Incrustar presentación
Descargado 1494 veces




















































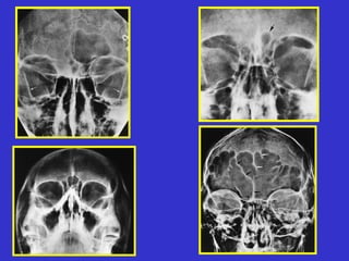
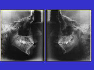
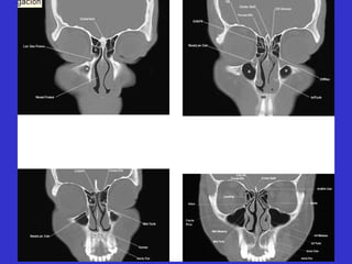
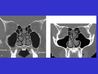
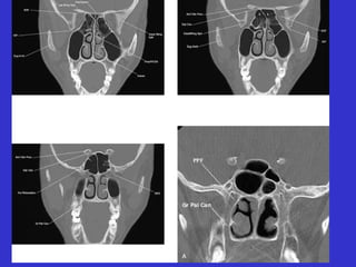
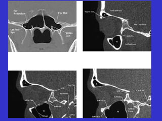
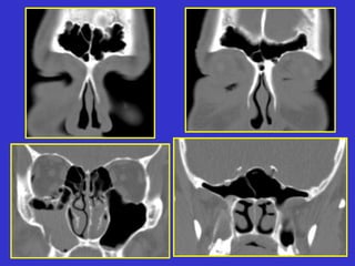
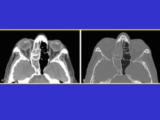
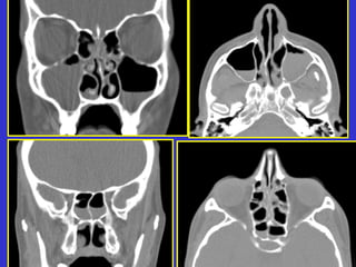
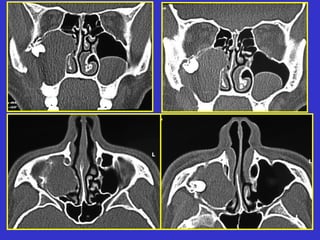
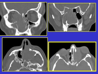
Este documento describe las diferentes proyecciones radiográficas utilizadas para examinar los senos paranasales, incluyendo las proyecciones básicas de Caldwell, Waters lateral y las proyecciones especiales como Hirtz y Waters mentonasal. También describe las diferentes estructuras anatómicas que componen el complejo ostiomeatal anterior y posterior de los senos paranasales.



















































