre el cóndilo del
húmero y la
fosa de la cabeza del radio .
 Articulación Radiocubital proximal: Es
una articulación de tipo Trocoide ,
Localizada entre la Escotadura radial
del cubito (cavidad sigmoidea menor)
y la circunferencia articular del radio
Ligamento Anular.
 Articulación Humerocúbital: es una
tróclea aunque con un eje un poco
oblicuo , sucede entre la Tróclea del
húmero y la escotadura tróclear del
cubito (cavidad sigmoideo mayor)
Cápsula Articular (De la Articulación
del Codo)
 La cápsula protege a la articulación y provee el 30 al 40%
de la resistencia, también proporciona un 85% a la
distracción con el codo en extensión, pero sólo contribuye
minimamente en flexión.
 La cápsula tiene 2 planos:
 Plano ventral: Ligamento con dos haces: medial y externo
 Plano dorsal: Cuenta con tres planos de fibras:
1.- Oblicuas superficiales: Van del humero al olécranon
2.- Transversales medias: Van de un extremo del húmero a
otro
3.-Verticales profundas: Van del humero al olécranon
Ligamentos de la Articulación del
Codo
 Se trata de 2 fuertes ligamentos:
 Complejo colateral medial: Existen 3 elementos que nacen
de toda la superficie inferior del epicóndilo, posterior al eje
de rotación. Esta orientación posterior al eje de rotación
crea un efecto de rotación excéntrica en donde el haz
anterior se tensa en extensión, y las fibras posteriores se
tensan en flexión.
1) Haz anterior: estabilizador principal del codo
2) Haz transverso: no funcional
3) Haz posterior: no tiene efecto en la estabilidad si es
cortado.
Ligamentos del Codo
 Complejo lateral: Consta de 4 elementos principales que
son fundamentalmente engrosamiento de la cápsula. El
origen del complejo colateral está cerca del eje de rotación,
por lo tanto permanece bajo tensión uniforme a través del
arco de movilidad.
 1) Ligamento anular: estabiliza el radio proximal
 2) Ligamento colateral radial: estabilidad en varo a la
articulación del radio con el cóndilo humeral. Mantiene la
posición de esta articulación a través del rango de
movimiento.
 3) Ligamento colateral cubital: Brinda estabilidad
rotacional a la articulación cubitohumeral. Previene la
subluxación rotatoria.
 4) Ligamento colateral accesorio: Estabiliza el ligamento
anular.
Ligamentos del Codo
Luxación de la Articulación del Codo
 La estabilidad de la articulación del codo está
determinada por la fijación de la tróclea del
húmero en la cavidad troqueal del cúbito, por los
soportes musculares (sobre todo el braquial
anterior y el tríceps), y los soportes tendinosos y
ligamentarios colaterales.
 Debido a su gran movilidad, estas estructuras
pueden sufrir fácilmente luxaciones .
 La luxación más frecuente del codo es la
posterior, en la que los cóndilos del húmero
se desplazan hacia delante y la ulna hacia
atrás.
 Clínicamente vamos a tener el "signo de la
gaveta", en el que se puede palpar subcutánea y
posteriormente las partes articulares del
olecranón.
Tratamiento
 Para el tratamiento, se utiliza anestesia general para conseguir
una mejor relajación muscular en el paciente.
 Posteriormente se realiza una maniobra de tracción moderada en
sentido longitudinal, tirando de la mano de manera que el codo
quede en flexión de 120º a 130º; luego atrás empujamos el
olecranón, fijamos el húmero y lo tiramos hacia atrás, hasta
lograr la reposición, lo cual se reconoce por el chasquido
característico, aunque debe corroborarse con Rx.
 La inmovilización debe realizarse con el codo en ángulo de 90º ,
con un aparato de yeso braquiopalmar o de tener mucho edema
bastará con una férula que se mantendrá por 2 o 3 semanas.
Luego se inicia la terapia de rehabilitación.
