ENFERMEDAD
PERIODONTAL
ENFERMEDAD
PERIODONTAL
Acción de la placa sobre los tejidos periodontales.
Gingivitis. Periodontitis. Etiopatogenia.
Epidemiología. Prevención y control de las
enfermedades periodontales
Acción de la placa sobre los tejidos periodontales.
Gingivitis. Periodontitis. Etiopatogenia.
Epidemiología. Prevención y control de las
enfermedades periodontales
Capítulo 9
Capítulo 9
„ Más del 80% de la población adulta española tiene un problema
de salud bucodental que precisa tratamiento
„ En niños, la caries ha disminuido del 60% en 1993 al 43% en
2000
„ El 100% de los adultos y el 50% de los jóvenes analizados de
hasta 15 años padecen gingivitis en su fase leve
„ La periodontitis afecta a uno de cada cuatro adultos entre 45 y
64 años y al 44% de los adultos mayores de 65 años
„ El 70% de los mayores de 35 años y menores de 44 ha perdido
entre 1 y 15 piezas dentales
„
„ M
Má
ás del 80% de la poblaci
s del 80% de la població
ón adulta espa
n adulta españ
ñola tiene un problema
ola tiene un problema
de salud
de salud bucodental
bucodental que precisa tratamiento
que precisa tratamiento
„
„ En ni
En niñ
ños, la caries ha disminuido del 60% en 1993 al 43% en
os, la caries ha disminuido del 60% en 1993 al 43% en
2000
2000
„
„ El 100% de los adultos y el 50% de los j
El 100% de los adultos y el 50% de los jó
óvenes analizados de
venes analizados de
hasta 15 a
hasta 15 añ
ños padecen gingivitis en su fase leve
os padecen gingivitis en su fase leve
„
„ La periodontitis afecta a uno de cada cuatro adultos entre 45 y
La periodontitis afecta a uno de cada cuatro adultos entre 45 y
64 a
64 añ
ños y al 44% de los adultos mayores de 65 a
os y al 44% de los adultos mayores de 65 añ
ños
os
„
„ El 70% de los mayores de 35 a
El 70% de los mayores de 35 añ
ños y menores de 44 ha perdido
os y menores de 44 ha perdido
entre 1 y 15 piezas dentales
entre 1 y 15 piezas dentales
PARÁMETROS DE SALUD Y ENFERMEDAD
PAR
PARÁ
ÁMETROS DE SALUD Y ENFERMEDAD
METROS DE SALUD Y ENFERMEDAD
color gingival
color gingival
color gingival
forma gingival
forma
forma gingival
gingival
densidad gingival
densidad gingival
densidad gingival
sondaje del surco
sondaje del surco
sondaje del surco
placa subgingival
placa subgingival
placa subgingival
cálculo subgingival
c
cá
álculo subgingival
lculo subgingival
profundidad de bolsa
profundidad de bolsa
profundidad de bolsa
inserción periodontal
inserci
inserció
ón periodontal
n periodontal
SALUD ENFERMEDAD
SALUD ENFERMEDAD
SALUD ENFERMEDAD
rosa coral
rosa coral
rosa coral
margen en filo de cuchillo
margen en filo de cuchillo
margen en filo de cuchillo
firme, resilente
firme, resilente
firme, resilente
sin hemorragia ni
exudado
sin hemorragia ni
sin hemorragia ni
exudado
exudado
no
no
no
no
no
no
sin cambio en el tiempo
sin cambio en el tiempo
sin cambio en el tiempo
sin cambio en el tiempo
sin cambio en el tiempo
sin cambio en el tiempo
rojo azulado
rojo azulado
rojo azulado
inflamada, edematosa
inflamada, edematosa
inflamada, edematosa
esponjosa
esponjosa
esponjosa
hemorrágica
hemorr
hemorrá
ágica
gica
si
si
si
si
si
si
profundiza con el tiempo
profundiza con el tiempo
profundiza con el tiempo
se pierde con el tiempo
se pierde con el tiempo
se pierde con el tiempo
„ Antiguas civilizaciones
„ Mesopotamia
„ Egipto
„ India
„ China
„ Roma
„ Edad Media
„ Renacimiento
„ Odontología Moderna
„ Antiguas civilizaciones
„ Mesopotamia
„ Egipto
„ India
„ China
„ Roma
„ Edad Media
„ Renacimiento
„ Odontología Moderna
PLACA BACTERIANA
PLACA BACTERIANA
PLACA BACTERIANA
„ Teoría quimioparasitaria (Miller, 1890)
„ Placa microbiana gelatinosa (Black, GV.
Susceptibility and inmunity to dental caries. Dent
Cosmos 41:826, 1899
„ Es una masa blanda, tenaz y adherente de
colonias bacterianas que se colecciona sobre la
superficie de los dientes, la encía y otras
superficies bucales (prótesis…) cuando no se
practican métodos de higiene bucal adecuados
(Katz, 1982)
„
„ Teor
Teorí
ía quimioparasitaria (Miller, 1890)
a quimioparasitaria (Miller, 1890)
„
„ Placa microbiana gelatinosa (Black, GV.
Placa microbiana gelatinosa (Black, GV.
Susceptibility
Susceptibility and
and inmunity
inmunity to
to dental caries.
dental caries. Dent
Dent
Cosmos 41:826, 1899
Cosmos 41:826, 1899
„
„ Es una masa blanda, tenaz y adherente de
Es una masa blanda, tenaz y adherente de
colonias bacterianas que se colecciona sobre la
colonias bacterianas que se colecciona sobre la
superficie de los dientes, la enc
superficie de los dientes, la encí
ía y otras
a y otras
superficies bucales (pr
superficies bucales (pró
ótesis
tesis…
…) cuando no se
) cuando no se
practican m
practican mé
étodos de higiene bucal adecuados
todos de higiene bucal adecuados
(Katz, 1982)
(Katz, 1982)
• Evidencias indirectas de la etiología bacteriana
de la caries
– Littleton NW, White CL. Dental findings from a
preliminary study of children receiving extensive
antibiotic therapy JADA 68:520-5. 1964
– Handelman SL, Mills JR, Hawes RR. Caries incidence in
subjects receiving long-term antibiotic therapy. J Oral
Therap Pharmac. 2: 338-45.1966
• Papel causal en la gingivitis
– Löe H, Theilade E, Jensen SB. Experimental gingivitis in
man. J Periodontol 36: 177-8. 1965
•
• Evidencias indirectas de la etiolog
Evidencias indirectas de la etiologí
ía bacteriana
a bacteriana
de la caries
de la caries
–
– Littleton NW, White CL. Dental
Littleton NW, White CL. Dental findings
findings from a
from a
preliminary study of children receiving extensive
preliminary study of children receiving extensive
antibiotic therapy JADA 68:520
antibiotic therapy JADA 68:520-
-5. 1964
5. 1964
–
– Handelman SL, Mills JR, Hawes RR. Caries incidence in
Handelman SL, Mills JR, Hawes RR. Caries incidence in
subjects receiving long
subjects receiving long-
-term
term antibiotic therapy. J Oral
antibiotic therapy. J Oral
Therap
Therap Pharmac
Pharmac. 2: 338
. 2: 338-
-45.1966
45.1966
•
• Papel causal en la gingivitis
Papel causal en la gingivitis
–
– L
Lö
öe H, Theilade E, Jensen SB. Experimental gingivitis in
e H, Theilade E, Jensen SB. Experimental gingivitis in
man
man. J
. J Periodontol
Periodontol 36: 177
36: 177-
-8. 1965
8. 1965
PLACA BACTERIANA
PLACA
PLACA BACTERIANA
BACTERIANA
„ H de C fermentables
(sacarosa)
„ ácidos orgánicos
(subproductos)
„ disminución del pH
„ CARIES DENTAL
„
„ H de C fermentables
H de C fermentables
(sacarosa)
(sacarosa)
„
„ á
ácidos org
cidos orgá
ánicos
nicos
(subproductos)
(subproductos)
„
„ disminuci
disminució
ón del pH
n del pH
„
„ CARIES DENTAL
CARIES DENTAL
METABOLISMO
METABOLISMO
„ PROTEINAS
„ Aumento de pH
„ Precipitación de
calcio y fosfatos
„ ENFERMEDAD
PERIODONTAL
„
„ PROTEINAS
PROTEINAS
„
„ Aumento de pH
Aumento de pH
„
„ Precipitaci
Precipitació
ón de
n de
calcio y fosfatos
calcio y fosfatos
„
„ ENFERMEDAD
ENFERMEDAD
PERIODONTAL
PERIODONTAL
metabolización
BACTERIAS
proteolisis
SALUD
GINGIVAL
SALUD
GINGIVAL
GINGIVITIS
GINGIVITIS
PERIODONTITIS
PERIODONTITIS
PÉRDIDA
DENTAL
PÉRDIDA
DENTAL
FIBRAS GINGIVALES
FIBRAS GINGIVALES
FIBRAS GINGIVALES
„ Fibras gingivales libres
„ Fibras papilares
„ Fibras transeptales
„ Fibras circulares
„ Fibras alveolacrestales
„ Fibras gingivocrestales
„ Fibras del proceso
alveolar
„ Fibras verticales
„ Fibras dentogingivales
„ Fibras gingivales libres
„ Fibras papilares
„ Fibras transeptales
„ Fibras circulares
„ Fibras alveolacrestales
„ Fibras gingivocrestales
„ Fibras del proceso
alveolar
„ Fibras verticales
„ Fibras dentogingivales
LESIÓN INICIAL
LESI
LESIÓ
ÓN INICIAL
N INICIAL
„ Aparece entre los 2-4 días de
acumulación de placa
„ Vasculitis por debajo del
epitelio de unión
„ Migración de leucocitos hacia
el epitelio de unión y surco
gingival
„ Proteinas séricas en regiones
extravasculares, en particular
fibrina
„ Aumento de exudación de
líquido del surco gingival
„ Pérdida de colágeno
perivascular
„ Alteración de la región
coronal del epitelio de unión
„ Aparece entre los 2-4 días de
acumulación de placa
„ Vasculitis por debajo del
epitelio de unión
„ Migración de leucocitos hacia
el epitelio de unión y surco
gingival
„ Proteinas séricas en regiones
extravasculares, en particular
fibrina
„ Aumento de exudación de
líquido del surco gingival
„ Pérdida de colágeno
perivascular
„ Alteración de la región
coronal del epitelio de unión
LESIÓN PRECOZ
LESI
LESIÓ
ÓN PRECOZ
