ALUMNA: PUEBLA GONZÁLEZ SANDRA MARTHA
             GRUPO:1554
Del griego pneumon,
pulmón. Enfermedad
infecciosa caracterizada
por inflamación (en
general aguda) del
parénquima pulmonar
que ocasiona
consolidación del mismo,
causada principalmente
por exudado inflamatorio
que llena los espacios
alveolares.
Virus

(60-70% de los casos)
 Influenza (A, B)
 Parainfluenza (1, 2, 3)
 Adenovirus
 Sincitial respiratorio
Bacterias

 Streptococcus pneumoniae (neumococo)
 Haemophilus influenzae
 Staphylococcus aureus
 Escherichia coli
 Klebsiella pneumoniae
 Legionella
Otros

 Mycoplasma pneumoniae
 Toxoplasma gondii
 Histoplasma capsulatum
 Coccidioidis immitis
 Pneumocystis carinii
 Chlamydia trachomatis
Productores de neumonía en forma secundaria



 Sarampión
 Rubéola
 Tifoidea
 En México, la neumonía y en general las
  infecciones agudas del árbol respiratorio son la
  primera causa de muerte.
 El 70% de las defunciones en menores de cinco
  años ocurren por infecciones respiratorias, y
  16% de los mayores de 65 años mueren por esta
  causa.
 Las neumonías ocasionan anualmente el 15% de
  defunciones, principalmente en ciudades
  grandes y en aquéllas con clima extremoso y alta
  contaminación ambiental.
 Neumonía primaria: los agentes microbianos llegan
 a los pulmones directamente por vía aérea.



 Neumonías secundarias: los agentes microbianos
 llegan a los pulmones por vía hematógena, linfática
 o por contigüidad.
Mecanismos de defensa contra la invasión de los
     microorganismos causantes de neumonía:
 Movilidad ciliar
 Moco
 Integridad de la mucosa epitelial respiratoria
 IgA secretoria
 Actividad fagocítica de polimorfonucleares y
  macrófagos pulmonares, alveolares y pleurales
 Actividad citotóxica antiviral de los linfocitos T
    Al fallar cualquiera de estos mecanismos se
                produce la enfermedad
Clasificación histopatológica de las
                     neumonías:

 Neumonía lobulillar o bronconeumonía: lesiones
 múltiples en ambos pulmones, afecta diferentes
 lobulillos, infiltrado inflamatorio y exudado, dentro
 de los alvéolos.
 Neumonía intersticial o bronquiolitis: ocasionada
 por el virus sincitial respiratorio, infiltrado
 interalveolar, pudiéndose producir necrosis
 bronquiolar masiva.

 Neumonía lobar o segmentaria: lesiones
 inflamatorias de todo un lóbulo.

 Formas especiales: relacionadas con infecciones
 micóticas por Bordetella pertussis; sarampión,
 varicela, sífilis, etc.
Datos clínicos del síndrome infeccioso:



 Fiebre
 Anorexia
 Vómito
 Mal estado general
Datos clínicos del síndrome de insuficiencia
                     respiratoria:

 Disnea
 Polipnea
 Aleteo nasal
 Tiros
 Cianosis


           Tos por lo general seca al principio y
                 posteriormente húmeda
Datos clínicos de la clasificación histopalógica de las
                       neumonías:



 Neumonía lobulillar o bronconeumonía: inicia con
 fiebre, tos y rinorrea; continua con signos de
 insuficiencia respiratoria, a la exploración de tórax
 se distinguen estertores alveolares diseminados.
 Neumonía intersticial o bronquiolitis: inicia son
 signos de infección respiratoria superior, disnea
 acentuada e hipoventilación pulmonar.




 Neumonía lobar o segmentaria: inicia con fiebre,
 escalofrío, dolor torácico, signos de insuficiencia
 respiratoria de intensidad variable; continua con tos
 y expectoración hemoptoica.
 Alteraciones hemodinámicas: insuficiencia cardiaca.
 Proceso infeccioso: septicemia, choque séptico,
  empiema, absceso pulmonar.
 Obstrucción respiratoria: atelectasia, enfisema.
 Ruptura alveolar hacia cavidad vecina: neumotórax.
 Desequilibrio hidroelectrolítico: acidosis
  respiratoria, acidosis mixta.
 Clínico
 Radiografía de tórax:
 -Neumonía lobulillar: infiltrado nodular intraalveolar
                       diseminado

