CURSO BÁSICO DE
ECOGRAFÍA ABDOMINAL
Y FAST PARA ATENCIÓN
PRIMARIA
GdT Ecografía Clínica SVMFiC
Curso de ecografía básico.
Dirigido a profesionales de Atención Primaria.
Centro de Salud Álvarez de la Riva de Orihuela.
Dra. Cecilia Guillen Montiel
Dra. Mª José Mulet Pons
Dra Mª Carmen Estruch Vidal
27 de Mayo del 2017
De qué nos acordamos…???
 ANECOICAS
 HIPOECOICAS
 ISOECOICAS
 HIPERECOICAS
 Artefactos
De qué nos acordamos…???
ECOANATOMÍA
PLANOS DE CORTE
EXPLORACIÓN ECOGRÁFICA
ECOANATOMIA
EXPLORACION ECOGRAFICA DE ABDOMEN
PLANOS DE CORTE
II.- ESTUDIO DE PANCREAS
III.- ESTUDIO DE HIGADO-SEGMENTOS
IV.- ESTUDIO DE VESICULA BILIAR
V.- ESTUDIO DE BAZO
I.- ESTUDIO DE VASOS SANGUINEOS
VI.- ESTUDIO DE APARATO GENITO-URINARIO
CAVA PORTA AORTA
I.- ESTUDIO DE VASOS DELABDOMEN
VASOS DELABDOMEN.- TRES EJES IMPORTANTES:
1.- ECOANATOMIA:
I.- ESTUDIO DE VASOS DELABDOMEN
VENA RENAL
IZQUIERDA
VENA RENAL
DERECHA
VENA
SUPRAHEPATICA
MEDIA
VENA
SUPRAHEPATICA
IZQUIERDA
VENA
SUPRAHEPATICA
DERECHA
VENA CAVA
1.- ECOANATOMIA:
VENA
ESPLENICA
CONFLUENCIA
ESPLENO-PORTAL
VENA
PORTA
VENA PORTA
IZQUIERDA
VENA PORTA
DERECHA
VENA
MESENTERICA
INFERIOR
VENA
MESENTERICA
SUPERIOR
VENA PORTA
I.- ESTUDIO DE VASOS DELABDOMEN
1.- ECOANATOMIA:
I.- ESTUDIO DE VASOS DEL ABDOMEN
TRONCO
CELIACO
ARTERIA
ESPLENICAARTERIA
HEPATICA
COMUN
ARTERIA MESENTERICA
SUPERIOR
ARTERIA
RENAL
DERECHA
ARTERIA
RENAL
IZQUIERDA
ARTERIA
AORTA
CAVA PORTA AORTA
VENAS
HEPATICA
VENA
RENAL
DER
VENA
RENAL
IZQ
TRONCO
CELIACO
ARTERIA
HEPATICA
COMUN
ARTERIA
ESPLENICA
ARTERIA
RENAL
DER
ARTERIA
RENAL
IZQ
ARTERIA
MESENT
SUPERIOR
I.- ESTUDIO DE VASOS DELABDOMEN
1.- ECOANATOMIA: RESUMEN
I.-ESTUDIO DE VASOS AORTA
CONDUCTO
HEPATICO
A. RENAL
DERECHA
VENA
MESENTERICA
SUPERIOR
CAVA
V. RENAL
IZQUIERDA
V. ESPL.
A. ESPL.
A. HEPATICA
COMUN
CONFLUENCIA
ESPLENO PORTAL
TRONCO
CELIACO
ARTERIA
MESENTERICA
SUPERIOR
RELACIONES VASCULARES
DELABDOMEN
1.- ECOANATOMIA:
Grandes vasos abdominales:
relaciones
ANATOMÍA DE LOS CORTES LONGITUDINALES:
referencias
ANATOMÍA DE LOS CORTES LONGITUDINALES:
referencias
RUTA DE LOS CORTES LONGITUDINALES
 Vamos a visitar 6 pueblos:
Circulación hepática
Nos vamos de viaje…………………
RUTA DE LOS CORTES LONGITUDINALES
 Punto de salida= zona de aparcamiento:
 debajo del apéndice xifoides
 Muesca hacia la parte craneal del paciente
 Vamos a visitar 6 pueblos:
 LHI
 Aorta
 Cava
 Rama suprahepática media
 Vesícula
 Riñón derecho
RUTA DE LOS CORTES LONGITUDINALES
 Vamos a visitar 6 pueblos:
1.- LHI
 Ángulo
 Bordes
 Estructura
RUTA DE LOS CORTES LONGITUDINALES
 Vamos a visitar 6 pueblos:
2.- Aorta
 Aorta hasta la bifurcación
 Tronco celíaco
 Arteria mesentérica superior
 Estructura hepática
 Páncreas
 Estómago
RUTA DE LOS CORTES LONGITUDINALES
 Vamos a visitar 6 pueblos:
3.- Cava
 Cava entrando en corazón
 Lóbulo caudado
RUTA DE LOS CORTES LONGITUDINALES
 Vamos a visitar 6 pueblos:
3.- Cava
RUTA DE LOS CORTES LONGITUDINALES
 Vamos a visitar 6 pueblos:
Circulación hepática
Vasos portales: pared
Vasos suprahepáticos: sin pares
RUTA DE LOS CORTES LONGITUDINALES
 Vamos a visitar 6 pueblos:
Circulación hepática
RUTA DE LOS CORTES LONGITUDINALES
Circulación hepática: PP/SS
Vasos portales: pared
Vasos suprahepáticos: sin pares
RUTA DE LOS CORTES LONGITUDINALES
 Vamos a visitar 6 pueblos:
4.- Vena suprahepática media
 Fin LHI
 Inicio LHD
RUTA DE LOS CORTES LONGITUDINALES
 Vamos a visitar 6 pueblos:
5.- Vesícula
RUTA DE LOS CORTES LONGITUDINALES