N PRECOZ
„ Aparece entre los 4-7 días de
acumulación de placa
„ Aumentan las alteraciones de
la etapa anterior
„ Acumulación de linfocitos por
debajo del epitelio de unión
„ Alteraciones citopáticas de
los fibroblastos
„ Mayor pérdida de colágeno
„ Proliferación inicial de las
células basales del epitelio de
unión
„ Mayor aumento de exudación
del fluido gingival
„ Aparece entre los 4-7 días de
acumulación de placa
„ Aumentan las alteraciones de
la etapa anterior
„ Acumulación de linfocitos por
debajo del epitelio de unión
„ Alteraciones citopáticas de
los fibroblastos
„ Mayor pérdida de colágeno
„ Proliferación inicial de las
células basales del epitelio de
unión
„ Mayor aumento de exudación
del fluido gingival
LESIÓN ESTABLECIDA
LESI
LESIÓ
ÓN ESTABLECIDA
N ESTABLECIDA
„ Aparece a las 2-3 semanas de
acumulación de placa
„ Se mantienen las alteraciones
inflamatorias anteriores
„ Predominio de células
plasmáticas
„ Presencia de Inmunoglobuli-
nas extravasculares
„ Pérdida grande de colágeno
„ Proliferación, migración y
extensión lateral del epitelio
de unión, pudiendo existir el
comienzo de formación de la
bolsa (epitelio de la bolsa)
„ Aparece a las 2-3 semanas de
acumulación de placa
„ Se mantienen las alteraciones
inflamatorias anteriores
„ Predominio de células
plasmáticas
„ Presencia de Inmunoglobuli-
nas extravasculares
„ Pérdida grande de colágeno
„ Proliferación, migración y
extensión lateral del epitelio
de unión, pudiendo existir el
comienzo de formación de la
bolsa (epitelio de la bolsa)
LESIÓN AVANZADA
LESI
LESIÓ
ÓN AVANZADA
N AVANZADA
„ Aparecen todas las
características de las lesión
establecida
„ El proceso se extiende al hueso
alveolar y ligamento periodontal
(reabsorción ósea)
„ Pérdida continua de colágeno
con fibrosis periférica del área
inflamada
„ Formación de bolsas
periodontales
„ Células plasmáticas alteradas
„ Periodos de actividad e
inactividad
„ El epitelio de unión se transforma
en epitelio de la bolsa
„ Aparecen todas las
características de las lesión
establecida
„ El proceso se extiende al hueso
alveolar y ligamento periodontal
(reabsorción ósea)
„ Pérdida continua de colágeno
con fibrosis periférica del área
inflamada
„ Formación de bolsas
periodontales
„ Células plasmáticas alteradas
„ Periodos de actividad e
inactividad
„ El epitelio de unión se transforma
en epitelio de la bolsa
LESI
LESIÓ
ÓN
N
INICIAL
INICIAL
LESI
LESIÓ
ÓN
N
PRECOZ
PRECOZ
LESI
LESIÓ
ÓN
N
ESTABLECIDA
ESTABLECIDA
LESI
LESIÓ
ÓN
N
AVANZADA
AVANZADA
FASE DE FLUIDO
BACTERIA
ORAL
BACTERIA
ORAL
PLACA
ORGANIZADA
PLACA
ORGANIZADA
SURCO
SURCO
INFLAMACIÓN
INFLAMACIÓN
FASE CELULAR
FASE
INMUNOLÓGICA
PERIODONTITIS
PERIODONTITIS
GINGIVITIS
GINGIVITIS
FACTOR
TIEMPO
FACTORES DE RIESGO EN LA
ENFERMEDAD PERIODONTAL
FACTORES DE RIESGO EN LA
FACTORES DE RIESGO EN LA
ENFERMEDAD PERIODONTAL
ENFERMEDAD PERIODONTAL
„ Malposición dentaria
„ Anatomía dentaria
„ Restauraciones desbordantes
„ Contornos gingivales
„
„ Malposici
Malposició
ón dentaria
n dentaria
„
„ Anatom
Anatomí
ía dentaria
a dentaria
„
„ Restauraciones desbordantes
Restauraciones desbordantes
„
„ Contornos gingivales
Contornos gingivales
A) FACTORES QUE INFLUYEN EN EL ACÚMULO DE PLACA
A) FACTORES QUE INFLUYEN EN EL AC
A) FACTORES QUE INFLUYEN EN EL ACÚ
ÚMULO DE PLACA
MULO DE PLACA
FACTORES DE RIESGO EN LA
ENFERMEDAD PERIODONTAL
FACTORES DE RIESGO EN LA
FACTORES DE RIESGO EN LA
ENFERMEDAD PERIODONTAL
ENFERMEDAD PERIODONTAL
„ Profundidad de la bolsa
„ Cálculo
„
„ Profundidad de la bolsa
Profundidad de la bolsa
„
„ C
Cá
álculo
lculo
B) FACTORES QUE INFLUYEN EN LA PRESENCIA Y CANTIDAD
DE BACTERIAS ESPECÍFICAS
B) FACTORES QUE INFLUYEN EN LA PRESENCIA Y CANTIDAD
B) FACTORES QUE INFLUYEN EN LA PRESENCIA Y CANTIDAD
DE BACTERIAS ESPEC
DE BACTERIAS ESPECÍ
ÍFICAS
FICAS
FACTORES DE RIESGO EN LA
ENFERMEDAD PERIODONTAL
FACTORES DE RIESGO EN LA
FACTORES DE RIESGO EN LA
ENFERMEDAD PERIODONTAL
ENFERMEDAD PERIODONTAL
„ Edad
„ Raza
„ Nivel socioeconómico
„ Sexo
„
„ Edad
Edad
„
„ Raza
Raza
„
„ Nivel socioecon
Nivel socioeconó
ómico
mico
„
„ Sexo
Sexo
C) INDICADORES DE RIESGO DE ENFERMEDAD PERIODONTAL
C) INDICADORES DE RIESGO DE ENFERMEDAD PERIODONTAL
C) INDICADORES DE RIESGO DE ENFERMEDAD PERIODONTAL
FACTORES DE RIESGO EN LA
ENFERMEDAD PERIODONTAL
FACTORES DE RIESGO EN LA
FACTORES DE RIESGO EN LA
ENFERMEDAD PERIODONTAL
ENFERMEDAD PERIODONTAL
„ Diabetes mellitus
„ Embarazo y hormonas sexuales
„ Osteoporosis
„ Síndrome de Down
„ Anormalidades de los neutrófilos
„ Estrés
„ Tabaco
„
„ Diabetes mellitus
Diabetes mellitus
„
„ Embarazo y hormonas sexuales
Embarazo y hormonas sexuales
„
„ Osteoporosis
Osteoporosis
„
„ S
Sí
índrome de
ndrome de Down
Down
„
„ Anormalidades de los neutr
Anormalidades de los neutró
ófilos
filos
„
„ Estr
Estré
és
s
„
„ Tabaco
Tabaco
D) ENFERMEDADES Y CONDICIONES DE RIESGO QUE
AFECTAN A LA PERIODONTITIS
D) ENFERMEDADES Y CONDICIONES DE RIESGO QUE
D) ENFERMEDADES Y CONDICIONES DE RIESGO QUE
AFECTAN A LA PERIODONTITIS
AFECTAN A LA PERIODONTITIS
TABACO
TABACO
TABACO
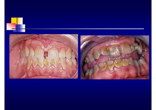
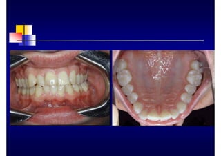
„ A igual nivel de placa, los fumadores presentan mayor
profundidad de sondaje y mayor pérdida de hueso
alveolar
„ Correlación entre osteoporosis y hábito de fumar
„ Mayor pérdida sistémica progresiva de contenido
mineral óseo
„ El edentulismo total es mayor en fumadores que en no
fumadores
„ El riesgo de periodontitis del fumador es 2.5 veces
superior al del no fumador
„
„ A igual nivel de placa, los fumadores presentan mayor
A igual nivel de placa, los fumadores presentan mayor
profundidad de sondaje y mayor p
profundidad de sondaje y mayor pé
érdida de hueso
rdida de hueso
alveolar
alveolar
„
„ Correlaci
Correlació
ón entre osteoporosis y h
n entre osteoporosis y há
ábito de fumar
bito de fumar
„
„ Mayor p
Mayor pé
érdida sist
rdida sisté
émica progresiva de contenido
mica progresiva de contenido
mineral
mineral ó
óseo
seo
„
„ El edentulismo total es mayor en fumadores que en no
El edentulismo total es mayor en fumadores que en no
fumadores
fumadores
„
„ El riesgo de periodontitis del fumador es 2.5 veces
El riesgo de periodontitis del fumador es 2.5 veces
superior al del no fumador
superior al del no fumador
TABACO
TABACO
TABACO
„ Es más frecuente el hábito de fumar entre las profesionales de la
salud que en el conjunto de la población (43% frente al 30%)
„ El 18.8% de las sanitarias se definen con exfumadoras
„ El consumo diario entre médicas y enfermeras es de 14 cigarrillos
„ El 47% de las enfermeras fuma frente al 32% de las médicas
„ Fuman más las profesionales que ejercen en hospitales que en
atención primaria
„ El 3% fuman delante de los pacientes
„ El 85,4% de las fumadoras recomienda a sus pacientes dejar de
fumar frente al 94% de las no fumadoras
„ El porcentaje de fumadoras es menor entre las profesionales de
menos de 30 años
„
„ Es m
Es má
ás frecuente el h
s frecuente el há
ábito de fumar entre las profesionales de la
bito de fumar entre las profesionales de la
salud que en el conjunto de la poblaci
salud que en el conjunto de la població
ón (43% frente al 30%)
n (43% frente al 30%)
„
„ El 18.8% de las sanitarias se definen con
El 18.8% de las sanitarias se definen con exfumadoras
exfumadoras
„
„ El consumo diario entre m
El consumo diario entre mé
édicas y enfermeras es de 14 cigarrillos
dicas y enfermeras es de 14 cigarrillos
„
„ El 47% de las enfermeras fuma frente al 32% de las m
El 47% de las enfermeras fuma frente al 32% de las mé
édicas
dicas
„
„ Fuman m
Fuman má
ás las profesionales que ejercen en hospitales que en
s las profesionales que ejercen en hospitales que en
atenci
atenció
ón primaria
n primaria
„
„ El 3% fuman delante de los pacientes
El 3% fuman delante de los pacientes
„
„ El 85,4% de las fumadoras recomienda a sus pacientes dejar de
El 85,4% de las fumadoras recomienda a sus pacientes dejar de
fumar frente al 94% de las no fumadoras
fumar frente al 94% de las no fumadoras
„
„ El porcentaje de fumadoras es menor entre las profesionales de
El porcentaje de fumadoras es menor entre las profesionales de
menos de 30 a
menos de 30 añ
ños
os
Fundación para la Investigación, Estudio y Desarrollo de la Salud Pública
TABACO
TABACO
TABACO
„ Acumulación de placa bacteriana
y cálculo dental
„ Tabaquismo y gingivitis
„ Tabaquismo y G.U.N.A.