-Neumonía intersticial: infiltrado en forma de red fina

     -Neumonía lobar o segmentaria: opacidades
         homogéneas en un lóbulo o segmento
NEUMONÍA LOBULILLAR O BRONCONEUMONÍA
NEUMONÍA INTERSTICIAL O BRONQUIOLITIS
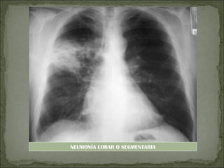
NEUMONÍA LOBAR O SEGMENTARIA
 Cultivo de expectoración con bacterias de más de
 10³ UFC/ml




 Pacientes inmunocomprometidos: broncoaspiración
 selectiva con broncoscopio de doble lumen,
 aspiración trascricoidea, punción pulmonar

 Derrame pleural: obtención del material del
 empiema
 Infección respiratoria aguda baja: hemocultivo,
 detección de antígenos bacterianos (aglutinación en
 látex, coaglutinación y contrainmunoelectroforesis)

 Identificación viral: cultivos de células Hep-2, KB


 Biometría hemática: leucocitosis (proceso
 bacteriano), leucopenia (proceso viral)
Niños

 Bronquitis
 Laringotraqueítis
 Asma bronquial
 Acidosis metabólica
 Cuerpo extraño en bronquios
 Manejo hospitalario: insuficiencia respiratoria
  moderada o grave, pacientes inmunodeprimidos
 Manejo ambulatorio: con o sin insuficiencia
  respiratoria leve, tratamiento a base de
  penicilina intramuscular, ampicilina, amoxicilina
  o trimetoprim y sulfametoxazol
 Uso de antibióticos si el origen es bacteriano
  (neumonía lobulillar, lobar o segmentaria)
Recién nacidos

Etiología: Enterobacterias
Tratamiento: ampicilina

Etiología: Chlamydia trachomatis
Tratamiento: eritromicina
Niños de 3 meses a 6 años de edad
Etiología: bacteriana
Tratamiento: penicilina
Derrame pleural: dicloxacilina más
Cloranfenicol

           Niños mayores de 6 años de edad
Etiología: Streptococcus pneumoniae
Tratamiento: penicilina
Etiología: Staphylococcus aureus
Tratamiento: penicilina resistente a
              penicilinasas



Etiología: Mycoplasma pneumoniae
Tratamiento: eritromicina o tetraciclinas
Pacientes inmunodeprimidos
Etiología: Enterobacterias y Staphylococcus
Tratamiento: dicloxacilina

Etiología: Pneumocystis carinii
Tratamiento: sulfametoxazol/trimetoprim

Etiología: micótica
Tratamiento: anfotericina B
Tratamiento de la insuficiencia respiratoria



 Aspiración y humectación de secreciones


 Oxigenoterapia cuando hay signos de hipoxemia


 Asistencia ventilatoria cuando hay signos de
 hipoxemia
Medidas generales

 Aporte adecuado de líquidos, electrólitos y calorías


 Disminución de la fiebre por medios físicos o con
 antipiréticos

 Tratamiento de la acidosis


 Tratamiento de las complicaciones
Reservado
 De las infecciones respiratorias que causan la
  muerte, 70% corresponden a neumonías

 En pacientes inmunocompetentes la letalidad por
 neumonía es de 5%

 La mayoría de pacientes con derrame pleural
 tratados en forma adecuada se recuperan
 íntegramente al cabo de tres o cuatro semanas
Medidas específicas
 Vacuna antineumocócica
  -Niños menores de dos años
  -Adultos mayores
  -Personas con riesgo de infección neumocócica

Dosis y vía: 0.5 ml por vía subcutánea o
intramuscular en la región deltoidea
Refuerzo: cinco años después de la primera dosis
Medidas generales

 Mejoramiento de la nutrición


 Higiene de la vivienda


 Disminución de la contaminación ambiental
Inflamación del parénquima pulmonar causada por
                exudado inflamatorio
Streptococcus pneumoniae (neumococo)

Características generales:
 Diplococo
 Grampositivo
 1µm de diámetro
 Capsulado


                                   Streptococcus pneumoniae
                             (MICROSCOPIO ELECTRÓNICO DE BARRIDO
Menos de 24 horas a tres días
 Vía de entrada: aérea