 Vamos a visitar 6 pueblos:
6.- Riñón derecho
RUTA DE LOS CORTES LONGITUDINALES
 Vamos a realizar 2 excursiones:
1.- bazo y riñon izquierdo
 Línea axilar posterior izda
-altura de xifoidea
 Sonda en sentido costal a
las 2h
 Si bajamos un espacio
intercostal: riñon izdo
RUTA DE LOS CORTES LONGITUDINALES
 Vamos a realizar 2 excursiones :
2.- Vejiga
Hígado eje longitudinal 13-15 cm
Vesícula eje longitudinal 8-9 cm
Vesícula eje transversal 3-4 cm
Pared vesicular < 3 mm
Colédoco 6 mm
Vena porta < 12 mm
Bazo eje longitudinal 11-12 cm
Bazo: área < 50 cm2
Riñones eje longitudinal 9-11 cm
Parénquima renal 1-2 cm
Aorta < 20 mm
Cava < 20 mm
Venas suprahepáticas < 8 mm
Medidas de referencia de los principales órganos
abdominales
CURSO BÁSICO DE ECOGRAFÍA ABDOMINAL
Inserción de un vídeo
CORTES TRANSVERSALES
Casa con vistas …..¿Qué hay en en cada piso?
Volvemos a casa:Barrido de izda a
derecha y de arriba a abajo
ANATOMÍA CORTES TRANSVERSALES
ANATOMÍA CORTES TRANSVERSALES
PLANTAS DE LOS CORTES TRANSVERSALES
 Vamos a visitar 6 plantas:
TRASLADO: Corte oblicuo subcostal
PLANTAS DE LOS CORTES TRANSVERSALES
 SEGMENTACIÓN HEPÁTICA
 Para segmentar el hígado:
 SHD: el LHD en anterior y posterior
 SHM: lóbulo hepático derecho e izquierdo
 SHI: LHI en medial y lateral
PLANTAS DE LOS CORTES TRANSVERSALES
 Punto de salida= zona de aparcamiento:
 debajo del apéndice xifoides
 Muesca hacia el hombro derecho del paciente
 Vamos a bajar 6 plantas:
 Corazón 4 cámaras
 Suprahepáticas
 Vasos portales
 Tronco celíaco
 Arteria mesentérica superior
 Corte subcostal oblicuado
PLANTAS DE LOS CORTES TRANSVERSALES
 Vamos a visitar 6 plantas:
1.- Corazón 4 cámaras
 4 cámaras
 pericardio
PLANTAS DE LOS CORTES TRANSVERSALES
 Vamos a visitar 6 plantas:
2.- Suprahepáticas
 Para segmentar el hígado:
 SHD: el LHD en anterior y posterior
 SHM: lóbulo hepático derecho e izquierdo
 SHI: LHI en medial y lateral
PLANTAS DE LOS CORTES TRANSVERSALES
 Vamos a visitar 6 plantas:
3.- Vasos portales
PLANTAS DE LOS CORTES TRANSVERSALES
 Vamos a visitar 6 plantas:
4.- Tronco celíaco
I.- ESTUDIO DE VASOS DEL ABDOMEN
AORTA
23 mm
vertebra
S A P
V. PORTA
(11-13 mm)
TRONCO
CELIACO
(5-10 mm)
ART
ESPLENICA
<5 mm
COLEDOCO
4 mm
ART HEPATICA COMUN (2-6 mm)
CORTE TRANSVERSAL
SIGNO DE LA GAVIOTA
CAVA - AORTA
TRANSDUCTOR EN REGION
DE EPIGASTRIO
TRANSVERSAL ALTO
AO
T C
A E
V C
V P
AHC
SIGNO DE LA GAVIOTA
2.- PLANO DE CORTE:
 adenopatías
PLANTAS DE LOS CORTES TRANSVERSALES
 Vamos a visitar 6 plantas:
4.- Tronco celíaco
PLANTAS DE LOS CORTES TRANSVERSALES
 Vamos a visitar 6 plantas:
5.- Arteria mesentérica superior
I.- ESTUDIO DE VASOS DEL ABDOMEN
vertebra
S A P
CORTE TRANSVERSAL
SIGNO DE LA COBRA
CAVA - AORTA
TRANSDUCTOR EN REGION
DE EPIGASTRIO
TRANSVERSAL BAJO
AMS
VENA
ESPLENICA
CONFLUENCIA
ESPLENO-PORTAL
VENA
RENAL
IZQUIERDA
AORTA
ARTERIA
RENAL
DERECHA
S A P
A R D
Vertebra
V R I
A M S
AOV C
C E P V Esplénica
SIGNO DE LA COBRA
2.- PLANO DE CORTE:
PLANTAS DE LOS CORTES TRANSVERSALES
 Vamos a visitar 6 plantas:
5.- Arteria mesentérica superior
PLANTAS DE LOS CORTES TRANSVERSALES
 Vamos a visitar 6 plantas:
6.- Oblicuación para medir HILIO HEPATICO
 Triada portal: porta
+ colédoco + arteria
hepática….Mickey
Mouse en corte
transversal
PLANTAS DE LOS CORTES TRANSVERSALES
 Vamos a visitar 3 vecinos:
1 y 2.- Transversal de riñones
PLANTAS DE LOS CORTES TRANSVERSALES
 Vamos a visitar 3 vecinos:
3.- Vejiga
To be
continued………….