La Articulación Radio Cubital Distal
 Se trata de una articulación trocoide, localizada
dentro de la articulación del carpo.
 Une a la cabeza del cúbito a la escotadura cubital
del radio.
Cápsula Articular y Ligamentos de la
Articulación Radio Cubital Distal
 La cápsula rodea la articulación, va de la
cabeza del cúbito a la escotadura cubital del
radio.
 Los ligamentos son 2; el ligamento
radiocubital palmar y el ligamento
radiocubital dorsal.
Luxación de la Articulación Radio
Cubital Distal
 A pesar de ser es una lesión
observada con poca
frecuencia, en ocasiones se
presentan dificultades en su
diagnóstico y tratamiento.
 En ocasiones va
acompañada de otras
lesiones como por una
fractura de la diáfisis del
radio.
Tratamiento
 Se debe realizar una reducción anatómica de la
luxación.
 En ocasiones es necesaria anestesia regional para
garantizar adecuada relajación muscular y alivio del
dolor durante la reducción. Se debe inmovilizar en
supinación del antebrazo en caso de luxación dorsal
y en pronación para las volares. Se recomiendan seis
semanas de inmovilización con férula braquial para
permitir la cicatrización.
Irrigación del Antebrazo
 Las principales arterias de esta región son:
 La arteria Ulnar (o Cubital): Es rama de la Arteria
Braquial, es muy grande inicia en la fosa cubital a
nivel del cuello del radio. La Arteria Ulnar da una
rama:
* A. Interosea Común: Da 2 ramas las Aa.
Accesorias interóseas anterior y posterior. Las
cuales irrigan la membrana Interosea.
 La Arteria Radial: Es la rama mas pequeña de la
Arteria Braquial, también inicia en la fosa cubital a
nivel del cuello del radio.
Drenaje Venoso de Antebrazo
 Las Mayoría de las Venas Superficiales de la mano
drenan a la vena cubital mediana. La cual a su vez
drena en las venas cefálica y basílica.
 Las venas profundas del Antebrazo son
numerosas y por lo general acompañan a las
arterias en su trayecto.
 Son dos venas por cada arteria.(2 Arterias Ulnares
y 2 Arterias Radiales)
anatomia del antebrazo breve introduccion.pptx

anatomia del antebrazo breve introduccion.pptx

  • 2.
    Características de laregión del Antebrazo  Es la región del miembro superior comprendida entre el codo y la muñeca  Esta constituida por:  Huesos: 1.-El radio 2.-La Ulna (ó Cubito) Entre los Huesos Existe una Membrana Interosea.  Músculos : Se dividen en 2 grupos: 1.- Flexo-pronadores 2.-Extenso-supinadores  Elementos vasculares y nerviosos
  • 3.
    La Membrana Interosea Ubicada ente los huesos radio y ulna, se inserta en los bordes interóseos de ambos huesos.  Funciones de la membrana interósea: 1.-Contribuir a la unión de los dos huesos del antebrazo. 2.-Aumentar la superficie de inserción del esqueleto antebraquial. 3.-Transmitir y amortiguar las fuerzas longitudinales al sostener cargas.
  • 4.
    Los Músculos Flexo-pronadores Se subdividen en 2 grupos:  Grupo Superficial: Son 5 músculos: 1.-Pronador Redondo 2.-Flexor Radial del Carpo 3.-Palmar Largo 4.-Flexor Cubital del Carpo 5.-Flexor Superficial de los Dedos  Grupo Profundo: Son 3 músculos: 1.- Flexor Profundo de los dedos 2.-Flexor Largo del Pulgar 3.- Pronador Cuadrado
  • 5.
    El Músculo PronadorRedondo  Es un músculo aplanado y oblicuo. Localizado en la parte externa de la primera región anterior del antebrazo.
  • 6.
     Origen: Enel epicóndilo medial o epitróclea del humero y en la apófisis coronoides del cúbito por dos fascículos.  Inserción: en el tercio medial de la cara lateral del Radio.
  • 7.