„ Tabaquismo y periodontitis
„
„ Acumulaci
Acumulació
ón de placa bacteriana
n de placa bacteriana
y c
y cá
álculo dental
lculo dental
„
„ Tabaquismo y gingivitis
Tabaquismo y gingivitis
„
„ Tabaquismo y G.U.N.A.
Tabaquismo y G.U.N.A.
„
„ Tabaquismo y periodontitis
Tabaquismo y periodontitis
TABACO
TABACO
TABACO
„ Irritación gingival directa por el humo
„ Reducción de la vascularización gingival
„ Disminución funcional de PMN orales
„ Alteraciones en el sistema inmunitario
celular y humoral
„ Déficit de vitamina C
„
„ Irritaci
Irritació
ón gingival directa por el humo
n gingival directa por el humo
„
„ Reducci
Reducció
ón de la vascularizaci
n de la vascularizació
ón gingival
n gingival
„
„ Disminuci
Disminució
ón funcional de PMN orales
n funcional de PMN orales
„
„ Alteraciones en el sistema inmunitario
Alteraciones en el sistema inmunitario
celular y humoral
celular y humoral
„
„ D
Dé
éficit de vitamina C
ficit de vitamina C
EFECTOS DIRECTOS
EFECTOS DIRECTOS
EFECTOS DIRECTOS
TABACO
TABACO
TABACO
„ Alteraciones vasculares
„ Alteraciones celulares
„ Supresión de la respuesta de las Igs
„ Cambios en la microflora
„
„ Alteraciones vasculares
Alteraciones vasculares
„
„ Alteraciones celulares
Alteraciones celulares
„
„ Supresi
Supresió
ón de la respuesta de las Igs
n de la respuesta de las Igs
„
„ Cambios en la microflora
Cambios en la microflora
RESPUESTA DEL HUÉSPED
RESPUESTA DEL HU
RESPUESTA DEL HUÉ
ÉSPED
SPED
CLÍNICA DE LA PERIODONTITIS
ASOCIADA AL TABACO
CLÍNICA DE LA PERIODONTITIS
CLÍNICA DE LA PERIODONTITIS
CLÍNICA DE LA PERIODONTITIS
ASOCIADA AL TABACO
ASOCIADA AL TABACO
ASOCIADA AL TABACO
• Encía fibrótica, con engrosamiento de los
márgenes
• Mínimo enrojecimiento gingival en relación con
la gravedad de la enfermedad
• Mayor gravedad y progresión en relación con
los no fumadores de la misma edad
• Recesión gingival en segmentos anteriores
• No existe relación entre el estado periodontal y
el nivel de placa y cálculo
•
• Encía fibrótica, con engrosamiento de los
Encía fibrótica, con engrosamiento de los
márgenes
márgenes
•
• Mínimo enrojecimiento gingival en relación con
Mínimo enrojecimiento gingival en relación con
la gravedad de la enfermedad
la gravedad de la enfermedad
•
• Mayor gravedad y progresión en relación con
Mayor gravedad y progresión en relación con
los no fumadores de la misma edad
los no fumadores de la misma edad
•
• Recesión gingival en segmentos anteriores
Recesión gingival en segmentos anteriores
•
• No existe relación entre el estado periodontal y
No existe relación entre el estado periodontal y
el nivel de placa y cálculo
el nivel de placa y cálculo
Haber J Current in Periodontology 1994: 12-8
Haber J. Current in Periodontology 1994: 12-8
CARACTERÍSTICAS CLÍNICAS DE LA
PERIODONTITIS ASOCIADA AL TABACO
CARACTERÍSTICAS CLÍNICAS DE LA
CARACTERÍSTICAS CLÍNICAS DE LA
PERIODONTITIS ASOCIADA AL TABACO
PERIODONTITIS ASOCIADA AL TABACO
• Inicio de la enfermedad relativamente temprano,
entre los 20 y los 30 años
• Progresión rápida de la enfermedad
• Reaparición de bolsas después de un año del
tratamiento
• Resistencia al tratamiento convencional
•
• Inicio de la enfermedad relativamente temprano,
Inicio de la enfermedad relativamente temprano,
entre los 20 y los 30 años
entre los 20 y los 30 años
•
• Progresión rápida de la enfermedad
Progresión rápida de la enfermedad
•
• Reaparición de bolsas después de un año del
Reaparición de bolsas después de un año del
tratamiento
tratamiento
•
• Resistencia al tratamiento convencional
Resistencia al tratamiento convencional
Haber J Current in Periodontology 1994: 12-8
Haber J. Current in Periodontology 1994: 12-8
ENFERMEDAD PERIODONTAL
ENFERMEDAD PERIODONTAL
ENFERMEDAD PERIODONTAL
„ Inspección
„ Sondaje. Periodontograma
„ Palpación
„ Radiología
„
„ Inspecci
Inspecció
ón
n
„
„ Sondaje. Periodontograma
Sondaje. Periodontograma
„
„ Palpaci
Palpació
ón
n
„
„ Radiolog
Radiologí
ía
a
DIAGNÓSTICO
DIAGN
DIAGNÓ
ÓSTICO
STICO
INDICES
INDICES
„ Utilidad
„ epidemiología de los factores locales
„ control de higiene y respuesta ante un tratamiento
„ estudios clínicos para valorar diferentes métodos antiplaca
„ Identificación de la placa
„ visualización directa con espejo y explorador
„ visualización en microscopio óptico
„ reveladores de placa
„ sol. de mercurocromo y yodo, sol. alcohólicas de fucsina
básica, colorantes de eritrosina, col. bitonales, col.
fluorescentes.
„
„ Utilidad
Utilidad
„
„ epidemiolog
epidemiologí
ía de los factores locales
a de los factores locales
„
„ control de higiene y respuesta ante un tratamiento
control de higiene y respuesta ante un tratamiento
„
„ estudios cl
estudios clí
ínicos para valorar diferentes m
nicos para valorar diferentes mé
étodos antiplaca
todos antiplaca
„
„ Identificaci
Identificació
ón de la placa
n de la placa
„
„ visualizaci
visualizació
ón directa con espejo y explorador
n directa con espejo y explorador
„
„ visualizaci
visualizació
ón en microscopio
n en microscopio ó
óptico
ptico
„
„ reveladores de placa
reveladores de placa
„
„ sol. de mercurocromo y yodo, sol. alcoh
sol. de mercurocromo y yodo, sol. alcohó
ólicas de fucsina
licas de fucsina
b
bá
ásica, colorantes de eritrosina, col. bitonales, col.
sica, colorantes de eritrosina, col. bitonales, col.
fluorescentes.
fluorescentes.