 Fuente de contagio: secreción nasal o bucal de
 individuos sanos o enfermos

 Mecanismo de transmisión: contacto directo
 En México, la neumonía y en general las
  infecciones agudas del árbol respiratorio son la
  primera causa de muerte.
 El 70% de las defunciones en menores de cinco
  años ocurren por infecciones respiratorias, y
  16% de los mayores de 65 años mueren por esta
  causa.
 Las neumonías ocasionan anualmente el 15% de
  defunciones, principalmente en ciudades
  grandes y en aquéllas con clima extremoso y alta
  contaminación ambiental.
Neumococo

            Vías respiratorias
                   altas


                                 Vías respiratorias
                                       bajas


                                                      Parénquima
                                                       pulmonar
Factores del huésped que favorecen las infecciones
                    pulmonares:

 Patología pulmonar crónica previa (EPOC,
  tuberculosis)
 Tratamiento con drogas inmunosupresoras
  (esteroides)
 Cáncer
 Diabetes mellitus
 Insuficiencia renal crónica


 Inmovilización prolongada


 Tabaquismo, alcoholismo o drogadicción


 Intubación, traqueostomía y ventilación asistida
Exudado de líquido
      en la luz alveolar +
       microorganismos



        Hepatización roja
  -Consolidación del parénquima
-Presencia de fibrina y eritrocitos



         Hepatización gris
           -Fagocitosis
Inicio súbito

 Escalofrío intenso
 Fiebre de 38.8-40.5°C
 Dificultad para respirar
 Dolor costal
 Tos con esputo sanguinolento
PLEUROPULMONARES     NO PLEUROPULMONARES
  Insuficiencia     Infecciones agregadas
   respiratoria             Sepsis
 Derrame pleural    Insuficiencia cardiaca
  Neumotórax              congestiva
Neumonía de lenta        Meningitis
    resolución            Otitis media
 Clínico


 Radiografía de tórax en posición posteroanterior y
 lateral
 -Imagen de condensación homogénea que abarca un
 lóbulo o un segmento
 -Neumonía de focos múltiples
 Cultivo e
 identificación del
 neumococo




 Biometría hemática:
 leucocitosis
Enfocado a
 Tratar la infección


 Mantener buenas condiciones generales del paciente
 (hidratación, alimentación, etc.)

 Tratar la sintomatología local y general


 Prevenir y tratar a tiempo la insuficiencia
 respiratoria u otras complicaciones
PRINCIPALES ANTIBIÓTICOS CONTRA NEUMONÍAS
                        (American Thoracic Society)
Grupo 1: Macrólidos o tetraciclinas, fluoroquinolona, doxiciclina,
         amoxiclina

Grupo 2: Cefalosporina de 2ª. Generación o TMP/SMT, o bien, una
         combinación de betalactámico con sin macrólido

Grupo 3: Cefalosporina de 2ª. o 3ª. Generación o amoxicilina o
         betalactámico, con inhibidor de β-lactamasa con o sin
         macrólido

Grupo 4: Macrólido más cefalosporina de 3ª. o 4ª. Generación
         antipseudomonas o imipenen, ciprofloxacina o
         fluoroquinolona
PRINCIPALES ANTIBIÓTICOS QUE SE EMPLEAN CONTRA INFECCIONES POR GRAMPOSITIVOS

ANTIBIÓTICO         DOSIS            VÍA DE ADMINISTRACIÓN   ESPECTRO PRINCIPAL

Penicilina G      5-20 millones             IV               Grampositivos, excepto
acuosa           de UI en 24 h                               Staphylococcus resistente



Penicilina G      2-12 millones             IM               Grampositivos, excepto
procaínica        de UI en 24 h                              Staphylococcus resistente



Lincomicina      1.5 a 3 g en 24 h          VO               Grampositivos



Claritromicina   500 mg cada 12 h           VO               Grampositivos
                                                             M. pneumoniae
                                                             Alérgicos a penicilina

Dicloxacilina     1-3 g en 24 h                              Staphylococcus resistente
Reservado
 Vacuna antineumocócica
  -Niños menores de dos años
  -Adultos mayores
  -Personas con riesgo de infección neumocócica

Dosis y vía: 0.5 ml por vía subcutánea o
intramuscular en la región deltoidea

Refuerzo: cinco años después de la primera dosis
 Kumate J, Gutiérrez G, Muñoz O, Santos J.
  Manual de infectología clínica. 15ª. ed. México:
         Méndez editores, 1998: 141-148.
 Rivero O, Navarro F. Neumología. 6ª. ed. México:
          Editorial trillas, 2009: 119-125.
    Félix G, Sevilla L. Ecología y salud. 3ª. ed.
       México: McGraw-Hill, 2009: 277-280.
     Dabout. Diccionario de medicina. México:
               Editorial época, 1999.

