ESCUELA SUPERIOR POLITÉCNICA DE
CHIMBORAZO
ESCUELA DE MEDICINA
HISTOLOGÍA II
SISTEMAS CARDIOVASCULAR Y RESPIRATORIO
Por:
Monserrat Cabay, Nataly Cepeda,
Katherine Janeta, Joel Pagalo.
APARATO CIRCULATORIO
• Sistema circulatorio sanguíneo
• Sistema circulatorio linfático
Sistema circulatorio
sanguíneo
Tubos interconectados
Vasos sanguíneos
Capilares, arterias y venas.
Bomba impulsora
Corazón
CAPILARES
• Diámetro: más pequeño.
• Estructura: más elemental
• Ubicación: En todos los órganos y tejidos
• Función: Llevar nutrientes
Capilares ordinarios
continuos
Capilares
Ordinarios
fenestrados
Capilares
sinusoidales
CAPILARES ORDINARIOS
CONTINUOS
• Diámetro: 5 y 10 micrones.
• Pared sumamente delgada, una sola capa de células epiteliales
planas.
• Células: núcleo ovalado y citoplasma en forma de canal.
• Unidas mediante zónulas ocluyentes y desmosomas.
• Células epiteliales : ENDOTELIO.
• Por fuera de la M. basal: Malla de
fibras elásticas y reticulares.
• Más superficial: Células
estrelladas, PERICITOS (Células de
Rouget).
• En su citoplasma: proteína
contráctil.
CAPILARES ORDINARIOS
FENESTRADOS
• Pared discontinua, poros para comunicación.
• El contorno de los poros presenta : FENESTRACIONES.
• Función: Intercambio más íntimo.
• Glomérulos renales, mucosa intestinal, algunas glándulas
endócrinas.
CAPILARES SINUSOIDALES
(SINUSOIDES)
• Diámetro: 35 o más micrones.
• Trayecto irregular, a manera de S.
• Endotelio fenestrado, también pericitos y malla de fibras.
• Función: Circulación de sangre a menor velocidad.
• Hígado, médula ósea, bazo.
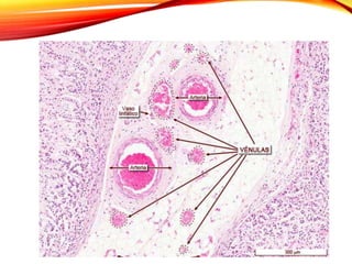
ARTERIAS
• Más grandes que los capilares.
• Función: Lleva sangre desde el corazón a todo el cuerpo.
• Se originan de la aorta, quien genera colaterales hasta formar las
redes capilares.
• Presentan 3 capas o túnicas: Interna o íntima, media y adventicia.
Arterias
Pequeño calibre o arteriolas
Mediano calibre o arterias
musculares
Gran calibre o elásticas
ARTERIAS DE GRAN CALIBRE
O ELÁSTICAS.
• Aorta, tronco braquiocefálico, A. pulmonar, e ilíacas primitivas.
Túnica interna:
Endotelio
Membrana basal
Sub-endotelio
M. Limitante elástica interna
Túnica media:
Predominio de F. elásticas
Fibras musculares lisas
escasas.
Túnica externa:
Tejido conectivo laxo
Capa más superficial
ARTERIAS DE MEDIANO CALIBRE
O MUSCULARES
• Mayoría de arterias del cuerpo.
Carótida, subclavia, etc.
• La túnica interna,las mismas subcapas.
• La túnica media, presenta laminillas
concéntricas de músculo liso, más de
30.
• La ML elástica externa más delgada que
la interna.
• Puentes de unión de fibras elásticas
rectas o en Y.
• Túnica externa de T.C. Laxo.
ARTERIAS DE PEQUEÑO CALIBRE
O ARTERIOLAS
• Arterias que originan capilares.
• Túnica interna: Presenta los mismos estratos, su grosor disminuye
proporcionalmente.
• Túnica media: Escasas laminillas de M. liso.
• Túnica externa: De tejido conectivo laxo.
VENAS
• Transportan sangre desde todos los órganos del cuerpo
hacia el corazón.