GRACIAS

Ecografia clinica Unidad 2

  • 1.
    CURSO BÁSICO DE ECOGRAFÍAABDOMINAL Y FAST PARA ATENCIÓN PRIMARIA GdT Ecografía Clínica SVMFiC Curso de ecografía básico. Dirigido a profesionales de Atención Primaria. Centro de Salud Álvarez de la Riva de Orihuela. Dra. Cecilia Guillen Montiel Dra. Mª José Mulet Pons Dra Mª Carmen Estruch Vidal 27 de Mayo del 2017
  • 2.
    De qué nosacordamos…???  ANECOICAS  HIPOECOICAS  ISOECOICAS  HIPERECOICAS  Artefactos
  • 3.
    De qué nosacordamos…???
  • 4.
  • 5.
    PLANOS DE CORTE EXPLORACIÓNECOGRÁFICA ECOANATOMIA
  • 6.
    EXPLORACION ECOGRAFICA DEABDOMEN PLANOS DE CORTE II.- ESTUDIO DE PANCREAS III.- ESTUDIO DE HIGADO-SEGMENTOS IV.- ESTUDIO DE VESICULA BILIAR V.- ESTUDIO DE BAZO I.- ESTUDIO DE VASOS SANGUINEOS VI.- ESTUDIO DE APARATO GENITO-URINARIO
  • 7.
    CAVA PORTA AORTA I.-ESTUDIO DE VASOS DELABDOMEN VASOS DELABDOMEN.- TRES EJES IMPORTANTES: 1.- ECOANATOMIA:
  • 8.
    I.- ESTUDIO DEVASOS DELABDOMEN VENA RENAL IZQUIERDA VENA RENAL DERECHA VENA SUPRAHEPATICA MEDIA VENA SUPRAHEPATICA IZQUIERDA VENA SUPRAHEPATICA DERECHA VENA CAVA 1.- ECOANATOMIA:
  • 9.
  • 10.
    I.- ESTUDIO DEVASOS DEL ABDOMEN TRONCO CELIACO ARTERIA ESPLENICAARTERIA HEPATICA COMUN ARTERIA MESENTERICA SUPERIOR ARTERIA RENAL DERECHA ARTERIA RENAL IZQUIERDA ARTERIA AORTA
  • 11.
  • 12.
    I.-ESTUDIO DE VASOSAORTA CONDUCTO HEPATICO A. RENAL DERECHA VENA MESENTERICA SUPERIOR CAVA V. RENAL IZQUIERDA V. ESPL. A. ESPL. A. HEPATICA COMUN CONFLUENCIA ESPLENO PORTAL TRONCO CELIACO ARTERIA MESENTERICA SUPERIOR RELACIONES VASCULARES DELABDOMEN 1.- ECOANATOMIA:
  • 13.
  • 14.
    ANATOMÍA DE LOSCORTES LONGITUDINALES: referencias
  • 15.
    ANATOMÍA DE LOSCORTES LONGITUDINALES: referencias
  • 16.
    RUTA DE LOSCORTES LONGITUDINALES  Vamos a visitar 6 pueblos: Circulación hepática
  • 17.
    Nos vamos deviaje…………………
  • 19.
    RUTA DE LOSCORTES LONGITUDINALES  Punto de salida= zona de aparcamiento:  debajo del apéndice xifoides  Muesca hacia la parte craneal del paciente  Vamos a visitar 6 pueblos:  LHI  Aorta  Cava  Rama suprahepática media  Vesícula  Riñón derecho
  • 20.
    RUTA DE LOSCORTES LONGITUDINALES  Vamos a visitar 6 pueblos: 1.- LHI  Ángulo  Bordes  Estructura
  • 21.
    RUTA DE LOSCORTES LONGITUDINALES  Vamos a visitar 6 pueblos: 2.- Aorta  Aorta hasta la bifurcación  Tronco celíaco  Arteria mesentérica superior  Estructura hepática  Páncreas  Estómago
  • 24.
    RUTA DE LOSCORTES LONGITUDINALES  Vamos a visitar 6 pueblos: 3.- Cava  Cava entrando en corazón  Lóbulo caudado
  • 25.
    RUTA DE LOSCORTES LONGITUDINALES  Vamos a visitar 6 pueblos: 3.- Cava
  • 26.
