TEJIDO EPITELIAL

BLGA. YELITZ BRAVO MENDOZA
HISTOGENESIS DE LOS EPITELIOS

Derivados Ectodermicos

      Ectodermo de superficie:epidermis,
    epitelio de la córnea y del cristalino del
    ojo,organo del esmalte y el esmalte
    dentario,componentes del oido
    interno,adenohipofisis.
     El neuroectodermo da origen :
    - El tubo neural y sus derivados(sistema
      nervioso central con el epéndimo,la
      glándula pineal,la neurohipofisis y el
      epitelio sensorial del ojo, el oido y la nariz).
    - La cresta neural y sus derivados
      (componentes del sistema nervioso
      periferico, células medulares de la g.
      suprarrenal , células APUD, melanoblastos
      (precursores de melanocitos) y el
      mesenquima cefálico con sus derivados
      epiteliales: epitelio posterior de la córnea y
      el endotelio vascular.
Derivados mesodérmicos
   Epitelio y tejido conectivo, de riñones,vias
    urinarias y las gonadas
   Mesotelios
   Endotelio
   Corteza suprarrenal
   Epitelio seminifero. De las vias espermáticas y
    de los conductos genitales femeninos.
   También: células de Leydig y células
    luteínicas del ovario.
Derivados endodermicos
   Epitelio de las vías respiratorias
   Epitelio del tubo digestivo
   Epitelio de las glándulas digestivas
    :Hígado páncreas y vesícula biliar.
   Componentes epiteliales de las
    glándulas tiroides,paratiroides y timo
   Epitelio de revestimiento de la cavidad
    timpánica y de la trompa auditiva (de
    Eustaquio).
FUNCIONES

   Protección
   Transporte, de
    materiales o células
    sobre superficie de un
    epitelio por el
    movimiento ciliar o el
    transporte de
    materiales a través de
    un epitelio.
   Absorción
   Secreción de
    diversas sustancias,
    como
    moco,enzimas,
    hormonas, etc de
    diversas glándulas
G. Sebácea   G. Submaxilar
   Recepción
    sensorial.
CARACTERISTICAS

   Forma de células
   Membrana basal:
    Lámina basal y lámina
    reticular.
      Lámina basal:

       Lámina lúcida y
       lámina densa
MEMBRANA
BASAL
Membrana basal.Funciones
   Adhesión estructural,entre las células
    parenquimatosas y la matriz extracelular.
   Compartimentación, las láminas basal y
    externa separan y aislan el tejido conjuntivo
    de los tejidos epitelial, nervioso y muscular.
   Filtración,el movimiento de sustancias desde el
    tejido conectivo y hacia el está regulado en
    parte por la lámina basal
    Armazón hística,la lámina basal sirve como
    una guía o armazón durante la regeneración
   Regulación y señalización,móleculas de la
    lámina basal interaccionan con receptores dela
    superficie celular., regulando la forma, la
    proliferación, la diferenciación y la movilidad
    celular.
   Polaridad celular
   Ausencia de
    sustancia
    intercelular
      Glucocáliz
   Ausencia de vasos
    sanguíneos
MODIFICACIONES DE LA REGION
              APICAL
   Microvellosidades
            Interacciones entre actina y miosina.
   Estereocilios.
   Cilios.
       Constituidos por 2 microtúbulos centrales y 9
        periféricos compuestos por proteínas α y β
        tubulina y también dineina.
   Flagelos
Microvellosidades
Microvellosidades
Estereocilios
Cilios
Flagelo
Correlaciones Clínicas
   Sindrome de los cilios
    inmoviles:
     -Sindrome de
    Kartagener.
     -Sindrome de Young
ESPECIALIZACIONES DE LA
          MEMBRANA LATERAL
   Uniones oclusivas o zonula occludens
       Forman una barrera impermeable
   Zónulas adherentes-Uniones
    anclantes.
   Máculas adherentes-Uniones
    anclantes
   Uniones comunicantes
       Permiten el intercambio de moléculas
        entre las células
Unión Oclusiva-Zónula Occludens
Unión Oclusiva-Zónula
      Occludens
           Proteinas
           transmembranosas:
            Ocludina

