PATOLOGIA ORAL I
Dr Yader Alvarado
Cambios en el numero de
dientes
 Dientes del nacimiento
 Dientes neonatales.
 Dientes accesorios
 Dientes supernumerarios
 Denticion post permanente o tercera
denticion
 Anodoncia.
DIENTES NATALES
Cambios en la forma del diente
 Microdoncia
 Macrodoncia
 Geminacion
 Fusion
 Concrescencia
 Dens in dente
 Dilaceracion
 Fractura
 Agenesia del esmalte
 Hipoplasia del
esmalte
 Hipocalcificacion del
esmalte.
 Dientes de Turner
 Dentinogenesis
imperfecta ( dientes
de concha )
 Odontodisplasia.
Cambios en la forma del diente
 Taurodoncia
 Aplasia del cemento
 Hipercementosis
 Abrasion
 Atrision
 Anquilosis
 caries
Cambios en el canal pulpar
 Canal pulpar estrecho
 Piedras pulpares
 Canales laterales
 Reabsorcion interna
 LESIONES VARIAS:
 Reabsorcion externas
 Calculos
 Malaoclusion.
Microdoncia (Generalizada)
 Dientes mas pequenos de lo normal.
 Enanismo pituitario.
 Dientes pequeños en comparacion con
maxilares grandes.
Microdoncia
Microdoncia (Localizada)
 Forma mas frecuente
 Diente mas pequeno que lo normal
 Frecuente en incisivos laterales superiores:
coronas en forma de clavija.
 El segundo mas comun es el 3er molar
superior.
 Posteriormente un diente supernumerario.
MICRODONCIA
MESIODENS
Macrodoncia Generalizada:
 Apariencia de dientes mas grandes.
 Macrodoncia Absoluta: Gigantismo pituitario.
 Relativa: Desproporcion con el tamaño de los
maxilares.
Macrodoncia.Obsérvese la longitud de los caninos
(41mm y 38mm) y del incisivo central superior derecho
(30mm).
Macrodoncia Focal:
 Diente o grupo de dientes anormalmente
grandes.
 Los 3eros molares mandibulares son los mas
afectados.
 Hipertrofia hemifacial: Dientes del lado
afectado son anormalmente mas grandes.
MACRODONCIA
Geminacion:
 Etiologia desconocida.
 Formacion incompleta de dos dientes.
 Intento de hacer dos dientes de un unico organo del
esmalte.
 Hendidura parcial: dos coronas compartiendo el
mismo canal radicular.
 Ocasionalmente: hendidura completa (generalizada)
dos dientes de un mismo germen.
 Causa de apiñamiento.
Fusion:
 Union de dos germenes dentarios en
desarrollo.
 Resultado: estructura dentaria unica/grande.
 Involucra: todo el diente/raices.
 Canales radiculares: separados/compartidos.
 Imposible diferenciar fusion de dientes
supernumerarios normales de Geminacion.
 Mayor afeccion de incisivos.
Concrescencia:
 Union entre dientes y yuxtapuestos.
 Forma de fusion.
 Dientes adyacentes unidos por cemento.
 Relacionados a trauma/apinamiento.
 Asociados con 2dos y 3ros molares.
 No predileccion por sexo.
 Significado: estetico
 Seccion quirurgica: si se necesita extraccion
Dilaceracion
 Curvatura extraordinaria de raices dentarias.
 Asociada a trauma durante el desarrollo
radicular, altera al germen dentario.
 Factores hereditarios.
 Exodoncia: dificil.
 Endodoncia: reto.
 Radiografias: son vitales.
Dens Invaginatus (dens in dente)
 Defecto en el desarrollo morfologico en el
cual la porcion coronal se invierte a la
camara pulpar.
 Anomalia poco frecuente.
 Clinicamente: exageracion o acentuacion de
la fosa lingual.
 Mas comun: Incisivo lateral superior
permanente.
 Posteriormente cualquier diente anterior.
 Bilateralidad: frecuente.
 Etiologia: desconocida
 Predisposicion a caries y pulpitis.
 Obturacion profilactica recomendada.
 Puede identificarse radiograficamente.
 Radiografia: estructura de esmalte radiopaca
dando la impresion de un pequeno diente
dentro de la cavidad pulpar.
Dens evaginatus
 Tambien llamado perla de esmalte oclusal.
 Afecta sobre todo premolares.
 Bilateral/Unilateral.