     Inervación: Estadada por el Nervio Mediano.  Función: Es un músculo Pronador y flexor del antebrazo.
  • 8.
    El Músculo FlexorRadial del Carpo  Se trata de un músculo Oblicuo.  Origen: En la epitróclea .  Inserción: En la cara anterior de la base del II metacarpiano.
  • 9.
     Inervación: Estadada por el Nervio Mediano.  Función: Es un Músculo Flexor de la mano y del antebrazo .
  • 10.
    El Músculo PalmarLargo  Origen: Epicóndilo medial húmero  Inserción: Termina dando la aponeurosis palmar (sujeta la piel de la palma de la mano)  Inervación: Esta dada por el N. mediano  Función: Es un Músculo Flexor de la mano, tensa aponeurosis palmar.
  • 11.
    El Músculo FlexorCubital del Carpo  El punto de origen de este Músculo forma el canal epitrocleo- olecraneano, por donde pasa el nervio cubital (cuando nos damos un golpe en el codo por la parte interna se lesiona a este nervio lo que causa un calambre a lo largo del antebrazo y la mano).
  • 12.
     Origen: Enel epicóndilo medial del húmero.  Inserción: Forma un tendón que se inserta en el pisiforme, el cual se extiende en diversas porciones insertándose en la apófisis unciforme del ganchoso, apófisis estiloides y el 5to metacarpiano.  Inervación: Esta dada por el N. cubital  Función: Es un Músculo flexor de la mano, y es un abductor cubital
  • 13.
    El Músculo FlexorSuperficial de los Dedos  Debajo de este músculo, en su origen se forma un arco tendinoso por donde pasa la arteria cubital y el nervio mediano. En su inserción forma una bifurcación por donde inferiormente pasa el tendón del músculo flexor profundo de los dedos.  Origen: Este músculo se origina en 3 estructuras en el epicóndilo medial del húmero, la apófisis coronoides cúbito y la diáfisis del radio
  • 14.
     Inserción: Enla2ª falange de los dedos 2do a 5to.  Inervación: Esta dada por el nervio mediano.  Función :Flexor dedos y de la mano indirectamente.
  • 15.
    El Músculo FlexorProfundo de los dedos  Se trata de un Músculo Plano.  Origen: En el cúbito y la cara anterior del radio.  Inserción: En la base de la 3ra falange de los 4 últimos dedos.  Inervación: Esta dada por los nervios Mediano y cubital.  Función: Flexiona la tercera falange.
  • 16.
    El Músculo FlexorLargo del Pulgar  Origen: En la parte medial anterior del radio.  Inserción: En la cara anterior de la 3ra falange del pulgar.  Inervación: Esta dada por el Nervio Mediano.  Función: Principalmente flexiona el pulgar, aunque su acción continua lleva a la flexión y abducion de la muñeca.
  • 17.
    El Músculo PronadorCuadrado  Origen: En la cara anterior del cuarto inferior del cúbito.  Inserción: En la cara antero- externa del cuarto inferior del Radio.  Inervación: Está dada por el Nervio Mediano  Función: Este músculo es el pronador principal del antebrazo, independientemente del ángulo de la articulación del codo. Su tono supera al del Músculo Bíceps, es por eso que en reposo los codos se disponen en pronación.
  • 18.
    Los Músculos Extenso-supinadores Se subdividen en 3 grupos, según el movimiento que lleven a cabo:  Grupo 1: Extienden y abducen la muñeca: 1.-Extensor Radial Largo del Carpo 2.-Extensor Radial Corto del Carpo 3.-Extensor Cubital del Carpo  Grupo 2: Extienden los 4 dedos mediales: 1.-Extensor de los dedos 2.-Extensor del dedo índice 3.-Extensor del dedo meñique  Grupo 3: Extienden el pulgar: 1.-Abductor largo del Pulgar 2.-Extensor Corto del Pulgar 3.- Extensor Largo del Pulgar
  • 19.