Exposición neumonías

  • 1.
    ALUMNA: PUEBLA GONZÁLEZSANDRA MARTHA GRUPO:1554
  • 2.
    Del griego pneumon, pulmón.Enfermedad infecciosa caracterizada por inflamación (en general aguda) del parénquima pulmonar que ocasiona consolidación del mismo, causada principalmente por exudado inflamatorio que llena los espacios alveolares.
  • 3.
    Virus (60-70% de loscasos)  Influenza (A, B)  Parainfluenza (1, 2, 3)  Adenovirus  Sincitial respiratorio
  • 4.
    Bacterias  Streptococcus pneumoniae(neumococo)  Haemophilus influenzae  Staphylococcus aureus  Escherichia coli  Klebsiella pneumoniae  Legionella
  • 5.
    Otros  Mycoplasma pneumoniae Toxoplasma gondii  Histoplasma capsulatum  Coccidioidis immitis  Pneumocystis carinii  Chlamydia trachomatis
  • 6.
    Productores de neumoníaen forma secundaria  Sarampión  Rubéola  Tifoidea
  • 7.
     En México,la neumonía y en general las infecciones agudas del árbol respiratorio son la primera causa de muerte.  El 70% de las defunciones en menores de cinco años ocurren por infecciones respiratorias, y 16% de los mayores de 65 años mueren por esta causa.  Las neumonías ocasionan anualmente el 15% de defunciones, principalmente en ciudades grandes y en aquéllas con clima extremoso y alta contaminación ambiental.
  • 8.
     Neumonía primaria:los agentes microbianos llegan a los pulmones directamente por vía aérea.  Neumonías secundarias: los agentes microbianos llegan a los pulmones por vía hematógena, linfática o por contigüidad.
  • 9.
    Mecanismos de defensacontra la invasión de los microorganismos causantes de neumonía:  Movilidad ciliar  Moco  Integridad de la mucosa epitelial respiratoria  IgA secretoria  Actividad fagocítica de polimorfonucleares y macrófagos pulmonares, alveolares y pleurales  Actividad citotóxica antiviral de los linfocitos T Al fallar cualquiera de estos mecanismos se produce la enfermedad
  • 10.
    Clasificación histopatológica delas neumonías:  Neumonía lobulillar o bronconeumonía: lesiones múltiples en ambos pulmones, afecta diferentes lobulillos, infiltrado inflamatorio y exudado, dentro de los alvéolos.
  • 11.
     Neumonía intersticialo bronquiolitis: ocasionada por el virus sincitial respiratorio, infiltrado interalveolar, pudiéndose producir necrosis bronquiolar masiva.  Neumonía lobar o segmentaria: lesiones inflamatorias de todo un lóbulo.  Formas especiales: relacionadas con infecciones micóticas por Bordetella pertussis; sarampión, varicela, sífilis, etc.
  • 12.
    Datos clínicos delsíndrome infeccioso:  Fiebre  Anorexia  Vómito  Mal estado general
  • 13.
    Datos clínicos delsíndrome de insuficiencia respiratoria:  Disnea  Polipnea  Aleteo nasal  Tiros  Cianosis Tos por lo general seca al principio y posteriormente húmeda
  • 14.
    Datos clínicos dela clasificación histopalógica de las neumonías:  Neumonía lobulillar o bronconeumonía: inicia con fiebre, tos y rinorrea; continua con signos de insuficiencia respiratoria, a la exploración de tórax se distinguen estertores alveolares diseminados.
  • 15.
     Neumonía intersticialo bronquiolitis: inicia son signos de infección respiratoria superior, disnea acentuada e hipoventilación pulmonar.  Neumonía lobar o segmentaria: inicia con fiebre, escalofrío, dolor torácico, signos de insuficiencia respiratoria de intensidad variable; continua con tos y expectoración hemoptoica.
  • 16.
     Alteraciones hemodinámicas:insuficiencia cardiaca.  Proceso infeccioso: septicemia, choque séptico, empiema, absceso pulmonar.  Obstrucción respiratoria: atelectasia, enfisema.  Ruptura alveolar hacia cavidad vecina: neumotórax.  Desequilibrio hidroelectrolítico: acidosis respiratoria, acidosis mixta.