            Claudina

            Mólecula adhesiva
             de la Unión (JAM)


           Proteinas de Zonula
             Occludens: ZO-1,
             ZO-2, ZO-3
Unión Oclusiva
Unión Oclusiva.Funciones
   Impiden la migración lateral de proteínas
    especializadas de la membrana celular.
   Impiden que las macromoléculas digeridas
    pasen entre las células.
   Delimitan las áreas especializadas de la
    membrana célular implicadas en la
    absorción a la superficie luminal de la
    célula
Unión Oclusiva
Unión Anclante
Zónula Adherente
   Presenta proteína
    integral : E-cadherina,
    que se une a catenina
    y forma el complejo
    cadherina-catenina
   Este se une a vinculina
    y α-actinina que son
    proteinas fijadoras de
    actina.
   La E-cadherina une a
    las células en
    presencia de
    iones calcio
Zónula Adherente
Desmosoma-Mácula adherens

   Posee placa de
    adhesión:
    desmoplaquinas y
    pacoglobinas, que fijan
    filamentos intermedios
   En espacio intercelular
    hay glucoproteinas
    transmembranosas:des
    mogleínas y
    desmocolinas.
   Se unen a otra igual de
    células vecina en
    presencia de Ca
Desmosoma
Complejo de unión
                    Unión Oclusiva



                    Unión Adherente




                     Desmosoma
Unión Comunicante-Nexo
   Exíste un espacio de 2
    nm entre células vecinas.
   Posee 6 proteinas
    transmembranales:
    conexinas,que conforman
    conexones
   Permiten la difusión
    selectiva de moléculas
    entre células adyacentes
    facilitando la
    comunicación
    intercelular
Unión Comunicante-Nexo
ESPECIALIZACIÓN MORFOLÓGICA DE
     LA MEMBRANA LATERAL

REPLIEGUES
 Pliegues laterales

  entre 2 células
  vecinas aumentan la
                          Repliegues
  extensión de la
  superficie lateral.
ESPECIALIZACIONES DE LA
         MEMBRANA BASAL
   Membrana basal
   Uniones de la célula con matriz
    extracelular:
     - Contacto focal
     - Hemidesmosoma
    Repliegues de la membrana celular basal
Contacto Focal
Presenta:
 Filamentos de actina

 Proteinas transmembrana-integrinas,

   interaccionan con:
   - Actinina
   - Vinculina
   - Talina
   - Paxilina
Contacto Focal
Hemidesmosoma
Presenta:
 Filamentos intermedios de citoqueratina

 Placas de inserción (desmoplaquinas)

  .Además:Plectina,BP230,erbina.
 Proteinas transmembrana-integrinas:

   -Integrina α6 β4
  -Colágeno de tipo XVII
  -CD151
Hemidesmosoma
Pénfigoide Ampolloso
Hemidesmosoma
Desmosoma y Contacto
       Focal
Repliegues de la Membrana
            Celular Basal
   Invaginaciones
    profundas de la
    superficie basal de
    las células.
   Son abundantes en
    células
    transportadoras de
    iones,asociados a
    numerosas
    mitocondrias.
   Exísten en tubulos
    renales y en
    conductos de
CLASIFICACION
 DE EPITELIOS
EPITELIOS DE
           REVESTIMIENTO
   Epitelio Monoestratificado
       Plano: endotelio, mesotelio, hoja parietal
               de la cápsula de Bowman, alveolos.
                  Función: absorción de líquidos,
                   intercambio gaseoso, transporte activo
       Cúbico: revestimiento ovárico, plexos
                coroideos
                  Función: secreción , protección.
       Cilíndrico:epitelio superficial de estómago,
                  vesícula biliar, intestinos, trompa
                  uterina.
                  Función: absorción, secreción, protección.
Epitelio monoestratificado plano
Endotelios                    Alveolos
Epitelio monoestratificado
Cúbico
Tiroides           Plexos coroideos
Epitelio monoestratificado
cíndrico con chapa estriada
Intestino
Epitelio monoestratificado
cíndrico ciliado
Trompa uterina
   Epitelio Pseudoestratificado cilíndrico.
       Epitelio Respiratorio: traquea y bronquios
        (ciliado)
       Epididimo,        conducto       deferente
        (estereocilios).
       En     glándulas:   conductos   excretores
        mayores.
                 Función: absorción, secreción.
Tráquea   Epidídimo
   Epitelio Poliestratificado.
       Plano: Queratinizado (epidermis) y
               No Queratinizado (vagina, esófago,
               boca,      laringe).
                  Función: protección.
       Cúbico: glándulas sudoríparas (p.
                 excretora),conductos grandes de
        glándulas exocrinas, unión anorrectal
                  Función; protección, secreción.
       Cilíndrico: parte de uretra masculina,
        conjuntiva     del   ojo,conductos  más
        grandes de las glándulas exócrinas.
                  Función: protección.
       Polimorfo: vejiga, ureteres, uretra, cálices.
                  Función: protección, distensibilidad.
E.Poliestratificado plano   E.Poliestratificado plano no
queratinizado-Epidermis     Queratinizado-Esófago
E.Poliestratificado cúbico           E.Poliestratificado cilíndrico
Porción excretora de G. Sudorípara   Uretra masculina
Epitelio Polimorfo-Vejiga
EPITELIOS
GLANDULARES
   GLANDULAS ENDOCRINAS
       Unicelulares:
            Células del sistema neuroendocrino difuso.
             Células APUD.
            Producen hormonas paracrinas y endocrinas
            Localización: tiroides, tubo gastrointestinal,
             páncreas, aparato respiratorio.
            Ej. K: Polipéptido inhibidor gástrico-intestino
             delgado; G: Gastrina-piloro ; Mo: Motilina-
             intestino delgado.
       Multicelulares:
          Cordonal: adeno hipófisis, glándula
           suprarrenal,epífisis y paratiroides.
          Folicular: tiroides.

         También hay glándulas mixtas:Páncreas, ovario y
           testículos
Célula G-secretrora de Gástrina
Hipófisis-Adenohipófisis   Tiroides
   GLANDULAS EXOCRINAS

       Unicelulares:

          Células   caliciformes.
Glándula exocrina unicelular-Célula
           caliciforme
Multicelulares:

De acuerdoa forma de conductos,si se ramifican o no:
  - SIMPLES
  - COMPUESTAS
De acuerdo a adenómero
       –TUBULOSA simple (glándula endometrial), enrollada
       (glándula sudoríparas) y ramificada (glándula
       fundica)
       –ACINAR SIMPLE: glándulas parauretrales y
       periuretrales
       –ACINAR SIMPLE RAMIFICADA: glándula
       sebácea,cardiales del estómago.
       –TUBULAR COMPUESTA:glándulas de Brunner en
       duodeno.
       –ACINAR COMPUESTA: páncreas exocrino
       –TUBULO ACINOSA: g. salivales, g. labiales, bulbo
       uretrales.
G.Tubulosa recta            G. Tubulosa simple
                            enrrollada
              Glándula Endometrial        Glándula
Sudorípara
Glándulas tubulosas ramificadas
        Glándula fúndica
Glándula acinosa simple ramificada-Glándula
                  sebácea
Glándula tubular compuesta-Glándula de
                Brunner
Glándula acinar compuesta-páncreas
Glándula tubulo acinosa-glándula
     submaxilar, sublingual
   Multicelulares:
       De acuerdo a naturaleza de secreción:

            MUCOSA: glándula sublingual.
            SEROSA: glándula parótida, páncreas.
            MIXTA: glándula submaxilar, sublingual.
Glándula submaxilar-acinos serosos,
         mucosos y mixtos

                              Acino mucoso




                             Acino mixto



                              Acino seroso
G.Sublingual- Acinos mucosos   Páncreas-Acinos serosos
G.Submaxilar-Acinos mixtos
De acuerdo a como
  vierten su
  secreción
o MEROCRINA:

   glándula
  sudorípara.
o HOLOCRINA:

   glándula
  sebácea.
o APOCRINA:

   glándula
  mamaria.
Glándula sudoripara   Glándula sebácea
    G. Merocrina         G. Holocrina
Epitelios Sensoriales
   Son neuroepitelios.
   Epitelios altamente diferenciados y
    especializados en la captación de
    sensaciones.
   Son: corpúsculos gustativos, órgano de
    Corti del oído interno, capa de conos y
    bastones de retina.
CORRELACIONES CLINICAS
• Metaplasia, es la transformación patológica de un tejido
  en otro.Ejem. El epitelio pseudoestratificado cilindrico
  de los bronquios de los grandes fumadores puede
  experimentar metaplasia escamosa.
• Carcinoma, es un tumor maligno que se origina a partir
  de células epiteliales.
• Adenocarcinoma, es un tumor maligno que se origina a
  partir de células epiteliales glandulares.