• Constituidas por 3 túnicas: Interna, media, externa o
adventicia.
Venas
Pequeño calibre o vénulas
Mediano calibre
Gran calibre
VENAS DE PEQUEÑO CALIBRE O
VÉNULAS
• Continuación de los capilares
arteriales.
• Túnica interna: Endotelio, membrana
basal, sub-endotelio, tenue M.L.
elástica interna.
• Túnica media: Escasas fibras
musculares lisas y elásticas.
• Túnica externa: Tejido conectivo
elástico.
VENAS DE MEDIANO
CALIBRE
• Son las más numerosas.
• 2 venas por cada arteria.
• Túnica íntima: 4 subcapas; más delgada que la de su arteria;
trayecto casi rectilíneo y entrecortado.
• Túnica media: Espesor pequeño; laminillas de M. liso y F. elásticas;
no hay M. L. elástica externa.
• Túnica externa: Bastante amplia, T.C. laxo.
VENAS DE GRAN CALIBRE
• Vena cava superior, vena cava inferior, troncos venosos
braquiocefálicos y las venas pulmonares.
• Túnica interna: Igual a la vena de mediano calibre.
• Túnica media: Espesor muy pequeño, escaso músculo liso.
• Túnica externa: Muy amplia, de T.C. Elástico.
VÁLVULAS VENOSAS.
• Facilitan la circulación
• Impiden el reflujo sanguíneo
• Formadas por 3 valvas, que nacen de la túnica interna.
NUTRICIÓN DE LOS VASOS
SANGUÍNEOS
• Nutrición de las paredes arteriales y venosas mediante capilares.
• En el vaso arterial, llegan a la capa muscular.
• En el vaso venoso avanzan hasta la capa subendotelial.
• Capilares provenientes de arterias vecinas, denominados vasa-
vasorum.
CORAZÓN
• Órgano hueco, en el mediastino, sobre el diafragma.
• Después del nacimiento: dos cámaras individuales, separadas
por el septum-cordis.
• A cada lado 2 cavidades: atrio y ventrículo izquierdo y derecho.
• Ventrículo izquierdo: Orificio de la aorta,
Orificio aurículo-ventricular izquierdo.
• Ventrículo derecho: Orificio del tronco
pulmonar, Orificio aurículo-ventricular
derecho.
• Aurícula derecha: Orificios de las venas
cavas.
• Aurícula izquierda: Orificios de las venas
pulmonares.
FUNCIÓN DEL CORAZÓN
• Actúa como una “bomba”, impulsa la sangre a todo el
cuerpo, y la trae de regreso.
HISTOLOGÍA
Estroma
Esqueleto o armazón
Septum o tabique
medio.
Orificios auriculo
ventriculares, aórtico
y pulmonar.
Parénquima
Paredes de las cavidades
Más gruesa VI, VD.
Más delgadas: AI y
AD
Endocardio,
miocardio y
pericardio.
ENDOCARDIO
1. Endotelio, prolongación de los
VS.
2. Membrana basal.
3. Sub-endotelio, TC Denso.
4. Sub-endocardio, TC Laxo.
4 subcapas:
MIOCARDIO
• 2da Capa o intermedia.
• Constituida por M. cardíaco.
PERICARDIO O EPICARDIO
• Más externa.
Hoja interna o visceral
M. serosa, de TC Laxo
(areolar).
Adherida al miocardio.
Recubierta por el
mesotelio
Cavidad pericárdica
Cavidad o espacio virtual.
Lubricado, 40-50 ml de
Liq. Pericárdico.
Hoja parietal
Presenta mesotelio.
M. Basal del mesotelio.
Capa de TC Denso.
NUTRICIÓN DEL CORAZÓN
• Mediante las arterias coronarias.
• Atraviesan las 3 capas, en el miocardio se capilarizan, y penetran al
endocardio.
• Las redes capilares forman vénulas, venas, y terminan en el Seno
coronario.
SISTEMA CARDIO-NECTOR
• Nódulo sinoatrial: Masa de
células musculares modificadas,
especializadas en conducir
estímulos.