  • 17.
     Clínico  Radiografíade tórax: -Neumonía lobulillar: infiltrado nodular intraalveolar diseminado -Neumonía intersticial: infiltrado en forma de red fina -Neumonía lobar o segmentaria: opacidades homogéneas en un lóbulo o segmento
  • 18.
    NEUMONÍA LOBULILLAR OBRONCONEUMONÍA
  • 19.
  • 20.
    NEUMONÍA LOBAR OSEGMENTARIA
  • 21.
     Cultivo deexpectoración con bacterias de más de 10³ UFC/ml  Pacientes inmunocomprometidos: broncoaspiración selectiva con broncoscopio de doble lumen, aspiración trascricoidea, punción pulmonar  Derrame pleural: obtención del material del empiema
  • 22.
     Infección respiratoriaaguda baja: hemocultivo, detección de antígenos bacterianos (aglutinación en látex, coaglutinación y contrainmunoelectroforesis)  Identificación viral: cultivos de células Hep-2, KB  Biometría hemática: leucocitosis (proceso bacteriano), leucopenia (proceso viral)
  • 23.
    Niños  Bronquitis  Laringotraqueítis Asma bronquial  Acidosis metabólica  Cuerpo extraño en bronquios
  • 24.
     Manejo hospitalario:insuficiencia respiratoria moderada o grave, pacientes inmunodeprimidos  Manejo ambulatorio: con o sin insuficiencia respiratoria leve, tratamiento a base de penicilina intramuscular, ampicilina, amoxicilina o trimetoprim y sulfametoxazol  Uso de antibióticos si el origen es bacteriano (neumonía lobulillar, lobar o segmentaria)
  • 25.
    Recién nacidos Etiología: Enterobacterias Tratamiento:ampicilina Etiología: Chlamydia trachomatis Tratamiento: eritromicina
  • 26.
    Niños de 3meses a 6 años de edad Etiología: bacteriana Tratamiento: penicilina Derrame pleural: dicloxacilina más Cloranfenicol Niños mayores de 6 años de edad Etiología: Streptococcus pneumoniae Tratamiento: penicilina
  • 27.
    Etiología: Staphylococcus aureus Tratamiento:penicilina resistente a penicilinasas Etiología: Mycoplasma pneumoniae Tratamiento: eritromicina o tetraciclinas
  • 28.
    Pacientes inmunodeprimidos Etiología: Enterobacteriasy Staphylococcus Tratamiento: dicloxacilina Etiología: Pneumocystis carinii Tratamiento: sulfametoxazol/trimetoprim Etiología: micótica Tratamiento: anfotericina B
  • 29.
    Tratamiento de lainsuficiencia respiratoria  Aspiración y humectación de secreciones  Oxigenoterapia cuando hay signos de hipoxemia  Asistencia ventilatoria cuando hay signos de hipoxemia
  • 30.
    Medidas generales  Aporteadecuado de líquidos, electrólitos y calorías  Disminución de la fiebre por medios físicos o con antipiréticos  Tratamiento de la acidosis  Tratamiento de las complicaciones
  • 31.
    Reservado  De lasinfecciones respiratorias que causan la muerte, 70% corresponden a neumonías  En pacientes inmunocompetentes la letalidad por neumonía es de 5%  La mayoría de pacientes con derrame pleural tratados en forma adecuada se recuperan íntegramente al cabo de tres o cuatro semanas
  • 32.
    Medidas específicas  Vacunaantineumocócica -Niños menores de dos años -Adultos mayores -Personas con riesgo de infección neumocócica Dosis y vía: 0.5 ml por vía subcutánea o intramuscular en la región deltoidea Refuerzo: cinco años después de la primera dosis
  • 33.
    Medidas generales  Mejoramientode la nutrición  Higiene de la vivienda  Disminución de la contaminación ambiental
  • 35.
    Inflamación del parénquimapulmonar causada por exudado inflamatorio
  • 36.
    Streptococcus pneumoniae (neumococo) Característicasgenerales:  Diplococo  Grampositivo  1µm de diámetro  Capsulado Streptococcus pneumoniae (MICROSCOPIO ELECTRÓNICO DE BARRIDO
  • 37.
    Menos de 24horas a tres días
  • 38.
     Vía deentrada: aérea  Fuente de contagio: secreción nasal o bucal de individuos sanos o enfermos  Mecanismo de transmisión: contacto directo