 Tuberculo anomalo o cuspide localizada en
centro de superficie oclusal.
 Tuberculo se gasta rapido: exposicion de
cuerno pulpar.
 Resultado: patologia periapical en diente
joven libre de caries.
Taurodoncia
 Afecta a temporales y permanente (mas
comun en permanentes).
 Coronas alargadas, camaras pulpares con
incremento de la longitud apico-oclusal,
formacion radicular rudimentaria.
 Incidente asociado con sindromes: Down,
Klinefelter.
 Dientes mas lesionados son molares.
Caracteristicas anatomicas:
a.La cámara pulpar es larga en relación a la
configuración externa del diente.
b.La constricción cervical es menos marcada en
comparación con la forma normal del diente.
c.El diente debe tener un desplazamiento apical de
la furca y raíces cortas.
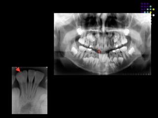
Raices supernumerarios
 Trastorno frecuente.
 Mas frecuente en caninos, premolares y
molares mandibulares (3ros molares).
 Raras en anterosuperiores e incisivos
inferiores.
 Reconocimiento radiografico: importante
(exodoncias).
Perlas de esmalte
 Gotas de esmalte ectopico en raices dentarias
(concreciones calcificadas).
 Mas frecuente en la bifurcacion o trifurcacion de
dientes.
 Pueden aparecer en premolares con raices unicas.
 Mas afectados: molares superiores.
 Deteccion radiografica.
 Tratamiento necesario cuando esta localizado en un
area de Enfermedad periodontal.
Atrision
 Desgaste fisiologico de los dientes como resultado
de la masticacion.
 Relacionado con la edad.
 Varia de persona a persona.
 Factores que influyen el patron y extension:
1. Calidad de la dieta
2. Denticion
3. Musculatura articular
4. Habitos de masticacion
BRUXISMO
BRUXISMO
Abrasion
 Desgaste patologico de la estructura dentaria.
 Resultado de habitos anormales.
 Uso normal de sustancias abrasivas.
 Causas mas comunes:
1. Fumado de pipa
2. Masticado de tabaco
3. Cepillado agresivo
4. Dentifricos abrasivos
5. Peluqueras, costureras, relojeros, joyeros
Erosion
 Desmineralizacion de la estructura dentaria.
 Perdida de la estructura dentaria.
 Resulta de un proceso quimico no bacteriano
 Causa mas comun: acidos
 Fuente externa/interna.
 Fuente externa: ambiente de trabajo, dieta
(bebidas carbonadas).
 Fuente interna: contenido gastrico,
enfermedades que cursan con vomito.
 Patron asociado con vomito:
1. Perdida generalizada de superficies
linguales de dientes superiores.
2. Cualquier superficie afectada: pacientes
que compensan perdida de liquidos con
ingesta de citricos.
3. Anorexia nerviosa.
4. Uso de acidos en industrias.
Anodoncia
 Ausencia dentaria.
 Anodoncia completa: *todos los dientes
ausentes
 Anodoncia parcial: *uno/varios dientes
ausentes.
 Pseudoanodoncia: ausencia clinica.
 Falsa anodoncia: dientes
exfoliados/extraidos.
 Anodoncia parcial: relativamente comun
Anodoncia - Pseudoanodoncia
 Dientes ausentes congenitamente:
1. 3ros molares.
2. 2dos premolares.
3. Incisivos laterales superiores.
Anodoncia parcial
 Causa desconocida.
 Otros factores hereditarios.
 Tipica del sindrome de Displasia ectodermica
hereditaria.
 Pocos dientes presentes: conicos.
Anodoncia completa
 Rara.
 Asociada con el sindrome de D.E.H. (menos
frecuente)
Impactacion
 Pseudoanodoncia.
 Frecuente.
 3ros molares inferiores y caninos superiores.
 Es raro en incisivos y primeros molares.
 Obstruccion producto de apinamiento.
 Ocasionalmente debido a una via de
erupcion anormal, orientacion inusual del
germen.
 Otra causa puede ser la Anquilosis.
Dientes supernumerarios
 Diente extra.
 Proliferacion continua de la lamina dental
primaria/permanente hasta formar un 3er germen.
 Morfologia normal/rudimentario/miniatura.
 Mayoria aislados.
 Otros sindromes asociados: Sindrome de Gardner,
 Displasia cleido craneal.
 Mas frecuente en denticion permanente.
 Mas frecuente en maxilar superior.