• Nódulo atrioventricular:
Histología similar.
• Haz de Hiss: Pasa por el
tabique interventricular, se
divide en 2 ramas, pasan a los
ventrículos.

Aparato cardiovascular.

  • 1.
    ESCUELA SUPERIOR POLITÉCNICADE CHIMBORAZO ESCUELA DE MEDICINA HISTOLOGÍA II SISTEMAS CARDIOVASCULAR Y RESPIRATORIO Por: Monserrat Cabay, Nataly Cepeda, Katherine Janeta, Joel Pagalo.
  • 2.
    APARATO CIRCULATORIO • Sistemacirculatorio sanguíneo • Sistema circulatorio linfático Sistema circulatorio sanguíneo Tubos interconectados Vasos sanguíneos Capilares, arterias y venas. Bomba impulsora Corazón
  • 3.
    CAPILARES • Diámetro: máspequeño. • Estructura: más elemental • Ubicación: En todos los órganos y tejidos • Función: Llevar nutrientes Capilares ordinarios continuos Capilares Ordinarios fenestrados Capilares sinusoidales
  • 4.
    CAPILARES ORDINARIOS CONTINUOS • Diámetro:5 y 10 micrones. • Pared sumamente delgada, una sola capa de células epiteliales planas. • Células: núcleo ovalado y citoplasma en forma de canal. • Unidas mediante zónulas ocluyentes y desmosomas.
  • 5.
    • Células epiteliales: ENDOTELIO. • Por fuera de la M. basal: Malla de fibras elásticas y reticulares. • Más superficial: Células estrelladas, PERICITOS (Células de Rouget). • En su citoplasma: proteína contráctil.
  • 6.
    CAPILARES ORDINARIOS FENESTRADOS • Pareddiscontinua, poros para comunicación. • El contorno de los poros presenta : FENESTRACIONES. • Función: Intercambio más íntimo. • Glomérulos renales, mucosa intestinal, algunas glándulas endócrinas.
  • 7.
    CAPILARES SINUSOIDALES (SINUSOIDES) • Diámetro:35 o más micrones. • Trayecto irregular, a manera de S. • Endotelio fenestrado, también pericitos y malla de fibras. • Función: Circulación de sangre a menor velocidad. • Hígado, médula ósea, bazo.
  • 8.
    ARTERIAS • Más grandesque los capilares. • Función: Lleva sangre desde el corazón a todo el cuerpo. • Se originan de la aorta, quien genera colaterales hasta formar las redes capilares. • Presentan 3 capas o túnicas: Interna o íntima, media y adventicia. Arterias Pequeño calibre o arteriolas Mediano calibre o arterias musculares Gran calibre o elásticas
  • 9.
    ARTERIAS DE GRANCALIBRE O ELÁSTICAS. • Aorta, tronco braquiocefálico, A. pulmonar, e ilíacas primitivas. Túnica interna: Endotelio Membrana basal Sub-endotelio M. Limitante elástica interna Túnica media: Predominio de F. elásticas Fibras musculares lisas escasas. Túnica externa: Tejido conectivo laxo Capa más superficial
  • 11.
    ARTERIAS DE MEDIANOCALIBRE O MUSCULARES • Mayoría de arterias del cuerpo. Carótida, subclavia, etc. • La túnica interna,las mismas subcapas. • La túnica media, presenta laminillas concéntricas de músculo liso, más de 30. • La ML elástica externa más delgada que la interna. • Puentes de unión de fibras elásticas rectas o en Y. • Túnica externa de T.C. Laxo.
  • 13.
    ARTERIAS DE PEQUEÑOCALIBRE O ARTERIOLAS • Arterias que originan capilares. • Túnica interna: Presenta los mismos estratos, su grosor disminuye proporcionalmente. • Túnica media: Escasas laminillas de M. liso. • Túnica externa: De tejido conectivo laxo.
  • 15.
    VENAS • Transportan sangredesde todos los órganos del cuerpo hacia el corazón. • Constituidas por 3 túnicas: Interna, media, externa o adventicia. Venas Pequeño calibre o vénulas Mediano calibre Gran calibre
  • 16.