  • 39.
     En México,la neumonía y en general las infecciones agudas del árbol respiratorio son la primera causa de muerte.  El 70% de las defunciones en menores de cinco años ocurren por infecciones respiratorias, y 16% de los mayores de 65 años mueren por esta causa.  Las neumonías ocasionan anualmente el 15% de defunciones, principalmente en ciudades grandes y en aquéllas con clima extremoso y alta contaminación ambiental.
  • 40.
    Neumococo Vías respiratorias altas Vías respiratorias bajas Parénquima pulmonar
  • 41.
    Factores del huéspedque favorecen las infecciones pulmonares:  Patología pulmonar crónica previa (EPOC, tuberculosis)  Tratamiento con drogas inmunosupresoras (esteroides)  Cáncer  Diabetes mellitus
  • 42.
     Insuficiencia renalcrónica  Inmovilización prolongada  Tabaquismo, alcoholismo o drogadicción  Intubación, traqueostomía y ventilación asistida
  • 43.
    Exudado de líquido en la luz alveolar + microorganismos Hepatización roja -Consolidación del parénquima -Presencia de fibrina y eritrocitos Hepatización gris -Fagocitosis
  • 44.
    Inicio súbito  Escalofríointenso  Fiebre de 38.8-40.5°C  Dificultad para respirar  Dolor costal  Tos con esputo sanguinolento
  • 45.
    PLEUROPULMONARES NO PLEUROPULMONARES Insuficiencia Infecciones agregadas respiratoria Sepsis Derrame pleural Insuficiencia cardiaca Neumotórax congestiva Neumonía de lenta Meningitis resolución Otitis media
  • 46.
     Clínico  Radiografíade tórax en posición posteroanterior y lateral -Imagen de condensación homogénea que abarca un lóbulo o un segmento -Neumonía de focos múltiples
  • 47.
     Cultivo e identificación del neumococo  Biometría hemática: leucocitosis
  • 48.
    Enfocado a  Tratarla infección  Mantener buenas condiciones generales del paciente (hidratación, alimentación, etc.)  Tratar la sintomatología local y general  Prevenir y tratar a tiempo la insuficiencia respiratoria u otras complicaciones
  • 49.
    PRINCIPALES ANTIBIÓTICOS CONTRANEUMONÍAS (American Thoracic Society) Grupo 1: Macrólidos o tetraciclinas, fluoroquinolona, doxiciclina, amoxiclina Grupo 2: Cefalosporina de 2ª. Generación o TMP/SMT, o bien, una combinación de betalactámico con sin macrólido Grupo 3: Cefalosporina de 2ª. o 3ª. Generación o amoxicilina o betalactámico, con inhibidor de β-lactamasa con o sin macrólido Grupo 4: Macrólido más cefalosporina de 3ª. o 4ª. Generación antipseudomonas o imipenen, ciprofloxacina o fluoroquinolona
  • 50.
    PRINCIPALES ANTIBIÓTICOS QUESE EMPLEAN CONTRA INFECCIONES POR GRAMPOSITIVOS ANTIBIÓTICO DOSIS VÍA DE ADMINISTRACIÓN ESPECTRO PRINCIPAL Penicilina G 5-20 millones IV Grampositivos, excepto acuosa de UI en 24 h Staphylococcus resistente Penicilina G 2-12 millones IM Grampositivos, excepto procaínica de UI en 24 h Staphylococcus resistente Lincomicina 1.5 a 3 g en 24 h VO Grampositivos Claritromicina 500 mg cada 12 h VO Grampositivos M. pneumoniae Alérgicos a penicilina Dicloxacilina 1-3 g en 24 h Staphylococcus resistente
  • 51.
  • 52.
     Vacuna antineumocócica -Niños menores de dos años -Adultos mayores -Personas con riesgo de infección neumocócica Dosis y vía: 0.5 ml por vía subcutánea o intramuscular en la región deltoidea Refuerzo: cinco años después de la primera dosis
  • 53.
     Kumate J,Gutiérrez G, Muñoz O, Santos J. Manual de infectología clínica. 15ª. ed. México: Méndez editores, 1998: 141-148.  Rivero O, Navarro F. Neumología. 6ª. ed. México: Editorial trillas, 2009: 119-125.  Félix G, Sevilla L. Ecología y salud. 3ª. ed. México: McGraw-Hill, 2009: 277-280.  Dabout. Diccionario de medicina. México: Editorial época, 1999.