    El Músculo ExtensorRadial Largo del Carpo  Se encuentra debajo del Músculo Braquirradial.  Origen: En el borde externo del húmero.  Inserción: En el tendón del 2do metacarpiano.  Inervación: Esta dada por el nervio radial.  Función: Es un músculo Extensor y abductor de la mano
  • 20.
    El Músculo ExtensorRadial Corto del Carpo  Este Músculo forma parte del 1er plano posterior .  Origen: Cúbito y radio  Inserción:1er. Falange del pulgar  Inervación: Esta dada por el N. radial  Función: Extiende el pulgar, es un músculo abductor radial mano, y abductor del pulgar.
  • 21.
    El Músculo ExtensorCubital del Carpo  Origen: En el Epicóndilo lateral cúbito  Inserción: En la Apófisis estiloides del 5to metacarpiano  Inervación: Esta dada por el N. radial.  Función: Se trata de un Músculo Extensor y abductor ulnar mano
  • 22.
    El Músculo ExtensorComún de los dedos  Este Músculo Forma parte del 2º plano posterior.  Origen: Epicóndilo lateral del cúbito  Inserción: El retinaculo Extensor del 2do al 5to dedo.  Inervación: Esta dada por el N. radial  Función: Extiende los dedos, también es en músculo flexor dorsal de la mano.
  • 23.
    El Músculo Extensordel dedo índice  Se trata de un músculo profundo que se encuentra delante del músculo extensor de los dedos.  Origen: En la superficie dorsal de la mitad inferior del cubito.  Inserción: En la porción cubital del tendón del músculo extensor común de los dedos (que va del 2do al 5to dedo).  Inervación: Esta a cargo del Nervio Radial.  Función: Principalmente extiende el dedo índice con una ligera tendencia a la abducción, aunque también extiende a la muñeca.
  • 24.
    El Músculo Extensordel dedo meñique  Se trata de un músculo delgado y fusiforme, que situado por dentro del Músculo extensor común de los dedos.  Origen: En la cara posterior del cubito, junto al extensor común de los dedos.  Inserción: En la porción cubital del tendón del músculo extensor común de los dedos y en la porción cubital de la 1ra falange del meñique.  Inervación: Esta dada por el Nervio Radial.  Función: Extiende la primera falange del meñique.
  • 25.
    El Músculo Abductorlargo del Pulgar  Este músculo se encuentra en el reborde inferior de la cara radial del antebrazo.  Origen: En la porción cubital posterior del radio.  Inserción: En la cara radial de la base del 1er metacarpiano.  Inervación: Es inervado por el nervio radial.  Función: Abducir el pulgar.
  • 26.
    El Músculo ExtensorCorto del Pulgar  Se encuentra inferior al músculo extensor común de los dedos. Su tendón Constituye un Limite de la Tabaquera anatómica.  Origen: En la cara posterior del cubito y el radio.  Inserción: En la 1ra falange del pulgar.  Inervación: Esta dada por el nervio interóseo posterior que el rama del Nervio Radial.  Función: Extiende la 1er falange del pulgar, también abduce la muñeca muñeca individualizando a las acciones de la primera y tercera falange de este dedo
  • 27.
    El Músculo ExtensorLargo del Pulgar  Es un músculo profundo de trayectoria curvilínea y estructura fusiforme.  Origen: En la cara posterior del tercio medio del cúbito.  Inserción: En la cara posterior de la base de la 3ra falange del pulgar.  Inervación: Esta a cargo del Nervio Radial.  Función: Extiende la tercer falange.
  • 28.