    RUTA DE LOSCORTES LONGITUDINALES  Vamos a visitar 6 pueblos: Circulación hepática Vasos portales: pared Vasos suprahepáticos: sin pares
  • 27.
    RUTA DE LOSCORTES LONGITUDINALES  Vamos a visitar 6 pueblos: Circulación hepática
  • 28.
    RUTA DE LOSCORTES LONGITUDINALES Circulación hepática: PP/SS Vasos portales: pared Vasos suprahepáticos: sin pares
  • 29.
    RUTA DE LOSCORTES LONGITUDINALES  Vamos a visitar 6 pueblos: 4.- Vena suprahepática media  Fin LHI  Inicio LHD
  • 31.
    RUTA DE LOSCORTES LONGITUDINALES  Vamos a visitar 6 pueblos: 5.- Vesícula
  • 33.
    RUTA DE LOSCORTES LONGITUDINALES  Vamos a visitar 6 pueblos: 6.- Riñón derecho
  • 34.
    RUTA DE LOSCORTES LONGITUDINALES  Vamos a realizar 2 excursiones: 1.- bazo y riñon izquierdo  Línea axilar posterior izda -altura de xifoidea  Sonda en sentido costal a las 2h  Si bajamos un espacio intercostal: riñon izdo
  • 36.
    RUTA DE LOSCORTES LONGITUDINALES  Vamos a realizar 2 excursiones : 2.- Vejiga
  • 38.
    Hígado eje longitudinal13-15 cm Vesícula eje longitudinal 8-9 cm Vesícula eje transversal 3-4 cm Pared vesicular < 3 mm Colédoco 6 mm Vena porta < 12 mm Bazo eje longitudinal 11-12 cm Bazo: área < 50 cm2 Riñones eje longitudinal 9-11 cm Parénquima renal 1-2 cm Aorta < 20 mm Cava < 20 mm Venas suprahepáticas < 8 mm Medidas de referencia de los principales órganos abdominales
  • 39.
    CURSO BÁSICO DEECOGRAFÍA ABDOMINAL Inserción de un vídeo
  • 40.
    CORTES TRANSVERSALES Casa convistas …..¿Qué hay en en cada piso?
  • 41.
    Volvemos a casa:Barridode izda a derecha y de arriba a abajo
  • 42.
  • 43.
  • 44.
    PLANTAS DE LOSCORTES TRANSVERSALES  Vamos a visitar 6 plantas: TRASLADO: Corte oblicuo subcostal
  • 45.
    PLANTAS DE LOSCORTES TRANSVERSALES  SEGMENTACIÓN HEPÁTICA  Para segmentar el hígado:  SHD: el LHD en anterior y posterior  SHM: lóbulo hepático derecho e izquierdo  SHI: LHI en medial y lateral
  • 47.
    PLANTAS DE LOSCORTES TRANSVERSALES  Punto de salida= zona de aparcamiento:  debajo del apéndice xifoides  Muesca hacia el hombro derecho del paciente  Vamos a bajar 6 plantas:  Corazón 4 cámaras  Suprahepáticas  Vasos portales  Tronco celíaco  Arteria mesentérica superior  Corte subcostal oblicuado
  • 48.
    PLANTAS DE LOSCORTES TRANSVERSALES  Vamos a visitar 6 plantas: 1.- Corazón 4 cámaras  4 cámaras  pericardio
  • 49.
    PLANTAS DE LOSCORTES TRANSVERSALES  Vamos a visitar 6 plantas: 2.- Suprahepáticas  Para segmentar el hígado:  SHD: el LHD en anterior y posterior  SHM: lóbulo hepático derecho e izquierdo  SHI: LHI en medial y lateral
  • 50.
    PLANTAS DE LOSCORTES TRANSVERSALES  Vamos a visitar 6 plantas: 3.- Vasos portales
  • 51.
    PLANTAS DE LOSCORTES TRANSVERSALES  Vamos a visitar 6 plantas: 4.- Tronco celíaco
  • 52.
    I.- ESTUDIO DEVASOS DEL ABDOMEN AORTA 23 mm vertebra S A P V. PORTA (11-13 mm) TRONCO CELIACO (5-10 mm) ART ESPLENICA <5 mm COLEDOCO 4 mm ART HEPATICA COMUN (2-6 mm) CORTE TRANSVERSAL SIGNO DE LA GAVIOTA CAVA - AORTA TRANSDUCTOR EN REGION DE EPIGASTRIO TRANSVERSAL ALTO AO T C A E V C V P AHC SIGNO DE LA GAVIOTA 2.- PLANO DE CORTE:
  • 53.
     adenopatías PLANTAS DELOS CORTES TRANSVERSALES  Vamos a visitar 6 plantas: 4.- Tronco celíaco
  • 54.
    PLANTAS DE LOSCORTES TRANSVERSALES  Vamos a visitar 6 plantas: 5.- Arteria mesentérica superior
  • 55.