EPITELIO

  • 1.
  • 2.
    HISTOGENESIS DE LOSEPITELIOS Derivados Ectodermicos  Ectodermo de superficie:epidermis, epitelio de la córnea y del cristalino del ojo,organo del esmalte y el esmalte dentario,componentes del oido interno,adenohipofisis.
  • 3.
    El neuroectodermo da origen : - El tubo neural y sus derivados(sistema nervioso central con el epéndimo,la glándula pineal,la neurohipofisis y el epitelio sensorial del ojo, el oido y la nariz). - La cresta neural y sus derivados (componentes del sistema nervioso periferico, células medulares de la g. suprarrenal , células APUD, melanoblastos (precursores de melanocitos) y el mesenquima cefálico con sus derivados epiteliales: epitelio posterior de la córnea y el endotelio vascular.
  • 4.
    Derivados mesodérmicos  Epitelio y tejido conectivo, de riñones,vias urinarias y las gonadas  Mesotelios  Endotelio  Corteza suprarrenal  Epitelio seminifero. De las vias espermáticas y de los conductos genitales femeninos.  También: células de Leydig y células luteínicas del ovario.
  • 5.
    Derivados endodermicos  Epitelio de las vías respiratorias  Epitelio del tubo digestivo  Epitelio de las glándulas digestivas :Hígado páncreas y vesícula biliar.  Componentes epiteliales de las glándulas tiroides,paratiroides y timo  Epitelio de revestimiento de la cavidad timpánica y de la trompa auditiva (de Eustaquio).
  • 7.
    FUNCIONES  Protección
  • 8.
    Transporte, de materiales o células sobre superficie de un epitelio por el movimiento ciliar o el transporte de materiales a través de un epitelio.
  • 9.
    Absorción
  • 10.
    Secreción de diversas sustancias, como moco,enzimas, hormonas, etc de diversas glándulas
  • 11.
    G. Sebácea G. Submaxilar
  • 12.
    Recepción sensorial.
  • 13.
    CARACTERISTICAS  Forma de células
  • 14.
    Membrana basal: Lámina basal y lámina reticular.  Lámina basal: Lámina lúcida y lámina densa
  • 17.
  • 18.
    Membrana basal.Funciones  Adhesión estructural,entre las células parenquimatosas y la matriz extracelular.  Compartimentación, las láminas basal y externa separan y aislan el tejido conjuntivo de los tejidos epitelial, nervioso y muscular.  Filtración,el movimiento de sustancias desde el tejido conectivo y hacia el está regulado en parte por la lámina basal  Armazón hística,la lámina basal sirve como una guía o armazón durante la regeneración  Regulación y señalización,móleculas de la lámina basal interaccionan con receptores dela superficie celular., regulando la forma, la proliferación, la diferenciación y la movilidad celular.
  • 19.
    Polaridad celular
  • 21.
    Ausencia de sustancia intercelular  Glucocáliz
  • 22.
    Ausencia de vasos sanguíneos
  • 23.
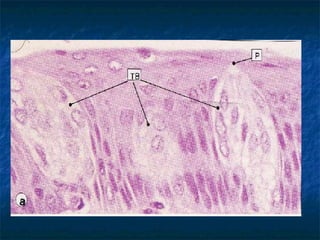
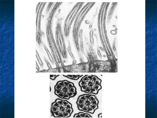
    MODIFICACIONES DE LAREGION APICAL  Microvellosidades  Interacciones entre actina y miosina.  Estereocilios.  Cilios.  Constituidos por 2 microtúbulos centrales y 9 periféricos compuestos por proteínas α y β tubulina y también dineina.  Flagelos
  • 24.
  • 25.
  • 26.
  • 27.
  • 29.
  • 30.
    Correlaciones Clínicas  Sindrome de los cilios inmoviles: -Sindrome de Kartagener. -Sindrome de Young
  • 31.
