Laboratorio de Imágenes
Esplacnología
PAREDES DE ABDOMEN Y
ESPACIO SUPRAMESOCÓLICO
ABDOMEN
¿Qué es?
¿Qué forma tiene?
¿Por qué estructuras
está delimitado?
Paredes de abdomen…
Paredes de abdomen…
Elementos óseos
Columna vertebral lumbar,
hueso sacro, y hueso ilion
(del hueso coxal)
Elementos musculares
músculo psoas mayor,
músculo psoas menor,
músculo cuadrado lumbar,
y porción más posterior del
músculo transverso del
abdomen
Paredes de abdomen…
Paredes de abdomen…
•Estrecho superior de la pelvis
•Diafragma pélvico (músculo elevador
del ano)
CONTENIDO: ¿Cómo lo dividimos?
Tomado de Netter, 5ª Edición, 2011, Elsevier
Supramesocólico
Inframesocólico
MESOCOLON TRANSVERSO
Tomado de Netter, 5ª Edición, 2011, Elsevier
Mama
Cúpula
diafragmática
derecha
Yeyuno
Curvatura mayor
del estómago
Cuerpo del
estómago
Fundus gástrico
Curvatura
menor del
estómago
Píloro
Antro
pilórico
Duodeno, 1era porción
Duodeno,
2da porción
Duodeno, 4ta porción
Duodeno, 3ra porción
Fundus gástrico
Cuerpo del estómago
con pliegues de la
mucosa gástrica
Duodeno, 1era porción
Duodeno,
2da porción
Duodeno, 3ra porción
Duodeno, 4ta porción
Píloro
Cardias
Antro
pilórico
Esófago
¡¡Cortes!!
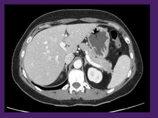
Aorta
descendente
Vena cava
inferior
Lóbulo
derecho
del hígado
Recto del
abdomen
Fundus
gástrico
Bazo
Arteria
esplénica
Vena esplénica
Lóbulo
izquierdo
del hígado
Pilares del
diafragma
Músculo
recto del
abdomen
Lóbulo
izquierdo del
hígado Ángulo
esplénico del
colon
Bazo
Riñón
izquierdo
Páncreas
Arteria esplénica
Aorta
descendente
Vena cava
inferior
Lóbulo
derecho
del hígado
Fundus
gástrico
Pilares del
diafragma
Colon
descendente
Glándula
suprarrenal
derecha
Cuerpo
gástrico
Colon
descendente
Arteria esplénica
Arteria
hepática
Tronco celíaco
Ligamento
falciforme
Vena Porta
Bazo
Aorta
descendente
Vena cava inferior
Pilares del
diafragma
Lóbulo
izquierdo
del hígado
Lóbulo
derecho
del hígado
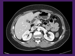
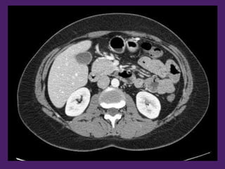
Riñón derecho Riñón izquierdo
Páncreas
Vesícula biliar
Píloro
Colon descendente
Antro
gástrico
Arteria
renal
izquierda
Vena renal izquierda
Arteria mesentérica superior
Primera porción
del duodeno
Lóbulo
derecho del
hígado
Riñón
izquierdo
Riñón
derecho
Colon
descendente
Músculo
oblicuo
interno
Músculo
oblicuo
externo
Músculo
tranverso
Vesícula biliar
Páncreas
Colon
transverso
Aorta
2da porción
del duodeno
Riñón
izquierdo
Lóbulo
derecho
del hígado
Vena
cava
inferior
3ra porción
del duodeno
Vena mesentérica
superior
Colon
transverso
Colon
descendente
Asas
yeyunoileales
Hígado
Ángulo esplénico del
colon
Ángulo hepático
del colon Colon
transverso
Lóbulo derecho
del hígado
Lóbulo izquierdo
del hígado
Fundus
gástrico
Vesícula
biliar
Antro del
estómago
Vena renal Izquierda
Arteria mesentérica
superior
Tronco
celíaco
Vena cava Inferior
Colon
ascendente
Fundus
gástrico
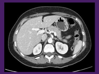
¡¡Y ahora…
más cortes!!
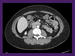
Bazo
Estómago
Pedículo
esplénico
Riñón izquierdo
Riñón
izquierdo
BazoCuerpo del
estómago
Páncreas
Arteria esplénica
Colon
Transverso
Tronco
celíaco
Lóbulo
izquierdo del
hígado
Colon
Transverso
Aorta
abdominal
Arteria
mesentérica
superior
Vena Renal
izquierda
Aorta
abdominal
Lóbulo
izquierdo del
hígado
Colon
Transverso
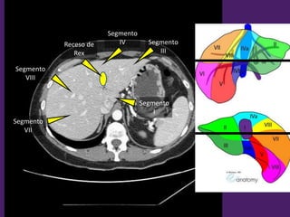
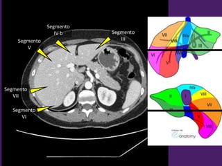
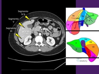
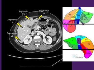
Bonus track:
Segmentación
del hígado
Vista Anterior. Vista Posterior.
Segmentación hepática
Vista superior Vista inferior
Segmento
II
Segmento
III
Segmento
IV a
Segmento
VIII
Segmento
VII
Segmento
III
Segmento
IV
Segmento
VII
Segmento
VIII
Segmento
I
Receso de
Rex
Segmento
III
Segmento
IV b
Segmento
VII
Segmento
V
Segmento
VI
L1-L2
Segmento
III
Segmento
IV b
Segmento
V
Segmento
VI
L2
Segmento
IV b
Segmento
VI
Segmento
V
¡¡¡Bonus track 2!!!!!
Tránsito esófagogastroduodenal
¡¡Hasta la próxima!!

Clase 6 abdomen supramesocolico