    I.- ESTUDIO DEVASOS DEL ABDOMEN vertebra S A P CORTE TRANSVERSAL SIGNO DE LA COBRA CAVA - AORTA TRANSDUCTOR EN REGION DE EPIGASTRIO TRANSVERSAL BAJO AMS VENA ESPLENICA CONFLUENCIA ESPLENO-PORTAL VENA RENAL IZQUIERDA AORTA ARTERIA RENAL DERECHA S A P A R D Vertebra V R I A M S AOV C C E P V Esplénica SIGNO DE LA COBRA 2.- PLANO DE CORTE:
  • 56.
    PLANTAS DE LOSCORTES TRANSVERSALES  Vamos a visitar 6 plantas: 5.- Arteria mesentérica superior
  • 57.
    PLANTAS DE LOSCORTES TRANSVERSALES  Vamos a visitar 6 plantas: 6.- Oblicuación para medir HILIO HEPATICO  Triada portal: porta + colédoco + arteria hepática….Mickey Mouse en corte transversal
  • 58.
    PLANTAS DE LOSCORTES TRANSVERSALES  Vamos a visitar 3 vecinos: 1 y 2.- Transversal de riñones
  • 59.
    PLANTAS DE LOSCORTES TRANSVERSALES  Vamos a visitar 3 vecinos: 3.- Vejiga
  • 60.

Notas del editor

  • #15 La arteria esplénica (rama del tronco celiaco), cabalga sobre el lomo del páncreas en dirección al bazo. La arteria hepática se dirige al hilio hepático, y entrará acompañado al mismo por el conducto biliar y la vena porta (estas tres estructuras, en un corte transversal darán lugar a la imagen de “Mickey Mouse”
  • #16 La vena esplénica, y la vena mesentérica superior, se unen para formar la vena porta común (en un tramo extrahepático), que entra por el hilio hepático para dividirse en rama izquierda y derecha de la porta. La rama izquierda de la porta, se oblitera dando lugar al ligamento redondo (que es un vestigio embrionario de la vena umbilical).
  • #20 1º) Colocamos la sonda por debajo del apéndice xifoides (es el “pueblo de salida” o la “zona de aparcamiento”): -Es la zona de exploración del lóbulo hepático izquierdo. -Según dirijamos el haz de ultrasonidos hacia derecha o izquierda, irán apareciendo y desapareciendo distintas estructuras: *Si desde justo por debajo del apéndice xifoides, dirigimos el haz del ultrasonidos hacia la izquierda del paciente, iremos barriendo hasta su desaparición el lóbulo hepático izquierdo (a la vez que va desapareciendo el lóbulo hepático izquierdo, va apareciendo estómago). Cuando vemos el lóbulo hepático izquierdo, tenemos que valorar la homogeneidad del parénquima (es decir la textura), y los bordes hepáticos (son normales cuando son lineales, sin embargo si están nodulados quiere decir que es patológico). Nos tenemos que fijar además en el ángulo inferior hepático, que debe ser un ángulo agudo (acutángulo), ya que si aparece romo, indica malignidad. También veremos dentro del parénquima hepático dos tipos de vasos: vasos Portales (P-P: con Pared), y vasos Suprahepáticos (S-S: Sin pared). Los vasos suprahepáticos desembocaran en la cava inferior, que a su vez desembocará en aurícula derecha. *Una vez hemos barrido el lóbulo hepático izquierdo hacia nuestra derecha hasta su desaparición, volvemos barriendo ahora hacia nuestra izquierda hacia “zona de aparcamiento”, hasta que aparezca la arteria aorta y ahí estaremos en el “pueblo de la aorta” (tiene unas características propias: más ancha en craneal que en caudal; tiene un latido característico propio; es rectilínea). Hay que explorar toda la arteria aorta hasta su bifurcación en las arterias iliacas (posible asiento de aneurismas). ¿Qué tenemos que ver en el “pueblo de la aorta”?: Saliendo de la aorta, nos encontraremos que sale el tronco celiaco (más craneal) y la arteria mesentérica superior (más caudal).
  • #21 1º) Colocamos la sonda por debajo del apéndice xifoides (es el “pueblo de salida” o la “zona de aparcamiento”): -Es la zona de exploración del lóbulo hepático izquierdo. -Según dirijamos el haz de ultrasonidos hacia derecha o izquierda, irán apareciendo y desapareciendo distintas estructuras: *Si desde justo por debajo del apéndice xifoides, dirigimos el haz del ultrasonidos hacia la izquierda del paciente, iremos barriendo hasta su desaparición el lóbulo hepático izquierdo (a la vez que va desapareciendo el lóbulo hepático izquierdo, va apareciendo estómago). Cuando vemos el lóbulo hepático izquierdo, tenemos que valorar la homogeneidad del parénquima (es decir la textura), y los bordes hepáticos (son normales cuando son lineales, sin embargo si están nodulados quiere decir que es patológico). Nos tenemos que fijar además en el ángulo inferior hepático, que debe ser un ángulo agudo (acutángulo), ya que si aparece romo, indica malignidad. También veremos dentro del parénquima hepático dos tipos de vasos: vasos Portales (P-P: con Pared), y vasos Suprahepáticos (S-S: Sin pared). Los vasos suprahepáticos desembocaran en la cava inferior, que a su vez desembocará en aurícula derecha. *Una vez hemos barrido el lóbulo hepático izquierdo hacia nuestra derecha hasta su desaparición, volvemos barriendo ahora hacia nuestra izquierda hacia “zona de aparcamiento”, hasta que aparezca la arteria aorta y ahí estaremos en el “pueblo de la aorta” (tiene unas características propias: más ancha en craneal que en caudal; tiene un latido característico propio; es rectilínea). Hay que explorar toda la arteria aorta hasta su bifurcación en las arterias iliacas (posible asiento de aneurismas). ¿Qué tenemos que ver en el “pueblo de la aorta”?: Saliendo de la aorta, nos encontraremos que sale el tronco celiaco (más craneal) y la arteria mesentérica superior (más caudal).