    VENAS DE PEQUEÑOCALIBRE O VÉNULAS • Continuación de los capilares arteriales. • Túnica interna: Endotelio, membrana basal, sub-endotelio, tenue M.L. elástica interna. • Túnica media: Escasas fibras musculares lisas y elásticas. • Túnica externa: Tejido conectivo elástico.
  • 18.
    VENAS DE MEDIANO CALIBRE •Son las más numerosas. • 2 venas por cada arteria. • Túnica íntima: 4 subcapas; más delgada que la de su arteria; trayecto casi rectilíneo y entrecortado. • Túnica media: Espesor pequeño; laminillas de M. liso y F. elásticas; no hay M. L. elástica externa. • Túnica externa: Bastante amplia, T.C. laxo.
  • 20.
    VENAS DE GRANCALIBRE • Vena cava superior, vena cava inferior, troncos venosos braquiocefálicos y las venas pulmonares. • Túnica interna: Igual a la vena de mediano calibre. • Túnica media: Espesor muy pequeño, escaso músculo liso. • Túnica externa: Muy amplia, de T.C. Elástico.
  • 22.
    VÁLVULAS VENOSAS. • Facilitanla circulación • Impiden el reflujo sanguíneo • Formadas por 3 valvas, que nacen de la túnica interna.
  • 23.
    NUTRICIÓN DE LOSVASOS SANGUÍNEOS • Nutrición de las paredes arteriales y venosas mediante capilares. • En el vaso arterial, llegan a la capa muscular. • En el vaso venoso avanzan hasta la capa subendotelial. • Capilares provenientes de arterias vecinas, denominados vasa- vasorum.
  • 24.
    CORAZÓN • Órgano hueco,en el mediastino, sobre el diafragma. • Después del nacimiento: dos cámaras individuales, separadas por el septum-cordis. • A cada lado 2 cavidades: atrio y ventrículo izquierdo y derecho.
  • 25.
    • Ventrículo izquierdo:Orificio de la aorta, Orificio aurículo-ventricular izquierdo. • Ventrículo derecho: Orificio del tronco pulmonar, Orificio aurículo-ventricular derecho. • Aurícula derecha: Orificios de las venas cavas. • Aurícula izquierda: Orificios de las venas pulmonares.
  • 26.
    FUNCIÓN DEL CORAZÓN •Actúa como una “bomba”, impulsa la sangre a todo el cuerpo, y la trae de regreso.
  • 27.
    HISTOLOGÍA Estroma Esqueleto o armazón Septumo tabique medio. Orificios auriculo ventriculares, aórtico y pulmonar. Parénquima Paredes de las cavidades Más gruesa VI, VD. Más delgadas: AI y AD Endocardio, miocardio y pericardio.
  • 28.
    ENDOCARDIO 1. Endotelio, prolongaciónde los VS. 2. Membrana basal. 3. Sub-endotelio, TC Denso. 4. Sub-endocardio, TC Laxo. 4 subcapas:
  • 29.
    MIOCARDIO • 2da Capao intermedia. • Constituida por M. cardíaco.
  • 30.
    PERICARDIO O EPICARDIO •Más externa. Hoja interna o visceral M. serosa, de TC Laxo (areolar). Adherida al miocardio. Recubierta por el mesotelio Cavidad pericárdica Cavidad o espacio virtual. Lubricado, 40-50 ml de Liq. Pericárdico. Hoja parietal Presenta mesotelio. M. Basal del mesotelio. Capa de TC Denso.
  • 31.
    NUTRICIÓN DEL CORAZÓN •Mediante las arterias coronarias. • Atraviesan las 3 capas, en el miocardio se capilarizan, y penetran al endocardio. • Las redes capilares forman vénulas, venas, y terminan en el Seno coronario.
  • 32.
    SISTEMA CARDIO-NECTOR • Nódulosinoatrial: Masa de células musculares modificadas, especializadas en conducir estímulos. • Nódulo atrioventricular: Histología similar. • Haz de Hiss: Pasa por el tabique interventricular, se divide en 2 ramas, pasan a los ventrículos.