Son un conjunto de determinaciones numéricas que
intentan estandarizar las situaciones de placa bacteriana,
gingivitis y enfermedad periodontal
Son un conjunto de determinaciones num
Son un conjunto de determinaciones numé
éricas que
ricas que
intentan estandarizar las situaciones de placa bacteriana,
intentan estandarizar las situaciones de placa bacteriana,
gingivitis y enfermedad periodontal
gingivitis y enfermedad periodontal
INDICES
INDICES
„ INDICE PMA. (Schour y Massler, 1947)
„ INDICE PERIODONTAL P.I. (Russell, 1956)
„ INDICE DE ENFERMEDAD PERIODONTAL PDI. (Ramfjord, 1959)
„ INDICE DE PLACA (Quigley y Hein, 1962)
„ INDICE PERIODONTAL (Silness y Loe, 1964)
„ INDICE DE CÁLCULOS (Volpe y Manhold, 1962)
„ INDICE DE HEMORRAGIA DEL SURCO SBI (Muhlemann y Son, 1971)
„ INDICE DE QUERATINIZACIÓN O MADURACIÓN (Lange, 1965)
„ INDICE PERIODONTAL DE LAS NECESIDADES DE TRATAMIENTO DE
COMUNIDADES CPITN (OMS,1978)
„
„ INDICE PMA. (Schour y Massler, 1947)
INDICE PMA. (Schour y Massler, 1947)
„
„ INDICE PERIODONTAL P.I. (Russell, 1956)
INDICE PERIODONTAL P.I. (Russell, 1956)
„
„ INDICE DE ENFERMEDAD PERIODONTAL PDI. (
INDICE DE ENFERMEDAD PERIODONTAL PDI. (Ramfjord
Ramfjord, 1959)
, 1959)
„
„ INDICE DE PLACA (
INDICE DE PLACA (Quigley
Quigley y
y Hein
Hein, 1962)
, 1962)
„
„ INDICE PERIODONTAL (
INDICE PERIODONTAL (Silness
Silness y Loe, 1964)
y Loe, 1964)
„
„ INDICE DE C
INDICE DE CÁ
ÁLCULOS (
LCULOS (Volpe
Volpe y
y Manhold
Manhold, 1962)
, 1962)
„
„ INDICE DE HEMORRAGIA DEL SURCO SBI (
INDICE DE HEMORRAGIA DEL SURCO SBI (Muhlemann
Muhlemann y Son, 1971)
y Son, 1971)
„
„ INDICE DE QUERATINIZACI
INDICE DE QUERATINIZACIÓ
ÓN O MADURACI
N O MADURACIÓ
ÓN (
N (Lange
Lange, 1965)
, 1965)
„
„ INDICE PERIODONTAL DE LAS NECESIDADES DE TRATAMIENTO DE
INDICE PERIODONTAL DE LAS NECESIDADES DE TRATAMIENTO DE
COMUNIDADES CPITN (OMS,1978)
COMUNIDADES CPITN (OMS,1978)
RADIOLOGÍA
RADIOLOG
RADIOLOGÍ
ÍA
A
„ Utilidad
„ diagnóstico
„ pronóstico
„ tratamiento
„ Técnicas
„ periapicales cono largo
„ panorámicas
„ aletas de mordida
„ serie radiográfica
„
„ Utilidad
Utilidad
„
„ diagn
diagnó
óstico
stico
„
„ pron
pronó
óstico
stico
„
„ tratamiento
tratamiento
„
„ T
Té
écnicas
cnicas
„
„ periapicales cono largo
periapicales cono largo
„
„ panor
panorá
ámicas
micas
„
„ aletas de mordida
aletas de mordida
„
„ serie radiogr
serie radiográ
áfica
fica
„ Limitaciones
„ bolsas periodontales
„ destrucción ósea V y L
„ tejidos blandos
„ gingivorragia
„ movilidad dentaria
„
„ Limitaciones
Limitaciones
„
„ bolsas periodontales
bolsas periodontales
„
„ destrucci
destrucció
ón
n ó
ósea V y L
sea V y L
„
„ tejidos blandos
tejidos blandos
„
„ gingivorragia
gingivorragia
„
„ movilidad dentaria
movilidad dentaria
CLINICA
CLINICA
CLINICA
„ Bolsa ósea
„ Reabsorción ósea
„ Furcaciones: grados I, II, III
„ Movilidad y migración: grados I, II, III
„
„ Bolsa
Bolsa ó
ósea
sea
„
„ Reabsorci
Reabsorció
ón
n ó
ósea
sea
„
„ Furcaciones
Furcaciones: grados I, II, III
: grados I, II, III
„
„ Movilidad y migraci
Movilidad y migració
ón: grados I, II, III
n: grados I, II, III
Bolsa
Bolsa ó
ósea
sea
„ Bolsa gingival
(relativa o falsa)
„ Bolsa periodontal
(absoluta o verdadera)
„ Supraósea
„ Infraósea
„ Simple
„ Compuesta
„ compleja
„
„ Bolsa gingival
Bolsa gingival
(relativa o falsa)
(relativa o falsa)
„
„ Bolsa periodontal
Bolsa periodontal
(absoluta o verdadera)
(absoluta o verdadera)
„
„ Supra
Supraó
ósea
sea
„
„ Infra
Infraó
ósea
sea
„
„ Simple
Simple
„
„ Compuesta
Compuesta
„
„ compleja
compleja
FURCACIONES
FURCACIONES
„ Grado 1: Pérdida
horizontal de los
tejidos de soporte que
no sobrepasa 1/3 del
ancho del diente
„ Grado 2: > 1/3 del
diente
„ Grado 3: La sonda
pasa de vestibular a
lingual
„
„ Grado 1
Grado 1: P
: Pé
érdida
rdida
horizontal de los
horizontal de los
tejidos de soporte que
tejidos de soporte que
no sobrepasa 1/3 del
no sobrepasa 1/3 del
ancho del diente
ancho del diente
„
„ Grado 2
Grado 2: > 1/3 del
: > 1/3 del
diente
diente
„
„ Grado 3
Grado 3: La sonda
: La sonda
pasa de vestibular a
pasa de vestibular a
lingual
lingual
MOVILIDAD
MOVILIDAD
„ Grado 1: 0.2-1 mm en sentido horizontal
„ Grado 2: > de 1 mm en sentido horizontal
„ Grado 3: Movilidad en el sentido axial del
diente
„
„ Grado 1
Grado 1: 0.2
: 0.2-
-1
1 mm
mm en sentido horizontal
en sentido horizontal
„
„ Grado 2
Grado 2: > de 1
: > de 1 mm
mm en sentido horizontal
en sentido horizontal
„
„ Grado 3
Grado 3: Movilidad en el sentido axial del
: Movilidad en el sentido axial del
diente
diente
FASES DEL TRATAMIENTO
FASES
FASES DEL TRATAMIENTO
DEL TRATAMIENTO
„ Sistémica
„ Higiénica
„ Correctiva
„ Mantenimiento
„
„ Sist
Sisté
émica
mica
„
„ Higi
Higié
énica
nica
„
„ Correctiva
Correctiva
„
„ Mantenimiento
Mantenimiento
PROFILAXIS
por el profesional
por el paciente
PROFILAXIS
PROFILAXIS
por el profesional
por el profesional
por el paciente
por el paciente
CONTROL
DE
PLACA
CONTROL
CONTROL
DE
DE
PLACA
PLACA
TRATAMIENTO
TRATAMIENTO
TRATAMIENTO
• Tratamiento de la gingivitis
• Tratamiento de la periodontitis
•Tratamiento mecánico
•Tratamiento farmacológico
•Sistémico
•Local
•Antisépticos
•
• Tratamiento de la gingivitis
Tratamiento de la gingivitis
•
• Tratamiento de la periodontitis
Tratamiento de la periodontitis
•
•Tratamiento mec
Tratamiento mecá
ánico
nico
•
•Tratamiento farmacol
Tratamiento farmacoló
ógico
gico
•
•Sist
Sisté
émico
mico
•
•Local
Local
•
•Antis
Antisé
épticos
pticos
American Academy of Periodontology
Treatment of Gingivitis and Periodontitis.
Research, Science and Therapy Committee
Chicago, Mayo de 1993
INFECCIONES DENTALES EN PACIENTES
MÉDICAMENTE COMPROMETIDOS
INFECCIONES DENTALES EN PACIENTES
MÉDICAMENTE COMPROMETIDOS
„ Enfermedades cardiovasculares
„ Enfermedad pulmonar obstructiva crónica
„ Enfermedades reumatoides
„ Diabetes
„ Psoriasis
„ Artritis grave
„ Enfermedades inflamatorias intestinales crónicas
„ Cáncer
„ Medicación inmunosupresora
„ Trasplante de órganos
„ Ancianos con múltiples enfermedades
„ Enfermedades cardiovasculares
„ Enfermedad pulmonar obstructiva crónica
„ Enfermedades reumatoides
„ Diabetes
„ Psoriasis
„ Artritis grave
„ Enfermedades inflamatorias intestinales crónicas
„ Cáncer
„ Medicación inmunosupresora
„ Trasplante de órganos
„ Ancianos con múltiples enfermedades
ENFERMEDADES PERIODONTALES Y
PATOLOGÍA CORONARIA
ENFERMEDADES PERIODONTALES Y
PATOLOGÍA CORONARIA
„ Mackenzie RS, Millard HD. Interrelated effects of
diabetes, arteriosclerosis and calculus on alveolar
bone loss. J Am Dent Assoc 1963; 66: 192-8
„ Sryjanen J, Peltota J, Valtonen V y cols. Dental
infections in association with cerebral infarction in
young and middle-aged men. J Intern Med 1989;
225: 179-84
„ Mattila K, Nieminen M, Valtonen V y cols.
Association between dental health and acute
myocardial infarction. Br Med J 1989; 298: 779-82
„ Mackenzie RS, Millard HD. Interrelated effects of
diabetes, arteriosclerosis and calculus on alveolar
bone loss. J Am Dent Assoc 1963; 66: 192-8
„ Sryjanen J, Peltota J, Valtonen V y cols. Dental
infections in association with cerebral infarction in
young and middle-aged men. J Intern Med 1989;
225: 179-84
„ Mattila K, Nieminen M, Valtonen V y cols.
Association between dental health and acute
myocardial infarction. Br Med J 1989; 298: 779-82
CAUSA DE CONSULTA HOSPITALARIA
CAUSA DE CONSULTA HOSPITALARIA
„ Fiebre séptica alta por infección oral o dental
„ Trismo causado por una infección
„ Problemas respiratorios o de deglución a causa
de una infección
„ Edema submandibular o facial que persiste,
incluso después de realizarse tratamiento local
como extracción dentaria, incisión o endodoncia
„ Abscesos submandibulares, submentonianos o
parafaríngeos
„ Fiebre séptica alta por infección oral o dental
„ Trismo causado por una infección
„ Problemas respiratorios o de deglución a causa
de una infección
„ Edema submandibular o facial que persiste,
incluso después de realizarse tratamiento local
como extracción dentaria, incisión o endodoncia
„ Abscesos submandibulares, submentonianos o
parafaríngeos
HELICOBACTER PYLORI
HELICOBACTER PYLORI
„ Coco-bacilo gram (-)
„ 100% gastritis crónica activa
„ 60-70% de las úlceras gástricas
„ 90-95% de las úlceras duodenales
„ Asociado a
„ carcinoma gástrico
„ linfoma no Hodgkin
„ 20% de portadores asintomáticos
„ Coco-bacilo gram (-)
„ 100% gastritis crónica activa
„ 60-70% de las úlceras gástricas
„ 90-95% de las úlceras duodenales
„ Asociado a
„ carcinoma gástrico
„ linfoma no Hodgkin
„ 20% de portadores asintomáticos
FACTORES DE RIESGO EN LA ASOCIACIÓN
ENFERMEDAD-HELICOBACTER PYLORI
FACTORES DE RIESGO EN LA ASOCIACIÓN
ENFERMEDAD-HELICOBACTER PYLORI
„ Virulencia microbiana
„ Factores sociales y medioambientales
„ estatus socioeconómico en la infancia
„ Abastecimiento de agua inadecuado
„ Factores dietéticos
„ Factores del huésped
„ HLA
„ Grupo sanguineo
„ Fisiología de la mucosa y ácidos gástricos
„ Virulencia microbiana
„ Factores sociales y medioambientales
„ estatus socioeconómico en la infancia
„ Abastecimiento de agua inadecuado
„ Factores dietéticos
„ Factores del huésped
„ HLA
„ Grupo sanguineo
„ Fisiología de la mucosa y ácidos gástricos
MODO DE
TRANSMISIÓN ???