    La Fosa Cubital Es una región triangular que se sitúa ventral a la articulación del codo.  Limites:  Lateral: Músculo Braquiorradial  Medial: Músculo Pronador Redondo  Base: Una línea imaginaria que une a los 2 epicondilos del humero  Suelo: Los Músculos Supinador y Braquial.  Techo: Piel, Fascia y Aponeurosis Bicipital.  Contenido:  El Nervio Cutáneo lateral del antebrazo que emerge entre el músculo Bíceps y el Braquial.  El Nervio Radial; Se introduce en el compartimiento anterior profundo al braquiorradial  Arteria Braquial; Cruza el tendón del bíceps y se halla profunda a la aponeurosis bicipital.  El Nervio Mediano: Se encuentra Medial a la Arteria Braquial.  El Nervio Cutáneo Medial del Antebrazo; Superficial al Músculo Pronador Redondo.
  • 29.
    Imagen de laFosa Cubital
  • 30.
    Imagen de laFosa Cubital
  • 31.
    Fractura de losHuesos del Antebrazo  Una fractura en el antebrazo es la ruptura de uno o ambos huesos del antebrazo.  Generalmente son causadas por un traumatismo en el hueso. Por ejemplo: 1.-Caer sobre un brazo extendido 2.-Caer directamente sobre el antebrazo 3.-Golpe directo en el antebrazo 4.-Doblar el brazo más allá del rango normal de movimiento del codo
  • 34.
    Tratamiento  El tratamientodepende de la gravedad de la lesión, aunque generalmente incluye:  Reducción manual o quirúrgica.  Diversos aparatos usados para sostener el hueso en su lugar mientras sana, por ejemplo:  Una férula o tablilla (se puede usar con o sin cirugía).  Una placa de metal con tornillos (requiere cirugía).  Solo tornillos (requieren de cirugía).
  • 35.
    Las Articulaciones delAntebrazo  El Antebrazo cuenta con varias articulaciones. Entre ellas se encuentran:  La Articulaculacion del Codo: La cual se compone por las articulaciones: 1.-Articulación Humeroradial 2.-Articulación Radiocubital proximal 3.-Articulación Humerocúbital  La Articulación Radio Cubital Distal
  • 36.
    La Articulaculacion delCodo  Articulación humeroradial: Se trata de un tipo de articulación condílea o esférica, sucede entre el cóndilo del húmero y la fosa de la cabeza del radio .  Articulación Radiocubital proximal: Es una articulación de tipo Trocoide , Localizada entre la Escotadura radial del cubito (cavidad sigmoidea menor) y la circunferencia articular del radio Ligamento Anular.  Articulación Humerocúbital: es una tróclea aunque con un eje un poco oblicuo , sucede entre la Tróclea del húmero y la escotadura tróclear del cubito (cavidad sigmoideo mayor)
  • 37.
    Cápsula Articular (Dela Articulación del Codo)  La cápsula protege a la articulación y provee el 30 al 40% de la resistencia, también proporciona un 85% a la distracción con el codo en extensión, pero sólo contribuye minimamente en flexión.  La cápsula tiene 2 planos:  Plano ventral: Ligamento con dos haces: medial y externo  Plano dorsal: Cuenta con tres planos de fibras: 1.- Oblicuas superficiales: Van del humero al olécranon 2.- Transversales medias: Van de un extremo del húmero a otro 3.-Verticales profundas: Van del humero al olécranon
  • 40.
    Ligamentos de laArticulación del Codo  Se trata de 2 fuertes ligamentos:  Complejo colateral medial: Existen 3 elementos que nacen de toda la superficie inferior del epicóndilo, posterior al eje de rotación. Esta orientación posterior al eje de rotación crea un efecto de rotación excéntrica en donde el haz anterior se tensa en extensión, y las fibras posteriores se tensan en flexión. 1) Haz anterior: estabilizador principal del codo 2) Haz transverso: no funcional 3) Haz posterior: no tiene efecto en la estabilidad si es cortado.
  • 41.
  • 42.
     Complejo lateral:Consta de 4 elementos principales que son fundamentalmente engrosamiento de la cápsula. El origen del complejo colateral está cerca del eje de rotación, por lo tanto permanece bajo tensión uniforme a través del arco de movilidad.  1) Ligamento anular: estabiliza el radio proximal  2) Ligamento colateral radial: estabilidad en varo a la articulación del radio con el cóndilo humeral. Mantiene la posición de esta articulación a través del rango de movimiento.  3) Ligamento colateral cubital: Brinda estabilidad rotacional a la articulación cubitohumeral. Previene la subluxación rotatoria.  4) Ligamento colateral accesorio: Estabiliza el ligamento anular.