 Sitio mas comun: linea media anterior del maxilar
superior, mesiodens.
 Segundo sitio mas comun: area molar superior.
 Significado clinico: espacio.
 Impactados:
1. Bloquean la erupcion de otros dientes.
2. Erupcion retardada.
3. Erupcion defectuosa de dientes adyacentes.
Defectos ambientales:
 Ameloblastos susceptibles a factores
externos.
 Defectos en cantidad y calidad del esmalte.
 Defectos cuantitativos (dureza normal)
hipoplasia del esmalte.
 Defectos cualitativos (cantidad normal)
hipocalcificacion del esmalte.
Factores etiologicos
 1. LOCALES:
 Afeccion de un unico diente.
 Trauma local o absceso.
 Hipocalcificacion.
 Hipoplasia.
 Decoloracion coronal.
 Fositas, irregularidades coronales.
 Mas frecuentes en permanentes.
 2.- SISTEMICOS:
 Afeccion de todos los dientes.
 Despues del nacimiento/antes de los 6 años.
 Predominacion: primer año de vida.
 Afeccion de 1eros molares y dientes anterior.
 Causas especificas desconocidas.
 Mas frecuente enf infecciosas de la infancia.
 Otros factores:
1. Deficiencias nutricionales
2. Sifilis congenita
3. Trauma del nacimiento
4. Fluorosis.
Sifilis congenita
 Afeccion de incisivos: dientes de Hutchinson.
 1eros molares ( molares en mora )
Fluorosis
 Ingestion de agua conteniendo fluor a niveles
mayores de una parte por millon.
 Forma endemica: fluor natural en cantidades
excesivas.
 Extension del danño depende de duracion, tiempo e
intensidad y concentracion.
 Fluorosis leve – moderada: manchas blancas a
decoloraciones, moteadas o cafesuscas.
 Fluorosis severa – esmalte irregular, decolorado,
fisurado.
 Significado clinico: estetico.
Fluorosis
Amelogenesis imperfecta
 Ambas denticiones.
 Clasificacion:
1. Hipoplasia.
2. Hipocalcificacion.
3. Hipomaduracion
Forma hipoplasica
 Erupcion dentaria con
 cantidades insuficientes
 de esmalte.
 Presencia de fositas/surcos.
 Aplasia.
 Contornos anormales.
 Puntos de contacto interproximales ausentes.
Dientes de Turner
(esmalte hipoplasico)
Forma hipocalcificada
 Cantidad del esmalte normal.
 Esmalte blando friable.
 Fractura y desgaste rapido.
 Coloracion variable de paciente a paciente.
 Varia: blanco opaco, amarillo o café.
 Tendencia a oscurecer con la edad.
 Radiograficamente:
1. Reduccion del esmalte.
2. Capa delgada: oclusal – interproximal.
3. Dentina/camara pulpar: normales.
4. Tratamiento estetico.
5. No tendencia a caries.
Hipomaduracion
Dentinogenesis imperfecta
Dentinogesis imperfecta
DIENTES DE CONCHA
Dentinogenesis
Impefecta
Displasia dentinaria
 Trastorno que se adquiere de forma autosomica
dominante.
 Condicion rara que afecta a la dentina.
 Clasificacion:
 Tipo I radicular: ambas denticiones normales
(color), presenta raices cortas, mayor resistencia a
caries.
 Tipo II coronal: color de temporales opalescentes,
permanentes normales, pulpas largas y llenas de
globulos de dentina anormal.
Odontodisplasia regional
 Involucra tejidos duros (esmalte, dentina, cemento).
 Los dientes se pueden afectar en una region, cuadrante o
mandibula.
 Presencia de raices cortas, foramen apical abierto y camaras
pulpares alargadas.
 Adelgazamiento y pobre mineralizacion del esmalte y dentina.
 Mayor afeccion de permanentes.
 Region anterosuperior mas afectada.
 Causa desconocida.
 Algunos factores asociados: traumas, deficiencias nutricionales,
infecciones, anormalidades geneticas, enfermedades sistemicas,
anormalidades metabolicas.
 Tratamiento: remocion del diente afectado.
Odontodisplasia regional
Odontodisplasia
 Hipoplasia eHipoplasia e
hipocalcificacionhipocalcificacion dede
la dentinala dentina
Calcificacion pulpar
Resorcion interna
Resorcion externa
 Causas:
 Procedimientos patologicos adyacentes.
 Lesiones inflamatorias cronicas.