MODO DE
TRANSMISIÓN ???
• FECAL-ORAL
• ORAL-ORAL
• IATROGÉNICO
•
• FECAL
FECAL-
-ORAL
ORAL
•
• ORAL
ORAL-
-ORAL
ORAL
•
• IATROG
IATROGÉ
ÉNICO
NICO
VECTORES ???
VECTORES ???
• GATOS
• PRIMATES
• MOSCAS
•
• GATOS
GATOS
•
• PRIMATES
PRIMATES
•
• MOSCAS
MOSCAS
RESERVORIO ???
RESERVORIO ???
Capitulo 9.- La enfermedad periodontal.pdf

Capitulo 9.- La enfermedad periodontal.pdf

  • 1.
    ENFERMEDAD PERIODONTAL ENFERMEDAD PERIODONTAL Acción de laplaca sobre los tejidos periodontales. Gingivitis. Periodontitis. Etiopatogenia. Epidemiología. Prevención y control de las enfermedades periodontales Acción de la placa sobre los tejidos periodontales. Gingivitis. Periodontitis. Etiopatogenia. Epidemiología. Prevención y control de las enfermedades periodontales Capítulo 9 Capítulo 9
  • 4.
    „ Más del80% de la población adulta española tiene un problema de salud bucodental que precisa tratamiento „ En niños, la caries ha disminuido del 60% en 1993 al 43% en 2000 „ El 100% de los adultos y el 50% de los jóvenes analizados de hasta 15 años padecen gingivitis en su fase leve „ La periodontitis afecta a uno de cada cuatro adultos entre 45 y 64 años y al 44% de los adultos mayores de 65 años „ El 70% de los mayores de 35 años y menores de 44 ha perdido entre 1 y 15 piezas dentales „ „ M Má ás del 80% de la poblaci s del 80% de la població ón adulta espa n adulta españ ñola tiene un problema ola tiene un problema de salud de salud bucodental bucodental que precisa tratamiento que precisa tratamiento „ „ En ni En niñ ños, la caries ha disminuido del 60% en 1993 al 43% en os, la caries ha disminuido del 60% en 1993 al 43% en 2000 2000 „ „ El 100% de los adultos y el 50% de los j El 100% de los adultos y el 50% de los jó óvenes analizados de venes analizados de hasta 15 a hasta 15 añ ños padecen gingivitis en su fase leve os padecen gingivitis en su fase leve „ „ La periodontitis afecta a uno de cada cuatro adultos entre 45 y La periodontitis afecta a uno de cada cuatro adultos entre 45 y 64 a 64 añ ños y al 44% de los adultos mayores de 65 a os y al 44% de los adultos mayores de 65 añ ños os „ „ El 70% de los mayores de 35 a El 70% de los mayores de 35 añ ños y menores de 44 ha perdido os y menores de 44 ha perdido entre 1 y 15 piezas dentales entre 1 y 15 piezas dentales
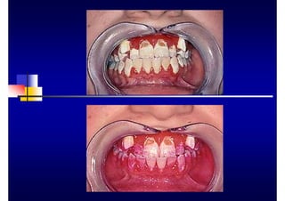
  • 6.
    PARÁMETROS DE SALUDY ENFERMEDAD PAR PARÁ ÁMETROS DE SALUD Y ENFERMEDAD METROS DE SALUD Y ENFERMEDAD color gingival color gingival color gingival forma gingival forma forma gingival gingival densidad gingival densidad gingival densidad gingival sondaje del surco sondaje del surco sondaje del surco placa subgingival placa subgingival placa subgingival cálculo subgingival c cá álculo subgingival lculo subgingival profundidad de bolsa profundidad de bolsa profundidad de bolsa inserción periodontal inserci inserció ón periodontal n periodontal SALUD ENFERMEDAD SALUD ENFERMEDAD SALUD ENFERMEDAD rosa coral rosa coral rosa coral margen en filo de cuchillo margen en filo de cuchillo margen en filo de cuchillo firme, resilente firme, resilente firme, resilente sin hemorragia ni exudado sin hemorragia ni sin hemorragia ni exudado exudado no no no no no no sin cambio en el tiempo sin cambio en el tiempo sin cambio en el tiempo sin cambio en el tiempo sin cambio en el tiempo sin cambio en el tiempo rojo azulado rojo azulado rojo azulado inflamada, edematosa inflamada, edematosa inflamada, edematosa esponjosa esponjosa esponjosa hemorrágica hemorr hemorrá ágica gica si si si si si si profundiza con el tiempo profundiza con el tiempo profundiza con el tiempo se pierde con el tiempo se pierde con el tiempo se pierde con el tiempo
  • 8.
    „ Antiguas civilizaciones „Mesopotamia „ Egipto „ India „ China „ Roma „ Edad Media „ Renacimiento „ Odontología Moderna „ Antiguas civilizaciones „ Mesopotamia „ Egipto „ India „ China „ Roma „ Edad Media „ Renacimiento „ Odontología Moderna
  • 16.
    PLACA BACTERIANA PLACA BACTERIANA PLACABACTERIANA „ Teoría quimioparasitaria (Miller, 1890) „ Placa microbiana gelatinosa (Black, GV. Susceptibility and inmunity to dental caries. Dent Cosmos 41:826, 1899 „ Es una masa blanda, tenaz y adherente de colonias bacterianas que se colecciona sobre la superficie de los dientes, la encía y otras superficies bucales (prótesis…) cuando no se practican métodos de higiene bucal adecuados (Katz, 1982) „ „ Teor Teorí ía quimioparasitaria (Miller, 1890) a quimioparasitaria (Miller, 1890) „ „ Placa microbiana gelatinosa (Black, GV. Placa microbiana gelatinosa (Black, GV. Susceptibility Susceptibility and and inmunity inmunity to to dental caries. dental caries. Dent Dent Cosmos 41:826, 1899 Cosmos 41:826, 1899 „ „ Es una masa blanda, tenaz y adherente de Es una masa blanda, tenaz y adherente de colonias bacterianas que se colecciona sobre la colonias bacterianas que se colecciona sobre la superficie de los dientes, la enc superficie de los dientes, la encí ía y otras a y otras superficies bucales (pr superficies bucales (pró ótesis tesis… …) cuando no se ) cuando no se practican m practican mé étodos de higiene bucal adecuados todos de higiene bucal adecuados (Katz, 1982) (Katz, 1982)
  • 17.
    • Evidencias indirectasde la etiología bacteriana de la caries – Littleton NW, White CL. Dental findings from a preliminary study of children receiving extensive antibiotic therapy JADA 68:520-5. 1964 – Handelman SL, Mills JR, Hawes RR. Caries incidence in subjects receiving long-term antibiotic therapy. J Oral Therap Pharmac. 2: 338-45.1966 • Papel causal en la gingivitis – Löe H, Theilade E, Jensen SB. Experimental gingivitis in man. J Periodontol 36: 177-8. 1965 • • Evidencias indirectas de la etiolog Evidencias indirectas de la etiologí ía bacteriana a bacteriana de la caries de la caries – – Littleton NW, White CL. Dental Littleton NW, White CL. Dental findings findings from a from a preliminary study of children receiving extensive preliminary study of children receiving extensive antibiotic therapy JADA 68:520 antibiotic therapy JADA 68:520- -5. 1964 5. 1964 – – Handelman SL, Mills JR, Hawes RR. Caries incidence in Handelman SL, Mills JR, Hawes RR. Caries incidence in subjects receiving long subjects receiving long- -term term antibiotic therapy. J Oral antibiotic therapy. J Oral Therap Therap Pharmac Pharmac. 2: 338 . 2: 338- -45.1966 45.1966 • • Papel causal en la gingivitis Papel causal en la gingivitis – – L Lö öe H, Theilade E, Jensen SB. Experimental gingivitis in e H, Theilade E, Jensen SB. Experimental gingivitis in man man. J . J Periodontol Periodontol 36: 177 36: 177- -8. 1965 8. 1965
  • 18.
    PLACA BACTERIANA PLACA PLACA BACTERIANA BACTERIANA „H de C fermentables (sacarosa) „ ácidos orgánicos (subproductos) „ disminución del pH „ CARIES DENTAL „ „ H de C fermentables H de C fermentables (sacarosa) (sacarosa) „ „ á ácidos org cidos orgá ánicos nicos (subproductos) (subproductos) „ „ disminuci disminució ón del pH n del pH „ „ CARIES DENTAL CARIES DENTAL METABOLISMO METABOLISMO „ PROTEINAS „ Aumento de pH „ Precipitación de calcio y fosfatos „ ENFERMEDAD PERIODONTAL „ „ PROTEINAS PROTEINAS „ „ Aumento de pH Aumento de pH „ „ Precipitaci Precipitació ón de n de calcio y fosfatos calcio y fosfatos „ „ ENFERMEDAD ENFERMEDAD PERIODONTAL PERIODONTAL metabolización BACTERIAS proteolisis
  • 19.
  • 24.
