Neumonía
NEUMOLOGÍA
Mecanismos mediante los cuales los microorganismos pueden llegar al tejido
pulmonar
1. Vía inhalatoria 2. Aspiración
3. Diseminación
hematógena
4. Contigüidad
• Mycoplasma pn
• Chlamydia Pn
• Legionella Pn
Patología
1. Patrón bronconeumónico
2. Neumonía de espacios aéreos
3. Neumonía intersticial
Clasificación
Neumonía adquirida en la
comunidad
Diagnóstico
 La evaluación clínica
 La radiografía de tórax
 Las pruebas de Laboratorio
 Evaluación del curso de la enfermedad y respuesta al
tratamiento
Historia clínica
Presentación clínica
 Distress respiratorio
 Incremento en las secreciones del tracto respiratorio
 Respuesta sistémica
 10-30% Otros
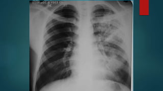
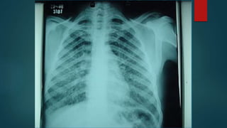
Radiografía
de Tórax
Patrón Alveolar
Patrón Bronconeumónico
Patrón Intersticial
Exámenes de laboratorio
 LEUCOGRAMA
 GASES ARTERIALES
 OTROS ESTUDIOS (NITROGENADOS,
ELECTROLITOS SÉRICOS, ENZIMAS HEPÁTICAS Y
PROTEÍNAS SÉRICAS
Diagnóstico etiológico
Examen de esputo
Hemocultivo
Inmunodiagnóstico
 Pruebas específicas
-Proteína C reactiva
-Crioaglutininas
 Pruebas no específicas
-Detención de antígenos microbianos
-Detención de anticuerpos
-Detención de secuencias de
nucleótidos
Punciones
 Punción transtraqueal
 Punción percutánea
transtorácica
Toracentesis Broncoscopía
Biopsia
-Derrame paraneumónico no complicado
-Derrame paraneumónico complicado
-Empiema
Tratamiento S. pneumoniae
-Resistencia media y alta
S. aureus
-Resistente a meticilina
M. catarrhalis
K. pneumoniae
Otros Gram -
M. pneumoniae
Legionella
H. influenzae
Grupo de paciente de NAC para
tratamiento empírico
 Grupo 1: NAC en pacientes < 60 años sin comorbilidad
 Grupo 2: NAC en pacientes > 60 años y/o con comorbilidad
 Grupo 3: NAC que requiere hospitalización pero no en UCI
 Grupo 4: NAC severa que requiere UCI
 Pacientes inmunocomprometidos.
Neumonía
Nosocomial
-Fiebre
-Leucocitosis
-Secreciones
traqueobronquiales
purulentas
-Los gérmenes Gram N
-La broncoaspiración
Diagnóstico1-Determinar si el paciente tiene
NN
2-identificar el agente etiológico
3-establecer el grado de
severidad.
el cultivo del esputo expectorado
fibrobroncoscopia
Aspiraciones
transtraqueal y
transtorácicas
Hemocultivos y
cultivo de liquido
pleural
Otras:
Gases arteriales,
oximetría de pulso,
hemograma, pruebas
de función renal y
hepática
Diagnostico Diferencial
Tromboembolismo pulmonar
Edema pulmonar cardiogenico
Tratamiento
En el GRUPO 1
Tratamiento
En el GRUPO 2
Tratamiento
En el GRUPO 3
mezlocilina
piperacilina ceftazidime
cefoperazona
vancomicina.
Duración del Tratamiento
Severidad
Patógeno
Respuesta
clínica
H. influenzae
14-21 S. aureus
meticilino
sensible
7-10
Expo neumonia lab[1]

Expo neumonia lab[1]

Notas del editor

  • #36 Monoterapia , es de buena elección puede hacerse son cefalosporinas de 2 gereracion como cefuroxima Betalactamico fluoroquinolona
  • #38 Penincilinas antipseudomonas Cefelosporina de tercera generación contra pseudomona En pacientes graves con sospecha de estafilococ aureis