  • 43.
  • 44.
    Luxación de laArticulación del Codo  La estabilidad de la articulación del codo está determinada por la fijación de la tróclea del húmero en la cavidad troqueal del cúbito, por los soportes musculares (sobre todo el braquial anterior y el tríceps), y los soportes tendinosos y ligamentarios colaterales.  Debido a su gran movilidad, estas estructuras pueden sufrir fácilmente luxaciones .
  • 45.
     La luxaciónmás frecuente del codo es la posterior, en la que los cóndilos del húmero se desplazan hacia delante y la ulna hacia atrás.
  • 46.
     Clínicamente vamosa tener el "signo de la gaveta", en el que se puede palpar subcutánea y posteriormente las partes articulares del olecranón.
  • 47.
    Tratamiento  Para eltratamiento, se utiliza anestesia general para conseguir una mejor relajación muscular en el paciente.  Posteriormente se realiza una maniobra de tracción moderada en sentido longitudinal, tirando de la mano de manera que el codo quede en flexión de 120º a 130º; luego atrás empujamos el olecranón, fijamos el húmero y lo tiramos hacia atrás, hasta lograr la reposición, lo cual se reconoce por el chasquido característico, aunque debe corroborarse con Rx.  La inmovilización debe realizarse con el codo en ángulo de 90º , con un aparato de yeso braquiopalmar o de tener mucho edema bastará con una férula que se mantendrá por 2 o 3 semanas. Luego se inicia la terapia de rehabilitación.
  • 48.
    La Articulación RadioCubital Distal  Se trata de una articulación trocoide, localizada dentro de la articulación del carpo.  Une a la cabeza del cúbito a la escotadura cubital del radio.
  • 49.
    Cápsula Articular yLigamentos de la Articulación Radio Cubital Distal  La cápsula rodea la articulación, va de la cabeza del cúbito a la escotadura cubital del radio.  Los ligamentos son 2; el ligamento radiocubital palmar y el ligamento radiocubital dorsal.
  • 52.
    Luxación de laArticulación Radio Cubital Distal  A pesar de ser es una lesión observada con poca frecuencia, en ocasiones se presentan dificultades en su diagnóstico y tratamiento.  En ocasiones va acompañada de otras lesiones como por una fractura de la diáfisis del radio.
  • 53.
    Tratamiento  Se deberealizar una reducción anatómica de la luxación.  En ocasiones es necesaria anestesia regional para garantizar adecuada relajación muscular y alivio del dolor durante la reducción. Se debe inmovilizar en supinación del antebrazo en caso de luxación dorsal y en pronación para las volares. Se recomiendan seis semanas de inmovilización con férula braquial para permitir la cicatrización.
  • 54.
    Irrigación del Antebrazo Las principales arterias de esta región son:  La arteria Ulnar (o Cubital): Es rama de la Arteria Braquial, es muy grande inicia en la fosa cubital a nivel del cuello del radio. La Arteria Ulnar da una rama: * A. Interosea Común: Da 2 ramas las Aa. Accesorias interóseas anterior y posterior. Las cuales irrigan la membrana Interosea.  La Arteria Radial: Es la rama mas pequeña de la Arteria Braquial, también inicia en la fosa cubital a nivel del cuello del radio.
  • 56.
    Drenaje Venoso deAntebrazo  Las Mayoría de las Venas Superficiales de la mano drenan a la vena cubital mediana. La cual a su vez drena en las venas cefálica y basílica.  Las venas profundas del Antebrazo son numerosas y por lo general acompañan a las arterias en su trayecto.  Son dos venas por cada arteria.(2 Arterias Ulnares y 2 Arterias Radiales)

Notas del editor