  • #22 1º) Colocamos la sonda por debajo del apéndice xifoides (es el “pueblo de salida” o la “zona de aparcamiento”): -Es la zona de exploración del lóbulo hepático izquierdo. -Según dirijamos el haz de ultrasonidos hacia derecha o izquierda, irán apareciendo y desapareciendo distintas estructuras: *Si desde justo por debajo del apéndice xifoides, dirigimos el haz del ultrasonidos hacia la izquierda del paciente, iremos barriendo hasta su desaparición el lóbulo hepático izquierdo (a la vez que va desapareciendo el lóbulo hepático izquierdo, va apareciendo estómago). Cuando vemos el lóbulo hepático izquierdo, tenemos que valorar la homogeneidad del parénquima (es decir la textura), y los bordes hepáticos (son normales cuando son lineales, sin embargo si están nodulados quiere decir que es patológico). Nos tenemos que fijar además en el ángulo inferior hepático, que debe ser un ángulo agudo (acutángulo), ya que si aparece romo, indica malignidad. También veremos dentro del parénquima hepático dos tipos de vasos: vasos Portales (P-P: con Pared), y vasos Suprahepáticos (S-S: Sin pared). Los vasos suprahepáticos desembocaran en la cava inferior, que a su vez desembocará en aurícula derecha. *Una vez hemos barrido el lóbulo hepático izquierdo hacia nuestra derecha hasta su desaparición, volvemos barriendo ahora hacia nuestra izquierda hacia “zona de aparcamiento”, hasta que aparezca la arteria aorta y ahí estaremos en el “pueblo de la aorta” (tiene unas características propias: más ancha en craneal que en caudal; tiene un latido característico propio; es rectilínea). Hay que explorar toda la arteria aorta hasta su bifurcación en las arterias iliacas (posible asiento de aneurismas). ¿Qué tenemos que ver en el “pueblo de la aorta”?: Saliendo de la aorta, nos encontraremos que sale el tronco celiaco (más craneal) y la arteria mesentérica superior (más caudal).
  • #25 1º) Colocamos la sonda por debajo del apéndice xifoides (es el “pueblo de salida” o la “zona de aparcamiento”): -Es la zona de exploración del lóbulo hepático izquierdo. -Según dirijamos el haz de ultrasonidos hacia derecha o izquierda, irán apareciendo y desapareciendo distintas estructuras: *Si desde justo por debajo del apéndice xifoides, dirigimos el haz del ultrasonidos hacia la izquierda del paciente, iremos barriendo hasta su desaparición el lóbulo hepático izquierdo (a la vez que va desapareciendo el lóbulo hepático izquierdo, va apareciendo estómago). Cuando vemos el lóbulo hepático izquierdo, tenemos que valorar la homogeneidad del parénquima (es decir la textura), y los bordes hepáticos (son normales cuando son lineales, sin embargo si están nodulados quiere decir que es patológico). Nos tenemos que fijar además en el ángulo inferior hepático, que debe ser un ángulo agudo (acutángulo), ya que si aparece romo, indica malignidad. También veremos dentro del parénquima hepático dos tipos de vasos: vasos Portales (P-P: con Pared), y vasos Suprahepáticos (S-S: Sin pared). Los vasos suprahepáticos desembocaran en la cava inferior, que a su vez desembocará en aurícula derecha. *Una vez hemos barrido el lóbulo hepático izquierdo hacia nuestra derecha hasta su desaparición, volvemos barriendo ahora hacia nuestra izquierda hacia “zona de aparcamiento”, hasta que aparezca la arteria aorta y ahí estaremos en el “pueblo de la aorta” (tiene unas características propias: más ancha en craneal que en caudal; tiene un latido característico propio; es rectilínea). Hay que explorar toda la arteria aorta hasta su bifurcación en las arterias iliacas (posible asiento de aneurismas). ¿Qué tenemos que ver en el “pueblo de la aorta”?: Saliendo de la aorta, nos encontraremos que sale el tronco celiaco (más craneal) y la arteria mesentérica superior (más caudal).