 Quistes.
 Tumores benignos.
 Neoplasia maligna.
 Patogenesis:
 Vascularidad incrementada y presion.
Feliz
semana
santa

Anomalías dentales

  • 1.
    PATOLOGIA ORAL I DrYader Alvarado
  • 2.
    Cambios en elnumero de dientes  Dientes del nacimiento  Dientes neonatales.  Dientes accesorios  Dientes supernumerarios  Denticion post permanente o tercera denticion  Anodoncia.
  • 3.
  • 5.
    Cambios en laforma del diente  Microdoncia  Macrodoncia  Geminacion  Fusion  Concrescencia  Dens in dente  Dilaceracion  Fractura  Agenesia del esmalte  Hipoplasia del esmalte  Hipocalcificacion del esmalte.  Dientes de Turner  Dentinogenesis imperfecta ( dientes de concha )  Odontodisplasia.
  • 6.
    Cambios en laforma del diente  Taurodoncia  Aplasia del cemento  Hipercementosis  Abrasion  Atrision  Anquilosis  caries
  • 7.
    Cambios en elcanal pulpar  Canal pulpar estrecho  Piedras pulpares  Canales laterales  Reabsorcion interna  LESIONES VARIAS:  Reabsorcion externas  Calculos  Malaoclusion.
  • 9.
    Microdoncia (Generalizada)  Dientesmas pequenos de lo normal.  Enanismo pituitario.  Dientes pequeños en comparacion con maxilares grandes.
  • 10.
  • 12.
    Microdoncia (Localizada)  Formamas frecuente  Diente mas pequeno que lo normal  Frecuente en incisivos laterales superiores: coronas en forma de clavija.  El segundo mas comun es el 3er molar superior.  Posteriormente un diente supernumerario.
  • 13.
  • 15.
    Macrodoncia Generalizada:  Aparienciade dientes mas grandes.  Macrodoncia Absoluta: Gigantismo pituitario.  Relativa: Desproporcion con el tamaño de los maxilares.
  • 16.
    Macrodoncia.Obsérvese la longitudde los caninos (41mm y 38mm) y del incisivo central superior derecho (30mm).
  • 17.
    Macrodoncia Focal:  Dienteo grupo de dientes anormalmente grandes.  Los 3eros molares mandibulares son los mas afectados.  Hipertrofia hemifacial: Dientes del lado afectado son anormalmente mas grandes.
  • 18.
  • 20.
    Geminacion:  Etiologia desconocida. Formacion incompleta de dos dientes.  Intento de hacer dos dientes de un unico organo del esmalte.  Hendidura parcial: dos coronas compartiendo el mismo canal radicular.  Ocasionalmente: hendidura completa (generalizada) dos dientes de un mismo germen.  Causa de apiñamiento.
  • 25.
    Fusion:  Union dedos germenes dentarios en desarrollo.  Resultado: estructura dentaria unica/grande.  Involucra: todo el diente/raices.  Canales radiculares: separados/compartidos.  Imposible diferenciar fusion de dientes supernumerarios normales de Geminacion.  Mayor afeccion de incisivos.
  • 29.
    Concrescencia:  Union entredientes y yuxtapuestos.  Forma de fusion.  Dientes adyacentes unidos por cemento.  Relacionados a trauma/apinamiento.  Asociados con 2dos y 3ros molares.  No predileccion por sexo.  Significado: estetico  Seccion quirurgica: si se necesita extraccion
  • 32.
    Dilaceracion  Curvatura extraordinariade raices dentarias.  Asociada a trauma durante el desarrollo radicular, altera al germen dentario.  Factores hereditarios.  Exodoncia: dificil.  Endodoncia: reto.  Radiografias: son vitales.
  • 34.
    Dens Invaginatus (densin dente)  Defecto en el desarrollo morfologico en el cual la porcion coronal se invierte a la camara pulpar.  Anomalia poco frecuente.  Clinicamente: exageracion o acentuacion de la fosa lingual.  Mas comun: Incisivo lateral superior permanente.  Posteriormente cualquier diente anterior.
  • 35.
     Bilateralidad: frecuente. Etiologia: desconocida  Predisposicion a caries y pulpitis.  Obturacion profilactica recomendada.  Puede identificarse radiograficamente.  Radiografia: estructura de esmalte radiopaca dando la impresion de un pequeno diente dentro de la cavidad pulpar.
  • 38.