    FIBRAS GINGIVALES FIBRAS GINGIVALES FIBRASGINGIVALES „ Fibras gingivales libres „ Fibras papilares „ Fibras transeptales „ Fibras circulares „ Fibras alveolacrestales „ Fibras gingivocrestales „ Fibras del proceso alveolar „ Fibras verticales „ Fibras dentogingivales „ Fibras gingivales libres „ Fibras papilares „ Fibras transeptales „ Fibras circulares „ Fibras alveolacrestales „ Fibras gingivocrestales „ Fibras del proceso alveolar „ Fibras verticales „ Fibras dentogingivales
  • 26.
    LESIÓN INICIAL LESI LESIÓ ÓN INICIAL NINICIAL „ Aparece entre los 2-4 días de acumulación de placa „ Vasculitis por debajo del epitelio de unión „ Migración de leucocitos hacia el epitelio de unión y surco gingival „ Proteinas séricas en regiones extravasculares, en particular fibrina „ Aumento de exudación de líquido del surco gingival „ Pérdida de colágeno perivascular „ Alteración de la región coronal del epitelio de unión „ Aparece entre los 2-4 días de acumulación de placa „ Vasculitis por debajo del epitelio de unión „ Migración de leucocitos hacia el epitelio de unión y surco gingival „ Proteinas séricas en regiones extravasculares, en particular fibrina „ Aumento de exudación de líquido del surco gingival „ Pérdida de colágeno perivascular „ Alteración de la región coronal del epitelio de unión
  • 27.
    LESIÓN PRECOZ LESI LESIÓ ÓN PRECOZ NPRECOZ „ Aparece entre los 4-7 días de acumulación de placa „ Aumentan las alteraciones de la etapa anterior „ Acumulación de linfocitos por debajo del epitelio de unión „ Alteraciones citopáticas de los fibroblastos „ Mayor pérdida de colágeno „ Proliferación inicial de las células basales del epitelio de unión „ Mayor aumento de exudación del fluido gingival „ Aparece entre los 4-7 días de acumulación de placa „ Aumentan las alteraciones de la etapa anterior „ Acumulación de linfocitos por debajo del epitelio de unión „ Alteraciones citopáticas de los fibroblastos „ Mayor pérdida de colágeno „ Proliferación inicial de las células basales del epitelio de unión „ Mayor aumento de exudación del fluido gingival
  • 28.
    LESIÓN ESTABLECIDA LESI LESIÓ ÓN ESTABLECIDA NESTABLECIDA „ Aparece a las 2-3 semanas de acumulación de placa „ Se mantienen las alteraciones inflamatorias anteriores „ Predominio de células plasmáticas „ Presencia de Inmunoglobuli- nas extravasculares „ Pérdida grande de colágeno „ Proliferación, migración y extensión lateral del epitelio de unión, pudiendo existir el comienzo de formación de la bolsa (epitelio de la bolsa) „ Aparece a las 2-3 semanas de acumulación de placa „ Se mantienen las alteraciones inflamatorias anteriores „ Predominio de células plasmáticas „ Presencia de Inmunoglobuli- nas extravasculares „ Pérdida grande de colágeno „ Proliferación, migración y extensión lateral del epitelio de unión, pudiendo existir el comienzo de formación de la bolsa (epitelio de la bolsa)
  • 29.
    LESIÓN AVANZADA LESI LESIÓ ÓN AVANZADA NAVANZADA „ Aparecen todas las características de las lesión establecida „ El proceso se extiende al hueso alveolar y ligamento periodontal (reabsorción ósea) „ Pérdida continua de colágeno con fibrosis periférica del área inflamada „ Formación de bolsas periodontales „ Células plasmáticas alteradas „ Periodos de actividad e inactividad „ El epitelio de unión se transforma en epitelio de la bolsa „ Aparecen todas las características de las lesión establecida „ El proceso se extiende al hueso alveolar y ligamento periodontal (reabsorción ósea) „ Pérdida continua de colágeno con fibrosis periférica del área inflamada „ Formación de bolsas periodontales „ Células plasmáticas alteradas „ Periodos de actividad e inactividad „ El epitelio de unión se transforma en epitelio de la bolsa
  • 30.
  • 31.
    FASE DE FLUIDO BACTERIA ORAL BACTERIA ORAL PLACA ORGANIZADA PLACA ORGANIZADA SURCO SURCO INFLAMACIÓN INFLAMACIÓN FASECELULAR FASE INMUNOLÓGICA PERIODONTITIS PERIODONTITIS GINGIVITIS GINGIVITIS FACTOR TIEMPO
  • 35.
    FACTORES DE RIESGOEN LA ENFERMEDAD PERIODONTAL FACTORES DE RIESGO EN LA FACTORES DE RIESGO EN LA ENFERMEDAD PERIODONTAL ENFERMEDAD PERIODONTAL „ Malposición dentaria „ Anatomía dentaria „ Restauraciones desbordantes „ Contornos gingivales „ „ Malposici Malposició ón dentaria n dentaria „ „ Anatom Anatomí ía dentaria a dentaria „ „ Restauraciones desbordantes Restauraciones desbordantes „ „ Contornos gingivales Contornos gingivales A) FACTORES QUE INFLUYEN EN EL ACÚMULO DE PLACA A) FACTORES QUE INFLUYEN EN EL AC A) FACTORES QUE INFLUYEN EN EL ACÚ ÚMULO DE PLACA MULO DE PLACA
  • 36.
    FACTORES DE RIESGOEN LA ENFERMEDAD PERIODONTAL FACTORES DE RIESGO EN LA FACTORES DE RIESGO EN LA ENFERMEDAD PERIODONTAL ENFERMEDAD PERIODONTAL „ Profundidad de la bolsa „ Cálculo „ „ Profundidad de la bolsa Profundidad de la bolsa „ „ C Cá álculo lculo B) FACTORES QUE INFLUYEN EN LA PRESENCIA Y CANTIDAD DE BACTERIAS ESPECÍFICAS B) FACTORES QUE INFLUYEN EN LA PRESENCIA Y CANTIDAD B) FACTORES QUE INFLUYEN EN LA PRESENCIA Y CANTIDAD DE BACTERIAS ESPEC DE BACTERIAS ESPECÍ ÍFICAS FICAS
  • 37.
    FACTORES DE RIESGOEN LA ENFERMEDAD PERIODONTAL FACTORES DE RIESGO EN LA FACTORES DE RIESGO EN LA ENFERMEDAD PERIODONTAL ENFERMEDAD PERIODONTAL „ Edad „ Raza „ Nivel socioeconómico „ Sexo „ „ Edad Edad „ „ Raza Raza „ „ Nivel socioecon Nivel socioeconó ómico mico „ „ Sexo Sexo C) INDICADORES DE RIESGO DE ENFERMEDAD PERIODONTAL C) INDICADORES DE RIESGO DE ENFERMEDAD PERIODONTAL C) INDICADORES DE RIESGO DE ENFERMEDAD PERIODONTAL
  • 38.
    FACTORES DE RIESGOEN LA ENFERMEDAD PERIODONTAL FACTORES DE RIESGO EN LA FACTORES DE RIESGO EN LA ENFERMEDAD PERIODONTAL ENFERMEDAD PERIODONTAL „ Diabetes mellitus „ Embarazo y hormonas sexuales „ Osteoporosis „ Síndrome de Down „ Anormalidades de los neutrófilos „ Estrés „ Tabaco „ „ Diabetes mellitus Diabetes mellitus „ „ Embarazo y hormonas sexuales Embarazo y hormonas sexuales „ „ Osteoporosis Osteoporosis „ „ S Sí índrome de ndrome de Down Down „ „ Anormalidades de los neutr Anormalidades de los neutró ófilos filos „ „ Estr Estré és s „ „ Tabaco Tabaco D) ENFERMEDADES Y CONDICIONES DE RIESGO QUE AFECTAN A LA PERIODONTITIS D) ENFERMEDADES Y CONDICIONES DE RIESGO QUE D) ENFERMEDADES Y CONDICIONES DE RIESGO QUE AFECTAN A LA PERIODONTITIS AFECTAN A LA PERIODONTITIS
  • 39.
    TABACO TABACO TABACO „ A igualnivel de placa, los fumadores presentan mayor profundidad de sondaje y mayor pérdida de hueso alveolar „ Correlación entre osteoporosis y hábito de fumar „ Mayor pérdida sistémica progresiva de contenido mineral óseo „ El edentulismo total es mayor en fumadores que en no fumadores „ El riesgo de periodontitis del fumador es 2.5 veces superior al del no fumador „ „ A igual nivel de placa, los fumadores presentan mayor A igual nivel de placa, los fumadores presentan mayor profundidad de sondaje y mayor p profundidad de sondaje y mayor pé érdida de hueso rdida de hueso alveolar alveolar „ „ Correlaci Correlació ón entre osteoporosis y h n entre osteoporosis y há ábito de fumar bito de fumar „ „ Mayor p Mayor pé érdida sist rdida sisté émica progresiva de contenido mica progresiva de contenido mineral mineral ó óseo seo „ „ El edentulismo total es mayor en fumadores que en no El edentulismo total es mayor en fumadores que en no fumadores fumadores „ „ El riesgo de periodontitis del fumador es 2.5 veces El riesgo de periodontitis del fumador es 2.5 veces superior al del no fumador superior al del no fumador
  • 40.