    ESPECIALIZACIONES DE LA MEMBRANA LATERAL  Uniones oclusivas o zonula occludens  Forman una barrera impermeable  Zónulas adherentes-Uniones anclantes.  Máculas adherentes-Uniones anclantes  Uniones comunicantes  Permiten el intercambio de moléculas entre las células
  • 32.
  • 33.
    Unión Oclusiva-Zónula Occludens Proteinas transmembranosas:  Ocludina  Claudina  Mólecula adhesiva de la Unión (JAM) Proteinas de Zonula Occludens: ZO-1, ZO-2, ZO-3
  • 34.
  • 35.
    Unión Oclusiva.Funciones  Impiden la migración lateral de proteínas especializadas de la membrana celular.  Impiden que las macromoléculas digeridas pasen entre las células.  Delimitan las áreas especializadas de la membrana célular implicadas en la absorción a la superficie luminal de la célula
  • 36.
  • 37.
  • 38.
    Zónula Adherente  Presenta proteína integral : E-cadherina, que se une a catenina y forma el complejo cadherina-catenina  Este se une a vinculina y α-actinina que son proteinas fijadoras de actina.  La E-cadherina une a las células en presencia de iones calcio
  • 40.
  • 41.
    Desmosoma-Mácula adherens  Posee placa de adhesión: desmoplaquinas y pacoglobinas, que fijan filamentos intermedios  En espacio intercelular hay glucoproteinas transmembranosas:des mogleínas y desmocolinas.  Se unen a otra igual de células vecina en presencia de Ca
  • 42.
  • 43.
    Complejo de unión Unión Oclusiva Unión Adherente Desmosoma
  • 44.
    Unión Comunicante-Nexo  Exíste un espacio de 2 nm entre células vecinas.  Posee 6 proteinas transmembranales: conexinas,que conforman conexones  Permiten la difusión selectiva de moléculas entre células adyacentes facilitando la comunicación intercelular
  • 46.
  • 48.
    ESPECIALIZACIÓN MORFOLÓGICA DE LA MEMBRANA LATERAL REPLIEGUES  Pliegues laterales entre 2 células vecinas aumentan la Repliegues extensión de la superficie lateral.
  • 49.
    ESPECIALIZACIONES DE LA MEMBRANA BASAL  Membrana basal  Uniones de la célula con matriz extracelular: - Contacto focal - Hemidesmosoma  Repliegues de la membrana celular basal
  • 50.
    Contacto Focal Presenta:  Filamentosde actina  Proteinas transmembrana-integrinas, interaccionan con: - Actinina - Vinculina - Talina - Paxilina
  • 51.
  • 52.
    Hemidesmosoma Presenta:  Filamentos intermediosde citoqueratina  Placas de inserción (desmoplaquinas) .Además:Plectina,BP230,erbina.  Proteinas transmembrana-integrinas: -Integrina α6 β4 -Colágeno de tipo XVII -CD151
  • 53.
  • 56.
  • 58.
  • 59.
  • 60.
    Repliegues de laMembrana Celular Basal  Invaginaciones profundas de la superficie basal de las células.  Son abundantes en células transportadoras de iones,asociados a numerosas mitocondrias.  Exísten en tubulos renales y en conductos de
  • 61.
  • 62.
    EPITELIOS DE REVESTIMIENTO  Epitelio Monoestratificado  Plano: endotelio, mesotelio, hoja parietal de la cápsula de Bowman, alveolos.  Función: absorción de líquidos, intercambio gaseoso, transporte activo  Cúbico: revestimiento ovárico, plexos coroideos  Función: secreción , protección.  Cilíndrico:epitelio superficial de estómago, vesícula biliar, intestinos, trompa uterina.  Función: absorción, secreción, protección.
  • 63.
  • 64.
  • 65.
  • 66.
  • 67.
    Epitelio Pseudoestratificado cilíndrico.  Epitelio Respiratorio: traquea y bronquios (ciliado)  Epididimo, conducto deferente (estereocilios).  En glándulas: conductos excretores mayores.  Función: absorción, secreción.