    Dens evaginatus  Tambienllamado perla de esmalte oclusal.  Afecta sobre todo premolares.  Bilateral/Unilateral.  Tuberculo anomalo o cuspide localizada en centro de superficie oclusal.  Tuberculo se gasta rapido: exposicion de cuerno pulpar.  Resultado: patologia periapical en diente joven libre de caries.
  • 40.
    Taurodoncia  Afecta atemporales y permanente (mas comun en permanentes).  Coronas alargadas, camaras pulpares con incremento de la longitud apico-oclusal, formacion radicular rudimentaria.  Incidente asociado con sindromes: Down, Klinefelter.  Dientes mas lesionados son molares.
  • 42.
    Caracteristicas anatomicas: a.La cámarapulpar es larga en relación a la configuración externa del diente. b.La constricción cervical es menos marcada en comparación con la forma normal del diente. c.El diente debe tener un desplazamiento apical de la furca y raíces cortas.
  • 43.
    Raices supernumerarios  Trastornofrecuente.  Mas frecuente en caninos, premolares y molares mandibulares (3ros molares).  Raras en anterosuperiores e incisivos inferiores.  Reconocimiento radiografico: importante (exodoncias).
  • 44.
    Perlas de esmalte Gotas de esmalte ectopico en raices dentarias (concreciones calcificadas).  Mas frecuente en la bifurcacion o trifurcacion de dientes.  Pueden aparecer en premolares con raices unicas.  Mas afectados: molares superiores.  Deteccion radiografica.  Tratamiento necesario cuando esta localizado en un area de Enfermedad periodontal.
  • 46.
    Atrision  Desgaste fisiologicode los dientes como resultado de la masticacion.  Relacionado con la edad.  Varia de persona a persona.  Factores que influyen el patron y extension: 1. Calidad de la dieta 2. Denticion 3. Musculatura articular 4. Habitos de masticacion
  • 47.
  • 48.
  • 50.
    Abrasion  Desgaste patologicode la estructura dentaria.  Resultado de habitos anormales.  Uso normal de sustancias abrasivas.  Causas mas comunes: 1. Fumado de pipa 2. Masticado de tabaco 3. Cepillado agresivo 4. Dentifricos abrasivos 5. Peluqueras, costureras, relojeros, joyeros
  • 52.
    Erosion  Desmineralizacion dela estructura dentaria.  Perdida de la estructura dentaria.  Resulta de un proceso quimico no bacteriano  Causa mas comun: acidos  Fuente externa/interna.  Fuente externa: ambiente de trabajo, dieta (bebidas carbonadas).  Fuente interna: contenido gastrico, enfermedades que cursan con vomito.
  • 53.
     Patron asociadocon vomito: 1. Perdida generalizada de superficies linguales de dientes superiores. 2. Cualquier superficie afectada: pacientes que compensan perdida de liquidos con ingesta de citricos. 3. Anorexia nerviosa. 4. Uso de acidos en industrias.
  • 56.
    Anodoncia  Ausencia dentaria. Anodoncia completa: *todos los dientes ausentes  Anodoncia parcial: *uno/varios dientes ausentes.  Pseudoanodoncia: ausencia clinica.  Falsa anodoncia: dientes exfoliados/extraidos.  Anodoncia parcial: relativamente comun
  • 57.
  • 58.
     Dientes ausentescongenitamente: 1. 3ros molares. 2. 2dos premolares. 3. Incisivos laterales superiores.
  • 59.
    Anodoncia parcial  Causadesconocida.  Otros factores hereditarios.  Tipica del sindrome de Displasia ectodermica hereditaria.  Pocos dientes presentes: conicos.
  • 60.
    Anodoncia completa  Rara. Asociada con el sindrome de D.E.H. (menos frecuente)
  • 64.
    Impactacion  Pseudoanodoncia.  Frecuente. 3ros molares inferiores y caninos superiores.  Es raro en incisivos y primeros molares.  Obstruccion producto de apinamiento.  Ocasionalmente debido a una via de erupcion anormal, orientacion inusual del germen.  Otra causa puede ser la Anquilosis.
  • 67.
    Dientes supernumerarios  Dienteextra.  Proliferacion continua de la lamina dental primaria/permanente hasta formar un 3er germen.  Morfologia normal/rudimentario/miniatura.  Mayoria aislados.  Otros sindromes asociados: Sindrome de Gardner,  Displasia cleido craneal.  Mas frecuente en denticion permanente.  Mas frecuente en maxilar superior.