    TABACO TABACO TABACO „ Es másfrecuente el hábito de fumar entre las profesionales de la salud que en el conjunto de la población (43% frente al 30%) „ El 18.8% de las sanitarias se definen con exfumadoras „ El consumo diario entre médicas y enfermeras es de 14 cigarrillos „ El 47% de las enfermeras fuma frente al 32% de las médicas „ Fuman más las profesionales que ejercen en hospitales que en atención primaria „ El 3% fuman delante de los pacientes „ El 85,4% de las fumadoras recomienda a sus pacientes dejar de fumar frente al 94% de las no fumadoras „ El porcentaje de fumadoras es menor entre las profesionales de menos de 30 años „ „ Es m Es má ás frecuente el h s frecuente el há ábito de fumar entre las profesionales de la bito de fumar entre las profesionales de la salud que en el conjunto de la poblaci salud que en el conjunto de la població ón (43% frente al 30%) n (43% frente al 30%) „ „ El 18.8% de las sanitarias se definen con El 18.8% de las sanitarias se definen con exfumadoras exfumadoras „ „ El consumo diario entre m El consumo diario entre mé édicas y enfermeras es de 14 cigarrillos dicas y enfermeras es de 14 cigarrillos „ „ El 47% de las enfermeras fuma frente al 32% de las m El 47% de las enfermeras fuma frente al 32% de las mé édicas dicas „ „ Fuman m Fuman má ás las profesionales que ejercen en hospitales que en s las profesionales que ejercen en hospitales que en atenci atenció ón primaria n primaria „ „ El 3% fuman delante de los pacientes El 3% fuman delante de los pacientes „ „ El 85,4% de las fumadoras recomienda a sus pacientes dejar de El 85,4% de las fumadoras recomienda a sus pacientes dejar de fumar frente al 94% de las no fumadoras fumar frente al 94% de las no fumadoras „ „ El porcentaje de fumadoras es menor entre las profesionales de El porcentaje de fumadoras es menor entre las profesionales de menos de 30 a menos de 30 añ ños os Fundación para la Investigación, Estudio y Desarrollo de la Salud Pública
  • 41.
    TABACO TABACO TABACO „ Acumulación deplaca bacteriana y cálculo dental „ Tabaquismo y gingivitis „ Tabaquismo y G.U.N.A. „ Tabaquismo y periodontitis „ „ Acumulaci Acumulació ón de placa bacteriana n de placa bacteriana y c y cá álculo dental lculo dental „ „ Tabaquismo y gingivitis Tabaquismo y gingivitis „ „ Tabaquismo y G.U.N.A. Tabaquismo y G.U.N.A. „ „ Tabaquismo y periodontitis Tabaquismo y periodontitis
  • 42.
    TABACO TABACO TABACO „ Irritación gingivaldirecta por el humo „ Reducción de la vascularización gingival „ Disminución funcional de PMN orales „ Alteraciones en el sistema inmunitario celular y humoral „ Déficit de vitamina C „ „ Irritaci Irritació ón gingival directa por el humo n gingival directa por el humo „ „ Reducci Reducció ón de la vascularizaci n de la vascularizació ón gingival n gingival „ „ Disminuci Disminució ón funcional de PMN orales n funcional de PMN orales „ „ Alteraciones en el sistema inmunitario Alteraciones en el sistema inmunitario celular y humoral celular y humoral „ „ D Dé éficit de vitamina C ficit de vitamina C EFECTOS DIRECTOS EFECTOS DIRECTOS EFECTOS DIRECTOS
  • 43.
    TABACO TABACO TABACO „ Alteraciones vasculares „Alteraciones celulares „ Supresión de la respuesta de las Igs „ Cambios en la microflora „ „ Alteraciones vasculares Alteraciones vasculares „ „ Alteraciones celulares Alteraciones celulares „ „ Supresi Supresió ón de la respuesta de las Igs n de la respuesta de las Igs „ „ Cambios en la microflora Cambios en la microflora RESPUESTA DEL HUÉSPED RESPUESTA DEL HU RESPUESTA DEL HUÉ ÉSPED SPED
  • 44.
    CLÍNICA DE LAPERIODONTITIS ASOCIADA AL TABACO CLÍNICA DE LA PERIODONTITIS CLÍNICA DE LA PERIODONTITIS CLÍNICA DE LA PERIODONTITIS ASOCIADA AL TABACO ASOCIADA AL TABACO ASOCIADA AL TABACO • Encía fibrótica, con engrosamiento de los márgenes • Mínimo enrojecimiento gingival en relación con la gravedad de la enfermedad • Mayor gravedad y progresión en relación con los no fumadores de la misma edad • Recesión gingival en segmentos anteriores • No existe relación entre el estado periodontal y el nivel de placa y cálculo • • Encía fibrótica, con engrosamiento de los Encía fibrótica, con engrosamiento de los márgenes márgenes • • Mínimo enrojecimiento gingival en relación con Mínimo enrojecimiento gingival en relación con la gravedad de la enfermedad la gravedad de la enfermedad • • Mayor gravedad y progresión en relación con Mayor gravedad y progresión en relación con los no fumadores de la misma edad los no fumadores de la misma edad • • Recesión gingival en segmentos anteriores Recesión gingival en segmentos anteriores • • No existe relación entre el estado periodontal y No existe relación entre el estado periodontal y el nivel de placa y cálculo el nivel de placa y cálculo Haber J Current in Periodontology 1994: 12-8 Haber J. Current in Periodontology 1994: 12-8
  • 45.
    CARACTERÍSTICAS CLÍNICAS DELA PERIODONTITIS ASOCIADA AL TABACO CARACTERÍSTICAS CLÍNICAS DE LA CARACTERÍSTICAS CLÍNICAS DE LA PERIODONTITIS ASOCIADA AL TABACO PERIODONTITIS ASOCIADA AL TABACO • Inicio de la enfermedad relativamente temprano, entre los 20 y los 30 años • Progresión rápida de la enfermedad • Reaparición de bolsas después de un año del tratamiento • Resistencia al tratamiento convencional • • Inicio de la enfermedad relativamente temprano, Inicio de la enfermedad relativamente temprano, entre los 20 y los 30 años entre los 20 y los 30 años • • Progresión rápida de la enfermedad Progresión rápida de la enfermedad • • Reaparición de bolsas después de un año del Reaparición de bolsas después de un año del tratamiento tratamiento • • Resistencia al tratamiento convencional Resistencia al tratamiento convencional Haber J Current in Periodontology 1994: 12-8 Haber J. Current in Periodontology 1994: 12-8
  • 51.
    ENFERMEDAD PERIODONTAL ENFERMEDAD PERIODONTAL ENFERMEDADPERIODONTAL „ Inspección „ Sondaje. Periodontograma „ Palpación „ Radiología „ „ Inspecci Inspecció ón n „ „ Sondaje. Periodontograma Sondaje. Periodontograma „ „ Palpaci Palpació ón n „ „ Radiolog Radiologí ía a DIAGNÓSTICO DIAGN DIAGNÓ ÓSTICO STICO
  • 56.
    INDICES INDICES „ Utilidad „ epidemiologíade los factores locales „ control de higiene y respuesta ante un tratamiento „ estudios clínicos para valorar diferentes métodos antiplaca „ Identificación de la placa „ visualización directa con espejo y explorador „ visualización en microscopio óptico „ reveladores de placa „ sol. de mercurocromo y yodo, sol. alcohólicas de fucsina básica, colorantes de eritrosina, col. bitonales, col. fluorescentes. „ „ Utilidad Utilidad „ „ epidemiolog epidemiologí ía de los factores locales a de los factores locales „ „ control de higiene y respuesta ante un tratamiento control de higiene y respuesta ante un tratamiento „ „ estudios cl estudios clí ínicos para valorar diferentes m nicos para valorar diferentes mé étodos antiplaca todos antiplaca „ „ Identificaci Identificació ón de la placa n de la placa „ „ visualizaci visualizació ón directa con espejo y explorador n directa con espejo y explorador „ „ visualizaci visualizació ón en microscopio n en microscopio ó óptico ptico „ „ reveladores de placa reveladores de placa „ „ sol. de mercurocromo y yodo, sol. alcoh sol. de mercurocromo y yodo, sol. alcohó ólicas de fucsina licas de fucsina b bá ásica, colorantes de eritrosina, col. bitonales, col. sica, colorantes de eritrosina, col. bitonales, col. fluorescentes. fluorescentes. Son un conjunto de determinaciones numéricas que intentan estandarizar las situaciones de placa bacteriana, gingivitis y enfermedad periodontal Son un conjunto de determinaciones num Son un conjunto de determinaciones numé éricas que ricas que intentan estandarizar las situaciones de placa bacteriana, intentan estandarizar las situaciones de placa bacteriana, gingivitis y enfermedad periodontal gingivitis y enfermedad periodontal
  • 57.
    INDICES INDICES „ INDICE PMA.(Schour y Massler, 1947) „ INDICE PERIODONTAL P.I. (Russell, 1956) „ INDICE DE ENFERMEDAD PERIODONTAL PDI. (Ramfjord, 1959) „ INDICE DE PLACA (Quigley y Hein, 1962) „ INDICE PERIODONTAL (Silness y Loe, 1964) „ INDICE DE CÁLCULOS (Volpe y Manhold, 1962) „ INDICE DE HEMORRAGIA DEL SURCO SBI (Muhlemann y Son, 1971) „ INDICE DE QUERATINIZACIÓN O MADURACIÓN (Lange, 1965) „ INDICE PERIODONTAL DE LAS NECESIDADES DE TRATAMIENTO DE COMUNIDADES CPITN (OMS,1978) „ „ INDICE PMA. (Schour y Massler, 1947) INDICE PMA. (Schour y Massler, 1947) „ „ INDICE PERIODONTAL P.I. (Russell, 1956) INDICE PERIODONTAL P.I. (Russell, 1956) „ „ INDICE DE ENFERMEDAD PERIODONTAL PDI. ( INDICE DE ENFERMEDAD PERIODONTAL PDI. (Ramfjord Ramfjord, 1959) , 1959) „ „ INDICE DE PLACA ( INDICE DE PLACA (Quigley Quigley y y Hein Hein, 1962) , 1962) „ „ INDICE PERIODONTAL ( INDICE PERIODONTAL (Silness Silness y Loe, 1964) y Loe, 1964) „ „ INDICE DE C INDICE DE CÁ ÁLCULOS ( LCULOS (Volpe Volpe y y Manhold Manhold, 1962) , 1962) „ „ INDICE DE HEMORRAGIA DEL SURCO SBI ( INDICE DE HEMORRAGIA DEL SURCO SBI (Muhlemann Muhlemann y Son, 1971) y Son, 1971) „ „ INDICE DE QUERATINIZACI INDICE DE QUERATINIZACIÓ ÓN O MADURACI N O MADURACIÓ ÓN ( N (Lange Lange, 1965) , 1965) „ „ INDICE PERIODONTAL DE LAS NECESIDADES DE TRATAMIENTO DE INDICE PERIODONTAL DE LAS NECESIDADES DE TRATAMIENTO DE COMUNIDADES CPITN (OMS,1978) COMUNIDADES CPITN (OMS,1978)
  • 60.