  • #26 1º) Colocamos la sonda por debajo del apéndice xifoides (es el “pueblo de salida” o la “zona de aparcamiento”): -Es la zona de exploración del lóbulo hepático izquierdo. -Según dirijamos el haz de ultrasonidos hacia derecha o izquierda, irán apareciendo y desapareciendo distintas estructuras: *Si desde justo por debajo del apéndice xifoides, dirigimos el haz del ultrasonidos hacia la izquierda del paciente, iremos barriendo hasta su desaparición el lóbulo hepático izquierdo (a la vez que va desapareciendo el lóbulo hepático izquierdo, va apareciendo estómago). Cuando vemos el lóbulo hepático izquierdo, tenemos que valorar la homogeneidad del parénquima (es decir la textura), y los bordes hepáticos (son normales cuando son lineales, sin embargo si están nodulados quiere decir que es patológico). Nos tenemos que fijar además en el ángulo inferior hepático, que debe ser un ángulo agudo (acutángulo), ya que si aparece romo, indica malignidad. También veremos dentro del parénquima hepático dos tipos de vasos: vasos Portales (P-P: con Pared), y vasos Suprahepáticos (S-S: Sin pared). Los vasos suprahepáticos desembocaran en la cava inferior, que a su vez desembocará en aurícula derecha. *Una vez hemos barrido el lóbulo hepático izquierdo hacia nuestra derecha hasta su desaparición, volvemos barriendo ahora hacia nuestra izquierda hacia “zona de aparcamiento”, hasta que aparezca la arteria aorta y ahí estaremos en el “pueblo de la aorta” (tiene unas características propias: más ancha en craneal que en caudal; tiene un latido característico propio; es rectilínea). Hay que explorar toda la arteria aorta hasta su bifurcación en las arterias iliacas (posible asiento de aneurismas). ¿Qué tenemos que ver en el “pueblo de la aorta”?: Saliendo de la aorta, nos encontraremos que sale el tronco celiaco (más craneal) y la arteria mesentérica superior (más caudal).
  • #30  *Si seguimos barriendo sutilmente hacia la derecha del paciente (aún estamos en el pueblo de la cava), veremos como la vena mesentérica superior (que está también en relación con el páncreas, concretamente con la cabeza, y esto lo veremos más claramente cuando en los cortes transversales veamos que por encima de la cava se encuentra la cabeza del páncreas) fuera del hígado, que desemboca en el botón portal fuera del hígado y que entra dentro de él por el hilio hepático, y una vez dentro da lugar a la rama izquierda de la porta, que se continúa con el ligamento redondo (todo esto lo veremos en dinámico, barriendo hacia la derecha del paciente). A éste nivel también podríamos ver la vena esplénica, y al tratarse de un corte longitudinal, la veremos como un punto redondeado porque la cortamos en transversa al venir desde el bazo (a diferencia de la vena mesentérica superior que la veremos como un tubo, ya que viene desde abajo). Una vez llegamos aquí (vemos el ligamento redondo), hemos terminado éste 1º) corte longitudinal (es el límite del lóbulo hepático izquierdo).
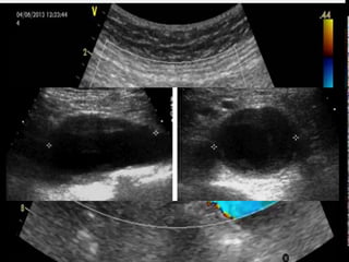
  • #32 -La vesícula nos la podemos encontrar de forma que la veamos más fácil o más difícilmente. En el mejor de los casos (son las vesículas “chupadas de ver”), simplemente haciendo un barrido por el reborde costal derecho nos la podemos encontrar. Si no la encontráramos de ésta forma, le pediremos al paciente que haga una inspiración profunda (así la vesícula desciende por debajo del reborde costal). Si el paciente no colabora (sobre todos los pacientes mayores, los “Don”), y no respira profundamente bien, habrá que hacer una exploración intercostal (en éste caso trazamos la bisectriz del ángulo que forma nuestra mano adaptándola al reborde costal, y sobre esa bisectriz, en el espacio intercostal correspondiente, colocamos la sonda ecográfica. Es un corte parasagital derecho levemente oblicuo utilizado para observar la vesícula biliar. En esta imágen se observa la (1) vesícula biliar, el (2) LHD y la (3) vena porta junto con la (4) arteria hepática. La vesícula normal se debe ver piriforme, negra, de pared ecogénica, lisa, fina (3mm) y con refuerzo acústico posterior.
  • #34 Corte entre cresta iliaca antero-superior y reborde costal derecho (apuntando hacia craneal): -Es la zona de exploración del lóbulo hepático derecho y riñón derecho. -El punto inicial e ideal de exploración de éste corte, es colocando la sonda entre la espina iliaca antero-superior y el reborde costal, dirigiendo la sonda hacia el riñón (hacia craneal). Haciendo esto, es posible que nos encontremos con colon ascendente (con su patrón típico de austras en “paraguas”); si esto ocurre, se nos dificultará la exploración, y para intentar solucionarlo, me muevo hacia posterior (es decir, hacia la camilla). También puedo pedir al paciente que inspire profundamente. Si aún así no vemos el corte correcto (lóbulo derecho hepático en relación con el riñón derecho), podemos meternos en intercostal manteniendo la sonda en longitudinal, e intentando salvar las costillas. Cuando se le pide al paciente que inspire hondo, se verá como desciende el hígado y el riñón, y como el riñón se desliza sobre el músculo psoas iliaco. El espacio virtual entre hígado (lóbulo derecho) y riñón derecho, es el Espacio de Morrison.