  • 69.
     Sitio mascomun: linea media anterior del maxilar superior, mesiodens.  Segundo sitio mas comun: area molar superior.  Significado clinico: espacio.  Impactados: 1. Bloquean la erupcion de otros dientes. 2. Erupcion retardada. 3. Erupcion defectuosa de dientes adyacentes.
  • 75.
    Defectos ambientales:  Ameloblastossusceptibles a factores externos.  Defectos en cantidad y calidad del esmalte.  Defectos cuantitativos (dureza normal) hipoplasia del esmalte.  Defectos cualitativos (cantidad normal) hipocalcificacion del esmalte.
  • 76.
    Factores etiologicos  1.LOCALES:  Afeccion de un unico diente.  Trauma local o absceso.  Hipocalcificacion.  Hipoplasia.  Decoloracion coronal.  Fositas, irregularidades coronales.  Mas frecuentes en permanentes.
  • 77.
     2.- SISTEMICOS: Afeccion de todos los dientes.  Despues del nacimiento/antes de los 6 años.  Predominacion: primer año de vida.  Afeccion de 1eros molares y dientes anterior.  Causas especificas desconocidas.  Mas frecuente enf infecciosas de la infancia.  Otros factores: 1. Deficiencias nutricionales 2. Sifilis congenita 3. Trauma del nacimiento 4. Fluorosis.
  • 78.
    Sifilis congenita  Afeccionde incisivos: dientes de Hutchinson.  1eros molares ( molares en mora )
  • 79.
    Fluorosis  Ingestion deagua conteniendo fluor a niveles mayores de una parte por millon.  Forma endemica: fluor natural en cantidades excesivas.  Extension del danño depende de duracion, tiempo e intensidad y concentracion.  Fluorosis leve – moderada: manchas blancas a decoloraciones, moteadas o cafesuscas.  Fluorosis severa – esmalte irregular, decolorado, fisurado.  Significado clinico: estetico.
  • 80.
  • 81.
    Amelogenesis imperfecta  Ambasdenticiones.  Clasificacion: 1. Hipoplasia. 2. Hipocalcificacion. 3. Hipomaduracion
  • 83.
    Forma hipoplasica  Erupciondentaria con  cantidades insuficientes  de esmalte.  Presencia de fositas/surcos.  Aplasia.  Contornos anormales.  Puntos de contacto interproximales ausentes.
  • 84.
  • 85.
    Forma hipocalcificada  Cantidaddel esmalte normal.  Esmalte blando friable.  Fractura y desgaste rapido.  Coloracion variable de paciente a paciente.  Varia: blanco opaco, amarillo o café.  Tendencia a oscurecer con la edad.  Radiograficamente: 1. Reduccion del esmalte. 2. Capa delgada: oclusal – interproximal. 3. Dentina/camara pulpar: normales. 4. Tratamiento estetico. 5. No tendencia a caries.
  • 86.
  • 88.
  • 89.
  • 91.
  • 92.
    Displasia dentinaria  Trastornoque se adquiere de forma autosomica dominante.  Condicion rara que afecta a la dentina.  Clasificacion:  Tipo I radicular: ambas denticiones normales (color), presenta raices cortas, mayor resistencia a caries.  Tipo II coronal: color de temporales opalescentes, permanentes normales, pulpas largas y llenas de globulos de dentina anormal.
  • 95.
    Odontodisplasia regional  Involucratejidos duros (esmalte, dentina, cemento).  Los dientes se pueden afectar en una region, cuadrante o mandibula.  Presencia de raices cortas, foramen apical abierto y camaras pulpares alargadas.  Adelgazamiento y pobre mineralizacion del esmalte y dentina.  Mayor afeccion de permanentes.  Region anterosuperior mas afectada.  Causa desconocida.  Algunos factores asociados: traumas, deficiencias nutricionales, infecciones, anormalidades geneticas, enfermedades sistemicas, anormalidades metabolicas.  Tratamiento: remocion del diente afectado.
  • 96.
  • 98.
    Odontodisplasia  Hipoplasia eHipoplasiae hipocalcificacionhipocalcificacion dede la dentinala dentina
  • 100.
  • 102.
  • 106.
    Resorcion externa  Causas: Procedimientos patologicos adyacentes.  Lesiones inflamatorias cronicas.  Quistes.  Tumores benignos.  Neoplasia maligna.  Patogenesis:  Vascularidad incrementada y presion.
  • 109.