    RADIOLOGÍA RADIOLOG RADIOLOGÍ ÍA A „ Utilidad „ diagnóstico „pronóstico „ tratamiento „ Técnicas „ periapicales cono largo „ panorámicas „ aletas de mordida „ serie radiográfica „ „ Utilidad Utilidad „ „ diagn diagnó óstico stico „ „ pron pronó óstico stico „ „ tratamiento tratamiento „ „ T Té écnicas cnicas „ „ periapicales cono largo periapicales cono largo „ „ panor panorá ámicas micas „ „ aletas de mordida aletas de mordida „ „ serie radiogr serie radiográ áfica fica „ Limitaciones „ bolsas periodontales „ destrucción ósea V y L „ tejidos blandos „ gingivorragia „ movilidad dentaria „ „ Limitaciones Limitaciones „ „ bolsas periodontales bolsas periodontales „ „ destrucci destrucció ón n ó ósea V y L sea V y L „ „ tejidos blandos tejidos blandos „ „ gingivorragia gingivorragia „ „ movilidad dentaria movilidad dentaria
  • 62.
    CLINICA CLINICA CLINICA „ Bolsa ósea „Reabsorción ósea „ Furcaciones: grados I, II, III „ Movilidad y migración: grados I, II, III „ „ Bolsa Bolsa ó ósea sea „ „ Reabsorci Reabsorció ón n ó ósea sea „ „ Furcaciones Furcaciones: grados I, II, III : grados I, II, III „ „ Movilidad y migraci Movilidad y migració ón: grados I, II, III n: grados I, II, III
  • 63.
    Bolsa Bolsa ó ósea sea „ Bolsagingival (relativa o falsa) „ Bolsa periodontal (absoluta o verdadera) „ Supraósea „ Infraósea „ Simple „ Compuesta „ compleja „ „ Bolsa gingival Bolsa gingival (relativa o falsa) (relativa o falsa) „ „ Bolsa periodontal Bolsa periodontal (absoluta o verdadera) (absoluta o verdadera) „ „ Supra Supraó ósea sea „ „ Infra Infraó ósea sea „ „ Simple Simple „ „ Compuesta Compuesta „ „ compleja compleja
  • 66.
    FURCACIONES FURCACIONES „ Grado 1:Pérdida horizontal de los tejidos de soporte que no sobrepasa 1/3 del ancho del diente „ Grado 2: > 1/3 del diente „ Grado 3: La sonda pasa de vestibular a lingual „ „ Grado 1 Grado 1: P : Pé érdida rdida horizontal de los horizontal de los tejidos de soporte que tejidos de soporte que no sobrepasa 1/3 del no sobrepasa 1/3 del ancho del diente ancho del diente „ „ Grado 2 Grado 2: > 1/3 del : > 1/3 del diente diente „ „ Grado 3 Grado 3: La sonda : La sonda pasa de vestibular a pasa de vestibular a lingual lingual
  • 67.
    MOVILIDAD MOVILIDAD „ Grado 1:0.2-1 mm en sentido horizontal „ Grado 2: > de 1 mm en sentido horizontal „ Grado 3: Movilidad en el sentido axial del diente „ „ Grado 1 Grado 1: 0.2 : 0.2- -1 1 mm mm en sentido horizontal en sentido horizontal „ „ Grado 2 Grado 2: > de 1 : > de 1 mm mm en sentido horizontal en sentido horizontal „ „ Grado 3 Grado 3: Movilidad en el sentido axial del : Movilidad en el sentido axial del diente diente
  • 69.
    FASES DEL TRATAMIENTO FASES FASESDEL TRATAMIENTO DEL TRATAMIENTO „ Sistémica „ Higiénica „ Correctiva „ Mantenimiento „ „ Sist Sisté émica mica „ „ Higi Higié énica nica „ „ Correctiva Correctiva „ „ Mantenimiento Mantenimiento PROFILAXIS por el profesional por el paciente PROFILAXIS PROFILAXIS por el profesional por el profesional por el paciente por el paciente CONTROL DE PLACA CONTROL CONTROL DE DE PLACA PLACA
  • 70.
    TRATAMIENTO TRATAMIENTO TRATAMIENTO • Tratamiento dela gingivitis • Tratamiento de la periodontitis •Tratamiento mecánico •Tratamiento farmacológico •Sistémico •Local •Antisépticos • • Tratamiento de la gingivitis Tratamiento de la gingivitis • • Tratamiento de la periodontitis Tratamiento de la periodontitis • •Tratamiento mec Tratamiento mecá ánico nico • •Tratamiento farmacol Tratamiento farmacoló ógico gico • •Sist Sisté émico mico • •Local Local • •Antis Antisé épticos pticos American Academy of Periodontology Treatment of Gingivitis and Periodontitis. Research, Science and Therapy Committee Chicago, Mayo de 1993
  • 72.
    INFECCIONES DENTALES ENPACIENTES MÉDICAMENTE COMPROMETIDOS INFECCIONES DENTALES EN PACIENTES MÉDICAMENTE COMPROMETIDOS „ Enfermedades cardiovasculares „ Enfermedad pulmonar obstructiva crónica „ Enfermedades reumatoides „ Diabetes „ Psoriasis „ Artritis grave „ Enfermedades inflamatorias intestinales crónicas „ Cáncer „ Medicación inmunosupresora „ Trasplante de órganos „ Ancianos con múltiples enfermedades „ Enfermedades cardiovasculares „ Enfermedad pulmonar obstructiva crónica „ Enfermedades reumatoides „ Diabetes „ Psoriasis „ Artritis grave „ Enfermedades inflamatorias intestinales crónicas „ Cáncer „ Medicación inmunosupresora „ Trasplante de órganos „ Ancianos con múltiples enfermedades
  • 73.
    ENFERMEDADES PERIODONTALES Y PATOLOGÍACORONARIA ENFERMEDADES PERIODONTALES Y PATOLOGÍA CORONARIA „ Mackenzie RS, Millard HD. Interrelated effects of diabetes, arteriosclerosis and calculus on alveolar bone loss. J Am Dent Assoc 1963; 66: 192-8 „ Sryjanen J, Peltota J, Valtonen V y cols. Dental infections in association with cerebral infarction in young and middle-aged men. J Intern Med 1989; 225: 179-84 „ Mattila K, Nieminen M, Valtonen V y cols. Association between dental health and acute myocardial infarction. Br Med J 1989; 298: 779-82 „ Mackenzie RS, Millard HD. Interrelated effects of diabetes, arteriosclerosis and calculus on alveolar bone loss. J Am Dent Assoc 1963; 66: 192-8 „ Sryjanen J, Peltota J, Valtonen V y cols. Dental infections in association with cerebral infarction in young and middle-aged men. J Intern Med 1989; 225: 179-84 „ Mattila K, Nieminen M, Valtonen V y cols. Association between dental health and acute myocardial infarction. Br Med J 1989; 298: 779-82
  • 74.
    CAUSA DE CONSULTAHOSPITALARIA CAUSA DE CONSULTA HOSPITALARIA „ Fiebre séptica alta por infección oral o dental „ Trismo causado por una infección „ Problemas respiratorios o de deglución a causa de una infección „ Edema submandibular o facial que persiste, incluso después de realizarse tratamiento local como extracción dentaria, incisión o endodoncia „ Abscesos submandibulares, submentonianos o parafaríngeos „ Fiebre séptica alta por infección oral o dental „ Trismo causado por una infección „ Problemas respiratorios o de deglución a causa de una infección „ Edema submandibular o facial que persiste, incluso después de realizarse tratamiento local como extracción dentaria, incisión o endodoncia „ Abscesos submandibulares, submentonianos o parafaríngeos
  • 78.
    HELICOBACTER PYLORI HELICOBACTER PYLORI „Coco-bacilo gram (-) „ 100% gastritis crónica activa „ 60-70% de las úlceras gástricas „ 90-95% de las úlceras duodenales „ Asociado a „ carcinoma gástrico „ linfoma no Hodgkin „ 20% de portadores asintomáticos „ Coco-bacilo gram (-) „ 100% gastritis crónica activa „ 60-70% de las úlceras gástricas „ 90-95% de las úlceras duodenales „ Asociado a „ carcinoma gástrico „ linfoma no Hodgkin „ 20% de portadores asintomáticos
  • 79.
    FACTORES DE RIESGOEN LA ASOCIACIÓN ENFERMEDAD-HELICOBACTER PYLORI FACTORES DE RIESGO EN LA ASOCIACIÓN ENFERMEDAD-HELICOBACTER PYLORI „ Virulencia microbiana „ Factores sociales y medioambientales „ estatus socioeconómico en la infancia „ Abastecimiento de agua inadecuado „ Factores dietéticos „ Factores del huésped „ HLA „ Grupo sanguineo „ Fisiología de la mucosa y ácidos gástricos „ Virulencia microbiana „ Factores sociales y medioambientales „ estatus socioeconómico en la infancia „ Abastecimiento de agua inadecuado „ Factores dietéticos „ Factores del huésped „ HLA „ Grupo sanguineo „ Fisiología de la mucosa y ácidos gástricos
  • 80.
    MODO DE TRANSMISIÓN ??? MODODE TRANSMISIÓN ??? • FECAL-ORAL • ORAL-ORAL • IATROGÉNICO • • FECAL FECAL- -ORAL ORAL • • ORAL ORAL- -ORAL ORAL • • IATROG IATROGÉ ÉNICO NICO
  • 81.
    VECTORES ??? VECTORES ??? •GATOS • PRIMATES • MOSCAS • • GATOS GATOS • • PRIMATES PRIMATES • • MOSCAS MOSCAS
  • 82.