Incrustar presentación










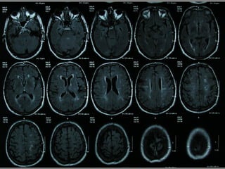
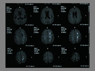
Un paciente de 75 años ingresó en el hospital debido a síntomas neurológicos como bradipsiquia, disartria y torpeza motora en las extremidades derechas que habían estado presentes durante las últimas 12 horas. Tenía antecedentes de fibrosis pulmonar e infección respiratoria reciente. El examen reveló disartria leve, paresia facial central derecha y claudicación en las extremidades derechas, lo que sugiere un posible ictus en el hemisferio izquierdo.