  • #35 Corte que se inicia en la línea axilar anterior izquierda a la altura de apéndice xifoides. -Es la zona de exploración de bazo y riñón izquierdo. -Partimos de la línea axilar anterior a la altura del apéndices xifoides. Desde ahí, damos un “brochazo largo” hacia la camilla, y ahí colocamos la sonda en el sentido de las costillas (si nos imaginamos un reloj, marcaría las 2) para obtener una ventana intercostal. En ese punto debemos ver bazo, y a la vena y arteria esplénicas entrando en su hilio. Si desde ahí, bajamos un espacio intercostal, desaparece bazo, y encontramos el riñón izquierdo.
  • #45 Si comenzamos a inclinar la sonda, dirigiendo el haz hacia abajo, iremos barriendo todo el lóbulo hepático derecho, hasta que vamos encontrando primero las suprahepáticas, y después la rama derecha de la porta (sabemos que es la derecha porque estamos en lóbulo hepático derecho, ya que hemos pasado el ligamento redondo, que es el límite del lóbulo hepático izquierdo). Saliendo de la vena porta, vemos una línea hiperecogénica (el “dedo acusador”) que apunta directamente al lugar donde aparecerá la vesícula (esa línea hiperecogénica es la cisura lobar principal).
  • #48 1º) Colocamos la sonda por debajo del apéndice xifoides (es el “pueblo de salida” o la “zona de aparcamiento”): -Es la zona de exploración del lóbulo hepático izquierdo. -Según dirijamos el haz de ultrasonidos hacia derecha o izquierda, irán apareciendo y desapareciendo distintas estructuras: *Si desde justo por debajo del apéndice xifoides, dirigimos el haz del ultrasonidos hacia la izquierda del paciente, iremos barriendo hasta su desaparición el lóbulo hepático izquierdo (a la vez que va desapareciendo el lóbulo hepático izquierdo, va apareciendo estómago). Cuando vemos el lóbulo hepático izquierdo, tenemos que valorar la homogeneidad del parénquima (es decir la textura), y los bordes hepáticos (son normales cuando son lineales, sin embargo si están nodulados quiere decir que es patológico). Nos tenemos que fijar además en el ángulo inferior hepático, que debe ser un ángulo agudo (acutángulo), ya que si aparece romo, indica malignidad. También veremos dentro del parénquima hepático dos tipos de vasos: vasos Portales (P-P: con Pared), y vasos Suprahepáticos (S-S: Sin pared). Los vasos suprahepáticos desembocaran en la cava inferior, que a su vez desembocará en aurícula derecha. *Una vez hemos barrido el lóbulo hepático izquierdo hacia nuestra derecha hasta su desaparición, volvemos barriendo ahora hacia nuestra izquierda hacia “zona de aparcamiento”, hasta que aparezca la arteria aorta y ahí estaremos en el “pueblo de la aorta” (tiene unas características propias: más ancha en craneal que en caudal; tiene un latido característico propio; es rectilínea). Hay que explorar toda la arteria aorta hasta su bifurcación en las arterias iliacas (posible asiento de aneurismas). ¿Qué tenemos que ver en el “pueblo de la aorta”?: Saliendo de la aorta, nos encontraremos que sale el tronco celiaco (más craneal) y la arteria mesentérica superior (más caudal).
  • #49 1º) Colocamos la sonda por debajo del apéndice xifoides (es el “pueblo de salida” o la “zona de aparcamiento”): -Es la zona de exploración del lóbulo hepático izquierdo. -Según dirijamos el haz de ultrasonidos hacia derecha o izquierda, irán apareciendo y desapareciendo distintas estructuras: *Si desde justo por debajo del apéndice xifoides, dirigimos el haz del ultrasonidos hacia la izquierda del paciente, iremos barriendo hasta su desaparición el lóbulo hepático izquierdo (a la vez que va desapareciendo el lóbulo hepático izquierdo, va apareciendo estómago). Cuando vemos el lóbulo hepático izquierdo, tenemos que valorar la homogeneidad del parénquima (es decir la textura), y los bordes hepáticos (son normales cuando son lineales, sin embargo si están nodulados quiere decir que es patológico). Nos tenemos que fijar además en el ángulo inferior hepático, que debe ser un ángulo agudo (acutángulo), ya que si aparece romo, indica malignidad. También veremos dentro del parénquima hepático dos tipos de vasos: vasos Portales (P-P: con Pared), y vasos Suprahepáticos (S-S: Sin pared). Los vasos suprahepáticos desembocaran en la cava inferior, que a su vez desembocará en aurícula derecha. *Una vez hemos barrido el lóbulo hepático izquierdo hacia nuestra derecha hasta su desaparición, volvemos barriendo ahora hacia nuestra izquierda hacia “zona de aparcamiento”, hasta que aparezca la arteria aorta y ahí estaremos en el “pueblo de la aorta” (tiene unas características propias: más ancha en craneal que en caudal; tiene un latido característico propio; es rectilínea). Hay que explorar toda la arteria aorta hasta su bifurcación en las arterias iliacas (posible asiento de aneurismas). ¿Qué tenemos que ver en el “pueblo de la aorta”?: Saliendo de la aorta, nos encontraremos que sale el tronco celiaco (más craneal) y la arteria mesentérica superior (más caudal).