  • 69.
    Tráquea Epidídimo
  • 70.
    Epitelio Poliestratificado.  Plano: Queratinizado (epidermis) y No Queratinizado (vagina, esófago, boca, laringe).  Función: protección.  Cúbico: glándulas sudoríparas (p. excretora),conductos grandes de glándulas exocrinas, unión anorrectal  Función; protección, secreción.  Cilíndrico: parte de uretra masculina, conjuntiva del ojo,conductos más grandes de las glándulas exócrinas.  Función: protección.  Polimorfo: vejiga, ureteres, uretra, cálices.  Función: protección, distensibilidad.
  • 71.
    E.Poliestratificado plano E.Poliestratificado plano no queratinizado-Epidermis Queratinizado-Esófago
  • 72.
    E.Poliestratificado cúbico E.Poliestratificado cilíndrico Porción excretora de G. Sudorípara Uretra masculina
  • 73.
  • 75.
  • 76.
    GLANDULAS ENDOCRINAS  Unicelulares:  Células del sistema neuroendocrino difuso. Células APUD.  Producen hormonas paracrinas y endocrinas  Localización: tiroides, tubo gastrointestinal, páncreas, aparato respiratorio.  Ej. K: Polipéptido inhibidor gástrico-intestino delgado; G: Gastrina-piloro ; Mo: Motilina- intestino delgado.  Multicelulares:  Cordonal: adeno hipófisis, glándula suprarrenal,epífisis y paratiroides.  Folicular: tiroides. También hay glándulas mixtas:Páncreas, ovario y testículos
  • 77.
  • 78.
  • 79.
    GLANDULAS EXOCRINAS  Unicelulares:  Células caliciformes.
  • 80.
  • 81.
    Multicelulares: De acuerdoa formade conductos,si se ramifican o no: - SIMPLES - COMPUESTAS De acuerdo a adenómero –TUBULOSA simple (glándula endometrial), enrollada (glándula sudoríparas) y ramificada (glándula fundica) –ACINAR SIMPLE: glándulas parauretrales y periuretrales –ACINAR SIMPLE RAMIFICADA: glándula sebácea,cardiales del estómago. –TUBULAR COMPUESTA:glándulas de Brunner en duodeno. –ACINAR COMPUESTA: páncreas exocrino –TUBULO ACINOSA: g. salivales, g. labiales, bulbo uretrales.
  • 83.
    G.Tubulosa recta G. Tubulosa simple enrrollada Glándula Endometrial Glándula Sudorípara
  • 84.
  • 85.
    Glándula acinosa simpleramificada-Glándula sebácea
  • 86.
  • 87.
  • 88.
  • 89.
    Multicelulares:  De acuerdo a naturaleza de secreción:  MUCOSA: glándula sublingual.  SEROSA: glándula parótida, páncreas.  MIXTA: glándula submaxilar, sublingual.
  • 90.
    Glándula submaxilar-acinos serosos, mucosos y mixtos Acino mucoso Acino mixto Acino seroso
  • 91.
    G.Sublingual- Acinos mucosos Páncreas-Acinos serosos
  • 92.
  • 93.
    De acuerdo acomo vierten su secreción o MEROCRINA: glándula sudorípara. o HOLOCRINA: glándula sebácea. o APOCRINA: glándula mamaria.
  • 95.
    Glándula sudoripara Glándula sebácea G. Merocrina G. Holocrina
  • 96.
    Epitelios Sensoriales  Son neuroepitelios.  Epitelios altamente diferenciados y especializados en la captación de sensaciones.  Son: corpúsculos gustativos, órgano de Corti del oído interno, capa de conos y bastones de retina.
  • 99.
    CORRELACIONES CLINICAS • Metaplasia,es la transformación patológica de un tejido en otro.Ejem. El epitelio pseudoestratificado cilindrico de los bronquios de los grandes fumadores puede experimentar metaplasia escamosa. • Carcinoma, es un tumor maligno que se origina a partir de células epiteliales. • Adenocarcinoma, es un tumor maligno que se origina a partir de células epiteliales glandulares.